New possibilities of differential diagnosis of uterine fibroids and adenomyosis nodes based on a complex ultrasound assessment
- Authors: Shalina M.A.1, Nagorneva S.V.1,2, Yarmolinskaya M.I.1,3
- 
							Affiliations: 
							- The Research Institute of Obstetrics, Gynecology and Reproductology named after D.O. Ott
- Sestroretskaya Multiprofile Clinic Ltd.
- North-Western State Medical University named after I.I. Mechnikov
 
- Issue: Vol 71, No 5 (2022)
- Pages: 75-84
- Section: Original study articles
- Submitted: 11.09.2022
- Accepted: 12.10.2022
- Published: 18.12.2022
- URL: https://journals.eco-vector.com/jowd/article/view/110878
- DOI: https://doi.org/10.17816/JOWD110878
- ID: 110878
Cite item
Abstract
BACKGROUND: Ultrasound is widely used in routine practice to diagnose various forms of adenomyosis and uterine fibroids. However, due to the lack of unified criteria, hypo- or overdiagnosis of internal endometriosis is possible. Moreover, there are a number of difficulties in the differential diagnosis of nodular adenomyosis and uterine fibroids.
AIM: The aim of this study was to develop a complex technique for the differential diagnosis of uterine fibroids and adenomyosis nodes.
MATERIALS AND METHODS: We applied a complex ultrasound technique with a detailed and consistent application of the following tools — 3D reconstruction, elastography, color Doppler, 3D power Doppler (glass body mode). The study was conducted in 124 patients of reproductive age with subsequent intraoperative and histological confirmation of the diagnosis.
RESULTS: After the proposed ultrasound technique, uterine fibroids were diagnosed in 112 (90.3%) patients, of whom 85 (75.9%) patients had uterine fibroids combined with a diffuse form of internal endometriosis. Nodular adenomyosis was diagnosed in 12 (9.7%) patients. The additional examination and surgical treatment showed that the preliminary diagnosis of uterine fibroids was confirmed in 110 out of 112 women, and in two other cases, nodular adenomyosis was diagnosed. Eleven (91.7%) out of 12 patients were diagnosed correctly with nodular adenomyosis by the complex ultrasound examination, while in one case the preliminary diagnosis proved to be incorrect, with a conglomerate of three myomatous nodes detected as a result of surgical treatment. Thus, based on the technique we developed, the correct diagnosis was made in 121 (97.6%) patients. Misdiagnosis in three cases was associated with a history of a long-term medical treatment of adenomyosis and therefore Doppler and elastography results had lower sensitivity.
CONCLUSIONS: The development of the described complex ultrasound technique allows for accurately diagnosing the form of adenomyosis, identifying early forms of the disease and differentiating adenomyosis nodes from myomatous nodes, which is necessary for the correct diagnosis, the right choice of the management tactics and the necessary treatment.
Full Text
ОБОСНОВАНИЕ
Среди существующих классификаций аденомиоза общепринятая основана на распространенности эндометриоидных гетеротопий и заключается в выделении диффузной, узловой, очаговой, диффузно-узловой и склеротической форм заболевания [1–3]. Из-за развития и широкого внедрения в клиническую практику ультразвуковых методов диагностики и магнитно-резонансной томографии возрастает диагностический интерес к аденомиозу. Методы ультразвуковой диагностики доступны и демонстрируют визуализацию с приемлемым уровнем точности, но из-за отсутствия унифицированной балльной оценки могут приводить к гипердиагностике аденомиоза. Кроме того, частое сочетание внутреннего эндометриоза с миомой матки и наружным генитальным эндометриозом затрудняют точную постановку диагноза.
При ультразвуковом исследовании возможны сложности в интерпретации некоторых форм аденомиоза, а также при дифференциальной диагностике узловой формы аденомиоза и миомы матки. В то же время необходима точная постановка диагноза при указанных заболеваниях, так как подходы к ведению пациенток с этими патологиями различаются.
Частота встречаемости миомы и аденомиоза варьирует в различных возрастных группах, особенную актуальность приобретая у женщин репродуктивного возраста, не реализовавших репродуктивную функцию. Значения частоты бесплодия у пациенток с миомой матки и аденомиозом практически не отличаются и составляют 23,5 и 25,8 % соответственно [4, 5]. Кроме того, патогенетическая общность ряда механизмов возникновения и развития этих двух пролиферативных заболеваний приводит к их частому сочетанию и дополнительным трудностям дифференциальной диагностики.
Следует отметить более низкую чувствительность и большее количество ложноотрицательных результатов при ультразвуковом исследовании узловой формы аденомиоза, чем при визуализации миоматозных узлов. В целом ультразвуковая картина любой формы аденомиоза характеризуется обнаружением мышечной гиперплазии и гипертрофии, приводящей к локальному утолщению в миометрии, напоминающему миоматозный узел, с которым это утолщение и следует дифференцировать. А сочетание этих процессов еще больше затрудняет диагностику, так как на фоне исходного диффузного аденомиоза, визуализировать границы образования гораздо труднее [6].
При ультразвуковом исследовании диагностика миоматозных узлов, как правило, проста. Миоматозные узлы визуализируются в виде четко очерченных концентрических масс, часто неоднородной эхоструктуры различной степени эхогенности, преимущественно гипоэхогенных, в некоторых случаях с отложением солей кальция. Чаще всего ультразвуковое исследование демонстрирует высокую чувствительность и специфичность в диагностике миомы матки, однако встречается и высокая частота гипердиагностики [7, 8].
Стандартное исследование включает в себя двухмерное (2D) и трехмерное (3D) изображения, а также цветовое допплеровское картирование (CD). Согласно признанным ультразвуковым критериям MUSA group такое исследование определяет дифференциальные характеристики миомы матки и узловой формы аденомиоза [9]. Критерии указанных нозологических форм включают различия размеров образования, особенностей кровотока и некоторых других характеристик на фоне признаков наличия или отсутствия аденомиоза (табл. 1). В целом достаточно большое количество характеристик, используемое для дифференциальной диагностики миомы матки и узловой формы аденомиоза, может быть с успехом применено при ультразвуковом исследовании, но требует усовершенствования для минимизации постановки ошибочных диагнозов.
Таблица 1. Критерии ультразвуковой дифференциальной диагностики миомы матки и узловой формы аденомиоза согласно MUSA [9] (авторский перевод)
Table 1. MUSA criterion of ultrasound differential diagnosis of uterine fibroids and nodular adenomyosis [9] (author’s translation)
| Диагностический критерий | Миома матки | Аденомиоз, узловая форма | 
| Размер матки | Обычный или локально увеличенный | Часто увеличен, матка шаровидной формы | 
| Наружный контур матки | Не изменен, может быть дольчатым | Не изменен | 
| Асимметрия стенок | Отсутствует или присутствует за счет четко визуализированного образования в структуре | Передне-задняя асимметрия стенок матки | 
| Общая эхоструктура миометрия | Может быть не изменена | Неоднородная, с ультразвуковыми признаками диффузного аденомиоза | 
| Переходная зона | Не увеличена, не визуализируется, прервана образованием | Увеличена, может быть неравномерной | 
| Границы образования | Четко визуализируются | Четко не определяются | 
| Форма образования | Правильная, чаще округлая | Неправильная, может быть любая | 
| Эхоструктура образования | Неоднородная, может давать краевые и внутренние тени | Неоднородная | 
| Тип эхогенности образования | Гипоэхогенное, реже гипер- или изоэхогенное | Чаще гипоэхогенное | 
| Обод по периферии образования | Гипоэхогенный или гиперэхогенный | Не определяется | 
| Кровоток в образовании | По периферии узла | Диффузный, проходит сквозь узел | 
Для оценки локализации используется общепринятая классификация FIGO [8]. Диагностика узлов миомы типов 0, 1, 2, 5, 6, 7 по классификации FIGO, как правило, не вызывает значительных сложностей, так как представлена вариантами субмукозного или субсерозного их расположения. Такие узлы хорошо визуализируются, иногда нужна дифференциальная диагностика с полипами матки (в типах 0, 1, 2) или образованиями яичника (в типах 5, 6, 7) (рис. 1). Наибольшую сложность в дифференциальной диагностике миомы матки и узловой формы аденомиоза представляют типы миом 3 и 4, так как локализация таких миоматозных узлов в толще миометрия может приводить к увеличению толщины стенки матки, что затрудняет визуализацию очагов аденомиоза, особенно при средних размерах узлов (2–3 см) [10]. Кроме того, частое сочетание миомы матки и аденомиоза дополнительно усложняет постановку диагноза и влечет за собой назначения дополнительных, более дорогостоящих или инвазивных методов диагностики.
Рис. 1. Классификация миомы матки FIGO [8]
Fig. 1. Classification of uterine fibroids according to FIGO [8]
Ультразвуковой осмотр органов малого таза с целью диагностики миоматозных узлов или/и аденомиоза принято начинать с оценки эхогенности тела матки. Если эхогенность средняя, а эхоструктура однородная, то визуализация узлов с четкой концентрической формой не представляет сложности, поскольку в этом случае их псевдокапсула позволяет хорошо дифференцировать узлы на фоне нормальной ткани миометрия. Однако при сочетании миомы матки с аденомиозом эхогенность миометрия может быть другой. Так, неоднородный, со множеством гиперэхогенных включений мышечный слой значительно затрудняет визуализацию псевдокапсулы миомы.
Сложности могут возникать также в случае диагностирования миоматозных узлов неправильной формы и конгломерата миоматозных узлов. Причем чем более выражен аденомиоз, тем сложнее дифференциальная диагностика между миомой матки и узлами аденомиоза. Если нет уверенности, что визуализируется миоматозный узел, можно оценить васкуляризацию этой зоны миометрия с помощью CD. Данный метод существенно повышает правильность постановки диагноза и может служить для дифференциальной диагностики не только миомы матки и аденомиоза, но и лейомиосарком. Для миоматозных сосудов характерно концентрическое расположение с небольшим количеством в центре, а при узле аденомиоза сосуды проходят через очаг хаотично и, как правило, васкуляризация выражена за счет активного пролиферативного процесса [7]. Для более хорошей визуализации границ миомы с окружающим миометрием предложено использовать 3D-реконструкцию [11], которая согласно настоящим наблюдениям несколько улучшает диагностику, однако является достаточно субъективным методом.
Данные литературы о возможностях компрессионной эластографии и собственный опыт позволяют использовать такой метод для усовершенствования дифференциальной диагностики узлов аденомиоза и миомы матки. Этот метод, дополняющий стандартное ультразвуковое исследование, основан на визуализации тканей различной плотности, окрашиваемых разными цветами. Несмотря на известную общность механизмов формирования миоматозных узлов и аденомиоза, отличия в патогенезе этих образований объясняют разницу в их структуре и плотности, а, следовательно, и жесткости, что и легло в основу применения эластографии в данном случае [12, 13]. Более мягкие структуры визуализируются зеленым цветом, более плотные, как правило, миомы, — синим. Для интерпретации результатов в гинекологии принято применять шкалу В.Е. Гажоновой [14] (рис. 2). Однако результаты могут оказаться неточными в случае, если миоматозный узел расположен в толще миометрия на фоне выраженного аденомиоза, поскольку тогда плотность самого измененного миометрия будет сравнима с плотностью миоматозного узла. M.L. Frank и соавт. с помощью эластографии проводили не только диагностику аденомиоза и миомы матки, но и определяли «возрастной индекс», показывающий, что жесткость нормальной ткани матки увеличивается с возрастом [12]. Эта особенность обусловливает ограничения в использовании данного метода как самостоятельного при диагностике на фоне выраженных изменений миометрия, а также в период менопаузального перехода и в постменопаузе. Однако в целом дальнейшее сравнение индексов жесткости тканей для дифференциальной диагностики миомы матки и узлов аденомиоза представляется достаточно перспективным, особенно в комплексе с другими методиками оценки. То есть эластография как дополнение к стандартному ультразвуковому исследованию позволяет расширить диагностический поиск, своевременно поставить диагноз и правильно определить дальнейшую тактику ведения пациенток, однако не может быть использована как самостоятельный метод из-за ряда ограничений.
Рис. 2. Типы эластограмм в гинекологии по В.Е. Гажоновой и соавт. [14]
Fig. 2. Types of elastograms in gynecology according to V.E. Gazhonova et al. [14]
Цель исследования — разработать комплексную методику дифференциальной диагностики миомы матки и узлов аденомиоза.
МАТЕРИАЛЫ И МЕТОДЫ
В 2020 г. авторам данного исследования удалось разработать методику и получить патент на изобретение способа комплексной диагностики аденомиоза [15]. Данный метод является неинвазивным и точным инструментом для диагностики выраженности аденомиоза, исключает субъективность и гипердиагностику [15, 16]. Позже, с учетом положительного опыта по получению диагностического инструмента на базе стандартного ультразвукового исследования, была разработана и предложена к использованию комплексная методика ультразвуковой дифференциальной диагностики узловой формы аденомиоза и миомы матки, позволяющая проводить диагностику как на начальных стадиях заболевания, так и при выраженных и длительно формирующихся изменениях миометрия — заявка на патент № 2021125244/14(053228) от 25.08.2021. Методика воспроизводима и удобна в использовании, так как подходит для рутинной практики при достаточном оснащении ультразвуковых приборов, отличается быстротой, объективностью, точностью и доступной стоимостью исследования. Она включает в себя стандартное ультразвуковое исследование матки с оценкой однородности и эхогенности мышечной стенки матки, визуализацией патологического очага (миомы или узла аденомиоза) и его последовательным анализом при помощи 3D-реконструкции, эластографии, CD и 3D-реконструкции в режиме энергетического допплеровского картирования с использованием методики glass body (3D power Doppler glass body).
В помощь практическому врачу последовательность ультразвукового исследования для дифференциальной диагностики миомы матки и узловой формы аденомиоза приведена в данной статье.
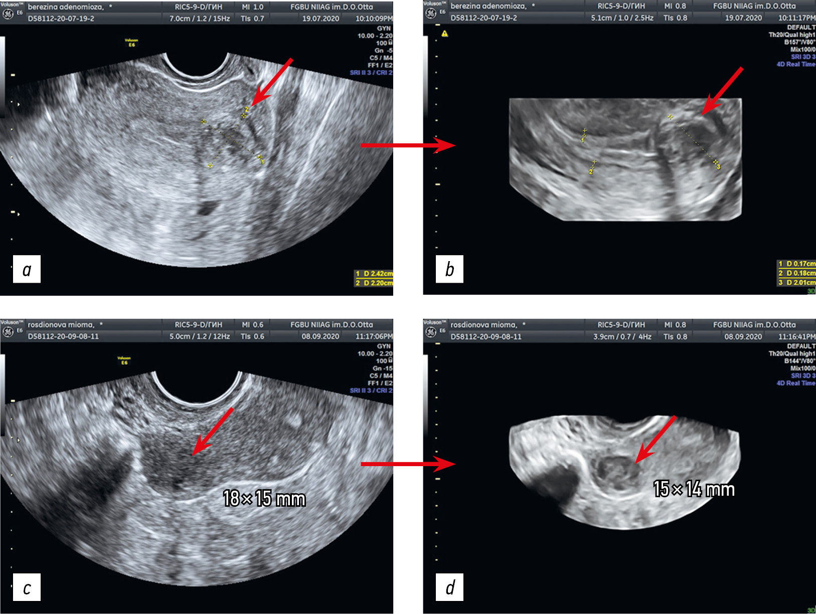
- Ультразвуковое исследование матки в режиме 2D (рис. 3, а, c) Выполнено стандартное ультразвуковое исследование органов малого таза с оценкой наличия аденомиоза по критериям MUSA group. При визуализации узлового образования оценены его эхогенность, размеры, четкость границ, локализация в соответствие с классификацией FIGO. Миоматозные узлы визуализированы в виде округлых гипер- или гипоэхогенных образований в миометрии с относительно четкими границами, в некоторых случаях с акустической тенью. Узлы аденомиоза характеризовались менее четкой визуализацией границ, гипоэхогенной структурой и неправильной формой.
- Ультразвуковое исследование матки в режиме 3D (рис. 3, b, d). После стандартного ультразвукового исследования в двухмерном режиме оценен миометрий в режиме 3D. Миому определяли по наличию четких границ с миометрием, сформированных псевдокапсулой, что позволяло правильно установить ее размеры, которые чаще всего оказывались меньше таковых, измеренных в 2D-режиме (рис. 3, с, d). Размеры и четкость границ узла аденомиоза значимо не изменялись и визуализировались одинаково в режимах 2D и 3D.
- Эластография (рис. 4). Компрессионная эластография выполнена после получения стандартного ультразвукового сагиттального среза матки при помощи приложения «Эластография», отображающего цветное кодирование участков миометрия с различной характеристикой упругости. Для визуальной оценки полученных эластограмм использовали классификацию В.Е. Гажоновой и соавт. [16] (рис. 2), коэффициент упругости (Strain Ratio, SR) вычисляли как результат отношения степени упругости тканей образования (узла, миомы) к соседним тканям миометрия, расположенных на той же глубине, что и образование, то есть одинаково реагирующих на компрессию.
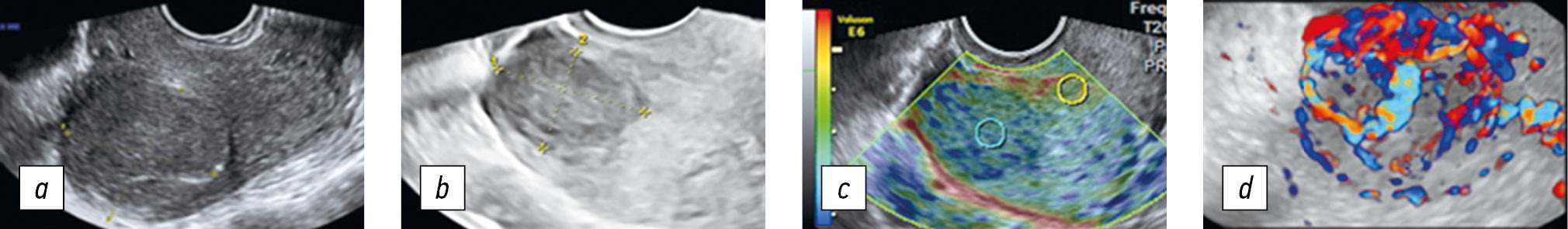
- Оценка васкуляризации миометрия с помощью 3D power Doppler glass body (рис. 5). Для оценки васкуляризации после получения двухмерного изображения матки применена методика 3D power Doppler glass body. Область интереса была расположена таким образом, чтобы туда попадал исследуемый узел и занимал не более половины площади. После этого использована функция glass body, затем — функция 3D. В результате получено объемное изображение матки с сосудами, распределенными вокруг исследуемого очага или проходящими сквозь толщу миометрия. По аналогии со стандартным допплерометрическим исследованием оценен ход сосудов по отношению к обследуемому очагу — для миомы характерно концентрическое расположение сосудов. Если у сосудов нет определенного направления хода, данные расценены как проявление очага аденомиоза. Необходимо отметить, что применение этой методики оценки сосудов становится особенно актуальным при выраженном диффузном аденомиозе, так как на его фоне зачастую снижается васкуляризация, и визуализировать сосуды обычным способом становится крайне сложно.
Рис. 3. Ультразвуковое изображение миоматозного узла в двухмерном (а, с) и трехмерном (b, d) режимах
Fig. 3. Ultrasound image of the uterine fibroid: (а, c) in 2D mode; (b, d) in 3D mode
Рис. 4. Эластограммы при: а — миоме матки (тип 2в); b — узле аденомиоза (тип 2б)
Fig. 4. Elastograms: а, for the uterine fibroids (type 2c); b, for the adenomyosis node (type 2b)
Рис. 5. Оценка васкуляризации образования: а — энергетическое допплеровское кодирование; b — трехмерная реконструкция в режиме энергетического допплеровского кодирования с использованием методики glass body
Fig. 5. Assessment of the formation vascularization: a, power Doppler; b, 3D power Doppler glass body
Для разработки данной комплексной методики дифференциальной диагностики миомы матки и узлов аденомиоза обследованы 124 пациентки репродуктивного возраста. Полученные при выполнении ультразвукового исследования данные подтверждены последующими лапароскопией и/или гистероскопией с пункционной мультифокальной биопсией миометрия в отдельных случаях. У 25,8 % (n = 32) женщин выполнена миомэктомия, у 2,4 % (n = 3) — гистерэктомия. Диагноз «миома матки» или «узловая форма аденомиоза» ставили интраоперационно с последующим гистологическим подтверждением. У 31,5 % (n = 39) пациенток по результатам первичного консультирования не выявлено показаний для оперативного лечения и диагноз подтвержден с применением магнитно-резонансной томографии с контрастированием.
РЕЗУЛЬТАТЫ И ОБСУЖДЕНИЕ
По результатам ультразвукового исследования по предложенному методу, диагноз «миома матки» поставлен 112 (90,3 %) пациенткам, причем у 85 (75,9 %) из них миома матки сочеталась с диффузной формой аденомиоза. Диагноз «узловая форма аденомиоза» поставлен 12 (9,7%) пациенткам. После консультирования, дополнительного расширенного обследования и хирургического лечения пациенток оказалось, что у 110 из 112 женщин диагноз «миома матки» подтвержден, а в двух случаях поставлен неправильно — по результатам оперативного лечения им диагностировали узловую форму аденомиоза.
У 11 (91,7 %) из 12 пациенток диагноз «узловая форма аденомиоза», поставленный на основании комплексного ультразвукового исследования также был подтвержден, а в одном случае оказался ошибочным — по результатам оперативного лечения у пациентки выявлен конгломерат из трех миоматозных узлов. Таким образом, на основании разработанной методики правильный диагноз был поставлен 121 пациентке (97,6 %). В 3 случаях диагноз был ошибочным, при этом данные пациентки попали в группу обследования после длительного лечения аденомиоза и недавней отмены гормональной терапии, в связи с чем их допплерометрические показатели, а также результаты эластографии имели более низкую чувствительность.
В целом чувствительность и специфичность метода составили 90 и 47 % соответственно. Низкий показатель специфичности обусловлен небольшим количеством пациенток с выявленной узловой формой аденомиоза, поскольку данный вид аденомиоза встречается гораздо реже миомы матки. Таким образом, последовательность применения описанных выше методик позволяет провести более быструю и объективную диференциальную диагностику миомы матки и узловой формы аденомиоза (рис. 6, 7).
Рис. 6. Последовательное применение комплексной методики дифференциальной диагностики миомы матки и узла аденомиоза (диагностирована миома матки): а — в двухмерном режиме размер образования 23 × 18 мм; b — в трехмерном режиме размер образования 20 × 16 мм; c — по данным эластографии, коэффициент упругости 2,2; d — трехмерная реконструкция в режиме энергетического допплеровского кодирования с использованием методики glass body
Fig. 6. Consistent application of the complex technique for the differential diagnosis of uterine fibroids and adenomyosis node (uterine fibroid): a, 2D mode, the formation size is 23 × 18 mm; b, 3D mode, the formation size is 20 × 16 mm; c, elastography, strain ratio 2.2; d, 3D power Doppler glass body
Рис. 7. Последовательное применение комплексной методики дифференциальной диагностики миомы матки и узла аденомиоза (диагностирован узел аденомиоза): а — в двухмерном режиме размер образования 20 × 19 мм; b — в трехмерном режиме образование без четких границ, размер образования 21 × 20 мм; c — эластограмма типа 2б; d — трехмерная реконструкция в режиме энергетического допплеровского кодирования с использованием методики glass body
Fig. 7. Consistent application of the complex technique for the differential diagnosis of uterine fibroids and adenomyosis node (adenomyosis node): a, 2D mode, the formation size is 23 × 19 mm; b, 3D mode, a formation without clear boundaries, the formation size is 21 × 20 mm; c, elastogram, type 2b; d, 3D power Doppler glass body
ЗАКЛЮЧЕНИЕ
Несмотря на широкую распространенность и неуклонный рост внутреннего эндометриоза появились новые возможности его своевременной и точной неинвазивной диагностики. Современные комплексные методики позволяют точно диагностировать форму аденомиоза, выявлять его ранние формы, а также правильно ставить диагноз при длительном течении патологического процесса. Данный подход крайне важен для своевременного и правильного выбора необходимого лечения.
ДОПОЛНИТЕЛЬНАЯ ИНФОРМАЦИЯ
Источник финансирования. Исследование выполнено в рамках НИР поисковых научных исследований НИОКТР: АААА-А20-120060990051-3.
Конфликт интересов. Авторы декларируют отсутствие явных и потенциальных конфликтов интересов, связанных с публикацией настоящей статьи.
Вклад авторов. С.В. Нагорнева, М.А. Шалина — концепция и дизайн исследования; М.А. Шалина, С.В. Нагорнева — сбор и обработка материала; С.В. Нагорнева — статистическая обработка данных; М.И. Ярмолинская, М.А. Шалина, С.В. Нагорнева — написание текста; М.И. Ярмолинская — редактирование.
Все авторы внесли существенный вклад в проведение исследования и подготовку статьи, прочли и одобрили финальную версию перед публикацией.
ADDITIONAL INFORMATION
Funding. The study was carried out within framework of the No. АААА-А20-120060990051-3.
Conflict of interest. The author declares the absence of obvious and potential conflicts of interest related to the publication of this article.
Authors contribution. S.V. Nagorneva, M.A. Shalina — coceived and designed of study; M.A. Shalina,S.V. Nagorneva — the collection and processing of the material; S.V. Nagorneva — statistical processing of data; M.I. Yarmolinskaya, M.A. Shalina, S.V. Nagorneva — article writing; M.I. Yarmolinskaya — editing.
The authors made significant contributions to the study and preparation of the article, read, and approved the final version before its publication.
About the authors
Maria A. Shalina
The Research Institute of Obstetrics, Gynecology and Reproductology named after D.O. Ott
														Email: amarus@inbox.ru
				                	ORCID iD: 0000-0002-5921-3217
				                								Scopus Author ID: 57200072308
							ResearcherId: A-7180-2019
				                								
MD, Cand. Sci. (Med.)
Russian Federation, Saint PetersburgStanislava V. Nagorneva
The Research Institute of Obstetrics, Gynecology and Reproductology named after D.O. Ott; Sestroretskaya Multiprofile Clinic Ltd.
														Email: stanislava_n@bk.ru
				                	ORCID iD: 0000-0003-0402-5304
				                	SPIN-code: 5109-7613
														ResearcherId: К-3723-2018
				                								
MD, Cand. Sci. (Med.)
Russian Federation, Saint Petersburg; Saint PetersburgMaria I. Yarmolinskaya
The Research Institute of Obstetrics, Gynecology and Reproductology named after D.O. Ott; North-Western State Medical University named after I.I. Mechnikov
							Author for correspondence.
							Email: m.yarmolinskaya@gmail.com
				                	ORCID iD: 0000-0002-6551-4147
				                	SPIN-code: 3686-3605
							Scopus Author ID: 7801562649
											                								
MD, Dr. Sci. (Med.), Professor, Professor of the Russian Academy of Sciences
Russian Federation, Saint Petersburg; Saint PetersburgReferences
- Yarmolinskaya MI, Aylamazyan EK. Genital’nyy endometrioz. Razlichnye grani problemy. Saint Petersburg: Eco-Vector; 2017. (In Russ.)
- Adamyan LV, Kulakov VI. Endometriozy: Rukovodstvo dlya vrachey. Moscow, 1998. (In Russ.)
- Gordts S, Grimbizis G, Campo R. Symptoms and classification of uterine adenomyosis, including the place of hysteroscopy in diagnosis. Fertil Steril. 2018;109(3):380–388. doi: 10.1016/j.fertnstert.2018.01.006
- Minzdrav RF. Klinicheskie rekomendatsii. Mioma matki. 2020. (In Russ.). [cited 20.09.2022]. Available from: http://disuria.ru/_ld/10/1034_kr20D25D26MZ.pdf
- Yarmolinskaya MI, Shalina MA, Khachaturyan AR, et al. Adenomyosis: from scientific discoveries to the practical aspects of prescribing drug therapy. Akusherstvo i Ginekologiya. 2020;(3):182–190. (In Russ.). doi: 10.18565/aig.2020.3.182-190
- Cunningham RK, Horrow MM, Smith RJ, et al. Adenomyosis: a sonographic diagnosis. Radiographics. 2018;38(5):1576–1589. doi: 10.1148/rg.2018180080
- Fascilla FD, Cramarossa P, Cannone R, et al. Ultrasound diagnosis of uterine myomas. Minerva Ginecol. 2016;68(3):297–312.
- Munro MG, Critchley HO, Broder MS, et al; FIGO Working Group on Menstrual Disorders. FIGO classification system (PALM-COEIN) for causes of abnormal uterine bleeding in nongravid women of reproductive age. Int J Gynaecol Obstet. 2011;113(1):3–13. doi: 10.1016/j.ijgo.2010.11.011
- Van den Bosch T, Dueholm M, Leone FP, et al. Terms, definitions and measurements to describe sonographic features of myometrium and uterine masses: a consensus opinion from the Morphological Uterus Sonographic Assessment (MUSA) group. Ultrasound Obstet Gynecol. 2015;46(3):284–298. doi: 10.1002/uog.14806
- Woźniak A, Woźniak S. Ultrasonography of uterine leiomyomas. Prz Menopauzalny. 2017;16(4):113–117. doi: 10.5114/pm.2017.72754
- Benacerraf BR, Shipp TD, Bromley B. Which patients benefit from a 3D reconstructed coronal view of the uterus added to standard routine 2D pelvic sonography? AJR Am J Roentgenol. 2008;190(3):626–629. doi: 10.2214/AJR.07.2632
- Frank ML, Schäfer SD, Möllers M, et al. Importance of transvaginal elastography in the diagnosis of uterine fibroids and adenomyosis. Ultraschall Med. 2016;37(4):373–378. doi: 10.1055/s-0035-1553266
- Stoelinga B, Hehenkamp WJ, Brölmann HA, et al. Real-time elastography for assessment of uterine disorders. Ultrasound Obstet Gynecol. 2014;43(2):218–226. doi: 10.1002/uog.12519
- Gazhonova VE, Churkina SO, Khokhlova EA. et al. Clinical application of sonoelastography a new technique in gynecology. Kremlevskaya meditsina. Klinicheskiy vestnik. 2008;(2):18–23. (In Russ.)
- Patent RF na izobretenie № 2764106 / 13.01.2022. Byul. № 2. Nagorneva SV, Shalina MA, Yarmolinskaya MI, et al. Sposob diagnostiki adenomioza.
- Nagorneva SV, Shalina MA, Yarmolinskaya MI et al. Comprehensive method of ultrasound diagnosis of adenomyosis. Journal of Obstetrics and Women’s Diseases. 2021;70(6):73–82. (In Russ.). doi: 10.17816/JOWD83066
Supplementary files
 
				
			 
					 
						 
						 
									
 
  
  
  Email this article
			Email this article 
 Open Access
		                                Open Access Access granted
						Access granted Subscription or Fee Access
		                                							Subscription or Fee Access
		                                					








