Phosphopenic Osteomalacia with Multiple Fractures as an Adverse Effect of Long-Term Tenofovir Therapy for Hepatitis B
- Authors: Lesnyak O.M.1,2, Kunitsina E.S.2, Burulev A.L.1,2
-
Affiliations:
- North-Western State Medical University named after I.I. Mechnikov
- Clinical Rheumatological Hospital No. 25 named after V.A. Nasonova
- Issue: Vol 29, No 1 (2025)
- Pages: 77-84
- Section: Case report
- Submitted: 08.11.2024
- Accepted: 09.01.2025
- Published: 08.01.2025
- URL: https://journals.eco-vector.com/RFD/article/view/641712
- DOI: https://doi.org/10.17816/RFD641712
- EDN: https://elibrary.ru/VAATUR
- ID: 641712
Cite item
Abstract
This article presents a case report and a review of sources about hypophosphatemic osteomalacia, a rare adverse effect of chronic hepatitis B treatment with tenofovir disoproxil fumarate. Hypophosphatemic osteomalacia is caused by partial or complete Fanconi syndrome or reduced renal function due to acute or chronic damage to the proximal renal tubules. This case report describes manifestations such as multiple skeletal fractures, including rib and vertebral fractures, left acetabular and sacral fractures, bone and joint pain, signs of neuropathy, and severe muscle weakness. However, bone mineral density remained normal. There was also evidence of osteonecrosis of the talus, scaphoid, and medial cuneiform. Differential diagnoses included vitamin D deficiency, diabetic nephropathy and neuropathy, cancer, and hematologic disorders. The diagnosis was suspected by a decrease in blood phosphate levels and tubular reabsorption of phosphate, and by elevated levels of fibroblast growth factor 23. Discontinuation of tenofovir resulted in rapid clinical improvement and normalization of mineral metabolism, including estimated tubular phosphorus reabsorption and ratio of maximum rate of renal tubular reabsorption of phosphate to glomerular filtration rate.
Keywords
Full Text
Введение
Остеомаляция — заболевание костей у взрослых, характеризующееся снижением минерализации костной ткани. Клинически оно может проявляться переломами и в связи с этим ошибочно принято за остеопороз. При остеомаляции вместо полноценной костной ткани образуется неминерализованный или слабо минерализованный (содержащий мало фосфатов и кальция) остеоид, что делает кости излишне гибкими, следовательно, подверженными переломам. Из-за нарушения процессов образования новой костной ткани страдает и разрушение старой кости, вследствие чего строение костей еще больше нарушается, а их прочность снижается. Остеомаляция может протекать асимптомно или проявляться диффузной болью в костях и суставах, мышечной слабостью, болезненностью при пальпации костей, нарушениями мобильности и переломами [1].
Развитие остеомаляции связано с глубокими дефицитами витамина D и кальция (кальципеническая остеомаляция) и/или фосфатов (фосфопеническая остеомаляция), а также с прямым подавлением процессов минерализации. В свою очередь, хроническая гипофосфатемия развивается либо в результате нарушения всасывания в желудочно-кишечном тракте (низкого поступления с пищей, хронической диареи) либо как следствие врожденного или приобретенного снижения реабсорбции / усиления экскреции фосфора с мочой [2].
Лабораторные признаки остеомаляции зависят от ее этиологии: снижение уровня кальция и/или фосфора, уровня 25-гидроксикальциферола [25(ОН)D] в крови, снижение концентрации кальция или повышение уровня фосфора в моче, увеличение содержания паратгормона. Очень характерно для остеомаляции повышение активности щелочной фосфатазы в сыворотке крови. Рентгенологическое исследование часто выявляет псевдопереломы (зоны Лузера) — участки разрежения костной ткани, расположенные перпендикулярно периосту, обычно локализованные по наружной поверхности лопатки, в ребрах, тазовом кольце, шейке или диафизе бедренной кости и реже — в пястных костях.
Приобретенная фосфопеническая остеомаляция может развиться в результате воздействия лекарственных препаратов. Одним из них является противовирусный препарат тенофовира дизопроксил фумарат. Тенофовир относится к группе аналогов нуклеозидов/нуклеотидов, являющихся препаратами первой линии лечения ВИЧ-инфекции и хронического гепатита В, используемых в течение длительного периода, иногда на протяжении всей жизни. Это циклический нуклеотидный аналог аденозинмонофосфата. Препарат подавляет репликацию вируса и воспалительный процесс в печени [3].
Тенофовир вызывает ряд серьезных побочных эффектов, среди них описана нефротоксичность. Она может проявляться либо дисфункцией проксимальных почечных канальцев в виде частичного или полного синдрома Фанкони, либо снижением функции почек в результате острого или хронического повреждения. Препарат выводится почками посредством активной канальцевой секреции, а также пассивной клубочковой фильтрации. При возникновении дисбаланса между всасыванием и почечным клиренсом тенофовира его концентрация в плазме крови увеличивается, а экскреция с мочой снижается. В этих условиях тенофовир накапливается и вызывает повреждение проксимальных канальцев почек [4].
В последнее время в научной литературе широко обсуждают роль такого гормона, как фактор роста фибробластов-23 (ФРФ-23), в метаболизме фосфатов. Этот гормон секретируется остеоцитами и снижает экспрессию переносчиков фосфата натрия в проксимальных канальцах, что приводит к снижению реабсорбции и увеличению экскреции фосфатов с мочой с последующим развитием гипофосфатемии. ФРФ-23 также отвечает за ингибирование гидроксилирования 25-гидроксивитамина D, что приводит к снижению уровня 1,25-дигидроксивитамина D (кальцитриола). Этот механизм способствует нарушению всасывания кальция и фосфата в желудочно-кишечном тракте, следствием чего является дальнейшее снижение уровня фосфатов в крови. Вероятно, повышение уровня ФРФ-23 играет роль и в развитии гипофосфатемии при приеме тенофовира. Так, недавно описаны случаи повышения уровня ФРФ-23 в сыворотке крови у ВИЧ-позитивных мужчин, получавших терапию тенофовиром. При отмене препарата наблюдали снижение ФРФ-23 и прекращение потери фосфатов с мочой [4].
Нефротоксичность не является частым осложнением тенофовира. Так, из 1537 ВИЧ-инфицированных пациентов, получавших тенофовир, синдром Фанкони развился у 13. При этом средняя продолжительность лечения до развития синдрома Фанкони составляла 55 мес. (от 12 до 98 мес.), а частота составила 1 на 1000 пациентов, принимающих тенофовир [5]. В другом исследовании проведено сравнение 6883 пациентов с ВИЧ-инфекцией, получавших тенофовир, и 1951 ВИЧ-инфицированного, никогда не принимавшего препарат. Показано, что прием тенофовира ассоциирован с повышением риска хронической болезни почек на 48% [6].
Следствием дисфункции проксимальных канальцев является развитие фосфопенической остеомаляции. Для нее характерны, помимо гипофосфатемии и гиперфосфатурии, снижение минеральной плотности костной ткани, низкоэнергетические переломы костей, распространенные боли в теле, мышечная слабость [7]. В вышеупомянутом исследовании, где сравнивали пациентов с ВИЧ-инфекцией, принимавших тенофовир, с теми, кто никогда не лечился этим препаратом, риск переломов был в 2,32 раза выше при приеме тенофовира (отношение шансов 2,32; 95% доверительный интервал 1,58–3,42) [6].
В литературе представлены единичные описания фосфопенической остеомаляции вследствие приема тенофовира [8–12]. Авторы привели собственное клиническое наблюдение.
Клиническое наблюдение
Мужчина, 47 лет, обратился в центр остеопороза в декабре 2023 г. с жалобами на боли в нижних конечностях, особенно стопах, больше в правой, в голеностопных суставах, в местах прикрепления ахилловых сухожилий к пяточным костям при движении, слабость и онемение в ногах, боли в поясничном отделе позвоночника, мышечную слабость, существенно затруднявшие движения.
Болен с 2021 г., когда впервые отметил появление болей в стопах и спине, постепенно присоединились и другие вышеперечисленные жалобы. Лечился у невролога с диагнозом «дегенеративно-дистрофическое заболевание позвоночника», получал курсы нестероидных противовоспалительных препаратов и миорелаксантов без эффекта. Прооперирован с подозрением на неврому Мортона. Диагноз не подтвержден, боли сохранялись. Поскольку на протяжении последних 10 лет пациент страдает сахарным диабетом 2-го типа с диабетической полинейропатией и нефропатией (принимает метформин и дапаглифлозин), ухудшение состояния связывали с осложнениями диабета. Неоднократно проходил курсы восстановительной терапии (тиоктовой кислотой, пентоксифиллином) с небольшим кратковременным эффектом.
В связи с сохраняющимися жалобами в 2023 г. проведено инструментальное исследование. При магнитно-резонансной томографии органов брюшной полости, таза и поясничного отдела позвоночника выявлены изменения в костях: уплощение тел позвонков, «инфильтративные изменения» тел и дужек поясничных позвонков, крестца, подвздошных костей, патологический перелом в теле подвздошной кости слева. Заподозрена онкологическая/гематологическая патология. При остеосцинтиграфии выявлено множество очагов поражения костей (ребер, стоп, тел позвонков). Отмечена выраженная аккумуляция радиофармацевтического препарата (технеция 99m) в суставах стоп, в меньшей степени повышено его накопление в акромиально-ключичных, плечевых, локтевых суставах. По данным компьютерной томографии: множественные переломы ребер и позвонков, перелом левой вертлужной впадины и перелом крестца. Проведено тщательное обследование у гематолога и онколога, выполнена трепанобиопсия. Онкопатология и патология системы кроветворения исключены.
В связи с выявленными атравматичными переломами заподозрен остеопороз, и пациент направлен в центр остеопороза. Выполнена двухэнергетическая рентгеновская абсорбциометрия (денситометрия): Z-критерий в позвоночнике составил 0,8, в шейке бедренной кости — 1,6, общий показатель бедренной кости — 1,6 (соответствует ожидаемой возрастной норме). По сравнению с данными 2021 г. отмечено выраженное снижение минеральной плотности костной ткани: по позвоночнику — на 5,5%, по общему показателю бедренной кости — на 9,6%.
При анализе истории болезни обратил на себя внимание тот факт, что с 2021 г. у пациента регистрируют значительное повышение уровня щелочной фосфатазы (до 900 Ед/л) при 25(ОН)D 17 нг/мл (дефиците витамина D) и нормальных показателях паратгормона и кальция в сыворотке крови. На основе указанных изменений ранее (в марте 2022 г.) поставлен диагноз «остеомаляция на фоне дефицита витамина D», пациент получил насыщающую терапию колекальциферолом, сейчас постоянно принимает его в дозе 2500 МЕ в день. Уровень 25(ОН)D повысился до 49 нг/мл (нормы), однако повышение активности щелочной фосфатазы (199 Ед/л) сохранялось, впервые проведено исследование уровня фосфора и выявлена гипофосфатемия (0,61 ммоль/л).
Из анамнеза: помимо сахарного диабета 2-го типа пациент с 1997 г. болен кататонической шизофренией (принимает тригексифенидил и зуклопентиксол). С 2018 г. наблюдается у инфекциониста с диагнозом «хронический вирусный гепатит В», с тех пор получает тенофовир по 300 мг в день. В течение последних полутора лет у пациента регистрируют повышенный уровень креатинина: в 2021 г. — 126 мкмоль/л, в 2022 г. — 127 мкмоль/л, в 2023 — 136 мкмоль/л. При ультразвуковом исследовании почек патологии не выявлено, обследование не продолжали. Эндокринолог рассматривает состояние пациента как диабетическую нефропатию.
При осмотре обращали на себя внимание болезненность и припухлость мягких тканей свода правой стопы, болезненность при пальпации области ахилловых сухожилий с существенным ограничением объема движений в голеностопных суставах, ограничение подвижности в поясничном отделе позвоночника, мышечная слабость, затруднявшая передвижение.
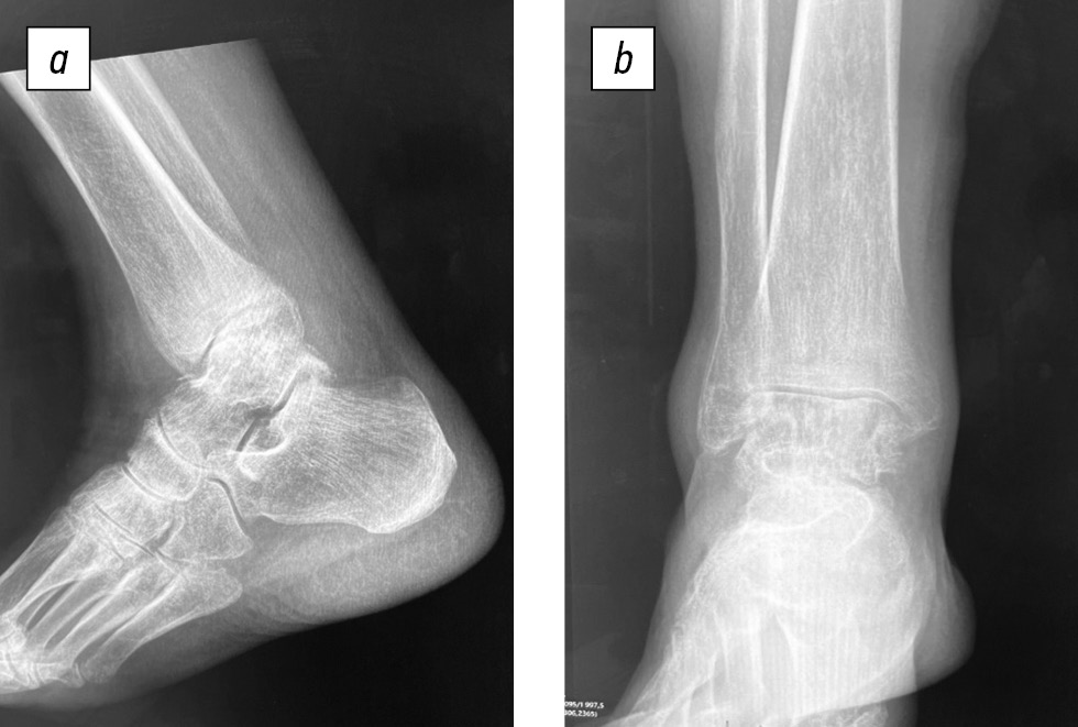
Проведено лабораторное исследование (декабрь 2023 г.): уровень креатинина крови составил 146,9 мкмоль/л, активность щелочной фосфатазы — 216 Ед/л, уровень фосфора — 0,7 ммоль/л (при норме 0,81–1,45 ммоль/л). В моче: уровень фосфора был 8,6 ммоль/л, креатинина — 4,79 ммоль/л. Расчетная канальцевая реабсорбция фосфора составила 62% (при норме 85–95%), соотношение максимальной реабсорбции фосфатов и скорости клубочковой фильтрации — 0,44 ммоль/л (при норме 0,84–1,23 ммоль/л). Концентрация ФРФ-23 составила 19,863 пг/мл (умеренное повышение). При рентгенографии стоп в двух проекциях заподозрен асептический некроз таранных костей, преимущественно справа (рис. 1).
Рис. 1. Боковая (а) и переднезадняя (b) рентгенограммы правого голеностопного сустава. Нарушение архитектоники таранной кости в виде неравномерного разрежения костной ткани (подозрение на асептический некроз). Сужение суставной щели голеностопного сустава.
Fig. 1. Lateral X-ray view (a) and frontal X-ray view (b) of the right ankle. Impaired architecture of the talus manifested by heterogeneous bone loss (suspected aseptic necrosis). Ankle joint space narrowing.
Установлен диагноз: гипофосфатемическая остеомаляция, синдром Фанкони с нарушением реабсорбции фосфатов и хроническая болезнь почек стадии 3а как осложнение из-за противовирусной терапии хронического гепатита В (тенофовиром). Осложнение: множественные низкоэнергетические переломы тел позвонков, ребер, левой вертлужной впадины и крестца, остеонекроз таранных костей.
Пациенту рекомендована консультация гастроэнтеролога, и по ее результатам тенофовир отменен. В ближайшие дни после отмены препарата пациент стал отмечать улучшение самочувствия, увеличение мышечной силы, уменьшение онемения в ногах, значительное снижение болей в области стоп и голеностопных суставов, что сопровождалось расширением физической активности. Через месяц после отмены тенофовира уровень фосфора поднялся до 0,84 ммоль/л, активность щелочной фосфатазы нормализовалась (144,3 Ед/л).
Через 6 мес. после отмены тенофовира у пациента практически нет жалоб. Восстановилась физическая активность. Изменений мягких тканей в области стоп нет, объем движений в суставах восстановлен. Сохраняются некоторое ограничение подвижности в поясничном отделе позвоночника и повышенный уровень креатинина крови (125 мкмоль/л). Уровень фосфора составил 0,84 ммоль/л, активность щелочной фосфатазы — 58,71 Ед/л, уровень паратгормона — 15,0 пг/мл (при норме 14–72 пг/мл), кальция общего — 2,49 ммоль/л (при норме 2,18–2,6 ммоль/л), глюкозы — 6,8 ммоль/л (при более ранних исследованиях 7,3 ммоль/л, 10,0 ммоль/л), билирубина общего — 10,0 мкмоль/л (при норме 5–21 мкмоль/л), активность аланинаминотрансферазы — 16 ЕД/л (при норме 5–41 ЕД/л), аспартатаминотрансферазы — 20 ЕД/л (при норме 0–38 ЕД/л ). Расчетная канальцевая реабсорбция фосфора составила 95%, соотношение максимальной реабсорбции фосфатов и скорости клубочковой фильтрации — 0,81 ммоль/л.
При магнитно-резонансной томографии правого голеностопного сустава: картина стресс-перелома в области метафиза большеберцовой кости. Последствия остеонекроза в виде участков субхондральной кистозной перестройки костной ткани блока таранной кости, ладьевидной, медиальной клиновидной костей (рис. 2).
Рис. 2. Признаки стресс-перелома по ходу метафиза большеберцовой кости в виде неравномерно утолщенной полоски остеосклероза, сопровождающейся небольшим перифокальным межтрабекулярным отеком с выходом на кортикальную пластинку по латеральной поверхности (а, b); c, в блоке таранной кости субхондрально по внутреннему краю отмечены признаки последствий остеонекроза в виде небольшой кистозной перестройки костной ткани диаметром до 3–4 мм с перифокальным остеитом (перифокальным межтрабекулярным отеком) диаметром до 6–7 мм; d, участки субхондральной кистозной перестройки костной ткани и небольшого перифокального отека в ладьевидной кости в области таранно-ладьевидного сочленения. STIR — инверсия-восстановление спинового эха; PD FS — протонная плотность с подавлением жира.
Fig. 2. Evidence of a stress fracture along the tibial metaphysis with a heterogeneously thickened osteosclerotic band with a mild intertrabecular edema involving the cortical plate along the lateral aspect (a, b); c, the trochlea of the talus shows signs of osteonecrotic sequelae in the subchondral region along the medial margin, as evidenced by a mild cystic lesion in the bone tissue up to 3–4 mm in diameter with perifocal osteitis (perifocal intertrabecular edema) up to 6–7 mm in diameter; d, subchondral cystic lesions in the bone tissue and mild perifocal edema in the scaphoid bone in the area of the astragaloscaphoid joint. STIR, short tau inversion recovery; PD-FS, fat-saturated proton density.
Обсуждение
Данное клиническое наблюдение демонстрирует, что не каждый случай низкоэнергетических переломов у взрослого обусловлен остеопорозом, особенно это касается мужчин. Для дифференциальной диагностики остеопороза с другими метаболическими заболеваниями костной ткани, сопровождающимися переломами, важно внимание к клинической картине и адекватное лабораторное исследование. Для остеомаляции характерны не наблюдаемые при остеопорозе мышечная слабость и распространенные мышечно-скелетные боли, признаки нейропатии. Если при остеопорозе лабораторные анализы остаются в норме, то при остеомаляции выявляют снижение уровней кальция/фосфора и/или витамина D. У пациента клиническая картина и данные лабораторного обследования типичны для фосфопенической остеомаляции. Снижение реабсорбции фосфатов как причина гипофосфатемии доказано с помощью расчета канальцевой реабсорбции фосфатов и соотношения максимальной реабсорбции фосфора к скорости клубочковой фильтрации. Оба показателя рассчитывают на основании измерения креатинина и фосфора крови и утренней порции мочи с помощью формулы, доступной в интернете (https://www.endocrincentr.ru/kalkulyator-dlya-ocenki-indeksa-reabsorbcii-fosfatov).
В ряде работ у пациентов на антиретровирусной терапии отмечено снижение минеральной плотности костной ткани до уровня остеопороза [7]. В представленном случае масса кости существенно снижалась при динамическом наблюдении, хотя оставалась в пределах нормы. Возможно, именно отсутствие остеопороза, по данным денситометрии, побудило врача направить пациента в центр остеопороза и не начинать антирезорбтивную терапию, способную существенно усугубить состояние костной ткани. Ранее были описаны случаи развития новых переломов в результате ошибочного применения бисфосфонатов или деносумаба при фосфопенической остеомаляции, в том числе на фоне синдрома Фанкони, вызванного приемом тенофовира [13, 14].
Интересной находкой были последствия остеонекроза таранной, ладьевидной и медиальной клиновидной костей, вероятно развившегося на фоне приема тенофовира. Хотя в целом это ожидаемый побочный эффект препарата, но ранее он был отмечен в других локализациях [15].
Отмена тенофовира у пациента привела к быстрому подъему концентрации фосфора и нормализации уровня щелочной фосфатазы, что подтверждает связь изменений этих параметров с приемом препарата. Однако уровень креатинина сохраняется высоким, вероятно, за счет диабетической нефропатии. Возможно, по этой же причине соотношение максимальной реабсорбции фосфатов и скорости клубочковой фильтрации сохраняется сниженным.
Заключение
Представленное наблюдение свидетельствует о том, что при ведении пациентов с любыми хроническими заболеваниями, длительно получающими различные варианты терапии, необходимо сохранять настороженность в отношении ее побочных эффектов и быть внимательными к деталям, даже если они выходят за рамки органа или системы, подвергаемой лечению. Так, при терапии пациентов с ВИЧ-инфекцией и хроническим вирусным гепатитом В антиретровирусными препаратами следует регулярно оценивать уровень фосфатов, активность щелочной фосфатазы и уровень креатинина крови, а также обращать внимание на присоединившиеся в процессе наблюдения за пациентом признаки и симптомы.
Данный случай продемонстрировал сложность и важность своевременной диагностики остеомаляции. Отмена препарата, ставшего причиной нарушений метаболизма костной ткани и переломов, привела к быстрому клиническому и лабораторному улучшению.
Дополнительная информация
Вклад авторов. О.М. Лесняк — разработка концепции, написание черновика рукописи; Е.С. Куницина, А.Л. Бурулев — написание черновика, пересмотр и редактирование рукописи. Все авторы одобрили рукопись (версию для публикации), а также согласились нести ответственность за все аспекты работы, гарантируя надлежащее рассмотрение и решение вопросов, связанных с точностью и добросовестностью любой ее части.
Благодарности. Авторы благодарят сотрудников отделения остеопороза и остеопатий Института клинической эндокринологии Национального медицинского исследовательского центра эндокринологии доктора медицинских наук Ж.Е. Белую и С.А. Гронскую за возможность исследования уровня фактора роста фибробластов-23.
Согласие на публикацию. Авторы получили письменное информированное добровольное согласие пациента на публикацию персональных данных в научном журнале, включая его электронную версию (дата подписания 02.04.2024). Объем публикуемых данных с пациентом согласован.
Источники финансирования. Отсутствуют.
Раскрытие интересов. Авторы заявляют об отсутствии отношений, деятельности и интересов за последние три года, связанных с третьими лицами (коммерческими и некоммерческими), интересы которых могут быть затронуты содержанием статьи.
Оригинальность. При создании настоящей работы авторы не использовали ранее опубликованные сведения (текст, иллюстрации, данные).
Доступ к данным. Все данные, полученные в настоящем исследовании, доступны в статье.
Генеративный искусственный интеллект. При создании настоящей статьи технологии генеративного искусственного интеллекта не использовали.
Рассмотрение и рецензирование. Настоящая работа подана в журнал в инициативном порядке и рассмотрена по обычной процедуре. В рецензировании участвовали два внутренних рецензента из состава редакционной коллегии.
Additional information
Author contributions: O.M. Lesnyak: conceptualization, writing the draft; E.S. Kunitsina, A.L. Burulev: writing the draft, review and editing. All authors approved the version of the manuscript to be published, and agreed to be accountable for all aspects of the work, ensuring that questions related to the accuracy or integrity of any part of it are appropriately reviewed and resolved.
Acknowledgments: The authors express their gratitude to Janna Belaya and Sofia Gronskaya from the Department of Osteoporosis and Osteopathies of the Institute of Clinical Endocrinology of the National Medical Research Center for Endocrinology, Moscow, for the opportunity to study the levels of fibroblast growth factor-23.
Consent for publication: Written informed consent was obtained from the subject on April 02, 2024, for publication of relevant personal information in a scientific journal, including its digital version. The amount of data to be disclosed is agreed with the patient.
Funding sources: No funding.
Disclosure of interests: The authors declare no commercial or non-commercial relationship, activity, or interest with any third party in the past three years that could be affected by the content of the article.
Statement of originality: No previously published information (text, illustrations, or data) was used in this work.
Data availability statement: All study data are available in the article.
Generative AI: No generative artificial intelligence technologies were used to prepare this paper.
Provenance and peer-review: This paper was submitted unsolicited and reviewed following the standard procedure. The peer review process involved two members of the editorial board.
About the authors
Olga M. Lesnyak
North-Western State Medical University named after I.I. Mechnikov; Clinical Rheumatological Hospital No. 25 named after V.A. Nasonova
Email: olga.m.lesnyak@yandex.ru
ORCID iD: 0000-0002-0143-0614
SPIN-code: 6432-4188
MD, Dr. Sci. (Medicine), Professor
Russian Federation, Saint Petersburg; Saint PetersburgElena S. Kunitsina
Clinical Rheumatological Hospital No. 25 named after V.A. Nasonova
Email: kunlena1971@mail.ru
ORCID iD: 0009-0006-6881-5136
SPIN-code: 4691-8698
Russian Federation, Saint Petersburg
Artem L. Burulev
North-Western State Medical University named after I.I. Mechnikov; Clinical Rheumatological Hospital No. 25 named after V.A. Nasonova
Author for correspondence.
Email: artmed@mail.ru
ORCID iD: 0009-0007-5401-5047
SPIN-code: 9835-4660
MD, Cand. Sci (Medicine), Assistant Professor
Russian Federation, Saint Petersburg; Saint PetersburgReferences
- Uday S, Högler W. Nutritional rickets and osteomalacia in the twenty-first century: revised concepts, public health, and prevention strategies. Curr Osteoporos Rep. 2017;15(4):293–302. doi: 10.1007/s11914-017-0383-y Erratum in: Curr Osteoporos Rep. 2017;15(5):507. doi: 10.1007/s11914-017-0395-7
- Megapanou E, Florentin M, Milionis H, et al. Drug-induced hypophosphatemia: current insights. Drug Saf. 2020;43(3):197–210. doi: 10.1007/s40264-019-00888-1
- Kuznetsov NI, Moiseeva IE. Modern principles of etiotropic therapy for chronic hepatitis B and C. Russian family doctor. 2022;26(4):7–15. EDN: TPRCSA doi: 10.17816/RFD112383
- Liu Z, Zhao Z, Ma X, et al. Renal and bone side effects of long-term use of entecavir, tenofovir disoproxil fumarate, and tenofovir alafenamide fumarate in patients with Hepatitis B: a network meta-analysis. BMC Gastroenterol. 2023;23(1):384. doi: 10.1186/s12876-023-03027-4
- Medland NA, Chow EP, Walker RG, et al. Incidence of renal Fanconi syndrome in patients taking antiretroviral therapy including tenofovir disoproxil fumarate. Int J STD AIDS. 2018;29(3):227–236. doi: 10.1177/0956462417722133
- Sutton SS, Magagnoli J, Hardin JW, et al. Association of tenofovir disoproxil fumarate exposure with chronic kidney disease and osteoporotic fracture in US veterans with HIV. Curr Med Res Opin. 2020;36(10):1635–1642. doi: 10.1080/03007995.2020.1816538
- Dessordi R, Santana RC, Navarro AM. Influence of antiretroviral therapy on bone metabolism of patients with chronic hepatitis B: a review. Rev Soc Bras Med Trop. 2019;52:e20180441. doi: 10.1590/0037-8682-0441-2018
- Mateo L, Holgado S, Mariñoso ML, et al. Hypophosphatemic osteomalacia induced by tenofovir in HIV-infected patients. Clin Rheumatol. 2016;35(5):1271–1279. doi: 10.1007/s10067-014-2627-x
- Rao M, Dadey L, Glowa T, Veldkamp P. Fanconi syndrome leading to hypophosphatemic osteomalacia related to tenofovir use. Infect Dis Rep. 2021;13(2):448–453. doi: 10.3390/idr13020044
- Iatan I, Lee TC, McDonald EG. Tenofovir-induced osteomalacia with hypophosphataemia. BMJ Case Rep. 2021;14(5):e240387. doi: 10.1136/bcr-2020-240387
- Joseph A, Cherian KE, Kapoor N, Paul TV. Tenofovir-induced hypophosphatemic osteomalacia: how do bone mineral density, trabecular bone score and proximal hip geometry change with treatment? Endocrinol Diabetes Metab Case Rep. 2023;2023(1):22–0259. doi: 10.1530/EDM-22-0259
- Li J, Zang X, Heng H, et al. Fanconi syndrome induced by the long-term use of tenofovir disoproxil fumarate: a case report and literature review. J Int Med Res. 2023;51(8):3000605231195469. doi: 10.1177/03000605231195469
- Cundy T, Que L, Hassan IM, Hughes L. Bisphosphonate-induced deterioration of osteomalacia in undiagnosed adult Fanconi syndrome. JBMR Plus. 2020;4(8):e10374. doi: 10.1002/jbm4.10374
- Chung TL, Chen NC, Chen CL. Severe hypophosphatemia induced by denosumab in a patient with osteomalacia and tenofovir disoproxil fumarate-related acquired Fanconi syndrome. Osteoporos Int. 2019;30(2):519–523. doi: 10.1007/s00198-018-4679-2
- Diallo K, Wembulua BS, Aidara M, e al. Osteonecrosis of the humeral head in a human immunodeficiency virus-infected patient under tenofovir disoproxil fumarate-emtricitabine-lopinavir/ritonavir for 10 years: a case report. J Med Case Rep. 2021;15(1):624. doi: 10.1186/s13256-021-03145-1
Supplementary files




