Acanthamoeba keratitis. Review of literature. Case reports
- Authors: Skryabina Y.V.1, Astakhov Y.S.2, Konenkova Y.S.1, Varganova T.S.1, Petukhov V.P.1, Nokhrina K.V.1, Dnestryanskaya K.O.3
-
Affiliations:
- City Multi-Field Hospital No. 2
- Pavlov First Saint Petersburg State Medical University
- ACOH
- Issue: Vol 12, No 1 (2019)
- Pages: 59-71
- Section: In ophthalmology practitioners
- Submitted: 30.09.2018
- Accepted: 07.11.2018
- Published: 06.06.2019
- URL: https://journals.eco-vector.com/ov/article/view/10241
- DOI: https://doi.org/10.17816/OV2019159-71
- ID: 10241
Cite item
Abstract
Acanthamoeba keratitis (АК) is a parasitic infectious condition caused by corneal invasion by free-living amoebae. In 86% of cases, AK affects contact lens wearers. Delayed diagnosis and inadequate treatment of this disease leads to development of a severe form of keratouveitis and corneal perforation. Consequently, this group of diseases is one of the causes of visual disability in working-age population.
Full Text
More than 140 million people worldwide wear contact lenses (CLs), and approximately 5 million of them live in the Russian Federation. Only 3% of all CL users comply with the rules for using CLs [1]. Long-term use of both traditional and disposable lenses is accompanied by a 5–10-fold increase in the risk of infection [2]. Thus, when wearing CLs at night, the risk of keratitis increases manifold (10–15 times). It should be noted that when testing the antibacterial activity of multifunctional solutions used for storage and purification of CLs, this aspect is studied only for five microorganisms: Pseudomonas aeruginosa, Staphylococcus aureus, Serratia marcescens, Candida albicans, and Fusarium solani. Many multifunctional solutions are active against Acanthamoeba itself, but do not affect its cysts [3]. Acanthamoeba keratitis (AK) was extremely rare before the widespread use of CLs [4]. The first AK case was registered in South Texas (USA) in 1973 and involved a farmer who washed his injured eye with tap water [5, 6].
ETIOLOGY
Acanthamoeba is a widespread protozoa that can be found in tap and bottled water, river and sea water, stagnant water, jet tubs, and chlorinated water of swimming pools as well as in the soil and air [3, 4, 6–9]. It exists in two forms: trophozoite and cyst (Fig. 1). The trophozoite (d = 25–40 μm) is flattened, has an irregular shape, and forms characteristic pointed protrusions – acanthapodia. It is motile and eats through phagocytosis yeast fungi and bacteria, often gram-negative. This explains why the presence of the bacteria contributes to the infectious process [5]. Upon contact with toxic substances, lowering water temperature, changing pH, or drying of the substrate, the trophozoite transforms into a cyst resistant to drying, cooling, chlorination, antibiotics, and the action of many antiseptics in standard concentrations [5, 9–12]. It was established that cysts remain viable in water at a temperature of +4 °C for 24 years while retaining their virulence. Acanthamoeba cysts (d = 12–28 μm) are surrounded by a two-layer membrane with an outer wall called an exocyst and an inner wall called an endocyst [5]. The only way to inactivate Acanthamoeba without it converting to its cystic form is boiling, which creates an anaerobic condition (all oxygen evaporates) that is fatal to the aerobic Acanthamoeba. AK can be caused by different types of Acanthamoebae, namely А. castellanii, A. polyphaga, A. hatchetti, A. culbertsoni, A. rhysodes, A. griffini, A. guina and A. lugdunensis. In addition to Acanthamoeba monoinfection, lesions caused by the invasion of several species of AcanthФamoebae have been detected [5].
Fig. 1. Trophozoite (a) and cyst (b). n – nucleolus, cv – contractile vacuole [27]
Рис. 1. Трофозоит (a) и циста (b). n — ядрышко, cv — сократительная вакуоль [27]
PATHOGENESIS
Normally, a human has high resistance to Acanthamoeba infection due to the high concentration in the lacrimal fluid of immunoglobulin A (60 mg/100 ml), lysozyme (100 mg/100 ml), and lactoferrin (120 mg/100 ml), which have anti-protozoal activity [13]. Risk factors for Acanthamoebae invasion into the cornea include microinjuries of its epithelium and contact with polluted environmental sources [7], as well as a low level of anti-Acanthamoebae IgA in the tears [14].
When entering the eye, Acanthamoebae attach to the corneal epithelium by glycoproteins (Fig. 2) of the epithelial cells and a special mannose receptor located on the trophozoite membrane [15]. Results of animal studies revealed that corneal damage leads to the expression of mannose glycoproteins on its surface, which confirms the key role of trauma for disease development [16, 17]. The presence of mannose carbohydrate in the form of a glycoprotein is a necessary condition for the attachment of Acanthamoebae. An increase in its amount leads to Acanthamoebae becoming more virulent and releasing a higher number of toxic factors. Mannose can cover the surface of CLs, and it is found in the composition of the cell wall of some bacteria. Corynebacterium xerosis has the highest concentration of mannose in the composition of its cell wall; therefore, the presence of this type of bacteria can serve as a risk factor for AK [18]. The crucial component of AK is the protease MIP133 (mannose-induced protein with a molecular weight of 133 kDa), which destroys keratocytes and epithelial and endothelial cells, causing macrophage apoptosis.
Fig. 2. The pathogenesis of Acanthamoeba keratitis, Clarke D.W., Niederkorn J.Y. (2006) [27]
Рис. 2. Схема патогенеза акантамёбного кератита, авторов Clarke D.W., Niederkorn J.Y. (2006) [27]
Acanthamoeba causes destruction of the corneal epithelium and stroma both by direct phagocytosis of corneal cells and by various proteases [5, 15]. Acanthamoeba transforms the corneal plasminogen, which leads to the activation of proteolytic enzymes such as pro-matrix metalloprotease (MMP) and the destruction of the basement membrane of corneal cells. Another mechanism that has a toxic effect on corneal cells is the production by Acanthamoebae of glycoprotein ectoATPases. The enzyme resulting from hydrolysis causes an increase in intracellular calcium and apoptosis. In addition, the production by Acanthamoebae of neuraminidase, which promotes the release of sialic acid from corneal cells, is also hazardous for corneal cells. Acanthamoeba secretes neuraminidase after its receptors respond to the presence of mannose [15, 18].
The destruction of the stroma, which consists of a large amount of collagen, occurs with the use of elastase enzyme, which is tropic to connective tissue proteins (collagen, elastin, proteoglycan). It is believed that it is the destruction of stroma by various enzymes that leads to the formation of a ring-shaped infiltrate characteristic of AK [19].
The cause for the severe pain syndrome characteristic of AK in patients is the penetration of trophozoite into the perineural spaces of the corneal tissue [2, 3]. Inflammation of the sclera can ocurr in the form of an immunological reaction after primary infection or as a result of direct entry of the pathogen from the cornea into the sclera [15].
The mechanisms that indirectly affect the pathogenesis of AK include the ubiquity of Acanthamoebae distribution; the existence of a cystic form resistant to many factors; the ability of trophozoite to attach with the help of acantopodia to biological and inert surfaces; and Acanthamoeba presence on biofilms from the decay products of bacteria found on many surfaces, including intravenous catheters, CLs, suture material, and intraocular lenses (IOLs) [15].
CLINICAL PRESENTATION
AK can be suspected in any patient who uses CLs (soft, hard, orthokeratological) and who neglects the rules of wearing and caring for them, as well as those with a mechanical injury to the cornea or chemical or thermal burns with impaired epithelial integrity that are complicated by exposure to unboiled water or soil [2]. The disease is unilateral in nature, as bilateral lesions occur in 7%–20% of cases [8]. A characteristic symptom of the disease is a pronounced pain syndrome that does not correspond to the degree of corneal damage and cannot be arrested with standard analgesics or anti-inflammatory drugs [2, 3]. Also, patients may complain of a foreign-body sensation, photophobia, lacrimation, blepharospasm, or blurred vision [5].
In the clinical presentation, attention should be paid to the presence of a mixed redness of the eyeball, a decrease in corneal sensitivity, and rough folds of Descemet’s membrane, fan-shaped and diverging from the zone of infiltrate [5]. Keratic precipitates can be found on the corneal endothelium. In the early stages, AK is characterized by the emergence of radial (branched) infiltrates located along the corneal nerves in the anterior stroma. Ring-shaped stromal corneal infiltrates are pathognomonic in the advanced stage of AK. The progression of AK is accompanied by an increase in the size of necrotic zones in the stroma with the formation of descemetocele and perforation of the cornea. The opalescence of anterior chamber (AC) fluid in 39% of cases is accompanied by the formation of hypopyon. In AK, even in severe infections, there is usually no neovascularization of the cornea. In most cases, the infection is limited to the cornea. When the sclera is involved in the inflammatory process, scleral nodules occur [5]. AK is characterized by a long chronic course, and spontaneous healing is unusual [20]. In 10%–23% of cases, AK is complicated by secondary bacterial, herpesviral, and fungal infections [9, 20].
CLASSIFICATION
Five stages of AK have been distinguished depending on the depth of the corneal lesion.
Stage 1. Superficial epithelial keratitis.
In the central part of the cornea, there is a rounded section of limited epithelial edema of 1/2–1/3 of the diameter of the cornea. The focus is slightly impregnated with fluorescein. The surface is rough, and microerosion is detected.
Stage 2. Superficial punctate keratitis.
The size of the affected area remains the same, but the intensity of the changes increases. Numerous punctate subepithelial infiltrates of a whitish or grayish color appear, which rise above the surface of the cornea. The formation of pseudodendric lines is possible, which can cause an erroneous diagnosis of herpetic keratitis. Punctate staining of the zone with fluorescein is detected. In most cases, thickened nerve trunks (radial keratoneuritis) are noticeable in the stroma for 1–4 weeks. Acanthamoeba is located in the layers of the corneal epithelium.
Stage 3. Stromal ring keratitis.
Eye irritation increases, and pain intensifies. Keratitis, progressive over several weeks, propagates to the stroma of the cornea. Intensive inflammatory infiltration with the formation of a double circuit ring (3–8 weeks) develops subepithelially or in the surface layers of the stroma. Trophozoites and cysts can penetrate the stroma.
Stage 4. Corneal ulcer.
The formation of a ring-shaped abscess with mild stromal changes in the center of the ring. The center of melting often occurs on the periphery in places of infiltrates with the threat of its perforation. Hypopyon and descemetocele appear, and iridocyclitis increases. The development of secondary glaucoma and cataracts is possible. In especially severe cases, an Acanthamoeba corneal ulcer results in eye loss because of the development of endophthalmitis [3].
Stage 5. Keratitis and scleritis.
Develop in extensive-stage cases. In addition to corneal changes, scleral foci with an abundant scleral vascular reaction are detected. It is accompanied by severe pain and severe irritation of the eye [5, 8, 21, 22].
DIAGNOSIS
Early diagnosiss is the key to successful treatment. The following methods are used to diagnose AK.
Microbiological examination of scrapings and swabs from the cornea (staining with calcofluor white, a fluorescent stain related to amoebic cysts and fungi; Romanowsky–Giemsa staining; Gram staining), biopsy material, and smears from CLs (sensitivity is 7%–52%) is used [2]. Scrapings and swabs from the cornea and swabs from CL containers are inoculated on non-nutritive agar (coated with E. coli) [2, 14, 21]. Corneal scrapings may contain bacteria and fungi, which must be taken into account when evaluating the results [5]. The correct technique for taking scrapings and washings from the cornea should be followed, namely (1) after the instillation of a local anesthetic under slit lamp control, the edges and bottom of the damage are scraped using a delaminating knife. Then the material is transferred to a glass slide, covered with another smaller glass slide, packed hermetically, and sent to the laboratory; (2) the cornea is washed with a large amount (at least 15 ml) of sterile saline solution, and this wash is collected at the inner corner of the eye in a sterile disposable or glass tube.
If the therapy is ineffective, the etiology of the process is unclear, and negative culture results are obtained, the best diagnostic method is a corneal biopsy to identify cysts or trophozoites in the corneal tissue [2].
In vivo corneal confocal microscopy is a fast and accurate (84%–100% sensitivity) diagnostic method for suspected AK. The method is contact, non-invasive, and allows visualization of Acanthamoeba cysts in the form of rounded, highly reflective formations located in the layers of the corneal epithelium to the middle layer (stroma) [8, 9, 22, 23]. Using confocal microscopy, it is possible to identify another important diagnostic sign of AK, which is keratoneuritis represented by thickened nerve trunks and white lines along the nerves, caused by amoeba neurotropy. This method is available in St. Petersburg at the City multi-field hospital No. 2, the Diagnostic center No. 7, and the Ophthalmology Department of the Pavlov St. Petersburg State Medical University.
The polymerase chain reaction method (sensitivity of 77%–91%) enables detection of the causative agent of AK in the scrapings of the cornea with minimal Acanthamoeba content in the clinical samples (from 1 to 5 amoebas); however, at present, this method of diagnosing AK is not available in the Russian Federation [8, 22].
DIFFERENTIAL DIAGNOSIS
In the early stages, AK should be differentiated from herpetic keratitis, epidemic keratoconjunctivitis, and a toxico-allergic reaction, and in later stages it should be differentiated from fungal and bacterial keratitis [8, 21]. Information about the emergence of vesicles or blisters on the mucous membrane of the mouth or eyelids or a relapsing process on the same eye indicates the possibility of herpetic keratitis caused by herpes simplex, which is characterized by a typical epithelial defect in the form of a tree branch, a less pronounced pain syndrome, and positive dynamics with antiviral therapy. However, cases of AK that have developed in patients with laboratory-verified herpetic keratitis of a long course have been described (it is believed that this is due to the failure of the corneal epithelial barrier and weakened immune defense) [2, 8]. With an adenoviral infection, nummular stromal infiltrates appear at least 9 days after punctate keratopathy, whereas with an Acanthamoeba infection they occur within the first 8 days [13]. In the case of a toxic and allergic reaction to CLs, discontinuation of their use should lead to a relative relief of the condition. The presence of an history of trauma with any objects of plant origin should prompt the doctor to consider the possibility of fungal keratitis. Fungal infiltrates caused by mycelial fungi most often have pinnate, uneven borders, and may be surrounded by satellite foci. A bacterial infection can occur differently, depending on the specific type of bacteria and the infection severity. Typically, bacterial infections are accompanied by the formation of whitish infiltrate and surrounding corneal edema with variable amounts of mucous and purulent discharge and inflammation in the anterior chamber. Bacterial and fungal keratitis are confirmed by positive microbiological studies of scrapings, inoculation on standard nutrient media and Sabouraud medium, as well as by the positive response to antibacterial and antifungal therapy [2, 8].
TREATMENT
AK therapy aims to destroy viable cysts and trophozoites and provide rapid relief of the inflammatory process.
Currently, there are several groups of drugs for the treatment of AK. Cationic antiseptics, namely 0.02% aqueous solution of chlorhexidine bigluconate (CHB) and 0.02% solution of polyhexamethylene biguanide (PHMB) are most effective [5]. Both drugs demonstrated clinical efficacy and can be used as starting monotherapy, one drop in the conjunctival sac hourly (including night instillation) during the first 3–5 days, then a gradual (within 2–6 weeks) reduction of the instillation rate to 4–6 times a day for several months (from 3 to 6 or more) [8]. Biguanides penetrate the cell cytoplasmic membrane, which results in the loss of cellular components and inhibition of respiratory enzymes [9].
Aromatic diamidines represent another group of drugs that have been successfully used in the treatment of AK, of which 0.1% solution of propamidine isethionate (Brolene, U.K., not registered in the Russian Federation) is most frequently used. It is administered every hour during the first 3–5 days with a gradual reduction to 4 times a day for several months [8]. Dibrompropamidine isethionate is used as a 0.15% ointment (Brolene ointment) [24]. The antimicrobial effect of diamidines is achieved by cationic surface-active properties that cause structural changes in the cell membrane thus affecting cell permeability. When these molecules penetrate the amoeba cytoplasm, denaturation of cytoplasmic proteins and enzymes occurs. Clinically, diamidines are well tolerated by ocular tissues, although prolonged treatment could lead to toxic keratopathy. The combination of biguanides and diamidines showed the best treatment effect [7, 9]. When determining the optimal duration of conservative AK therapy, it should be borne in mind that after the elimination of active amoebic invasion, pathogen cysts can persist in the cornea for a long time. Currently, in the Russian Federation, there is no official ophthalmic drug approved for the treatment of AK. New drugs for the treatment of AK from the alkylphosphocholines group are being tested. The use of hexadecylphosphocholine caused complete lysis of Acanthamoebae within 1 h in vitro [5]. Miltefosine is at the experimental stage of animal studies [15].
With a mixed etiology of the disease, appropriate groups of drugs may be required. The prescription of antifungal agents is possible only after verification of the fungus type. In the Russian Federation, there are no officially registered drugs for the treatment of fungal keratitis. In the treatment of filamentous fungi (mold), local antimycotic therapy is applied using a solution of amphotericin B 0.15%–0.3%, which is prepared daily (for the first 4 days, the frequency of instillations is every hour, then every 2 h, except for at night). The prescription of general antimycotic therapy is required; the first-line drug is voriconazole (Vfend), 400–600 mg per os 2 times a day. With non-filamentous fungi (yeast), a good therapeutic effect is obtained by using a 2% Diflucan solution with an instillation rate of up to 4 times a day for 10 days (only dosage forms intended for intravenous administration are registered in the Russian Federation; according to foreign authors, an intravenous solution can be used for ophthalmic instillations); systemic therapy is not used [20, 25]. As for antibacterial drugs, fluoroquinolones of the latest generations or aminoglycosides with a frequency of instillations of up to 6 times a day are used [8, 20].
Pathogenetic treatment includes drugs of different groups, namely antiseptics, non-steroidal anti-inflammatory drugs (NSAIDs), cycloplegics, and IOP-lowering medications if indicated. The feasibility of using topical glucocorticoids has not been confirmed, as on the one hand, they reduce the inflammatory response and pain, but on the other hand, they suppress the cellular mechanisms necessary to control the infectious process, and therefore can contribute to the superinfection by bacteria and fungi and the spread of Acanthamoebae into deeper layers of the cornea [5]. Their use in low doses with a frequency of instillations of up to 2 times a day after achieving disease stabilization has been described [8].
Surgical treatment of AK is indicated after achieving a persistent positive effect from medical therapy. Early intervention can contribute to the spread of the pathogen [8]. However, there is an evidence of the successful use of phototherapeutic keratectomy at initial AK stages (stages 1 and 2), which leads to the complete cure of the patient by removing all localized forms of Acanthamoeba located subepithelially [22]. Penetrating keratoplasty (PKP) is recommended after 3–12 months [8]. However, the time and indications for therapeutic keratoplasty are specific to each case. There are two main indications for PKP in AK: the first is the presence of corneal scars after an infection, and the second is the ineffectiveness of conservative treatment (therapeutic keratoplasty). An infection is considered cured if the absence of corneal infiltrates is proven during the first months after keratoplasty. Amebicidal treatment should be continued for 6 months after surgery, as cysts can survive for many months and their presence in the peripheral zone of the cornea of the recipient cannot be ruled out. The suitability of PKP in the early stages is controversial; it can be recommended as the last-chance treatment for some patients. There is evidence that a layered deep keratectomy with conjunctival coating is more effective. If the sclera is involved in the infectious process, then reepithelialization may not occur after PKP and a conjunctival flap may be required. These difficulties of reepithelialization indicate dysfunction of the limbal stem cells owing to invasion of Acanthamoebae into the limbal zone. Some authors propose the use of cryotherapy in patients who did not experience improvement after medical and surgical treatment [5].
Coagulation of the defect zone using lasers that generate radiation in the mid-IR range is one of the promising methods for treating corneal ulcers; it contributes to sanitation and quick healing with good functional results. By varying the wavelength range, penetration into transparent water-containing tissues (including the cornea) to a depth of 300–1000 μm is achieved [26].
Corneal crosslinking (CXL) is currently being actively introduced in the treatment of corneal ulcers, including infectious ones. It is known that ultraviolet light A (UVA) and riboflavin have antibacterial and decongestant effects. The stabilizing biochemical effect of crosslinking can be explained by a change in the tertiary structure of collagen fibrils and a blockage of specific sites interacting with enzymes [27]. The most important exclusion criterion is the penetration depth. If the depth is >250 microns, the risk of endothelial cell loss associated with riboflavin UVA is higher. In addition, the efficiency of the treatment is lower the deeper the infiltrate is located. Currently, CXL should be considered as one of the possible treatment options before emergency keratoplasty in cases of severe nonresponsive infectious keratitis [28]. The crosslinking technique requires further study of its clinical effectiveness and application approach for keratitis of Acanthamoeba etiology.
FOLLOW-UP
Examinations of patients are conducted daily (several times a day) until significant improvement is achieved, and then every 1–3 weeks. The most important criteria in assessing the response to treatment are the pain severity, the size of the epithelial defect, the size and depth of the infiltrate, and the response from the anterior chamber [24].
Several patients with AK were under our supervision. This publication presents two clinical cases with a positive result and, to our mind, a negative result of treatment because of late diagnosis.
Case 1
Patient V., 26 years old, was admitted to the Department of Eye Microsurgery No. 4 of the City multi-field hospital No. 2 for emergency care with complaints on severe pain in his right eye, lacrimation, photophobia, and visual impairment. He was sent to the City multi-field hospital No. 2 from the DC No. 7 (ophthalmic), where he initially went with complaints that arose two days after he washed his face with tap water while wearing soft CLs. Indocollyre 0.1% and Corneregel were prescribed (the exact treatment regimen is unknown) but there was no improvement.
The history included the information that the patient used silicone hydrogel soft CLs (SCLs), made errors in the care and use of the SCLs, such as “overwear” of SCLs (the manufacturer-recommended wearing period is 2 weeks), washed his face with tap water while wearing the lenses, and slept in the lenses without reducing the wear time. According to the patient, his visual acuity in both eyes was 1.0 with myopic correction before the disease. His profession was grinder.
Upon admission, visual acuity of the right eye (RE) was hand movement at the face, the left eye (LE) 0.1 sph –3.0 D = 1.0. The peripheral limits of the visual field of the RE could not be determined. Intraocular pressure of the right eye by palpation was normal (Tn), that of the left eye was 19 mm Hg (Maklakov tonometry).
Biomicroscopy of the RE revealed edema and hyperemia of the eyelids and pronounced mixed redness of the eyeball. In the optical zone, there was an extensive round infiltrate, white, with fuzzy contours, spreading into 2/3 of the cornea to the middle layers of the stroma, and the epithelium was loose and edematous. Rough fan-shaped folds of Descemet’s membrane diverged from the zone of projection of the infiltrate. There were keratic precipitates on the corneal endothelium and decreased corneal sensitivity. Anterior chamber was of average depth, aqueous humor opalescence ++++, and hypopyon 2 mm. The pupil was round, d = 3.5 mm, with poor reaction to light. The lens was transparent. The fundus reflex was red. Plane scan did not reveal any ultrasound pathology.
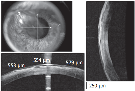
In order to verify the diagnosis, a corneal confocal microscopy was performed using HRT 3 device with cornea module (Heidelberg Retina Tomograph Rostock Cornea Module). In the subepithelial layers of the stroma bright bilayer structures, Acanthamoeba cysts, were visualized; histopathology revealed AK with concomitant bacterial infection (Fig. 3). Microscopy of washing from the cornea did not reveal Acanthamoebae. Inoculation from the cornea and conjunctiva for flora and sensitivity to antibiotics (AB), on Sabouraud’s medium, did not give any growth. According to optical coherence tomography (ОCT), corneal thickness was up to 850 μm, the area of the outer layers maceration increased toward the optical zone, and the outer profile of the cornea deformed (Fig. 4).
Fig. 3. Patient B. HRT Cornea Module
Рис. 3. Пациент В. HRT-роговичный модуль
Fig. 4. Patient B. OCT imaging of the cornea on admission
Рис. 4. Пациент В. ОКТ роговицы при поступлении
The diagnosis was made, namely on the RE keratouveitis of mixed etiology (Acanthamoebae + + bacteriae); on both eyes, there was low degree myopia.
Local and systemic therapy has been started.
Instillations: CHB0.02% (to prepare a 0.02% solution, 2 ml of a 0.05% solution of CHB and 3 ml of 0.9% solution of sodium chloride or water for injection were taken with daily preparation ex tempore) every hour, Vigamox 0.5% tid, Cyclomed 1% bid, Okomistin 0.01% 6 times a day, and Nevanac 0.01% 1 time a day.
Subconjunctival injections of mesatone 1% 0.5 ml 5 days and Claforan 50 mg per day for 5 days were given.
A solution of reamberin 1.5% 400.0 ml 2 times a day intravenous drip-feed and a solution of Metrogyl 100.0 mg/day for 5 days were used. Intramuscular injection of diclofenac 3.0 ml was given once daily for 3 days.
With medical therapy, negative changes persisted (thinning of the cornea in the infiltrate zone). It was decided to perform a surgical procedure, curettage of the corneal infiltrate followed by covering the defect with a tenon capsule and conjunctiva with temporary blepharorrhaphy.
In the postoperative period, the instillation of eye drops was continued. On postoperative day 4, the patient was discharged with appropriate recommendations to remain under the supervision of a polyclinic doctor and to come for weekly examinations to the Eye Microsurgery Department No. 4. Instillations of 0.02% solution of CHB4 times a day were continued for a year after the surgery (Fig. 5).
Fig. 5. Patient B. Photo of the eye after 5 months after surgery
Рис. 5. Пациент В. Фото глаза через 5 мес. после операции
After 5 months, OCT of the right eye cornea was repeated; the thickness of the cornea had decreased to normal, the cornea was spherical, and there was opacification in all layers in the optical zone. Visual acuity OD was 0.2, incorrigible (Fig. 6).
Fig. 6. Patient B. OCT imaging of the cornea after 5 months after surgery
Рис. 6. Пациент В. ОКТ роговицы через 5 мес. после покрытия
One year after the surgery, visual acuity OD was 0.3 sph +1.0 D = 0.5 (Fig. 7).
Fig. 7. Patient B. Photo of the eye, 1 year after surgery
Рис. 7. Пациент В. Фото глаза через 1 год после покрытия
Case 2
Patient K., 38 years old, was admitted on November 9, 2016, to the Eye Microsurgery Department No. 4 of the City multi-field hospital No. 2 for emergency care with a diagnosis of indolent keratouveitis of unknown etiology and purulent corneal ulcer with hypopyon in his left eye.
Upon admission, the patient complained of severe pain in the left eye, lacrimation, photophobia, blepharospasm, and lack of spatial vision.
The history included that the patient used silicone hydrogel MCLs for 20 years, making errors in the care and use of the lenses, such as “overwear” of the CLs (the manufacturer-recommended wearing period is 2 weeks), and washed his face with tap water while wearing the lenses. Surgeries were performed in 1996 on both eyes (scleroplasty) and in 1997 on the left eye (removal of the upper eyelid chalazion). His profession was strapper.
The disease onset was on May 24, 2016, when in the morning he complained of redness of the eye and a foreign-body sensation. The night before, he washed his face with tap water while wearing CLs at work. He went to the ophthalmologist in a primary care facility. The diagnosis was made of keratouveitis of the left eye of unknown etiology. Instillations of Ocomistin 0.01% 6 times a day, Maxitrol 3 times a day, and Corneregel 4 times a day were prescribed. The treatment lasted for 2 weeks without positive changes, after which the patient was treated by an ophthalmologist in a private center without improvement. On June 23, 2016, the patient consulted in the Diagnostic center No. 7 (ophthalmic), and treatment in an ophthalmic hospital was recommended. In-patient treatment was performed at the St. Petersburg Research Institute of Phthisiopulmonology from June 28 to July 11, 2016. Tuberculosis history revealed no pulmonary tuberculosis, and the patient denied having had tuberculous contact. X-ray of the lungs revealed no pathology. Visual acuity at admission was: left eye 0.08 incorrigible, right eye 0.08 sph –7.5 D = 0.75. The diagnosis was keratouveitis of unknown etiology of the left eye, and myopia of high degree of both eyes.
The following treatment was performed. Systemic: Nize tablets per os. Intravenous glucose solution 40% 10.0 + vitamin C 5.0 No. 3, a 30% solution of sodium thiosulfate 10.0 No. 3. Solution of sodium chloride 0.9% intravenous drip-feed 250.0 + 10% calcium chloride solution 10.0 + dexamethasone (8.0–8.0–8.0–4.0–4.0 mg). Subconjunctival injections of OS: gentamicin + dexamethasone 0.5 ml No. 10, poludan 50 U No. 3, mesatone + dexamethasone 0.5 ml No. 3. Instillations: 0.01% Ocomistin, Maxitrol, Oftalmoferon, 1.0% Cyclomed, and 0.02% CHB. Visual acuity at discharge of the left eye was 0.3 corrigible, of the right eye 0.75 corrigible. It was recommended to continue follow-up and treatment by the ophthalmologist in a primary care facility. The condition worsened, the patient was referred for in-patient treatment to the Leningrad Regional Clinical Hospital from August 10 to 19, 2016. Visual acuity at admission: left eye – hand movement at the face, right eye 0.02 sph – 7.5 D = 0.8. The diagnosis was acute keratouveitis of viral etiology of the left eye; high degree of myopia of both eyes.
The following treatment was performed. Systemic: citrine per os, 1 tablet at night, acyclovir, 1 tablet 5 times a day. Electrophoresis. Physiotherapy (magnet). Eye drops: Oftalmoferon 6 times a day, 0.15% Zirgan 6 times a day, 0.5% Vigamox tid, 0.09% Broksinak bid, 1% tropicamide qid, Hylomaks-Komod qid. With a referral from the DC No. 7 (ophthalmic), he consulted at the ophthalmological clinic of I.I. Mechnikov North Western State Medical University on August 26, 2016. The diagnosis was Left eye: corneal ulcer, acute purulent keratouveitis, and Both eyes – high degree of myopia. Emergency surgical treatment was recommended. He was admitted to the Leningrad Regional Clinical Hospital from September 15 to 23, 2016. Conjunctival keratoplasty according to Kuhnt with temporary blepharorrhaphy was performed on the left eye. Eye drops were prescribed: Cosopt 2 times a day constantly, 0.5% Vigamox tid for 2 weeks, 0.05% Vitabact qid, and 1% tetracycline ointment at night for 1 week. After 2 weeks, the conjunctival flap sutures were independently lysed, and eyelid sutures were removed by the doctor in the clinic. There were complaints of lacrimation, palpebral edema, and visual loss. On November 8, the patient was sent to a consultation in the ophthalmology clinic of the S.M. Kirov Military Medical Academy. Hospitalization in hospital No. 2 was recommended.
Upon admission to hospital No. 2, visual acuity of the left eye was hand movement at the face, best corrected visual acuity of the right eye was 0.08 sph – 8.0 D = 0.75. The peripheral limits of visual field of the left eye could not be determined. Intraocular pressure of the left eye by palpation was T + 1, that of the right eye was 20 mm Hg (measured by Maklakov method).
Biomicroscopy of the left eye revealed edema and hyperemia of the eyelids, as well as pronounced mixed injection of the eyeball, conjunctival chemosis, and in the optical and paraoptic zones of the cornea there was a white ring-shaped infiltrate with fuzzy contours and fusion in the center, d = 6.0 mm. The edges of the infiltrate reached the limbus in the vertical meridian. Reduced corneal sensitivity was found. The AC was shallower than in average. Opalescence of aqueous humor was “+++”, and 3 mm hypopyon was present. The pupil was round and in the center, d = 4.0 mm; there was no pupil reaction to light. Detailed ophthalmoscopy was difficult owing to the state of the cornea. A plain B-scan revealed no ultrasound pathology (Fig. 8).
Fig. 8. Patient K. Photo of the eye on admission
Рис. 8. Пациент К. Фото глаза при поступлении
In order to verify the diagnosis, a corneal confocal microscopy was performed with an HRT 3 device with a corneal module (Heidelberg Retina Tomograph Rostock Cornea Module). In the middle stroma of the stria there was an edema of the ground substances. Bright fusiform structures – pseudofilaments of Candida – and hyperreflective bilayer structures – Acanthamoeba cysts – were visualized in the layers of the middle stroma. The deeper layers of the cornea could not be visualized. The histopathology of the keratitis was of mixed (bacterial, Acanthamoeba, and fungal) etiology (Fig. 9). A washing from the cornea for Acanthamoebae was performed. Microscopy of the sediment revealed Acanthamoebae and bacteria; inoculation from the cornea and conjunctiva for the culture and sensitivity to antibiotics, on Sabouraud’s medium, was negative.
Fig. 9. Patient K. HRT Cornea Module
Рис. 9. Пациент К. HRT-роговичный модуль
The diagnosis was Left eye: keratouveitis of mixed etiology (Acanthamoebae + bacterial + fungal), both eyes: high degree myopia.
Topical and general therapy was been started. Instillations in the right eye were performed with CHB0.02% every hour, Ocomistin 0.01% 6 times a day, and Trusopt bid. Subconjunctival injections were made with cefazolin 50 mg + atropine sulfate 0.1% 0.2 ml. A solution of Metrogyl 100.0 mg 5 times a day and a reamberin solution 1.5% 400.0 ml bid were intravenous drip-fed.
Negative changes (thinning of the cornea in the infiltrate zone with perforation threat) persisted with conservative therapy. It was decided to perform surgery, namely covering the cornea with a corneal graft with a scleral band and an amnion with temporary blepharorrhaphy. In the postoperative period, instillations of eye drops were continued. On postoperative day 5, the patient was discharged with follow-up by a polyclinic doctor, and weekly examinations were recommended at the Eye Microsurgery Department No. 4. Instillations of a 0.02% solution of CHB were performed 4 times a day. After 2 months, the OS visual acuity was light perception with incorrect light projection. The intraocular pressure by palpation was Tn. Biomicroscopy showed an opaque, vascularized, cicatricial clouding of the cornea. PKP is planned in the future.
CONCLUSION
AK is one of the most severe conditions that can develop with various corneal injuries and CL wear. There is a threat not only of loss of vision, but also of the loss of the eye as an organ. The main cause of the disease is a violation of the recommended rules for wearing and caring for CLs as specified by the manufacturer; therefore, each patient should be strictly instructed on the recommended duration of CL wear, the need for thorough cleaning and disinfection of the CLs, the symptoms for which the patient has to visit a doctor, and the regularity of control examinations [2]. A big mistake today is following the obsolete recommendations for any injuries of the cornea, such as rinsing with plenty of tap water, which is unacceptable. Only the use of boiled water or an antiseptic (Okomistin 0.01%, Vitabact 0.05%) for washing the cornea can protect patients.
Early diagnosis of AK involves taking a thorough history and analyzing the clinical presentation. The most accurate diagnostic method to date is confocal microscopy of the cornea, which, in addition to detecting Acanthamoeba cysts, enables performing of a differential diagnosis with fungal keratitis. Diagnostic methods such as scraping and flushing from the cornea are less informative owing to the collection of material, usually from the surface layers of the cornea.
In AK, in-patient treatment is required. A patient should not wait for the diagnosis of AK to be clearly confirmed. Combined treatment includes the use of two amebicidal drugs (0.02% chlorhexidine solution and 0.1% propamidine isethionate solution), antiseptics, NSAIDs, etc. Premature withdrawal of specific therapy causes a relapse of the disease. According to our data, early surgical treatment, namely autoconjunctival tenoplasty with curettage of the affected area of the cornea, prevents the development of corneal perforation and shortens the treatment duration. It should be remembered that treatment involves prolonged use of cationic antiseptics, frequent examinations, and close follow-up. It should be borne in mind that all invasive diagnostic and treatment methods can contribute to the further spread of the pathogen.
The prognosis for vision in AK patients is worse than in other types of infectious keratitis [14].
The authors declare no conflicts of interest or financial interest.
Contribution of authors:
Yu.S. Astakhov created the study concept and design.
E.V. Skryabina, T.S. Varganova, V.P. Petukhov, K.V. Nokhrina, K.O. Dnestryanskaya were involved in collection and processing of material.
K.V. Nokhrina, Ya.S. Konenkova, K.O. Dnestryanskaya performed the analysis of the data obtained and wrote the text.
About the authors
Yelena V. Skryabina
City Multi-Field Hospital No. 2
Author for correspondence.
Email: scryabelena@mail.ru
MD, Ophthalmologist, Microsurgery Department No. 4
Russian Federation, Saint PetersburgYuriy S. Astakhov
Pavlov First Saint Petersburg State Medical University
Email: astakhov73@mail.ru
MD, Doctor of Medical Science, Professor, Department of Ophthalmology
Russian Federation, Saint PetersburgYanina S. Konenkova
City Multi-Field Hospital No. 2
Email: Krocon@mail.ru
MD, Head of Department, Microsurgery Department No. 4
Russian Federation, Saint PetersburgTatiana S. Varganova
City Multi-Field Hospital No. 2
Email: Varganova.ts@yandex.ru
MD, Candidate of Medical Sciences, Ophthalmologist, Consultative-Diagnostic Department of Ophthalmology
Russian Federation, Saint PetersburgVladimir P. Petukhov
City Multi-Field Hospital No. 2
Email: v.p.petukhov@gmail.com
MD, Ophthalmologist, Department of Laser Microsurgery
Russian Federation, Saint PetersburgKseniya V. Nokhrina
City Multi-Field Hospital No. 2
Email: noxrinak@mail.ru
MD, Ophthalmologist, Microsurgery Department No. 2
Russian Federation, Saint PetersburgKaleriya O. Dnestryanskaya
ACOH
Email: kaleria39@mail.ru
MD, Ophthalmologist, Microsurgery Department No. 1.
Russian Federation, ArkhangelskReferences
- Астахов Ю.С., Скрябина Е.В., Коненкова Я.С., и др. Диагностика и лечение грибковых кератитов // Офтальмологические ведомости. – 2013. – Т. 6. – № 2. – С. 75–80. [Astakhov YS, Skryabina EV, Konenkova YS, et al. Mycotic keratitis diagnosis and treatment. Oftalmologicheskie vedomosti. 2013:6(2):75-80. (In Russ.)]
- Бикбов М.М., Суркова В.К., Усубов Э.Л., Никитин Н.А. Акантамёбный кератит и результаты его лечения (клинические случаи) // Офтальмология. – 2015. – Т. 12. – № 4. – С. 80–83. [Bikbov MM, Surkova VK, Usubov EL, Nikitin NA. Acanthamoeba keratitis and outcomes of the treatment (clinical cases). Ophthalmology. 2015;12(4):80-83. (In Russ.)]. doi: 10.18008/1816-5095-2015-4-80-83.
- Гумерова С.Г., Марванова Л.Р. К вопросу о диагностике акантамебного кератита (клинический опыт) // Сборник тезисов Научно-практической конференции по офтальмохирургии с международным участием «Восток – Запад»; Июнь 6–7, 2013; Уфа. – Уфа: ДизайнПресс, 2013. – С. 298. [Gumerova SG, Marvanova LR. K voprosu o diagnostike akantamebnogo keratita (klinicheskiy opyt). In: Proceedings of the Scientific and Practical Conference on Ophthalmosurgery with international participation “Vostok–Zapad”; Ufa, 6-7 Jun 2013. Ufa: DizaynPress; 2013. P. 298. (In Russ.)]
- Кански Д. Клиническая офтальмология: систематизированный подход. – М.: Логосфера, 2006. [Kanski D. Klinicheskaya oftal’mologiya: sistematizirovannyy podkhod. Moscow: Logosfera; 2006. (In Russ.)]
- Майчук Д.Ю., Чилингарян Л.Б., Кишкин Ю.И., Майчук Н.В. Хирургическое лечение акантамёбного кератита методом фототерапевтической кератоэктомии. Анализ проблемы и клинический случай // Офтальмохирургия. – 2010. – № 6. – С. 51–54. [Maychuk DY, Chilingaryan LB, Kishkin YI, Maychuk NV. Phototherapeutic keratectomy in case of acanthameba keratitis. Ophthalmosurgery. 2010;(6):51-54. (In Russ.)]
- Медицинская паразитология и паразитарные болезни / Под ред. А.Б. Ходжаян, С.С. Козлова, М.В. Голубевой. – М.: ГЭОТАР-Медиа, 2014. [Meditsinskaya parazitologiya i parazitarnye bolezni. Ed. by A.B. Khodzhayan, S.S. Kozlov, M.V. Golubeva. Moscow: GEOTAR-Media; 2014. (In Russ.)]
- Нероев В.В., Петухова А.Б., Гундорова Р.А., Оганесян О.Г. Сферы клинического применения кросслинкинга роговичного коллагена // Практическая медицина. – 2012. – № 4–1. – С. 72–74. [Neroev VV, Petukhova AB, Gundorova RA, Oganesyan OG. Sphere of Clinical application of corneal collagen cross-linking. Prakticheskaya meditsina. 2012;(4-1):72-74. (In Russ.)]
- Обрубов А.С., Слонимский А.Ю. Оптимизация тактики ведения пациентов с кератитами и гнойными язвами роговицы, связанных с ношением контактных линз // Сборник тезисов научной конференции офтальмологов «Невские горизонты»; Апрель 22–23, 2016; Санкт-Петербург. – СПб.: Политехника-сервис, 2016. – С. 462–463. [Obrubov AS, Slonimskiy AY. Optimizatsiya taktiki vedeniya patsientov s keratitami i gnoynymi yazvami rogovitsy, svyazannykh s nosheniem kontaktnykh linz. In: Proceedings of the scientific conference of ophthalmologists “Nevskie gorizonty”; Saint Petersburg, 22-23 Apr 2016. Saint Petersburg: Politekhnika-servis; 2016. P. 462-463. (In Russ.)]
- Околов И.Н., Чайка Н.А., Егорова О.В., и др. Акантамёбы и акантамёбный кератит. Пособие для врачей / Под ред. Л.И. Балашевича. – СПб., 2005. [Okolov IN, Chayka NA, Egorova OV, et al. Akantameby i akantamebnyy keratit. Posobie dlya vrachey. Ed. by L.I. Balashevich. Saint Petersburg; 2005. (In Russ.)]
- Офтальмология. Клинические рекомендации / Под ред. Л.К. Мошетовой, А.П. Нестерова, Е.А. Егорова. – М.: ГЭОТАР-Медиа, 2009. [Oftal’mologiya. Klinicheskie rekomendaysii. Ed. by L.K. Moshetova, A.P. Nesterov, E.A. Egorov. Moscow: GEOTAR-Media; 2009. (In Russ.)]
- Офтальмология: руководство / Под ред. Д.П. Элерса, Ч.П. Шаха. – М.: МЕДпресс-информ, 2012. [Oftal’mologiya: rukovodstvo. Ed. by D.P. Elers, C.P. Shakh, Moscow: MEDpress-inform; 2012. (In Russ.)]
- Офтальмология. Фармакотерапия без ошибок. Руководство для врачей / Под ред. Ю.С. Астахова, В.П. Николаенко. – М.: Е-нота, 2016. [Oftal’mologiya. Farmakoterapiya bez oshibok. Rukovodstvo dlya vrachey. Ed. by Y.S. Astakhov, V.P. Nikolaenko. Moscow: E-nota; 2016. (In Russ.)]
- Предместина Н.В. Использование Вигамокса в лечении микробных кератитов, явившихся следствием осложнений при ношении контактных линз // Эффективная фармакотерапия. – 2012. – № 38. – С. 20–27. [Predmestina NV. Ispol’zovanie Vigamoksa v lechenii mikrobnykh keratitov, yavivshikhsya sledstviem oslozhneniy pri noshenii kontaktnykh linz. Effektivnaya farmakoterapiya. 2012;(38):20-27. (In Russ.)]
- Руководство по клинической офтальмологии / Под ред. А.Ф. Бровкиной, Ю.С. Астахова. – М.: Медицинское информационное агентство, 2014. [Rukovodstvo po klinicheskoy oftal’mologii. Ed. by A.F. Brovkina, Y.S. Astakhov. Moscow: Meditsinskoe informatsionnoe agentstvo; 2014. (In Russ.)]
- Вэндер Д.Ф., Голт Д.А. Секреты офтальмологии. – М.: МЕДпресс-информ, 2008. [Vender DF, Golt DA. Sekrety oftal’mologii. Moscow: MEDpress-inform; 2008. (In Russ.)]
- Ян А.В., Жоголев К.С., Кутик Д.С., Кузнецов А.Р. Диодные лазеры среднего ИК-диапазона: возможности лечения бактериальных язв роговицы // Сборник тезисов IX съезда офтальмологов России; Июнь 16–18, 2010; Москва. – М.: Офтальмология, 2010. [Yan AV, Zhogolev KS, Kutik DS, Kuznetsov AR. Diodnye lazery srednego IK diapazona: vozmozhnosti lecheniya bakterial’nykh yazv rogovitsy. In: Proceedings of the 9th Congress of Ophthalmologists of Russia; Moscow, 16-18 Jun 2010. Moscow: Oftal’mologiya; 2010. (In Russ.)]
- Eyewiki.aao.org [Internet]. Kozak A, Brad H. Feldman MD, et al. Acanthamoeba Keratitis [cited 2018 Dec 11]. Available from: http://eyewiki.aao.org/Acanthamoeba_Keratitis.
- Lorenzo-Morales J, Martin-Navarro CM, Lopez-Arencibia A, et al. Acanthamoeba keratitis: an emerging disease gathering importance worldwide? Trends Parasitol. 2013;29(4):181-187. https://doi.org/10.1016/j.pt.2013.01.006.
- Marciano-Cabral F, Cabral G. Acanthamoeba spp. as agents of disease in humans. Clin Microbiol Rev. 2003:16(2):273-307. https://doi.org/10.1128/CMR.16.2.273-307.2003.
- Alizadeh H, Neelam S, Hurt M, Niederkorn JY. Role of contact lens wear, bacterial flora, and mannose-induced pathogenic protease in the pathogenesis of amoebic keratitis. Infect Immun. 2005;73(2):1061-1068. https://doi.org/10.1128/IAI.73.2.1061-1068.2005.
- Alio JL, Abbouda A, Valle DD, et al. Corneal cross linking and infectious keratitis: a systematic review with a meta-analysis of reported cases. J Ophthalmic Inflamm Infect. 2013;3(1):47. https://doi.org/10.1186/1869-5760-3-47.
- Garate M, Cao Z, Bateman E, Panjwani N. Cloning and characterization of a novel mannose-binding protein of Acanthamoeba. J Biol Chem. 2004;279(28):29849-56. https://doi.org/10.1074/jbc.M402334200.
- Kettesy B, Modis Jr L, Berta A, Kemeny-Beke A. Keratoplasty in Contact Lens Related Acanthamoeba Keratitis. In: Keratoplasties-Surgical techniques and complications. Ed. by L. Mosca. London: IntechOpen; 2012.
- Seal DV, Pleyer U. Ocular Infection: investigation and treatment in practice. 2nd revised edition. Taylor & Francis Inc; 2007. 384 p.
- Visvesvara GS, Moura H, Schuster FL. Pathogenic and opportunistic free-living amoebae: Acanthamoeba spp., Balamuthia mandrillaris, Naegleria fowleri, and Sappinia diploidea. FEMS Immunol Med Microbiol. 2007;50(1):1-26. https://doi.org/10.1111/j.1574-695X.2007.00232.x.
- Kumar R, Lloyd D. Recent advances in the treatment of Acanthamoeba keratitis. Clin Infect Dis. 2002;35(4):434-41. doi: 10.1086/341487.
- Clarke DW, Niederkorn JY. The pathophysiology of acanthamoeba keratitis. Trends Parasitology. 2006;22(4):175-180. https://doi.org/10.1016/j.pt.2006.02.004
- van Klink F, Alizadeh H, He Y, et al. The role of contact lenses, trauma, and Langerhans cells in a Chinese hamster model of Acanthamoeba keratitis. Invest Ophthalmol Vis Sci. 1993;34(6):1937-1944.
Supplementary files













