Анализ особенностей клеточной регуляции иммунитета при рецидивирующем течении эндометриоза яичников
- Авторы: Петровская Н.Н.1, Печеникова В.А.1
-
Учреждения:
- Северо-Западный государственный медицинский университет им. И.И. Мечникова
- Выпуск: Том 71, № 4 (2022)
- Страницы: 53-63
- Раздел: Оригинальные исследования
- Статья получена: 14.03.2022
- Статья одобрена: 31.03.2022
- Статья опубликована: 22.10.2022
- URL: https://journals.eco-vector.com/jowd/article/view/104887
- DOI: https://doi.org/10.17816/JOWD104887
- ID: 104887
Цитировать
Полный текст
Аннотация
Обоснование. Распространенность эндометриоза среди женщин репродуктивного возраста и сложность выбора методов его эффективного лечения обусловливают необходимость изучения клинико-морфологических особенностей эндометриоза яичников при его рецидивирующем течении, а также поиска доступных информативных диагностических и прогностических маркеров, позволяющих выявить группы риска рецидива и сформировать методы профилактики. Частота рецидива эндометриом после лечения достигает 50–55 %.
Цель исследования — провести сравнительный анализ особенностей клеточной регуляции иммунитета при рецидивирующем течении эндометриоза яичников.
Материалы и методы. Изучены клинические данные, количество иммунокомпетентных клеток периферической крови, а также результаты морфологического и иммуногистохимического исследований операционного материала 196 пациенток, прооперированных по поводу эндометриоидных кист яичников (45 пациенток с рецидивирующим течением заболевания и 151 женщины без рецидива). Для иммуногистохимического исследования операционного материала использовали моноклональные мышиные антитела к Т-хелперам (CD4), Т-киллерам (CD8), В-лимфоцитам (CD20) и тканевым макрофагам (CD68). Иммунологическое исследование периферической крови проводили методом проточной цитометрии с оценкой субпопуляций Т-лимфоцитов (Т-хелперов и T-киллеров), В-лимфоцитов и их соотношений.
Результаты. Частота рецидивов эндометриоидных кист яичников составила 22,96 %, в большинстве случаев (48,87 %) рецидив возник спустя 3–4 года после первой операции. У больных с рецидивом эндометриомы чаще выявляли диспареунию, дисменорею, первичное бесплодие и наличие операций на придатках матки в анамнезе (не связанных с эндометриозом), а также III степень распространения патологического процесса. В морфологическом исследовании при рецидиве чаще, чем при безрецидивном течении заболевания выявляли железисто-кистозный вариант и морфологически активный тип эндометриоза. Преобладающей популяцией клеток, обнаруженных в воспалительной инфильтрации цитогенной стромы и капсулы эндометриоидной кисты, оказались цитотоксические Т-лимфоциты (CD8) и макрофаги (CD68). Статистически достоверно в большем количестве их наблюдали при рецидивирующих эндометриоидных кистах в операционном материале как первой, так и второй операции, чем при безрецидивном течении заболевания. Количество B-лимфоцитов было достоверно выше в капсуле кисты при рецидиве эндометриоза, чем в случаях без рецидива. Т-хелперы (CD4) были обнаружены только в операционном материале уже диагностированного рецидива. При иммунологическом исследовании периферической крови пациенток с повторным возникновением эндометриомы выявлено повышение общей популяции Т-лимфоцитов за счет субпопуляции Т-хелперов, количество которых на микролитр выходило за пределы референсных значений.
Заключение. Увеличение количества свободных клеток стромы в очагах эндометриоза при его рецидивирующем течении свидетельствует о значении гиперреактивности и аутоиммунного механизма в хронизации и прогрессировании заболевания.
Ключевые слова
Полный текст
ОБОСНОВАНИЕ
Поражение яичников признано наиболее часто встречающимся проявлением генитального эндометриоза у пациенток репродуктивного возраста, отмеченным у 17–59 % больных данной патологией [1, 2]. Своевременная диагностика и эффективное лечение эндометриоза яичников имеют важное значение, поскольку прогрессирование этого заболевания приводит к формированию синдрома хронической тазовой боли, развитию рубцово-спаечного процесса, распространению патологического процесса на смежные органы, снижению овариального резерва, бесплодию. Основным методом лечения эндометриоза яичников остается хирургический с последующим назначением гормональной терапии, направленной на снижение риска рецидива. Однако частота повторного возникновения эндометриоидных кист яичников после хирургического и комбинированного лечения, по данным литературы, составляет через 1–2 года 15–21 %, через 5 лет — 36–47 %, а через 5–7 лет достигает 50–55 % [3]. В работе К. Nirgianakis (2020) показано, что среднее время между операциями по поводу рецидивирующего течения эндометриоза яичников значимо не различается в группах пациентов репродуктивного возраста и составляет 32 (5–244) мес. до операции по поводу первого рецидива, 35 (5–222) мес. — по поводу второго, 30 (6–160) и 34 (5–90) мес. — по поводу третьего и четвертого рецидивов соответственно [4].
Очевидно, что частота рецидивов зависит от объективных клинических проявлений, тяжести заболевания, стадии эндометриоза, объема и метода операции, навыков хирурга. Важное значение имеет радикальность удаления эндометриоидных очагов во время хирургического вмешательства. Даже если все лапароскопически видимые эндометриоидные «ткани» полностью резецированы, остаточные «клетки» и микроскопические поражения потенциально могут привести к рецидиву (L. Fedele и соавт., 2005). Остается открытым вопрос, почему происходит рецидив после операции: из-за повторного роста in situ не полностью удаленных во время операции остаточных эндометриоидных очагов или из-за поражений de novo, особенно с учетом того, что некоторые рецидивы зарегистрированы через длительный период времени после операции [4, 5].
Существует множество факторов и особенностей течения эндометриоза яичников, позволяющих прогнозировать риск развития рецидива эндометриоидных кист:
- отягощенный наследственный анамнез по эндометриозу и злокачественным и/или доброкачественным опухолям яичников;
- перенесенные сексуально-трансмиссивные заболевания, оказывающие повреждающее действие на репродуктивную систему, снижающее устойчивость организма к различным патогенным факторам;
- наличие экстрагенитальной соматической патологии;
- отягощенный акушерско-гинекологический анамнез, в том числе длительное бесплодие, медицинские аборты, самопроизвольные выкидыши, приводящие к рефлюксу менструальной крови в брюшную полость через маточные трубы, что является универсальным фактором агрессии иммунитета и при персистировании раздражителей приводит к резкому ослаблению иммунной системы и возникновению неадекватного ответа [6].
В литературе освещено большое количество исследований биохимических, иммуногистохимических, иммунологических показателей, обладающих высокой чувствительностью и специфичностью для диагностики эндометриоза. Однако до настоящего времени не выявлены маркеры, обладающие достаточной специфичностью для прогнозирования риска рецидивирующего течения этого заболевания [7].
Распространенность эндометриоза среди женщин репродуктивного возраста и сложность выбора методов его эффективного лечения обусловливают необходимость изучения клинико-морфологических особенностей эндометриоза яичников при его рецидивирующем течении, а также поиска доступных информативных диагностических и прогностических маркеров, позволяющих выявить группы риска рецидива и сформировать методы профилактики.
Цель исследования — провести сравнительный анализ особенностей клеточной регуляции иммунитета у пациенток репродуктивного возраста с рецидивирующим течением эндометриоза яичников и женщин без рецидива после комбинированного лечения.
МАТЕРИАЛЫ И МЕТОДЫ
В исследование вошли 196 женщин репродуктивного возраста, получившие органосохраняющие операции по поводу эндометриоидных кист яичников в клинике гинекологии Северо-Западного государственного медицинского университета им. И.И. Мечникова в период с 2012 по 2018 г. В зависимости от отдаленных результатов комбинированного лечения пациентки разделены на две группы: в основную группу вошли 45 женщин с рецидивом эндометриоидных кист яичников, в группу сравнения — 151 пациентка с отсутствием рецидива заболевания спустя 4–9 лет после лечения. Для оценки результатов морфологического, иммуногистохимического и иммунологического исследований пациентки основной группы разделены на две подгруппы: в первую подгруппу вошли 23 женщины, прооперированные по поводу первого случая эндометриоза яичников (первая операция) с последующим рецидивом заболевания, во вторую — 22 больные, получившие операцию по поводу непосредственно рецидива эндометриомы (вторую операцию). Диагноз «эндометриоидная киста яичника» поставлен на основании лапароскопических (объемное образование с густым темно-коричневым или «шоколадным» содержимым) и морфологических (эндометриальная цитогенная строма, функционально активный или дистрофически измененный эндометриальный эпителий, отложения гемосидерина, свежие кровоизлияния) признаков.
Клиническая часть работы включала изучение анамнестических данных, общеклинических, гинекологических, лабораторных и инструментальных методов исследования. Все пациентки прооперированы с лапароскопическим доступом в плановом порядке в объеме цистэктомии или резекции яичника, выполнены также иссечение всех обнаруженных во время операции очагов эндометриоза другой локализации и рассечение спаек. Для определения стадии заболевания использовали классификацию эндометриоидных кист яичников под редакцией Л.В. Адамян, В.И. Кулакова. В послеоперационном периоде все пациентки получали гормональную терапию в течение 6 мес. диеногестом или агонистами гонадотропин-рилизинг гормона.
Морфологическое исследование операционного материала выполняли методом световой микроскопии. Серийные срезы, изготовленные по стандартной методике, окрашивали гематоксилином и эозином. По макро- и микроскопическим характеристикам выделяли два варианта эндометриоза яичников — кистозный и железисто-кистозный. Железисто-кистозная форма отличалась наличием, помимо сформированной макроскопически видимой эндометриоидной кисты, очагов эндометриоза эпителиально-стромального строения. По наличию или отсутствию признаков морфофункциональной активности в виде пролиферативных или секреторных изменений эпителиального компонента и цитогенной стромы диагностировали морфологически активный или неактивный эндометриоз.
Иммуногистохимическое исследование операционного материала проводили по стандартной авидин-биотиновой методике с использованием моноклональных мышиных антител к Т-хелперам (CD4), Т-киллерам (CD8), В-лимфоцитам (CD20), тканевым макрофагам (CD68). Результаты положительной реакции оценивали по коричневому окрашиванию CD4-, CD8-, CD20-, CD68-позитивных клеток. Морфометрическое исследование проводили с помощью системы анализа микроскопических изображений, состоящей из микроскопа Nikon Eclipse E400, компьютера на базе Intel Pentium 4 и программного обеспечения «Видеотест-Морфология 5.0». Объем выборки в каждом исследуемом случае составил по пять полей зрения при увеличении микроскопа ×200. Подсчет количества окрашенных клеток в пяти полях зрения проведен отдельно в цитогенной строме и отдельно в капсуле эндометриоидной кисты.
Иммунологическое обследование было выполнено до хирургического вмешательства и включало изучение относительного и абсолютного составов основных субпопуляций иммунокомпетентных клеток (Т- и В-лимфоцитов) в периферической крови путем иммунофенотипирования мембранных антигенов с использованием моноклональных антител на проточном цитометре.
Статистическую обработку данных проводили методами параметрической и непараметрической статистики с использованием пpогpамм пpикладного статистического анализа STATISTICA v.10.0. Для количественных показателей рассчитывали сpеднее аpифметическое значение (M), стандартное отклонение (s), 95 % доверительный интервал (ДИ), медиану (Me), для качественных показателей — частоты в долях и их 95 % ДИ. Для оценки межгрупповых различий применяли t-критерий Стьюдента, ранговый непараметрический U-критерий Манна – Уитни и H-критерий Кpаскела – Уоллиса. При сравнении частотных величин использовали χ2-критерий Пирсона или, в случае его неустойчивости, точный критерий Фишера. Результаты считали статистически значимыми при p < 0,05.
РЕЗУЛЬТАТЫ
Частота рецидива эндометриоидных кист яичников составила 22,96 %, в большинстве случаев (48,87 %) рецидив возник спустя 3–4 года после первой операции. Средний возраст пациенток с необходимостью повторного оперативного вмешательства по поводу рецидива эндометриоидной кисты составил 32,2 ± 6,1 лет и достоверно не отличался от возраста женщин с безрецидивным течением заболевания (31,6 ± 7,0 лет) (p = 0,52).
Клинические данные пациенток представлены в табл. 1. Большинство женщин в обеих группах (51,1 и 54,3 %) жаловались на боли в нижних отделах живота, усиливающиеся накануне менструации, с иррадиацией в поясницу, прямую кишку и нижние конечности, а также на нарушение менструальной функции в виде мажущих кровянистых выделений до, после менструации или в середине цикла. В обеих группах была достаточно высокая доля пациенток с дисменореей и диспареунией, но статистически достоверно чаще эти симптомы наблюдали у больных с последующим рецидивом эндометриоза яичников.
Таблица 1. Клинические характеристики пациенток / Table 1. Clinical characteristics of patients
Показатели | Основная группа (n = 45), n (%) | Группа сравнения (n = 151), n (%) | Статистическая значимость |
Боли накануне менструации | 23 (51,1) | 82 (54,3 ) | p = 0,71 |
Дисменорея | 35 (77,78) | 93 (61,58) | p = 0,045 |
Диспареуния | 26 (57,78) | 54 (37,24) | p = 0,015 |
Вегетативные расстройства, сопровождающие боли | 7 (15,6) | 9 (6) | p = 0,039 |
Нарушение менструальной функции | 23 (51,1) | 82 (54,3) | p = 0,71 |
1 роды | 12 (26,7) | 32 (22,1) | p = 0,52 |
2 родов и более | 2 (4,4) | 13 (9,0) | p = 0,53 |
1 аборт | 5 (11,1) | 28 (19,3) | p = 0,20 |
2 аборта и более | 2 (4,4) | 3 (10,6) | p = 1,0 |
1 выкидыш | 2 (4,4) | 13 (9,0) | p = 0,53 |
2 выкидыша и более | 1 (2,2) | 1 (0,7) | p = 0,24 |
Первичное бесплодие | 19 (42,2) | 29 (20,0) | p = 0,0027 |
Вторичное бесплодие | 5 (27,8) | 21 (30,9) | p = 0,80 |
Операции на придатках матки по поводу патологии, не связанной с эндометриозом | 26 (57,8) | 11 (7,3) | p = 0,001 |
Отягощенный наследственный анамнез по эндометриозу | 20 (44,4) | 71 (47,02) | p = 0,11 |
Инфекции, передающиеся половым путем | 24 (53,33) | 86 (56,95) | p = 0,16 |
Избыточная масса тела | 11 (24,44) | 33 (21,85) | p = 0,76 |
Заболевания щитовидной железы | 13 (28,9) | 29 (19,2) | p = 0,16 |
Заболевания органов дыхания | 13 (28,9) | 56 (37,1) | p = 0,31 |
Частые простудные заболевания | 24 (53,3) | 66 (43,7) | p = 0,26 |
Отягощенный аллергологический анамнез | 15 (33,3) | 62 (41,1) | p = 0,35 |
При оценке акушерского статуса значимых различий между долями пациенток с двумя и более родами в анамнезе, абортами, выкидышами в группах не выявлено. По данным гинекологического анамнеза, у больных с рецидивирующим течением эндометриоза яичников статистически достоверно чаще выявляли первичное бесплодие и операции на придатках матки по поводу патологии, не связанной с эндометриозом.
В обеих группах были достаточно высокие доли пациенток с отягощенным наследственным анамнезом по эндометриозу, избыточной массой тела, перенесенными инфекциями (передающимися половым путем), заболеваниями щитовидной железы или органов дыхания, частыми простудными заболеваниями и аллергическими реакциями.
При анализе протоколов первичного оперативного вмешательства выявлено, что у пациенток с последующим рецидивом эндометриоидной кисты статистически достоверно чаще, чем в группе сравнения при первой операции обнаруживали:
- эндометриоз яичников III стадии (48,9 %) с характерным наличием двусторонних эндометриом;
- при кистозном поражении одного яичника гетеротопии на втором яичнике;
- очаги эндометриоза на париетальной брюшине малого таза;
- выраженный спаечный процесс в области придатков матки с частичным вовлечением кишечника (р = 0,023).
У пациенток с безрецидивным течением заболевания чаще (в 64,9 % случаев) выявляли эндометриоз яичников II стадии — эндометриоидную кисту одного яичника, мелкие гетеротопии на брюшине малого таза и незначительный спаечный процесс в области придатков матки без вовлечения кишечника (р = 0,053).
При морфологическом исследовании обнаружено, что достоверно чаще при рецидивирующем течении эндометриоза яичников в операционном материале как первой (34,8 %), так и второй (40,9 %) операции выявляли железисто-кистозный вариант эндометриоза с характерным наличием, наряду с макроскопически видимой эндометриомой, очагов эндометриоза эпителиально-стромального строения в ткани яичника за пределами кисты.
Стенка эндометриоидной кисты состояла из нескольких слоев — непосредственно капсулы из волокнистой соединительной ткани снаружи и вариабельного количества эндометриальной цитогенной стромы изнутри. Цитогенная строма стенки кисты характеризовалась разнообразием морфологических особенностей в виде пролиферативных изменений, децидуальной трансформации, отека, фиброза, ангиоматоза, гемосидероза и скопления гемосидерофагов, а также лимфо-макрофагальной инфильтрацией. Внутренняя эпителиальная выстилка стенки кисты в большинстве наблюдений сохранялась только на отдельных участках и была выражена очагами уплощенного эндометриального эпителия с признаками атрофии и дистрофии, реже с признаками функциональной активности в виде очаговой пролиферации. Достоверно чаще при рецидивирующем течении эндометриоза яичников в обеих подгруппах при гистологическом исследовании операционного материала первой и второй операций диагностировали активный морфологический тип эндометриоза с характерным наличием пролиферативных изменений в сохранившейся эпителиальной выстилке кисты и цитогенной строме. Для случаев с безрецидивным течением заболевания более характерным был неактивный морфологический тип эндометриоза. В таких наблюдениях цитогенная строма обладала признаками выраженного фиброза, а эпителиальная выстилка на большем протяжении отсутствовала или была с явлениями атрофии и дистрофии (табл. 2). При железисто-кистозном варианте эндометриоза яичников в гетеротопиях обнаруживали признаки функциональной активности в виде пролиферативных или секреторных изменений эпителия желез и клеток цитогенной стромы.
Таблица 2. Морфологические особенности эндометриоза у пациенток / Table 2. Morphological features of endometriosis in patients
Показатель | Основная группа, (n = 45) | Группа сравнения, (n = 151), n (%) | |
первая подгруппа (n = 23), n (%) | вторая подгруппа (n = 22), n (%) | ||
Железисто-кистозный вариант эндометриоза | 8 (34,8)* | 9 (40,9)* | 22 (14,6) |
Кистозный вариант эндометриоза | 15 (65,2) | 13 (59,1) | 129 (85,4)* |
Морфологически активный тип эндометриоза | 15 (65,2) | 14 (63,6) | 80 (53) |
Морфологически неактивный тип эндометриоза | 8 (34,8) | 8 (36,4) | 71 (47) |
Пролиферативные изменения цитогенной стромы | 15 (65,2)* | 13 (59,1)* | 53 (35,1) |
Пролиферативный тип эпителиальной выстилки | 15 (65,2)* | 13 (59,1) | 61 (40,4) |
Атрофический тип эпителиальной выстилки | 3 (13) | 3 (13,6) | 53 (35,1)* |
Примечание. * статистически значимое различие показателей (р < 0,05) в основной группе (первой и второй подгруппах) и группе сравнения.
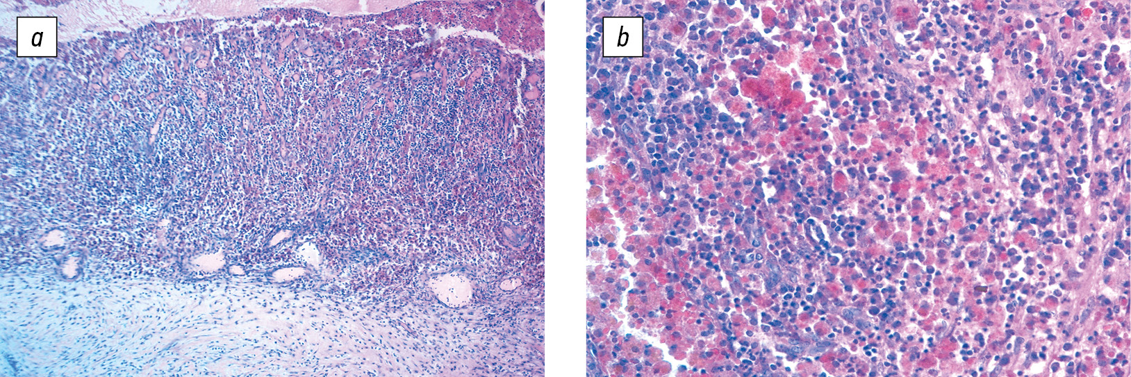
При гистологическом исследовании операционного материала пациенток всех групп обращала на себя внимание выраженная лимфо-макрофагальная инфильтрация цитогенной стромы и капсулы эндометриоидной кисты. Наиболее активная миграция свободных клеток стромы отмечена в местах отложения гемосидерина (рис. 1). В составе лимфо-макрофагальных инфильтратов цитогенной стромы и капсулы эндометриомы иммуногистохимическое исследование показало гистиоциты — тканевые макрофаги (CD68), цитотоксические Т-лимфоциты (CD8), В-лимфоциты (CD20) и Т-хелперы (CD4). Преобладающими популяциями свободных клеток стромы, обнаруженных в воспалительной инфильтрации как цитогенной стромы, так и капсулы эндометриоидной кисты стали популяции Т-киллеров (CD8) и тканевых макрофагов (CD68). Они экспрессировались во всех группах пациенток, но статистически достоверно в большем количестве выявлены при рецидивирующих эндометриоидных кистах в обеих подгруппах по сравнению с показателями при безрецидивном течении заболевания (табл. 3, рис. 2).
Рис. 1. Гистологическое исследование операционного материала пациенток: а — лимфо-макрофагальная инфильтрация капсулы и цитогенной стромы эндометриоидной кисты, окраска гематоксилином и эозином, увеличение ×100; б — лимфо-макрофагальная инфильтрация в фокусах отложения гемосидерина, окраска гематоксилином и эозином, увеличение ×200 / Fig. 1. Histological examination of the surgical material of patients: a, сapsule lympho-macrophage infiltration and endometrioid cyst cytogenic stroma. Hematoxylin-eosin stain, zoom ×100; b, lympho-macrophage infiltration in the foci of hemosiderin deposition. Hematoxylin-eosin stain, zoom ×200
Таблица 3. Результаты иммуногистохимического исследования клеточного состава лимфо-макрофагальной инфильтрации при эндометриозе яичников / Table 3. Immunohistochemical examination of the cellular composition of lympho-macrophage infiltration in ovarian endometriosis
Показатель | Основная группа (n = 30) | Группа сравнения (n = 15), Мe [Q1; Q3] | |
первая подгруппа (n = 15), Мe [Q1; Q3] | вторая подгруппа (n = 15), Мe [Q1; Q3] | ||
Т-киллеры (CD8) цитогенной стромы | 76 [51; 100]* | 62 [41; 71]* | 27 [26; 33] |
Т-киллеры (CD8) капсулы кисты | 77 [18; 135]* | 62 [39; 73]* | 8 [3; 28] |
Тканевые макрофаги (CD68) цитогенной стромы | 31 [8; 53]* | 23 [12; 36]* | 8 [6; 9] |
Тканевые макрофаги (CD68) капсулы кисты | 23 [3;42]* | 9 [5; 20]* | 2 [0; 4] |
В-лимфоциты (CD20) в цитогенной строме | 4 [3; 6]* | 6 [3; 14] | 7 [5; 9] |
В-лимфоциты (CD20) в капсуле кисты | 17 [2; 30]* | 5 [4; 8]* | 1 [0; 2] |
Т-хелперы (CD4) в цитогенной строме | 0 [0; 0] | 7 [1; 26]* | 0 [0; 0] |
Т-хелперы (CD4) в капсуле кисты | 0 [0; 0] | 8 [2; 14]* | 0 [0; 0] |
* статистически значимое различие показателей (р < 0,05) в основной группе (первой и второй подгруппах) и группе сравнения.
Рис. 2. Экспрессия Т-киллеров (CD8) при эндометриозе яичников: a — цитогенная строма, рецидив, первая операция; b — капсула кисты, рецидив, первая операция; c — цитогенная строма, рецидив, вторая операция; d — капсула кисты, рецидив, вторая операция; e — цитогенная строма, без рецидива; f — капсула кисты, без рецидива. Иммуногистохимическое исследование, увеличение ×100 / Fig. 2. T killers expression (CD8+) in ovarian endometriosis: a, cytogenic stroma, relapse, the first operation; b, cyst capsule, relapse, the first operation; c, cytogenic stroma, relapse, the second operation; d, cyst capsule, relapse, the second operation; e, cytogenic stroma, without relapse; f, cyst capsule, without relapse. Immunohistochemical examination, zoom ×100
К мигрирующим клеткам стромы относят также зрелые B-лимфоциты (CD20). В цитогенной строме по количеству экспрессируемых CD20-положительных клеток достоверных различий между группами не было. В капсуле кисты при рецидиве эндометриоза в обеих группах исследования количество B-лимфоцитов было достоверно выше, чем в случаях безрецидивного течения.
Экспрессия CD4-положительных клеток (Т-хелперов) обнаружена только в воспалительных инфильтратах цитогенной стромы и капсулы эндометриоидной кисты при рецидиве в материале повторной операции (рис. 3).
Рис. 3. Экспрессия Т-хелперов (CD4) у пациенток с рецидивирующем течением эндометриоза яичников: а — в капсуле эндометриоидной кисты; б — в цитогенной строме. Иммуногистохимическое исследование, увеличение ×100 / Fig. 3. T helpers expression (CD4) in recurrent ovarian endometriosis: a, cyst capsule; b, cytogenic stroma. Immunohistochemical examination, zoom ×100
Т- и В-лимфоциты располагались диффузно на всем протяжении капсулы и цитогенной стромы эндометриоидной кисты, макрофаги — преимущественно очагами, их наибольшее количество обнаружено в местах отложения гемосидерина.
Иммунологическое исследование периферической крови показало, что для пациенток с рецидивом эндометриоидных кист яичников характерно статистически достоверное повышение уровней Т- и В-лимфоцитов по сравнению с показателями при безрецидивном течении эндометриоза яичников. При этом повышение общей популяции Т-лимфоцитов в периферической крови при рецидиве эндометриоидых кист яичников связано с повышением субпопуляции Т-хелперов, количество которых на микролитр выходило за пределы референсных значений. Количество Т-киллеров и B-лимфоцитов во всех группах оставалось в пределах нормы (табл. 4).
Таблица 4. Иммунологический анализ периферической крови пациенток / Table 4. Immunological analysis of peripheral blood in patients
Показатель | Норма | Основная группа (n = 30) | Группа сравнения (n = 15), Мe [Q1; Q3] | Статистическая значимость | |
первая подгруппа (n = 15), Мe [Q1; Q3] | вторая подгруппа (n = 15), Мe [Q1; Q3] | ||||
Все лимфоциты, ×109/л | 2,0–11,0 | p < 0,001 | |||
Т-лимфоциты CD3+, % | 52,0–76,0 | p < 0,001 | |||
Т-лимфоциты CD3+, кл/мкл | 950,0–1800,0 | p < 0,001 | |||
Т-хелперы CD3+CD4+, % | 35,0–55,0 | p = 0,0061 | |||
Т-хелперы CD3+CD4+, кл/мкл | 500,0–1336,0 | p < 0,001 | |||
Т-киллеры CD3+CD8+, % | 19,0–35,0 | p = 0,18 | |||
Т-киллеры CD3+CD8+, кл/мкл | 372,0–974,0 | p < 0,001 | |||
В-лимфоциты CD19+, % | 5,0–19,0 | p = 0,0095 | |||
В-лимфоциты CD19+, кл/мкл | 100,0–480,0 | p < 0,001 | |||
ОБСУЖДЕНИЕ
Рецидив эндометриоидных кист яичников остается одной из нерешенных проблем в лечении эндометриоза. Изучение патогенетических механизмов прогрессирования заболевания, его хронизации и факторов риски рецидива позволит сформировать персонализированный подход к ведению пациенток, снизить необходимость повторного хирургического вмешательства, сохранить овариальный резерв, реализовать репродуктивную функцию и улучшить показатели качества жизни больных.
Рядом исследований установлено, что к факторам риска повторного возникновения эндометриомы относятся дисменорея, отягощенный наследственный анамнез по эндометриозу и/или опухолям репродуктивной системы, хронические инфекционно-воспалительные заболевания гениталий, длительное бесплодие, медицинские аборты и самопроизвольные выкидыши в анамнезе, экстрагенитальная патология, хирургические вмешательства на органах малого таза в анамнезе, III стадия распространения патологического процесса [8, 9]. По результатам настоящего исследования, у пациенток с рецидивирующим течением эндометриоза яичников достоверно чаще выявляли дисменорею, диспареунию, хирургические вмешательства на придатках матки в анамнезе и III стадию распространения патологического процесса. Для этой стадии характерны двусторонние эндометриомы или при кистозном поражении одного яичника гетеротопии на втором яичнике, а также очаги эндометриоза на париетальной брюшине малого таза и выраженный спаечный процесс в области придатков матки с частичным вовлечением кишечника. По результатам сравнительного морфологического исследования операционного материала, при рецидивирующем течении эндометриоза яичников достоверно чаще выявляли железисто-кистозный вариант и морфологически активный тип эндометриоза. Причем эта особенность характерна для материала как первой, так и повторной операции. При морфологически активном типе эндометриоза отмечены пролиферативные изменения эпителиальной выстилки эндометриомы, пролиферация цитогенной стромы и очаги «свежих» кровоизлияний. Хорошо известно, что повышенный пролиферативный потенциал и сниженная тенденция к апоптозу являются свойствами эндометриоидных гетеротопий, обусловливающими их выживаемость в «чужом» микроокружении и прогрессирование заболевания [10].
В настоящее время одним из популярных и перспективных направлений является изучение роли иммунных изменений не только в появлении, но и в прогрессировании эндометриоза. Окончательно не решено, способствуют ли иммунологические нарушения развитию заболевания или, наоборот, его появление провоцирует расстройство иммунных механизмов [11]. В ряде работ показана роль нарушения соотношения уровней про- и противовоспалительных цитокинов, а также факторов роста как в периферической крови, так и в перитонеальной жидкости в развитии наружного генитального эндометриоза. Основное место в патогенезе заболевания отведено натуральным киллерам NK-клеткам, перитонеальным макрофогам и моноцитам. Исследователи предполагают, что изменение фагоцитарной активности иммунокомпетентных клеток приводит к активации имплантации и пролиферации эктопического эндометрия. Установлено, что, несмотря на неспособность распознавать и уничтожать патологические очаги, перитонеальные макрофаги сохраняют функциональную активность при выработке провоспалительных цитокинов, факторов роста и ангиогенных факторов, вследствие чего развивается системная воспалительная реакция [12].
При эндометриозе, как при любом классическом аутоиммунном заболевании, изменяются функции Т- и В-лимфоцитов и возникают признаки тканевого повреждения [13]. По некоторым данным литературы, роль В-клеточного звена в развитии эндометриоза в настоящее время вызывает сомнения, однако некоторые авторы считают, что его активация обусловливает повышение титра антиэндометриальных антител, стимулирующих аутоагрессию против тканей эндометрия, что лежит в основе развития заболевания. По результатам других исследований, достоверных изменений в содержании В-лимфоцитов у пациенток с эндометриозом по сравнению с соответствующим показателем контрольной группы (женщин без эндометриоза) не выявлено. Авторы предполагают, что на фоне Т-клеточной дисфункции нарушается баланс между двумя вариантами иммунного ответа, зависимыми от Т-хелперов 1-го и 2-го типов. Эти нарушения приводят к снижению функциональной активности Т-хелперов 1-го типа, в норме обеспечивающих активацию NK-клеток, макрофагов и цитотоксичеких Т-клеток. Доминирование Т-хелперов 2-го типа способствует выработке провоспалительных факторов, стимулирующих пролиферацию и неоангиогенез [14].
По результатам иммуногистохимического исследования обнаружена активная миграция клеток воспалительного ряда в очаг эндометриоза во всех группах наблюдений — как в цитогенную строму, так и в капсулу эндометриомы. Среди них преобладали CD68, CD8 и CD20. Статистически достоверно в большем количестве CD68- и СD8-положительные клетки экспрессировались в цитогенной строме и капсуле эндометриоидной кисты, а CD20 — только в капсуле при рецидивирующем течении эндометриоза, чем в группе сравнения. Эта тенденция была обнаружена в материале как первой, так и повторной операций. Т-лимфоциты хелперы (CD4) выявлены в цитогенной строме и капсуле эндометриоидной кисты операционного материала только в случаях непосредственно рецидива, причем с повышением субпопуляции Т-хелперов периферической крови, выходящим за пределы нормы.
Таким образом, результаты исследования показали, что эндометриоидная гетеротопия вызывает выраженную ответную воспалительную реакцию пораженного органа или ткани, направленную на элиминацию этой гетеротопии. Причем активация клеточных механизмов иммунитета проявляется главным образом на тканевом, а не системном уровне. Однако, несмотря на активную защитную реакцию пораженного органа, эндометриоидная гетеротопия сохраняет свою жизнеспособность. Повышенное количество макрофагов, Т-киллеров и В-лимфоцитов в очагах эндометриоза при его рецидивирующем течении свидетельствует о значении гиперреактивности и аутоиммунного механизма в хронизации и прогрессировании заболевания. Возможно, неспособность иммунной системы элиминировать эндометриоидную гетеротопию связана с тем, что, являясь чужеродной тканью для пораженного органа и вызывая на себя ответную воспалительную реакцию, она не становится чужеродной для организма в целом, и ее не уничтожают клетки иммунной системы. Можно провести аналогию между очагами эндометриоза и опухолевыми метастазами, также вызывающими на себя активную миграцию свободных клеток стромы без элиминации.
ЗАКЛЮЧЕНИЕ
При эндометриозе возникает выраженная защитная воспалительная реакция пораженного органа и ткани. Она характеризуется активной миграцией свободных клеток стромы, среди которых преобладают Т-лимфоциты (CD4, CD8), тканевые макрофаги (CD68) и В-лимфоциты (CD20). Увеличение количества этих клеток в очагах эндометриоза при его рецидивирующем течении свидетельствует о значении гиперреактивности и аутоиммунного механизма в хронизации и прогрессировании заболевания.
ДОПОЛНИТЕЛЬНАЯ ИНФОРМАЦИЯ
Источник финансирования. Исследование выполнено без использования спонсорских средств и финансового обеспечения.
Конфликт интересов. Авторы декларируют отсутствие явных и потенциальных конфликтов интересов, связанных с публикацией настоящей статьи.
Вклад авторов. Н.Н. Петровская внесла вклад в разработку концепции и дизайна исследования, провела сбор, анализ и статистическую обработку данных, подготовила текст статьи; В.А. Печеникова разработала основную концепцию и дизайн исследования, провела редактирование текста.
Все авторы внесли существенный вклад в проведение исследования и подготовку статьи, пpoчли и одобрили финальную версию перед публикацией.
ADDITIONAL INFORMATION
Funding. The study had no external funding.
Conflict of interest. The authors declare no conflict of interest.
Author contributions. N.N. Petrovskaia contributed to the development of the concept and design of the study, conducted data collection, analysis and statistical processing, prepared the text of the article; V.A. Pechenikova developed the basic concept and design of the study, edited the text.
All authors made a significant contribution to the study and the article preparation, as well as read and approved the final version before its publication.
Об авторах
Николь Николаевна Петровская
Северо-Западный государственный медицинский университет им. И.И. Мечникова
Автор, ответственный за переписку.
Email: dr.ramzaeva@mail.ru
ORCID iD: 0000-0001-6849-5335
SPIN-код: 7769-1969
аспирант кафедры акушерства и гинекологии, врач акушер-гинеколог отделения гинекологии
Россия, 195015, Санкт-Петербург, ул. Кирочная, д. 41Виктория Анатольевна Печеникова
Северо-Западный государственный медицинский университет им. И.И. Мечникова
Email: p-vikka@mail.ru
ORCID iD: 0000-0001-5322-708X
SPIN-код: 9603-5645
Scopus Author ID: 408079
д-р мед. наук, доцент
Россия, Санкт-ПетербургСписок литературы
- Seo J.W., Lee D.Y., Yoon B.K., Choi D. The age-related recurrence of endometrioma after conservative surgery // Eur. J. Obstet. Gynecol. Reprod. Biol. 2017. Vol. 208. P. 81−85. doi: 10.1016/j.ejogrb.2016.11.015
- Fassbender A., Overbergh L., Verdrengh E., et al. How can macroscopically normal peritoneum contribute to the pathogenesis of endometriosis? // Fertil. Steril. 2011. Vol. 96. No. 3. P. 697−699. doi: 10.1016/j.fertnstert.2011.06.034
- Ouchi N., Akira S., Mine K., et al. Recurrence of ovarian endometrioma after laparoscopic excision: Risk factors and prevention // J. Obstet. Gynaecol. Res. 2014. Vol. 40. No. 1. P. 230−236. doi: 10.1111/jog.12164
- Nirgianakis K., Ma L., McKinnon B., Mueller M.D. Recurrence patterns after surgery in patients with different endometriosis subtypes: a long-term hospital-based cohort study // J. Clin. Med. 2020. Vol. 9. No. 2. P. 496. doi: 10.3390/jcm9020496
- Guo S.W. Recurrence of endometriosis and its control // Hum. Reprod. Update. 2009. Vol. 15. No. 4. P. 441−461. doi: 10.1093/humupd/dmp007
- Качалина Т.С., Богатова М.Е., Кузнецов С.С., Лазукин В.Ф. Факторы риска рецидива эндометриоидных кист яичников после хирургического лечения: ретроспективное когортное исследование // Сеченовский вестник. 2020. Т. 11. № 4. С. 60–71. doi: 10.47093/2218-7332.2020.11.4.60-71
- Berker B., Seval M. Problems with the diagnosis of endometriosis // Womens Health (Lond). 2015. Vol. 11. No 5. P. 597−601. doi: 10.2217/whe.15.44
- Tobiume T., Kotani Y., Takaya H., et al. Determinant factors of postoperative recurrence of endometriosis: difference between endometrioma and pain // Eur. J. Obstet. Gynecol. Reprod. Biol. 2016. Vol. 205. P. 54−59. doi: 10.1016/j.ejogrb.2016.07.516
- Guzel A.I., Topcu H.O., Ekilinc S., et al. Recurrence factors in women underwent laparoscopic surgery for endometrioma // Minerva Chir. 2014. Vol. 69. No. 5. P. 277−282.
- Печеникова В.А. Клиника, морфофункциональная характеристика аденомиоза и его опухолевой трансформации: дис. ... д-ра мед. наук. Санкт-Петербург, 2005. [дата обращения: 14.02.2022]. Доступ по ссылке: https://www.dissercat.com/content/endometrioidnaya-bolezn-voprosy-patogeneza-kliniki-diagnostiki-i-lecheniya
- Сердюков С.В., Бочкарева Д.С., Огородник А.С. Иммунологические аспекты возникновения и прогрессирования эндометриоза // Вестник ВолГМУ. 2019. Т. 72. № 4. С. 15−20. doi: 10.19163/1994-9480-2019-4(72)-15-20
- Herington J.L., Bruner-Tran K.L., Lucas J.A., Osteen K.G. Immune interactions in endometriosis // Expert. Rev. Clin. Immunol. 2011. Vol. 7. No. 5. P. 611−626. doi: 10.1586/eci.11.53
- Абдуллаева Л.Х., Анциферова Ю.С., Малышкина А.И., Красильникова А.К. Особенности фенотипа B-лимфоцитов крови и перитонеальной жидкости при эндометриозе // Медицинская иммунология. 2015. Т. 17. № S. С. 256.
- Ярмолинская М.И., Айламазян Э.К. Генитальный эндометриоз. Различные грани проблемы. Санкт-Петербург: Эко-Вектор, 2017.
Дополнительные файлы






