The morphological changes in placentas in women with deficit of bodyweight in combination with anemia, pyelonephritis and gestosis (Message II)
- Authors: Dodhoeva M.F.1,2, Parusov V.N.1,2
-
Affiliations:
- Ott Research Institute of Obstetrics and Gynecology, Russian Academy of Medical Sciences
- Abu-Albek Ibn-Sin Tajik State Medical University
- Issue: Vol 47, No 3-4 (1998)
- Pages: 46-49
- Section: Original study articles
- Submitted: 15.12.1998
- Accepted: 09.11.2021
- Published: 15.12.1998
- URL: https://journals.eco-vector.com/jowd/article/view/87407
- DOI: https://doi.org/10.17816/JOWD87407
- ID: 87407
Cite item
Full Text
Abstract
The morphological features of placenta are investigated in the women with a deficit of body weight in a combination with anemia (22), pyelonephritis (10) and gestosis (9). At specified conditions a significant involutive-dystrophical processes on a background of 100 % поп-ready placentas are accompanied by maximum realization of compensatory reactions, which promoted birth of normal children, but with small weight of a body at urgent labor and high frequency of development in them of brain circulation disturbances.
Keywords
Full Text
Морфологические изменения в последах родильниц с анемией [6], невынашиванием [4, 9], при гестозах [8], синдроме задержки развития плода (СЗРП) [2, 3, 9] достаточно изучены. Вместе с тем, совершенно отсутствуют сведения о морфологических изменениях в последах родильниц с дефицитом массы тела (ДМТ) и при сочетании последней с экстрагенитальной патологией и осложнениями беременности. О некоторых из них мы информировали в предыдущем сообщении.
Задачей данного сообщения явился клинико-морфологический анализ фето-плацентарного комплекса у женщин с дефицитом массы тела в сочетании с анемией, пиелонефритом и гестозом.
Материалы и методы
Обследована 41 женщина с доношенной беременностью, из которых 22 были с дефицитом массы тела в сочетании с анемией (1-я группа), 10 - с ДМТ в сочетании с анемией и пиелонефритом (2-я группа) и 9 - ДМТ в сочетании с анемией и гестозом (3-я группа). Сочетание с анемией во всех группах объясняется высоким удельным весом этой патологии у женщин репродуктивного периода Среднеазиатского региона (1,7). Средний возраст обследованных в различных группах отличался: наиболее молодой возраст был в группе женщин с ДМТ в сочетании с анемией и пиелонефритом -23,1 ± 1,17 лет, в группе женщин с ДМТ в сочетании с анемией средний возраст был равен 26,7 ± 1,17 и старше - 28,8 ± 1,85 лет в группе с ДМТ в сочетании с анемией и гестозом. Осложнения беременности и родов,
а также исход для плода в различных группах исследования приведены в табл. 1. Как видно из таблицы, наиболее частым осложнением беременности явилась угроза прерывания беременности (12 случаев), ОРВИ (7), а в родах - несвоевременное отхождение вод (11) и аномалия родовой деятельности, особенно в группе с ДМТ в сочетании с анемией - почти у каждой третьей роженицы. Масса тела новорожденных оказалась во всех группах ниже контрольной (р < 0.05), состояние по Апгар при рождении ближе к 7 баллам и, кроме того, нарушение мозгового кровообращения у новорожденных встретилось в 4 - 5 раз чаще, чем в контроле. Масса и площадь плаценты также отличались от контрольных, но эти различия были недостоверными.
Макроскопическое исследование последа и подготовка его структурных единиц для гистологического изучения производились по общепринятой методике [б].
Статистическая обработка полученных результатов проводилась на персональном компьютере IP-166 MMX с помощью программ “Excel” и “Statgraphics”. Различия показателей оценивали с помощью t-критерия Стьюдента.
Результаты исследований
Одной из морфологических особенностей последов группы родильниц с дефицитом массы тела в сочетании с анемией явилось нарушение созревания плацент в 100% наблюдений (табл. 2). Патологическая незрелость была обнаружена в 45,4%, диссоциированное развитие плаценты - в 54,5%. Незрелость и диссоциированное развитие плацент сопровождались появлением в 86,3% случаев промежуточных зрелых, в 9% - незрелых ворсин, а также обнаружением хаотических и склерозированных ворсин в 54,5% случаев. В 49,5% наблюдений в базальной и хориальной пластинках встречались клеточные островки со значительным количеством цитотрофобласта.
Дистрофические изменения в плацентарной ткани были более выражены, чем в контрольной группе: дистрофия эпителия ворсин отмечалась в 54,5%, а склероз стромы ворсин в сильной и умеренной степени наблюдался в 90,9% наблюдений. В то же время, выраженный отек стромы отмечен лишь в 36,4%. Отложения фибрина в субхориальном отделе, как и замурованные ворсины, были в 77,3%. Субхориальные межворсинчатые кровоизлияния слабой и умеренной степени выраженности встретились в 77,3%. Воспалительные изменения, большей частью в виде лимфоидноклеточного виллузита, реже интервиллузита и базального децидуита встретились в 36,7% наблюдений, слабовыраженный васкулит в стволовых ворсинах - в 59%.
Указанные изменения сопровождались определенными компенсаторно-приспособительными процессами. В частности, удельный вес терминальных и специализированных ворсин во всех случаях исследований был одинаковым и составил 72%, из них в 59,1 % случаев удельный вес ворсин был высоким. Количество функционирующих синцитиальных узлов низкое -27,3%. В 54,5% случаев отмечалось очаговое сгущение ворсин, наряду с наличием значительного количества ворсин с большим числом центрально расположенных сосудов (40,9%) и ворсин с выраженными явлениями ангиоматоза (68,1%). Следует отметить, что многие ворсины в очагах сгущения были бессосудистыми или со слабовыраженными спавшимися капиллярами.
Во внеплацентарных оболочках отмечались выраженный отек фиброзной пластинки амниона (47% ) и очаговые кровоизлияния (58,8%). В 1/4 (22,7%) наблюдений в оболочках обнаружена воспалительная инфильтрация в основном в децидуальном отделе, сопровождавшаяся кровоизлияниями (45,2%) и выраженными дистрофическими изменениями ( 100% ) во всех структурных отделах внеплацентарной оболочки.
Сопоставление морфологических и клинических данных показало, что угроза прерывания беременности у женщин этой группы наблюдалась у 1/3, у каждой 5-й ОРВИ во время беременности, у каждой 4-й воспалительный процесс гениталий, на фоне которых наступила беременность. Наиболее частым осложнением в родах оказались преждевременное отхождение вод (7 из 22 наблюдений) и аномалии родовой деятельности (6 сл.). Масса тела новорожденных была ниже, чем в контроле (р < 0,05). Состояние детей при рождении оценено по шкале Апгар преимущественно на 7 баллов и ниже (14 из 22 наблюдений). Нарушение мозгового кровообращения у них наблюдалось в 12 случаях (р < 0,05).
В группе исследований родильниц с дефицитом массы тела в сочетании с анемией и пиелонефритом также не обнаружены зрелые плаценты, соответствующие сроку гестации, (табл. 1). Плаценты этой группы исследований отличались выраженной незрелостью гистоструктур, которое имело место в 60%, в 40% наблюдалось их диссоциированное развитие. Признаки незрелости сопровождались появлением промежуточных зрелых - 90% и незрелых -20% ворсин хориона, а также повышением количества цитотрофобласта в структурных единицах плацент (57,6%).
Таблица 1. Осложнение беременности и родов и исход для плода у родильниц с дефицитом массы тела в сочетании с анемией (I), пиелонефритом (ІІ) и гестазом (ІІІ)
Характер осложнений беременности, родов и исхода для плода | Группы исследований | ||
1 n=22 | II n=10 | III n=9 | |
Ранний токсикоз | 1 | - | - |
Угроза прерывания беременности | 6 | 1 | 5 |
ОРВИ | 4 | 2 | 1 |
Несвоевременное отхождение вод | 7 | 3 | 1 |
Аномалии родовой деятельности | 6 | 1 | 1 |
Масса тела новорожденных (г) | 3131,8±94,7 | 3020,0±163,8 | 2950±205,8 |
Длина (см) | 5018±0,27 | 50±0,47 | 49,5±0,63 |
Состояние по шкале Апгар при рождении (балл) | 7,27±0,3 | 6,9±0,18 | 6,78±0,28 |
Нарушение мозгового кровообращения | 54,5 | 80,0 | 88,9 |
По сравнению с контролем, в этой группе плацент отмечались значительные дистрофические изменения эпителия (60%) и стромы ворсин хориона в виде склероза (90%) и отека (30%). В отличие от других групп исследований отмечались мощные субхориальные отложения фибриноида с наличием большого количества замурованных ворсин хориона (в 80% наблюдений).
Таблица 2. Характер зрелости плацент и удельный вес инволютивно-дистрофичексих процессов в плацентах родильниц с дефицитом массы тела в сочетании с анемией (I), анемией и пиелонефритом (II) и с анемией и гестозом (III) при срочных родах
|
|
| Морфологические признаки | ||||||
Клинические группы | форма созревания плаценты | характер инволютивно-дистрофических процессов | |||||||
зрелая | незрелая | диссоциирован ная | дистрофия эпителия ворсин | отек стромы ворсин | склероз стромы ворсин | фибриноид субхориального отдела | кровоизлияния в межворсинчатом пространстве | Воспаление | |
Контроль | 25,0+25,0 | 33,3+23,6 | 41,6±22 | 33,3+23,6 | 8,3±27,6 | 58,3+18,6 | 56,3±18,6 | 66,7+16,7 | 16,6+6,3 |
I | - | 45,4+15,7 | 54,5+14,4 | 54,5+14,4 | 36,4+7,0 | 90,9+6,4 | 77,3+10,2 | 77,3+10,2 | 36,7+17 |
II | - | 60,0±20,0 | 40,0+4,5 | 60+20 | 30+26,5 | 90+10,0 | 80+14,1 | 90+10,0 | 90+10* |
III | - | 44,4±24,6 | 55,5+22,2 | 77,8+15,7 | 55,5+22,2 | 55,5+22,2 | 88,7+11,2 | 100 | 100* |
* - р<0,05 по сравнению с контролем
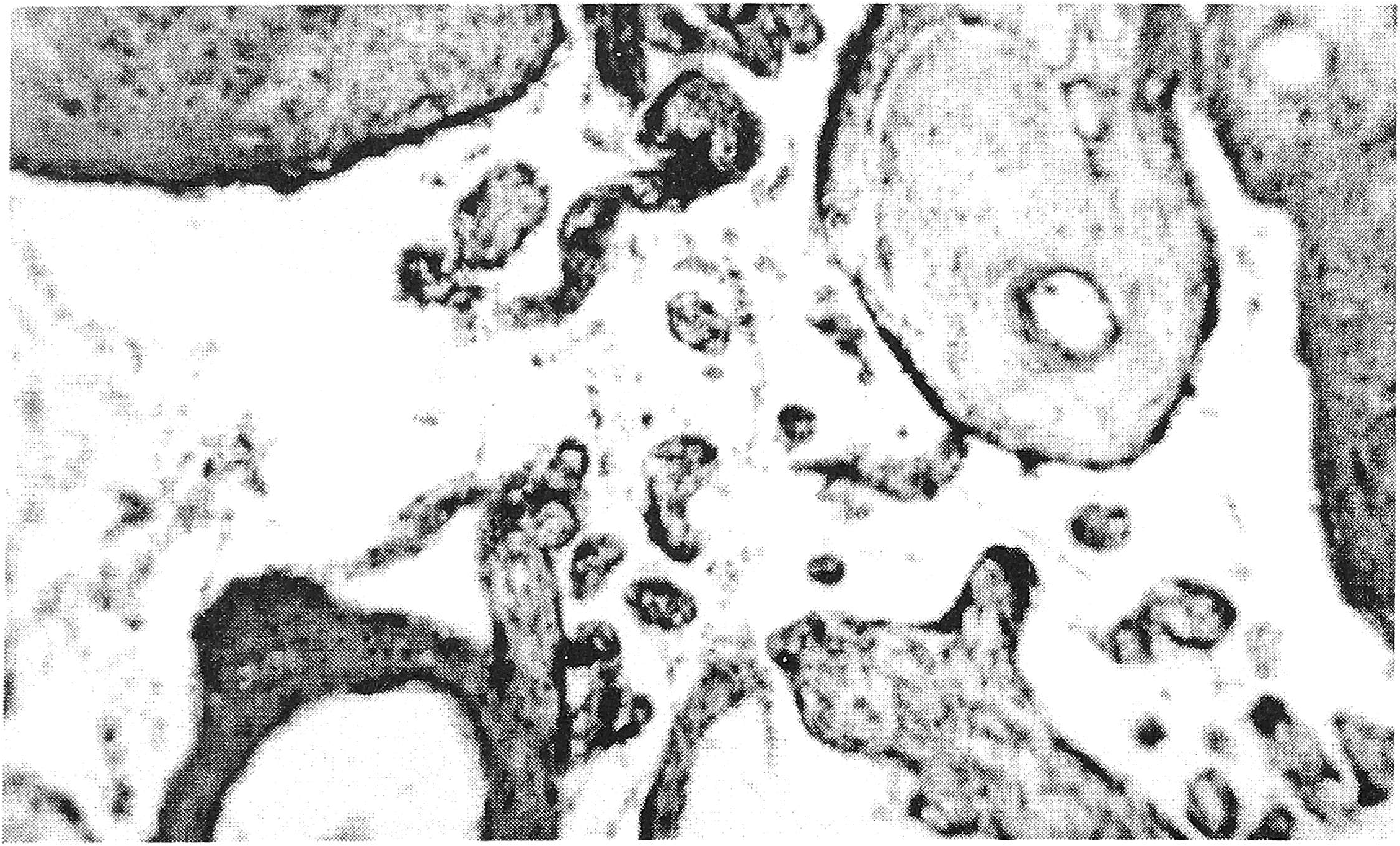
Воспалительные изменения отмечались в 90%, в основном носили характер виллузита и интервиллузита (см. рисунок) в половине случаев наблюдались слабовыраженные лимфоидные васкулиты в стволовых ворсинах, а в 90% - межворсинчатые кровоизлияния различной интенсивности, в основном - субхориальной локализации.
Рис. 1. Интервиллузит в плаценте женщины с дефицитом массы тела в сочетании с пиелонефритом.
Компенсаторно-приспособительные процессы были выражены и осуществлялись за счет терминальных и специализированных ворсин хориона (80% и 100,0% соответственно). Однако удельный вес терминальных ворсин в целом был низким в 50% наблюдений. Наряду с этим отмечалось очаговое сгущение ворсин (60%), увеличение удельного веса ворсин с центрально-расположенными капиллярами (40%). При этом часть ворсин выглядели бессосудистыми, а при детальном рассмотрении содержали единичные мельчайшие тонкостенные капилляры. Синцитиальные узлы были не выражены.
Во внеплацентарных оболочках отмечался отек фиброзной пластинки амниона в сочетании с рассеянными очаговыми кровоизлияниями (по 60% соответственно). Резкие дистрофические изменения во всех слоях оболочек были выражены в 100% наблюдений.
У женщин этой группы рождались дети с массой тела от 2100,0 до 3500,0, которая достоверно отличалась от контрольной группы (р < 0,05). За исключением 1 сл. (8 баллов) состояние новорожденных по Апгар было оценено на 7 баллов и ниже. Нарушение мозгового кровообращения выявлено у 80% детей.
Морфологическими особенностями плацент группы родильниц с дефицитом массы тела в сочетании с анемией и гестозом являлись незрелость плацент в 44,4% случаев и диссоциированное их развитие в 55,5%. Основными признаками незрелости были повышение количества промежуточных зрелых и незрелых ворсин в 100 и 33,3% случаев соответственно, а также значительное количество цитотрофобласта в хориальной и базальной мембранах, а также межворсинчатом пространстве (до 62,2%).
Дистрофические изменения эпителия и стромы ворсин, а также субхориальное отложение фибриноида достигали наивысших значений (от 80 до 90%). Вместе с тем, выраженные склеротические процессы в строме терминальных ворсин в сочетании со значительным ее отеком в других ворсинах отмечены в 55,5%. Кровоизлияния в межворсинчатых пространствах и в базальную мембрану, а также воспалительные изменения наблюдались во всех обследованных плацентах. Слабовыраженные лимфоидные васкулиты в стволовых ворсинах обнаружены в 66,6%.
Компенсаторно-приспособительные реакции осуществлялись за счет некоторого увеличения количества терминальных ворсин - до 77,7%, в том числе специализированных ворсин - до 100%. Образование молодых ворсин обнаружено в 44,4%, нередко в сочетании с выраженным ангиоматозом терминальных и промежуточных ворсин хориона (77,7%).
Во внеплацентарных оболочках нарушения кровообращения в виде отека и кровоизлияния отмечались в 71,4% наблюдений, в то время как воспалительные изменения имели место в 14,2%. Выраженные дистрофические изменения в гистроструктурах оболочек были отмечены во всех наблюдениях.
В этих случаях почти у всех детей наблюдались асфиксия и нарушение мозгового кровообращения. По-видимому, только выраженные компенсаторно-приспособительные реакции, имевшие место в этих наблюдениях, способствовали рождению детей доношенными и живыми.
Заключение
Таким образом, характерными морфологическими особенностями плацент женщин с дефицитом массы тела в сочетании с анемией, пиелонефритом и гестозом явились патологические формы незрелости плацент в сочетании с диссоциированным их развитием, выраженные инволютивнодистрофические процессы с преобладанием дистрофии эпителия, отека стромы ворсин с раскрытием стромальных каналов, склероза и отложений фибриноида на фоне значительных кровоизлияний в межворсинчатое пространство и воспаления, особенно выраженные при сочетании дефицита массы тела с анемией и гестозом, умеренно выраженные компенсаторно-приспособительные реакции с образованием молодых ворсин и ангиоматоза, во внеплацентарных оболочках резко выраженные дистрофические изменения в 1/3 сочетались с воспалением.
Вышеперечисленные морфологические изменения в последах способствовали, по-видимому, высокой частоте угрозы невынашивания, несвоевременного отхождения вод и аномалии родовой деятельности, а также рождению живых детей, хотя и с малой массой тела, в состоянии асфиксии с последующим развитием у большого числа из них нарушения мозгового кровообращения.
About the authors
M. F. Dodhoeva
Ott Research Institute of Obstetrics and Gynecology, Russian Academy of Medical Sciences; Abu-Albek Ibn-Sin Tajik State Medical University
Author for correspondence.
Email: info@eco-vector.com
Russian Federation, St. Petersburg; Dushanbe
V. N. Parusov
Ott Research Institute of Obstetrics and Gynecology, Russian Academy of Medical Sciences; Abu-Albek Ibn-Sin Tajik State Medical University
Email: info@eco-vector.com
Russian Federation, St. Petersburg; Dushanbe
References
Supplementary files



