Changes of the genetic structure in chronically irradiated scots pine populations
- Authors: Kazakova E.A1, Volkova P.Y.1, Geras’kin S.A1
-
Affiliations:
- Russian Institute of Radiology and Agroecology
- Issue: Vol 15, No 2 (2017)
- Pages: 50-61
- Section: Articles
- Submitted: 03.07.2017
- Published: 15.06.2017
- URL: https://journals.eco-vector.com/ecolgenet/article/view/6767
- DOI: https://doi.org/10.17816/ecogen15250-61
- ID: 6767
Cite item
Full Text
Abstract
Summary: Background. The vast forest areas were affected by radioactive fallout of the Chernobyl accident. Data about the long-term effects of chronic radiation exposure are insufficient, as well as knowledge about its influence on the genetic structure of populations. Study of isozyme polymorphism allows us to identify how chronic low-dose radiation exposure affects the genetic structure of plant populations and to develop new methods for assessing the biological effects of anthropogenic impact on terrestrial ecosystems.
Materials and methods. The study was conducted in six sites in the Bryansk region (4 radioactively contaminated and 2 reference ones). The method of vertical electrophoresis in PAAG was used for estimation of polymorphism of three enzymes involved in metabolic pathways. Activity of enzymes in seeds of Scots pine was assessed by spectrophotometry.
Results. The frequency of mutations in isozymes loci increased along the level of radiation exposure (7-130 mGy/year), as well as some characteristics of the genetic structure of populations. Biochemical activity of studied enzymes does not depend on the level of dose absorbed in the generative organs of pine.
Conclusions. It was found that the frequency of mutational events in loci of catabolic/anabolic enzymes and in the loci of previously studied antioxidant enzymes increases along the level of radiation exposure. The degree of the biological effect of chronic exposure was different in groups of catabolic/anabolic enzymes and antioxidant enzymes. Radiation exposure contributes to changes in the genetic structure of Scots pine populations.
Full Text
ВВЕДЕНИЕ
Со времени крупнейшей катастрофы в истории атомной энергетики — аварии на Чернобыльской АЭС — прошло уже более 30 лет. Но до настоящего времени остаются нерешенными проблемы, касающиеся оценки отдаленных последствий аварии для окружающей среды, в частности для популяций растений, подвергающихся хроническому облучению.
Огромные территории сосновых лесов были загрязнены радиоактивными выпадениями после аварии на ЧАЭС [1]. Произрастающие на этих территориях популяции являются уникальным объектом для изучения адаптивных процессов, идущих в хронически облучаемых растительных сообществах на разных уровнях биологической организации.
В 1992 г. в рамках Конвенции о биологическом разнообразии генетическая изменчивость была признана одним из трех основных компонентов био разнообразия [2]. Одним из классических методов изучения генетических процессов в популяциях является анализ изоферментного полиморфизма. Он позволяет оценить изменения генетической структуры популяций, произрастающих в условиях хронического облучения, и прояснить механизмы, посредством которых растения противостоят техногенному стрессу. В рамках формирующейся в последние десятилетия концепции экоцентризма данный вопрос становится особенно актуальным в связи с необходимостью сбора и анализа информации о биологических эффектах хронического облучения, что в дальнейшем позволит разработать принципы, на которых будет основана радиационная безопасность биоты.
Ранее нами был выполнен анализ полиморфизма антиоксидантных ферментов в хронически облучаемых популяциях сосны обыкновенной [3]. Наше исследование направлено на изучение полиморфизма катаболических и анаболических ферментов: малатдегидрогеназы, лейцинаминопептидазы и глюкозо-6-фосфатдегидрогеназы, а также на оценку их биохимической активности.
МАТЕРИАЛЫ И МЕТОДЫ
Объект, район исследования, отбор проб и оценка параметров радиоактивного загрязнения
Объект исследования — сосна обыкновенная (Pinus sylvestris L.), рекомендована Международной комиссией по радиационной защите в качестве референтного вида при оценке последствий облучения для природных экосистем [4]. Сосна обыкновенная обладает высокой радиочувствительностью [5], а наличие у нее гаплоидного эндосперма дает возможность оценивать мутации в изоферментных локусах на ранних постгаметических стадиях.
На четырех радиоактивно загрязненных в результате аварии на ЧАЭС участках Брянской области (ВИУА, СБ, ЗП, ЗК) в 2013 г. были отобраны пробы почвы и биологического материала (шишки) для оценки параметров радиоактивного загрязнения. Шишки отбирали с 20–29 деревьев возрастом 30–50 лет, по 30–50 штук с каждого дерева и затем использовали для изоферментного анализа и для оценки содержания радионуклидов. В качестве контроля выбраны два участка Брянской области с фоновым уровнем радиоактивного загрязнения (К и К1) (рис. 1). В образцах почвы определяли основные физико-химические характеристики, в пробах почвы и шишек было оценено содержание тяжелых металлов.
Рис. 1. Расположение экспериментальных участков на территории Брянской области ([6], с модификациями)
Мощность экспозиционной дозы измеряли дозиметром ДРГ-01Т на уровне 1 м от поверхности почвы. Поглощенную генеративными органами сосны дозу оценивали с помощью специально разработанной дозиметрической модели [7]. Для параметризации этой модели на экспериментальных участках определяли содержание 137Cs в трех верхних слоях почвы (0–5, 5–10, 10–15 см), а также содержание 137Cs и 90Sr в шишках экспериментальных деревьев.
Электрофорез и анализ активности ферментов
Популяционно-генетическими маркерами служили изоферменты глюкозо-6-фосфатдегидрогеназы (EC1.1.1.49, G6PD), малатдегидрогеназы (EC1.1.1.37, MDH) и лейцинаминопептидазы (ЕС 3.4.11.1, LAP), принимающие участие во многих процессах клеточного метаболизма.
Ферменты экстрагировали из эндоспермов семян сосны обыкновенной. Электрофоретический анализ изоферментов выполняли в вертикальных пластинах 7,5 % полиакриламидного геля на установке Hoefer SE600 Chroma. Окрашивание гелей проводили с использованием модифицированных методик, описанных G.P. Manchenko [8].
Аллозимы идентифицировали по их относительной электрофоретической подвижности. Наиболее часто встречающийся аллозим обозначали 1,00, остальные аллозимы локуса обозначали в соответствии с их электрофоретической подвижностью относительно 1,00. Оценивали три типа мутаций, детектируемых на зимо граммах: нуль-мутации, дупликации и изменения электрофоретической подвижности. Оценку активности ферментов проводили в соответствии с рекомендациями Х. Биссвангера [9] на бескюветном спектрофотометре NanoDrop-2000.
Статистическая обработка экспериментальных данных
Была рассчитана частота каждого обнаруженного в популяции аллеля [10, с. 70]. Генетическое разнообразие популяций характеризовали следующими показателями: доля полиморфных локусов, наблюдаемая и ожидаемая гетерозиготность, индекс внутрипопуляционного разнообразия, доля редких аллелей и эффективное число аллелей [10, с. 102–114]. Статистические ошибки рассчитаны в соответствии с формулами, представленными Л.А. Животовским [10].
Для гетерозиготных деревьев, диаллельных по изучаемым локусам, оценивали соотношение численности быстрых аллелей (F) к медленным (S) [11]. Значимость отклонений от ожидаемой сегрегации 1 : 1 у гетерозиготных деревьев рассчитывали с помощью χ2-теста [12, с. 93]. Показатели, характеризующие меру генетической подразделенности популяций, определяли с помощью F-статистики Райта [13]. На основе матрицы генетических расстояний между популяциями, рассчитанной по формуле, предложенной M. Nei [14], с использованием иерархического кластерного анализа методом невзвешенных арифметических средних (программный пакет Statistica 10,0) была построена дендрограмма, демонстрирующая соподчиненность исследуемых популяций.
Для оценки связи между мощностью дозы и показателями генетического разнообразия популяций использовали корреляционный анализ. Для расчета активности ферментов показания спектрофотометра переводили в международные единицы ферментативной активности (МЕ) [9, с. 97].
Данные были проверены на нормальность распределения, значимость различий оценивали с использованием критерия Стьюдента. Статистическая обработка результатов проводилась в программах Microsoft Office Excel 2007, 2010 и Statistica 8,0 и 10,0.
Подробное описание объекта и района исследования, методов отбора проб и анализа параметров радиоактивного загрязнения, методика проведения изоферментного анализа и анализа активности ферментов, а также статис тической обработки результатов представлены в работах П.Ю. Волковой, С.А. Гераськина (2013), S.A. Geras’kin et al. (2011), П.Ю. Волкова и др. (2014) [3, 7, 15].
РЕЗУЛЬТАТЫ
Техногенное загрязнение участков и мощность поглощенной генеративными органами сосны дозы
Почвы всех экспериментальных участков близки по физико-химическим свойствам, а содержание тяжелых металлов в почве и шишках не превышало допустимых уровней [7]. Активность радионуклидов 137Cs в почве, а также 137Cs и 90Sr в шишках с радиоактивно загрязненных участков статистически значимо превышала этот параметр для контрольных участков (табл. 1). Основной вклад в формирование поглощенной генеративными органами сосны дозы вносит 137Cs, содержащийся в верхнем 10-сантиметровом слое почвы. Результаты расчета мощности поглощенной дозы приведены в таблице 1.
Анализ аллельного разнообразия G6FD, MDH и LAP
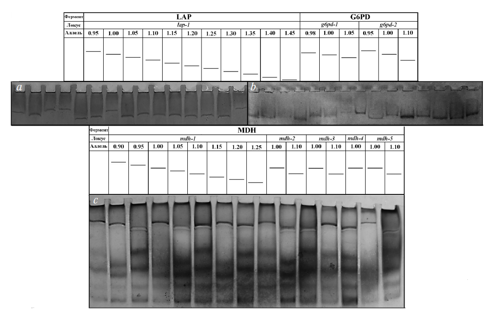
В исследуемых популяциях сосны обыкновенной G6PD представлена продуктами двух различающихся по электрофоретической подвижности локусов, за исключением двух наиболее загрязненных участков, где у фермента был идентифицирован только один полиморфный локус. При анализе локусов в каждом из них выявлено три аллеля (рис. 2). Ранее опубликованные нами данные по G6PD [16] были объединены в настоящей работе с другими изученными ферментами для оценки показателей генетической структуры популяций. У LAP идентифицирован один полиморфный локус, в котором выявлены одиннадцать аллелей (см. рис. 2), а у MDH обнаружено пять локусов (см. рис. 2); в локусе MDH mdh-1 выявлены восемь аллелей. В локусах mdh-2 и mdh-3 по два аллеля, причем данные аллели имели одинаковую электрофоретическую подвижность относительно друг друга (идентифицированы на зимо грамме как 1,00 и 1,10), что может быть связано с их принадлежностью к одной группе сцепления. Локус mdh-4 представлен одним аллелем, а mdh-5 — двумя.
Рис. 2. Схематическое обозначение аллозимов в локусах LAP, G6PD, MDH и примеры фотографий зимограмм, полученных при определении LAP (а), G6FD (b) и MDH (c)
На основании данных электрофоретического анализа (всего проанализированы 6380 локус-тестов: для G6PD — 1041, для LAP — 1222 и для MDH — 4117) была оценена частота каждого аллеля трех ферментов в контрольных и экспериментальных популяциях сосны обыкновенной (данные не представлены). Для наиболее полиморфных локусов lap-1 и mdh-1 частота часто встречающихся аллелей (1,00; 0,95; 1,05 для lap-1 и 0,90; 0,95 для mdh-1) статистически значимо выше на участках с наибольшей мощностью поглощенной дозы (ЗК и ЗП) по сравнению с контрольными участками. В то же время частоты наиболее редких аллелей данных локусов на радиоактивно загрязненных участках значимо ниже или близки к частотам аллелей контрольных участков. Распределение частот аллелей других изученных локусов не зависело от уровня радиоактивного загрязнения.
Частота и спектр мутаций в изучаемых локусах
Основной вклад в общую частоту мутаций вносят нуль-мутации; их частота растет вместе с мощностью дозы (рис. 3, а; r = 0,93, p = 0,006). Два других типа мутаций, дупликации и изменения электрофоретической подвижности наблюдаются значительно реже. Несмотря на это, в популяции ЗК частота изменений электрофоретической подвижности статистически значимо превышает таковую в контрольных популяциях (см. рис. 3, а).
Рис. 3. Частоты разных типов мутаций (а) и общая частота мутаций (b) в эндоспермах семян сосны обыкновенной по всем локусам ферментов G6FD, MDH и LAP
Общая частота мутаций (рис. 3, b) растет вместе с мощностью поглощенной дозы. Статистически значимая зависимость между уровнем радиационного воздействия и частотой мутационных событий в эндоспермах сосны обыкновенной (r = 0,88, р = 0,021) указывает на повышение темпов мутационного процесса в исследуемых популяциях, произрастающих на загрязненных радионуклидами территориях.
Генетические характеристики исследуемых популяций
В исследуемых популяциях полиморфность фермент ных локусов составляет от 70,0 до 93,3 % (табл. 2). При этом уровень полиморфизма не зависит от мощности дозы хронического облучения (r = 0,1, р = 0,83). Ожидаемая гетерозиготность (He) увеличивается с ростом уровня радиоактивного загрязнения (r = 0,85, р = 0,032), в то время как наблюдаемая гетерозиготность (Ho) не демонстрирует значимой корреляции с плотностью радио активного загрязнения (r = 0,72, р = 0,10). При этом показатели He и Ho на участке ЗК статистически значимо выше, чем в контроле (различия значимы по сравнению с К: р = 0,00025 и р = 0,0036 для He и Ho соответственно; различия значимы по сравнению с К1: р = 0,000032 и р = 0,000001 для He и Ho соответственно) (см. табл. 2). Ho на всех исследуемых участках была выше He, что позволяет сделать вывод об избытке гетерозигот в изучаемых популяциях (индекс фиксации Райта, отражающий дефицит или избыток гетерозигот в популяции, на каждом экспериментальном участке имел высокие отрицательные значения от –0,281 до –0,501) (см. табл. 2).
Таблица 2. Ожидаемая (He) и наблюдаемая (Ho) гетерозиготность, процент полиморфных локусов (Р95) и коэффициент инбридинга (Fинбр) The expected (He) and observed (Ho) heterozygosity, the percentage of polymorphic loci (Р95) and the coefficient of inbreeding (Fинбр)
Участок | He | Ho | Р95, % | Fинбр |
К | 0,360 ± 0,027 | 0,541▲ ± 0,034 | 70,0 | –0,501 |
К1 | 0,336 ± 0,027 | 0,443* ± 0,036 | 93,3 | –0,318 |
ВИУА | 0,299* ± 0,023 | 0,443* ± 0,034 | 70,0 | –0,482 |
СБ | 0,415▲ ± 0,029 | 0,581▲ ± 0,039 | 93,0 | –0,401 |
ЗП | 0,400 ± 0,029 | 0,533▲ ± 0,037 | 60,0 | –0,330 |
ЗК | 0,510***▲▲▲ ± 0,034 | 0,653**▲▲▲ ± 0,025 | 86,7 | –0,281 |
Примечание: * различия значимы по сравнению с контролем (К), р < 0,05; ** различия значимы по сравнению с контролем (К), р < 0,01; *** различия значимы по сравнению с контролем (К), р < 0,001; ▲ различия значимы по сравнению с контролем 1 (К1), р < 0,05; ▲▲▲ различия значимы по сравнению с контролем 1 (К1), р < 0,001 | ||||
Генотипическое разнообразие популяций сравнивали, используя индекс Животовского (μ). Изученные локусы во всех экспериментальных популяциях характеризуются высоким (μ > 3) и средним (1 < μ < 3) уровнями изменчивости (рис. 4, а). Установлена корреляция данного показателя с радиационным воздействием (r = 0,81, р = 0,04). Статистически значимой корреляции доли редких аллелей с уровнем радиоактивного загрязнения не обнаружено (r = 0,64, р = 0,17) (рис. 4, b). На самом загрязненном участке выявлено увеличение эффективного числа аллелей (ne) по сравнению с контрольными участками (рис. 4, c). Этот параметр показал наиболее сильную корреляцию с уровнем радиоактивного загрязнения (r = 0,90, р = 0,015).
Рис. 4. Показатели, характеризующие генетическую структуру исследуемых популяций сосны обыкновенной: индекс внутрипопуляционного разнообразия (a), доля редких аллелей (b) и эффективное число аллелей (c)
Оценка генетической подразделенности изучаемых популяций
Для полиморфных локусов LAP, MDH и G6PD были рассчитаны основные показатели F-статистики Райта: среднее значение коэффициента Fst, отражающего степень подразделенности популяций, равно 0,060, т. е. 94 % выявленной у сосны обыкновенной генетической изменчивости сосредоточено внутри популяций, а 6 % приходится на межпопуляционную составляющую. Усредненное по изученным локусам значение показателя Fis, характеризующего инбридинг особи относительно популяции, отрицательно (–0,350). Коэффициент Fit, отражающий инбридинг особи относительно вида в целом, также отрицателен, его среднее значение по семи локусам составляет –0,274. Отрицательные величины показателей Fis, Fit указывают на то, что популяции сосны обыкновенной характеризуются избытком гетерозигот.
Сегрегация гетерозиготных деревьев
Для оценки отклонений от ожидаемого распределения (1 : 1) были выбраны полиморфные в каждой экспериментальной популяции диаллельные локусы: mdh-2, mdh-3, mdh-5. Ни в контрольных, ни в произрастающих на радиоактивно загрязненных участках популяциях нарушения сегрегации по изученным локусам не обнаружено (табл. 3).
Таблица 3. Распределение аллелей в эндоспермах гетерозиготных деревьев (F : S/χ2) The distribution of alleles in the endosperms of heterozygous trees (F : S/χ2)
Локус | Популяция | |||||
К | К1 | ВИУА | СБ | ЗП | ЗК | |
mdh-2 | 34 : 19 3,67 | 13 : 7 1,80 | 17 : 10 1,34 | 25 : 23 0,08 | 25 : 19 0,82 | 10 : 15 1,44 |
mdh-3 | 34 : 19 3,67 | 13 : 7 1,80 | 17 : 10 1,34 | 25 : 23 0,08 | 25 : 19 0,82 | 10 : 15 1,44 |
mdh-5 | – | 13 : 14 1,80 | – | 25 : 19 0,82 | 20 : 15 0,46 | – |
Примечание: прочерками отмечены случаи, когда выявлено менее двух гетерозиготных деревьев по данному локусу | ||||||
Генетическая дифференциация популяций
Генетическая дистанция Неи (D) варьировала от 0,0066 до 0,2065, а среднее значение D для всех изучаемых популяций составило 0,0794. Генетические расстояния между популяциями, произрастающими на наиболее загрязненных радионуклидами участках (ЗП и ЗК), и популяциями, произрастающими на менее загрязненных (ВИУА и СБ) и контрольных (К и К1) участках, сильно различаются. На основании полученных данных был проведен кластерный анализ, разделивший изучаемые популяции на две четко различающиеся группы (рис. 5): первая группа включала в себя популяции ЗП и ЗК, а во вторую группу вошли популяции ВИУА, СБ, К и К1. Таким образом, экспериментальные популяции распределились по группам, резко отличающимся по уровню радиоактивного загрязнения.
Рис. 5. Генетическая дифференциация исследуемых популяций
Активность ферментов в семенах сосны обыкновенной
Анализ активности ферментов в эндоспермах сосны обыкновенной показал, что ферментативная активность малатдегидрогеназы и лейцинаминопептидазы не зависит от уровня радиационного воздействия (для LAP r = 0,24, р = 0,64; для MDH r = 0,10, р = 0,84). Для глюкозо-6-фосфатдегидрогеназы коэффициент корреляции статистически значим (r = 0,89, р = 0,02), но размер статистической ошибки не позволяет с уверенностью утверждать о наличии корреляции с дозой) (табл. 4).
Таблица 4. Активность ферментов в семенах хронически облучаемых сосен, МЕ The enzyme activities in seeds of chronically irradiated pines, МЕ
Фермент | Мощность дозы, мГр/год | |||||
0,14 | 0,27 | 7,00 | 22,90 | 91,40 | 129,90 | |
G6PD | 0,051 ± 0,025 | 0,062 ± 0,026 | 0,061 ± 0,026 | 0,051 ± 0,025 | 0,083 ± 0,035 | 0,084 ± 0,039 |
MDH | 0,097 ± 0,030 | 0,112 ± 0,032 | 0,134 ± 0,035 | 0,097 ± 0,030 | 0,145 ± 0,036 | 0,084 ± 0,028 |
LAP | 0,017 ± 0,017 | 0,030 ± 0,029 | 0,017 ± 0,017 | 0,021 ± 0,021 | 0,032 ± 0,032 | 0,009 ± 0,009 |
ОБСУЖДЕНИЕ
В результате аварии на Чернобыльской АЭС радиоактивному загрязнению подверглись огромные территории лесных экосистем, причем максимальное радиационное воздействие на популяции пришлось на первые десять — двадцать дней после аварии, когда основной вклад в формирование поглощенной дозы вносили короткоживущие радиоизотопы [17]. Из 1,2 млн га пораженных лесных массивов особенно сильно пострадали обладающие высокой радиочувствительностью сосновые леса. Сосняки, затронутые радиоактивным следом, но не получившие летальных повреждений в период острого радиационного воздействия, в настоящее время произрастают в условиях хронического низкодозового облучения, где значительный вклад в поглощенную дозу вносит долгоживущий радионуклид 137Cs [18].
Ранние легко регистрируемые биологические эффекты после аварии были обусловлены действием высоких уровней радиации [17], но на сегодняшний день, несмотря на большое количество проведенных исследований, нет полного понимания того, каковы последствия хронического низкодозового облучения популяций в отдаленный послеаварийный период и какие адаптивные процессы происходят в этих популяциях. В ходе наших исследований полиморфизма ферментов антиоксидантной системы (супероксиддисмутазы, глутатионредуктазы и глутатионпероксидазы) было показано, что хроническое облучение вносит вклад в биохимический полиморфизм антиоксидантных ферментов и увеличивает наблюдаемую частоту мутаций в эндоспермах семян в локусах данных ферментов [3]. В работе С.А. Гераськина и др. (2009) [19] был проведен предварительный анализ ферментов MDH и LAP на существенно меньшей выборке (изучены семена, собранные в 2004 и 2005 гг.) — и с иным методическим подходом, чем в настоящем исследовании. Данная работа развивает и логически дополняет эти исследования и направлена на изучение изоферментного полиморфизма группы ферментов LAP, MDH и G6PD. Митохондриальная малатдегидрогеназа функционирует в клетке в качестве компонента цикла Кребса, а цитоплазматическая участвует в других метаболических путях. MDH широко распространена в качестве генетического маркера [20]. Глюкозо-6-фосфатдегидрогеназа является ключевым ферментом пентозофосфатного цикла — одного из основных путей обмена глюкозы в клетке, а лейцинаминопептидаза катализирует расщепление полипептидных цепей с аминоконца. Известно, что лейцинаминопептидазы функционируют не только в качестве ферментов «домашнего хозяйства»: отмечена их роль в защитных реакциях клетки, в поддержании клеточного гомеостаза [21]. Помимо важной биологической роли, выбор данных ферментов был обусловлен наличием эффективных методик по их определению, а также высоким аллельным разнообразием, что является существенным для оценки генетического разнообразия популяций.
Мутации в локусах изоферментов
В нашем исследовании установлено, что с ростом мощности дозы хронического облучения статистически значимо возрастает общая частота мутаций в изоферментных локусах G6FD, MDH и LAP (рис. 3, b). Этот результат дополняет полученные в предыдущей работе данные [3] об увеличении частоты мутационных событий в локусах антиоксидантных ферментов в тех же популяциях сосны обыкновенной. Таким образом, в изучаемых популяциях наблюдается повышенная и коррелирующая с мощностью поглощенной дозы частота мутаций в белок-кодирующих генах.
Генетическое разнообразие исследуемых популяций
В исследованных популяциях выявлена высокая полиморфность локусов G6FD, MDH и LAP (см. табл. 2). При изучении генетического полиморфизма и генетической дифференциации северотаежных популяций сосны обыкновенной с использованием в качестве генетических маркеров 10 ферментов процент полиморфных локусов в исследуемых популяциях в среднем был равен 74,5 % [22], при этом отмечено, что такой уровень полиморфизма достаточно высок для популяций сосны обыкновенной. Действительно, согласно J.L. Hamrick et al. [23], суммарная оценка полиморфности для голосеменных равна 67 %. Очевидно, что уровень полиморфизма зависит от набора используемых в исследовании маркеров и условий произрастания популяций.
В нашей работе показано увеличение гетерозиготности на наиболее загрязненном участке (см. табл. 2). Увеличение гетерозиготности с ростом поглощенной дозы, а также превышение Ho над He в экспериментальных популяциях по сравнению с контрольными было показано и при оценке гетерозиготности у антиоксидантных ферментов [3]. Избыток гетерозигот может быть связан [24] с присущей древесным растениям большей генетической изменчивостью, отражающей специфические особенности их онтогенеза. Некоторые авторы указывают на увеличение гетерозиготности у хвойных в ходе онтогенеза [25]. Таким образом, избыток гетерозигот в наших популяциях может быть связан с возрастом исследуемых деревьев. При этом следует отметить, что существуют данные о преимуществе гетерозигот в условиях стресса [26].
Выводы об избытке гетерозигот в изучаемых популяциях, сделанные на основе оценки наблюдаемой и ожидаемой гетерозиготности, подтвердились расчетами основных показателей, характеризующих подразделенность популяций. Реализация преобладающей части изменчивости в пределах популяции характерна как для сосны, так и для других видов хвойных [22]. При этом чрезмерное увеличение гетерозиготности неблагоприятно для нормального функционирования популяции [26]. Существуют данные, что у высокогетерозиготных деревьев продуцируется больше нежизнеспособных семян по сравнению с деревьями с более низкой гетерозиготностью [27]. В противоположность этим данным в исследуемых нами популяциях не происходит существенных изменений в репродуктивных характеристиках сосен [28].
Интересно отметить, что генотипическое разнообразие изученной ранее группы антиоксидантных ферментов сильно зависело от поглощенной дозы и статистически значимо превышало контроль на наиболее радиоактивно загрязненных участках, но характеризовалось значительно более низким разнообразием генотипов [3], чем внутрипопуляционное разнообразие катаболических и анаболических ферментов (рис. 4, а). Предположительно, рост μ и ne на наиболее загрязненных участках обусловлен реакцией популяций на стресс и связан с высокой радиочувствительностью сосны.
Несмотря на 10 лет, прошедшие с момента предыдущего исследования ферментных систем LAP и MDH [19], в экспериментальных популяциях сохраняется высокий уровень полиморфизма данных ферментных систем, а рост внутрипопуляционного разнообразия и эффективного числа аллелей на наиболее загрязненных участках, вероятнее всего, по-прежнему связан с уровнем радиационного воздействия.
В целом высокие показатели генетического разнообразия (рис. 4, а–с) могут быть связаны с функциями изучаемых ферментов. LAP, MDH и G6PD играют в организме важные метаболические роли, поэтому они имеют высокие уровни аллельного разнообразия, а следовательно, и высокие значения показателей, характеризующих генетическое разнообразие. Изменения в их аллельной структуре могут иметь негативные последствия для популяции.
Результаты данной работы показали, что для изученных ферментов показатели генетического разнообразия выше, чем для антиоксидантных ферментов. Это затрудняет объединение данных по двум группам ферментов в единый массив, но позволяет выявить уникальные особенности, присущие каждой группе. Так, существенно более высокие показатели генетического разнообразия для группы метаболических ферментов по сравнению с ферментами-антиоксидантами отражают как их функциональную значимость для жизнедеятельности растения, так и реакцию разных ферментных систем на хроническое стрессовое воздействие.
Сегрегация гетерозиготных деревьев
При изучении гетерозиготных по диаллельным локусам ферментов не было выявлено отклонений от ожидаемого распределения 1 : 1 ни в популяциях с загрязненных участков, ни в контрольных (табл. 3). Напротив, в предыдущем исследовании для некоторых аллелей локусов антиоксидантных ферментов в облучаемых популяциях такие отклонения были найдены, причем для локуса gpx-1 степень отклонения увеличивалась вместе с мощностью дозы хронического облучения [29]. Также в эндоспермах семян гетерозиготных деревьев, собранных с сосен первого поколения после аварии на ЧАЭС, было обнаружено нарушение сегрегации для некоторых аллелей изоферментов [30]. У сосен, подвергшихся высоким уровням радиационного воздействия (1–15 Гр), зафиксировано значительное отклонение от ожидаемой сегрегации и обнаружена тенденция к росту нарушения сегрегации с увеличением дозы облучения [11]. Таким образом, не только большие дозы острого облучения, полученные соснами в первый период после аварии, способны индуцировать отклонения от равномерной сегрегации, но и многолетнее низкодозовое облучение популяций сосны может вызвать нарушения равномерного распределения аллелей, хотя такие нарушения достаточно редки и зафиксированы только для некоторых аллелей изоферментов.
Генетическая дифференциация популяций
Кластерный анализ разделил изучаемые популяции на две группы, резко различающиеся по уровню радио активного загрязнения (рис. 5). Генетическая дифференциация популяций растений зависит от множества факторов: вида, географического положения, типа и интенсивности антропогенного воздействия, а также других экологических факторов [31]. Поэтому полученные нами различия могут быть связаны не только с радиационным воздействием, но и с географическим расположением популяций. Так, популяции ЗП и ЗК расположены близко друг к другу, и выделение их в один кластер можно связать с возможным обменом генетической информацией. Однако подобный обмен генами между популяциями К, К1, ВИУА и СБ маловероятен из-за значительного расстояния между ними, тем не менее эти популяции также объединились в один кластер. Интересно, что в пределах вида значения генетических дистанций обычно не превышают 0,05 [22], а среднее значение D для изучаемых популяций составило 0,0794. Такие высокие коэффициенты генетических дистанций могут свидетельствовать о том, что генетическая дифференциация популяций в кластеры обусловлена в большей степени хроническим радиационным воздействием. В предыдущей работе на независимом наборе ферментов для данных популяций была получена аналогичная кластеризация [3], что также подтверждает вывод о радиационной обусловленности наблюдаемого феномена.
Активность ферментов
Активность ферментов LAP, MDH и G6PD не зависела от уровня поглощенной генеративными органами растений дозы (табл. 4). Это может быть связано с тем, что наблюдаемые мощности дозы недостаточны для индукции физиологически значимого увеличения концентрации активных форм кислорода в клетках сосны [32]. Этот вывод подтверждается тем, что активность антиоксидантных ферментов в семенах сосны обыкновенной с ростом уровня радиоактивного загрязнения также не изменялась [15].
ЗАКЛЮЧЕНИЕ
Несмотря на то что в настоящее время все больше внимания уделяется вопросам, касающимся защиты окружающей среды от техногенного загрязнения, а экоцентрические взгляды на безопасность биоты стали играть первостепенную роль, уровень антропогенного воздействия на природу остается достаточно высоким. В частности, остаются нерешенными проблемы в области радиоактивного загрязнения природной среды, произошедшего в результате аварий на атомных станциях, ядерных предприятиях, а также при испытаниях ядерного оружия. Популяции растений и животных, населяющие обширные территории, загрязненные вследствие таких инцидентов, подвергаются радиационному воздействию низкой интенсивности и являются уникальными с точки зрения возможности изучения механизмов их адаптации к хроническому техногенному стрессу и разработки стратегий защиты биоты от подобного влияния. Для выяснения механизмов адаптации живых организмов к неблагоприятным воздействиям необходимо изучать ответные реакции на разных уровнях биологической организации — от молекулярного до экосистемного. Такого рода комплексным исследованиям, затрагивающим разные уровни организации, был посвящен цикл наших работ, касающихся оценки радиобиологических эффектов хронического воздействия на популяции сосны обыкновенной, произрастающие в зоне следа аварии на Чернобыльской АЭС [7, 28, 29].
Для оценки генетических последствий хронического облучения в малых дозах на популяции сосны был исследован изоферментный полиморфизм антиоксидантных ферментов [3], а в настоящей работе проанализировано изменение генетической структуры изучаемых популяций с использованием катаболических и анаболических ферментов. Важным результатом данного исследования оказалось увеличение частоты мутаций в изофермент ных локусах, а также изменение генетической структуры популяций, развивающихся в условиях хронического радиационного воздействия. Сравнение изученных групп генетических маркеров показало, что у катаболических и анаболических ферментов значения показателей генетического разнообразия выше, чем у ферментов антиоксидантной системы. Поэтому, используя в качестве маркеров группы ферментов, выполняющих в организме определенные функции (при выборке для каждой группы более 6000 локус-тестов), возможно не только получить данные о действии хронического облучения, но и выяснить, как изменяется генетическая структура популяции в зависимости от выбранной группы ферментов.
Таким образом, электрофоретический анализ изоферментов дает возможность получить важные сведения о влиянии хронического радиационного воздействия на популяции сосны. Работы в данном направлении продолжаются в настоящее время с использованием молекулярно-биологических методик (анализ метилирования генома, изучение полиморфизма ДНК, анализ особенностей транскриптома облучаемых популяций). Однако полученные нами данные по белковому полиморфизму уже позволяют заключить, что даже относительно невысокие мощности дозы хронического радиационного воздействия способны выступать в качестве экологического фактора, ускоряя микроэволюционные процессы в облучаемых популяциях и изменяя их генетическую структуру.
Работа выполнена при поддержке Российского научного фонда (соглашение № 14-14-00666).
About the authors
Elizaveta A Kazakova
Russian Institute of Radiology and Agroecology
Author for correspondence.
Email: alvaly@mail.ru
Junior Researcher, Laboratory of radiobiology and ecotoxicology plant
Russian Federation, Obninsk, RussiaPolina Yu Volkova
Russian Institute of Radiology and Agroecology
Email: volkova.obninsk@gmail.com
PhD, Leading Researcher, Laboratory of radiobiology and ecotoxicology plant
Russian Federation, Obninsk, RussiaStanislav A Geras’kin
Russian Institute of Radiology and Agroecology
Email: stgeraskin@gmail.com
ScD, Professor, Head of laboratory, Laboratory of radiobiology and ecotoxicology plant
Russian Federation, Obninsk, RussiaReferences
- Козубов Г.М., Таскаев А.И. Радиобиологические исследования хвойных в районе чернобыльской катастрофы. – М.: ИПЦ «Дизайн. Информация. Картография», 2002. – 272 с. [Kozubov GM. Taskaev AI. Radiobiology investigations of conifers in region of the Chernobyl disaster. Moscow: PPC “Design. Information. Cartography”; 2002. (In Russ.)]
- Convention on biological diversity; 1992.
- Волкова П.Ю., Гераськин С.А. Полиморфизм антиоксидантных ферментов в хронически облучаемых популяциях сосны обыкновенной // Экологическая генетика. – 2013. – Т. 11. – № 3. – С. 44–58. [Volkova PY, Geraskin SA. Enzyme polymorphism of antioxidant system in chronically irradiated Scots pine populations. Ekologicheskaya genetika. 2013;11(3):44-58. (In Russ.)]. doi: 10.17816/ecogen11348-62.
- ICRP. Environmental protection — the concept and use of reference animals and plants. ICRP Publication 108. Ann ICRP. 2008;38(4-6).
- Sparrow AH, Woodwell GM. Prediction of the sensiti vity of plants to chronic gamma irradiation. Radiat Bot. 1962;2:9-26. doi: 10.1016/s0033-7560(62) 80091-x.
- Атлас современных и прогнозных аспектов последствий аварии на Чернобыльской АЭС на пострадавших территориях России и Беларуси (АСПА Россия — Беларусь) / Под ред. Ю.А. Израэля, И.М. Богдевича. – Москва; Минск: Фонд «Инфосфера» — НИА-При рода, 2009. – 140 с. [Izrael YuA, Bogdevich IM, editors. The Atlas of recent and predictable aspects of consequences of Chernobyl accident on polluted territories of Russia and Belarus (ARPA Russia — Belarus). Moscow; Minsk: “Infosphere” Foundation — NIA-Nature; 2009. (In Russ.)]
- Geras’kin SA, Oudalova AA, Dikareva NS, et al. Effects of radioactive contamination on Scots pines in the remote period after the Chernobyl accident. Ecotoxico logy. 2011;20:1195-208. doi: 10.1007/s10646-011-0664-7.
- Manchenko GP. Handbook of detection of enzymes on electrophoretic gels. Boka Raton (Florida): CRC Press; 1994.
- Биссвангер Х. Практическая энзимология. – М.: БИНОМ. Лаборатория знаний, 2010. [Bisswanger H. Practical enzymology. Moscow: BINOM. Laboratoriya znanii; 2010. (In Russ.)]
- Животовский Л.А. Популяционная биометрия. – М.: Наука, 1991. – 271 с. [Zhivotovsky LA. Population biometrics. Moscow: Nauka; 1991. (In Russ.)]
- Федоров И.С., Кальченко В.А., Игонина Е.В., Рубанович А.В. Радиационно-генетические последствия облучения популяций сосны обыкновенной в зоне аварии на ЧАЭС // Радиационная биология. Радиоэкология. – 2006. – Т. 46. – № 3. – С. 268–278. [Fedotov IS, Kal’chenko VA, Igonina EV, Rubanovich AV. Radiation and Genetic Consequences of Ionizing Irradiation on Population of Pinus sylvestris L. within the Zone of the Chernobyl NPP. Radiats Biol Radioecol. 2006;46(3):268-78. (In Russ.)]
- Хедрик Ф. Генетика популяций. – М.: Техносфера, 2003. – 592 с. [Hedrick PW. Genetics of Populations. Moscow: Tekhnosphera; 2003. 592 p. (In Russ.)]
- Wright S. The interpretation of population structure by F-statistics with special regard to system of mating. Evolution. 1965;19:395-420. doi: 10.2307/2406450.
- Nei M. Genetic distance between populations. Am Nat. 1972;106(949):283-92. doi: 10.1086/282771.
- Волкова П.Ю., Гераськин С.А., Раевская Н.И. Активность ферментов антиоксидантной системы у сосны обыкновенной в условиях хронического облучения // Радиационная биология. Радиоэкология. – 2014. – Т. 54. – № 2. – С. 174–178. [Volkova PYu, Geras’kin SA, Raevskaya NI. Antioxidant enzyme activities in Scots pine populations growing under chronic radiation exposure. Radiats Biol Radioecol. 2014;54(2):174-78. (In Russ.)]
- Казакова Е.А., Волкова П.Ю., Гераськин С.А., Помелова Д.О. Полиморфизм глюкозо-6-фосфатдегидрогеназы в хронически облучаемых популяциях сосны обыкновенной // Радиационная биология. Радиоэкология. – 2015. – Т. 55. – № 4. – С. 389–394. [Kaza kova EA, Volkova PYu, Geras’kin SA, Pomelova DO. Polymorphism of glucose-6-phosphate dehydrogenase in the chronically irradiated Scots pine populations. Radiats Biol Radioecol. 2015;55(4):389-94. (In Russ.)]. doi: 10.7868/S0869803115040049.
- Гераськин С.А., Фесенко С.В., Алексахин Р.М. Воздействие аварийного выброса Чернобыльской АЭС на биоту // Радиационная биология. Радиоэкология. – 2006. – Т. 46. – № 2. – С. 213–224. [Geras’kin SA, Fesenko SV, Alexakhin RM. The effects of non-human species irradiation after the ChNPP accident. Radiats Biol Radioecol. 2006;46(2):213-24. (In Russ.)]
- Алексахин Р.М., Булдаков Л.А., Губанов В.А., и др. Крупные радиационные аварии: Последствия и защитные меры. – М.: ИздАТ, 2001. – 752 с. [Alexakhin RM, Buldakov LA, Gubanov VA, Drozhko YeG, et al. Large radiation accidents: consequences and protective countermeasures. Moscow: IzdAT Publisher; 2004. (In Russ.)]
- Гераськин С.А., Ванина Ю.С., Дикарев В.Г., и др. Генетическая изменчивость в популяциях сосны обыкновенной из районов Брянской области, подвергшихся радиоактивному загрязнению в результате аварии на Чернобыльской АЭС // Радиационная биология. Радиоэкология. – 2009. – Т. 49. – № 2. – С. 136–146. [Geras’kin SA, Vanina JC, Dikarev VG, et al. Genetic variability in Scots pine populations from the Bryansk region radioactively contaminated as a result of the Chernobyl NPP Accident. Radiats Biol Radioecol. 2009;49(2):136-46. (In Russ.)]
- Юдина Р.С. Генетика и феногенетика малатдегидрогеназы растений // Вестник ВОГиС. – 2010. – Т. 14. – № 2. – С. 243–254. [Yudina RS. Genetics and phenogenetics of malate dehydrogenasein plants. Vestnik VOGiS. 2010. (In Russ.)]
- Matsui M, Fowler JH, Walling LL. Leucine aminopeptidases: diversity in structure and function. Biol Chem. 2006;387:1535-1544. doi: 10.1515/BC.2006.191.
- Сурсо М.В. Генетический полиморфизм и генетическая дифференциация северотаежных популяций сосны обыкновенной // Лесной вестник. – 2009. – Т. 67. – № 4. – С. 19–23. [Surso MV. Geneticheskii polimorfizm i geneticheskaya differentsiatsiya severotaezhnykh populyatsii sosny obyknovenno. Lesnoi vestnik. 2009;67(4):19-23. (In Russ.)]
- Hamrick JL, Linhart YB, Mitton JB. Relationships between life history characteristics and electrophoretically detectable genetic variation in plants. Ann Rev Ecol Syst. 1979;10:173-200. doi: 10.1146/annurev.es.10.110179.001133.
- Pazouki L, Shanjani PS, Fields PD, et al. Large within-population genetic diversity of the widespread conifer Pinus sylvestris at its soil fertility limit characterized by nuclear and chloroplast microsatellite markers. Eur J Forest Res. 2016;135:161-77. doi: 10.1007/s10342-015-0928-5.
- Staszak J, Grulke NE, Marrett MJ, Prus-Glowacki W. Isozyme markers associated with O3 tolerance indicate shift in genetic structure of ponderosa and Jeffrey pine in Sequoia National Park, California. Environmental Pollution. 2007;149:366-75. doi: 10.1016/j.envpol.2007.05.026.
- Алтухов Ю.П. Генетические процессы в популяциях. – М.: Академкнига, 2003. – 431 с. [Altukhov YuP. Genetic processes in populations. Moscow: Akademkniga; 2003. 431 p. (In Russ.)]
- Коршиков И.И., Калафат Л.А. Сравнительное изучение аллозимного полиморфизма в группах деревьев сосны обыкновенной (Pinus sylvestris L.) с разной семенной продуктивностью // Цитология и генетика. – 2004. – № 2. – С. 9–14. [Korshikov II, Kalafat LA. Sravnitel’noe izuchenie allozimnogo polimorfizma v gruppakh derev’ev sosny obyknovennoi (Pinus sylvestris L.) s raznoi semennoi produktivnost’yu. Tsitologiya i genetika. 2004;(2):9-14. (In Russ.)]
- Гераськин С.А., Васильев Д.В., Кузьменков А.Г. Особенности формирования семян сосны обыкновенной в отдаленный период после аварии на Чернобыльской АЭС // Радиационная биология. Радиоэкология. – 2015. – Т. 55. – № 5. – С. 539–547. [Geras’kin SA, Vasiliev DV, Kuzmenkov AG. Specific Features of Scots Pine Seeds Formation in the Remote Period after the Chernobyl NPP Accident. Radiats Biol Radioecol. 2015;55(5):539-47. (In Russ.)]. doi: 10.7868/S0869803115050057.
- Geras’kin SA, Volkova PYu. Genetic diversity in Scots pine populations along a radiation exposure gradient. Sci Total Environ. 2014;496:317-27. doi: 10.1016/j.scitotenv.2014.07.020.
- Офицеров М.В., Игонина Е.В. Генетические последствия радиационного воздействия на популяцию сосны обыкновенной (Pinus sylvestris L.) // Генетика. – 2009. – Т. 45. – № 2. – С. 209–214. [Oficerov MV, Igonina EV. Genetic Consequences of Irradiation in a Scots Pine Pinus sylvestris L. Population. Rus J Genetics. 2009;45(2):183-8. (In Russ.)]
- Banks SC, Cary GJ, Smith AL, et al. How does ecological disturbance influence genetic diversity? Trends Ecol Evol. 2013;28:670-9. doi: 10.1016/j.tree.2013.08.005.
- Smith JT, Willey NJ, Hancock JT. Low dose ionizing radiation produces too few reactive oxygen species to directly affect antioxidant concentrations in cells. Biol Lett. 2012;8:594-7. doi: 10.1098/rsbl.2012.0150.
Supplementary files










