“Relaxin-dependent” way of implementing spontaneous preterm labor in multiple pregnancies: The involvement of placental relaxin 2
- 作者: Pachuliya O.V.1, Bespalova O.N.1, Butenko M.G.1, Milyutina Y.P.1, Tral T.G.1, Tolibova G.K.1
-
隶属关系:
- The Research Institute of Obstetrics, Gynecology, and Reproductology named after D.O. Ott
- 期: 卷 70, 编号 2 (2021)
- 页面: 27-36
- 栏目: Original study articles
- ##submission.dateSubmitted##: 15.02.2021
- ##submission.dateAccepted##: 03.03.2021
- ##submission.datePublished##: 17.06.2021
- URL: https://journals.eco-vector.com/jowd/article/view/60946
- DOI: https://doi.org/10.17816/JOWD60946
- ID: 60946
如何引用文章
详细
BACKGROUND: Despite numerous studies, the etiopathogenesis of preterm birth in multiple pregnancy remains unclear, which determines the low effectiveness of measures for the prevention of preterm birth. This fact makes it necessary to study possible ways of implementing preterm birth in multiple pregnancies and to search for new biomarkers of their pathogenetic links. Experimental and clinical studies have demonstrated the contribution of the pleiotropic hormone relaxin to the regulation of a wide range of physiological processes and its role in the implementation of the pathogenetic mechanisms of pregnancy complications, primarily premature birth. The proven autocrine / paracrine mechanism of placental relaxin action, which implements important local effects, determines the prospects for studying the contribution of its dysregulation to the implementation of spontaneous preterm labor in multiple pregnancies.
MATERIALS AND METHODS: A morphological examination of 92 placentas from 46 deliveries of dichorionic diamniotic twins was performed: 24 of them were spontaneous premature births and 22 spontaneous term births. Histological examination of placentas along with immunohistochemical verification of relaxin 2 expression in the chorionic villus of the dichorial twins’ placentas were carried out.
RESULTS: Histological examination of the dichorionic twins’ placentas revealed that those from spontaneous preterm birth were characterized by a higher frequency of chronic placental insufficiency with reduced compensatory and adaptive mechanisms and more pronounced circulatory disorders in the circulatory bed of the villous tree, when compared to placentas from spontaneous term labor. The first verification of relaxin 2 expression in the chorionic villi of the dichorionic twins’ placenta showed the role of the peptide in the initiation of spontaneous preterm birth. The relative area of relaxin 2 expression in spontaneous preterm labor was significantly higher (p < 0.05) compared to that in spontaneous term labor.
CONCLUSIONS: The data obtained confirm the hypothesis put forward about the involvement of placental relaxin in the pathogenesis of spontaneous preterm labor in multiple pregnancies. The authors were the first to propose the definition of a “relaxin-dependent” way of implementing spontaneous preterm labor. To help define new preventive strategies, the prospects for further studies of the role and significance of relaxin in the implementation of pathogenic processes involved in spontaneous preterm birth in multiple pregnancies have been outlined.
全文:
BACKGROUND
Currently, there is a steady increase in the frequency of multiple pregnancies, which are associated with the widespread use of assisted reproductive technologies. Pathological multiple pregnancies at all stages of gestation are associated with a considerable increase in the frequency of obstetric complications, surgical delivery, and a high level of perinatal losses [1]. Preterm delivery (PD), in turn, most often complicates multiple pregnancies. In addition, about 40% of multiple pregnancies are induced PD (based on medical necessity for the mother and fetuses) and 60% are spontaneous PD.
Spontaneous PD is well known as a “major obstetric syndrome.” It can be caused by maternal, paternal, fetal, or environmental factors. To date, there are four main groups of causes of PD: infectious and inflammatory (about 40%), activation of the maternal–fetal hypothalamic–pituitary–adrenal system (about 30%), bleeding (about 20%), and uterine hyperextension (about 10%) [1, 2].
Nevertheless, most researchers indicate the unclear nature of etiopathogenesis of PD in multiple pregnancies. This factor largely determines the low efficiency of preventive and therapeutic measures that are aimed at maintaining multiple pregnancies. Hence, there is an obvious necessity to study the possible ways of implementing PD in multiple pregnancies and search for new biomarkers of their pathogenetic links.
Experimental and clinical studies have demonstrated that the pleiotropic action of the forms of this polypeptide hormone circulating in the mother’s blood has prompted the study of relaxin as a biomarker. A large array of information is available about their endocrine action and participation in the regulation of a wide range of physiological processes during pregnancy [3].
In early pregnancy, relaxin stimulates biochemical changes in the cells of the endometrial stroma, thereby playing an essential role in its decidualization. In addition, it modulates the activity of matrix metalloproteinases, increases the local concentration of immunocompetent cells, and enhances angiogenesis, thus favoring the implantation of embryo [5–7]. In the late stages of gestation, relaxin affects the maturation of the cervix by regulating the sequential processes of collagen degradation and remodeling. Furthermore, it causes the relaxation of the ligaments of the pubic articulation of the pelvic bones, which contributes to the optimal preparation of the maternal organism for physiological childbirth [6–9].
At the same time, the literature demonstrated that both a deficiency and an excess of relaxin in the blood can exert negative consequences on pregnancy [9]. Studies have also shown the negative effects of hyporelaxinemia on carbohydrate metabolism, as well as the association between hyperrelaxinemia and the risk of spontaneous PD [10–13].
The study of placental relaxins did not reveal their significant concentrations in the maternal blood; therefore, the conclusion was drawn about the predominantly autocrine/paracrine mechanism of their action, through which important local effects are implemented [14–17]. The discovery of expression of relaxin receptors in the endothelial cells of the placenta vessels prompted the assumption that relaxins are involved in the control of placental perfusion and therefore play the role of important regulators of the adequate functioning of the mother–placenta–fetus system [17–19] (Fig. 1).
Fig. 1. Pathological processes that potentially occur in preterm delivery by influencing autocrine/paracrine hormonal regulation ([21], as amended)
The contribution of the deregulation of placental relaxins toward the pathogenesis of pregnancy complications, primarily PD, has not been studied in both singleton pregnancies and multiple pregnancies. Studies on singleton pregnancies obtained fragmentary data on the effects of relaxins on PD via collagenolytic action on the structures of the membranes with a further decrease in their strength and rupture [16, 20]. Importantly, researchers have also demonstrated the ability of relaxins to increase the contractile activity of the uterus by stimulating the expressions of mRNA and the levels of proteins–cyclooxygenases-1 and -2–involved in the production of contractile prostaglandins E2 and, thus, in conditionally aseptic conditions to reproduce the cascade of inflammatory response reactions [16, 17, 20–22].
To date, researchers are discussing the role of “relaxin system” in spontaneous PD, namely the disorder of adequate proliferation of fetal membranes, which are essential for the adaptation of the fetal membranes to the fetus and placenta growth, as well as acute infection and an aseptic inflammatory reaction leading to the onset of labor [19–22]. Thus, the study of placental relaxin in the occurrence of spontaneous PD in multiple pregnancies seems promising.
MATERIALS AND METHODS
A morphological study of 92 placentas (m) from 46 pregnancies (n) of dichorionic-diamniotic twins was performed. The main group included spontaneous PD (n = 24, m = 48) with a gestational age of 28–36 weeks and the control group included spontaneous delivery at term (n = 22, m = 44) a the gestational age of 37 weeks or more.
Histological method
Sampling, preparation of material for research, and preparation of histological specimens were performed in accordance with the order of the Ministry of Health of the Russian Federation dated March 24, 2016 No. 179n “On the Rules for conducting pathological studies.” The material was fixed in 10% neutral formalin (pH: 7.2), and the processing was performed according to the standard protocol. The obtained blocks were cut into the sections with a thickness of 3–5 µm. For overview staining, hematoxylin and eosin were used. The study was performed on an Olympus CX31 microscope (Japan) at magnifications of 100× and 400×.
Immunohistochemical method
The study was performed on paraffin sections with a thickness of 5 μm, which were placed on glass slides coated with a poly-L-lysine film (Sigma, Japan). The immunohistochemical reaction was performed using a standard one-step protocol with antigen retrieval (high-temperature tissue treatment) in 0.01 M of citrate buffer with a pH of 6.0. The Abcam Mouse and Rabbit Specific HRP Plus (ABC) Detection IHC Kit (RTU) [ab93697] (Abcam, UK) was used as an imaging system.
The immunohistochemical method of the study included a quantitative and qualitative assessment of the expression of relaxin-2 (RLN2) using primary monoclonal rabbit antibodies Anti-Relaxin 2/RLN2 [clone EPR 14205] ab183505 Abcam (UK) at a standard dilution of 1:1500.
Digital microscopy and morphometry
The quantitative assessment of the results of immunohistochemical studies was performed on microphotographs obtained using a microscopic image fixation system comprising an Olympus BX46 microscope and CellSens 47 Entry software. Fields of view containing tissue defects, staining defects, and artifacts were excluded from photography. Photographing was performed at a magnification of 400× (eyepiece × 10, lens × 40) in the Photo mode, with exposure time of 1/38 s, a maximum camera sensitivity, image size of 2080 × 1544 pixels, and graphic image format of JPEG (normal). The proportion of the occupied expression of the marker under study was calculated using the VideoTest-Morphology 5.2 program (VIDEOTEST, Russia).
In each section in five fields of view, the following was assessed:
- the optical density of expression was calculated automatically in accordance with the Bouguer–Lambert–Beer law; the use of the so-called optical expression density, which is the basic parameter of the VideoTest-Morphology 5.2 program, for analyzing optical parameters of microphotographs is acceptable because measurements are performed by analogy with spectrophotometric analysis;
- for the relative area of expression, the ratio of the area of immunopositive cells to the total area of the preparation was calculated S (%) = (Spositive/Stotal) × 100, after which the average values of the studied parameters were calculated.
Statistical analysis
The results were statistically processed using Statistica 10 (StatSoft, Inc.) and Microsoft Excel software. The Shapiro–Wilk test (W-test) was used to test the normal distribution. To compare the studied parameters, the nonparametric Mann–Whitney test (U-test) and the Kruskal–Wallis test (H-test) were used.
The relationship between the studied parameters was assessed using the Spearman’s rank correlation coefficient rs. The bond strength was determined according to the following indications: very weak (0–0.3), weak (0.3–0.5), medium (0.5–0.7), high (0.7–0.9), and very high (0.9–1).
In the pairwise comparison between the groups, the single-factor analysis of variance was applied, which included post hoc analysis according to the Bonferroni method and the comparison of differences of the means according to the Tukey method.
For all types of analysis, values of p < 0.05 were taken as statistically significant.
RESEARCH RESULTS
Clinical and anamnestic characteristics of the groups. Pregnant women with dichorionic–diamniotic twins in the study groups were comparable in age (p > 0.05). Gestational complications such as istmicocervical insufficiency, gestational diabetes mellitus, hypertensive conditions (pregnancy arterial hypertension, preeclampsia), and chronic placental insufficiency (CPI) were identified most frequently in both study groups. Nevertheless, significant differences between the groups were revealed only in the incidence of gestational diabetes mellitus, which was significantly more frequent in spontaneous PD (p < 0.05) than in the main group (37.5% [9] and 19.1% [4]).
In the studied groups, specific complications of multiple pregnancies with dichorionic–diamniotic twins such as the dissociation of fetal development and the antenatal death of one fetus from twins were assessed (the weight of one of the fetuses is less than the 10th percentile and discordance of the estimated fetal weight of more than 25% [according to the US]) [121]. Only in one case in the spontaneous PD group, the difference between the estimated fetal weight was borderline and amounted to 23%. In this pregnancy, spontaneous PD occurred at a term of 28 weeks of gestation. Importantly, there were no cases of antenatal death of one of the fetuses in the study groups.
Histological examination of the placenta of dichorionic twins. The histological examination of the placentas included an assessment of placental mass, placental–fetal index (PFI), compliance with gestational age, circulatory disorders, compensatory–adaptive changes, the type and severity of CPI, exudative and hematogenous inflammatory changes, and abnormalities in the development of placentas. Differences in indicators were determined by both groups and the placenta of fetuses in twin pairs.
Placenta weight. The weight of the placentas of dichorionic–diamniotic twins varied from 170 to 860 g. The average weight of the placentas of the first and second fetuses did not differ for twin pairs in all the studied groups (p < 0.05).
No significant differences were revealed (p > 0.05) while assessing the weight of the placenta for both fetuses in the early (463.4 ± 177.3 g) and late (349.3 ± 102.8 g) spontaneous PD. In spontaneous PDs, placental weight was weakly positively correlated with weight (r = 0.29) and the height of twins at birth (r = 0.38). At term delivery, the correlation between the weight of the placenta and the weight of children was moderately positive (r = 0.60).
Placental–fetal index. There were no significant differences in PFI with spontaneous PD and spontaneous term delivery (0.16 ± 0.01 and 0.15 ± 0.01, p > 0.05). A significantly higher PFI (p < 0.05) was noted in early PD than late PD (0.19 ± 0.05 and 0.15 ± 0.03) and the height of children (r = −0.51). At term delivery, there was a positive relationship between placental weight and PFI (r = 0.64).
CPI. Differences in the frequency of CPI detection (compensatory–adaptive changes, circulatory disorders of varying severity) and the degree of CPI compensation (compensated, subcompensated, and decompensated) in the study groups were assessed.
Inconsistency of placentas with gestational age (CPI). There were no differences between the groups in terms of inconsistency between the placentas and the gestational age (p > 0.05). At the same time, the assessment of the intragroup differences between the indices of the placentas of the first and second fetuses determined that in the group of spontaneous delivery, the placenta of the second fetuses differed significantly from the first fetuses in a greater frequency of inconsistency with the gestational age (62.5% [15] and 58.3% [14] with PD [p < 0.01], 68.2% [15] and 50% [11] with term delivery [p < 0.05]).
Degree of CPI compensation. The incidence of compensated CPI was comparable in all groups. In the group of spontaneous PD, subcompensated placental insufficiency among the former occurred significantly (p = 0.01) more often as compared with the spontaneous delivery at term (29.2% [7] and 4.5% [1]). At the same time, among the placentas of second fetuses, there were no significant differences in the frequency of subcompensated CPI (29.2% [7] and 22.7% [5], p > 0.05).
The analysis of incidence of subcompensated CPI in the placentas of the first and second fetuses showed a tendency to its higher incidence among the second fetuses (p = 0.092). In the study of the placentas of both fetuses, subcompensated CPI was detected significantly more often (p = 0.012) in early PD as compared with late PD groups (60.0% [6] and 16.7% [6]).
CPI with signs of decompensation in the placentas of the study groups was not found.
Circulatory disorders. Severe circulatory disorders were significantly (p = 0.04) more common in the group of spontaneous PD as compared with spontaneous delivery group at term both among the placentas of the first fetuses (50% [12] and 27.3% [6]) and among the second fetus placentas (54.2% [13] and 31.8% [7]).
Compensatory and adaptive changes. No significant differences were found in terms of severity of compensatory–adaptive changes, both while comparing the placenta of both fetuses and comparing twin pairs.
Inflammatory changes in the placenta. Considering the small number of placentas with signs of inflammatory changes, they were assessed for both fetuses in each group. The frequency of infectious and inflammatory processes in the placenta was twice lower than indicated in the literature and amounted to 22.8%.
Nevertheless, there was a tendency (p = 0.09) in the group of spontaneous PD to a higher frequency of inflammatory changes as compared with the group of spontaneous term delivery. In the main group, membranitis was noted in 6.25% (3) of cases, whereas it was not registered in the control group. Chorioamnionitis was diagnosed in 8.4% (4) of cases in group 1 and in 2.3% (1) of cases in group 2. Funiculitis was noted in 4.2% (2) and 2.3% (1) of cases in group 1 and 2, respectively, but the differences were not were statistically significant (p > 0.05). In the group of early PD, there were 20% (2) cases of chorioamnionitis, which was significantly higher (p > 0.05) as compared with late PD (in these groups, chorioamnionitis was not detected).
While assessing infectious lesions of the placentas caused by hematogenous infection, the proportion of villusitis in the study group was 8.4% (4) and was slightly higher compared with the control group (4.6%, 2), but the differences were not statistically significant (p > 0.05). Villusitis was detected only at early PD in 20% (2) of cases. The number of deciduites was comparable in the group of preterm and term delivery (4.2% [2] and 4.6% [2]; p > 0.05).
Table shows the comparative histological characteristics of dichorionic twin placentas in the study groups. The data are presented for the placentas of both fetuses in twin pairs.
Table. Histological characteristics of dichorionic twin placentas in the study groups
Type of delivery | Spontaneous preterm delivery (n = 24, m = 48) | Spontaneous delivery at term (n = 22, m = 44) | p-value |
% (n) | |||
CPI | |||
Discrepancy with gestational age | 60.4 (29) | 59.1 (26) | <0.05 |
Type of CPI | |||
Hypoplastic | 6.9 (2) | 11.5 (3) | <0.05 |
Dissociated | 86.2 (25) | 84.6 (22) | <0.05 |
Hyperplastic | 6.9 (2) | 3.9 (1) | <0.05 |
Degree of CPI compensation | |||
Compensated | 51.7 (15) | 76.9 (20) | <0.05 |
Subcompensated | 48.3 (14) | 23.1 (6) | 0.01 |
Decompensated | 0 | 0 | – |
Compensatory and adaptive changes | |||
Mild | 0 | 2.3 (1) | <0.05 |
Moderate | 95.8 (46) | 93.2 (41) | <0.05 |
Significant | 4.2 (2) | 4.5 (2) | <0.05 |
Circulatory disorders | |||
Mild | 8.3 (4) | 18.2 (8) | <0.05 |
Moderate | 39.6 (19) | 43.2 (19) | <0.05 |
Significant | 50.0 (25) | 29.6 (13) | 0.03 |
Infectious and inflammatory changes | |||
Exudative inflammation | |||
Membranitis | 6.25 (3) | 0 | 0.09 |
Chorioamnionitis | 8.4 (4) | 2.3 (1) | <0.05 |
Funiculitis | 4.2 (2) | 2.3 (1) | <0.05 |
Hematogenous ingress of infection | |||
Villusitis | 8.4 (4) | 4.6 (2) | <0.05 |
Deciduitis | 4.2 (2) | 4.6 (2) | <0.05 |
Note. CPI — chronic placental insufficiency.
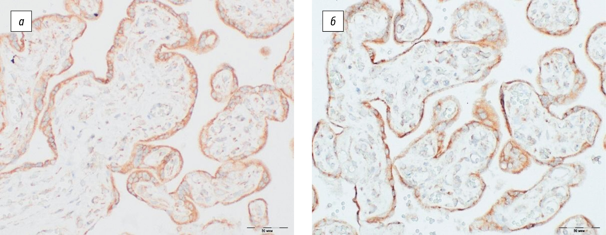
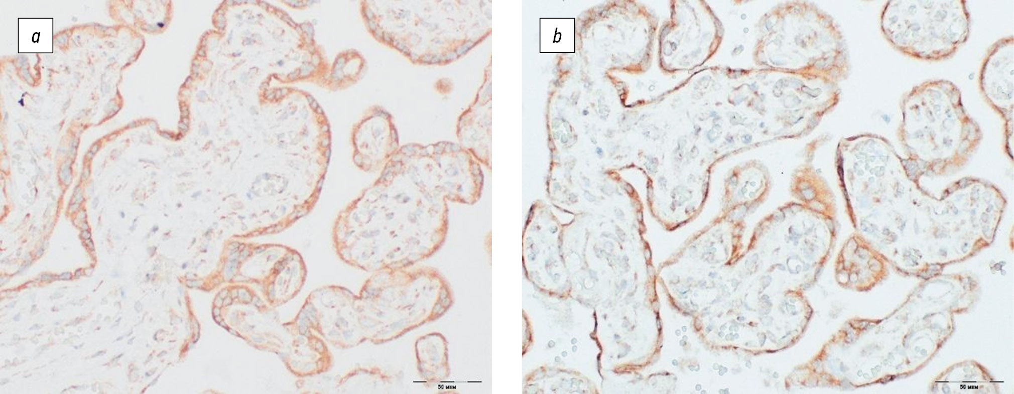
Immunohistochemical study. The immunohistochemical verification of RLN2 expression in placental villous chorion was performed. The distribution of RLN2 expression was uniform in syncytiotrophoblast, cytotrophoblast, and chorionic villus stroma of dichorionic–diamniotic twin placenta in the study groups.
The relative area of RLN2 expression was 26.6 ± 1.4% in the placentas of the first fetuses and 28.2 ± 1.3% in the placentas of the second fetuses. There were no significant differences in the comparison of RLN2 expression indices in the placentas of the first and second fetuses with spontaneous PD, (p > 0.05).
In the group of spontaneous term delivery, the relative area of RLN2 expression in the placentas of the first fetuses was significantly lower (p = 0.02) than the placentas of the second fetuses (23.1 ± 1.4 and 26.1 ± 1.5%).
The optical density of RLN2 expression of the placenta of the fetuses in the study groups did not differ from each other (p > 0.05).
Relationship between RLN2 expression indices in the villous chorion of the placenta of the first and second fetuses. The correlation and regression analysis was performed to assess the relationship between the severity of RLN2 expression in the placentas of the first and second fetuses in the study groups. According to the correlation analysis, there was no linear relationship between the parameters of RLN2 expression (r = 0.25) in the villous chorion of the placentas of the first and second fetuses. The regression analysis also showed low coefficients of determination for the relative area of RLN2 expression (R2 = 0.09).
Expression of RLN2 in placental villi depending on the type and timing of delivery. The average value of the relative area of RLN2 expression in spontaneous PD was 27.4 ± 1.0%, whereas this indicator was significantly lower in term delivery (24.6 ± 1.0%) (p = 0.03). The data are presented in Fig. 2. The main and the control groups showed no differences in the assessment of the optical density of RLN2 expression (0.10 ± 0.002 and 0.11 ± 0.002, p > 0.05).
Fig. 2. Expression area of relaxin-2. *p < 0.05
Figure 3 shows the expression of RLN2 in the villous chorion of the placenta of dichorionic twins in the compared groups.
Fig. 3. Expression of relaxin-2 in the villous chorion of the placenta of dichorionic twins: a — in spontaneous preterm delivery; b — in delivery at term. Immunohistochemical staining, 400×
An analysis of variance of RLN2 expression indices in the case of early and late PD revealed no significant differences, both when compared depending on the gestational period and histological parameters (p > 0.05).
Expression of relaxin in the villous chorion of the placenta depending on the type of onset of delivery. According to the variant of development of labor activity (beginning with contractions/premature discharge of amniotic fluid), the group of spontaneous PD was characterized by a high frequency of the onset of delivery with a premature discharge of amniotic fluid (70.8%, 17). In delivery at term, the labor activity started somewhat more often with contractions (54.5%, 12) than with the preterm discharge of amniotic fluid (45.5%, 10).
With the preterm discharge of amniotic fluid, the relative area of RLN2 expression was 26.7 ± 2.7% in the spontaneous PD group and 27.3 ± 2.6% at the onset of delivery with uterine strains. The differences were not significant (p > 0.05).
DISCUSSION
In this study, we performed a histological assessment of the placentas of children from dichorionic multiple pregnancies, born at different terms of gestation through a spontaneous delivery. CPI with a reduced compensatory ability (subcompensated CPI) and pronounced circulatory disorders were diagnosed with a higher frequency in PD as compared with the placentas of children from term delivery. The placentas in early PD were characterized by a lower “placental reserve” as compared to placentas from late PD.
In dichorionic multiple pregnancies, despite the commonality of intrauterine existence, each of the fetuses is under different conditions due to different resources and the possibilities of implementing the compensatory mechanisms of each of the placentas. Thus, the placentas of the first and second fetuses in twin pairs were significantly different from each other. In the placentas of the second fetuses, more pronounced morphofunctional changes were noted than the placentas of the first fetuses, which, probably, also determines the high frequency of adverse outcomes among the second fetuses, described by the authors studying the problem of perinatal complications in multiple pregnancies [23, 24].
Attention was directed to the low total number of infectious and inflammatory processes in the placentas of dichorionic twins, despite the significant role of infectious and inflammatory processes in the placentas as presented in the literature. Nevertheless, inflammatory changes in the placenta, both exudative (ascending) and hematogenous (descending), were detected in 20% of cases with early PD. They were absent in late delivery. Therefore, the results obtained, on the one hand, indicate a significant contribution of inflammation to the multifactorial process of PD (primarily early PD) and,on the other hand, other mechanisms of PD in multiple pregnancies.
This study has shown that one of such mechanisms for the implementation of PD can be a “relaxin-dependent” pathogenetic pathway. The first verification of RLN2 expression in the placentas of dichorionic twins revealed its probabilistic role in the initiation of spontaneous PD. There were no differences in the level of relaxin expression at the onset of PD with a premature discharge of amniotic fluid or from contractions, which probably confirms the role of relaxin in both pathogenetic variants of their development.
In the placentas of premature infants, the expression of RLN2 was significantly higher than that of the placentas of term infants from dichorionic twins. Nevertheless, an assessment of the relationship between the RLN2 expression indices in the villous chorion of the placentas of the first and second fetuses showed the absence of a linear relationship between the level of relaxin expression in the placentas of twin pairs. Apparently, the expression level does not depend on external causes affecting both fetuses, but is attributed to the synthesis of placental relaxin in accordance with the functional characteristics of the placentas of each of the fetuses.
CONCLUSIONS
This study enabled characterization of the morphological substrate of fetal discordance by several parameters. It revealed that the morphological structure of the placenta differs in each twin fetus and, in turn, determines the difference in its functional consistency and the effectiveness of the manifestation of dysfunctional conditions, as well as the implementation of compensatory mechanisms.
A histological study of the placentas of children from dichorionic multiple pregnancies revealed that the placentas of children from spontaneous PD are characterized by a higher incidence of CPI with a reduced compensatory ability, more pronounced circulatory disorders in the circulatory bed of the villous tree, as compared to placentas from delivery at term.
The obtained data confirm the hypothesis of the contribution of placental RLN2 to the pathogenesis of spontaneous PD in multiple pregnancies. This information is of interest for both a deeper understanding of the PD mechanisms and the search of new opportunities for a pathogenetically substantiated effect.
作者简介
Olga Pachuliya
The Research Institute of Obstetrics, Gynecology, and Reproductology named after D.O. Ott
编辑信件的主要联系方式.
Email: for.olga.kosyakova@gmail.com
ORCID iD: 0000-0003-4116-0222
SPIN 代码: 1204-3160
MD
俄罗斯联邦, 3 Mendeleevskaya line, Saint Petersburg, 199034Olesya Bespalova
The Research Institute of Obstetrics, Gynecology, and Reproductology named after D.O. Ott
Email: shiggerra@mail.ru
ORCID iD: 0000-0002-6542-5953
MD, PhD, DSci (Medicine)
俄罗斯联邦, 3 Mendeleevskaya line, Saint Petersburg, 199034Mariya Butenko
The Research Institute of Obstetrics, Gynecology, and Reproductology named after D.O. Ott
Email: butenkomariabutenko@gmail.com
ORCID iD: 0000-0002-1404-371X
MD
俄罗斯联邦, 3 Mendeleevskaya line, Saint Petersburg, 199034Yulia Milyutina
The Research Institute of Obstetrics, Gynecology, and Reproductology named after D.O. Ott
Email: milyutina1010@mail.ru
ORCID iD: 0000-0003-1951-8312
MD, PhD
俄罗斯联邦, 3 Mendeleevskaya line, Saint Petersburg, 199034Tatyana Tral
The Research Institute of Obstetrics, Gynecology, and Reproductology named after D.O. Ott
Email: ttg.tral@yandex.ru
ORCID iD: 0000-0001-8948-4811
SPIN 代码: 1244-9631
Scopus 作者 ID: 37666260400
MD, PhD
俄罗斯联邦, 3 Mendeleevskaya line, Saint Petersburg, 199034Gulrukhsor Tolibova
The Research Institute of Obstetrics, Gynecology, and Reproductology named after D.O. Ott
Email: gulyatolibova@yandex.ru
ORCID iD: 0000-0002-6216-6220
SPIN 代码: 7544-4825
Scopus 作者 ID: 23111355700
Researcher ID: Y-6671-2018
MD, PhD, DSci (Medicine)
俄罗斯联邦, 3 Mendeleevskaya line, Saint Petersburg, 199034参考
- Romero R, Conde-Agudelo A, El-Refaie W, et al. Vaginal progesterone decreases preterm birth and neonatal morbidity and mortality in women with a twin gestation and a short cervix: an updated meta-analysis of individual patient data. Ultrasound Obstet Gynecol. 2017;49(3):303–314. doi: 10.1002/uog.17397
- Di Renzo GC, Tosto V, Giardina I. The biological basis and prevention of preterm birth. Best Pract Res Clin Obstet Gynaecol. 2018;52:13–22. doi: 10.1016/j.bpobgyn.2018.01.022
- Napso T, Yong HEJ, Lopez-Tello J, Sferruzzi-Perri AN. The role of placental hormones in mediating maternal adaptations to support pregnancy and lactation. Front Physiol. 2018;9:1091. doi: 10.3389/fphys.2018.01091
- Bell RJ, Sutton B, Eddie LW, et al. Relaxin levels in antenatal patients following in vitro fertilization. Fertil Steril. 1989;52(1):85–87. doi: 10.1016/s0015-0282(16)60794-x
- Marshall SA, Senadheera SN, Parry LJ, Girling JE. The Role of relaxin in normal and abnormal uterine function during the menstrual cycle and early pregnancy. Reprod Sci. 2017;24(3):342–354. doi: 10.1177/1933719116657189
- Iams JD, Goldsmith LT, Weiss G. The preterm prediction study: maternal serum relaxin, sonographic cervical length, and spontaneous preterm birth in twins. J Soc Gynecol Investig. 2001;8(1):39–42.
- Kosyakova OV, Bespalova ON. Predictive possibilities of relaxin as a marker of preterm labor. Journal of obstetrics and gynecological diseases. 2018;67(2):16–25. (In Russ.). doi: 10.17816/JOWD67216-25
- Bain E, Heatley E, Hsu K, Crowther CA. Relaxin for preventing preterm birth. Cochrane Database Syst Rev. 2013;(8):CD010073. doi: 10.1002/14651858.CD010073.pub2
- Vrachnis N, Grigoriadis C, Siristatidis C, et al. The Janus face of maternal serum relaxin: a facilitator of birth, might it also induce preterm birth? J Matern Fetal Neonatal Med. 2015;28(18):2187–2191. doi: 10.3109/14767058.2014.981804
- Bell RJ, Eddie LW, Lester AR, et al. Antenatal serum levels of relaxin in patients having preterm labour. Br J Obstet Gynaecol. 1988;95(12):1264–1267. doi: 10.1111/j.1471-0528.1988.tb06816.x
- Vogel I, Salvig JD, Secher NJ, Uldbjerg N. Association between raised serum relaxin levels during the eighteenth gestational week and very preterm delivery. Am J Obstet Gynecol. 2001;184(3):390–393. doi: 10.1067/mob.2001.109395
- Vogel I, Goepfert AR, Møller HJ, et al. Early mid-trimester serum relaxin, soluble CD163, and cervical length in women at high risk for preterm delivery. Am J Obstet Gynecol. 2006;195(1):208-214. doi: 10.1016/j.ajog.2005.12.009
- Pantelis A, Sotiriadis A, Chatzistamatiou K, Pratilas G, Dinas K. Serum relaxin and cervical length for prediction of spontaneous preterm birth in second-trimester symptomatic women. Ultrasound Obstet Gynecol. 2018;52(6):763–768. doi: 10.1002/uog.18972
- Shpakov AO. Structural-functional organization of polypeptide hormones receptors containing LRR-repeats and their interaction with heterotrimeric G-proteins. Citologija. 2009;51(8):637–649. (In Russ.)
- Bigazzi M, Nardi E, Bruni P, Petrucci F. Relaxin in human decidua. J Clin Endocrinol Metab. 1980;51(4):939–941. doi: 10.1210/jcem-51-4-939
- Lowndes K, Amano A, Yamamoto SY, Bryant-Greenwood GD. The human relaxin receptor (LGR7): Expression in the fetal membranes and placenta. Placenta. 2006;27(6–7):610–618. doi: 10.1016/j.placenta.2005.07.011
- Qin X, Garibay-Tupas J, Chua PK, et al. An autocrine/paracrine role of human decidual relaxin. I. Interstitial collagenase (matrix metalloproteinase-1) and tissue plasminogen activator. Biol Reprod. 1997;56(4):800–811. doi: 10.1095/biolreprod56.4.800
- Yamasato K, Tsai PS, Davis J, Yamamoto SY, Bryant-Greenwood GD. Human relaxins (RLNH1, RLNH2), their receptor (RXFP1) and fetoplacental growth. Reproduction. 2017;154(1):67–77. doi: 10.1530/REP-17-0039
- Horton JS, Yamamoto SY, Bryant-Greenwood GD. Relaxin augments the inflammatory IL6 response in the choriodecidua. Placenta. 2012;33(5):399–407. doi: 10.1016/j.placenta.2012.02.002
- Schmidt CL, Sarosi P, Steinetz BG, et al. Relaxin in human decidua and term placenta. Eur J Obstet Gynecol Reprod Biol. 1984;17(2–3):171–182. doi: 10.1016/0028-2243(84)90141-2
- Bryant-Greenwood GD, Yamamoto SY, Lowndes KM, et al. Human decidual relaxin and preterm birth. Ann N Y Acad Sci. 2005;1041:338–344. doi: 10.1196/annals.1282.054
- Bryant-Greenwood GD, Kern A, Yamamoto SY, Sadowsky DW, Novy MJ. Relaxin and the human fetal membranes. Reprod Sci. 2007;14(8 Suppl):42–45. doi: 10.1177/1933719107310821
- Rissanen AS, Jernman RM, Gissler M, et al. Perinatal outcomes in Finnish twins: a retrospective study. BMC Pregnancy Childbirth. 2019;20(1):2. Corrected and republished from: BMC Pregnancy Childbirth. 2020;20(1):438. doi: 10.1186/s12884-019-2670-3
- Bogner G, Wallner V, Fazelnia C, et al. Delivery of the second twin: influence of presentation on neonatal outcome, a case controlled study. BMC Pregnancy Childbirth. 2018;18(1):176. doi: 10.1186/s12884-018-1815-0
补充文件







