Substantiated approaches to the diagnosis and treatment of tamoxifen-induced endometrial conditions in patients with breast cancer
- Authors: Protasova A.E.1, Solntseva I.A.2, Tsypurdeyeva A.A.1, Semiglazova T.Y.3, Stenina M.B.4, Yureneva S.V.5, Yakushevskaya O.V.5
- 
							Affiliations: 
							- Saint Petersburg State University
- North-Western State Medical University named after I.I. Mechnikov
- N.N. Petrov National Medical Research Center of Oncology
- N.N. Blokhin National Medical Research Center of Oncology
- National Medical Research Center of Obstetrics, Gynecology, and Perinatology named after Academician V.I. Kulakov
 
- Issue: Vol 67, No 6 (2018)
- Pages: 69-78
- Section: Articles
- Submitted: 15.12.2018
- Published: 15.12.2018
- URL: https://journals.eco-vector.com/jowd/article/view/10972
- DOI: https://doi.org/10.17816/JOWD67669-78
- ID: 10972
Cite item
Full Text
Abstract
Currently, tamoxifen is the gold standard in the treatment of hormone receptor-positive breast cancer, which reduces recurrent tumor risk by more than 40%. Tamoxifen, which belongs to selective estrogen receptor modulators, can cause endometrial changes in women of different age groups and increase the risk of hyperplasia and endometrial cancer by several times. In clinical practice, the occurrence of various endometrial alterations during tamoxifen treatment often leads to groundless drug withdrawal. Oncology, gynecology and radiology community knowledge related to optimal methods and criteria for diagnosing different tamoxifen-induced endometrial conditions, as well as in choosing the optimal treatment tactics, will be instrumental in the unified and correct approach to managing patients with hormone receptor-positive breast cancer and maintaining tamoxifen therapy due to its high effectiveness.
Full Text
Рак молочной железы (РМЖ) относится к наиболее часто встречающимся злокачественным опухолям в мире и входит в первую пятерку причин смертности онкологических больных. В России в структуре онкологической заболеваемости женского населения РМЖ прочно удерживает первое место, составляя, по статистическим данным на 2018 г., 21,1 % [1, 2].
Более 80 % РМЖ представляют гормонозависимые формы заболевания, в комбинированную программу лечения которых включена гормональная терапия. Тамоксифен и ингибиторы ароматазы являются наиболее широко используемыми препаратами.
Тамоксифен относится к пероральным селективным модуляторам эстрогеновых рецепторов и с адъювантной целью может назначаться на длительный период (5–10 лет). Показано, что при приеме тамоксифена в течение пяти лет снижается риск развития рецидива на 41 % и риск смерти на 34 %, однако более половины рецидивов и смертей от РМЖ происходят после завершения пятилетнего срока приема препарата. В исследованиях ATLAS и aTTom продемонстрировано преимущество продленной до 10 лет адъювантной гормонотерапии при метастастатическом поражении регионарных лимфатических узлов [3–5].
Наряду с несомненной пользой адъювантной терапии тамоксифеном его длительное применение может вызывать побочные эффекты. Различные альтерации эндометрия на фоне терапии тамоксифеном, как правило, приводят к необоснованной отмене препарата. Осведомленность онкологов и гинекологов в данных вопросах необходима для правильной диагностики и выбора оптимальной тактики дальнейшего лечения больных.
Известно, что использование тамоксифена ассоциируется с повышенным риском развития гиперплазии, полипов, рака эндометрия (РЭ), а также саркомы матки [6–17]. Риск развития РЭ на фоне приема тамоксифена зависит от возраста, дозы и продолжительности лечения и может различаться в 3–6 раз в различных подгруппах больных. Среди женщин старше 50 лет коэффициент риска развития РЭ на фоне приема тамоксифена составляет 5,33 (95 % ДИ 2,47–13,17), в то время как у пациенток моложе 49 лет — 1,42 (95 % ДИ 0,55–3,81) [31].
В основе механизма развития патологических состояний эндометрия лежит эстрогеноподобное действие тамоксифена, которое может обусловливать избыточную пролиферацию стромального компонента и гиперплазию базального слоя эндометрия и, соответственно, увеличение его толщины. Также возможно увеличение размеров матки за счет роста лейомиоматозных узлов и очагов аденомиоза.
Тамоксифен-индуцированные альтерации эндометрия не относятся к истинной гиперплазии эндометрия, и их возникновение не должно быть поводом для прекращения лечения антиэстрогенами, поскольку положительное влияние препарата в лечении пациентов РМЖ значительно превышает риск развития РЭ. К сожалению, до сих пор мы сталкиваемся с ситуациями, когда при утолщении эндометрия более 5 мм в постменопаузе по данным УЗИ пациентки подвергаются раздельному диагностическому выскабливанию полости матки и цервикального канала как «наиболее углубленному методу обследования». В этих условиях крайне важным становится внедрение высокочувствительной и специфичной диагностики состояния эндометрия на фоне лечения тамоксифеном и знание стандартов обследования и лечения больных в случае обнаружения изменений эндометрия.
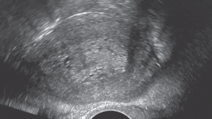
При трансвагинальном УЗИ эстрогеноподобное действие тамоксифена (развитие кистозной атрофии эндометрия) проявляется увеличением толщины эндометрия за счет стромальной пролиферации, возникновением субэндометриальных кист, неровностью границы эндометрий/миометрий, эндометрий приобретает вид «пчелиных сот» (рис. 1) [18, 19].
Рис. 1. Пациентка Н., постменопауза 9 лет. Прием тамоксифена 3 — года 5 месяцев. Толщина эндометрия — 10 мм. Структура эндометрия — гиперэхогенная, с щелевидными кистозными включениями. Эндометрий — аваскулярный. Визуализируются субэндометриальные кисты. Граница эндометрий/миометрий — нечеткая (кистозная атрофия эндометрия)
Fig. 1. Patient N., 9 years postmenopausal, after 3 years 5 months of Tamoxifen therapy. Endometrial thickness = 10 mm. The structure of the endometrium is hyperechogenic, with slit-like inclusion cysts. Endometrial tissue is avascular. Subendometrial cysts are visualized. The endometrial-myometrial border is blurred (cystic endometrial atrophy)
У половины пациенток, принимающих тамоксифен, толщина эндометрия превышает 8 мм и может увеличиваться в среднем на 0,75 мм в год, достигая после 5 лет приема препарата 12 мм (от 6 до 21 мм). После прекращения гормонотерапии тамоксифеном толщина эндометрия уменьшается в среднем на 1,27 мм в год [20].
Согласно консенсусу ESMO-ESGO-ESTRO у женщин в постменопаузе толщина эндометрия до 11 мм при отсутствии кровянистых выделений из половых путей считается допустимой и не требует дополнительного обследования [21–23]. Риск развития РЭ при толщине эндометрия > 11 мм составляет 7 %, а при толщине < 11 мм — 0,002 % [24].
Помимо толщины эндометрия с помощью УЗИ необходимо оценить и отразить в протоколе исследования структуру, васкуляризацию, жесткость и наличие жидкости в полости матки. В случае тамоксифен-индуцированных изменений эндометрий аваскулярный, мягкий в режиме соноэластографии, жидкость в полости матки отсутствует (рис. 2). Из-за развития тамоксифен-индуцированной стромальной гиперплазии эндометрия корреляция между толщиной эндометрия и его патологическими изменениями у бессимптомных пациенток низкая, вследствие чего скрининговое вагинальное УЗИ и/или биопсия эндометрия не рекомендуются [25–27]. Перед началом терапии тамоксифеном целесоообразно выполнение трансвагинального УЗИ органов малого таза, так как пациентки с исходной патологией эндометрия имеют больший риск развития тамоксифен-индуцированного РЭ.
Рис. 2. Пациентка В. Постменопауза 5 лет. Прием тамоксифена — 3 года 8 месяцев. Толщина эндометрия — 10 мм. При ЦДК — эндометрий аваскулярный. При эластографии — второй (мягкий) тип эластичности. Кистозная атрофия эндометрия
Fig. 2. Patient V., 5 years postmenopausal, after 3 years 8 months of Tamoxifen therapy. Endometrial thickness = 10 mm. Endometrial tissue is avascular (colour Doppler imaging) and soft (elastography). Cystic endometrial atrophy
Современные клинические рекомендации ACOG предлагают разделять пациенток постменопаузального возраста на две группы риска (низкого и высокого) по результатам исследования эндометрия до начала терапии тамоксифеном. Однако даже в группе высокого риска у бессимптомных пациенток не рекомендовано проведение рутинного исследования эндометрия в связи с необходимостью инвазивной диагностической процедуры, которая может привести к серьезным осложнениям (болевой синдром, эндометрит, перфорация матки) и неэффективна при ранней диагностике РЭ [28–30].
Если методом УЗИ выявлены увеличение толщины эндометрия > 11 мм, усиление васкуляризации, неоднородность структуры, наличие жидкости в полости матки у бессимптомных больных, необходимо отразить данные признаки в протоколе и согласовать с онкологом дальнейший объем обследования пациентки (рис. 3). На первом этапе в этих случаях показана аспирационная биопсия эндометрия. При цитологических признаках гиперплазии эндометрия без атипии (независимо от возраста больных) показаний для гистероскопии с биопсией и/или с фракционированным кюретажем нет. Целесообразно продолжить терапию тамоксифеном и проводить динамическое УЗИ-наблюдение.
Рис. 3. Пациентка К. Постменопауза 8 лет. Прием тамоксифена — 5 лет. Увеличение толщины эндометрия до 18 мм
Fig. 3. Patient K., 8 years postmenopausal, after 5 years of Tamoxifen therapy. Endometrial thickness is increased to 18 mm
Цитологическая картина гиперплазии эндометрия с признаками клеточной атипии в репродуктивном возрасте достаточна для диагностики и требует терапии согласно рекомендациям гинекологических экспертных организаций. При отсутствии эффекта от консервативной терапии необходимо рассмотреть вопрос о хирургическом лечении в объеме экстирпации матки с маточными трубами. Решение вопроса о сохранении яичников больным РМЖ принимается индивидуально, в зависимости от состояния яичников, возраста, мутации генов BRCA 1, 2, молекулярного подтипа РМЖ, других значимых прогностических факторов. В постменопаузальном периоде в случаях атипической гиперплазии эндометрия предпочтение отдают лапароскопической пангистерэктомии. После хирургического лечения атипической гиперплазии эндометрия необходимо продолжить терапию тамоксифеном с адъювантной или паллиативной целью, а не менять ее на терапию препаратами других гормональных групп [31].
Все женщины, принимающие тамоксифен, должны быть информированы о риске развития патологии эндометрия и необходимости незамедлительно сообщать врачу о любых вагинальных кровотечениях в постменопаузальном периоде. Пациентки в постменопаузе требуют тщательного мониторирования симптомов гиперплазии и РЭ. Пациенткам в пременопаузе, принимающим тамоксифен, в связи с отсутствием повышенного риска развития РЭ нет необходимости в дополнительных обследованиях между рутинными гинекологическими осмотрами [32].
У пациенток с вагинальным кровотечением в постменопаузе частота гиперплазии эндометрия составляет 15 %, а РЭ — 10 %. Исследование по изучению распространенности РЭ у 50 больных РМЖ на фоне тамоксифена (30–75 лет) показало, что среди всех пациенток первично-множественным метахронным РМЖ и РЭ основной жалобой являлось кровотечение из половых путей в постменопаузе.
В пременопаузальном периоде (от менархе до менопаузы) подходы к диагностике и лечению патологии эндометрия стандартные (такие же, как и без приема тамоксифена).
По рекомендациям ACOG 2018 г. современный клинический подход к ведению пациенток с кровотечением в постменопаузе подразумевает на первом этапе выполнение трансвагинального УЗИ, а затем — биопсии эндометрия, независимо от его толщины. Несмотря на то что отрицательная прогностическая значимость показателя толщины эндометрия ≤ 4 мм в отношении РЭ составляет более 99 %, некоторые формы РЭ (папиллярный, серозный, муцинозный, светлоклеточный) могут развиться при толщине эндометрия менее 3 мм, что требует обязательного гистологического исследования [33–37]. В том случае если по результатам биопсии эндометрия не получено данных за наличие гиперплазии или РЭ, при продолжении кровянистых выделений показано дальнейшее обследование — гистероскопия с фракционированным кюретажем.
В ситуациях, когда по результатам УЗИ не удается убедительно визуализировать область эндометрия в виде тонкого линейного эхо или есть технические ограничения визуализации из-за ожирения, сопутствующих лейомиомы, аденомиоза, постхирургических изменений, показано проведение соногистероскопии [38].
При трансвагинальном УЗИ эндометриальная карцинома может иметь вид полипа, гиперплазии эндометрия или неоднородного образования в просвете неравномерно расширенной полости матки (рис. 4). В случае инвазии в миометрий в дополнение к увеличению толщины эндометрия его граница становится нечеткой [39, 40].
Рис. 4. Постменопауза 5 лет. Кровянистые выделения из половых путей. Прием тамоксифена 5 лет. Увеличение толщины эндометрия до 39 мм. Инвазия в миометрий. Морфологически — рак эндометрия
Fig. 4. 5 years postmenopausal, after 5 years of Tamoxifen therapy. Bleeding from the genital tract. Endometrial thickness is increased to 39 mm. Invasion of the myometrium. Endometrial cancer (morphology study)
Предоперационное диагностическое исследование должно включать степень инвазии опухоли в миометрий, оценку распространения на шейку матки, оценку регионарных лимфоузлов, а также признаков инвазии в окружающие ткани [41, 42]. Диагностическая точность трансвагинального УЗИ при определении степени инвазии опухоли в миометрий не превышает 69–73 %, то есть роль его в дооперационном стадировании опухоли эндометрия ограничена [43, 44]. МРТ с контрастным усилением обладает более высокой диагностической точностью при оценке степени инвазии опухоли в миометрий и распространении ее на шейку матки [45–49]. Методом выбора для оценки распространения РЭ на шейку матки является МРТ органов малого таза с динамическим контрастным усилением, чувствительность, специфичность и точность которого приближаются к 100 % [50].
Своевременное обращение и полноценное обследование (гистероскопия, фракционированный кюретаж или биопсия новообразования эндометрия и выскабливание цервикального канала) в 85 % случаев позволяют диагностировать РЭ на I–II стадиях распространенности опухолевого процесса, при которых после радикального хирургического или комбинированного лечения (операция + лучевая терапия) наблюдаются высокие показатели выживаемости. Основной метод лечения больных РЭ — хирургический. После радикальной операции дальнейший прием тамоксифена не увеличивает риск развития рецидива РЭ и не приводит к снижению показателей выживаемости.
Самой частой патологией эндометрия у пациенток в постменопаузе на фоне приема тамоксифена являются полипы, которые встречаются в 8–36 % случаев [51]. Частота РЭ в полипе не превышает 2–3 % [52]. Факторами риска развития РЭ в полипе выступают ожирение, артериальная гипертензия, сахарный диабет и размеры полипа более 15 мм. Типичный (доброкачественный) полип эндометрия выглядит при УЗИ как гиперэхогенное образование с четкими контурами в просвете полости матки, окруженное тонким гиперэхогенным хало. Тамоксифен-индуцированные полипы отличаются более крупными размерами, широким основанием и кистозными включениями в структуре, напоминая «пчелиные соты» (рис. 5). Иногда полип может выглядеть неспецифично, как участок утолщения эндометрия.
Рис. 5. Тамоксифен 5 лет. В полости матки — овальное гиперэхогенное образование с четкими контурами, тонким хало и питающим сосудом в области основания по передней стенке (полип)
Fig. 5. After 5 years of Tamoxifen therapy. In the uterine cavity, an oval shaped hyperechoic lesion with clear contours, a thin halo and a feeding vessel within the base along its front wall (endometrial polyp) is visualized
В диагностике полипов чувствительность УЗИ составляет от 19 до 96 %, специфичность находится в пределах 53–100 %. Применение цветного доплеровского картирования позволяет определить патогномоничный признак полипа эндометрия — питающий сосуд, что повышает чувствительность до 97 %, а специфичность — до 94–95 %. Применение 3D-реконструкции дает незначительное улучшение диагностики полипов эндометрия в сравнении с 2D УЗИ и повышает чувствительность до 100 % и специфичность до 71–99 % [53].
В сомнительных случаях у пациенток с увеличением толщины эндометрия перед решением вопроса о целесообразности гистероскопии и резектоскопии выполняют соногистероскопию для лучшей визуализации полости матки и повышения чувствительности УЗИ-методики (рис. 6) [54, 55].
Рис. 6. Пациентка Д., 67 лет. Прием тамоксифена 2 года 6 месяцев: а — при УЗИ толщина эндометрия 12 мм. Структура эндометрия — в виде пчелиных сот. В режиме ЦДК определяется одиночный сосуд; b — при соногистероскопии выявляется полип эндометрия по задней стенке полости матки, с кистозными включениями в структуре, на широком основании, размером 15 × 12 мм
Fig. 6. Patient D. aged 67 years, after 2 years 6 months of Tamoxifen therapy. Endometrial thickness = 12 mm. Endometrial tissue has a “honeycomb” appearance. A single vessel is visualized (color Doppler mapping) (a). A broad-based endometrial polyp with inclusion cysts, measuring 15 × 12 mm, is visualized along the posterior wall of the uterus (sonohysteroscopy) (b)
При выявлении тамоксифен-индуцированных полипов эндометрия следует придерживаться общих рекомендаций. Согласно рекомендациям общества минимальной инвазивной гинекологии 2012 г. оправдана и общепринята следующая тактика:
1) при полипах небольших размеров и отсутствии симптомов возможно динамическое наблюдение (уровень доказательности А);
2) медикаментозное лечение полипов эндометрия не рекомендовано в связи с неэффективностью, отсутствием лекарственных препаратов и методик (уровень доказательности В);
3) гистероскопическая полипэктомия является стандартом лечения полипов эндометрия (уровень доказательности В);
4) различные методы гистерорезектоскопии равноэффективны в отношении отдаленных результатов (уровень доказательности С);
5) удаление полипа в постменопаузе показано при наличии симптомов (кровянистые выделения из половых путей) с целью гистологической оценки (уровень доказательности В);
6) в любом возрасте расширение объема операции до гистерэктомии не рекомендовано в связи с отсутствием показаний, более высоких прогнозируемых осложнений (непосредственных и отдаленных), большей стоимостью лечения (уровень доказательности С) [56].
После гистероскопического удаления полипа эндометрия при отсутствии признаков злокачественности по данным гистологического исследования следует продолжить терапию тамоксифеном и дальнейшее наблюдение.
Заключение
Риск развития РЭ на фоне длительного приема тамоксифена возрастает лишь в группах женщин в постменопаузе (старше 50 лет). Пациентки, принимающие тамоксифен, должны быть информированы о риске развития патологии эндометрия и необходимости незамедлительно сообщать лечащему врачу о любом вагинальном кровотечении в постменопаузальном периоде.
У бессимптомных женщин со средним риском развития РЭ вагинальное УЗИ и/или биопсия эндометрия не рекомендуются.
Тамоксифен вызывает стромальные изменения эндометрия, что при УЗИ выглядит как его утолщение.
Перед началом применения тамоксифена целесообразно гинекологическое и ультразвуковое обследование пациенток.
Возникновение тамоксифен-индуцированных альтераций эндометрия, в том числе гиперпластических процессов без атипии, не должно быть поводом для прекращения лечения антиэстрогенами, поскольку положительное влияние препарата на течение РМЖ значительно превышает риск развития РЭ.
Любые патологические состояния, подозрительные в отношении РЭ, требуют своевременной диагностики.
Кровянистые выделения из половых путей в постменопаузе требуют на первом этапе выполнения трансвагинального УЗИ и биопсии эндометрия. При отсутствии данных за наличие гиперплазии или РЭ и продолжении кровянистых выделений показана гистероскопия с фракционированным кюретажем.
Рутинное выполнение УЗИ и биопсии эндометрия (диагностическое выскабливание) в отсутствие жалоб не рекомендуются.
Дополнительная информация
Авторы заявляют об отсутствии конфликта интересов.
Информация о вкладе каждого автора
А.Э. Протасова — сбор материала, анализ полученных результатов, написание текста.
И.А. Солнцева — написание текста, подготовка иллюстраций.
А.А. Цыпурдеева — научное консультирование.
Т.Ю. Семиглазова — научное консультирование.
М.Б. Стенина — научное консультирование.
С.В. Юренева — научное консультирование.
О.В. Якушевская — научное консультирование.
About the authors
Anna E. Protasova
Saint Petersburg State University
							Author for correspondence.
							Email: protasova1966@yandex.ru
				                					                																			                								
MD, PhD, DSci (Medicine), Professor. The Department of Oncology, Medical Faculty
Russian Federation, Saint PetersburgIrina A. Solntseva
North-Western State Medical University named after I.I. Mechnikov
														Email: tsypurdeevan@mail.ru
				                					                																			                								
MD, PhD, Associate Professor. The Department of Radiology and Radiotherapy
Russian Federation, Saint PetersburgAnna A. Tsypurdeyeva
Saint Petersburg State University
														Email: tsypurdeevan@mail.ru
				                					                																			                								
MD, PhD, Associate Professor. The Department of Obstetrics, Gynecology, and Reproductive Sciences, Medical Faculty
Russian Federation, Saint PetersburgTatyana Yu. Semiglazova
N.N. Petrov National Medical Research Center of Oncology
														Email: tsypurdeevan@mail.ru
				                					                																			                								
MD, PhD, DSci (Medicine), Leading Researcher, the Head of the Department of Rehabilitation, the Head of the Department of Innovative Methods of Therapeutic Oncology and Rehabilitation
Russian Federation, Saint PetersburgMarina B. Stenina
N.N. Blokhin National Medical Research Center of Oncology
														Email: tsypurdeevan@mail.ru
				                					                																			                								
MD, PhD, DSci (Medicine), Leading Researcher. The Department of Clinical Pharmacology and Chemotherapy
Russian Federation, Saint PetersburgSvetlana V. Yureneva
National Medical Research Center of Obstetrics, Gynecology, and Perinatology named after Academician V.I. Kulakov
														Email: tsypurdeevan@mail.ru
				                					                																			                								
MD, PhD, DSci (Medicine), Professor, Leading Researcher. The Department of Gynecological Endocrinology
Russian Federation, Saint PetersburgOksana V. Yakushevskaya
National Medical Research Center of Obstetrics, Gynecology, and Perinatology named after Academician V.I. Kulakov
														Email: tsypurdeevan@mail.ru
				                					                																			                								
MD, PhD, Researcher. The Department of Gynecological Endocrinology
Russian Federation, Saint PetersburgReferences
- Злокачественные новообразования в России в 2017 году (заболеваемость и смертность) / Под ред. А.Д. Каприна, В.В. Старинского, Г.В. Петровой. - М., 2018. [Zlokachestvennye novoobrazovaniya v Rossii v 2017 godu (zabolevaemost’ i smertnost’). Ed by A.D. Kaprin, V.V. Starinskiy, G.V. Petrova. Moscow; 2018. (In Russ.)]
- Cancer.org [Internet]. Cancer Facts and Figures 2018: American Cancer Society [cited 27.04.18]. Available from: https://www.cancer.org/research/cancer-facts-statistics/all-cancer-facts-figures/cancer-facts-figures-2018.html.
- Davies C, Pan H, Godwin J, et al. Long-term effects of continuing adjuvant tamoxifen to 10 years versus stopping at 5 years after diagnosis of oestrogen receptor-positive breast cancer: ATLAS, a randomised trial. Lancet. 2013;381(9869):805-816. doi: 10.1016/s0140-6736(12)61963-1.
- Committee Opinion No. 601: Tamoxifen and uterine cancer. Obstet Gynecol. 2014;123(6):1394-1397. doi: 10.1097/01.AOG.0000450757.18294.cf.
- Fisher B, Costantino JP, Redmond CK, et al. Endometrial cancer in tamoxifen-treated breast cancer patients: findings from the National Surgical Adjuvant Breast and Bowel Project (NSABP) B-14. J Natl Cancer Inst. 1994;86(7):527-537. doi: 10.1093/jnci/86.7.527.
- Cancer.org [Internet]. What are the Risk Factors for Endometrial Cancer? American Cancer Society: Detailed Guide: Endometrial Cancer Atlanta, Ga: American Cancer Society, 2005 [cited 06.04.2018]. Available from: https://www.cancer.org/research/cancer-facts-statistics/all-cancer-facts-figures/cancer-facts-figures-2018.html.
- Colombo N, Preti E, Landoni F, et al. Endometrial cancer: ESMO Clinical Practice Guidelines for diagnosis, treatment and follow-up. Ann Oncol. 2013;24 Suppl 6:vi33-38. doi: 10.1093/annonc/mdt353.
- Silverberg SG, Kurman RJ, Nogales FF Jr, et al. Tumours of the uterine corpus: Epithelial tumours and related lesions. In: WHO Classification of Tumours of Female Reproductive Organs. Ed by R.J. Kurman, M.L. Carcangiu, C.S. Herrington, R.H. Young. 4th ed. Geneva: WHO Press; 2014. P. 222-257.
- Sismondi P, Biglia N, Volpi E, et al. Tamoxifen and endometrial cancer. Ann N Y Acad Sci. 1994;734:310-321.
- Bissett D, Davis JA, George WD. Gynaecological monitoring during tamoxifen therapy. Lancet. 1994;344(8932):1244. doi: 10.1016/S0140-6736(94)90747-1.
- Senkus E, Kyriakides S, Ohno S, et al. Primary breast cancer: ESMO Clinical Practice Guidelines for diagnosis, treatment and follow-up. Ann Oncol. 2015;26 Suppl 5:v8-30. doi: 10.1093/annonc/mdv298.
- Munro MG, Southern California Permanente Medical Group's Abnormal Uterine Bleeding Working G. Investigation of women with postmenopausal uterine bleeding: clinical practice recommendations. Perm J. 2014;18(1):55-70. doi: 10.7812/TPP/13-072.
- Fornander T, Rutqvist LE, Cedermark B, et al. Adjuvant tamoxifen in early breast cancer: occurrence of new primary cancers. Lancet. 1989;1(8630):117-120. doi: 10.1016/S0140-6736(89)91141-0.
- Fisher B, Costantino JP, Wickerham DL, et al. Tamoxifen for prevention of breast cancer: report of the National Surgical Adjuvant Breast and Bowel Project P-1 Study. J Natl Cancer Inst. 1998;90(18):1371-1388. doi: 10.1093/jnci/90.18.1371.
- Curtis RE, Boice JD, Jr, Shriner DA, et al. Second cancers after adjuvant tamoxifen therapy for breast cancer. J Natl Cancer Inst. 1996;88(12):832-834. doi: 10.1093/jnci/88.12.832.
- Rutqvist LE, Johansson H, Signomklao T, et al. Adjuvant Tamoxifen Therapy for Early Stage Breast Cancer and Second Primary Malignancies. J Natl Cancer Inst. 1995;87(9):645-651. doi: 10.1093/jnci/87.9.645.
- Barakat RR, Gilewski TA, Almadrones L, et al. Effect of adjuvant tamoxifen on the endometrium in women with breast cancer: a prospective study using office endometrial biopsy. J Clin Oncol. 2000;18(20):3459-3463. doi: 10.1200/JCO.2000.18.20.3459.
- Sadro CT. Imaging the Endometrium: A Pictorial Essay. Can Assoc Radiol J. 2016;67(3):254-262. doi: 10.1016/j.carj.2015.09.012.
- Hann LE, Giess CS, Bach AM, et al. Endometrial thickness in tamoxifen-treated patients: correlation with clinical and pathologic findings. AJR Am J Roentgenol. 1997;168(3):657-661. doi: 10.2214/ajr.168.3.9057510.
- Fishman M, Boda M, Sheiner E, et al. Changes in the sonographic appearance of the uterus after discontinuation of tamoxifen therapy. J Ultrasound Med. 2006;25(4):469-473. doi: 10.7863/jum.2006.25.4.469.
- Wolfman W, Leyland N, Heywood M, et al. Asymptomatic endometrial thickening. J Obstet Gynaecol Can. 2010;32(10):990-999. doi: 10.1016/S1701-2163(16)34690-4.
- Colombo N, Creutzberg C, Amant F, et al. ESMO-ESGO-ESTRO Consensus Conference on Endometrial Cancer: diagnosis, treatment and follow-up. Ann Oncol. 2016;27(1):16-41. doi: 10.1093/annonc/mdv484.
- Society and College of Radiographers and British Medical Ultrasound Society. Guidelines For Professional Ultrasound Practice. London; 2015.
- Goldstein RB, Bree RL, Benson CB, et al. Evaluation of the woman with postmenopausal bleeding: Society of Radiologists in Ultrasound-Sponsored Consensus Conference statement. J Ultrasound Med. 2001;20(10):1025-1036. doi: 10.7863/jum.2001.20.10.1025.
- Bertelli G, Venturini M, Del Mastro L, et al. Tamoxifen and the endometrium: findings of pelvic ultrasound examination and endometrial biopsy in asymptomatic breast cancer patients. Breast Cancer Res Treat. 1998;47(1):41-46. doi: 10.1023/A:100582011.
- Fung MF, Reid A, Faught W, et al. Prospective longitudinal study of ultrasound screening for endometrial abnormalities in women with breast cancer receiving tamoxifen. Gynecol Oncol. 2003;91(1):154-159. doi: 10.1016/S0090-8258(03)00441-4Get
- Love CD, Muir BB, Scrimgeour JB, et al. Investigation of endometrial abnormalities in asymptomatic women treated with tamoxifen and an evaluation of the role of endometrial screening. J Clin Oncol. 1999;17(7):2050-2054. doi: 10.1200/JCO.1999.17.7.2050.
- Berlière M, Radikov G, Galant C, et al. Identification of women at high risk of developing endometrial cancer on tamoxifen. Eur J Cancer. 2000;36:35-36. doi: 10.1016/s0959-8049(00)00217-3.
- Garuti G, Cellani F, Centinaio G, et al. Baseline endometrial assessment before tamoxifen for breast cancer in asymptomatic menopausal women. Gynecol Oncol. 2005;98(1):63-67. doi: 10.1016/j.ygyno.2005.03.036.
- American College of Obstetricians and Gynecologists Committee on Gynecologic Practice. ACOG committee opinion. No. 336: Tamoxifen and uterine cancer. Obstet Gynecol. 2006;107(6):1475-1478.
- Royal College of Obstetricians and Gynaecoloists. Management of endometrial hyperplasia. Green-top Guidline No. 67 RCOG/BSGE Joint Guidline. London; 2016.
- Uptodate.com. Conzen SD. Managing the side effects of tamoxifen [cited 19 Nov 2018]. Available from: https://www.uptodate.com/contents/managing-the-side-effects-of-tamoxifen.
- Timmermans A, Opmeer BC, Khan KS, et al. Endometrial thickness measurement for detecting endometrial cancer in women with postmenopausal bleeding: a systematic review and meta-analysis. Obstet Gynecol. 2010;116(1):160-167. doi: 10.1097/AOG.0b013e3181e3e7e8.
- Karlsson B, Granberg S, Wikland M, et al. Transvaginal ultrasonography of the endometrium in women with postmenopausal bleeding - a Nordic multicenter study. Am J Obstet Gynecol. 1995;172(5):1488-1494. doi: 10.1016/0002-9378(95)90483-2.
- Ferrazzi E, Torri V, Trio D, et al. Sonographic endometrial thickness: a useful test to predict atrophy in patients with postmenopausal bleeding. An Italian multicenter study. Ultrasound Obstet Gynecol. 1996;7(5):315-321. doi: 10.1046/j.1469-0705.1996.07050315.x.
- Gull B, Karlsson B, Milsom I, Granberg S. Can ultrasound replace dilation and curettage? A longitudinal evaluation of postmenopausal bleeding and transvaginal sonographic measurement of the endometrium as predictors of endometrial cancer. Am J Obstet Gynecol. 2003;188(2):401-408. doi: 10.1067/mob.2003.154.
- Wong AS, Lao TT, Cheung CW, et al. Reappraisal of endometrial thickness for the detection of endometrial cancer in postmenopausal bleeding: a retrospective cohort study. BJOG. 2016;123(3):439-446. doi: 10.1111/1471-0528.13342.
- ACOG Committee Opinion No. 734: The Role of Transvaginal Ultrasonography in Evaluating the Endometrium of Women with Postmenopausal Bleeding. Obstet Gynecol. 2018;131(5):e124-e129. doi: 10.1097/AOG.0000000000002631.
- Sahdev A. Imaging the endometrium in postmenopausal bleeding. BMJ. 2007;334(7594):635-636. doi: 10.1136/bmj.39126.628924.BE.
- Goldstein RB, Bree RL, Benson CB, et al. Evaluation of the woman with postmenopausal bleeding: Society of Radiologists in Ultrasound-Sponsored Consensus Conference statement. J Ultrasound Med. 2001;20(10):1025-1036. doi: 10.7863/jum.2001.20.10.1025.
- Arko D, Takac I. High frequency transvaginal ultrasonography in preoperative assessment of myometrial invasion in endometrial cancer. J Ultrasound Med. 2000;19(9):639-643. doi: 10.7863/jum.2000.19.9.639.
- Savelli L, Ceccarini M, Ludovisi M, et al. Preoperative local staging of endometrial cancer: transvaginal sonography vs. magnetic resonance imaging. Ultrasound Obstet Gynecol. 2008;31(5):560-566. doi: 10.1002/uog.5295.
- Kanat-Pektas M, Gungor T, Mollamahmutoglu L. The evaluation of endometrial tumors by transvaginal and Doppler ultrasonography. Arch Gynecol Obstet. 2008;277(6):495-499. doi: 10.1007/s00404-007-0517-z.
- Acsearch.acr.org [Internet]. Pretreatment Evaluation and Follow-Up of Endometrial Cancer. American College of Radiology ACR Appropriateness Criteria® [cited 2018 Nov 11]. Available from: https://acsearch.acr.org/docs/69459/Narrative/.
- Kim SH, Kim HD, Song YS, et al. Detection of deep myometrial invasion in endometrial carcinoma: comparison of transvaginal ultrasound, CT, and MRI. J Comput Assist Tomogr. 1995;19(5):766-772.
- Yamashita Y, Mizutani H, Torashima M, et al. Assessment of myometrial invasion by endometrial carcinoma: transvaginal sonography vs contrast-enhanced MR imaging. AJR Am J Roentgenol. 1993;161(3):595-599. doi: 10.2214/ajr.161.3.8352114.
- DelMaschio A, Vanzulli A, Sironi S, et al. Estimating the depth of myometrial involvement by endometrial carcinoma: efficacy of transvaginal sonography vs MR imaging. AJR Am J Roentgenol. 1993;160(3):533-538. doi: 10.2214/ajr.160.3.8430547.
- Kinkel K, Kaji Y, Yu KK, et al. Radiologic staging in patients with endometrial cancer: a meta-analysis. Radiology. 1999;212(3):711-718. doi: 10.1148/radiology.212.3.r99au29711.
- Sala E, Crawford R, Senior E, et al. Added value of dynamic contrast-enhanced magnetic resonance imaging in predicting advanced stage disease in patients with endometrial carcinoma. Int J Gynecol Cancer. 2009;19(1):141-146. doi: 10.1111/IGC.0b013e3181995fd9.
- Haldorsen IS, Salvesen HB. Staging of endometrial carcinomas with MRI using traditional and novel MRI techniques. Clin Radiol. 2012;67(1):2-12. doi: 10.1016/j.crad.2011.02.018.
- Cohen I. Endometrial pathologies associated with postmenopausal tamoxifen treatment. Gynecol Oncol. 2004;94(2):256-266. doi: 10.1016/j.ygyno.2004.03.048.
- Costa-Paiva L, Godoy CE, Jr., Antunes A, Jr, et al. Risk of malignancy in endometrial polyps in premenopausal and postmenopausal women according to clinicopathologic characteristics. Menopause. 2011;18(12):1278-1282. doi: 10.1097/gme.0b013e31821e23a1.
- La Torre R, De Felice C, De Angelis C, et al. Transvaginal sonographic evaluation of endometrial polyps: a comparison with two dimensional and three dimensional contrast sonography. Clin Exp Obstet Gynecol. 1999;26(3-4):171-173.
- El Sheikh H, Atwa K, Sammour MA. Sonohysterography for evaluation of endometrial abnormalities associated with tamoxifen therapy for breast cancer. Egypt J Radiol Nucl Med. 2013;44(4):953-958. doi: 10.1016/j.ejrnm.2013.07.001.
- Tepper R, Beyth Y, Altaras MM, et al. Value of Sonohysterography in Asymptomatic Postmenopausal Tamoxifen-Treated Patients. Gynecologic Oncology. 1997;64(3):386-391. doi: 10.1006/gyno.1996.4568.
- American Association of Gynecologic L. AAGL practice report: practice guidelines for the diagnosis and management of endometrial polyps. J Minim Invasive Gynecol. 2012;19(1):3-10. doi: 10.1016/j.jmig.2011.09.003.
Supplementary files
 
				
			 
					 
						 
						 
									
 
  
  
  Email this article
			Email this article 








