Modern methods for radiological diagnosis of endometriosis
- Authors: Rusina E.I.1, Yarmolinskaya M.I.1,2, Ivanova A.O.1
-
Affiliations:
- The Research Institute of Obstetrics, Gynecology, and Reproductology named after D.O. Ott
- North-Western State Medical University named after I.I. Mechnikov
- Issue: Vol 69, No 2 (2020)
- Pages: 59-72
- Section: Reviews
- Submitted: 27.02.2020
- Accepted: 24.03.2020
- Published: 21.06.2020
- URL: https://journals.eco-vector.com/jowd/article/view/21241
- DOI: https://doi.org/10.17816/JOWD69259-72
- ID: 21241
Cite item
Abstract
Endometriosis is a widespread gynecological disease, which affects reproductive-aged women. An accurate diagnosis is critical to develop a more comprehensive treatment strategy for endometriosis than is currently available. This article provides an overview of current data on the value of radiation techniques for the diagnosis of external genital and extragenital endometriosis, deep infiltrating endometriosis, and adenomyosis. The necessity of using a systematic approach to examine the pelvis in women with suspected endometriosis is shown, modern terms and methods of measurement being given to describe ultrasound picture of endometriosis.
Full Text
Introduction
Endometriosis represents a severe problem in modern gynecology, especially its widespread infiltrative forms. Establishing an accurate niveau diagnosis of endometriosis is essential in determining the appropriate treatment approach. In addition, if surgical treatment is warranted, it must be implemented fully.
The recently issued consensus decree of the World Society for the Study of Endometriosis recommended creating highly specialized centers for the treatment of advanced endometriosis, particularly its infiltrative forms. This recommendation necessitates a reliable preoperative assessment system that would promptly identify localization and disease severity. Hence, to accurately diagnose the location and extent of endometriosis foci, non-invasive imaging techniques must be applied.
External genital and infiltrating endometriosis
There is an opinion that none of the modern imaging methods can replace laparoscopic diagnostics for detecting peritoneal pelvic endometriosis [1]. However, the absence of ultrasound (US) signs of endometriosis cannot be the basis for ruling out this diagnosis, and laparoscopy should be performed in women with distinct symptoms. Nevertheless, foci of endometriosis, including extragenital, in the form of nodules, infiltrates, as well as cystic formations that have a cavity filled with fine hemorrhagic contents, with an infiltrating or cystic disease can be visualized using modern methods of radiation diagnostics, namely US studies, computed tomography (CT), magnetic resonance imaging (MRI), and positron emission tomography [2–5].
Notably, data of US performed by an experienced operator can be used along with the history and gynecological examination to improve the diagnostic accuracy of genital endometriosis [6]. The accuracy of US depends largely on the location of endometriotic foci and increases with an increase in the total number of lesions [7]. According to Russian and international researchers, the diagnostic accuracy of the contemporary US was comparable to the MRI of the pelvic organs (retrocervical endometriosis 80% and 95%, adenomyosis 85% and 95%, endometriotic cysts 75% and 100%, respectively) [8]. A 2016 Cochrane review analyzed 49 studies that involved 4807 women. Notably, high sensitivity and specificity of transvaginal ultrasonography (TVUS) and MRI were determined in detecting ovarian endometriomas. According to the review results (analysis of eight studies, 765 participants), TVUS had a sensitivity of 0.93 and specificity of 0.96 for diagnosing endometriotic cysts, and MRI (three studies, 179 participants) had a sensitivity of 0.95 and specificity of 0.91 [1]. A meta-analysis of 17 studies, conducted in 2019, demonstrated high accuracy of TVUS, comparable to the MRI, for all localizations of external genital endometriosis, except for the rectovaginal septum (RVS) [9].
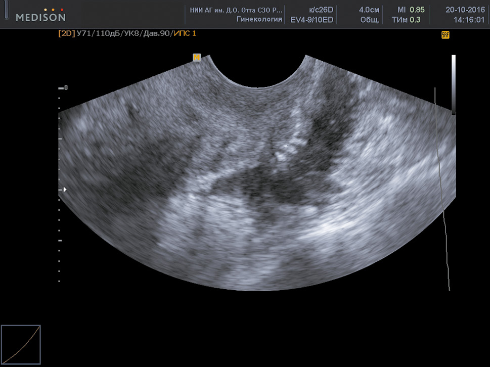
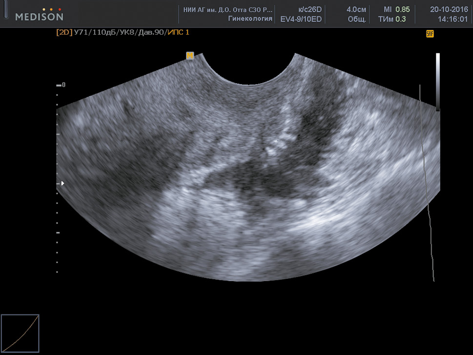
In most cases, cystic ovarian endometriosis had characteristic US signs, such as the location of the cyst behind and lateral to the uterus; medium and increased echogenicity of the “finely dispersed,” suspended material filling the cyst; and significant wall thickness (0.2–0.6 cm) (Fig. 1).
Fig. 1. Ovarian endometrioma
Рис. 1. Эндометриома яичника
Nonetheless, the suspended material in smaller cystic formations (up to 1.5 cm in diameter) is not always visualized clearly; therefore, the cyst may resemble a solid tumor. In addition, endometriomas are characterized by limitation of ovarian mobility during the US [10]. Ovarian endometriomas are often associated with other foci of endometriosis, such as deep infiltrating endometriosis (DIE) and peritoneal adhesions [11]. Notably, the symptom of “kissing ovaries” indicates severe adhesions in the lesser pelvis. Moreover, it was noted that endometriosis of the intestines and fallopian tubes is more common in women with the symptom of “kissing ovaries” than those without it (18.5% vs. 2.5% and 92.6% vs. 33%, respectively) [12]. Endometriomas can decidualize during pregnancy and can be mistaken for ovarian cancer on US imaging [13]. The simultaneous presence of other foci of endometriosis can accurately diagnose an endometrioid cyst during pregnancy and minimize unnecessary surgical interventions.
The inversion of MR signal on T1- and T2-weighted images is the notable aspect on the MRI of endometrioid ovarian cysts, which is typical for any object containing products of hemoglobin biodegradation; a homogeneous high intense MR signal on a T1-weighted image and a hypointense or isointense (with mild increase) on a T2-weighted image; homogeneous increase or decrease of the signal with the effect of its uniform shading, with a hemosiderin ring on the periphery [14].
Regarding diagnostics for deep infiltrating endometriosis, TVUS is the first-line imaging method [15]. Based on various studies (nine studies, 934 participants), the sensitivity of TVUS for deep infiltrating endometriosis was 0.79, and the specificity was 0.94, which were comparable to MRI (six studies, 266 participants; sensitivity 0.94 and specificity 0.77) [1]. According to some researchers, the diagnostic value of US in detecting DIE is extremely high for some anatomical localization [16, 17]. In their meta-analysis, Hudelist et al. concluded that TVUS, both with and without preliminary bowel preparation, was an accurate non-invasive method for detecting DIE in the rectosigmoid region preoperatively [18].
Notably, based on other data, the sensitivity and specificity of TVUS in detecting DIE is somewhat ambiguous, regardless of its location [19]. The lack of uniformity in describing the anatomical localization of the disease and the absence of standardized definitions for US classification cause significant variability in reports regarding the accuracy of TVUS for diagnosing endometriosis. Therefore, to ensure that US of women with a presumed diagnosis of endometriosis was performed according to standardized methods and there was uniformity in the techniques used for measuring endometriotic lesions and the terminology of conclusions, an international group of researchers developed recommendations presented as a consensus [20]. The experts proposed an examination algorithm that includes four basic stages of US when examining patients with suspected or known endometriosis.
- Routine examination of the uterus and appendages (US signs of adenomyosis, presence or absence of endometriomas).
- Assessment of “mild symptoms” with TVUS (local tenderness and mobility of the ovaries).
- Assessment of the state of the Douglas pouch based on US “sliding symptoms.”
- Assessment of DIE nodules in the anterior and posterior segments of the lesser pelvis.
These examination stages can be performed in any order, but it is essential to complete all four stages to confirm or rule out various forms of endometriosis. Notably, dynamic ultrasonography is of great significance because it represents a study when the doctor assesses both the condition and mobility of the pelvic organs in real-time.
During the stage 1 of the study, the uterine mobility needs to be assessed using TVUS (normal, reduced, or fixed), and US signs of adenomyosis must be identified and described using terms and definitions presented in the consensus regarding US examination of the uterine morphology [21]. The presence or absence of endometriomas, their number, their size measured systematically in three orthogonal planes, and their US aspects should be recorded [22]. The US characteristics of each endometrioma should be described using the international terminology to assess ovarian tumors, considering the signs of possible malignancy [23].
Per the risk prediction model and five simple signs proposed by the International Ovarian Tumor Analysis (IOTA) group in 2013, the US signs of malignancy of the neoplasm (M-signs) and US signs of benignity (B-signs) of the ovaries need to be assessed.
IOTA signs of malignancy (M-signs)
- Solid formation of uneven structure.
- At least four papillary growths.
- Heterogeneous multilocular solid formation more than 10 cm in size.
IOTA benign signs (B-signs)
- Unicameral formation.
- Solid component with a maximum dimension of less than 7 mm.
- Smooth-walled multilocular cyst less than 10 cm in diameter.
- Acoustic shadow.
- Avascularity on color Doppler imaging.
According to IOTA, the formation is considered malignant if at least one M-sign is present without a single B-sign. In the case of at least one B-sign and no M-signs, the formation is considered benign. In the absence of M- and B-signs or, conversely, in the presence of both M- and B-signs, the formation is regarded as indefinite [24].
Furthermore, in 2018, in the United States, the Ovarian-Adnexal Reporting and Data System (O-RADS) system was published, which defined a unified terminology for describing ovarian neoplasms, its edges, internal structure and vascularization, US signs of a simple and unicameral cyst, hemorrhagic cyst, endometrioma, dermoid cyst, and ovarian fibroma. These definitions proposed to distinguish the following five types of ovarian neoplasms: 1) a unicameral cyst without a solid component; 2) a unicameral cyst with a solid component; 3) multilocular cyst without a solid component; 4) a multilocular cyst with a solid component; and 5) solid formation [25].
During stage 2, US “mild symptoms” are searched, such as local tenderness and limitation of ovarian mobility. The presence of “mild symptoms” indicates an increased likelihood of superficial endometriosis and peritoneal adhesions [26]. With the hand pressing in the area between the uterus and ovary during TVUS, it can be assessed whether the ovary is fixed medially to the uterus, laterally to the pelvic wall, or to the uterosacral ligaments (USL). In addition, adhesions may be suspected if, upon pressure with a sensor or during abdominal palpation with the free hand, the ovaries or uterus appear to be fixed to adjacent organs or tissues (mesoderm, bladder, rectum, or parietal peritoneum of Douglas pouch). Notably, when fluid is present in the lesser pelvis between the ovaries and the uterus or the peritoneum of the Douglas pouch, thin strands of tissue — adhesions — can be observed [26, 27].
Stage 3 represents the assessment of the Douglas pouch based on “sliding symptoms,” assessed using TVUS in real-time.
Typically, to assess “sliding symptoms” when the uterus is in the anteverted position, the transvaginal sensor needs to be gently pushed onto the cervix to determine if the anterior rectal wall slides freely over the posterior cervix (retrocervical region) and the posterior vaginal wall. If the uterus is in the retroverted position, the transvaginal sensor should be pressed gently on the posterior wall of the upper fundus to determine if the anterior rectal wall slides freely over the posterior cervix and the posterior wall of the upper fundus. The examiner then places one hand on the anterior abdominal wall in the suprapubic region and moves the uterus in the space between the palpating hand and the transvaginal sensor (in the other hand) to assess if the bowel is sliding freely over the posterior surface of the upper part or uterine fundus. If the answer is positive, this sliding symptom is considered positive for this area. If during TVUS, the anterior wall of the rectum or the anterior wall of the sigmoid colon does not slide freely along the posterior wall of the cervix or the posterior wall of the uterine fundus, respectively, in at least one of these areas the “sliding symptom” is negative and the Douglas pouch is considered obliterated [28, 29].
Stage 4 represents the search for foci of DIE in the anterior and posterior sections of the lesser pelvis. The anterior section includes the bladder, hysterocystic space, and the uterus. Typically, to assess the anterior section, the sensor is installed at the anterior vaginal fornix. Partial bladder filling helps assess the bladder wall and identify and describe endometriotic nodules. In two-dimensional (2D) US, the presentation of anterior DIE can be different, including hypoechoic linear or spherical lesions with or without clear contours, with the involvement of the muscle wall (most often) or the bladder mucosa [6, 30]. In addition, the sizes of the bladder nodules are measured in three orthogonal planes. Notably, deep infiltrating endometriosis of the bladder is diagnosed if lesions are present in the muscular wall of the bladder. Hence, lesions that extend only to the serous membrane refer to superficial extragenital endometriosis.
Nevertheless, for describing accurately, it is proposed to divide the urinary bladder into the following four zones during the US: the zone 1 is represented by a triangular area located at a distance of 3 cm from the ureteral opening — a smooth triangular region bordered by two ureteral orifices and the internal urethral opening; the zone 2 is the fundus of the urinary bladder, facing backward and downward and adjacent to the vagina and the endocervix; the zone 3 is the bladder dome located above the fundus of the urinary bladder intraperitoneally; and the zone 4 is the extraperitoneal part of the urinary bladder.
The obliteration of the hysterocystic space can be assessed using the “sliding symptoms,” by placing a transvaginal sensor is placed in the anterior fornix area, with the uterus displaced between the sensor and the doctor’s hand located in the suprapubic region. If the bladder does not slide freely along the anterior uterine wall, the “sliding symptom” is considered negative, and the hysterocystic space is considered obliterated. Adhesions in the anterior region are present in approximately one-third of women with a history of cesarean section and are not necessarily a symptom of pelvic endometriosis [31].
Notably, women with DIE with ureteral involvement may have an asymptomatic disease course; therefore, the prevalence of endometriotic foci in the urinary tract can be underestimated [32–36]. Therefore, all women with DIE should undergo a transabdominal scan to detect possible ureteral stenosis. The distal ureters should be examined carefully using a transvaginal sensor. The ureters can be found by locating the urethra in the sagittal plane and moving the sensor towards the lateral pelvic wall. In this case, the intrabladder part of the ureter is determined, and its course is monitored to the point of exit from the bladder and further, toward the lateral wall of the pelvis and above, to the level of bifurcation of the common iliac vessels. It is advisable to wait for the appearance of peristalsis because this confirms the ureteral patency. Typically, the ureters look like long tubular hypoechoic structures with a thick hyperechoic membrane extending from the lateral surface of the bladder fundus to the common iliac vessels. Dilation of ureters with endometriosis is caused by strictures because of the external compression or internal infiltration. The distance from the distal urethral orifice to the stricture should be measured [37, 38]. The degree of hydronephrosis needs to be assessed and classified according to the generally accepted US criteria [39].
On TVUS, foci of posterior DIE are visualized as hypoechoic thickening of the intestinal or vaginal walls or as hypoechoic solid nodules of various sizes with smooth or indistinct contours [40]. According to Chapron et al. [41], most often, the DIE in the posterior section is localized in the USL, the posterior fornix of the vagina, the anterior wall of the rectum, and the sigmoid colon. Some authors recommend preliminary preparation of the bowel before scanning the lesser pelvis and the use of enemas 1 h before the US scan to remove the remains of the fecal matter and gas from the rectosigmoid region [37, 42]. However, these procedures are deemed unnecessary, and no prospective studies have compared the efficacy of TVUS with and without preliminary bowel preparation in diagnosing bowel DIE.
The rectovaginal area includes the vagina, rectum, and RVS. RVS involvement should be suspected when a DIE nodule is visible on TVUS in the rectovaginal space below the line along the lower edge of the posterior lip of the uterine cervix (below the peritoneum). Notably, isolated DIE of RVS is rare. The dimensions of the DIE of RVS nodules should be measured in three orthogonal planes, and the distance between the lower edge of the lesion and the anus is a necessary measurement.
If, during TVUS, a DIE nodule is detected in the rectovaginal space below the line passing along the caudal end of the peritoneum of the lower edge of the utero-rectal pouch (Douglas pouch), and above the line passing along the lower border of the posterior lip of the cervix (under the peritoneum), then the posterior or lateral vaginal fornix is suspected to be involved. Moreover, endometriosis of the posterior vaginal fornix can be suspected when the posterior vaginal fornix is thickened or a separate nodule is revealed in the hyperechoic layer of the vaginal wall. Notably, a hyperechoic nodule can be homogeneous and inhomogeneous with and without large cystic areas, and the cystic areas surrounding the nodule can also be visualized [6, 31]. Hourglass-shaped lesions occur when DIE lesions in the posterior vaginal fornix extend to the anterior rectal wall [44]. These lesions are located between the peritoneum and the Douglas pouch and are typically large, 3 cm or more [45].
USLs are typically not visible on US. Therefore, the foci of USL DIE may become visible with a mid-sagittal projection of the uterus. However, better visualization can be achieved by placing the transvaginal sensor at the posterior vaginal fornix in the midline in the sagittal plane and then advancing the sensor laterally and down to the cervix. USLs are believed to be affected by DIE when hypoechoic thickening with clear or unclear edges is visualized within the intraperitoneal adipose tissue surrounding the USL. These lesions could either be isolated or form part of a larger nodule that extends into the vagina or other surrounding structures. Thickened USLs can be measured in the transverse plane at the site of its attachment to the cervix, if easily distinguishable from adjacent structures. In some cases, foci of DIE involving USL are localized in the torus uterinus (a transverse ridge in the posterior part of the cervix, formed by the junction of the rectal and uterine folds). In this case, the lesion looks like a central thickening in the retrocervical region [46]. The dimensions of the USL DIE nodules should be recorded in three orthogonal planes.
In classical intestinal DIE, the anterior rectum, rectosigmoid junction, and sigmoid colon are all affected, and can be visualized using TVUS. Normally, all rectal wall layers can be visualized using TVUS, wherein the serous membrane of the rectum looks like a thin hyperechoic line; the muscular membrane is hypoechoic, with a longitudinal smooth muscle layer (outside) and a circular smooth muscle layer (inside), separated by an unclear thin hyperechoic line; the submucosa is hyperechoic; and the mucous membrane is hypoechoic [43]. Histologically, intestinal endometriosis is defined as the presence of endometrioid glands and stroma in the intestinal wall, reaching at least the muscular membrane [47], often causing smooth muscle hyperplasia and fibrosis. Consequently, the intestinal wall thickens, and its lumen narrows somewhat. Deep infiltrating intestinal endometriosis may manifest as isolated foci or could be multifocal (multiple foci affecting one segment) or multicentric (multiple foci affecting several segments of the intestine, i.e., small intestine, colon, cecum, ileocecal junction, or appendix) [48]. Colonography by using CT and MRI can be performed to diagnose both multifocal and multicentric intestinal endometriosis [48].
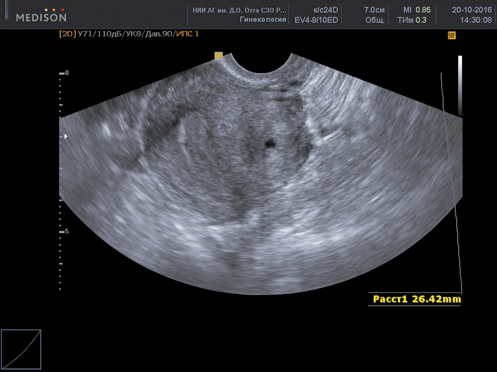
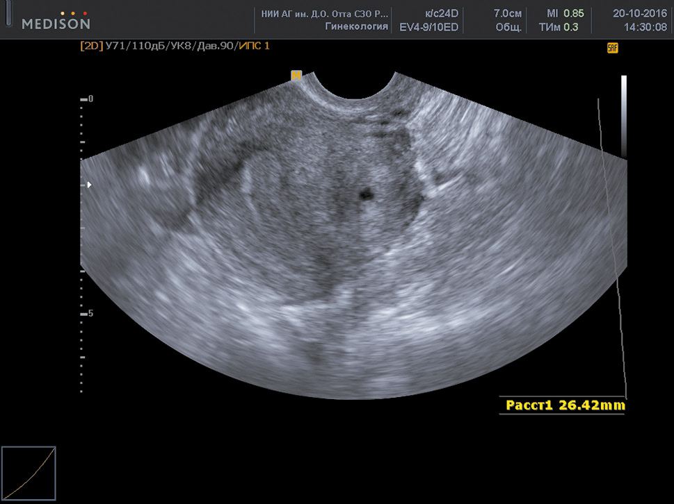
Typically, intestinal DIE is visualized on TVUS as a thickened and hypoechoic muscular membrane or hypoechoic nodules with or without hyperechoic foci with diffuse edges. Sonographically, the intestinal foci are hyperechoic, and in some cases, a thinner area or “tail” resembling a comet can be seen [49]. Instead of the normal appearance of the muscular membrane of the rectum and rectosigmoid section, nodules of pathological tissue with possible retraction and adhesion are detected, which cause the emergence of signs of the so-called “Indian headdress” or “moose antler” (Fig. 2).
Fig. 2. Deep infiltrating intestinal endometriotic nodule: “Indian headdress” or “moose antler” sign
Рис. 2. Глубокий инфильтративный эндометриоз кишечника. Симптом «головного убора индейца» или «лосиных рогов»
Notably, because intestinal DIE affects various segments simultaneously, the intestines need to be examined carefully to detect other foci of lesions in the rectum or rectosigmoid regions. Preliminary data reveal that foci of the rectal DIE are associated with secondary foci of the intestine in 54.6% of cases [42]. When multifocal foci of intestinal DIE are identified, the total mean sagittal length of the involved intestinal segment should be measured from the caudal to the cranial direction. Nevertheless, of significance is the fact that intestinal shrinkage in the area of the DIE nodules in the rectosigmoid region can lead to the overestimation of the focus thickness and underestimation of its actual length. This phenomenon is described as a mushroom cap sign on the MRI and can be observed on TVUS too [50].
Nevertheless, operator experience is of paramount significance when performing the gynecological US to assess the “sliding symptoms” to preliminarily assess the obliteration of the Douglas pouch. Menakaya et al. revealed that researchers who performed at least 200 TVUS studies interpreted “sliding symptoms” better than those who conducted fewer than 200 studies [51]. Experienced operators, who have performed over 2500 scans, achieve professional competence after approximately 40 examinations, enabling them to accurately detect “sliding symptoms” when assessing Douglas pouch obliteration and DIE rectal nodules [52, 53].
Figure 3 presents the review of the localizations of the DIE of the anterior and posterior segments of the lesser pelvis [20].
Fig. 3. Schematic drawings giving overview of anterior and posterior compartmental locations of deep infiltrating endometriosis [20]: DIE, deep infiltrative endometriosis
Рис. 3. Схемы локализаций глубокого инфильтративного эндометриоза переднего и заднего отделов малого таза [20]: ГИЭ — глубокий инфильтративный эндометриоз
Nonetheless, to improve visualization of the DIE foci, additional US techniques are used. Despite the widespread application of color Doppler imaging (CDI) in assessing endometriomas, no prospective data are available regarding its role in DIE diagnostics [22]. Typically, the foci of endometriosis in the rectosigmoid region are poorly vascularized. Therefore, the CDI technique is useful in distinguishing between intestinal DIE and rectal cancer.
Furthermore, preliminary filling of the rectum with water is tolerated well and enables to assess the degree of intestinal lumen stenosis [54]. According to S. Ferreo et al., the accuracy of TVUS with intestinal water-filling in diagnosing rectosigmoid endometriosis and assessing the size of endometrioid foci is comparable to the results of CT. Moreover, the pain intensity when filling the air in the intestine during CT is greater than that during US [55].
The vaginal US with saline contrast enhancement represents a combination of TVUS with the injection of saline into the vagina [56]. A transvaginal sensor is used, which has a specialized hydraulic ring (cuff) at the base filled with approximately 40 ml of saline solution to prevent the outflow of 60–120 ml of saline solution injected into the vagina using a Foley catheter [57]. The solution creates an acoustic window between the transvaginal sensor and the structures surrounding the vagina and exerts pressure to stretch the vaginal walls. This procedure enables complete visualization of the vaginal walls and the anterior and posterior vaginal fornices.
For conducting a gel-contrast US scan, 20–50 ml of gel is injected into the posterior vaginal fornix with a plastic syringe before inserting the transvaginal sensor [37, 58]. The gel creates an acoustic window for visualization of the posterior structures “at a distance.” However, the gel must be carefully taken into the syringe, ensuring no air entry and minimal bubbles.
Transrectal US is used in cases where TVUS is impossible or inappropriate, such as in patients with intact hymen [59]. A meta-analysis of 17 studies revealed that a transrectal US study provides more accurate information than an MRI regarding the rectosigmoid foci, but less accurate than TVUS for other external genital endometriosis sites, except for RVS [9].
The use of three-dimensional (3D) TVUS has been reported. One study analyzed a 3D volumetric dataset and demonstrated the benefits of a three-dimensional study in diagnosing posterior DIE without intestinal involvement, such as DIE of the USL, vagina, or RVS [17]. However, 3D US does not facilitate the assessment of pelvic mobility and local tenderness.
Nonetheless, data regarding the effectiveness of transvaginal elastography in diagnosing DIE are limited [60]. Notably, DIE nodules often exhibit high rigidity during elastography.
Adenomyosis
TVUS and MRI constitute the most informative methods for diagnosing the various forms of adenomyosis. According to different authors, the informative value of US for detecting adenomyosis varies from 20% to 86% [61]. The sensitivity of transvaginal echography in diagnosing adenomyosis depends on the extent of the disease, and according to V.N. Demidov et al. (2002), was 65.4% with grade I, 75.0% with grade II, 92.0% with grade III, 21.0% with focal form, and 80.0% with nodular form [62]. Therefore, according to V.N. Demidov et al., the average diagnostic accuracy of adenomyosis is 88.7%, the sensitivity is 91.5%, and the specificity is 86%. In 2019, T. Tellum et al. presented a meta-analysis including 10 studies involving 827 patients who underwent 2D or 3D TVUS, and 317 patients who underwent MRI. The analysis revealed that TVUS and MRI provided comparable results in diagnosing adenomyosis. The sensitivity of MRI, 2D-TVUS, 3D-TVUS, and general TVUS was 78% (70%–84%), 74% (68%–79%), 84% (77%–89%), 78% (73%–82%), respectively, and the specificity was 88% (83%–92%), 76% (71%–79%), 84% (77%–89%), 78% (74%–81%), respectively (95% confidence interval). Therefore, TVUS was recommended as the first-line diagnostic method. MRI was used as the second-line method if TVUS was inconclusive [63].
According to the classification by V.N. Demidov and A.I. Gus (2002), the significant characteristic signs of grade 1 adenomyosis are as follows:
- The appearance of small (approximately 1 mm in diameter) anechoic tubular structures extending from the endometrium toward the myometrium.
- The presence of small round or oval-shaped hypoechoic and anechoic inclusions with a diameter of approximately 1–2 mm in the region of the basal layer of the endometrium.
- Uneven thickness of the basal layer of the endometrium.
- Deformity and serration or indentation of the basal layer of the endometrium.
- The appearance of individual areas of increased echogenicity up to 3–4 mm thick in the myometrium, directly adjacent to the uterine cavity.
The uterine thickness is slightly increased without pronounced asymmetry between the thickness of the anterior and posterior walls.
Besides the above signs, in case of grade II adenomyosis, scans reveal the following:
- An increase in the uterine thickness, which exceeds the upper limits of the norm.
- Thickening of one of the uterine walls by 0.4 cm or more than the other.
- Varying thickness of the zone of increased heterogeneous echogenicity in the myometrium directly adjacent to the uterine cavity.
- Small rounded anechoic formations with a diameter of 2–5 mm, as well as liquid cavities of various shapes and sizes, containing a fine suspension (blood), and sometimes dense inclusions of low echogenicity (blood clots) in the zone of increased echogenicity. The uterine thickness is increased in approximately half of the patients with grade II adenomyosis.
Furthermore, adenomyosis grade III is characterized by the following:
- An increase in the uterus, mainly anteroposterior size.
- A predominant increase in the thickness of one of the uterine walls.
- The presence of a zone of increased heterogeneous echogenicity in the myometrium, occupying more than half of the uterine wall thickness.
- The presence of anechoic inclusions with a diameter of 2–6 mm or liquid cavities of various shapes and sizes containing a finely dispersed suspension in the echogenic zone.
- The appearance of multiple medium and low echogenicity of closely adjacent bands at the site of the pathological formation oriented perpendicular to the scanning plane.
- The presence of a zone of increased echogenicity and an anechoic zone in the region of the distal front in the region of the proximal front of scanning. The uterine thickness is increased in almost all patients with grade III adenomyosis.
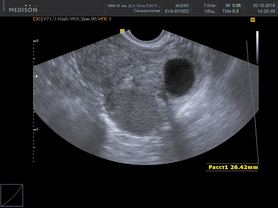
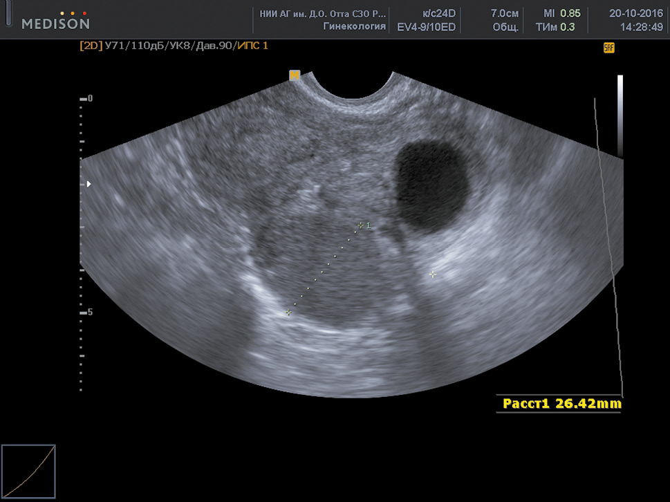
With nodular and focal forms of adenomyosis, the scans reveal the following echographic signs:
- Zones of increased echogenicity of a round or oval shape with smooth contours in the uterine wall with nodular endometriosis, and with uneven contours in case of focal endometriosis.
- Small (2–6 mm in diameter) anechoic inclusions or cystic cavities containing a finely dispersed suspension.
- Increased echogenicity near the proximal edge of the formation and reduced echogenicity near the distal front.
- Closely adjacent bands of medium and low echogenicity in the pathological focus, oriented perpendicular to the scanning plane.
- Deformity of the median uterine echo with the submucosal location of the nodule. The uterine thickness in focal and nodular adenomyosis depends on the size of the pathological formation (Fig. 4).
Fig. 4. Nodular adenomyosis
Рис. 4. Узловая форма аденомиоза
Notably, the characteristics and extent of the spread of various forms of adenomyosis can be determined with high accuracy with MRI, as well as TVUS. For patients with a focal form of adenomyosis, heterogeneity of the myometrium is characteristic because of small foci of various shapes and low density, which do not have clear boundaries with the normal tissue of the myometrium. With a diffuse form of adenomyosis, the uterus is enlarged, spherical, with unclear contours and varying thicknesses of the anterior and posterior walls. With the nodular form of adenomyosis, the uterus is enlarged owing to formations of a round shape and low density without clear boundaries in the thickness of the myometrium. Moreover, unlike uterine fibroids, nodules in adenomyosis are devoid of pseudocapsules, clear boundaries, and vascular branches. Notably, CT is not the primary method for diagnosing adenomyosis. Generally, a study with radiopaque bolus enhancement is required to detect adenomyosis. As mentioned above, MRI can diagnose adenomyosis with high accuracy, with a sensitivity of 78%–88% and specificity of 67%–93% [64]. Notably, a strong correlation exists between the MRI image and histological examination findings [65]. With MRI, especially with the use of T2-weighted images, all layers of the uterine wall are visualized well, including the junctional zone (JZ) between the endometrium and myometrium. Presently, studies regarding the thickness and appearance of the JZ in diagnosing adenomyosis has garnered significance. According to various authors, a heterogeneous and more than 8–12 mm thick JZ indicates adenomyosis with a high degree of probability [66].
Moreover, JZ can be assessed using contemporary ultrasonic 3D scanning techniques. In contrast to standard 2D echography, a coronary section of the uterine cavity during 3D scanning evaluates the JZ of the lateral walls and the uterine fundus. In addition, with the use of volume contrast imaging, JZ hypoechoic structure can be visualized more clearly. The study of A.I. Ahmed that used 3D scanning in the coronary plane of the uterus, confirmed the high (80%) diagnostic accuracy of “blurred” and irregular JZ as a diagnostic criterion for adenomyosis [67]. According to K.M. Dzhamalutdinova (2019), a comparison of the informative values of 2D and 3D US scanning in detecting adenomyosis, especially its initial forms, revealed the significance of determining the structure and thickness of JZ. The author considers the difference between the maximum and minimum JZ thickness (more than or equal to 4 mm), the maximum JZ thickness (more than 8 mm), and its heterogeneity to be the most significant parameters in 3D transvaginal echography. The overall accuracy of 2D and 3D US in diagnosing adenomyosis was 83% and 89%, with sensitivities of 75% and 91%, respectively, and specificities of 90% and 88%, respectively [68].
Doppler and CDI can play an auxiliary role in diagnosing adenomyosis during US examination. Average values of the resistance index in the uterine arteries with adenomyosis are within the range of 0.68–0.87, and in the arterioles near the focus of adenomyosis, they range from 0.64–0.77. These fluctuations are probably because of the differences in endometriosis prevalence and the number of patients examined [69, 70]. The degree of vascularization of adenomyosis foci is higher than that of intact myometrium. Notably, in patients with the nodular form of adenomyosis, blood flow is recorded only in the peripheral areas of the adenomyosis nodules during CDI. If tumor-like formations are revealed in the myometrium, for the purpose of differential diagnoses, such as adenomyosis nodules and intramural fibromyomatous nodules, it is advisable to perform CDI with dopplerometry of the blood flow in the vessels that are in contact with and intact for the myometrium nodule. Notably, in the nodular form of adenomyosis, no intratumoral blood flow is noted in the central part of the formation [71].
Conclusion
The possibilities of US detecting ovarian endometriosis, DIE, and adenomyosis have been studied well [18–20]. TVUS is the first-line diagnostic method in patients with suspected endometriosis [15]. The predictive ability of TVUS in detecting severe forms of DIE and the Douglas pouch obliteration helps in the implementation of a multidisciplinary surgical approach [15, 26–28, 72, 73].
Nevertheless, a systematic approach to the pelvic examination is necessary for women with suspected endometriosis, applying the generally accepted terms and measurement methods to describe the US picture of endometriosis. This approach will increase the diagnostic accuracy and, accordingly, help in formulating the appropriate treatment plan.
About the authors
Elena I. Rusina
The Research Institute of Obstetrics, Gynecology, and Reproductology named after D.O. Ott
Email: pismo_rusina@mail.ru
ORCID iD: 0000-0002-8744-678X
ResearcherId: K-1269-2018
MD, PhD, DSci (Medicine), Leading Researcher
Russian Federation, Saint PetersburgMaria I. Yarmolinskaya
The Research Institute of Obstetrics, Gynecology, and Reproductology named after D.O. Ott; North-Western State Medical University named after I.I. Mechnikov
Email: m.yarmolinskaya@gmail.com
ORCID iD: 0000-0002-6551-4147
SPIN-code: 3686-3605
Scopus Author ID: 7801562649
MD, PhD, DSci (Medicine), Professor, Professor of the Russian Academy of Sciences, Head of the Department of Gynecology and Endocrinology, Head of the Diagnostics and Treatment of Endometriosis Center; Professor. The Department of Obstetrics and Gynecology
Russian Federation, Saint PetersburgAlina O. Ivanova
The Research Institute of Obstetrics, Gynecology, and Reproductology named after D.O. Ott
Author for correspondence.
Email: ivanova_ao93@mail.ru
ORCID iD: 0000-0003-0792-3337
SPIN-code: 5573-6990
MD, Junior Researcher
Russian Federation, Saint PetersburgReferences
- Nisenblat V, Bossuyt PM, Farquhar C, et al. Imaging modalities for the non-invasive diagnosis of endometriosis. Cochrane Database Syst Rev. 2016;2:CD009591. https://doi.org/10.1002/14651858.CD009591.pub2.
- Демидов В.Н. Экстрагенитальный эндометриоз и его ультразвуковая диагностика // Ультразвуковая и функциональная диагностика. − 2010. − № 3. − С. 102–111. [Demidov VN. Extragenital endometriosis ultrasound diagnostics. Ultrasound and Functional Diagnostics. 2010;(3):102-111. (In Russ.)]
- Трофименко И.А., Марченко Н.В., Труфанов Г.Е. Особенности магнитно-резонансной семиотики наружного генитального эндометриоза // Вестник Российской военно-медицинской академии. − 2008. − № 4. − С. 23–27. [Trofimenko IA, Marchenko NV, Trufanov GE. The peculiarities of magnetic resonance findings at endometriosis externa. Vestnik Rossiiskoi voenno-meditsinskoi akademii. 2008;(4):23-27. (In Russ.)]
- Huang H, Li C, Zarogoulidis P, et al. Endometriosis of the lung: report of a case and literature review. Eur J Med Res. 2013;18(1):13. https://doi.org/10.1186/2047-783X-18-13.
- Леншин А.В., Быстрицкая Т.С., Ильин А.В., Крайнов С.А. Торакальный эндометриоз (клинико-радиологическое наблюдение, обзор литературы) // Бюллетень физиологии и патологии дыхания. − 2014. − № 51. − С. 118−129. [Lenshin AV, Bystritskaya TS, Il’in AV, Kraynov SA. Thoracic endometriosis (clinical-radiologic study, review). Bulletin physiology and pathology of respiration. 2014;(51):118-129. (In Russ.)]
- Hudelist G, Ballard K, English J, et al. Transvaginal sonography vs. clinical examination in the preoperative diagnosis of deep infiltrating endometriosis. Ultrasound Obstet Gynecol. 2011;37(4):480-487. https://doi.org/10.1002/uog.8935.
- Holland TK, Cutner A, Saridogan E, et al. Ultrasound mapping of pelvic endometriosis: does the location and number of lesions affect the diagnosticaccuracy? A multicentre diagnostic accuracy study. BMC Womens Health. 2013;13:43. https://doi.org/10.1186/1472-6874-13-43.
- Тарламазян А.В., Столярова У.В., Нейфельд И.В. Проблема диагностики ретроцервикального эндометриоза // Научный альманах. − 2015. − № 7. − С. 917−921. [Tarlamazyan AV, Stolyarova UV, Neifel’d IV. Problema diagnostiki retrotservikal’nogo endometioza. Science Almanac. 2015;(7):917-921. (In Russ.)]. https://doi.org/10.17117/na.2015.07.269.
- Noventa M, Scioscia M, Schincariol M, et al. Imaging modalities for diagnosis of deep pelvic endometriosis: comparison between trans-vaginal sonography, rectal endoscopy sonography and magnetic resonance imaging. A head-to-head meta-analysis. Diagnostics (Basel). 2019;9(4). pii: e225. https://doi.org/10.3390/diagnostics9040225.
- Gerges B, Lu C, Reid S, et al. Sonographic evaluation of immobility of normal and endometriotic ovary in detection of deep endometriosis. Ultrasound Obstet Gynecol. 2017;49(6):793-798. https://doi.org/10.1002/uog.15990.
- Chapron C, Pietin-Vialle C, Borghese B, et al. Associated ovarian endometrioma is a marker for greater severity of deeply infiltrating endometriosis. Fertil Steril. 2009;92(2):453-457. https://doi.org/10.1016/j.fertnstert.2008.06.003.
- Ghezzi F, Raio L, Cromi A, et al. “Kissing ovaries”: a sonographic sign of moderate to severe endometriosis. Fertil Steril. 2005;83(1):143-147. https://doi.org/10.1016/j.fertnstert.2004.05.094.
- Mascilini F, Moruzzi C, Giansiracusa C, et al. Imaging in gynecological disease. 10: Clinical and ultrasound characteristics of decidualized endometriomas surgically removed during pregnancy. Ultrasound Obstet Gynecol. 2014;44(3):354-360. https://doi.org/10.1002/uog.13323.
- Адамян Л.В., Демидов В.Н., Гус А.И., Обельчак И.С. Лучевая диагностика и терапия в акушерстве и гинекологии: национальное руководство. – М.: ГЭОТАР-Медиа, 2012. – 656 с. [Adamyan LV, Demidov VN, Gus AI, Obel’chak IS. Luchevaya diagnostika i terapiya v akusherstve i ginekologii: natsional’noye rukovodstvo. Moscow: GЕOTAR-Media; 2012. 656 р. (In Russ.)]
- Piketty M, Chopin N, Dousset B, et al. Preoperative work-up for patients with deeply infiltrating endometriosis: transvaginal ultrasonography must definitely be the first-line imaging examination. Hum Reprod. 2009;24(3):602-607. https://doi.org/10.1093/humrep/den405.
- Rossi L, Palazzo L, Yazbeck C, et al. Can rectal endoscopic sonography be used to predict infiltration depth in patients with deep infiltrating endometriosis of the rectum? Ultrasound Obstet Gynecol. 2014;43(3):322-327. https://doi.org/10.1002/uog.12535.
- Guerriero S, Saba L, Ajossa S, et al. Three-dimensional ultrasonography in the diagnosis of deep endometriosis. Hum Reprod. 2014;29(6):1189-1198. https://doi.org/10.1093/humrep/deu054.
- Hudelist G, English J, Thomas AE, et al. Diagnostic accuracy of transvaginal ultrasound for non-invasive diagnosis of bowel endometriosis: systematic review and meta-analysis. Ultrasound Obstet Gynecol. 2011;37(3):257-263. https://doi.org/10.1002/uog.8858.
- Guerriero S, Ajossa S, Orozco R, et al. Accuracy of transvaginal ultrasound for diagnosis of deep endometriosis in the rectosigmoid: systematic review and meta-analysis. Ultrasound Obstet Gynecol. 2016;47(3):281-289. https://doi.org/10.1002/uog.15662.
- Guerriero S, Condous G, van den Bosch T, et al. Systematic approach to sonographic evaluation of the pelvis in women with suspected endometriosis, including terms, definitions and measurements: a consensus opinion from the International Deep Endometriosis Analysis (IDEA) group. Ultrasound Obstet Gynecol. 2016;48(3):318-332. https://doi.org/10.1002/uog.15955.
- Van den Bosch T, Dueholm M, Leone FP, et al. Terms, definitions and measurements to describe sonographic features of myometrium and uterine masses: a consensus opinion from the Morphological Uterus Sonographic Assessment (MUSA) group. Ultrasound Obstet Gynecol. 2015;46(3):284-298. https://doi.org/10.1002/uog.14806.
- Van Holsbeke C, van Calster B, Guerriero S, et al. Endometriomas: their ultrasound characteristics. Ultrasound Obstet Gynecol. 2010;35(6):730-740. https://doi.org/10.1002/uog.7668.
- Timmerman D, Valentin L, Bourne TH, et al. Terms, definitions and measurements to describe the sonographic features of adnexal tumors: a consensus opinion from the International Ovarian Tumor Analysis (IOTA) group. Ultrasound Obstet Gynecol. 2000;16(5):500-505. https://doi.org/10.1046/j.1469-0705.2000.00287.x.
- Kaijser J, Bourne T, Valentin L, et al. Improving strategies for diagnosing ovarian cancer: a summary of the International Ovarian Tumor Analysis (IOTA) studies. Ultrasound Obstet Gynecol. 2013;41(1):9-20. https://doi.org/10.1002/uog.12323.
- Andreotti RF, Timmerman D, Benacerraf BR, et al. Ovarian-adnexal reporting lexicon for ultrasound: a white paper of the ACR ovarian-adnexal reporting and data system committee. J Am Coll Radiol. 2018;15(10):1415-1429. https://doi.org/10.1016/j.jacr.2018.07.004.
- Okaro E, Condous G, Khalid A, et al. The use of ultrasound-based ‘soft markers’ for the prediction of pelvic pathology in women with chronic pelvic pain – can we reduce the need for laparoscopy? BJOG. 2006;113(3):251-256. https://doi.org/10.1111/j.1471-0528.2006.00849.x.
- Holland TK, Yazbek J, Cutner A, et al. Value of transvaginal ultrasound in assessing severity of pelvic endometriosis. Ultrasound Obstet Gynecol. 2010;36(2):241-248. https://doi.org/10.1002/uog.7689.
- Hudelist G, Fritzer N, Staettner S, et al. Uterine sliding sign: a simple sonographic predictor for presence of deep infiltrating endometriosis of the rectum. Ultrasound Obstet Gynecol. 2013;41(6):692-695. https://doi.org/10.1002/uog.12431.
- Reid S, Lu C, Casikar I, et al. Prediction of pouch of Douglas obliteration in women with suspected endometriosis using a new real-time dynamic transvaginal ultrasound technique: the sliding sign. Ultrasound Obstet Gynecol. 2013;41(6):685-691. https://doi.org/10.1002/uog.12305.
- Savelli L, Manuzzi L, Pollastri P, et al. Diagnostic accuracy and potential limitations of transvaginal sonography for bladder endometriosis. Ultrasound Obstet Gynecol. 2009;34(5):595-600. https://doi.org/10.1002/uog.7356.
- Guerriero S, Ajossa S, Gerada M, et al. Diagnostic value of transvaginal ‘tenderness-guided’ ultrasonography for the prediction of location of deep endometriosis. Hum Reprod. 2008;23(11):2452-2457. https://doi.org/10.1093/humrep/den293.
- Moro F, Mavrelos D, Pateman K, et al. Prevalence of pelvic adhesions on ultrasound examination in women with a history of Cesarean section. Ultrasound Obstet Gynecol. 2015;45(2):223-228. https://doi.org/10.1002/uog.14628.
- Knabben L, Imboden S, Fellmann B, et al. Urinary tract endometriosis in patients with deep infiltrating endometriosis: prevalence, symptoms, management, and proposal for a new clinical classification. Fertil Steril. 2015;103(1):147-152. https://doi.org/10.1016/j.fertnstert.2014.09.02.
- Carmignani L, Vercellini P, Spinelli M, et al. Pelvic endometriosis and hydroureteronephrosis. Fertil Steril. 2010;93(6):1741-1744. https://doi.org/10.1016/j.fertnstert. 2008.12.038.
- Webb JA. Ultrasonography and Doppler studies in the diagnosis of renal obstruction. BJU Int. 2000;86(Suppl 1):25-32. https://doi.org/10.1046/j.1464-410x.2000.00583.x.
- Reid S, Condous G. Should ureteric assessment be included in the transvaginal ultrasound assessment for women with suspected endometriosis? Australas J Ultrasound Med. 2015;18(1):2. https://doi.org/10.1002/j.2205-0140.2015.tb00021.x.
- Leon M, Vaccaro H, Alcazar JL, et al. Extended transvaginal sonography in deep infiltrating endometriosis: use of bowel preparation and an acoustic window with intravaginal gel: preliminary results. J Ultrasound Med. 2014;33(2):315-321. https://doi.org/10.7863/ultra.33.2.315.
- Pateman K, Holland TK, Knez J, et al. Should a detailed ultrasound examination of the complete urinary tract be routinely performed in women with suspected pelvic endometriosis? Hum Reprod. 2015;30(12):2802-2807. https://doi.org/10.1093/humrep/dev246.
- Block B. The practice of ultrasound: a step-by-step guide to abdominal scanning. Stuttgart, Germany: Thieme Verlagsgruppe; 2011. 253 р.
- Dessole S, Farina M, Rubattu G, et al. Sonovaginography is a new technique for assessing rectovaginal endometriosis. Fertil Steril. 2003;79(4):1023-1027. https://doi.org/ 10.1016/s0015-0282(02)04952-x.
- Chapron C, Chopin N, Borghese B, et al. Deeply infiltrating endometriosis: pathogenetic implications of the anatomical distribution. Hum Reprod. 2006;21(7):1839-1845. https://doi.org/10.1093/humrep/del079.
- Goncalves MO, Podgaec S, Dias JA, et al. Transvaginal ultrasonography with bowel preparation is able to predict the number of lesions and rectosigmoid layers affected in cases of deep endometriosis, defining surgical strategy. Hum Reprod. 2010;25(3):665-671. https://doi.org/10.1093/humrep/dep433.
- Chamie LP, Pereira RM, Zanatta A, et al. Transvaginal US after bowel preparation for deeply infiltrating endometriosis: protocol, imaging appearances, and laparoscopic correlation. Radiographics. 2010;30(5):1235-1249. https://doi.org/10.1148/rg.305095221.
- Squifflet J, Feger C, Donnez J. Diagnosis and imaging of adenomyotic disease of the retroperitoneal space. Gynecol Obstet Invest. 2002;54(Suppl 1):43-51. https://doi.org/ 10.1159/000066294.
- Donnez J, Pirard C, Smets M, et al. Surgical management of endometriosis. Best Pract Res Clin Obstet Gynaecol. 2004;18(2):329-348. https://doi.org/10.1016/j.bpobgyn. 2004.03.004.
- Bazot M, Darai E, Hourani R, et al. Deep pelvic endometriosis: MR imaging for diagnosis and prediction of extension of disease. Radiology. 2004;232(2):379-389. https://doi.org/10.1148/radiol.2322030762.
- Guadagno A, Grillo F, Vellone VG, et al. Intestinal Endometriosis: mimicker of inflammatory bowel disease? Digestion. 2015;92(1):14-21. https://doi.org/10.1159/000430908.
- Belghiti J, Thomassin-Naggara I, Zacharopoulou C, et al. Contribution of computed tomography enema and magnetic resonance imaging to diagnose multifocal and multicentric bowel lesions in patients with colorectal endometriosis. J Minim Invasive Gynecol. 2015;22(5):776-784. https://doi.org/10.1016/j.jmig.2015.02.019.
- Benacerraf BR, Groszmann Y, Hornstein MD, et al. Deep infiltrating endometriosis of the bowel wall: the comet sign. J Ultrasound Med. 2015;34(3):537-542. https://doi.org/10.7863/ultra.34.3.537.
- Yoon JH, Choi D, Jang KT, et al. Deep rectosigmoid endometriosis: “mushroom cap” sign on T2-weighted MR imaging. Abdom Imaging. 2010;35(6):726-731. https://doi.org/10.1007/s00261-010-9643-3.
- Menakaya U, Infante F, Lu C, et al. Interpreting the real-time dynamic ‘sliding sign’ and predicting POD obliteration: an inter-, intra-observer, diagnostic accuracy and learning curve study. Ultrasound Obstet Gynecol. 2016;48(1):113-120. https://doi.org/10.1002/uog.15661.
- Piessens S, Healey M, Maher P, et al. Can anyone screen for deep infiltrating endometriosis with transvaginal ultrasound? Aust N Z J Obstet Gynaecol. 2014;54(5):462-468. https://doi.org/10.1111/ajo.12242.
- Tammaa A, Fritzer N, Strunk G, et al. Learning curve for the detection of pouch of Douglas obliteration and deep infiltrating endometriosis of the rectum. Hum Reprod. 2014;29(6):1199-1204. https://doi.org/10.1093/humrep/deu078.
- Bergamini V, Ghezzi F, Scarperi S, et al. Preoperative assessment of intestinal endometriosis: A comparison of transvaginal sonography with water-contrast in the rectum, transrectal sonography, and barium enema. Abdom Imaging. 2010;35(6):732-736. https://doi.org/10.1007/s00261-010-9610-z.
- Ferrero S, Biscaldi E, Vellone VG, et al. Computed tomographic colonography versus rectal-water contrast transvaginal ultrasonography in the diagnosis of rectosigmoid endometriosis: a pilot study. Ultrasound Obstet Gynecol. 2016;49(4):515-523. https://doi.org/10.1002/uog.15905.
- Reid S, Winder S, Condous G. Sonovaginography: redefining the concept of a “normal pelvis” on transvaginal ultrasound pre-laparoscopic intervention for suspected endometriosis. Aust J Ultrasound Med. 2011;14(2):21-24. https://doi.org/10.1002/j.2205-0140.2011.tb00190.x.
- Saccardi C, Cosmi E, Borghero A, et al. Comparison between transvaginal sonography, saline contrast sonovaginography and magnetic resonance imaging in the diagnosis of posterior deep infiltrating endometriosis. Ultrasound Obstet Gynecol. 2012;40(4):464-469. https://doi.org/10.1002/uog.11102.
- Reid S, Lu C, Hardy N, et al. Office gel sonovaginography for the prediction of posterior deep infiltrating endometriosis: a multicenter prospective observational study. Ultrasound Obstet Gynecol. 2014;44(6):710-718. https://doi.org/10.1002/uog.14704.
- Koga K, Osuga Y, Yano T, et al. Characteristic images of deeply infiltrating rectosigmoid endometriosis on transvaginal and transrectal ultrasonography. Hum Reprod. 2003;18(6):1328-1333. https://doi.org/10.1093/humrep/deg243.
- Schiffmann ML, Schafer SD, Schuring AN, et al. Importance of transvaginal ultrasound applying elastography for identifying deep infiltrating endometriosis – a feasibility study. Ultraschall Med. 2014;35(6):561-565. https://doi.org/10.1055/s-0034-1366747.
- Баскаков В.П., Цвелев Ю.В., Кира Е.Ф. Эндометриоидная болезнь. – СПб.: Н-Л, 2002. – 448 с. [Baskakov VP, Tsvelev YuV, Kira EF. Endometrioidnaya bolezn’. Saint Petersburg: N-L; 2002. 448 р. (In Russ.)]
- Демидов В.Н., Гус А.И. Современные принципы ультразвуковой диагностики генитального эндометриоза (в помощь практическому врачу) // Гинекология. − 2002. − Т. 4. − № 2. − С. 48−52. [Demidov VN, Gus AI. Sovremennyye printsipy ul’trazvukovoy diagnostiki genital’nogo endometrioza (v pomoshch’ prakticheskomu vrachu). Gynecology. 2002;4(2):48-52. (In Russ.)]
- Tellum T, Nygaard S, Lieng M. Noninvasive diagnosis of adenomyosis: a structured review and meta-analysis of diagnostic accuracy in imaging. J Minim Invasive Gynecol. 2020;27(2):408-418.e3. https://doi.org/10.1016/j.jmig. 2019.11.001.
- Tamai K, Togashi K, Ito T, et al. MR imaging findings of adenomyosis: correlation with histopathologic features and diagnostic pitfalls. Radiographics. 2005;25(1):21-40. https://doi.org/10.1148/rg.251045060.
- Kuligowska E, Deeds L, Lu K. Pelvic pain: overlooked and underdiagnosed gynecologic conditions. Radiographics. 2005;25(1):3-20. https://doi.org/10.1148/rg.251045511.
- Sofic A, Husic-Selimovic A, Carovac A, et al. The significance of MRI evaluation of the uterine junctional zone in the early diagnosis of adenomyosis. Acta Inform Med. 2016;24(2):103-106. https://doi.org/10.5455/aim. 2016.24.103-106.
- Krentel H, Cezar C, Becker S, et al. From clinical symptoms to MR imaging: diagnostic steps in adenomyosis. Biomed Res Int. 2017;2017:1514029. https://doi.org/ 10.1155/2017/1514029.
- Ahmed AI, Mahmoud AE, Fadiel AA, Frederick N. Comparison of 2-, 3D and doppler ultrasound with histological findings in adenomyosis. Fertil Steril. 2007;88(Suppl. 1):S82. https://doi.org/10.1016/j.fertnstert.2007.07.272.
- Джамалутдинова К. М. Аденомиоз: клинико-морфологические различия и современные методы лечения: Автореф. дис. … канд. мед. наук. – М., 2019. – 28 с. [Dzhamalutdinova KM. Adenomioz: kliniko-morfologicheskiye razlichiya i sovremennyye metody lecheniya. [dissertation abstract] Moscow; 2019. 28 р. (In Russ.)]. Доступ по: https://dlib.rsl.ru/viewer/01008701357#?page=1. Ссылка активна на 14.12.2019.
- Подзолкова Н.М., Глазкова O.Л., Львова А.Г., и др. Дооперационная диагностика аденомиоза: возможности и перспективы комплексного использования лучевых и эндоскопических методов исследования // Проблемы репродукции. − 2007. − № 2. − С. 62−70. [Podzolkova NM, Glazkova OL, L’vova AG, et al. Dooperatsionnaya diagnostika adenomioza: vozmozhnosti i perspektivy kompleksnogo ispol’zovaniya luchevykh i endoskopicheskikh metodov issledovaniya. Problemy reproduktsii. 2007;(2):62-70. (In Russ.)]
- Семенов И.А. Особенности регионарного кровообращения при аденомиозе: Автореф. дис. … канд. мед. наук. – СПб., 2007. – 23 с. [Semenov IA. Osobennosti regionarnogo krovoobrashcheniya pri adenomioze. [dissertation abstract] Saint Petersburg; 2007. 23 р.(In Russ.)]. Доступ по: https://search.rsl.ru/ru/record/01003173817. Ссылка активна на 14.12.2019.
- Menakaya U, Reid S, Infante F, Condous G. Systematic evaluation of women with suspected endometriosis using a 5-domain sonographically based approach. J Ultrasound Med. 2015;34(6): 937-947. https://doi.org/10.7863/ultra. 34.6.937.
- Menakaya U, Reid S, Lu C, et al. Performance of an Ultrasound Based Endometriosis Staging System (UBESS) for predicting the level of complexity of laparoscopic surgery for endometriosis. Ultrasound Obstet Gynecol. 2016;48(6):786-795. https://doi.org/10.1002/uog.15858.
Supplementary files







