Physiological mechanism epistatic interaction of resistance genes to acaricides of various chemical classes in the interline hybrids of two-spotted spider mite
- Authors: Sundukov O.V1, Tulaeva I.A1, Zubanov E.A1
-
Affiliations:
- All-Russian Institute of Plant Protection
- Issue: Vol 15, No 2 (2017)
- Pages: 44-49
- Section: Articles
- Submitted: 03.07.2017
- Published: 15.06.2017
- URL: https://journals.eco-vector.com/ecolgenet/article/view/6766
- DOI: https://doi.org/10.17816/ecogen15244-49
- ID: 6766
Cite item
Full Text
Abstract
Summary: Background. The presence in interline hybrids two-spotted spider mite Tetranychus urticae Koch two genes determining resistance to acaricides of various chemical classes significantly increases their sensitivity to the action of each these toxicants.
Materials and methods. The resistant and susceptible to malathion, bifenthrin and abamectin inbred lines of spider mite by disruptive selection cycles were obtained. The toxicological tests were performed by diagnostic concentrations of acaricides. The protein marker gene of resistance to malathion was determined by poliacrylamide disc-electrophoresis.
Results. The epistatic interaction of resistance genes to different acaricides is not manifestation at the stages of transcription and translation of genetic information.
Conclusion. The epistatic effect of another gene on the resistance gene to the current acaricide is a different consequence of metabolism processes encoded by each gene at the stage of phenotypic regulation.
Keywords
Full Text
ВВЕДЕНИЕ
Присутствие в геноме самок межлинейных гибридов обыкновенного паутинного клеща двух генов, детерминирующих резистентность к акарицидам различных химических классов, достоверно увеличивает их чувствительность к действию каждого из этих токсикантов по сравнению с гомозиготными особями по генам резистентности только к какому-либо одному из сопоставляемых акарицидов [6]. Дополнительные эксперименты были проведены с целью выявления у таких гибридов этапа в экспрессии информации, кодируемой каждым из генов, на котором происходит их взаимодействие, проявляющееся в конечном фенотипическом выражении признака резистентности к действующему акарициду как эпистатическое.
МАТЕРИАЛЫ И МЕТОДЫ
Дизруптивным отбором получены инбредные линии обыкновенного паутинного клеща Tetranychus urticae Koch., проявляющие резистентность или чувствительность к одному из сопоставляемых акарицидов. Семьи клеща от единичных самок, отобранных предварительным тестированием, содержали на листовых плотиках фасоли, уложенных на мокрую вату. Новое поколение клеща резистентной к токсиканту линии было потомством самок, взятых из семей с уровнем смертности 0–10 % после обработки диагностической (СК95 × 2 для клещей чувствительной линии) весовой концентрацией (в % по действующему веществу) селектирующего акарицида. Дизруптивный отбор линий клеща проводили тремя акарицидами — малатионом (50 % к. э.1 карбофоса), бифентрином (10 % к. э. талстара) и абамектином (1,8 % к. э. вертимека). Диагностическими концентрациями являлись: для малатиона — 0,05 %, для бифентрина — 0,002 %, для абамектина — 0,00009 %. Тестирование проводили методом окунания в водный раствор токсиканта кусочка листа фасоли с посаженными на него 7–10-ю самками одной семьи. Смоченная токикантом высечка листа с клещами затем помещалась на сухой отдельный листовой плотик.
Чувствительную к акарициду линию клеща получали методом сибселекции от сестер самок из семей со 100 % смертностью при действии диагностической концентрации токсиканта. Уровень смертности самок во всех вариантах определяли через 24 часа после обработки токсикантом.
Средние летальные концентрации каждого акарицида вычисляли методом пробит-анализа по Литчфильду и Уилкоксону [1]. Стандартные ошибки средних арифметических значений процента смертности и коэффициенты вариаций рассчитаны по соответствующим формулам [7] с помощью компьютерных программ.
Скрещивание клещей полученных линий с генами резистентности к акарицидам различных химических классов проводили реципрокно. Токсикологическое тестирование потомства первого поколения гибридных самок и статистическая обработка результатов выполнены так же, как это делалось на гомозиготных по гену резистентности к акарициду самках отселектированных линий.
Фракции эстераз выявляли методом диск-электрофореза в полиакриламидном геле с использованием трис-вероналового электродного буфера pH 7,2–7,5. Концентрация акриламида в разделяющем геле составляла 7,5 %. Самку клеща гомогенизировали в 40 мкл 40 % сахарозы. Инкубационная среда готовилась на 0,2 М фосфатным буфере pH 6,9 с использованием 1-нафтилацетата в качестве гидролизуемого эстеразами субстрата и прочного синего RR в качестве красителя [2].
Одновременно молекулярный маркер гена резистентности к малатиону выявляли тиохолиновым методом [18] в гомогенате из 20 самок клеща отдельных семей, приготовленном с 50 мкл 40 % сахарозы. В качестве гидролизуемого субстрата использовали s-бутирилтиохолиниодид. При выявлении ацетилхолинэстеразной фракции в сахарозу добавляли 1 % детергента — тритона Х-100.
РЕЗУЛЬТАТЫ
У членистоногих, резистентных к инсектоакарицидам, которые ингибируют эстеразную активность или являются по химическому строению карбоксиэфирами, в организме обнаруживается значительно более высокая, чем у чувствительных к таким токсикантам особей, карбоксилэстеразная активность (КФ 3.1.1.1). Такое фенотипическое выражение мутации, как выяснено, обусловлено амплификацией локуса ДНК, кодирующего синтез одной из множественных молекулярных форм этого фермента [10, 15, 17]. Электрофоретическая фракция этого изозима в проводившихся экспериментах служила молекулярным маркером гена резистентности к малатиону. По активности этой фракции в различных вариантах экспериментов сопоставлялись самки гомозиготной по признаку резистентности к малатиону линии с самками межлинейных гибридов, у которых в геноме присутствовали аллели резистентности к малатио ну и бифентрину или к малатиону и абамектину.
Полученные семьи гомозиготных клещей и гетерозиготных гибридов тестировали диагностической концентрацией сопоставляемых инсектоакарицидов. Уровень устойчивости к токсическому действию малатиона, бифентрина и абамектина самок, гомозиготных по генам резистентности к этим соединениям, представлен в табл. 1, показатели токсичности при действии акарицидов на гетерозиготных гибридных самок с генами резистентности к малатиону и бифентрину или к малатиону и абамектину — в табл. 2 и 3.
Таблица 1. Смертность гомозиготных по главным генам резистентности к малатиону, бифентрину и абамектину самок от диагностических концентраций токсикантов, которыми селектировались линии клеща Mortality of females of the spider mite homozygous for the main genes of resistance to malathion, bifenthrin and abamectin from the diagnostic concentrations of the selective acaricides
Селектирующий токсикант | Кол-во семей | Кол-во ♀♀ | Смертность ♀♀ ( ± Sρ) в % | Коэффициент вариации (ν в %) |
Малатион | 35 | 540 | 20,8 ± 1,9 | 9,1 ± 0,27 |
Бифентрин | 37 | 588 | 26,4 ± 2,0 | 7,6 ± 0,22 |
Абамектин | 29 | 411 | 32,5 ± 2,4 | 7,4 ± 0,26 |
Таблица 2. Смертность гетерозиготных по главным генам резистентности к малатиону и бифентрину самок клеща при дифференцированном действии диагностических концентраций этих токсикантов Mortality of females of the spider mite heterozygous for main genes of resistance to malathion and bifenthrin at the differential treated by diagnostic concentrations of these acaricides
Действующий токсикант | Варианты скрещивания | Кол-во семей | Кол-во ♀♀ | Смертность ♀♀ ( ± Sρ) в % | Коэффициент вариации (ν в %) |
Малатион | ♀R-мал. × ♂r-биф. | 62 | 421 | 36,6 ± 2,1 | 5,7 ± 0,19 |
♀r-биф. × ♂R-мал. | 73 | 501 | 44,5 ± 2,0 | 4,5 ± 0,14 | |
Бифентрин | ♀R-мал. × ♂r-биф. | 69 | 554 | 80,5 ± 1,7 | 2,1 ± 0,06 |
♀r-биф. × ♂R-мал. | 78 | 768 | 84,9 ± 2,3 | 2,7 ± 0,07 |
Таблица 3. Смертность гетерозиготных по главным генам резистентности к малатиону и абамектину самок клеща при дифференцированном действии диагностических концентраций этих токсикантов Mortality of females of the spider mite heterozygous for main genes of resistance to malathion and abamectin at the differential treated by of diagnostic concentrations of these acaricides
Действующий токсикант | Варианты скрещивания | Кол-во семей | Кол-во ♀♀ | Смертность ♀♀ (ẋ ± Sρ) в % | Коэффициент вариации (ν в %) |
Малатион | ♀R-мал. × ♂R-абам. | 78 | 484 | 33,7 ± 2,1 | 6,2 ± 0,2 |
♀R-абам. × ♂R-мал. | 79 | 474 | 42,6 ± 2,3 | 5,4 ± 0,17 | |
Абамектин | ♀R-мал. × ♂R-абам. | 56 | 551 | 68,9 ± 2,0 | 2,9 ± 0,09 |
♀R-абам. × ♂R-мал. | 61 | 486 | 79,5 ± 1,9 | 2,4 ± 0,08 |
Как было показано ранее [5], вследствие партеногенетического способа размножения по типу арренотокии у паутинных клещей при дизруптивном отборе резистентных и чувствительных к токсиканту самок в каждом из инбредно получаемых поколений резистентной линии выявляется до 30 % чувствительных особей. Коэффициент вариабельности их присутствия в отдельных поколениях не превышает при этом 10 %. Смертность гетерозиготных самок с генами резистентности к малатиону и бифентрину при действии диагностических концентраций этих токсикантов (табл. 2) двукратно превышала уровень смертности гомозиготных самок клещей только с одним геном резистентности к каждому из этих токсикантов (табл. 1). Аналогичную реакцию на действие диагностических концентраций акарицидов проявляли и гетерозиготные самки с генами резистентности к малатиону и абамектину (табл. 3).
При сопоставлении гомозиготных и гибридных самок клеща по составу электрофоретических фракций эстераз получены следующие результаты.
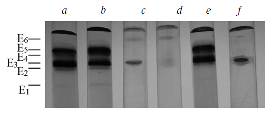
В гомогенате единичных самок клеща выявлялись только изозимы карбоксилэстеразы Е2–Е5, гидролизовавшие 1-нафтилацетат (рис. 1, а, б). Концентрация других ферментов эстеразного комплекса была недостаточной для их отчетливого обнаружения применяемым методом. Среди изозимов карбоксилэстеразы в норме всегда самой активной была фракция Е5. Карбоксилэстеразная фракция Е3 была высокоактивной только у резистентных к малатиону клещей (рис. 1, а, b).
Рис. 1. Выявление изозима карбоксилэстеразы Е3 у гомозиготных по гену резистентности к малатиону самок клеща: а — 1♀R-мал., b — 1♀S-мал., c — 1♀R-мал. (обраб); d — 20♀♀R-мал., e — 20♀♀S-мал., f — 20♀♀R-мал. Гидролизуемые субстраты: 1 — нафтилацетат (a, b, c), бутирилтиохолиниодид (d, e), ацетилтиохолиниодид (f)
Через 24 часа после обработки диагностической концентрацией малатиона резистентных к нему самок в их организме обнаруживались только эти две фракции (Е3 и Е5) изозимов карбоксилэстеразы с частично подавленной активностью (рис. 1, c).
Тиохолиновым методом в гомогенате 20 резистентных к малатиону самок отдельных семей выявлялась только одна маркерная фракция карбоксилэстеразы Е3 (рис. 1, d). В гомогенате 20 чувствительных к малатиону клещей помимо этой фракции, существенно более низкой по активности, чем у резистентных самок, присутствовала еще ацетилхолинэстеразная (КФ 3.1.1.7) фракция Е6 (рис. 1, e), слабоактивная и поэтому не всегда обнаруживаемая у резистентных клещей. Доказательством идентификации этой фракции как ацетилхолинэстеразной, помимо наименьшей электрофоретической подвижности, являлась ее способность гидролизовать пропионилтиохолиниодид и ацетилтиохолиниодид (рис. 1, f). Изозим карбоксилэстеразы Е 3 эти субстраты не гидролизовал. Таким образом, индуцируемый геном резистентности к фосфорорганическому токсиканту механизм защиты от отравления, заключающийся в усилении синтеза множественной молекулярной формы карбоксилэстеразы, сопровождается снижением активности другого фермента эстеразного комплекса — ацетилхолинэстеразы. Это является экспериментальным подтверждением результатов, полученных еще на начальном этапе изучения биохимических механизмов резистентности к фосфорорганическим соединениям. Определяемая колориметрическим методом скорость гидролиза ацетилхолина гомогенатами резистентных к параоксону и диазоксону пау тинных клещей была на 20 % ниже, чем у клещей, чувствительных к этим соединениям [26]. Автор предположил, что мутация у резистентных к фосфорорганическим соединениям клещей детерминирует количественные различия синтезируемых ферментов эстеразного комплекса. Методом электрофореза стабильно выявляются сравнительные различия в активности фракций ацетилхолинэстеразы и карбоксилэстеразы у резистентных и чувствительных к малатиону генотипов.
В отличие от моногенной детерминации признака резистентности к малатиону наследование признака резистентности к бифентрину является дигенным и не полностью рецессивным [4]. Один из главных генов резистентности к пиретроидным соединениям, вызывающий нарушение функций натриевых каналов, — рецессивный. Второй ген, кодирующий увеличение активности карбоксилэстеразы [4, 21], как и у членистоногих, резистентных к фосфорорганическим токсикантам, должен быть доминантным, что и определяет неполную рецессивность признака резистентности.
У гомозиготных по гену резистентных к бифентрину единичных самок активность изозима Е3 по отношению к 1-нафтилацетату была несколько выше, чем у чувствительных особей (рис. 2, а, b). Различия были более четкими при сопоставлении тиохолиновым методом активности этой фракции в гомогенатах из 20 резистентных и чувствительных самок при гидролизе s-бутирилтиохолиниодила (рис. 2, c, d). У гетерозиготных самок клеща, имеющих гены резистентности к малатиону и бифентрину, никакого снижения активности маркерной фракции карбоксилэстеразы Е3, по сравнению с гомозиготными особями, не происходит (рис. 2, e, f).
Рис. 2. Выявление изозима карбоксилэстеразы Е3 у гомозиготных по генам резистентности к бифентрину и гибридных самок: а — 1♀R-биф., b — 1♀S-биф., c — 20♀♀R-биф., d — 20♀♀S-биф., e — 1♀R-биф.-мал., f — 20♀♀R-биф.-мал. Гидролизуемые субстраты: 1 — нафтилацетат (a, b, e) и бутирилтиохолиниодид (c, d, f)
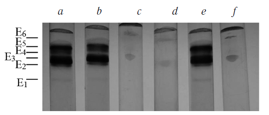
Дигенная и доминантная по главным генам резистентности детерминация признака устойчивости к абамектину [4] не связана с усилением синтеза карбоксил эстеразного изозима Е3. По интенсивности гидролиза и 1-нафтилацетата, и s-бутирилтиохолиниодида у гомозиготных самок клеща, резистентных и чувствительных к абамектину, активность этого маркерного изозима была одинаковой (рис. 3, а–d).
Рис. 3. Выявление изозима карбоксилэстеразы Е3 у гомозиготных по генам резистентности к абамектину и гибридных самок: а — 1♀R-абам.; b — 1♀S-абам., c — 20♀♀R-абам., d — 20♀♀S-абам.; e — 1♀R-абам.-мал., f — 20♀♀R-абам.-мал. Гидролизуемые субстраты: 1 — наф тилацетат (a, b, e) и бутирилтиохолиниодид (c, d, f)
У гибридных самок клеща с совмещенными в геноме аллелями резистентности к малатиону и абамектину маркерная фракция карбоксилэстеразы Е 3 по интенсивности гидролиза s-бутирилтиохолиниодида была выше, чем у гомозиготных по генам резистентности к абамектину клещей (рис. 3, f).
ОБСУЖДЕНИЕ РЕЗУЛЬТАТОВ
У гетерозиготных самок обыкновенного паутинного клеща на этапах транскрипции и трансляции гены резистентности к бифентрину и к абамектину не оказывают влияния на синтез ферментативного белка, детерминируемого геном резистентности к малатиону. Генотипическая супрессия, проявляющаяся в ослаблении выражения признака резистентности по уровню смертности к действующему акарициду, у межлинейных гибридов должна происходить на третьем этапе экспрессии генетической информации — при осуществлении регуляции биохимических процессов, детерминируемых каждым из генов.
Непосредственной причиной гибели членистоногих при отравлении инсектоакарицидами острого токсического действия является критическая потеря из организма воды и электролитов [3]. Проявление признака резистентности связано с изменением интенсивности обменных процессов, поддерживающих гомеостаз водного и электролитного состава жидкостей внутренней среды, а также уровень внутриклеточного энергетического обмена, обеспечивающего осуществление этих процессов. Развитие признака резистентности к каждому из токсикантов, по противодействию вызываемых ими патологических сдвигов, происходит посредством осуществления ряда взаимозависимых биохимических процессов, восстанавливающих регуляторные системы транспорта воды и электролитов через биологические мембраны.
Начальным этапом летального патогенеза при отравлении членистоногих инсектоакарицидами является их встраивание в липидный бислой плазматической мембраны клеток [8, 9, 19, 29]. Это вызывает нарушение функций различных интегральных компонентов мембраны — рецепторов, ионных каналов, встроенных в мембрану ферментов.
Пиретроидные соединения изначально расстраивают работу воротного механизма натриевых каналов, которые остаются открытыми дольше необходимого времени, что приводит к деполяризации электрического потенциала плазматических мембран [13, 24, 27, 28].
Авермектины блокируют рецепторы нейрогормональных медиаторов — глутамата, гистамина, серотонина, гамма-аминомасляной кислоты, контролирующих реализацию важнейших физиологических функций. Следствием этого являются аномалии трансмембранного перераспределения анионов хлора и катионов кальция с последующими нарушениями процессов метаболизма, которые осуществляются с их участием [11, 12, 14, 20, 30].
Фосфорорганические соединения подавляют активность карбоксилэстераз, от которых в значительной мере зависит проницаемость биомембран для ионов, биологически активных веществ, сахаров, аминокислот и липидов [16, 25].
Последовательность включения генами резистент ности к акарицидам компенсаторных механизмов, противодействующих интоксикации, зависит от того, какие первичные молекулярные нарушения вызывает каждый из токсикантов. Присутствующий у гибридных клещей ген резистентности к акарициду другого химического класса будет поэтому конкурентно затруднять осуществление экспрессии активируемого токсикантом гена.
Широко обсуждаемые в литературных источниках механизмы ферментативной «детоксикации» химических инсектоакарицидов в качестве факторов резистентности не могут быть таковыми, поскольку токсикант, попадая на тело членистоногого, остается в липидных структурах плазматических мембран клеток по месту первичного контакта с ними. Обнаруживаемый у резистентных к инсектоакарицидам членистоногих более высокий уровень монооксигеназной, глутатион-S-трансферазной активности [22, 23] и активности других ферментов является показателем детерминируемого геном резистентности к токсиканту повышения интенсивности обменных процессов, усиливающих реактивные свойства организма.
About the authors
Oleg V Sundukov
All-Russian Institute of Plant Protection
Author for correspondence.
Email: zubanov63@rambler.ru
PhD, Senior scientist, Laboratory ecotoxicology
Russian Federation, Pushkin, Saint Petersburg, RussiaIrina A Tulaeva
All-Russian Institute of Plant Protection
Email: zubanov63@rambler.ru
PhD, scientist, Laboratory ecotoxicology
Russian Federation, Pushkin, Saint Petersburg, RussiaEvgeniy A Zubanov
All-Russian Institute of Plant Protection
Email: zubanov63@rambler.ru
scientist, Laboratory ecotoxicology
Russian Federation, Pushkin, Saint Petersburg, RussiaReferences
- Беленький М.Л. Элементы количественной оценки фармакологического эффекта. – Рига: АН Латв. ССР, 1959. [Belenkiy ML. Elements of quantitative estimate of pharmacological action. Riga: AN Latv. SSR; 1959. (In Russ.)]
- Маурер Г. Диск-электрофорез. – М.: Мир, 1971. [Disk-Elektrophorese. Moskow: Mir, 1971. (In Russ.)]
- Сундуков О.В. Этиология острой токсичности инсектоакарицидов и физиологические факторы, определяющие избирательность их действия на членистоногих. – СПб.: Наука, 2012. [Aetiology of sharp toxic action and physiological factorsof selective insecticidal activity on arthropods. Saint Petersburg: Nauka; 2012. (In Russ.)]
- Сундуков О.В., Тулаева И.А., Зубанов Е.А. Наследование признаков резистентности к акарицидам в инбредных линиях обыкновенного паутинного клеща // Экол. генетика. – 2014. – Т. 12. – № 3. – С. 43–51. [Sundukov OV, Tulaeva IA, Zubanov YeA. Ecol Genetics. 2014;12(3):43-51. (In Russ.)]. doi: 10.17816/ecogen123.
- Сундуков О.В., Тулаева И.А., Зубанов Е.А. Проявление признаков резистентности к инсектоакарицидам в инбредных линиях обыкновенного паутинного клеща при дизруптивном отборе // Экол. генетика. – 2015. – Т. 13. – № 3. – С. 76–84. [Sundukov OV, Tulaeva IA, Zubanov YeA. Ecol. Genetics. 2015;13(3):76-84. (In Russ.)]. doi: 10.17816/ecogen123.
- Сундуков О.В., Тулаева И.А., Зубанов Е.А. Эпистатическое взаимодействие генов резистентности к акарицидам у межлинейных гибридов обыкновенного паутинного клеща // Экол. генетика. – 2016. – Т. 14. – № 1. – С. 27–33. [Sundukov OV, Tulaeva IA, Zubanov YeA. Ecol. Genetics. 2016;14(1):27-33. (In Russ.)]. doi: 10.17816/ecogen14127-33.
- Урбах В.Ю. Биометрические методы. – М.: Наука, 1964. [Urbah VYu. Biometrical methods. Moscow: Nauka; 1964. (In Russ.)]
- Antunes-Madeira MC, Madeira VMC. Interaction of insecticides with lipid membranes. Bichim Biophys Acta. Biomembranes. 1979;550:384-392. doi: 10.1016/0005-2736 (79)90143-3.
- Antunes-Madeira MC, Madeira VMC. Membrane partitioning of organophosphorus insecticides and its implications for mechanisms of toxicity. Pest Manag Sci. 1989;26:167-179. doi: 10.1002/ps.2780260208.
- Bass Ch, Field LM. Gene amplification and insecticide resistance. Pest Manag Sci. 2011;67(8):886-890. doi: 10.1002/ps.2189.
- Bloomquist JR. GABA and glutamate receptors as biochemical sites for insecticide action. In Ishaaya I. (ed.), Biochemical sites of insecticide action and resistance. New York: Springer; 2001. P. 17-41. doi: 10.1007/978-3-642-59549-3_2.
- Bloomquist JR. Chloride channels as tools for developing selective insecticides. Arch Insect Biochem Physiol. 2003;54(4):145-156. doi: 10.1002/arch.10112.
- Burton MJ, Mellor IR, Duce IR, et al. Differential resistance of insect sodium channels with kdr mutations to deltamethrin and DDT. Insect Biochem Mol Biol. 2011;41(9):723-732. doi: 10.1016/j.ibmb.2011.05.004.
- Dermauw W, Ilias A, Riga M, et al. The cys-loop ligand-gated ion channel gene family of Tetranychus urticae: Implications for acaricide toxicology and novel mutation associaned with abamectin resistance. Insect Biochem Mol Biol. 2012;42(7):455-65. doi.org/10.1016/j.ibmb.2012.03.002.
- Devonshire AL, Field LM. Gene amplification and insecticide resistance. Annu Rev Entomol. 1991;36:1-21. doi: 10.1146/annurev.en.36.010191.000245.
- Devorshak C, Roe RM. The role of esterases in insecticide resistance. Rev Toxicol. 1998;2:501-537.
- Field LM, Foster SPI. Amplified esterase genes and their relationship with insecticide resistance mechanisms in English field populations of the aphid, Myzus persicae (Sulzer). Pest Manag Sci. 2002;58:889-894. doi: 10.1002/ps.552.
- Karnovsky MJ, Roots L. A “direct-coloring” thiocholine method for cholinesterases. J Histochem Cytochem. 1964;12(3):219-221. doi: 10.1177/12.3.219.
- Kayser H, Lee C, Decock A, et al. Comparative analysis of neonicotinoid binding to insect membranes: A structure-activity study of the mode of [3H] imidacloprid displacement in Myzus persicae and Aphis craccivora. Pest Manag Sci. 2004;60(10):945-958. doi: 10.1002/ps.919.
- Kwon DH, Yoon KS, Clark JM, Lee SH. A point mutation in a glutamate-gated chloride channel confers abamectin resistance in the two-spotted spider mite, Tetranychus urticae Koch. Insect Mol Biol. 2010;19(4):583-91. doi: 10.1111/j.1365-2583.2010.01017.x.
- Leeuwen T van, Tirry L. Esterase-mediated bifenthrin resistance in a multiresistant strain of the two-spotted spider mite, Tetranychus urticae. Pest Manag Sci. 2007;63(4):150-156. doi: 10.1111/j.1365-2583.2010.01017.x.
- Leeuwen T van, Vontas J, Tsagkarakou A, et al. Acaricide resistance mechanisms in the two-spotted spider mite Tetranychus urticae and other important Acari: A review. Insect Biochem Mol Biol. 2010;40(8):563-72. doi: 10.1016/j.ibmb.2010.05.008.
- Li XC, Schuler MA, Berenbaum MR. Molecular mechanisms of metabolic resistance to synthetic and naturalxenobiotics. Annu Rev Entomol. 2007;52:231-253. doi: 10.1146/annurev.ento.51.110104.151104.
- Narahashi T. Neuronal ion channels as the target sites of insecticides. Pharmacol Toxicol. 1996;79:1-14. doi: 10.1111/j.1600-0773.1996.tb00234.x.
- Oakeshott JG, Claudianos C, Campbell PM, et al. Biochemical genetics and genomics of insect esterases. Compreh Molec Insect Sci. 2005;5:308-381. doi: 10.1016/BO-44-451924-6/00073-9.
- Smissaert HR. Esterases in spider mites hydrolyzing 1-naphtylacetate. Nature. 1965;205(4967):158-160. doi: 10.1038/205158a0.
- Soderlund DM. Pyrethroids, knockdown resistance and sodium channels. Pest Manag Sci. 2008;64(6):610-16. doi: 10.1002/ps.1574.
- Tsagkarakou A, Leeuwen T, Khajehali J, et al. Identificationof pyrethroid resistance associated mutations in the para sodium cyannel oft he two-spotted spider mite Tetranychus urticae (Acari: Tetranychidae). Insect Mol Biol. 2009;18(5):583-93. doi: 10.1111/j.1365-2583.2009.00900.x.
- Wellmann H, Gomes M, Lee C, Kayser H. Comparative analysis of neonicotinoid binding to insect membranes: An unusual high affinity site for [3H] thiamethoxam in Myzus persicae and Aphis craccivora. Pest Manag Sci. 2004;60(10):959-970. doi: 10.10002/ps.920.
- Zhao X, Salgado VL. The role of GABA and glutamate receptors in susceptibility and resistance to chloride channel blocker insecticides. Pest Biochem Physiol. 2010;97(2):153-160. doi: 10.1016/j.pestbp.2009.10.002.
Supplementary files








