Clinical features of three-layer’s impairment of capillary plexuses’ perfusion at follow-up in patients with Purcher retinopathy and Purcher-like retinopathy
- Authors: Poroshina M.A.1, Pedanova E.K.1, Samedov A.K.1, Matyaeva A.D.1, Kalinich N.I.2
-
Affiliations:
- S. Fyodorov Eye Microsurgery Federal State Institution
- O.M. Filatov City Clinical Hospital No. 15 of the Moscow Department of Health
- Issue: Vol 16, No 4 (2023)
- Pages: 79-89
- Section: Case reports
- Submitted: 06.05.2023
- Accepted: 08.10.2023
- Published: 12.01.2024
- URL: https://journals.eco-vector.com/ov/article/view/397238
- DOI: https://doi.org/10.17816/OV397238
- ID: 397238
Cite item
Abstract
In Purcher retinopathy and Purcher-like retinopathy, ischemic lesions occur at the level of all three retina capillary plexuses. Recognition of characteristic ischemic patterns by optical coherence tomography helps to predict the degree of visual functions’ recovery. The aim of this study is to present clinical cases of patients with Purcher retinopathy and Purcher-like retinopathy and to observe the dynamics of visual rehabilitation of patients with retinal vascular conditions. Two patients with complaints of central vision loss and skotomata in the visual field were examined. The complex of multimodal visualization included fundus photoregistration with fundus camera, optical coherence tomography and optical coherence tomography-angiography, and microperimetry. Paracentral acute middle maculopathy and acute macular neuroretinopathy are the manifestations of the same ischemic process on different levels of retinal vascular plexuses. The “diffuse” pattern damages in paracentral acute middle maculopathy lead to more permanent structural and functional impairments opposed to the “skip” pattern. The optical coherence tomography allows to predict the possibilities of visual and functional rehabilitation in patients with ischemic damage of retinal vessels.
Full Text
АКТУАЛЬНОСТЬ
Высокая метаболическая активность сетчатки, особенно макулярной зоны, требует увеличенной оксигенации данной области. Кровоснабжение сетчатки осуществляется двумя системами кровеносных сосудов: наружные отделы сетчатки кровоснабжаются за счёт хориокапилляров сосудистой оболочки, а внутренние отделы — из системы центральной артерии сетчатки, которая, разделяясь на более мелкие веточки, проникает вглубь внутренних слоёв сетчатки, формируя, в конечном итоге, капиллярные сплетения. Выделяют три капиллярных сплетения сетчатки: поверхностное (superficial capillary plexus), расположенное в слое ганглионарных клеток, промежуточное (intermediate capillary plexus) — вдоль внутренней поверхности внутреннего ядерного слоя, граничащего с внутренним плексиформным слоем, и глубокое капиллярное сплетение (deep capillary plexus) — вдоль внешней границы внутреннего ядерного слоя. Промежуточное и глубокое сплетения являются отдельными сосудистыми сетями, однако их принято называть глубоким сосудистым комплексом (deep vascular complex). Капиллярные сплетения в сетчатке, помимо трофической функции, задерживают часть световых лучей, идущих к фоторецепторам. Ввиду физиологической особенности строения фовеальной аваскулярной зоны, образованной только концевыми капиллярами глубокого сосудистого сплетениями, эта зона является наиболее уязвимой для ишемических повреждений [1].
В 2013 г. J. Scharf и соавт. [1] описали заболевания макулярной области, сопровождающиеся изолированными ишемическими повреждениями сетчатки. В зависимости от локализации повреждений выделяют два типа состояний: парацентральная острая срединная макулопатия (ПОСМ) и острая макулярная нейроретинопатия (ОМН). ПОСМ проявляется лентовидным гиперрефлективным поражением на уровне внутреннего ядерного слоя и плексиформного слоя и может быть представлена двумя видами повреждений: в виде разлитого инфаркта всех трёх слоёв — «диффузный» паттерн повреждения (от англ. «diffuse» — диффузный) и «выпадающего» паттерна (от англ. «skip» — скачок, прыжок), характеризующегося ишемическими гиперрефлективными повреждениями плексиформных слоёв с гипорефлективным внутренним ядерным слоем. Ишемическое состояние ОМН представляет собой поражения на уровне наружных слоёв сетчатки и пигментного эпителия с вовлечением фоторецепторов [1, 2].
ПОСМ и ОМН могут быть идиопатическими или вторичными по отношению к патологии сетчатки, а также рассматриваться как признак системных заболеваний, таких как диабетическая ретинопатия, окклюзия центральной артерии сетчатки, окклюзия центральной вены сетчатки или её ветви, серповидно-клеточная ретинопатия и ретинопатия Пурчера.
Ретинопатия Пурчера является ангиопатией, в патогенезе которой играет роль окклюзия сосудов сетчатки микроэмболами травматической этиологии, в результате чего возникает ишемия в зоне сосудистых нарушений [3]. Чаще всего ретинопатия Пурчера наблюдается у мужчин молодого или среднего возраста. Нарушение зрения обычно начинается через 24–48 ч после первоначальной травмы [4, 5]. Сходные патогенетические механизмы наблюдаются при пурчероподобной ретинопатии, при которой происходит окклюзия сосудов микроэмболами другой этиологии. Наиболее частыми причинами пурчероподобной ретинопатии становятся острый и хронический панкреатит, почечная недостаточность, аденокарцинома поджелудочной железы, воздушная эмболия, нефротический синдром, заболевания соединительной ткани, острый инфаркт миокарда, а также аутоиммунные заболевания [3].
Характерное клиническое проявление ретинопатии Пурчера и пурчероподобной ретинопатии — потеря или снижение остроты зрения, которые могут сопровождаться выпадением полей зрения в виде центральных, парацентральных или дугообразных скотом. Периферические зрительные функции обычно сохранены [6].
Офтальмоскопически могут обнаруживаться участки различной степени поверхностного и интраретинального побеления сетчатки, имеющие в основе единый механизм образования окклюзии ретинальных сосудов и капилляров эмболами различного размера. Ватообразные очаги являются следствием окклюзии более крупных ретинальных сосудов и ишемии внутренних слоёв сетчатки, интраретинальные участки побеления сетчатки в виде ПОСМ — следствием повреждения внутреннего ядерного слоя и прилежащих сосудистых сплетений, а повреждения по типу ОМН как инфаркт наружной части сетчатки [4, 7]. В настоящее время доказано, что такие ишемические повреждения слоёв сетчатки могут быть не отдельным заболеванием, а являться синдромальным компонентом более тяжёлой сосудистой патологии [8, 9].
Диагноз ретинопатии Пурчера и пурчероподобной ретинопатии ставится на основании характерной клинической картины и тщательно собранного анамнеза. В настоящее время эффективного лечения этих заболеваний нет. Как правило, при естественном течении процесса изменения в сетчатке разрешаются спонтанно в течение 1–3 мес. [3]. В настоящее время отсутствуют схемы лечения с доказанной эффективностью по сравнению с естественным течением заболевания, поэтому чаще всего рекомендуется наблюдательная тактика.
По данным литературы, ишемические повреждения капилляров могут встречаться при данных заболеваниях на всех трёх уровнях капиллярных сплетений. Однако до настоящего времени не изучались данные о влиянии различных видов ишемических поражений капиллярных сплетений на отдалённый функциональный результат. До сих пор неясно, от чего зависит прогноз зрительной реабилитации таких пациентов.
Таким образом, цель нашей работы — представить клинические случаи пациентов с ретинопатией Пурчера и пурчероподобной ретинопатией, дать оценку динамики сосудистых нарушений в сетчатке, используя мультимодальные методы диагностики, в первую очередь, оптическую когерентную томографию (ОКТ), и на основании этого сделать предположение о прогнозе зрительных функций.
МАТЕРИАЛЫ И МЕТОДЫ
Пациентам А. и С., мужчины 27 и 44 лет соответственно, с диагнозом «ретинопатия Пурчера» и «пурчероподобная ретинопатия», с жалобами на снижение зрения и скотомы в поле зрения проведено комплексное обследование, включающее стандартные и специальные методы исследования. Стандартное офтальмологическое обследование состояло из визометрии (таблица Сивцева – Головина), микропериметрии, биомикроскопии переднего отрезка глаза, непрямой офтальмобиомикроскопии с линзой 78 D. Комплекс мутильтимодальной визуализации включал в себя фоторегистрацию с использованием фундус-камеры Visucam 500 (Zeiss, Германия), ОКТ, ОКТ-ангиографию (ОКТА) и аутофлуоресценцию глазного дна, выполненные на приборе Spectralis (Heidelberg Engineering, Германия). Спектральную ОКТ проводили с помощью протокола Posterior Pole, состоящего из 61 скана и площадью сканирования макулы 30 × 25 градусов, ОКТА — в макулярной области с площадью сканирования 6 × 6 мм. Для дальнейшего анализа использовали анфас-снимки с ручной сегментацией изображения глубокого капиллярного сплетения. Микропериметрия выполнялась на приборе MAIA (Centerview, Италия).
Срок динамического наблюдения за пациентами составил полгода с периодичностью 1, 3 и 6 мес.
КЛИНИЧЕСКИЙ СЛУЧАЙ № 1
Пациент С., 27 лет. Со слов пациента, после тяжёлого отравления суррогатами алкоголя с проявлениями интоксикационного синдрома (головная боль, тошнота, рвота) и острого панкреатита (сильные опоясывающие боли в поясничной области), находился на стационарном лечении, заметил снижение зрения обоих глаз и выпадение в полях зрения по типу «пятен». Через 2 нед. после заболевания обратился в МНТК «Микрохирургия глаза». Максимально корригированная острота зрения (МКОЗ) на момент обращения: правый глаз (OD) = 0,8; левый глаз (OS) = 0,6. По данным диагностических методов обследования и анамнеза (острый алкогольный панкреатит) был поставлен диагноз: «Пурчероподобная ретинопатия».
При офтальмоскопии вдоль сосудистых аркад и в макулярной области обнаружены очаги поверхностного и интраретинального побеления сетчатки. Крупные поверхностные очаги насыщенного белого цвета соответствуют ватообразным очагам, более прозрачные интраретинальные побеления — проявлением ПОСМ. Стрелки проставлены только на снимке первого визита в связи с тем, что с каждым последующим визитом интраретинальные очаги уменьшались и исчезали (рис.1, а). Через 1 мес. МКОЗ на обоих глазах составила 1,0 и оставалась стабильной на протяжении всего периода наблюдения.
Рис. 1. Фото глазного дна правого и левого глаза в динамике: а — при первичном обращении через 2 нед. после начала заболевания; b — через 1 мес.; c — через 3 мес.; d — через 6 мес. Белая стрелка — ватообразный очаг, чёрная стрелка — парацентральная острая срединная макулопатия
Fig. 1. Follow-up fundus photos of the right and left eye: a — at the initial visit 2 weeks after the onset of the disease; b — after 1 month; c — after 3 months; d — after 6 months. White arrow — cotton-wool spot, black arrow — paracentral acute middle maculopathy
ОКТ-сканирование в зонах побеления сетчатки выявило структурные нарушения в виде гиперрефлективных очагов в различных слоях сетчатки, которые экранируют глубжележащие слои. Первый тип ишемических повреждений характеризовался гиперрефлективными очагами во внутренних слоях сетчатки, соответствующие ватообразным очагам. Представлена динамика резорбции гиперрефлективного ватообразного очага, который через 1 мес. уменьшился вдвое, а через полгода практически не визуализировался (рис. 2).
Рис. 2. Динамика регресса ватообразного очага правого глаза (стрелка): а — при первичном обращении через 2 нед., после начала заболевания; b — через 1 мес.; c — через 3 мес.; d — через 6 мес.
Fig. 2. Dynamics of cotton-wool spot’s regression in the right eye (arrow): а — at the initial visit 2 weeks after the onset of the disease; b — after 1 month; c — after 3 months; d — after 6 months
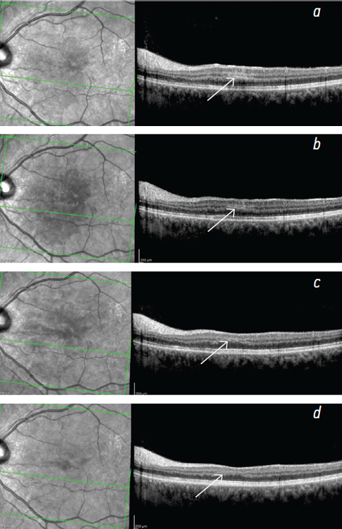
Второй тип изменений представлен гиперрефлективными поражениями в наружном и внутреннем плексиформных слоях сетчатки, что соответствует «выпадающему» паттерну ПОСМ, так как наружный ядерный слой остался гипорефлективным (рис. 3). В динамике ишемический процесс привёл к атрофии внутреннего ядерного слоя и прилежащих плексиформных слоёв.
Рис. 3. Динамика регресса «выпадающего» паттерна парацентральной острой срединной макулопатии левого глаза (стрелка): а — при первичном обращении через 2 нед. после начала заболевания; b — через 1 мес.; c — через 3 мес.; d — через 6 мес.
Fig. 3. Dynamics of paracentral acute middle maculopathy “skip” pattern regression in the left eye (arrow): а — at the initial visit 2 weeks after the onset of the disease; b — after 1 month; c — after 3 months; d — after 6 months
Третий тип изменений на ОКТ визуализируется очаговыми гипорефлективными дефектами в наружных слоях сетчатки. Просматриваются различные по размеру очаговые нарушения структуры в эллипсоидной зоне фоторецепторов и в их наружных сегментах (рис. 4).
Рис. 4. Динамика регресса изменений наружных слоёв сетчатки по типу острой макулярной нейроретинопатии (стрелка): а — при первичном обращении через 2 нед. после начала заболевания; b — через 1 мес.; с — через 3 мес.; d — через 6 мес.
Fig. 4. Regression dynamics of changes in external retinal layers by the type of acute macular neuroretinopathy (arrow) а — at the initial visit 2 weeks after the onset of the disease; b — after 1 month; с — after 3 months; d — after 6 months
На инфракрасном снимке поражения фоторецепторов по типу ОМН видны в виде гипорефлективных очагов, которые в течение 1 мес. немного увеличиваются в размерах, затем постепенно частично исчезают. На протяжении периода наблюдения мы видим тенденцию к восстановлению структуры повреждённых слоёв. Однако даже через 6 мес. нет полного восстановления повреждённых наружных слоёв сетчатки.
По данным микропериметрии были выявлены относительные и абсолютные скотомы в макулярной области с сохранением центральной точки фиксации взора, по локализации соответствующие жалобам пациента на выпадение по типу «пятен» (рис. 5). Через 6 мес. наблюдения были обнаружены участки сниженной светочувствительности в макуле, что, вероятно, связано с локальным повреждением слоя фоторецепторов при ОМН.
Рис. 5. Динамика изменений светочувствительности по данным микропериметрии правого (a, c, e) и левого глаза (b, d, f): а, b — при первом визите; c, d — через 1 мес.; e, f — через 6 мес.
Fig. 5. Dynamics of changes in photosensitivity according to microperimetry in the right eye (a, c, e) and left eye (b, d, f): а, b — at the initial visit; c, d — after 1 month; e, f — after 6 months
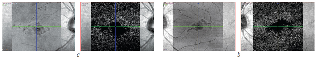
На ОКТА на уровне глубокого капиллярного сплетения визуализировались участки локального выпадения кровотока, которые на анфас снимках проявлялись в виде множественных гипорефлективных пятен (рис. 6). Интересен тот факт, что ишемия на уровне глубокого сосудистого сплетения нарастала в течение 3 мес. после начала заболевания, что свидетельствует о хроническом ПОСМ, при котором развивается частичная потеря кровотока [10].
Рис. 6. Динамика поражения глубокого капиллярного сплетения на ОКТА: а — при первичном обращении через 2 нед. после начала заболевания; b — через 1 мес.; c — через 3 мес.; d — через 6 мес.
Fig. 6. Dynamics of deep capillary plexus damages on OCTA: а — at the initial visit 2 weeks after the onset of the disease, b — after 1 month; c — after 3 months; d — after 6 months
Клинический пример пациента с пурчероподобной ретинопатией демонстрирует поражения всех трёх уровней сосудистых сплетений: ватообразные очаги образовались из-за сосудистой аномалии в поверхностном сосудистом сплетении, ПОСМ стало результатом поражения глубокого сосудистого комплекса, а ОМН — следствием нарушения кровоснабжения на уровне наружных слоёв сетчатки.
Динамика изменений прослеживается на протяжении всего периода наблюдения за пациентом. Становится очевидным, что лучше всего регрессируют ватообразные очаги, поражения по типу ПОСМ приводят к структурным нарушениям сетчатки. «Выпадающий» паттерн ПОСМ свидетельствует об остром течении заболевания и более лёгком перфузионном нарушении в глубоком капиллярном сплетении. ОМН приводит к нарушению целостности наружных сегментов фоторецепторов и при неполном восстановлении влияет на функциональный прогноз. Как видно, через 6 мес. восстановилась анатомическая целостность наружных и внутренних слоёв сетчатки, за исключением небольшой разрежённости в слое наружных сегментов фоторецепторов, что и стало причиной сохраняющихся «пятен» в поле зрения пациента.
КЛИНИЧЕСКИЙ СЛУЧАЙ 2
Пациент А., 46 лет. Обратился в МНТК «Микрохирургия глаза». Со слов пациента, 6 мес. назад получил множественную травму (закрытый перелом правой бедренной кости, закрытый вывих правого плеча, окклюзионный тромбоз одной из икроножных вен справа). Пациент принимал антикоагулянтную и антиагрегантную терапию, назначенную врачом специализированного стационара по поводу полученных травм. Через несколько дней после травмы заметил множественные выпадения в поле зрения по типу «пятен». В стационаре было проведено офтальмологическое обследование: МКОЗ — OD = 0,6 (сквозь «пятна»), OS = 0,7. При офтальмоскопии (по данным выписки из истории болезни): диск зрительного нерва бледно-розовый, границы чёткие, сосудистый пучок в центре, артерии умеренно сужены, вены полнокровны, в макулярной области — рефлекс выражен, вдоль сосудистых аркад единичные ватообразные очаги.
На ОКТ-снимках, выполненных в стационаре на момент поступления, были выявлены множественные гиперрефлективные очаги на уровне внутреннего ядерного, наружного и внутреннего плексиформных слоёв, разреженность в слое наружных сегментов фоторецепторов (рис. 7). Представленная ОКТ-картина соответствовала «диффузному» паттерну ПОСМ, так как в ишемический процесс вовлекаются все три слоя: внутренний ядерный и прилежащие плексиформные слои. «Диффузный» паттерн ПОСМ свидетельствовал о более грубых перфузионных нарушениях в глубоком сосудистом сплетении и о возможном переходе в хронический ишемический процесс. Поражения ОМН затронули наружную часть сетчатки и проявлялись разрежённостью наружных сегментов фоторецепторов.
Рис. 7. ОКТ-сканирование правого (а) и левого (b) глаза после травмы
Fig. 7. OCT-scans of the right eye (a) and of the left eye (b) after injury
На момент обращения в МНТК «Микрохирургия глаза» спустя 6 мес. после травмы у пациента сохраняются «пятна» в поле зрения OU, больше на правом глазу. МКОЗ: OD = 1,0; OS = 1,0. На основании жалоб и анамнеза (травматическая этиология) был поставлен диагноз: «Ретинопатия Пурчера».
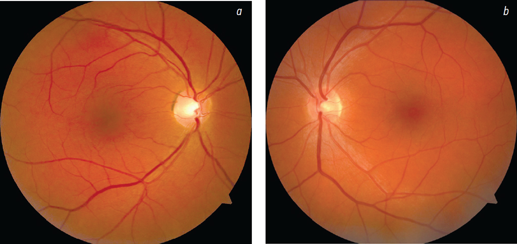
При непрямой офтальмоскопии на глазном дне была выявлена небольшая диспигментация в макулярной области обоих глаз, перипапиллярная атрофия на правом глазу, расширение вен сетчатки (рис. 8).
Рис. 8. Офтальмоскопическая картина глазного дна правого (а) и левого глаза (b) через 6 мес. от начала заболевания
Fig. 8. Fundus photos of the right eye (a) and of the left eye (b) after 6 months of the disease’s onset
На ОКТ на обоих глазах визуализируется сглаженность макулярного профиля, неравномерность внутренних слоёв сетчатки, гиперрефлективные включения во внутренних слоях сетчатки, а также гиперрефлективная зона с чёткими краями во внутреннем плексиформном слое на правом глазу (рис. 9). На местах «диффузного» паттерна ПОСМ визуализируются обширные зоны атрофии внутреннего ядерного и наружного плексиформного слоёв, которые стали результатом хронической ишемии на уровне глубокого капиллярного сплетения, о чём свидетельствует локально сохраняющая гиперрефлективность на уровне плексиформных слоёв. На уровне фоторецепторов повреждений нет.
Рис. 9. ОКТ-сканирование правого (а) и левого (b) глаза
Fig. 9. OCT-scans of the right eye (a) and of the left eye (b)
По данным микропериметрии выявляется снижение светочувствительности сетчатки больше на правом глазу, что соответствует более выраженным изменениям на структурных оптических томограммах макулярной зоны правого глаза. Точка фиксации в центре макулы (рис. 10). На правом глазу парамакулярно абсолютные и относительные скотомы.
Рис. 10. Динамика изменений светочувствительности по данным микропериметрии правого (a, c) и левого глаза (b, d): а, с — при первом визите через 6 мес. после травмы; b, d — через месяц после первого визита
Fig. 10. Dynamics of the photosensitivity changes according to microperimetry in the right (a, c) and of the left eye (b, d): а, с — at the initial visit, 6 months after the injury; b, d — in 1 month after the initial visit
На ОКТА визуализировались расширение фовеолярной аваскулярной зоны на уровне глубокого капиллярного сплетения, а также диффузные выпадения кровотока на этом уровне, соответствующие атрофическим зонам на ОКТ (рис. 11).
Рис. 11. Поражение глубокого капиллярного сплетения правого (а) и левого (b) глаза на ОКТА через 6 мес. после начала заболевания
Fig. 11. Damage to the deep capillary plexus in the right eye (a) and left eye (b) on OCT after 6 months of the disease’s onset
Представленный клинический случай пациента с ретинопатией Пурчера показывает динамику неполной резорбции «диффузного» паттерна ПОСМ, который приводит к хронической ишемии глубокого капиллярного сплетения и, как следствие, к более серьёзным анатомическим и структурным нарушениям сетчатки в виде атрофии внутреннего ядерного и плексиформных слоёв. Это подтверждается данными литературы, свидетельствующими, что в глубоком сосудистом сплетении происходит наибольшее снижение перфузионного давления, сниженное насыщение крови кислородом одновременно с повышенным потреблением кислорода близлежащими слоями сетчатки [7]. Кроме того, истончение и атрофия внутреннего ядерного слоя, которые происходят у некоторых пациентов с хронической ПОСМ, подтверждает теорию ишемии этого слоя сетчатки. Расширение фовеальной аваскулярной зоны и повреждения на уровне глубокого сосудистого сплетения коррелируют со степенью тяжести и протяжённости поражения ПОСМ.
Стоит отметить, что пациенты могут предъявлять жалобы на снижение зрения или на наличие скотом в поле зрения, в то время как на глазном дне не будет обнаружено грубых структурных нарушений, как в данном клиническом случае [11].
ЗАКЛЮЧЕНИЕ
Несмотря на разную этиологию, ретинопатия Пурчера и пурчероподобная ретинопатия имеют одну и ту же клиническую картину заболевания, что может затруднять их дифференциальную диагностику. Диагноз ставится на основании характерной клинической картины и тщательно собранного анамнеза. Чаще всего беспокойство у пациентов вызывает снижение зрения и появление абсолютных или относительных парацентральных скотом. Методы мультимодальной диагностики, включая ОКТ, ОКТА и микропериметрию, позволяют комплексно обследовать пациента с целью дальнейшего наблюдения и прогноза зрительной реабилитации.
Становится очевидным, что ватообразные очаги, ПОСМ и ОМН — это проявления одного и того же ишемического процесса на разных уровнях сосудистых сплетений сетчатки. «Выпадающий» паттерн в отличие от «диффузного» паттерна ПОСМ оказался прогностически более благоприятным в отношении сохранения анатомической целостности внутренних структур сетчатки. Поражения по типу острой макулярной нейроретинопатии в большей степени оказывают влияние на степень нарушения светочувствительности сетчатки. Нарушения кровоснабжения на уровне глубокого капиллярного сплетения при динамическом наблюдении увеличиваются в сроке от 1 до 3 мес., что объясняется теорией ишемически-реперфузионного повреждения, когда после периода ишемии реперфузия сдерживает быстрое повреждение сетчатки. Однако этот процесс сопровождается образованием избыточного количества активных форм кислорода, появлению нейротоксичного оксида азота, а также воспаления, что приводит к ещё большему повреждению капиллярного сплетения [10].
Учитывая, что доказанного эффективного лечения ПОСМ и ОМН нет, процессы являются саморазрешающимися. Дифференцировка ПОСМ на острую и хроническую помогает оценить прогноз течения заболевания и предсказывать функциональную реабилитацию пациента.
Ограничением данной работы является маленькая группа наблюдения, что требует дальнейшего увеличения выборки пациентов и изучения в этой области.
ДОПОЛНИТЕЛЬНАЯ ИНФОРМАЦИЯ
Вклад авторов. Все авторы внесли вклад в разработку концепции, проведение исследования и подготовку статьи, прочли и одобрили финальную версию перед публикацией. Вклад каждого автора: М.А. Порошина — написание текста, обзор литературы, диагностические исследования; Е.К. Педанова — существенный вклад в концепцию и дизайн работы, редактирование, диагностические исследования; А.Х. Самедов — сбор и обработка материалов, диагностические исследования, редактирование; А.Д. Матяева — написание текста, обзор литературы; Н.И. Калинич — диагностические исследования.
Конфликт интересов. Авторы декларируют отсутствие явных и потенциальных конфликтов интересов, связанных с публикацией настоящей статьи.
Источник финансирования. Авторы заявляют об отсутствии внешнего финансирования при проведении исследования.
Информированное согласие на публикацию. Авторы получили письменное согласие пациентов на публикацию медицинских данных и фотографий.
ADDITIONAL INFORMATION
Authors’ contribution. Thereby, all authors made a substantial contribution to the conception of the study, acquisition, analysis, interpretation of data for the work, drafting and revising the article, final approval of the version to be published and agree to be accountable for all aspects of the study. Contribution of each author: M.A. Poroshina — writing text, literature review, diagnostic eamination; E.K. Pedanova — substantial contribution to conception and design work, editing, diagnostic examination; A.Kh. Samedov — collection, analysis and processing of the material, editing, diagnostic examination; A.D. Matyaeva — writing text, literature review; N.I. Kalinich — diagnostic examination.
Competing interests. The authors declare that they have no competing interests.
Funding source. This study was not supported by any external sources of funding.
Consent for publication. Written consent was obtained from the patient for publication of relevant medical information and all of accompanying images within the manuscript.
About the authors
Mariya A. Poroshina
S. Fyodorov Eye Microsurgery Federal State Institution
Email: doctor_poroshina@mail.ru
ORCID iD: 0000-0002-3110-4772
SPIN-code: 8654-8948
Russian Federation, 59a Beskudnikovskii bulvar, Moscow, 27486
Elena K. Pedanova
S. Fyodorov Eye Microsurgery Federal State Institution
Email: elenamntk@mail.ru
ORCID iD: 0000-0001-5191-3385
SPIN-code: 1409-0712
MD, Cand. Sci. (Medicine)
Russian Federation, MoscowAzad Kh. Samedov
S. Fyodorov Eye Microsurgery Federal State Institution
Email: shakatak65@mail.ru
ORCID iD: 0009-0005-9187-1980
Russian Federation, Moscow
Angelina D. Matyaeva
S. Fyodorov Eye Microsurgery Federal State Institution
Email: matyaeva.lina@yandex.ru
ORCID iD: 0000-0001-7543-619X
SPIN-code: 3302-0808
Russian Federation, Moscow
Neilya I. Kalinich
O.M. Filatov City Clinical Hospital No. 15 of the Moscow Department of Health
Author for correspondence.
Email: nkalinich.lazer@mail.ru
ORCID iD: 0009-0007-8456-8064
MD, Cand. Sci. (Medicine)
Russian Federation, MoscowReferences
- Scharf J, Freund KB, Sadda S, Sarraf D. Paracentral acute middle maculopathy and the organization of the retinal capillary plexuses. Prog Retin Eye Res. 2021;81:100884. doi: 10.1016/j.preteyeres.2020.100884
- Rahimy E, Kuehlewein L, Sadda SR, Sarraf D. Paracentral acute middle maculopathy: What we knew then and what we know now. Retina. 2015;35(10):1921–1930. doi: 10.1097/iae.0000000000000785
- Miguel AI, Henriques F, Azevedo LF, et al. Systematic review of Purtscher’s and Purtscher-like retinopathies. Eye (Lond). 2013;27(1):1–13. doi: 10.1038/eye.2012.222
- Agrawal A, McKibbin MA. Purtscher’s and Purtscher-like retinopathies: a review. Surv Ophthalmol. 2006;51(2):129–136. doi: 10.1016/j.survophthal.2005.12.003
- Volodin PL, Ivanova EV, Solomin VA, Khrisanfova ES. Application of micropulse mode in the selective range of of energy parameters of laser exposure in the treatment of Purcher retinopathy (clinical case). Modern technologies in ophthalmology. 2018;(1):68–71. (In Russ.)
- Tripathy K, Patel BC. Purtscher retinopathy. StatPearls. Treasure Island (FL): StatPearls Publishing, 2022.
- Iovino C, Au A, Ramtohul P, et al. Coincident PAMM and AMN and insights into a common pathophysiology. Am J Ophthalmol. 2022;236:136–146. doi: 10.1016/j.ajo.2021.07.004
- Agrawal A, McKibbin M. Purtscher’s retinopathy: epidemiology, clinical features and outcome. Br J Ophthalmol. 2007;91:1456–1459. doi: 10.1136/bjo.2007.117408
- Mal’tsev DS, Kulikov AN, Leongardt TA. Quantitative optical coherence tomography-angiography in the diagnosis of paracentral acute median maculopathy and acute median maculopathy. Modern technologies in ophthalmology. 2017;(7): 55–57. (In Russ.)
- Nemiroff J, Phasukkijwatana N, Sarraf D. Optical coherence tomography angiography of deep capillary ischemia. Dev Ophthalmol. 2016;56:139–145. doi: 10.1159/000442806
- Chuang EL, Miller FS III, Kalina RE. Retinal lesions following long bone fractures. Ophthalmology. 1985;92(3):370–374. doi: 10.1016/S0161-6420(85)34023-X
Supplementary files















