Influence of mutation in pea (Pisum sativum L.) cdt (cadmium tolerance) gene on histological and ultrastructural nodule organization
- Authors: Tsyganova A.V.1, Seliverstova E.V.1,2, Tsyganov V.E.1
-
Affiliations:
- All-Russia Research Institute for Agricultural Microbiology
- Sechenov Institute of Evolutionary Physiology and Biochemistry of the RAS
- Issue: Vol 17, No 1 (2019)
- Pages: 71-80
- Section: Genetic basis of ecosystems evolution
- Submitted: 10.12.2018
- Accepted: 19.02.2019
- Published: 15.03.2019
- URL: https://journals.eco-vector.com/ecolgenet/article/view/10628
- DOI: https://doi.org/10.17816/ecogen17171-80
- ID: 10628
Cite item
Abstract
Background. A comparative analysis out of the structural organization of the symbiotic nodules of the pea initial line SGE and the mutant line SGECdt, characterized by increased tolerance to cadmium and increased its accumulation, was carried out.
Materials and methods.Nodules of initial line SGE and mutant SGECdt were analyzed using light and transmission electron microscopy.
Results. The non-treated nodules of SGE and SGECdt were characterized by a similar histological and ultrastructural organization. In the nodules of SGE exposed to 100 µM CdCl2 in infected cells, the following abnormalities were observed: expansion of the peribacteroid space, destruction of the symbiosome membrane, fusion of symbiosomes and, as a result, the formation of symbiosomes containing several bacteroids. In the nodules of SGECdt, infected cells did not undergo pronounced changes. In the nodules of SGE exposed to 1 mM CdCl2, at the base of the nodule, senescent infected cells with completely destroyed cytoplasm and degrading bacteroids appeared. Also there were present cells in which the contents of symbiosomes were lysing, and only the “ghosts” of the bacteroids remained in them. In SGECdt, in some infected cells, abnormalities were manifested in an increase in the peribacteroid space, partial destruction of symbiosome membranes, fusion of symbiosomes, and release of bacteroids into the vacuole.
Conclusions. The tolerance of pea nodules to cadmium can be significantly increased due to a single recessive cdt mutation.
Full Text
INTRODUCTION
The release of cadmium (Cd) into the environment is conditioned by natural processes as well as by constantly increasing human activities [1]. Cd is a toxic element that causes various abnormalities in plant development [2, 3] and it is absorbed from the soil by the roots of plants. Plants exhibit different levels of tolerance to Cd; most of them demonstrate common tolerance, while others show hypertolerance that can be accompanied by hyperaccumulation of Cd [4, 5]. Both types of tolerance have different underlying molecular, genetic, biochemical, and cellular mechanisms [6].
Cd affects not only the development and the functioning of plants but also the plant interaction with symbiotic microorganisms [7–12]. It was showed that the development of pea plants and especially rhizobial growth are inhibited at higher concentrations of Cd in comparison with the growth of nodules [13]. Therefore, in order to develop plant-microbe systems tolerant to Cd, the tolerance of nodule formation to Cd needs to be increased. Since rhizobia show high levels of Cd tolerance [13], the best way to increase the level of tolerance of the symbiotic system is modification in plant genome.
Pea mutant line SGECdt, characterized by increased tolerance to Cd and elevated Cd accumulation in the plant tissues, was obtained after ethyl methanesulfonate mutagenesis. The mutant line SGECdt carries a recessive cdt mutation [14] localized in pea linkage group VI [15, 16]. Grafting experiments showed that this root genotype causes increased tolerance to Cd and increased Cd accumulation in the tissues of the mutant line [17].
The mutant line SGECdt is highly tolerant to the effect of Cd in the process of nodule formation compared with the initial line SGE [13, 18]. However, the effect of Cd on the structural organization of mature nodules in the mutant line has not yet been studied.
The aim of this study was to analyze the effect of Cd on the structural organization of the symbiotic nodules in the initial line SGE and in the mutant line SGECdt.
MATERIALS AND RESEARCH METHODS
Plant material
The pea (Pisum sativum L.) mutant line SGECdt (cdt), which is characterized by increased tolerance to Cd and elevated Cd accumulation [14], and the initial line SGE [19] from the collection of the All-Russia Research Institute for Agricultural Microbiology were used.
Bacterial strain
The plants were inoculated with commercial strain of Rhizobium leguminosarum bv. viciae RCAM 1026 (=CIAM 1026) [20] from the collection of the All-Russia Research Institute for Agricultural Microbiology.
Growth conditions and collection of material for analysis
The seeds were sterilized in concentrated sulfuric acid for 30 min and were subsequently washed in sterile water 10 times. The seeds were placed on rafts floating in a hydroponic solution with the root system immersed in the solution and the cotyledons and shoots on the surface of the raft. The hydroponic solution had the following composition: KH2PO4, 110 mM; Ca (NO3)2, 50 mM; MgSO4, 400 mM; KCl, 300 mM; CaCl2, 70 mM; H3BO3, 1 mM; MnSO4, 1 mM; ZnSO4, 1 mM; Na2MoO4, 0.03 mM; and FeC4H4O6, 2.5 mM. The hydroponic solution was exposed to permanent bubbling and it was changed every 3 days. The plants were grown in growth chamber MLR-352H (Sanyo Electric Co., Ltd., Japan) in the day/night 16/8 h mode at 21 °C, relative humidity of 75%, and illumination of 280 µmol m–2 s–1. In 23 days after inoculation, CdCl2 was added to the hydroponic solution up to a concentration of 100 μM and 1 mM. In 24 h after adding CdCl2, the nodules from five plants were harvested for fixation.
Microscopic analysis
For electron microscopy analysis, the nodules were exposed to slight vacuuming with fixation in 2.5% solution of glutaraldehyde in 0.3 M phosphate buffer (pH 7.2) at 4 °C overnight. After fixation, the samples were washed four times in 0.3 M phosphate buffer with additional fixation in 1 % solution of osmium tetroxide in 0.3 M phosphate buffer for 2 h. After washing thrice for 15 min in distilled water, the samples were dehydrated in ethanol of increasing concentrations: 50%, 70% (leaving overnight at 4 °C), and 96% for 15 min in each solution. Then, the samples were dehydrated twice in absolute ethanol for 10 min, in a mixture of absolute ethanol and acetone in the ratio 1 : 1 for 10 min, and twice in acetone for 10 min.
Epon 812 resin with DMP-30 catalyst was used as the embedding mixture (Honeywell FlukaTM, Fisher Scientific, Loughborough, UK). The tissues were infiltrated with increasing concentrations of embedding medium in the ratio 1 : 1 and 1 : 3 mixed with absolute acetone for 1 h and then in the pure resin overnight at room temperature. The nodules were placed in previously dried polyethylene capsules filled with fresh embedding mixture. Polymerization was carried out at 60 °C for 2 days in the incubator IN55 (Memmert GmbH, Germany).
Semithin sections (0.5–1 µm) were stained with toluidine blue and studied under the microscope Leica DM LB2 (Leica Microsystems, Austria) using 5×, 10× and 20× lenses. Ultrathin sections (90–100 nm) were cut on ultratome Leica Ultracut UCT (Leica Microsystems, Austria) and collected on a copper grids covered with formvar. The ultrathin sections were contrasted with 1% uranyl acetate solution for 20 min and Reynold’s lead citrate for 1 min. The ultrathin sections were observed and photographed using the transmission electron microscope LEO 910 (LEO Electron Microscopy Group, Germany) with accelerating voltage of 60 kV.
RESULTS
Histological and ultrastructural organization of the pea symbiotic nodules in the initial line SGE and mutant line SGECdt
The nodules in the SGE and SGECdt lines grown in hydroponic cultures without CdCl2 had similar histological organization, which was typical for nodules of the indeterminate type, in which the meristem, infection, and nitrogen fixation zones were distinguished (Fig. 1a, b). Nevertheless, separate cells were underwent to degradation, which was caused probably by the growth conditions in hydroponic cultures (Fig. 1a, b).The nodules of SGE and SGECdt lines had similar ultrastructural organization, which was not different from that earlier described for pea nodules. We observed infection threads filled with bacteria (Fig. 1 g) and the symbiosomes containing individual pleomorphic bacteroids (Fig. 1h).
Fig. 1. Histological organization of pea nodules of the initial line SGE and mutant line SGECdt, untreated and treated with 100 μM CdCl2, and ultrastructural organization of untreated SGECdt nodules: a – histological organization of untreated SGE nodules; b – histological organization of untreated SGECdt nodules; c, e – histological organization of SGE nodules treated with 100 μM CdCl2; d, f – histological organization of SGECdt nodules treated with 100 μM CdCl2; g – infected cell of SGECdt from the infection zone with infection thread and juvenile bacteroids; h – infected cell of SGECdt from the nitrogen fixation zone with pleomorphic bacteroids. I – meristem, II – infection zone, II-III – interzone between infection and nitrogen fixation zones, III – nitrogen fixation zone, ic – infected cell, uic – uninfected cell, dic – degrading infected cell, IT – infection thread, CW – cell wall, B – bacterium, Ba – bacteroid, JBa – juvenile bacteroid; arrows indicate symbiosome membrane. Scale bar: a-d – 100 µm, e, f – 20 µm, g, h – 1 µm
Histological and ultrastructural organization of pea symbiotic nodules of the initial line SGE and mutant line SGECdt treated with 100 µM CdCl2
Treatment of the root systems with different CdCl2 concentrations affected the nodules of various ages. The mature nodules were characterized by bigger size compared to the young ones. Moreover, the mature nodules were more tolerant to the toxic effect of Cd.
In mature SGE and SGECdt nodules, all the histological zones were observed (Fig. 1 c, d), but in the nodules of the initial line some infected cells with signs of degradation were observed (Fig. 1 e). However, these abnormalities were not observed in the nodules of the mutant line (Fig. 1 f).
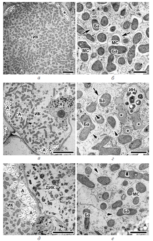
In the mature SGE nodules, the infected cells in the nitrogen fixation zone were filled with numerous bacteroids (Fig. 2 a). The membranes of the bacteroids were characterized by increased rugosity (Fig. 2 b). The peribacteroid space in the symbiosomes was also increased. Frequent destruction of symbiosome membranes and symbiosome fusion that led to the appearance of symbiosomes containing several bacteroids were observed (Fig. 2 b). The ultrastructural organization of the infection threads was similar to the normal; however, some of them had numerous outgrowths surrounded by a cell wall and filled with matrix without bacteria (Fig. 2 d). In the infected cells with signs of degradation, symbiosome membranes were destroyed (Fig. 2 d), which resulted in the release of bacteroids into the clear cytoplasm (Fig. 2 c, f) followed by their complete degradation (Fig. 2 e).
Fig. 2. Ultrastructural organization of pea nodules of the initial line SGE, treated with 100 μM CdCl2: a, b – infected cells from the nitrogen fixation zone with pleiomorphic bacteroids; c, d – infected cells from the nitrogen fixation zone with the primary signs of senescence (degradation of the cytoplasm and developmental abnormalities of the infection thread); e, f – degrading infected cells from the senescence zone. IC – infected cell, DIC – degrading infected cell, N – nucleus, A – amyloplast, IT – infection thread, Ba – bacteroid, MS – “multiple” symbiosome, formed as a result of symbiosome fusion and containing several bacteroids; arrows indicate a symbiosome membrane, arrowheads indicate destruction of symbiosome membranes, asterisks indicate outgrowths of infection thread containing a matrix without bacteria. Scale bar: a, c, e – 5 µm; b, d, f – 1 µm
In the mature SGECdt nodules, the infected cells in the infection and nitrogen fixation zones did not undergo major changes (Fig. 3 a). The structure of the infection threads and droplets did not differ from those of untreated plants (Fig. 3 a, b). However, in some infected cells from the infection and nitrogen fixation zones, we found symbiosomes with enlarged peribacteroid space (Fig. 3 b, c). Besides, in the infected cells from the nitrogen fixation zone, we observed signs of symbiosome membrane destruction and symbiosome fusion (Fig. 3 d). In the base of nodule in some cells, we detected noticeable signs of degradation such as destruction of the cytoplasm and organelles of the plant cells and release of bacteroids from symbiosomes (data not shown).
Fig. 3. Ultrastructural organization of pea nodules of the mutant line SGECdt, treated with 100 μM CdCl2: a – infected cell from the nitrogen fixation zone with infection thread and infection droplet; b – infected cell from the infection zone with infection thread and juvenile bacteroids; c – infected cells from the nitrogen fixation zone, filled with symbiosomes with expanded peribacteroid spaces; d – pleomorphic bacteroids from the nitrogen fixation zone. IC – infected cell, N – the nucleus, CW – cell wall, IT – infection thread, ID – infection droplet, Ba – bacteroid, MS – “multiple” symbiosome, formed as a result of symbiosome fusion and containing several bacteroids; arrows indicate symbiosome membrane, arrowheads indicate the destruction of symbiosome membranes. Scale bar: a – 5 μm; b, d – 1 µm; c – 2 µm
Histological and ultrastructural organization of pea symbiotic nodules in the initial line SGE and mutant line SGECdt treated with 1 mM CdCl2
In mature SGE nodules, the infected cells in the nitrogen fixation zone showed a rough and folded surface (data not shown). The structure of the mature SGECdt nodules was similar to that of the nodules treated with 100 µM CdCl2 (data not shown).
The ultrastructural organization of the mature SGE nodules showed signs of premature degradation of the symbiotic compartments (Fig. 4 a, c, e). In the nitrogen fixation zone in the most cells, symbiosome membranes were partially or completely destroyed and degrading bacteroids were observed (Fig. 4 b). The senescence zone contained cells with completely destroyed cytoplasm and degrading bacteroids (Fig. 4 c, d). The bacteroids acquired irregular shapes and folded surfaces (Fig. 4 d), and their matrix was partially or completely cleared (Fig. 4 c, f). We identified the cells wherein the content of the symbiosomes was lysed. They contained membranes of the bacteroids only (Fig. 4 e).
Fig. 4. Ultrastructural organization of pea nodules of the initial line SGE, treated with 1 mM CdCl2: a – infected cells from the nitrogen fixation zone with premature signs of degradation; b – pleomorphic bacteroids from the nitrogen fixation zone; c – degrading infected cell from the senescence zone with infection thread and infection droplet; d – bacteroids of irregular shape and with rugose surface in degrading infected cell from the senescence zone; e – degrading infected cell from the senescence zone, filled with the “ghosts” of bacteroids; f – degrading bacteroids with a partly cleared matrix and destroyed symbiosome membrane. IC – infected cell, DIC – degrading infected cell, N – nucleus, V – vacuole, CW – cell wall, IT – infection thread, ID – infection droplet, Ba – bacteroid, DBa – degrading bacteroid, MS – “multiple” symbiosome, formed as a result of symbiosome fusion and containing several bacteroids; arrows indicate symbiosome membrane, arrowheads indicate the destruction of symbiosome membranes, and triangles indicate the “ghosts” of bacteroids. Scale bar: a, c, e – 5 µm; b, d, f – 1 µm
The ultrastructural organization of the mature SGECdt nodules showed that in the infected cells in the infection zone, the bacteroid membranes were characterized by elevated rugosity (Fig. 5 a). The peribacteroid space in the symbiosomes was increased; the symbiosome membranes in some cells of the infection zone were partially destroyed that resulted in the release of juvenile bacteroids into the vacuole (Fig. 5 a). In the nitrogen fixation zone, we observed symbiosome fusion in the infected cells (Fig. 5 b), wherein peribacteroid spaces were increased with symbiosome membrane destruction (Fig. 5 c). In some senescent cells, we observed visible destruction of symbiosomes and tonoplast of infected cells (Fig. 5 d).
Fig. 5. Ultrastructural organization of pea nodules of the mutant line SGECdt, treated with 1 mM CdCl2: а – infected cell from the infection zone with juvenile bacteroids; b – pleomorphic bacteroids in the infected cell from the nitrogen fixation zone; c – infected cell from the nitrogen fixation zone with primary signs of symbiosome degradation: expansion of the peribacteroid space, destruction of the symbiosome membrane and fusion of symbiosomes; d – degrading infected cell from the senescence zone. IC – infected cell, V – vacuole, CW – cell wall, A – amyloplast, Ba – bacteroid, JBa – juvenile bacteroid, MS – “multiple” symbiosome, formed as a result of symbiosome fusion and containing several bacteroids, arrows indicate symbiosome membranes, arrowheads indicate the destruction of symbiosome membranes. Scale bar: a, b – 1 µm; c – 2 µm; d – 5 µm
DISCUSSION
The effect of Cd on the development and functioning of symbiotic nodules at the structural level has not been studied in detail. A study showed that treatment with 18 μM Cd2+ during 49 days entailed changes in the histological and ultrastructural organization of white lupin (Lupinus albus L.) nodules [8]. The intercellular spaces in the nodule cortex were filled with glycoproteins and some infected cells contained degraded bacteroids [8]. Soybean (Glycine max (L.) Merr.) nodules exposed to increasing Cd concentrations showed a decrease in the number of infected cells in the nitrogen fixation zone and in the number of bacteroids in the symbiosomes [7]. Another study elucidated the effect of Cd exposure on the structure of nodules in alfalfa (Medicago sativa L.) [9]. Cd treatment in that study was shown to affect the shape of the infected and uninfected cells and cause disappearance of the organelles; however, the infection threads were preserved in the infected cells. Several small vacuoles instead of the central one were formed in the infected cells of nitrogen fixation zone. In the infection zone, the presence of cells with normal infection threads and bacteroids as well as severely damaged ones with very dark cytoplasm and destroyed bacteroids was shown by the ultrastructural analysis of the nodules. The nitrogen fixation zone contained cells with numerous vacuoles and plasmolysis manifestations. However, organelles other than symbiosomes and mitochondria were not observed. The bacteroids underwent degradation while the symbiosomes developed irregular forms. In some nodules, the Cd effect was less pronounced, and the degradation symptoms in the infected cells of nitrogen fixation zone were only peribacteroid space extension and intensified symbiosome fusion. Therefore, they contained more than one bacteroid [9]. In that study the tolerance to Cd exposure of nodules formed by Sinorhizobium meliloti strain with flavodoxine overexpression was investigated. The nodules were more tolerant to Cd, and the symptoms of damage in these nodules were less pronounced. Some cells of the infection zone showed expansion of the peribacteroid space and vacuolar capture of bacteria, whereas in the nitrogen fixation zone, degradation extended to the symbiosomes containing several bacteroids [9]. Thus, in the alfalfa and pea nodules, Cd induces symbiosome fusion and the appearance of symbiosomes containing several bacteroids that can be considered as a sign of the symbiotic nodule senescence [21]. Besides, in the cells of both species, it was found the presence of bacteria in vacuoles, which indicated disintegration of the tonoplast. This is one of the manifestations of the programmed cell death [22], which is often observed during the nodule senescence [23, 24].
The genetic models have not almost been used for studying nodule functioning under Cd. In pea the effect of Cd on the development of nodules was studied for two contrasting genotypes – VIR8456 and VIR3429 – which differed by the level of tolerance to Cd [25]. At Cd concentration of 4.4 ppm in the soil, VIR8456 nodules were less tolerant. In the infected cells, degradation of peribacteroid membranes and accumulation of electron-dense inclusions were observed. At Cd concentration of 22 ppm in the soil, abnormalities at the ultrastructural level were observed in the nodules of both genotypes, although they were pronounced more strongly in VIR8456 [26].
Thus, this work is a pioneer research in the genetic control of symbiotic nodule functioning under Cd stress. Our results showed that the tolerance of pea nodules to Cd can be increased significantly by the single recessive cdt mutation.
This research was supported by the grant of the Russian Science Foundation (17-76-30016).
The research was conducted using the equipment of the Core Centrum “Genomic Technologies, Proteomics and Cell Biology” of the All-Russia Research Institute for Agricultural Microbiology.
About the authors
Anna V. Tsyganova
All-Russia Research Institute for Agricultural Microbiology
Email: isaakij@mail.ru
ORCID iD: 0000-0003-3505-4298
Leading Scientist, Laboratory of Molecular and Cellular Biology
Russian Federation, 3, Podbelsky highway, Pushkin, Saint-Petersburg, 196608Elena V. Seliverstova
All-Russia Research Institute for Agricultural Microbiology; Sechenov Institute of Evolutionary Physiology and Biochemistry of the RAS
Email: elena306@yandex.ru
ORCID iD: 0000-0003-2096-693X
Senior Scientist, Laboratory of Molecular and Cellular Biology; Senior Scientist, Laboratory of Kidney Physiology and Water-Salt Metabolism
Russian Federation, 3, Podbelsky highway, Pushkin, Saint-Petersburg, 196608; 44, Thorez prospekt, St.-Petersburg, 194223Viktor E. Tsyganov
All-Russia Research Institute for Agricultural Microbiology
Author for correspondence.
Email: tsyganov@arriam.spb.ru
ORCID iD: 0000-0003-3105-8689
SPIN-code: 6532-1332
Scopus Author ID: 7006136325
ResearcherId: Q-5634-2016
http://arriam.ru/departments/laboratoriya-molekulyarnoj-i-kletochnoj-biologii/
Head of the Laboratory, Laboratory of Molecular and Cellular Biology
Russian Federation, 3, Podbelsky highway, Pushkin, Saint-Petersburg, 196608References
- Singh OV, Labana S, Pandey G, et al. Phytoremediation: an overview of metallic ion decontamination from soil. Appl Microbiol Biotechnol. 2003;61(5-6):405-412. https://doi.org/10.1007/s00253-003-1244-4.
- Sanità di Toppi L, Gabbrielli R. Response to cadmium in higher plants. Environ Exp Bot. 1999;41(2): 105-130. https://doi.org/10.1016/s0098-8472(98) 00058-6.
- He S, Yang X, He Z, Baligar VC. Morphological and physiological responses of plants to cadmium toxicity: A review. Pedosphere. 2017;27(3):421-438. https://doi.org/10.1016/s1002-0160(17)60339-4.
- Clemens S. Molecular mechanisms of plant me tal tolerance and homeostasis. Planta. 2001;212(4): 475-486. https://doi.org/10.1007/s004250000458.
- Clemens S. Toxic metal accumulation, responses to exposure and mechanisms of tolerance in plants. Biochimie. 2006;88(11):1707-1719. https://doi.org/10.1016/j.biochi.2006.07.003.
- Kulaeva OA, Tsyganov VE. Molecular-genetic basis of cadmium tolerance and accumulation in higher plants. Russ J Genet Appl Res. 2011;1(5):349-360. https://doi.org/10.1134/s2079059711050108.
- Chen YX, He YF, Yang Y, et al. Effect of cadmium on nodulation and N2-fixation of soybean in contaminated soils. Chemosphere. 2003;50(6):781-787. https://doi.org/10.1016/s0045-6535(02)00219-9.
- Carpena RO, Vázquez S, Esteban E, et al. Cadmium-stress in white lupin: effects on nodule structure and functioning. Plant Physiol Biochem. 2003;41(10):911-919. https://doi.org/10.1016/s0981-9428(03)00136-0.
- Shvaleva A, Coba de la Peña T, Rincón A, et al. Flavodoxin overexpression reduces cadmium-indu ced damage in alfalfa root nodules. Plant Soil. 2010;326(1-2):109-121. https://doi.org/10.1007/s11104-009-9985-1.
- Garg N, Bhandari P. Influence of cadmium stress and arbuscular mycorrhizal fungi on nodule senescence in Cajanus cajan (L.) Millsp. Int J Phytoremediation. 2012;14(1):62-74. https://doi.org/10.1080/15226514.2011.573822.
- Chubukova OV, Postrigan’ BN, Baimiev AK, Che meris AV. The effect of cadmium on the efficiency of development of legume-rhizobium symbiosis. Biol Bull. 2015;42(5):458-462. https://doi.org/10.1134/s1062359015050040.
- Rivera-Becerril F, Calantzis C, Turnau K, et al. Cadmium accumulation and buffering of cadmium-induced stress by arbuscular mycorrhiza in three Pisum sativum L. genotypes. J Exp Bot. 2002;53(371):1177-1185. https://doi.org/10.1093/jexbot/53.371.1177.
- Belimov AA, Puhalsky IV, Safronova VI, et al. Role of plant genotype and soil conditions in symbiotic plant-microbe interactions for adaptation of plants to cadmium-polluted soils. Water Air Soil Pollut. 2015;226(8):264. https://doi.org/10.1007/s11270-015-2537-9.
- Tsyganov VE, Belimov AA, Borisov AY, et al. A che mically induced new pea (Pisum sativum) mutant SGECdt with increased tolerance to, and accumulation of, cadmium. Ann Bot. 2007;99(2):227-237. https://doi.org/10.1093/aob/mcl261.
- Tsyganov VE, Kulaeva OA, Knox MR, et al. Using of SSAP analysis for primary localization of mutation cdt (cadmium tolerance) in pea linkage group VI. Russ J Genet Appl Res. 2013;3(2):152-155. https://doi.org/10.1134/s2079059713020081.
- Kulaeva OA, Tsyganov BE. Fine mapping of a cdt locus mutation that leads to an increase in the tolerance of pea (Pisum sativum L.) to cadmium. Russ J Genet Appl Res. 2013;3(2):120-126. https://doi.org/10.1134/s2079059713020020.
- Belimov AA, Malkov NV, Puhalsky JV, et al. The crucial role of roots in increased cadmium-tolerance and Cd-accumulation in the pea mutant SGECdt. Biol Plant. 2018;62(3):543-550. https://doi.org/10.1007/s10535-018-0789-0.
- Tsyganov VE, Zhernakov AI, Khodorenko AV, et al. Mutational analysis to study the role of genetic factors in pea adaptation to stresses during development its symbioses with Rhizobium and mycorrhizal fungi. In: Biological Nitrogen Fixation, Sustainable Agriculture and the Environment. Ed. by Y.P. Wang, M. Lin, Z.X. Tian, et al. Dordrecht: Springer; 2005. P. 279-281.
- Kosterin OE, Rozov SM. Mapping of the new mutation blb and the problem of integrity of linkage group I. Pisum Genet. 1993;25:27-31.
- Safronova VI, Novikova NI. Comparison of two me thods for root nodule bacteria preservation: Lyophilization and liquid nitrogen freezing. J Microbiol Methods. 1996;24(3):231-237. https://doi.org/10.1016/0167-7012(95)00042-9.
- Hernández-Jiménez MJ, Mercedes Lucas M, de Felipe MR. Antioxidant defence and damage in senescing lupin nodules. Plant Physiol Biochem. 2002;40 (6-8): 645-657.
- van Doorn WG. Classes of programmed cell death in plants, compared to those in animals. J Exp Bot. 2011;62(14):4749-4761. https://doi.org/10.1093/jxb/err196.
- Banba M, Siddique AB, Kouchi H, et al. Lotus japonicus forms early senescent root nodules with Rhizobium etli. Mol Plant Microbe Interact. 2001;14(2):173-180. https://doi.org/10.1094/MPMI.2001.14.2.173.
- Serova TA, Tsyganova AV, Tsyganov VE. Early nodule senescence is activated in symbiotic mutants of pea (Pisum sativum L.) forming ineffective nodules blocked at different nodule developmental stages. Protoplasma. 2018;255(5):1443-1459. https://doi.org/10.1007/s00709-018-1246-9.
- Belimov AA, Safronova VI, Tsyganov VE, et al. Genetic variability in tolerance to cadmium and accumulation of heavy metals in pea (Pisum sativum L.). Euphytica. 2003;131(1):25-35. https://doi.org/10.1023/a:1023048408148.
- Ausili P, Borisov A, Lindblad P, Mårtensson A. Cadmium affects the interaction between peas and root nodule bacteria. Acta Agric Scand B Soil Plant Sci. 2002;52(1):8-17. https://doi.org/10.1080/090647102320259992.
Supplementary files










