Sclerotic adenomyosis: a case report
- Authors: Yarmolinskaya M.I.1, Ailamazyan E.K.1, Arutyunyan A.F.2, Dolinskiy A.K.3, Gaidukov S.N.4
- 
							Affiliations: 
							- Research Institute of Obstetrics, Gynecology, and Reproductology named after D.O. Ott
- Sertolovskaya City Hospital
- Clinical Hospital of Russian Railways
- Saint Petersburg State Pediatric Medical University
 
- Issue: Vol 67, No 6 (2018)
- Pages: 119-123
- Section: Articles
- Submitted: 15.12.2018
- Published: 15.12.2018
- URL: https://journals.eco-vector.com/jowd/article/view/10978
- DOI: https://doi.org/10.17816/JOWD676119-123
- ID: 10978
Cite item
Full Text
Abstract
Four hundred and fifty case histories and results of histological studies of patients who underwent surgical treatment with a diagnosis of adenomyosis and uterine fibroids were retrospectively analyzed. Of all the operated patients, the sclerotic type of adenomyosis was detected in three cases according to the histological examination, which was 0.67%. The retrospective analysis allowed us to reveal the clinical, echographic, and histological characteristics of the sclerotic type of adenomyosis in these patients.
Keywords
Full Text
Аденомиоз представляет собой распространенное доброкачественное гинекологическое заболевание, но его диагностика и тактика лечения нередко вызывают у врачей значительные трудности. Истинная частота аденомиоза неизвестна, и его распространенность широко варьирует в связи с отсутствием стандартизованного подхода и критериев диагностики [1–3].
По данным ряда авторов, частота встречаемости этого заболевания составляет от 5,7 до 69,6 %, и в последние годы отмечается неуклонный рост этого показателя [2–4].
Отсутствие патогенетически обоснованного эффективного лечения приводит к тому, что 30–40 % женщин с данной патологией подвергаются радикальному оперативному лечению, что служит причиной необратимого бесплодия, утраты менструальной функции, выраженного гормонального нарушения, вегетососудистых и психоэмоциональных расстройств [2, 3].
На современном этапе развития медицины органосохраняющая терапия при аденомиозе является актуальным и перспективным направлением. Применение эндоскопической техники предполагает расширение показаний к выполнению реконструктивно-пластических операций. В связи с этим понимание проблемы и своевременная диагностика очаговой формы аденомиоза позволят врачам провести органосохраняющую операцию лапароскопическим доступом с целью сохранения органа [2, 5].
На основании результатов гистологического исследования внутренний эндометриоз традиционно разделяют на диффузную, узловую и кистозную формы. В 80 % случаев у больных выявляется диффузная форма аденомиоза, значительно реже диагностируют узловые и кистозные формы. На конгрессе по эндометриозу в Барселоне в 2016 г. было принято решение к описанным формам (диффузная, узловая, кистозная) добавить склеротическую форму [1, 2, 4].
В литературе имеются единичные публикации, касающиеся склеротической формы аденомиоза. Обращает на себя внимание исследование G. Pistofidis et al., которые в 2014 г. описали склеротическую форму аденомиоза у 9 пациенток [5].
G. Pistofidis et al. [5] провели ретроспективный анализ пациенток, которые подверглись оперативному лечению лапароскопическим доступом, за 13-летний период. Выявлено 68 случаев гистологически доказанного аденомиоза. На основании результатов гистологического исследования были выделены четыре формы аденомиоза: диффузный, склеротический, узловой и кистозный.
Данные о частоте различных форм аденомиоза согласно исследованию авторов представлены на рис. 1.
Рис. 1. Частота встречаемости различных форм аденомиоза по G. Pistofidis et al., 2014 [5]
Fig. 1. Incidence of different types of adenomyosis (according to G. Pistofidis et al. [5])
Авторы работы [5] полагают, что объем оперативного лечения лапароскопическим доступом зависит от формы аденомиоза. В частности, при кистозных и узловых формах у 100 % больных производилось удаление очагов поражения лапароскопическим доступом. У 89 % пациенток со склеротической формой лапароскопически выполнялось широкое удаление аномальной ткани (рис. 2). У 81 % больных с диффузной формой осуществлена лапароскопическая гистерэктомия.
Рис. 2. Лапароскопическая картина склеротической формы аденомиоза по G. Pistofidis et al., 2014 [5]
Fig. 2. Sclerotic type of adenomyosis identified during laparascopy (according to G. Pistofidis et al. [5])
По данным G. Pistofidis et al. [5], средний возраст пациенток со склеротической формой аденомиоза составил 40,1 ± 6,3 года. Характерными симптомами являлись: бесплодие, меноррагия, дисменорея. Пациентки со склеротической и узловой формами аденомиоза предъявляли жалобы на дисменорею достоверно чаще, чем больные с диффузной формой (p = 0,039 и p ≤ 0,001) [5].
На основании результатов ультразвукового исследования склеротическая форма аденомиоза характеризовалась наличием образования c эндометриоидными кистозными включениями (в основном по задней стенке матки) без четких контуров и капсулы. По данным доплерографии периферическая сосудистая сеть отсутствовала.
При макроскопической оценке отмечалось неравномерное утолщение миометрия задней стенки в виде узлового образования серого цвета без четкой капсулы.
При проведении гистологического исследования авторами описаны два варианта склеротической формы аденомиоза: при первом варианте очаги аденомиоза располагались между пучками гладкомышечных волокон, а при втором — в ткани узла лейомиомы.
Нами за 2017 и 2018 гг. ретроспективно проанализированы 450 историй болезни и результаты гистологических исследований больных, которые подвергались оперативному лечению в НУЗ «Дорожная клиническая больница ОАО «РЖД» с диагнозом «аденомиоз и миома матки». Из 450 оперированных пациенток склеротическая форма аденомиоза по данным гистологического исследования была установлена в трех случаях, что составило 0,67 % по сравнению с частотой встречаемости 13 %, представленной в исследовании G. Pistofidis et al. [5]. Ретроспективный анализ позволил нам выявить клиническую, эхографическую и морфологическую характеристики склеротической формы аденомиоза у данных пациенток. Средний возраст пациенток со склеротической формой аденомиоза составил 38 ± 1,3 года. У всех трех пациенток наблюдались меноррагия, дисменорея и бесплодие. Первичное бесплодие отмечалось у 1 пациентки, вторичное — у 2 больных.
При эхографическом обследовании склеротическая форма аденомиоза характеризовалась наличием по задней стенке матки образований с неправильными контурами, нечеткими границами. По данным доплерографии отсутствовал как центральный, так и периферический кровоток. При макроскопическом описании отмечалось неравномерное утолщение миометрия в виде образования серого цвета без четкой капсулы.
При проведении гистологического исследования у двух пациенток очаги аденомиоза обнаружены между пучками гладкомышечных волокон, а у одной больной — как между пучками гладкомышечных волокон, так и в узлах лейомиомы.
В качестве иллюстрации приводим клиническое наблюдение одной из пациенток со склеротической формой аденомиоза.
Больная И. А., 39 лет, поступила в гинекологическое отделение НУЗ «Дорожная клиническая больница ОАО «РЖД» в мае 2018 г. для планового оперативного лечения с диагнозом: «Миома матки. Аденомиоз (узловая форма?). Нарушение менструального цикла по типу гиперполименореи. Бесплодие ІІ».
Гинекологический анамнез: Менструации с 12 лет, по 3–5 дней, через 28–30 дней, регулярные, обильные, болезненные. Б-2, Р-1, А-1.
Гинекологические заболевания: миома матки с 2016 г., в течение последнего года отмечает появление болезненных, обильных и продолжительных менструаций. Страдает вторичным бесплодием в течение 2 лет. Для купирования гиперполименореи и дисменореи получала 3 месяца комбинированный контрацептив новинет — без положительного эффекта, отменен в мае 2018 г. При поступлении состояние удовлетворительное. Температура тела — 36,4 °С. Пациентка правильного телосложения, удовлетворительного питания. Кожные покровы обычной окраски и влажности, чистые, тургор тканей соответствует возрасту. АД — 120/80 мм рт. ст., пульс — 74 уд/мин, ритмичный, удовлетворительного наполнения. Язык влажный, не обложен. Живот не вздут, участвует в дыхании полностью, симметричный, при пальпации мягкий, безболезненный во всех отделах. Физиологические отправления в норме.
В зеркалах: шейка матки покрыта неизмененной слизистой. Выделения слизистые, умеренные.
При бимануальном исследовании: наружный зев шейки матки закрыт. Матка увеличена до 9–10 недель беременности, неоднородной консистенции, с неровной поверхностью, подвижная. В дне определяются два субсерозных узла диаметром около 3 см, безболезненные при пальпации. По задней стенке определяется интрамуральный узел диаметром 5–6 см, безболезненный при пальпации. Придатки слева не увеличены, безболезненные при пальпации. Справа в области придатков визуализируется туго-эластичное образование размером 4 × 4 см, безболезненное при пальпации. Своды свободные.
УЗИ органов малого таза от 27.05.2018: матка в anteflexio versio, размеры 98 × 102 × 96 мм. Структура миометрия диффузно неоднородная. В области дна определяются два субсерозных миоматозных узла 28 и 32 мм в диаметре. По задней стенке определяется образование без четких контуров и капсулы размером 53 × 48 мм (узловая форма аденомиоза (?)). Левый яичник: расположение типичное, размеры 32 × 21 мм, содержит фолликулы в диаметре 5–6 мм. Правый яичник: расположение типичное, размеры 39 × 35 мм, содержит жидкостное образование с гиперэхогенным компонентом размером 32 × 30 мм (киста желтого тела).
Основной диагноз: «Миома матки. Аденомиоз (узловая форма?). Гиперполименорея. Киста желтого тела (?) правого яичника. Бесплодие ІІ».
28.05.2018. Лапароскопия. Миомэктомия. Конверсионная лапаротомия по Пфанненштилю. Удаление узла аденомиоза. Энуклеация кисты правого яичника. Под эндотрахеальным наркозом выполнена диагностическая лапароскопия: в брюшной полости выпота нет. Осмотрены органы малого таза: Матка увеличена до 9/10 недель беременности, контуры деформированы, в области дна — 2 субсерозных миоматозных узла, каждый диаметром 3 см. По задней стенке определяется образование диаметром 5 см (узловая форма аденомиоза?). Придатки: слева визуально не изменены, справа — яичник содержит кисту желтого тела (?) диаметром 3 см. Другой патологии со стороны органов брюшной полости не выявлено. Произведено: миоматозные узлы энуклеированы, удалены из брюшной полости. Учитывая данные эхографии органов малого таза, выполнен разрез задней стенки матки: в толще миометрия определяется узловое образование неоднородной консистенции, без капсулы и четких границ. Данных за наличие миоматозного узла не получено. Принято решение выполнить УЗИ органов малого таза интраоперационно, на основании которого в толще задней стенки матки определяется узловое образование диаметром 5 см, без четких контуров и капсулы, узел аденомиоза (?).
Принимая во внимание репродуктивный возраст пациентки, наличие крупного образования в толще миометрия, повышенную кровоточивость тканей, необходимость выполнения органосохраняющей операции, принято решение о выполнении конверсионной лапаротомии. Доступом по Пфанненштилю брюшная полость вскрыта послойно. Узел (аденомиоза?) удален со вскрытием полости матки. Дефект миометрия ушит тремя рядами швов. Выполнена энуклеация кисты правого яичника в пределах здоровых тканей. Препарат: 1) 2 миоматозных узла, 2) ткань миометрия (узел аденомиоза?), 3) капсула кисты правого яичника.
Диагноз после операции: «Миома матки. Аденомиоз, узловая форма. Киста правого яичника».
Послеоперационный период протекал без особенностей. Пациентка выписана из стационара на 7-е сутки.
Результаты гистологического исследования
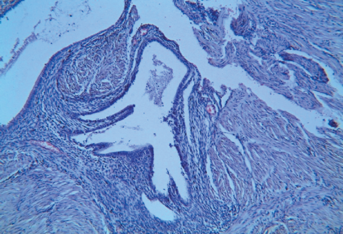
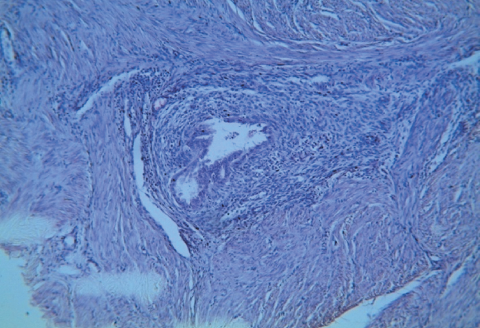
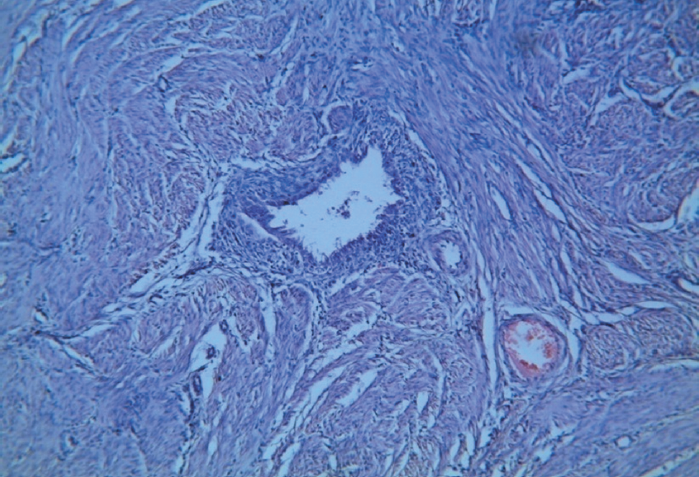
- Лейомиомы с очагами эндометриоза (рис. 4, 5). 2. Очаги эндометриоза между пучками гладкомышечных волокон (рис. 3). 3. Лютеиновая киста яичника.
Рис. 3. Склеротическая форма аденомиоза. Между пучками гладкомышечных волокон участки эндометриоза. Окраска гематоксилином и эозином. Увеличение ×10
Fig. 3. Sclerotic type of adenomyosis. Endometriosis lesions are recognized surrounding smooth muscle fibers with bundled growth pattern. Haematoxylin and eosin stained specimens. ×10 magnification
Рис. 4. Очаг эндометриоза в лейомиоматозной ткани с преобладанием стромального компонента. Окраска гематоксилином и эозином. Увеличение ×10
Fig. 4. Endometriosis foci within leiomyomatous tissue with a predominant stromal pattern. Haematoxylin and eosin stained specimens. ×10 magnification
Рис. 5. Склеротическая форма аденомиоза. Очаг эндометриоза в лейомиоматозной ткани. Окраска гематоксилином и эозином. Увеличение ×10
Fig. 5. Sclerotic type of adenomyosis with endometriosis foci within leiomyomatous tissue. Haematoxylin and eosin stained specimens. ×10 magnification
Таким образом, анализ данных литературы и собственные наблюдения свидетельствуют о том, что склеротическая форма аденомиоза встречается нечасто и представляет сложности для диагностики. При УЗИ и доплерографии у пациенток со склеротической формой аденомиоза отсутствуют капсула и периферическая сосудистая сеть, что нехарактерно для миоматозных узлов. В этой связи использование трансвагинального УЗИ с доплерометрией в сопоставлении с данными клинической картины позволяет предположить наличие склеротической формы аденомиоза. При этом окончательный диагноз является прерогативой гистологического исследования.
About the authors
Maria I. Yarmolinskaya
Research Institute of Obstetrics, Gynecology, and Reproductology named after D.O. Ott
							Author for correspondence.
							Email: m.yarmolinskaya@gmail.com
				                					                																			                								
MD, PhD, DSci (Medicine), Professor of the Russian Academy of Sciences, the Head of the Department of Endocrinology of Reproduction, the Head of the Diagnostics and Treatment of Endometriosis Center
Russian Federation, Saint PetersburgEduard K. Ailamazyan
Research Institute of Obstetrics, Gynecology, and Reproductology named after D.O. Ott
														Email: iagmail@ott.ru
				                					                																			                								
MD, PhD, DSci (Medicine), Professor, Academician of the Russian Academy of Sciences, Honoured Scholar of the Russian Federation, the Scientific Director of the Department of Obstetrics and Perinatology
Russian Federation, Saint PetersburgArutyun F. Arutyunyan
Sertolovskaya City Hospital
														Email: h.harutyunyan76@mail.ru
				                					                																			                								
MD, PhD, the Head of the Gynecological Department
Russian Federation, Sertolovo, Leningrad RegionAndrey K. Dolinskiy
Clinical Hospital of Russian Railways
														Email: dolinskiy.andrey@yandex.ru
				                					                																			                								
MD, PhD, the Head of the Gynecological Department
Russian Federation, Saint PetersburgSergey N. Gaidukov
Saint Petersburg State Pediatric Medical University
														Email: gaiducovsn@yandex.ru
				                					                																			                								
MD, PhD, DSci (Medicine), Professor. The Department of Obstetrics and Gynecology with the Course of Pediatric Gynecology
Russian Federation, Saint PetersburgReferences
- Айламазян Э.К., Ярмолинская М.И., Молотков А.С., Цицкарава Д.З. Классификации эндометриоза // Журнал акушерства и женских болезней. - 2017. - Т. 66. - № 2. - С. 77-92. [Aylamazyan EK, Yarmolinskaya MI, Molotkov AS, Tsitskarava DZ. Classifications of endometriosis. Journal of obstetrics and women’s diseases. 2017;66(3):77-92. (In Russ.)]. doi: 10.17816/JOWD66277-92.
- Ярмолинская М.И., Айламазян Э.К. Генитальный эндометриоз. Различные грани проблемы. - СПб.: Эко-Вектор, 2017. [Yarmolinskaya MI, Aylamazyan EK. Genital’nyy endometrioz. Razlichnye grani problemy. Saint Petersburg: Eko-Vektor; 2017. (In Russ.)]
- Li JJ, Chung JPW, Wang S, et al. The Investigation and Management of Adenomyosis in Women Who Wish to Improve or Preserve Fertility. Biomed Res Int. 2018;2018:6832685. doi: 10.1155/2018/6832685.
- Gordts S, Grimbizis G, Campo R. Symptoms and classification of uterine adenomyosis, including the place of hysteroscopy in diagnosis. Fertil Steril. 2018;109(3):380-388 e381. doi: 10.1016/j.fertnstert.2018.01.006.
- Pistofidis G, Makrakis E, Koukoura O, et al. Distinct types of uterine adenomyosis based on laparoscopic and histopathologic criteria. Clin Exp Obstet Gynecol. 2014;41(2):113-118.
Supplementary files
 
				
			 
					 
						 
						 
									
 
  
  
  Email this article
			Email this article 







