Latest technologies of diagnostics and treatment of diseases of the musculoskeletal system
- 作者: Tyukavin A.I.1, Solomennikov A.V.1, Umarov S.Z.1
-
隶属关系:
- Saint Petersburg Chemical and Pharmaceutical University of the Ministry of Health of the Russian Federation
- 期: 卷 4, 编号 3 (2022)
- 页面: 64-80
- 栏目: Pharmaceutical learning activit
- URL: https://journals.eco-vector.com/PharmForm/article/view/115260
- DOI: https://doi.org/10.17816/phf115260
- ID: 115260
如何引用文章
全文:
详细
This lesson outlines the latest data on bone structure and physiology, as well as those related to the mechanisms of bone development and regeneration. The most common diseases of musculoskeletal system are caused by genetic and metabolic disorders, infectious agents, andmechanical stress, all of which are discussed. Innovative technologies for diagnosing osteoporosis (X-ray absorptiometry, quantitative computed tomography (QCT), ultrasonic bone densitometry, etc.) are shown. The joints diseases (arthropathies) followed by inflammation are highlighted. The basic principles of conservative and surgical treatment of arthrosis are explored. Different types of bone injuries caused by mechanical stress are thoroughly described as well as the latest technologies and equipment used in modern trauma centers. Basic orthopedic aids for disabled patients are listed. The main directions for improving the diagnosis and conservative treatment of diseases of the musculoskeletal system, as well as methods for prosthetics of large joints are described.
全文:
СОКРАЩЕНИЯ:
МКБ-11 – одиннадцатый пересмотр Международной статистической классификации болезней и проблем, связанных со здоровьем; ВОЗ – Всемирная организация здравоохранения; ОДА – опорно-двигательного аппарата.
ВВЕДЕНИЕ
Основные трудовые действия выпускников фармацевтических вузов и техникумов на протяжении многих десятилетий приоритетно связанны со сферой обращения лекарственных средств. Вместе с тем поле профессиональной деятельности современных работников фармацевтической отрасли постоянно расширяется. Одним их динамично развивающихся направлений профессиональной деятельности современных специалистов фармацевтической отрасли является обеспечение лечебно-профилактических учреждений страны высокотехнологичной диагностической аппаратурой, а также уникальными устройствами и изделиями необходимыми врачам для восстановления врожденных и приобретенных заболеваний. Настоящая лекция адресована категории специалистов – фармацевтов и нефармацевтов, профессиональная деятельность которых направлена на материально-техническое обеспечение медицинских центров, осуществляющих диагностику, лечение и реабилитацию больных с острыми и хроническими заболеваниями опорно-двигательного аппарата.
Согласно перечню Международной классификации болезней 11 пересмотра (МКБ-11) к заболеваниям опорно-двигательного аппарата относятся более 150 видов патологии. В него входят острые виды патологии – переломы костей, растяжения связок и суставные вывихи, а также врожденные и приобретенные нарушения скелета, которые сопровождают хронической болью и инвалидностью человека. Особенностями заболеваний опорно-двигательного аппарата является ограничение подвижности, снижение моторики и функциональных возможностей человека, что ограничивает его трудовую деятельность и выполнение социальных функций. Патология опорно-двигательного аппарата очень разнообразная и включает в себя генетические болезни, остеопороз, остеоартроз и переломы, вызванные хрупкостью костной ткани, а также травмы и системные воспалительные заболевания суставов.
СТРОЕНИЕ И ФИЗИОЛОГИЯ КОСТЕЙ
Опорно-двигательный аппарат реализует многочисленные функции человека: локомоторную, которая осуществляется совместно со всеми системами организма; защитную, благодаря которой головной и спиной мозг, органы грудной полости и таза, а также костный мозг защищены от внешних воздействий; метаболическую: в костной ткани представляют собой депо 99% кальция, 87% фосфора, 50% магния и 46% натрия, что определяет его участие в различных видах обмена; кроветворную: осуществляется красным костным мозгом, расположенным в губчатом веществе плоских костей, телах позвонков. В состав опорно-двигательного аппарата входят кости скелета, суставы, хрящи, мышцы и связки [1].
Кость – это орган, который является морфофункциональным элементом аппарата опоры и движения, имеющий типичную форму и строение, характерную архитектонику сосудов и нервов, построенный преимущественно из костной ткани, покрытый снаружи надкостницей и содержащий внутри костный мозг. По форме и строению выделяют четыре вида костей туловища и конечностей: трубчатые, плоские, объемные и смешанные. Трубчатые кости (бедренная, плечевая и др.) на распиле имеют в центральном отделе полость. Плоские кости на распиле представлены преимущественно массой губчатого вещества. Они обширны по площади, толщина их небольшая (тазовые кости, ребра и др.). Объемные кости в большинстве случаев, как и плоские содержат массу губчатого вещества; их размеры примерно одинаковые (кости запястья и предплюсны) (рис. 1).
Рис. 1. Виды и функции костей туловища и конечностей / Fig. 1. Types and functions of the bones of the trunk and limbs
Смешанные кости отличаются специфичностью и сложностью формы. Они имеют элементы строения объемных и плоских костей (позвонки).
Строение кости. В кости выделяют губчатое и компактное вещество, надкостницу и оболочку, выстилающие стенки костных полостей (эндост), а также костномозговой канал в трубчатых костях и костномозговые лакуны плоских костей.
Компактный слой образуют остеоны. Последние состоят из коллагеновых костных пластинок, циркулярно расположенных вокруг канала остеона. В них проходят нервы, кровеносные и лимфатические сосуды. Остеоны отграничены друг от друга и снаружи цементирующим веществом. Компактный слой покрыт снаружи соединительнотканной надкостницей (рис. 2)
Рис. 2. Строение костей / Fig. 2. The structure of bones
Рис. 3. Остеогенные клетки: слева направо – остеобласты, остеоциты, остеокласты / Fig. 3. Osteogenic cells: from left to right – osteoblasts, osteocytes, osteoclasts
Губчатый слой располагается внутри кости и состоит из переплетающихся костных трабекул, окружающих полости, заполненные костным мозгом. Губчатый слой окутан внутренним слоем, состоящим из соединительнотканной ткани.
Минеральный состав. Кости содержат преимущественно два химических элемента – кальций (35%) и фосфор (50%), образующие кристаллы, которые соединяются с молекулами коллагена. В состав неорганической части кости также входят бикарбонаты, цитраты, фториды, соли Mg2+, K+, Na+.
Органические компоненты кости построены из белков, составляющий основу соединительной ткани организма (коллагенов) и неколлагеновых, а также мукополисахаридов и воды (25%).
Клетки костной ткани. В костной ткани расположены остеогенные клетки: 1) остеобласты; 2) остеоциты; 3) остеокласты.
Остеобласты – клетки, которые осуществляют синтез белков костного матрикса. Они обеспечивают образование и минерализацию кости, а также секретируют ферменты, участвующие в обмене и депонировании кальция и в метаболизме других электролитов.
Остеоциты – плоские клетки, расположенные в костных лакунах. Их функция заключается в сохранении костного матрикса и его минерального состава.
Остеокласты – многоядерные клетки, относящиеся к системе фагоцитов. Их функция – резорбция (расплавление) кости. Активность остеоцитов регулируется остеобластами. При преобладании активности остеобластов или остеокластов масса и прочность костной ткани могут изменяться в сторону увеличения или уменьшения (резорбции).
Скелет. Под скелетом понимают систему плотных соединительнотканных (гл. обр. костных) образований, составляющих остов человека. Различают скелет туловища (позвоночник и грудная клетка), головы, верхней и нижней конечности.
Кости туловища и нижних конечностей прежде всего выполняют опорную функцию для мягких тканей (мышц, связок, внутренних органов). Большинство костей играет роль рычагов. К ним прикрепляются мышцы, которые обеспечивают перемещение тела в пространстве (локомоторную функцию). Кости черепа, туловища и тазовые кости выполняют защитную функцию от возможных повреждений жизненно важных органов, крупных сосудов и нервов (рис. 4).
Рис. 4. Скелет человека / Fig. 4. Human skeleton
ПАТОЛОГИЯ ОПОРНО-ДВИГАТЕЛЬНОГО АППАРАТА
Все виды патологии опорно-двигательного аппарата подразделяют на: болезни, обусловленные генетическими нарушениями (дисплазии); метаболические заболевания костной ткани; инфекционные заболевания костей; заболевания суставов; травмы костей скелета и другие (опухоли костей, болезни связочно-мышечного аппарата).
ГЕНЕТИЧЕСКИ ОБУСЛОВЛЕННЫЕ БОЛЕЗНИ
Дисплазии – болезни костей и хрящей, связанные с генетической патологией. Они проявляются преимущественно нарушениями роста человека или неправильным формообразованием костей [2].
Остеопетроз (мраморная болезнь). Этот вид патологии относится к группе редких наследственных (орфанных) заболеваний, которые встречаются с частотой 1:20 000 тыс. населения. Для мраморной болезни характерно диффузное уплотнение костей скелета. Дефекты формирования костей связаны с аномалией остеокластов, которые утрачивают функцию резорбции костей. В тоже время основные функции остеобластов и остеоцитов не нарушаются, что приводит к избыточному образованию и минерализации костной ткани.
Проявления болезни. Заболевание характеризуется низким ростом пациентов, повышенной ломкостью костей, прогрессирующим сужением костномозговых каналов, что приводит к снижению массы костного мозга и нарушению костномозгового кроветворения, анемии и резкому снижению резистентности к инфекции. Болезнь может протекать в двух вариантах: 1) смерть больных наступает в первом десятилетии жизни; 2) больные доживают до зрелого возраста (рис. 5).
Рис. 5. Нарушение структуры костей при остеопетрозе / Fig. 5. Violation of the structure of bones in osteoporosis
Болезнь Педжета или деформирующий остоз. Болезнь начинается у людей после 40 лет. Частота заболевания у более молодых людей не превышает 0,5%, а в старости достигает 10%. Преимущественно болеют мужчины, при этом в основном поражаются кости, несущие наибольшую механическую нагрузку, а также кости свода черепа и нижних челюстей.
Причины (этиология) заболевания не установлены. Болезнь возникает у определённых этнических групп и нередко носит семейный характер, что указывает на наследственный характер этого вида патологии.
Патогенез. В развитии болезни выделяют три стадии. Первая стадия характеризуется выраженной резорбцией – уменьшением массы костной ткани; во вторую стадию происходит перестройка архитектоники кости (нарушается расположение костных балок); на третьей стадии заболевания прекращается рост кости и происходит замещение внутрикостной ткани жировой тканью.
В результате патологических процессов длинные трубчатые кости деформируются, утолщаются и искривляются (рис. 6).
Рис. 6. Болезнь Педжета. Поражение нижних конечностей / Fig. 6. Paget’s disease. lower extremity injury
МЕТАБОЛИЧЕСКИЕ ЗАБОЛЕВАНИЯ КОСТЕЙ
В основе этих видов патологии костей лежат расстройства минерального обмена веществ, приводящие к нарушениям минерализации и патологической перестройки структуры костей. Наибольшее значение для практической медицины имеют остеопороз и рахит.
Остеопороз – прогрессирующее метаболическое заболевание костей, которое характеризуется уменьшением плотности костной ткани (массы костной ткани в единице ее объема), сопровождающейся нарушениями структуры и функции скелета. Начальные проявления уменьшения плотности кости за счет снижения количества костной ткани называется остеопенией. По мере прогрессирования заболевания (выраженного уменьшения плотности костной ткани) развивается патология костей скелета, получившая название остеопороз [3].
Факторы риска. Установлено, что нет ни одной расы, нации, этнической группы или страны, у представителей которых не встречался бы остеопороз. Частота остеопороза повышается с возрастом, поэтому увеличение в последние десятилетия продолжительности жизни в развитых странах и, соответственно, увеличение числа пожилых лиц (особенно женщин) ведет к нарастанию частоты остеопороза и превращению этого вида патологии в одну из важнейших медико-биологических проблем здравоохранения во всем мире (рис. 7).
Рис. 7. Ожидаемый рост числа переломов бедра, связанных с остеопорозом, во всех странах мира / Fig. 7. Expected increase in the number of hip fractures associated with osteoporosis in all countries of the world
Каждая третья женщина в климактерическом периоде и более половины лиц в старческом возрасте (старше 75 лет) страдают остеопорозом (рис. 8, 9).
Рис. 8. Деформация костей скелета при остеопорозе у женщин в климактерическом периоде / Fig. 8. Deformation of the bones of the skeleton in osteoporosis in women in menopause
Рис. 9. Остеопороз позвонков и шейки бедра / Fig. 9. Osteoporosis of the vertebrae and femoral neck
Ошибочно полагать, что остеопороз гендерно опосредованное заболевание и мужчины старше 60 лет не сталкиваются с этим видом патологии костей. У мужчин остеопороз встречается реже чем, у женщин, но динамика роста заболевания у обоих полов сопоставима (рис. 10).
Рис. 10. Прогнозируемый рост переломов шейки бедренной кости в РФ с 2010 до 2035 гг. – низкая минеральная плотность костной ткани – наличие остеопороза и остеопении у ближайших родственников / Fig. 10. Projected increase in femoral neck fractures in Russia from 2010 to 2035 – low bone mineral density – the presence of osteoporosis and osteopenia in the next of kin
Различают первичный и вторичный типы остеопороза. Первичный остеопороз, как правило, связан с менопаузой у женщин и старческим возрастом у лиц обоего пола. Вторичный остеопороз является следствием эндокринных заболеваний, болезней почек, печени, системных заболеваний крови, нервной анорексии (отказе от еды), а также химиотерапии и лучевой терапии, вызывающих тяжелые нарушения минерального обмена.
Патогенез. Остеопороз развивается в результате прогрессирования двух патологических процессов:
1) ускоренной резорбции костной ткани при торможении механизмов костеобразования;
2) выраженного уменьшения интенсивности продукции компонентов костной ткани при неизменённой резорбции.
Эти патогенетические механизмы заболевания работают попеременно, сменяя друг друга, что приводит к прогрессирующей потере костной ткани.
Для женщин ведущим фактором остеопороза и динамики его развития является дефицит женских половых гормонов (эстрогенов). В постменопаузе в костной ткани усиливается образование местных гормонов (цитокинов), которые стимулируют активность остеокластов, разрушающих костную ткань, но тормозят работу остеобластов. В результате уменьшения концентрации эстрогенов происходит интенсивная перестройка (ремоделирование) костной ткани и снижение прочности костей.
Диагностика остеопении и остеопороза
Метод рентгенографии информативен только для диагностики переломов, но он не позволяет выявить остеопению и начальные проявления остеопороза.
Рентгеновская абсорбциометрия. По рекомендации ВОЗ, этот метод является «золотым» стандартом обследования на остеопороз и остеопению [4]. В настоящее время используются два вида количественной рентгеновской абсобциометрии.
Двухэнергетическая рентгеновская абсорбциометрия. DEXA, DXA (Dual Energy X-ray Absorptiometry). Этим методом плотность костной ткани определяется как значение плотности, измеряемой в граммах на квадратный сантиметр на уровне поясничных позвонков (L1-L4) или шейки бедра. Для обозначения метода рекомендуется предпочтительное использование термина DXA (не DEXA) (рис. 11).
Рис. 11. Двухэнергетическая рентгеновская абсорбциометрия (DXA) / Fig. 11. Dual Energy X-Ray Absorptiometry (DXA)
DXA – метод обследования позволяет выявить малейшие изменения костной ткани (0,5–0,1%). DXА используют для измерения минеральной плотности костей осевого скелета, периферических участков и дает возможность предсказать риск развития переломов.
Моноэнергетическая рентгеновская абсорбциометрия – MEXA (Mono-Energy X-ray Absorptiometry) – используется для определения МПК периферических отделов скелета, чаще в области лучезапястных суставов (рис. 12).
Рис. 12. Моноэнергетическая рентгеновская абсорбциометрия – MEXA (Mono-Energy X-ray Absorptiometry) / Fig. 12. Mono-Energy X-ray Absorptiometry – MEXA (Mono-Energy X-ray Absorptiometry)
Количественная компьютерная томография – QCT (Quantitative Computed Tomography). В данной методике минеральная плотность костной ткани (МПК) определяется как значение содержания кальция в миллиграммах на кубический сантиметр объема костной ткани в телах позвонков и шейках бедренных костей (рис. 13).
Рис. 13. Количественная компьютерная томография – QCT (Quantitative Computed Tomography) / Fig. 13. Quantitative computed tomography – QCT (Quantitative Computed Tomography)
Ультразвуковая остеоденситометрия – косвенный метод оценки плотности костной ткани, основанный на изменении скорости распространения ультразвуковой волны в кости и окружающих ее тканях.
Рахит и остеомаляция
Рахит – это системное заболевание детей, возникающее из-за несоответствия между потребностями растущего организма в фосфоре и кальции, которое приводит к повреждению развивающегося скелета ребёнка [5]. Одной из ведущих причин заболевания является дефицит витамина D. Под остеомаляцией понимают синдром, который характеризуется постепенным и болезненным размягчением костей в результате нарушения их минерализации. Патология костей связана с изменениями фосфорно-кальциевого обмена, нарушением минерализации органического матрикса костной ткани и расстройствами функций внутренних органов [6].
Основной причиной рахита является недостаточное поступление витамина D с пищей, нарушение его всасывания в толстом кишечнике, а также дефицит ультрафиолетового воздействие на кожу ребёнка. У взрослых среди причин остеомаляции ведущую роль играют нарушения всасывания витамина D, опосредованные хроническими заболеваниями пищеварительного тракта, печени и почек.
Патогенез. При дефиците витамина D в печени уменьшается секреция веществ, которые стимулируют выработку почками активной формы витамина D (кальцитриола). Уменьшение содержания кальцитриола приводит к торможению механизмов транспорта (резорбции) кальция и фосфора из кишечника в кровь. При снижении концентрации кальция в крови активируются паращитовидные железы, гормоны которых активно извлекают соли кальция и фосфора из костей и направляют их в кровоток. Одновременно с этим процессом происходит торможение синтеза гормонов (тиреокальцитонина), способствующих минерализации костей. В результате у ребенка происходит вымывание кальция и фосфора из костей, которое сочетается с нарушением процессов минерализации костной ткани.
Проявления. Различают: ранний рахит – у детей от 3 мес до 1 года; поздний рахит – у детей от 3 до 6 лет; рахит взрослых или остеомаляцию. Для рахита характерна триада изменений: 1) нарушения в зоне роста кости (то есть нарушение превращения хряща в кость) и избыточное образование хряща в этой зоне; 2) чрезмерное накопление костной ткани со стороны хряща и надкостницы; 3) нарушение процесса обызвествления в растущих костях, остеопороз и остеомаляция в связи с уменьшением в костной ткани солей фосфора и кальция.
Ранний рахит характеризуется преимущественным поражением интенсивно растущих отделов скелета. Так, в костях черепа возникают размягчения и остеофиты, в результате чего голова ребёнка приобретает форму четырёхугольной башни. Появляются рахитические чётки и браслетки на ребрах. В трубчатых костях происходит рассасывание костных пластинок, корковый слой срединной части (диафизов) костей истончается, в результате чего они легко искривляются (рис. 14).
Рис. 14. Деформация частей скелета и задержка закрытия большого родничка при рахите / Fig. 14. Deformation of parts of the skeleton and delayed closure of the large fontanel in rickets
Поздний рахит. Основные изменения костей возникают внутри кости. Кости нижних конечностей и таза деформируются, грудина приобретает форму грудного киля птиц – возникает «петушиная грудь».
Остеомаляция (рахит взрослых) характеризуется избыточным образованием неминерализованного органического матрикса (остеоида), что связано с замедлением или прекращения обызвествления новообразованной костной ткани (рис. 15).
Рис. 15. Деформация скелета при остеомаляции (рахит взрослых) / Fig. 15. Deformation of the skeleton in osteomalacia (rickets in adults)
Осложнения рахита – деформация костей и их незаживающие патологические переломы из-за невозможности образования нормальной костной мозоли.
ИНФЕКЦИОННЫЕ ЗАБОЛЕВАНИЯ КОСТЕЙ
Наиболее частым видом патологии в данной группе заболеваний являются острый и хронический остеомиелит [7, 8].
Остеомиелит – воспаление костного мозга и других структурных элементов кости. Заболевание может развиваться в любых костях, но чаще всего поражаются бедренные и большеберцовые кости.
Факторы риска – присутствие в организме эндогенной микрофлоры, острые инфекционные заболевания, гемодиализ, наличие протезного ортопедического аппарата и другие.
Этиология. Причиной заболевания являются прежде всего патогенные микроорганизмы (стафилококки). Возбудители проникают в костный мозг через кровь (гематогенный путь). Остеомиелит бывает острым, иногда молниеносным, и хроническим. Различают острый остеомиелит, вызванный гематогенно (через кровь), после травмы – посттравматический (огнестрельный), ятрогенный (связанный с лечебно-диагностическими действиями медиков). Хронические формы остеомиелита вызываются стафилококками, бациллами туберкулёза, а также возбудителями сифилиса.
Острый гематогенный остеомиелит. Заболевание, как правило, встречается у детей и подростков (8–14 лет). У мальчиков оно возникает в 3–5 раз чаще, чем у девочек. При остром гематогенном остеомиелите поражаются преимущественно длинные трубчатые кости. При остром остеомиелите в костном мозге трубчатых костей возникает очаг воспаления (рис. 16).
Рис. 16. Острый гематогенный остеомиелит голени / Fig. 16. Acute hematogenous osteomyelitis of the leg
В замкнутом пространстве костного мозга происходит повышение внутрикостного давления, которое приводит к прекращению кровоснабжения пораженного участка кости. Нарушение кровоснабжения костного мозга вызывает гибель клеток костного мозга и костной ткани (некроз) и присоединение гнойной инфекции.
Хроническая форма гематогенного остеомиелита развивается как следствие острого гематогенного остеомиелита. При хроническом остеомиелите образуются абсцессы (гнойные скопления) костного мозга, происходит резорбция и секвестрация (отделение части кости) некротизированных участков. Вблизи очага нагноения выражено происходит резкое утолщение кости, её деформация образуются свищи, через которые выделяются небольшие костные секвестры (рис. 17).
Рис. 17. Хронический остеомиелит голени / Fig. 17. Chronic osteomyelitis of lower leg
Осложнения возможны в виде патологических переломов поражённой кости, образования ложных суставов, кровотечения из свищей, вторичного амилоидоза, иногда сепсиса, могут возникать опухоли. Прогноз благоприятный после хирургической санации очага гнойного воспаления.
Хронический остеомиелит огнестрельного происхождения также является осложнением острых форм болезни, которые приобретают характер «эпидемии» в период интенсивных военных действий (рис. 18).
Рис. 18. Хронический огнестрельный остеомиелит бедра. 1 – секвестр; 2 – гнойная полость; 3 – гнойные затеки; 4 – свободный костный осколок; 5 – раневой канал; 6 – регенерирующая костная ткань / Fig. 18. Chronic gunshot osteomyelitis of the thigh. 1 – sequester; 2 – purulent cavity; 3 – purulent streaks; 4 – free bone fragment; 5 – wound channel; 6 – regenerating bone tissue
ЗАБОЛЕВАНИЯ СУСТАВОВ
Болезни суставов (артропатии) протекающие с явлениями воспаления называются артритами. Выделяют несколько групп артритов: инфекционные; аутоиммунные; метаболические. Среди них наиболее сложной проблемой являются заболевания, известные как дистрофические артриты или артрозы (остеоартроз) [9, 10].
Остеоартроз (ОА) – разнородная (гетерогенная) группа заболеваний различного происхождения (этиологии) со сходными проявлением и исходом, в основе которых лежит поражение всех компонентов сустава, в первую очередь хряща, суставной оболочки, связок и других компонентов сустава (рис. 19).
Рис. 19. Остеоартроз тазобедренного сустава (коксартроз) / Fig. 19. Osteoarthritis of the hip joint (coxarthrosis)
Распространенность ОА – самое частое заболевание суставов, которым страдают более 10% населения земного шара. По данным официальной статистики с 2000 по 2010 гг. в Российской Федерации за последние 10 лет число больных ОА увеличилось почти в 2,5 раза.
Патогенез. В развитии ОА ключевую роль играют, вещества (цитокины), которые продуцируют клетки суставных тканей, а также жировая ткань (адипоциты) с избыточной массой тела. Под действием провоспалительных факторов нарушается равновесие между процессами продукции здоровых клеток и их гибелью в сторону преобладания последних, что в конечном итоге приводит к развитию заболевания (рис. 20).
Рис. 20. МРТ моделирование и фронтальный снимок коленного сустава при остеоартрозе / Fig. 20. MRI modeling and frontal image of the knee joint in osteoarthritis
Диагностика. Диагноз – остеоартроз и стадия его развития устанавливается на основании комплексной оценки состояния костной системы. Важнейшую роль в определении тактики лечения больных ОА играют методы лучевой диагностики. Помимо общих принципов ведения больных с ОА созданы обучающие программы, направленные на снижение веса при наличии ожирения, программы аэробных упражнений.
Алгоритм лечения пациентов с ОА включает 4 этапа:
1) использование лекарств, направленных на восстановление целостности хрящевой поверхности суставов являются единственными средствами, которые рекомендуются на основании веских клинических доказательств, включающих безопасность и доказанную эффективность, особенно у пациентов на ранней стадии заболевания.
2) предусматривает назначение лекарств, подавляющих эффекты провоспалительных факторов (цитокинов), пациентам с выраженными клиническими проявлениями, а именно с болевым синдромом или симптоматикой воспаления в тканях сустава. Внутрисуставное введение препаратов требует обоснованных показаний.
3) заключается в курсе медикаментозной терапии перед хирургическим вмешательством. Она включает использование слабых наркотических анальгетиков (опиоидов) или антидепрессантов, эффективность которых доказана у нечувствительных к предыдущей терапии пациентов.
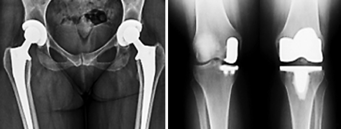
4) хирургическое лечение, в основном представленное тотальным эндопротезированием, а также использование классических опиоидов как единственной альтернативы для пациентов, которым противопоказано хирургическое вмешательство (эндопротезирование и др.). В настоящее время каждому восьмому пациенту с ОА через 13 лет с момента выявления болезни требуется хирургическое лечение – эндопротезирование (рис. 21–23).
Рис. 21. Протезирование коленного сустава при остеоартроза / Fig. 21. Knee replacement for osteoarthritis
Рис. 22. Техника установки импланта в бедренную кость / Fig. 22. Femoral implant placement technique
Рис. 23. Протезирование тазобедренного сустава при остеоартрозе (вверху). Ренгенограммы тазобедренных и коленных суставов после протезирования (внизу) / Fig. 23. Hip replacement for osteoarthritis (above). X-rays of the hip and knee joints after prosthetics (below)
ТРАВМЫ КОСТЕЙ
В мире наметилась тенденция снижения патологии, связанной с повреждениями опорно-двигательного аппарата. По прогнозам ВОЗ в экономически развитых странах число болезней опорно-двигательного аппарата (ОДА), вызванных механическими повреждениями скелета, достигнет своего минимума к 2030 г. Совершенно другая картина наблюдается, например, в Африке. В странах африканского континента абсолютным лидером среди причин травм позвоночника и грудной клетки являются дорожно-транспортные происшествия.
Перелом – полное нарушение целостности кости, вызванное внешним насилием, превышающим пределы её прочности. Выделяют три типа переломов кости: простой, сложный и патологический [11, 12].
Простой (закрытый) перелом, при котором нет сообщения сломанной кости с окружающей средой (рис. 24).
Рис. 24. Виды простых переломов костей / Fig. 24. Types of simple bone fractures
Сложный (открытый) перелом, при котором имеется повреждение мягких тканей в области травмы, а сломанная кость сообщается с окружающей средой (рис. 25).
Рис. 25. Открытый перелом голени / Fig. 25. Open fracture of the leg
Патологический перелом, причиной которого является предсуществующий патологический процесс в кости, например остеопороз. Он возникает в той области кости, которая уже поражена каким-либо патологическим процессом и её прочность значительно снижена (рис. 26).
Рис. 26. Патологический перелом лодыжки при остеопорозе / Fig. 26. Pathological ankle fracture in osteoporosis
Такой перелом возникает спонтанно или при небольшой травме. Заживление патологического перелома происходит очень медленно и зависит от тяжести основного заболевания.
Патогенез переломов складывается из разрыва сосудов кости и окружающих тканей, формирования гематомы (кровоизлияния) между концами сломанной кости и острого воспаления в области перелома. Через 2–3 сут. происходит организация гематомы и формируется грануляционная ткань в области перелома, в результате чего возникает фиброзное соединение концов сломанной кости. Через 2–3 нед в результате миграции из внутреннего слоя надкостницы и эндоста предшественников остеобластов грануляции превращаются в грубоволокнистую кость (первичная костная мозоль). В течение последующих 3 нед происходит резорбция первичной костной мозоли и образования пластинчатой кости (вторичная костная мозоль), которая прочно соединяет отломки кости в месте перелома (рис. 27).
Рис. 27. Схема процесса заживления переломов костей / Fig. 27. Scheme of the healing process of bone fractures
Исходы перелома могут быть неоднозначны. Он может завершиться первичным заживлением в течение 5 нед. без образования массивной костно-хрящевой мозоли и заканчивается реституцией кости. Вторичное заживление перелома происходит при неплотном прилежании отломков друг к другу и их подвижности.
Несросшийся перелом возникает в том случае, когда между отломками кости развивается грубая волокнистая соединительная ткань, а сами концы кости покрываются фиброзной тканью (рис. 28). Эта ткань в последующем способна превращаться в волокнистый хрящ, в котором могут возникать участки некроза с последующим образованием полости, выстланной синовиальными клетками. В конечном итоге, образуется ложный сустав или псевдоартроз.
Рис. 28. Несросшиеся переломы костей голени / Fig. 28. Ununited fractures of the bones of the leg
Современные методы оперативного и консервативного лечения переломов и вывихов (рис. 29–35).
Рис. 29. Устройство для лечения переломов ключицы / Fig. 29. Device for the treatment of fractures of the clavicle
Рис. 30. Ортопедический комплекс для репозиции переломов / Fig. 30. Orthopedic complex for fracture repositions
Рис. 31. Техника остеометаллосинтеза при переломах костей / Fig. 31. Technique of osteometallosynthesis for bone fractures
Рис. 32. Гавриил Абрамович Илизаров, академик РАН, доктор медицинских наук профессор – один из самых известных врачей во всём мире. Благодаря его изобретению и методу лечения (аппарат Илизарова) каждый день врачи во всех городах планеты ставят людей буквально «на ноги». Врач-кудесник или волшебник, так называли его ещё в 70-х годах иностранцы, жил и работал в Кургане / Fig. 32. Gavriil Abramovich Ilizarov, Academician of the Russian Academy of Sciences, Doctor of Medical Sciences Professor – one of the most famous doctors in the world. Thanks to his invention and method of treatment (the Ilizarov apparatus), every day doctors all around the world literally “put people on their feet”. Doctor-magician or magician, as foreigners called him back in the 70s, lived and worked in Kurgan
Рис. 33. Ортопедический операционный стол (слева); ортопедический операционный комплекс (справа) / Fig. 33. Orthopedic operating table (left); orthopedic operating complex (right)
Рис. 34. Ортопедический операционно-диагностический комплекс / Fig. 34. Orthopedic surgical and diagnostic complex
ОРТОПЕДИЧЕСКИЕ ИЗДЕЛИЯ
Ортопедические изделия – это технические средства для лечения больных с заболеваниями и деформациями опорно-двигательного аппарата, черепа, грудной или брюшной стенки. По данным медицинской статистики, именно ортопедическая продукция является наиболее востребованной населением в аптечных сетях [13].
В последнее время для обозначения продукции ортопедического назначения употребляется термин «ортез». Ортез – комплексное понятие, которое включает в себя обширный класс ортопедических приспособлений, назначаемых ортопедами для фиксации и разгрузки позвоночника и суставов после травмы, операции либо при определенном заболевании. Использование ортезов позволяет исправить многие повреждения и деформации опорно-двигательного аппарата. Они также защищают суставы и позвоночник во время спортивных занятий и при повышенных физических нагрузках и, кроме того, снимают болевой синдром, вызванный заболеванием позвоночника или суставов (остеохондроз, артроз, артрит, спондилез и т. д.).
Классификация ортезов. Ортопедические изделия условно разделяются на ортезы для позвоночника, включая фиксаторы шейного отдела; воротники (шины) Шанца; головодержатели жесткой фиксации и бандажи на шейный отдел позвоночника; корректоры осанки (реклинаторы); корсеты для спины, ортопедические подушки и матрацы; компрессионный трикотаж; прочие ортопедические средства.
Ортезы для позвоночника и суставов
Воротник Шанца. Часто при заболеваниях и травмах шейного отдела показано использование воротника Шанца (рис. 35). Это ортопедическое изделие используется для лечения заболеваний шеи – от повреждений мышц и связок до межпозвоночных грыж, а также для реабилитации в послеоперационный период. Воротники отличаются разной жесткостью.
Рис. 35. Воротник Шанца / Fig. 35. Shants Collar
При тяжелом течении болезни, реабилитации после сложных повреждений, операций требуется более жесткий воротник, сильно ограничивающий подвижность шейного сегмента. Для лечения в раннем возрасте используют специальный воротник Шанца для новорожденных. Он имеет специальный выступ, который позволяет ребенку поддерживать голову в правильном положении и обеспечивает коррекцию дефекта позвоночника.
Головодержатели жесткой фиксации (типа Филадельфия). Конструкция головодержателя состоит из двух частей: передней и задней. Части скрепляются между собой ремнями с застежкой (рис. 36).
Рис. 36. Головодержатели жесткой фиксации (типа Филадельфия) / Fig. 36. Rigid fixation head holders (Philadelphia type)
Конструкция головодержателя усилена пластмассовыми накладными стабилизирующими элементами, что обеспечивает разгрузку и стабилизацию шейного отдела позвоночника. Легкие материалы и анатомический профиль создают комфорт в использовании. Они позволяют принимать душ и проводить рентгенологические исследования, не снимая изделия. Показаниями к применению головодержателей являются: последствия травм; стабильные, неосложненные переломы позвонков; состояние после операций на шее; умеренный болевой синдром, обусловленный остеохондрозом, остеопорозом и аномалиями развития; изменение мышц шеи вследствие потери их тонуса.
Корректоры осанки (реклинаторы) – это специальные приспособления, предназначенные для восстановления правильной осанки. Корректоры осанки позволяют осуществлять постепенную ликвидацию нарушений осанки, сводя до минимума неприятные ощущения, обеспечивают полужесткую фиксацию грудного отдела позвоночника, а также нормализуют тонус мышц спины.
Слово «реклинация» произошло от латинского «reclinatio», что означает «отклонение назад». Реклинатор – это устройство, которое благодаря наличию жёстких вставок, при ношении изделия оттягивает плечи назад и придает позвоночнику правильное положение (рис. 37).
Рис. 37. Корректоры осанки (реклинаторы) / Fig. 37. Posture correctors (reclinators)
Особенностью сплавов, из которого изготовлены ребра жесткости реклинаторов, является оптимальное сочетание эластичных и пластичных свойств материала. После придания ребрам жесткости определенной конфигурации, они сохраняют нужную форму, активно восстанавливая нормальную осанку.
Корсеты – ортопедические устройства, предназначенные для фиксации, разгрузки и коррекции деформаций в различных отделах позвоночника (рис. 38).
Рис. 38. Корсет – ортопедический / Fig. 38. Corset – orthopedic
Основу изделия составляет металлический каркас из шин, на котором крепят гильзу корсета. Гильзу изготовляют из кожи, текстильных материалов или пластика. По конструкции различают гильзы сплошные и скелетированные, или окончатые корсеты.
В зависимости от основного целевого назначения и конструктивных особенностей различают несколько видов ортопедических корсетов: грудные, поясничные, пояснично-крестцовые, абдоминальные и др. Основное назначение корсетов – оказать воздействие на искривленный позвоночник с целью его исправления. Все корсеты этой группы, помимо коррекции, в той или иной степени разгружают и поддерживают позвоночник. Например, при сколиозе II–III степени применяют корригирующие функциональные корсеты, которые наряду с исправлением нарушений статики сохраняют максимум функции позвоночника.
Туторы – это приспособления, предназначенные для фиксации суставов конечностей или их сегментов в определенном положении после травмы или оперативных вмешательств. Тутор применяют в случае необходимости исключения активных и пассивных движений в суставе, а также для того, чтобы удержать конечность в физиологическом положении с целью предупреждения развития или рецидива деформации сустава (рис. 39).
Рис. 39. Тутор коленного сустава / Fig. 39. Knee splint
Ортопедические туторы позволяют сокращать сроки реабилитации больных. Это достигается коррекцией изгиба стенок основания устройства по форме травмированной конечности, а также обеспечением регулируемого давления вдоль конечности.
Бандажи – это трикотажные изделия, плотно облегающие сустав и улучшающие его стабильность. Бандажи могут иметь специальные силиконовые вставки для лучшей фиксации надколенника, ремни на липучке и другие элементы. Бандажи для суставов делятся на группы, в зависимости от сустава, для которого они используются. Различают коленные, голеностопные, плечевые, локтевые и лучезапястные бандажи (рис. 40).
Рис. 40. Эластичный бандаж на голеностоп с затяжкой / Fig. 40. Elastic ankle brace with tightening
Ортопедический матрац предназначен для лечения и профилактики различных заболеваний: искривлений позвоночника и остеохондроза, болей в спине, профилактики пролежней и отеков, а также усталости скелетных мышц. Ортопедические матрацы помимо способности принимать очертания тела человека обеспечивают поддержку позвоночнику, препятствуя его искривлению (рис. 41).
Рис. 41. Ортопедический матрац / Fig. 41. Orthopedic mattress
Какое бы положение ни занимал человек во время сна, на ортопедическом матраце его позвоночник не будет прогибаться, межпозвоночные диски, связки, мышцы всегда будут находится в нормальном расслабленном состоянии, сохраняя физиологические изгибы. За счет конструктивных особенностей ортопедического матраца происходит растяжение позвоночника без смещений позвонков и межпозвоночных дисков, а также растяжения мышцы и связок.
Ортопедическая подушка отличается от обычной в первую очередь своей конструкцией и формой, обеспечивающих мягкую и прочную поддержку по всей длине шеи (рис. 42). Такие подушки предназначены для лечения и профилактики различных заболеваний позвоночника и суставов (например, сколиоз, шейный остеохондроз и многие другие заболевания).
Рис. 42. Ортопедическая подушка с эффектом памяти / Fig. 42. Orthopedic pillow with memory effect
Нормальный сон на ортопедической подушке связан с положением головы и шейного отдела позвоночника, при котором не возникают боли в области предплечия и шеи, а также головы.
ЗАКЛЮЧЕНИЕ
Современная травматология и ортопедия стремительно развиваются в направлении уменьшения травматичности хирургических вмешательств, разработки малоинвазивных хирургических технологий и средств для их осуществления. Появляются новые технические средства (для фиксации сломанных костей или для замещения больных или поврежденных суставов), позволяющие наиболее быстро восстанавливать функцию опорно-двигательного аппарата. Последнее обеспечивает возможность активной реабилитации пациента, не дожидаясь сращения сломанной кости или полного приживления искусственного сустава (эндопротеза).
Искусственный протез воспроизводит естественный сустав, в нем также находится пара трущихся поверхностей, т.н. «пара трения» эндопротеза. Для снижения коэффициента трения в искусственном суставе и предотвращения раннего изнашивания его компонентов в современных конструкциях используются такие материалы, как: композитная керамика на основе окиси алюминия и окиси циркония; сверхвысокомолекулярный полиэтилен, насыщенный антиоксидантами (витамином «Е»), металлокерамика («оксиниум»).
Совершенствование ортезов идет в направлении создания 3D-печатных конструкций, а также разработки технологий их применения в остром периоде патологии костей и суставов.
Главным плюсом технологии 3D-печатных конструкций является низкая стоимость материала и низкая себестоимость самой модели. Модель ортеза формируется с помощью послойного нанесения расплавленной пластиковой нити (рис. 43). В ведущих фирмах, производителях ортезов от сканирования конечности до производства ортопедического устройства проходит от 15 до 30 мин. Это достигается специальным креплением камеры на iPad и разработкой программного обеспечения – приложения. Конечность пациента фотографируется со всех сторон, и литая пространственная модель формируется за считанные секунды. Таким образом, отпадает необходимость более длительного отдельного 3D-сканирования и моделирования. В конструкции ортезов используются якорные точки, называемые уплотнительными кольцами. Они позволяют повторно отливать одну и ту же модель несколько раз, что делает продукт многоразовым.
Рис. 43. 3D-печатные ортезы / Fig. 43. 3D printed orthoses
На текущий период большинство ортопедических средств предназначено для использования только в поздние сроки восстановительного периода с целью закрепления полученного эффекта от специализированных методов лечения. Вместе с тем имеются единичные сообщения о положительном опыте применении ортезов в раннем периоде лечения детей с компрессионными переломами. Однако модели лечебных ортопедических изделий и методология их применения в острый период заболеваний опорно-двигательного аппарата у взрослых и детей до сих пор являются предметом научных исследований.
作者简介
Alexander Tyukavin
Saint Petersburg Chemical and Pharmaceutical University of the Ministry of Health of the Russian Federation
编辑信件的主要联系方式.
Email: alexander.tukavin@pharminnotech.com
Doctor of Medicine (MD), Professor, Head of the Department of Physiology and Pathology
俄罗斯联邦, Saint PetersburgAlexander Solomennikov
Saint Petersburg Chemical and Pharmaceutical University of the Ministry of Health of the Russian Federation
Email: aleksandr.solomennikov@pharminnotech.com
Doctor of Medicine (MD), Professor of the Department of Physiology and Pathology
俄罗斯联邦, Saint PetersburgSergei Umarov
Saint Petersburg Chemical and Pharmaceutical University of the Ministry of Health of the Russian Federation
Email: sergei.umarov@pharminnotech.com
ORCID iD: 0000-0003-0771-6143
Doctor of Pharmacy, Professor, Head of the Department of Medical and Pharmaceutical Commodity Science
俄罗斯联邦, Saint Petersburg参考
- Pathology / A. I. Tyukavin, A. G. Vasiliev, T. D. Vlasov [and others]. – Moscow: Limited Liability Company “Scientific Publishing Center INFRA-M”, 2020. – 844 p. – (Higher education: Specialist). – ISBN 978-5-16-016260-7. – doi: 10.12737/1090595. (In Russ.).
- Hereditary metabolic diseases / R. N. Mustafin, E. V. Saifullina, S. Sh. Murzabayeva [and others]. – Ufa: Bashkir State Medical University, 2020. – 89 p. (In Russ.).
- Verbovoy A. F. Osteoporosis: the current state of the problem / A.F. Verbovoy, A.V. Pashentseva, L.A. Sharonova // Therapeutic archive. – 2017. – T. 89, No. 5. – S. 90–97. – doi: 10.17116/terarkh201789590-97. (In Russ.).
- Osteoporosis: diagnosis, prevention and treatment / ed. O. M. Lesnyak, L. I. Benevolensky. – 2nd ed., revised. and additional. – Moscow: GEOTAR-Media, 2009. – (Clinical recommendations / Russian assoc. on osteoporosis). – ISBN 978-5-9704-0954-1. (In Russ.).
- Botkina A. S. Rickets in young children: new about the old / A. S. Botkina // Pediatric practice. – 2016. – No. 4. – P. 4–10. (In Russ.).
- Avrunin A. S. Osteoporosis and osteomalacia – clinical and diagnostic problems / A. S. Avrunin // Traumatology and Orthopedics of Russia. – 2014. – No. 4 (74). – S. 68–76. (In Russ.).
- Stogov M. V., Leonchuk D. S., Kljushin N. M., Tushina N. V. Laboratornye kriterii monitoringa patologicheskogo processau bol’nyh s hronicheskim osteomielitom goleni na jetapah vosstanovitel’nogo lechenija // Genij ortopedii. 2017. – T. 23. – № 3. – S. 346–350. doi: 10.18019/1028-4427-2017-23-3-346-350. (In Russ.).
- Kotel’nikov G. P. Travmatologija. Nacional’noe rukovodstvo / pod red. G. P. Kotel’nikova, S. P. Mironova. – Moskva : GJeOTAR-Media, 2017. – 528 s. – ISBN 978-5-9704-4221-0. – Tekst : jelektronnyj // URL : https://www.rosmedlib.ru/book/ISBN9785970442210.html. (In Russ.).
- Zagorodnij N. V. Jendoprotezirovanie tazobedrennogo sustava. Osnovy i praktika : rukovodstvo / Zagorodnij N. V. – Moskva: GJeOTAR-Media, 2012. – 704 s. – ISBN 978-5-9704-2225-0. – Tekst: jelektronnyj // URL : https://www.rosmedlib.ru/ book/ISBN9785970422250.html. (In Russ.).
- Zorya V. I. Deforming arthrosis of the knee joint: a guide for doctors / V. I. Zorya, G. D. Lazishvili, D. E. Shpakovsky; V. I. Zorya, G. D. Lazishvili, D. E. Shpakovsky. – Moscow: Litterra, 2010. – 320 p. – ISBN 978-5-904090-76-0. (In Russ.).
- Comprehensive treatment of a patient with multiple vertebral fractures in the thoracic spine / S. V. Vissarionov, I. V. Pavlov, M. G. Gusev, G. A. Lein // Traumatology and Orthopedics of Russia. – 2012. – No. 2 (64). – S. 91–95. (In Russ.).
- First aid for bruises, dislocations and fractures: Educational and practical guide. - Kurgan: Kurgan State University, 2016. – 100 p. – ISBN 978-5-4217-0350-1. (In Russ.).
- Epifanov V. A. Reabilitacija v travmatologii i ortopedii / V. A. Epifanov, A. V. Epifanov. – 2-e izd., pererab. i dop. – Moskva : GJeOTAR-Media, 2015. – 416 s. – ISBN 978-5-9704-3445-1. – Tekst : jelektronnyj // URL: https://www.rosmedlib.ru/book/ISBN9785970434451.html. (In Russ.).
补充文件














































