Studying the biochemical function of the pea receptor-like kinases sym10, sym37 and k1, required for the legume-rhizobia symbiosis development
- Authors: Dolgikh E.A.1, Kirienko A.N.1, Kovaleva O.D.1, Tikhonovich I.A.1
-
Affiliations:
- All-Russian Research Institute for Agricultural Microbiology
- Issue: Vol 15, No 4 (2017)
- Pages: 4-12
- Section: Genetic basis of ecosystems evolution
- Submitted: 08.04.2017
- Accepted: 08.12.2017
- Published: 25.12.2017
- URL: https://journals.eco-vector.com/ecolgenet/article/view/6164
- DOI: https://doi.org/10.17816/ecogen1544-12
- ID: 6164
Cite item
Full Text
Abstract
Background. Rhizobial Nod factors (NFs), the key regulators of legume-rhizobia symbiosis, act in low concentrations and their biological activity depends on structural features, that suggests the presence of specific receptors in plants. Putative receptors, LysM-receptor-like kinases (LysM-RLKs), were found in model legumes L. japonicus and M. truncatula. However, binding capacity with NFs was only studied for L. japonicus LysM-RLKs. In pea a few candidates for NF receptors like Sym10, Sym37 and K1 were found. Analysis of mutants revealed the importance of these proteins for symbiosis development. However, the biochemical function of these receptors has not been studied.
Materials and methods. Sequences encoding extracellular domains (ECDs) of LysM-RLKs Sym10, Sym37, and K1 were cloned in the pRSETa vector. Constructs were introduced in E. coli strain C41 to produce proteins with His6 residues on either the amino or carboxyl terminus. Protein purification was carried out using metal chelate affinity chromatography. The binding capacity with ligand was evaluated using ProteonXPR36 biosensor.
Results. To study binding capacity with NFs, we have developed approaches for the synthesis of LysM-RLK Sym10, Sym37 and K1 in soluble form in heterologous system. The high level of protein synthesis was achieved at +28 °C using 0,5 mM IPTG in 2-16 hours. Analysis of binding capacity of ECDs with NFs revealed the low affinity using the surface plasmon resonance.
Conclusion. The possibility of recombinant receptor synthesis in soluble state in E. coli at high level was demonstrated. Analysis of binding capacity with NFs showed the potential interaction, but with low affinity.
Full Text
ВВЕДЕНИЕ
Сигнальный диалог между бактериями порядка Rhizobiales (называемыми ризобиями) и бобовыми растениями является индуктором каскада событий, которые приводят к развитию на корнях растений азотфиксирующих клубеньков. Ключевыми регуляторами этого процесса выступают выделяемые ризобиями факторы клубенькообразования (Nod-факторы), представляющие собой олигомеры N-ацетилглюкозамина, модифицированные жирной кислотой и определенными химическими группами. Специфичность ответов бобовых растений на выделяемые ризобиями Nod-факторы указывает на наличие у них рецепторов к этим сигнальным молекулам.
Поиск возможных кандидатов на роль рецепторов к Nod-факторам у модельных бобовых растений был связан с выявлением и изучением мутантов, невосприимчивых к инокуляции и влиянию Nod-факторов. Особый интерес представляли мутанты, у которых дефектными являлись гены, кодирующие рецептор-подобных киназы с LysM-мотивами во внеклеточных доменах (LysM-РПК). У лядвенца японского Lotus japonicus было обнаружено две LysM-РПК — NFR1 и NFR5, которые стали кандидатами на роль рецепторов к Nod-факторам [1, 2]. Действительно, несколько позже для этих белков была показана способность связывать Nod-факторы с высокой аффинностью с помощью метода поверхностного плазмонного резонанса [3].
У другого бобового растения, люцерны слабоусеченной (Medicago truncatula), формирующей другой тип клубеньков (клубеньки недетерминированного типа), анализ мутантов по генам nfp и lyk3 показал необходимость рецепторных киназ NFP и LYK3 для развития симбиоза. С помощью методов молекулярного моделирования была предсказана возможность связывания NFP с Nod-факторами S. meliloti [4, 5], однако непосредственного связывания Nod-факторов с NFP и LYK3 показано не было.
Вместе с тем недавно у M. truncatula была найдена новая рецептор-подобная киназа LYR3, которая связывала Nod-факторы с высокой аффинностью (Kd = 25 нM), хотя этот рецептор и не проявлял специфичности в узнавании структуры жирной кислоты Nod-факторов [6, 7]. В связи с этим LYR3 может узнавать не только Nod-факторы, но и Мyc-факторы, выделяемые симбиотическими партнерами растений — грибами арбускулярной микоризы (АМ). Таким образом, остается неясным, принимает ли LYR3 непосредственное участие в контроле развития бобово-ризобиального симбиоза, или он необходим для формирования микоризы с грибами АМ [6, 7].
У гороха P. sativum L. анализ мутантов позволил выявить три наиболее вероятных кандидата на роль рецепторов к Nod-факторам: LysM-РПК, кодируемые генами Sym10, Sym37 и K1 [1, 8]. Наличие LysM-мотивов в LysM-РПК Sym10, Sym37 и K1 позволяет отнести их к классу рецепторов, потенциально способных связывать Nod-факторы, поскольку эти мотивы присутствуют в белках, узнающих соединения, состоящие из остатков N-ацетилглюкозамина [9]. Однако, несмотря на потенциальную возможность связывания LysM-РПК с Nod-факторами, физическое взаимодействие между этими молекулами и LysM-РПК Sym10, Sym37 и K1, которое должно подтвердить биохимическую функцию рецепторов, в настоящее время показано не было. В связи с этим мы исследовали функциональную характеристику белков — кандидатов на роль рецепторов к Nod-факторам у гороха. Для изучения связывающей способности с Nod-факторами были разработаны подходы для синтеза LysM-РПК Sym10, Sym37 и K1 в растворимом состоянии в гетерологичной системе (бактериях E. coli) и изучена возможность использования метода поверхностного плазмонного резонанса для анализа взаимодействия этих белков с лигандом — Nod-фактором.
МАТЕРИАЛЫ И МЕТОДЫ
Штаммы микроорганизмов. Для инокуляции растений гороха использовали штамм Rhizobium leguminosarum bv. viciae CIAM1026 из коллекции ФГБНУ ВНИИСХМ (WDCM 966); для молекулярно-биологических исследований — штаммы E. coli DH5α и C41; для синтеза Nod-факторов — модифицированный штамм-продуцент Rhizobium leguminosarum LPR5045 (pIJ1089) [10–12].
Растительный материал. В работе были использованы сорта гороха (Pisum sativum L.) из генетической коллекции ФГБНУ ВНИИСХМ — эффективные по фиксации азота сорта Finale и Frisson [13].
Условия выращивания растений. Семена гороха Pisum sativum L. стерилизовали в течение 5 мин в концентрированной серной кислоте, отмывали 3 раза водой, переносили на 1 % водный агар и проращивали в темноте при комнатной температуре. 4–5-дневные проростки гороха переносили в горшки с вермикулитом, политые питательной средой Jensen [14]. Инокуляцию семян проводили водной суспензией бактерий R. leguminosarumbv. viciae CIAM1026 (OD600 = 0,5) 1 мл на растение.
Конструирование векторов, обеспечивающих внутриклеточный синтез внеклеточных доменов рецепторов гороха. Для предсказания доменной структуры белков и поиска их внеклеточных доменов был использован сервис TMHММ Server v. 2.0 (http://www.cbs.dtu.dk/services/TMHММ). Амплификацию фрагмента, кодирующего внеклеточный домен рецептора, проводили на матрице кДНК с помощью специфичных праймеров и высокоточной Phusion-полимеразы (Thermo Scientific, США). Синтез кДНК был осуществлен на матрице РНК, выделенной из корней или клубеньков гороха сорта Finale с помощью реактива Trizole (Invitrogen, США), обратной транскриптазы RevertAid H– (Thermo Scientific, США) и олиго(дT)праймеров (Sileks, Россия). Для амплификации применяли следующие праймеры:
Sym37_F_BamH1 5’ GGGGATCCAAAGTGGAATCCAAGTGTGTAATAGG 3’
Sym37_R_EcoR1 5’ GGGAATTCTCTTCCGGGAAAGAACACTACC3’
Sym10_F_BamH1 5’ GGGGATCCAGTGGAACAAACTTTTCATGCC3’
Sym10_R_EcoR1 5’ GGGAATTCTTTTCTTCCATTTGAAGATGGTTGATC3’
K1_F_BamH1 5’ GGGGATCCAAAGTGGATTCAAAGTGTGTGA 3’
K1_R_EcoR1 5’ GGGAATTCTCTTCCTGGAATGAACACTATCC3’
Последовательности, кодирующие внеклеточные домены LysM-РПК Sym10, Sym37 и K1, были клонированы в векторе pRSETa по сайтам BamH1 и EcoR1. После проверки правильности полученных конструкций их использовали для синтеза внеклеточных доменов рецепторов в штамме E. coli С41 (мутантный штамм, полученный на основе BL21 (DE3)). Для предсказания молекулярной массы синтезируемых внеклеточных доменов белков на основании исходной нуклеотидной последовательности была применена подпрограмма EditSeq программы DNAStar (Invitrogen, США).
Анализ содержания синтезированных белков в различных субклеточных фракциях клеток E. coli С41. E. coli культивировали в жидкой среде LB [15], содержащей ампициллин (100 мкг/мл), при 37 °C до достижения культурой плотности OD600 = 0,6. После этого в среду вносили индуктор — 0,5 мМ изопропил-β-D-тиогалактозид (ИПТГ) и инкубировали при 28 °C в течение необходимого времени (2–16 часов). После завершения синтеза культуры E. coli С41 охлаждали на льду в течение 30 мин, затем осаждали клетки центрифугированием при 4000 g в течение 15 мин при +4 °C. Осадок ресуспендировали в буфере TBS (500 мМ трис-HCl, pH 8,0), содержащем коктейль ингибиторов протеаз (AEBSF, бестатин, E-64, пепстатин A, антипаин в концентрациях, рекомендуемых производителем) (Sigma Aldrich, США). Вскрытие клеток осуществляли с помощью ультразвуковой обработки (4 раза по 30 с, с интервалами выдерживания клеток на льду в течение 30 с). Полученную таким образом суспензию центрифугировали при 10 000 g в течение 15 мин при +4 °C для осаждения нерастворимой фракции. Для получения растворимой фракции супернатант центрифугировали при 100 000 g в течение 30 мин. Аликвоты полученных в результате центрифугирования различных субклеточных фракций ресуспендировали в буфере для нанесения на гель и анализировали методом электрофореза в полиакриламидном геле (ПААГ) в присутствии 0,1 % ДСН.
Вестерн-блот-анализ. Белковые образцы (10–40 мкг) разделяли электрофоретически в ДСН-ПААГ по методу Laemmli [16] и переносили на нитроцеллюлозу. Для инкубации использовали специфичные моноклональные антитела против полигистидиновой последовательности (анти-His), конъюгированные с пероксидазой (Sigma-Aldrich, США), при разведении 1 : 5 000. Продукты реакции выявляли с помощью хемилюминесцентного набора Immobilon (Millipore, США) или с помощью хлор-нафтола. Визуализацию продуктов реакции осуществляли на приборе G: BoxChemiXX9 (Syngene, Англия).
Металлохелатная аффинная хроматография. Синтезированные с помощью конструкций в векторе pRSETa белки имеют в своем составе последовательность из шести остатков гистидина (poly-His6). Это позволило провести очистку белков с помощью металлохелатной аффинной хроматографии. С этой целью супернатант, полученный после центрифугирования при 100 000 g, наносили на колонку Ni-CAM (5 × 1 мл, GE Healthcare, США) и смывали связавшийся белок повышающимися концентрациями имидазола (100, 200 и 500 мМ) на хроматографе ÄKTA FPLC (GE Healthcare, США). Очистку белков также проводили на магнитных бусах с никелем (Sigma Aldrich, США) при инкубации в течение ночи при +4 °C и последующей ступенчатой элюцией 100–300 мМ имидазола. Аликвоты белков из собранных после элюции фракций разделяли в ПААГ и гибридизовали с помощью анти-His-антител.
Очистка Nod-факторов. Nod-факторы получали с помощью штамма-продуцента R. leguminosarum LPR5045 (pIJ1089) [12]. Для этого культуру бактерий инкубировали в течение ночи в 1 литре среды B– [17] при + 28 °C и интенсивном перемешивании 220 об/мин в присутствии 10 мкМ нарингенина (индуктор). Клетки осаждали 15 мин при 4000 g, затем супернатант инкубировали с бутанолом в течение 1 часа при перемешивании 220 об/мин, бутанольную фазу отбирали и выпаривали. Осадок ресуспендировали в смеси этилацетат/вода (1 : 1). Водную фазу отбирали и снова выпаривали. Полученный таким образом осадок Nod-факторов очищали методом высокоэффективной жидкостной хроматографии (ВЭЖХ) на колонке С18 (Waters, Nova Pak C18, 3,9 × 150 мм, размер частиц — 4 мкм) с использованием линейного градиента от 30 до 80 % (v/v) ацетонитрил/вода. Выход пентамерных NodRlv-V (C18:4, C18 : 1, Ac) и тетрамерных NodRlv-IV (C18 : 4, C18 : 1, Ac) детектировали при длине волны 304 нм. Фракции, содержащие Nod-факторы, были собраны и выпарены. Перед использованием Nod-факторы ресуспендировали в 50–100 мкл 70 % ацетонитрила, аликвоту разделяли с помощью ВЭЖХ для проверки концентрации.
Анализ связывающей способности рецепторов с Nod-факторами. Связывающая способность рецепторных белков с Nod-факторами была оценена с помощью метода поверхностного плазмонного резонанса. Белки иммобилизовывали на чипах HTG (Bio-RadLaboratories, США) после активации поверхности 10 мМ NiSO4 (рН 6,0). Уровень иммобилизации белков составлял в среднем 2500–3000 резонансных единиц (RU). Анализ связывания белков-рецепторов с лигандом — NodRlv-IV, V, C18 : 4, C18 : 1, Ac (в диапазоне от 10 до 2500 нМ) выполняли на биосенсоре ProteonXPR36 (Bio-RadLaboratories, США).
РЕЗУЛЬТАТЫ И ОБСУЖДЕНИЕ
- Синтез внеклеточных доменов рецептор-подобных киназ Sym10, Sym37 и K1 гороха в бактериальной системе
Из-за трудности выделения мембранных белков из тканей в достаточных количествах (такие рецепторы обычно присутствуют в очень низких концентрациях) необходимо было разработать специальные методические подходы. С этой целью обычно осуществляют гетерологичную экспрессию генов, кодирующих белки интереса, в бактериях E. coli, дрожжах Saccharomyces cerevisiae или Pichia pastoris (последние имеют тип гликозилирования, сходный с высшими растениями) или растениях (например, Nicotiana benthamiana). Удобной системой для экспрессии могут быть бактерии E. coli, поскольку в них можно получить достаточно большие количества рекомбинантных белков. Однако при синтезе эукариотических белков в клетках прокариот в этих синтезируемых белковых молекулах отсутствуют вторичные модификации, такие как гликозилирование, фосфорилирование и т. п. Кроме того, в бактериальной системе белки часто образуют нерастворимые образования — тельца включения (англ. inclusion bodies), что требует подбора определенных условий (температуры, концентрации индуктора, штаммов, времени синтеза) для получения этих белков в растворимом виде. Тем не менее, учитывая возможность получения белков-рецепторов Sym10, Sym37 и K1 в больших количествах при синтезе в бактериях, мы разработали подходы для экспрессии генов рецепторов в бактериальной системе и попытались получить эти белки в растворимом виде.
1.1. Конструирование векторов, обеспечивающих внутриклеточный синтез белков-рецепторов Sym10, Sym37 и K1 в бактериях E. coli
С целью наработки белков-рецепторов Sym10, Sym37 и K1 гороха P. sativum в бактериях E. coli были созданы генетические конструкции в векторе pRSETa для экспрессии клонированных генов под контролем высокоактивного промотора Т7 (рис. 1). Важной проблемой, которую необходимо было решить, являлось получение рекомбинантного белка-рецептора в растворимой форме, поскольку только в этом случае можно изучить его связывающую способность с лигандом. Связывание Nod-факторов происходит с внеклеточными доменами белков-рецепторов, поэтому нами были получены конструкции, кодирующие только внеклеточные домены (EСD — от англ. extracellular domain) рецепторов без трансмембранного и киназного доменов, а также без сигнального пептида. Мы предположили, что при синтезе только внеклеточного домена рецептора без гидрофобного трансмембранного участка и сигнального пептида можно получить белок в растворимой форме. Так как в бактериях отсутствуют ферменты для удаления сигнальных пептидов белков эукариот, праймеры были подобраны таким образом, чтобы в амплифицированные продукты не вошли последовательности, кодирующие сигнальные пептиды белков Sym10, Sym37 и K1 (см. рис. 1).
Рис. 1. Схема генетических конструкций на основе вектора pRSETa, необходимых для синтеза внеклеточных доменов рецепторных киназ Sym10, Sym37 и K1 P. sativum (стрелкой указан сайт гидролиза для энтерокиназы, которая может быть использована для удаления His6-tag)
Полученные конструкции были названы pRSETa/Sym10-ECD, pRSETa/Sym37-ECD и pRSETa/K1-ECD (см. рис. 1), а образующиеся белки — Sym10-ECD, Sym37-ECD и K1-ECD соответственно. В составе синтезируемых белков присутствовали последовательности из шести остатков гистидина (His6-tag), позволяющие очищать рекомбинантные белки методом металлохелатной аффинной хроматографии.
1.2. Оптимизация условий наработки рекомбинантных белков-рецепторов в штамме E. сoli С41
Белки были синтезированы в штамме E. coli C41 (мутантный штамм, полученный на основе штамма BL21 (DE3)) [18]. Денатурирующий электрофорез в ПААГ показал наличие в лизатах клеток, трансформированных рекомбинантной плазмидой, белковых продуктов с молекулярными массами, соответствующими предсказанным для Sym10-ECD, Sym37-ECD и K1-ECD (27, 25 и 25 кДа соответственно), синтез которых наблюдали в ответ на обработку индуктором ИПТГ (рис. 2). Анализ содержания белков в различных субклеточных фракциях показал, что при температуре 28 °C рекомбинантные белки Sym10-ECD, Sym37-ECD и K1-ECD синтезируются в растворимой форме (белки присутствуют в растворимой цитозольной фракции после центрифугирования при 100 000 g) (см. рис. 2).
Рис. 2. Анализ содержания рекомбинантных белков Sym10-ECD и Sym37-ECD в различных субклеточных фракциях бактерий E. coli после культивирования в присутствии ИПТГ в течение 2–16 часов при температуре 28 °C: НФ1 — нерастворимая фракция, полученная при центрифугировании 10 000 g; РФ1 — растворимая фракция, полученная при центрифугировании 10 000 g; РФ2 — растворимая фракция, полученная при центрифугировании 100 000 g. Визуализацию синтезированных полипептидов проводили с помощью Вестерн-блот-гибридизации с анти-His-антителами
Снижение температуры культивирования и использование штамма E. сoli C41 оказалось эффективным для наработки внеклеточных доменов белков-рецепторов в растворимой форме. Таким образом, с помощью полученных генетических конструкций и оптимизации условий синтеза нам удалось получить внеклеточные домены белков-рецепторов в растворимой форме, что было необходимо для дальнейших экспериментов.
- Очистка рекомбинантных белков Sym10-ECD, Sym37-ECD и K1-ECD методом металлохелатной аффинной хроматографии
Для выделения и очистки белков Sym10-ECD и Sym37-ECD, синтезированных в культуре клеток E. coli, использовали жидкостную хроматографию низкого давления. После посадки на колонку белок элюировали ступенчатыми концентрациями имидазола — 100, 200 и 500 мМ (рис. 3, а). Белок Sym10-ECD был преимущественно элюирован с колонки при концентрации имидазола 200 мМ (наличие рекомбинантного белка в различных фракциях, собранных после элюции с колонки, детектировали с анти-His-антителами методом Вестерн-блот-гибридизации) (рис. 3, b).
Рис. 3. Очистка рекомбинантного белка-рецептора Sym10-ECD с помощью жидкостной хроматографии низкого давления: а — внеклеточный домен рецептора Sym10-ECD был наработан в клетках E. coli C41 в растворимом виде. Белок выделяли из 300 мл бактериальной культуры после индукции ИПТГ (2 часа). После посадки на Ni-CAM-колонку элюцию белков осуществляли повышающимися концентрациями имидазола — 100, 200 и 500 мМ. Максимальный выход белка наблюдали во фракции, полученной после элюции 200 мМ имидазолом (пик отмечен стрелкой); b — анализ очищенных фракций белка был проведен методом Вестерн-блот-гибридизации с анти-His-антителами. НС — несвязавшийся белок; П1, П2 — фракции 1 и 2, полученные после промывки колонки буфером; С7–С11 — фракции, полученные после смыва с колонки белка 200 мМ имидазолом (максимум содержания белка выявлен во фракции С8). Стрелкой отмечена фракция с максимальным содержанием очищенного рекомбинантного белка
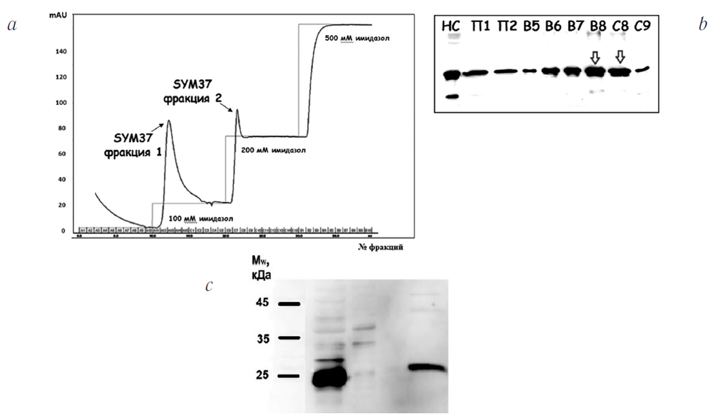
Белок Sym37-ECD был выявлен в двух фракциях — после элюции 100 мМ имидазолом (фракция 1, основная часть белка) и 200 мМ имидазолом (фракция 2, меньшая часть белка) (рис. 4, а). Аликвоты белков из собранных после элюции фракций разделяли в ПААГ и гибридизовали с помощью анти-His-антител (рис. 4, b).
Рис. 4. Очистка рекомбинантных белков-рецепторов Sym37-ECD (a, b) и K1-ECD (c) с помощью металлохелатной аффинной хроматографии: а — неклеточный домен рецептора Sym37-ECD был наработан в клетках E. coli C41 в растворимом виде после индукции ИПТГ (2 часа). После посадки на Ni-CAM колонку элюцию белков осуществляли повышающимися концентрациями имидазола — 100, 200 и 500 мМ. Выход белка наблюдали во фракциях, полученных после элюции 100 мМ (максимум во фракции В8) и 200 мМ имидазолом (фракция С8); b — анализ очищенных фракций белка был проведен методом Вестерн-блот-гибридизации с анти-His-антителами. НС — несвязавшийся белок; П1, П2 — фракции 1 и 2, полученные после промывки колонки буфером; B5–B8 — фракции, полученные после смыва с колонки белков 100 мМ имидазолом. Стрелкой отмечена фракция В8 с максимальным содержанием белка Sym37 при смыве с колонки 100 мМ имидазолом. С8, С9 — фракции, полученные после смыва с колонки белков 200 мМ имидазолом. Стрелкой отмечена фракция С8 с максимальным содержанием белка Sym37 при смыве с колонки 200 мМ имидазолом; с — очистка рекомбинантного белка-рецептора K1-ECD методом металлохелатной аффинной хроматографии. 1 — исходный супернатант 100 000 g; 2 — несвязавшийся белок после инкубации в течение ночи с никелевыми бусами; 3 — промывка буфером TBS; 4 — смыв белка 300 мМ имидазолом
Кроме того, чистоту белковых препаратов после элюции имидазолом также проверяли при разделении в ПААГ с последующей окраской серебром. Было показано, что только во фракциях, смываемых 200 мМ имидазолом, белки Sym10-ECD и Sym37-ECD почти не содержат примесей (данные не представлены). Таким образом, в результате очистки нами были получены очищенные до состояния, близкого к гомогенному, белки Sym10 и Sym37, собранные после элюции 200 мМ имидазолом (см. рис. 3, 4). Выход рекомбинантных белков после очистки металлохелатной хроматографией из 300 мл культуры клеток E. coli составлял в среднем 100–200 мкг. Очищенные белки Sym10-ECD и Sym37-ECD, собранные после элюции 200 мМ имидазолом, были использованы для дальнейшего анализа связывающей способности с лигандом.
Синтез LysM-РПК К1 был осуществлен в условиях, ранее разработанных для белков Sym10 и Sym37, но при этом оптимальное время культивирования для получения белка в растворимой форме составило 16 часов (см. рис. 2). Очистку внеклеточного домена K1-ECD проводили с помощью металлохелатной аффинной хроматографии на магнитных бусах с никелем (рис. 4, c). Элюцию белка осуществляли повышающимися концентрациями имидазола 100, 200 и 300 нМ. Для дальнейшего анализа использовали фракцию, полученную после элюции 300 мМ имидазолом. Выход белка после очистки составил в среднем 200–300 мкг.
- Анализ связывающей способности внеклеточных доменов рецепторов, полученных при гетерологичном синтезе в бактериях, с Nod-факторами
Оценку связывающей способности внеклеточных доменов рецепторов с Nod-IV, V, C18 : 4, С18 : 1, Ac проводили на примере K1-ECD с помощью метода поверхностного плазмонного резонанса на биосенсоре Proteon XPR36, позволяющего работать с лигандом без меток (рис. 5). C этой целью белок-рецептор K1-ECD, содержащий His6-метку, был иммобилизован на чипе HTG, а лиганд Nod-IV, V, C18 : 4, С18 : 1, Ac использовали в поступающем растворе (10–2500 нМ). Уровень иммобилизации белка составлял в среднем 2500–3000 RU (данные не представлены).
Рис. 5. Анализ связывания внеклеточного домена рецептора K1-ECD (С) с Nod-IV, V, C18 : 4, C18 : 1, Ac проводили с помощью метода поверхностного плазмонного резонанса
Анализ связывающей способности K1-ECD с Nod-факторами с помощью метода поверхностного плазмонного резонанса позволил выявить константу аффинности Kd = 8,64 ∙ 10–6 ± 0,51 М (рис. 5), что было ниже, чем мы ожидали, на основании того, что реакция растения на Nod-факторы проявляется в диапазоне концентраций 10–12–10–8 М. Таким образом, для очищенного внеклеточного домена рецептора K1 гороха, синтезированного в бактериях, нами была показана способность связывать Nod-факторы, но при этом аффинность была невысокой.
В целом на основании проведенных нами экспериментов была показана возможность синтеза рекомбинантных белков-рецепторов в растворимом состоянии в бактериях E. coli на достаточно высоком уровне. Однако анализ связывающей способности рецепторов, синтезированных в гетерологичной системе, позволяет сделать вывод об их низкой аффинности к Nod-факторам.
Вместе с тем анализ мутантов по генам, кодирующим рецепторы Sym10, Sym37 и K1, свидетельствует о необходимости этих рецепторных киназ для инициации развития симбиоза [1, 8]. Возможным объяснением этих данных может быть способность рецепторов связывать Nod-факторы с высокой аффинностью только при формировании гомо- или гетероолигомерных комплексов. В пользу необходимости формирования гомо- или гетероолигомерных комплексов рецепторов при связывании лиганда свидетельствуют данные по изучению других представителей класса LysM-рецепторов. В частности, недавно было показано, что LysM-рецептор этого класса, CERK1 арабидопсиса, связывает лиганд (олигомер хитина (n = 8)) только при образовании гомоолигомерного комплекса AtCERK1/AtCERK1 или гетероолигомерного комплекса с другим LysM-рецептором — AtCERK1/AtLYK5 [9, 19]. Сравнительный анализ показал низкую аффинность к хитоолигосахаридам рецептора CERK1 (Kd ~ 45 мкМ), который был открыт первым [9]. Однако в дальнейшем был выявлен рецептор LYK5, который формирует комплекс с CERK1, но при этом обладает высокой аффинностью к хитоолигосахаридам (Кd ~ 4 мкМ) [19].
Вероятно, сходным образом LysM-РПК Sym10, Sym37 и K1 могут быть необходимы для формирования комплексов с дополнительными белками с высокой аффинностью к Nod-факторам. В пользу этого предположения свидетельствует выявление дополнительного рецептора LYR3 у гороха, который имеет более высокую аффинность к Nod-факторам [7].
Другим объяснением полученных данных может быть низкая связывающая способность рецепторов, синтезированных в гетерологичной системе, из-за отсутствия у них необходимых вторичных модификаций (гликозилирования, фосфорилирования и т. п.). Для ответа на этот вопрос необходимо проводить сравнительный анализ с использованием рецептора, для которого уже оценена константа аффинности для Nod-факторов (например, для LYR3) [7]. Дальнейшие эксперименты по анализу взаимодействия рецепторов с лигандом позволят выяснить, как могут функционировать LysM-рецепторы в процессе передачи сигнала от Nod-фактора.
Работа была выполнена при финансовой поддержке Российского научного фонда (РНФ, 16-16-10043) с использованием оборудования ЦКП «Геномные технологии, протеомика и клеточная биология» на базе ФГБНУ ВНИИСХМ.
About the authors
Elena A. Dolgikh
All-Russian Research Institute for Agricultural Microbiology
Author for correspondence.
Email: dol2helen@yahoo.com
ORCID iD: 0000-0003-3433-2102
SPIN-code: 4453-2060
Group leader, Laboratory of molecular and cell biology
Russian Federation, 3, Podbelsky highway, Pushkin, Saint-Petersburg, 196608Anna N. Kirienko
All-Russian Research Institute for Agricultural Microbiology
Email: kirienkoann@yandex.ru
Laboratory of molecular and cell biology
Russian Federation, 3, Podbelsky highway, Pushkin, Saint-Petersburg, 196608Oksana D. Kovaleva
All-Russian Research Institute for Agricultural Microbiology
Email: meriones@list.ru
PhD student, Laboratory of molecular and cell biology
Russian Federation, 3, Podbelsky highway, Pushkin, Saint-Petersburg, 196608Igor A. Tikhonovich
All-Russian Research Institute for Agricultural Microbiology
Email: arriam2008@yandex.ru
Professor, Director
Russian Federation, 3, Podbelsky highway, Pushkin, Saint-Petersburg, 196608References
- Madsen EB, Madsen LH, Radutoiu S, et al. A receptor kinase gene of the LysM type is involved in legume perception of rhizobial signals. Nature. 2003;425:637-640. doi: 10.1038/nature02045.
- Radutoiu S, Madsen LH, Madsen EB, et al. Plant recognition of symbiotic bacteria requires two LysM receptor-like kinases. Nature. 2003;425:569-570. doi: 10.1038/nature02039.
- Broghammer A, Krusell L, Blaise M, et al. Legume receptors perceive the rhizobial lipochitin oligosaccharide signal molecules by direct binding. Proc Natl Acad Sci USA. 2012;109(34):13859-13864. doi: 10.1073/pnas.1205171109.
- Mulder L, Lefebvre B, Cullimore J, Imberty A. LysM domains of Medicago truncatula NFP protein involved in Nod factor perception. Glycosylation state, molecular modeling and docking of chitooligosaccharides and Nod factors. Glycobiology. 2006;16(9):801-809. doi: 10.1093/glycob/cwl006.
- Lefebvre B, Klaus-Heisen D, Pietraszewska-Bogiel A, et al. Role of N-glycosylation sites and CXC motifs in trafficking of medicago truncatula Nod factor perception protein to plasma membrane. J Biol Chem. 2012;287(14):10812-10823. doi: 10.1074/jbc.M111.281634.
- Fliegmann J, Canova S, Lachaud C, et al. Lipo-chitooligosaccharidic symbiotic signals are recognized by LysM receptor-like kinase LYR3 in the legume Medicago. ACS Chemical Biology. 2013;8 (9):1900-1906. doi: 10.1021/cb400369u.
- Malkov N, Fliegmann J, Rosenberg C, et al. Molecular basis of lipo-chitooligosaccharide recognition by the lysin motif receptor-like kinase LYR3 in legumes. Biochem J. 2016;473:1369-1378. doi: 10.1042/BCJ20160073.
- Zhukov V, Radutoiu S, Madsen LH, et al. The Pea Sym37 receptor kinase gene controls infection-thread initiation and nodule development. Molecular Plant-Microbe Interactions. 2008;21(12):1600-1608. doi: 10.1094/MPMI-21-12-1600.
- Liu T, Liu Z, Song C, et al. Chitin-induced dimerization activates a plant immune receptor. Science. 2012;336(6085):1160-1164. doi: 10.1126/science.1218867.
- Hooykaas PJJ, Snidewint FGM, Schilperoort RA. Identification of the Sym plasmid of Rhizobium leguminosarumstrain 1001 and its transfer to and expression in other Rhizobia and Agrobacterium tumefaciens. Plasmid. 1982;8:73-82. doi: 10.1016/0147-619x(82)90042-7.
- Downie JA, Ma QS, Knight CD, et al. Cloning of the symbiotic region of Rhizobium leguminosarum: the nodulation genes are between the nitrogenase genes and a nifA-like gene. EMBO J. 1983;2(6):947-952.
- Spaink HPD, Sheeley M, van Brussel AAN, et al. A novel highly unsaturated fatty acid moiety of lipo-oligosaccharide signals determines host specificity of Rhizobium. Nature. 1991;354(6349):125-130. doi: 10.1038/354125a0.
- Duc G, Messager A. Mutagenesis of pea (Pisum sativum L.) and the isolation of mutants for nodulation and nitrogen fixation. Plant Sci. 1989;60:207-213. doi: 10.1016/0168-9452(89)90168-4.
- van Brussel AAN, Tak T, Wetselaar A, et al. Small leguminosae as test plants for nodulation of Rhizobium leguminosarum and other rhizobia and agrobacteria harbouring a leguminosarum sym-plasmid. Plant Science Letters. 1982;27(3):317-325. doi: 10.1016/0304-4211(82)90134-1.
- Bertani G. Studies on lysogenesis. I. The mode of phage liberation by lysogenic Escherichia coli. J Bacteriol. 1951;62:293-300.
- Laemmli UK. Cleavage of structural proteins during the assembly of the head of bacteriophage T4. Nature. 1970;15:680-685. doi: 10.1038/227680a0.
- van Brussel AAN, Planque K, Quispel A. The wall of Rhizobium leguminosarum in bacteroid and free-living forms. J Gen Microbiol. 1977;101:51-56. doi: 10.1099/00221287-101-1-51.
- Miroux B, Walker JE. Over-production of proteins in Escherichia coli: mutant hosts that allow synthesis of some membrane proteins and globular proteins at high levels. J Mol Biol. 1996;260(3):289-98. doi: 10.1006/jmbi.1996.0399.
- Cao Y, Liang Y, Tanaka K, et al. The kinase LYK5 is a major chitin receptor in Arabidopsis and forms a chitin-induced complex with related kinase CERK1. eLife. 2014;3.e03766. doi: 10.7554/elife.03766.
Supplementary files










