Сравнительная характеристика офтальмологической симптоматики орбитокраниальной и орбитальной кавернозной венозной мальформации
- Авторы: Серова Н.К.1, Трунова А.П.1, Григорьева Н.Н.1, Ласунин Н.В.1
-
Учреждения:
- Национальный медицинский исследовательский центр нейрохирургии им. акад. Н.Н. Бурденко
- Выпуск: Том 16, № 4 (2023)
- Страницы: 35-42
- Раздел: Оригинальные исследования
- Статья получена: 31.08.2023
- Статья одобрена: 27.11.2023
- Статья опубликована: 12.01.2024
- URL: https://journals.eco-vector.com/ov/article/view/568972
- DOI: https://doi.org/10.17816/OV568972
- ID: 568972
Цитировать
Аннотация
Актуальность. Кавернозная венозная мальформация орбиты, ранее известная как кавернозная гемангиома орбиты, относится к сосудистым мальформациям с медленной скоростью кровотока и является частым поражением орбиты у взрослых. Распространение кавернозной венозной мальформации орбиты в полость черепа встречается крайне редко.
Цель — сравнительный анализ офтальмологической симптоматики орбитокраниальной и орбитальной кавернозной венозной мальформации.
Материалы и методы. Исследованию подверглось 50 пациентов, оперированных в ФГАУ «НМИЦ нейрохирургии им. акад. Н.Н. Бурденко» с 2004 по 2023 г. Было выделено две группы пациентов с кавернозной венозной мальформацией орбиты: группа 1 — распространяющейся в полость черепа, группа 2 — локализующейся только в орбите.
Результаты. У 29 пациентов кавернозная венозная мальформация орбиты распространялась в полость черепа через верхнюю, нижнюю глазничную щель, зрительный канал и/или их сочетания; у 21 пациента объёмное образование находилось только в орбите. В обеих группах превалировали лица женского пола; средний возраст составил 44 года. Отличительными особенностями пациентов группы 1 были чаще встречающиеся и более выраженные зрительные нарушения, глазодвигательные нарушения, обусловленные преимущественно поражением глазодвигательного и отводящего нервов, атрофия зрительного нерва, нерезко выраженный экзофтальм. У пациентов группы 2 экзофтальм был более выраженным, зрительные нарушения были негрубыми, глазодвигательные нарушения обусловлены наличием объёмного образования в орбите, на глазном дне превалировал отёк диска зрительного нерва.
Заключение. Офтальмологическая симптоматика обусловлена топографо-анатомическими вариантами кавернозной мальформации.
Полный текст
АКТУАЛЬНОСТЬ
Кавернозная венозная мальформация (КВМ) орбиты, ранее известная как кавернозная гемангиома (КГ) орбиты, является частым поражением орбиты у взрослых [1].
Ранее это объёмное образование принято было относить к доброкачественным опухолям. Согласно классификации Международного общества по изучению сосудистых аномалий (International Society for the Study of Vascular Anomalies, ISSVA) 2018 г. КВМ орбиты приравнивают к сосудистым мальформациям с медленной скоростью кровотока. В нашем исследовании КВМ орбиты мы обозначаем соответственно данным этой классификации. Однако на сегодняшний день термин «кавернозная гемангиома» (КГ) используют многие авторы, поэтому в литературном обзоре мы будем придерживаться терминологии, которую использовал автор.
У женщин КГ орбиты встречается в 2,5 раза чаще, чем у мужчин [2, 3].
Клиническая картина зависит от локализации КВМ орбиты. Наиболее частой локализацией становится мышечная воронка [2]. Клиническими признаками этой локализации являются: медленно прогрессирующий осевой непульсирующий экзофтальм (60–70 %), снижение зрения (41 %), изменение рефракции в сторону гиперметропии за счёт компрессии заднего полюса глаза, глазодвигательные нарушения (20–30 %) наблюдаются за счёт воздействия объёмного образования на экстраокулярные мышцы. В случае расположения КГ орбиты вне мышечной воронки имеет место экзофтальм со смещением глазного яблока и ограничением подвижности глаза в сторону объёмного образования. Реже регистрируют такие симптомы как диплопия, отёк век, хемоз бульбарной конъюнктивы [1–6].
КВМ с локализацией в вершине орбиты и распространением в полость черепа, как правило, через верхнюю глазничную щель (ВГЩ) и зрительный канал (ЗК), — крайне редкая патология.
Наиболее частые клинические признаки КГ вершины орбиты, по данным ряда авторов [7–10]: снижение остроты зрения, появление дефектов в поле зрения, развитие отёка диска зрительного нерва, или первичной атрофии зрительного нерва, наличие глазодвигательных нарушений за счёт компрессионного воздействия на черепные нервы, диплопия, лицевая гипестезия, медленное прогрессирование экзофтальма.
Анализ литературы показал, что в небольшом числе публикаций сравнивается офтальмологическая симптоматика КВМ вершины орбиты с её распространением в полость черепа и КВМ, локализующейся только в орбите.
Таким образом, целью нашего исследования стал сравнительный анализ офтальмологической симптоматики орбитокраниальной и орбитальной КВМ.
МАТЕРИАЛЫ И МЕТОДЫ
Для решения поставленной задачи в исследование было включено 50 пациентов с КВМ орбиты, находившихся на лечении в ФГАУ «НМИЦ нейрохирургии им. акад. Н.Н. Бурденко» в период c 2004 по 2023 г. Среди них было 39 женщин и 11 мужчин (4 : 1). Возраст пациентов составил от 17 до 69 лет, медиана 43,5 лет (рис. 1).
Рис. 1. Распределение пациентов по полу и возрасту
Fig. 1. Distribution of patients by gender and age
Всем пациентам проводили офтальмологическое обследование, которое включало: визометрию, периметрию, экзофтальмометрию с помощью экзофтальмометра Гертеля, исследование глазодвигательной, моторно-зрачковой функции, прямую и обратную офтальмоскопию, биомикроскопию переднего отрезка глаза.
По созданной нами рабочей классификации выраженность экзофтальма оценивали следующим образом: 1–2 мм — I степень, 3–4 мм — II степень, 5–6 мм — III степень, 7 мм и более — IV степень.
Визометрию проводили на аппарате Рота по оптотипам Сивцева – Головина, Ландольта.
Поле зрения исследовали методом автоматической статической периметрии с помощью анализатора Humphrey Field Analyzer II (Carl Zeiss Meditec Inc., Германия) по программе Threshold test Central-30-2 и методом кинетической мануальной периметрии с использованием периметра Ферстера.
Были сформированы следующие градации зрительных нарушений: остроту зрения от 0,9 до 1,0 и отсутствие дефектов поля зрения принимали за норму; начальным зрительным нарушениям соответствовала острота зрения от 0,8 до 0,5 и начальные дефекты (<1/4 до 1/4 площади) поля зрения; умеренными зрительными нарушениями считали снижение остроты зрения от 0,4 до 0,1, дефекты поля зрения (>1/4 до 3/4 площади); за выраженные зрительные расстройства принимали остроту зрения менее 0,1 вплоть до практической слепоты с грубыми дефектами в поле зрения (>3/4 от площади), либо с центральной скотомой.
В зависимости от выраженности зрительных нарушений и состояния диска зрительного нерва были выделены две стадии зрительных расстройств: ранняя и поздняя. К ранней стадии отнесли высокие зрительные функции или умеренные зрительные нарушения, нормальное глазное дно или начальное побледнение диска зрительного нерва с отёком или без него; позднюю стадию составили низкие зрительные функции и выраженное побледнение диска зрительного нерва.
При осмотре внимание уделяли таким показателям, как симметричность глазных щелей, наличие полуптоза/птоза, отёк век, наличие и направление смещения глазного яблока в орбите. Магнитно-резонансную томографию проводили 31 пациенту, 19 пациентам — компьютерную. Наличие объёмного образования в области верхней глазничной щели и канала зрительного нерва свидетельствовало о распространении кавернозной мальформации в полость черепа. Помимо нейровизуализационных методов исследований распространение кавернозной мальформации в полость черепа подтверждалось протоколом операции.
Все пациенты оперированы в Центре нейрохирургии им. акад. Н.Н. Бурденко. Для удаления КВМ использовали следующие доступы: костнопластическую латеральную орбитотомию — у 32 пациентов, супраорбитальный доступ — у 13, орбитозигоматический доступ — у 3, эндоскопический трансназальный доступ — у 1, простую поднадкостничную орбитотомию — у 1 пациента.
Морфологическое исследование во всех наблюдениях подтвердило КВМ во всех случаях.
РЕЗУЛЬТАТЫ ИССЛЕДОВАНИЯ
Анамнез заболевания с момента появления жалобы пациента составил от 1 мес. до 10 лет (в среднем 2,5 года).
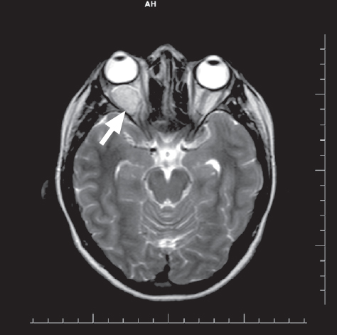
На основании данных нейровизуализационных методов исследования было выделено две группы пациентов: группа 1 — 29 пациентов c КВМ орбиты, распространяющейся в полость черепа, из них 15 с распространением в ВГЩ и ЗК, 8 пациентов — в ВГЩ, 2 — в ЗК, 3 — в ВГЩ и нижнюю глазничную щель, у 1 пациента КВМ орбиты распространялась в полость черепа с разрушением крыши орбиты; в группу 2 включены пациенты с КВМ, локализующейся только в орбите, — 21 пациент (рис. 2, 3).
Рис. 2. Магнитно-резонансная томография. Кавернозная венозная мальформация орбиты, распространяющаяся в полость черепа через верхнюю глазничную щель и зрительный канал: а — аксиальная проекция, режим Т2; b — сагиттальная проекция, режим Т2
Fig. 2. Magnetic resonance tomography. Cavernous venous malformation of the orbit, spread into the cranial cavity through the superior orbital fissure and the optic canal: а — axial projection, T2 mode; b — sagittal projection, T2 mode
Рис. 3. Магнитно-резонансная томография. Кавернозная венозная мальформация, локализующаяся только в орбите, аксиальная проекция, режим Т2
Fig. 3. Magnetic resonance tomography. Cavernous venous malformation localized only in the orbit, axial view, T2 mode
Офтальмологическая симптоматика пациентов группы 1 (n = 29)
При обследовании 13 пациентов жаловались на боль в области орбиты/лобной области на стороне поражения, чаще после физической нагрузки. У 7 пациентов имела место пастозность век, у 3 — полуптоз. Дистопия глазного яблока была отмечена у 6 пациентов.
У 27 пациентов диагностирован экзофтальм: у 8 — I степени, у 16 — II степени, у 1 — III степени, у 2 пациентов — IV степени. Разброс экзофтальма был от 1 до 8 мм, в среднем 3 мм. Зрительные нарушения отмечали у 16 пациентов (55,2 %): начальные — у 7 пациентов, умеренные — у 5, практическая слепота — у 4. У большинства из них (13 пациентов) было распространение КВМ в полость черепа через ЗК и ВГЩ. Длительность зрительных нарушений составила от 1 мес. до 10 лет (в среднем 2,5 года).
Нормальную офтальмоскопическую картину наблюдали у 13 пациентов (44,8 %). У 9 пациентов выявляли начальные признаки первичной атрофии диска зрительного нерва, у 4 была выраженная, у 3 пациентов — отёк диска зрительного нерва.
Ранняя стадия зрительных нарушений зафиксирована у 12, поздняя — у 4 пациентов.
Глазодвигательные нарушения выявлены у 7 пациентов (24,1 %). У 4 они были обусловлены поражением глазодвигательного и отводящего нервов при распространении КВМ из орбиты в полость черепа через ВГЩ и проявлялись ограничением движения глаза на 1/3 нормы и более; у 3 пациентов глазодвигательные нарушения стали результатом воздействия объёмного образования на экстраокулярные мышцы.
Офтальмологическая симптоматика пациентов группы 2 (n = 21)
Жалобу на боль в области орбиты/лобной области на стороне объёмного образования предъявляли 7 пациентов. При осмотре у 5 пациентов имел место небольшой отёк век.
У пациентов этой группы так же, как и в группе 1, среди клинических проявлений превалировал экзофтальм от 1 до 10 мм и был выявлен у 17 человек: у 5 — I степень, у 5 — II степень, у 4 — III степень, и у 3 пациентов — IV степень.
Нормальная офтальмоскопическая картина наблюдалась у 14 пациентов (61,9 %), у 4 пациентов выявляли отёк диска зрительного нерва, у 3 были начальные признаки первичной атрофии диска зрительного нерва. Зрительные нарушения были у 7 пациентов (33,3 %): у 5 — начальные, у 2 — умеренные. Таким образом, у всех 7 человек была ранняя стадия зрительных нарушений.
Глазодвигательные нарушения имели 7 пациентов (33,3 %), у 5 из них мальформация располагалась в пределах мышечной воронки, нарушение движения глаза было обусловлено ее воздействием на экстраокулярные мышцы, что проявлялось ограничением движения глаза в стороны не более 1–2 мм. У 2 пациентов мальформация локализовалась вне мышечной воронки, ограничение движения глаза было в сторону локализации объёмного образования.
Таким образом, в результате исследования выявлены отличительные особенности офтальмологической симптоматики у пациентов с локализацией мальформации только в орбите и с распространением её в полость черепа. Сравнительная характеристика офтальмологической симптоматики в группах представлена на рис. 4.
Рис. 4. Сравнительная характеристика офтальмологической симптоматики
Fig. 4. Comparative characteristics of ophthalmological manifestations
В обеих группах частым симптомом был экзофтальм, однако в группе 1 чаще он был умеренным, в группе 2 — выраженным. Зрительные нарушения различной степени выраженности наблюдали преимущественно в группе 1, тогда как в группе 2 имелись начальные зрительные нарушения, на глазном дне у пациентов группы 1 чаще была первичная атрофия зрительного нерва, группы 2 — преимущественно отёк диска зрительного нерва.
ОБСУЖДЕНИЕ
С 2018 г. КВМ орбиты согласно классификации Международного общества по изучению сосудистых аномалий (International Society for the Study of Vascular Anomalies (ISSVA) относят к мальформациям с медленной скоростью кровотока [11]. Однако до настоящего времени в литературе встречается термин «кавернозная гемангиома».
Рост КГ орбиты чрезвычайно медленный и первым симптомом является медленно прогрессирующий безболезненный экзофтальм. Однако при её распространении в полость черепа первым симптомом заболевания нередко становится снижение остроты зрения и появление дефектов в поле зрения [5–8].
У женщин КВМ орбиты встречается чаще, чем у мужчин. В работах G.J. Harris и F.A. Jakobiec [3] соотношение женщин и мужчинам составило 7 : 3, тогда как J.W. Henderson и соавт. [12] cообщили о почти равном соотношении (8 : 7). В нашем исследовании так же большую часть пациентов составили лица женского пола — 4 : 1, что совпадает с результатами работы [3].
Заболевание обычно диагностируют, по данным разных авторов, в 30–50 лет [1, 2, 4, 13, 14]. Среди наших пациентов возраст составил от 17 до 69 лет (в среднем 44 года).
Наиболее частой локализацией КГ орбиты является мышечная воронка [2]. КВМ с локализацией в вершине орбиты и распространением в полость черепа, как правило, через верхнюю глазничную щель и зрительный канал, крайне редкая патология. Анализ литературы показал, что недостаточно сведений относительно сравнительной характеристики офтальмологической симптоматики КВМ, локализующейся в вершине орбиты с распространением в полость черепа, и мальформацией только в орбите.
Так, в литературных обзорах представлена информация об офтальмологической симптоматике КГ орбиты [5, 15]; о мальформации, локализующейся в вершине орбиты [7, 9, 13], либо оценивается офтальмологическая симптоматика КГ орбиты и вершины орбиты, не рассматривая их отличительные особенности [6, 16].
Проведя сравнительную оценку двух групп пациентов, нами выявлено, что у пациентов c распространением мальформации в полость черепа зрительные нарушения встречаются значительно чаще (55,2 %) и более выраженные, вплоть до практической слепоты. К этому приводит компрессионное воздействие на зрительный нерв в вершине орбиты и зрительном канале. Наши результаты согласуются с данным литературы [5, 7].
У пациентов с КВМ только орбиты чаще отмечались нормальные зрительные функции, либо начальные и умеренные зрительные нарушения (33,3 %).
В нашей серии наблюдений на глазном дне у пациентов группы 1 превалировала первичная атрофия зрительного нерва (44,8 %), нежели отёк диска зрительного нерва. Отёк наблюдался преимущественно у пациентов группы 2 (19,1 %) и был связан с нарушением венозного оттока из орбиты и нарушением аксонального тока в зрительном нерве.
Глазодвигательные нарушения у пациентов группы 1 были обусловлены преимущественно воздействием объёмного образования на глазодвигательный и отводящий черепные нервы, что согласуется с данным литературы [13]. У пациентов группы 2 глазодвигательные нарушения чаще были обусловлены воздействием объёмного образования на экстраокулярные мышцы.
По мнению A. Suri [13], J.D. Osguthorpe и соавт. [17], у пациентов с КГ вершины орбиты и её распространением в полость черепа экзофтальм встречается редко и медленно прогрессирует. Среди наших пациентов экзофтальм встречался практически одинаково часто у пациентов группы 1 (93,1 %) и группы 2 (81 %), однако в группе 1 он был менее выраженным — преимущественно II степени.
ЗАКЛЮЧЕНИЕ
Таким образом, офтальмологическая симптоматика обусловлена топографо-анатомическими вариантами объёмного образования. В обеих группах основными офтальмологическими симптомами были: экзофтальм, зрительные нарушения, глазодвигательные нарушения, изменения на глазном дне. Однако, сравнив обе группы, прослеживаются характерные отличия пациентов с КВМ вершины орбиты и её распространением в полость черепа (группа 1) и пациентов с локализацией объёмного образования только в орбите (группа 2): зрительные и глазодвигательные нарушения более выражены были у пациентов в группе 1, на глазном дне превалировали признаки первичной атрофии диска зрительного нерва; у пациентов группы 2 была более выраженная степень экзофтальма, при офтальмоскопическом исследовании чаще встречается отёк диска зрительного нерва.
ДОПОЛНИТЕЛЬНАЯ ИНФОРМАЦИЯ
Вклад авторов. Все авторы внесли существенный вклад в разработку концепции, проведение исследования и подготовку статьи, прочли и одобрили финальную версию перед публикацией. Вклад каждого автора: Н.К. Серова — сбор и обработка материалов, анализ полученных данных, концепция и дизайн исследования, написание текста; А.П. Трунова — сбор и обработка материалов, анализ полученных данных, концепция и дизайн исследования, написание текста, обзор литературы; Н.Н. Григорьева — сбор и обработка материалов, анализ полученных данных; Н.В. Ласунин — хирургическое лечение, редактирование.
Источник финансирования. Авторы заявляют об отсутствии внешнего финансирования при проведении исследования
Конфликт интересов. Авторы декларируют отсутствие явных и потенциальных конфликтов интересов, связанных с публикацией настоящей статьи.
Этический комитет. Протокол исследования был одобрен локальным этическим комитетом НМИЦ нейрохирургии им. акад. Н.Н. Бурденко (№ 11/2020 от 25.11.2020).
ADDITIONAL INFORMATION
Authors’ contribution. Thereby, all authors have made a significant contribution to the development of the concept, research, and preparation of the article, as well as read and approved the final version before its publication. Personal contribution of the authors: N.K. Serova — collection and processing of materials, analysis of obtained data, concept and design of the study, text writing; A.P. Trunova — collection and processing of materials, analysis of obtained data, concept and design of the study, text writing, literature review; N.N. Grigorieva — collection and processing of materials, analysis of obtained data; N.V. Lasunin — surgical treatment, editing.
Funding source. This study was not supported by any external sources of funding.
Competing interests. The authors declare that they have no competing interests.
Ethics approval. The protocol of the study was approved by the local Ethics Committee of the N.N. Burdenko National Scientific and Practical Center for Neurosurgery (No. 11/2020, 25/11/2020).
Об авторах
Наталья Константиновна Серова
Национальный медицинский исследовательский центр нейрохирургии им. акад. Н.Н. Бурденко
Email: nserova@nsi.ru
ORCID iD: 0000-0003-0148-7298
SPIN-код: 5079-8064
д-р мед. наук, профессор, чл.-корр. РАЕН
Россия, МоскваАнна Павловна Трунова
Национальный медицинский исследовательский центр нейрохирургии им. акад. Н.Н. Бурденко
Email: sergeevann94@mail.ru
ORCID iD: 0000-0003-1890-7201
SPIN-код: 5190-1062
Россия, 125047, Москва, 4-я Тверская-Ямская ул., д. 16
Надежда Николаевна Григорьева
Национальный медицинский исследовательский центр нейрохирургии им. акад. Н.Н. Бурденко
Email: NGrigoreva@nsi.ru
ORCID iD: 0000-0001-8411-5152
канд. мед. наук
Россия, МоскваНиколай Владимирович Ласунин
Национальный медицинский исследовательский центр нейрохирургии им. акад. Н.Н. Бурденко
Автор, ответственный за переписку.
Email: NLasunin@nsi.ru
ORCID iD: 0000-0002-6169-4929
SPIN-код: 8468-8449
канд. мед. наук
Россия, МоскваСписок литературы
- Calandriello L., Grimaldi G., Petrone G., et al. Cavernous venous malformation (cavernous hemangioma) of the orbit: current concepts and a review of the literature // Surv Ophthalmol. 2017. Vol. 62, No. 4. P. 393–403. doi: 10.1016/j.survophthal.2017.01.004
- Бровкина А.Ф., Астахов Ю.С. Руководство по клинической офтальмологии. Москва: Медицинское информативное агентство. 2014. 796 с.
- Harris G.J., Jakobiec F.A. Cavernous hemangioma of the orbit // J Neurosurg. 1979. Vol. 51, No. 2. P. 219–228. doi: 10.3171/jns.1979.51.2.0219
- Yan J., Wu Z. Cavernous hemangioma of the orbit: analysis of 214 cases // Orbit. 2004. Vol. 23, No. 1. P. 33–40. doi: 10.1076/orbi.23.1.33.28992
- Ansari S.A., Mafee M.F. Orbital cavernous hemangioma: role of imaging // Neuroimag Clin. 2005. Vol. 15, No. 1. P. 137–158. doi: 10.1016/j.nic.2005.02.009
- Cophignon J., d’Hermies F., Civit T. Tumeurs vasculaires de l’orbite // Neurochirurgie. 2010. Vol. 56, No. 2–3. P. 197–212. doi: 10.1016/j.neuchi.2010.02.028
- Dallan I., Locatelli D., Turri-Zanoni M., et al. Transorbital endoscopic assisted resection of a superior orbital fissure cavernous haemangioma: a technical case report // Eur Arch Oto-Rhino-L. 2015. Vol. 272. P. 3851–3856. doi: 10.1007/s00405-015-3556-2
- Chen Y., Tu Y., Chen B., et al. Endoscopic transnasal removal of cavernous hemangiomas of the optic canal // Am J Ophthalmol. 2017. Vol. 173. P. 1–6. doi: 10.1016/j.ajo.2016.09.022
- Young S.M., Kim K.H., Kim Y.-D., et al. Orbital apex venous cavernous malformation with optic neuropathy: treatment with multisession gamma knife radiosurgery // Br J Ophthalmol. 2019. Vol. 103, No. 10. P. 1453–1459. doi: 10.1136/bjophthalmol-2018-312893
- Algoet M., Van Dyck-Lippens P., Casselman J., et al. Intracanal optic nerve cavernous hemangioma: a case report and review of the literature // World Neurosurg. 2019. Vol. 126. P. 428–433. doi: 10.1016/j.wneu.2019.02.202
- Sullivan T.J. Vascular anomalies of the orbit — a reappraisal // Asia Pac J Ophthalmol. 2018. Vol. 7, No. 5. P. 356–363. doi: 10.22608/apo.2017151
- Henderson J.W. Vascular hamartomas, hyperplasias, and neoplasms. In: Henderson J.W., editor. Orbital tumors. 3rd edition. New York: Raven Press, 1994. P. 95–100.
- Suri A., Ahmad F.U., Mahapatra A.K. Extradural transcavernous approach to cavernous sinus hemangiomas // Neurosurgery. 2007. Vol. 60, No. 3. P. 483–489. doi: 10.1227/01.neu.0000255333.95532.13
- Paonessa A., Limbucci N., Gallucci M. Are bilateral cavernous hemangiomas of the orbit rare entities? The role of MRI in a retrospective study // Eur J Radiol. 2008. Vol. 66, No. 2. P. 282–286. doi: 10.1016/j.ejrad.2007.06.002
- Hsu C.-H., Hsu W.-M. Cavernous hemangioma of the orbit: 42 patients // J Exp Clin Med. 2011. Vol. 3, No. 6. P. 278–282. doi: 10.1016/j.jecm.2011.10.010
- Scheuerle A.F., Steiner H.H., Kolling G., et al. Treatment and long-term outcome of patients with orbital cavernomas // Am J Ophthalmol. 2004. Vol. 138, No. 2. P. 237–244. doi: 10.1016/j.ajo.2004.03.011
- Osguthorpe J.D., Saunders R.A., Adkins W.Y. Evaluation of and access to posterior orbital tumors // The Laryngoscope. 1983. Vol. 93, No. 6. P. 766–71. doi: 10.1288/00005537-198306000-00013
Дополнительные файлы








