Animal models of adenomyosis as a basis for the development of new treatment methods. Part I. Creation of a highly reproducible model of adenomyosis in female Wistar rats
- Authors: Shalina M.A.1, Yarmolinskaya M.I.1
-
Affiliations:
- The Research Institute of Obstetrics, Gynecology and Reproductology named after D.O. Ott
- Issue: Vol 74, No 1 (2025)
- Pages: 67-73
- Section: Original study articles
- Submitted: 17.11.2024
- Accepted: 18.12.2024
- Published: 22.04.2025
- URL: https://journals.eco-vector.com/jowd/article/view/641737
- DOI: https://doi.org/10.17816/JOWD641737
- ID: 641737
Cite item
Abstract
BACKGROUND: The creation of an experimental model of adenomyosis is of scientific and practical interest, which allows for the evaluation of the effectiveness and pathogenetically substantiated therapy of adenomyosis in the future on the created highly reproducible model of the disease.
AIM: The aim of this study was to create a highly reproducible model of adenomyosis in neonatal Wistar rats.
MATERIALS AND METHODS: This article presents the first stage of the experiment on newborn Wistar rats, including the creation of a highly reproducible model of adenomyosis with different schemes and frequency of tamoxifen administration, as well as different periods of animal withdrawal. To achieve the set goal, 26 newborn female rats were orally administered an estrogen receptor blocker (tamoxifen 20 mg) at a rate of 1 mg of the drug per 1 kg of animal body weight once a day. To determine the most optimal regimen for administering tamoxifen, the animals were divided into four groups. Group 1 (n = 6) received the drug from day 2 to day 5 of postembryonic development. Group 2 (n = 8) received the drug from day 3 to day 8. Group 3 (n = 7) received the drug twice: from day 3 to day 8 and from day 25 to day 29. Group 4 (control, n = 5) only received water without the drug. The animals were withdrawn from the experiment on days 16, 30, and 90. Adenomyosis was confirmed by morphological examination.
RESULTS: Tamoxifen should be administered once to create an adequate rat model of adenomyosis, from day 2 to day 5 of postembryonic development, and the animals should be withdrawn from the experiment on day 30 of life, when the severity of the disease is sufficient and is confirmed by morphological examination. Such the scheme is reproducible and economically advantageous.
CONCLUSIONS: The creation of the described model of adenomyosis is important for conducting further studies on the treatment of the disease using various schemes, methods, and dosages in alternative methods of therapy to be described in the second part of the experiment.
Keywords
Full Text
Обоснование
Аденомиоз характеризует доброкачественная инвазия эндометрия в миометрий, приводящая к диффузному увеличению матки и гистологически выраженная в наличии эктопически расположенных желез и стромы эндометрия, окруженных гипертрофическим и гиперпластическим миометрием [1]. Существует хирургическое и консервативное лечение аденомиоза. Согласно клиническим рекомендациям по эндометриозу, единственным эффективным методом лечения заболевания является тотальная гистерэктомия, однако очевидно, что такая операция не может быть методом выбора для лечения молодых женщин, не реализовавших репродуктивную функцию [2, 3]. При наличии бесплодия у пациенток с аденомиозом, сопровождающегося аномально-маточными кровотечениями, выполняют реконструктивно-пластические операции с максимальным удалением пораженной ткани для уменьшения объема матки и маточных кровотечений, а также повышения возможности реализации репродуктивной функции [4]. К таким органосохраняющим операциям относят: удаление узла аденомиоза, удаление кист при кистозной форме, аденомиометрэктомию (частичную или полную) при диффузной форме. При диффузной форме и обширном аденомиозе предложен и лапаротомный доступ H. Osada с метропластикой методом трех лоскутов [5].
Несмотря на органосохраняющие эффекты, выполнение реконструктивных операций содержит ряд особенностей и вызывает больше осложнений при беременности, таких как разрыв матки и врастание плаценты [6, 7].
К консервативным методам лечения аденомиоза относят: прогестины, агонисты гонадотропин-рилизинг гормона, левоноргестрел-выделяющую (в дозе 52 мг) внутриматочную спираль, комбинированные оральные контрацептивы, нестероидные противовоспалительные препараты [8–10]. Однако, несмотря на широкий арсенал медикаментозных средств, у применения каждой группы препаратов есть недостатки и ограничения в связи с развитием побочных эффектов, наличием противопоказаний, а также материальными затратами, что крайне важно для определенной группы пациенток. Кроме того, большинство препаратов из-за антигонадотропного механизма действия невозможно использовать у женщин, планирующих беременность.
В связи с указанными обстоятельствами и несовершенствами как оперативных, так и консервативных методов лечения, поиск новых методов, схем эффективной терапии аденомиоза представляют научный и практический интерес. В свою очередь, разработка и применение новых форм терапии заболевания невозможна без апробации в экспериментальных условиях. Представленная экспериментальная модель аденомиоза создана на новорожденных самках крыс линии Wistar. Проведение данного эксперимента сопряжено с рядом трудностей, включающих необходимость идентификации и отбора новорожденных крыс именно женского пола, крайне небольшие размеры подопытных и применение особого набора инструментов, достаточно высокая летальность новорожденных.
Результаты исследования разделены на два этапа и представлены в двух частях соответственно. На первом этапе выбирали препарат для создания модели заболевания, дозу, время, длительность введения и сроки выведения из эксперимента. После получения высоковоспроизводимой модели аденомиоза проводили второй этап. Животные были разделены на шесть групп, в каждой группе применяли один из следующих препаратов для лечения аденомиоза: антиоксидант ресвератрол в двух разных дозах, антагонист окситоциновых рецепторов атозибан, бигуанид метформин. В группе сравнения в качестве лечения применяли зарегистрированный для терапии эндометриоза препарат диеногест, и в шестой (контрольной) группе животные получали воду без препарата.
Несомненно, подтверждение эффективности того или иного метода лечения на лабораторных животных, в частности крысах, нельзя безоговорочно переносить и интерпретировать для оценки результативности лечения пациенток. Однако именно в экспериментальных исследованиях можно объективно наблюдать влияние того или иного препарата на развитие и выраженность аденомиоза. По данным гистологического исследования образцов маток животных можно оценить эффективность лечения не только визуально.
Таким образом, создание экспериментальной модели аденомиоза на крысах линии Wistar, а также оценка эффективности лечения заболевания необходимы для фундаментального обоснования внедрения в клиническую практику новых комбинированных схем лечения и монотерапии аденомиоза.
Цель — создать высоковоспроизводимую модель аденомиоза на новорожденных крысах линии Wistar.
Материалы и методы
Для первого этапа эксперимента необходимо было выбрать препарат для создания модели аденомиоза, разработать точную схему его применения (с учетом дозы, сроков и кратности введения), а также определить оптимальные сроки выведения крыс из эксперимента. Всех лабораторных животных содержали в регламентированных условиях вивария при соблюдении всех правил их содержания (времени и порядка карантина, маркировки всех особей, постоянного санитарного контроля, стандартного рациона питания, свободного доступа к воде и пище, автоматического режима освещения «день/ночь»). Уход за животными и сами эксперименты осуществляли согласно основным морально-этическим принципам проведения биомедицинских экспериментов на животных. При выполнении экспериментальной части работы на крысах линии Wistar соблюдены все общие требования закона «Об ответственном обращении с животными и о внесении изменений в отдельные законодательные акты Российской Федерации» от 27.12.2018 № 498-ФЗ, положения «Европейской конвенции о защите позвоночных животных, используемых для экспериментальных и других научных целей», ГОСТ 33216-2014 «Руководство по содержанию и уходу за лабораторными животными. Правила содержания и ухода за лабораторными грызунами и кроликами», ГОСТ 33215-2014 «Руководство по содержанию и уходу за лабораторными животными. Правила оборудования помещений и организации процедур».
В настоящее время для создания модели аденомиоза исследователи чаще используют мышей, в качестве препаратов — тамоксифен, эстрадиол [11], цитрат торемифена, ралоксифена гидрохлорид1 с выведением животных из эксперимента на различные дни постэмбрионального развития [12].
Для создания модели аденомиоза на новорожденных самках линии Wistar выбран тамоксифена цитрат, относящийся к антиэстрогенам, обладающий противоопухолевым действием. Известно влияние данного препарата на гормон-чувствительные ткани, повышающее риск развития доброкачественной патологии матки, пролиферативных изменений эндометрия, миометрия, гиперплазии и рака эндометрия [13].
После оплодотворения и рождения потомства для создания модели аденомиоза включены 26 новорожденных самок. Им перорально вводили блокатор рецепторов эстрогенов (тамоксифен в дозе 20 мг) из расчета 1 мг препарата на 1 кг массы тела животного 1 раз в день.
Для определения наиболее оптимальной схемы введения тамоксифена животные разделены на четыре группы: 1-ая группа (n = 6) получала препарат со 2-го по 5-й день постэмбрионального развития (P2–P5), 2-я (n = 8) — с P3 по P8, 3-я (n = 7) — дважды (P3–P8 и P25–P29) и 4-я (контрольная; n = 5) получали воду без лекарственного препарата. Крыс выводили из эксперимента в P16, P30, P42, P90. Создание разных схем и кратности введения антиэстрогена необходимо для определения оптимальных доз и продолжительности введения, причем не только с точки зрения эффективности создания модели с последующим гистологическим подтверждением, но и с экономических позиций.
На этапе выведения из эксперимента животных взвешивали, после вскрытия — выполняли визуальную оценку макропрепарата, оценивали вес и длину матки (рис. 1–3). Для микроскопического исследования материал (влагалище, матку и яичники) фиксировали в 10 % нейтральном забуференном формалине, осуществляли проводку материала, заливали в парафин, из которого изготавливали срезы толщиной 3 мкм. Для обзорной окраски использовали гематоксилин и эозин. При световой микроскопии оценивали наличие желез аденомиоза в миометрии. Исследование проводили на микроскопе Olympus СХ31 (Olympus, Япония) при увеличении ×100, ×200, ×400.
Рис. 1. Выделение макропрепарата
Fig. 1. Isolation of the macropreparation
Рис. 2. Измерение длины матки
Fig. 2. Measuring of the length of the uterus
Рис. 3. Взвешивание макропрепарата
Fig. 3. Weighing of the macropreparation
Результаты и обсуждение
Переносимость перорального введения тамоксифена в ходе эксперимента была удовлетворительной, побочных эффектов не отмечено.
При создании модели аденомиоза с выведением крыс в разные дни постэмбрионального развития на основании результатов гистологического исследования в 1-й группе аденомиоз наблюдали у всех крыс (n = 6): у 2 — в P16, у 4 — в P30. Во 2-й группе аденомиоз также был диагностирован у всех животных (n = 8): у 6 — в P30, у 2 — в P90. В 3-й группе аденомиоз был подтвержден у 6 из 7 животных (85,7 %), при этом 4 крысы были выведены из эксперимента в P30, 3 — в P90. Аденомиоз не выявлен лишь у одной крысы, выведенной из эксперимента в P30.
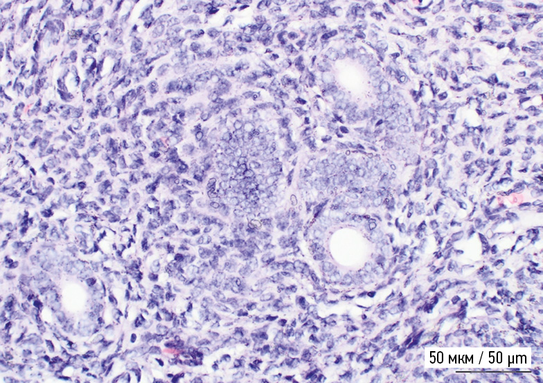
Таким образом, у 20 из 21 крысы гистологически верифицирован аденомиоз, что составило 95,2 % (рис. 4). По результатам морфологического исследования в мышечном слое визуализированы железы эндометрия, миометрий представлен переплетенными утолщенными полосами гладкомышечных клеток, перемежающимися со слоями коллагена.
Рис. 4. Гистологический препарат миометрия крысы. Железы аденомиоза в миометрии. Увеличение ×400
Fig. 4. Histological preparation of the rat myometrium. Adenomyosis glands in the myometrium. Zoom ×400
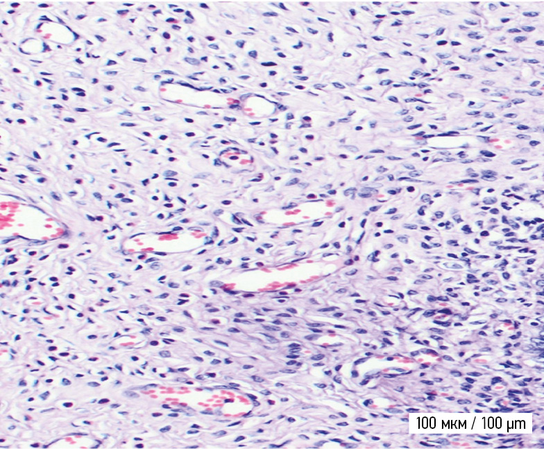
В контрольной группе животных (n = 5), выведенных в 90-й день постэмбрионального развития на основании результатов морфологического исследования визуализированы регулярные концентрические слои гладкомышечных клеток, отсутствие желез и стромы эндометрия в миометрии (рис. 5). Таким образом, в P90 у животных, получавших тамоксифен (n = 5), аденомиоз развивался в 100 % случаев, что отличалось от показателя в группе контроля (p = 0,0079). Морфологически аденомиоз характеризовало наличие желез эндометрия в миометрии, в отдельных случаях с небольшим количеством стромы эндометрия. Другой особенностью было нарушение концентрических и продольных полос гладких мышц миометрия: вместо регулярных концентрических слоев гладкомышечных клеток обнаружены переплетенные утолщенные полосы гладкомышечных клеток, перемежающиеся со слоями коллагена. Во многих из этих измененных зон наблюдали полиморфно-ядерные лейкоциты и эозинофилы, отсутствующие у животных контрольной группы.
Рис. 5. Гистологический препарат миометрия крысы из контрольной группы. Гладкомышечная ткань миометрия, отсутствие желез аденомиоза. Увеличение ×200
Fig. 5. Histological preparation of the rat myometrium from the control group. Smooth muscle tissue of the myometrium, absence of adenomyosis glands. Zoom ×200
В связи с тем, что в группе с индуцированным тамоксифеном аденомиозом в 30-й день жизни количество животных с развившимся заболеванием составило 92,85 %, что статистически значимо не отличалось от доли животных с аденомиозом, выведенных из эксперимента в 90-й день постэмбрионального развития (100 %), целесообразно проводить исследование с выводом грызунов из эксперимента в 30-й день жизни с учетом экономической составляющей опыта. Несмотря на то что статистически значимых отличий по относительному количеству животных с развившимся аденомиозом в P16 и P30 не выявлено (p > 0,05), небольшая выборка исследований, проведенных в P16, не позволяет рекомендовать выведение животных из эксперимента в этот день. На описанный способ создания модели аденомиоза получен патент [15].
Заключение
Создание высоковоспроизводимой модели аденомиоза на крысах линии Wistar целесообразно проводить со 2-го по 5-й день постэмбрионального развития, выводить животных из эксперимента — в 30-й день жизни, когда выраженность заболевания достаточна и подтверждена морфологически. Представленное исследование по авторской методике характеризуют меньшие экономические затраты (однократное введение тамоксифена) и отсутствие необходимости длительного содержания животных. Создание описанной модели аденомиоза будет основой для дальнейших исследований по лечению заболевания с применением различных схем, способов, доз альтернативных методов терапии.
Дополнительная информация
Вклад авторов. М.А. Шалина — сбор данных, обзор литературы, проведение исследования, написание черновика рукописи; М.И. Ярмолинская — разработка концепции, пересмотр и редактирование рукописи. Все авторы одобрили рукопись (версию для публикации), а также согласились нести ответственность за все аспекты работы, гарантируя надлежащее рассмотрение и решение вопросов, связанных с точностью и добросовестностью любой ее части.
Этический комитет. Проведение исследования одобрено локальным этическим комитетом НИИ АГиР им. Д.О. Отта (№ 114 oт 14.12.2021). Все участники исследования добровольно подписали форму информированного согласия до включения в исследование.
Источники финансирования. Работа выполнена в рамках фундаментального научного исследования № 1024032800068-4-3.2.2 «Разработка лечебных стратегий, направленных на активное долголетие женщин».
Раскрытие интересов. Авторы заявляют об отсутствии отношений, деятельности и интересов за последние три года, связанных с третьими лицами (коммерческими и некоммерческими), интересы которых могут быть затронуты содержанием статьи.
Оригинальность. При создании настоящей работы авторы не использовали ранее опубликованные сведения (текст, иллюстрации, данные).
Доступ к данным. Все данные, полученные в настоящем исследовании, доступны в статье.
Генеративный искусственный интеллект. При создании настоящей статьи технологии генеративного искусственного интеллекта не использовали.
Рассмотрение и рецензирование. Настоящая работа подана в журнал в инициативном порядке и рассмотрена по обычной процедуре. В рецензировании участвовали два внешних рецензента, член редакционной коллегии и научный редактор издания.
Additional information
Author contributions. M.A. Shalina, data collection, literature review, investigation, original draft preparation; M.I. Yarmolinskaya, conceptualization, review & editing. All authors approved the manuscript (the version to be published) and agreed to be responsible for all aspects of the work, ensuring proper consideration and resolution of issues related to the accuracy and integrity of any part thereof.
Ethics approval. The present study was approved by the local Ethics Committee of the Research Institute of Obstetrics, Gynecology and Reproductology named after D.O. Ott (No. 114 dated 14.12.2021). All study participants voluntarily signed an informed consent form before inclusion in the study.
Funding sources. The work was carried out as part of fundamental scientific research No. 1024032800068-4-3.2.2 “Development of treatment strategies aimed at active longevity of women.”
Disclosure of interests. The authors have no relationships, activities or interests for the last three years related with for-profit or not-for-profit third parties whose interests may be affected by the content of the article.
Statement of originality. In creating this work, the authors did not use previously published information (text, illustrations, data).
Data availability statement. All the data obtained in this study is available in the article.
Generative AI. Generative AI technologies were not used for this article creation.
Provenance and peer-review. This work was submitted to the journal on an unsolicited basis and reviewed according to the usual procedure. Two external reviewers, a member of the editorial board, and the scientific editor of the publication participated in the review.
1 Лекарственное средство не зарегистрировано в Российской Федерации.
About the authors
Maria A. Shalina
The Research Institute of Obstetrics, Gynecology and Reproductology named after D.O. Ott
Author for correspondence.
Email: amarus@inbox.ru
ORCID iD: 0000-0002-5921-3217
SPIN-code: 6673-2660
MD, Cand. Sci. (Medicine)
Russian Federation, Saint PetersburgMaria I. Yarmolinskaya
The Research Institute of Obstetrics, Gynecology and Reproductology named after D.O. Ott
Email: m.yarmolinskaya@gmail.com
ORCID iD: 0000-0002-6551-4147
SPIN-code: 3686-3605
MD, Dr. Sci. (Medicine), Professor, Professor of the Russian Academy of Sciences, Honored Scientist of the Russian Federation
Russian Federation, Saint PetersburgReferences
- Hodler J, Kubik-Huch RA, von Schulthess GK, editors. Diseases of the abdomen and pelvis 2018–2021: diagnostic imaging – IDKD Book. Cham: Springer; 2018.
- Russian Society of Obstetricians and Gynecologists. Endometriosis. Clinical Guidelines. Moscow: Ministry of Health of the Russian Federation; 2020. [cited 2024 Oct 12] Available from: http://perinatcentr.ru/files/kr10.pdf
- Russian Society of Obstetricians and Gynecologists. Endometriosis. Clinical Guidelines. Moscow: Ministry of Health of the Russian Federation, 2024. [cited 2024 Oct 12] Available from: https://diseases.medelement.com/disease/эндометиоз-кп-рф-2024/18199
- Molotkov AS, Yarmolinskaya MI, Tsypurdeeva AA, et al. Modern approaches to performing organ-preserving operations in adenomyosis. Journal of Obstetrics and Women’s Diseases. 2023;72(3):95–103. EDN: VXWXQB doi: 10.17816/JOWD339433
- Osada H, Silber S, Kakinuma T, et al. Surgical procedure to conserve the uterus for future pregnancy in patients suffering from massive adenomyosis. Reprod Biomed Online. 2011;22(1):94–99. doi: 10.1016/j.rbmo.2010.09.014
- Kishi Y, Yabuta M, Taniguchi F. Who will benefit from uterus-sparing surgery in adenomyosis-associated subfertility? Fertil Steril. 2014;102(3):802–807.e1. doi: 10.1016/j.fertnstert.2014.05.028
- Sizzi O, Rossetti A, Malzoni M, et al. Italian multicenter study on complications of laparoscopic myomectomy. J Minim Invasive Gynecol. 2007;14(4):453–462. doi: 10.1016/j.jmig.2007.01.013
- Vannuccini S, Luisi S, Tosti C, et al. Role of medical therapy in the management of uterine adenomyosis. Fertil Steril. 2018;109(3):398–405. EDN: YGYSUP doi: 10.1016/j.fertnstert.2018.01.013
- Stratopoulou CA, Donnez J, Dolmans MM. Conservative management of uterine adenomyosis: medical vs. surgical approach. J Clin Med. 2021;10(21):4878. EDN: EWJBKQ doi: 10.3390/jcm10214878
- Dason ES, Maxim M, Sanders A, et al. Guideline No. 437: diagnosis and management of adenomyosis. J Obstet Gynaecol Can. 2023;45(6):417–429.e1. doi: 10.1016/j.jogc.2023.04.008
- Mehasseb MK, Bell SC, Habiba MA. The effects of tamoxifen and estradiol on myometrial differentiation and organization during early uterine development in the CD1 mouse. Reproduction. 2009;138(2):341–350. doi: 10.1530/REP-09-0054
- Parrott E, Butterworth M, Green A, et al. Adenomyosis – a result of disordered stromal differentiation. Am J Pathol. 2001;159(2):623–630. doi: 10.1016/S0002-9440(10)61733-6
- Mourits MJ, van der Zee AG, Willemse PH, et al. Tamoxifen en gynaecologische bijwerkingen [The effects of tamoxifen on the female genital tract]. Ned Tijdschr Geneeskd. 2003;147(47):2315–2320.
- Shalina MA, Yarmolinskaya MI, Netreba EA, et al. Psycho-emotional status in patients with endometriosis-associated pain syndrome in various disease phenotypes. Journal of Obstetrics and Women’s Diseases. 2023;72(3):53–64. EDN: XZRCQA doi: 10.17816/JOWD346683
- Patent RUS N 2761754/ 13.12.2021. Yarmolinskaya MI, Shalina MA, Netreba EA, et al Method for creating an experimental model of adenomiosis in wistar rats. [cited 2024 Oct 12] Available from: https://patents.s3.yandex.net/RU2761754C1_20211213.pdf. EDN: UHZZVY
Supplementary files








