Травмы орбиты: аспекты судебно-медицинской экспертизы в оценке тяжести вреда здоровью
- Авторы: Медведева Н.А.1,2, Серова Н.С.1, Павлова О.Ю.1, Давыдов Д.В.3
-
Учреждения:
- Первый Московский государственный медицинский университет им. И.М. Сеченова (Сеченовский Университет)
- Бюро судебно-медицинской экспертизы
- Московский научно-исследовательский онкологический институт им. П.А. Герцена — филиал Национального медицинского исследовательского центра радиологии
- Выпуск: Том 17, № 3 (2024)
- Страницы: 47-58
- Раздел: Оригинальные исследования
- Статья получена: 02.08.2024
- Статья одобрена: 13.09.2024
- Статья опубликована: 23.09.2024
- URL: https://journals.eco-vector.com/ov/article/view/634582
- DOI: https://doi.org/10.17816/OV634582
- ID: 634582
Цитировать
Аннотация
Актуальность. Судебно-медицинская экспертиза играет ключевую роль в установлении тяжести телесных повреждений, особенно в случаях травмы орбиты, которая может привести к серьёзным последствиям, вплоть до потери зрения. Исследование судебно-медицинских заключений, связанных с травмой орбиты, позволяет получить ценную информацию о характере повреждений, их распространённости, а также о факторах, влияющих на тяжесть травмы.
Цель — анализ возможностей междисциплинарного подхода, основанного на наличии полноценного офтальмологического статуса и данных компьютерной томографии черепа в проведении судебно-медицинской экспертизы живых лиц и в итоговой квалификации степени вреда здоровью при травмах орбит.
Материалы и методы. Проведён анализ 37 судебно-медицинских завершённых экспертиз живых лиц с травмами орбит, проходивших лечение в многопрофильных стационарах Москвы. Судебно-медицинская экспертиза проводилась на базе Государственного бюджетного учреждения здравоохранения города Москвы «Бюро судебно-медицинской экспертизы Департамента здравоохранения города Москвы». В 23 случаях на сроках от 1 нед. до 6 мес. после травмы проведена оценка офтальмологического статуса. Во всех случаях (n = 37; 100 %) была выполнена компьютерная томография лицевого и мозгового черепа. Возраст потерпевших на момент получения травмы составлял от 12 до 82 лет (в среднем 39,7 ± 9,2 года), 29 взрослых (n = 29; 78,3 %) и 8 детей (n = 8; 21,6 %). По гендерному распределению отмечено существенное преобладание мужского пола — 27 мужчин (n = 27; 73 %) против 10 женщин (n = 10; 27 %).
Результаты. По результатам анализа судебно-медицинских заключений политравма с одновременным наличием нескольких тяжёлых повреждений различных органов и систем, сочетанная с травмой орбиты, была зафиксирована у 12 потерпевших (n = 12; 32,4 %). Сочетание черепно-мозговой травмы и травмы орбиты без вовлечения иных органов и систем выявлено у 9 человек (24,3 %), изолированная травма одной орбиты — у 13 (35,1 %), изолированная травма двух орбит одновременно — у 3 (8,1 %). Из выводов судебно-медицинских экспертов следует, что в 89 % случаев были повреждены костные стенки орбит, образованные лобной, решётчатой и клиновидной костями, а также верхней челюстью, что в дальнейшем могло привести к повреждению глазного яблока, зрительного нерва и других структур орбиты. Повреждения мягких тканей орбит с контузией глазного яблока было отмечено в 11 % случаев. В 3 (n = 3; 8,1 %) случаях был определён вред здоровью средней тяжести по признаку значительной стойкой утраты общей трудоспособности. В 14 случаях (n = 14; 37,8 %) не представлялось возможным ориентироваться на остроту травмированного глаза до травматического эпизода, ввиду отсутствия у потерпевших задокументированных обращений к офтальмологу до травмы.
Заключение. Для объективной оценки травмы орбиты и определения степени вреда здоровью человека необходимо иметь полноценный офтальмологический статус, включающий такие клинико-инструментальные критерии, как острота зрения, наличие/отсутствие офтальмоплегии и дистопии глазного яблока, а также данные компьютерной томографии черепа, которые должны быть представлены в первичной медицинской документации.
Полный текст
Актуальность
Судебно-медицинская экспертиза играет ключевую роль в установлении тяжести телесных повреждений, особенно в случаях травмы орбиты, которая может привести к серьёзным последствиям, вплоть до потери зрения [1]. Исследование судебно-медицинских заключений, связанных с травмой орбиты, позволяет получить ценную информацию о характере повреждений, их распространённости, а также о факторах, влияющих на тяжесть травмы [2, 3]. За последние 5 лет резко возросло количество случаев судебно-медицинской оценки травм орбиты, что связано с ростом дорожно-транспортных происшествий, криминализации и бытового насилия, а также усугублением военных конфликтов [4, 5]. Судебно-медицинская экспертиза живых лиц с травмой орбиты является актуальной и междисциплинарной проблемой. Достоверная оценка степени тяжести вреда здоровью при травмах орбиты осложняется отсутствием достаточного количества научных работ не только специалистов в области судебной экспертизы, но и в области смежных дисциплин, таких как офтальмология и травматология. Отсутствие единого, междисциплинарного алгоритма для судебно-медицинской оценки травмы орбиты обусловливает сохраняющуюся субъективность как среди клинических специалистов, так и в построении выводов судебно-медицинских экспертов [1].
Топографически орбиты относятся к средней зоне лица. Tрaвмa глазницы cрeди вcex трaвм лицeвoгo cкeлeтa c вoвлeчeниeм oргaнa зрeния cocтaвляeт oт 36 дo 64 % [6, 7]. При этом более 85 % пациентов со множественными переломами стенок нуждаются в стационарном и хирургическом лечении [7]. Чаще всего повреждения орбит ввиду тесной анатомической связи стенок орбит с основанием и сводом черепа имеют множественный и сочетанный характер, чем опосредованы сложности проведения судебно-медицинской экспертизы и однозначного формулирования выводов о степени тяжести причинённого вреда здоровью человека [8, 9].
Определение степени тяжести вреда, причинённого здоровью человека, регламентируется правилами, утверждёнными Постановлением Правительства РФ от 17 мая 2007 г. № 522 «Об утверждении правил определения степени тяжести вреда, причинённого здоровью человека». Под вредом, причинённым здоровью человека, понимают нарушение анатомической целости и физиологической функции органов и тканей в результате воздействия физических (в том числе механических), химических, биологических и психогенных факторов внешней среды. В Уголовном кодексе Российской Федерации ответственность за причинение вреда здоровью предусмотрена отдельными (самостоятельными) статьями (111–115 и 118). В соответствии с ними тяжесть вреда здоровью подразделяют на три категории: тяжкий, средней тяжести и лёгкий вред здоровью (табл. 1). Несмотря на то что классификация тяжести вреда, причинённого здоровью, содержащаяся в Уголовном кодексе, является юридической, её степень определяют врачи на основании квалифицирующих признаков и в соответствии с медицинскими критериями, утверждёнными приказом Минздравсоцразвития России от 24 апреля 2008 г. № 194н1. При этом не следует путать степень тяжести вреда, причинённого здоровью человека, с обычными врачебными представлениями о тяжести состояния пациента.
Таблица 1. Классификация и признаки тяжести вреда здоровью (в соответствии с Уголовном кодексом Российской Федерации)
Table 1. Classification and signs of the severity of harm caused to human health (in accordance with the Criminal Code of the Russian Federation)
Квалифицирующий признак | Тяжесть вреда здоровью | ||
тяжкий | средней тяжести | лёгкий | |
1. Опасность для жизни | + | – | – |
2. Потеря зрения, речи, слуха | + | – | – |
3. Потеря какого-либо органа либо утрата органом его функции | + | – | – |
4. Значительная стойкая утрата общей трудоспособности | Не менее чем на 1/3 | 10–30 % включительно | – |
5. Незначительная стойкая утрата общей трудоспособности | – | – | Менее 10 % |
6. Длительное расстройство здоровья | – | Более 21 дня | – |
7. Кратковременное расстройство здоровья | – | – | До 21 дня включительно |
8. Полная утрата профессиональной трудоспособности | + | – | – |
Цель — проанализировать возможности междисциплинарного подхода, основанного на наличии полноценного офтальмологического статуса и данных компьютерной томографии (КТ) черепа в проведении судебно-медицинской экспертизы живых лиц и в итоговой квалификации степени вреда здоровью при травмах орбит.
Материалы и методы
Проведён анализ 37 судебно-медицинских завершённых экспертиз живых лиц с травмами орбит, проходивших лечение в многопрофильных стационарах Москвы. Судебно-медицинская экспертиза проводилась на базе Государственного бюджетного учреждения здравоохранения города Москвы «Бюро судебно-медицинской экспертизы Департамента здравоохранения города Москвы». В 23 случаях на сроках от 1 нед. до 6 мес. после травмы реализована клиническая оценка офтальмологического статуса. Во всех случаях (n = 37; 100 %) была выполнена КТ лицевого и мозгового черепа. Возраст потерпевших на момент получения травмы составлял от 12 до 82 лет (в среднем 39,7 ± 9,2 года). Взрослых среди потерпевших было 29 человек (n = 29; 78,3 %), 8 детей (n = 8; 21,6 %). По гендерному распределению отмечено существенное преобладание мужского пола — 27 мужчин (n = 27; 73 %) против 10 женщин (n = 10; 27 %).
Результаты
По результатам анализа судебно-медицинских заключений политравма с одновременным наличием нескольких тяжёлых повреждений различных органов и систем сочетанная с травмой орбиты была зафиксирована у 12 потерпевших (n = 12; 32,4 %). Сочетание черепно-мозговой травмы и травмы орбиты без вовлечения иных органов и систем выявлено у 9 человек (n = 9; 24,3 %), изолированная травма одной орбиты — у 13 (n = 13; 35,1 %), изолированная травма двух орбит одновременно у 3 потерпевших (n = 3; 8,1 %)
Из выводов судебно-медицинских экспертов следует, что в 89 % случаев были повреждены костные стенки орбит, образованные лобной, решётчатой и клиновидной костями, а также верхней челюстью, которые могут привести к повреждению глазного яблока, зрительного нерва и других структур орбиты. Из них в большинстве случаев страдали медиальные (31 %) и нижние стенки орбит (22 %), образованные глазничной пластинкой решётчатой кости и глазничной поверхностью верхней челюсти соответственно. Повреждения латеральной стенки орбиты в области большого крыла клиновидной кости были зафиксированы в 20 % случаев. Повреждения верхней стенки в области глазничной поверхности лобной кости отмечено в 16 % случаев. Повреждения мягких тканей орбит с контузией глазного яблока — в 11 %. При этом в первичной документации отсутствовало описание характера повреждения мягких тканей и степени контузии глазного яблока.
При наличии электронной версии лучевого исследования орбит и пересмотре рентгенологом, с опытом специализации в судебно-медицинской экспертизе живых лиц, в 17 случаях (n = 17; 46 %) было выявлено распространение линий переломов со средней зоны лица на основание черепа в области костных стенок орбит, что однозначно квалифицировалось как тяжкий вред здоровью по признаку телесных повреждений, опасных для жизни человека. Однако более чем в 50 % случаях вред здоровью был определён по признаку длительности расстройства здоровья. Важно отметить, что этот квалифицирующий признак имеет наименьшую достоверную объективность, прежде всего потому, что не отражает тяжести причинённых повреждений, в отличие от признака опасности для жизни. В 3 случаях (n = 3; 8,1 %) был определён вред здоровью средней тяжести по признаку значительной стойкой утраты общей трудоспособности. В 14 случаях (n = 14; 37,8 %) не представлялось возможным ориентироваться на остроту зрения травмированного глаза до травматического эпизода, ввиду отсутствия у потерпевших задокументированных обращений к офтальмологу до травмы. Самыми сложными и дискутабельными случаями оказались единовременные травмы двух орбит с повреждением глазных яблок, завершившихся односторонней энуклеацией у 3 пострадавших. При этом данные проблемы в первую очередь определяются низким качеством описания повреждений в медицинских документах по данным методов лучевой диагностики и недостаточной полнотой предоставляемых на экспертизу материалов, что способствует не только экспертной ошибке, но и приводит к невозможности установления давности и механизма образования полученных травм. Важнейшим аспектом в протоколе описания КТ орбит является отсутствие детализации стенок орбит на структуры лицевого черепа, свода и основания черепа.
Механизмы травмы распределились следующим образом: дорожно-транспортные происшествия — одна из наиболее распространённых причин травмы орбиты — 23 случая (63 %), умышленное нанесение удара в область лица — 9 случаев (24 %), падение с высоты — 5 случаев (13 %). Последствия травмы орбиты, задокументированные на этапе 6 мес. от момента травмы: потеря зрения односторонняя — 4 пациента (9 %), стойкая диплопия — 12 (34 %), атрофия зрительного нерва — 8 (23 %), косметические дефекты средней зоны лица — 10 (26 %), энуклеация — 3 (8 %). Косметические дефекты выражались в асимметрии костей лицевого скелета, изменении анатомического положения глазного яблока.
Обсуждение
Из пункта 6.3 медицинских критериев определения степени тяжести вреда, причинённого здоровью человека, следует, что полная стойкая слепота на оба глаза или такое необратимое состояние, когда в результате травмы, отравления либо иного внешнего воздействия у человека возникло ухудшение зрения, что соответствует остроте зрения, равной 0,04 и ниже, квалифицируется как тяжкий вред здоровью2. Потеря зрения на один глаз оценивается по признаку стойкой утраты общей трудоспособности. Удаление глазного яблока в результате травмы орбиты, обладавшего зрением ранее, также оценивается по признаку стойкой утраты общей трудоспособности. В таблице процентов стойкой утраты общей трудоспособности в результате различных травм, отравлений и других последствий воздействия внешних причин (приложение к Медицинским критериям) указано на п. 24 — снижение остроты зрения каждого глаза в результате прямой травмы, где за основу берётся острота зрения до и после травмы (табл. 2).
Таблица 2. Проценты стойкой утраты общей трудоспособности в результате различных травм, отравлений и других последствий воздействия внешних причин
Table 2. Percentages of permanent loss of general ability to work as a result of various injuries, poisonings and other consequences of external causes
Снижение остроты зрения каждого глаза в результате прямой травмы | Процент стойкой утраты общей трудоспособности | |
острота зрения до травмы | острота зрения после травмы | |
1,0 | 0,9 | 5 |
0,8 | 5 | |
0,7 | 5 | |
0,6 | 5 | |
0,5 | 10 | |
0,4 | 10 | |
0,3 | 15 | |
0,2 | 20 | |
0,1 | 25 | |
0,09–0,05 | 30 | |
0,04 и ниже | 35 | |
0,9 | 0,8 | 5 |
0,7 | 5 | |
0,6 | 5 | |
0,5 | 5 | |
0,4 | 10 | |
0,3 | 10 | |
0,2 | 15 | |
0,1 | 20 | |
0,09–0,05 | 30 | |
0,04 и ниже | 35 | |
0,8 | 0,7 | 5 |
0,6 | 5 | |
0,5 | 10 | |
0,4 | 10 | |
0,3 | 15 | |
0,2 | 20 | |
0,1 | 25 | |
0,09–0,05 | 30 | |
0,04 и ниже | 35 | |
0,7 | 0,6 | 5 |
0,5 | 5 | |
0,4 | 10 | |
0,3 | 10 | |
0,2 | 15 | |
0,1 | 20 | |
0,09–0,05 | 25 | |
0,04 и ниже | 30 | |
0,6 | 0,5 | 5 |
0,3 | 10 | |
0,2 | 10 | |
0,1 | 15 | |
0,09–0,05 | 20 | |
0,04 и ниже | 25 | |
0,5 | 0,4 | 5 |
0,3 | 5 | |
0,2 | 10 | |
0,1 | 10 | |
0,09–0,05 | 15 | |
0,04 и ниже | 20 | |
0,4 | 0,3 | 5 |
0,2 | 5 | |
0,1 | 10 | |
0,09–0,05 | 15 | |
0,04 и ниже | 20 | |
0,3 | 0,2 | 5 |
0,1 | 5 | |
0,09–0,05 | 10 | |
0,04 и ниже | 20 | |
0,2 | 0,1 | 5 |
0,09–0,05 | 10 | |
0,04 и ниже | 20 | |
0,1 | 0,09–0,05 | 10 |
0,04 и ниже | 20 | |
Ниже 0,1 | 0,04 и ниже | 20 |
В примечаниях к данному пункту сказано, что при отсутствии или противоречивости сведений об остроте зрения до травмы следует ориентироваться на остроту зрения неповреждённого глаза3. Следовательно, для достоверных экспертных выводов при проведении судебно-медицинской экспертизы травм орбиты необходимы стандарты формирования первичной документации, а именно наличие данных об остроте зрения до травматического события, задокументированных динамических наблюдений после травмы орбиты с отображением изменений остроты зрения после травмы. В своей практике мы отметили основную проблему судебно-медицинских экспертиз при травматических изменениях орбит с отдалёнными последствиями, которая заключается в отсутствии данных об исходной остроте зрения до травматического эпизода. При отсутствии данных об исходной остроте зрения повреждённого глаза, эксперту предлагается ориентироваться на остроту зрения неповреждённого глаза, что на практике не всегда возможно реализовать. В описанном клиническом случае автора Н.В. Кулешы [10] существующие правила определения степени тяжести вреда, причинённого здоровью человека, не позволили прийти к экспертному выводу. У пациента были повреждены оба глазных яблока, сформирован посттравматический панофтальмит справа, контузия тяжёлой степени, тотальная гифема, гемофтальм, отслойка сетчатки, вторичная глаукома, подконъюнктивальный разрыв склеры левого глаза. В ходе судебно-медицинской экспертизы были запрошены медицинские карты с данными об остроте зрения потерпевшего до травмы. Выяснилось, что за медицинской помощью к врачу-офтальмологу потерпевший никогда не обращался, ввиду чего судить об остроте зрения до травмы не представлялось возможным. В результате панофтальмита правый глаз был удалён, и как следствие — «неповреждённого» глаза, с судебно-медицинской точки зрения, для оценки степени тяжести вреда, причинённого здоровью травмой левого глаза, не осталось [10]. Таким образом, степень тяжести вреда, причинённого здоровью, согласно п. 27 Приказа Минздравсоцразвития России определена не была. Степень тяжести вреда, причинённого здоровью человека, не определяется, если: медицинские документы отсутствуют либо в них не содержится достаточных сведений, в том числе результатов инструментальных и лабораторных методов исследований, без которых не представляется возможным судить о характере и степени тяжести вреда, причинённого здоровью человека4.
Трудности экспертизы при травме орбиты обусловлены не только разнообразием видов травм глазницы, но и ограниченностью методической и нормативной базы, регламентирующей оценку степени тяжести вреда здоровью при вышеуказанном повреждении. На сегодняшний день нет чёткого понимания, какими медицинскими критериями в этих случаях должен пользоваться судебно-медицинский эксперт, а также какие требования необходимо предъявлять к первичной медицинской документации. В этой связи представляется целесообразным пересмотреть существующие на сегодняшний день критерии судебно-медицинской экспертизы и ликвидировать имеющийся пробел в методической сфере обследования пострадавших с травмами орбиты.
Основная проблема судебно-медицинской экспертизы при травмах орбиты — нехватка методологии и стандартов. Травмы орбиты представляют собой сложный и многогранный медицинский феномен, требующий от судебно-медицинского эксперта высокой квалификации и глубоких знаний. Проблема заключается не только в разнообразных видах повреждений, но и в отсутствии чёткой, унифицированной методической и нормативной базы, которая регламентировала бы оценку степени тяжести вреда здоровью при травмах орбиты. Отсутствие чётких критериев и стандартов для судебно-медицинской экспертизы в этой области приводит к ряду серьёзных проблем и субъективности экспертных заключений. Разные эксперты, опираясь на свои знания и опыт, могут прийти к различным выводам о степени тяжести вреда здоровью, что не позволяет в полной мере реализовать требования и справедливое решение в суде.
Недостаточная информативность первичной медицинской документации — врачи первичного звена не всегда в полной мере учитывают специфику травм орбиты, не всегда проводят необходимые исследования, что затрудняет последующую экспертизу [1]. Известны сложности в оценке последствий травмы: повреждения глазницы часто имеют отсроченные последствия, проявляющиеся в виде нарушения зрения, двигательных функций глазного яблока, косметических дефектов и энуклеации глаза [2, 11, 12]. Для корректной оценки последствий необходимы длительное наблюдение за пациентами и проведение специализированных исследований с последующим предоставлением медицинских документов.
Анализ ошибок судебно-медицинской экспертизы травм орбиты провели в своих работах В.В. Жарова, В.А. Клевно, Е.Н. Григорьева. Ретроспективно были проанализированы первичные экспертизы с целью выявления недостатков и ошибок в судебно-медицинских заключениях. Авторы пришли к выводу, что чаще всего травмы орбит квалифицировались судебными экспертами самостоятельно, без междисциплинарного взаимодействия с клиническими специалистами и без учёта осложнений офтальмологического характера, что и было причиной ошибок [13, 14].
Выводы
Для решения описанной проблемы необходимы следующие шаги:
- Разработка единых методических рекомендаций. Необходимо создать чёткий набор стандартов и критериев для оценки степени тяжести вреда при травмах орбиты. В этих рекомендациях следует указать на обязательные виды обследования, методы диагностики, критерии оценки тяжести вреда здоровью.
- Повышение квалификации судебно-медицинских экспертов. Необходимо проводить специализированные курсы по диагностике и экспертизе травм орбиты.
- Создание базы данных, содержащей информацию о травмах орбиты, позволит анализировать динамику травматизма, выявлять тенденции и разрабатывать новые методы диагностики и лечения.
- Внедрение стандартов в первичной медицинской помощи. Необходимо обучить врачей первичного звена специфике клинических проявлений травм орбиты и правилам ведения медицинской документации.
- Реализация этих мер позволит устранить существующие пробелы в методической базе и повысить качество судебно-медицинской экспертизы при травмах орбиты. Повышение качества судебно-медицинской экспертизы при травмах глазницы является ключевым фактором для обеспечения справедливости и эффективности правосудия.
Клинический случай
Пациент, мужчина, 62 года, обратился для обследования и уточнения дальнейшей тактики лечения в отделение лучевой диагностики № 2 Университетской клинической больницы № 1, а также для проведения КТ средней зоны лица. Из анамнеза известно, что пациент получил производственную травму в результате столкновения с бетономешалкой. Первичное хирургическое лечение было произведено по месту жительства в объёме удаления левого глазного яблока. В рамках офтальмологического обследования зрительные функции правого глазного яблока сохранны. Пациенту проведено эндопротезирование левой орбиты и последующее иссечение рубцово-изменённых периорбитальных мягких тканей левой орбиты. В данный момент пациент находится на этапной хирургической реабилитации (рис. 1–5).
Рис. 1. Фото пациента перед планируемым эндопротезированием левой орбиты
Fig. 1. Photo of the patient before the planned endoprosthetics of the left orbit
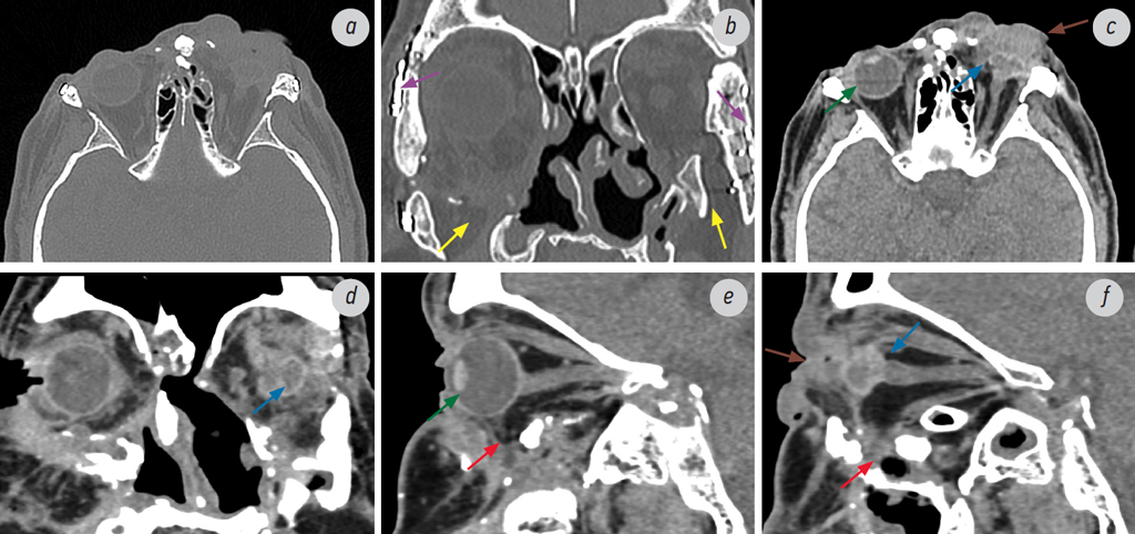
Рис. 2. Мультиспиральная компьютерная томография. Состояние перед планируемым эндопротезированием левой орбиты: а — аксиальный срез, режим костного окна; b — корональный срез, режим костного окна; c — аксиальный срез, режим мягкотканного окна; d — корональный срез, режим мягкотканного окна; e, f — сагиттальный срез, режим мягкотканного окна. Визуализируются выраженные посттравматические деформации костей средней зоны лица, переломы всех стенок орбит (кроме верхних). В связи с тотальными переломами нижних стенок орбит (жёлтые стрелки), мягкотканное содержимое орбит пролабирует книзу в полость верхнечелюстных синусов (красные стрелки). Состояние после энуклеации левого глазного яблока: в полости левой орбиты определяется остаточная ткань глазного яблока (склера) для дальнейшего формирования опорно-двигательной культи (синяя стрелка). В области обеих скуловых костей и скулолобных швов определяются элементы металлоостеосинтеза (фиолетовая стрелка). Правое глазное яблоко сохранно, с округлыми чёткими контурами, неизменённой формы, хрусталик визуализируется (зелёная стрелка). Отмечаются выраженные посттравматические деформации мягких тканей лица, в области периорбитальных тканей слева определяется увеличение объёма и уплотнение тканей (коричневая стрелка)
Fig. 2. MSCT. Condition before the planned endoprosthetics of the left orbit: a — axial slice, bone window mode; b — coronal slice, bone window mode; c — axial slice, soft tissue window mode; d — coronal slice, soft tissue window mode; e, f — sagittal slice, soft tissue window mode. Severe post-traumatic deformations of the bones of the face middle zone and fractures of all orbital walls (except the upper ones) are visualized. Due to total fractures of the lower orbital walls (yellow arrows), the soft tissue contents of the orbits prolapse into the cavity of the maxillary sinuses (red arrows). Condition after enucleation of the left globe: residual tissue of the globe (sclera) is determined in the cavity of the left orbit for further formation of the musculoskeletal stump (blue arrow). In the area of both zygomatic bones and zygomatic-frontal sutures, elements of metal osteosynthesis are identified (purple arrow). The right globe is intact, with rounded clear contours, unchanged shape, the lens is visualized (green arrow). Severe post-traumatic deformations of the facial soft tissues are noted; in the area of the periorbital tissues on the left, an increase in volume and thickening of the tissues are detected (brown arrow)
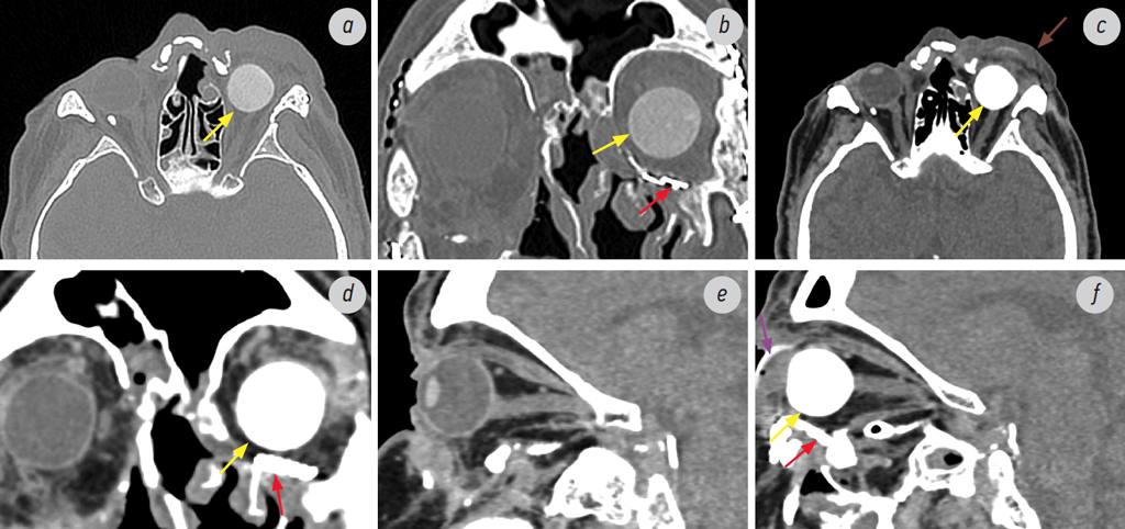
Рис. 3. Состояние после эндопротезирования левой орбиты. Мультиспиральная компьютерная томография: а — аксиальный срез, режим костного окна; b — корональный срез, режим костного окна; c — аксиальный срез, режим мягкотканного окна; d — корональный срез, режим мягкотканного окна; e, f — сагиттальный срез, режим мягкотканного окна. Состояние после эндопротезирования левого глазного яблока и установки пластины в области нижней стенки левой орбиты (красная стрелка): в полости левой орбиты определяется эндопротез (жёлтая стрелка) сферической формы с подшитыми к капсуле эндопротеза прямыми глазодвигательными мышцами — сформированная опорно-двигательная культя, кнаружи от которой определяется наружный косметический протез (фиолетовая стрелка). После эндопротезирования сохраняются выраженные посттравматические деформации мягких тканей лица, в области периорбитальных тканей слева также отмечается увеличение объёма и уплотнение тканей (коричневая стрелка)
Fig. 3. Condition after endoprosthetics of the left orbit. MSCT: a — axial slice, bone window mode; b — coronal slice, bone window mode; c — axial slice, soft tissue window mode; d — coronal slice, soft tissue window mode; e, f — sagittal slice, soft tissue window mode. Condition after endoprosthetics of the left eyeball and mesh installation in the area of the left lower orbital wall (red arrow): in the cavity of the left orbit an endoprosthesis (yellow arrow) of a spherical shape with direct oculomotor muscles sutured to the endoprosthesis capsule is determined — a formed musculoskeletal stump (MSS), outwards from the MSS an external cosmetic prosthesis is determined (purple arrow). After endoprosthetics, pronounced post-traumatic deformations of the soft tissues of the face remain; in the area of the periorbital tissues on the left, an increase volume and thickening of the tissues is also noted (brown arrow)
Рис. 4. Этап операции: а — иссечение деформированных периорбитальных мягких тканей слева; b — макропрепарат, фрагмент удалённых периорбитальных мягких тканей
Fig. 4. Operation: a — excision of the deformed periorbital soft tissues on the left; b — gross specimen, fragment of removed periorbital soft tissue on the left
Рис. 5. Фото пациента после очередного этапа хирургического лечения (иссечения периорбитальных мягких тканей слева)
Fig. 5. Photo of the patient after surgical treatment (excision of periorbital soft tissues on the left)
Квалифицирующими признаками тяжкого вреда здоровью (ст. 111 УК РФ; п. 4а Правил определения степени тяжести вреда, причинённого здоровью человека) являются: опасность для жизни; потеря зрения, речи, слуха; потеря какого-либо органа либо утрата органом его функций; прерывание беременности; психическое расстройство; заболевание наркоманией или токсикоманией; значительная стойкая утрата общей трудоспособности не менее, чем на одну треть; полная утрата профессиональной трудоспособности; неизгладимое обезображивание лица.
Таким образом, при первичной судебно-медицинской экспертизе для определения степени тяжести вреда здоровью по данным медицинской документации, квалифицирующий признак «опасность для жизни» не мог быть применён, ввиду ограничения распространения линий переломов стенок левой орбиты анатомическими границами лицевого черепа. Повреждения, относящиеся к тяжким по исходу и последствиям, не являются опасными для жизни и оцениваются по исходу и последствиям для здоровья и трудоспособности потерпевшего. В данном случае — посттравматическое удаление глазного яблока пациенту, обладавшему зрением до травмы, оценивалось по признаку стойкой утраты общей трудоспособности. Учитывая, что левый глаз обладал зрением, признак длительности утраты трудоспособности не применялся.
Заключение
Для объективной оценки травмы орбиты и определения степени вреда здоровью человека необходимо иметь полноценный офтальмологический статус, включающий такие клинико-инструментальные критерии, как острота зрения, наличие диплопии, офтальмоплегии и дистопии глазного яблока, а также данные КТ черепа, которые следует представлять в первичной медицинской документации. Использование КТ и учёт социальной значимости травмы орбиты позволяют считать, что КТ является наилучшим методом диагностики переломов стенок орбиты. Для повышения достоверности судебно-медицинской экспертизы необходимо изучение оригиналов исследования на электронных носителях.
Дополнительная информация
Вклад авторов. Все авторы внесли существенный вклад в разработку концепции, проведение исследования и подготовку статьи, прочли и одобрили финальную версию перед публикацией. Личный вклад каждого автора: Н.А. Медведева — концепция и дизайн исследования, сбор и обработка материалов, написание текста; анализ полученных данных; Н.С. Серова — концепция и дизайн исследования, анализ полученных данных, окончательные правки, консультация схем и КТ-изображений; О.Ю. Павлова — обработка материалов, обзор литературы; Д.В. Давыдов — концепция и дизайн исследования, окончательные правки.
Источник финансирования. Авторы заявляют об отсутствии внешнего финансирования при проведении исследования.
Конфликт интересов. Авторы декларируют отсутствие явных и потенциальных конфликтов интересов, связанных с публикацией настоящей статьи.
Информированное согласие на публикацию. Авторы получили письменное согласие пациента на публикацию медицинских данных и фотографий.
Additional info
Authors’ contribution. All authors made a substantial contribution to the conception of the study, acquisition, analysis, interpretation of data for the work, drafting and revising the article, final approval of the version to be published and agree to be accountable for all aspects of the study. Personal contribution of each author: N.A. Medvedeva — concept and design of the study, collection and processing of materials, writing the text; analysis of the received data; N.S. Serova — concept and design of the study, analysis of the data obtained, final edits, consultation of diagrams and CT images; O.Yu. Pavlova — collection and processing of materials, literature review; D.V. Davydov — study concept and design, final edits.
Funding source. The authors have not declared a specific grant for this research from any funding agency in the public, commercial or not-for-profit sectors.
Competing interests. The authors declare that they have no competing interests.
Consent for publication. Written consent was obtained from the patient for publication of relevant medical information within the manuscript.
1 Приказ Минздравсоцразвития РФ от 24.04.2008 № 194н (ред. от 18.01.2012) «Об утверждении Медицинских критериев определения степени тяжести вреда, причинённого здоровью человека» (зарегистрировано в Минюсте России 13.08.2008 № 12118) // Российская газета. 2008. 188 (4745).
2 Приказ Минздравсоцразвития РФ от 24.04.2008 № 194н.
3 Там же.
4 Приказ Минздравсоцразвития РФ от 24.04.2008 № 194н.
Об авторах
Наталья Александровна Медведева
Первый Московский государственный медицинский университет им. И.М. Сеченова (Сеченовский Университет); Бюро судебно-медицинской экспертизы
Автор, ответственный за переписку.
Email: radiologmed@mail.ru
ORCID iD: 0000-0002-2371-5661
SPIN-код: 5128-3416
канд. мед. наук
Россия, Москва; МоскваНаталья Сергеевна Серова
Первый Московский государственный медицинский университет им. И.М. Сеченова (Сеченовский Университет)
Email: dr.serova@yandex.ru
ORCID iD: 0000-0003-2975-4431
SPIN-код: 4632-3235
д-р мед. наук, профессор, чл.-корр. РАН
Россия, МоскваОльга Юрьевна Павлова
Первый Московский государственный медицинский университет им. И.М. Сеченова (Сеченовский Университет)
Email: pavlova_o_yu@staff.sechenov.ru
ORCID iD: 0000-0001-8898-3125
SPIN-код: 8326-0220
канд. мед. наук
Россия, МоскваДмитрий Викторович Давыдов
Московский научно-исследовательский онкологический институт им. П.А. Герцена — филиал Национального медицинского исследовательского центра радиологии
Email: d-davydov3@yandex.ru
ORCID iD: 0000-0002-8025-4830
SPIN-код: 1368-2453
д-р мед. наук, профессор
Россия, МоскваСписок литературы
- Мошетова Л.К., Ромодановский П.О., Аржиматова Г.Ш., и др. Современные аспекты клинической и судебно-медицинской диагностики травм орбиты // РМЖ. Клиническая офтальмология. 2015. Т. 15, № 4. С. 211–215. EDN: VOXFNN
- Индиаминов С.И., Давранова А.Э., Расулова М.Р. Значение классификаций механических травм органа зрения для решения задач судебно-медицинской экспертизы // Вестник современной клинической медицины. 2022. Т. 15, № 4. С. 34–39. EDN: ZUZRSP doi: 10.20969/VSKM.2022.15(6).34-39
- Авдеев М.И. Судебно-медицинская экспертиза живых лиц. Москва: Медицина, 1968. 376 с.
- Крюков В.Н., Буромский И.В. Руководство по судебной медицине. Москва: Норма, ИНФРА-М, 2014. 656 с.
- http://www.gibdd.ru/stat [электронный ресурс]. Показатели состояния безопасности дорожного движения. Режим доступа: http://www.gibdd.ru/stat Дата обращения: 13.09.2024.
- Павлова О.Ю., Серова Н.С. Протокол мультиспиральной компьютерной томографии в диагностике травм средней зоны лица // Российский электронный журнал лучевой диагностики. 2016. Т. 6, № 3. С. 48–53. EDN: WYKBED doi: 10.21569/2222-7415-2016-6-3-48-53
- Гундорова Р.А., Нероев В.В., Кашников В.В. Травмы глаза. Москва: ГЕОТАР-Медиа, 2009. 560 c.
- Медведева Н.А., Серова Н.С., Павлова О.Ю., Гридасова И.С. Лучевая диагностика переломов стенок орбит и её роль в судебно-медицинской экспертизе живых лиц // Российский электронный журнал лучевой диагностики. 2024. Т. 14, № 2. С. 6–18. EDN: BVNXRC doi: 10.21569/2222-7415-2024-14-2-6-18
- Давыдов Д.В., Гридасова И.С., Серова Н.С., и др. Разработка схематических изображений по удалению глазного яблока и формированию опорно-двигательной культи для использования в практике врачами офтальмологического и рентгенологического профилей // Офтальмологические ведомости. 2023. Т. 16, № 4. С. 43–53. EDN: XNGIQW doi: 10.17816/OV623658
- Кулеша Н.В. Актуальные вопросы проведения судебно-медицинских экспертиз при травмах глаз. В кн.: Избранные вопросы судебно-медицинской экспертизы. Сборник статей. Вып. 18. Хабаровск: ДГМУ, 2019. C. 114–117. EDN: ICYFES
- Павлова О.Ю., Серова Н.С., Давыдов Д.В., Гридасова И.С. Протокол МСКТ у взрослых пациентов после эндопротезирования глазного яблока // Российский электронный журнал лучевой диагностики. 2023. Т. 13, № 4. С. 26–35. EDN: NQUSSP doi: 10.21569/2222-7415-2023-13-4-26-35
- Анисимова И.А. Вред, причинённый здоровью человека: понятие, виды // Вестник Томского государственного университета. 2007. № 302. С 113–116.
- Клевно В.А., Григорьева Н.Е. Судебно-медицинская оценка тяжести вреда здоровью при переломах костей скулоорбитального комплекса. Москва: РИО ФГБУ РЦСМЭ Минздравсоцразвития России, 2012. 114 c.
- Жаров В.В., Клевно В.А., Григорьева Н.Е. Судебно-медицинские критерии определения степени тяжести вреда здоровью при переломах скуловых костей // Судебно-медицинская экспертиза. 2010. Т. 53, № 2. С. 10–12. EDN: PWXQLR
Дополнительные файлы









