Возможности эластографии в диагностике стрессового недержания мочи у женщин
- Авторы: Русина Е.И.1, Жевлакова М.М.1, Шелаева Е.В.1, Нагорнева С.В.1, Ярмолинская М.И.1
-
Учреждения:
- Научно-исследовательский институт акушерства, гинекологии и репродуктологии им. Д.О. Отта
- Выпуск: Том 72, № 5 (2023)
- Страницы: 75-88
- Раздел: Оригинальные исследования
- Статья получена: 22.06.2023
- Статья одобрена: 27.09.2023
- Статья опубликована: 23.11.2023
- URL: https://journals.eco-vector.com/jowd/article/view/501805
- DOI: https://doi.org/10.17816/JOWD501805
- ID: 501805
Цитировать
Полный текст
Аннотация
Обоснование. Стрессовое недержание мочи у женщин — широко распространенное заболевание. Оно может возникать в репродуктивном возрасте, прогрессирует и нарушает качество жизни. Ультразвуковая эластография позволяет оценить жесткость опорных структур уретры, изучить патофизиологию формирования стрессового недержания мочи и диагностировать его легкие формы для своевременного начала терапии и предотвращения развития тяжелых форм заболевания.
Цель исследования — усовершенствовать диагностику стрессового недержания мочи легкой степени тяжести у женщин с помощью ультразвуковой компрессионной эластографии уретровезикального сегмента.
Материалы и методы. Обследованы 25 женщин со стрессовым недержанием мочи легкой степени тяжести (основная группа) и 15 пациенток без недержания мочи (контрольная группа) репродуктивного и перименопаузального возрастов. Диагноз «стрессовое недержание мочи» подтвержден при комплексном уродинамическом исследовании. Для оценки мобильности уретры и определения жесткости опорных структур проведено 2D-ультразвуковое исследование с компрессионной эластографией уретровезикального сегмента трансвагинальным датчиком с использованием приборов Voluson E6 и E10 (GE Healthcare, США). Изучены четыре зоны интереса парауретральной области проксимального и среднего отделов уретры. На полученных эластограммах оценивали цветовые характеристики и коэффициент деформации (strain ratio) областей интереса при трех измерениях. Рассчитывали средние значения коэффициентов деформации.
Результаты. Коэффициенты деформации во всех изучаемых зонах парауретральной области не показали статистически значимой связи с возрастом и были меньше у пациенток со стрессовым недержанием мочи, чем у женщин без недержания мочи (р < 0,01). Гипермобильность (подвижность) уретры (среднее значение ротации угла α уретры — 40 градусов) выявлена у 84 % женщин со стрессовым недержанием мочи. По результатам корреляционного анализа показатели коэффициента деформации в трех зонах интереса показали статистически значимую отрицательную связь с изменением ротации угла α уретры. В результате ROC-анализа установлено, что для диагностики стрессового недержания мочи наиболее информативны показатели жесткости зоны парауретральной области проксимального отдела задней стенки уретры с пороговым значением коэффициента деформации 0,85 или менее (чувствительность — 96,0 %, специфичность — 86,7 %; р < 0,001).
Заключение. Ультразвуковая компрессионная эластография уретровезикального сегмента — новая неинвазивная методика, позволяющая повысить точность диагностики стрессового недержания мочи у женщин. Ее целесообразно использовать у женщин с легкими формами стрессового недержания мочи на этапе планирования консервативного лечения для подтверждения диагноза и контроля терапии.
Полный текст
ОБОСНОВАНИЕ
Недержание мочи (НМ) у женщин остается сложной проблемой урогинекологии в связи с его высокой распространенностью, трудностью диагностики и поздним началом лечения [1–3]. Среди женщин трудоспособного возраста наиболее частой формой НМ является стрессовое недержания мочи (СНМ). Распространенность СНМ легкой и средней степеней тяжести у женщин репродуктивного и перименопаузального возрастов (20–55 лет) составляет 30 %. Заболевание негативно влияет на качество жизни пациенток: вызывает тревогу, ограничивает физическую активность и трудоспособность, а также отрицательно воздействует на половую жизнь [4–6].
Изменение нормального тонуса и механической функции тканей, поддерживающих шейку мочевого пузыря и проксимальный отдел уретры, а также несостоятельность мышечно-связочных образований тазового дна являются основой патологического процесса при СНМ. Это связано с потерей эластичности соединительной ткани из-за наследственной дисплазии, местных воспалительных процессов, дефицита эстрогенов, родовых и операционных травм [7].
СНМ диагностируют в соответствие с клиническими рекомендациями с учетом жалоб, данных дневников мочеиспускания, визуальной регистрации момента непроизвольного выделения мочи при функциональных тестах (кашлевом тесте, пробе Вальсальвы). Однако результаты клинических тестов зависят от степени наполнения мочевого пузыря и силы физической нагрузки, и не всегда при легких формах заболевания на амбулаторном приеме врач видит объективное подтверждение жалоб больной. Для многих пациенток это откладывает начало лечения, заболевание прогрессирует, ухудшается качество жизни, возникает необходимость хирургического вмешательства. Для подтверждения диагноза применяют инструментальные методы обследования [8].
Комплексное уродинамическое исследование является малоинвазивной процедурой, уточняющей тип заболевания, но дорогостоящей из-за потребности в индивидуальных расходных материалах и условиях специализированного учреждения, что делает ее менее доступной для широкого круга пациентов. Согласно данным Российских клинических рекомендаций это исследование не рекомендовано всем пациентам при консервативном лечении, с которого, как правило, начинают терапию легких форм заболевания [9, 10].
Ультразвуковое исследование (УЗИ) тазового дна и уретровезикального сегмента является методом, широко используемым в диагностике СНМ. Оно позволяет выявить нарушения подвижности уретровезикального сегмента и недостаточность уретрального сфинктера. Однако ультразвуковые признаки СНМ разные авторы трактуют неоднозначно. Часть исследователей считают повышенную мобильность уретровезикального сегмента (гипермобильность уретры) основным механизм стрессовой инконтиненции [11]. В качестве диагностических критериев СНМ предлагают оценивать позицию и подвижность шейки мочевого пузыря [12–14]. Другие авторы строят диагностическую концепцию «в обратном порядке», используя УЗИ как вспомогательный метод. В исследовании М.А. Чечневой у 19,3 % женщин с пролапсом тазовых органов выявленные анатомические нарушения при УЗИ не сопровождались СНМ. Автор полагает, что критериями диагностики СНМ, в первую очередь, являются жалобы пациентки, а не подтверждающие их инструментальные тесты. Эхография уместна как вспомогательный метод диагностики СНМ, способствующий выбору корректного лечения с учетом выявленной сопутствующей патологии (несостоятельности мышц тазового дна, цистоцеле и др.) [15].
С 2005 г. ультразвуковые диагностические системы расширены функцией эластографии, позволяющей оценивать механические свойства исследуемых тканей (эластичность и жесткость). Эластография помогает дополнить и объективизировать пальпацию органов и тканей [16].
Методы ультразвуковой эластографии разделены на две основные категории с разными принципами генерации импульса: статические — на основе деформации (компрессии) тканей и динамические — на основе использования сдвиговых волн [16]. При эластографии сдвиговой волны ультразвуковой датчик генерирует продольные акустические волны, медленно затухающие в прилежащих тканях и распространяющие сдвиговые волны. Скорость сдвиговой волны изменяется в зависимости от жесткости ткани. При этом жесткость области интереса выражена количественно (числом) и качественно (цветом). Для количественной оценки жесткости измеряют скорость распространения сдвиговых волн в метрах в секунду или автоматически рассчитывают модуль сдвига (модуль Юнга) в килопаскалях. Модуль сдвига — это физическая величина, характеризующая сопротивление ткани под действием сдвиговой волны.
При компрессионной ультразвуковой эластографии проводят компрессию ультразвуковым датчиком или используют движения пациента (пробу Вальсальвы, дыхательные движения), вызывающие деформацию исследуемых тканей. Деформация, вызванная сжатием, зависит от жесткости ткани и степени компрессии. Мягкие ткани лучше поддаются деформации, чем жесткие [16]. Модуль эластографии позволяет сравнивать показатели жесткости тканей в областях интереса и области контроля (неизмененной ткани), автоматически рассчитывать коэффициенты деформации (strain ratio, SR) в условных единицах и представлять результаты в виде графических и цветовых изображений [17]. SR — это полуколичественный показатель жесткости ткани, рассчитанный путем отношения деформации неизменной ткани зоны контроля к деформации тканей области интереса и позволяющий сделать вывод о характере исследуемой ткани [18]: SR = C / I, где C — значение деформации зоны контроля (неизмененная ткань или, например, часто используемая жировая ткань); I — значение деформации тканей области интереса (исследуемой ткани). Компрессионная ультразвуковая эластография встроена в большинство современных ультразвуковых приборов, и ее начинают применять в акушерско-гинекологической практике.
Y.Baumfeld и соавт. предположили, что изучение жесткости области мочевого пузыря и уретры с применением эластографии может быть полезным для понимая патофизиологии СНМ и гиперактивности мочевого пузыря [19]. В зарубежной литературе появляются данные о применении эластографии сдвиговой волны для диагностики гипермобильности уретры [20] и недостаточности сфинктера уретры при СНМ [21]. Данные о применении компрессионной эластографии не представлены.
Используемые в настоящее время в практике ультразвуковые методы диагностики не столь специфичны и пока не включены в клинические рекомендации, но УЗИ — широко распространенный доступный метод диагностики, поэтому исследования, направленные на повышение его возможностей в диагностике СНМ актуальны.
Цель исследования — усовершенствовать диагностику СНМ легкой степени тяжести у женщин с помощью ультразвуковой компрессионной эластографии уретровезикального сегмента.
АНАТОМО-ФИЗИОЛОГИЧЕСКИЕ ОСОБЕННОСТИ УРЕТРО-ВЕЗИКАЛЬНОГО СЕГМЕНТА. ОБОСНОВАНИЕ МЕТОДА
Для более детального исследования жесткости тканей при СНМ представляет интерес функциональное состояние соединительных и мышечных структур уретры и парауретральной области: тканей урогенитального сфинктера, лобково-пузырной мышцы, передней стенки влагалища, лобково-шеечной фасции. Они способствуют нормальной поддержке уретры и участвуют в формировании максимального уретрального давления [22, 23].
T.M. Oelrich при гистологическом исследовании изучил и подробно описал анатомию урогенитального сфинктера (рабдосфинктера) у женщин. Рабдосфинктер представлен поперечнополосатой мускулатурой и образован тремя структурами: собственным сфинктером уретры, мышцей компрессора и уретровлагалищным сфинктером. Компрессор берет начало от переднего края седалищного бугра в виде небольшого сухожилия диаметром 2 мм, подходит к передней и латеральной поверхностям собственного сфинктера уретры, утолщаясь до 6 мм в вентральной части. Верхний край мышцы расположен в области мочеполового отверстия тазовой диафрагмы и переходит в нижние волокна сфинктера уретры. Нижний край мышцы сращен с уретровлагалищным сфинктером [24]. Согласно данным Y. Wu и соавт., полученным при магнитно-резонансной томографии, у компрессора дугообразная форма. Структура берет начало на границе верхних 2/3 частей и нижней 1/3 части уретры. Волокна компрессора подходят к стенкам влагалища и прикрепляются к передненижнему краю лобково-прямокишечной мышцы [25]. T.M. Oelrich при изучении анатомии парауретральной области установил, что уретровлагалищный сфинктер окружает переднюю и боковую поверхности уретры и влагалища. Позади влагалища он соединяется с одноименной мышцей противоположной стороны, а в нижних отделах доходит до вестибулярной луковицы, от которой отделен тонким слоем промежностной оболочки. Сфинктер может быть сопоставим по размерам с компрессором уретры, его ширина составляет 5 мм [24]. W.H. Umek и соавт. также описали локализацию компрессора и уретровлагалищного сфинктера. Структуры визуализировали на расстоянии 15 мм от внутреннего устья уретры у 4 % женщин, 20 мм — у 15 %, 25 мм — у 4 %. Рабдосфинктер определяли на расстоянии 15 мм от внутреннего отверстия уретры у 99 % женщин, 20 мм — у 72 % [26].
Лобково-пузырную мышцу впервые обнаружили J.O. Delancey и R.A. Starr. Она обладает серповидной формой и представлена гладкой мускулатурой [27]. Согласно данным J.-R. Li и соавт., полученным при магнитно-резонансной томографии, лобково-пузырная мышца расположена кпереди от нижней части шейки мочевого пузыря и верхней части сфинктера уретры, продолжается в детрузор мочевого пузыря (является фартуком детрузора). Мышца в боковых отделах соединена с сухожильной дугой тазовой фасции, а сзади — с латеральной пузырной связкой [23]. Наличие данной структуры подтвердили данные нескольких гистологических исследований [28, 29].
Уретра лежит на поддерживающем слое — лобково-шеечной фасции и передней стенке влагалища. Соединительная ткань лобково-шеечной фасции покрывает переднюю стенку влагалища, заднюю стенку уретры и в латеральных отелах соединяется с сухожильной дугой тазовой фасции. Передняя стенка влагалища представлена эпителиальным слоем, собственной пластинкой, гладкомышечной тканью, адвентицией. Ее толщина составляет 3,7 мм [28, 30].
В фиксации уретры участвуют симметричные лобково-уретральные, лобково-пузырные и латеральные пузырные связки [23, 31]. J.-R. Li и соавт. исследовали парауретральную область с помощью магнитно-резонансной томографии и создали 3D-модель важных анатомических структур парауретральной области (рис. 1) [23].
Рис. 1. Форма и топографические соотношения опорных структур уретры [23]. Опорные структуры уретры в задневерхней проекции представлены уретральным сфинктерным комплексом (a), включающим компрессор уретры, уретровлагалищный сфинктер и собственный сфинктер уретры. Опорные структуры уретры включают: лобково-пузырную мышцу (b), лобково-пузырную связку (c), латеральную пузырную связку (d), сухожильную дугу тазовой фасции (e) и уретровлагалищную перегородку (f). Ante — передняя поверхность, AVW — передняя стенка влагалища, CU — компрессор уретры, LVL — латеральная пузырная связка, PB — лобковая кость, Post — задняя поверхность, PVL — лобковопузырная связка, PVM — лобковопузырная мышца, TAPF — сухожильная дуга тазовой фасции, USP — собственно сфинктер уретры, UVS — уретровлагалищный сфинктер [23]
Fig. 1. Shape and topographic relations of the urethral supporting structures [23]. Urethral supporting structures in the posterosuperior view: urethral sphincter complex (a), including compressor urethra, urethrovaginal sphincter and urethral sphincter proper. Supporting structures of the urethra, including: pubovesical muscle (b), pubovesical ligament (c), lateral vesical ligament (d), tendinous arch of pelvic fascia (e), and urethrovaginal septum (f). Ante, anterior; AVW, anterior vaginal wall; CU, compressor urethra; LVL, lateral vesical ligament; PB, pubic bone; Post, posterior; PVL, pubovesical ligament; PVM, pubovesical muscle; TAPF, tendinous arch of pelvic fascia; USP, urethral sphincter proper; UVS, urethrovaginal sphincter [23]
Лобково-пузырная связка начинается от задней поверхности лобковой кости, проходя через позадилобковое пространство, лобково-пузырную мышцу к переднелатеральной поверхности внутреннего сфинктера уретры в его средней части. Латеральные пузырные связки берут начало от переднелатеральной поверхности верхней части проксимального отдела уретры (внутреннего сфинктера уретры), заднелатеральной поверхности шейки мочевого пузыря, переднелатеральной поверхности влагалища и идут к сухожильной дуге тазовой фасции и мышце, поднимающей задний проход [23].
Для изучения патофизиологических особенностей развития СНМ и разработки метода диагностики его легких форм целесообразно исследование основных опорных структур уретры: передней стенки влагалища, лобковошеечной фасции, лобковопузырной мышцы компрессора уретры и уретровлагалищного сфинктера (структуры рабдосфинктера) [23].
МАТЕРИАЛЫ И МЕТОДЫ
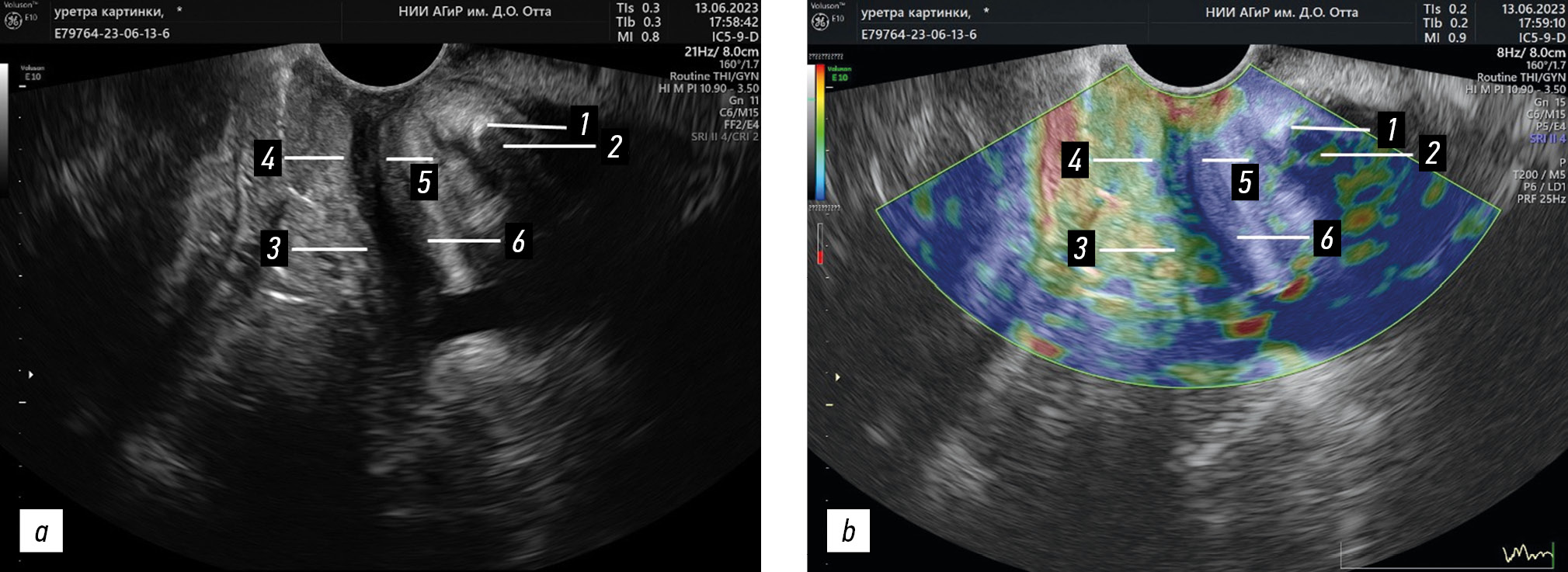
Проведено проспективное контролируемое исследование в НИИ АГиР им. Д.О. Отта в период с сентября 2020 г. по декабрь 2022 г. Основными критериями включения были репродуктивный или перименопаузальный возраст (20–55 лет) и подтвержденное при комплексном уродинамическом исследовании СНМ легкой степени тяжести по классификации Д.В. Кана (для основной группы) [32]. Критериями исключения были беременность, лактация, сопутствующий пролапс тазовых органов III или IV степени, влияние неврологических заболеваний на функцию мочевого пузыря, аномалии развития нижних мочевых путей, острые инфекционные заболевания мочеполовой системы, обструкция мочевыводящих путей. В исследовании приняли участие 40 женщин, разделенные на 2 группы: основную группу составили 25 женщин в возрасте 31–53 (41,8 ± 6,4) лет с СНМ, группу контроля — 15 пациенток в возрасте 32–43 (37,3 ± 3,2) лет без НМ. Всем пациенткам проведен анализ жалоб, акушерского анамнеза и дневников мочеиспускания, 2D-УЗИ уретровезикального сегмента трансперинеальным доступом согласно стандартной методике [15] (рис. 2, a), а также ультразвуковая компрессионная эластография.
Рис. 2. Исследование уретровезикального сегмента трансперинеальным доступом с указанием исследуемых опорных структур уретры (использованы ультразвуковая система Voluson E10, мультичастотный трансвагинальный датчик RIC 5-9-D): a — 2D-эхограмма; b — эластограмма. 1 — лобковая кость; 2 — жировая ткань позадилобкового пространства (зона контроля); 3 — задняя стенка влагалища с лобково-шеечной фасцией рядом с задней стенкой проксимального отдела уретры (первая зона интереса); 4 — задняя стенка влагалища с лобково-шеечной фасцией рядом с задней стенкой среднего отдела уретры (вторая зона интереса); 5 — компрессор уретры и уретровлагалищный сфинктер, образующие рабдосфинктер (третья зона интереса); 6 — лобковопузырная мышца (четвертая зона интереса)
Fig. 2. Investigation of the ureterovesical junction of a patient using transperineal access, with the studied urethral supporting structures indicated (Voluson E10 ultrasound system; RIC 5-9-D transvaginal probe): a, 2D echogram; b, elastography. 1, pubic bone; 2, adipose tissue of the retropubic space (control area); 3, posterior vaginal wall with pubocervical fascia near the posterior wall of the proximal urethra (first area of interest); 4, posterior vaginal wall with pubocervical fascia next to the back wall of the middle part of the urethra (second area of interest); 5, compressor urethra and urethrovaginal sphincter, forming rhabdosphincter (third area of interest); 6, pubovesical muscle (fourth area of interest)
Для ультразвукового исследования использовали мультичастотный трансвагинальный датчик RIC 5-9-D сканеров Voluson E6 и E10. При анализе эластограмм уретровезикального сегмента в продольной плоскости устанавливали зону контроля и исследовали четыре зоны интереса (рис. 2, b).
Диаметры выбранных зон уменьшали до 1,5 мм в соответствии со средним диаметром исследуемых опорных структур парауретральных тканей проксимального и среднего отделов уретры. Зону контроля располагали, в первую очередь, по задней поверхности нижнего края лобковой кости рядом с лобковым симфизом. Она соответствовала расположению жировой ткани позадилобкового пространства (пространства Ретциуса) [33, 34]. Выбор зоны контроля обоснован постоянными характеристиками жесткости жировой ткани (картируемыми преимущественно желтым цветом). Для исследования опорных структур проксимального и среднего отделов уретры — передней стенки влагалища, лобково-шеечной фасции, лобково-пузырной мышцы, компрессора уретры и уретровлагалищного сфинктера (структуры рабдосфинктера) выбраны четыре зоны интереса (рис. 2, b и 3).
Рис. 3. Схема расположения зоны контроля и областей интереса для эластографической оценки опорных структур уретровезикального сегмента у пациенток со стрессовым недержанием мочи. Зона контроля — жировая ткань позадилобкового пространства. 1 — парауретральная область задней стенки проксимального отдела уретры (первая зона интереса); 2 — парауретральная область задней стенки среднего отдела уретры (вторая зона интереса); 3 — парауретральная область передней стенки среднего отдела уретры (третья зона интереса); 4 — парауретральная область передней стенки проксимального отдела уретры (четвертая зона интереса)
Fig. 3. Scheme of location of the control area and areas of interest for elastographic evaluation of supporting structures of the ureterovesical junction in patients with stress urinary incontinence. Сontrol area, which corresponds to the location of adipose tissue of the retropubic space. 1, paraurethral region of the posterior wall of the proximal urethra (first area of interest); 2, paraurethral region of the posterior wall of the middle urethra (second area of interest); 3, paraurethral region of the anterior wall of the middle urethra (third area interest); 4, paraurethral region of the anterior wall of the proximal urethra (fourth area of interest)
Все зоны интереса были расположены парауретрально:
- первая — на расстоянии 1 см от внутреннего отверстия уретры по краю задней стенки проксимального отдела уретры, соответствовала расположению лобково-шеечной фасции и передней стенки влагалища [30];
- вторая — на расстоянии 2 см от внутреннего отверстия уретры по краю задней стенки среднего отдела уретры, соответствовала лобково-шеечной фасции и передней стенке влагалища [30];
- третья — на расстоянии 2 см от внутреннего отверстия уретры, соответствовала расположению компрессора уретры и уретровлагалищного сфинктера по краю передней стенки уретры в ее среднем отделе (структуры рабдосфинктера) [24, 26, 35];
- четвертая — на расстоянии 1 см от внутреннего отверстия уретры по краю передней стенки уретры, соответствовала расположению лобково-пузырной мышцы [23, 26].
Ультразвуковая компрессионная эластография проведена при минимальной силе давления трансвагинальным датчиком на парауретральную область. На полученных эластограммах оценивали показатели по цветовой шкале и SR областей интереса при трех измерениях. Для оценки цветовых характеристик эластограмм использовали шкалу В.Е. Гажоновой и соавт. (2008) [36]. Рассчитывали средние SR.
Статистический анализ проводили с использованием программы SPSS Statistics, а также методов описательной статистики, точного критерия Фишера, U-критерия Манна – Уитни, корреляционного и регрессионного анализов. Уровень статистической значимости составил р < 0,05.
РЕЗУЛЬТАТЫ
На основании жалоб и дневников мочеиспускания у всех женщин основной группы определена легкая степень тяжести СНМ. По данным анамнеза, 88 % пациенток перенесли естественные роды, у 81,8 % из них были повторные роды (2–5-е) и у 86,4 % выявлены травмы промежности (перинеотомия, разрыв промежности). У всех женщин установлена несостоятельность мышц тазового дна, при этом у 28 % обследованных — в сочетании с опущением стенок влагалища I–II степеней. У пациенток контрольной группы не выявлены НМ и опущение половых органов.
На первом этапе исследования проведен сравнительный анализ SR структур парауретральной области у пациенток с СНМ и без НМ. В результате анализа установлено, что SR во всех изучаемых зонах были ниже у пациенток с СНМ, чем у женщин без НМ (р < 0,01), но не были статистически значимо связаны с возрастом: в первой зоне интереса (р = 0,128), во второй (р = 0,213), в третьей (р = 0,069) и в четвертой (р = 0,199). При этом средние SR первой зоны интереса в группе со СНМ составили 0,49 (0,33–0,66) и без НМ — 1,3 (1,00–1,66), второй зоны интереса — 0,40 (0,26–0,76) и 1,51 (0,85–2,05) соответственно. Средние SR третьей зоны интереса у пациенток с СНМ составили 0,37 (0,27–0,62) и без НМ — 0,88 (0,79–1,26), четвертой зоны интереса — 0,92 (0,62–1,31) и 2,02 (1,47–2,23) соответственно. Жесткость поддерживающих структур данных зон в норме выше жесткости жировой ткани позадилобкового пространства, а при СНМ — ниже.
При ультразвуковой оценке уретровезикального сегмента установлено, что средние значения ротации угла α уретры у женщин основной группы составили 40 (26,6–48,5) градусов и контрольной — 15 (13,0–16,7) градусов. Гипермобильность уретры встречалась в группе с СНМ у 84 % пациенток (р < 0,001). По результатам корреляционного анализа Спирмена SR структур передней и задней парауретральной областей в первой, второй (лобково-шеечной фасции и передней стенки влагалища) и третьей (компрессора уретры и уретровлагалищного сфинктера) зонах интереса показали статистически значимые связи с изменением ротации угла α уретры (р = 0,008, р = 0,014 и р = 0,014 соответственно). Теснота этих связей (r = −0,414, r = −0,385 и r = −0,385 соответственно) была умеренной согласно шкале Чеддока.
На втором этапе исследования определена зона парауретральной области, доступная для использования в диагностике СНМ у женщин репродуктивного и перименопаузального возрастов. Для решения поставленной задачи выбраны SR первой, второй и третьей зон интереса, так как они отличались от соответствующих показателей группы контроля и были связаны с изменением угла ротации α. В результате ROC-анализа для диагностики СНМ составлено три модели оценки SR:
- первой зоны интереса (пороговый SR ≤ 0,85, чувствительность — 96,0 %, специфичность — 86,7 %; р< 0,001);
- второй зоны интереса (пороговый SR = 0,76, чувствительность — 76,0 %, специфичность — 80,0 %; р< 0,001);
- третьей зоны интереса (пороговый SR ≤ 0,63, чувствительность — 80 %, специфичность — 93,3 %; р< 0,001).
С учетом данных статистического анализа для диагностики СНМ решено использовать SR первой зоны интереса — парауретральной области задней стенки проксимального отдела уретры (см. рис. 2, b), так как в этой модели чувствительность и специфичность были выше.
Для построения ROC-кривой использована функция: P = 1 / (1 + e(−z)), где z = 4,97−5,53 SR, e — число Эйлера, математическая константа (e ≈ 2,718). Площадь под ROC-кривой составила — 0,907 (р < 0,001), чувствительность модели при выбранном пороге отсечения — 96,0 % и специфичность — 86,7 % (рис. 4).
Рис. 4. Вероятность развития стрессового недержания мочи в зависимости от коэффициента деформации первой зоны интереса
Fig. 4. Probability of stress urinary incontinence depending on the strain ratio of the first area of interest
Таким образом, для диагностики СНМ у женщин репродуктивного и перименопаузального возрастов был рассчитан пограничный SR в первой зоне интереса (парауретральной области задней стенки проксимального отдела уретры на расстоянии 1 см от внутреннего отверстия уретры), равный 0,85. СНМ диагностируют при среднем значении (после трех измерений) SR ≤ 0,85.
Проиллюстрировать применение метода поможет клинический случай. Пациентка Б., 53 лет, жаловалась на эпизоды подтекания мочи при кашле, чихании и сильной физической нагрузке. В анамнезе двое родов через естественные родовые пути с перинеотомией. По данным дневника мочеиспускания, указано 7 эпизодов подтекания мочи за 7 дней. При осмотре: кашлевой тест и проба Вальсальва отрицательные, оценка силы мышц тазового дна по шкале Оксфорда — 1 балл. При эластографии: цветовое окрашивание зоны интереса зеленое с фокусами синего — эластографический тип 2б по шкале В.Е. Гажоновой и соавт. SR парауретральной области задней стенки проксимального отдела уретры (первая зона интереса) по отношению к жировой ткани позадилобкового пространства в трех измерениях составили 0,34, 0,33 и 0,33 (среднее значение — 0,33) (рис. 5). Поставлено заключение: «ультразвуковая картина стрессового недержания мочи». Пациентке парауретрально введен гиалуроновый полимер с положительным клиническим результатом.
Рис. 5. Компрессионная эластография уретровезикального сегмента пациентки со стрессовым недержанием мочи трансперинеальным доступом (использованы ультразвуковая система Voluson E10, мультичастотный трансвагинальный датчик RIC 5-9-D)
Fig. 5. Compression elastography of the ureterovesical junction of a patient with stress urinary incontinence using transperineal access (Voluson E10 ultrasound system; RIC 5-9-D transvaginal probe)
ОБСУЖДЕНИЕ
Одной из причин поздней диагностики СНМ в урогинекологии является отсутствие доступных инструментальных методов, что обусловливает целесообразность поиска новых подходов к диагностике заболевания. Новым диагностическим методом, получающим все большее распространение, стала эластография, в сравнении с другими методами обследования обладающая рядом преимуществ. Она является неинвазивной процедурой без необходимости предварительного лабораторного обследования, без противопоказаний, может быть выполнена на настройках 2D-УЗИ, позволяет получить количественные и качественные результаты как в режиме реального времени, так и при анализе архивированных данных, а по продолжительности занимает несколько секунд.
Эластографию сдвиговой волны эффективно применяют в гастроэнтерологии при диагностике фиброза печени [37] и общей практике — для изучения биомеханических свойств (жесткости и эластичности) мягких тканей опорно-двигательного аппарата [38]. Однако данную функцию из-за ее физических особенностей не используют в акушерско-гинекологической практике. Функция эластографии сдвиговой волны встроена лишь в некоторые ультразвуковые приборы, что ограничивает ее применение. В отечественной практике для оценки жесткости тканей чаще используют компрессионную эластографию [39].
В урогинекологии также применяют эластографию. По мнению J.O. Delancey (2010), дополнительное исследование поддерживающих уретру структур может улучшить понимание факторов, влияющих на ее закрытие, выявить возможные причины неудачного хирургического лечения и позволит разработать новые методики лечения НМ [40].
Результаты настоящего исследования показали, что использование ультразвуковой компрессионной эластографии при СНМ может быть полезным вкладом в диагностику легких форм заболевания. С ее помощью была выявлена связь между изменением жесткости поддерживающих структур (мышц и фасций) в парауретральной области задней стенки проксимального отдела уретры, передней и задней стенок среднего отдела уретры и СНМ у женщин. Для диагностики СНМ можно использовать SR трех областей, но наиболее чувствительным и специфичным является показатель, измеренный в парауретральной области задней стенки проксимального отдела уретры (первой зоны интереса).
В нескольких патоморфологических исследованиях показано, что у женщин с СНМ и пролапсом тазовых органов имеет место ремоделирование парауретральной соединительной ткани, что является фактором развития СНМ [41–43]. При патоморфологическом анализе биоптатов слизистой оболочки передней стенки влагалища у пациенток с СНМ выявлены прогрессирующие по мере утяжеления стрессовой инконтиненции и опущения стенок влагалища дистрофически-дегенеративные изменения фибриллярных, васкулярных и клеточных структур при отсутствии воспалительных элементов, что указывало на низкий уровень тканевого метаболизма и регенеративных реакций. Г.А. Лапий и соавт. предположили, что ведущим звеном ремоделирования слизистой оболочки влагалища при СНМ является недостаточность пластических резервов ткани, приводящая к снижению плотности (жесткости) тканей, способствуя возникновению и развитию морфофункциональной неполноценности стенки влагалища [44].
F.Yao и соавт. (2015) создали новую двухмерную биомеханическую модель СНМ, показывающую влияние различных факторов на удержание мочи у женщин, таких как жесткость тканей и мышечная активность анатомических структур тазового дна. При исследовании групп пациенток с СНМ и без НМ наибольшее сопротивление потоку мочи наблюдали в средней части уретры (на уровне 40–50 % длины уретры от шейки мочевого пузыря) и его снижение в группе с СНМ в покое и при повышении внутрибрюшного давления. Повышение жесткости тканей влагалища и уретры на 10 % приводит к увеличению сопротивления потоку мочи в уретре на 7,6 и 8,6 % соответственно. Исследователи пришли к выводу, что структуры уретры и влагалища оказывают наибольшее влияние на удержание мочи, что согласуется с результатами настоящего исследования [22].
В доступных источниках найдено небольшое количество научных работ с оценкой жесткости тканей уретровезикального сегмента при СНМ методом эластографии. Так, J.M. Kreutzkamp и соавт. (2017) выявили корреляцию между жесткостью парауретральных тканей и подвижностью уретры у женщин разных возрастов (от 21 до 76 лет) с СНМ и НМ смешанного генеза. Исследователи сравнили SR парауретральной области задней стенки среднего отдела уретры и шейки мочевого пузыря у пациенток с НМ репродуктивного и постменопаузального возрастов методом компрессионной ультразвуковой эластографии. При снижении жесткости в парауретральной области задней стенки шейки мочевого пузыря подвижность уретры увеличивалась. Корреляция между жесткостью парауретральной области задней стенки шейки мочевого пузыря и НМ не выявлена [45]. Отсутствие корреляции между показателями жесткости и НМ может быть связано с тем, что в исследовании участвовали женщины с разными типами НМ и разного возраста, а в качестве зоны контроля выбраны ткани вокруг среднего отдела уретры.
Жесткость выбранной зоны контроля не постоянна и может изменяться при СНМ. K. Ptaszkowski и соавт. (2021) наблюдали различия показателей жесткости в разных зонах парауретральной области у пациенток с СНМ. При эластографии сдвиговой волны парауретральных структур они выявили снижение жесткости во время активного сокращения мышц тазового дна у женщин постменопаузального возраста (46–56 лет) [46].
Большая часть проанализированных научных работ по оценке жесткости опорных структур уретры характеризуются различиями групп исследуемых женщин по возрасту и тяжести СНМ. Преимуществами настоящей работы является сопоставимость групп пациенток по возрасту, тяжести и генезу заболевания, а также оптимизация оценки жесткости исследуемой ткани (зоны интереса) выбором зоны контроля — жировой тканью с постоянными характеристиками жесткости. Жировая ткань также используется для расчета SR фиброгландулярной ткани молочной железы, мягких тканей и ряда поверхностных органов в качестве зоны контроля.
N.Tanridan Okcu и соавт. (2021) выявили связь между жесткостью тканей задней стенки шейки мочевого пузыря и гипермобильностью уретры при СНМ. В исследование включили пациенток с гипермобильностью легкой и тяжелой степеней при СНМ и женщин без гипермобильности и НМ в возрасте 40–70 лет. Оценивали подвижность уретры, жесткость лобково-копчиковых мышц, тканей задней стенки уретры и шейки мочевого пузыря методом эластографии сдвиговой волны. При увеличении гипермобильности уретры снижалась жесткость тканей задней стенки среднего отдела уретры и шейки мочевого пузыря. Обнаружена также статистически значимая корреляция между показателями жесткости тканей задней стенки среднего отдела уретры в покое, задней стенки шейки мочевого пузыря в покое и при пробе Вальсальвы и гипермобильностью уретры у пациенток с СНМ. При тяжелой степени гипермобильности жесткость тканей задней стенки шейки мочевого пузыря была ниже, чем при легкой. Исследователи пришли к выводу, что показатель жесткости (модуль Юнга) тканей шейки мочевого пузыря, полученный при эластографии сдвиговой волны, можно использовать для диагностики гипермобильности уретры [20].
Результаты настоящего исследования согласуются с данными L. Wang и соавт. (2023), сделавшими заключение, что снижение жесткости рабдосфинктера, включающего компрессор уретры, уретровлагалищный и уретральный сфинктеры, является независимым фактором, связанным с возникновением СНМ у женщин. Они обнаружили у пациенток с СНМ более тонкий и менее жесткий рабдосфинктер, чем у женщин без НМ. Таким образом, показатель жесткости (модуль Юнга) тканей рабдосфинктера, полученный при эластографии сдвиговой волны можно использовать для диагностики СНМ и недостаточности сфинктера при СНМ. Снижение жесткости рабдосфинктера может приводить к большей растяжимости уретры при повышении внутрибрюшного давления, способствует формированию более низкого максимального давления закрытия уретры и утечке мочи [19, 21].
X.M. Li и соавт. (2022) подтвердили связь между жесткостью мышцы, поднимающей задний проход, по данным эластографии, и СНМ. Исследователи установили пороговое значение модуля Юнга лобково-прямокишечной мышцы для прогнозирования СНМ. У пациенток с СНМ выявили более тонкую, а также менее жесткую и растяжимую лобково-прямокишечную мышцу, чем у женщин без НМ [47].
ЗАКЛЮЧЕНИЕ
Таким образом, компрессионная эластография уретровезикального сегмента — это новая неинвазивная методика, позволяющая повысить точность диагностики легких форм СНМ у женщин репродуктивного и перименопаузального возрастов. Установлено, что жесткость структур парауретральной области задней стенки проксимального отдела уретры, а также задней и передней стенок среднего отдела уретры у пациенток с СНМ меньше, чем у женщин без НМ, и ее показатели связаны с гипермобильностью уретры. Определены количественные характеристики SR выделенной зоны парауретральной области, с высокой чувствительностью и специфичностью подтверждающие наличие СНМ. При статистическом моделировании значение SR ≤ 0,85 в парауретральной области проксимального отдела задней стенки уретры связано с СНМ (чувствительность модели — 96,0 %, специфичность — 86,7 %; р < 0,001). Эластография уретровезикального сегмента в сравнении с другими методами обследования при НМ обладает рядом преимуществ: является неинвазивной процедурой без необходимости предварительного лабораторного обследования, без противопоказаний, с минимальной продолжительностью. Применение компрессионной эластографии в диагностике СНМ доступно большинству специалистов. Данный метод целесообразно использовать у женщин с легкими формами СНМ на этапе планирования консервативного лечения для подтверждения диагноза и контроля терапии.
ДОПОЛНИТЕЛЬНАЯ ИНФОРМАЦИЯ
Источник финансирования. Исследование выполнено в рамках государственного задания Министерства науки и высшего образования Российской Федерации по фундаментальным научным исследованиям (государственный регистрационный номер темы 122041500063-2).
Конфликт интересов. Авторы декларируют отсутствие явных и потенциальных конфликтов интересов, связанных с публикацией настоящей статьи.
Вклад авторов. Е.И. Русина, М.М. Жевлакова, Е.В. Шелаева — концепция и дизайн исследования; Е.И. Русина, М.М. Жевлакова, Е.В. Шелаева, С.В. Нагорнева — сбор и обработка материала; М.М. Жевлакова — статистическая обработка данных; Е.И. Русина, М.М. Жевлакова, Е.В. Шелаева, М.И. Ярмолинская — написание текста; Е.И. Русина, Е.В. Шелаева, М.И. Ярмолинская — редактирование.
Все авторы подтверждают соответствие своего авторства, согласно международным критериям ICMJE (все авторы внесли существенный вклад в разработку концепции, проведение исследования и подготовку статьи, прочли и одобрили финальную версию перед публикацией).
Этическое утверждение. Исследование одобрено локальным этическим комитетом НИИ АГиР им. Д.О. Отта (протокол № 104 от 23.10.2020).
ADDITIONAL INFORMATION
Funding. The study was carried out within the framework of the state task of the Ministry of Science and Higher Education of the Russian Federation for fundamental scientific research, state registration number of the topic 122041500063-2.
Conflict of interest. The authors declare no conflict of interest related to the publication of this article.
Author contributions. E.I. Rusina, M.M. Zhevlakova, E.V. Shelaeva — study concept and design; E.I. Rusina, M.M. Zhevlakova, E.V. Shelaeva, S.V. Nagorneva — collection and processing of material; M.M. Zhevlakova — statistical data processing; E.I. Rusina, M.M. Zhevlakova, E.V. Shelaeva, M.I. Yarmolinskaya — writing the text; E.I. Rusina, E.V. Shelaeva, M.I. Yarmolinskaya — editing.
Thereby, all authors confirm that their authorship complies with the international ICMJE criteria (all authors have made a significant contribution to the development of the concept, research, and preparation of the article, as well as read and approved the final version before its publication).
Ethics approval. The of the study was approved by the local ethics committee of the Research Institute of Obstetrics, Gynecology and Reproductology named after D.O. Ott (protocol No. 104 of 23.10.2020).
Об авторах
Елена Ивановна Русина
Научно-исследовательский институт акушерства, гинекологии и репродуктологии им. Д.О. Отта
Email: pismo_rusina@mail.ru
ORCID iD: 0000-0002-8744-678X
д-р мед. наук
Россия, Санкт-ПетербургМария Михайловна Жевлакова
Научно-исследовательский институт акушерства, гинекологии и репродуктологии им. Д.О. Отта
Email: gynecologist.spb@mail.ru
ORCID iD: 0009-0005-2084-3894
SPIN-код: 5889-2765
MD
Россия, Санкт-ПетербургЕлизавета Валерьевна Шелаева
Научно-исследовательский институт акушерства, гинекологии и репродуктологии им. Д.О. Отта
Email: eshelaeva@yandex.ru
ORCID iD: 0000-0002-9608-467X
SPIN-код: 7440-0555
канд. мед наук
Россия, Санкт-ПетербургСтанислава Владимировна Нагорнева
Научно-исследовательский институт акушерства, гинекологии и репродуктологии им. Д.О. Отта
Email: stanislava_n@bk.ru
ORCID iD: 0000-0003-0402-5304
SPIN-код: 5109-7613
канд. мед. наук
Россия, Санкт-ПетербургМария Игоревна Ярмолинская
Научно-исследовательский институт акушерства, гинекологии и репродуктологии им. Д.О. Отта
Автор, ответственный за переписку.
Email: m.yarmolinskaya@gmail.com
ORCID iD: 0000-0002-6551-4147
SPIN-код: 3686-3605
д-р мед. наук, профессор, профессор РАН
Россия, Санкт-ПетербургСписок литературы
- Grzybowska M.E., Wydra D., Smutek J. Analysis of the usage of continence pads and help-seeking behavior of women with stress urinary incontinence in Poland // BMC Womens Health. 2015. Vol. 15. No. 1. P. 80. doi: 10.1186/s12905-015-0238-6
- Saleh N., Bener A., Khenyab N., et al. Prevalence, awareness and determinants of health care-seeking behaviour for urinary incontinence in Qatari women: a neglected problem? // Maturitas. 2005. Vol. 50. No. 1. P. 58–65. doi: 10.1016/j.maturitas.2004.04.003
- Ng S.F., Lok M.K., Pang S.M., et al. Stress urinary incontinence in younger women in primary care: prevalence and opportunistic intervention // J. Womens Health. 2014. Vol. 23. No. 1. P. 65–68. doi: 10.1089/jwh.2013.4382
- Abrams P., Smith A.P., Cotterill N. The impact of urinary incontinence on health-related quality of life (HRQoL) in a real-world population of women aged 45-60 years: results from a survey in France, Germany, the UK and the USA // BJU Int. 2015. Vol. 115. No. 1. P. 143–152. doi: 10.1111/bju.12852
- Duralde E.R., Rowen T.S. Urinary incontinence and associated female sexual dysfunction // Sex. Med. Rev. 2017. Vol. 5. No. 4. P. 470–485. doi: 10.1016/j.sxmr.2017.07.001
- Жевлакова М.М., Русина Е.И. Стрессовое недержание мочи легкой степени тяжести у женщин репродуктивного и перименопаузального возраста // Материалы XXII всероссийского научно-образовательного форума «Мать и дитя». Москва: МЕДИ Экспо, 2021. С. 152 [дата обращения 22.06.2023]. Доступ по ссылке: https://www.mediexpo.ru/fileadmin/user_upload/content/pdf/thesis/md_2021_thesis.pdf
- Неиймарк А.И., Раздорская М.В. Недержание мочи у женщин. Москва: ГЭОТАР-Медиа, 2013.
- Русина Е.И. Роль комплексного уродинамического исследования при планировании оперативного лечения у континентных женщин с пролапсом тазовых органов // Журнал акушерства и женских болезней. 2014. Т. 63. № 1. C. 17–25. doi: 10.17816/JOWD63117-25
- Касян Г.Р., Ходырева Л.А., Гвоздев М.Ю., и др. Уродинамические исследования в клинической практике. Методические рекомендации. 2016. № 1 [дата обращения 22.06.2023]. Доступ по ссылке: https://mosgorzdrav.ru/uploads/imperavi/ru-RU/УРОДИНАМИЧЕСКИЕ%20ИССЛ-Я.pdf
- Российское общество урологов. Недержание мочи. Клинические рекомендации. 2020 [дата обращения 22.06.2023]. Доступ по ссылке: https://static-0.minzdrav.gov.ru/system/attachments/attaches/000/054/889/original/Клинические_рекомендации_Недержание_мочи_2020.pdf?1614860910
- Tunn R., Schaer G., Peschers U., et al. Updated recommendations on ultrasonography in urogynecology // Int. Urogynecol. J. Pelvic Floor Dysfunct. 2005. Vol. 16. No. 3. P. 236–241. doi: 10.1007/s00192-004-1228-7
- Головко С.Ю. Современные методы диагностики и оперативного лечения стрессового недержания мочи у женщин: автореф. дис. ... канд. мед. наук. Москва, 2000 [дата обращения 22.06.2023]. Доступ по ссылке: https://viewer.rusneb.ru/ru/000200_000018_RU_NLR_bibl_258997?page=1&rotate=0&theme=white
- Лоран О.Б. Эпидемиология, этиология, патогенез, диагностика недержания мочи // Материалы пленума правления Российского общества урологов. Москва: Медицина, 2001. C. 21–41.
- Dalpiaz O., Curti P. Role of perineal ultrasound in the evaluation of urinary stress incontinence and pelvic organ prolapse: a systematic review // Neurourol. Urodyn. 2006. Vol. 25. No. 4. P. 301–307. doi: 10.1002/nau.20261
- Чечнева М.А. Рациональная концепция комплексного обследования женщин с синдромом тазовой дисфункции и мочевой инконтиненции: автореф. дис. ... д-ра мед. наук. Москва, 2011 [дата обращения 22.06.2023]. Доступ по ссылке: https://www.dissercat.com/content/ratsionalnaya-kontseptsiya-kompleksnogo-obsledovaniya-zhenshchin-s-sindromom-tazovoi-destsen
- Shiina T., Nightingale K.R., Palmeri M.L., et al. WFUMB guidelines and recommendations for clinical use of ultrasound elastography: Part 1: Basic principles and terminology // Ultrasound Med. Biol. 2015. Vol. 41. No. 5. P. 1126–1147. doi: 10.1016/j.ultrasmedbio.2015.03.009
- Kim H., Hwang H.S. Elastographic measurement of the cervix during pregnancy: Current status and future challenges // Obstet. Gynecol. Sci. 2017. Vol. 60. No. 1. P. 1–7. doi: 10.5468/ogs.2017.60.1.1
- Gubarkova E.V., Sovetsky A.A., Vorontsov D.A., et al. Compression optical coherence elastography versus strain ultrasound elastography for breast cancer detection and differentiation: pilot study // Biomed. Opt. Express. 2022. Vol. 13. No. 5. P. 2859–2881. doi: 10.1364/BOE.451059
- Baumfeld Y., Wei Q., Chitnis P., et al. Does aging affect the elastic properties of the bladder and the urethra in nulliparous women: an ultrasound shear-wave elastography study // Neurourol. Urodyn. 2022. Vol. 41. No. 3. P. 797–805. doi: 10.1002/nau.24877
- Tanrıdan Okcu N., Vuruskan E., Gorgulu F.F. Use of shear wave elastography to evaluate stress urinary incontinence in women // J. Coll. Physicians Surg. Pak. 2021. Vol. 31. N. 10. P. 1196–1201. doi: 10.29271/jcpsp.2021.10.1196
- Wang L., Liu Y., Wang X., et al. Association between urethral funneling in stress urinary incontinence and the biological properties of the urethral rhabdosphincter muscle based on shear wave elastography // Neurourol. Urodyn. 2023. Vol. 42. No. 1. P. 282–288. doi: 10.1002/nau.25080
- Yao F., Laudano M.A., Seklehner S., et al. Image-based simulation of urethral distensibility and flow resistance as a function of pelvic floor anatomy // Neurourol. Urodyn. 2015. Vol. 34. No. 7. P. 664–668. doi: 10.1002/nau.22624
- Li J.-R., Lei L., Luo N., et al. Architecture of female urethral supporting structures based on undeformed high-resolution sectional anatomical images // Anat. Sci. Int. 2021. Vol. 96. No. 1. P. 30–41. doi: 10.1007/s12565-020-00554-y
- Oelrich T.M. The striated urogenital sphincter muscle in the female // Anat. Rec. 1983. Vol. 205. No. 2. P. 223–232. doi: 10.1002/ar.1092050213
- Wu Y., Dabhoiwala N.F., Hagoort J., et al. Architectural differences in the anterior and middle compartments of the pelvic floor of young-adult and postmenopausal females // J. Anat. 2017. Vol. 230. No. 5. P. 651–663. doi: 10.1111/joa.12598
- Umek W.H., Kearney R., Morgan D.M., et al. The axial location of structural regions in the urethra: a magnetic resonance study in nulliparous women // Obstet. Gynecol. 2003. Vol. 102. No. 5. Pt. 1. P. 1039–1045. doi: 10.1016/j.obstetgynecol.2003.04.001
- DeLancey J.O., Starr R.A. Histology of the connection between the vagina and levator ani muscles. Implications for urinary tract function // J. Reprod. Med. 1990. Vol. 35. No. 8. P. 765–771.
- Kato M.K., Muro S., Kato T., et al. Spatial distribution of smooth muscle tissue in the female pelvic floor and surrounding the urethra and vagina // Anat. Sci. Int. 2020. Vol. 95. No. 4. P. 516–522. doi: 10.1007/s12565-020-00549-9
- Fritsch H., Pinggera G.M., Lienemann A., et al. What are the supportive structures of the female urethra? // Neurourol. Urodyn. 2006. Vol. 25. No. 2. P. 128–134. doi: 10.1002/nau.20133
- Mazloomdoost D., Westermann L.B., Mutema G., et al. Histologic anatomy of the anterior vagina and urethra // Female Pelvic Med. Reconstr. Surg. 2017. Vol. 23. No. 5. P. 329–335. doi: 10.1097/SPV.0000000000000387
- Roch M., Gaudreault N., Cyr M.P., et al. The female pelvic floor fascia anatomy: a systematic search and review // Life. 2021. Vol. 11. No. 9. P. 900. doi: 10.3390/life11090900
- Кан Д.В. Руководство по акушерской и гинекологической урологии. Москва: Медицина, 1986 [дата обращения 22.06.2023]. Доступ по ссылке: https://archive.org/details/B-001-025-087-ALL/page/n15/mode/2up
- Берлев И.В., Беляев А.М., Смирнова О.А., и др. Интрафасциальные пространства в хирургии опухолей малого таза у женщин. Санкт-Петербург: Эко-Вектор, 2021.
- Hamner J.J., Carrick K.S., Ramirez D.M.O., et al. Gross and histologic relationships of the retropubic urethra to lateral pelvic sidewall and anterior vaginal wall in female cadavers: clinical applications to retropubic surgery // Am. J. Obstet. Gynecol. 2018. Vol. 219. No. 6. P. 597.e1–597.e8. doi: 10.1016/j.ajog.2018.09.037
- DeLancey J.O. Correlative study of paraurethral anatomy // Obstet. Gynecol. 1986. Vol. 68. No. 1. P. 91–97.
- Гажонова В.Е., Чуркина С.О., Лукьянова Е.С., и др. Клиническое применение нового метода соноэластографии в гинекологии // Кремлевская медицина. Клинический вестник. 2008. № 2. С. 18–23.
- Sigrist R.M.S., Liau J., Kaffas A.E., et al. Ultrasound elastography: review of techniques and clinical applications // Theranostics. 2017. Vol. 7. No. 5. P. 1303–1329. doi: 10.7150/thno.18650
- Nakamura M., Akagi R. Ultrasonic shear-wave elastography: a novel method for assessing musculoskeletal soft tissue and nerves // Clin. Neurophysiol. 2022. Vol. 140. P. 163–164. doi: 10.1016/j.clinph.2022.05.006
- Mlodawski J., Mlodawska M., Plusajska J., et al. Repeatability and reproducibility of quantitative cervical strain elastography (E-Cervix) in pregnancy // Sci. Rep. 2021. Vol. 11. No. 1. doi: 10.1038/s41598-021-02498-3
- Delancey J.O. Why do women have stress urinary incontinence? // Neurourol. Urodyn. 2010. Vol. 29. Suppl. 1. P. S13–S17. doi: 10.1002/nau.20888
- Chen B., Yeh J. Alterations in connective tissue metabolism in stress incontinence and prolapse // J. Urol. 2011. Vol. 186. No. .5. P. 1768–1772. doi: 10.1016/j.juro.2011.06.054
- Han L., Wang L., Wang Q., et al. Association between pelvic organ prolapse and stress urinary incontinence with collagen // Exp. Ther. Med. 2014. Vol. 7. No. 5. P. 1337–1341. doi: 10.3892/etm.2014.1563
- Wang L., Han LY., Li HL. Etiological study of pelvic organ prolapses and stress urinary incontinence with collagen status and metabolism // Zhonghua Yi Xue Za Zhi. 2013. Vol. 93. No. 7. P. 500–503.
- Лапий Г.А., Яковлева А.Ю., Абдулаева Н.А., и др. Патоморфологический анализ применений эрбиевого лазера в коррекции стрессового недержания мочи у женщин // Сибирский научный медицинский журнал. 2018. № 3. С. 35–41. doi: 10.15372/SSMJ20180305
- Kreutzkamp J.M., Schafer S.D., Amler S., et al. Strain elastography as a new method for assessing pelvic floor biomechanics // Ultrasound Med. Biol. 2017. Vol. 43. No. 4. P. 868–872. doi: 10.1016/j.ultrasmedbio.2016.12.004
- Ptaszkowski K., Małkiewicz B., Zdrojowy R., et al. Assessment of the elastographic and electromyographic of pelvic floor muscles in postmenopausal women with stress urinary incontinence symptoms // Diagnostics. 2021. Vol. 11. No. 11. P. 2051. doi: 10.3390/diagnostics11112051
- Li X.M., Zhang L.M., Li Y., et al. Usefulness of transperineal shear wave elastography of levator ani muscle in women with stress urinary incontinence // Abdom. Radiol. (NY). 2022. Vol. 47. No. 5. P. 1873–1880. doi: 10.1007/s00261-022-03478-5
Дополнительные файлы








