Peculiarities of high-risk pregnancy management after the IVF procedure: a clinical observation report
- Authors: Shelaeva E.V.1, Musina E.V.1, Yarmolinskaya M.I.1, Prokhorova V.S.1, Misharina E.V.1, Nagorneva S.V.1
-
Affiliations:
- Research Institute of Obstetrics, Gynecology, and Reproductology named after D.O. Ott
- Issue: Vol 67, No 6 (2018)
- Pages: 112-118
- Section: Articles
- Submitted: 15.12.2018
- Published: 15.12.2018
- URL: https://journals.eco-vector.com/jowd/article/view/10977
- DOI: https://doi.org/10.17816/JOWD676112-118
- ID: 10977
Cite item
Full Text
Abstract
This article presents an annotation and discussion of our own clinical observation of a high-risk multiple pregnancy after in vitro fertilization in a patient with tuboperitoneal infertility. We report a case of early prenatal diagnosis of a rare malformation of a single fetus in dichorionic twin pregnancy (pentalogy of Cantrell). The feasibility of cumulative assessment of the risks of assisted reproductive technology complications to determine the tactics of management and intensive observation during pregnancy, as well as the use of invasive intrauterine interventions for multiple pregnancy to reduce perinatal risks is discussed.
Full Text
Введение
В настоящее время около 1,5 % детей в мире рождаются после процедуры экстракорпорального оплодотворения (ЭКО). В будущем доля таких детей, по всей видимости, еще более увеличится в результате новых разработок в области вспомогательных репродуктивных технологий (ВРТ) [1–4]. Использование современных ВРТ, как наиболее эффективных способов преодоления проблем фертильности, все чаще приводит к наступлению беременности, однако невозможно при этом гарантировать ее физиологическое течение и рождение здорового потомства во всех случаях. В ряде исследований получены данные о том, что беременность, наступившая в протоколе ЭКО, сопряжена с повышенным риском многоплодия, перинатальной смертности, преждевременных родов и низкой массы тела при рождении по сравнению с беременностью после самопроизвольного зачатия [2–5]. Своевременная оценка риска и ранняя диагностика осложнений, современные подходы к ведению беременности позволяют получить здоровое потомство в наиболее сложных случаях. В связи с чем представляет особый интерес и заслуживает обсуждения клинический случай ведения беременности высокого риска после ЭКО.
Описание клинического случая
Пациентка А., 35 лет, поступила в отделение гинекологической эндокринологии ФГБНУ «НИИ акушерства, гинекологии и репродуктологии им. Д.О. Отта» на 7-е сутки после забора 17 яйцеклеток и переноса двух эмбрионов в первом коротком протоколе цикла ЭКО. Показанием для ЭКО явился трубно-перитонеальный фактор бесплодия: в анамнезе у пациентки двусторонняя тубэктомия лапароскопическим доступом по поводу левосторонней трубной беременности в июне 2016 г., а затем — правосторонней трубной беременности в октябре 2016 г.
При поступлении пациентка предъявляла жалобы на увеличение объема живота и незначительные тянущие боли внизу живота. Уровень ХГЧ при поступлении составил 62 Ед/л. При ультразвуковом исследовании органов малого таза в день поступления выявлено: размеры матки 42 × 36 × 38 мм, эндометрий — 13,2 мм; правый яичник размером 95 × 63 × 68 мм (V = 213,9 см3) содержит 10 лютеиновых тел диаметром 10–15 мм; левый яичник размером 78 × 57 × 65 мм (V = 150,3 см3) аналогичной структуры; в малом тазу определялась свободная жидкость размером до 60 × 80 × 100 мм, примерным объемом до 400–500 мл. При ультразвуковом исследовании плевральных полостей свободная жидкость не визуализировалась. Была проведена интенсивная терапия синдрома гиперстимуляции яичников средней степени тяжести в соответствии с клиническими рекомендациями (2015) [6], продолжена терапия эстрогенами, биоидентичными натуральным, и гестагенами. На 8-е сутки после переноса эмбрионов был отмечен эпизод кровянистых выделений из половых путей, начата гемостатическая терапия ингибиторами фибринолиза с положительным эффектом. Проводились внутривенные инфузии транексамовой кислоты в дозе 50 мг/мл на физиологическом растворе. При клинико-лабораторном обследовании выявлено повышение уровня печеночных ферментов (АЛТ до 266,6 Ед/л; АСТ до 160,6 Ед/л), остальные показатели функции печени (билирубин, желчные кислоты, гамма-глутомилтранспептидаза, щелочная фосфатаза) были в норме, а также были обнаружены УЗ-признаки стеатоза печени и поджелудочной железы. В связи с выявлением признаков, по-видимому, токсического цитолиза назначены гепатопротекторы и отменена гормональная терапия.
На 19-е сутки после переноса эмбрионов по данным ультразвукового исследования была диагностирована двухплодная маточная беременность: в полости матки определялись два плодных яйца диаметром 6,2 и 6,7 мм. Яичники увеличились и имели вид многокамерных жидкостных образований — размеры левого яичника составили 116 × 78 × 90 мм (V = 423,5 см3), правого — 100 × 55 × 70 мм (V = 200,2 см3). В полости малого таза определялось прежнее количество свободной жидкости, и была продолжена терапия синдрома гиперстимуляции яичников. В динамике по данным ультразвукового исследования при сроке беременности 7 недель выявлен участок отслойки оболочек плодного яйца по передней стенке матки размером 62 × 28 мм.
При контроле биохимического анализа крови в динамике на фоне терапии уровни печеночных ферментов нормализовались, что позволило возобновить терапию гестагенами с учетом симптомов угрозы прерывания беременности.
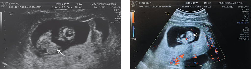
При рутинном ультразвуковом трансвагинальном и трансабдоминальном исследовании ультразвуковым сканером Voluson E6 (GE) при сроке беременности 10 недель в полости матки обнаружены два живых подвижных плода, копчико-теменные размеры плодов соответствовали 10–11 неделям беременности. Ультразвуковая оценка анатомии первого плода выявила супраумбиликальный дефект передней брюшной стенки, дефект диафрагмы и дефект грудной клетки с образованием грыжевого мешка. Также было обнаружено дистопическое положение сердца вне грудной полости первого плода. В составе грыжевого мешка обнаружены следующие органы плода: петли кишечника, сердце и часть печени (рис. 1). Сердцебиение плода было ритмичное, перикард не визуализировался. Оценить внутрисердечные структуры не удалось. Ультразвуковых признаков врожденных пороков развития второго плода выявлено не было. Хорион первого плода располагался по передней стенке матки, а второго плода — по задней. Обнаруженные ультразвуковые признаки соответствуют врожденной аномалии плода — пентаде Кантрелла [8, 9]. Кроме того, по передней стенке матки визуализировались два участка отслойки плодного яйца размером 37 × 9 и 39 × 15 мм в стадии организации. Длина цервикального канала составила 45 мм, внутренний зев закрыт. Размеры яичников по-прежнему были увеличены: правый — 113 × 68 × 76 мм (V = 303,7 см3), левый — 90 × 54 × 67 мм (V = 169,3 см3), в них обнаружены множественные жидкостные полости и желтые тела диаметром до 25 мм.
Рис. 1. Беременность 10 недель 6 дней. Эхограмма плода с множественными врожденными пороками развития. Грыжевой мешок, образовавшийся вследствие дефектов передней брюшной стенки и грудной клетки плода, дистопическое положение сердца плода в составе грыжевого мешка (отмечены стрелками)
Fig. 1. 10 Weeks 6 days of pregnancy. Echogram of the fetus with multiple congenital malformations: the hernia sac formed due to defects of the anterior abdominal wall and chest of the fetus; the dystopian position of the fetal heart as part of the hernia sac (marked with arrows)
При сроке беременности 10–11 недель в клиническом анализе крови выявлен лейкоцитоз до 16,81 ∙ 109/л, при этом количество эозинофилов составило 42,5 %; сегментоядерных лейкоцитов — 28,3 %, палочкоядерных — 17 %, СОЭ — 70 мм/ч. Острофазные белки крови (прокальцитонин — 0,04 нг/мл, С-реактивный белок — 6,0 мг/мл) были в пределах нормы. Иммуноглобулин Е — 38,110 МЕ/мл. Учитывая высокий риск инфекционных осложнений при планируемой инвазивной манипуляции у пациентки с общей воспалительной реакцией, наличием ретрохориальной гематомы и синдромом гиперстимуляции яичников, решено было провести курс антибактериальной терапии. Кроме того, принимая во внимание данные клинического анализа крови, осуществляли поиск дополнительных очагов скрытой инфекции — выполнено обследование беременной на глистную инвазию. Беременная также была осмотрена хирургом, который исключил острую хирургическую патологию. В общей сложности было проведено два курса антибактериальной терапии ампициллином и цефалоспоринами 3-го поколения. Антибактериальную терапию проводили на фоне эубиотиков и гепатопротекторов. После начала второго курса антибактериальной терапии на 2-е сутки в клиническом анализе крови: общее количество лейкоцитов — 11,86 ∙ 109/л, сегментоядерных — 40,3 %, эозинофилов — 3,43, палочкоядерных лейкоцитов — 3–6 %, СОЭ — 40 мм/ч. Показатели биохимического анализа крови оставались в пределах допустимых значений.
Первый ультразвуковой пренатальный скрининг при сроке беременности 11 недель не выявил пороков развития и маркеров хромосомной патологии второго плода. Сердцебиение первого плода с множественными врожденными пороками развития (МВПР) было ритмичное, но у него определялся тотальный отек. Установлен диагноз: «Беременность 11–12 недель, дихориальная двойня, МВПР первого плода (пентада Кантрелла)».
Учитывая неблагоприятный прогноз для жизни и здоровья плода с МВПР и настоятельное желание пациентки, при сроке беременности 12 недель на фоне антибактериальной терапии была произведена редукция первого плода из двойни. Остановка сердечной деятельности плода проведена под ультразвуковым контролем внутрисердечным введением 4 % раствора KCl [10]. Операция прошла без осложнений. Ввиду дополнительного риска антенатальных потерь на фоне угрозы прерывания беременности и низкого риска хромосомной патологии от кариотипирования обоих плодов было решено отказаться.
При проведении второго ультразвукового скринирующего исследования при сроке беременности 20 недель аномалий развития и маркеров хромосомной патологии второго развивающегося плода обнаружено не было.
При сроке беременности 27–28 недель беременности появились ультразвуковые признаки хронической плацентарной недостаточности, обнаружена симметричная форма задержки развития плода и маловодие. Все фетометрические показатели были меньше 10-го процентиля и отставали на 3–4 недели от средних показателей, характерных для данного срока беременности. При доплерометрии определялись нарушения гемодинамики в системе «мать – плацента – плод» I–II степени. Беременная была госпитализирована в дородовое отделение, где получала терапию, направленную на улучшение маточно-плацентарного кровотока, с положительным эффектом, и была выписана в 31–32 недели беременности.
При сроке беременности 32/33 недели в связи с симптомами угрожающих преждевременных родов пациентка получала β2-адреномиметики и блокаторы кальциевых каналов, магнезиальную терапию, а также продолжалась терапия, улучшающая микроциркуляцию.
При сроке беременности 38 недель произошли самопроизвольные роды в тазовом предлежании. Родилась живая доношенная девочка с оценкой по шкале Апгар 8 (0 + 0)/8 баллов с признаками гипотрофии II–III степени, весом 2120 г, ростом 44 см. Послеродовой период протекал без особенностей, пациентка была выписана на 10-е сутки после родов вместе с ребенком. В настоящее время ребенок развивается соответственно возрасту.
Обсуждение
Согласно данным Росстата в Российской Федерации за последние 12 лет отмечается рост числа детей с врожденными аномалиями развития в 1,78 раза (Росстат: Здравоохранение в России – 2017). Этому могут способствовать многочисленные факторы, в том числе неблагоприятная экология, недостаточность микронутриентов на этапе прегравидарной подготовки, в первую очередь фолиевой кислоты, и многие другие. По некоторым литературным данным, увеличение возраста матерей, вступающих в протокол ЭКО, наличие отягощенного гинекологического и соматического анамнезов, персистирующих очагов инфекции, воздействия, связанные со стимуляцией яичников, сбором яйцеклеток, культивированием переносимых эмбрионов, их количество, могут негативно влиять на раннее развитие эмбрионов, а также течение беременности в более поздние сроки [2–5].
При рассмотрении факторов, осложняющих течение беременности после ЭКО у данной пациентки, помимо возраста, высокой вероятности наличия очагов хронической инфекции (двусторонняя трубная беременность в анамнезе), гиперстимуляции яичников средней степени тяжести, признаков развития токсического цитолиза и холестатического синдрома, ведущим, вероятно, является многоплодие.
За последние годы на фоне широкого применения ВРТ число многоплодных беременностей возросло. Так, частота рождений двоен с 1 : 52 выросла до 1 : 30 рождений, а троен и большего многоплодия увеличилась в 2,8 раза с 1 : 2702 до 1 : 965 [4, 5]. При многоплодной беременности риск ВПР плода выше, например, риск развития пороков сердца возрастает в среднем в 3–4 раза [11].
В ряде мультицентровых исследований показано, что использование ВРТ приводит к некоторому увеличению распространенности врожденных дефектов плода. Это, как правило, дефекты нервной трубки, лицевые аномалии, полидактилии, аномалии передней брюшной стенки и ЖКТ [12–14]. Риск развития врожденных пороков сердца увеличивается с 0,68 % в общей популяции при спонтанном наступлении беременности до 1,32 % как при многоплодной, так и одноплодной беременности после ЭКО или ИКСИ [15]. В ряде работ уделяется значительное внимание развитию дефектов бластогенеза при применении ВРТ. Так, риск дефектов бластогенеза существенно увеличивается с 0,25 % в общей популяции при спонтанном наступлении беременности до 0,62 % после ЭКО или ИКСИ, с увеличением значимости для свежего переноса эмбрионов. При этом риск дефектов бластогенеза может быть ниже с использованием размороженных эмбрионов [14, 16]. Дефекты бластогенеза возникают в раннем периоде от оплодотворения до окончания гаструляции, что соответствует первым 4 неделям развития эмбриона до органогенеза. Дефекты бластогенеза влияют на формирование средней линии и мезодермы, затрагивают два или более полей развития и являются тяжелыми. К ним относятся дефекты слияния, латерализации, сегментации, морфогенного движения и асимметрии. Дефекты бластогенеза обычно неизвестной этиологии возникают спорадически и имеют низкий риск рецидива [16, 17]. Категория дефектов бластогенеза включает в себя несколько специфических дефектов, которые наблюдаются при беременности после ВРТ — это дефекты нервной трубки, дефекты брюшной стенки, атрезии пищевода и анальные атрезии. Монозиготные двойни — это другой тип дефекта бластогенеза, также часто встречающийся при беременности после ВРТ. К дефектам бластогенеза относятся пентада Кантрелла, эктопии сердца, аномалии конотрункуса, диафрагмальные грыжи, все формы каудальной дисгенезии и ряд других пороков развития плода [16, 17].
Пентада Кантрелла представляет собой редкий врожденный порок развития сердца, встречающийся с частотой 1–6 случаев на миллион живорожденных, который характеризуется пятью основными аномалиями, включающими эктопию органа. Эта аномалия была впервые описана в 1958 г. Этиология ее неизвестна. В настоящий момент основной причиной ее возникновения считается нарушение развития и дифференцировки сегментов мезодермы между 14-м и 18-м днем эмбрионального развития, что ведет к неполному слиянию первичных эмбриональных тяжей и незаращению брюшной стенки [7, 8].
Пентада Кантрелла протекает с разной степенью тяжести, вызывая угрожающие жизни осложнения. Наиболее тяжелыми аномалиями пентады Кантрелла являются врожденная эктопия сердца и отсутствие перикарда. Эктопия сердца очень часто (до 83 % случаев) сочетается с широким спектром врожденных пороков его развития (дефект межжелудочковой (72 %) и межпредсердной перегородок (35 %), желудочковый дивертикул (32 %), стеноз легочной артерии (31 %), декстракардия (15 %), тетрада Фалло (17 %) и др.). Пентада Кантрелла может быть ассоциирована и с другими пороками развития плода (шейные гигромы, дефекты конечностей, черепно-лицевые аномалии, вертебральные пороки, гетеротаксия, аномалии расположения, развития или агенезия внутренних органов) [7, 8, 18, 19]. Хромосомные патологии встречается редко, среди них — трисомии 13, 18, 21, синдром Шерешевского – Тернера, Х-сцепленные наследственные патологии. Чаще всего плоды с пентадой Кантрелла бывают мужского пола с нормальным кариотипом. Без хирургического вмешательства большинство детей с пентадой Кантрелла умирают в раннем неонатальном периоде. Как правило, требуются поэтапное хирургическое устранение дефектов и множественные реконструктивные операции. Смертность прооперированных пациентов с пентадой Кантрелла, по данным ряда авторов, достигает 62 % [7, 8, 18].
В тактике ведения осложненной беременности после ВРТ при гиперстимуляции яичников средней и тяжелой степеней обсуждаются показания к применению антибактериальной терапии, которая не является обязательной [6]. Однако в данном случае курсы антибактериальной терапии на фоне измененной лейкоцитарной формулы крови оказались эффективными и позволили снизить высокий риск инфекционных осложнений инвазивного вмешательства у беременной.
Специфические факторы риска развития токсического цитолиза и холестатического синдрома при беременности включают в себя многоплодие, гормональные и генетические факторы. Контролируемая гиперстимуляция яичников при ЭКО может вызвать гиперэстрогенные состояния, повышение эстрадиола при сроке беременности 6–8 недель, а экзогенное введение прогестерона может сопровождаться повышением уровня ферментов печени в течение первых трех месяцев беременности [20].
Ряд исследователей связывают ВРТ с осложнениями, включающими низкую массу тела плода при рождении, аномальную плацентацию, плацентарное воспаление, повышенный уровень апоптоза и редкие нарушения импринтинга [21–23]. В экспериментальных работах было продемонстрировано, что ВРТ-процедуры, независимо от существующего фактора бесплодия, индуцируют эпигенетические нарушения (снижение метилирования ДНК, аномалии экспрессии генов) в эмбрионах и экстраэмбриональных тканях, кумулятивно увеличивая риск морфологических аномалий плаценты, нарушений транспортной функции плаценты, нарушений роста плода и риск неблагоприятных перинатальных исходов [21–23].
Таким образом, совокупная оценка риска и своевременная диагностика осложнений в первом триместре беременности после ЭКО имеют большое значение для выбора тактики ее ведения. Ранняя диагностика редких нарушений развития плода, применение интенсивной терапии осложнений и инвазивного внутриматочного вмешательства позволили пролонгировать беременность, провести неосложненные консервативные роды и получить физиологически развивающееся потомство.
About the authors
Elizaveta V. Shelaeva
Research Institute of Obstetrics, Gynecology, and Reproductology named after D.O. Ott
Author for correspondence.
Email: eshelaeva@yandex.ru
MD, PhD, Senior Researcher. The Ultrasound Department
Russian Federation, Saint PetersburgEkaterina V. Musina
Research Institute of Obstetrics, Gynecology, and Reproductology named after D.O. Ott
Email: e.musina@mail.ru
MD, PhD, the Head of the Educational and Methodical Department
Russian Federation, Saint PetersburgMaria I. Yarmolinskaya
Research Institute of Obstetrics, Gynecology, and Reproductology named after D.O. Ott
Email: m.yarmolinskaya@gmail.com
MD, PhD, DSci (Medicine), Professor of the Russian Academy of Sciences, the Head of the Department of Endocrinology of Reproduction, the Head of the Diagnostics and Treatment of Endometriosis Center
Russian Federation, Saint PetersburgVictoria S. Prokhorova
Research Institute of Obstetrics, Gynecology, and Reproductology named after D.O. Ott
Email: viprokhorova@yandex.ru
MD, PhD, the Head of the Ultrasound Department
Russian Federation, Saint PetersburgElena V. Misharina
Research Institute of Obstetrics, Gynecology, and Reproductology named after D.O. Ott
Email: mishellena@gmail.com
MD, PhD, Senior Researcher. The Department of Gynecological Endocrinology
Russian Federation, Saint PetersburgStanislava V. Nagorneva
Research Institute of Obstetrics, Gynecology, and Reproductology named after D.O. Ott
Email: stanislava_n@bk.ru
MD, PhD
Russian Federation, Saint PetersburgReferences
- Корсак В.С. Регистр центров ВРТ России. Отчет за 2010 г. // Проблемы репродукции. - 2013. - T. 19. - № 1. - C. 7-16. [Korsak VS. Registr tsentrov VRT Rossii. Otchet za 2010 g. Problemy reproduktsii. 2013;19(1):7-16. (In Russ.)]
- Мосягина И.В., Барабанова Л.В., Корсак В.С. Здоровье детей, родившихся благодаря вспомогательным репродуктивным технологиям // Проблемы репродукции. - 2013. - T. 19. - № 3. - C. 43-46. [Mosyagina IV, Barabanova LV, Korsak VS. The health of children conceived following art (a review). Problemy reproduktsii. 2013;19(3):43-46. (In Russ.)]
- Sunderam S, Kissin DM, Crawford SB, et al. Assisted Reproductive Technology Surveillance - United States, 2015. MMWR Surveill Summ. 2018;67(3):1-28. doi: 10.15585/mmwr.ss6703a1.
- Luke B. Pregnancy and birth outcomes in couples with infertility with and without assisted reproductive technology: with an emphasis on US population-based studies. Am J Obstet Gynecol. 2017;217(3):270-281. doi: 10.1016/j.ajog.2017.03.012.
- Heisey AS, Bell EM, Herdt-Losavio ML, Druschel C. Surveillance of congenital malformations in infants conceived through assisted reproductive technology or other fertility treatments. Birth Defects Res A Clin Mol Teratol. 2015;103(2):119-126. doi: 10.1002/bdra.23355.
- Министерство здравоохранения Российской Федерации. Диагностика, лечение и профилактика синдрома гиперстимуляции яичников. Клинические рекомендации (протокол лечения). - М., 2015. [Ministerstvo zdravookhraneniya Rossiyskoy Federatsii. Diagnostika, lechenie i profilaktika sindroma giperstimulyatsii yaichnikov. Klinicheskie rekomendatsii (protokol lecheniya). Moscow; 2005. (In Russ.)]
- Zollner U, Dietl J. Perinatal risks after IVF and ICSI. J Perinat Med. 2013;41(1):17-22. doi: 10.1515/jpm-2012-0097.
- Cantrell JR, Haller JA, Ravitch MM. A syndrome of congenital defects involving the abdominal wall, sternum, diaphragm, pericardium, and heart. Surg Gynecol Obstet. 1958;107(5):602-614.
- Jnah AJ, Newberry DM, England A. Pentalogy of Cantrell: Case Report with Review of the Literature. Adv Neonatal Care. 2015;15(4):261-268. doi: 10.1097/ANC.0000000000000209.
- van de Mheen L, Everwijn SM, Knapen MF, et al. Pregnancy outcome after fetal reduction in women with a dichorionic twin pregnancy. Hum Reprod. 2015;30(8):1807-1812. doi: 10.1093/humrep/dev132.
- Herskind AM, Almind Pedersen D, Christensen K. Increased prevalence of congenital heart defects in monozygotic and dizygotic twins. Circulation. 2013;128(11):1182-1188. doi: 10.1161/CIRCULATIONAHA.113.002453.
- Heisey AS, Bell EM, Herdt-Losavio ML, Druschel C. Surveillance of congenital malformations in infants conceived through assisted reproductive technology or other fertility treatments. Birth Defects Res A Clin Mol Teratol. 2015;103(2):119-126. doi: 10.1002/bdra.23355.
- Chen L, Yang T, Zheng Z, et al. Birth prevalence of congenital malformations in singleton pregnancies resulting from in vitro fertilization/intracytoplasmic sperm injection worldwide: a systematic review and meta-analysis. Arch Gynecol Obstet. 2018;297(5):1115-1130. doi: 10.1007/s00404-018-4712-x.
- Ginstrom Ernstad E, Bergh C, Khatibi A, et al. Neonatal and maternal outcome after blastocyst transfer: a population-based registry study. Am J Obstet Gynecol. 2016;214(3):378 e371-378 e310. doi: 10.1016/j.ajog.2015.12.040.
- Giorgione V, Parazzini F, Fesslova V, et al. Congenital heart defects in IVF/ICSI pregnancy: systematic review and meta-analysis. Ultrasound Obstet Gynecol. 2018;51(1):33-42. doi: 10.1002/uog.18932.
- Halliday JL, Ukoumunne OC, Baker HW, et al. Increased risk of blastogenesis birth defects, arising in the first 4 weeks of pregnancy, after assisted reproductive technologies. Hum Reprod. 2010;25(1):59-65. doi: 10.1093/humrep/dep364.
- Opitz JM, Zanni G, Reynolds JF, Jr., Gilbert-Barness E. Defects of blastogenesis. Am J Med Genet. 2002;115(4):269-286. doi: 10.1002/ajmg.10983. doi: 10.1002/ajmg.10983.
- Zhang X, Xing Q, Sun J, et al. Surgical treatment and outcomes of pentalogy of Cantrell in eight patients. J Pediatr Surg. 2014;49(8):1335-1340. doi: 10.1016/j.jpedsurg.2014.06.003.
- Kaul B, Sheikh F, Zamora IJ, et al. 5, 4, 3, 2, 1: embryologic variants of pentalogy of Cantrell. J Surg Res. 2015;199(1):141-148. doi: 10.1016/j.jss.2015.04.017.
- Mutlu MF, Aslan K, Guler I, et al. Two cases of first onset intrahepatic cholestasis of pregnancy associated with moderate ovarian hyperstimulation syndrome after IVF treatment and review of the literature. J Obstet Gynaecol. 2017;37(5):547-549. doi: 10.1080/01443615.2017.1286302.
- Bloise E, Feuer SK, Rinaudo PF. Comparative intrauterine development and placental function of ART concepti: implications for human reproductive medicine and animal breeding. Hum Reprod Update. 2014;20(6):822-839. doi: 10.1093/humupd/dmu032.
- de Waal E, Vrooman LA, Fischer E, et al. The cumulative effect of assisted reproduction procedures on placental development and epigenetic perturbations in a mouse model. Hum Mol Genet. 2015;24(24):6975-6985. doi: 10.1093/hmg/ddv400.
- Raunig JM, Yamauchi Y, Ward MA, Collier AC. Placental inflammation and oxidative stress in the mouse model of assisted reproduction. Placenta. 2011;32(11):852-858. doi: 10.1016/j.placenta.2011.08.003.
Supplementary files



