Принципы диагностики новообразований яичника: минимизация ошибок
- Авторы: Протасова А.Э.1,2,3,4, Цыпурдеева А.А.1,5, Цыпурдеева Н.Д.6, Солнцева И.А.3,4
-
Учреждения:
- ФГБОУ ВО «Санкт-Петербургский государственный университет»
- ФГБУ «Национальный медицинский исследовательский центр им. В.А. Алмазова» Минздрава России
- ФГБОУ ВО «Северо-Западный государственный медицинский университет им. И.И. Мечникова» Минздрава России
- ООО «АВА-ПЕТЕР»
- ФГБНУ «Научно-исследовательский институт акушерства, гинекологии и репродуктологии им. Д.О. Отта
- ФГБНУ «Научно-исследовательский институт акушерства, гинекологии и репродуктологии им. Д.О. Отта»
- Выпуск: Том 68, № 4 (2019)
- Страницы: 71-82
- Раздел: Научные обзоры
- Статья получена: 05.10.2019
- Статья одобрена: 05.10.2019
- Статья опубликована: 05.10.2019
- URL: https://journals.eco-vector.com/jowd/article/view/16333
- DOI: https://doi.org/10.17816/JOWD68471-82
- ID: 16333
Цитировать
Полный текст
Аннотация
Смертность от рака яичника занимает лидирующую позицию среди онкологических заболеваний женского населения, что в первую очередь связано с патогенетическими особенностями рака яичника, гетерогенностью заболевания, отсутствием эффективного скрининга и диагностических методов исследования опухолевого процесса на ранних стадиях. Причины возникновения большинства опухолей яичника неизвестны. Опухолевидные и доброкачественные новообразования яичника не относятся к факторам риска развития рака яичника. Цель представляемого обзора литературы заключается в освещении последних данных мировых экспертных организаций о возможностях диагностики и лечения новообразований яичника.
Полный текст
Диагностика и выбор тактики лечения новообразований яичника представляют значительные трудности в гинекологии и онкогинекологии. Особенности эмбриогенеза придатков матки определяют многообразие признаков и форм злокачественных и доброкачественных заболеваний.
Высокая чувствительность современных методов исследования не обеспечивает достаточную специфичность в дифференциальной диагностике заболеваний яичника [1].
В декабре 2018 г. на сайте Министерства здравоохранения Российской Федерации (МЗ РФ) опубликованы Клинические рекомендации по диагностике и лечению доброкачественных новообразований яичников с позиции профилактики рака [2].
Цель представляемого обзора литературы заключается в освещении последних данных мировых экспертных организаций о возможностях диагностики и лечения доброкачественных новообразований яичника.
Определить истинную частоту опухолей яичника невозможно, так как в основном они протекают без клинических признаков и не выявляются. В репродуктивном возрасте до 90 % новообразований яичника носят доброкачественный характер. Доля опухолей низкой степени злокачественности или пограничных опухолей составляет 10 %. В постменопаузе злокачественные опухоли яичника диагностируют в 20–30 % случаев [3].
Наибольший удельный вес в структуре онкологической заболеваемости женщин в России в 2017 г. занимают злокачественные новообразования органов репродуктивной системы (39,2 %). Онкогинекологические опухоли составляют 18,2 %, на рак яичника (РЯ) приходится 4,3 %. Абсолютное число первичных больных РЯ превысило 14 000 (14 017), а умерло от РЯ 7645 пациенток. Доля пациенток, диагноз которым установлен на III–IV стадиях опухолевого процесса, приближается к 60 % (58,5 %) [4].
РЯ отличается скрытым и агрессивным течением, при этом отсутствуют методы эффективного скрининга и ранней диагностики, что объясняет высокие показатели смертности [5, 6].
Согласно всемирной базе данных GLOBOCAN в 2018 г. абсолютное число впервые заболевших РЯ составляло 295 414, а число умерших — 184 799 [7].
По данным программы SEER (Surveillance, Epidemiology End Results), пятилетние показатели выживаемости больных РЯ не достигают и 50 % (47,4 %) [8].
Этиопатогенетические причины развития РЯ до сих пор изучены недостаточно. К основным факторам риска развития РЯ относят возраст старше 55 лет; отягощенный семейный анамнез (встречаемость РЯ среди ближайших родственников); мутация генов BRCA1, BRCA2; ожирение; рак молочной железы в анамнезе даже без мутации BRCA; синдром Линча; отсутствие родов, отсутствие приема комбинированной оральной контрацепции, первые роды старше 30 лет, менархе до 12 лет, поздняя менопауза; синдром Пейтца – Егерса; синдром невоидной карциномы базальных клеток; синдром Ли – Фраумени (мутация р53); бисексуалы и транссексуалы женщины. Опухолевидные и доброкачественные новообразования яичника не относятся к факторам риска развития РЯ [9].
Роль генетических факторов риска развития РЯ [1] подтверждена открытием генов BRCA1 и BRCA2 на хромосомах 17 и 13 соответственно [10]. Мутации в данных генах указывают на фатальный риск возникновения рака молочной железы — до 80–90 %, серозного РЯ — до 54 % для носителей мутаций BRCA1 и до 23 % в случаях мутации в гене BRCA2 [11, 12]. Наследственные формы РЯ отличаются как более благоприятным течением, так и более высокими показателями выживаемости, чем спорадические формы. Европейская ассоциация онкологов в случае выявления мутации в генах BRCA1 и BRCA2 с целью первичной профилактики рекомендует модификацию образа жизни, назначение комбинированной оральной контрацепции, с 30-летнего возраста применение селективного скрининга (трансвагинальное ультразвуковое исследование (УЗИ) органов малого таза и определение СA-125) 1 раз в 6 мес. Однако информацию об ограниченной ценности этих исследований в качестве эффективного метода скрининга необходимо довести до пациенток [13]. Данной группе женщин после завершения репродуктивной функции может быть предложена овариэктомия [14–17].
Одним из наиболее острых вопросов при выявлении новообразований яичника является определение признаков их доброкачественности или злокачественности.
В настоящее время 10 % женщин в течение жизни подвергаются хирургическому лечению по поводу новообразований яичников, несмотря на то что только 1 из 6 новообразований (13–21 %) обладает теми или иными характеристиками злокачественности.
Обоснованное и эффективное обследование пациенток с новообразованиями яичника позволяет клиницисту установить риск злокачественности и определить, какие из них требуют хирургического лечения [18].
Клинический осмотр, изучение акушерско-гинекологического, наследственного анамнеза является первым этапом диагностического поиска. Основными жалобами могут быть тянущие боли внизу живота, увеличение его объема, слабость, утомляемость, одышка, реже тошнота, рвота, снижение массы тела. У ряда больных клинические признаки и жалобы на ранних стадиях заболевания отсутствуют. В 5–7 % случаев РЯ устанавливают при обследовании в связи с увеличением шейных либо над- и/или подключичных лимфатических узлов. В порядке диспансеризации целесообразно проводить общий и гинекологический осмотр [19].
УЗИ органов малого таза представляет собой основной метод диагностики опухолей яичника. Трансвагинальное УЗИ необходимо использовать во всех возрастных группах пациенток, а при больших размерах опухоли выполнять трансабдоминальное УЗИ (категория рекомендаций А; уровень доказательности 2). Предпочтительнее проводить ультразвуковое исследование в В-режиме в сочетании с цветным допплеровским картированием [20, 21].
Если врач-эксперт ультразвуковой диагностики выполняет комплексную оценку клинических и ультразвуковых данных, допплеровских характеристик, применяет различные подходы для анализа полученных результатов, то чувствительность метода повышается до 96,7 %.
International Ovarian Tumor Analysis (IOTA) Group на основании рандомизированных исследований разработала ультразвуковые критерии новообразований яичников («В-правило» для доброкачественных и «М-правило» для злокачественных опухолей), чувствительность и специфичность которых достигают 95 и 91 % соответственно.
Первый международный мультидисциплинарный консенсус по новообразованиям яичника 2017 г. сформулировал рекомендации по тактике ведения бессимптомных пациенток, в соответствии с которыми необходимо обеспечить консервативное ведение доброкачественных новообразований и оптимизировать показания для обращения к онкогинекологу и хирургического лечения [20].
В основе современной ультразвуковой диагностики новообразований яичника лежит два основных подхода:
- стратификация риска, опирающаяся на оценку визуальных характеристик новообразования;
- использование модели прогнозирования риска, которая предусматривает соблюдение пяти простых правил IOTA (2013).
Стратификация риска означает отнесение выявленного новообразования к одной из трех групп:
- практически наверняка доброкачественное;
- практически наверняка злокачественное;
- неопределенное.
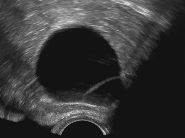
К «практически наверняка доброкачественным» относятся образования, имеющие «классическую» эхографическую картину доброкачественного образования (простая и однокамерная киста, геморрагическая киста, эндометриома, дермоидная киста и фиброма) (рис. 1–6). Понятие однокамерной кисты относительно новое и подразумевает наличие в полости кисты ≥1 неполной перегородки, локальных утолщений на стенке высотой до 3 мм, внутренних эхо в полости (рис. 2). Одиночная тонкая (≤3 мм) перегородка в полости кисты считается доброкачественной находкой [22].
Рис. 1. Простая киста яичника. Анэхогенное аваскулярное образование с ровными тонкими стенками, без солидного компонента и перегородок
Fig. 1. Simple ovarian cyst: an anechoic avascular lesion with smooth thin walls, without a solid component and septations
Рис. 2. Однокамерная киста яичника. Киста с одиночной неполной перегородкой и внутренним эхо
Fig. 2. Uniloculated ovarian cyst: a cyst with one incomplete septum and internal echoes
Рис. 3. Геморрагическая киста яичника. Киста с сетчатым рисунком и сгустком в виде эхогенного компонента с ангулярными контурами в полости
Fig. 3. Hemorrhagic ovarian cyst: a cyst with a mesh pattern and a blood clot presenting in the form of an echogenic component with angular contours in the cavity
Рис. 4. Эндометриома. Киста с гомогенной эхопозитивной взвесью в полости (эхогенность «матовое стекло»)
Fig. 4. Endometrioma: a cyst with homogeneous echo-positive suspension in the cavity (ground glass echogenicity)
Рис. 5. Дермоидная киста. Аваскулярное гиперэхогенное образование с акустической тенью
Fig. 5. Dermoid cyst: an avascular hyperechoic lesion with acoustic shadowing
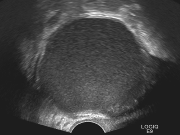
Рис. 6. Фиброма яичника. Солидное гипоэхогенное образование с акустической тенью (возможна минимальная васкуляризация при цветном допплеровском картировании)
Fig. 6. Ovarian fibroma: a solid hypoechoic lesion with acoustic shadowing (minimal vascularization is possible with color Doppler mapping)
Впервые в 2018 г. Американская коллегия радиологов (American Collegeog Radiology) опубликовала систему O-RADS, определяющую единую терминологию описания новообразования яичника, его краев, внутренней структуры и васкуляризации, ультразвуковые признаки простой и однокамерной кисты, геморрагической кисты, эндометриомы, дермоидной кисты и фибромы яичника [23].
Предложено выделять пять типов новообразований яичника:
- однокамерная киста без солидного компонента;
- однокамерная киста с солидным компонентом;
- многокамерная киста без солидного компонента;
- многокамерная киста с солидным компонентом;
- солидное образование.
Потенциал злокачественности простых и особенно однокамерных кист часто переоценивают, что ведет к необоснованным хирургическим вмешательствам.
Согласно проведенным в последние годы исследованиям доказано, что простые и однокамерные кисты не ассоциированы с риском развития овариальной карциномы и не требуют хирургического лечения. Динамическое УЗИ-наблюдение позволяет оценить кисты (менее 0,4 %), которые вызвали трудности в первоначальной оценке или подверглись изменениям в период наблюдения [20, 22, 24, 25]. В ряде случаев показания к хирургическому лечению, например, эндометриомы определяет гинеколог, без необходимости консультации онкогинеколога.
Клинические рекомендации МЗ РФ по диагностике и лечению доброкачественных новообразований яичников с позиции профилактики рака (2018) регламентировали возможность динамического наблюдения простых и однокамерных кист диаметром до 5 см у бессимптомных пациенток в постменопаузе с нормальным уровнем СA-125, первым контрольным обследованием через 4–6 мес. и последующим ультразвуковым наблюдением 1 раз в год при отсутствии изменений в динамике [2].
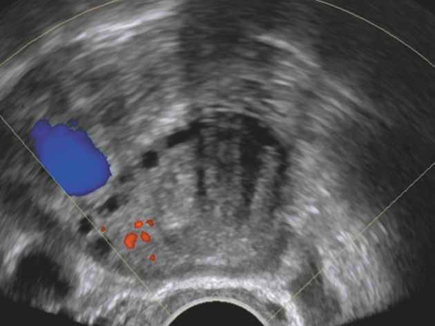
К группе новообразований яичника с высоким риском злокачественности относят васкуляризированные новообразования солидной или преимущественно солидной структуры, содержащие множественные васкуляризированные перегородки (>3 мм) и папиллярные разрастания на стенках в количестве более четырех (рис. 7). Однокамерные или многокамерные кистозные новообразования с солидным компонентом или преимущественно солидные (более чем на 80 %) относятся к образованиям с высоким риском пограничной опухоли или эпителиального РЯ [25, 26]. При обнаружении новообразования, имеющего вышеописанные УЗ-признаки, необходима консультация онкогинеколога и маршрутизация пациентки в стационар онкологического профиля [2].
Рис. 7. Новообразования яичника с высоким риском злокачественности: а — новообразование преимущественно солидной структуры с васкуляризацией при цветном допплеровском картировании; b — солидное гиперваскуляризированное новообразование яичника; c — многокамерное кистозное образование с солидным компонентом
Fig. 7. Ovarian neoplasms with high risk of malignancy: а — neoplasm of predominantly solid structure with vascularization (with color Doppler mapping); b — solid hypervascular neoplasm of the ovary; c — multiloculated cystic lesion with a solid component
В тех случаях когда первичное УЗИ не позволяет отнести образование к группе практически наверняка доброкачественных или практически наверняка злокачественных, его расценивают как неопределенное. В этих ситуациях прежде всего анализируют признаки на основе модели прогнозирования риска и предложенных группой IOTA (2013) пяти простых признаков [27, 28].
УЗ-признаки злокачественности новообразования (М-признаки) и УЗ-признаки доброкачественности (B-признаки) представлены в табл. 1. Чувствительность данной модели оценки в прогнозировании риска развития злокачественного процесса составила 93 %, специфичность — 90 %.
Таблица 1 / Table 1
Классификация признаков доброкачественности и злокачественности новообразования яичника по IOTA
The IOTA classification of signs of benign and malignant ovarian tumors
Признаки злокачественности IOTA (М-признаки) | Признаки доброкачественности IOTA (B-признаки) |
1. Солидное образование неравномерной структуры | 1. Однокамерное образование |
2. Асцит | 2. Солидный компонент, максимальный размер которого составляет <7 мм |
3. Как минимум четыре папиллярных разрастания | 3. Гладкостенная многокамерная киста диаметром <10 см |
4. Неоднородное многокамерное солидное образование более 10 см | 4. Акустическая тень |
5. Гиперваскуляризация | 5. Аваскулярность при цветном допплеровском картировании |
По IOTA образование расценивают как злокачественное, если присутствует хотя бы один М-признак и нет ни одного В-признака.
Если присутствует хотя бы один В-признак и нет ни одного М-признака, образование считают доброкачественным.
При отсутствии М- и В-признаков или, наоборот, присутствии и М-, и В-признака образование расценивают как неопределенное [27].
Поскольку цель УЗИ — получить визуальную (морфологическую) картину новообразования, отражающую его злокачественный потенциал, университет Кентукки предложил использовать морфологический индекс (MI), который включает оценку объема и внутренней структуры новообразования с присвоением ему определенного количества баллов (от 1 до 10) (рис. 8). Использование порогового значения MI ≥ 5 при прогнозировании злокачественности обладает чувствительностью 86 % и специфичностью 98 %. Значение MI 0–3 соответствует низкому риску злокачественности, от 4 до 6 — неопределенному риску. Повышение MI ≥ 1 в месяц ассоциировано с риском злокачественности новообразования [29].
Рис. 8. Морфологический индекс университета Кентукки для новообразований яичника (образованию присваивают 0–5 баллов по объему и 0–5 баллов по внутренней структуре с подсчетом суммы баллов, которая и является морфологическим индексом)
Fig. 8. The University of Kentucky Ovarian Tumor Morphology Index (lesion is assigned 0-5 points by volume and 0-5 points by internal structure with the calculation of the amount of points, which is the morphological index)
В случае выявления при УЗИ признаков неопределенного новообразования необходимо предпринять дальнейшие диагностические шаги: выполнить экспертное УЗИ с целью повышения качества оценки морфологической структуры новообразования, осуществлять динамический УЗ-контроль, провести магнитно-резонансную томографию (МРТ) органов малого таза, сопоставить данные УЗИ с результатами МРТ и показателями опухолевых маркеров, а также обязательно назначить консультацию онкогинеколога.
Динамическое ультразвуковое наблюдение новообразований яичника является важной стратегией, однако однозначные рекомендации по интервалам и продолжительности динамического наблюдения на настоящий момент отсутствуют.
Согласно клиническим рекомендациям МЗ РФ 2018 г. стойкие нерегрессирующие кисты яичника следует пересматривать через 3 мес., а затем на выборочной основе каждые 6 мес. Рекомендуют проводить ежегодные трансвагинальные УЗИ в течение трех лет и мониторинг уровня белка СА-125 в течение 5 лет с момента постановки диагноза [2].
Клинический пример (рис. 9)
Рис. 9. Оценка новообразования у пациентки Н., 60 лет
Fig. 9. Evaluation of neoplasm in patient N., 60 years old
В случае обнаружения неопределенных новообразований яичника необходимо выполнять МРТ как дополнительный метод, который может помочь избежать ненужного хирургического вмешательства [30]. Чувствительность МРТ в дифференциальной диагностике злокачественных новообразований яичника составляет от 88 до 93 % [31]. К признакам злокачественности, выявляемым по МРТ, относятся: наличие твердого компонента образования с неоднородным участком усиления сигнала, размер более 4 см в максимальном диаметре, разрастания и наличие внутренних структур, толщина стенки/перегородки более 3 мм, дольчатая структура образования, аморфные крошечные кальцинаты, сосуды с гетерогенным усилением, папиллярные разрастания с гетерогенным усилением, некроз [32, 33]. МРТ с контрастированием улучшает доморфологическую диагностику РЯ в большей степени, чем компьютерная томография, эхография с цветным допплеровским картированием или МРТ без контрастирования, и показано для уточнения анатомических взаимоотношений исследуемых структур, характера роста опухоли, выявления признаков асцита, а также пациенткам, у которых УЗИ органов малого таза оказалось неинформативным [2].
Большое значение в диагностике злокачественных новообразований яичника отводят опухолевым маркерам. Высокогликозилированный белок CA-125 одобрен FDA (Управление по контролю за качеством пищевых продуктов и лекарственных препаратов — Food and Drug Administration) и наиболее часто используется в качестве диагностического биомаркера для выявления РЯ. Однако этот показатель не обладает достаточной чувствительностью и специфичностью, не снижает смертность больных РЯ и не может использоваться с целью эффективного скрининга. Более того, уровни CA-125 также повышаются в случаях доброкачественных овариальных образований, при воспалительных процессах, эндометриозе и ряде других заболеваний [34, 35].
В то же время Skates et al. продемонстрировали изменение уровня CA-125 в течение двух лет перед установкой диагноза РЯ. Феномен нарастания уровня СА-125 в сыворотке крови был использован для определения риска развития РЯ (Risk of Ovarian Cancer — ROC), который учитывает возраст женщины и скорость роста или скорость изменения уровня CA-125 с течением времени [36]. При повышении риска развития РЯ выполняли УЗИ органов малого таза. В результате ретроспективного исследования 9233 женщин с определением риска развития РЯ чувствительность CA-125 повысилась с 62 до 86 % [37]. Данный алгоритм подтвержден и в проспективном исследовании, в котором его специфичность и положительная прогностическая значимость (PPV) для первичного эпителиального РЯ составила 99,8 % (95 % ДИ 99,7–99,9) и 19 % (95 % ДИ 4,1–45,6) соответственно [38].
Впервые взаимосвязь человеческого эпидидимального секреторного белка (HE4 — Human epididymis protein 4) и эпителиального РЯ была доказана в 2003 г. в США [39].
В проспективном исследовании R. Moore et al. (2007) оценивали более десяти опухолевых маркеров как по отдельности, так и в комплексе. Для HE4 чувствительность составляла 72,9 %, а специфичность — 95 %. Для CA-125 чувствительность достигала 43,3 % при специфичности 95 %. В комбинации HE4 и CA-125 показали чувствительность 76,4 % при специфичности 95 % [40]. Схожие результаты были получены и в ряде других исследований, что говорит в пользу оценки именно комбинации обоих маркеров [41, 42].
С целью улучшения специфичности был разработан индекс риска злокачественности (Relative Malignancy Index — RMI), который включает возраст женщины, ультразвуковые характеристики опухоли и уровень CA-125 [43]. Существуют противоречивые данные по эффективности прогнозирования риска развития РЯ. Так, например, в исследовании R. Moore еt al. (2010) RMI имеет значительно меньшую чувствительность по сравнению с ROMA (84,6 против 94,3 %) [44]. Однако большинство исследований подтверждают информативность данного метода для дифференциальной диагностики новообразований яичников [45–47].
Известно, что 20 % случаев РЯ не сопровождаются повышением уровня CA-125, поэтому многие исследователи оценивают комбинацию маркеров [40, 48–50]. Так, в исследовании I. Visintin et al. (2008) определяли: CA-125, лептин, пролактин, остеопонтин, инсулиноподобный фактор роста II и фактор ингибирования миграции макрофагов у 362 здоровых пациенток и 156 больных РЯ. Ни один показатель в отдельности не дал достоверных результатов. Однако комбинация шести биомаркеров обладала намного большей чувствительностью и специфичностью (84–98 и 95 %) по сравнению с CA-125 (72 и 95 %) [51].
T. Edgell et al. (2010) исследовали комплекс биомаркеров, который включал следующие показатели: CA-125, C-реактивный белок, сывороточный амилоид А и интерлейкины-6 и -8. Большей чувствительностью и специфичностью обладала мультимаркерная модель по сравнению с определением только CA-125 [52].
Данные крупного проспективного исследования P. Yip et al. по изучению 175 биомаркеров РЯ были опубликованы в 2011 г. Наиболее информативными из них являлись HE4 (AUC = 0,933) и CA-125 (AUC = 0,907), за которыми следовали интерлейкин-2α, α1-антитрипсин, C-реактивный белок, гликопротеин YKL-40, клеточный фибронектин, CA-72-4 и белок простасин (AUC > 0,800) [53].
К большому сожалению клиницистов, оказалось, что определение опухолевых маркеров не может быть методом скрининга РЯ и не приводит к снижению смертности больных.
В случаях когда указанные выше методы исследования не позволяют установить диагноз, клинико-лабораторные данные недостаточны или противоречивы, прибегают к диагностической лапароскопии. С помощью лапароскопии удается провести тщательную ревизию органов малого таза и брюшной полости, висцеральной и париетальной брюшины, забрюшинных лимфатических узлов, выполнить биопсию опухоли с последующей морфологической верификацией [54]. Еще в более затруднительных случаях выполняют иммуногистохимические и генетические исследования биоптатов опухоли.
Таким образом, использование стандартных протоколов диагностики, определение иммунных клеток (CA-125, HE4, ROMA), выполнение МРТ и знание факторов риска развития РЯ позволит установить характер новообразования яичника, избежать необоснованных операций, своевременно выявить пациенток с подозрением на неопластический процесс или с признаками РЯ.
Об авторах
Анна Эдуардовна Протасова
ФГБОУ ВО «Санкт-Петербургский государственный университет»; ФГБУ «Национальный медицинский исследовательский центр им. В.А. Алмазова» Минздрава России; ФГБОУ ВО «Северо-Западный государственный медицинский университет им. И.И. Мечникова» Минздрава России; ООО «АВА-ПЕТЕР»
Автор, ответственный за переписку.
Email: protasova1966@yandex.ru
д-р мед. наук, профессор кафедры онкологии медицинского факультета; профессор кафедры акушерства и гинекологии; профессор кафедры онкологии; заведующая отделением онкологии
Россия, Санкт-ПетербургАнна Алексеевна Цыпурдеева
ФГБОУ ВО «Санкт-Петербургский государственный университет»; ФГБНУ «Научно-исследовательский институт акушерства, гинекологии и репродуктологии им. Д.О. Отта
Email: tsypurdeevan@mail.ru
канд. мед наук, доцент кафедры акушерства, гинекологии и репродуктологии медицинского факультета; старший научный сотрудник гинекологического отделения с операционным блоком
Россия, Санкт-ПетербургНаталия Дмитриевна Цыпурдеева
ФГБНУ «Научно-исследовательский институт акушерства, гинекологии и репродуктологии им. Д.О. Отта»
Email: tsypurdeevan@mail.ru
канд. мед. наук, сотрудник научно-консультативного отделения, научный сотрудник отделения вспомогательных репродуктивных технологий
Россия, Санкт-ПетербургИрина Александровна Солнцева
ФГБОУ ВО «Северо-Западный государственный медицинский университет им. И.И. Мечникова» Минздрава России; ООО «АВА-ПЕТЕР»
Email: tsypurdeevan@mail.ru
канд. мед наук, доцент кафедры лучевой диагностики и лучевой терапии; врач ультразвуковой диагностики
Россия, Санкт-ПетербургСписок литературы
- Гинекология: руководство для врачей / Под ред. В.Н. Серова, Е.Ф. Кира. – М.: Литтерра, 2008. – 840 с. [Ginekologiya: rukovodstvo dlya vrachey. Ed. by V.N. Serov, E.F. Kira. Moscow: Litterra; 2008. 840 p. (In Russ.)]
- Министерство здравоохранения Российской Федерации. Диагностика и лечение доброкачественных новообразований яичников с позиции профилактики рака: клинические рекомендации Министерства здравоохранения Российской Федерации (протокол лечения). – M., 2018. – 48 с. [Ministerstvo Zdravookhraneniya Rossiyskoy Federatsii. Diagnostika i lechenie dobrokachestvennykh novoobrazovaniy yaichnikov s pozitsii profilaktiki raka: klinicheskie rekomendatsii Ministerstva Zdravookhraneniya Rossiyskoy Federatsii (protokol lecheniya). Moscow; 2018. 48 p. (In Russ.)]
- Emedicine.medscape.com [Internet] Teng N, Rivlin ME. Adnexal Tumors Treatment & Management. Medscape. [cited 25 Mar 2019]. Available from: https://emedicine.medscape.com/article/258044-treatment.
- Каприн А.Д., Старинский В.В., Петрова Г.В. Злокачественные новообразования в России в 2016 году. – М., 2018. – 250 с. [Kaprin AD, Starinskiy VV, Petrova GV. Zlokachestvennye novoobrazovaniya v Rossii v 2016 godu. Moscow; 2018. 250 p. (In Russ.)]
- El Din AA, Badawi MA, Aal SE, et al. DNA cytometry and nuclear morphometry in ovarian benign, borderline and malignant tumors. Open Access Maced J Med Sci. 2015;3(4):537-544. https://doi.org/10.3889/oamjms.2015.104.
- Zhu Q, Wu X, Wang X. Differential distribution of tumor-associated macrophages and Treg/Th17 cells in the progression of malignant and benign epithelial ovarian tumors. Oncol Lett. 2017;13(1):159-166. https://doi.org/10.3892/ol.2016.5428.
- Bray F, Ferlay J, Soerjomataram I, et al. Global Cancer Statistics 2018: GLOBOCAN Estimates of Incidence and Mortality Worldwide for 36 Cancers in 185 Countries: Global Cancer Statistics 2018. CA Cancer J Clin. 2018;68(suppl 8). https://doi.org/10.3322/caac.21492.
- Seer.cancer.gov [Internet]. Cancer Stat Facts: Ovarian Cancer [cited 25 Mar 2019]. Available from: http://www.seer.cancer.gov/statfacts/html/ovary.html.
- Nccn.org [Internet]. NCCN. Org. Ovarian cancer. Version 2. 2018 [cited 25 Mar 2019]. Available from: https://www.nccn.org/patients/.
- Carroll JC, Cremin C, Allanson J, et al. Hereditary breast and ovarian cancers. Can Fam Physician. 2008;54(12):1691-1692.
- King MC, Marks JH, Mandell JB, New York Breast Cancer Study G. Breast and ovarian cancer risks due to inherited mutations in BRCA1 and BRCA2. Science. 2003;302(5645):643-646. https://doi.org/10.1126/science.1088759.
- Chen S, Parmigiani G. Meta-analysis of BRCA1 and BRCA2 penetrance. J Clin Oncol. 2007;25(11):1329-1333. https://doi.org/10.1200/JCO.2006.09.1066.
- Paluch-Shimon S, Cardoso F, Sessa C, et al. Prevention and screening in BRCA mutation carriers and other breast/ovarian hereditary cancer syndromes: ESMO Clinical Practice Guidelines for cancer prevention and screening. Ann Oncol. 2016;27(suppl 5):v103-v110. https://doi.org/10.1093/annonc/mdw327.
- Prat J, Ribe A, Gallardo A. Hereditary ovarian cancer. Hum Pathol. 2005;36(8):861-870. https://doi.org/10.1016/j.humpath.2005.06.006.
- Jazaeri AA. Molecular profiles of hereditary epithelial ovarian cancers and their implications for the biology of this disease. Mol Oncol. 2009;3(2):151-156. https://doi.org/10.1016/j.molonc.2009.01.001.
- Hall MJ, Reid JE, Burbidge LA, et al. BRCA1 and BRCA2 mutations in women of different ethnicities undergoing testing for hereditary breast-ovarian cancer. Cancer. 2009;115(10):2222-2233. https://doi.org/10.1002/cncr.24200.
- Ben David Y, Chetrit A, Hirsh-Yechezkel G, et al. Effect of BRCA mutations on the length of survival in epithelial ovarian tumors. J Clin Oncol. 2002;20(2):463-466. https://doi.org/10.1200/JCO.2002.20.2.463.
- Ueland FR, Fredericks NI. Ovarian masses: Surgery or surveillance? OBG Manag. 2018;30(6):17-26.
- Кузнецова Е.П., Серебренникова К.Г. Современные методы диагностики опухолевидных образований и доброкачественных опухолей яичника // Фундаментальные исследования. – 2010. – № 11. – C. 78–83. [Kuznetsova EP, Serebrennikova KG. Sovremennye metody diagnostiki opukholevidnykh obrazovaniy i dobrokachestvennykh opukholey yaichnika. Fundamental’nye issledovaniya. 2010;(11):78-83. (In Russ.)]
- Glanc P, Benacerraf B, Bourne T, et al. First International Consensus Report on Adnexal Masses: Management Recommendations. J Ultrasound Med. 2017;36(5):849-863. https://doi.org/10.1002/jum.14197.
- Levine D, Brown DL, Andreotti RF, et al. Management of asymptomatic ovarian and other adnexal cysts imaged at US: Society of Radiologists in Ultrasound Consensus Conference Statement. Radiology. 2010;256(3):943-954. https://doi.org/10.1148/radiol.10100213
- Modesitt, S. Risk of malignancy in unilocular ovarian cystic tumors less than 10 centimeters in diameter. Obstet Gynecol. 2003;102(3):594-599. https://doi.org/10.1016/s0029-7844(03)00670-7.
- Andreotti RF, Timmerman D, Benacerraf BR, et al. Ovarian-Adnexal Reporting Lexicon for Ultrasound: A White Paper of the ACR Ovarian-Adnexal Reporting and Data System Committee. J Am Coll Radiol. 2018;15(10):1415-1429. https://doi.org/10.1016/j.jacr.2018.07.004.
- Pavlik EJ, Ueland FR, Miller RW, et al. Frequency and disposition of ovarian abnormalities followed with serial transvaginal ultrasonography. Obstet Gynecol. 2013;122(2 Pt 1):210-217. https://doi.org/10.1097/AOG.0b013e318298def5.
- Sharma A, Apostolidou S, Burnell M, et al. Risk of epithelial ovarian cancer in asymptomatic women with ultrasound-detected ovarian masses: a prospective cohort study within the UK collaborative trial of ovarian cancer screening (UKCTOCS). Ultrasound Obstet Gynecol. 2012;40(3):338-344. https://doi.org/10.1002/uog.12270.
- Saunders BA, Podzielinski I, Ware RA, et al. Risk of malignancy in sonographically confirmed septated cystic ovarian tumors. Gynecol Oncol. 2010;118(3):278-282. https://doi.org/10.1016/j.ygyno.2010.05.013.
- Kaijser J, Bourne T, Valentin L, et al. Improving strategies for diagnosing ovarian cancer: a summary of the International Ovarian Tumor Analysis (IOTA) studies. Ultrasound Obstet Gynecol. 2013;41(1):9-20. https://doi.org/10.1002/uog.12323.
- Timmerman D, Testa AC, Bourne T, et al. Simple ultrasound-based rules for the diagnosis of ovarian cancer. Ultrasound Obstet Gynecol. 2008;31(6):681-690. https://doi.org/10.1002/uog.5365.
- Elder JW, Pavlik EJ, Long A, et al. Serial ultrasonographic evaluation of ovarian abnormalities with a morphology index. Gynecol Oncol. 2014;135(1):8-12. https://doi.org/10.1016/j.ygyno.2014.07.091.
- Spencer JA, Forstner R, Cunha TM, Kinkel K. ESUR guidelines for MR imaging of the sonographically indeterminate adnexal mass: an algorithmic approach. Eur Radiol. 2009;20(1):25-35. https://doi.org/10.1007/s00330-009-1584-2.
- Bazot M, Darai E, Nassar-Slaba J, et al. Value of magnetic resonance imaging for the diagnosis of ovarian tumors: a review. J Comput Assist Tomogr. 2008;32(5):712-723. https://doi.org/10.1097/RCT.0b013e31815881ef.
- Valentini AL, Gui B, Micco M, et al. benign and suspicious ovarian masses-mr imaging criteria for characterization: pictorial review. J Oncol. 2012;2012:481806. https://doi.org/10.1155/2012/481806.
- Jeong YY, Outwater EK, Kang HK. Imaging evaluation of ovarian masses. Radiographics. 2000;20(5):1445-1470. https://doi.org/10.1148/radiographics.20.5.g00se101445.
- Buamah P. Benign conditions associated with raised serum CA-125 concentration. J Surg Oncol. 2000;75(4):264-265. https://doi.org/10.1002/1096-9098(200012)75:4<264::aid-jso7>3.0.co;2-q.
- Miralles C, Orea M, Espana P, et al. Cancer antigen 125 associated with multiple benign and malignant pathologies. Ann Surg Oncol. 2003;10(2):150-154. https://doi.org/10.1245/aso.2003.05.015.
- Skates SJ, Xu FJ, Yu YH, et al. Toward an optimal algorithm for ovarian cancer screening with longitudinal tumor markers. Cancer. 1995;76(10 Suppl):2004-2010. https://doi.org/10.1002/1097-0142(19951115)76:10+<2004::aid-cncr2820761317>3.0.co;2-g.
- Skates SJ, Menon U, MacDonald N, et al. Calculation of the risk of ovarian cancer from serial CA-125 values for preclinical detection in postmenopausal women. J Clin Oncol. 2003;21(10 Suppl):206s-210s. https://doi.org/10.1200/JCO.2003.02.955.
- Menon U, Skates SJ, Lewis S, et al. Prospective study using the risk of ovarian cancer algorithm to screen for ovarian cancer. J Clin Oncol. 2005;23(31):7919-7926. https://doi.org/10.1200/JCO.2005.01.6642.
- Hellstrоm I, Raycraft J, Hayden-Ledbetter M, et al. The HE4 (WFDC2) protein is a biomarker for ovarian carcinoma. Cancer Res. 2003;63(13):3695-3700.
- Moore RG, Brown AK, Miller MC, et al. The use of multiple novel tumor biomarkers for the detection of ovarian carcinoma in patients with a pelvic mass. Gynecol Oncol. 2008;108(2):402-408. https://doi.org/10.1016/j.ygyno.2007.10.017.
- Lycke M, Kristjansdottir B, Sundfeldt K. A multicenter clinical trial validating the performance of HE4, CA125, risk of ovarian malignancy algorithm and risk of malignancy index. Gynecol Oncol. 2018;151(1):159-165. https://doi.org/10.1016/j.ygyno.2018.08.025.
- Teh BH, Yong SL, Sim WW, et al. Evaluation in the predictive value of serum human epididymal protein 4 (HE4), cancer antigen 125 (CA125) and acombination of both in detecting ovarian malignancy. Horm Mol Biol Clin Investig. 2018;35(1). https://doi.org/10.1515/hmbci-2018-0029.
- Jacobs I, Oram D, Fairbanks J, et al. A risk of malignancy index incorporating CA125, ultrasound and menopausal status for the accurate preoperative diagnosis of ovarian cancer. BJOG. 1990;97(10):922-929. https://doi.org/10.1111/j.1471-0528.1990.tb02448.x.
- Moore RG, Jabre-Raughley M, Brown AK, et al. Comparison of a novel multiple marker assay vs the Risk of Malignancy Index for the prediction of epithelial ovarian cancer in patients with a pelvic mass. Am J Obstet Gynecol. 2010;203(3):228.e221-226. https://doi.org/10.1016/j.ajog.2010.03.043.
- Alanbay I, Akturk E, Coksuer H, et al. Comparison of risk of malignancy index (RMI), CA125, CA 19-9, ultrasound score, and menopausal status in borderline ovarian tumor. Gynecol Endocrinol. 2012;28(6):478-482. https://doi.org/ 10.3109/09513590.2011.633663.
- Karimi-Zarchi M, Mojaver SP, Rouhi M, et al. Diagnostic value of the risk of Malignancy Index (RMI) for detection of pelvic malignancies compared with pathology. Electron Physician. 2015;7(7):1505-1510. https://doi.org/10.19082/1505.
- Ульянова А.В., Пономарёва Ю.Н., Ашрафян Л.А. Совершенствование дифференциально-диагностических методов при новообразованиях яичников // Доктор Ру. – 2018. – № 6. – С. 40–43. [Ulyanova AV, Ponomaryova YN, Ashrafyan LA. Improving differential diagnosis techniques for ovarian neoplasms. Doktor Ru. 2018;(6):40-43. (In Russ.)]
- Bast RC, Jr, Badgwell D, Lu Z, et al. New tumor markers: CA125 and beyond. Int J Gynecol Cancer. 2005;15 Suppl 3:274-281. https://doi.org/10.1111/j.1525-1438.2005.00441.x.
- Nosov V, Su F, Amneus M, et al. Validation of serum biomarkers for detection of early-stage ovarian cancer. Am J Obstet Gynecol. 2009;200(6):639.e631-635. https://doi.org/10.1016/j.ajog.2008.12.042.
- Cramer DW, Best RC, Clark C, et al. Abstract #LB-96: Phase III validation of ovarian cancer biomarkers in pre-diagnostic specimens from the PLCO screening trial. Proc Am Assoc Cancer Res. 2009:69(S9).
- Visintin I, Feng Z, Longton G, et al. Diagnostic markers for early detection of ovarian cancer. Clin Cancer Res. 2008;14(4): 1065-1072. https://doi.org/10.1158/1078-0432.CCR-07-1569.
- Edgell T, Martin-Roussety G, Barker G, et al. Phase II biomarker trial of a multimarker diagnostic for ovarian cancer. J Cancer Res Clin Oncol. 2010;136(7):1079-1088. https://doi.org/10.1007/s00432-009-0755-5.
- Yip P, Chen TH, Seshaiah P, et al. Comprehensive serum profiling for the discovery of epithelial ovarian cancer biomarkers. PLoS One. 2011;6(12):e29533. https://doi.org/10.1371/journal.pone.0029533.
- Никогосян С.О., Кузнецов В.В. Современная диагностика рака яичников // Российский онкологический журнал. – 2013. – № 5. – C. 52–55. [Nikogosyan SO, Kuznetsov VV. Modern diagnosis of ovarian cancer. Russian journal of oncology. 2013;(5):52-55. (In Russ.)]
Дополнительные файлы












