Stress-induced phosphoprotein 1 expression in the endometrium and myometrium of patients with adenomyosis
- Authors: Shalina M.A.1, Yarmolinskaya M.I.1, Beganova A.K.1, Tral T.G.1, Tolibova G.K.1
 - 
							Affiliations: 
							
- The Research Institute of Obstetrics, Gynecology and Reproductology named after D.O. Ott
 
 - Issue: Vol 73, No 4 (2024)
 - Pages: 75-84
 - Section: Original study articles
 - Submitted: 28.05.2024
 - Accepted: 02.07.2024
 - Published: 08.10.2024
 - URL: https://journals.eco-vector.com/jowd/article/view/632923
 - DOI: https://doi.org/10.17816/JOWD632923
 - ID: 632923
 
Cite item
Abstract
BACKGROUND: The study of stress-induced phosphoprotein 1 in the pathogenesis of adenomyosis is not only of theoretical interest, but this protein may be also considered as a potential biomarker of the disease.
AIM: The aim of this study was to evaluate stress-induced phosphoprotein 1 expression in the endometrium and heterotopic foci in women with isolated adenomyosis and in combination with benign hyperproliferative diseases of the reproductive organs.
MATERIALS AND METHODS: This study enrolled 66 women aged 21 to 47 years (34.9 ± 6.7 years), including 49 patients with adenomyosis and 17 women in the control group. The main group was divided into subgroups depending on the concomitant hyperproliferative disease such as isolated adenomyosis (n = 36), adenomyosis combined with uterine fibroids (n = 8), and adenomyosis combined with endometriosis (n = 5). The patients underwent endometrial biopsy and multifocal myometrial biopsy. Histological and immunohistochemical studies were performed to assess stress-induced phosphoprotein 1 expression in the glandular and stromal components of the endometrium and ectopic endometrial tissue within the uterine myometrium.
RESULTS: We found increased stress-induced phosphoprotein 1 expression in the adenomyosis lesion compared to that in the myometrium of the control group, regardless of the phase of the menstrual cycle (p < 0.001). When studying stress-induced phosphoprotein 1 expression in the endometrium of the main group in the proliferative phase of the menstrual cycle, an increase was found, but the differences were not significant. Stress-induced phosphoprotein 1 expression in the secretory phase of the menstrual cycle was higher in the glandular component of the endometrium of patients with adenomyosis compared to the levels in women in the control group (p < 0.05).
CONCLUSIONS: The increased expression of stress-induced phosphoprotein 1 in the glandular component of the adenomyosis lesion indicates a potential role of the protein in the pathogenesis of the disease. However, further research is needed to determine its practical significance.
Full Text
Обоснования
Известно, что в патогенез аденомиоза вовлечены генетические, иммунные, эндокринные механизмы. Вклад отдельных факторов в развитие, темпы прогрессирования и клиническую картину заболевания оценить крайне сложно из-за гетерогенности патологического процесса, однако необходимость исследований не вызывает сомнений.
Стресс-индуцированный фосфопротеин (STIP1, ген ID 10963; HPRD 05454) — ко-шаперон, белок массой 62,6 кДа, также известный как белок-организатор белков теплового шока (Hsp70/Hsp90-organizing protein, HOP) [1, 2]. Он представляет собой полипептид, координирующий функции белков теплового шока 70 и 90 (Hsp70 и Hsp90), участвует в регуляции клеточного цикла, сплайсинга РНК, транскрипции, свертывания белка и передачи сигналов [3].
Изучению роли STIP-1 посвящено большое количество исследований в области биологии гиперпролиферативных и онкологических заболеваний [3]. Ряд данных показывает, что STIP1 может стимулировать синтез ДНК и усиливать пролиферацию клеток [4]. Отмечено, что уровень экспрессии STIP-1 и его количество в сыворотке крови прямо коррелируют с опухолевой прогрессией, метастазированием, негативным прогнозом и рецедивированием при различных видах рака (раке яичника, опухоли желудочно-кишечного тракта и др.) [5].
В то же время исследования, посвященные изучению STIP1 в патогенезе гиперпролиферативных заболеваний органов женской репродуктивной системы, в том числе аденомиоза, немногочисленны. Получены данные о повышенном уровне STIP1 в сыворотке крови у женщин с гистологически верифицированным наружным генитальным эндометриозом (НГЭ) и/или аденомиозом по сравнению с контрольным показателем [2]. D. Chen и соавт. предложили использовать определение белка STIP-1 во внеклеточных везикулах периферической крови в качестве диагностического биомаркера аденомиоза, так как белок идентифицирован у пациенток данной группы и, напротив, у женщин без НГЭ/аденомиоза не обнаружен [6].
Известно, что определенным препятствием для его исследования является частое сочетание аденомиоза с другими доброкачественными гиперпролиферативными заболеваниями органов репродуктивной системы. По данным литературы, распространенность аденомиоза у пациенток с миомой матки составляет от 16 до 62 %, у больных НГЭ — от 22 до 89 % [7]. Для возможности интерпретации полученных данных необходимо формирование соответствующих групп сравнения.
Таким образом, изучение роли STIP-1 в патогенезе изолированного аденомиоза и при его сочетании с другими гиперпролиферативными заболеваниями представляет научный интерес, а результаты исследования, возможно, внесут вклад в разработку новых подходов к диагностике.
Цель — оценить экспрессию STIP-1 в эутопическом эндометрии, гетеротопическом очаге и миометрии у женщин с изолированным аденомиозом и при сочетании с доброкачественными гиперпролиферативными заболеваниями органов репродуктивной системы.
Материалы и методы
Характеристика обследованных групп. Обследовано 66 женщин в возрасте от 21 до 47 лет (средний возраст составил 34,9 ± 6,7 года). В основную группу вошли 49 пациенток с аденомиозом, в контрольную группу — 17 условно здоровых женщин. В зависимости от сопутствующего гиперпролиферативного заболевания пациентки основной группы были разделены на подгруппы: в первой подгруппе диагностирован изолированный диффузный аденомиоз (АМ; n = 36), во второй — аденомиоз в сочетании с миомой матки (АМ и ММ; n = 8), в третьей — аденомиоз в сочетании с НГЭ (АМ и НГЭ; n = 5).
Диагноз «диффузный аденомиоз и миома матки» ставили на основании данных ультразвукового исследования и/или магнитно-резонансной томографии органов малого таза. НГЭ диагностировали по результатам гистологического исследования после лапароскопической операции. В исследование включены пациентки с НГЭ I и II степеней по пересмотренной классификации Американского общества репродуктивной медицины [8]. Случаи распространенного эндометриоза (III и IV степеней) не включали в данную работу для оценки аденомиоза как первичного патологического процесса, а также для формирования однородных групп. В подгруппе АМ и ММ у миоматозных узлов было интрамуральное и интрамурально-субсерозное расположение с локализацией по International Federation of Gynecology and Obstetrics (FIGO) 3–6-го типов [9]. Контрольную группу составили 17 женщин с регулярным овуляторным менструальным циклом, подтвержденным при ультразвуковом исследовании во вторую фазу менструального цикла и определением уровня прогестерона с 18-го по 22-й день менструального цикла, без гиперпролиферативных заболеваний органов малого таза, в том числе интраэпителиальных поражений шейки матки и образований придатков матки. У женщин указанной группы не было дисменореи, диспареунии, тазовых болей, не связанных с менструацией, аномальных маточных кровотечений.
Биопсию эндометрия выполняли во время амбулаторного приема с использованием пайпель-биопсии или при гистероскопии. Образцы миометрия получали с помощью мультифокальной биопсии миометрия при гистероскопии и/или лапароскопии. Исследование выполняли в пролиферативную (с 5-го по 14-й день) и секреторную (с 16-го по 26-й день) фазы менструального цикла.
Критериями включения для основной группы были: диагностированный по результатам ультразвукового исследования / магнитно-резонансной томографии аденомиоз с клиническими проявлениями (такими как дисменорея, аномальные маточные кровотечения, обильные менструальные кровотечения, межменструальные маточные кровотечения, синдром тазовых болей) как в изолированном варианте, так и в сочетании с другими гиперпролиферативными заболеваниями, с последующим распределением в соответствующие группы. Критериями исключения для всех пациенток стали: декомпенсация хронических соматических заболеваний, острые инфекционные заболевания или обострение их хронических форм (в том числе воспалительные заболевания органов малого таза), прием гормональных препаратов за 3 мес. до включения в исследование. В группах пациенток с миомой матки критерием невключения было расположение узлов типов 0, 1, 2, 7. В группах с аденомиозом для формирования однородных групп не включали пациенток с другими формами заболевания (очаговой, узловой, кистозной), кроме диффузной.
Обследованные группы пациенток представлены в табл. 1.
Таблица 1. Количество иммуногистохимических исследований в обследованных группах
Table 1. Number of immunohistochemical studies performed in the examined groups
Иммуногистохимическое исследование  | АМ (n = 36)  | АМ и ММ (n = 8)  | АМ и НГЭ (n = 5)  | Контроль (n = 17)  | 
Эутопический эндометрий, количество образцов  | 29  | 8  | 5  | 11  | 
Миометрий, количество образцов  | 16  | –  | –  | 6  | 
Примечание. АМ — изолированный аденомиоз; ММ — миома матки; НГЭ — наружный генитальный эндометриоз.
Клиническое обследование пациенток включало сбор и анализ жалоб, акушерско-гинекологического и соматического анамнеза, стандартное общеклиническое и гинекологическое обследование. Степень выраженности болевого синдрома оценивали с помощью визуально-аналоговой шкалы боли (Visual Analog Scale, VAS, ВАШ) и цифровой рейтинговой шкалы боли (Numerical Rating Scale, NRS) отдельно во время менструации (выраженность дисменореи), боли вне менструации (тазовые боли) и боли при половой жизни (диспареунию). ВАШ — часто используемая шкала боли, представляющая собой вертикальный или горизонтальный отрезок прямой длиной 10 см. Пациенту предлагают сделать отметку, соответствующую интенсивности испытываемой им боли, где 0 см — отсутствие боли, а 10 см — невыносимая боль. NRS — шкала, аналогичная ВАШ, только боль в ней оценивают в баллах от 0 до 10 (10 — невыносимая боль, 0 — нет боли) [10, 11]. По указанной шкале боль оценивали у пациенток как с изолированным аденомиозом, так и с аденомиозом в сочетании с миомой матки и с НГЭ.
Гистологическое исследование выполнено всем пациенткам обследованных групп, в том числе контрольной группы, для исключения гиперпластических процессов эндометрия. Методом иммуногистохимии (ИГХ) определяли экспрессию белка STIP1 в эндометрии и миометрии. Для этого образцы эндометрия и миометрия фиксировали в 10 % нейтральном формалине (рН 7,2), выполняли проводку согласно стандартному протоколу. Из полученных блоков готовили срезы толщиной 3–5 мкм. Для обзорной окраски использовали гематоксилин и эозин. При световой микроскопии оценивали соответствие строения эндометрия дню менструального цикла, состояние желез, стромы и сосудистого компонента эндометрия, наличие или отсутствие гистологических признаков воспалительных и патологических изменений. Исследование проводили на микроскопе Olympus CX31 (Япония) при увеличениях ×100, ×400.
ИГХ выполняли на парафиновых срезах толщиной 3 мкм, нанесенных на предметные стекла, покрытые пленкой из поли-L-лизина (Menzel, Германия). В качестве системы визуализации использовали Abcam Mouse and Rabbit Specific HRP Plus (ABC) Detection IHC Kit (RTU) [ab93697] (Abcam, Великобритания). Для ИГХ использовали стандартный одноэтапный протокол с демаскировкой антигена (высокотемпературной обработкой ткани) в 0,01 М цитратном буфере (рН 6,0). ИГХ включала количественную и качественную оценку экспрессии STIP1 с использованием первичных поликлональных кроличьих антител к рецепторам Anti-STIP1 / STI1 antibody [EPR6605] – BSA and Azide free ab238963 (Abcam, Великобритания). Для цифровой микроскопии и морфометрии микропрепараты исследовали под микроскопом с настройкой освещения по Кeллеру при увеличениях ×100, ×200 и ×400, чтобы получить общее представление о результатах ИГХ. Количественную оценку результатов ИГХ проводили на микрофотографиях, полученных с помощью системы фиксации микроскопических изображений, состоящей из микроскопа Olympus BX46 и программного обеспечения CellSens 47 Entry. Из фотосъемки исключали поля зрения, содержащие дефекты ткани, дефекты окрашивания и артефакты. Фотосъемку производили на увеличении ×400 (×10 для окуляра, ×40 для объектива): режим Photo, время экспозиции 1/38 с, чувствительность камеры максимальная, размер изображения 2080 × 1544 пикселей, графический формат изображения JPEG (normal). Долю занимаемой экспрессии изучаемого маркера рассчитывали с помощью программы ВидеоТесТ-Морфология 5.0 (ООО «ВидеоТесТ», Россия). Экспрессию STIP1 оценивали в каждом срезе в 5 полях зрения, после чего вычисляли средние величины показателей.
ИГХ позволяет различать экспрессию обособленно в гетеротопическом очаге и окружающих его гладкомышечных клетках, отдифференцировать железы и строму. Исследование экспрессии STIP1 в миометрии выполняли в группе с изолированным аденомиозом, а также в группе контроля, так как интерпретация результатов экспрессии в миометрии у пациенток с аденомиозом в сочетании с миомой матки и с НГЭ затруднительна по причине невозможности оценки вклада каждого заболевания в экспрессию белка.
Для статистического анализа использованы программы Microsoft Excel, Statistica 10.0. Для проверки нормальности распределения применен критерий Шапиро – Уилка: при р > 0,05 — распределение нормальное, при р < 0,05 — отличное от нормального. В случае нормального распределения равенство дисперсий проверяли с помощью теста Ливиня: при р > 0,05 — дисперсии сопоставимые, при р < 0,05 — различные. При нормальном распределении для сравнения двух выборок с равными дисперсиями использован t-критерий Стьюдента, с неравными — t-критерий Уэлча. При распределении, отличном от нормального, применен критерий Манна – Уитни. Различия расценивали как статистически значимые при р < 0,05. Количественные переменные описаны через среднее значение и стандартное отклонение (М ± SD) при нормальном распределении и через медиану, 25-й и 75-й квартили [Me (Q1–Q3)] — при распределении, отличном от нормального.
Результаты
Результаты клинического обследования пациенток
Средний возраст обследованных женщин составил 34,9 ± 6,7 года, при сравнении между группами достоверных отличий не выявлено. При оценке весоростовых показателей индекс массы тела находился в пределах нормальных значений у всех пациенток (22,5 ± 2,4 кг/м2). Средний возраст наступления менархе — 12,5 ± 2,5 лет, по данному показателю группы не отличались.
При оценке характера менструаций у женщин основной группы выявлены нарушения менструального цикла: ведущими оказались аномальные маточные кровотечения по типу перименструальных кровянистых выделений — у 56 %, олигоменорея — у 13 %, межменструальные мажущие кровянистые выделения — у 28 %, обильные менструальные кровотечения — у 43 %. По данным оценки болевого синдрома при аденомиозе, дисменорея встречалась у 94 % пациенток, 28 % пациенток жаловались на диспареунию, 42 % — на хронические тазовые боли. По ВАШ средняя оценка выраженности болевого синдрома во время менструации в подгруппе АМ составила 5,29 ± 1,9 см, в АМ и ММ — 5,32 ± 1,8 см, в АМ и НГЭ — 6,64 ± 2,11 см. При сравнении показателей с помощью t-критерия Стьюдента установлены статистические значимые различия между пациентками подгрупп АМ и сочетания АМ и НГЭ (p = 0,028). При половой жизни выраженность болевого синдрома по шкале NRS составила в среднем у больных подгруппы АМ 4,31 ± 1,70 балла, АМ и ММ — 4,67 ± 1,69 балла и 5,12 ± 1,67 баллов в подгруппе АМ и НГЭ, без достоверных отличий между группами. Средняя выраженность болевого синдрома в области малого таза, не связанного с менструацией, составила 3,2 ± 1,2, 3,8 ± 1,3 и 4,6 ± 1,6 соответственно. Достоверных отличий при оценки этих показателей между группами также не выявлено. У пациенток контрольной группы болевой синдром отсутствовал.
Известно, что генитальный эндометриоз является частой причиной бесплодия. В данном исследовании указанное клиническое проявление выявлено у 43 % больных основной группы, из них у 58 % — первичное бесплодие, у 42 % — вторичное, 38 % женщин не были заинтересованы в реализации репродуктивных планов, у 19 % пациенток длительность планирования беременности составила менее года.
Среди пациенток с НГЭ при лапароскопии согласно Revised American Society for Reproductive Medicine classification of endometriosis НГЭ I степени диагностирован у 47 % больных, II степени — у 53 %. НГЭ у всех женщин был выявлен впервые, случаев экстрагенитального эндометриоза не было.
Результаты иммуногистохимического исследования
При оценке экспрессии STIP1 в миометрии вне зависимости от фазы менструального цикла у пациенток с аденомиозом обнаружено повышение экспрессии в миометрии с очагом аденомиоза (в железистых и стромальных клетках, а также окружающих их гладкомышечных клетки) по сравнению с миометрием пациенток группы контроля. При сравнении экспрессии изолированно в гладкомышечных клетках, окружающих гетеротопический очаг, и в гладкомышечных клетках миометрия группы контроля различия не обнаружены. Результаты представлены в табл. 2.
Таблица 2. Экспрессия стресс-индуцированного фосфопротеина 1 в миометрии у пациенток с аденомиозом и женщин контрольной группы вне зависимости от фазы менструального цикла
Table 2. Stress-induced phosphoprotein 1 expression in the myometrium of patients with adenomyosis and the control group regardless of the phase of the menstrual cycle
Группа  | Миометрий с очагом аденомиоза и миометрий группы контроля  | Изолированно в гладкомышечных клетках  | 
Аденомиоз (n = 16)  | 64,4 ± 8,38  | 20,8 ± 11,5  | 
Контроль (n = 6)  | 23,8 ± 12,6  | 23,8 ± 12,6  | 
Значение p  | p < 0,001  | p = 0,291  | 
Примечание. Показатели относительной экспрессии в работе приведены в единицах RQ (Relative Quantity). Указанный параметр показывает, во сколько раз изменена экспрессия целевого гена относительно образца, для которого значение RQ равно 1. В качестве такого случайным образом с использованием программы Expression Suit был выбран образец эндометрия из контрольной группы.
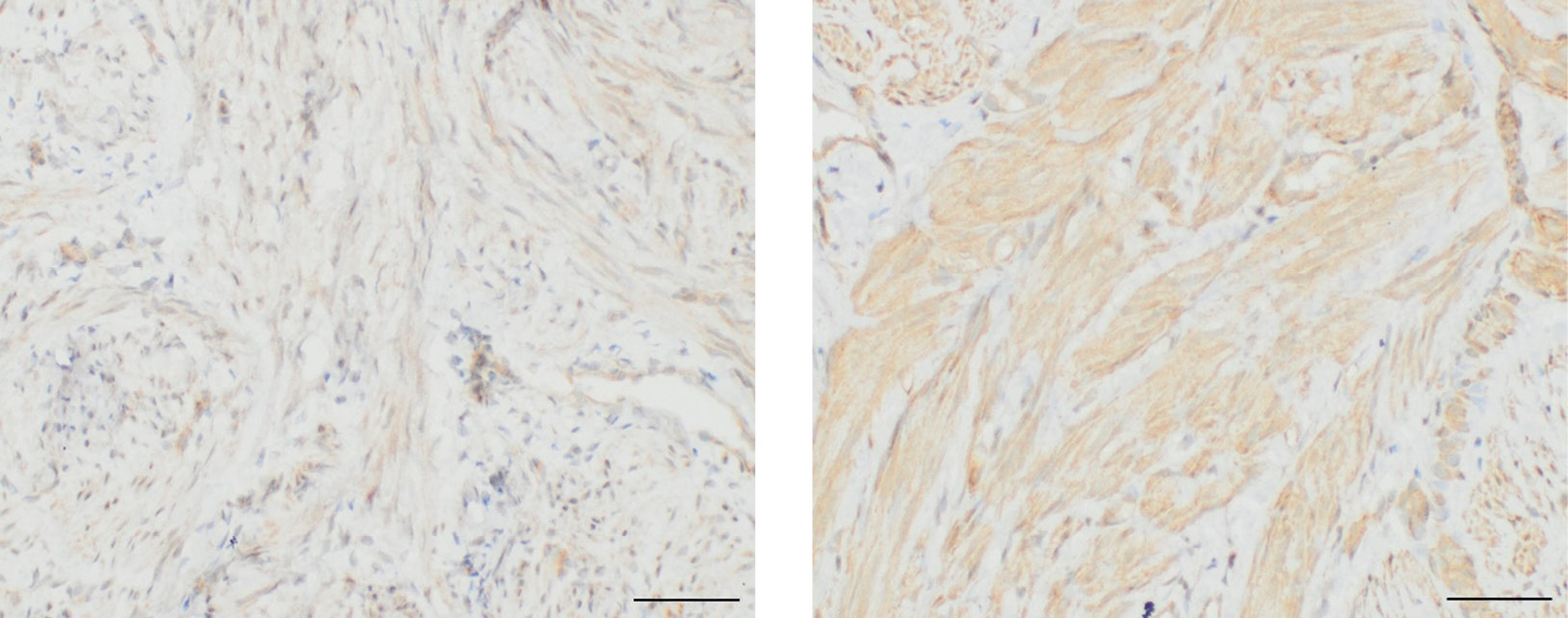
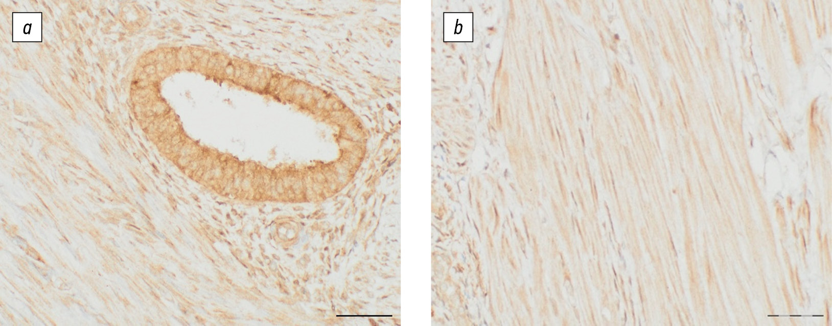
На фотографиях с увеличением ×400 представлена экспрессия STIP1 в миометрии женщин контрольной группы (рис. 1) и пациенток с аденомиозом: в очаге аденомиоза (рис. 2, а) и окружающем миометрии (рис. 2, b).
Рис. 1. Экспрессия стресс-индуцированного фосфопротеина 1 в миометрии женщин контрольной группы. Увеличение ×400
Рис. 2. Экспрессия стресс-индуцированного фосфопротеина 1 в миометрии больных аденомиозом: в очаге аденомиоза (a) и окружающем миометрии (b). Увеличение ×400
Таким образом, на основании полученных результатов можно сделать вывод о том, что повышение экспрессии STIP1 в миометрии больных аденомиозом обусловлено наличием гетеропического очага.
Результаты исследования эутопического эндометрия
По результатам гистологического исследования эндометрия у большинства пациенток выявлено соответствие гистологической картины фазам менструального цикла при заборе материала. Однако у 8 больных основной группы диагностирована гиперплазия эндометрия (ГЭ) без атипии, и они выделены в отдельную подгруппу — АМ и ГЭ.
В подгруппах АМ, АМ и НГЭ, АМ и ГЭ отмечена тенденция к повышению экспрессии STIP1 как в железистом, так и в стромальном компонентах эндометрия по сравнению с экспрессией в эндометрии группы контроля, тем не менее различия не достигли уровня статистической значимости (табл. 3).
Таблица 3. Экспрессия STIP1 в эндометрии у пациенток с аденомиозом и женщин контрольной группы вне зависимости от фазы менструального цикла
Table 3. Stress-induced phosphoprotein 1 expression in the endometrium of patients with adenomyosis and the control group regardless of the phase of the menstrual cycle
Группа  | Эндометрий  | Железистый компонент эндометрия  | Стромальный компонент эндометрия  | 
АМ (n = 21)  | 47,4 ± 15,4  | 75,6 ± 11,8  | 41,6 ± 18,1  | 
АМ + ММ (n = 8)  | 41,9 ± 16,5  | 72,7 ± 7,41  | 27,9 ± 15,6  | 
АМ + НГЭ (n = 5)  | 45,8 ± 9,91  | 71,7 ± 6,92  | 40,7 ± 12,4  | 
АМ + ГЭ (n = 8)  | 58,5 ± 22,5  | 75,8 ± 12,1  | 51,2 ± 25,6  | 
Контроль (n = 11)  | 43,4 ± 16,1  | 61,4 ± 13,4  | 31,2 ± 18,7  | 
Значение p  | p = 0,497  | p = 0,432  | p = 0,340  | 
Примечание. АМ — изолированный аденомиоз; ММ — миома матки; НГЭ —наружный генитальный эндометриоз; ГЭ — гиперплазия эндометрия.
Дальнейшая оценка экспрессии STIP1 в основной группе проведена без разделения на подгруппы. Показатели сравнивали с результатами, полученными в контрольной группе. Экспрессию STIP1 в пролиферативную и секреторную фазы менструального цикла оценивали отдельно.
При исследовании экспрессии STIP1 в пролиферативную фазу менструального цикла в эндометрии в целом, и в железистом и стромальном компонентах в частности, выявлено ее увеличение по сравнению с показателями контрольной группы, но различия оказались недостоверными (табл. 4).
Таблица 4. Экспрессия стресс-индуцированного фосфопротеина 1 в пролиферативную фазу менструального цикла в эндометрии пациенток с аденомиозом и женщин контрольной группы
Table 4. Stress-induced phosphoprotein 1 expression in the endometrium of patients with adenomyosis and the control group in the proliferative phase of the menstrual cycle
Группа  | Эндометрий  | Железистый компонент эндометрия  | Стромальный компонент эндометрия  | 
Аденомиоз (n = 23)  | 51,9 ± 17,4  | 77,1 ± 10,1  | 43,6 ± 19,2  | 
Контроль (n = 6)  | 40,4 ± 19,6  | 75,2 ± 13,7  | 28,8 ± 21,2  | 
Значение p  | p = 0,391  | p = 0,507  | p = 0,264  | 
В секреторную фазу менструального цикла в эндометрии пациенток с аденомиозом выявлено увеличение экспрессии STIP1 по сравнению с показателями женщин контрольной группы, достоверные различия получены при сравнении экспрессии в железистом компоненте эндометрия (табл. 5, рис. 3).
Таблица 5. Экспрессия стресс-индуцированного фосфопротеина 1 в секреторную фазу менструального цикла в эндометрии пациенток с аденомиозом и женщин контрольной группы
Table 5. Stress-induced phosphoprotein 1 expression in the endometrium of patients with adenomyosis and the control group in the secretory phase of the menstrual cycle
Группа  | Эндометрий  | Железистый компонент эндометрия  | Стромальный компонент эндометрия  | 
Аденомиоз (n = 19)  | 45,3 ± 16,2  | 67,7 ± 9,76  | 35,3 ± 19,0  | 
Контроль (n = 5)  | 43,4 ± 12,4  | 58,9 ± 8,75  | 31,2 ± 16,9  | 
Значение p  | p = 0,696  | p = 0,040  | p = 0,624  | 
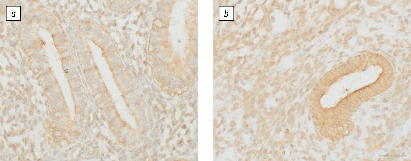
Рис. 3. Экспрессия стресс-индуцированного фосфопротеина 1 в эндометрии женщин контрольной группы (a) и больных аденомиозом (b) в секреторную фазу менструального цикла
Обсуждение
Шапероны — это класс белков, выполняющих функцию в организации и восстановлении правильной третичной или четвертичной структуры белков, а также в образовании и диссоциации белковых комплексов, не являясь при этом их частью. STIP1 в свою очередь модулирует функционирование шаперонов Hsp90 и Hsp70. Таким образом, STIP1 можно охарактеризовать как неспецифичный, многофункциональный белок, участвующий в регуляции реализации различных сигнальных путей [12]. Исследователи относят STIP1 к протоонкогенам и оценивают прогностическую значимость повышенной экспрессии продукта гена для прогрессирования, метастазирования рака и выживаемости онкологических больных [5]. В свете представлений об аденомиозе как эстроген-зависимом гиперпролиферативном заболевании, аберрантная экспрессия STIP-1 у больных с данной патологией представляет интерес, в том числе потому, что экспрессию гена STIP1 стимулируют эстрогены [12, 13].
Выявлено повышение экспрессии STIP1 в железистом компоненте эндометрия в секреторную фазу менструального цикла и в миометрии у пациенток с аденомиозом по сравнению с показателями женщин контрольной группы. Как было отмечено ранее, подобные исследования немногочисленны. T.H. Wang и соавт. определяли уровень STIP-1 в сыворотке крови больных с эндометриозом и/или аденомиозом, а также экспрессию STIP-1 в ткани эндометриоидных кист яичников и очагах аденомиоза. Уровни STIP1 в сыворотке крови у пациенток с эндометриозом/аденомиозом оказались значительно выше, чем в контрольной группе. Отмечено STIP1-позитивное окрашивание в ткани эндометриоидных кист яичников и очагах аденомиоза при ИГХ, однако образцы группы контроля не были исследованы, а сравнительный анализ экспрессии белка в ткани не представлен в публикации [2].
Показано, что одним из механизмов проонкогенного действия STIP1 является его роль в экспрессии матриксных металлопротеиназ (MMP). Продемонстрировано, что уменьшение экспрессии STIP1 в раковых клетках снижает инвазивность опухоли за счет взаимодействия с ММР и подавления последних [14]. Данное исследование касалось рака поджелудочной железы, но механизмы взаимодействия MMP-2, -9 и STIP1 могут быть универсальными. Результаты исследования T.H. Wang и соавт. подтверждают, что гиперэкспрессия STIP1 может приводить к усилению экспрессии MMP-9 в клеточных линиях рака эндометрия и рака яичников [2]. ММР-9 участвует в процессах воспаления, ремоделирования тканей, мобилизации матрикс-связанных факторов роста и процессинга цитокинов [15]. Известно, что ММР играют важную роль в патогенезе эндометриоза и аденомиоза, способствуя распространению и инвазивному росту эктопических очагов [16].
Преимуществом настоящего исследования является оценка экспрессии STIP-1 у больных изолированным аденомиозом и при его сочетании с другими доброкачественными гиперпролиферативными заболеваниям органов репродуктивной системы. Однако ограничение заключается в небольшом количестве пациенток в подгруппах. Выявленные изменения экспрессии STIP-1 не позволяют обосновать использование STIP-1 в качестве диагностического маркера, но свидетельствуют о перспективе дальнейших исследований.
Заключение
Выявленная повышенная экспрессия STIP1 в железистом компоненте очага аденомиоза указывает на потенциальную роль изучаемого белка в патогенезе заболевания. Однако для определения практической значимости оценки данного маркера необходимы дальнейшие исследования.
Дополнительная информация
Источник финансирования. Работа выполнена в рамках фундаментального научного исследования № 122041500063-2 «Стратегия сохранения здоровья женщин с гинекологическими и эндокринными заболеваниями в разные возрастные периоды: патогенетическое обоснование медикаментозной реабилитации и разработка новых направлений органосохраняющих оперативных вмешательств».
Конфликт интересов. Авторы декларируют отсутствие явных и потенциальных конфликтов интересов, связанных с публикацией настоящей статьи.
Вклад авторов. Все авторы внесли существенный вклад в разработку концепции, проведение исследования и подготовку статьи, прочли и одобрили финальную версию перед публикацией.
Наибольший вклад распределен следующим образом: М.А. Шалина — сбор и обработка материалов, анализ полученных данных, обзор литературы, написание текста; М.И. Ярмолинская — концепция и дизайн исследования, привлечение финансирования, написание текста, окончательное редактирование; А.К. Беганова — сбор и обработка материалов, написание текста; Т.Г. Траль — сбор материалов, гистологическое исследование, анализ полученных данных; Г.Х. Толибова — сбор материалов, анализ полученных данных, внесение окончательной правки.
Этический комитет. Протокол исследования был одобрен локальным этическим комитетом НИИ АГиР им. Д.О. Отта (№ 114 от 14.12.2021).
Additional information
Funding source. The study was carried out with the financial support for fundamental scientific researches: No. 122041500063-2 “Strategy for preserving the health of women with gynecological and endocrine diseases at different age periods: pathogenetic justification of drug rehabilitation and development of new directions of organ-preserving operational interventions.”
Competing interests. The authors declare that they have no competing interests.
Author contribution. All the authors have made a significant contribution to the development of the concept, research, and preparation of the article as well as read and approved the final version before its publication.
Personal contribution of the authors: M.A. Shalina — collection and processing of materials, analysis of the data obtained, literature review, text writing; M.I. Yarmolinskaya — study concept and design, engagement funding, writing, final editing; A.K. Beganova — collection and processing of materials, text writing; T.G. Tral — collection of materials, histological examination, analysis of the obtained data; G.Kh. Tolibova — collection of materials, analysis of the obtained data, introduction of the final edits.
Ethics approval. The study protocol was approved by the local Ethics Committee of the Research Institute of Obstetrics, Gynecology and Reproductology named after D.O. Ott (No. 114 of 14.12.2021).
About the authors
Maria A. Shalina
The Research Institute of Obstetrics, Gynecology and Reproductology named after D.O. Ott
							Author for correspondence.
							Email: amarus@inbox.ru
				                	ORCID iD: 0000-0002-5921-3217
				                	SPIN-code: 6673-2660
																		                								
MD, Cand. Sci. (Medicine)
Russian Federation, Saint PetersburgMaria I. Yarmolinskaya
The Research Institute of Obstetrics, Gynecology and Reproductology named after D.O. Ott
														Email: m.yarmolinskaya@gmail.com
				                	ORCID iD: 0000-0002-6551-4147
				                	SPIN-code: 3686-3605
																		                								
MD, Dr. Sci. (Medicine), Professor, Professor of the Russian Academy of Sciences
Russian Federation, Saint PetersburgAlexandra K. Beganova
The Research Institute of Obstetrics, Gynecology and Reproductology named after D.O. Ott
														Email: alexandra.beganova@yandex.ru
				                	ORCID iD: 0000-0002-4705-7990
				                																			                								
MD
Russian Federation, Saint PetersburgTatiana G. Tral
The Research Institute of Obstetrics, Gynecology and Reproductology named after D.O. Ott
														Email: ttg.tral@yandex.ru
				                	ORCID iD: 0000-0001-8948-4811
				                	SPIN-code: 1244-9631
																		                								
MD, Cand. Sci. (Medicine)
Russian Federation, Saint PetersburgGulrukhsor Kh. Tolibova
The Research Institute of Obstetrics, Gynecology and Reproductology named after D.O. Ott
														Email: gulyatolibova@mail.ru
				                	ORCID iD: 0000-0002-6216-6220
				                	SPIN-code: 7544-4825
																		                								
MD, Dr. Sci. (Medicine)
Russian Federation, Saint PetersburgReferences
- Baindur-Hudson S, Edkins AL, Blatch GL. Hsp70/Hsp90 organising protein (hop): beyond interactions with chaperones and prion proteins. Subcell Biochem. 2015;78:69–90. doi: 10.1007/978-3-319-11731-7_3
 - Wang HS, Tsai CL, Chang PY, et al. Positive associations between upregulated levels of stress-induced phosphoprotein 1 and matrix metalloproteinase-9 in endometriosis/adenomyosis. PLoS One. 2018;13(1). doi: 10.1371/journal.pone.0190573
 - da Fonseca ACC, Matias D, Geraldo LHM, et al. The multiple functions of the co-chaperone stress inducible protein 1. Cytokine Growth Factor Rev. 2021;57:73–84. doi: 10.1016/j.cytogfr.2020.06.003
 - Chao A, Tsai CL, Wei PC, et al. Decreased expression of microRNA-199b increases protein levels of SET (protein phosphatase 2A inhibitor) in human choriocarcinoma. Cancer Lett. 2010;291(1):99–107. doi: 10.1016/j.canlet.2009.10.005
 - Zhang S, Shao J, Su F. Prognostic significance of STIP1 expression in human cancer: a meta-analysis. Clin Chim Acta. 2018;486:168–176. doi: 10.1016/j.cca.2018.07.037
 - Chen D, Zhou L, Qiao H, et al. Comparative proteomics identify HSP90A, STIP1 and TAGLN-2 in serum extracellular vesicles as potential circulating biomarkers for human adenomyosis. Exp Ther Med. 2022;23(6):374. doi: 10.3892/etm.2022.11301
 - Upson K, Missmer SA. Epidemiology of adenomyosis. Semin Reprod Med. 2020;38(2–3):89–107. doi: 10.1055/s-0040-1718920
 - Revised American Society for Reproductive Medicine classification of endometriosis: 1996. Fertil Steril. 1997;67(5):817–821. doi: 10.1016/s0015-0282(97)81391-x
 - Munro MG, Critchley HOD, Fraser IS; FIGO Menstrual Disorders Committee. The two FIGO systems for normal and abnormal uterine bleeding symptoms and classification of causes of abnormal uterine bleeding in the reproductive years: 2018 revisions. Int J Gynaecol Obstet. 2018;143(3):393–408. doi: 10.1002/ijgo.12666
 - Crichton N. Visual analogue scale (VAS). Journal of Clinical Nursing. 2001;10(5):697–706.
 - Shalina MA, Yarmolinskaya MI, Netreba EA, et al. Psycho-emotional status in patients with endometriosis-associated pain syndrome in various disease phenotypes. Journal of Obstetrics and Women’s Diseases. 2023;72(3):53–64. EDN: XZRCQA doi: 10.17816/JOWD346683
 - Schwarz K, Baindur-Hudson S, Blatch GL, et al. Hsp70/Hsp90 organising protein (hop): coordinating much more than chaperones. Subcell Biochem. 2023;101:81–125. doi: 10.1007/978-3-031-14740-1_3
 - Watanabe H, Suzuki A, Kobayashi M, et al. Similarities and differences in uterine gene expression patterns caused by treatment with physiological and non-physiological estrogens. J Mol Endocrinol. 2003;31(3):487–497.
 - Walsh N, Larkin A, Swan N, et al. RNAi knockdown of Hop (Hsp70/Hsp90 organising protein) decreases invasion via MMP-2 down regulation. Cancer Lett. 2011;306(2):180–189. doi: 10.1016/j.canlet.2011.03.004
 - Yarmolinskaya MI, Molotkov AS, Denisova VM. Matrix metalloproteinases and inhibitors: classification, mechanism of action. Journal of Obstetrics and Women’s Diseases. 2012; 61(1):113–125. EDN: PAIYTX
 - Yarmolinskaya MI, Abashova EI, Misharina EV. Drug therapy for genital endometriosis: realities and prospects. A guide for doctors. Moscow: GEOTAR-Media; 2021. EDN: VWPPLC (In Russ.)
 
Supplementary files
				
			
					
						
						
									





