Pneumonia in pregnant women with COVID-19: is it a new thrombotic microangiopathy in obstetric practice?
- Authors: Zazerskaya I.E.1, Bezhenar V.F.2, Godzoyeva A.O.1, Ishkarayeva V.V.1
-
Affiliations:
- V.A. Almazov National Medical Research Center
- Academician I.P. Pavlov First St. Petersburg State Medical University of the Ministry of Healthcare of the Russian Federation
- Issue: Vol 69, No 4 (2020)
- Pages: 29-40
- Section: Reviews
- Submitted: 04.06.2020
- Accepted: 07.06.2020
- Published: 28.09.2020
- URL: https://journals.eco-vector.com/jowd/article/view/34595
- DOI: https://doi.org/10.17816/JOWD69429-40
- ID: 34595
Cite item
Abstract
Thrombotic microangiopathies during pregnancy and puerperium are rare and, if undiagnosed, can be life-threating conditions for both the mother and the baby. The aim of this review article is to briefly describe clinical profile and highlight the clues for a correct diagnosis of pregnancy-related thrombotic microangiopathies. Of particular interest and important practical significance are the presented data on changes in the hemostatic system in patients with a new coronavirus infection COVID-19 through the prism of thrombotic microangiopathies.
Full Text
Thrombotic microangiopathy in pregnancy
Thrombotic microangiopathy (TMA) is a clinical and morphological syndrome characterized by vascular endothelial damage of the microvasculature with inflammation of the vascular wall and formation of blood clots by fibrin or platelets. Morphologically, the manifestations of TMA include edema of endothelial cells, their detachment from the basement membrane (endotheliosis), destruction and necrosis, expansion of the subendothelial space, and the appearance of blood clots in the lumen of capillaries and arterioles, often with complete occlusion of the vascular lumen. There are two types of thrombotic microangiopathies, including primary and secondary TMA (Table 1) [1].
Table 1 / Таблица 1
Classification of thrombotic microangiopathies
Классификация тромботических микроангиопатий
Primary | Secondary |
· Thrombotic thrombocytopenic purpura. · Typical hemolytic-uremic syndrome (infection-mediated). · Atypical hemolytic-uremic syndrome | · Preeclampsia/eclampsia, HELLP syndrome. · Autoimmune diseases: systemic lupus erythematosus, systemic scleroderma, antiphospholipid syndrome. · Malignant neoplasms. · Infections, including HIV, influenza A (H1N1). · Sepsis, septic shock. · Methylmalonic aciduria with homocysteinuria. · Drugs (quinine, interferon, calcineurin inhibitors, mTOR inhibitors, antineoplastic drugs, etc.). · Ionizing radiation. · Organ and bone marrow transplantation |
Pregnancy is one of the most important triggers of TMA. Obstetric TMA is rare; it accounts for 8–18% of all forms of the pathology with a prevalence of 1 case in 10,000–25,000 pregnancies [2, 3]. In pregnancy, TMA requires that the following pathological conditions be considered: 1) preeclampsia/HELLP syndrome; 2) thrombotic thrombocytopenic purpura; 3) pregnancy-associated atypical hemolytic-uremic syndrome; 4) antiphospholipid syndrome (APS) and catastrophic APS; and 5) sepsis [4, 5]. Most of these diseases are beyond the competence of an obstetrician-gynecologist.
Regardless of the specific triggering mechanism, the common link in the pathogenesis is the activation of the complement system and complement-associated inflammation with damage to the endothelium of microarterioles in target organs and subsequent generalized thrombogenesis, which leads to the disruption of the systemic blood circulation [6, 7]. The complement system represents a cascade system of proteolytic enzymes aimed at the humoral protection of the body from the action of foreign agents and maintaining homeostasis; it participates in the body’s immune response, being an important component of both innate and acquired immunity. The system of proteins united in the complement system includes approximately 20 interacting components, which are soluble proteins circulating in the blood and tissue fluid, namely C1 (a complex of three proteins), C2, С3С9, factor B, factor D, and a number of regulatory proteins. There are three complement activation pathways (classical, lectin, and alternative). All three pathways constitute a common terminal pathway that leads to the formation of a membrane attack complex [8] (Fig. 1). Pregnancy is a complement-enhancing condition, and the effect of the semi-allogenic fetoplacental complex on the maternal organism increases during pregnancy, with the maximum effect being during childbirth. Excessive complement activation is normally mitigated by soluble and membrane-bound regulators of the alternative complement pathway [9]. The influence of hereditary or acquired factors on this physiological balance leads to the excessive activation of the complement system. The common factor of a complement-mediated lesion is endothelial dysfunction and microvascular thrombosis with a “preferred” location. For example, with premature separation of the placenta, it involves thrombosis of the vessels of the fetoplacental complex, and with atypical hemolytic-uremic syndrome (aHUS), it involves thrombosis of the vessels of the renal glomeruli.
Fig. 1. Schematic representation of the complement system activation cascade
Рис. 1. Схематичное изображение каскада активации системы комплемента
Preeclampsia and HELLP syndrome represent the most common forms of TMA occurring during pregnancy and complicating 2–7% and 0.2–0.6% of pregnancies, respectively. These conditions are caused by endothelial dysfunction and an imbalance of antiangiogenic factors. In addition, in recent studies, dysregulation of the alternative complement pathway was associated with the pathogenesis of HELLP syndrome. HELLP syndrome is usually characterized by quick recovery after childbirth. In case hemolysis, thrombocytopenia, or renal failure continues to progress 48–72 hours after delivery, the possibility of other forms of TMA should be considered, and appropriate treatment is necessary [10, 11]. Preeclampsia and HELLP syndrome are the most studied conditions and have been described in detail in the works of Russian and international authors [12–20]. This article discusses the most rare and new pathological conditions that can occur in the practice of an obstetrician-gynecologist.
Thrombotic thrombocytopenic purpura (TTP) is a rare disease caused by a certain degree of damage to the microvasculature. Idiopathic TTP was first described by E. Moschcowitz in 1925 in a 16-year-old girl with sudden onset of neurological symptoms (first, weakness in the arms; then, hemiparesis and paresis of the facial nerve), fever, anemia, and petechial skin rash. This disease develops when the ADAMTS13 level is reduced by less than 10%, which can be congenital (due to genetic mutations) or acquired (the presence of antibodies against ADAMTS13). A decrease in the level of this enzyme promotes the accumulation of large multimers of von Willebrand factor, which bind to platelets, leading to the formation of fibrin strands and the occurrence of intravascular hemolysis and ischemic damage. The TTP incidence during pregnancy is less than 1 per 100,000 pregnancies [4, 10]. The classical clinical presentation is represented by a pentade of symptoms (fever, microangiopathic hemolytic anemia, thrombocytopenia, kidney damage, and neurological symptoms). The disease prognosis remained extremely poor for a long time, as the mortality rate exceeded 90%. The situation changed only in 1976, when Bukowski used substitution transfusion to treat TTP and achieved long-term remission. Currently, the standard treatment includes daily plasma exchange until the platelet count and lactate dehydrogenase (LDH) activity normalize, and neurological symptoms are completely resolved [21].
Hemolytic uremic syndrome is a complement-mediated form of TMA in which ADAMTS13 levels are usually within the reference range. In contrast to the classical form that develops upon ingestion of shiga toxins produced by E. coli (strain 0157:H7) and Shigella dysenteriae type 1, atypical aHUS is characterized by a genetic origin [22]. The prevalence of aHUS is 2–7 cases per one million persons. Hereditary mutations in the genes of complement regulators lead to their qualitative or, more often, functional deficiency, predisposing to increased and uncontrolled complement activation, which leads to generalized thrombus formation in the vessels of the microvasculature [23, 24]. aHUS manifests itself as microangiopathic hemolytic anemia, thrombocytopenia, and renal failure. When diagnosing aHUS during pregnancy, difficulties arise, since the clinical presentation can mimic preeclampsia or HELLP-syndrome, which is a range of conditions that are much more common during pregnancy and are well-known to obstetricians-gynecologists. The determination of a genetic mutation is not an obligatory criterion, since it can be detected only in 60–70% of cases, and the absence of identifiable mutations does not rule out the diagnosis of aHUS. Late diagnosis leads to delayed treatment, which can be life threatening.
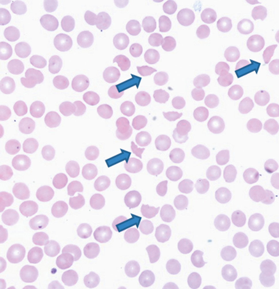
To diagnose any TMA, it is necessary to identify microangiopathic hemolytic anemia with signs of fragmentation of erythrocytes, thrombocytopenia, and microthrombotic ischemic endothelial injury. Microangiopathic hemolysis is confirmed by the detection of symptoms of hemolytic anemia (breakdown of red blood cells) and the appearance of schistocytes when fibrin strands in the bloodstream and small vessels “cut” the red blood cell, with the semilunar segments being visible in a conventional smear test (Fig. 2).
Fig. 2. Peripheral blood smear in patients with thrombotic microangiopathy (blue arrows indicate schistocytes)
Рис. 2. Исследование мазка периферической крови у пациентов с тромботической микроангиопатией (синими стрелками указаны шизоциты)
Thrombocytopenia is the second most common symptom after anemia in diagnosing TMA. Most cases of thrombocytopenia (70–80%) are gestational; therefore, there is no need for special treatment, but in case of an abnormal peripheral blood smear and hemolysis markers, further examinations should be performed. Then, a decrease in haptoglobin concentration (a transporter protein that delivers free hemoglobin back to the liver) is noted, its amount is depleted, and the ischemic symptoms of other organs increase, which confirms an increase in the LDH level. These laboratory changes most often occur simultaneously with clinical damage to at least one organ system. Thus, if schizocytes are found in a blood smear, a decrease in haptoglobin concentration is noted, the Coombs’ test is negative, and the coagulation indices are normal, TMA can be suspected, and consultation of a hematologist and/or nephrologist is necessary.
It is extremely important to correctly determine the type of TMA, since there is a specific treatment for each type (Fig. 3). The main action is to eliminate the cause of the TMA and its effect on systemic inflammation, depending on the trigger. Plasma separation is a lifesaving treatment for TTP. However, this procedure is invasive, with a significant risk of complications; therefore, all these details should be considered when prescribing it. Plasma separation has often been used as a first-line therapy for aHUS, despite FDA (Food and Drug Administration) approval for the use of monoclonal antibodies to complement system components. Although according to the American Society for Apheresis (ASFA), the role of therapeutic plasma exchange in the treatment of aHUS has not been established, the decision to initiate plasma exchange may be dictated by the need to treat TTP, presumably until this diagnosis is ruled out [25].
Fig. 3. Flow chart for the differential diagnosis of thrombotic microangiopathy in pregnancy (adapted from Sarno L., Stefanovic V., Maruotti G., et al., 2019): ТМА, thrombotic microangiopathy; aHUS, atypical hemolytic uremic syndrome; LDH, lactate dehydrogenase; TTP, thrombotic thrombocytopenic purpura
Рис. 3. Блок-схема дифференциальной диагностики тромботической микроангиопатии при беременности (адаптировано из Sarno L., Stefanovic V., Maruotti G., et al., 2019): ТМА — тромботическая микроангиопатия; aHUS — атипичный гемолитико-уремический синдром; LDH — лактатдегидрогеназа; TTP — тромботическая тромбоцитопеническая пурпура
Monoclonal antibodies IgG2/4kappa anti-C5 are effective for the treatment of aHUS; they act against the C5 complement protein by blocking the enzymatic cleavage of C5 to C5a and C5b [26, 27]. This is a major step forward in the treatment of patients in this category, since blocking complement-mediated inflammation and endothelial damage leads to an improved prognosis.
Changes in the hemostatic system during a new coronavirus infection (COVID-19) from the perspective of thrombotic microangiopathy
In recent months, the world scientific community has been actively studying issues related to the new coronavirus infection. The highly pathogenic human coronavirus, which causes coronavirus disease (COVID-19) and severe acute respiratory syndrome, has led to an unprecedented global health crisis. To date, more than 185,000 lethal outcomes related to COVID-19 have been confirmed. According to some estimates, the mortality rate reaches 15% in some countries [28].
In hospitalized patients, infection caused by COVID-19 is often manifested by bilateral pneumonia requiring emergency medical treatment or intensive care [29]. The pathogenesis of atypical pneumonia in COVID-19 patients is complex, but data to date suggest that SARS-coV2 infection may disrupt the regulation of the immune response with increased levels of interleukin-6 (IL-6), which is responsible for progressive lung injury and bilateral multifocal interstitial pneumonia [30, 31]. Bilateral pneumonia, systemic inflammation, endothelial dysfunction, coagulation activation, acute respiratory distress syndrome, and multiple organ failure are key signs of severe COVID-19. Signs of myocardial damage are present in at least a quarter of severe cases [32]. The high mortality among COVID-19 patients is due to disorders in the hemostatic system and is clinically manifested by the development of arterial and venous thromboembolic complications (VTEC) [33, 34]. A more profound understanding of the mechanisms of hemostatic disorders associated with COVID-19 will help optimize the prevention, diagnosis, and treatment of thromboembolic complications. Despite the large number of publications describing the changes in the hemostatic system in patients with coronavirus infection, the DIC syndrome cannot be precisely suspected. The changes described should also be considered from the perspective of thrombotic microangiopathy.
The relationship between changes in hemostasis and infections is well known. Bacterial infections, in particular those caused by gram-negative microorganisms, are able to activate the blood coagulation system both by releasing tissue factor followed by activation of the external pathway of the coagulation cascade, and by inducing thrombin activation by the bacterial cell wall. A hypercoagulable condition characterized by an increased level of D-dimers can already occur at an early stage of bacterial infections and cause disseminated intravascular coagulation (DIC). Concurrently, viral infections can lead to severe complications, such as acute respiratory distress syndrome and multiple organ failure, which are often associated with hypercoagulability and the DIC syndrome [35, 36]. Clinically, the condition of altered blood coagulation in various viral infections is manifested by hemorrhages and thrombosis.
Viruses lead to the activation of the endothelium with subsequent dysfunction. Studies at the clinical and molecular levels have presented several hypotheses linking viral infection and thrombotic risk. The activation of endothelial cells, monocytes, and neutrophils by viruses can induce the expression of tissue factor, which initiates an external blood coagulation cascade [37]. Damage to endothelial cells also increases the production and release of cytokines, and can directly or indirectly alter hemostasis.
Tissue factor (TF) is expressed on many types of cells throughout the body. Histological studies have shown that TF is present on all blood cells, and a rapid procoagulant response occurs when pathogens come into contact with the endothelium and myeloid cells. The coagulation cascade is initiated by activated factor VII (FVIIa) and is exposed to TF at the lesion site. This catalytic complex (TF – FVIIa) additionally activates factors IX (FIX) and X (FX). In addition, most bacterial and viral infections stimulate TF expression on monocytes and endothelial cells, predominantly through the activation of nuclear factor kappa B (NF-kappaB). The cellular interaction described potentially enhances the production of IL-8, 1β, (CXCL)-10, and tumor necrosis factor-α. These context-sensitive responses control the capillary tone, permeability, migration and activation of immune cells, as well as platelet activation or inhibition, which affects vascular hemostasis. In addition to the hemostatic reactions regulated by endothelial cells, viral infections can also affect the capillary tone, causing thrombocytopenia, vascularization, and hemorrhagic edema [36].
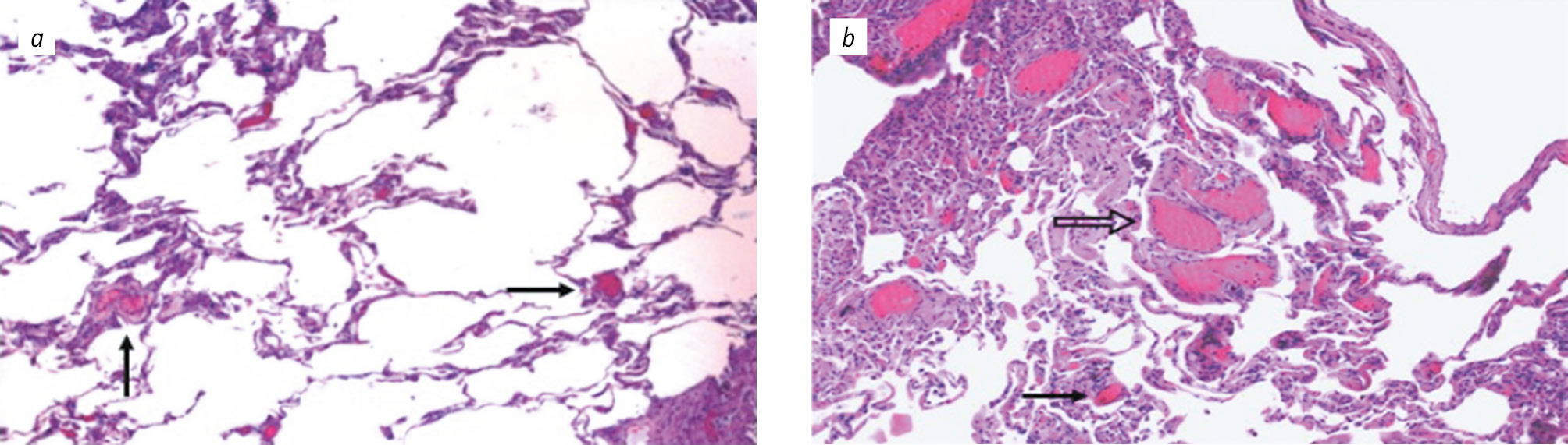
The listed pathogenetic changes confirm the reports on coagulopathy development in COVID-19 patients, which is then associated with the risk of death. In a retrospective analysis of 183 patients conducted by Tang et al., it was revealed that 71.4% of dead patients had signs of DIC syndrome [38]. Chen et al. reported an abnormal coagulation function in 99 patients, including an increase in D-dimer levels in 36 patients (36%), a decrease in prothrombin time in 30 patients (30%), and an increase in activated partial thromboplastin time in 16 patients (16%) [39]. Similarly, Wang et al., in describing 13 patients reported that prothrombin time and D-dimer levels on admission were significantly higher [40]. However, the authors reported a high prevalence of clinically significant thrombosis, mainly pulmonary embolism, in the COVID-19 group of patients admitted to intensive care units for hypoxemic acute respiratory failure, despite prophylactic or therapeutic anticoagulant therapy [41]. The results of patients from an Italian cohort study also showed that changes in blood coagulability with a tendency towards the hypercoagulable syndrome (increased levels of D-dimer and fibrinogen) were already registered at an early stage of the disease [42]. In turn, an increased fibrinogen level was associated with a more severe form of an atypical pneumonia. In a healthy lung, there is a delicate balance between procoagulant, anticoagulant, and fibrinolytic mechanisms that control the deposition of fibrin and its effect on the viability of the lung epithelium. This localized coagulation system, known as bronchoalveolar hemostasis, is used by the body in combination with immune cells to combat infections. Fibrinolytic function disorder in pneumonia leads to the abnormal accumulation of fibrin in the alveolar spaces and dysfunction [43] (Fig. 4).
Fig. 4. Lung histological findings in COVID-19 patients: а — emphysematous changes and diffuse thrombosis of intra-septal microvessels (indicated by the arrows); b — small sized arterioles (open arrow) with complete luminal thrombosis and occlusive thromboses of intraseptal capillaries (closed arrow) (adapted from Marini J.J., Gattinoni L., 2020)
Рис. 4. Микроскопическое исследование материала легких у пациентов с COVID-19: а — эмфизематозные изменения и диффузный тромбоз внутрисептальных микрососудов (указан стрелками); b — артериолы малого размера (открытая стрелка) с полным люминальным тромбозом и окклюзионными тромбозами внутрисептальных капилляров (закрытая стрелка) (адаптировано из Marini J.J., Gattinoni L., 2020)
Recent evidence suggests that complement-mediated damage also occurs during COVID-19 infection. Indeed, cells with high expression of ACE2 receptors are targets of COVID-19, leading to endothelial and microvascular dysfunction. Since patients with heart failure have increased expressions of ACE2, they are at a high risk of heart damage. Likewise, ACE2 is strongly expressed on podocytes and epithelial cells of the renal tubules [44, 45].
There are reports of elevated LDH levels and thrombocytopenia with COVID-19. Thus, the patients described by Zhang et al. had anemia, increased LDH levels, thrombocytopenia, and damage to organ systems. Unfortunately, there is no data on the presence of schizocytes, which confirms the microangiopathic hemolytic anemia [46]. The nature of heart failure is also under investigated. The development of myocarditis or inflammation-induced heart damage was suggested, but the pathomorphological data indicate the presence of intravascular thrombosis, similar to that in TMA. In addition, renal failure, which is another characteristic of complement-dependent TMA, is also common in patients with severe COVID-19 infection [47].
In addition, the study of coronaviruses showed that blocking the activation of C3-complement significantly reduces the lung damage, thereby restraining the spread of the virus mainly by inhibiting the activation of monocytes and the infiltration of the lungs by immune cells [48]. Recent studies have also demonstrated that coronavirus proteins bind to a key protein in the lectin pathway, resulting in complement-dependent lung damage. Magro et al. found deposits of c5b-9, c4d, and MAPS-2 in the microvasculature of lung and skin biopsies from patients with severe COVID-19 [49]. These findings are consistent with over-activation of both the alternative and lectin complement pathways.
The results of using monoclonal antibodies to components of the complement system in patients with severe COVID-19 are of interest. Diurno et al. used this group of drugs in four patients with a positive therapeutic effect, as a result, the C-reactive protein level decreased and clinical improvement with a favorable outcome of the disease occurred [50]. As promising results were obtained at the preclinical stage of the study, their use in patients with severe COVID-19 is currently being studied (ClinicalTrials.gov, ncT04288713).
Based on the abovementioned, there is no doubt about the effect of the systemic inflammatory response on the hemostatic system during the development of TMA, regardless of the initial triggering agent. In TMA caused by COVID-19 pneumonia, the systemic inflammatory response is critical in both the development of TMA and, apparently, in the outcome. There are limited data on the prevalence and course of the disease in pregnant women. To the best of our knowledge, more than 40 scientific papers on COVID-19 infection in pregnancy have been published to date, and none of these studies have been population-based. Pregnant women are believed to be no more susceptible to this infection than the general population. This is probably due to changes in the immune system during pregnancy, aimed at ensuring the functioning of the fetoplacental complex [51, 52]. However, pregnant women are not spared from the severe forms of the disease.
Interpretation of changes in blood coagulation in pregnant women can be even more difficult because they overlap with the physiological changes caused by pregnancy. Pregnancy is associated with physiological changes in the hemostasis system, which are manifested as an increase in the levels of most coagulation factors (fibrinogen, factors VII, VIII, IX, and X), a decrease in physiological anticoagulants (resistance to protein C activation and a decrease in protein S level), as well as fibrinolytic activity. All of them are aimed at maintaining placental perfusion and preventing pathological blood loss during childbirth. During pregnancy, the concentration of fibrinogen and the level of D-dimer increase, the number of platelets may decrease, and both activated partial thromboplastin time and prothrombin time are significantly reduced. Moreover, COVID-19 introduces additional coagulation changes. Their intensity may be related to the disease severity, but there are still no reliable data. Hypercoagulation is threatening, as it increases the risk of thromboembolic complications both during and after pregnancy, depending on the time of onset of the infectious process.
The incidence of VTEC during pregnancy is 2–5 per 1000 births, which is 5–6 times higher than in the general population [53]. VTEC develops in the presence of physiological hypercoagulation under the influence of additional risk factors. International and Russian recommendations define risk factors for VTEC and indications for the prophylactic administration of low molecular weight heparins (LMWH), as well as the treatment approach of the complications that developed. All women with four or more risk factors (except for VTEC and/or thrombophilia in history) should receive LMWH in prophylactic doses throughout pregnancy until delivery and for 6 weeks in the postpartum period; women with three risk factors should receive LMWH in preventive doses from week 28 of pregnancy to childbirth and for 6 weeks in the postpartum period; and women with two risk factors should receive LMWH in prophylactic doses for at least 10 days in the postpartum period [54].
Additional risk factors for venous thrombosis in the presence of community-acquired pneumonia in pregnant women are as follows:
- systemic inflammatory reaction that requires etiotropic therapy;
- hospitalization for more than 3 days, associated with an 18-fold increase in the risk of VTEC, while the risk remains increased by 6-fold within 28 days after discharge; this risk is higher in trimester III and in women over 35 years of age;
- immobilization (data on the effect of immobilization on the risk of developing venous thrombosis during pregnancy are limited, but strict bed confinement a week or more before delivery is known to have a multiplicative effect on the risk of prenatal and postnatal VTEC).
Thus, pneumonia in pregnant women with COVID-19 helps to classify these pregnant women as a high-risk group for the development of VTEC.
A number of scientific organizations recommend the prescription of LMWH to pregnant women with confirmed coronavirus infection, mainly at prophylactic doses [55–57]. The exact indications are still unclear, but it is practical to analyze the overall risk of thromboembolic complications in the patient, including traditional “non-viral” risk factors, and multiplying them by the risk factor associated with infection. LMWH are the drugs of choice for the prevention of VTEC during pregnancy and in the postpartum period and are classified by the FDA as risk category A. The dose of the drug is calculated in accordance with the patient’s body weight and adjusted in case of impaired renal function and a decrease in platelet levels. The optimal duration of anticoagulant treatment is unknown, but should probably be adapted to the disease severity and the obstetric situation.
In patients with severe respiratory distress syndrome caused by SARS-CoV-2, LMWH improves the prognosis by reducing the risk of local thrombogenesis, thrombosis of large vessels, and thromboembolic complications. To date, we have not found studies that justified the advantages of using one or another LMWH during pregnancy; therefore, we cannot conclude about the effectiveness of any drug in this group. In the study by G.B. Danzi et al., it has been demonstrated that nadroparin calcium (Fraxiparine), one of the LMWH group representatives, is safe and effective in patients with community-acquired pneumonia, including those with COVID-19 [58]. The drug also has a positive anti-inflammatory effect, as evidenced by a decrease in the level of C-reactive protein, IL-6, and fibrinogen. Combined therapy with antibacterial drugs and Fraxiparine for community-acquired pneumonia contributed to a reduction in the duration of mechanical lung ventilation and the normalization of the body temperature and the duration of inpatient stay [59]. Monoclonal antibodies IgG2/4kappa anti-c5 are effective for the treatment of aHUS; they act against the c5 complement protein by blocking the enzymatic cleavage of c5 to c5a and c5b. This is an important achievement in the treatment of patients in this category, since the blocking of complement-mediated inflammation and endothelial damage leads to an improved prognosis. The experience of using monoclonal antibodies IgG2/4kappa anti-c5A is promising in the treatment of TMA caused by COVID-19 pneumonia, which once again, confirms the complement-mediated damage during the development of this condition, the risk of which is significantly higher during pregnancy.
About the authors
Irina E. Zazerskaya
V.A. Almazov National Medical Research Center
Email: zazera@mail.ru
ORCID iD: 0000-0002-8175-7886
SPIN-code: 5873-2280
MD, PhD, DSci (Medicine), Head of the Department of Obstetrics and Gynecology. The Faculty of Medicine, the Institute of Medical Education
Russian Federation, St. PetersburgVitaly F. Bezhenar
Academician I.P. Pavlov First St. Petersburg State Medical University of the Ministry of Healthcare of the Russian Federation
Email: bez-vitaly@yandex.ru
ORCID iD: 0000-0002-7807-4929
MD, PhD, DSci (Medicine), Professor, Chief Expert in Obstetrics and Gynecology of Saint Petersburg Healthcare Committee and the Russian Ministry of Healthcare in the North-Western Federal Region of the Russian Federation, Head of the Department of Obstetrics, Gynecology, and Reproductive Sciences
Russian Federation, Saint PetersburgAlina O. Godzoyeva
V.A. Almazov National Medical Research Center
Author for correspondence.
Email: godzoevaalina@mail.ru
ORCID iD: 0000-0002-1730-2019
MD, Post-Graduate Student. The Department of Obstetrics and Gynecology, the Faculty of Medicine, the Institute of Medical Education
Russian Federation, Saint PetersburgValentina V. Ishkarayeva
V.A. Almazov National Medical Research Center
Email: yahont84@list.ru
MD, PhD, Assistant. The Department of Obstetrics and Gynecology, the Faculty of Medicine, the Institute of Medical Education
Russian Federation, Saint PetersburgReferences
- Письмо Министерства здравоохранения РФ от 5 мая 2017 г. № 15-4/1560-07 «О направлении для использования в работе информационно-методического письма „Тромботическая микроангиопатия в акушерстве“» [Letter from the Ministry of health of the Russian Federation No. 15-4/1560-07 “O napravlenii dlya ispol’zovaniya v rabote informacionno-metodicheskogo pis’ma “Tromboticheskaya mikroangiopatiya v akusherstve””, dated 2017 May 5. (In Russ.)]. Доступно по: https://www.garant.ru/products/ipo/prime/doc/71627526/. Ссылка активна на 02.06.2020.
- Fakhouri F. Pregnancy-related thrombotic microangiopathies: Clues from complement biology. Transfus Apher Sci. 2016;54(2):199-202. https://doi.org/10.1016/j.transci.2016.04.009.
- Козловская Н.Л., Коротчаева Ю.В., Боброва Л.А., Шилов Е.М. Акушерский атипичный гемолитико-уремический синдром: первый российский опыт диагностики и лечения // Нефрология. – 2016. – Т. 20. – № 2. – С. 68–80. [Kozlovskaya NL, Korotchaeva YuV, Bobrova LA, Shilov EM. Obstetric atypical hemolytic uremic syndrome: the first russian experience of diagnosis and treatment. Nephrology. 2016;20(2):68-80. (In Russ.)]
- Sarno L, Stefanovic V, Maruotti G, et al. Thrombotic microangiopathies during pregnancy: The obstetrical and neonatal perspective. Eur J Obstet Gynecol Reprod Biol. 2019;237:7-12. https://doi.org/10.1016/j.ejogrb.2019. 03.018.
- George J, Nester C, McIntosh J. Syndromes of thrombotic microangiopathy associated with pregnancy. Hematology Am Soc Hematol Educ Program. 2015;2015(1):644-648. https://doi.org/10.1182/asheducation-2015.1.644.
- Vaught A, Braunstein E, Jasem J, et al. Germline mutations in the alternative pathway of complement predispose to HELLP syndrome. JCI Insight. 2018;3(6):e99128. https://doi.org/10.1172/jci.insight.99128.
- Laurence J, Haller H, Mannucci PM, et al. Atypical hemolytic uremic syndrome (aHUS): essential aspects of an accurate diagnosis. Clin Adv Hematol Oncol. 2016;14 Suppl 11(11):2-15.
- Шилова Е.Р. Гематологические заболевания и синдромы, обусловленные нарушением регуляции системы комплемента. Современный взгляд на проблему. СПб., 2016. [Shilova ER. Gematologicheskie zabolevaniya i sindromy, obuslovlennye narusheniem regulyacii sistemy komplementa. Sovremennyy vzglyad na problemu. Saint Peterburg; 2016. (In Russ.)]. Доступно по: http://openhematology.ru/wp-content/uploads/2016/04/%D0%A8%D0%B8%D0%BB%D0%BE%D0%B2%D0%B0-%D0%95.%D0%A0.-%D0%93%D0%B5%D0%BC%D0%B0%D1%82%D0%BE%D0%BB%D0%BE%D0%B3%D0%B8%D1%87%D0%B5%D1%81%D0%BA%D0%B8%D0%B5-%D0%B7%D0%B0%D0%B1%D0%BE%D0%BB%D0%B5%D0%B2%D0%B0%D0%BD%D0%B8%D1%8F-%D0%B8-%D1%81%D0%B8%D0%BD%D0%B4%D1%80%D0%BE%D0%BC%D1%8B.pdf. Ссылка активна на 02.06.2020.
- Gupta M, Govindappagari S, Burwick RM. Pregnancy-Associated atypical hemolytic uremic syndrome: a systematic review. Obstet Gynecol. 2020;135(1):46-58. https://doi.org/10.1097/AOG.0000000000003554.
- Malinowski AK. Thrombotic microangiopathy in pregnancy: when you hear hoofbeats, consider the zebras? Br J Haematol. 2020. https://doi.org/10.1111/bjh.16694.
- Laurence J. Recognition and treatment of syndromes linked to dysregulation of the alternative complement pathway. Transfus Apher Sci. 2016;54(2):179-180. https://doi.org/10.1016/j.transci.2016.04.006.
- Pourrat O, Coudroy R, Pierre F. Differentiation between severe HELLP syndrome and thrombotic microangiopathy, thrombotic thrombocytopenic purpura and other imitators. Eur J Obstet Gynecol Reprod Biol. 2015;189:68-72. https://doi.org/10.1016/j.ejogrb.2015.03.017.
- Alrahmani L, Willrich MA. The complement alternative pathway and preeclampsia. Curr Hypertens Rep. 2018;20(5):40. https://doi.org/10.1007/s11906-018-0836-4.
- Распопин Ю.С., Колесниченко А.П., Синявская Н.В., и др. Многоликая тромботическая микроангиопатия ― «ожерелье смерти» осложнений беременности и родов // Клиническая нефрология. − 2017. − № 2. − С. 32–36. [Raspopin YuS, Kolesnichenko AP, Sinyavskaya NV, et al. Manyfaced thrombotic microangiopatia − “necklace of death” of complications of pregnancy and childbirth. Klinicheskaia nefrologiia. 2017;(2):32-36. (In Russ.)]
- Стрижаков А.Н., Тимохина Е.В., Игнатко И.В., и др. Тромботическая микроангиопатия как проявление тяжелой преэклампсии и HELLP-синдрома. Вопросы гинекологии, акушерства и перинатологии. − 2017. − Т. 16. − № 6. − С. 89–92. [Strizhakov AN, Timokhina EV, Ignatko IV, et al. Thrombotic microangiopathy as a manifestation of severe preeclampsia and hellp syndrome. Voprosy ginekologii, akusherstva i perinatologii. 2017;16(6):89-92. (In Russ.)]. https://doi.org/10.20953/1726-1678-2017-6-89-92.
- Кирсанова Т.В., Виноградова М.А., Федорова Т.А. Имитаторы тяжелой преэклампсии и HELLP-синдрома: различные виды тромботической микроангиопатии, ассоциированной с беременностью // Акушерство и гинекология. − 2016. − № 12. − С. 5–14. [Kirsanova TV, Vinogradova MA, Fedorova TA. The imitators of severe preeclampsia and HELLP syndrome: different types of pregnancy-associated thrombotic microangiopathy. Obstetrics and gynecology. 2016;(12):5-14. (In Russ.)]. https://doi.org/10.18565/aig.2016.12.5-14.
- Калачин К.А., Грищук К.И., Шмаков Р.Г., и др. «Нетипичный» HELLP-синдром или атипичный гемолитико-уремический синдром? // Акушерство и гинекология. − 2017. − № 1. − С. 94–102. [Kalachin KA, Grishchuk KI, Shmakov RG, et al. Atypical HELLP syndrome or atypical hemolytic uremic syndrome? Obstetrics and gynecology. 2017;(1):94-102. (In Russ.)]. https://doi.org/10.18565/aig.2017.1.94-102.
- Макацария А.Д., Акиншина С.В., Бицадзе В.О. Тяжелые акушерские осложнения как проявление тромботической микроангиопатии // Акушерство и гинекология. − 2017. − № 4. − С. 21–26. [Makatsaria AD, Bitsadze VO, Akinshina SV. Severe forms of preeclampsia as a manifestation of thrombotic microangiopathy. Obstetrics and gynecology. 2017;(4):21-26. (In Russ.)]. https://doi.org/10.18565/aig.2017.4.21-6.
- Рябоконь Н.Р., Кузнецова Л.В., Зазерская И.Е. Влияние преэклампсии на физиологические и патологические процессы в сосудах и риски развития сердечно-сосудистых заболеваний после родов // Трансляционная медицина. − 2014. − № 4. − С. 46–50. [Ryabokon NR, Kuznetsova LV, Zazerskaya IE. Influence of preeclampsia into physiological and pathological processes in the vessels and the risk of heart disease after birth. Translyatsionnaya meditsina. 2014;(4):46-50. (In Russ.)]
- Яковлева Н.Ю., Хазова Е.Л., Васильева Е.Ю., Зазерская И.Е. Соотношение ангиогенных и антиангиогенного факторов при преэклампсии // Артериальная гипертензия. − 2016. − Т. 22. − № 5. − С. 488–494. [Yakovleva NYu, Khazova EL, Vasil’eva EYu, Zazerskaya IE. Ratio of angiogenicand anti-angiogenic factors in preeclampsia. Arterial’naya gipertenziya. 2016;22(5):488-494. (In Russ.)]. https://doi.org/10.18705/1607-419X-2016-22-5-488-494.
- Прокопенко Е., Фомин А., Кошелев Р., и др. Трудности диагностики и лечения тромботической тромбоцитопенической пурпуры // Врач. − 2011. − № 5. − С. 25–29. [Prokopenko E, Fomin A, Koshelev R, et al. Difficulties in the diagnosis and treatment of thrombotic thrombocytopenic purpura. Vrach. 2011;(5):25-29. (In Russ.)]
- Arnold D, Patriquin C, Nazy I. Thrombotic microangiopathies: a general approach to diagnosis and management. Can Med Assoc J. 2016;189(4):E153-E159. https://doi.org/10.1503/cmaj.160142.
- Regal J, Gilbert J, Burwick R. The complement system and adverse pregnancy outcomes. Mol Immunol. 2015;67(1):56-70. https://doi.org/10.1016/j.molimm.2015.02.030.
- Bruel A, Kavanagh D, Noris M, et al. Hemolytic uremic syndrome in pregnancy and postpartum. Clin J Am Soc Nephrol. 2017;12(8):1237-1247. https://doi.org/10.2215/CJN.00280117.
- Padmanabhan A, Connelly‐Smith L, Aqui N, et al. Guidelines on the use of therapeutic apheresis in clinical practice — evidence‐based approach from the writing committee of the American Society for apheresis: The eighth special issue. J Clin Apher. 2019;34(3):171-354. https://doi.org/10.1002/jca.21705.
- Gruppo RA, Rother RP. Eculizumab for congenital atypical hemolytic-uremic syndrome. N Engl J Med. 2009;360(5):544-546. https://doi.org/10.1056/NEJMc0809959.
- Nürnberger J, Philipp T, Witzke O, et al. Eculizumab for atypical hemolytic-uremic syndrome. N Engl J Med. 2009;360(5):542-544. https://doi.org/10.1056/NEJMc0808527.
- Worldometer [Internet]. COVID-19 coronavirus pandemic. Available from: https://www.worldometers.info/coronavirus/.
- Zhou F, Yu T, Du R, et al. Clinical course and risk factors for mortality of adult inpatients with COVID-19 in Wuhan, China: A retrospective cohort study. Lancet. 2020;395(10229):1054-1062. https://doi.org/10.1016/s0140-6736(20)30566-3.
- Liu J, Zheng X, Tong Q, et al. Overlapping and discrete aspects of the pathology and pathogenesis of the emerging human pathogenic coronaviruses SARS‐CoV, MERS‐CoV, and 2019‐nCoV. J Med Virol. 2020;92(5):491-494. https://doi.org/10.1002/jmv.25709.
- Di Micco P, Russo V, Carannante N, et al. Clotting Factors in COVID-19: Epidemiological association and prognostic values in different clinical presentations in an Italian Cohort. J Clin Med. 2020;9(5):1371. https://doi.org/10.3390/jcm9051371.
- Clerkin KJ, Fried JA, Raikhelkar J, et al. Coronavirus disease 2019 (COVID-19) and cardiovascular disease. Circulation. 2020;141(20):1648-1655. https://doi.org/10.1161/CIRCULATIONAHA.120.046941.
- Klok F, Kruip M, van der Meer N, et al. Confirmation of the high cumulative incidence of thrombotic complications in critically ill ICU patients with COVID-19: An updated analysis. Thromb Res. 2020;191:148-150. https://doi.org/10.1016/ j.thromres.2020.04.041.
- Cui S, Chen S, Li X, et al. Prevalence of venous thromboembolism in patients with severe novel coronavirus pneumonia. J Thromb Haemost. 2020;18(6):1421-1424. https://doi.org/10.1111/jth.14830.
- Giannis D, Ziogas IA, Gianni P. Coagulation disorders in coronavirus infected patients: COVID-19, SARS-CoV-1, MERS-CoV and lessons from the past. J Clin Virol. 2020;127:104362. https://doi.org/10.1016/j.jcv.2020.104362.
- Subramaniam S, Scharrer I. Procoagulant activity during viral infections. Front Biosci (Landmark Ed). 2018;23:1060-1081. https://doi.org/10.2741/4633.
- Van der Poll T, Levi M. Crosstalk between inflammation and coagulation: the lessons of sepsis. Curr Vasc Pharmacol. 2012;10(5):632-638. https://doi.org/10.2174/1570 16112801784549.
- Tang N, Li D, Wang X, Sun Z. Abnormal coagulation parameters are associated with poor prognosis in patients with novel coronavirus pneumonia. J Thromb Haemost. 2020;18(4):844-847. https://doi.org/10.1111/jth.14768.
- Chen N, Zhou M, Dong X, et al. Epidemiological and clinical characteristics of 99 cases of 2019 novel coronavirus pneumonia in Wuhan, China: A descriptive study. Lancet. 2020;395(10223):507-513. https://doi.org/10.1016/s0140-6736(20)30211-7.
- Wang D, Hu B, Hu C, et al. Clinical characteristics of 138 hospitalized patients with 2019 novel Coronavirus-Infected pneumonia in Wuhan, China. JAMA. 2020;323(11):1061-1069. https://doi.org/10.1001/jama.2020.1585.
- Helms J, Tacquard C, Severac F, et al. High risk of thrombosis in patients with severe SARS-CoV-2 infection: A multicenter prospective cohort study. Intensive Care Med. 2020;46(6):1089-1098. https://doi.org/10.1007/s00134-020-06062-x.
- Lodigiani C, Iapichino G, Carenzo L, et al. Venous and arterial thromboembolic complications in COVID-19 patients admitted to an academic hospital in Milan, Italy. Thromb Res. 2020;191:9-14. https://doi.org/10.1016/ j.thromres.2020.04.024.
- Marini JJ, Gattinoni L. Management of COVID-19 respiratory distress. JAMA. 2020. https://doi.org/10.1001/jama.2020.6825.
- Chen L, Li X, Chen M, et al. The ACE2 expression in human heart indicates new potential mechanism of heart injury among patients infected with SARS-CoV-2. Cardiovasc Res. 2020;116(6):1097-1100. https://doi.org/10.1093/cvr/cvaa078.
- Wan Y, Shang J, Graham R, et al. Receptor recognition by the Novel Coronavirus from Wuhan: An analysis based on decade-long structural studies of SARS Coronavirus. J Virol. 2020;94(7):e00127-20. https://doi.org/10.1128/JVI.00127-20.
- Zhang Y, Xiao M, Zhang S, et al. Coagulopathy and antiphospholipid antibodies in patients with COVID-19. N Engl J Med. 2020;382(17):e38. https://doi.org/10.1056/NEJMc2007575.
- Gavriilaki E, Brodsky RA. Severe COVID-19 infection and thrombotic microangiopathy: Success does not come easily. Br J Haematol. 2020;189(6):e227-e230. https://doi.org/10.1111/bjh.16783.
- Gralinski L, Sheahan T, Morrison T, et al. Complement activation contributes to severe acute respiratory syndrome Coronavirus pathogenesis. mBio. 2018;9(5):e01753-18. https://doi.org/10.1128/mBio.01753-18.
- Magro C, Mulvey JJ, Berlin D, et al. Complement associated microvascular injury and thrombosis in the pathogenesis of severe COVID-19 infection: A report of five cases. Transl Res. 2020;220:1-13. https://doi.org/10.1016/j.trsl.2020.04.007.
- Diurno F, Numis FG, Porta G, et al. Eculizumab treatment in patients with COVID-19: Preliminary resultsfrom real life ASL Napoli 2 Nord experience. Eur Rev Med Pharmacol Sci. 2020;24(7):4040-4047. https://doi.org/10.26355/eurrev_202004_20875.
- Della Gatta AN, Rizzo R, Pilu G, Simonazzi G. Coronavirus disease 2019 during pregnancy: A systematic review of reported cases. Am J Obstet Gynecol. 2020;223(1):36-41. https://doi.org/10.1016/j.ajog.2020.04.013.
- Zimmermann P, Curtis N. COVID-19 in children, pregnancy and neonates: A review of epidemiologic and clinical features. Pediatr Infect Dis J. 2020;39(6):469-477. https://doi.org/10.1097/inf.0000000000002700.
- Linnemann B, Scholz U, Rott H, et al. Treatment of pregnancy-associated venous thromboembolism — position paper from the Working Group in Women’s Health of the Society of Thrombosis and Haemostasis (GTH). Vasa. 2016;45(2):103-118. https://doi.org/10.1024/0301-1526/a000504.
- Royal College of Obstetricians and Gynaecologists [Internet]. Thrombosis and Embolism during Pregnancy and the Puerperium, Reducing the Risk (Green-top Guideline No. 37a). 2015. Available from: https://www.rcog.org.uk/en/guidelines-research-services/guidelines/gtg37a/.
- Royal College of Obstetricians and Gynaecologists [Internet]. Version 11: updated 24 July 2020. Guidance for healthcare professionals on coronavirus (COVID-19) infection in pregnancy, published by the RCOG, Royal College of Midwives, Royal College of Paediatrics and Child Health, Public Health England and Public Health Scotland. Available from: https://www.rcog.org.uk/en/guidelines-research-services/guidelines/coronavirus-pregnancy/.
- Временные методические рекомендации по профилактике, диагностике и лечению новой коронавирусной инфекции 2019-nCoV. Версия 6 от 28.04.2020 [Vremennyye metodicheskiye rekomendatsii po profilaktike, diagnostike i lecheniyu novoy koronavirusnoy infektsii 2019-nCoV. Version 6, 28.04.2020. (In Russ.)]. Доступно по: https://static-1.rosminzdrav.ru/system/attachments/attaches/000/050/122/original/28042020_%D0%9CR_COVID-19_v6.pdf. Ссылка доступна на 12.05.2020.
- Беженарь В.Ф., Айламазян Э.К., Зазерская И.Е., и др. Краткие клинические рекомендации. Тактика ведения беременных, рожениц и родильниц с подозрением или подтвержденной инфекцией COVID-19. МКБ-10: U07.2, U07.1. – СПб.: Эко-Вектор, 2020. – 47 с. [Bezhenar’ VF, Aylamazyan EK, Zazerskaya IE, et al. Kratkiye klinicheskiye rekomendatsii. Taktika vedeniya beremennykh, rozhenits i rodil’nits s podozreniyem ili podtverzhdennoy infektsiyey COVID-19. MKB-10: U07.2, U07.1. Saint Peterburg: Eko-Vektor; 2020. 47 р. (In Russ.)]. https://doi.org/https://doi.org/10.17816/JOWDS20201.
- Danzi GB, Loffi M, Galeazzi G, Gherbesi E. Acute pulmonary embolism and COVID-19 pneumonia: a random association? Eur Heart J. 2020;41(19):1858. https://doi.org/10.1093/eurheartj/ehaa254.
- Povalyaev D. The efficacy of adjuvant use low molecular weight heparins in patients with community-acquired pneumonia. Eur Resp J. 2014;44(Suppl 58):2503.
Supplementary files











