Proteome dynamics of antibiotic resistant Staphylococcus aureus strains exposed to sub-inhibitory concentrations of beta-lactams
- Authors: Sopova J.V.1,2, Gostev V.V.3, Kalinogorskaya O.S.3, Lykholay A.N.2, Sidorenko S.V.3
-
Affiliations:
- St. Petersburg branch of Vavilov Institute of General Genetics, Russian Academy of Sciences
- Saint Petersburg State University
- Pediatric Research and Clinical Center for Infectious Diseases
- Issue: Vol 16, No 2 (2018)
- Pages: 4-10
- Section: Genetic basis of ecosystems evolution
- Submitted: 11.12.2017
- Accepted: 13.06.2018
- Published: 15.06.2018
- URL: https://journals.eco-vector.com/ecolgenet/article/view/7518
- DOI: https://doi.org/10.17816/ecogen1624-10
- ID: 7518
Cite item
Full Text
Abstract
Background. Ceftaroline is one of the first cephalosporins with activity against methicillin-resistant Staphylococcus aureus (MRSA), it effectively binds to and inhibits penicillin-binding protein 2a (PBP2a). However, isolates with decreased susceptibility to ceftaroline were reported before the commercial release of the antibiotic.
The aim of this study was to provide an overview of the proteome changes occurring in MRSA isolates resistant to ceftaroline in response to sub-inhibitory concentrations of cell-wall active antibiotics.
Materials and methods. Ceftaroline-resistant mutants were generated from two MRSA SA0077 and SA0422 isolates belonging to ST8-t008-SCCmec IV genetic lineage (sequence type 8, spa type t008, staphylococcal chromosomal cassette mec type IV) and one MRSA isolate SA0085 belonging to ST239-t631-SCCmec III genetic lineage (sequence type 239, spa type t631, staphylococcal chromosomal cassette mec type III). Proteome response of parental and mutant strains to sub-inhibitory concentration of beta-lactams and vancomycin was analyzed.
Results. The protein patterns revealed significant increase of 30 кDа band in mutant strains under induction by meropenem, no changes were observed in parental strains or under induction with other antibiotics. According to MS analysis, three proteins represented the band of the mutant strain in absence of meropenem induction. However, under meropenem induction additional protein was detected (BlaZ).
Conclusion. The cross talk between two systems with overlapping functions involved in transcription control of PBP2a and BlaZ ensure ceftaroline resistant phenotype.
Keywords
Full Text
Введение
Формирование и распространение среди возбудителей инфекционных болезней человека устойчивости к антибактериальным препаратам представляет реальную угрозу современной системе здравоохранения. Согласно оценке Всемирной организации здравоохранения, в группу патогенов, вызывающих наибольшее беспокойство и требующих срочной разработки новых лечебных препаратов, включены метициллинрезистентные Staphylococcus aureus (Methicillin Resistant Staphylococcus aureus — MRSA) [1]. Первые MRSA были обнаружены в 1961 г. [2], через два года после внедрения в медицинскую практику метициллина — полусинтетического пенициллина, синтезированного для преодоления устойчивости, связанной с быстрым распространением среди стафилококков бета-лактамаз, способных гидролизовать природные пенициллины [3]. Однако в реальности MRSA сформировались еще в середине 40-х гг., задолго до внедрения метициллина в медицинскую практику, скорее всего, под селективным прессингом пенициллина [4]. Механизм устойчивости заключается в приобретении стафилококками дополнительного пенициллинсвязывающего белка 2а (ПСБ2а, ген mecA), отличающегося сниженной аффинностью к большинству бета-лактамных антибиотиков. Таким образом, устойчивость распространяется на все бета-лактамные антибиотики [5].
Препаратами выбора для лечения MRSA-инфекций традиционно рассматривали гликопептиды (ванкомицин), относительно недавно для этой цели были разработаны и внедрены в практику оксазолидиноны (линезолид), липопептиды (даптомицин), глицилциклины (тигециклин). Значительным прорывом в лечении MRSA-инфекций стала разработка цефалоспориновых антибиотиков цефтобипрола и цефтаролина [6], проявляющих анти-MRSA-активность благодаря повышенной аффинности к пенициллинсвязывающему белку 2 (ПСБ2а) [7]. Однако при изучении коллекций MRSA, полученных еще до внедрения цефтаролина в практику, были обнаружены штаммы, проявляющие устойчивость к этому антибиотику [8]. В дальнейшем при изучении клинических изолятов, а также лабораторных мутантов было выявлено несколько новых механизмов, обусловливающих резистентность как к цефтаролину, так и к бета-лактамам в целом. К наиболее хорошо изученным относятся аминокислотные замены в пенициллинсвязывающем домене ПСБ2а [9]. Менее ясна роль в формировании резистентности некоторых геномных изменений, выявленных у устойчивых к цефтаролину изолятов MRSA. К таким изменениям относятся мутации в гене неэссенциального ПСБ2 [10, 11], в промоторной и кодирующей областях гена эссенциального пенициллинсвязывающего белка 4 (ПСБ4) [12], в генах обмена циклического ди-аденозинмонофосфата (c-di-AMP) и эффлюксной помпы AcrB [13].
В Российской Федерации цефтаролин разрешен к медицинскому применению с 2012 г. Перспективы его использования во многом ограничены возможностью быстрого формирования и распространения резистентности. Прогнозирование вероятности формирования резистентности при клиническом применении антибиотиков возможно при селекции резистентных мутантов в экспериментах in vitro. К доступным методам расшифровки механизмов резистентности следует отнести анализ структуры и экспрессии генов — наиболее вероятных мишеней действия антибиотиков. Применительно к цефтаролину таковыми являются гены пенициллинсвязывающих белков. В то же время уже сейчас очевидно, что устойчивость к цефтаролину может быть связана с более сложными механизмами, чем модификация мишени. Для выявления таких механизмов целесообразно использовать сравнительный протеомный и геномный анализ исходных изолятов и их изогенных устойчивых мутантов.
Целью настоящей работы был сравнительный протеомный анализ изолятов MRSA, принадлежащих к основным генетическим линиям, распространенным на территории Российской Федерации, и их производных, полученных в результате селекции на среде с цефтаролином.
Материалы и методы
Бактериальные изоляты. В работу были включены три изолята Staphylococcus aureus: SA0077, SA0085 и SA0422 из музейной коллекции Детского научно-клинического центра инфекционных болезней. Эти штаммы выделены в 2011–2012 гг. от пациентов с различными стафилококковыми инфекциями и относятся к широко распространенным на территории РФ генотипам MRSA. Изоляты SA0077 и SA0422 относятся к сиквенс-типу 8, spa-типу t008 и содержат стафилококковую mec-кассету IV типа (ST8-t008-SCCmec IV), тогда как изолят SA0085 относится к сиквенс-типу 239, spa-типу t631 и содержит стафилококковую mec-кассету III типа (ST239-t631-SCCmec III).
Селекция устойчивости к цефтаролину. Селекцию проводили в течение 40 пассажей в сердечно-мозговом агаре (Merck, Germany), содержащем антибиотик цефтаролин (AstraZeneca, UK) в диапазоне концентраций, подавляющих рост бактерий. Среды с посевами выдерживали до 96 часов от момента посева до появления первых колоний. Затем отбирали все колонии и снова пересевали на свежие среды с антибиотиком. В процессе селекции каждые 5 пассажей несколько колоний реидентифицировали с целью мониторинга контаминации на приборе Microflex LT (Bruker Daltonics, Germany) с использованием программного пакета BioTyper. Антибиотикочувствительность оценивали методом серийных микроразведений в бульоне Мюллера – Хинтона (Bio-Rad, France) с определением минимальной подавляющей концентрации (МПК) в соответствии с ISO 20776-1. Постановку опыта осуществляли в 96 луночных планшетах (НПО «Медполимер», Санкт-Петербург). В качестве контрольного штамма был использован S. aureus ATCC29213 (Remel Culti-Loops, США).
Секвенирование генов mecA и pbp2. Секвенирование проводили по Сэнгеру на приборе 3730 DNA Analyzer (Applied Biosystems, Japan) с прямыми и обратными прочтениями. Для секвенирования использовали ампликоны, покрывающие всю длину генов. Секвенирование осуществляли после 5, 20 и 40 пассажей.
Выделение белка из S. aureus. После выращивания в течение ночи в жидкой среде LB культуры S. aureus инокулировали в 200 мл жидкой среды LB без добавления антибиотиков или с добавлением одного из антибиотиков: меропенема в концентрации 8 мг/л; ампициллина — 50 мг/л; оксациллина — 32 мг/л; ванкомицина — 8 мг/л. Клетки выращивали в течение 4 часов, затем собирали центрифугированием (5000 g, +4 °C, 10 минут). Осадки замораживали при –70 °C и хранили при этой температуре до момента использования. Для разрушения клеток к осадкам добавляли буфер TBS и стеклянные шарики (Sigma), после чего 5 минут встряхивали на дезинтеграторе B. Braun (B. Braun, Мелзунген, Германия). Лизат клеток центрифугировали (10 000 g, +4 °C, 10 минут) для удаления клеточного дебриса. Концентрацию белка в супернатанте определяли с помощью флуориметра Qubit® 2.0 (Thermo Fisher Scientific).
SDS-PAGE. Образцы белка смешивали с 4Х буфером для нанесения на гель (50 mM Tris (pH 6,8), 2 % (w/v) SDS, 5 % (v/v) глицерин, 5 % (v/v) меркаптоэтанол, 0,05 % (w/v) бромфеноловый синий) и кипятили при 100 °C в течение 15 минут. На акриламидный гель (10 % акриламида для стандартного электрофореза, 12 % акриламида для более детального разделения белков) наносили по 20 мкг белка из каждой пробы, электрофорез проводили в аппарате Mini-PROTEAN II (Bio-Rad) согласно рекомендациям фирмы-производителя. Гель окрашивали в растворе Кумасси (0,5 % (w/v) Coomassie Brilliant Blue R-250, 20 % (v/v) этанол, 10 % (v/v) ледяная уксусная кислота) в течение 12 часов. В качестве маркера молекулярного веса использовали предокрашенный маркер PageRuler (Thermo Fisher Scientific).
Трипсинолиз белков в фрагментах акриламидного геля. Фрагмент окрашенного Кумасси геля вырезали, дважды промывали водой, после чего нарезали на кубики объемом 1 мм3. Кубики заливали буфером (50 mM NH4HCO3 / ацетонитрил 1 : 1 (v/v)) и инкубировали 15 минут, после чего убирали всю жидкость и добавляли ацетонитрил так, чтобы он покрыл все фрагменты геля. Через 5 минут ацетонитрил убирали и заливали кубики буфером (50 mM NH4HCO3) и инкубировали 5 минут, затем добавляли равный объем ацетонитрила и инкубировали 15 минут. После этого снова убирали всю жидкость и добавляли ацетонитрил так, чтобы он покрыл все фрагменты геля. Через 5 минут убирали всю жидкость и высушивали фрагменты геля в вакуумном центробежном концентраторе Labconco при 18 °C. Высушенные фрагменты геля заливали буфером (10 mM дитиотрейтол, 50 mM NH4HCO3) и инкубировали 45 минут при 56 °C. Затем пробирки охлаждали до комнатной температуры, убирали всю жидкость и добавляли равный объем буфера (55 мМ йодоацетамид, 50 mM NH4HCO3), после чего инкубировали 30 минут при комнатной температуре в темноте. Всю жидкость убирали, промывали фрагменты геля буфером (50 mM NH4HCO3 / ацетонитрил 1 : 1 (v/v)) 2 раза, добавляли ацетонитрил так, чтобы он покрыл все фрагменты геля, и инкубировали 5 минут. Высушивали фрагменты геля в вакуумном центробежном концентраторе Labconco при 18 °C. Высушенные фрагменты геля заливали буфером (20 нг/мкл трипсин, 25 mM NH4HCO3) и инкубировали в течение 18 часов при 37 °C. Добавляли 20 мкл 2 % ацетонитрила, помещали в ультразвуковую баню и обрабатывали ультразвуком в течение 10 мин при 37 °C. Супернатант отбирали, обработку ультразвуком повторяли еще 2 раза с 25 % и 50 % ацетонитрилом. Полученный раствор высушивали в вакуумном центробежном концентраторе Labconco при 18 °C и использовали для дальнейшего анализа.
Масс-спектрометрический анализ. Для идентификации пептидов после трипсинолиза пробы наносили на планшеты-мишени MTP AnchorChip™ 384 (Bruker Daltonics). Идентификацию проводили с помощью масс-спектрометра UltrafleXtreme (Bruker Daltonics). В качестве матрицы использовали α-циано-4-гидроксикоричную кислоту. Для анализа ионных пиков применяли программное обеспечение FlexAnalysis 3.2 (Bruker Daltonics). Пептиды идентифицировали с помощью программного обеспечения Mascot 2.4.2 (Matrix Science, http://www.matrixscience.com) на основе базы данных UniProt (http://www.uniprot.org/) с селекцией белков S. aureus. Во время анализа использовали предустановленные параметры допуска по массе пептида (“Mass tolerance”) (допуск по массе предшественника 100 ppm, допуск по массе фрагмента 0,9 Da). В качестве калибранта применяли стандарт Peptide Calibration Standard II 8222570 (Bruker Daltonics). Допустимыми модификациями считали карбоксиметилирование цистеина и частичное окисление метионина.
Статистическая обработка результатов
Для количественной оценки интенсивности окрашивания белковых полос на акриламидных гелях использовали систему Bio-Rad ChemiDoc™ XRS+ System и программное обеспечение Image Lab 6.0. (Bio-Rad). Относительную интенсивность окрашивания конкретной полосы определяли как отношение интенсивности окраски этой полосы к интенсивности окраски всей дорожки. Эксперимент проводили в трех биологических повторностях, для сравнения использовали t-критерий Стьюдента.
Результаты и обсуждение
После проведения 40 циклов селекции для всех исходных штаммов (SA0077/0, SA0085/0 и SA0422/0) были получены мутанты, устойчивые к цефтаролину (SA0077/40, SA0085/40 и SA0422/40). Так, если исходные значения МПК цефтаролина для всех трех изолятов составляли 0,5–2 мкг/мл, то после селекции они превысили 64 мкг/мл. Стабильность приобретенного признака была проверена путем проведения 10 пассажей на среде без антибиотика, после чего изменений в МПК выявлено не было. Ранее мы показали, что появление мутаций в генах mecA и pbp2 может рассматриваться как первичный этап формирования устойчивости к цефтаролину [10], поэтому для секвенирования были выбраны именно эти гены. Анализ нуклеотидных последовательностей генов mecA и pbp2 исходных изолятов и их устойчивых производных не выявил каких-либо мутаций, что дало основание для выполнения протеомного исследования с целью поиска другого возможного механизма устойчивости.
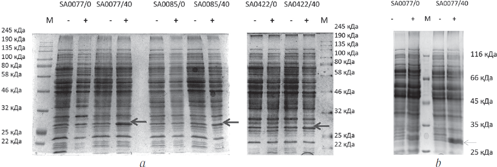
Было проведено сравнение белковых профилей исходных чувствительных изолятов (SA0077/0, SA0085/0 и SA0422/0) и устойчивых к цефтаролину мутантов (SA0077/40, SA0085/40 и SA0422/40), полученных на их основе. При выращивании культур без добавления антибиотиков и в присутствии ампициллина, оксациллина или ванкомицина отличий между исходными и мутантными штаммами обнаружено не было. Однако при инкубации в присутствии меропенема у мутантов SA0077/40, SA0085/40 и SA0422/40 в геле, окрашенном Кумасси, появлялась более яркая полоса, соответствующая белкам с молекулярной массой примерно 30 кДа, (рис. 1, а). При сравнении относительной интенсивности окрашивания этой полосы у исходного штамма SA0077/0 и устойчивого к цефтаролину штамма SA0077/40 c добавлением и без добавления в среду меропенема было установлено, что на среде с меропенемом у устойчивого к цефтаролину штамма SA0077/40 интенсивность окрашивания достоверно (p < 0,05) выше, чем в остальных случаях. Электрофорез в 12 % акриламидном геле показал наличие в указанной полосе нескольких белков, близких по размеру (рис. 1, b).
Рис. 1. Белковые профили сходных изолятов (SA0077/0, SA0085/0 и SA0422/0) и устойчивых мутантов (SA0077/40, SA0085/40 и SA0422/40), полученных на их основе. М — маркер молекулярного веса, (+) — инкубация в среде с добавлением меропенема, (–) — инкубация в среде без меропенема. Средние показатели интенсивности окрашивания выделенной стрелкой полосы для штамма SA0077/0 на среде без меропенема составляют 4,8 ± 0,19; для штамма SA0077/0 на среде с меропенемом 5,3 ± 0,56; для штамма SA0077/40 на среде без меропенема 4,8 ± 0,73; для штамма SA0077/40 на среде с меропенемом — 13,9 ± 5,3 (а); сравнение белковых профилей мутанта SA0077/40, выращенного на среде с добавлением меропенема (+) и без него (–) при электрофорезе в 12 % акриламидном геле (b)
Fig. 1. Protein profiles of similar isolates (SA 0077/0, SA 0085/0 and SA 0422/0) and their resistant derivatives (SA0077/40, SA0085/40 and SA0422/40). M – molecular weght marker, (+) – incubation in meropenem-containing media, (–) – incubation without meropenem. Average intensity of staining for line pointed with an arrow is 4,8 ± 0,19 for SA0077/0 strain on media without meropenem; 5,3 ± 0,56 for SA0077/0 strain on media with meropenem; 4,8 ± 0,73 for SA0077/40 strain on media without meropenem; 13,9 ± 5,3 for SA0077/40 strain on media with meropenem (а); comparison of protein profiles of SA0077/40 mutant strain, grown on merapenem-containing media(+) and without meropenem (–) by PAGE in 12% acrylamide gel (b)
Для идентификации этих белков у штамма SA0077/40 был проведен масс-спектрометрический анализ, результаты которого представлены в табл. 1. Независимо от условий культивирования (в присутствии меропенема или без него) штамм SA0077/40 продуцировал три белка: 1,4-дигидро-2-нафтоил-CoA синтазу — фермент, участвующий в биосинтезе менахинона (витамина К2) [14]; 2,3-бисфосфоглицерат-зависимую фосфоглицерат мутазу — фермент, катализирующий интерконверсию 2-фосфоглицерата и 3-фосфоглицерата [15]; стафилококковый секреторный антиген, играющий роль в экспрессии резистентности к макролидам, его детальная функция не ясна [16].
Таблица 1. Белки, выявляемые у изолята SA0077/40 при инкубации в присутствии меропенема и в контрольных условиях
Table 1. Proteins detected in SA0077/40 isolate incubated in the presence of meropenem and under control conditions
Антибиотик в среде | Выявленные белки | Выявленные пептиды (номера аминокислот) | Молекулярная масса белка |
– | 1,4-дигидро-2-нафтоил-CoA синтаза menB MENB_STAAC | GHGGYVGEDQIPR (81-93) VGSFDAGYGSGYLAR (147-161) | 30406 |
2,3-бисфосфоглицерат-зависимая фосфоглицерат мутаза gpmA GPMA_STAAC | HYGGLQGLNKDDAR (89-102) KEFGEEQVHIWR (103-114) EFGEEQVHIWRR (104-114) NLFTGWEDVNLSEQGINEATR (18-38) VIPFWTDHISQYLLDGQTVLVSAHGNSIR (159-187) | 26663 | |
Стафилококковый секреторный антиген ssaA2 SSAA2_STAAC | IGSTWGNASNWANAAAR (183-199) NLYTSGQCTYYVFDR (164-178) | 29309 | |
+ меропенем | 1,4-дигидро-2-нафтоил-CoA синтаза menB MENB_STAAC | GHGGYVGEDQIPR (81-93) VGSFDAGYGSGYLAR (147-161) | 30406 |
2,3-бисфосфоглицерат-зависимая фосфоглицерат мутаза gpmA GPMA_STAAC | KEFGEEQVHIWR (103-114) EFGEEQVHIWRR (104-114) NLFTGWEDVNLSEQGINEATR (18-38) VIPFWTDHISQYLLDGQTVLVSAHGNSIR (159-187) SYDVKPPAETEEQR (116-129) YNHLDKR (138-144) | 26663 | |
Стафилококковый секреторный антиген ssaA2 SSAA2_STAAC | IGSTWGNASNWANAAAR (183-199) | 29309 | |
Бета-лактамаза blaZ BLAC_STAAU | EVKFNSDKR (50-58) | 31349 |
В то же время при индукции меропенемом штамм SA0077/40 продуцировал стафилококковую бета-лактамазу РС1 (ген blaZ), относящуюся к классу А сериновых бета-лактамаз. Важно отметить, что у исходного штамма SA0077/0 значимой продукции бета-лактамазы в ответ на индукцию меропенемом не обнаруживали. Стафилококковые бета-лактамазы отличаются узким субстратным профилем, они гидролизуют природные и полусинтетические пенициллины, а также частично цефалоспорины I поколения, подавляются всеми известными ингибиторами бета-лактамаз. В ранних экспериментах с помощью иммунологических методов у стафилококков удавалось выделить четыре варианта бета-лактамаз [17], наличие этих вариантов подтверждалось незначительными различиями в профиле субстратной специфичности [18]. Однако в последующих экспериментах получить антисыворотки с аналогичными свойствами не удавалось.
Считается, что экспрессия стафилококковых бета-лактамаз носит индуцибельный характер и находится под контролем двухкомпонентной системы регуляции: BlaR-BlaI-BlaZ. Необратимое связывание бета-лактамного антибиотика с сенсорным доменом мембранного белка BlaR является первым этапом в передаче сигнала, за которым следует аутопротеолиз цитоплазматического домена этого белка. Далее происходит протеолиз репрессора BlaI, его диссоциация с участком связывания с ДНК и начинается транскрипция генов blaZ/blaR/blaI [19]. На описанную выше двухкомпонентную систему структурно и функционально очень похожа двухкомпонентная система регуляции экспрессии гена mecA. Система состоит из аналогичных компонентов (MecR-MecI-MecA) [20]. Системы частично комплементарны, репрессию транскрипции гена mecA могут вызывать и MecI и BlaI [21].
С точки зрения современных представлений о механизмах устойчивости стафилококков к бета-лактамным антибиотикам объяснить выявленный в настоящей работе феномен индукции меропенемом синтеза бета-лактамазы РС1 штаммами, устойчивыми к цефтаролину, достаточно сложно. В качестве одной из причин можно предположить возникновение у устойчивых штаммов мутаций в мембранных белках BlaR или MecR, приводящих к избирательному повышению их аффинности к меропенему. Однако феномен индукции синтеза бета-лактамазы меропенемом никак не объясняет формирования у мутантов устойчивости к цефтаролину. Выявить изменений в синтезе устойчивыми мутантами других белков в условиях их культивирования как в присутствии антибиотиков, так и без них не удалось.
Ранее были описаны клинические изоляты S. aureus, проявляющие устойчивость к бета-лактамным антибиотикам в отсутствие гена mecA. Установлено, что гиперэкспрессия стафилококковой бета-лактамазы может способствовать устойчивости к другим бета-лактамным антибиотикам. В исследовании 2013 г. [22] было показано, что при искусственной передаче плазмиды, несущей полноценный промотор и сам ген blaZ, повышается устойчивость стафилококка к оксациллину, несмотря на то что фермент не способен гидролизовать этот антибиотик. Механизм устойчивости связывают с негативным влиянием регуляторной системы bla на репрессорную функцию MecI. Полученные в ходе настоящего исследования данные косвенно подтверждают возможную роль гиперэкспрессии бета-лактамазы в формировании устойчивости к цефтаролину. Однако для подтверждения таких выводов требуются дополнительные исследования, в частности проведение полногеномного секвенирования и исследование биохимической активности самого фермента в отношении разных бета-лактамных антибиотиков. Не совсем понятным остается вопрос о роли меропенема как мощного индуктора синтеза бета-лактамазы, дополнительные исследования в области связывания и активации разных молекул бета-лактамов с рецепторами и взаимодействия с самим ферментом также чрезвычайно интересны в свете возможного поиска новых механизмов резистентности.
Уведомление: исследование выполнено за счет гранта Российского научного фонда (проект № 15-15-00185) и в рамках госзадания 0112-2018-0015.
Исследование проведено с использованием оборудования ресурсного центра «Развитие молекулярных и клеточных технологий» СПбГУ».
About the authors
Julia V. Sopova
St. Petersburg branch of Vavilov Institute of General Genetics, Russian Academy of Sciences; Saint Petersburg State University
Email: sopova@hotmail.com
ORCID iD: 0000-0002-7825-273X
SPIN-code: 6019-1547
PhD, Researcher, Laboratory of Genetic Models of Human Diseases
Russian Federation, Saint Petersburg; 7/9, Universitetskaya embankment, Saint-Petersburg, 199034Vladimir V. Gostev
Pediatric Research and Clinical Center for Infectious Diseases
Email: guestvv11@gmail.com
ORCID iD: 0000-0002-3480-8089
SPIN-code: 2431-6231
Researcher, PhD, Department of Medical Microbiology and Molecular Epidemiology
Russian Federation, 9, Professor Popov street, Saint-Petersburg, 197022Olga S. Kalinogorskaya
Pediatric Research and Clinical Center for Infectious Diseases
Email: kalinogorskaya@bk.ru
ORCID iD: 0000-0003-1419-9068
SPIN-code: 8915-2053
Researcher, PhD, Department of Medical Microbiology and Molecular Epidemiology
Russian Federation, 9, Professor Popov street, Saint-Petersburg, 197022Anna N. Lykholay
Saint Petersburg State University
Email: a.lykholay@spbu.ru
ORCID iD: 0000-0003-4666-2125
SPIN-code: 7865-8322
MALDI Mass-Spectrometry and Chromatography Specialist, Research Resource Center for Molecular and Cell Technologies
Russian Federation, 7/9, Universitetskaya embankment, Saint-Petersburg, 199034Sergey V. Sidorenko
Pediatric Research and Clinical Center for Infectious Diseases
Author for correspondence.
Email: sidorserg@gmail.com
ORCID iD: 0000-0003-3550-7875
SPIN-code: 7738-7060
Professor, Head, Department of Medical Microbiology and Molecular Epidemiology
Russian Federation, 9, Professor Popov street, Saint-Petersburg, 197022References
- Who.int [Internet]. Geneva: World Health Organization. Antibacterial agents in clinical development: an analysis of the antibacterial clinical development pipeline, including tuberculosis. [cited 2017 Sep 21] Available from: http://www.who.int/medicines/areas/rational_use/antibacterial_agents_clinical_development/en/.
- Jevons MP. Celbenin-resistant Staphylococci. BMJ. 1961;(1):124-125.
- Kirby WM. Extraction of a Highly Potent Penicillin Inactivator from Penicillin Resistant Staphylococci. Science. 1944;99(2579):452-453. doi: 10.1126/science.99.2579.452.
- Harkins CP, Pichon B, Doumith M, et al. Methicillin-resistant Staphylococcus aureus emerged long before the introduction of methicillin into clinical practice. Genome Biol. 2017;18(1):130. doi: 10.1186/s13059-017-1252-9.
- Acar JF, Courvalin P, Chabbert YA. Methicillin-resistant staphylococcemia: bacteriological failure of treatment with cephalosporins. Antimicrob Agents Chemother (Bethesda). 1970;10:280-285.
- Laudano JB. Ceftaroline fosamil: a new broad-spectrum cephalosporin. J Antimicrob Chemother. 2011;66 Suppl 3:iii11-18. doi: 10.1093/jac/dkr095.
- Otero LH, Rojas-Altuve A, Llarrull LI, et al. How allosteric control of Staphylococcus aureus penicillin binding protein 2a enables methicillin resistance and physiological function. Proc Natl Acad Sci USA. 2013;110(42):16808-16813. doi: 10.1073/pnas.1300118110.
- Kelley WL, Jousselin A, Barras C, et al. Missense mutations in PBP2A Affecting ceftaroline susceptibility detected in epidemic hospital-acquired methicillin-resistant Staphylococcus aureus clonotypes ST228 and ST247 in Western Switzerland archived since 1998. Antimicrob Agents Chemother. 2015;59(4):1922-30. doi: 10.1128/AAC.04068-14.
- Lahiri SD, Alm RA. Potential of Staphylococcus aureus isolates carrying different PBP2a alleles to develop resistance to ceftaroline. J Antimicrob Chemother. 2016;71(1):34-40. doi: 10.1093/jac/dkv329.
- Гостев В.В., Калиногорская О.С., Дмитренко О.А., и др. Молекулярные механизмы снижения чувствительности к цефтаролину метициллинорезистентных Staphylococcus aureus // Антибиотики и химиотерапия. – 2016. – Т. 61. – № 9–10. – С. 17–21. [Gostev VV, Kalinogorskaya OS, Dmitrenko OA, et al. Mole¬cular Mechanisms of Ceftaroline Susceptibility Reduction in Methicillin-Resistant Staphylococcus aureus. Antibio¬tics and chemoterapy. 2016;61(9-10):17-21. (In Russ.)]
- Lahiri SD, Alm RA. Identification of non-PBP2a resistance mechanisms in Staphylococcus aureus after serial passage with ceftaroline: involvement of other PBPs. J Antimicrob Chemother. 2016;71(11):3050-7. doi: 10.1093/jac/dkw282.
- Chan LC, Gilbert A, Basuino L, et al. PBP 4 Mediates High-Level Resistance to New-Generation Cephalosporins in Staphylococcus aureus. Antimicrob Agents Chemother. 2016;60(7):3934-3941. doi: 10.1128/AAC.00358-16.
- Banerjee R, Gretes M, Harlem C, et al. A mecA-negative strain of methicillin-resistant Staphylococcus aureus with high-level beta-lactam resistance contains mutations in three genes. Antimicrob Agents Chemother. 2010;54(11):4900-4902. doi: 10.1128/AAC.00594-10.
- Ulaganathan V, Agacan MF, Buetow L, et al. Structure of Staphylococcus aureus1,4-dihydroxy-2-naphthoyl-CoA synthase (MenB) in complex with acetoacetyl-CoA. Acta Crystallogr Sect F Struct Biol Cryst Commun. 2007;63(Pt 11):908-913. doi: 10.1107/S1744309107047720.
- Hill B, Attwood MM. Purification and characterization of phosphoglycerate mutase from methanol-grown Hyphomicrobium X and Pseudomonas AM1. J Gen Microbiol. 1976;96(1):185-193. doi: 10.1099/00221287-96-1-185.
- Martin PK, Bao Y, Boyer E, et al. Novel locus required for expression of high-level macrolide-lincosamide-streptogramin B resistance in Staphylococcus aureus. J Bacteriol. 2002;184(20):5810-5813. doi: 10.1128/JB.184.20.5810-5813.2002.
- Richmond MH. Wild-Type Variants of Exopenicillinase from Staphylococcus Aureus. Biochem J. 1965;94:584-593. doi: 10.1042/bj0940584.
- Kernodle DS, Stratton CW, McMurray LW, et al. Differentiation of beta-lactamase variants of Staphylococcus aureus by substrate hydrolysis profiles. J Infect Dis. 1989;159(1):103-108. doi: 10.1093/infdis/159.1.103.
- Fuda CC, Fisher JF, Mobashery S. Beta-lactam resistance in Staphylococcus aureus: the adaptive resistance of a plastic genome. Cell Mol Life Sci. 2005;62(22):2617-2633. doi: 10.1007/s00018-005-5148-6.
- Hiramatsu K, Asada K, Suzuki E, et al. Molecular cloning and nucleotide sequence determination of the regulator region of mecA gene in methicillin-resistant Staphylococcus aureus (MRSA). FEBS letters. 1992;298(2-3):133-6. doi: 10.1016/0014-5793(92)80039-J.
- Blazquez B, Llarrull LI, Luque-Ortega JR, et al. Regulation of the expression of the beta-lactam antibiotic-resistance determinants in methicillin-resistant Staphylococcus aureus (MRSA). Biochemistry. 2014;53(10):1548-1550. doi: 10.1021/bi500074w.
- Arede P, Ministro J, Oliveira DC. Redefining the role of the beta-lactamase locus in methicillin-resistant Staphylococcus aureus: beta-lactamase regulators disrupt the MecI-mediated strong repression on mecA and optimize the phenotypic expression of resistance in strains with constitutive mecA expression. Antimicrob Agents Chemother. 2013;57(7):3037-3045. doi: 10.1128/AAC.02621-12.
Supplementary files






