Postoperative scar endometriosis: the clinical course, diagnosis, treatment, and the morphological examination of surgical material
- Authors: Pechenikova V.A.1, Akopyan R.A.1, Danilova A.S.1, Petrovskaia N.N.1
-
Affiliations:
- North-Western State Medical University named after I.I. Mechnikov
- Issue: Vol 71, No 3 (2022)
- Pages: 21-30
- Section: Original study articles
- Submitted: 01.03.2022
- Accepted: 25.05.2022
- Published: 16.07.2022
- URL: https://journals.eco-vector.com/jowd/article/view/103015
- DOI: https://doi.org/10.17816/JOWD103015
- ID: 103015
Cite item
Abstract
BACKGROUND: Postoperative scar endometriosis is diagnosed in 0.03–1.5% of women and is 0.42–4.0% of the total number of endometriosis lesions. The increase in the frequency of surgical delivery and the difficulties of early clinical diagnosis determine the relevance of clinicopathologic analysis of postoperative scar endometriosis.
AIM: The aim of this study was to conduct a comprehensive comparative analysis of the clinical course, diagnostic criteria, results of surgical and combined treatment, as well as morphological and morphofunctional features of postoperative scars endometriosis.
MATERIALS AND METHODS: We analyzed complaints, anamnesis, general clinical, gynecological and instrumental examination data, as well as results of the morphological examination of the surgical material from 21 patients with postoperative scar endometriosis. Immunohistochemical study of the surgical material was performed according to the avidin-biotin complex method using monoclonal mouse antibodies to alpha-smooth muscle actin (Dako, Denmark).
RESULTS: The average age of patients with postoperative scar endometriosis was about 33.6 ± 6.3 years. In 19 out of 21 patients (90.47%), this pathology occurred in the scar after caesarean section. The main clinical manifestation of the disease was pain syndrome. All patients complained of periodic pain in the area of the postoperative scar, which worsened on the eve and during menstruation. According to its nature and intensity, the patients characterized the pain as dull (33.3%), aching (14.3%), paroxysmal (19.1%), or “twitching” (33.3%). In some cases (28.6%), the pain syndrome was accompanied by nausea and vomiting. Many women (71.4%), in addition to the pain, noted the appearance of dark brown (bloody) discharge from the scar during menstruation. In macro- and microscopic examination, postoperative scar endometriosis foci formed nodes of different sizes without a clear capsule. This was due to proliferation of connective tissue fields found in all observations with a large number of collagen fibers located around and between heterotopias. Immunohistochemical study of postoperative scar endometriosis revealed perifocal proliferation of myofibroblasts, which surrounded endometrioid heterotopias in the form of “couplings” and was characterized by positive expression of alpha-smooth muscle actin. Concentric myofibroblast proliferates in the form of nodules were found in the cytogenic stroma of endometriosis foci.
CONCLUSIONS: Early diagnosis and treatment of endometriosis are important in terms of preventing the fibrosis and sclerosis of the affected tissues and organs, which lead to their deformation and dysfunction.
Full Text
BACKGROUND
Postoperative scar endometriosis is one of the rare forms of an endometrioid disease. According to the literature, this pathology is diagnosed in 0.03%–1.5% of women and accounts for 0.42%–4.0% of the total number of endometrioid lesions [1–3]. In most cases, endometrioid heterotopias in scars occur within 1–4 years after various obstetric and gynecological surgical interventions, such as cesarean section, conservative myomectomy, metroplasty, ventrohysteropexy, surgeries for genital endometriosis, and uterine perforation [4]. Endometriosis develops much less often and later in scars after surgical interventions such as appendectomy, cholecystectomy, hernioplasty, etc. [5]. I. Djakovic et al. [6] published a case of postoperative scar endometriosis detected 11 years after cesarean section, and in 1933, Pfleiderer described such a pathology detected 24 years after surgery for appendicular abscess [7].
Most authors associated endometrioid heterotopias in postoperative scars with the implantation theory of endometriosis development. Generally, during surgeries on the uterus, especially when opening its cavity, viable endometrial elements can be involuntarily mechanically transferred to the surgical wound area [2]. Extragenital endometriosis foci can be also caused by hematogenous or lymphogenous propagation, as in metastatic spreading [8]. The rejection of the endometrium segments and their entry into the lymph and blood flow can be facilitated by any gross mechanical effects on the uterus, namely, palpation during surgery, abortion and diagnostic curettage, hydrotubation, and childbirth. In addition, endometrial elements can be transferred via menstrual blood on the surgeon’s hands, instruments, or gauze pads in the course of any surgical intervention in the abdominal cavity during menstruation.
The metaplastic concept of the development of endometrioid disease plays an important role in the origin of extragenital endometriosis foci, which implies that endometrioid heterotopias can occur through metaplasia of the coelomic epithelium and embryonic peritoneum.
Regarding the layers of the anterior abdominal wall, endometrioid heterotopias of the postoperative scar can be localized within the subcutaneous fat, invade the superficial fascia (aponeurotic sheath of rectus abdominis muscle), and involve the parietal peritoneum.
The clinical diagnostics of postoperative scar endometriosis is complicated in some cases. It often resembles a surgical pathology of the anterior abdominal wall, such as a postoperative scar hernia with or without strangulation, ventral hernia, sutural granulomas, inflammatory infiltrate, ligature fistulas, tumors of the soft tissues of the anterior abdominal wall (particularly desmiodes), and primary or metastatic cancer [3, 9]. In patients with endometriosis, the pathognomonic sign is a painful induration or formation in the postoperative scar area, which increases in size the day before or during menstruation, becomes denser and severely painful, and the skin over it acquires a characteristic cyanotic color and in some cases may bleed. Several authors note that the intensity of the pain syndrome in postoperative scar endometriosis depends directly on the duration of its existence [9].
Among non-invasive diagnostic methods of postoperative scar endometriosis, ultrasonography (US) is of great importance [3, 8, 9]. In most cases, when scanning the anterior abdominal wall, endometriosis is described as a lesion with an indistinct, uneven contour and a heterogeneous echogenic structure (due to hypo- or hyperechoic inclusions) with cystic and solid components of the lobular structure. Four echographic forms (i.e., cystic, polycystic, mixed, and solid) of postoperative scar endometriosis have been described. The determined forms are due to morphological and morphofunctional changes in heterotopias, depending on the menstrual phase. Some authors indicate that the nodule size in endometriosis of the anterior abdominal wall, according to US, can be significantly smaller than the nodule detected during surgery. Dopplerographic characteristics of postoperative scar endometriosis include abundant blood supply over the lesion area and even the presence of a blood vessel feeding the lesion. The appearance of these signs depends on the lesion size and is registered in lesions with a diameter of ≥3 cm.
The literature presents data on the use of computed tomography and magnetic resonance imaging in the diagnosis of postoperative scar endometriosis [5]. In these studies, it is described as a round, solid, or mixed lesion. The heterogeneity of radiological signs also depends on the menstrual phase, ratio of stromal and glandular components, intensity of possible cyclic menstrual-like hemorrhages in the foci, and severity of the inflammatory reaction around endometrioid heterotopias.
The morphological method is considered the main method for final diagnostics of postoperative scar endometriosis, i.e., the identification of endometriosis foci in the surgical or biopsy material, represented by endometrial cytogenic stroma and glands lined with a single-row endometrial epithelium, as well as hemosiderin deposits, hemorrhages of various prescriptions, and accumulations of hemosiderophages. Mandatory histological examination is not only necessary to verify the diagnosis, but it is also associated with oncological risk in endometriosis [9, 10]. A report described rare cases of malignant tumor transformation of both glandular and stromal components of endometriosis foci of postoperative scar with the development of clear cell carcinoma, sarcoma, and cystadenocarcinoma [11].
This pathology is mainly treated by surgery [10, 12]. Its main principles consist in the removal of endometriosis nodules within healthy tissues with an indent of at least 0.5–1 cm from the visible margins while maintaining the lesion integrity. When an aponeurosis is excised, in cases when it is damaged, the anterior abdominal wall is restored in layers using patient’s tissues, and synthetic materials are used to close large defects [13]. In the literature, the incidence of recurrence of postoperative scar endometriosis after surgical treatment is 4.3%. Moreover, adverse factors include the lesion size of more than 5 cm, deep location in the thickness of the anterior abdominal wall, and “positive surgical margin,” namely, the presence of elements of endometrioid heterotopias in the excised nodule margins [13]. In the literature, there is no unequivocal opinion regarding the prescription of hormonal therapy in the postoperative period for the prevention of extragenital endometriosis relapse.
The steady increase in the incidence of endometriosis in the structure of gynecological morbidity, predominantly reproductive age of patients with this pathology, associated development of chronic pelvic pain and infertility syndromes, its recurrent course with the frequent need for repeated surgical interventions, and possible malignancy of the tumor determine the great interest in studying the various aspects of this disease. The clinical and morphological analyses of postoperative scar endometriosis were made relevant by the increase in the frequency of operative delivery and the difficulties of early clinical diagnostics. The study of this pathology is also of important theoretical interest for understanding the mechanisms that contribute to the development, progression, and “survival” of endometrioid heterotopias in various microenvironments and their biological potencies.
The study aimed to conduct a comprehensive comparative analysis of the clinical course, diagnostic criteria, results of the surgical and combined treatment, and morphological and morphofunctional aspects of postoperative scar endometriosis.
MATERIALS AND METHODS
The study included 21 female patients with postoperative scar endometriosis, who underwent surgery in the gynecology and abdominal surgery clinics of the I.I. Mechnikov North Western State Medical University in 2005–2021. The clinical part of the work involved the study and analysis of complaints, anamnestic data, and results of general clinical, gynecological, and instrumental examinations. All patients underwent US of the anterior abdominal wall and pelvic organs and examinations in preparation for surgical treatment. During the morphological study of the surgical materials, serial sections were made, which were stained with hematoxylin and eosin and van Gieson’s picro-fuchsin. Immunohistochemical examination of the surgical material was performed using the avidin-biotin method using monoclonal murine antibodies to alpha-smooth muscle actin (α-SMA) (Dako, Denmark). A positive reaction was evaluated as brown staining of α-SMA-positive cells. The morphometric study was performed using a microscopic image analysis system consisting of a Nikon Eclipse E400 microscope, Intel Pentium 4 computer, and Videotest-Morphology 5.0 software. The analysis was performed at ×200 and ×400 magnifications.
RESULTS AND DISCUSSION
The age of the patients with postoperative scar endometriosis ranged from 23 to 46 (average, 33.6 ± 6.3) years. In 19 (90.47%) of 21 patients, endometriosis developed in the scar after cesarean section. It was discovered in one patient after lower median laparotomy for total hysterectomy due to the combination of adenomyosis with uterine fibroids, and in another woman, it was detected in the scar on the anterior abdominal wall after elimination of umbilical hernia using autogenous tissues. All patients underwent cesarean section in the lower segment by Pfannenstiel laparotomic access in 68.4% of cases and by inferomedian access in 31.6% of cases. The time of emergence of the first clinical symptoms ranged from 3 months to 8 years (average, 3.46 ± 2.25 years) after surgery.
Pain syndrome was the main clinical manifestation of postoperative scar endometriosis. All patients complained of recurrent pain in the postoperative scar area, aggravated the day before and during menstruation. A patient with a history of total hysterectomy had constant pain. According to the nature and intensity, the patients characterized these pains as dull (33.3%), aching (14.3%), paroxysmal (19.1%), or shooting (33.3%). After menstruation, the pain is usually in remission. In 28.6% of women, the pain syndrome was accompanied by nausea and vomiting; in addition to pain, 71.4% of women noted dark-brown (bloody) discharge from the scar during menstruation. Moreover, the increase in such secretions led to a decrease in the intensity of the pain syndrome. Less commonly, patients noted paresthesia (23.8%) or local itching (57.1%) and increased skin moisture (33.3%) in the area of endometriosis nodules. In 73.7% of patients with Pfannenstiel incision, the endometriosis nodules were located at the corners of the scar, and in other cases and in the case of lower median laparotomy, they were located in the middle part of the incision.
A physical examination and palpation of the anterior abdominal wall revealed lesions of a dense, less often, tight-elastic consistency of 1–3 cm in size. In 9 (42.8%) of 21 women, a conglomerate of endometriosis nodules was palpated in the postoperative scar area, with a total diameter of 5–8 cm. The nodules were located in the thickness of the anterior abdominal wall at different depths, limitedly mobile, and almost not displaced due to intimal fusion with surrounding tissues. The palpation of the nodules in all patients was painful, especially during menstruation days. In deeply located endometriosis foci, the skin above them had usually no abnormalities; in 8 (38%) of 21 patients, deformity and retraction of the scar over the lesion were noted; and in 52.4% of women, the skin color was cyanotic-purple to brown (Fig. 1).
Fig. 1. Postoperative scar endometriosis. The retraction of the scar and cyanotic coloration of the skin above the node
Рис. 1. Эндометриоз послеоперационного рубца. Втянутость рубца и синюшная окраска кожи над узлом
In all cases, for diagnostics at the preoperative stage, US findings of the soft tissues of the anterior abdominal wall in the scar area were used. US detected lesions of various sizes with uneven contours and heterogeneous echostructure with hypo- and hyperechoic inclusions (Fig. 2). In three cases, a fine-needle puncture biopsy of the lesion under US control was performed. Cytological examination of puncture samples revealed accumulations of cells of the glandular epithelium of the endometrial type and large amounts of hemosiderin.
Fig. 2. Ultrasound examination of the soft tissues of the anterior abdominal wall in postoperative scar endometriosis
Рис. 2. Ультразвуковое исследование мягких тканей передней брюшной стенки при эндометриозе послеоперационного рубца
In 14 (66.7%) of 21 cases, postoperative scar endometriosis was suspected already at the preoperative stage based on patient complaints and data from physical and instrumental examinations. In other cases, incisional hernia or tumor in the soft tissues of the anterior abdominal wall was diagnosed. In 2014–2020, clinical diagnostics of endometriosis were more accurate. This was probably due to the increased awareness of this pathology in recent years.
In 3 (14.3%) of 21 patients, postoperative scar endometriosis was associated with external genital endometriosis. Two patients underwent simultaneous surgeries, which included excision of the lesion of a postoperative scar and laparoscopic cystectomy for an endometrioid ovarian cyst. One patient had a history of laparoscopic cystectomy for an endometrioid ovarian cyst.
In one case, endometriosis of the scar occurred following long-term (2-year) use of a monophasic combined oral contraceptive containing a combination of 0.02 mg of ethinyl estradiol and 3 mg of dienogest.
All patients underwent surgical treatment. Endometriosis nodules were excised while maintaining their integrity within intact tissues. In 9 (42.8%) cases, the infiltrate was located within the subcutaneous fat. In other cases, the aponeurosis invasion with damage to the rectus abdominis muscles was noted. When excising the nodules of endometriosis, the abdominal cavity was not opened in any of the cases. After removing the nodules, the anterior abdominal wall defect was restored layer by layer using own tissues in all cases, except for one case where a synthetic mesh was used. The postoperative period was uneventful. In almost all female patients, the depth of the location in the thickness of the anterior abdominal wall and the endometriosis nodules during surgery were significantly larger than the nodules determined by US. Such a characteristic of the growth of this pathology must be considered during surgery for the most radical excision of its foci within healthy tissues.
In the postoperative period, anti-relapse therapy with dienogest 2 mg for 6 months continuously was prescribed to 6 (28.6%) of 21 patients. In 2 (13.3%) of 15 female patients who did not receive dienogest, scar endometriosis relapsed 3 and 7 years after surgery, which necessitated a repeated surgical intervention.
Macroscopically, the postoperative scar endometriosis represented dense nodules of whitish fibrous tissue without a clear true capsule, delimited quite well from the surrounding tissues. The nodule diameter in patients varied from 2 to 8 cm. The incision had slits and cavities ranging in size from a few millimeters to 1–1.5 cm, filled with a thick brown liquid or dark blood (Fig. 3).
Fig. 3. The removed node of the postoperative scar endometriosis with a cystic-solid structure
Рис. 3. Удаленный узел эндометриоза послеоперационного рубца кистозно-солидного строения
Cystic forms of endometriosis were detected. In this form, the foci are single or multiple honeycomb-type cysts of 1–3 cm in diameter, also filled with thick brown fluid or dark blood. The conglomerated cysts formed nodules surrounded by fibrous tissue and were located only in the subcutaneous tissue near the postoperative scar.
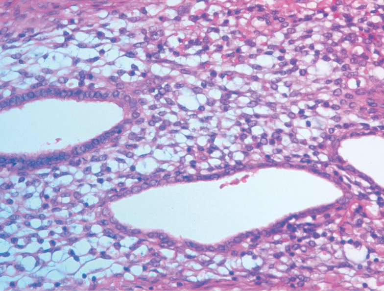
In a morphological study, postoperative scar endometriosis was manifested by a classic histological presentation characteristic of endometrioid disease, namely, a combination of glands lined with endometrial type epithelium with endometrial cytogenic stroma, old and recent hemorrhages, hemosiderin deposition, and accumulation of hemosiderophages (Fig. 4). Pronounced lymphomacrophage infiltration of the cytogenic stroma and soft tissues immediately adjacent to the endometriosis focus were noteworthy. In some cases, lymphomacrophage infiltration was focal in the form of microabscesses. In 2 (9.5%) of 21 cases, suture material remnants were detected between the endometriosis foci with granuloma formation surrounded by foreign bodies. Hemosiderin deposits were revealed in the lumen of the glands, cytogenic stroma, and surrounding tissues and caused active migration of free stromal cells, followed by the formation of hemosiderophages.
Fig. 4. The focus of the postoperative scar endometriosis. Hematoxylin-eosin stain, zoom ×100
Рис. 4. Очаг эндометриоза послеоперационного рубца. Окраска гематоксилином и эозином, увеличение ×100
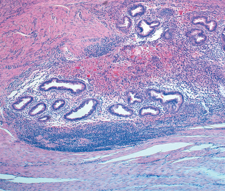
Endometrioid heterotopias of postoperative scars varied, had an epithelial–stromal structure with a predominance of the glandular component, and their sizes varied from one to three fields of view with a loupe magnification of the microscope. Endometriosis was characterized by the combination within the visual range of the foci containing epithelial and stromal components with different morphological manifestations of progression and regression, which were at different stages of morphogenesis. Progression and functional activity were expressed by proliferative or secretory changes in the glandular epithelium and cells of the cytogenic stroma, as well as menstrual-like hemorrhages into the lumen of the glands, cysts, stroma, and surrounding tissues. Proliferative changes prevailed over secretory ones; in some cases, they present as epithelial hyperplasia with increased mitotic activity and formation of false papillae in some places. A case of a patient with a history of long-term use of a combined hormonal contraceptive was characterized by pronounced secretory changes in the form of cytogenic stroma decidualization (Fig. 5). This case indicates the preservation of receptive activity in the foci of postoperative scar endometriosis and their sensitivity to exogenous hormonal influence.
Fig. 5. Pronounced decidual transformation of the cytogenic stroma of the endometriosis focus. Hematoxylin-eosin stain, zoom ×200
Рис. 5. Выраженная децидуальная трансформация цитогенной стромы очага эндометриоза. Окраска гематоксилином и эозином, увеличение ×200
A characteristic aspect of postoperative scar endometriosis in the morphological study was the predominance of regressive changes in the foci in the form of micro- and macrocystic transformations of the glands and fibrosis of the cytogenic stroma. Moreover, in cystic-transformed glands and cysts, in presence of the epithelium atrophy, the proliferation foci with false papillae were often detected. In large cysts, a thick eosinophilic secretion and/or hemosiderin was detected in the surrounding fibrous stroma. In a comparative analysis of endometriosis cases, two variants of regressive changes were identified:
- Formation of cysts without epithelial lining with massive deposits of hemosiderin and replacement of the cytogenic stroma over a significant extent with connective tissue, which structure resembles “chocolate” ovarian cysts;
- Formation of cystadenopapilloma-type structures with the transformation of glands into macrocysts with rough connective tissue papillae and epithelium atrophy.
If cystadenopapillomas are formed in the epithelial lining, morphological manifestations of proliferation with tubal metaplasia of the epithelium were revealed. The preservation of the functional activity in macrocysts was also evidenced by fresh hemorrhages and accumulation of secretions in their lumen. Cytogenic stroma around cysts that transformed into cystadenopapillomas was either fibrotic or completely replaced by connective tissues. The predominance of regressive changes in the postoperative scar endometriosis foci probably indicates the duration of their existence.
In the analysis of the morphofunctional state of endometrioid heterotopias and the ratio of signs of progression and regression, morphofunctional forms of postoperative scar endometriosis were identified, namely, progressive, stationary, regressive, mixed with a predominance of signs of progression, and mixed with a predominance of signs of regression. A mixed morphofunctional form detected in 14 (66.7%) of 21 cases was the most common, whereas the incidence of mixed endometriosis with a predominance of signs of progression was 35.7% and that with signs of regression was 64.3%. Progressive endometriosis was revealed in 4 (19.3%) cases, stationary endometriosis in 1 (4.7%), and regressive form in 2 (9.5%).
Macro- and microscopic studies revealed that the postoperative scar endometriosis foci formed nodules of different sizes without clear capsules. This aspect was due to the proliferation of connective tissue fields with numerous collagen fibers around and between heterotopias, detected in all cases (Fig. 6).
Fig. 6. Perifocal fibrosis with the collagen fibers proliferation. Painting with picrofuxin according to the Van Gieson method, zoom ×100
Рис. 6. Перифокальный фиброз с разрастанием коллагеновых волокон. Окраска пикрофуксином по методу Ван-Гизона, увеличение ×100
Fibrosis is a result of an internal wound healing response to tissue damage in chronic inflammation, characterized by excessive deposition of extracellular matrix proteins, including collagens and fibronectin [14]. An early stage of fibrogenesis, preceding the deposition of collagen, is the appearance in the tissues of myofibroblasts, which are specialized cells that produce the major amount of the extracellular matrix, consisting of collagen, laminin, and fibronectin. The contractile properties of these proteins help reduce the size of the destruction focus and maintain the cellular environment of the damaged segment of the tissue or organ [15]. Uncontrolled proliferation of myofibroblasts leads to pathological fibrosis and sclerosis, which disrupt the normal functioning of the tissue and/or organ [15]. The expression of α-SMA is a reliable marker for the identification of myofibroblasts in immunohistochemical studies [16].
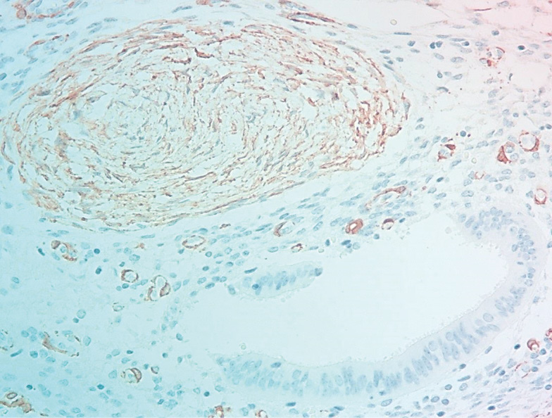
An immunohistochemical study of postoperative scar endometriosis in all cases examined revealed perifocal clutch-shaped myofibroblast proliferation surrounding the endometrioid heterotopias and manifested as positive α-SMA expression (Fig. 7). In the cytogenic stroma of endometriosis foci, concentric proliferates of myofibroblasts were revealed as nodules where α-SMA was also expressed. Pronounced neoangiogenesis in the cytogenic stroma of heterotopias with positive α-SMA expression in pericytes of vessel walls was also noteworthy (Fig. 8). Neoangiogenesis is one of the important pathogenetic mechanisms of survival and progression of endometrioid heterotopias.
Fig. 7. Expression of alpha-smooth muscle actin during proliferation of myofibroblasts around foci of postoperative scar endometriosis. Immunohistochemical research, zoom ×100
Рис. 7. Экспрессия альфа-гладкомышечного актина при пролиферации миофибробластов вокруг очагов эндометриоза послеоперационного рубца. Иммуногистохимическое исследование, увеличение ×100
Fig. 8. Expression of alpha-smooth muscle actin in focal proliferation of myofibroblasts and in vascular pericytes of cytogenic stroma of postoperative scar endometriosis. Immunohistochemical research, zoom ×200
Рис. 8. Экспрессия альфа-гладкомышечного актина в очаговой пролиферации миофибробластов и перицитах сосудов цитогенной стромы эндометриоза послеоперационного рубца. Иммуногистохимическое исследование, увеличение ×200
CONCLUSION
In our analysis of 21 cases of postoperative scar endometriosis, this pathology occurs more often in female patients of reproductive age, on average 3–4 years after delivery by cesarean section. For differential diagnostics of scar endometriosis with another pathology of the anterior abdominal wall, the relationship of its main clinical manifestations (pain syndrome and dark-brown or bloody discharge from the affected area) during the menstrual cycle is significant. A characteristic aspect of postoperative scar endometriosis is the formation of dense, clearly delimited nodules of different sizes or their conglomerates, represented by endometrioid heterotopias surrounded by connective tissue fields. The multiplicity of endometrioid heterotopias and the combination within the visual range of foci containing epithelial and stromal components with different morphological manifestations of progression and regression, which are at different stages of morphogenesis, indicate the disease duration and its chronic undulating course. Severe fibrosis and sclerosis around endometrioid heterotopias and between them are caused by the active proliferation of myofibroblasts, causing subsequent growth of connective tissue as a natural regenerative process in response to damage. Thus, early diagnostics and treatment of endometriosis are essential to prevent fibrosis and sclerosis that lead to deformity and dysfunction of the affected tissues and organs.
When choosing conservative therapy for patients with endometriosis, drugs with a pronounced anti-inflammatory effect have advantages to prevent fibrosis and sclerosis as inevitable internal wound healing reactions to tissue damage in chronic inflammation. During surgery for postoperative scar endometriosis, the probability that the true size of the nodules and depth of their location may be greater than data obtained by palpation and US of the soft tissues of the anterior abdominal wall should be considered. The prescription of anti-relapse therapy in the postoperative period appears appropriate to reduce the risk of repeated surgical interventions.
ADDITIONAL INFORMATION
Funding. The study had no external funding.
Conflict of interest. The authors declare no conflict of interest.
Author contributions. V.A. Pechenikova — development of the basic concept and design of the study, data analysis, editing of the text of the article; R.A. Akopyan — data analysis, preparation of the text of the article; A.S. Danilova, N.N. Petrovskaya — data collection and analysis.
All authors made a significant contribution to the study and the article preparation, as well as read and approved the final version before its publication.
ДОПОЛНИТЕЛЬНАЯ ИНФОРМАЦИЯ
Источник финансирования. Исследование выполнено без использования спонсорских средств и финансового обеспечения.
Конфликт интересов. Авторы декларируют отсутствие явных и потенциальных конфликтов интересов, связанных с публикацией настоящей статьи.
Вклад авторов. В.А. Печеникова — разработка основной концепции и дизайна исследования, анализ данных, редактирование текста статьи; Р.А. Акопян — анализ данных, подготовка текста статьи; А.С. Данилова, Н.Н. Петровская — сбор и анализ данных.
Все авторы внесли существенный вклад в проведение исследования и подготовку статьи, пpoчли и одобрили финальную версию перед публикацией.
About the authors
Victoria A. Pechenikova
North-Western State Medical University named after I.I. Mechnikov
Email: p-vikka@mail.ru
ORCID iD: 0000-0001-5322-708X
SPIN-code: 9603-5645
Scopus Author ID: 408079
MD, Dr. Sci. (Med.), Assistant Professor
Russian Federation, 41, Kirochnaya street, Saint-Petersburg, 191015Raisa A. Akopyan
North-Western State Medical University named after I.I. Mechnikov
Email: akopjan.raisa@mail.ru
SPIN-code: 9116-5157
MD
Russian Federation, 41, Kirochnaya street, Saint-Petersburg, 191015Anastasia S. Danilova
North-Western State Medical University named after I.I. Mechnikov
Email: nastenka.danilova.96@mail.ru
Russian Federation, 41, Kirochnaya street, Saint-Petersburg, 191015
Nikol N. Petrovskaia
North-Western State Medical University named after I.I. Mechnikov
Author for correspondence.
Email: dr.ramzaeva@mail.ru
ORCID iD: 0000-0001-6849-5335
SPIN-code: 7769-1969
Scopus Author ID: 1040964
MD
Russian Federation, 41, Kirochnaya street, Saint-Petersburg, 191015References
- Ognerubov NA. Navel endometriosis: clinical cases. Tambov State University Journal. 2013;18(5):2870−2873. (In Russ.)
- Kadyrova AI, Minenkov GO, Abdullaeva AA, et al. Difficulties of clinico-sonographic differential diagnostics of abdominal endometriosis and desmoid. International Journal of Applied and Fundamental Research. 2018;(7):101–106. (In Russ.). doi: 10.17513/mjpfi.12336
- Zakharov IS. Mozes VG, Remneva OV, et al. Surgical scar endometriosis. Fundamental and Clinical Medicine. 2018;3(3);101–105. (In Russ.). doi: 10.23946/2500-0764-2018-3-3-6-101-105
- Pechenikova VA, Kostyuchek DF. Extragenital endometriosis: clinicopathologic and immunohistochemical analysis of 45 observations with diverse organ localization. Journal of obstetrics and women’s diseases. 2010;(2):69−77. (In Russ.)
- Mishina AE, Gladun SE, Zastavnitsky GM, Mishin IV. Endometriosis in postoperative scar. Novosti Khirurgii. 2013;21 (3):116−119. (In Russ). doi: 10.18484/2305-0047.2013.3.116
- Djakovic I, Vukovic A, Bolanca I, et al. Abdominal wall endometriosis eleven years after cesarean section: Case report. Acta Clinica Croatica. 2017;56(1):162−165. doi: 10.20471/acc.2017.56.01.22
- Ognerubov NA, Ulitina ED, Ognerubova MA. Endometriosis of postoperative scar: case study. Journal of TSU. 2013;18(5):2867−2869. (In Russ.)
- Petuchov AA, Florensov VV, Rudaya VV. Endometriosis of postoperative cicatrix. Bulletin of the east Siberian Research Center of Siberian Branch of the Russian Academy of Sciences. 2016;2(108):20−24. (In Russ.)
- Buyanova SN, Shchukina NA, Babunaishvili EL, et al. Scar endometriosis after laparotomy: Ultrasound diagnosis, surgical treatment, a postmortem rationale. Russian Bulletin of Obstetrician-Gynecologist. 2017;(4):49−53. (In Russ.). doi: 10.17116/rosakush201717449-53
- Carsote M, Terzea DC, Valea A, et al. Abdominal wall endometriosis (a narrative review). Int J Medl Sci. 2020;17(4):536−542. doi: 10.7150/ijms.38679
- Mert I, Semaan A, Kim S, et al. Clear cell carcinoma arising in the abdominal wall: two case reports and literature review. Am J Obstet Gynecol. 2012;207(2):7−9. doi: 10.1016/j.ajog.2012.05.029
- Ozel L, Sagiroglu J, Unal A, et al. Abdominal wall endometriosis in the cesarean section surgical scar: a potential diagnostic pitfall. J Obstet Gynaecol Res. 2012;38(3):526−530. doi: 10.1111/j.1447-0756.2011.01739.x
- Bektas H, Bilsel Y, Sari YS, et al. Abdominal wall endometrioma; a 10-year experience and brief review of the literature. J Surg Res. 2010;164(1):77−81. doi: 10.1016/j.jss.2010.07.043
- Velikorodnaya YI, Pocheptsov AY. Dynamic changes in vimentin and smooth muscle actin ratio in experimental chemically induced liver fibrosis. Journal of VolgSMU. 2014;3(51):55−58. (In Russ.)
- Ellinidi VN, Kuzmina NS, Simonova IE, Bezhenar VF. New possibilities of the use of a α-SMA as fibrosis biomarker of the chronic endometritis. Obstetrics and Gynaecology of Saint-Petersburg. 2018;(3−4):65−69. (In Russ.)
- Hinz B. Myofibroblasts. Experimental Eye Research. 2016;142:56−70. doi: 10.1016/j.exer.2015.07.009
Supplementary files











