Клинико-морфологические особенности миометрия у пациенток с плацентарной адгезивно-инвазивной патологией
- Авторы: Зазерская И.Е.1,2, Поникарова Н.Ю.1, Толибова Г.Х.2, Траль Т.Г.2, Рощина Т.Ю.1, Шелепова Е.С.1, Юкова А.Д.1
-
Учреждения:
- Национальный медицинский исследовательский центр им. В.А. Алмазова
- Научно-исследовательский институт акушерства, гинекологии и репродуктологии им. Д.О. Отта
- Выпуск: Том 73, № 4 (2024)
- Страницы: 19-30
- Раздел: Оригинальные исследования
- Статья получена: 25.05.2024
- Статья одобрена: 02.07.2024
- Статья опубликована: 08.10.2024
- URL: https://journals.eco-vector.com/jowd/article/view/632710
- DOI: https://doi.org/10.17816/JOWD632710
- ID: 632710
Цитировать
Полный текст
Аннотация
Обоснование. Стремительное увеличение частоты плацентарной адгезивно-инвазивной патологии в мире объясняет растущий интерес к изучению патогенеза приращения плаценты. По данным литературы, клинико-морфологические особенности миометрия из области прикрепления плаценты при плацентарной адгезивно-инвазивной патологии описаны в единичных работах. Изучение этих особенностей с использованием маркеров протеолиза в миометрии из области приращения плаценты может помочь понять патогенез плацентарной адгезивно-инвазивной патологии. В настоящем исследовании впервые сравнены клинико-морфологические особенности миометрия из области прикрепления плаценты у пациенток с рубцом на матке и плацентарной адгезивно-инвазивной патологией, женщин с рубцом на матке без приращения плаценты и пациенток с интактным миометрием.
Цель — оценить экспрессию матриксной металлопротеиназы-2 и тканевых ингибиторов металлопротеиназ-1, -2 в биоптатах миометрия при плацентарной адгезивно-инвазивной патологии.
Материалы и методы. В исследование включены 15 биоптатов миометрия из области плацентарной площадки, поделенных на три группы в соответствии с клиническим диагнозом пациенток. В группу 1 (основную) вошли биоптаты женщин с рубцом на матке после кесарева сечения и плацентарной адгезивно-инвазивной патологией (n = 5), в группу 2 (сравнения) — с рубцом на матке после кесарева сечения (n = 5), в группу 3 (контроля) — с физиологической беременностью без рубца на матке (n = 5). Гистологическое исследование проведено по стандартной методике, иммуногистохимическое исследование — с использованием антител к матриксной металлопротеиназе-2 и тканевым ингибиторам металлопротеиназ-1, -2 (Abcam, США). Морфометрия выполнена с помощью программы «ВидеоТесТ-Морфология 5.2» (ООО «ВидеоТесТ», Россия). Статистический анализ проведен с применением пaкета статистических программ IBM SPSS Statistics 26.0.
Результаты. В биоптатах основной группы верифицированы терминальные ворсины хориона с гиперваскуляризацией и неравномерным полнокровием сосудистого русла среди гипертрофированных мышечных волокон, а также базальная пластинка с эктазией просветов неравномерно полнокровных сосудов и отсутствие децидуальной оболочки, не выявленные в группах 2 и 3. Площадь экспрессии матриксной металлопротеиназы-2 в основной группе была статистически значимо выше, чем в группах сравнения и контроля (p = 0,008; p1–2 = 0,049, p1–3 = 0,011). По оптической плотности матриксной металлопротеиназы-2 группы не различалась (p = 0,122). Экспрессия тканевых ингибиторов металлопротеиназ-1 была статистически значимо выше в группе сравнения, чем в основной группе (p = 0,035; p2–3 = 0,032), а оптическая плотность тканевых ингибиторов металлопротеиназ-1 и -2 была статистически значимо выше в группе сравнения, чем в группе контроля (p = 0,008; p2–3 = 0,005).
Заключение. В биоптатах миометрия пациенток с рубцом на матке и плацентарной адгезивно-инвазивной патологией верифицирована патология базальной пластины плаценты, повышение экспрессии матриксной металлопротеиназы-2 и снижение экспрессии тканевых ингибиторов металлопротеиназ-1. Это может свидетельствовать об особенностях воспалительного ответа в миометрии при плацентарной адгезивно-инвазивной патологии.
Полный текст
Обоснование
Плацентарная адгезивно-инвазивная патология (ПАИП) представляет собой группу состояний с клинически наблюдаемой задержкой последа, причем попытка ручного отделения и выделения последа вызывает кровотечение [1]. Этот термин объединяет в себе все виды патологического прикрепления плаценты от аномальной адгезии до глубокой инвазии плацентарной ткани в стенку матки [2]. В последние десятилетия отмечают 10-кратное увеличение встречаемости ПАИП [3]. В связи с эти в мире количество исследований, посвященных данной проблеме, растет, однако на сегодняшний день патогенез ПАИП остается до конца не изученным [4].
По мнению большинства авторов, патогенез ПАИП обусловлен тем, что дефект в области рубца на матке на границе эндометрий – миометрий приводит к нарушению нормальной децидуализации и способствует аномально глубокому прикреплению ворсинок плаценты и инфильтрации трофобласта [5]. Тем не менее ПАИП возникает не у всех пациенток с равными факторами риска, такими как кесарево сечение в анамнезе или предлежание плаценты [6]. По мнению ряда авторов, в дополнение к факторам риска приращения плаценты существуют другие патогенетические звенья, приводящие к аномальному ангиогенезу и глубокой инвазии ворсин хориона в толщу миометрия [4]. Научные работы указывают на то, что инвазивные свойства трофобласта обусловлены действием протеолитических ферментов из семейства матриксных металлопротеиназ (MMP) [7]. Одними из первых A.Y. Demir-Weusten и соавт. изучили ферментативную активность MMP-2, -3, -9 при физиологической беременности в различных структурах маточно-плацентарного комплекса: амнионе, базальной и хориональной пластинках, пуповине и ворсинах хориона [8]. Данное исследование показало, что металлопротеиназы способствуют проникновению трофобласта через базальную пластинку эндометрия к спиральным артериям матки. Предположение о том, что аномальную инвазию сопровождают воспаление и изменение функции MMP, привело к изучению их роли в патогенезе ПАИП. Однако анализ зарубежной и отечественной литературы показал, что работы, посвященные изучению воспалительного звена патогенеза немногочисленны и разнородны, что не позволяет однозначно оценить вклад семейства MMP в патогенез ПАИП.
Микроскопическое описание миометрия при ПАИП встречается в единичных работах. Гистологическая верификация данного диагноза часто не совпадает с клиническими данными в связи с тем, что на сегодняшний день отсутствуют критерии описания различных степеней ПАИП [5]. Именно поэтому изучение морфофункциональных особенностей миометрия из маточно-плацентарной зоны может помочь понять патогенез ПАИП.
Цель — оценить морфологические особенности, а также экспрессию MMP-2 и тканевых ингибиторов металлопротеиназ-1 и -2 (TIMP-1, -2) в биоптатах миометрия из области прикрепления плаценты при ПАИП.
Материалы и методы
Материал для когортного обсервационного исследования собирали на базе отделения патологии беременности перинатального центра Национального медицинского исследовательского центра им. В.А. Алмазова в рамках государственного задания № 123-021-000-051-2 «Разработка шкалы по оценке риска патологической инвазии плаценты у беременных с рубцом на матке» в 2023 г. Оценку и анализ морфологической картины биоптатов миометрия проводили на базе отдела патоморфологии НИИ АГиР им. Отта. В исследование включено 15 биоптатов миометрия, разделенных на три группы в соответствии с клиническим диагнозом пациенток. В группу 1 (основную) включены биоптаты миометрия пациенток с рубцом на матке после одного кесарева сечения и более и диагностированной до родов ПАИП. Группу 2 (сравнения) составили биоптаты миометрия пациенток с рубцом на матке после одного кесарева сечения и более в анамнезе. В группу 3 (контроля) включены биоптаты миометрия женщин с беременностью без рубца на матке, родоразрешенных путем кесарева сечения в связи с симфизиопатией (n = 1), врожденным пороком развития центральной нервной системы плода (n = 1), крупным плодом в тазовом предлежании (n = 1), наличием заболеваний центральной нервной системы и органов зрения, вызывающих необходимость исключения потужного периода (n = 2).
В настоящее исследование включены женщины в возрасте от 18 до 45 лет, с одноплодной беременностью, вставшие на учет до 12 нед. беременности, с расположением плаценты по передней стенке матки, по данным ультразвукового исследования. Все пациентки подписали добровольное информированное согласие на участие в исследовании.
Критериями невключения были:
- аномалии развития половых органов;
- истмико-цервикальная недостаточность;
- гипертензивные расстройства;
- тяжелые соматические патологии матери, являющиеся известными факторами нарушения плацентации (сахарный диабет 1-го типа, системная красная волчанка, антифосфолипидный синдром);
- плацентомегалия (трофобластическая болезнь, тромбогематома, гемолитическая болезнь плода);
- острая фаза или обострение хронических инфекционно-воспалительных заболеваний.
ПАИП клинически диагностировали на основании ультразвуковых признаков аномальной инвазии [9]. Для уточнения диагноза и степени врастания пациенткам основной группы выполняли магнитно-резонансную томографию в соответствии с рекомендациями Российского общества акушеров-гинекологов и клиническими протоколами ведения пациентов по специальности «Акушерство и гинекология» Национального медицинского исследовательского центра им. В.А. Алмазова [10, 11]. Согласно рекомендациям, разработанным сотрудниками научно-исследовательской группы лучевых методов исследования в перинатологии и педиатрии Национального медицинского исследовательского центра им. В.А. Алмазова, магнитно-резонансную томографию выполняли в сроках гестации от 28 до 32 нед. [12]. Для описания ее результатов использовали топографо-анатомическую DASP-сегментацию беременной матки, разработанную сотрудниками научно-исследовательской группы лучевых методов исследования в перинатологии и педиатрии Национального медицинского исследовательского центра им. В.А. Алмазова (рис. 1) [13]. Аббревиатура DASP — это первые буквы латинских терминов, обозначающих стенки матки: правую боковую — D (dexter), переднюю — A (anterior), левую боковую — S (sinister), заднюю — P (posterior). Выделяют четыре основные топографо-анатомические DASP-зоны, каждая из которых дополнительно условно разделена на три сегмента — верхний (superior), срединный (medianus) и нижний (inferior).
Рис. 1. Схематическое изображение топографо-анатомической DASP-сегментации беременной матки. Стенки матки: dexter (D), anterior (A), sinister (S), posterior (P). Сегменты DASP-зоны: superior (sup), medianus (med), inferior (inf)
Биопсию миометрия выполняли из области рассечения нижнего сегмента матки в ходе кесарева сечения. После отделения последа из области расположения плацентарной площадки иссекали фрагмент миометрия размером 2,0 × 1,0 см. Фиксацию материала во всех случаях проводили в 10 % нейтральном забуференном формалине (ООО «БиоВитрум», Россия). Проводку осуществляли в вакуумном гистологическом процессоре HISTO-TEK VP1 (Sakura, Япония). По стандартной методике проведено гистологическое исследование биоптатов миометрия с подготовкой парафиновых блоков, микротомированием и окраской микропрепаратов гематоксилином и эозином. Иммуногистохимическое исследование выполнено с применением двухэтаптого протокола и антител к MMP-2, TIMP-1 и -2 (Abcam, США) в автоматическом иммуностейнере Thermo Fisher Scientific Autostainer 720.
Цифровая микроскопия и морфометрия
Количественную оценку результатов иммуногистохимического исследования проводили на 695 микрофотографиях, полученных с помощью системы фиксации микроскопических изображений, состоящей из микроскопа Olympus СX43 и программного обеспечения VideoZavr. Фотосъемку проводили с увеличением ×400 (×10 для окуляра, ×40 для объектива) в режиме Photo, применен графический формат изображения JPEG (normal). Долю занимаемой экспрессии изучаемого маркера вычисляли с помощью программы «ВидеоТесТ-Морфология 5.2» (ООО «ВидеоТесТ», Россия). В 10 полях зрения в каждом срезе оценивали оптическую плотность и относительную площадь экспрессии (S), как отношение площади иммунопозитивных клеток (Sпозитив) к общей площади препарата (Sобщая):
Далее вычислены средние величины исследуемых показателей.
Статистический анализ
Статистический анализ выполнен с помощью программного обеспечения IBM SPSS Statistics 26.0. Проверка на нормальность распределения проведена с помощью критерия Шапиро – Уилка. Для сравнения групп использованы непараметрические методы описательной статистики и критерий Краскела – Уоллиса. Для сопоставления категориальных признаков трех групп применен метод многопольных таблиц (χ2, точный критерий Фишера).
Результаты
Сравнение пациенток исследуемых групп по возрасту, паритету беременностей и родов, количеству операций кесарева сечения в анамнезе и сроку родоразрешения показало статистически значимые различия (табл. 1).
Таблица 1. Клиническая характеристика пациенток исследуемых групп
Table 1. Clinical characteristics of the patients in the study groups
Показатель | Группа 1 (n = 5) | Группа 2 (n = 5) | Группа 3 (n = 5) | Уровень р | |||
Me | Q1–Q3 | Me | Q1–Q3 | Me | Q1–Q3 | ||
Возраст родильницы, лет | 36 | 36–38 | 38 | 37–39 | 28 | 26–29 | p = 0,023* p2–3 = 0,028* |
Паритет беременностей | 4 | 3–5 | 4 | 3–4 | 2 | 1–4 | p = 0,26 |
Паритет родов | 3 | 3–4 | 3 | 3–3 | 1 | 1–1 | p = 0,007* p1–3 = 0,009* |
Кесарево сечение в анамнезе | 2 | 1–2 | 2 | 1–2 | 0 | – | p = 0,006* p1–3 = 0,012* p2–3 = 0,023* |
Срок родоразрешения, нед. | 37,3 | 37,0–37,4 | 39,0 | 37,9–40,3 | 39,3 | 38,43–39,3 | p = 0,026* p1–2 = 0,070* p1–3 = 0,048* |
Примечание. Me — медиана; Q1–Q3 — межквартильный размах. * p < 0,05.
Женщины из группы с рубцом на матке были статистически значимо старше пациенток без кесарева сечения в анамнезе (p = 0,023; p2-3 = 0,028). Паритет родов был значимо выше в основной группе, чем в группе контроля (p = 0,007; p1-3 = 0,009). По количеству операций кесарева сечения в анамнезе группы 1 и 2 не различались. Срок родоразрешения женщин с рубцом на матке и ПАИП был статистически значимо меньше (p = 0,026), чем в остальных группах (p1-2 = 0,070; p1-3 = 0,048)
При сравнении частоты известных факторов риска развития ПАИП у женщин в группах сравнения статистически значимых различий не выявлено (табл. 2).
Таблица 2. Встречаемость факторов риска плацентарной адгезивно-инвазивной патологии в группах сравнения
Table 2. Prevalence of risk factors for placental adherent and invasive pathology in the study groups
Фактор риска | Группа 1 (n = 5), n (%) | Группа 2 (n = 5), n (%) | Группа 3 (n = 5), n (%) | Уровень p |
Акушерские кровотечения в анамнезе | 1 (20) | 1 (20) | 0 (0) | 0,562 |
Ручное обследование полости матки в анамнезе | 1 (20) | 1 (20) | 0 (0) | 0,562 |
Инфекционные осложнения в предыдущих родах | 1 (20) | 0 (0) | 1 (20) | 0,562 |
Выскабливание полости матки | 1 (20) | 3 (60) | 3 (60) | 0,343 |
Воспалительные заболевания органов малого таза и наружных половых органов | 2 (40) | 1 (20) | 2 (40) | 0,741 |
При оценке течения беременности в исследуемых группах угроза прерывания беременности в III триместре статистически значимо чаще встречалась в основной группе, чем группах сравнения и контроля (p = 0,024) (табл. 3).
Таблица 3. Частота встречаемости осложнений беременности в исследуемых группах
Table 3. Frequency of pregnancy complications in the study groups
Фактор риска | Группа 1 (n = 5), n (%) | Группа 2 (n = 5), n (%) | Группа 3 (n = 5), n (%) | Уровень p |
Госпитализация с УПБ | 5 (100) | 0 (0) | 2 (40) | 0,06 |
ИЗ III триместр | 2 (40) | 2 (40) | 1 (20) | 0,741 |
ИЗ II триместр | 2 (40) | 0 (0) | 0 (0) | 0,099 |
ИЗ I триместр | 3 (60) | 0 (0) | 1 (20) | 0,092 |
УПБ III триместр | 3 (60) | 0 (0) | 0 (0) | 0,024* |
УПБ II триместр | 2 (40) | 0 (0) | 0 (0) | 0,099 |
УПБ I триместр | 2 (40) | 1 (20) | 2 (40) | 0,741 |
Примечание. УПБ — угроза прерывания беременности; ИЗ — инфекционные заболевания. * p < 0,05.
Клинический диагноз пациенткам основной группы ставили на основании сопоставления результатов инструментальных методов исследования — ультразвукового исследования и магнитно-резонансной томографии. Это определяло тактику родоразрешения, в частности, использование современных кровосберегающих технологий — Cell-saver и методов рентгенэндоваскулярной хирургии. Интраоперационно после рассечения нижнего сегмента матки при PAS1 2 (n = 2) визуализировалась плацентарная грыжа, отделение последа требовало усилий, после чего выполняли метропластику. Интраоперационно при PAS 3a визуализировалось прорастание плацентарной ткани через поверхность матки, между мочевым пузырем и маткой определялась четкая граница. При PAS 3b плацентарная ткань прорастала через серозную оболочку матки в заднюю стенку мочевого пузыря, четкая хирургическая плоскость между мочевым пузырем и маткой не определялась. При PAS 3с инвазия плаценты распространялась на другие органы и ткани таза с вовлечением мочевого пузыря или без него. В двух случаях имела место гипердиагностика: PAS 3а, диагностированное на основании эхографических признаков, соответствовало PAS 2 по результатам магнитно-резонансной-томографии и интраоперационно (табл. 4).
Таблица 4. Сопоставление диагностических данных и хирургической тактики при плацентарной адгезивно-инвазивной патологии
Table 4. Comparison of diagnostic data and surgical tactics in placental adherent and invasive pathology
Клиническая характеристика | Пациентки основной группы | ||||
№ 1 | № 2 | № 3 | № 4 | № 5 | |
Ультразвуковое исследование | PAS 2, 3b | PAS 3а–с | PAS 3a–с | PAS 3а | PAS 3a |
Магнитно-резонансная томография | PAS 3a, c | PAS 3 a, b | PAS 2, 3b, 3c | PAS 2 | PAS 2 |
Интраоперационные данные | PAS2, 3b,c | PAS 3a, b | PAS 3a-с | PAS 2 | PAS 2 |
Кесарево сечение | НС | НС | НС | НС | НС |
Метропластика | + | + | + | + | + |
Рентгенэндоваскулярная хирургия | БОА | БОА | БОА | – | – |
Компрессионные швы на матку | + | + | + | + | + |
Cell-saver | + | + | + | – | – |
Объем аутогемореинфузии, мл | 247 | 1021 | 154 | – | – |
Объем кровопотери, мл | 1537 | 1785 | 752 | 520 | 505 |
Продолжительность операции, минут | 145 | 157 | 90 | 30 | 47 |
Примечание. НС — нижний сегмент матки; PAS — расстройство спектра приращения плаценты; БОА — баллонная окклюзия аорты.
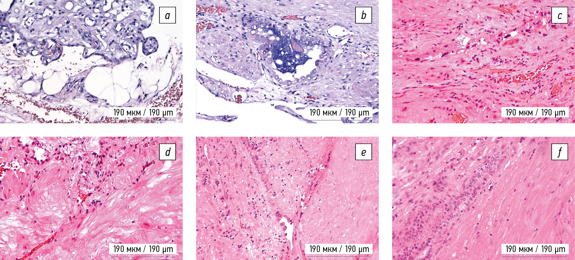
По данным гистологического исследования диагноз «плацентарная адгезивно-инвазивная патология» подтвержден в 100 % случаев (n = 5). При этом микроскопически среди гипертрофированных мышечных волокон визуализированы ворсины хориона с отеком стромы, гиперваскуляризацией и неравномерным полнокровием, а также базальная пластина с эктазией просветов и неравномерно полнокровными сосудами, очаговым некрозом, расслаивающими кровоизлияниями, избыточным количеством фибриноида (рис. 2, а, b).
Рис. 2. Микрофотографии биоптатов миометрия из маточно-плацентарной области: a — ворсина хориона в биоптате миометрия при плацентарной адгезивно-инвазивной патологии (PAS 3a–c); b — децидуальная оболочка в биоптате миометрия при плацентарной адгезивно-инвазивной патологии (PAS 3a–c); c — фрагмент миометрия группы сравнения с полнокровием капиллярного русла из области прикрепления плаценты; d — фрагмент миометрия группы сравнения с участком децидуальной ткани из области прикрепления плаценты; e, f — фрагмент миометрия контрольной группы с участком децидуальной ткани. Окраска гематоксилином и эозином, увеличение ×200
При микроскопическом исследовании гистологических препаратов группы сравнения без клинических признаков врастания плаценты визуализированы фрагменты гладкомышечной ткани с пучками коллагеновых волокон, крупноочаговыми кровоизлияниями. Однако в ткани рубца обнаружены клетки трофобласта, расположенные линейно и мелкоочаговыми скоплениями (рис. 2, c). В биоптатах данной группы найдены фрагменты децидуальной ткани с мелкоочаговой периваскулярной мононуклеарной инфильтрацией, не обнаруженные в группе пациенток с рубцом на матке и ПАИП (рис. 2, d).
Микроскопическая картина биоптатов миометрия группы 3 существенно не отличалась от картины биоптатов группы 2 и представлена гипертрофированными миоцитами с тонкими прослойками соединительной ткани. В отличие от микроскопической картины основной группы, в образцах миометрия контрольной группы визуализированы участки децидуальной ткани с мелкоочаговой мононуклеарной инфильтрацией и неравномерным полнокровием сосудов (рис. 2, е, f).
Важно отметить, что клетки промежуточного трофобласта обнаружены не только в группе с рубцом на матке и приращением плаценты, но и в группах только с рубцом на матке и с интактным миометрием.
Для оценки результатов иммуногистохимического исследования миометрия выполнена цифровая микроскопия и проанализировано 695 микрофотографий. Экспрессия изучаемых факторов в исследуемых группах представлена в табл. 5.
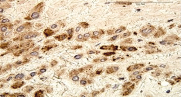
Таблица 5. Экспрессия провоспалительного белка матриксной металлопротеиназы-2 и тканевых ингибиторов металлопротеиназ-1 и -2 в миометрии исследуемых групп
Table 5. Expression of the pro-inflammatory protein matrix metalloproteinase-2 and tissue inhibitors of metalloproteinases 1 and 2 in the myometrium of patients in the study groups
Группа | Экспрессия ММР-2 | Экспрессия TIМР-1 | Экспрессия TIМР-2 |
1 | |||
2 | |||
3 |
Примечание. Иммуногистохимическое исследование, увеличение ×200. MMP-2 — матриксная металлопротеиназа-2; TIMP-1, -2 — тканевые ингибиторы металлопротеиназ-1 и -2.
При сравнении экспрессии MMP-2 и TIMP-1,2 в биоптатах трех групп выявлены статистически значимые различия. Полученные результаты представлены в табл. 6.
Таблица 6. Различия экспрессии матриксной металлопротеиназы-2, а также тканевых ингибиторов металлопротеиназ-1 и -2 в исследуемых группах
Table 6. Differences in matrix metalloproteinase-2 and tissue inhibitors of metalloproteinases 1 and 2 expression in the study groups
Показатель | Группа 1 | Группа 2 | Группа 3 | |
Относительная площадь экспрессии MMP-2, % | Me | 46,64 | 24,70 | 17,93 |
Q1–Q3 | 36,41–46,68 | 16,14–25,34 | 15,43–19,19 | |
p | p = 0,008*; p1–2 = 0,049*; p1–3 = 0,011* | |||
Оптическая плотность экспрессии MMP-2, у. е. | Me | 0,20 | 0,22 | 0,15 |
Q1–Q3 | 0,16–0,21 | 0,15–0,23 | 0,13–0,15 | |
p | p = 0,122 | |||
Относительная площадь экспрессии TIMP-1, % | Me | 5,92 | 24,23 | 9,71 |
Q1–Q3 | 0,00–9,24 | 21,8–25,14 | 9,38–12,16 | |
p | p = 0,006*; p1–2 = 0,005* | |||
Оптическая плотность экспрессии TIMP-1, у. е. | Me | 0,19 | 0,21 | 0,15 |
Q1–Q3 | 0–0,20 | 0,20–0,21 | 0,15–0,16 | |
p | p = 0,035*; p2–3 = 0,032* | |||
Относительная площадь экспрессии TIMP-2, % | Me | 18,64 | 27,08 | 19,35 |
Q1–Q3 | 16,8–34,94 | 24,51–29,58 | 14,45–21,22 | |
p | p = 0,090 | |||
Оптическая плотность экспрессии TIMP-2, у. е. | Me | 0,20 | 0,21 | 0,14 |
Q1–Q3 | 0,15–0,2 | 0,21–0,22 | 0,14–0,14 | |
p | p = 0,008*; p2–3 = 0,005* | |||
Примечание. MMP-2 — матриксная металлопротеиназа-2; TIMP-1, -2 — тканевые ингибиторы металлопротеиназ-1 и -2; у. е. — условные единицы; Me — медиана; Q1–Q3 — межквартильный размах. * p < 0,05.
При сравнении результатов иммуногистохимического исследования выявлено, что площадь экспрессии MMP-2 в группе 1 статистически значимо выше, чем в группах 2 и 3 (p1–2 = 0,049* и p1–3 = 0,011* соответственно), а оптическая плотность не показала статистически значимых различий в исследуемых группах. Площадь экспрессии TIMP-1 статистически значимо выше в группе 2, чем в группе 1 (p1–2 = 0,005*), при этом по оптической плотности эти группы статистически значимо не отличались. Площадь экспрессии TIMP-2 не показала статистически значимых различий среди всех трех групп (p = 0,090). Выявлено статистически значимое повышение оптической плотности TIMP-1 и -2 в группе 2 по сравнению с показателем в группе 3 (p2–3 = 0,032 и p2–3 = 0,005 соответственно).
Обсуждение
Инвазия промежуточного трофобласта в стенку матки в норме обеспечивает физиологическое развитие хориона, однако механизм, регулирующий инициацию и прекращение инвазии промежуточного трофобласта в стенку матки, до сих пор не ясен [14].
Децидуальная оболочка не определялась при микроскопии в биоптатах миометрия из области приращения плаценты в основной группе. Полученная морфологическая картина согласуется с данными литературы о том, что рубцовая ткань в области плацентации приводит к нарушению нормальной децидуализации и аномально глубокому прорастанию ворсин хориона в стенку матки [15]. Однако в настоящем исследовании в биоптатах миометрия из группы с рубцом на матке без приращения плаценты децидуальная оболочка визуализировалась во всех случаях (n = 5).
Несмотря на то что некоторые авторы описывают характерное для приращения плаценты наличие промежуточных трофобластических клеток между ворсинами хориона и миометрием [16], в настоящем исследовании клетки промежуточного трофобласта обнаружены в просвете и стенках сосудов в биоптатах всех исследуемых групп.
Другие авторы указывают на то, что клетки промежуточного трофобласта вторгаются в поверхностный миометрий как при нормальной беременности, так и при ПАИП [17].
В образцах миометрия основной группы при гистологическом исследовании обнаружены ворсины хориона с отеком стромы, гиперваскуляризацией и неравномерным полнокровием, что согласуется с результатами исследования S.F. Cramer и D.S. Heller, объясняющих данное явление хроническим воспалением и повреждением ткани миометрия плацентарными протеазами [18].
В настоящем исследовании миометрий из группы с рубцом на матке и ПАИП характеризовался повышением экспрессии MMP-2 в сравнении с показателями в остальных группах. Это связано с тем, что металлопротеиназы участвуют в нарушении эпителиально-мезенхимального перехода при аномальной инвазии трофобласта [19, 20]. Действие MMP-2, -9 заключается в активации инвазивной способности клеток трофобласта посредством деградации внеклеточного матрикса при ПАИП [21] Сопоставимое увеличение площади экспрессии TIMP-1 в группах пациенток только с рубцом на матке и с ПАИП, вероятно, обусловлено тем, что тканевые ингибиторы предотвращают инвазивные свойства цинк-зависимых протеаз, поэтому модулируют их активность [22].
H. Soyama и соавт. сравнили экспрессию факторов, участвующих в эпителиально-мезенхимальном переходе, в частности MMP-2, -9, в плацентах пациенток с предлежанием плаценты и ПАИП, только с предлежанием плаценты и с нормальной беременностью [23]. Авторы сообщили, что экспрессия металлопротеиназ в ткани плаценты прямо коррелирует с наличием предлежания плаценты как с ПАИП, так и без нее. Однако в недавнем исследовании А.А. Лукашевич и соавт. сопоставили экспрессию в плаценте и концентрацию в сыворотке крови MMP-2, -9 и их ингибиторов TIMP-1, -2 у пациенток с предлежанием плаценты и ПАИП, с предлежанием плаценты без ПАИП и с нормальной беременностью [24]. Для иммуногистохимического исследования использовали фрагменты миометрия, базальной пластинки и ворсины хориона. Изменения экспрессии MMP-2, -9 и TIMP-1, -2 коррелировали с содержанием этих белков в сыворотке крови и показали прямую положительную статистически значимую связь с ПАИП.
Заключение
В настоящем исследовании впервые сравнены биоптаты миометрия у пациенток с рубцом на матке и ПАИП, с рубцом на матке без приращения плаценты и с интактным миометрием. В биоптатах миометрия пациенток с рубцом на матке и ПАИП выявлены ворсины хориона с отеком стромы, гиперваскуляризацией и неравномерным полнокровием, базальная пластина плаценты с эктазией просветов и неравномерно полнокровными сосудами, очаговым некрозом, расслаивающими кровоизлияниями, избыточным количеством фибриноида, а также отсутствием децидуальной оболочки в зоне приращения плаценты.
В данном исследовании обнаружено повышение экспрессии MMP-2 в биоптатах миометрия с рубцом на матке и ПАИП по сравнению с экспрессией в биоптатах групп без приращения плаценты, что свидетельствует о высокой протеолитической активности металлопротеиназ и наличии воспаления в миометрии из области плацентарного ложа при ПАИП. Биоптаты миометрия из области расположения плаценты в группе с рубцом на матке без ПАИП обладали статистически значимым повышением оптической плотности TIMP-1 и -2 по сравнению с показателями при интактном миометрии, что характеризует наличие ингибирующей активности в отношении протеолитических ферментов в зоне рубца на матке. Статистически значимое снижение площади TIMP-1 в группе с рубцом на матке и приращением плаценты по сравнению с показателем в группе с рубцом на матке без приращения плаценты свидетельствует о более низкой активности ингибиторов воспаления при ПАИП.
Дополнительная информация
Источник финансирования. Исследование проведено при поддержке Национального медицинского исследовательского центра им. В.А. Алмазова. Государственное задание № 123-021-000-051-2 «Разработка шкалы по оценке риска патологической инвазии плаценты у беременных с рубцом на матке».
Работа выполнена в рамках фундаментальной темы научно-исследовательской работы на 2022–2024 гг. «Оптимизация методов предикции, профилактики и лечения “больших акушерских синдромов”, а также стратегии родоразрешения у беременных из групп высокого риска, с целью улучшения акушерских и перинатальных исходов» (номер государственной регистрации 1021062812133-0-3.2.2, руководитель — И.Ю. Коган) и направлена на решение задачи изучить механизмы развития и последствия перинатальной патологии при осложнении беременности ожирением, сахарным диабетом, преэклампсией и задержкой внутриутробного развития плода.
Конфликт интересов. Авторы декларируют отсутствие явных и потенциальных конфликтов интересов, связанных с публикацией настоящей статьи.
Вклад авторов. Все авторы внесли существенный вклад в разработку концепции, проведение исследования и подготовку статьи, прочли и одобрили финальную версию перед публикацией.
Наибольший вклад распределен следующим образом: И.Е. Зазерская — организация работы, концепция и дизайн исследования, редактирование, внесение окончательной правки; Н.Ю. Поникарова — сбор материалов исследования, морфометрия, статистическая обработка и анализ полученных результатов, написание текста; Г.Х. Толибова, Т.Г. Траль — проведение и оценка результатов морфологического исследования, внесение окончательной правки; Е.С. Шелепова — сбор материалов исследования, анализ полученных данных, обзор литературы; Т.Ю. Рощина — сбор и обработка материалов; А.Д. Юкова — обзор литературы, визуализация/представление данных.
Этический комитет. Протокол исследования был одобрен локальным этическим комитетом Национальный медицинский исследовательский центр им. В.А. Алмазова (№ 11-22 от 28.11.2022).
Additional information
Funding source. The study has been supported by Almazov National Medical Research Centre. Government contract No. 123-021-000-051-2 “Development of a scale for assessing the risk of pathological invasion of the placenta in pregnant women with a scar on the uterus”
The work was performed within the framework of the fundamental theme of the research work “Optimization of methods for prediction, prevention, and treatment of the “great obstetrical syndromes” and delivery strategies in high-risk pregnant women to improve obstetrical and perinatal outcomes” for the period 2022–2024 (state registration number: 1021062812133-0-3.2.2.2, the head is Igor Yu. Kogan) and is aimed at solving the problem of studying the mechanisms of development and consequences of perinatal pathology in pregnancy complications of obesity, diabetes mellitus, preeclampsia and intrauterine growth retardation.
Competing interests. The authors declare that they have no competing interests.
Author contribution. All the authors have made a significant contribution to the development of the concept, research, and preparation of the article as well as read and approved the final version before its publication.
Personal contribution of the authors: I.E. Zazerskaya — organisation of works, concept and design of the study, editing, making final edits; N.Yu. Ponikarova — collecting and preparation of samples, data analysis, text writing; G.Kh. Tolibova, T.G. Tral — conducting and analyzing the results of a morphological research, making final edit; E.S. Shelepova — collecting of samples, literature review; T.Yu. Roshchina — collecting and preparation of samples; A.D. Yukova — literature review, preparation of the published work, specifically visualization/ data presentation.
Ethics approval. The present study protocol was approved by the local Ethics Committee of the Almazov National Medical Research Centre (No. 11-22 of 28.11.2022).
1 PAS — расстройство спектра приращения плаценты (placenta accrete spectrum).
Об авторах
Ирина Евгеньевна Зазерская
Национальный медицинский исследовательский центр им. В.А. Алмазова; Научно-исследовательский институт акушерства, гинекологии и репродуктологии им. Д.О. Отта
Email: zazera@mail.ru
ORCID iD: 0000-0003-4431-3917
SPIN-код: 5683-6741
д-р мед. наук, профессор
Россия, Санкт-Петербург; Санкт-ПетербургНаталия Юрьевна Поникарова
Национальный медицинский исследовательский центр им. В.А. Алмазова
Автор, ответственный за переписку.
Email: natalyponi@gmail.com
ORCID iD: 0000-0002-7230-3057
SPIN-код: 8527-5644
аспирант
Россия, Санкт-ПетербургГулрухсор Хайбуллоевна Толибова
Научно-исследовательский институт акушерства, гинекологии и репродуктологии им. Д.О. Отта
Email: gulyatolibova@mail.ru
ORCID iD: 0000-0002-6216-6220
SPIN-код: 7544-4825
д-р мед. наук
Россия, Санкт-ПетербургТатьяна Георгиевна Траль
Научно-исследовательский институт акушерства, гинекологии и репродуктологии им. Д.О. Отта
Email: ttg.tral@yandex.ru
ORCID iD: 0000-0001-8948-4811
SPIN-код: 1244-9631
канд. мед. наук
Россия, Санкт-ПетербургТатьяна Юрьевна Рощина
Национальный медицинский исследовательский центр им. В.А. Алмазова
Email: tanya.roshchina.69@mail.ru
ORCID iD: 0000-0002-2169-1782
MD
Россия, Санкт-ПетербургЕкатерина Сергеевна Шелепова
Национальный медицинский исследовательский центр им. В.А. Алмазова
Email: shelepova_es@almazovcentre.ru
ORCID iD: 0000-0002-3233-8239
SPIN-код: 9474-1351
канд. мед. наук
Россия, Санкт-ПетербургАлина Дамировна Юкова
Национальный медицинский исследовательский центр им. В.А. Алмазова
Email: lina.salimova.97@bk.ru
ORCID iD: 0009-0005-2534-2845
Россия, Санкт-Петербург
Список литературы
- Collins S.L. Alemdar B., Van Beekhuizen H.J., et al. Evidence-based guidelines for the management of abnormally invasive placenta: recommendations from the International Society for Abnormally Invasive Placenta // Am J Obstet Gynecol. 2019. Vol. 220, N 6. P. 511–526. doi: 10.1016/j.ajog.2019.02.054
- Collins S.L., Chantraine F., Morgan T.K., et al. Abnormally adherent and invasive placenta: a spectrum disorder in need of a name // Ultrasound Obstet Gynecol. 2018. Vol. 51, N 2. P. 165–166. doi: 10.1002/uog.18982
- Pegu B., Thiagaraju C., Nayak D., et al. Placenta accreta spectrum – a catastrophic situation in obstetrics // Obstet Gynecol Sci. 2021. Vol. 64, N 3. P. 239–247. doi: 10.5468/ogs.20345
- Illsley N.P., DaSilva-Arnold S.C., Zamudio S., et al. Trophoblast invasion: lessons from abnormally invasive placenta (placenta accreta) // Placenta. 2020. Vol. 102. P. 61–66. doi: 10.1016/j.placenta.2020.01.004
- American College of Obstetricians and Gynecologists; Society for Maternal-Fetal Medicine. Obstetric care consensus N 7: placenta accreta spectrum // Obstet Gynecol. 2018. Vol. 132, N 6. P. e259–e275. doi: 10.1097/AOG.0000000000002983
- Tinari S., Buca D., Cali G., et al. Risk factors, histopathology and diagnostic accuracy in posterior placenta accreta spectrum disorders: systematic review and meta-analysis // Ultrasound Obstet Gynecol. 2021. Vol. 57, N 6. P. 903–909. doi: 10.1002/uog.22183
- Long Y., Jiang Y., Zeng J., et al. The expression and biological function of chemokine CXCL12 and receptor CXCR4/CXCR7 in placenta accreta spectrum disorders // J Cell Mol Med. 2020. Vol. 24, N 5. P. 3167–3182. doi: 10.1111/jcmm.14990
- Demir-Weusten A.Y., Seval Y., Kaufmann P., et al. Matrix metalloproteinases-2, -3 and -9 in human term placenta // Acta Histochem. 2007. Vol. 109, N 5. P. 403–412. doi: 10.1016/j.acthis.2007.04.001
- Jauniaux E., Alfirevic Z., Bhide A.G., et al. Placenta praevia and placenta accreta: diagnosis and management: green-top guideline N 27a // BJOG Int J Obstet Gynaecol. 2019. Vol. 126, N 1. P. e1–e48. doi: 10.1111/1471-0528.15306
- Шмаков Р.Г., Курцер М.А., Баринов С.В., и др. Патологическое прикрепление плаценты (предлежание и врастание плаценты). Проект клинических рекомендаций. Москва, 2023. EDN: UPVLFD Дата обращения: 25.05.2024. Режим доступа: https://roag-portal.ru/recommendations_obstetrics
- Клинические протоколы ведения пациентов по специальности «Акушерство и гинекология». Руководство для врачей / под ред. И.Е. Зазерской. В 2 ч. Ч. I. 3-е изд. Санкт-Петербург: Эко-Вектор, 2023. EDN: YFLBCL
- Семенова Е.С., Мащенко И.А., Труфанов Г.Е., и др. Магнитно-резонансная томография при беременности: актуальные вопросы безопасности // REJR 2020. Т. 10, № 1. С. 216–230. EDN: KTBZTW doi: 10.21569/2222-7415-2020-10-1-216-230
- Вышедкевич Е.Д., Семенова Е.С., Мащенко И.А., и др. Методические аспекты разработки топографо-анатомической сегментации матки во II и III триместрах беременности методом магнитно-резонансной томографии // Трансляционная Медицина. 2021. Т. 8, № 1. P. 51–59. EDN: MVZBBV doi: 10.18705/2311-4495-2021-8-1-51-59
- AbdelFattah S., Morsy M., Ahmed A.M., et al. Microcellular approach for the pathogenesis of placenta accreta spectrum inflammatory versus apoptotic pathways; a thorough look on Treg, dNK and VEGF // Pathol Res Pract. 2024. Vol. 254. P. 155153. doi: 10.1016/j.prp.2024.155153
- Jauniaux E., Bhide A. Prenatal ultrasound diagnosis and outcome of placenta previa accreta after cesarean delivery: a systematic review and meta-analysis // Am J Obstet Gynecol. 2017. Vol. 217, N 1. P. 27–36. doi: 10.1016/j.ajog.2017.02.050
- Hecht J.L., Baergen R., Ernst L.M., et al. Classification and reporting guidelines for the pathology diagnosis of placenta accreta spectrum (PAS) disorders: recommendations from an expert panel // Mod Pathol. 2020. Vol. 12, N 33. P. 2382–2396. doi: 10.1038/s41379-020-0569-1
- Suardi D., Toriq H., Tuasikal R.R., et al. Comparison of extravillous intermediate trophoblast invasion depth and distribution pattern between placenta accreta and non-accreta // Med Sci Monit. 2023. Vol. 29, N 6. P. e939125. doi: 10.12659/MSM.939125
- Cramer S.F., Heller D.S. Placenta accreta and placenta increta: an approach to pathogenesis based on the trophoblastic differentiation pathway // Pediatr Dev Pathol. 2016. Vol. 19, N 4. P. 320–333. doi: 10.2350/15-05-1641-OA.1
- DaSilva-Arnold S.C., Zamudio S., Al-Khan A., et al. Human trophoblast epithelial-mesenchymal transition in abnormally invasive placenta // Biol Reprod. 2018. Vol. 99, N 2. P. 409–421. doi: 10.1093/biolre/ioy042
- Wang R., Liu W., Zhao J., et al. Overexpressed LAMC2 promotes trophoblast over-invasion through the PI3K/Akt/MMP2/9 pathway in placenta accreta spectrum // J Obstet Gynaecol Res. 2023. Vol. 49, N 2. P. 548–559. doi: 10.1111/jog.15493
- Bartels H.C., Postle J.D., Downey P., et al. Placenta accreta spectrum: a review of pathology, molecular biology, and biomarkers // Dis Markers. 2018. Vol. 2018. P. 1–11. doi: 10.1155/2018/1507674
- Jing M., Chen X., Qiu H., et al. Insights into the immunomodulatory regulation of matrix metalloproteinase at the maternal-fetal interface during early pregnancy and pregnancy-related diseases // Front Immunol. 2022. Vol. 13. P. 1067661. doi: 10.3389/fimmu.2022.1067661
- Soyama H., Miyamoto M., Ishibashi H., et al. Placenta previa may acquire invasive nature by factors associated with epithelial-mesenchymal transition and matrix metalloproteinases // J Obstet Gynaeco. Res. 2020. Vol. 46, N 12. P. 2526–2533. doi: 10.1111/jog.14485
- Лукашевич А.А., Аксененко В.А., Милованов А.П., и др. Прогнозирование врастания плаценты при беременности на основании определения уровней сывороточных маркеров патологии // Доктор.Ру. 2020. Т. 19, № 1. С. 6–11. doi: 10.31550/1727-2378-2020-19-1-6-11
Дополнительные файлы













