Analysis of introgressive lines of inter-species pea hybrids by band composition of seed proteins
- Authors: Bobkov S.V.1, Bychkov I.A.1, Selikhova T.N.1, Semenova E.V.2, Vishnyakova M.A.2
-
Affiliations:
- Federal Scientific Center of Legumes and Groat Crops
- Federal Research Center “N.I. Vavilov All-Russian Institute of Plant Genetic Resources”
- Issue: Vol 18, No 1 (2020)
- Pages: 79-88
- Section: Genetic basis of ecosystems evolution
- Submitted: 17.09.2019
- Accepted: 21.02.2020
- Published: 13.04.2020
- URL: https://journals.eco-vector.com/ecolgenet/article/view/16099
- DOI: https://doi.org/10.17816/ecogen16099
- ID: 16099
Cite item
Abstract
Background. The reproductive incompatibility of cultivated (Pisum sativum) and wild (P. fulvum) pea species determines the difficulties of obtaining hybrids as well as the transfer of valuable wild parent alleles into interspecific hybrids and their use in the breeding process. The aim of the research was a comparative study of protein spectra of pea interspecific hybrids BC2F5 P. sativum × P. fulvum obtained by the authors and their parents.
Materials and methods. The band composition of seed proteins in the interspecific hybrids of peas BC2F5, variety Stabil (P. sativum) × accession from VIR collection I-609881 (P. fulvum) has been studied. Effectiveness of parent gene transfer determining each polymorphic position of electrophoretic spectrum were evaluated.
Results. The ratio of the actual frequencies of the bands of the cultivated and wild parents in the introgression lines corresponded to the expected level in 73% positions of the electrophoretic spectrum. The introgression rate of individual seed protein bands from wild parent into interspecific pea hybrids in the absence of selection significantly exceeded the expected level, which may indicate the adaptive value of alleles encoding unique seed protein isoforms.
Conclusion. The possibility of introgressive transfer of wild-type alleles to the cultivated genotypes of pea, as well as the presence of identified cultivated isoforms of storage proteins in all studied lines of BC2F5 interspecific hybrids in 88.2% of the polymorphic positions of the electrophoretic spectrum, indicates the possibility of using the wild species P. fulvum in pea breeding.
Keywords
Full Text
INTRODUCTION
Recently, there has been increased interest to the “wild relatives” of cultivated plants, which is demonstrated by the new concepts of “neo-domestication” and “reverse selection,” which attempt to use the desirable traits of wild species for introgression into the cultivated ones [1, 2]. New evidence suggests the importance of using wild pea taxons to provide a source of genetic diversity, which were not previously involved in the pea cultural evolution (Pisum sativum L.) [3, 4]. Molecular and genetic examination of the world pea collections promoted interest in using traits from wild species, such as the red-yellow pea (P. fulvum Sibth. еt Smith.), as the source of genes that may confer resistance to abiotic stressors, including drought, extreme temperatures, diseases and pests [5–7]. The roots of P. fulvum quickly penetrate into the soil at great depths, which is an important feature for selection for resistance to drought [8]. Some accessions of P. fulvum have displayed genetic resistance to Ascochyta spot [9, 10], powdery mildew [11], rust [12], broomrape [13], and pea weevil [14]. Recent work identified the genes specific to resistance to pea weevil [6] and powdery mildew [11, 15] in P. fulvum were identified. In addition, the quantitative trait locus associated with resistance to rust was identified in the red-yellow pea [12]. Studies have shown that interspecific hybridization of the cultivated pea with the wild species P. fulvum, resulted in production of pea lines with elevated, though not as complete as in the parent species P. fulvum, resistance to pea weevil [16] and powdery mildew [11].
However, the transfer of the valuable alleles from the wild parent to the interspecific hybrids is hampered by different sizes of the genomes, as the genome of P. fulvum is 108.9% as compared to that of Р. sativum [17], differences in the karyotypes that lead to disruption of meiosis [18], and nucleocytoplasmic incompatibility [19], which all result in low efficiency of crosses [20, 21]. In addition, introgression of valuable alleles in successful crosses is connected with the concurrent transfer of undesirable genetic material. Reduction of the quantity of harmful alleles requires a certain number of backcrossing events [2]. In order to maintain high quality crops and a high yield rate in hybrids, the allele pool, which was developed during the cultural evolution process of the pea, must be retained [22].
The goal of the present research is to provide characterization of interspecific hybrid lines of pea P. sativum × Р. fulvum obtained via backcrossing (BC2F5) and self-pollination. To this end, we assessed the protein composition of the seeds, including storage proteins, such as convicilin, vicilin, and legumin, and compared this composition with the protein spectra of the parental seeds.
MATERIALS AND METHODS
Ten lines of interspecific hybrids of pea, including А1-R, А2-R, А3-R, А4-S, А5-S, А6-S, А7-R, А11-R, А12-R, and А13-R, of generation BC2F5 were used in the study. These were obtained in crosses of variety Stabil (P. sativum) with accession I
608881 of the wild species P. fulvum from VIR collection [23]. Stabil, a variety of Austrian selection, is a high-yield grain, that is of a mid-ripening, leafless, and plastic variety that is included in the State register of selection achievements in 2006 and was approved for use in three regions of the Russian Federation [24]. Among the studied lines, seven were previously assessed as having resistance to powdery mildew (indicated with index R) and three lines were characterized as susceptible (index S) [25].
Plants were grown in the non-regulated conditions of a greenhouse (at high temperature in the summer and reduced temperature in autumn). Significant temperature fluctuations during the day and night were observed. This led to favorable conditions for assessing the effect of powdery mildew on the plants.
SDS-PADE electrophoresis was used for the pea seed protein separation [26]. Proteins were extracted from one seed obtained from the individual plant of each line of interspecific hybrid. Four mg of flour in two replicate were taken from each seed for extraction. Electrophoresis was conducted using a chamber for vertical electrophoresis VE4 (Helicon, Russia). Concentration of polyacrylamide in stacking and separating gel was 5% and 12.5%, respectively.
The positions of protein bands in the hybrid lines spectra were determined using reference bands 10, 50, 90 of soybean protein spectrum [26]. Soybean variety Lantsetnaya produced in the Federal State Budgetary Scientific Institution “Federal Scientific Center of Legumes and Groat Crops” and Belgorod State Agricultural University were used [24]. Protein band color density were characterized as 1 – weak, 2 – intense, and 3 – very intense, as indicated in the text.
Non-processed legumin had a molecular weight of 60–65 kDa, while the α- and β-subunits of legumin were at a molecular weight of 35–46 and 21–23 kDa, respectively [27]. Non-processed vicilin (α-, β-, and γ-subunits) had a molecular weight of 47–50 kDa, while the vicilin containing the α + β subunits had a molecular weight of 30–36 kDa, vicilin containing the β + γ subunits had a molecular weight of 25–30 kDa, and individual fractions of either the α, β, γ subunit had a molecular weight of 13–20 kDa. Lipoxygenase and convicilin had a molecular weight of 100 or 70 kDa, respectively [23, 28, 29]. A ladder with molecular weights from 6.5–200 kDa was used to compare size (Sigma-Aldrich, USA).
To calculate the index of polymorphism, the number of polymorphic protein bands was divided by the total number of compared pairs. Assessment of polymorphisms took into account the differences in availability and color density of the protein bands. Comparison of the spectra of the variety of Stabil and accession i-609881 considered polymorphic those bands, which differed either in availability (0 or 1, 2, 3) or density (1, 2, 3) of color [30].
Compliance of actual and anticipated frequencies of phenotypic classes were assessed in each polymorphic position of protein bands in 10 introgressive hybrids of pea by χ2-test using function CHISQ.TEST of computer program EXCEL 2010 (Microsoft Corporation). Anticipated frequencies of the phenotypic classes were calculated based on frequencies of alleles of the parents with correction to two backcrossings.
RESULTS AND DISCUSSION
Seventy positions of bands were revealed in the electrophoretic spectra of seed protein in pea interspecific hybrids and their parents. Among them, 40 positions were polymorphic. The index of polymorphism was 0.47. Differences between variety Stabil and accession of P. fulvum i6098881 were observed in both availability of protein bands and in their color intensity (Fig. 1). In 30 out of 40 polymorphic positions of electrophoretic spectra, the polymorphism was expressed as the presence or absence of protein bands, and in 10 positions as different intensities of their color, which represented the total amount of each protein band. In terms of band polymorphism, the parents were distributed in four groups: A, B, C, and D (see Table). In group A, the polymorphism was characterized as availability of bands in the wild parent and their absence in variety Stabil. In group B, the polymorphic bands of the parents were different in color density, with the more intense bands in the accession of wild species. Group C and D polymorphisms, were characterized by the presence or more intense color density of the variety Stabil protein bands.
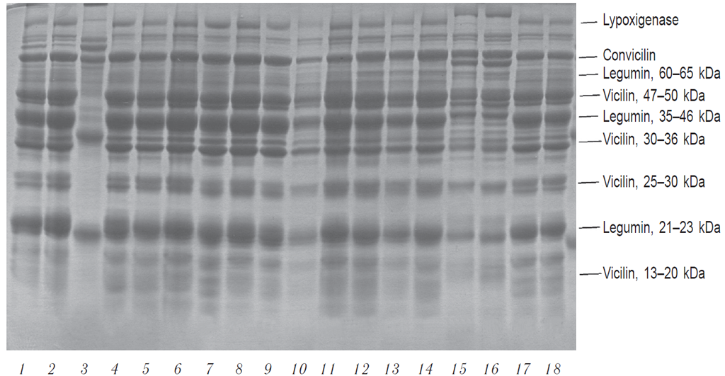
Fig. 1. Electrophoresic spectra of the seed proteins of parents and pea introgressive lines in hybrid combination Stabil x i-609881 (P. fulvum). Introgressive lines: 1 – А1; 2 – А2; 4 – А3; 5 – А4; 6 – А5; 7 – А6; 8 – А7; 9 – А8; 10 – А9; 11 – А10; 12 – А11; 13 – А12; 14 – А13. Parents: 15, 16 – i-609881 (P. fulvum); 17, 18 – variety Stabil. Proteins of soy beens variety Lantsetnaya are localized in spectrum 3
Electrophoresic spectra of the seed proteins of parents and pea introgressive lines in hybrid combination Stabil × i-609881 (P. fulvum) | |||||||||||||||
Band | Parents | Introgressive lines of pea | Number of lines with bands P. fulvum in groups А and B. and with bands of variety Stabil in groups C and D (actual ratio of phenotypical classes) | Value of differences (χ2. p) on anticipated ratio 9.84 : 0.16 (62.5 : 1) | |||||||||||
Stabil | i-609881 | А1 | А2 | А3 | А4 | А5 | А6 | А7 | А11 | А12 | А13 | Protein | |||
Resistance to powdery mildew | R | R | R | S | S | S | R | R | R | R | |||||
A. Availability of bands only in wild parent | |||||||||||||||
21 | 0 | 1 | 0 | 0 | 0 | 0 | 0 | 1 | 0 | 0 | 0 | 0 | Cv | 1 (9 : 1) | 0.034259481 |
22 | 0 | 1 | 0 | 0 | 0 | 0 | 0 | 0 | 0 | 1 | 1 | 1 | Lg | 3 (7 : 3) | 8.21671E-13 |
30 | 0 | 1 | 0 | 0 | 0 | 0 | 0 | 0 | 0 | 0 | 0 | 0 | Lg | 0 (10 : 0) | 0.686772471 |
38 | 0 | 1 | 0 | 0 | 0 | 0 | 0 | 0 | 0 | 0 | 0 | 0 | – | 0 (10 : 0) | 0.686772471 |
41 | 0 | 3 | 0 | 0 | 0 | 0 | 0 | 0 | 0 | 0 | 0 | 0 | – | 0 (10 : 0) | 0.686772471 |
54 | 0 | 2 | 0 | 0 | 0 | 0 | 0 | 0 | 0 | 0 | 0 | 0 | Vc α + β | 0 (10 : 0) | 0.686772471 |
62 | 0 | 1 | 0 | 0 | 0 | 0 | 0 | 0 | 0 | 0 | 0 | 0 | – | 0 (10 : 0) | 0.686772471 |
73 | 0 | 2 | 0 | 0 | 0 | 0 | 0 | 0 | 0 | 0 | 0 | 0 | – | 0 (10 : 0) | 0.686772471 |
101 | 0 | 2 | 0 | 0 | 0 | 0 | 0 | 0 | 0 | 0 | 0 | 0 | – | 0 (10 : 0) | 0.686772471 |
B. Greater quantity of protein in components of wild parent | |||||||||||||||
3 | 1 | 3 | 1 | 1 | 1 | 1 | 1 | 1 | 1 | 1 | 1 | 1 | LOX | 0 (10 : 0) | 0.686772471 |
12 | 1 | 2 | 2 | 2 | 1 | 1 | 1 | 1 | 1 | 1 | 1 | 1 | – | 2 (8 : 2) | 3.53079E-06 |
20 | 1 | 3 | 1 | 1 | 1 | 1 | 1 | 1 | 1 | 1 | 1 | 1 | Cv | 0 (10 : 0) | 0.686772471 |
32 | 1 | 3 | 1 | 1 | 1 | 1 | 1 | 1 | 1 | 1 | 1 | 1 | Lg | 0 (10 : 0) | 0.686772471 |
C. Availability of components only in cultivated parent | |||||||||||||||
4 | 1 | 0 | 1 | 1 | 1 | 1 | 1 | 1 | 1 | 1 | 1 | 1 | – | 10 (10 : 0) | 0.686772471 |
13 | 1 | 0 | 1 | 1 | 1 | 1 | 1 | 1 | 1 | 1 | 1 | 1 | – | 10 (10 : 0) | 0.686772471 |
15 | 1 | 0 | 1 | 1 | 0 | 0 | 0 | 0 | 0 | 1 | 1 | 1 | – | 5 (5 : 5) | 3.18641E-34 |
16 | 1 | 0 | 1 | 1 | 1 | 1 | 1 | 1 | 1 | 0 | 0 | 0 | – | 7 (7 : 3) | 8.21671E-13 |
19 | 1 | 0 | 1 | 1 | 0 | 0 | 0 | 0 | 0 | 1 | 1 | 1 | Cv | 5 (5 : 5) | 3.18641E-34 |
24 | 1 | 0 | 1 | 1 | 1 | 1 | 1 | 1 | 1 | 1 | 1 | 1 | Lg | 10 (10 : 0) | 0.686772471 |
27 | 2 | 0 | 2 | 2 | 2 | 2 | 2 | 2 | 2 | 2 | 2 | 2 | Lg | 10 (10 : 0) | 0.686772471 |
33 | 1 | 0 | 0 | 0 | 0 | 0 | 0 | 0 | 0 | 0 | 0 | 0 | Lg | 0 | – |
43 | 2 | 0 | 2 | 2 | 2 | 2 | 2 | 2 | 2 | 2 | 2 | 2 | Lg α | 10 (10 : 0) | 0.686772471 |
45 | 1 | 0 | 0 | 0 | 1 | 1 | 1 | 1 | 1 | 1 | 1 | 1 | – | 8 (8 : 2) | 3.53079E-06 |
51 | 1 | 0 | 1 | 1 | 1 | 1 | 1 | 1 | 1 | 1 | 1 | 1 | Vc α + β | 10 (10 : 0) | 0.686772471 |
56 | 1 | 0 | 1 | 1 | 1 | 1 | 1 | 1 | 1 | 1 | 1 | 1 | – | 10 (10 : 0) | 0.686772471 |
61 | 2 | 0 | 2 | 2 | 2 | 1 | 1 | 2 | 2 | 2 | 1 | 1 | – | 6 (6 : 4) | 3.74934E-22 |
67 | 1 | 0 | 1 | 1 | 1 | 1 | 1 | 1 | 1 | 1 | 1 | 1 | – | 10 (10 : 0) | 0.686772471 |
71 | 3 | 0 | 3 | 3 | 3 | 3 | 3 | 3 | 3 | 3 | 3 | 3 | Vc β + γ | 10 (10 : 0) | 0.686772471 |
74 | 2 | 0 | 2 | 2 | 2 | 2 | 2 | 2 | 2 | 2 | 2 | 2 | Vc β + γ | 10 (10 : 0) | 0.686772471 |
76 | 1 | 0 | 1 | 1 | 1 | 1 | 1 | 1 | 1 | 1 | 0 | 1 | – | 9 (9 : 1) | 0.034259481 |
90 | 2 | 0 | 2 | 2 | 2 | 2 | 2 | 2 | 2 | 2 | 2 | 2 | Lg β | 10 (10 : 0) | 0.686772471 |
104 | 1 | 0 | 1 | 1 | 1 | 1 | 1 | 1 | 1 | 1 | 1 | 1 | Vc β | 10 (10 : 0) | 0.686772471 |
105 | 1 | 0 | 1 | 1 | 1 | 1 | 1 | 1 | 1 | 1 | 1 | 1 | Vc γ | 10 (10 : 0) | 0.686772471 |
106 | 1 | 0 | 1 | 1 | 1 | 1 | 1 | 1 | 1 | 1 | 1 | 1 | Vc γ | 10 (10 : 0) | 0.686772471 |
Band | Parents | Introgressive lines of pea | Number of lines with bands P. fulvum in groups А and B. and with bands of variety Stabil in groups C and D (actual ratio of phenotypical classes) | Value of differences (χ2. p) on anticipated ratio 9.84 : 0.16 (62.5 : 1) | |||||||||||
Stabil | i-609881 | А1 | А2 | А3 | А4 | А5 | А6 | А7 | А11 | А12 | А13 | Protein | |||
Resistance to powdery mildew | R | R | R | S | S | S | R | R | R | R | |||||
D. Greater quantity of protein in components of cultivated parent | |||||||||||||||
6 | 3 | 1 | 3 | 3 | 3 | 3 | 3 | 3 | 3 | 3 | 3 | 3 | LOX | 10 (10 : 0) | 0.686772471 |
42 | 3 | 1 | 3 | 3 | 3 | 3 | 3 | 3 | 3 | 3 | 3 | 3 | Lg α | 10 (10 : 0) | 0.686772471 |
50 | 3 | 2 | 2 | 3 | 3 | 3 | 3 | 3 | 3 | 3 | 3 | 3 | Vc α + β | 9 (9 : 1) | 0.034259481 |
55 | 3 | 2 | 3 | 3 | 3 | 3 | 3 | 3 | 3 | 3 | 3 | 3 | Vc α + β | 10 (10 : 0) | 0.686772471 |
86 | 3 | 1 | 3 | 3 | 3 | 3 | 3 | 3 | 3 | 3 | 3 | 3 | Lg β | 10 (10 : 0) | 0.686772471 |
98 | 2 | 1 | 2 | 2 | 2 | 2 | 2 | 2 | 2 | 2 | 2 | 2 | Vc α | 10 (10 : 0) | 0.686772471 |
Note. Semi-bold fonts are used for bands with significant differences from the anticipated frequency, indices R and S are used to indicate introgressive pea lines resistant and sensitive to powdery mildew. Designation of proteins: Cv – convicilin, Lg – legumin, Vc – vicilin, LOX – lipoxygenase. | |||||||||||||||
In variety Stabil, lipoxygenase was localized in bands 6, 7 and 8, while intense (3) colored band 6 was polymorphic (see Table, Fig. 1). It should be noted that accession i-609881 was characterized by intense colored band 3 (see Table), which presumably contained specific isoforms of lipoxygenase [30, 31], which was absent in the protein complexes of variety Stabil. The intense (3) bands 3 and 6 are linked, as they are absent in one parent and present in the other, and thus, can be considered the major isoforms of lipoxygenase in the wild accession i-609881 and variety Stabil, respectively (Fig. 1). Lines of the interspecific hybrids of the pea, both resistant and sensitive to the powdery mildew, were characterized and found to have only one intense band, 6.
Convicilin in parents of variety Stabil and accession i-609881 was located in two intense (1) bands, 17 and 20, and in three non-intense (1) bands– 18, 19, 21 (Fig. 1). Bands 19, 20, and 21 were polymorphic (see Table). Intense band 17 was present in both parents. The other intense band, 20, was typical only for the spectrum of accession i-609881. Pea introgression lines contained only band 17; band 20 of accession i-609881 was lost as a result of backcrossing and self-pollination. The number of lines with not intense bands 19 and 21 of variety Stabil amounted to 50%–92%.
In order to determine localization of the legumin storage proteins, electrophoresis of seed proteins of variety Stabil in the presence and absence of β-mercaptoethanol was performed. In absence of β-mercaproethanol, accumulation of the non-processed legumin took place in the bands with molecular weights 60–65 kDa. The presence of β-mercaproethanol in the buffer for protein extraction resulted in reduction of disulfide bonds, and the legumin molecular were split into two subunits, α and β, with molecular weights 35–46 and 21–23 kDa, respectively (Fig. 2).
Fig. 2. Electrophoresic spectra of seed proteins of variety Stabil: 1–3 – spectra obtained in the presence of mercaptoethanol, 4–9 – spectra without mercaptoethanol, 6 – soybean spectrum. Without mercaptoethanol, legumin is localized mostly at 60–65 kDa. In presence of mercaptoethanol the legumin molecules are dissociated into 2 subunits with molecular weights 35–46 and 21–23 kDa
After use of β-mercaptoethanol, in the area of non-processed legumin there were 12 bands with low color intensity (1), which took the great part of electrophoresic spectrum. It is possible that proteins in these bands were not legumin (see Table, Fig. 1, 2). Only 7 out of 12 bands were polymorphic. Acidic subunit (α) of legumin (35–46 kDa) was presented by three protein bands 42, 43, and 44 (Fig. 1). Bands 42 and 43 had intense color (2, 3) and were polymorphic (see Table). In general, the bands of the accession of wild species were characterized by lower color intensity, which indicated a smaller quantity of legumin in the seeds of wild pea. The lines of interspecific hybrids of the pea inherited the band composition of the acidic (α) subunit of legumin from the pea variety Stabil. The basic (β) subunit of the legumin was also localized in 3 bands of the electrophotesic spectrum of 86, 88 and 90. Bands 86 and 90 were polymorphic. More intense bands were present in the spectrum of the variety Stabil. All pea lines contained bands of the β-subunit of legumin derived from the variety Stabil.
Non-processed vicilin (47–50 kDa) was located in two adjacent bands 34 and 37 (Fig. 1). Variety Stabil and accession i-609881 did not differ in both the presence and color density of the non-processed vicilin bands. Introgressive lines retained the aforementioned bands. Processed vicilin α + β (30–36 kDa) was localized in four bands, 50, 51, 54, and 55. The major isoforms of vicilin α + β were present in two intensely (3) colored bands, 50 and 55 (Fig. 1). Isoforms of processed vicilin β + γ (25–30 kDa) were localized in four bands: 70, 71, 73, and 74. Three bands 70, 71, and 73 of variety Stabil were intensely colored. Bands 71, 73, and 74 were polymorphic. In the introgressive lines of pea, all bands of processed vicilin α + β и β + γ, as well as α, β, γ, were present with isoforms derived from the variety Stabil (see Table).
The fraction of wild species genome in pea lines BC2F5 amounted to 12.5%. Two backcrossing events of the interspecific hybrids with the plants of variety Stabil and self-pollination for five generations should provide 99.2% homozygosity. The anticipated frequencies of alleles of the wild species accession and variety Stabil coding isoforms of proteins in polymorphic positions of the electrophoretic spectra amounted to 0.125 and 0.875, and the anticipated frequencies of phenotypic classes amounted to 0.016 and 0.984, respectively.
In lines of interspecific hybrids, the assessment of availability of the bands with proteins of the pea wild species was conducted only in groups A and B. In group C, only the presence of proteins of the cultivated pea was assessed due to absence of the wild species bands in polymorphic positions of the parental spectra. Group D may have latent introgression of genetic material of the wild species; however, in general, the presence of proteins of the cultivated parent was assessed.
Assessment of parental gene transfer efficiency in every polymorphic position of the electrophoretic spectrum demonstrated that the ratio of the actual band frequencies of cultivated and wild parents of the pea introgressive lines were consistent with the anticipated levels in 73% of the positions of the electrophoresic spectrum (see Table).
In groups A and B, only 3 out of 13 (23%) bands of the wild species accession were presented in at least one introgressive line of pea. In group A, only 2 bands from P. fulvum accession out of 9, 21 (convicilin) and 22 (legumin), remained in the pea introgressive lines. The introgression rate of these bands was significantly higher than the anticipated values (p = 0.034259481 and 8.21671E-13, respectively). In group B of the introgressive lines of pea, only one intensive band out of four polymorphic was present, which was P. fulvum band 12 with a frequency of 0.2. It was determined that introgression rate of band 12 was significantly higher than the anticipated value (p = 3.53079E-06). Ten bands of the wild parent were absent in all studied pea lines. However, the use of χ2 test confirmed the identity (p = 0.686772471) of anticipated and the actual distribution of these bands in the pea introgressive lines.
In group C, bands of the variety Stabil were present in 15 positions out of 21 (71.4%) in all introgressive lines of pea. The actual frequency of the bands of the cultivated parent complied with the anticipated levels (p = 0.686772471). Among them 52.4% of the bands were presented with storage proteins (see Table). Six bands of variety Stabil in group C were detected in only 50%–90% lines of interspecific hybrids. Bands 15, 19 (convicilin) and 61 of variety Stabil were present in the introgressive lines with frequencies of 0.5–0.6, which is significantly lower than the anticipated levels (p = 3.18641E-34, 3.18641E-34, and 3.74934E-22, respectively). The frequency of bands 16, 45, and 76 derived from the variety Stabil in the lines amounted to 0.7–0.9, which was also significantly lower than the anticipated level (p = 8.21671E-13, 3.53079E-06, and 0.034259481, respectively). In group D, the protein bands of variety Stabil were present in all lines, except for band 50 (vicilin α + β), which was observed in the introgressive lines at a frequency of 0.8, that is significantly lower than the anticipated frequency (p = 0.034259481).
Thus, according to preliminary data, in hybrid material BC2F5 using two backcrosses without selection in band composition of seed proteins, the presence of protein components 12, 21 and 22 in introgressive lines of groups A and B exceeded the anticipated levels. In the rest, 10 bands of the wild pea in polymorphic positions totally absent in all introgressive pea lines, which for hybrids BC2F5 conformed to anticipated levels. Groups C and D contained 27 polymorphic positions of the electrophotesic spectrum. In these groups, 17 bands with identified storage proteins vicilin, convicilin, legumin, and lypoxygenase (88.2%) were present in all introgressive lines of pea. The frequency of the rest of the bands with identified storage proteins 19 (convicilin) and 50 (vicilin α + β), was significantly lower than the anticipated levels. It should be noted that the isoform of non-reduced legumin of band 33 present in variety Stabil was absent in all lines of interspecific hybrids. Four unidentified bands of the cultivated parent were found in all introgressive lines of pea. The frequency of unidentified bands 15, 16, 45, 61, and 76 of the cultivated parent in the introgressive lines appeared to be lower than the anticipated levels. According to the literature, unidentified bands of the seed proteins could be responsible for energy, metabolism, or resistance to stress [31].
The high degree of introgression in some loci can serve as an indicator of genetic drift or adaptive value of genes having selective advantage or close links with other genes subject to positive selection [32]. A low degree of introgression in some loci indicates availability of alleles responsible for reproductive isolation of species [33]. The study of the differentiated introgression of seed protein alleles from the genomes of the wild species P. fulvum and identification of alleles conferring adaptive features requires elimination of backcrosses at the first stage and the examination of frequencies of the individual proteins in seeds in different generations of the interspecific hybrids of pea. This will allow detection of alleles with adaptive traits. The data obtained can be used for selective transfer of alleles of the wild relatives to genomes of elite varieties of pea.
CONCLUSIONS
The study of interspecific hybrids of the pea BC2F5 (P. sativum × Р. fulvum) aimed to determine the degree of introgression of the wild pea genetic material into genome of the cultivated pea, based on analysis of the seed protein band polymorphism, as compared with the parents. This is important for the selection of pea with high grain quality. Assessment of gene transfer efficiency from the parents in each polymorphic position of the electrophoretic spectrum, demonstrated that the ratio of the actual frequencies of the cultivated and wild-parent bands in the pea introgressive lines are consistent with the anticipated levels in 73% positions. According to the frequency of the individual protein bands of the wild parent, the rate of introgression into the pea interspecific hybrids significantly exceeded the anticipated levels in absence of selection. The rapid rate of introgression is likely inherent to alleles with adaptive value. Presence of bands of the storage proteins derived from cultivated species in all introgression lines obtained, as a result of two backcrossing events, was observed in 88.2% of polymorphic positions on the spectrum. Our experiments confirmed the possibility of using the wild species of Р. fulvum, which has a number of traits that provide adaptability, in the process of pea selection. These traits from Р. fulvum, can be transferred to cultivated species.
This work was funded by the Ministry of Science and Education, within the frame of the program of fundamental research of the government academies 0636-2019-0008 “Mobilization of genetic resources of leguminous and cereal crops for using in selection process” and the budget project 0662-2019-0002 in scientific support of an effective use of the global genetic pool of leguminous crops and their wild relatives from VIR collection.
About the authors
Sergey V. Bobkov
Federal Scientific Center of Legumes and Groat Crops
Email: svbobkov@gmail.com
ORCID iD: 0000-0002-8146-0791
Candidate of Agricultural Sciences, Head of Laboratory, Plant Physiology and Biochemistry Laboratory
Russian Federation, OrelIvan A. Bychkov
Federal Scientific Center of Legumes and Groat Crops
Email: ivan.a.b@mail.ru
Junior Scientist, Plant Physiology and Biochemistry Laboratory
Russian Federation, OrelTatyana N. Selikhova
Federal Scientific Center of Legumes and Groat Crops
Email: tat.selihowa@yandex.ru
Candidate of Biological Sciences, Senior Scientist, Plant Physiology and Biochemistry Laboratory
OrelElena V. Semenova
Federal Research Center “N.I. Vavilov All-Russian Institute of Plant Genetic Resources”
Author for correspondence.
Email: e.semenova@vir.nw.ru
ORCID iD: 0000-0002-2637-1091
Candidate of Biological Sciences, Lead Scientist, Department of Legumes Genetic Resources
Russian Federation, Saint-PetersburgMargarita A. Vishnyakova
Federal Research Center “N.I. Vavilov All-Russian Institute of Plant Genetic Resources”
Email: m.vishnyakova.vir@gmail.com
ORCID iD: 0000-0003-2808-7745
Doctor of Biological Sciences, Head of Department, Department of Legumes Genetic Resources
Russian Federation, Saint-PetersburgReferences
- McCouch S, Baute GJ, Bradeen J, et al. Agriculture: feeding the future. Nature. 2013;499(7456): 23-24. https://doi.org/10.1038/499023a.
- Dempewolf H, Baute G, Anderson J, et al. Past and future use of wild relatives in crop breeding. Crop Science. 2017;57:1070-1082. https://doi.org/10.2135/cropsci2016.10.0885.
- Smýkal P, Kenicer G, Flavell AJ, et al. Phylogeny, phylogeography and genetic diversity of the Pisum genus. Plant Genetic Resources. 2011;9(1):4-18. https://doi.org/10.1017/s147926211000033x.
- Костерин О.Э. Перспективы использования диких сородичей в селекции гороха (Pisum sativum L.) // Вавиловский журнал генетики и селекции. – 2015. – T. 19. – № 2. – C. 4–14. [Kosterin OE. Prospects of the use of wild relatives for pea (Pisum sativum L.) breeding. Vavilov journal of genetics and breeding. 2015;19(2):4-14. (In Russ.)]. https://doi.org/10.18699/VJ15.019.
- Ochatt SJ, Benabdelmouna A, Marget P, et al. Overcoming hybridization barriers between pea and some of its wild relatives. Euphytica. 2004;137(1):353-359. https://doi.org/10.1023/b: euph.0000040476. 57938.81.
- Byrne OM, Hardie DC, Khan TN, et al. Genetic analysis of pod and seed resistance to pea weevil in a Pisum sativum × P. fulvum interspecific cross. Austral J Agricultural Res. 2008;59(9):854-862. https://doi.org/10.1071/ar07353.
- Clement SL, McPhee KE, Elberson LR, Evans MA. Pea weevil, Bruchus pisorum L. (Coleoptera: Bruchidae), resistance in Pisum sativum × Pisum fulvum interspecific crosses. Plant Breeding. 2009;128(5):478-485. https://doi.org/10.1111/j.1439-0523.2008.01603.x.
- Ali SM, Sharma B, Ambrose MJ. Current status and future strategy in breeding pea to improve resistance to biotic and abiotic stresses. Euphytica. 1994;73 (1-2):115-126. https://doi.org/10.1007/bf00027188.
- Fondevilla S, Avila CM, Cubero JI, Rubiales D. Response of Micosphaerella pinodes in a germplasm collection of Pisum ssp. Plant Breeding. 2005;124(3):313-315. https://doi.org/10.1111/j.1439-0523.2005.01104.x.
- Carrillo E, Rubiales D, Pérez-de-Luque A, Fondevilla S. Characterization of mechanisms of resistance against Didymella pinodes in Pisum spp. Eur J Plant Pathol. 2013;135(4):761-769. https://doi.org/10.1007/s10658-012-0116-0.
- Fondevilla S, Torres AM, Moreno MT, Rubiales D. Identification of a new gene for resistance to powdery mildew in Pisum fulvum, a wild relative of pea. Breed Sci. 2007;57(2):181-184. https://doi.org/10.1270/jsbbs.57.181.
- Barilli E, Satovic Z, Rubiales D, Torres A. Mapping of quantitative trait loci controlling partial resistance against rust incited by Uromyces pisi (Pers.) Wint. in a Pisum fulvum L. intraspecific cross. Euphytica. 2010;175(2):151-159. https://doi.org/10.1007/s10681-010-0141-z.
- Rubiales D, Moreno MT, Sillero JC. Search for resistance to crenata broomrape (Orobanche crenata Forsk.) in pea germplasm. Genet Res Crop Evol. 2005;52(7):853-861. https://doi.org/10.1007/s10722- 003-6116-3.
- Clement SL, Hardie DC, Elberson R. Variation among accessions of Pisum fulvum for resistance to pea weevil. Crop Science. 2002;42(6):2167-73. https://doi.org/10.2135/cropsci2002.2167.
- Fondevilla S, Cubero JI, Rubiales D. Confirmation that the Er3 gene, conferring resistance to Erysiphe pisi in pea, is a different gene from er1 and er2 genes. Plant Breeding. 2011;130(2):281-282. https://doi.org/10.1111/j.1439-0523.2010.01769.x.
- Aryamanesh N, Byrne O, Hardie DC, et al. Large-scale density-based screening for pea weevil resistance in advanced backcross lines derived from cultivated field pea (Pisum sativum) and Pisum fulvum. Crop Pasture Science. 2012;63(7):612-618. https://doi.org/10.1071/cp12225.
- Baranyi M, Greilhuber J, Swiecicki WK. Genome size in wild Pisum species. Theor Appl Genet. 1996;93(5-6): 717-721. https://doi.org/10.1007/bf00224067.
- Errico A, Conicella C, Venora G. Karyotype studies on Pisum fulvum аnd Pisum sativum using a chromosome image analysis system. Genome. 1991;34(1):105-108. https://doi.org/10.1139/g91-017.
- Bogdanova VS, Kosterin OE. Hybridization barrier between Pisum fulvum Sibth. et Smith and P. sativum L. is partly due to nuclear-chloroplast incompatibility. Pisum Genet. 2007;39:8-9.
- De Martino T, Errico A, Lassandro A, Conicella C. Distorting segregation resulting from pea chromosome reconstruction with alien segments from Pisum fulvum. J Heredity. 2000;91(4):322-325. https://doi.org/10.1093/jhered/91.4.322.
- Kosterin OE, Bogdanova VS, Galieva ER. Reciprocal compatibility within the genus Pisum L. as studied in F1 hybrids. 2. Crosses involving P. fulvum Sibth. et Smith. Gen Res Crop Evol. 2019;66(2):383-399. https://doi.org/10.1007/s10722-018-0714-6.
- Weeden NF. Genetic changes accompanying the domestication of Pisum sativum: is there a common genetic basis to the ‘Domestication syndrome’ for legumes? Ann Botan. 2007;100(5):1017-1025. https://doi.org/10.1093/aob/mcm122.
- Бобков С.В., Селихова Т.Н. Получение межвидовых гибридов для интрогрессивной селекции гороха // Экологическая генетика. – 2015. – T. 13. – № 3. – С. 40–49. [Bobkov SV, Selikhova TN. Obtaining interspecific hybrids for introgressive pea breeding. Russ J Genet Appl Res. 2017;7:145-152. (In Russ.)]. https://doi.org/10.1134/s2079059717020046.
- Государственный реестр селекционных достижений, допущенных к использованию. Т. 1. Сорта растений (официальное издание). – М.: ФГБНУ «Росинформагротех», 2019. – 516 с. [State register for selection achievements admitted for usage (national list). Vol. 1. Plant varieties (official publication). Moscow: Rosinformagrotekh; 2019. 516 p. (In Russ.)]
- Бобков С.В., Селихова Т.Н. Интрогрессия доминантного гена устойчивости к мучнистой росе из генома дикого вида гороха Pisum fulvum // Зернобобовые и крупяные культуры. – 2018. – № 4. – С. 20–24. [Bobkov SV, Selikhova TN. Introgression of a dominant gene conferring resistance to powdery mildew from genome of pea wild species Pisum fulvum. Zernobobovye i krupyanye kul’tury. 2018;(4):20-24. (In Russ.)]. https://doi.org/10.24411/2309-348X-2018-11044.
- Конарев В.Г. Идентификация сортов и регистрация генофонда культурных растений по белкам семян. – СПб.: ВИР, 2000. – 186 с. [Konarev VG. Identifikatsiya sortov i registratsiya genofonda kul’turnykh rasteniy po belkam semyan. Saint Petersburg: All-Russian Institute of plant genetic resources. N.I. Vavilova; 2000. 186 p. (In Russ.)]
- Tzitzikas EN, Vincken JP, Groot J, et al. Genetic variation in pea seed composition. J Agric Food Chem. 2006;54(2):425-433. https://doi.org/10.1021/jf0519008.
- Szimanowska U, Jakubczyk A, Baraniak B, Kur A. Characterizaton of lipoxigenase from pea seeds (Pisim sativum var. Telephone L.). Food Chemistry. 2009;116(4):906-910. https://doi.org/10.1016/j.foodchem.2009.03.045.
- O’Kane FE, Happe PR, Vereijken JM, et al. Heat-induced gelation of pea legumin: comparison with soybean glycinin. J Agric Food Chem. 2004;52(16): 5071-5078. https://doi.org/10.1021/jf035215h.
- Бобков С.В., Лазарева Т.Н. Компонентный состав электрофоретических спектров запасных белков межвидовых гибридов гороха // Генетика. – 2012. – Т. 48. – № 1. – С. 56–61. [Bobkov SV, Lazareva TN. Band composition of electrophoretic spectra of storage proteins in interspecific pea hybrids. J Genet. 2012;48(1):47-52. (In Russ.)]. https://doi.org/10.1134/s1022795411110068.
- Bourgeois M, Jacquin F, Savois V, et al. Dissecting the proteome of pea mature seeds reveals the phenotypic plasticity of seed protein composition. Proteomics. 2009;9(2):254-271. https://doi.org/10.1002/pmic.200700903.
- Rieseberg LH, Linder CR, Seiler GJ. Chromosomal and genic barriers to introgression in Helianthus. Genetics. 1995;141:1163-1171.
- Turner TL, Hahn MW, Nuzhdin SV. Genomic islands of speciation in Anopheles gambiae. PLoS Biol. 2005;3: e285. https://doi.org/10.1371/journal.pbio.0030285.
Supplementary files







