Investigation of the properties and activity of DfCas9 and DsCas9 nucleases in eucaryotic cells
- Authors: Vlasova Y.V.1, Madera D.A.1, Gershovich P.M.1
-
Affiliations:
- BIOCAD JSC
- Issue: Vol 3, No 3 (2021)
- Pages: 10-23
- Section: Pharmaceutical Sciences
- URL: https://journals.eco-vector.com/PharmForm/article/view/80850
- DOI: https://doi.org/10.17816/phf80850
- ID: 80850
Cite item
Full Text
Abstract
This study is focused on the two novel nucleases of the CRISPR/Cas9 family, which were found in bacterial genomes of DfCas9 (Defluviimonas sp) и DsCas9 (Demequina sediminicola). Discovery of these nucleases was part of the results of a joint study conducted by BIOCAD together with Skoltech Institute of Science and Technology and Saint-Petersburg Polytechnical University (SPPU) under a grant agreement with the Department of Science and Education of Russian Federation (Agreement number 14.606.21.0006 from September, 26th 2017). Under the agreement the nucleases DfCas9 and DsCas9 were characterized in vitro by Skoltech and SPPU.
Based on the aforementioned results, in this study we characterized the genome-modifying nuclease activity of these enzymes in a mammalian cell line HEK293. Specifically, we created genetic constructs designed to express the nucleases DsCas9 and DfCas9 together with the necessary guide RNA molecules (sequences of the guide RNAs were described previously) [1]. We demonstrated expression of the nucleases on a protein level, as well as activity of DfCas9 at the VEGF2 locus in HEK293 cells. The theoretical study was conducted by analyzing international and national literature. The experimental part was performed with a restriction-ligation cloning method, transient transfections, Western blot protein detection method, and a T7 nuclease-based method of detection of heteroduplex double-stranded DNA.
Full Text
СОКРАЩЕНИЯ:
CRISPR/Cas9 – кластеризованные, регулярно разделенные, короткие палиндромные повторы/CRISPR- ассоциированный белок 9 (Сlusters of Regularly Interspced Short Palindromic Repeats/CRISPR Associated Protein 9);
DfCas9 – нуклеаза Defluviimonas sp;
DsCas9 – нуклеаза Demequina sediminicola;
Сколтех – Сколковский институт науки и технологий;
СПбПУ – Санкт-Петербургский политехнический университет им. Петра Великого;
HEK293 – клеточная линия, полученная из эмбриональных почек человека (Human Embryonic Kidney 293);
РНК – рибонуклеиновая кислота;
ДНК – дезоксирибонуклеиновая кислота;
SpCas9 – нуклеаза, выделенная из генома Streptococcus pyogenes;
ZFN – нуклеаза, содержащая домен «цинковый палец» (Zinc Finger Nuclease);
TALE – Transcriptional Activator-Like Effector;
п.н. – пары нуклеотидов;
AAV – аденоассоциированные вирусы (Adeno-Associated Viruses);
ORF – открытая рамка считывания (open reading frame);
SaCas9 – нуклеаза, выделенная из генома Staphylococcus aureus;
PAM – прилежащий к протоспейсеру мотив (Protospacer Adjacent Motif);
NEB – биотехнологическая компания New England Biolabs, США;
QIAGEN – компания, разрабатывающая и производящая оборудование и расходные материалы для молекулярной диагностики, научных и фармацевтических исследований;
ПЦР – полимеразная цепная реакция;
tracrRNA – транс-активирующая РНК (Trans-Activating CRISPR RNA);
crRNA – CRISPR-ассоциированная РНК (CRISPR RNA);
GFP – зеленый флуоресцентный белок;
T7EI – Т7 эндонуклеаза I (T7 Endonuclease I);
ЭДТА – этилендиаминтетрауксусная кислота;
NIH – Национальные институты здравоохранения США;
VEGF – эндотелиальный фактор роста сосудов (Vascular Endothelial Growth Factor);
GRIN2B – NR2B-субъединица глутаматного NMDA-рецептора (Glutamate receptor, ionotropic, N-methyl D-aspartate 2B);
УФ – ультрафиолет;
sgRNA – одиночная направляющая РНК (Single Guide RNA);
NGS – секвенирование следующего поколения (Next-Generation Sequencing);
Mre11 – белок мейотической рекомбинации 11 (Meiotic Recombination 11).
ВВЕДЕНИЕ
Генная терапия – перспективное направление лечения наследственных заболеваний, основанное на восстановлении экспрессии поврежденных в результате мутаций генов. Одним из направлений генной терапии является редактирование генома, направленное на исправление мутаций в молекулах ДНК, в результате которых возникают те или иные наследственные заболевания.
На сегодняшний день существует ряд инструментов для редактирования генома, таких как ZFN, TALE и CRISPR/Cas9. Каждая из платформ обладает своими преимуществами и недостатками. Наиболее перспективной и часто используемой для редактирования генома платформой является система на основе геномных нуклеаз семейства CRISPR/Cas9. Эта система имеет ряд достоинств, таких как высокая геномная активность многих нуклеаз семейства, высокая специфичность и относительно низкая клеточная токсичность.
Наиболее широко используемым белком семейства Cas9 является нуклеаза, выделенная из генома Streptococcus pyogenes. Данная геномная нуклеаза уже не раз показывала свою эффективность и достаточно часто встречается в работах, связанных с редактированием генома [2]. Но наряду со своей высокой эффективностью SpCas9 имеет и недостатки. Один из них – ее большая молекулярная масса и, следовательно, длина кодирующей ее генетической открытой рамки считывания, которая составляет более 4000 пар нуклеотидов. В результате возможность доставки гена данной нуклеазы с помощью аденоассоциированных вирусов ограничена, поскольку предельный размер генома аденоассоциированного вируса составляет ~4,7 тыс. п.н., и, помимо ORF для нуклеазы, этот геном должен содержать еще регуляторные последовательности для экспрессии нуклеазы и регуляторные последовательности вирусного генома. Еще одним важным недостатком является то, что нуклеаза имеет недостаточную для терапевтического применения специфичность.
Из-за этих недостатков ведется поиск новых нуклеаз, которые имеют меньший размер и являются более точными и эффективными. Так, в научной литературе можно встретить нуклеазу Staphylococcus aureus, ген которой короче SpCas9 примерно на 1000 пар нуклеотидов [3]. Помимо SaCas9 в ряде работ встречаются нуклеазы NmeCas9 (Neisseria meningitidis), CjCas9 (Campylobacter jejuni) и т.д. [4].
Перечисленные нуклеазы имеют меньший размер по сравнению с SpCas9 и обладают высокой специфичностью, но не лишены своих недостатков. Многие из них имеют сложную PAM-последовательность (что затрудняет таргетирование), менее активны и/или на их использование имеются патентные ограничения. Исходя из этого, существует запрос на поиск новых нуклеаз небольшого размера, при этом обладающих высокой активностью и точностью.
Поэтому компанией ЗАО «БИОКАД», совместно со Сколковским институтом науки и технологии, а также Санкт-Петербургским политехническим университетом Петра Великого, в рамках работ по гранту Министерства образования и науки РФ в течение трех лет (соглашение №14.606.21.0006 от 26 сентября 2017 г.) проводился поиск малоразмерных ортологов SpCas9. Сколтех совместно с СПбПУ бионформатическими методами обнаружили новые малоразмерные нуклеазы, найденные в бактериях: DfCas9 и DsCas9, охарактеризовали эти нуклеазы in vitro (определили PAM-последовательности для данных нуклеаз, последовательности направляющих РНК), а также показали, что эти белки проявляют нуклеазную активность в отношении двуцепочечной ДНК in vitro.
МАТЕРИАЛЫ И МЕТОДЫ
Клонирование генетических конструкций с нукле- азами DfCas9 и DsCas9
Плазмиды для экспрессии изучаемых нуклеаз и необходимых направляющих (гидовых) РНК были получены методом рестрикции и лигирования. Для этого после передачи плазмид с нуклеазами DfCas9 и DsCas9 Сколтехом был разработан дизайн и заказаны олигонуклеотиды с сайтами рестрикции NotI и EcoRI на 5’-концах.
Плазмиду CMV-MCS-T2A-GFP-poly(A)-MCS-sgRNA (ЗАО «БИОКАД») линеаризовали эндонуклеазами NotI и EcoRI (NEB, США) при +37 ℃ в течение двух часов. После линеаризации вектор обрабатывали 10 ед. кишечной щелочной фосфатазы теленка (NEB, США) при +37 ℃ в течение 30 мин. Затем разгоняли ДНК в 1% агарозном геле и фрагмент необходимого размера очищали от геля с использованием набора для очистки фрагментов ДНК из агарозного геля QIAquick Gel Extraction Kit (QIAGEN, Германия).
Последовательности нуклеаз DfCas9 и DsCas9 амплифицировали с помощью ПЦР с использованием ДНК-полимеразы Phusion Polymerase (NEB, США). Ампликоны разделяли в 1% агарозном геле, очищали их, после чего обрабатывали их рестриктазами NotI и EcoRI (NEB, США) при +37 ℃ в течение двух часов. Далее очищали фрагменты ДНК с помощью коммерческого набора QIAquick PCR Purification Kit (QIAGEN, США). Полученные ампликоны лигировали с разрезанной плазмидой CMV-MCS-T2A-GFP-poly(A)-MCS-sgRNA, описанной выше, с использованием Т4 ДНК лигазы (NEB, США). Расчет количества ампликонов и вектора производился в NEBioCalculator (NEB, США). Инкубировали лигазную смесь при +25 ℃ в течение часа, после чего трансформировали в компетентные клетки E. сoli штамма NEB Stable (NEB, США).
Трансформированные клетки высевали на чашки с агаром Лурия-Бертани с добавлением ампициллина (100 мкг на 1 литр готовой среды) и инкубировали при +37 ℃ в течение 16 часов. Затем проводили анализ бактериальных клонов на наличие пДНК, содержащей целевую вставку, с помощью TaqM ДНК-полимеразы (Алкор Био, Россия).
Положительные клоны засевали в жидкую среду Лурия- Бертани с добавлением ампициллина и инкубировали при +37 ℃ в течение ночи. Выделяли плазмидную ДНК с использованием набора QIAprep Spin Miniprep Kit (QIAGEN, США).
После получения генетических конструкций проверяли последовательности с помощью секвенирования по Сенгеру с использованием секвенатора 3100 Genetic Analyzer (Applied Biosystems, США) и набора BigDye Terminator v3.1 Sequencing Kit (Thermo Fisher Scientific, США).
Клонирование плазмидных векторов с направляющими (гидовыми) РНК
Полученные плазмиды CMV-DfCas9-T2A-GFP-poly(A)-MCS-sgRNA и CMV-DsCas9-T2A-GFP-poly(A)-MCS-sgRNA (ЗАО «БИОКАД») линеаризовали эндонуклеазами XbaI и AvrII (NEB, США) при +37 ℃ в течение двух часов. После линеаризации вектора обрабатывали 10 ед. кишечной щелочной фосфатазы теленка (NEB, США) при +37 ℃ в течение 30 мин. Затем разгоняли ДНК в 1% агарозном геле и фрагмент необходимого размера очищали от геля с использованием набора для очистки фрагментов ДНК из агарозного геля QIAquick Gel Extraction Kit (QIAGEN, США).
Последовательности tracrRNA имеют небольшой размер (~110 п.н), поэтому были заказаны в виде ампликонов с сайтами рестрикции XbaI и AvrII (см. табл. 1).
Табл. 1. Перечень ампликонов, используемых при клонировании tracrRNA / Table 1. List of amplicons used in the cloning of tracrRNA
Название праймера | Последовательность от 5' → 3' |
DsCas9-T2A-GFP-tracrRNA-MCS-sgRNA2-MCS | |
Amlicon_DsCas9_ tracrRNA | AAAGGACGAGCTAGCGCCTATCGCTCTGGGAAATGGGCTC TGCCGCTAACAAGGAGAAACTTGTTGGATCAGGACTCCACA AGATGAGACGGCTCCCTCGTGGGGCCGTTTTCTTTTTTTTTT TCTAGGCGCATTTCTCGAGTCTAGAAGGT |
DfCas9-T2A-GFP-tracrRNA-MCS-sgRNA2-MCS | |
Amlicon_DfCas9_ tracrRNA | AAAGGACGAGCTAGCGTCCTAGCAGAAGAAGCGGCGTGGTCTTTCC CGCGATAAGGTTAAAACCACACCATTGGGGCAGGCTGCGGCCT GCCCCATCTGTTTTTTTTTCTAGGCGCATTTCTCGAGTCTAG |
После получения ампликоны обрабатывали рестриктазами XbaI и AvrII (NEB, США) при +37 ℃ в течение двух часов. Далее очищали фрагменты ДНК с помощью коммерческого набора QIAquick PCR Purification Kit (QIAGEN, США). Полученные ампликоны лигировали с порезаными плазмидами CMV-DfCas9-T2A-GFP-poly(A)-MCS-sgRNA и CMV-DsCas9-T2A-GFP-poly(A)-MCS-sgRNA с использованием Т4 ДНК лигазы (NEB, США). Остальные этапы клонирования аналогичны методике получения плазмидных вектров с нуклеазами DfCas9 и DsCas9.
После получения и верификации конструкций CMV-DfCas9-T2A-GFP-poly(A)-tracrRNA-sgRNA и CMV-DsCas9-T2A-GFP-poly(A)-tracrRNA-sgRNA линеаризововали их по эндонуклеазам рестрикции NheI и AvrII так, как они будут выступать в качестве вектора для клонирования crRNA. Выделение и очистку векторов проводили с помощью горизонтального электрофореза с последующей очисткой коммерческим набором.
Последовательности crRNA имеют размер менее 60 п.н., что не позволяет заказать их в виде ампликона или амплифицировать. Поэтому нами были заказаны длинные олигонуклеотиды, содержащие эти последовательности и сайт рестрикции NheI. С этими праймерами проводили ПЦР с помощью ДНК-полимеразы Phusion Polymerase (NEB, США) (табл. 2).
Табл. 2. Перечень праймеров используемых для амплификации crRNA / Table 2. LList of primers used for crRNA amplification
Название праймера | Последовательность от 5’ → 3’ |
DfCas9-T2A-GFP-tracrRNA-sgVEGF1 | |
U6-2_Dop.Pr_F | TTTTTCTAGGCGCATTTCTCGAGTCTAG |
Df-VEGF1.R | GGATCCCCTAGGAAAAAAGAAGCGGCGTGGCCAAGCCCGGACCTCTGCTCT GCGAGTGCTGGGCATGCTCGTCCTTTCCAC |
DfCas9-T2A-GFP-tracrRNA-sgVEGF2 | |
U6-2_Dop.Pr_F | TTTTTCTAGGCGCATTTCTCGAGTCTAG |
Df-VEGF2.R | GGATCCCCTAGGAAAAAAGAAGCGGCGTGGCCAAGCCCGGACCCCCTTC TTGGGGGCTTTGTGCATGCTCGTCCTTTCCAC |
DfCas9-T2A-GFP-tracrRNA-sgVEGF3 | |
U6-2_Dop.Pr_F | TTTTTCTAGGCGCATTTCTCGAGTCTAG |
Df-VEGF3.R | GGATCCCCTAGGAAAAAAGAAGCGGCGTGGCCAAGCCCGGACCCTGACA CACCGAAACAGCAGCATGCTCGTCCTTTCCAC |
DfCas9-T2A-GFP-tracrRNA-sgVEGF4 | |
U6-2_Dop.Pr_F | TTTTTCTAGGCGCATTTCTCGAGTCTAG |
Df-VEGF4.R | TTGTGGAAAGGACGAGCATGCCTGGCTGTTCGTTTAGGATGGTCCGGGC TTGGCCACGCCGCTTCTTTTTTCCTAGGGGATCCA |
DfCas9-T2A-GFP-tracrRNA-sgVEGF5 | |
U6-2_Dop.Pr_F | TTTTTCTAGGCGCATTTCTCGAGTCTAG |
Df-VEGF5.R | GGATCCCCTAGGAAAAAAGAAGCGGCGTGGCCAAGCCCGGACCTGGGGG CGAGATGCGCGTGGCATGCTCGTCCTTTCCAC |
DfCas9-T2A-GFP-tracrRNA-sgGRIN2B1 | |
U6-2_Dop.Pr_F | TTTTTCTAGGCGCATTTCTCGAGTCTAG |
Df-GRIN2B1.R | GGATCCCCTAGGAAAAAAGAAGCGGCGTGGCCAAGCCCGGACACTGCCGG ACATCACCACCAGCATGCTCGTCCTTTCCAC |
DfCas9-T2A-GFP-tracrRNA-sgGRIN2B2 | |
U6-2_Dop.Pr_F | TTTTTCTAGGCGCATTTCTCGAGTCTAG |
Df-GRIN2B2.R | GGATCCCCTAGGAAAAAAGAAGCGGCGTGGCCAAGCCCGGACTCATTGAC TTCTAAATGCATGCATGCTCGTCCTTTCCAC |
DfCas9-T2A-GFP-tracrRNA-sgGRIN2B3 | |
U6-2_Dop.Pr_F | TTTTTCTAGGCGCATTTCTCGAGTCTAG |
Df-GRIN2B3.R | AAATGGATCCCCTAGGAAAAAAGAAGCGGCGTGGCCAAGCCCGGACACCT CCTCCCCCCATCTTCAGCATGCTCGTCCTTTCCACA |
DfCas9-T2A-GFP-tracrRNA-sgGRIN2B4 | |
U6-2_Dop.Pr_F | TTTTTCTAGGCGCATTTCTCGAGTCTAG |
Df-GRIN2B4.R | AAATGGATCCCCTAGGAAAAAAGAAGCGGCGTGGCCAAGCCCGGACCT TGGCTTCCCAATTTAAGTGCATGCTCGTCCTTTCCACA |
DfCas9-T2A-GFP-tracrRNA-sgGRIN2B5 | |
U6-2_Dop.Pr_F | TTTTTCTAGGCGCATTTCTCGAGTCTAG |
Df-GRIN2B5.R | GATCCCCTAGGAAAAAAGAAGCGGCGTGGCCAAGCCCGGACACGAGG ATGACAGCAATGCCGCATGCTCGTCCTTTCCACA |
DsCas9-T2A-GFP-tracrRNA-sgVEGF1 | |
U6-2_Dop.Pr_F | TTTTTCTAGGCGCATTTCTCGAGTCTAG |
DsCas9-VEGF1.R | ATGGATCCCCTAGGAAAAAAAGCCTATCGCTCTGGGAAATGAGCTCTGGCC GCAACTAAAAATAAATATGTACTACGCATGCTCGTCCTT |
DsCas9-T2A-GFP-tracrRNA-sgVEGF2 | |
U6-2_Dop.Pr_F | TTTTTCTAGGCGCATTTCTCGAGTCTAG |
DsCas9-VEGF2.R | ATGGATCCCCTAGGAAAAAAAGCCTATCGCTCTGGGAAATGAGCTCTGGCC GCAACTTAAAGAATTTAATTCTGATGCATGCTCGTCCTTTCCACAAG |
DsCas9-T2A-GFP-tracrRNA-sgVEGF3 | |
U6-2_Dop.Pr_F | TTTTTCTAGGCGCATTTCTCGAGTCTAG |
DsCas9-VEGF3.R | GGATCCCCTAGGAAAAAAAGCCTATCGCTCTGGGAAATGAGCTCT GGCCGCAACCAAGATCCGCAGACGTGTAAGCATGCTCGTCCTTTCCACA |
DsCas9-T2A-GFP-tracrRNA-sgVEGF4 | |
U6-2_Dop.Pr_F | TTTTTCTAGGCGCATTTCTCGAGTCTAG |
DsCas9-VEGF4.R | ATGGATCCCCTAGGAAAAAAAGCCTATCGCTCTGGGAAATGAGCTCT GGCCGCAACCAAACAAATGCTTTCTCCGCGCATGCTCGTCCTT |
DsCas9-T2A-GFP-tracrRNA-sgVEGF5 | |
U6-2_Dop.Pr_F | TTTTTCTAGGCGCATTTCTCGAGTCTAG |
DsCas9-VEGF5.R | ATGGATCCCCTAGGAAAAAAAGCCTATCGCTCTGGGAAATGAGCTCT GGCCGCAACTTTGTGTGTATATATATATAGCATGCTCGTCCTT |
DsCas9-T2A-GFP-tracrRNA-sgGRIN2B1 | |
U6-2_Dop.Pr_F | TTTTTCTAGGCGCATTTCTCGAGTCTAG |
DsCas9-GRIN2B1.Rev | ATGGATCCCCTAGGAAAAAAAGCCTATCGCTCTGGGAAATGAGCTCT GGCCGCAACGAATCTTTTGCTCCCAAGTGGCATGCTCGTCCTTTCCACA |
DsCas9-T2A-GFP-tracrRNA-sgGRIN2B2 | |
U6-2_Dop.Pr_F | TTTTTCTAGGCGCATTTCTCGAGTCTAG |
DsCas9-GRIN2B2.Rev | ATGGATCCCCTAGGAAAAAAAGCCTATCGCTCTGGGAAATGAGCTCT GGCCGCAACAGTGGTCCAGGTAGCCATGCGCATGCTCGTCCTTTCCACA |
DsCas9-T2A-GFP-tracrRNA-sgGRIN2B3 | |
U6-2_Dop.Pr_F | TTTTTCTAGGCGCATTTCTCGAGTCTAG |
DsCas9-GRIN2B3.Rev | ATGGATCCCCTAGGAAAAAAAGCCTATCGCTCTGGGAAATGAGCTCT GGCCGCAACCTTGTAGTTTAATATTAAGAGCATGCTCGTCCTTTCCACAAG |
DsCas9-T2A-GFP-tracrRNA-sgGRIN2B4 | |
U6-2_Dop.Pr_F | TTTTTCTAGGCGCATTTCTCGAGTCTAG |
DsCas9-GRIN2B4.Rev | ATGGATCCCCTAGGAAAAAAAGCCTATCGCTCTGGGAAATGAGCTCTGG CCGCAACGGCAAAATAATTGACATGAAGCATGCTCGTCCTTTCCACA |
DsCas9-T2A-GFP-tracrRNA-sgGRIN2B5 | |
U6-2_Dop.Pr_F | TTTTTCTAGGCGCATTTCTCGAGTCTAG |
DsCas9-GRIN2B5.Rev | ATGGATCCCCTAGGAAAAAAAGCCTATCGCTCTGGGAAATGAGCTCTGG CCGCAACTTCCAATATGTGTTCTATTAGCATGCTCGTCCTTTCCACA |
Полученные фрагменты разгоняли в 1,5% агарозном геле, после чего полосы нужного размера вырезали и выделяли с помощью коммерческого набора QIAquick Gel Extraction Kit (QIAGEN, США). Обрабатывали рестриктазами NheI и AvrII (NEB, США) при +37 ℃ в течение двух часов. Далее очищали фрагменты ДНК с помощью коммерческого набора QIAquick PCR Purification Kit (QIAGEN, США) и лигировали с подготовленными векторами CMV-DfCas9-T2A-GFP-poly(A)-tracrRNA-sgRNA и CMV-DsCas9-T2A-GFP-poly(A)-tracrRNA-sgRNA. Остальные этапы клонирования аналогичны методике получения плазмидных вектров с нуклеазами DfCas9 и DsCas9.
Постановка транзиентной трансфекции клеток HEK293
После получения всех конструкций была произведена подготовка для транзиентной трансфекции в модельные клетки HEK293, которые выращивали на питательной среде Gibco DMEM, high glucose, GlutaMAX Supplement, HEPES с 10% инактивированной сывороткой FBS (Thermo Fisher Scientific, США).
Перед трансфекцией плазмиды пастеризовали при +80 ℃ в течение 20 минут. За день до постановки трансфекции высеяли клетки на 6-ти луночный планшет, по 400 тыс. клеток на лунку. Через пять часов мы наблюдали прикрепление клеток ко дну лунок и формирование характерной морфологии для данной клеточной линии. На следующий день провели трансфекцию липофектамином 3000 (Thermo Fisher Scientific, США) по протоколу производителя. Через 72 часа после трансфекции производили оценку уровня экспрессии GFP с помощью микроскопа ZEISS Primovert (Carl Zeiss, Германия) и проточного цитофлюориметра Guava EasyCyte HT (Merck, Германия).
После оценки уровня экспрессии GFP образы клеток центрифугировали при 1000 об/мин (revolutions per minute, rpm) в течение десяти минут в центрифуге Eppendorf, 5417 R (Eppendorf, Германия). Слили супернатант и поместили образцы на 80 °С для последующего выделения геномной ДНК с помощью коммерческого набора DNeasy Blood & Tissue Kit (QIAGEN, США).
Оценка экспрессии нуклеаз DfCas9 и DsCas9 в клетках эукариот методом Western Blot
Клеточные осадки, размороженные на льду и отмытые раствором Хенкса, лизировали с помощью лизирующего буфера (RIPA buffer 1Х, Merck, Германия) с добавлением смеси ингибиторов протеаз (Protease Inhibitor Cocktail, Merck, Германия) при +4 ℃ в течение 30 мин. Далее центрифугировали 20 мин при 12000 rpm. Супернатант смешали с буфером для нанесения Pierce™ Lane Marker Reducing Sample Buffer (Thermo Fisher Scientific, США) и поставили в твердотельный термостат (BioSan, Латвия) на +100 ℃ в течение трех минут.
Приготовили камеру для белкового электофореза/WB (Bio-rad, США), полиакриламидный гель для электрофореза белков Mini-PROTEAN® TGX (Bio-Rad, США), установили в электрофорезную камеру. Внесли образцы и маркер молекулярных масс белков Spectra™ Multicolor Broad Range Protein Ladder (Thermo Fisher Scientific, США) в лунки и подключили электроды к блоку питания. После окончания электрофореза достали гель и разделили на две части. Одна часть была использована для Western Blot, другую окрасили раствором белкового красителя Coumassie blue (Thermo Fisher Scientific, США).
Собрали кассету для Western Blot и подключили к источнику питания со следующими показателями: 60 В, 1 ч 20 мин. После переноса отмыли мембрану PVDF Membrane Filter Paper Sandwich 0,2 µm Pore Size (Thermo Fisher Scientific, США) (1X TBST и 1% раствор сухого молока). Затем инкубировали с первичными антителами Monoclonal ANTI-FLAG® M2-Peroxidase antibody produced in mouse (Merck, Германия). Для проявления смешали в равных объемах реагенты Clarity Western Peroxide Reagent (Bio-rad, США) и Clarity Western Luminol/Enhancer Reagent (Bio-Rad, США) и нанесли смесь реагентов на мембрану. Далее поместили в трансиллюминатор FluoroChem 8800 (Alpha Innotech Corporation, Германия) для оценки результатов Western Blot.
Оценка активности нуклеазы DfCas9 и DsCas9 с помощью Т7 эндонуклеазы.
Нуклеазы DfCas9 и DsCas9, предположительно, будут вносить двухцепочечный разрыв в молекулу ДНК. Целевые сайты разрывов выбрали заранее, поэтому с полученной геномной ДНК проводили амплификацию с использованием праймеров (см. табл. 3), подобранных специально на выбранные локусы, поставили амплификацию с использованием Q5 Hot Start High-Fidelity DNA Polymerase (NEB, США).
Табл. 3. Перечень праймеров используемых для амплификации целевых сайтов разрывов / Table 3. List of primers used for amplification of target break sites
Out Primers Name (Forward) | Out Primers sequence (Reverse) | Product length |
DfCas9-VEGF1_T7.F TGCTAACACCGCAAGTTCCT | DfCas9-VEGF1_T7.R CCTGGGGGAGAACCACATTT | 949(529/420) |
DfCas9-VEGF2_T7.F GTGGTCCCAGGTCGTTTCC | DfCas9-VEGF2_T7.R ACGGGGGCCAAAAAGTACA | 901(242/659) |
DfCas9-VEGF3_T7.F GTGGCCCTGACTTTAGCACT | DfCas9-VEGF3_T7.R GCCCAAGAGAACACACCTCA | 917(263/654) |
DfCas9-VEGF4_T7.F GCTGAGAAGCTGAAAGCCGA | DfCas9-VEGF4_T7.R GCCACAAGAACATTGCTGGG | 904(341/563) |
DfCas9-VEGF5_T7.F TGCTGTGGACTTGAGTTGGG | DfCas9-VEGF5_T7.R TCACCGATCAGGGAGAGAGA | 944(336/608) |
DfCas9-GRIN2B1_T7.F GCACTCCTACGACACCTTCG | DfCas9-GRIN2B1_T7.R GGTTCTCCCAGCTTCACTCAA | 920(169/751) |
DfCas9-GRIN2B2_T7.F AGGGATAAATGCCTTCACGGA | DfCas9-GRIN2B2_T7.R GAGCCTAATGGGTTGCTGGT | 924(183/741) |
DfCas9-GRIN2B3_T7.F AAAGAGCCTTCAGGAACGTGT | DfCas9-GRIN2B3_T7.R GTCACCACGGAGTCAAGGTAG | 972(792/180) |
DfCas9-GRIN2B4_T7.F GCAGGCAAATGAGGTCTTGTT | DfCas9-GRIN2B4_T7.R TCTCAGAGGTGACCTAACTTTGT | 934(813/121) |
DfCas9-GRIN2B5_T7.F CTAAAGAATTTTCTGGCTGTTGTCC | DfCas9-GRIN2B5_T7.R GAAATCGAGGATCTGGGCGA | 900(663/237) |
DsCas9-VEGF1_T7.F GGTTGACCTTCCTCCATCCC | DsCas9-VEGF1_T7.R AATGGAAGGACTTTGCCCCC | 987(717/270) |
DsCas9-VEGF2_T7.F GTGCAGTTTTTCGAGATATTCCGT | DsCas9-VEGF2_T7.R CCCATCCTCACCAGATCCTTG | 909(94/815) |
DsCas9-VEGF3_T7.F AGCTGCGGACATGTTAGGG | DsCas9-VEGF3_T7.R AGTGCCCCATCCTAAACGAA | 956(139/817) |
DsCas9-VEGF4_T7.F GTAGCGCTCGGATCCTTCC | DsCas9-VEGF4_T7.R TCCTAAACGAACAGCCAGACC | 1000(170/830) |
DsCas9-VEGF5_T7.F TCTCCCTGATCGGTGACAGT | DsCas9-VEGF5_T7.R CTGTTGCAGCCAACAAGACC | 941(160/779) |
DsCas9-GRIN2B2_T7.F CTTTGTAGGTAAAAGGTGGCAAAT | DsCas9-GRIN2B2_T7.R GCACCAAACCCAACTCCATCTA | 935(738/197) |
DsCas9-GRIN2B3_T7.F ACAGTGTGCAGCATATAAAAGATGT | DsCas9-GRIN2B3_T7.R AAACGTGCTCAGCAGAGGTG | 976(795/181) |
DsCas9-GRIN2B4_T7.F ACCTCAGGGGGAGACAACAT | DsCas9-GRIN2B4_T7.R CCAGTAACCAAGGGGGAACC | 919(764/155) |
DsCas9-GRIN2B5_T7.F GGGAAGTCACGACTATAGGATGG | DsCas9-GRIN2B5_T7.R AGGATCTACATCACGTAACCTGT | 956(183/773) |
С полученными фрагментами после амплификации проводили реакцию денатурации-ренатурации согласно протоколу производителя для T7 эндонуклеазы I (T7EI) (NEB, США) в двух повторах (один повтор выступает в роли контроля). Общее количество ДНК, используемой для проведения одной реакции, составляет 500 нг. После денатурации-ренатурации в обработанные образцы добавили T7EI, либо воду (для контрольных образцов). Далее поставили образцы на +37 ℃ на 30 минут, после чего ингибировали реакцию с помощью 0,25 моль/л ЭДТА (Thermo Fisher Scientific, США). Внесли проинкубированные образцы в 2,0% агарозный гель и провели элеткрофорез при 100 В в течение часа. Поместили гели в трансиллюминатор FluoroChem 8800 (Alpha Innotech Corporation, Германия) для оценки результатов.
Оценку результатов (интенсивности фрагментов) проводили в программе ImageJ (NIH, США), в которой определяли интенсивность ДНК-фрагментов после электрофореза и рассчитывали процент геномных модификаций по следующей формуле:
% gene modification=100*(1-(1-fraction cleaved)1/2)
Разрезанную фракцию (fraction cleaved) расчитывали по формуле:
Fraction cleaved=molar ratio2/(molar ratio1+molar ratio2),
где: Molar ratio1=Intensity1/size1 – молярное соотношение, рассчитанное для мажорного бенда;
Molar ratio2=Intensity2/size2 – молярное соотношение, рассчитанное для специфичного бенда;
size 1 – размер фрагмента, соответствующего негетеродуплексной ДНК (п.н.);
size 2 – размер фрагмента, соответствующего гетеродуплексной ДНК (п.н.);
Intensity1 – интенсивность фрагмента, соответствующего негетеродуплексной ДНК;
Intensity2 – интенсивность фрагмента, соответствующего гетеродуплексной ДНК.
РЕЗУЛЬТАТЫ
Нами были получены генетические конструкции с нукле- азами DfCas9 и DsCas9, предназначенные для экспрессии генов в клетках эукариот. Последовательности данных нуклеаз были взяты из плазмид, переданных Сколковским институтом науки и технологии. Схема клонирования нуклеаз DfCas9 и DsCas9 описана в Материалах и методах. Помимо самих нуклеаз, полученные вектора также экспрессировали направляющие РНК, подходящие по структуре для взаимодействия с указанными нуклеазами, тем самым обеспечивая все необходимые компоненты для модификации целевых локусов в клеточном геноме.
Для верификации полученных генетических конструкций провели секвенирование по Сенгеру с аналитической рестрикцией. На основе полученных результатов пики хроматограмм четкие, без шума, а по результатам аналитической рестрикции конструкция с нуклеазой DfCas9, порезанная по сайтам рестрикции NotI и EcoRI, была разрезана на фрагменты, соответствующие теоретически ожидаемым: 5233, 2691 и 632 п.н., что соответствует дизайну эксперимента. Для конструкции с нуклеазой DsCas9, порезанной по сайтам рестрикции NotI и EcoRI, размеры фрагментов соответствовали теоретически ожидаемым: 5233 п.н. и 3149 п.н., что также соответствует дизайну эксперимента. На этом этапе мы получили две плазмиды с нуклеазами DfCas9 и DsCas9. В этих плазмидах также содержится ген, кодирующий белок GFP, связанный с нуклеазами в единую рамку считывания через элемент Т2А, взятый из вируса Thosea asigna. Благодаря свойствам элемента «саморазрезаемого» пептида T2A, при попадании в клетку с плазмиды экспрессируется как нуклеаза, так и GFP. Причем, последний может служить маркером эффективности трансфекции [5].
Была проведена оценка экспрессии полученных плазмид, содержащих нуклеазы DfCas9 и DsCas9, в клетках млекопитающих. Для этого была выбрана стабильная клеточная линия HEK293 (Human Embryo Kidney, clone 293), которая часто используется для оценки активности ферментов в клетках человека. Преимуществами данной линии является простое культивирование и способность к высокому уровню экзогенной экспрессии.
Оценку экспрессии нуклеаз DfCas9 и DsCas9 в клетках HEK293 проводили с помощью метода Western Blot. Для этого провели трансфекцию клеток HEK293 плазмидами, содержащими нуклеазы DfCas9 и DsCas9, по описанной в Материалах и методах методике. В качестве отрицательного контроля использовали плазмиду GFP-CellBioLab. Для положительного контроля на FLAG-таг использовали плазмиду pEE-H6F-cPCSK9, предназначенную для экспрессии белка cPCSK9 с тагом FLAG. Отметим, что обе нукле- азы – DfCas9 и DsCas9 – содержат FLAG-таг на N-конце, что позволило визуализировать их экспрессию без использования специфичных для данных нуклеаз антител.
После снятия клеток провели оценку эффективности трансфекции с использованием проточного цитофлуориметра GUAVA. Анализировали процент популяции клеток, содержащих GFP. Каждый образец измеряли в трех технических повторностях (количество анализируемых событий – не менее 3000). Результаты представлены в таблице 4.
Табл. 4. Процент популяции клеток, содержащих GFP / Table 4. Percentage of the cell population containing GFP
№ п/п | Название плазмиды, которой трансфецировали клетки | Процент GFP+ клеток в популяции живых клеток, 3 повтора (%) | Среднее значение | ||
1. | Отрицательный контроль | 0,05 | 0,10 | 0,24 | 0,13 |
2. | GFP-CellBioLab | 84,76 | 84,64 | 85,10 | 84,83 |
3. | pEE-H6F-cPCSK9 | 0,54 | 0,20 | 0,34 | 0,36 |
4. | DsCas9-T2A-GFP | 67,40 | 68,13 | 67,88 | 67,8 |
5. | DfCas9-T2A-GFP | 74,63 | 72,56 | 70,44 | 72,54 |
После этого осадки трансфецированных клеток использовали для анализа экспрессии нуклеаз методом Western Blot по описанной выше методике. Результаты Western Blot представлены на рисунке 1.
Рис. 1. Результаты анализа экспрессии нуклеаз методом Western Blot / Fig. 1. The results of the protein expression analysis with Western Blot
На этом рисунке:
A) Маркер молекулярных масс;
B) Результат проявления мембраны после Western Blot;
2 – лизат HEK293, трансфецированных плазмидой pEE-H6F-cPCSK9, использовали в качестве контроля на FLAG-tag. Ожидаемый размер белка – 54,6 кДа;
3 – лизат HEK293, трансфецированных плазмидой с SpCas9, размер белка – 160 кДа;
4 – отрицательный контроль (лизат не трансфецированных HEK293), ожидаемый размер белка – нет;
5 – лизат HEK 293, трансфецированных плазмидой DsCas9-T2A-GFP, размер белка – 116 кДа;
6 – лизат HEK 293, трансфецированных плазмидой DfCas9-T2A-GFP, размер белка – 122,3 кДа.
После получения результатов с Western Blot были запланированы клонирования кассет для экспрессии tracrRNA в конструкции с нуклеазами DsCas9 и DfCas9. Схема клонирования tracrRNA в генетическую конструкцию DsCas9 аналогична схеме клонирования самих нуклеаз с тем отличием, что последовательность tracrRNA заказывалась в виде ампликона, и рестрикцию проводили с помощью рестриктаз AvrII и NheI.
Верификацию плазмид проводили секвенированием по Сенгеру и аналитической рестрикцией. По результатам аналитической рестрикции по сайтам рестрикции NotI и EcoRI плазмида с DfCas9-tracrRNA дала фрагменты, соответствующие теоретически ожидаемым: 5320 п.н., 2691 п.н. и 632 п.н. Плазмида с DsCas9-tracrRNA, порезанная по сайтам рестрикции XbaI, NsiI и EcoRI, также дала фрагменты, соответствующие теоретически ожидаемым: 3723 п.н., 2828 п.н. и 1934 п.н., что соответствует дизайну эксперимента.
Далее с сайта GenBank [6] взяли последовательности генов VEGF – эндотелиального фактора роста сосудов (номер последовательности NG_008732.1) и GRIN2B – NR2B-субъ- единица глутаматного NMDA-рецептора (номер последовательности NG_031854.2). На основе данных последовательностей подобрали вручную последовательности спейсеров для каждого целевого гена обеих нуклеаз. Последовательности подбирали так, чтобы они прилегали к последовательностям РАМ, предоставленным Сколтехом. Для каждой нуклеазы были выбраны пять последовательностей с гена VEGF и пять последовательностей с гена GRIN2B. В сумме по десять последовательностей crRNA на каждую нуклеазу (см. табл. 5). Клонирование crRNA осуществлялось довешиванием последовательности олигонуклеотидами с сайтом рестрикции XbaI в генетические конструкции с нуклеазами DsCas9 и DfCas9. Верификацию плазмид проводили секвенированием по Сенгеру и аналитической рестрикцией.
Табл. 5. Перечень последовательностей целевых сайтов разрывов и РАМ / Table 5. List of sequences of target break sites and PAM
Нуклеаза | Ген | Название crRNA | Последовательность crRNA | PAM |
DfCas9 | GRIN2B | crRNA-GRIN2B1 | TGGTGGTGATGTCCGGCAGT | GGGCACT |
crRNA-GRIN2B2 | ATGCATTTAGAAGTCAATGA | |||
crRNA-GRIN2B3 | TGAAGATGGGGGGAGGAGGT | |||
crRNA-GRIN2B4 | ACTTAAATTGGGAAGCCAAG | |||
crRNA-GRIN2B5 | GGCATTGCTGTCATCCTCGT | |||
VEGF | crRNA-VEGF1 | CCAGCACTCGCAGAGCAGAG | ||
crRNA-VEGF2 | ACAAAGCCCCCAAGAAGGGG | |||
crRNA-VEGF3 | TGCTGTTTCGGTGTGTCAGG | |||
crRNA-VEGF4 | CTGGCTGTTCGTTTAGGATG | |||
crRNA-VEGF5 | CACGCGCATCTCGCCCCCAG | |||
DsCas9 | GRIN2B | crRNA-GRIN2B1 | CACTTGGGAGCAAAAGATTC | TACAA |
crRNA-GRIN2B2 | CTGAGCCCAAAAGCAGTTGT | |||
crRNA-GRIN2B3 | CGCATTCTGACTGCAAATCC | |||
crRNA-GRIN2B4 | TTCATGTCAATTATTTTGCC | |||
crRNA-GRIN2B5 | TAATAGAACACATATTGGAA | |||
VEGF | crRNA-VEGF1 | TTACACGTCTGCGGATCTTG | ||
crRNA-VEGF2 | GCGGAGAAAGCATTTGTTTG | |||
crRNA-VEGF3 | ATTTTATATACAAAAACCGG | |||
crRNA-VEGF4 | TATATATATATACACACAAA | |||
crRNA-VEGF5 | ATCAGAATTAAATTCTTTAA |
По дизайну эксперимента исследуемые нуклеазы могут вносить двуцепочечные разрывы в ДНК. Поэтому, после получения плазмид со всеми направляющими РНК, мы провели трансфекцию клеточной линии HEK293 с использованием Lipofectamine 3000 по методике, описанной выше. Через 72 часа после трансфекции провели оценку эффективности трансфекции по флуоресцентному свечению GFP с помощью проточного цитофлюориметра. Результаты представлены в таблице 6.
Табл. 6. Процент популяции клеток, содержащих GFP с помощью проточного цитофлюориметра / Table 6. Percentage of the cell population containing GFP using a flow cytofluorimeter
№ п/п | Название плазмиды, которой трансфецировали клетки | Процент GFP+ клеток в популяции живых клеток, 3 повтора (%) | Среднее значение (%) | ||
1. | Трансфекция без плазмиды | 0,05 | 0,11 | 0,06 | 0,07 |
2. | GFP-CellBioLab | 59,91 | 62,20 | 59,07 | 60,40 |
3. | DfCas9-T2A-GFP-tracrRNA-sgVEGF1 | 34,09 | 35,09 | 36,28 | 35,15 |
4. | DfCas9-T2A-GFP-tracrRNA-sgVEGF2 | 42,92 | 43,30 | 41,53 | 42,58 |
5. | DfCas9-T2A-GFP-tracrRNA-sgVEGF3 | 45,88 | 45,21 | 44,62 | 45,24 |
6. | DfCas9-T2A-GFP-tracrRNA-sgVEGF4 | 40,63 | 38,54 | 39,30 | 39,49 |
7. | DfCas9-T2A-GFP-tracrRNA-sgVEGF5 | 32,10 | 33,10 | 32,74 | 32,65 |
8. | DfCas9-T2A-GFP-tracrRNA-sgGRIN2B1 | 31,56 | 33,40 | 31,42 | 32,47 |
9. | DfCas9-T2A-GFP-tracrRNA-sgGRIN2B2 | 32,23 | 30,89 | 29,76 | 30,96 |
10. | DfCas9-T2A-GFP-tracrRNA-sgGRIN2B3 | 26,98 | 27,82 | 27,82 | 27,54 |
11. | DfCas9-T2A-GFP-tracrRNA-sgGRIN2B4 | 25,64 | 23,95 | 24,57 | 24,72 |
12. | DfCas9-T2A-GFP-tracrRNA-sgGRIN2B5 | 29,09 | 30,81 | 30,39 | 30,10 |
13. | SpCas9-T2A-GFP-tracrRNA-sgVEGF1 | 24,46 | 24,65 | 23,67 | 24,26 |
14. | SpCas9-T2A-GFP-tracrRNA-sgVEGF2 | 32,71 | 30,51 | 31,93 | 31,72 |
15. | SpCas9-T2A-GFP-tracrRNA-sgVEGF3 | 24,26 | 22,38 | 25,66 | 24,10 |
16. | DsCas9-T2A-GFP-tracrRNA-sgVEGF1 | 27,54 | 28,33 | 28,15 | 28,01 |
17. | DsCas9-T2A-GFP-tracrRNA-sgVEGF2 | 28,30 | 29,57 | 27,60 | 28,49 |
18. | DsCas9-T2A-GFP-tracrRNA-sgVEGF3 | 36,03 | 36,69 | 34,36 | 35,69 |
19. | DsCas9-T2A-GFP-tracrRNA-sgVEGF4 | 39,04 | 38,87 | 38,31 | 38,74 |
20. | DsCas9-T2A-GFP-tracrRNA-sgVEGF5 | 40,93 | 39,07 | 38,70 | 39,57 |
21. | DsCas9-T2A-GFP-tracrRNA-sgGRIN2B1 | 38,74 | 37,89 | 38,61 | 38,41 |
22. | DsCas9-T2A-GFP-tracrRNA-sgGRIN2B2 | 46,06 | 46,20 | 47,80 | 46,69 |
23. | DsCas9-T2A-GFP-tracrRNA-sgGRIN2B3 | 30,50 | 32,75 | 31,93 | 31,73 |
24. | DsCas9-T2A-GFP-tracrRNA-sgGRIN2B4 | 31,39 | 27,68 | 28,23 | 29,10 |
25. | DsCas9-T2A-GFP-tracrRNA-sgGRIN2B5 | 33,01 | 32,40 | 35,66 | 33,69 |
26. | SpCas9-T2A-GFP-tracrRNA-sgGRIN2B1 | 20,26 | 18,79 | 20,89 | 19,98 |
27. | SpCas9-T2A-GFP-tracrRNA-sgGRIN2B2 | 21,69 | 21,72 | 22,05 | 21,82 |
Все образцы центрифугировали, слили супернатант и выделили из клеточных осадков геномную ДНК для оценки активности нуклеаз DfCas9 и DsCas9 с помощью Т7 эндонуклеазы.
С полученной геномной ДНК мы проводили амплификацию с использованием праймеров, подобранных специально на выбранные целевые локусы, где по дизайну эксперимента должен происходить двуцепочечный разрыв ДНК (см. табл. 3).
После амплификации полученные фрагменты обрабатывали T7 Endonuclease I (T7EI) согласно протоколу производителя.
Помимо повтора, в который добавляется вода вместо T7EI, мы также использовали следующие контроли:
- синтетический контроль (состоит из фрагментов плазмид DsCas9-T2A-GFP-tracrRNA-sgVEGF2 и DsCas9-T2A-GFP-tracrRNA-sgVEGF3, которые отличаются друг от друга 20 парами нуклеотидов, а именно последовательностью локусов VEGF2 и VEGF3) – для контроля работы T7EI;
- SpCas9 – для оценки экспрессии данной нуклеазы в клетках эукариот и сравнения ее активности с нуклеазами DfCas9 и DsCas9;
- фрагменты из клеток HEK293 тех же локусов, но не обработанные нуклеазами – для контроля амплификации и неспецифического разрезания T7EI.
Электрофореграммы обработки фрагментов ДНК выбранных локусов Т7 эндонуклеазой представлены в рисунках 2, 3 и 4.
Табл. 7. Схема аликвотирования образцов / Table 7. The scheme of aliquoting samples
Номер лунки | Наименование образца | Примечание |
1. | Синтетический контроль | Представляет собой смесь из 2-х ПЦР продуктов по 250 нг каждого (DsCas9-T2A-GFP-tracrRNA-sgVEGF2 и DsCas9-T2A-GFP-tracrRNA-sgVEGF3). Это позволяет смоделировать условия для работы T7EI и выступает в роли контроля работоспособности T7EI (положительный контроль). |
2. | Синтетический контроль 2 | Дублирование синтетического контроля, но вместо T7EI добавляется вода. Позволяет исключить ошибки и неправильную интерпретацию результатов при постановке синтетического контроля. |
3. | SpCas9 | Исследуемый образец SpCas9, обработанный T7EI. |
4. | SpCas9 Контроль 1 | Тот же самый исследуемый образец, только в последствии в него добавляется вода вместо T7EI. Выступает в роли отрицательного контроля. |
5. | SpCas9 Контроль 2 | Фрагмент из клеток HEK293 того же локуса, что и SpCas9, но не обработанный нуклеазами. Обработанный T7EI для контроля амплификации и неспецифического разрезания T7EI. |
6. | SpCas9 Контроль 3 | Фрагмент из клеток HEK293 того же локуса, что и SpCas9, но не обработанный нуклеазами. Вместо T7EI добавляется вода. |
7. | DsCas9 | Исследуемый образец DsCas9, обработанный T7EI. |
8. | DsCas9 Контроль 1 | Тот же самый исследуемый образец, только в последствии в него добавляется вода вместо T7EI. Выступает в роли отрицательного контроля. |
9. | DsCas9 Контроль 2 | Фрагмент из клеток HEK293 того же локуса, что и DsCas9, но не обработанный нуклеазами. Обработанный T7EI для контроля амплификации и неспецифического разрезания T7EI. |
10. | DsCas9 Контроль 3 | Фрагмент из клеток HEK293 того же локуса, что и DsCas9, но не обработанный нуклеазами. Вместо T7EI добавляется вода. |
11. | DfCas9 | Исследуемый образец DfCas9, обработанный T7EI. |
12. | DfCas9 Контроль 1 | Тот же самый исследуемый образец, только в последствии в него добавляется вода вместо T7EI. Выступает в роли отрицательного контроля. |
13. | DfCas9 Контроль 2 | Фрагмент из клеток HEK293 того же локуса, что и DfCas9, но не обработанный нуклеазами. Обработанный T7EI для контроля амплификации и неспецифического разрезания T7EI. |
14. | DfCas9 Контроль 3 | Фрагмент из клеток HEK293 того же локуса, что и DfCas9, но не обработанный нуклеазами. Вместо T7EI добавляется вода. |
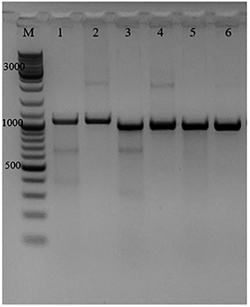
Рис. 2. Результаты электрофоретического анализа после обработки Т7 эндонуклеазой синтетического контроля и исследуемого образца (SpCas9), нумерация обозначает номер лунки из схемы аликвотирования образцов (табл. 7) / Fig. 2. Results of electrophoretic analysis after T7 endonuclease treatment of the synthetic control and the test sample (SpCas9), the numbering indicates the number of the well from the aliquotation scheme of the samples (тable 7)
Рис. 3. Результаты электрофоретического анализа после обработки Т7 эндонуклеазой исследуемого образца (DsCas9), нумерация обозначает номер лунки из схемы аликвотирования образцов (табл. 7) / Fig. 3. Results of electrophoretic analysis after T7 endonuclease treatment of the test sample (DsCas9), the numbering indicates the number of the well from the aliquotation scheme of the samples (тable 7)
Рис. 4. Результаты электрофоретического анализа после обработки Т7 эндонуклеазой синтетического контроля и исследуемого образца (DfCas9), нумерация обозначает номер лунки из схемы аликвотирования образцов (табл. 7) / Fig. 4. Results of electrophoretic analysis after T7 endonuclease treatment of the synthetic control and the test sample (DfCas9), the numbering indicates the number of the well from the aliquotation scheme of the samples (тable 7)
Количественную оценку активности проводили при помощи программного обеспечения ImageJ, посредством которого были определены значения интенсивности окраски бендов выделенных областей интереса на изображениях. В область интереса включаются мажорный бенд, соответствующий изначальному размеру фрагмента, и специфичный бенд, образованный в результате специфичного действия Т7 эндонуклеазы. По формулам, указанным в Материалах и методах, рассчитан процент генных модификаций. Результаты расчета представлены в таблице 8.
Табл. 8. Результаты расчета относительного количества генных модификаций для нуклеаз SpCas9, DfCas9 и DsCas9 / Table 8. Results of calculating the relative number of gene modifications for SpCas9, DfCas9 and DsCas9 nucleases
Исследуемый образец | molar ratio 1 | molar ratio 2 | fraction cleaved | % gene modification |
SpCas9-GRIN2B2 | 7,87 | 0,80 | 0,09 | 4,60 |
DfCas9-GRIN2B1 | 7,59 | 0 | 0 | 0 |
DfCas9-GRIN2B2 | 8,05 | 0 | 0 | 0 |
DfCas9-GRIN2B3 | 36,29 | 0 | 0 | 0 |
DfCas9-GRIN2B4 | 40,47 | 0 | 0 | 0 |
DfCas9-GRIN2B5 | 15,05 | 0 | 0 | 0 |
SpCas9-VEGF1 | 6,5 | 3,02 | 0,31 | 52,39 |
DfCas9-VEGF1 | 37,32 | 0 | 0 | 0 |
DfCas9-VEGF2 | 9,37 | 0,46 | 0,05 | 9,18 |
DfCas9-VEGF3 | 9,46 | 0 | 0 | 0 |
DfCas9-VEGF4 | 9,48 | 0 | 0 | 0 |
SpCas9-GRIN2B2 | 8,99 | 0,72 | 0,07 | 3,56 |
DsCas9-GRIN2B1 | 9,12 | 0 | 0 | 0 |
DsCas9-GRIN2B2 | 8,99 | 0 | 0 | 0 |
DsCas9-GRIN2B3 | 9,47 | 0 | 0 | 0 |
DsCas9-GRIN2B4 | 7,78 | 0 | 0 | 0 |
DsCas9-GRIN2B5 | 8,00 | 0 | 0 | 0 |
SpCas9-VEGF1 | 9,27 | 2,01 | 0,18 | 9,45 |
DsCas9-VEGF2 | 10,69 | 0 | 0 | 0 |
DsCas9-VEGF3 | 8,97 | 0 | 0 | 0 |
ОБСУЖДЕНИЕ
В ходе выполнения работы были получены конструкции с геномными нуклеазами DsCas9 и DfCas9. С ними проводили транзиентную трансфекцию для оценки экспрессии этих нуклеаз в клетках млекопитающих.
Эффективность трансфекции оценивали по свечению GFP, который был в конструкции соединен через T2A. Первая визуальная оценка осуществлялась с помощью микроскопа. Оценивалось состояние клеток и свечение GFP при УФ. Все клетки после трансфекции имели соответствующую данной линии морфологию, и при переключении микроскопа на УФ наблюдалось зеленое свечение.
Дальнейшая оценка проводилась с помощью проточного цитофлюориметра, с помощью которого был произведен расчет процента GFP-положительных клеток. По результатам в отрицательном контроле, который представлял собой нетрансфецированные клетки, процент GFP положительных клеток составлял менее 0,3%, что не выходит за пределы допустимых значений. Процент GFP-положительных клеток при трансфекции коммерческой плазмидой с GFP вышел на уровне 85. Процент GFP+ клеток при трансфекции плазмидами, содержавшими нуклеазы DsCas9 и DfCas9, составляет 65–75 (табл. 4).
Исходя из полученных данных, можно сказать, что трансфекция прошла успешно. Но для клеток с плазмидами, содержащими нуклеазы, эффективность трансфекции ниже, чем у коммерческой плазмиды с GFP. Это может быть связано с разницей в размере исследуемых плазмид и плазмиды с GFP.
Для повышения эффективности трансфекции с нуклеазами можно использовать линеаризованные плазмиды, чтобы увеличить количество прободаемых копий в клетку. Также в коммерческой плазмиде GFP экспрессируется с промотора напрямую, а в плазмидах с нуклеазами – через T2A. В связи с этим снижение процента GFP+ клеток может свидетельствовать также о не стопроцентной эффективности T2A. Тем не менее, эффективность трансфекции во всех случаях была достаточно высокой, чтобы можно было делать выводы об активности нуклеаз.
После проведения трансфекции из клеточных осадков был выделен белок, после чего поставлен Western Blot. По результату, представленному на рисунке 1, мы наблюдаем для контрольного белка c FLAG-tag яркий бэнд подходящего размера – 54,6 кДа (линия 2), что свидетельствует о специфичном связывании антител. Для белка SpCas9 мы не должны были наблюдать бэнд, так как этот белок не содержал FLAG-tag (3). Для белков DfCas9, DsCas9 (6 и 5 соответственно) наблюдали бэнды соответствующего размера, что свидетельствует об их экспрессии в клетках млекопитающих.
Исходя из полученных данных по Western Blot были сделаны дизайны и проведены клонирования направляющих РНК в плазмиды с нуклеазами DfCas9 и DsCas9. После получения конструкций была также поставлена трансфекция для внесения двуцепочечных разрывов в ДНК в выбранных локусах.
Обработку результатов после трансфекции проводили с использованием программы Guava EasyCyte HT. Исходя из полученных результатов можно заключить, что трансфекция прошла успешно, так как в клетках НЕК293, которые не были трансфецированы, свечение GFP на микроскопе не наблюдается. При анализе процента популяций клеток на проточном цитофлюориметре, процент нетрансфецированных клеток, попадающих в выставленную популяцию GFP+ клеток, не выходит за пределы допустимых значений (не более 1%). В то время как по контрольной коммерческой плазмиде GFP процент популяций клеток, содержащих GFP, находится в районе 60%, данный параметр у клеток, трансфецированных нуклеазными конструкциями, содержащими направляющие РНК, варьирует от 20 до 46% (см. табл. 6).
Из этих данных мы сделали вывод, что трансфекция прошла успешно, но не с очень высокой эффективностью, особенно для плазмид с нуклеазами. Но учитывая, что их размер в два раза больше коммерческой плазмиды с GFP, можно предположить, что именно с этим связано падение эффективности трансфекции в два раза относительно положительного контроля (коммерческая плазмида с GFP). Для повышения эффективности трансфекции в будущем можно использовать линеаризованные плазмиды или увеличивать количество плазмид и других реагентов для каждой трансфекции.
После проведения трансфекции из клеток была выделена геномная ДНК для амплификации локусов с предполагаемым двуцепочечным разрывом ДНК. Полученные ПЦР продукты обрабатывались эндонуклеазой T7EI. Эндонуклеаза T7 разрезает только одноцепочечную ДНК, которая будет в данном случае свидетельствовать о наличии различий между цепочками в двуцепочечных молекулах ДНК (гетеродуплексы). Именно гетеродуплексы будут разрезаться T7EI. Если же обе цепи двуцепочечной молекулы ДНК полностью комплементарны друг другу, такая ДНК не будет разрезана.
На основании этих данных можно оценить процент геномов, подвергшихся модификации (при ренатурации с другими цепочками они будут образовывать гетеродуплексы). Результаты эксперимента представлены на рисунках 2, 3 и 4.
После обработки эндонуклеазой T7EI у синтетического контроля и SpCas9 наблюдаются дополнительные бэнды, размеры которых соответствуют предусмотренному дизайну эксперимента. При этом в контролях, где вместо Т7 эндонуклеазы добавлена вода, дополнительных бэндов нет. Из этих данных можно заключить, что метод детекции работоспособен и SpCas9 проявляет свою активность в клетках НЕК293.
В случае DsCas9 мы не наблюдаем дополнительных бэндов, что говорит об отсутствии активности данной нуклеазы в клетках эукариот на выбранных последовательностях. У нуклеазы DfCas9 с локусом VEGF2 наблюдается дополнительный бэнд выше фонового уровня, что свидетельствует о наличии активности DfCas9 в этом сайте.
Далее полученные электрофореграммы обрабатывали в программном обеспечении ImageJ и рассчитывали процент геномных модификаций. Исходя из полученных результатов (см. табл. 8) можно сделать вывод, что при экспрессии в клетках нуклеазы DfCas9 для всех локусов, кроме VEGF2, не давали дополнительные бэнды, размеры которых соответствовали бы предусмотренным дизайном эксперимента продуктам активности T7EI. Это говорит об отсутствии активности данной нуклеазы в клетках эукариот на выбранных последовательностях.
Для локуса VEGF2 наблюдается дополнительный бэнд, размер которого предусмотрен дизайном эксперимента. Расчетный показатель – процент генных модификаций для данного локуса – составляет 9,18%, в то время как для нуклеазы SpCas9 с локусом VEGF1 – 53,39%. Учитывая, что процент геномных модификаций для SpCas9 совпадает с данными, найденными нами в научной литературе, выбранный метод оценки активности нуклеаз работоспособен.
Из полученных результатов также видно, что нуклеаза DfCas9 с выбранным локусом VEGF2 проявляет свою активность в клетках эукариот, но меньше, чем нуклеаза SpCas9 и другие более короткие нуклеазы. Это может быть связано с неудачным подбором crRNA и, возможно, не оптимальным определением PAM-последовательности. Для решения этой проблемы необходима дальнейшая оптимизация правил и алгоритмов подбора этих последовательностей для нуклеазы DfCas9.
Для всех образцов с нуклеазой DsCas9 не наблюдаются дополнительные бэнды, размеры которых соответствуют предусмотренным дизайном эксперимента продуктам активности T7EI, что говорит об отсутствии активности этой нуклеазы в клетках эукариот на выбранных последовательностях. Так же, как и в случае с нуклеазой DfCas9, необходима оптимизация правил и алгоритмов подбора crRNA. Другое объяснение состоит в том, что нуклеаза DsCas9 действительно неактивна в клетках эукариот, хотя ее экспрессия была показана нами.
Учитывая, что метод определения активности нуклеаз с помощью Т7 эндонуклеазы показывает ее только на целевом амплифицированном участке геномной ДНК, сложно сделать вывод об использовании данных нуклеаз в приложениях для редактирования генома, ввиду отсутствия данных по специфичности внесения двуцепочечных разрывов в молекулы ДНК. Для изучения данного направления, а также для более точного измерения активности и специфичности данных нуклеаз, необходимы дополнительные исследования с использование секвенирования следующего поколения (Next-Generation Sequencing, NGS). Например, с помощью метода DISCOVER-seq, который основан на связывании с сайтом разрыва белка Mre11, участвующего в репарации двуцепочечных разрывов.
При получении более подробных данных об активности и специфичности, нуклеазы DfCas9 и DsCas9 могут найти свое практическое применение для получения различных клеточных линий и животных моделей. Ввиду их небольшого размера, который позволяет доставлять их с помощью аденоассоциированных вирусов, может появиться возможность оценить их потенциал для терапевтического применения: редактирования генома человека для лечения наследственных заболеваний.
ВЫВОДЫ
Нами были получены конструкции с нуклеазами DfCas9 и DsCas9 с подобранными спейсерами для генов VEGF и GRIN2B, которыми потом были трансфецированы клетки HEK293. По полученным данным транзиентная трансфекция плазмидами с нуклеазами DfCas9 и DsCas9 и необходимыми направляющими РНК прошла успешно.
После получения этих результатов мы оценили экспрессию нуклеаз в клетках HEK293 с помощью метода Western Blot и сделали вывод о том, что данные нуклеазы экспрессируются в клетках млекопитающих.
Далее мы проверили активность этих нуклеаз на выбранных нами локусах. На электрофореграммах, полученных после обработки Т7 эндонуклеазой, в случае DsCas9 активность в клетках эукариот на выбранных последовательностях отсутствует. Напротив, для нуклеазы DfCas9 в локусе VEGF2 наблюдается дополнительный бэнд выше фонового уровня, предусмотренный дизайном эксперимента, что свидетельствует о наличии нуклеазной активности, но невысокой по сравнению с SpCas9. Это подтверждается расчетами процента геномных модификаций, которые показывают, что активность SpCas9 в шесть раз выше, чем активность DfCas9.
Таким образом, была успешно продемонстрирована экспрессия изучаемых в данной работе нуклеаз в клетках человека, а также активность одной из них на одном из десяти подобранных сайтов. Для решения проблемы, связанной с низкой активностью или отсутствием активности для данных нуклеаз, необходимо дальнейшее их изучение, в том числе оптимизация правил и алгоритмов подбора спейсерных последовательностей для данных нуклеаз.
About the authors
Yelizaveta V. Vlasova
BIOCAD JSC
Email: vlasovaev@biocad.ru
Junior Researcher, Molecular Genetic Engineering Group
Russian Federation, 34 Svyazi st, St Petersburg, 198515Dmitry A. Madera
BIOCAD JSC
Email: biocad@biocad.ru
Senior Lecturer, REC TRB, Product Owner of the Department for the Development of Gene Therapy Products
Russian Federation, 34 Svyazi st, St Petersburg, 198515Pavel M. Gershovich
BIOCAD JSC
Author for correspondence.
Email: biocad@biocad.ru
acting director director of REC TRB, director of the department for the development of drugs for gene therapy
Russian Federation, 34 Svyazi st, St Petersburg, 198515References
- Fedorova I., Vasileva A., Selkova P., et al. PpCas9 from Pasteurella pneumotropica - a compact Type II-C Cas9 ortholog active in human cells // Nucleic Acids Res. 2020. Vol. 48, no. 21. P. 12297–12309. https://doi.org/10.1093/nar/gkaa998.
- Fujii W., Ito H., Kanke T., et al. Generation of genetically modified mice using SpCas9-NG engineered nuclease // Sci Rep. 2019. Vol. 9. P. 12878. https://doi.org/10.1038/s41598-019-49394-5.
- Ran F., Cong L., Yan W., et al. In vivo genome editing using Staphylococcus aureus Cas9 // Nature. 2015. Vol. 520. P. 186–191. https://doi.org/10.1038/nature14299.
- Endo M., et al. Genome editing in plants by engineered CRISPR-Cas9 recognizing NG PAM // Nat Plants. 2015. Vol. 5. P. 14–17. https://doi.org/10.1038/s41477-018-0321-8.
- Liu Z., Chen O., Wall J. B. J., et al. Systematic comparison of 2A peptides for cloning multi-genes in a polycistronic vector // Sci Rep. 2017. Vol. 7, no. 1. P. 2193. https://doi.org/10.1038/s41598-017-02460-2.
- Genbank. The Nucleotide database. 2021. URL: https://www.ncbi.nlm.nih.gov/nucleotide.
Supplementary files







