Сравнительное определение уровня экспрессии генов MxA, OAS1 и PKR в лейкоцитах пациентов с гриппозной и коронавирусной инфекцией
- Авторы: Клотченко С.А.1, Романовская-Романько Е.А.1, Олейник В.А.1,2, Егорова М.А.1, Монахова В.С.1, Венёв Е.В.1,3, Плотникова М.А.1
-
Учреждения:
- Научно-исследовательский институт гриппа им. А.А. Смородинцева Минздрава России
- Санкт-Петербургский государственный технологический институт (технический университет)
- Клиническая инфекционная больница им. С.П. Боткина
- Выпуск: Том 23, № 3 (2023)
- Страницы: 65-75
- Раздел: Оригинальные исследования
- Статья опубликована: 30.11.2023
- URL: https://journals.eco-vector.com/MAJ/article/view/623374
- DOI: https://doi.org/10.17816/MAJ623374
- ID: 623374
Цитировать
Аннотация
Обоснование. Первой линией защиты хозяина против инвазии вирусных патогенов служит врожденный иммунный ответ, наиважнейшее звено которого — система интерферонов. Передача сигналов интерфероном индуцирует в клетке-мишени экспрессию широкого спектра специфических противовирусных белков, так называемых интерферон-стимулируемых генов. Наиболее эффективные интерферон-стимулируемые гены напрямую ингибируют репликацию вирусов РНК-центричным образом посредством деградации вирусной РНК, нарушения ее транспорта, ингибирования вирусной трансляции и т.п.
Цель — разработка количественной тест-системы на основе полимеразной цепной реакции для оценки молекулярной регуляции интерферон-стимулируемых генов MxA, OAS1 и PKR человека, а также определение экспрессии этих генов в лейкоцитах крови в ответ на инфицирование РНК-содержащими вирусами.
Материалы и методы. Исследование проводили с использованием лейкоцитов, выделенных из крови пациентов с лабораторно подтвержденными заболеваниями грипп и COVID-19 на 3–4-й день после манифестации болезни. Для ex vivo индукции вирусного инфицирования использовали вирусы гриппа A/California/07/09pdm (H1N1pdm09), B/Malaysia/2506/04 (Викторианской генетической линии), штамм A2 респираторно-синцитиального вируса и вирус SARS-CoV-2 hCoV-19/Russia/SPE-RII-3524V/2020.
Результаты. Разработана мультиплексная тест-система на основе полимеразной цепной реакции для оценки экспрессии генов MxA, OAS1 и PKR, эффективность амплификации которых составила 101,9, 92,5 и 101,5 % соответственно. Разработанная тест-система была предложена для исследования молекулярной регуляции MxA, OAS1 и PKR в лейкоцитах при социально значимых заболеваниях, таких как грипп и COVID-19. Согласно полученным нами результатам у госпитализированных пациентов на 3–4-й день после появления симптомов заболевания уровни экспрессии генов MxA, OAS1 и PKR были значимо повышены на системном уровне в лейкоцитах крови. Показано, что стимуляция лейкоцитов, выделенных от здоровых волонтеров, вирусами гриппа А, B и респираторно-синцитиальным вирусом приводила к значимому увеличению уровней мРНК генов MxA, OAS1 и PKR через 24 ч после инфицирования. В то же время стимуляция лейкоцитов вирусом SARS-CoV-2 не приводила к изменению экспрессии этих генов.
Заключение. Разработанную тест-систему можно использовать для характеристики экспрессии противовирусных эффекторных интерферон-стимулируемых генов, что потенциально поможет в изучении эволюционно выбранных механизмов ускользания вирусов от врожденного иммунного ответа.
Полный текст
Список сокращений
ISGs — интерферон-стимулируемые гены; ПЦР — полимеразная цепная реакция; ВГА — вирус гриппа А; ВГВ — вирус гриппа В; РСВ — респираторно-синцитиальный вирус.
Обоснование
Первой линией защиты хозяина против инвазии вирусных патогенов служит врожденный иммунный ответ, наиважнейшее звено которого — система интерферонов. Передача сигналов интерфероном индуцирует в клетке-мишени экспрессию широкого спектра специфических противовирусных белков, так называемых интерферон-стимулируемых генов (ISGs).
Наиболее эффективные ISGs напрямую ингибируют репликацию вирусов РНК-центричным образом посредством деградации вирусной РНК, нарушения ее транспорта, ингибирования вирусной трансляции и т. п. [1].
Многочисленные публикации последних лет представили новый взгляд на разнообразие и сложность механизмов, с помощью которых различные ISGs ингибируют вирусы с РНК-геномом [2].
Данное исследование посвящено разработке и созданию мультиплексной полимеразной цепной реакции (ПЦР), предназначенной для оценки экспрессии таких ISGs, как двухцепочечная РНК-зависимая протеинкиназа R (PKR), 2ʹ-5ʹ-олигоаденилатсинтетаза (OAS1) и белок устойчивости к миксовирусам (MxA) в клетках человека.
Экспрессия генa MxA контролируется интерферонами I и III типов. MxA проявляет прямое противовирусное действие в отношении широкого спектра вирусов [3], напрямую связывая вирусный рибонуклеопротеид и блокируя ядерный импорт вирусных РНК. PKR и OAS1 являются дополнительными (наряду с RIG-1 и MDA5) сенсорами чужеродной двухцепочечной РНК (дцРНК). Связывание с дцРНК активирует OAS1, что приводит к синтезу ею 2ʹ-5ʹ-олигоаденилатов, которые, в свою очередь, активируют РНКазу L, участвующую в непосредственном расщеплении цитоплазматических РНК [4]. Аналогично взаимодействие с дцРНК (или другими полианионами) приводит к димеризации и активации PKR. Активированная PKR подавляет инициацию трансляции посредством фосфорилирования эукариотического фактора инициации 2 (EIF2AK2) [5] и действует как преобразователь сигнала для экспрессии провоспалительных генов [6].
Известно, что некоторые вирусы могут манипулировать экспрессией противовирусных ISGs, подавляя клеточный врожденный иммунный ответ. Так, например, подавление вирусом эпидемической диареи свиней PEDV (семейство Coronaviridae) экспрессии PKR, OAS1 и Mx2 на ранних стадиях репродукции в конечном итоге вызывает интенсивную воспалительную реакцию [7]. Известно, что наличие некоторых полиморфизмов в генах PKR, OAS1 и MxA ассоциировано с прогрессированием и течением ВИЧ-инфекции [8], гепатита С [9].
В этой связи идентификация и характеристика эффекторных ISGs прямого противовирусного действия потенциально могут раскрыть эволюционно выбранные механизмы защиты от патогенов, которые можно имитировать или которыми можно манипулировать для создания новых методов лечения.
Цель исследования — разработка количественной ПЦР-системы для оценки молекулярной регуляции ISGs MxA, OAS1 и PKR человека, а также определение экспрессии этих генов в лейкоцитах крови в ответ на инфицирование РНК-содержащими вирусами.
Материалы и методы
В исследовании приняли участие 14 здоровых доноров, 14 пациентов с гриппом A/H3N2 (эпидемический сезон 2018/2019 гг.) и 14 пациентов с пневмонией, вызванной вирусом SARS-CoV-2, находившихся на лечении в клинической инфекционной больнице им. С.П. Боткина (Санкт-Петербург, Россия) в апреле–мае 2020 г. У пациентов были отмечены следующие симптомы как наиболее яркие клинические проявления: лихорадка, интоксикация (слабость, головная боль, мышечные боли) и/или катарально-респираторный синдром (заложенность носа, насморк, боль в горле, кашель, боль в груди). Включение пациентов в группы A/H3N2 и SARS-CoV-2 проводили на основании положительных результатов диагностики методом ПЦР, сопряженной с обратной транскрипцией, на соответствующие патогены в назофарингеальных мазках с использованием сертифицированных наборов компании «Амплисенс».
Кровь для выделения лейкоцитов отбирали у пациентов на 3–4-й день после появления первых клинических симптомов в вакуумные пробирки с гепарином натрия. Затем в новую пробирку добавляли 8 мл крови, разбавленной DPBS до объема 12 мл, избегая перемешивания, затем добавляли 9 мл реактива Lymphosep (BioWest, #L05600-500, США) и центрифугировали при 400 g в течение 20 мин. Непрозрачную интерфазу с лейкоцитами отбирали и дважды промывали в растворе 2 % фетальной сыворотки FBS (Gibco, США), приготовленной на питательной среде RPMI-1640 (ООО «БиолоТ», Россия).
Используемые в работе вирусные штаммы были получены из коллекции вирусов и клеточных культур ФГБУ «НИИ гриппа им. А.А. Смородинцева» Минздрава России. Для заражения использовали штаммы вируса гриппа A/California/07/09pdm (H1N1pdm09), вируса гриппа B/Malaysia/2506/04 (Викторианская линия), респираторно-синцитиальный вирус (РСВ) штамм A2 и коронавирус hCoV-19/Russia/SPE-RII-3524V/2020 (GISAID ID EPI_ISL_415710). Для стимуляции вирусы гриппа накапливали в 10–11-дневных развивающихся куриных эмбрионах, РСВ и SARS-CoV-2 — на культурах клеток Hep2 и Vero соответственно. Манипуляции с SARS-CoV-2 проводили в лаборатории биобезопасности уровня BSL-3. Титры вирусов были определены на пермиссивных системах, используемых для накопления. Стимуляцию лейкоцитов, выделенных от здоровых доноров, проводили вирусами в дозах 0,5 (в случае SARS-CoV-2), 1 при вирусах гриппа А и В (ВГА и ВГB) и 1,5 (РСВ) moi, добавленных в объеме 100 мкл вирусной суспензии на 1,4 · 106 лейкоцитов в 100 мкл среды RPMI-1640. После инкубации в течение 1 ч (контакт вируса осуществляли в бессывороточной среде) при 37 °C и 5 % СО2 к клеткам вносили среду с добавлением FBS до конечной концентрации 10 %. Анализ паттернов экспрессии ISGs проводили через 24 ч.
Тотальную РНК экстрагировали из клеток реагентом TRIzol (Invitrogen) в соответствии с инструкцией производителя. Качество и концентрацию полученной РНК проверяли на спектрофотометре NanoDrop ND-1000 (Thermo Fisher Scientific). По значению А260/А280 (в норме ≥1,9) определяли степень чистоты выделенной РНК.
Для удаления геномной ДНК, которой могут быть контаминированы препараты тотальной РНК после выделения препаратом TRIzol, проводили обработку ДНКазой. Все этапы инкубации проводили с использованием набора RQ1 RNase-Free DNase (Promega, США) строго в соответствии с инструкцией производителя. В реакцию брали 1 мкг тотальной РНК.
Для реакции обратной транскрипции использовали 1 мкг РНК (непосредственно после обработки ДНКазой). Для синтеза комплементарной ДНК (кДНК) была необходима реакционная смесь с РНК-зависимой ДНК-полимеразой вируса лейкемии мышей Молони (M-MLV обратной транскриптазы). К РНК добавляли 0,5 мкг олиго-(dT)16 праймеров и воду до конечного объема 10 мкл. Полученную смесь инкубировали 5 мин при 70 °C для отжига праймеров, затем ее переносили в лед на 2–3 мин. Далее к 10 мкл пробы добавляли 15 мкл смеси по протоколу для обратной транскрипции (M-MLV 1 мкл, dNTP 1,5 мкл, 7,5 мкл воды). В каждый образец с РНК добавляли приготовленную смесь и инкубировали 1 ч при 42 °С, инактивация проходила 5 мин при 65 °С. Для постановки реакции обратной транскрипции использовали реактивы компании «Биолабмикс» (Новосибирск).
ПЦР в реальном времени проводили с использованием готового набора БиоМастер HS-qPCR (2×) (Биолабмикс), куда вносили 1–2 мкл кДНК. Праймеры и олигонуклеотидные зонды были синтезированы компанией «ДНК-Синтез» (Москва). Реакцию проводили в объеме 25 мкл, содержащем от 6,25 до 12,5 пмоль прямого и обратного праймеров и TaqMan зонда. Для проведения ПЦР использовали двухступенчатый температурный профиль: первичная денатурация 95 °С в течение 5 мин, далее 40 двухступенчатых циклов: денатурация 95 °С — 10 с, отжиг праймеров и элонгация цепи 61 °С — 30 с. Амплификацию проводили в термоциклере CFX96 Touch (Bio-Rad). Детекцию осуществляли по росту флуоресценции, наличие неспецифических продуктов оценивали электрофоретическим разделением продуктов в агарозном геле.
Эффективность амплификации генов рассчитывали по углу наклона стандартной кривой. Для каждого из трех ампликонов MxA, OAS1 и PKR приготовили серию 10-кратных разведений и провели ПЦР с использованием одного набора специфических праймеров и зондов (моноплексный формат) или их смеси (мультиплексный формат). Для полученных линейных функций (y = α · x + b), отражающих зависимость цикла ПЦР от логарифма разведения образца, были определены углы наклона α. Далее эффективность рассчитывали по формуле Е (%) = (Е – 1) · 100 %. Варьированием концентраций праймеров и олигонуклеотидных зондов в ПЦР максимально выравняли эффективности амплификаций генов интереса в мультиплексном формате.
При постановке мультиплексной ПЦР амплификацию всех генов MxA, OAS1 и PKR проводили одновременно в одной пробирке. При этом в пробу ПЦР, содержащую ДНК-зависимую ДНК-полимеразу и прилагаемый к ней буфер, также добавляли все подобранные пары праймеров и олигонуклеотидные зонды, специфически выявляющие заявленные гены. Конечные концентрации праймеров и зондов, содержащиеся в пробе при проведении мультиплексной ПЦР, составляли: hMxA_F 250 нМ, hMxA_R 250 нМ, hMxA_O 100 нМ, hOAS1_F 500 нМ, hOAS1_R 500 нМ, hOAS1_O 200 нМ, hPKR_F 500 нМ, hPKR_R 500 нМ, hPKR_O 200 нМ.
Расчет относительной экспрессии генов проводили по методу ΔΔCt, используя GAPDH в качестве нормировочного гена. Относительный уровень экспрессии генов рассчитывали по индуктивной формуле R = 2–[ΔΔCt]. Все вычисления осуществляли с использованием программного обеспечения Microsoft Office Excel. Оценку статистической достоверности различий проводили при помощи компьютерной программы GraphPadPrism 6.
Результаты
Первоначально был проведен дизайн праймеров и олигонуклеотидных зондов, специфически выявляющих матричную РНК (мРНК) генов MxA, OAS1, PKR (субъединицы EIF2AK2) человека. Оригинальные последовательности (см. таблицу) были подобраны к белок-кодирующей области генов таким образом, чтобы праймеры были разделены областью интрона, температуры их плавления были схожи, а длины ампликонов, образующихся в процессе ПЦР, не превышали 300 п. н. В качестве эндогенного контроля, используемого для нормировки, был предложен ген глицеральдегид-3-фосфатдегидрогеназы GAPDH, ПЦР-система для определения которого была разработана авторами ранее [10].
Таблица. Подобранные праймеры и TaqMan-зонды для определения экспрессии генов MxA, OAS1 и PKR
Table. Selected primers and TaqMan probes for MxA, OAS1, and PKR genes expression analysis
Ген | мРНК | Название праймера | Подобранные праймеры (5ʹ-3ʹ) | Длина продукта ПЦР , п. н. |
MxA | NM_001144925.2 NM_002462.5 NM_001178046.3 | qH-MxA_F | GAGACAATCGTGAAACAGCAAATCA | 105 |
qH-MxA_R | TATCGAAACATCTGTGAAAGCAAGC | |||
qH-MxA_O | FAM-CACTGGAAGAGCCGGCTGTGGATATG-BHQ2 | |||
OAS1 | NM_016816.4 NM_002534.3 NM_001032409.3 NM_001320151.2 | qH-OAS1_F | CCAAGGTGGTAAAGGGTGGCT | 200 |
qH-OAS1_R | CTGGACCTCAAACTTCACGGAAA | |||
qH-OAS1_O | ROX-AGGCCGATCTGACGCTGACCTGGTTGT-BHQ3 | |||
PKR | NM_002759.3 NM_001135652.2 NM_001135651.3 | qH-PKR_F | GAAAGCGAACAAGGAGTAAGG | 175 |
qH-PKR_R | CCATCCCGTAGGTCTGTGAAA | |||
qH-PKR_O | Cy5-AGCCCCAAAGCGTAGAGGTCCACTTCC-BHQ1 |
Подобранные праймеры выявляют все представленные в базе данных NCBI транскрипционные варианты мРНК исследуемых генов: 3 — MxA, 4 — OAS1 и 3 — PKR.
Для реализации мультиплексного формата ПЦР в разрабатываемой тест-системе предполагалось использовать TaqMan-зонды, содержащие различные флуоресцентные метки (FAM, ROX и CY5) на 5ʹ-конце. Эффективность амплификации специфических продуктов с использованием разных флуорофоров была дополнительно исследована с использованием зонда, подобранного к гену MxA человека. Для этого были заказаны пять олигонуклеотидных зондов, специфически выявляющих ген MxA человека, идентичных по нуклеотидной последовательности и отличающихся только флуоресцентными метками и гасителями, содержащимися на 5ʹ- и 3ʹ-концах соответственно. Согласно полученным кривым роста (результаты представлены в Приложении, рис. 1), флуорофоры мало влияли на скорость накопления специфического продукта. Во всех рассмотренных реакциях специфический продукт детектировали на 20–21-м пороговом цикле ПЦР, что соответствует погрешности метода, равной ± цикл.
В качестве матрицы для оптимизации условий мультиплексной ПЦР были использованы образцы кДНК, полученные методом обратной транскрипции препаратов тотальной РНК, выделенных из клеток A549, инфицированных ВГA. Критериями оптимизации были скорость накопления продуктов амплификации согласно кривой роста флуоресценции (Приложение, рис. 2) и отсутствие неспецифических ампликонов при анализе продуктов ПЦР электрофоретическим разделением в агарозном геле.
Для мультиплексной ПЦР было предложено использовать следующий температурный профиль: первичная денатурация 95 °С — 5 мин; далее 40 двухступенчатых циклов: 1) денатурация 95 °С — 10 с; 2) отжиг праймеров и элонгация цепи 61 °С — 30 c.
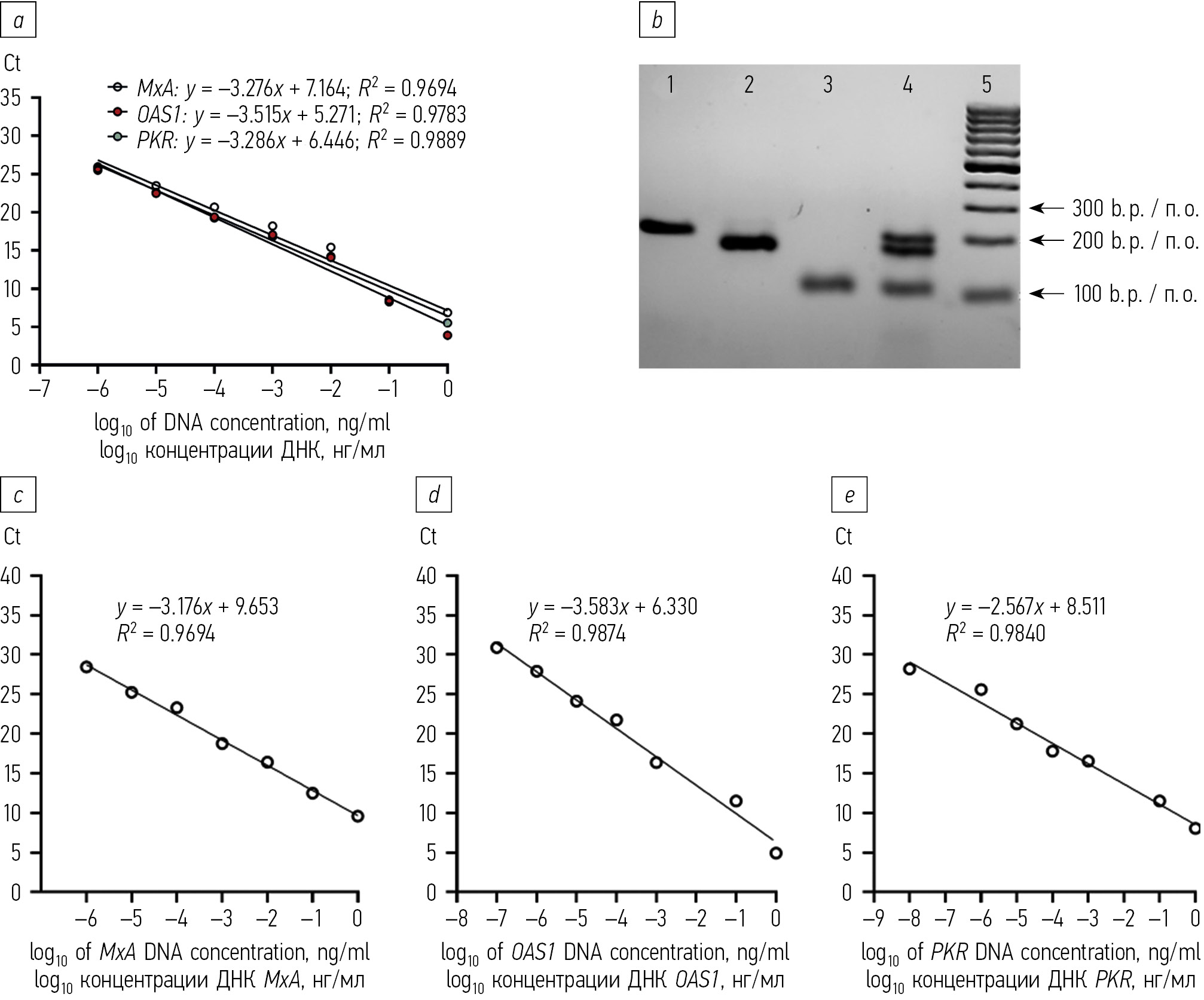
Для корректного проведения относительного количественного анализа экспрессии ISGs в мультиплексном формате значения эффективностей амплификации соответствующих кДНК должны быть идентичными или максимально приближенными друг к другу. Поэтому далее при подобранных оптимальных условиях были рассчитаны эффективности проводимых ПЦР в моноплексном и мультиплексном форматах (рис. 1). Расчет проводили по углу наклона кривой, полученной в результате постановки ПЦР с серией последовательных разведений подготовленных ампликонов.
Рис. 1. Расчет эффективностей ПЦР в моноплексном и мультиплексном форматах: а — мультиплексная амплификация генов MxA, OAS1 и PKR (одновременная детекция в одной пробирке); b — разделение продуктов ПЦР в агарозном геле: 1 — OAS1, 2 — PKR, 3 — MxA, 4 — одновременная амплификация трех генов в мультиплексной ПЦР, 5 — маркер длин, 100 bp (Fermentas); c — стандартная калибровочная кривая, полученная для гена MxA в моноплексном формате ПЦР; d — стандартная калибровочная кривая, полученная для гена OAS1 в моноплексном формате ПЦР; e — стандартная калибровочная кривая, полученная для гена PKR в моноплексном формате ПЦР
Fig. 1. Determination of PCR efficiencies in monoplex and multiplex approaches: a — multiplex amplification of MxA, OAS1, and PKR genes (simultaneous detection in one tube); b — separation of PCR products using agarose gel electrophoresis: 1 — OAS1, 2 — PKR, 3 — MxA, 4 — simultaneous amplification of three genes in multiplex PCR, 5 — DNA Ladder, 100 bp (Fermentas); c — standard curve for MxA gene in monoplex approach; d — standard curve for the OAS1 gene in monoplex approach; d — standard curve for the PKR gene in monoplex approach
Рассчитанные эффективности амплификации трех генов MxA, OAS1 и PKR при проведении мультиплексной ПЦР составили: 101,9, 92,5, 101,5 % (рис. 1, a) соответственно. Такие эффективности были получены оптимизацией концентраций праймеров и зондов (представлены в разделе «Материалы и методы»). Согласно результатам электрофоретического разделения продуктов мультиплексной и моноплексных ПЦР в агарозном геле в ходе реакции не формируется нежелательных неспецифических продуктов (рис. 1, b).
С использованием разработанной тест-системы были оценены уровни экспрессии генов MxA, OAS1 и PKR в лейкоцитах, выделенных из крови пациентов с диагностированным гриппом и COVID-19, а также в лейкоцитах, полученных от здоровых доноров. Лабораторное подтверждение диагнозов было выполнено ранее идентификацией соответствующих этиологических агентов (их генетического материала) в назофарингеальных мазках методом ОТ-ПЦР. Лейкоциты были получены из периферической крови госпитализированных пациентов на 3–4-й день от начала заболевания.
Как видно из представленных на рис. 2 результатов, экспрессия мРНК генов MxA, OAS1 и PKR в белых клетках крови у инфицированных людей была значимо повышена на 3–4-й день после манифестации заболевания по сравнению со здоровыми добровольцами. Интересно отметить, что экспрессия анализируемых генов в образцах, полученных от пациентов с COVID-19, была более дисперсна. Так, уровни экспрессии MxA и PKR примерно у 4–5 человек (из 14) были сопоставимы с контрольными пробами.
Рис. 2. Относительная экспрессия генов MxA, OAS1 и PKR в лейкоцитах пациентов с инфекцией вирусом гриппа А (ВГА), новой коронавирусной инфекцией (COVID-19) и у здоровых добровольцев (ЗД). Достоверность различий экспрессии у групп инфицированных людей по сравнению с группой здоровых добровольцев определяли с использованием непараметрического критерия Краскела – Уоллиса с поправкой Даннетта для множественного сравнения: * p < 0,05; ** p < 0,01; *** p < 0,001; **** p < 0,0001
Fig. 2. Relative expression of MxA, OAS1, and PKR genes in leukocytes of patients with influenza infection А (IVA), coronavirus disease (COVID-19), and in healthy volunteers (HV). Statistical significance was determined for groups of infected people compared with a group of healthy volunteers by Kruskal–Wallis test (with pairwise Dunnett’s multiple comparisons test): * p < 0.05; ** p < 0.01; *** p < 0.001; **** p < 0.0001
Дополнительно мы исследовали уровни мРНК генов MxA, OAS1 и PKR при стимуляции лейкоцитов РНК-содержащими вирусами (рис. 3). Примечательно, что через 24 ч после инфицирования уровни экспрессии исследуемых генов при стимуляции вирусом SARS-CoV-2 не отличались от уровней в контрольных нестимулированных клетках. В то же время in vitro стимуляция клеток ВГА, ВГВ и РСВ приводила к значимому повышению экспрессии MxA и OAS1, а также к увеличению PKR (в случае РСВ, несмотря на недостоверность отличий, также наблюдается тенденция к увеличению экспрессии).
Рис. 3. Изменение экспрессии генов MxA (a), OAS1 (b) и PKR (c) в лейкоцитах, полученных от здоровых добровольцев, в ответ на in vitro стимуляцию лейкоцитов вирусами гриппа А (ВГА), В (ВГВ), коронавирусом SARS-CoV-2 и респираторно-синцитиальным вирусом (РСВ) по сравнению с неинфицированными клетками (КК). Достоверность различий в группах, стимулированных вирусами, относительно группы контрольных клеток определяли с использованием однофакторного дисперсионного анализа (ANOVA) для парных образцов с коррекцией Холма – Шидака: * — p < 0,05; ** — p < 0,01; *** — p < 0,001;**** — p < 0,0001; NS — non-significant, различия недостоверны
Fig. 3. Patterns expression of MxA (a), OAS1 (b) and PKR (c) genes in leukocytes (from healthy volunteers) in response to in vitro stimulation of leukocytes by influenza viruses А (IVA), B (IVB), SARS-CoV-2, and respiratory syncytial virus (RSV) compared to uninfected cells (CC). Statistical significance was determined using single-factor analysis of variance (ANOVA) for paired samples with Holm–Sidak correction for groups stimulated by viruses relative to control cells group: * p < 0.05; ** p < 0.01; *** p < 0.001; **** p < 0.0001; NS is non-significant, the differences are not reliable
Обсуждение
Совместное определение уровня экспрессии генов MxA, OAS1 и PKR позволяет определить уровень активации врожденной иммунной системы организма и оценить продуктивность интерферон-опосредованного противовирусного ответа. Особенную актуальность данная оценка приобретает при анализе патогенеза острых респираторных вирусных инфекций, способных к спекуляции иммунным ответом. Наиболее чувствительным и специфичным методом определения уровня экспрессии генов является ПЦР в реальном времени. В данной работе была предложена, разработана и валидирована мультиплексная тест-система, которая позволяет в одном образце одновременно измерять экспрессию трех ISGs, обладающих прямым противовирусным действием.
Разработанная тест-система была предложена для исследования молекулярной регуляции MxA, OAS1 и PKR в лейкоцитах при социально значимых инфекциях, таких как грипп и COVID-19. Согласно полученным нами результатам у госпитализированных пациентов на 3–4-й день после появления симптомов заболевания уровни экспрессии генов MxA, OAS1 и PKR были значимо повышены на системном уровне в лейкоцитах крови. Индукция этих генов обусловлена JAK/STAT внутриклеточной системой сигнальной трансдукции, активируемой системой интерферона I и III типов, которые формируют первую линию защиты против вирусных инфекций у млекопитающих [11, 12]. Так, многочисленные клинические исследования подтвердили, что экспрессия белка MxA в периферической крови является чувствительным и специфическим маркером вирусных инфекций [13]. Тем не менее нас заинтересовал тот факт, что у пациентов с COVID-19 значения экспрессии генов PKR и MxA были распределены достаточно дисперсно. Примерно для 4–6 пациентов с COVID-19 (примерно треть исследуемых) измеренные уровни мРНК этих генов были сопоставимы с уровнями у неинфицированных добровольцев. Известно, что опосредованное вирусом подавление раннего интерферонового ответа в очаге инфекции и несбалансированная активация иммунных сигнальных сетей регулируют чрезмерный воспалительный иммунный ответ при тяжелом течении COVID-19 [14, 15]. Все исследуемые нами пациенты были госпитализированы в состоянии средней тяжести, летальных исходов не наблюдалось; однако они получали соответствующую терапию, что могло повлиять на дисперсность полученных нами результатов.
Следующим этапом нашей работы было исследование вирус-индуцированной экспрессии генов MxA, OAS1 и PKR в лейкоцитах в ответ на стимуляцию их респираторными вирусами. Следует отметить, что используемые в работе лейкоциты были выделены и получены от здоровых волонтеров в период до 2018 г., то есть используемые нами образцы были абсолютно наивны в отношении появившейся в 2019 г. новой коронавирусной инфекции (но не гриппа). Полученные нами результаты свидетельствовали о том, что через 24 ч после инфицирования SARS-CoV-2 не индуцировал экспрессию MxA, OAS1 и PKR в лейкоцитах, в то время как ВГА, ВГВ и РСВ закономерно вызывали повышение уровней мРНК этих генов. Первым нашим предположением было то, что используемый нами вирус SARS-CoV-2 не способен инфицировать лейкоциты. Инфекционность вируса была доказана нами методом обратного титрования (данные не представлены) на пермиссивной культуре клеток.
В работе J. Kazmierski и соавт. [16] было заявлено о неспособности продуктивной инфекции SARS-CoV и SARS-CoV-2 в лейкоцитах человека ввиду отсутствия на поверхности последних рецептора ACE2, который коронавирусы используют для инвазии [17–19]. Тем не менее показано, что прямая стимуляция моноцитов SARS-CoV-2 сопровождается сильной индукцией ISGs, несмотря на отсутствие обнаруживаемой продуктивной инфекции [16]. В литературе также показано [20], что инфекция SARS-CoV-2 в клетках Calu-3 сопровождалась динамической активацией транскрипции цитокинов IL6, CXCL8, CXCL10, TNF-α, IL1B, а также интерферон-индуцированных факторов вирусной рестрикции, таких как OAS1 и Mx1. Важно отметить, что в первые 24 ч значения экспрессии мРНК OAS1 и Mx1 не отличались от контрольных и достигали максимальных значений через 56–60 ч после инфицирования.
Вероятно, SARS-CoV-2 при прямом инфицировании лейкоцитов индуцирует в клетках аберрантный интерфероновый ответ, что выражается в пониженной экспрессии ключевых противовирусных ISGs, таких как MxA, OAS1 и PKR на ранних стадиях вирусной инфекции. Вполне возможно, что экспрессия этих генов возрастает на более поздних стадиях инфицирования. Этот отсроченный противовирусный ответ может обеспечить окно для репликации вируса, побуждая манипулятивную стратегию SARS-CoV-2 воздействовать на врожденный иммунный ответ. К сожалению, в нашей работе оценить экспрессию на поздних сроках не представлялось возможным, поскольку дизайн эксперимента представлял собой сравнение разных вирусов (ВГА, ВГВ, РСВ и SARS-CoV-2), а вирус-опосредованное цитопатическое действие при заражении вирусами гриппа и РСВ на поздних сроках приводит к неадекватному измерению экспрессии генов в клетках.
Таким образом, разработанная мультиплексная система для определения экспрессии генов MxA, OAS1 и PKR, обладающих противовирусной активностью, может быть важным инструментом для определения инициации иммунной системы в ответ на вирусное заражение, позволяющим оценивать вовлеченность сигнальных путей иммунной регуляции в противовирусное состояние клетки.
Дополнительная информация
Источник финансирования. Исследование выполнено при финансовой поддержке Российского научного фонда, проект № 23-25-00433: «Изучение противовирусного действия мРНК, кодирующей MxA белок человека» (М.А. Плотникова), https://rscf.ru/project/23-25-00433/
Конфликт интересов. Авторы заявляют об отсутствии конфликта интересов. Все результаты и выводы, представленные в публикации, выполнены лично авторами статьи.
Соблюдение этических норм. Исследования с использованием лейкоцитов получили одобрение локальной этической комиссии ФГБУ «НИИ гриппа им. А.А. Смородинцева» Минздрава России (заседания № 108 от 03.09.2018 и № 164 от 12.02.2021).
Вклад авторов. Все авторы внесли существенный вклад в разработку концепции, проведение исследования и подготовку статьи, прочли и одобрили финальную версию перед публикацией. Наибольший вклад распределен следующим образом: C.А. Клотченко, Е.А. Романовская-Романько, М.А. Плотникова — идея работы, планирование эксперимента, написание и редактирование рукописи; В.А. Олейник, М.А. Егорова, В.С. Монахова, Е.В. Венёв — участие в исследовании, сбор данных; Е.А. Романовская-Романько, М.А. Плотникова — анализ и интерпретация данных.
Приложение / Supplementary
Рис. 1. Амплификация гена MxA при использовании разных флуорофоров и гасителей
Fig. 1. MxA gene amplification using different fluorophores and quenchers
Рис. 2. Кривые роста флуоресценции, полученные для линейки разведений образцов (от –9 до –2) при проведении ПЦР в режиме реального времени с детекцией на канале FAM для выявления MxA (a); ROX для выявления OAS1 (b); Cy5 для выявления PKR (c)
Fig. 2. Growth curves of fluorescence obtained for the dilution series of samples (from –9 to –2) during real-time PCR detection on channel FAM for MxA detection (a); ROX for OAS1 detection (b); Cy5 for PKR detection (c)
Об авторах
Сергей Анатольевич Клотченко
Научно-исследовательский институт гриппа им. А.А. Смородинцева Минздрава России
Email: fosfatik@mail.ru
ORCID iD: 0000-0003-0289-6560
SPIN-код: 2632-6195
канд. биол. наук, ведущий научный сотрудник лаборатории гриппозных вакцин
Россия, Санкт-ПетербургЕкатерина Андреевна Романовская-Романько
Научно-исследовательский институт гриппа им. А.А. Смородинцева Минздрава России
Email: ekaterina.romanovskaya@influenza.spb.ru
ORCID iD: 0000-0001-7560-398X
SPIN-код: 1012-8043
канд. биол. наук, ведущий научный сотрудник лаборатории векторных вакцин
Россия, Санкт-ПетербургВероника Андреевна Олейник
Научно-исследовательский институт гриппа им. А.А. Смородинцева Минздрава России; Санкт-Петербургский государственный технологический институт (технический университет)
Email: working.lyutik@gmail.com
лаборант-исследователь лаборатории гриппозных вакцин, студент
Россия, Санкт-Петербург; Санкт-ПетербургМарья Алексеевна Егорова
Научно-исследовательский институт гриппа им. А.А. Смородинцева Минздрава России
Email: sci-work_maria@mail.ru
ORCID iD: 0000-0003-1408-8413
SPIN-код: 6055-1423
научный сотрудник лаборатории системной вирусологии
Россия, Санкт-ПетербургВарвара Сергеевна Монахова
Научно-исследовательский институт гриппа им. А.А. Смородинцева Минздрава России
Email: varvara.bio@gmail.com
SPIN-код: 2111-8493
научный сотрудник лаборатории генной инженерии и экспрессии рекомбинантных белков
Россия, Санкт-ПетербургЕвгений Валерьевич Венёв
Научно-исследовательский институт гриппа им. А.А. Смородинцева Минздрава России; Клиническая инфекционная больница им. С.П. Боткина
Email: imberbis@gmail.com
старший преподаватель, врач-инфекционист
Россия, Санкт-Петербург; Санкт-ПетербургМарина Александровна Плотникова
Научно-исследовательский институт гриппа им. А.А. Смородинцева Минздрава России
Автор, ответственный за переписку.
Email: biomalinka@mail.ru
ORCID iD: 0000-0001-8196-3156
SPIN-код: 2986-9850
канд. биол. наук, старший научный сотрудник лаборатории векторных вакцин
Россия, Санкт-ПетербургСписок литературы
- Yang E., Li M.M. All about the RNA: interferon-stimulated genes that interfere with viral RNA processes // Front. Immunol. 2020. Vol. 11. P. 605024. doi: 10.3389/fimmu.2020.605024
- Schneider W.M., Chevillotte M.D., Rice C.M. Interferon-stimulated genes: a complex web of host defenses // Annu. Rev. Immunol. 2014. Vol. 32. P. 513–545. doi: 10.1146/annurev-immunol-032713-120231
- Verhelst J., Hulpiau P., Saelens X. Mx proteins: antiviral gatekeepers that restrain the uninvited // Microbiol. Mol. Biol. Rev. 2013. Vol. 77, No. 4. P. 551–566. doi: 10.1128/MMBR.00024-13
- Al-khatib K., Williams B.R., Silverman R.H. et al. Distinctive roles for OAS and PKR in the in vivo anti-viral effect of an adenoviral vector expressing murine IFN-β // J. Immunol. 2004. Vol. 72, No. 9. P. 5638–5647. doi: 10.4049/jimmunol.172.9.5638
- Meurs E.F., Watanabe Y., Kadereit S. et al. Constitutive expression of human double-stranded RNA-activated p68 kinase in murine cells mediates phosphorylation of eukaryotic initiation factor 2 and partial resistance to encephalomyocarditis virus growth // J. Virol. 1992. Vol. 66, No. 10. P. 5805–5814. doi: 10.1128/JVI.66.10.5805-5814.1992
- Williams B.R. Signal integration via PKR // Sci. STKE. 2001. No. 89. P. re2. doi: 10.1126/stke.2001.89.re2
- Wang S., Wu J., Wang F. et al. Expression pattern analysis of antiviral genes and inflammatory cytokines in PEDV-infected porcine intestinal epithelial cells // Front. Vet. Sci. 2020. Vol. 7. P. 75. doi: 10.3389/fvets.2020.00075
- Бахтеева Л.Б., Хайбуллина С.Ф., Ломбарди В.К. и др. Значение полиморфизма генов фермента 2’,5’-олигоаденилатсинтетазы в прогнозе ВИЧ-инфекции // Современные технологии в медицине. 2016. Т. 8, № 1. С. 99–105. doi: 10.17691/stm2016.8.1.13
- Knapp S., Yee L.J., Frodsham A.J. et al. Polymorphisms in interferon-induced genes and the outcome of hepatitis C virus infection: roles of MxA, OAS-1 and PKR // Genes Immun. 2003. Vol. 4, No. 6. P. 411–419. doi: 10.1038/sj.gene.6363984
- Lozhkov A.A., Plotnikova M.A., Egorova M.A. et al. Simultaneous detection of RIG-1, MDA5, and IFIT-1 expression is a convenient tool for evaluation of the interferon-mediated response // Viruses. 2022. Vol. 14, No. 10. P. 2090. doi: 10.3390/v14102090
- Sheppard P., Kindsvogel W., Xu W. et al. IL-28, IL-29 and their class II cytokine receptor IL-28R // Nat. Immunol. 2003. Vol. 4, No. 1. P. 63–68. doi: 10.1038/ni873
- Stark G.R., Kerr I.M., Williams B.R. et al. How cells respond to interferons // Annu. Rev. Biochem. 1998. Vol. 67, No. 1. P. 227–264. doi: 10.1146/annurev.biochem.67.1.227
- Savvateeva E.N., Rubina A.Y., Gryadunov D.A. Biomarkers of community-acquired pneumonia: a key to disease diagnosis and management // Biomed. Res. Int. 2019. Vol. 2019. P. 1701276. doi: 10.1155/2019/1701276
- Blanco-Melo D., Nilsson-Payant B.E., Liu W. et al. Imbalanced host response to SARS-CoV-2 drives development of COVID-19 // Cell. 2020. Vol. 181, No. 5. P. 1036–1045.e9. doi: 10.1016/j.cell.2020.04.026
- Lei X., Dong X., Ma R. et al. Activation and evasion of type I interferon responses by SARS-CoV-2 // Nat. Commun. 2020. Vol. 11, No. 1. P. 3810. doi: 10.1038/s41467-020-17665-9
- Kazmierski J., Friedmann K., Postmus D. et al. Nonproductive exposure of PBMCs to SARS-CoV-2 induces cell-intrinsic innate immune responses // Mol. Syst. Biol. 2022. Vol. 18, No. 8. P. e10961. doi: 10.15252/msb.202210961
- Hoffmann M., Kleine-Weber H., Schroeder S. et al. SARS-CoV-2 cell entry depends on ACE2 and TMPRSS2 and is blocked by a clinically proven protease inhibitor // Cell. 2020. Vol. 181, No. 2. P. 271–280.e8. doi: 10.1016/j.cell.2020.02.052
- Song X., Hu W., Yu H. et al. Little to no expression of angiotensin-converting enzyme-2 on most human peripheral blood immune cells but highly expressed on tissue macrophages // Cytometry A. 2023. Vol. 103, No. 2. P. 136–145. doi: 10.1002/cyto.a.24285
- Xiong Y., Liu Y., Cao L. et al. Transcriptomic characteristics of bronchoalveolar lavage fluid and peripheral blood mononuclear cells in COVID-19 patients // Emerg. Microbes Infect. 2020. Vol. 9, No. 1. P. 761–770. doi: 10.1080/22221751.2020.1747363
- Faist A., Schloer S., Mecate-Zambrano A. et al. Inhibition of p38 signaling curtails the SARS-CoV-2 induced inflammatory response but retains the IFN-dependent antiviral defense of the lung epithelial barrier // Antiviral Res. 2023. Vol. 209. P. 105475. doi: 10.1016/j.antiviral.2022.105475
Дополнительные файлы








