Modern possibilities of prevention and diagnosis of adhesive disease in patients after caesarian section
- Authors: Mozgovaya E.V.1, Chuprun U.M.1, Kopteeva E.V.1, Prokhorova V.S.1, Bespalova O.N.1, Kholmatova S.S.1
-
Affiliations:
- The Research Institute of Obstetrics, Gynecology and Reproductology named after D.O. Ott
- Issue: Vol 74, No 4 (2025)
- Pages: 76-85
- Section: Reviews
- Submitted: 30.06.2025
- Accepted: 11.07.2025
- Published: 28.08.2025
- URL: https://journals.eco-vector.com/jowd/article/view/686441
- DOI: https://doi.org/10.17816/JOWD686441
- EDN: https://elibrary.ru/XWYCAS
- ID: 686441
Cite item
Abstract
This article discusses the relevance of adhesive disease after caesarian section due to the increase in the frequency of repeated operative delivery and the increasing risk of complications during both pregnancy and surgery.
The modern understanding of the pathogenesis of the adhesive process is highlighted in the article. It has been shown that in response to a peritoneal injury, a local inflammatory process is activated and local activation of the coagulation system occurs. In this case, the first few days of the postoperative period are extremely important, as mature fibrous adhesions are subsequently formed, and adhesion formation becomes irreversible.
The effectiveness of surgical, physiotherapeutic and drug-induced methods of treatment and prevention of the adhesion process is evaluated, and their insufficient effectiveness is shown. It is noted that the creation of a barrier between the contacting surfaces in the abdominal cavity is the optimal method for preventing spike formation. The methods of creating an anti-adhesion barrier proposed to date are considered.
The possibilities of non-invasive diagnostics of adhesive disease using ultrasound are shown, with the main ultrasound signs of abdominal adhesions considered. Preoperative ultrasound allows for assessing the risks of repeated surgical intervention and correctly determining the patient’s routing for delivery.
Full Text
Введение
В настоящее время частота операций кесарева сечения (КС) в Российской Федерации достигает 30% без тенденции к снижению [1]. В перинатальных центрах частота КС может достигать 36,5% и более, что обусловлено концентрацией сложных акушерских случаев в этих учреждениях [2].
На долю первородящих женщин, по данным исследований, приходится более 60% оперативных родоразрешений [3]. Такое увеличение частоты КС создает определенные проблемы при последующих операциях на органах брюшной полости и малого таза в условиях сформированного спаечного процесса в брюшной полости и измененной топографии органов малого таза [4]. По данным многих авторов, приблизительно у 60% женщин развивается спаечная болезнь после первого КС, особенно у пациенток с эндометриозом и воспалительными заболеваниями органов малого таза в анамнезе. Дополнительными факторами развития адгезивного процесса являются ожирение, преждевременный разрыв плодных оболочек, многоводие и маловодие. У пациенток с двумя КС и более в анамнезе спаечный процесс наблюдают в 90% случаев, а с тремя и четырьмя КС в анамнезе — в 100%. Таким образом, все авторы отмечают возрастание частоты адгезивного пельвиоперитонита при увеличении количества повторных КС, что определяет актуальность активного поиска методов барьеризации процесса спайкообразования [5–7].
Послеоперационные спайки резко снижают качество жизни пациенток и приводят к хроническим тазовым болям, бесплодию, обусловленному трубно-перитонеальным фактором, диспареунии, а также возможным аномалиям прикрепления плаценты в последующие беременности [8].
Показано, что наличие адгезивного пельвиопертонита достоверно увеличивает длительность извлечения ребенка и продолжительность операции в целом [6]. Повторные операции через тот же хирургический доступ могут быть чрезвычайно сложными, рискованными и потенциально опасными, при этом необходимость адгезиолизиса увеличивает длительность операции, наркоза и последующей реконвалесценции, приводя к дополнительным рискам для пациентки: кровопотере, повреждению внутренних органов, формированию свищей, изменениям системы гемостаза, а также потребности применения дополнительных методов обследования и интенсивного лечения в послеоперационном периоде [9–11].
Патогенез спаечной болезни
Ключевым моментом в формировании спаек признано нарушение процессов фибринолиза. На первом этапе ему предшествует активация ангиогенеза в подлежащем мезотелию брюшины слое клеток как реакция на локальную гипоксию тканей. Тогда формируется ангиогенный, пролиферативный и иннервационный стресс, увеличиваются прооксидантная активность, повышается активность фибробластов [12].
Сложный и многоэтапный процесс спайкообразования включает воспалительные реакции, репаративные процессы и фиброгенез. Первоначальным триггером каскада патологических изменений является травма брюшины. В ответ на повреждение развивается острый воспалительный ответ, характеризующийся хемотаксисом нейтрофилов: поврежденные ткани высвобождают хемоаттрактанты, индуцирующие миграцию нейтрофилов в очаг воспаления. Нейтрофилы играют ключевую роль в элиминации поврежденных клеток и потенциальных патогенов [13].
Происходит высвобождение медиаторов воспаления и цитокинов: активированные клетки, включая нейтрофилы и резидентные клетки брюшины, продуцируют широкий спектр провоспалительных медиаторов (например, гистамин, простагландины) и цитокинов (например, интерлейкин-1, фактор некроза опухоли альфа). Эти молекулы усиливают воспалительную реакцию, повышают проницаемость сосудов и способствуют экссудации плазмы крови и фибриногена в брюшную полость. Одновременно с этим мезотелиальные клетки, выстилающие брюшную полость, активируются под воздействием медиаторов воспаления. Активированные мезотелиальные клетки теряют свои антиадгезивные свойства и начинают экспрессировать молекулы адгезии [14].
В течение первых трех дней после оперативного вмешательства формируется экссудат, богатый фибрином: повышенная проницаемость сосудов приводит к выходу плазмы крови, содержащей фибриноген, в брюшную полость. В очаге повреждения фибриноген под действием тромбина превращается в фибрин, образуя временный фибриновый матрикс. Этот матрикс способствует адгезии между поврежденными серозными поверхностями. Чрезмерное отложение фибрина связано с двумя аспектами: его избыточное образование и недостаточный фибринолиз. Следовательно, дисбаланс между образованием и деградацией фибрина индуцирует спаечный процесс [14]. Фибрин образуется во время гемостаза и острого воспаления в результате активации каскада коагуляции. То есть фибриноген, проникающий из кровеносных сосудов или вытекающий из них, будет преобразован в нерастворимые мономеры фибрина под действием тромбина. Эти фибриновые мономеры затем взаимодействуют друг с другом и полимеризуются, образуя фибриновый тяж [15].
Параллельно с воспалительным процессом запускаются механизмы репарации и регенерации мезотелия для восстановления целостности серозного покрова, что препятствует дальнейшему фиброзированию. При репаративной регенерации мезотелия неповрежденные мезотелиальные клетки мигрируют и пролиферируют, стремясь покрыть дефекты брюшины. На данном этапе важна роль тканевого активатора плазмина и ингибитора активатора плазминогена (PAI): трансформирующий фактор роста бета (TGF-β) стимулирует пролиферацию фибробластов и синтез компонентов внеклеточного матрикса (ВКМ), включая коллаген, а PAI ингибируют плазмин — фермент, ответственный за деградацию фибрина, что способствует сохранению фибринового матрикса [15].
Поздняя фаза включает организацию фибринового пластикса и рост фибробластов (через 4–8 нед. и более после начала спайкообразования): если регенерация мезотелия оказывается неполной или фибриновый матрикс сохраняется длительное время, запускается процесс его организации и фиброгенеза. Рост фибробластов и продукция коллагена происходит в течение 4–10 дней. В брюшную полость мигрируют фибробласты. Они начинают активно пролиферировать и синтезировать компоненты ВКМ, в первую очередь коллаген. В результате происходит организация фибринового пластикса: фибрин, оставшийся в брюшной полости, становится временным каркасом для миграции и пролиферации фибробластов, инфильтрирующих фибриновый матрикс и синтезирующих коллагеновые волокна, постепенно замещающие фибрин [16].
В результате избыточного отложения коллагена формируются зрелые фиброзные спайки, представляющие собой патологические сращения между различными органами брюшной полости или между органами и париетальной брюшиной. Зрелые спайки могут содержать нервные волокна и кровеносные сосуды, что способно стать причиной болевого синдрома и дальнейшего развития спаечного процесса [15, 16].
Методы борьбы со спайкообразованием
Хирургическое лечение спаек при лапаротомии практически у каждого второго больного приводит к рецидиву болезни, увеличивая выраженность и распространенность адгезиогенеза брюшины [17]. Более современным хирургическим методом является лапароскопический адгезиолизис, однако данный метод также сопряжен с рядом сложностей и потенциальных опасностей [18]. Именно поэтому главным направлением борьбы с адгезивным процессом является его профилактика, в первую очередь соблюдение правил хирургической техники: бережное обращение с тканями, тщательный гемостаз, профилактика внутрибрюшной инфекции [18]. В соответствии с патофизиологией развития спаек минимизация повреждения клеток или кровеносных сосудов в рабочей зоне с помощью минимально инвазивной хирургии, адекватное удаление остаточных инородных тел, таких как остатки шовного материала, сгустки крови, нитки марлевых тампонов, а также достаточная остановка кровотечения и снижение воспаления могут свести к минимуму возникновение спаек.
Лизис спаек возможен под действием физиотерапии, десенсибилизирующих средств, ферментных препаратов, а также био- и иммуностимуляторов различного происхождения за счет снижения выработки тромбоксана, повышения фибринолитической активности, увеличения секреции простациклина, стимуляции выработки релаксирующего фактора эндотелия и др. [19]. В качестве медикаментозной терапии испробованы как местные, так и системные противовоспалительные средства, фибринолитики и антибактериальные препараты. Помимо этого, вводили коллоидные (декстраны) и кристаллоидные (Рингера-лактата или физиологический) растворы как в виде монотерапии, так и в комбинации с глюкокортикоидами или гепарином с целью разделения серозных поверхностей. Изучали влияние агонистов гонадотропин-рилизинг-гормона, активатора плазминогена тканевого типа, N,O-карбоксиметилхитозана, нокситиолина и прометазина на предотвращение спаек. Тем не менее ни одно клиническое испытание не подтвердило существенного превосходства этих веществ в отношении снижения спайкообразования [20–21]. Так, Н.М. Лысяков в исследовании доказал, что подкожное однократное введение гепарина недостаточно быстро влияет на предупреждение развития спаек в брюшной полости в силу замедленного накопления препарата в патологическом очаге [22].
Противовоспалительная терапия (глюкокортикоидами, нестероидными противовоспалительными препаратами, антигистаминными средствами) не продемонстрировала значимого эффекта в профилактике образования спаек. Среди медикаментозных препаратов в снижении вероятности образования спаечного процесса нашли применение агонисты гонадотропин-рилизинг-гормона, особенно у пациенток с эндометриозом. Эти препараты, подавляя эстроген-зависимые модуляторы и факторы роста, ингибиторы активации плазминогена, уровень продуктов деградации фибрина и снижая выработку факторов воспаления, уменьшают риск спайкообразования [23].
Современные методы позволяют вмешиваться в патогенез спайкообразования с помощью различных биоматериалов для создания противоспаечных барьеров. Физические барьеры используют для предотвращения взаимосвязи соседних избыточно пролиферативных тканей. Данные средства должны быть идеально биосовместимыми и биоразлагаемыми во избежание запуска или обострения процессов воспаления и иммунного ответа. Концентрация препарата в области операционного вмешательства должна быть достаточно длительной, чтобы он воздействовал на все этапы патогенеза образования сращений. Удовлетворительная сила адгезии и специальные механические свойства для «закрепления» в месте введения препарата позволят реализовать его фармакологическое действие. Стерильность необходима для предотвращения повторного воспаления [24].
Противоспаечные барьеры являются наиболее фундаментальными и широко применяемыми во всем мире. Суть их действия заключается в создании временного механического разделения между поврежденными или предрасположенными к сращению поверхностями тканей. Барьер физически препятствует образованию фибриновых мостов (первичной матрицы для спаек) и миграции клеток (фибробластов, мезотелиальных клеток, воспалительных клеток) между соседними областями, что критически важно в течение первых 3–7 дней после травмы, пока происходит регенерация мезотелия [25]. Барьеры изготавливают из биоразлагаемых полимеров, таких как окисленная регенерированная целлюлоза (adhesions barrier), полилактид, полигликолид, поликапролактон, или на основе природных полимеров (например, хитозана, коллагена, гиалуроновой кислоты). Материалы могут быть пористыми или непористыми, но должны быть достаточно прочными, чтобы выдерживать механические нагрузки. Преимуществами данных биоматериалов являются биоразлагаемость (с контролируемой скоростью), биосовместимость, отсутствие иммуногенности, достаточная механическая прочность и гибкость, а также простота в применении [26].
На сегодняшний день наиболее предпочтительными противоспаечными барьерами являются гидрогели (наносимые или инъекционные). Они представляют собой трехмерные полимерные сети, способные поглощать большое количество воды, создавая мягкий, эластичный барьер. Они могут быть нанесены в виде раствора, полимеризируемого in situ под воздействием света, температуры или химических агентов. Их высокая гидратация также способствует снижению адгезии. Гели и вязкие растворы наносят на поврежденную область, образуя тем самым временное покрытие.
Представляет научный и практический интерес концепция двухслойного гидрогелевого барьера, предназначенного для предотвращения нежелательных тканевых сращений и включающего внутренний (адгезивный) и внешний (антиадгезивный) компоненты. Внутренний слой (PT) формируется за счет компаундирования полиэтиленимина и тиоктовой кислоты. Этот композит обеспечивает улучшенную адгезию к влажным биологическим тканям в условиях in vivo. Внешний слой (HP) конструируется посредством реакции конъюгации, включающей термочувствительную цвиттер-ионную гиалуроновую кислоту, фенилбороновую кислоту, а также комплекс эпигаллокатехин галлата с поливиниловым спиртом. Эта структура стабилизируется посредством динамических бороноэфирных связей. Функциональность слоя HP заключается в обеспечении высокой биосовместимости, снижении адсорбции белков на его поверхности и проявлении противовоспалительных свойств. Кроме того, внешний слой способствует повышению общей механической стабильности барьерной системы [27].
С целью создания идеальной поверхности для снижения адгезии и осаждения фибрина и клеток разработаны материалы, минимизирующие неспецифическое взаимодействие с биологической средой на молекулярном и клеточном уровнях. Это предотвращает адсорбцию белков плазмы крови (включая фибриноген — предшественник фибрина) и последующее прикрепление клеток (фибробластов, макрофагов, тромбоцитов) — ключевых участников спайкообразования. Для создания таких биологических средств используют различные материалы: покрытие полиэтиленгликолем является «золотым стандартом» для формирования неадгезивных поверхностей. Его гидрофильность и гибкость образуют водную оболочку, физически препятствующую адсорбции белков и прикреплению клеток. Кроме того, используют цвиттерионные полимеры. Они содержат равное количество положительных и отрицательных зарядов, что приводит к формированию плотного гидратационного слоя, эффективно отталкивающего белки и клетки. Полисахариды (например, гиалуроновая кислота, хитозан) могут создавать гидрофильные барьеры, снижающие адгезию. Принципом действия выбранной стратегии является создание гидрофильной, электронейтральной и/или стерически отталкивающей поверхности, минимизирующей неспецифическое взаимодействие с белками плазмы крови (включая фибрин), что, в свою очередь, предотвращает их осаждение и последующую адгезию клеток. Высокая гидрофильность, электронейтральность, низкая поверхностная энергия, отсутствие специфических рецепторных сайтов для адгезионных молекул являются преимуществами описанных противоспаечных средств [28, 29].
Существуют также биоматериалы со способностью предотвращать чрезмерное отложение фибрина, тормозить активацию факторов свертывания и образования фибриновых сгустков с макрофагами. Предложенный метод направлен на активное вмешательство в начальные этапы формирования спаек, а именно в процесс коагуляции и последующую трансформацию фибринового сгустка под влиянием макрофагов, чтобы предотвратить образование стабильного фибринового матрикса — каркаса для фиброза. Принцип действия метода заключается во включении в процесс антикоагулянтов. Биоматериалы могут быть носителями антикоагулянтов (например, гепарина, ингибирующего факторы свертывания крови), медленно высвобождаемых, что предотвращает полимеризацию фибриногена в фибрин. Активация фибринолитических агентов означает иммобилизацию или контролируемое высвобождение ферментов (например, тканевого активатора плазминогена, урокиназы), активно расщепляющих уже образовавшиеся фибриновые сгустки. Модуляция активности макрофагов, то есть воздействие на их поляризацию, способствует их переходу в менее провоспалительный и профибротический фенотип (например, в M2 из M1) за счет химического состава материала или включения иммуномодулирующих молекул. Ключевыми свойствами данных средств являются контролируемое высвобождение активных агентов, иммуномодулирующие свойства, способность препятствовать адсорбции прокоагулянтных белков [30].
В контексте предотвращения спаечного процесса рассматривают также адъювантные агенты, функционирующие либо путем ингибирования патогенетических каскадов адгезиогенеза, либо посредством потенцирования эндогенных механизмов, препятствующих формированию таких каскадов. Исторически сложилось, что исследования, сфокусированные на роли фибрина в образовании спаек, включали изучение таких фибринолитических соединений, как фибринолизин, пепсин, трипсин и плазмин [31]. Эти вещества способствуют активации фибринолиза или непосредственно воздействуют на фибриновые коагулюмы. В настоящее время активное внимание уделяют исследованию таких агентов, как тканевой активатор плазминогена, ингибитор активатора плазминогена-1 (PAI-1) и стрептокиназа. Тем не менее их клиническая эффективность зачастую ограничена, и отмечен риск нежелательных явлений, в частности геморрагических осложнений [32].
Альтернативный подход к профилактике спаек заключается в модуляции локального воспалительного ответа. Примечательно, что гиалуроновая кислота, преимущественно классифицируемая как механический барьер, также демонстрирует фибринолитические свойства и проявляет выраженное противовоспалительное действие [32, 33].
Продолжаются исследования возможности применения биологических средств, предотвращающих чрезмерное отложение и васкуляризацию ВКМ при повреждении сосудистого компонента. В контексте сосудистого повреждения (например, после операции на сосудах, имплантации стентов) чрезмерное ремоделирование ВКМ (неоинтимальная гиперплазия, фиброз) и патологическая васкуляризация (неоваскуляризация) могут приводить к стенозу или образованию спаек. Стратегия направлена на специфический контроль этих процессов. Механизм действия можно представить в виде каскада событий. В него входят:
- высвобождение антипролиферативных и антифибротических агентов — включение в покрытие стентов или сосудистых графтов лекарственных средств (например, сиролимуса, паклитаксела), ингибирующих пролиферацию гладкомышечных клеток и фибробластов, а также синтез ВКМ;
- высвобождение антиангиогенных факторов — запуск агентов, подавляющих рост новых кровеносных сосудов (например, ингибиторов фактора роста эндотелия сосудов), если чрезмерная васкуляризация нежелательна;
- создание покрытий, имитирующих естественные сосудистые поверхности, препятствующие адгезии клеток, вызывающих гиперплазию, и ремодулирующие ВКМ;
- подбор материала, соответствующего по механическим свойствам (жесткости и эластичности) нативным тканям, для снижения механического стресса, способствующего ремоделированию.
Достоинства данных биологических средств: управляемая биоразлагаемость, специфическое взаимодействие с сосудистыми клетками и возможность контролировать высвобождение лекарственных препаратов [34].
В исследованиях в области микрососудистой тканевой инженерии активно используют природные гидрогелевые материалы, поскольку они эффективно воспроизводят микросреду ВКМ, критически важную для регуляции формирования сосудов, развития патологий и инволюционных изменений. Рациональный дизайн гидрогелевых матриц, предусматривающий включение определенных сигнальных молекул, позволяет получить существенные сведения о молекулярных основах морфогенеза, гомеостаза и тканевого ремоделирования. В частности, коллаген и фибрин — природные полимеры, формирующие гидрогели, — нашли широкое применение в микрососудистой тканевой инженерии благодаря их высокой биосовместимости, способности поддерживать клеточную адгезию и адаптируемым механическим свойствам, включая жесткость при растяжении и сжатии [35].
Обсуждают также возможность воплощения концепции эффективного предотвращения ремоделирования ВКМ, то есть патологических изменений в составе и структуре ВКМ, лежащих в основе фиброза, рубцевания и спайкообразования. Одной из важнейших задач является поддержание здорового баланса между синтезом и деградацией ВКМ, а не только предотвращение его первичного отложения. Баланс можно реализовать через:
- активацию ингибиторов фиброза посредством высвобождения молекул, блокирующих ключевые сигнальные пути, приводящие к фиброзу (например, ингибиторы TGF-β);
- создание материалов, позволяющих контролировать активность матриксных металлопротеиназ и их тканевых ингибиторов.
Для регулирования механического микроокружения проектируют биоматериалы с определенными жесткостью и топографией. Они влияют на механические сигналы, получаемые фибробластами, и, следовательно, на их фиброгенную активность и воспроизводство клеточного фенотипа. Это поверхности, способствующие возвращению фибробластов из активированного (миофибробластного) состояния в более спокойное (нефиброгенное). Достоинства данного метода: биоактивность, способность взаимодействовать с клеточными сигнальными путями, контролируемая деградация для динамического взаимодействия с ВКМ [36].
В рамках исследования J. Zindel и соавт. установлено, что применение низкомолекулярного ингибитора гефитиниба эффективно снижает выраженность перитонеальных спаек на мышиной модели. Данный эффект ассоциирован с ингибированием сигнализации рецептора эпидермального фактора роста, играющего центральную роль в трансформации мезотелиальных клеток в миофибробласты — критическом процессе для развития послеоперационных перитонеальных спаек, особенно возникающих на фоне внутрибрюшинной микробной контаминации [37].
Перспективно объединение нескольких стратегий. Поскольку спайкообразование является сложным многоступенчатым процессом, наиболее эффективные современные биоматериалы часто сочетают несколько характеристик из вышеперечисленных стратегий. Данная комбинация позволяет воздействовать на различные звенья патогенеза одновременно, обеспечивая синергетический эффект и повышая эффективность профилактики. Для ее реализации разрабатывают барьеры с различными слоями. Каждый слой выполняет свою функцию (например, внутренний слой в двухслойном гидрогеле — адгезивный, внешний — антиадгезивный). Такие барьеры сочетают различные компоненты в одной матрице (например, гидрогель с иммобилизованными антикоагулянтами и противовоспалительными агентами), являясь конгломератом неадгезивных покрытий (полиэтиленгликоля, цвиттерионов) с контролируемым высвобождением лекарственных средств. Эти биоматериалы могут изменять свойства (например, высвобождать агенты, изменять жесткость) в ответ на стимулы из микросреды (например, pH, температуру, ферменты), комплексно влияют на патогенез спаек, адаптивность, обладают пролонгированным действием и, безусловно, повышенной эффективностью [38, 39].
X. Zhao и соавт. синтезировали супрамолекулярный гидрогель PNAGA-PHPMA, полученный путем сополимеризации высокогидрофильного N-(2-гидроксипропил)метакриламида(HPMA) и N-акрилоилглицинамида (NAGA). Полученный материал показал высокую ингибирующую активность в отношении послеоперационных абдоминальных спаек и их рецидивов после адгезиолизиса. Примечательно, что его функциональность обусловлена двойным действием: как физического барьера с превосходными антиадгезивными свойствами и как биохимически активного агента [40].
Одним из наиболее доступных комплексных биологических средств в клинической практике является комбинированный противоспаечный гель, содержащий гиалуроновую кислоту и карбоксиметилцеллюлозу. Гиалуроновая кислота — естественный компонент ВКМ, обладающий увлажняющим, регенерирующим и противовоспалительным действием. Она полностью расщепляется в организме в течение 4 сут с помощью фермента гиалуронидазы [34]. Гиалуроновая кислота связывается со своими рецепторами CD44 на поверхности стромальных и эпителиальных клеток париетальной брюшины и эндометрия. CD44 участвует в межклеточных взаимодействиях, клеточной адгезии и миграции, а также ингибирует активность TGF-β1 — основного стимулятора фиброза. Таким образом, гиалуроновая кислота создает барьерный «смазывающий» эффект, подавляет адгезию фибробластов и тромбоцитов, снижает активность макрофагов, ингибирует образование фибрина. Карбоксиметилцеллюлоза представляет собой высокомолекулярный анионный полисахарид, демонстрирующий выраженные антиадгезивные свойства. Благодаря биосовместимости, отсутствию токсичности и канцерогенному потенциалу она проявляет следующие фармакологические эффекты в контексте предотвращения спаечного процесса: формирует механический барьер, препятствующий адгезии серозных поверхностей посредством образования защитной гидрофильной пленки, а также играет роль матрицы для иммобилизации и пролонгированного высвобождения гиалуроновой кислоты, потенцируя ее антиадгезивное действие [19, 34]. Механизм действия данного геля можно представить как разделение соприкасающихся поверхностей только на период критической фазы раневого заживления и послеоперационного спайкообразования (примерно 7 дней). Гель прилипает, не растекаясь, к анатомическим поверхностям, образуя вязкое смазывающее покрытие и обеспечивая скольжение соседних поврежденных поверхностей, что предупреждает их слипание. Он не влияет на нормально протекающие процессы регенерации и после применения полностью рассасывается [41].
Диагностика спаечной болезни
Поскольку спайки в брюшной полости и малом тазу, сформировавшиеся после операции, являются потенциальным фактором риска при повторных оперативных вмешательствах, для акушера-гинеколога крайне важно осозновать степень выраженности адгезивного процесса перед планированием повторного КС. Это может влиять на маршрутизацию беременной для родоразрешения и выбор операционной бригады.
На сегодняшний день разработаны достаточно информативные признаки спаечной болезни, диагностируемые с помощью ультразвукового исследования (УЗИ). При ультразвуковой диагностике адгезивного процесса в брюшной полости и полости малого таза выделяют следующие ключевые эхографические критерии.
- Изменения в структуре брюшины и контурах органов: локальное утолщение париетальной брюшины и/или контура смежных органов, сопровождающееся повышением эхогенности (рис. 1, 2).
- Оценка подвижности органов и брюшины:
- положительная тракционная проба с отсутствием или значительным ограничением скольжения между париетальными и висцеральными листками брюшины;
- положительный симптом «возврата» при форсированном дыхании (указывает на фиксацию органов).
- Дополнительные критерии при трансвагинальном УЗИ:
- аномальное расположение органов малого таза, в частности изменение топографии яичника относительно прилежащих структур;
- визуализация фиброзных септ, а именно выявление гиперэхогенных линейных структур, формирующих аномальные связи между различными анатомическими образованиями в малом тазу, в нескольких плоскостях сканирования;
- обнаружение сером, представляющих собой гипо- или анэхогенные, неинкапсулированные, внеорганные жидкостные скопления, характеризующиеся неправильной полигональной формой и вариабельными размерами [42].
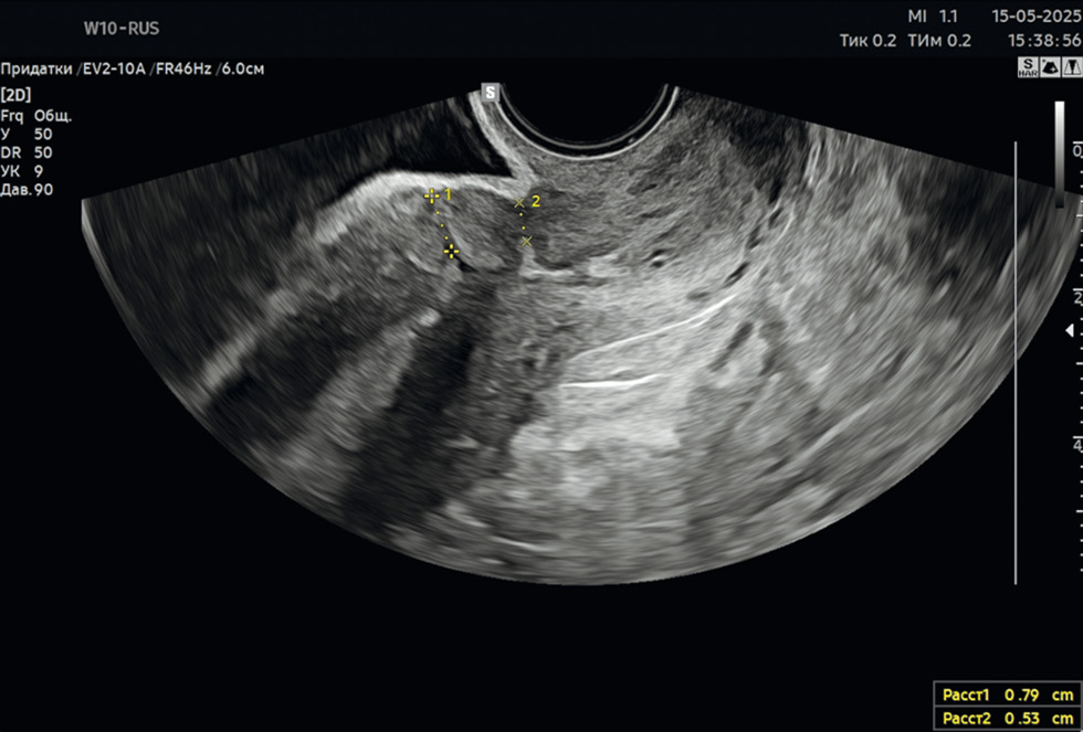
Рис. 1. Спаечный процесс в малом тазу. 2 мес. после операции кесарева сечения. Деформация стенки мочевого пузыря.
Fig. 1. Pelvic adhesions. 2 months after a caesarean section. Bladder wall deformation.
Рис. 2. Формирование ниши. 2 мес. после операции кесарева сечения.
Fig. 2. Uterine niche. 2 months after a caesarean section.
Объективными ультразвуковыми признаками адгезивного пельвиоперитонита считают отсутствие смещения матки при сильном вдохе, спаечный процесс в гипогастрии, фиксированные петли кишечника (отсутствие «скольжения») вследствие хронического аднексита [43].
При трансвагинальном УЗИ пациенток со спаечным процессом в малом тазу после операции кесарева сечения могут визуализироваться маточно-пузырное пространство, облитерированное плотной гиперэхогенной тканью, а также яичники, подпаянные к дугласову пространству. При трансабдоминальном УЗИ на поперечном срезе матки можно увидеть переднюю брюшную стенку, подпаянную к передней стенке матки. Если между маткой и передней брюшной стенкой расположена гиперэхогенная ткань, фиксируют спаечный процесс [44].
Кроме того, признаками спаечного процесса могут быть деформация стенок мочевого пузыря, формирование ниши в области послеоперационного рубца.
В сфере неинвазивной диагностики адгезивного процесса в настоящее время активно применяют также магнитно-резонансную томографию (МРТ) и компьютерную томографию (КТ), демонстрирующие высокую информативность. Однако эти методики в диагностике спаек гораздо менее востребованы, чем УЗИ. При этом МРТ, обладающая сопоставимыми возможностями по диагностике висцеро-париетальных сращений, позволяет выявлять и висцеро-висцеральные спайки, однако ее выполнение значительно превышает УЗИ по длительности и существенно зависит от уровня подготовки специалиста. КТ в нативном режиме не позволяет диагностировать спайки, однако методика перспективна для внедрения, так как на фоне искусственного пневмоперитонеума предоставляет данные, по диагностической ценности превосходящие результаты УЗИ и МРТ [45].
Заключение
Увеличивающаяся распространенность КС в мире влечет за собой рост частоты повторных оперативных родоразрешений, что приводит к прогрессивному увеличению частоты спаечного процесса у пациенток. Дополнительными предрасполагающими факторами развития послеоперационных спаек являюся сопутствующие гинекологические заболевания, в первую очередь эндометриоз, гинекологические оперативные вмешательства, воспалительные заболевания органов малого таза, ожирение, преждевременный разрыв плодных оболочек, многоводие и маловодие при беременности.
Адгезивный пельвеоперитонит приводит к дополнительным сложностям во время повторных операций: увеличиваются риски кровотечений, травм близлежащих органов, время наркоза и извлечения плода. Спаечный процесс приводит к ухудшению качества жизни пациенток, бесплодию, хроническому болевому синдрому.
Следовательно, на современном этапе необходимо развивать профилактику спаечной болезни. Данные о патогенезе адгезивного пельвиоперитонита позволяют своевременно, максимально безопасно, доступно и эффективно влиять на все этапы формирования спаек с помощью различных биологических средств и их комбинаций.
Неинвазивная диагностика спаечной болезни перед последующим КС позволит адекватно оценить риски планируемого оперативного вмешательства и правильно выбрать маршрутизацию пациентки для родоразрешения.
Дополнительная информация
Вклад авторов. Е.В. Мозговая — определение концепции, проведение исследования, написание черновика, пересмотр и редактирование рукописи; У.М. Чупрун, С.С. Холматова — проведение исследования, написание черновика рукописи; Е.В. Коптеева, В.С. Прохорова — разработка методологии; О.Н. Беспалова — администрирование проекта, руководство исследованием.
Этическая экспертиза. Не применимо.
Согласие на публикацию. Все пациенты подписывали добровольное информированное согласие, содержащее пункт о возможности публи-кации анонимизированных данных, включая диагностические изобра-жения, в научных целях.
Источники финансирования. Работа выполнена в рамках фундаментального научного исследования «Медико-биологические матрицы здорового материнства и антенатального программирования плода» (FGWN-2025-0005) по государственному заданию Министерства науки и высшего образования Российской Федерации.
Раскрытие интересов. Авторы заявляют об отсутствии отношений, деятельности и интересов за последние три года, связанных с третьими лицами (коммерческими и некоммерческими), интересы которых могут быть затронуты содержанием статьи.
Оригинальность. При создании настоящей работы авторы не использовали ранее опубликованные сведения (текст, иллюстрации, данные).
Доступ к данным. Все данные, полученные в настоящем исследовании, доступны в статье.
Генеративный искусственный интеллект. При создании настоящей статьи технологии генеративного искусственного интеллекта не использовали.
Рассмотрение и рецензирование. Настоящая работа подана в журнал в инициативном порядке и рассмотрена по обычной процедуре. В рецензировании участвовали два рецензента: внешний и внутренний.
Additional Information
Author contributions: E.V. Mozgovaya: conceptualization, investigation, writing—original draft, writing—review & editing; U.M. Chuprun, S.S. Kholmatova: investigation, writing—original draft; E.V. Kopteeva, V.S. Prokhorova: methodology; O.N. Bespalova: project administration, supervision. All authors approved the version of the manuscript to be published, and agreed to be accountable for all aspects of the work, ensuring that questions related to the accuracy or integrity of any part of it are appropriately reviewed and resolved.
Ethics approval: Not applicable.
Consent for publication: All patients signed a written informed consent form that included a clause on the possible publication of anonymized data, including diagnostic images, for scientific purposes.
Funding sources: This work was part of the fundamental scientific research project Medico-Biological Matrices of Healthy Motherhood and Fetal Programming (state registration No. FGWN-2025-0005) as per the state assignment from the Ministry of Science and Higher Education of the Russian Federation.
Disclosure of interests: The authors have no relationships, activities, or interests over the past three years related to for-profit or not-for-profit third parties whose interests may be affected by the content of the article.
Statement of originality: No previously published material (text, images, or data) was used in this work.
Data availability statement: All data generated during this study are available in this article.
Generative AI: No generative artificial intelligence technologies were used to prepare this article.
Provenance and peer-review: This paper was submitted unsolicited and reviewed following the standard procedure. The peer review process involved an external reviewer and an in-house reviewer.
About the authors
Elena V. Mozgovaya
The Research Institute of Obstetrics, Gynecology and Reproductology named after D.O. Ott
Author for correspondence.
Email: elmozg@mail.ru
ORCID iD: 0000-0002-6460-6816
SPIN-code: 5622-5674
MD, Dr. Sci. (Medicine), Professor
Russian Federation, Saint PetersburgUliana M. Chuprun
The Research Institute of Obstetrics, Gynecology and Reproductology named after D.O. Ott
Email: ul_chuprun@mail.ru
ORCID iD: 0009-0009-4987-6840
MD
Russian Federation, Saint PetersburgEkaterina V. Kopteeva
The Research Institute of Obstetrics, Gynecology and Reproductology named after D.O. Ott
Email: ekaterina_kopteeva@bk.ru
ORCID iD: 0000-0002-9328-8909
SPIN-code: 9421-6407
MD, Cand. Sci. (Medicine)
Russian Federation, Saint PetersburgVictoria S. Prokhorova
The Research Institute of Obstetrics, Gynecology and Reproductology named after D.O. Ott
Email: viprokhorova@yandex.ru
SPIN-code: 2450-7154
MD, Cand. Sci. (Medicine)
Russian Federation, Saint PetersburgOlesya N. Bespalova
The Research Institute of Obstetrics, Gynecology and Reproductology named after D.O. Ott
Email: shiggerra@mail.ru
ORCID iD: 0000-0002-6542-5953
SPIN-code: 4732-8089
MD, Dr. Sci. (Medicine)
Russian Federation, Saint PetersburgSabinakhon S. Kholmatova
The Research Institute of Obstetrics, Gynecology and Reproductology named after D.O. Ott
Email: sabinakholmatova@icloud.com
ORCID iD: 0009-0006-3923-4156
MD
Russian Federation, Saint PetersburgReferences
- Letter from the Ministry of Health of Russian Federation of 19 February 2019 No. 15-4/I/2–1286 “About sending a letter of guidance on the introduction of M. Robson’s classification of caesarean section operation”. [cited 2025 May 18] Available from: https://www.garant.ru/products/ipo/prime/doc/72123126/?ysclid=m3da7tvonf162926374 (In Russ.)
- Krasnopol’skaia KV, Popov AA, Chechneva MA, et al. Preconceptional methroplastic operation in patients with uterine scar incompetence after caesarian section: the influence on natural fertility and IVF outcomes. Russian Journal of Human Reproduction. 2015;21(3):56–62. EDN: UKSHHH doi: 10.17116/repro201521356-62
- Vogel JP, Betrán AP, Vindevoghel N, et al. Use of the Robson classification to assess caesarean section trends in 21 countries: a secondary analysis of two WHO multicountry surveys. Lancet Glob Health. 2015;3(5):e260–e270. doi: 10.1016/S2214-109X(15)70094-X
- Makiyan ZN, Adamyan LV, Karabach VV, et al. New method for surgical treatment of uterine scar insuffisiency after a previous cesarean section using an intrauterine manipulator with a groove. Obstetrics and Gynecology. 2020;(2):104–110. EDN: ZALQXA doi: 10.18565/aig.2020.2.104-110
- Arjaeva IA, Tyapkina DA, Taraskin AFZ, et al. Frequency of occurrence of the adhesive process of the abdominal cavity after cesarean section (according to the results of repeated surgery). International Research Journal. 2022;(3–1):102–108. EDN: UWPOOI doi: 10.23670/IRJ.2022.117.3.017
- Klykova ES, Novikova EI, Fomina IV. Adhesive process in abdominal cavity after caesarean section. Youth International Bulletin. 2019;8(2):137–139. (In Russ.)
- Chervonnaia IYu. Method of comprehensive therapy in reproductive function restoration in women with infertility during adenomyosis [dissertation abstract]. Volgograd; 2012. (In Russ.).
- Vlasova KS, Fomina IV. Characteristics of anamnesis, pregnancy and maternity in women with placenta percreta. Youth International Bulletin. 2018;7(1):104. (In Russ.)
- Burlev VA, Dubinskaia ED. Phenotypic characteristics of undifferentiated connective tissue dysplasia in patients with pelvic peritoneal adhesions. Russian Journal of Human Reproduction. 2012;18(2):8–14. EDN: PEKBTZ
- Bezhenar’ VF, Aĭlamazian ÉK, Baĭliuk EN, et al. The etiology, pathogenesis, and prevention of commissure formation during small pelvic surgery. Russian Bulletin of Obstetrician-Gynecologist. 2011;11(2):90–101. EDN: PZAVRV
- Fomina IV, Kukarskaya II, Schevlukova T, et al. Thromboelastometry in the obstetric hospital. Contemporary problems of science and education. 2017;(4):59. EDN: VZVDIT
- Fomina IV, Polyakowa VA. Modern methods research vascular – thrombocytic blood stasis (review). Medical science and education of the Urals. 2011;12(2):235–237. EDN: TEOXTZ
- Zakharov IS, Ushakova GA, Demyanova TN. et al. Adhesive disease of the pelvic organs: modern prevention opportunities. Consilium Medicum. 2016;18(6):71–73. EDN: XAMAYZ
- Dubinskaya ED, Gasparov AS, Nazarov SK, et al. Pelvic peritoneal patches (endoscopic characteristic). RUDN Journal of Medicine. 2010;(6):166–173. (In Russ.)
- Shalaev ON, Plaksina ND, Salimova LYa. Improvement of the effectiveness of reconstructive plastic surgery in young women with uterine prolepses. RUDN Journal of Medicine. 2008;(5):289–292. (In Russ.)
- Kistner RW. Peri-tubal and peri-ovarian adhesions subsequent to wedge resection of the ovaries. Fertil Steril. 1969;20(1):35–41. doi: 10.1016/s0015-0282(16)36902-3
- Fugazzola P, Coccolini F, Nita GE, et al. Validation of peritoneal adhesion index as a standardized classification to universalize peritoneal adhesions definition. Journal of Peritoneum. 2017;2:61. doi: 10.4081/joper.2017.61
- Nazarenko AA, Akimov VP. Laparoscopic adhesiolysis and prevention of abdominal adhesions by using mechanical barriers. Pirogov Russian Journal of Surgery. 2016;(8):83–85. EDN: WKENBT doi: 10.17116/hirurgia2016883-85
- Sulima AN, Puchkina GA. Efficacy of complex preventive approach to postoperative pelvic adhesios. Russian Journal of Woman and Child Health. 2021;4(2):130–136. EDN: LAZWYC doi: 10.32364/2618-8430-2021-4-2-130-136
- Hindocha A, Beere L, Dias S, et al. Adhesion prevention agents for gynaecological surgery: an overview of Cochrane reviews. Cochrane Database Syst Rev. 2015;1(1):CD011254. doi: 10.1002/14651858.CD011254.pub2
- Rodin A, Privolnev V, Shilina A. Prevention de adhesion formation in the abdomina cavity. Vrach. 2017;(10):6–10. (In Russ.) EDN: ZQQDNB
- Lysyakov NM. Influence of intraoperative hepatotherapy on the process of intra-abdominal adhesiogenesis during surgical interventions on the intestine [dissertation abstract]. Saransk; 2016. (In Russ.) EDN: ZQHABF
- Schindler AE. Gonadotropin-releasing hormone agonists for prevention of postoperative adhesions: an overview. Gynecol Endocrinol. 2004;19(1):51–55. doi: 10.1080/09513590410001725495
- Gudz’ OV, Sulima AN, Glazkov IS, et al. Anti-adhesion barriers in operative gynecology. Russian Journal of Woman and Child Health. 2024;7(2):144–149. EDN: ZYBAIQ doi: 10.32364/2618-8430-2024-7-2-9
- Gorskiĭ VA, Sivkov AS, Agapov MA, et al. The first experience of using a single-layer intra-abdominal collagen plate. Pirogov Russian Journal of Surgery. 2015;(5):59–61. EDN: UCAVJH doi: 10.17116/hirurgia2015559-61
- Kuznetsova MV, Kuznetsova MP, Afanasyevskaya EV, et al. Experimental grounds for using collagenbased anti-adhesion barrier coated with biocides for prevention of abdominal surgical infection. Modern Technologies in Medicine. 2018;10(2):66–75. EDN: XRVMST doi: 10.17691/stm2018.10.2.07
- Krishnan MA, Alimi OA, Kuss M, et al. A dual-layer hydrogel barrier integrating bio-adhesive and anti-adhesive properties prevents postoperative abdominal adhesions. Adv Healthc Mater. 2025;14(11):e2405238. EDN: BQYXIN doi: 10.1002/adhm.202405238
- Mitra SP. Protein adsorption on biomaterial surfaces: subsequent conformational and biological consequences – a review. J Surface Sci Technol. 2020;36(1–2):7–38. EDN: IWHHLM doi: 10.18311/jsst/2020/23282
- Nasyrova NI, Dobrokhotova YuE, Ozolinya LA, et al. Experience of anti-adhesion barrier in the complex therapy of patients with uterine factor infertility. Russian Journal of Woman and Child Health. 2023;6(4):326–331. EDN: DMWKTP doi: 10.32364/2618-8430-2023-6-4-1
- Meshkova OA, Bogdanov DYu, Matveev NL, et al. Application of modern antiadhesive agents in surgery. Endoscopic Surgery. 2015;21(3):37–42. EDN: VHUIWL doi: 10.17116/endoskop201521337-42
- Teo ZY, Senthilkumar SD, Srinivasan DK. Nanotechnology-based therapies for preventing post-surgical adhesions. Pharmaceutics. 2025;17(3):389. EDN: CYEACD doi: 10.3390/pharmaceutics17030389
- Hellebrekers BW, Trimbos-Kemper TC, Trimbos JB, et al. Use of fibrinolytic agents in the prevention of postoperative adhesion formation. Fertil Steril. 2000;74(2):203–212. doi: 10.1016/s0015-0282(00)00656-7
- Li J, Feng X, Liu B, et al. Polymer materials for prevention of postoperative adhesion. Acta Biomater. 2017;61:21–40. EDN: YJCETN doi: 10.1016/j.actbio.2017.08.002
- Kim T, Ahn KH, Choi DS, et al. A randomized, multi-center, clinical trial to assess the efficacy and safety of alginate carboxymethylcellulose hyaluronic acid compared to carboxymethylcellulose hyaluronic acid to prevent postoperative intrauterine adhesion. J Minim Invasive Gynecol. 2012;19(6):731–736. doi: 10.1016/j.jmig.2012.08.003
- Song J, Gerecht S. Hydrogels to recapture extracellular matrix cues that regulate vascularization. Arterioscler Thromb Vasc Biol. 2023;43(8):e291–e302. EDN: NGRTMR doi: 10.1161/ATVBAHA.122.318235
- Ahmad G, O’Flynn H, Hindocha A, et al. Barrier agents for adhesion prevention after gynaecological surgery. Cochrane Database Syst Rev. 2015;2015(4):CD000475. doi: 10.1002/14651858.CD000475.pub3
- Zindel J, Mittner J, Bayer J, et al. Intraperitoneal microbial contamination drives post-surgical peritoneal adhesions by mesothelial EGFR-signaling. Nat Commun. 2021;12(1):7316. EDN: ONRVID doi: 10.1038/s41467-021-27612-x
- DeWilde RL, Trew G. Postoperative abdominal adhesions and their prevention in gynaecological surgery. Expert consensus position. Part 2-steps to reduce adhesions. Gynecol Surg. 2007;4(4):243–253. doi: 10.1007/s10397-007-0333-2
- Filenko BP, Zemlyanoy VP, Kotkov PA. Treatment and recurrence prevention of acute adhesive intestinal obstruction. Herald of the Northwestern State Medical University named after I.I. Mechnikov. 2017;9(1):68–72. EDN: YLDZNX
- Zhao X, Yang J, Liu Y, et al. An injectable and antifouling self-fused supramolecular hydrogel for preventing postoperative and recurrent adhesions. Chem Eng J. 2021;404:127096. EDN: ZFYVKH doi: 10.1016/j.cej.2020.127096
- Molotkov AS, Popov EN, Ivanova AO, et al. Experience of the use of anti-adhesive barrier based sodium hyaluronate and carboxymethylcellulose in gynecological surgery. Medical Council. 2019;(13):149–153. EDN: WGLYYE doi: 10.21518/2079-701X-2019-13-149-153
- Golovkina NV, Krasnova IA. Echographic evaluation of the coagulation process before laparoscopy in patients with patients with laparotomy anamnesis. Modern science-intensive technologies.2004;(3):56–57. (In Russ.) EDN: IJMOKL
- Smereczyński A, Starzyńska T, Kołaczyk K, et al. Intra-abdominal adhesions in ultrasound. Part II: the morphology of changes. J Ultrason. 2013;13(52):93–103. doi: 10.15557/JoU.2013.0008
- Moro F, Mavrelos D, Pateman K, et al. Prevalence of pelvic adhesions on ultrasound examination in women with a history of Cesarean section. Ultrasound Obstet Gynecol. 2015;45(2):223–228. doi: 10.1002/uog.14628
- Armashov VP, Belousov AM, Vavshko MV, et al. Can we detect peritoneal adhesions with MRI and CT prior to abdominal surgery? Innovative Medicine of Kuban. 2023;8(1):97–102. EDN: CEHHRK doi: 10.35401/2541-9897-2023-26-1-97-102





