Subthreshold lasercoagulation (810 nm) for diabetic macular edema
- Authors: Izmaylov A.S.1, Kotsur T.V.1
-
Affiliations:
- IR & TC “Eye Microsurgery” named after Academician S.N. Fyodorov, St. Petersburg Branch
- Issue: Vol 11, No 4 (2018)
- Pages: 15-20
- Section: Articles
- Submitted: 20.02.2019
- Published: 15.12.2018
- URL: https://journals.eco-vector.com/ov/article/view/11120
- DOI: https://doi.org/10.17816/OV11415-20
- ID: 11120
Cite item
Abstract
Introduction. The threshold laser coagulation leads to irreversible damage of retinal structures, microscotomata appearance in the central visual field, contrast sensitivity decrease, and color vision impairment, being accompanied as well by the release of proinflammatory cytokines. For diabetic macular edema treatment, a method of high-density subthreshold laser coagulation (810 nm) was first developed, based on individualized choice of subthreshold parameters of laser irradiation, and permitting confluent application of laser impacts to the retina. Using multimodal diagnostic approach to the estimation of anatomic and functional treatment results, a minimally invasive character and safety of this DME treatment method were confirmed.
Purpose. The aim of this study was to comparatively evaluate the efficacy of a diode laser (810 mn) subthreshold laser treatment using high-density laser impact application in diode laser coagulation (DLC) and diode microphotocoagulation (DMP) modes.
Materials and methods. To compare the efficacy of subthreshold laser treatment methods (DLC and DMP), patients were divided into two groups, comparable in macular edema thickness and area. The first group (24 eyes) received a macular laser coagulation in grid pattern and MicroPulse diode laser (810 nm) regimen; biomicroscopically it was predominantly subthreshold high-density application of burns. The second group (29 eyes) received a macular laser coagulation in grid pattern and continuous diode laser (810 nm) regimen; biomicroscopically it was predominantly subthreshold high-density application of burns.
Results. After DLC and DMP, there was no statistically significant difference between compared groups in best corrected visual acuity. There was also no significant difference in retinal edema maximal height dynamics, retinal edema area, and central thickness in 2 and 4 months.
Conclusion. Subthreshold microphotocoagulation and laser coagulation methods at the same average power of laser exposure and other exposure parameters in the shortterm follow-up have comparable efficacy in the treatment of diabetic macular edema.
Full Text
INTRODUCTION
Diabetic retinopathy is the leading cause of blindness in economically developed countries, while diabetic macular edema (DME) is one of the primary causes of patient disability.
The efficacy of laser coagulation of the macula performed as a part of DME treatment was confirmed in a multicenter randomized Early Treatment Diabetic Retinopathy Study. Laser coagulation using modified “grid” pattern (mETDRS) is the modern standard for laser treatment of DME.
BACKGROUND
Despite the changes in the DME treatment strategy over the past decade, such as the use of pharmacological approach involving intravitreous administration of anti-angiogenic and anti-inflammatory drugs, laser retinal coagulation has not lost its relevance [1, 2, 6, 8]. The modern standard for laser treatment of DME is represented by laser coagulation along a modified “grid” (mETDRS), which is accompanied in the thresholdmode by an increase in the concentration of proinflammatory cytokines, the appearance of microscotomas in the visual field, and a decrease in the contrast sensitivity of the retina [5, 7]. In this regard, there is a growing interest among ophthalmologists to spare subthreshold microphotocoagulation techniques in various modifications and with the use of lasers of different wavelengths [3, 4]. Nevertheless, the use of subthreshold microphotocoagulation technology is associated with several disadvantages, such as the degree of pigmentation of the fundus not being considered, and the requirement of special equipment and trained medical personnel. Another disadvantage of this minimally invasive technique, as well as the traditional laser coagulation along a “grid” of the macula, is the limited number of laser impacts and the insufficient total area of the treated edematous retina.
New high-tech diagnostic instrumental methods, particularly high-resolution optical coherence tomography (OCT), OCT-angiography, and microperimetry have expanded the possibilities for studying structural and functional changes in the retina and chorioretinal complex. Therefore, the nature of tissue changes occurring with the use of minimally invasive laser interventions could be accurately assessed, and the treatment results could also be precisely evaluated.
This study aimed to comparatively analyze the efficacy of subthreshold treatment employing a diode laser (810 nm) with high-density laser impacts using diode laser coagulation (DLC) and diode microphotocoagulation (DMP) methods.
MATERIAL AND METHODS
To compare the efficacies of DLC and DMP, 2 study groups of patients with comparable thickness and length of macular edema were formed (Table 1).
Table 1 / Таблица 1
ОКТ-морфометрические показатели сетчатки групп сравнения до лазерного лечения
OCT-morphometric retinal parameters of comparison groups before laser treatment
Group of patients | Central retinal thickness (M ± m, µm) | Maximum retinal thickness (M ± m, µm) | Area of edema |
One (diode microphotocoagulation) | 258.21 ± 70.3 | 410.32 ± 63.4 | 1413.61 ± 177.43 |
Two (diode laser coagulation) | 257.25 ± 74.5 | 418.32 ± 8.4 | 1942.42 ± 166.01 |
In group 1 (DLC group), patients were treated using high-density subthreshold laser coagulation method, whereas patients in group 2 (DMP group) were treated using high-density microphotocoagulation (Table 2).
Table 2 / Таблица 2
Patients distribution by comparison groups
Распределение пациентов по группам в зависимости от метода лазерного лечения
Group of patients | Laser treatment technique |
One (24 eyes) – diode microphotocoagulation | Laser coagulation of the macula by the “grid” method in the MicroPulse mode of a diode laser (810 nm), biomicroscopically primarily subthreshold exposure with high-density burns. |
Two (29 eyes) – diode laser coagulation | Laser coagulation of the macula by the “grid” method in the continuous mode of a diode laser (810 nm), biomicroscopically primarily subthreshold exposure with high-density burns. |
The best corrected visual acuity (BCVA) of patients in the DMP group prior to treatment was approximately 0.55 ± 0.05. In the DLC group, the BCVA value was 0.48 ± 0.04.
Patients with uncontrolled arterial hypertension (mean blood pressure >150/90 mmHg), edema of the lower extremities, and high macular edema (>500 μm) were excluded from the study. The follow-up period was 4 months.
Medical equipment included infrared diode ophthalmocoagulator ALOD 01 (Alcom Medica, St. Petersburg) with a wavelength of 810 nm and a continuous mode of operation and microphotocoagulation.
High-density subthreshold laser coagulation and microphotocoagulation were performed over the entire area of the edema with high-density laser pulses (a distance of 0–1 irradiation spot diameter between the laser spots, and confluent nature of laser application were allowed). With microphotocoagulation, 10% of the “duty cycle” was used, the exposure time was 0.3 s, and the spot diameter was 100 μm. High-density subthreshold laser coagulation was performed in a continuous mode using the same procedure.
The main stage of treatment was preceded by a preliminary selection of the energy parameters for laser irradiation. The exposure parameters were considered as conforming ones if a subtle burn of the retina was observed in 1 of the 10 laser applications. The laser radiation power was 200–310 mW for high-density subthreshold laser coagulation and 2100–3000 mW for high-density microphotocoagulation. The number of laserburns was 200–800 per treatment session.
Following laser treatment, OCT was performed (HD-OCT Cirrus 4000, Carl Zeiss Meditec AG) to assess the changes occurring in the macular edema over a period of time. Upon completion of the procedure, fluorescein angiography (FA) of the retina (ImageNet, Topcon) and OCT-angiography (RTVue Xr, OptoVue) were performed.
Statistical analysis was performed with non-parametric data processing methods using the Statistica 6.0 software.
STUDY RESULTS
Following DLC and DMP, there were no significant differences in BCVA between the groups upon comparison after 2 (p = 0.06) and 4 months (p = 0.1).
Following treatment consisting of the high-density subthreshold laser coagulation technique, the maximum thickness of retinal edema decreased significantly. Before the treatment, the edema was of 416.79 ± 55.11 μm; after 2 and 4 months, it was reduced to 398.82 ± 57.27 μm (p = 0.007761) and 393.85 ± 53.15 (p = 0.010616), respectively. A similar effect was observed on the retinal edema area. Before treatment, the area was of 1805.61 ± 917.97 pix.; after 2 and 4 months, the area reduced to 1442.27 ± 825.96 pix. and 1165.42 ± 727.61 pix. (p = 0.000001), respectively.
After 2 months, the central retinal thickness significantly decreased from 258.0 ± 70.29 to 242.85 ± 62.71 μm (p = 0.00248). However, BCVA following treatment did not change significantly.
Comparative analysis of the OCT morphometric indices of retinal edema, the examination being performed 2 and 4 months following treatment which consisted of high-density subthreshold laser coagulation (810 nm) and high-density microphotocoagulation (810 nm), revealed comparable pretreatment parameters and the absence of changes in the regression of the macular edema between the 2 groups (Figs. 1–3).
Fig. 1. Dynamics of the maximal retinal edema height after high-density microphotocoagulation and after high-density subthreshold laser coagulation: a – in 2 months; b – in 4 months
Рис. 1. Динамика максимальной высоты отёка сетчатки после микрофотокоагуляции высокой плотности и субпороговой лазерной коагуляции высокой плотности: a — через 2 месяца; b — через 4 месяца
Fig. 2. Dynamics of the central retinal thickness after high-density microphotocoagulation and after high-density subthreshold laser coagulation: a – in 2 months; b – in 4 months
Рис. 2. Динамика центральной толщины сетчатки после микрофотокоагуляции высокой плотности и субпороговой лазерной коагуляции высокой плотности: a — через 2 месяца; b — через 4 месяца
Fig. 3. Dynamics of the macular edema area after high-density microphotocoagulation and after high-density subthreshold laser coagulation: a – in 2 months; b – in 4 months
Рис. 3. Динамика площади макулярного отёка после микрофотокоагуляции высокой плотности и субпороговой лазерной коагуляции высокой плотности: a — через 2 месяца; b — через 4 месяца
FA and OCT-angiography (17 eyes) performed 1 month following subthreshold DLC revealed no atrophic alterations in the pigment epithelium in 14 eyes, and showed a decrease in the number of microaneurysms in 10 eyes (Fig. 4).
Fig. 4. Angio-OCT results after high-density subthreshold laser coagulation: a – before treatment; b – in 1 month after treatment
Рис. 4. Результаты ОКТ-ангиографии после выполнения субпороговой лазерной коагуляции высокой плотности: а — до лечения; b — через 1 месяц
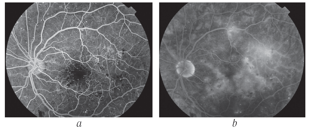
FA performed before and 1 month following subthreshold DLC (7 eyes) revealed the absence of foci of atrophy in the areas of the final test coagulate and retinal edema treated by applying confluent subthreshold coagulates (Fig. 5).
Fig. 5. Fluorescein angiography: a – before treatment (arteriovenous and late venous phases); b – in 1 month after subthreshold high-density laser coagulation
Рис. 5. Флюоресцентная ангиография: a — до лечения (артериовенозная и поздняя венозная фазы исследования); b — через 1 месяц после проведения субпороговой лазерной коагуляции высокой плотности
CONCLUSION
High-density subthreshold laser coagulation (810 nm) and high-density microphotocoagulation (810 nm) methods lead to a comparable reduction of DME during the follow-up period of 4 months.
Based on the complex application of modern diagnostic methods (OCT, FA, and angio-OCT), it is established that high-density subthreshold laser coagulation (810 nm) with individual selection of laser power does not have any damaging effect on the chorioretinal complex structures.
About the authors
Aleksandr S. Izmaylov
IR & TC “Eye Microsurgery” named after Academician S.N. Fyodorov, St. Petersburg Branch
Author for correspondence.
Email: 061@mail.ru
Doctor of Medical Science, MD of Highest Qualification, Head of Laser Surgery Department
Russian Federation, Saint PetersburgTat’yana V. Kotsur
IR & TC “Eye Microsurgery” named after Academician S.N. Fyodorov, St. Petersburg Branch
Email: tatiana781@yandex.ru
MD, Ophthalmologist. Laser Microsurgery and Fluorescent Angiography Department
Russian Federation, Saint PetersburgReferences
- Балашевич Л.И., Чиж Л.В., Гацу М.В. Микрофотокоагуляция фокального диффузного диабетического макулярного отёка // Сборник тезисов международной конференции «Лазерно-оптические технологии в биологии и медицине»; Минск, 14-15 октября 2004 г. - Минск: Институт физики им. Б.И. Степанова НАН Беларуси, 2004. - С. 107-111. [Balashevich LI, Chizh LV, Gatsu MV. Mikrofotokoagulyatsiya fokal'nogo diffuznogo diabeticheskogo makulyarnogo oteka. In: Proceedings of the International Conference “Lazerno-opticheskie tekhnologii v biologii i meditsine”; Minsk, 14-15 Oct 2004. Minsk: Institut fiziki im. B.I. Stepanova NAN Belarusi; 2004. P. 107-111. (In Russ.)]
- Гацу М.В., Чиж Л.В. Сравнительная эффективность фокальной и панмакулярной методик субпорогового микроимпульсного диодлазерного воздействия при лечении диабетического макулярного отёка // Сахарный диабет. - 2008. - № 3. - С. 30-33. [Gatsu MV, Chizh LV. Sravnitel'naya effektivnost' fokal'noy i panmakulyarnoy metodik subporogovogo mikroimpul'snogo diodlazernogo vozdeystviya pri lechenii diabeticheskogo makulyarnogo oteka. Diabetes mellitus. 2008;(3):30-33. (In Russ.)]
- Патент РФ на изобретение № 2012145257/ 25.10.12. Бюл. № 32. Измайлов А.С., Коцур Т.В. Способ лазерного лечения диабетического макулярного отёка. [Patent RUS No 2012145257/ 25.10.12. Byul. No 32. Izmaylov AS, Kotsur TV. Sposob lazernogo lecheniya diabeticheskogo makulyarnogo oteka. (In Russ.)]
- Lavinsky D, Cardillo JA, Melo LA, Jr., et al. Randomized clinical trial evaluating mETDRS versus normal or high-density micropulse photocoagulation for diabetic macular edema. Invest Ophthalmol Vis Sci. 2011;52(7):4314-4323. doi: 10.1167/iovs.10-6828.
- Ходжаев Н.С., Черных В.В., Роменская И.В., и др. Влияние лазеркоагуляции сетчатки на клинико-лабораторные показатели у пациентов диабетическим макулярным отёком // Вестник Новосибирского государственного университета. Серия «Биология, клиническая медицина». - 2011. - Т. 9. - № 4. - C. 48-53. [Khodzhaev NS, Chernykh VV, Romenskaya IV, et al. Effect of retinal lasercoagulation on the clinical-laboratory indices patients with diabetic macular edema. Vestnik Novosibirskogo gosudarstvennogo universiteta. Seriia “Biologiia, klinicheskaiya meditsina”. 2011;9(4):48-53. (In Russ.)]
- Early Treatment Diabetic Retinopathy Study design and baseline patient characteristics. ETDRS report number 7. Ophthalmology. 1991;98(5 Suppl):741-756. doi: 10.1016/S0161-6420(13)38009-9.
- Дога А.В., Качалина Г.Ф., Педанова Е.К., Буряков Д.А. Место субпорогового микроимпульсного лазерного воздействия при лечении диабетического макулярного отёка // Современные технологии в офтальмологии. - 2016. - № 1. - С. 67-70. [Doga AV, Kachalina GF, Pedanova EK, Buryakov DA. Mesto subporogovogo mikroimpul'snogo lazernogo vozdeystviya pri lechenii diabeticheskogo makulyarnogo oteka. Sovremennye tekhnologii v oftal'mologii. 2016;(1):67-70. (In Russ.)]
- Качалина Г.Ф., Павлова Е.С. Субпороговая аргоновая коагуляция сетчатки в лечении очаговой диабетической макулопатии // Офтальмохирургия. - 2004. - № 3. - С. 43-46. [Kachalina GF, Pavlova ES. Subthreshold Argon Coagulation of the Retina in the Treatment of Focal Diabetic Maculopathy. Ophthalmosurgery. 2004;(3):43-46. (In Russ.)]
Supplementary files









