Анализ распределения эпитопов арабиногалактанпротеинов-экстензинов в клубеньках гороха (pisum sativum) дикого типа и мутантов с нарушениями роста инфекционной нити
- Авторы: Цыганова А.В.1, Бревин Н.2, Цыганов В.Е.1,3
-
Учреждения:
- Федеральное государственное бюджетное научное учреждение «Всероссийский научно-исследовательский институт сельскохозяйственной микробиологии»
- Центр Джона Иннеса
- Санкт-Петербургский научный центр РАН
- Выпуск: Том 17, № 3 (2019)
- Страницы: 5-12
- Раздел: Генетические основы эволюции экосистем
- Статья получена: 08.05.2019
- Статья одобрена: 26.06.2019
- Статья опубликована: 15.09.2019
- URL: https://journals.eco-vector.com/ecolgenet/article/view/12637
- DOI: https://doi.org/10.17816/ecogen1735-12
- ID: 12637
Цитировать
Полный текст
Аннотация
Арабиногалактанпротеин-экстензины (AGPE) играют важную роль на нескольких стадиях бобово-ризобиального симбиоза, включая колонизацию корней и развитие инфекционных структур, особенно инфекционных нитей. Основное внимание в этом исследовании уделено участию AGPE в последовательной колонизации тканей и клеток ризобиями. Для анализа распределения и количества эпитопов AGPE в клубеньках гороха дикого типа и неэффективных симбиотических мутантов была использована иммуноэлектронная микроскопия с моноклональными антителами MAC204 и MAC236. В клубеньках линии дикого типа SGE оба эпитопа AGPE были одинаково распределены в матриксе инфекционных нитей и инфекционных капель. В клубеньках мутантной линии SGEFix–-1 (sym40) количество метки MAC204 было значительно выше, чем у SGE, как в инфекционных нитях, так и в инфекционных каплях, но количество метки MAC236 было увеличено только в инфекционных каплях. У мутантной линии SGEFix–-2 (sym33-3) наблюдался самый высокий уровень обоих эпитопов среди всех анализируемых генотипов. У двойной мутантной линии RBT3 (sym33-3, sym40) зафиксирован промежуточный уровень накопления метки обоих эпитопов в инфекционных нитях по сравнению с родительскими мутантами. У SGEFix–-1 аномальное распределение обоих эпитопов наблюдалось в матриксе межклеточного пространства. Эпитоп MAC204 был обнаружен в клеточных стенках SGEFix–-1 и в стенках инфекционных нитей SGEFix–-2, тогда как у RBT3 этот эпитоп был выявлен в обоих типах стенок. Мутации sym33-3 и sym40 по-разному влияют на накопление эпитопов AGPE, распознаваемых MAC204 и MAC236. Это указывает на то, что оба гена Sym33 и Sym40 влияют на состав AGPE в матриксе инфекционных нитей и инфекционных капель.
Полный текст
INTRODUCTION
Colonization of plant cells of legumes with rhizobial cells is accompanied by a progressive remodelling of the plant-microbial interface, leading to symbiotic nitrogen fixation within root nodules. In response to a rhizobial infection, the host cells apparently modify the structure and composition of the cell wall and extracellular matrix [1, 2]. In legumes, a key component of the plant extracellular matrix is arabinogalactan protein-extensin (AGPE) – a family of hydroxyproline-rich proteins characterised by alternating extensin and arabinogalactan motifs [3]. For the immunolocalisation of AGPE, monoclonal antibody MAC265 has been widely used, recognising a glycoprotein with a molecular mass in the region of 95 kDa [4–8]. Immunolocalisation with MAC265 clearly shows that AGPEs are secreted into the lumen of the infection threads in all legumes that have been examined [1].
The physical and biochemical properties of AGPE glycoproteins suggest that they may have a significant impact on the process of colonization of host tissues and cells by rhizobia. AGPE molecules apparently combine the biophysical properties of soluble gums (characteristic of AGPs) with the more structural and defensive properties of extensins (which generally serve to harden plant cell walls in response to pathogen attack or mechanical stress). Because of the very high content of tyrosine residues, it has been proposed that AGPE macromolecules may become cross-linked and insolubilized under oxidative and peroxide-rich conditions. This cross-linking might serve to regulate the growth of the infection thread itself as a result of a progressive fluid-to-solid transition in the embedding matrix of AGPE [1, 7, 9, 10].
Because of the structural complexity of AGPEs, it has been difficult to analyse their function directly by forward or reverse genetics. On the other hand, previous studies using MAC265 antibody, have indicated some heterogeneity of AGPE distribution in mutants impaired in infection thread development [8]. To gain more information about the involvement of AGPE in infection structures, we used monoclonal antibodies MAC204 and MAC236 to study the distribution of additional epitopes associated with AGPEs during the infection of pea nodules in the wild-type line SGE; in two mutant lines, SGEFix–-1 (sym40) and SGEFix–-2 (sym33-3); and in the double mutant line RBT3 (sym33-3, sym40).
MATERIALS AND METHODS
Plant material and bacterial strain
Pea (Pisum sativum L.) mutant lines, forming ineffective nodules and the wild-type line SGE were used in this study (Table 1). Plants were inoculated with Rhizobium leguminosarum bv. viciae strain 3841 [18].
Growth conditions and sampling of material for analysis
Plants were raised in a growth chamber VB1514 (Vötch, Germany) (day: night – 16:8 h; temperature 21 °C; relative humidity 75%; illumination 490 mLm · m–2 · s–1). Seeds were surface-sterilised by treatment for 30 min with concentrated sulfuric acid at room temperature, washed with sterile distilled water, and inoculated at the time of planting (1 ml of aqueous suspension contained 108–109 bacteria). Sterile vermiculite moistened with a nutrient solution without nitrogen [19] was used as a substrate. Nodules (10 plants per variant) were harvested at 14 days after inoculation.
Monoclonal antibodies
For immunoelectron microscopy, antibodies MAC204 [4] and MAC236 [5], which recognise the AGPE matrix of infection threads were used. These were obtained from the collection of the John Innes Centre, Norwich, United Kingdom.
Sample preparation
Nodules were harvested from roots, transferred in 2. 5% glutaraldehyde (Sigma-Aldrich, USA) in 0. 5 M cacodylate buffer (pH 7. 2). Nodules were given a glancing cut on one side to improve penetration of the fixative. After vacuum infiltration, floating nodules were discarded, and the fixative was replaced with a fresh solution. After 16 h of fixation at room temperature, the nodules were dehydrated in a graded series of increasing concentrations of ethanol at –35 °C, infiltrated and polymerized in London Resin White acrylic resin (Sigma-Aldrich, St. Louis, MO, USA) using benzoin methyl ether as a catalyst for UV polymerization at –20 °C.
Immunogold analysis
For immunogold electron microscopy, ultrathin sections (90–100 nm) were obtained on a Leica EM UC7 ultramicrotome (Leica Microsystems, Vienna, Austria) and collected on gold grids coated with 4% pyroxylin and carbon. After blocking in 50 mM glycine in PBS (2. 48 g/l NaH2PO4, 21. 36 g/l Na2HPO4, 87. 66 g/l NaCl, pH 7. 4) for 15 min and in ABB blocking buffer (5% BSA, 0. 1% cold water fish gelatin (CWFS), 5–10% normal goat serum, 15 mM NaN3 in PBS, pH 7. 4) (Aurion, Wageningen, The Netherlands) for 30 min, grids were washed several times in 0. 1% acetylated BSA (BSA-C) (Aurion, Wageningen, The Netherlands) in PBS and incubated with primary antibodies diluted 1 : 50 in 0. 1% BSA-C overnight at 4 °C. After washing in 0. 1% BSA-C, the sections were incubated with secondary antibodies, goat anti-rat IgG conjugated to colloidal gold (particle size 10 nm; Amersham International, Emirsch, UK), diluted 1 : 50 in 0. 1% BSA-C for 4 h at room temperature. After washing in PBS for 20 min and then in deionized water for 30 min, sections were counterstained in 2% uranyl acetate for 1 h, followed by lead citrate for 1 min. Sections were examined and photographed using a JEM-1400 transmission electron microscope (JEOL Corp., Tokyo, Japan) at 80 kV.
Negative controls
To conduct the specificity of the immunogold labelling procedures several negative controls were undertaken. Negative controls were treated with either a non-specific secondary antibody (goat anti-mouse IgG) or a gold-conjugated secondary antibody (goat anti-rat IgG) without primary antibody. No specific label was observed on the sections when processing with a non-specific secondary antibody (data not shown) and when using gold-conjugated secondary antibody without the primary antibody (data not shown).
Table 1
Plant material used in the study
Genotype | Phenotype | References |
SGE | Wild-type | |
SGEFix–-1 (sym40)* | Hypertrophied infection droplets and infection threads, abnormal bacteroids | [12–14] |
SGEFix–-2 (sym33-3)** | Abnormal infection thread growth inside nodule, no bacterial release*** | [12–14] |
RBT3 (sym33-3, sym40) | Abnormal infection thread growth inside nodule, no bacterial release | [15] |
Note: * the Sym40 gene of P. sativum is orthologous to the M. truncatula EFD gene [16]. ** The Sym33 gene is orthologous to the M. truncatula IPD3 gene [17]. *** The mutant line SGEFix–-2 (sym33-3) has leaky phenotype and in some cells or some nodules bacterial release occurs [12, 14]. | ||
Quantitative analysis of immunogold labelling
At least five different samples of nodules and at least 30 profiles of infection threads were examined for immunolocalisation with MAC204 or MAC236. The areas of infection thread (for all investigated pea lines) or infection droplet (for the wild-type line SGE and mutant line SGEFix–-1 (sym40)) sections were evaluated and the number of gold particles per unit area was calculated. The areas and the number of gold particles were measured using software Zen 2 Core version 2. 5 (Carl Zeiss, Jena, Germany). The data were presented as the number of gold particle/μm2. They were analysed by one-way ANOVA using the software SigmaPlot for Windows version 12. 5 (Systat Software, Inc, San Jose, California, USA). Means were compared by the Dunn’s test (p < 0. 05).
RESULTS
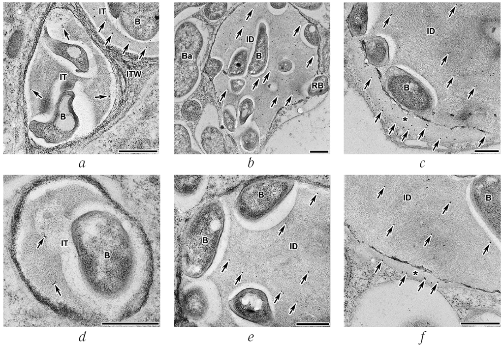
In the nodules of the wild-type SGE line, immunolabelling with MAC204 and MAC236 was observed in infection threads (Fig. 1, a, d) and infection droplets (Fig. 1, b, e). Both AGPE epitopes were detected in the same quantities in the infection structures of wild-type nodules, but their abundance was slightly higher in infection droplets (Table 2). Along the edges of some infection threads and droplets, the labelling was more intense, both with MAC204 and with MAC236, suggesting that this may represent the region where newly synthesized matrix was deposited (Fig. 1, c, f). In symbiosomes and the walls of infection threads, labelling by MAC204 and MAC236 was not detected in wild-type tissues (data not shown).
Fig. 1. Immunogold labelling showing the distribution of arabinogalactan protein-extensin epitopes in thin sections from the nodules of pea wild-type SGE: a–c – МАС204; d–f – МАС236. IT – infection thread, ITW – infection thread wall, ID – infection droplet, B – bacterium, RB – releasing bacterium, Ba – bacteroid, * – newly synthesised matrix; arrows indicate gold particles. Bar: 500 nm
Table 2
Distribution of arabinogalactan protein-extensin epitopes labelled with monoclonal antibodies MAC204 and MAC236 in infection structures in the nodules of pea wild-type and mutant lines at 14 days after inoculation
Genotype | Infection threads | Infection droplets | ||
МАС204 | МАС236 | МАС204 | МАС236 | |
SGE | 5. 10 ± 0. 34b | 5. 57 ± 0. 25ab | 8. 52 ± 1. 16c | 7. 20 ± 0. 55c |
SGEFix–-1 (sym40) | 14. 38 ± 0. 45d | 4. 78 ± 0. 13a | 24. 42 ± 1. 08 | 13. 03 ± 0. 91d |
SGEFix–-2 (sym33-3) | 28. 05 ± 0. 92 | 22. 09 ± 0. 95 | nd | nd |
RBT3 (sym33-3, sym40) | 20. 65 ± 0. 73 | 9. 18 ± 0. 52 | nd | nd |
Note: Results are presented as the number of gold particles/μm2. Mean value ± SEM (n = 20–25) are shown. Means denoted by the same letters within a column (a) and within a row (b–d) are not significantly different at p < 0. 05 based on Dunn’s test; nd, not detectable. | ||||
Fig. 2. Distribution of arabinogalactan protein-extensin epitopes in the nodules of pea mutant line SGEFix–-1 (sym40): a, b – МАС204; c, d – МАС236. IT – infection thread, ID – infection droplet, B – bacterium, M – mitochondrion; arrows indicate gold particles. Bar: a, b = 1 µm, c, d = 500 nm
Fig. 3. Distribution of arabinogalactan protein-extensin epitopes in cell walls in the nodules of pea mutant lines SGEFix–-1 (sym40) (a, b) and SGEFix–-2 (sym33-3) (c, d): a, c, d – МАС204, b – МАС236. V – vacuole, M – mitochondrion, A – amyloplast, CW – cell wall, ICS – intercellular space, IT – infection thread, ITW – infection thread wall, B – bacterium; arrows indicate gold particles. Bar: 500 nm
Fig. 4. Distribution of arabinogalactan protein-extensin epitopes in the nodules of pea mutant line SGEFix–-2 (sym33-3): a, b – МАС204; c, d – МАС236. IT – infection thread, ITW – infection thread wall, ID – infection droplet, B – bacterium; arrows indicate gold particles. Bar: 500 nm.
In the mutant line SGEFix–-1 (sym40), the material of the matrix of infection threads and infection droplets was labelled with MAC204 (Fig. 2, a, b) and with MAC236 (Fig. 2, c, d). At the same time, the extent of AGPE epitope labelling by MAC204 was significantly higher than in the wild-type line in both infection threads and infection droplets (Table 2). By contrast, the extent of AGPE epitope labelling by MAC236 was only increased in infection droplets (Table 2). In addition, in the mutant line SGEFix–-1 (sym40), the epitope recognised by MAC204 was present in the cell walls and the extracellular matrix of the expanded intercellular spaces specific for this mutant line (Fig. 3, a), while the epitope recognised by MAC236 was observed only in the matrix of the intercellular spaces (Fig. 3, b).
When nodule samples from the mutant line SGEFix–-2 (sym33-3) were examined, it was found that there was specific and abundant labelling with antibodies MAC204 (Fig. 4, a, b) and MAC236 (Fig. 4, c, d) both in the matrix of “locked” infection threads where bacteria release did not occur (Fig. 4, a, c) and in infection droplets devoid of bacteria (Fig. 4, b, d). Quantitative analysis revealed that these samples yielded the maximum level of labelling for both epitopes among all genotypes analysed (see Table 2). (In this mutant, infection droplets were observed only rarely, and these were not considered in the quantitative analysis.) The epitope recognised by MAC204 was also found as a component of the walls of infection threads (Fig. 3, c). Furthermore, in the cell walls, the MAC204-epitope was represented by a small number of gold particles (Fig. 3, d). By contrast the epitope recognised by MAC236 was not detected in the cell walls and infection thread walls in this mutant line (data not shown).
Fig. 5. Distribution of arabinogalactan protein-extensin epitopes in the nodules of pea double mutant line RBT3 (sym33-3, sym40): a–c – МАС204; d–f – МАС236. IT – infection thread, B – bacterium, ITW – infection thread wall, CW – cell wall, M – mitochondrion, ^ – transport vesicles with intercellular matrix; arrows indicate gold particles. Bar: 500 nm
In the double mutant line RBT3 (sym33-3, sym40), both AGPE epitopes were detected in the matrix of “locked” infection threads (Fig. 5, a, d). Quantitative analysis revealed an intermediate level of both epitopes in infection threads compared with the parental mutant lines SGEFix–-2 (sym33-3) and SGEFix–-1 (sym40) (Table 2). Moreover, the MAC204 label was observed in the infection thread wall (Fig. 5, a), in the cell wall (Fig. 5, c) and in the vesicles transporting the material of extracellular matrix to the cell walls (Fig. 5, b, e) and the walls of the infection thread (Fig. 5, f).
DISCUSSION
We have previously studied the distribution of AGPE, recognised by monoclonal antibody MAC265, in the nodules of the wild-type line SGE and in the ineffective mutants SGEFix–-1 (sym40) and SGEFix–-2 (sym33-3) and also in double mutants carrying the sym33-3 allele [8]. This study revealed strong labelling of MAC265 epitope in the matrix of infection threads and infection droplets. In the present study, it was shown that labelling with MAC204 and with MAC236 was increased in samples from SGEFix–-1 (sym40) in comparison with the wild-type line: both antibodies labelled more intensively in infection droplets (Fig. 2, b, d) while MAC204, but not MAC236, yielded relatively strong labelling in infection threads (Fig. 2, a). Among all genotypes analysed, the mutant line SGEFix–-2 (sym33-3) showed the strongest labelling of both epitopes in infection threads (Table 2). Previously, some heterogeneity in labelling of MAC265 was detected in mutants carrying the sym33-3 allele; it was present in the matrix of some, but not all, infection threads [8]. In the double mutant RBT3 (sym33-3, sym40), the amount of label of both epitopes was intermediate between the parental mutant genotypes SGEFix–-1 (sym40) and SGEFix–-2 (sym33-3). This indicates the complementation of sym33-3 and sym40 mutations in relation to the accumulation of the AGPE epitopes detected by antibodies MAC204 and MAC236 in the matrix of infection threads. Thus, although the sym33-3 mutation is epistatic over the sym40 mutation with respect to the structural organization of nodules [15], the Sym33 and Sym40 genes can apparently participate in independent pathways involved in the formation of glycoprotein components of the matrix of infection threads and infection droplets.
In a previous study using MAC265 antibody, we found evidence for mis-targeting of AGPE secretion into the lumen of the infection thread in the mutant line SGEFix–-1 (sym40). This led to the accumulation of a large amount of MAC265 epitope in the intercellular space and was apparently accompanied by a change in the direction of secretion of the vesicles from infection thread walls to the cell wall [8]. In the present study, a similar abnormal secretion was detected in relation to the epitope recognised by MAC236 (Fig. 3, c), whereas the secretion of the epitope recognised by MAC204 occurred not only in the intercellular space matrix, but also into the cell wall (Fig. 3, a). Furthermore, in the double mutant line RBT3 (sym33-3, sym40), there was evidence for directional secretion of vesicles carrying the MAC204 and MAC236 epitopes to the cell walls and infection thread walls (Fig. 5, b, e, f). Previously, in the nodules of this mutant line, vesicles transporting the MAC265-epitope to the cell walls were observed [8]. Moreover, in the double mutant line RBT3 (sym33-3, sym40), MAC204 label was identified in the cell walls and infection thread walls (Fig. 5, a, c), as well as in the infection thread walls of the mutant line SGEFix–-2 (sym33-3) (Fig. 3, c) and in the cell walls of the mutant line SGEFix–-1 (sym40) (Fig. 3, a). These results provide further confirmation that the sym33-3 and sym40 mutations interact by complementation type with respect to the accumulation of AGPE epitopes recognised by MAC204 and MAC236.
In this study, both epitopes were present in equal amounts in infection threads and infection droplets in the nodules of the wild-type line SGE. At the same time, in the mutant line SGEFix–-1 (sym40) and the double mutant line RBT3 (sym33-3, sym40), the epitope recognised by MAC204 was more abundant than the epitope recognised by MAC236 (Table 2). It may indicate that a mutation in the Sym40 gene leads to the accumulation of AGPEs with slightly different epitopes.
The precise mode of AGPE functioning in the growth and development of infection structures, particularly infection threads, is unknown since these glycoproteins have a complex structure. It also needs to be investigated whether all AGPE proteins, or specific sequences are responsible for biological activity [1, 2]. We carried out comparative analysis of the distribution of the 95 kDa molecular weight AGPE with the help of monoclonal antibodies reacting with different epitopes of this macromolecule [8]. In the present and previous studies [8] using nodules of mutant pea lines with impaired development of infection structures, it has been demonstrated that there is variation in the abundance of three different epitopes associated with AGPE in the matrix of infection threads and infection droplets, suggesting that specific sequences of AGPE macromolecule can play a role in the development of symbiotic nodules.
Acknowledgments
This work was supported by Russian Science Foundation (grant number 16-16-10035).
Об авторах
Анна Викторовна Цыганова
Федеральное государственное бюджетное научное учреждение «Всероссийский научно-исследовательский институт сельскохозяйственной микробиологии»
Автор, ответственный за переписку.
Email: isaakij@mail.ru
ORCID iD: 0000-0003-3505-4298
SPIN-код: 9149-5662
http://arriam.ru/departments/laboratoriya-molekulyarnoj-i-kletochnoj-biologii/
Кандидат биологических наук, ведущий научный сотрудник лаборатории молекулярной и клеточной биологии
Россия, 196608, Санкт-Петербург, Пушкин-8, ш. Подбельского, 3Николас Дж. Бревин
Центр Джона Иннеса
Email: nick.brewin@jic.ac.uk
ORCID iD: 0000-0001-6120-2464
https://www.jic.ac.uk/people/professor-nick-brewin/
Почетный член, профессор
Великобритания, NR4 7UH, Норидж, Исследовательский парк НориджаВиктор Евгеньевич Цыганов
Федеральное государственное бюджетное научное учреждение «Всероссийский научно-исследовательский институт сельскохозяйственной микробиологии»; Санкт-Петербургский научный центр РАН
Email: tsyganov@arriam.spb.ru
ORCID iD: 0000-0003-3105-8689
SPIN-код: 6532-1332
http://arriam.ru/departments/laboratoriya-molekulyarnoj-i-kletochnoj-biologii/
Доктор биологических наук, заведующий лабораторией молекулярной и клеточной биологии; старший научный сотрудник Санкт-Петербургского научного центра РАН
Россия, 196608, Санкт-Петербург, Пушкин-8, ш. Подбельского, 3; 199034, Санкт-Петербург, Университетская наб. 5Список литературы
- Brewin NJ. Plant cell wall remodelling in the Rhizobium-legume symbiosis. Crit Rev Plant Sci. 2004;23(4): 293-316. https://doi.org/10. 1080/07352680490480734.
- Nguema-Ona E, Vicré-Gibouin M, Cannesan M-A, Driouich A. Arabinogalactan proteins in root-microbe interactions. Trends Plant Sci. 2013;18(8):440-449. https://doi.org/10. 1016/j.tplants.2013. 03. 006.
- Showalter AM, Basu D. Extensin and arabinogalactan-protein biosynthesis: glycosyltransferases, research challenges, and biosensors. Front Plant Sci. 2016;7:814. https://doi.org/10. 3389/fpls.2016. 00814.
- Bradley DJ, Wood EA, Larkins AP, et al. Isolation of monoclonal antibodies reacting with peribacteroid membranes and other components of pea root nodules containing Rhizobium leguminosarum. Planta. 1988;173(2): 149-160. https://doi.org/10. 1007/bf00403006.
- VandenBosch KA, Bradley DJ, Knox JP, et al. Common components of the infection thread matrix and the intercellular space identified by immunocytochemical analysis of pea nodules and uninfected roots. EMBO J. 1989;8(2):335-341. https://doi.org/10. 1002/j.1460-2075. 1989. tb03382. x.
- Rae AL, Bonfante-Fasolo P, Brewin NJ. Structure and growth of infection threads in the legume symbiosis with Rhizobium leguminosarum. Plant J. 1992;2(3):385-395. https://doi.org/10. 1111/j.1365-313X.1992. 00385. x.
- Rathbun EA, Naldrett MJ, Brewin NJ. Identification of a family of extensin-like glycoproteins in the lumen of Rhizobium-induced infection threads in pea root nodules. Mol Plant Microbe Interact. 2002;15(4): 350-359. https://doi.org/10. 1094/MPMI.2002. 15. 4. 350.
- Tsyganova AV, Tsyganov VE, Findlay KC, et al. Distribution of legume arabinogalactan protein-extensin (AGPE) glycoproteins in symbiotically defective pea mutants with abnormal infection threads. Cell Tissue Biol. 2009;3(1):93-102. https://doi.org/10. 1134/S1990519X09010131.
- Reguera M, Abreu I, Brewin NJ, et al. Borate promotes the formation of a complex between legume AGP-extensin and rhamnogalacturonan II and enhances production of Rhizobium capsular polysaccharide during infection thread development in Pisum sativum symbiotic root nodules. Plant Cell Environ. 2010;33(12):2112-2120. https://doi.org/10. 1111/j.1365-3040. 2010. 02209. x.
- Gucciardo S, Rathbun EA, Shanks M, et al. Epitope tagging of legume root nodule extensin modifies protein structure and crosslinking in cell walls of transformed tobacco leaves. Mol Plant Microbe Interact. 2005;18(1): 24-32. https://doi.org/10. 1094/MPMI-18-0024.
- Kosterin OE, Rozov SM. Mapping of the new mutation blb and the problem of integrity of linkage group I [Internet]. 1993. Available from: https://www.researchgate.net/publication/312428570_Mapping_of_the_new_mutation_blb_and_the_problem_of_integrity_of_linkage_group_I.
- Tsyganov VE, Morzhina EV, Stefanov SY, et al. The pea (Pisum sativum L.) genes sym33 and sym40 control infection thread formation and root nodule function. Mol Gen Genet. 1998;259(5):491-503. https://doi.org/10. 1007/s004380050840.
- Tsyganov VE, Borisov AY, Rozov SM, Tikhonovich IA. New symbiotic mutants of pea obtained after mutagenesis of laboratory line SGE. Pisum Genet. 1994;26:36-37.
- Voroshilova VA, Boesten B, Tsyganov VE, et al. Effect of mutations in Pisum sativum L. genes blocking different stages of nodule development on the expression of late symbiotic genes in Rhizobium leguminosarum bv. viciae. Mol Plant-Microbe Interact. 2001;14(4):471-476. https://doi.org/10. 1094/MPMI.2001. 14. 4. 471.
- Tsyganov VE, Seliverstova EV, Voroshilova VA, et al. Double mutant analysis of sequential functioning of pea (Pisum sativum L.) genes Sym13, Sym33, and Sym40 during symbiotic nodule development. Ecol Genet. 2010;8(2):3-8. https://doi.org/10. 17816/ecogen823-8.
- Nemankin TA. Analysis of pea (Pisum sativum L.) genetic system, controlling development of arbuscular mycorrhiza and nitrogen-fixing symbiosis. [dissertation] Saint Petersburg; 2011. 18 p. (In Russ.). Available from: http://earthpapers.net/analiz-geneticheskoy-sistemy-goroha-pisum-sativum-l-kontroliruyuschey-razvitie-arbuskulyarnoy-mikorizy-i-azotfiksiruyusch.
- Ovchinnikova E, Journet E-P, Chabaud M, et al. IPD3 controls the formation of nitrogen-fixing symbiosomes in pea and Medicago spp. Mol Plant-Microbe Interact. 2011;24(11):1333-1344. https://doi.org/10. 1094/MPMI-01-11-0013.
- Wang TL, Wood EA, Brewin NJ. Growth regulators, Rhizobium and nodulation in peas. Planta. 1982;155(4):350-355. https://doi.org/10. 1007/BF00429464.
- Borisov AY, Rozov SM, Tsyganov VE, et al. Sequential functioning of Sym13 and Sym31, two genes affecting symbiosome development in root nodules of pea (Pisum sativum L.). Mol Gen Genet. 1997;254(5):592-598. https://doi.org/10. 1007/s004380050456.
Дополнительные файлы









