Purtscher-like retinopathy in patients with exacerbation of chronic pancreatitis: case report
- Authors: Belov D.F.1,2, Zumbulidze N.G.3, Petukhov V.P.1, Vakhranev I.S.3, Gnatyuk Y.V.1
-
Affiliations:
- City Multifield Hospital No. 2, Saint Petersburg
- Saint Petersburg State University
- North-Western State Medical University named after I.I. Mechnikov
- Issue: Vol 18, No 3 (2025)
- Pages: 57-64
- Section: Case reports
- Submitted: 07.08.2024
- Accepted: 25.06.2025
- Published: 30.09.2025
- URL: https://journals.eco-vector.com/ov/article/view/634945
- DOI: https://doi.org/10.17816/OV634945
- EDN: https://elibrary.ru/MVUUJQ
- ID: 634945
Cite item
Abstract
Purtscher retinopathy is a rare retinal disease, which is typically associated with severe injuries (head contusion, chest compression, pelvic bone fractures, etc.) and manifested by severe vision loss, multiple light lesions, and intraretinal hemorrhages. Purtscher-like retinopathy is (a type of Purtscher retinopathy) a rare and therefore poorly understood condition. Its most common cause is severe systemic conditions of solid organs. The pathophysiology of Purtscher-like retinopathy includes retinal vasculature microembolization resulting in arteriolar and precapillary occlusion. This leads to infarcts in the retinal nerve fiber layer and cotton-wool spots. Compression traumas cause an acute increase in venous pressure, leading to angiospasm and vascular endothelial damage, followed by vascular occlusion. Currently, there is neither a single diagnostic algorithm nor a unified treatment for this condition, which makes it an urgent issue. The article presents clinical observations and treatment outcomes in two patients with Purtscher-like retinopathy secondary to exacerbation of chronic pancreatitis.
Full Text
ОБОСНОВАНИЕ
Ретинопатия Пурчера представляет собой геморрагическую и вазоокклюзивную микроваскулопатию, описанную впервые в 1910 г. австрийским офтальмологом Пурчером (O. Purtscher), как синдром внезапно возникающей слепоты, ассоциированной с тяжёлой травмой головы пациента, упавшего с дерева [1].
По данным Британского офтальмологического мониторингового союза, встречаемость ретинопатии Пурчера составляет всего 0,24 случая на 1 млн населения Англии в год [2]. Прогноз относительно остроты зрения непредсказуем. Так, у одних пациентов снижение зрения и изменения глазного дна проходят самостоятельно в течение нескольких месяцев, а у других развивается необратимая потеря зрения, связанная с повреждением пигментного эпителия сетчатки, слоя нервных волокон сетчатки (СНВС) и атрофией зрительного нерва.
В качестве этиологических факторов ретинопатии Пурчера выделяют две группы причин. Первая группа связана с травматическими и компрессионными повреждениями черепа, грудной клетки, органов брюшной полости, костей таза, длинных трубчатых костей, ортопедическими вмешательствами, жировой эмболией, липосакцией, баротравмой. Вторая группа причин, приводящая к идентичным изменениям сетчатки глаза, не связана с травмой. Ретинопатию в таком случае принято называть пурчероподобной. К возможным причинам развития данного состояния относятся: острый и хронический панкреатит, аденокарцинома поджелудочной железы, хроническая почечная недостаточность, гемолитико-уремический синдром, преэклампсия/HELLP-синдром, тяжёлые роды, лимфопролиферативные заболевания и трансплантация костного мозга, тромботическая тромбоцитопеническая пурпура, криоглобулинемия, ретробульбарная анестезия, системные заболевания соединительной ткани и другие состояния [3].
В статье приведены случаи наблюдения и результаты лечения пациентов с пурчероподобной ретинопатией.
КЛИНИЧЕСКИЙ СЛУЧАЙ № 1
Пациент, 41 год, поступил в офтальмологический центр СПб ГБУЗ «Городская многопрофильная больница № 2» 09.02.2024 с диагнозом: «Тромбоз центральной вены сетчатки». Жалобы при поступлении на резкое, безболезненное снижение остроты зрения и туман перед взором правого глаза, которые начали беспокоить 02.02.2024. Снижение остроты зрения связывает с длительным пребыванием в бане, где употреблял алкоголь. Со слов пациента, сопутствующей патологии не имеет.
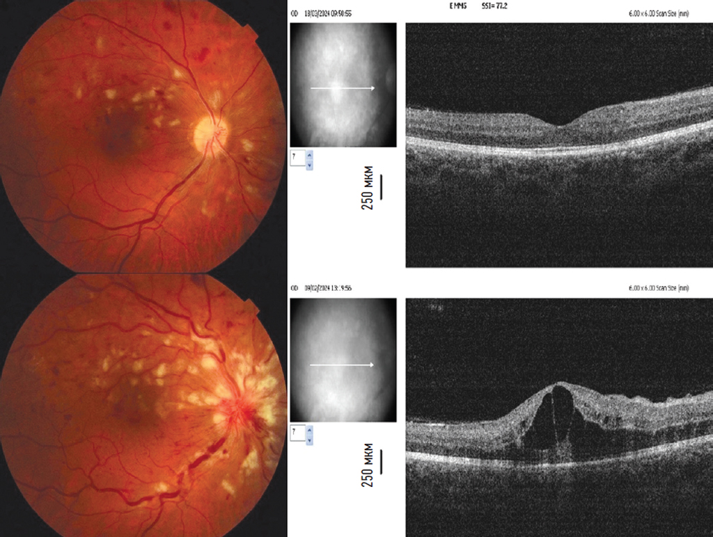
Офтальмологический статус: максимально корригированная острота зрения (МКОЗ) правого глаза составила 0,2, левого — 1,0. Состояние левого глаза без особенностей. При биомикроскопии правого глаза патологии переднего сегмента выявлено не было. При исследовании глазного дна определялись следующие изменения: диск зрительного нерва (ДЗН) гиперемирован, границы стушёваны. Экскавацию диска не оценить из-за перипапиллярного отёка. В макулярной зоне (МЗ) и на периферии множественные геморрагии округлой формы по ходу сосудистых аркад. Перипапиллярно, вдоль сосудов, а также в макулярной области определяются обширные «ватообразные» очаги. Венулы извитые, артериолы без особенностей, выраженный макулярный отёк (рис. 1).
Рис. 1. Офтальмоскопическая картина и оптическая когерентная томография макулярной зоны через месяц после лечения (сверху) и до лечения (снизу). По данным оптической когерентной томографии толщина макулярной зоны нормализовалась за счёт полной резорбции жидкости.
Оптическая когерентная томография (ОКТ) МЗ выявила утолщение слоёв сетчатки за счёт кистозного отёка, преимущественно в верхней половине и в центре. Субфовеолярно точечная щелевидная отслойка нейроэпителия, снижение прозрачности и дифференциации слоёв сетчатки из-за интраретинальных геморрагий, ватных экссудатов (рис. 1). По результатам ОКТ ДЗН толщина слоя нервных волокон правого глаза значительно увеличена, что свидетельствует об отёке ДЗН правого глаза.
Пациенту было проведено ультразвуковое исследование (УЗИ) органов брюшной полости, в результате которого выявлены гепатомегалия обеих долей, диффузное уплотнение и изменение тканей печени и поджелудочной железы. В биохимическом анализе крови обнаружено повышение уровня липазы и амилазы, снижение общего белка.
Таким образом, у пациента были выявлены патогномоничные для пурчероподобной ретинопатии изменения: зоны ишемии, формирующие обширные «ватообразные» очаги вокруг ДЗН и МЗ, множественные геморрагии, локализующиеся, как в центральных, так и в периферических отделах глазного дна, что в совокупности с данными анамнеза (злоупотребление алкоголем) и инструментальными методами исследования (диффузное изменение и уплотнение ткани поджелудочной железы, повышение уровней амилазы, липазы крови, снижение уровня общего белка) позволило подтвердить диагноз «пурчероподобная ретинопатия правого глаза». В офтальмологическом отделении пациент получал лечение: дексаметазон в дозе 2 мг/0,5 мл субконъюнктивально в течение 7 дней. 22.02.2024 было осуществлено интравитреальное введение ингибитора ангиогенеза в правый глаз (афлиберцепт в дозе 2 мг/0,05 мл).
Контрольный осмотр пациента через месяц выявил следующие изменения: устранены отёк и гиперемия ДЗН, в МЗ, перипапиллярно и на периферии существенно уменьшилось количество и объём интраретинальных кровоизлияний и мягких экссудатов (рис. 1). Толщина СНВС в пределах нормы за счёт исчезновения отёка. МКОЗ правого глаза увеличилась с 0,2 до 0,9.
КЛИНИЧЕСКИЙ СЛУЧАЙ № 2
Пациент, 32 года, утром 24.02.2024 был доставлен в СПб ГБУЗ «Городская многопрофильная больница № 2» с диагнозом: «Нейроретинит обоих глаз». Жалобы при поступлении на резкое, безболезненное снижение зрения обоих глаз. При сборе анамнеза выяснилось, что после приёма жирной пищи пациент испытывает проявления диспептического синдрома (боль в эпигастральной области, изжога, тошнота, рвота, диарея). У пациента стабильно высокие показатели артериального давления (160/100 мм рт. ст.), лекарственные препараты на регулярной основе не принимает. МКОЗ правого глаза 0,3, левого глаза на фоне рефракционной амблиопии — 0,16. При биомикроскопии обоих глаз передний сегмент без патологии.
При исследовании глазного дна обоих глаз определялись следующие изменения: гиперемия диска зрительного нерва, стушёванность его границ, наличие твёрдых экссудатов и «ватообразных» очагов в макулярной области, штрихообразных кровоизлияний по ходу сосудистых аркад (рис. 2). На крайней периферии без грубой патологии.
Рис. 2. Офтальмоскопическая картина глазного дна пациента: а — правый глаз; b — левый глаз.
Таким образом, у пациента были выявлены признаки гипертонической ангиопатии, а также патогномоничные для хориоретинопатии пурчеровского типа изменения: зоны ишемии, формирующие обширные «ватообразные» очаги вокруг ДЗН и МЗ, множественные геморрагии, локализующиеся в центральных отделах глазного дна.
Данные лабораторно-инструментальных методов обследования. Общий анализ крови: лейкоцитоз. Биохимический анализ крови: повышение уровней амилазы и липазы, снижение уровня общего белка.
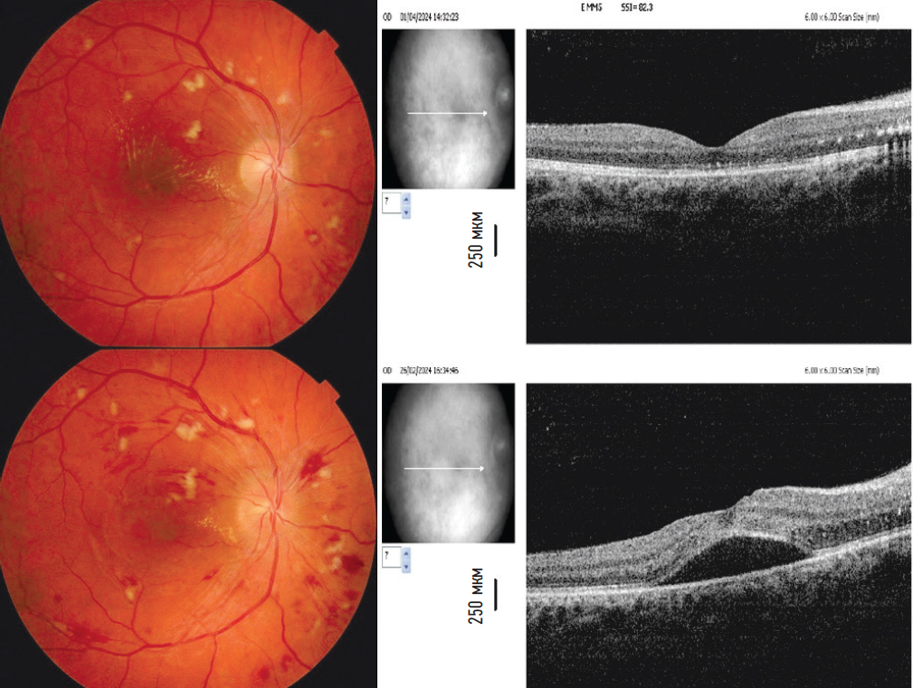
По данным ОКТ выявлено утолщение всей МЗ сетчатки обоих глаз за счёт диффузного отёка, нарушение дифференцировки, резкое снижение прозрачности сетчатой оболочки за счёт интраретинальных геморрагий, «ватообразных» очагов и «твёрдых» экссудатов, субфовеолярно наблюдалась щелевидная отслойка нейроэпителия (рис. 3, 4), а также увеличение толщины СНВС правого глаза до 219 мкм, левого — до 197 мкм.
Рис. 3. Офтальмоскопическая картина и оптическая когерентная томография состояния глазного дна правого глаза через месяц после лечения (сверху) и до лечения (снизу).
Рис. 4. Офтальмоскопическая картина и оптическая когерентная томография состояния глазного дна левого глаза через месяц после лечения (сверху) и до лечения (снизу).
УЗИ органов брюшной полости выявило гепатоспленомегалию, диффузное уплотнение и изменение ткани поджелудочной железы.
По совокупности анамнестических данных, результатов лабораторных анализов, УЗИ органов брюшной полости, характерной клинической картины обострения хронического панкреатита в сочетании с характерными изменениями глазного дна был выставлен диагноз: «Пурчероподобная ретинопатия обоих глаз». Была проведена терапия раствором дексаметазона в дозе 2 мг/0,5 мл субконъюнктивально на протяжении 7 дней. 07.03.2024 выполнено интравитреальное введение ингибитора ангиогенеза в правый глаз (афлиберцепт в дозе 2 мг/0,05 мл), через неделю — в левый глаз.
В ходе контрольного осмотра 01.04.2024 у пациента наблюдались регресс отёка сетчатки обоих глаз, практически полное исчезновение интраретинальных геморрагий, «ватообразных» очагов (при частичном сохранении «твёрдых» экссудатов) (рис. 3, 4), а также существенное улучшение МКОЗ (правого глаза — с 0,3 до 1,0, левого — с учётом рефракционной амблиопии — с 0,16 до 0,3), а также восстановление нормальной морфологии ДЗН (исчезновение отёка).
ОБСУЖДЕНИЕ
Патогенез как ретинопатии Пурчера, так и пурчероподобной ретинопатии остаётся недостаточно изученным. В настоящее время наиболее распространена гипотеза, объясняющая возникающие изменения микроэмболизацией ретинальных сосудов с окклюзией артериол и прекапилляров. Вследствие этого развивается инфаркт СНВС с образованием «ватообразных» очагов [4]. В случае компрессионных травм важная роль отводится острому повышению венозного давления, приводящему к ангиоспазму и повреждению эндотелия сосудов с последующей сосудистой окклюзией [5]. В случае переломов длинных трубчатых костей, липосакции наиболее вероятной причиной окклюзии является жировая эмболия. Кроме того, высказано предположение, согласно которому наблюдаемые изменения происходят в результате избыточной активации системы комплемента, вызывающей агрегацию гранулоцитов и приводящей к лейкоэмболизации ретинальных сосудов. Это подтверждается повышенным уровнем комплемента С5а у пациентов с пурчероподобной ретинопатией, развившейся вследствие острого панкреатита [6].
При ретинопатии Пурчера в патологический процесс чаще вовлекаются оба глаза, но поражение может быть и односторонним. Пациенты предъявляют жалобы на быстрое безболезненное снижение зрения, вплоть до светоощущения. В случаях, когда существует причинная связь с травмой, нарушение зрения может появиться синхронно с этим событием или проявиться отсроченно до 24–48 ч [2]. Двустороннее поражение обычно возникает в 60% случаев [2]. Снижение остроты зрения обычно сопровождается дефектами поля зрения в виде абсолютных или относительных центральных, парацентральных или дугообразных скотом, при сохранении периферических отделов зрения [2].
Имеются статистические данные частоты встречаемости отдельных симптомов при ретинопатии Пурчера [7]. Обширные белые «ватообразные» очаги с нечёткими границами в макулярной области и вокруг диска зрительного нерва выявляются в 93% случаев, их наличие указывает на локальные нарушения кровоснабжения в поверхностном капиллярном сплетении сетчатки, ишемическое повреждение всего пучка нервных волокон, идущего от «ватообразного» очага до ДЗН. Кровоизлияния сетчатки в виде языков пламени, пятен и точек, локализованные как на периферии, так и в центральных отделах, наблюдали в 65% случаев. За ними по частоте следуют патогномоничные для данной патологии пятна Пурчера (63%), которые представляют собой множественные очаги побледнения сетчатки с чёткой демаркационной линией (в пределах 50 мкм) между поражёнными участками сетчатки и смежными неповреждёнными сосудами. Наличие пятен Пурчера указывает на ишемические повреждения внутреннего ядерного слоя, возникшие в результате микроэмболизации в глубоком сосудистом комплексе сетчатки [8]. В подострую стадию возможно присоединение отёка ДЗН. При проведении ОКТ выявляется утолщение центральных отделов сетчатой оболочки за счёт ишемического отёка. Флуоресцентная ангиография позволяет обнаружить зоны окклюзии артериол и участки отсутствия перфузии, разрывы капилляров, венозный стаз [2].
В систематическом обзоре A.I. Miguel и соавт. [7] предложили обновлённые диагностические критерии ретинопатии Пурчера. Диагноз ставится пациенту, соответствующему как минимум трём из пяти критериев:
- появление патогномоничных для заболевания пятен Пурчера;
- ретинальные геморрагии в небольшом или умеренном количестве;
- «ватообразные» очаги;
- этиологический фактор в анамнезе, характерный для ретинопатии Пурчера;
- результаты дополнительных исследований, косвенно указывающие на ретинопатию Пурчера.
Кроме того, было отмечено, что патология имеет неоднозначный прогноз в отношении остроты зрения [7]. В 40% случаев в течение 2 мес. наблюдалось полное восстановление зрения и нормализация внешнего вида сетчатки при осмотре. У 64% развилась атрофия зрительного нерва, диспигментация сетчатки — у 23%, истончение сетчатки — у 14%, сужение артерий сетчатки — у 4%.
В связи с этим остаются нерешёнными проблемы подхода к терапии ретинопатии Пурчера. Дискутабелен вопрос об эффективности применения высоких доз кортикостероидов в виде общей и местной терапии с целью стабилизации нейрональных мембран (снижение уровня комплемента С5а и ингибирование процессов агрегации гранулоцитов) [6]. Имеется ограниченное количество данных о применении ингибиторов эндотелиального фактора роста сосудов при возникновении макулярного отёка [9].
ЗАКЛЮЧЕНИЕ
Пурчероподобная ретинопатия — редкая полиэтиологичная и трудно диагностируемая патология с неоднозначным прогнозом и отсутствием до настоящего времени единого подхода к лечению. По результатам немногочисленных исследований получены данные о положительном влиянии глюкокортикостероидов на течение ретинопатии Пурчера, кроме того, в зарубежных источниках встречаются единичные сообщения о применении препаратов из группы ингибиторов ангиогенеза в ситуациях, когда заболевание осложняется макулярным отёком. В представленных нами клинических случаях использовано патогенетически обоснованное лечение в виде субконъюнктивальных инъекций дексаметазона и интравитреальных инъекций афлиберцепта с достижением выраженного позитивного морфофункционального результата.
ДОПОЛНИТЕЛЬНАЯ ИНФОРМАЦИЯ
Вклад авторов. Д.Ф. Белов — определение концепции, руководство исследованием; Н.Г. Зумбулидзе — определение концепции, пересмотр и редактирование рукописи; В.П. Петухов — проведение исследования; И.С. Вахранев, Ю.В. Гнатюк — проведение исследования; валидация, пересмотр и редактирование рукописи. Все авторы одобрили рукопись (версию для публикации), а также согласились нести ответственность за все аспекты настоящей работы, гарантируя надлежащее рассмотрение и решение вопросов, связанных с точностью и добросовестностью любой её части.
Согласие на публикацию. Авторы получили письменное информированное добровольное согласие пациентов на публикацию конфиденциальных данных в научном журнале, включая его электронную версию (дата подписания 01.08.2024). Объём публикуемых данных с пациентами согласован.
Источники финансирования. Отсутствуют.
Раскрытие интересов. Авторы заявляют об отсутствии отношений, деятельности и интересов за последние три года, связанных с третьими лицами (коммерческими и некоммерческими организациями), интересы которых могут быть затронуты содержанием статьи.
Оригинальность. При создании настоящей статьи авторы не использовали ранее полученные и опубликованные сведения (данные, текст, иллюстрации).
Доступ к данным. Все данные, полученные в настоящем исследовании, представлены в статье.
Генеративный искусственный интеллект. При создании настоящей статьи технологии генеративного искусственного интеллекта не использовали.
Рассмотрение и рецензирование. Настоящая работа подана в журнал в инициативном порядке и рассмотрена по обычной процедуре. В рецензировании участвовали два внешних рецензента, член редакционной коллегии и научный редактор издания.
Дисклеймер. Информация, представленная в настоящей статье, предназначена исключительно для специалистов. Результаты и выводы клинического наблюдения не должны рассматриваться как рекомендации. Авторы не несут ответственности за ненадлежащее использование представленных сведений.
ADDITIONAL INFO
Author contributions: D.F. Belov: conceptualization, supervision; N.G. Zumbulidze: conceptualization, writing—review & editing; V.P. Petukhov: investigation; I.S. Vakhranev, Yu.V. Gnatyuk: investigation; validation, writing—review & editing. All authors approved the manuscript (version to be published) and agreed to be accountable for all aspects of this work, ensuring that questions related to the accuracy or integrity of any part of it are appropriately reviewed and resolved.
Consent for publication: The authors received written informed voluntary consent from patients to publish personal data in a scientific journal, including its electronic version (August 01, 2024). The scope of published data was agreed with the patients.
Funding sources: None.
Disclosure of interest: The authors declare that they have no relationships, activities or interests over the past three years related to third parties (commercial and non-commercial organizations) whose interests may be affected by the content of the article.
Statement of originality: When conducting the research and creating this article, the authors did not use previously obtained and published information (data, text, illustrations).
Data availability statement: All data obtained in this study are presented in the article.
Generative AI: No generative artificial intelligence technologies were used in the creation of this article.
Provenance and peer-review: This paper was submitted to the journal on an unsolicited basis and reviewed according to the usual procedure. Two external reviewers, a member of the editorial board, and the scientific editor of the publication participated in the review.
Disclaimer: The information presented in this article is intended for professionals only. The results and clinical observations should not be considered as recommendations. The authors are not responsible for the improper use of the information presented.
About the authors
Dmitrii F. Belov
City Multifield Hospital No. 2, Saint Petersburg; Saint Petersburg State University
Author for correspondence.
Email: belovd1990@gmail.com
ORCID iD: 0000-0003-0776-4065
SPIN-code: 2380-2273
MD, Cand. Sci. (Medicine)
Russian Federation, Saint Petersburg; Saint PetersburgNatalia G. Zumbulidze
North-Western State Medical University named after I.I. Mechnikov
Email: guramovna@gmail.com
ORCID iD: 0000-0002-7729-097X
SPIN-code: 4439-8855
MD, Cand. Sci. (Medicine)
Russian Federation, Saint PetersburgVladimir P. Petukhov
City Multifield Hospital No. 2, Saint Petersburg
Email: v.p.petukhov@gmail.com
ORCID iD: 0000-0003-4973-3937
SPIN-code: 2879-9313
MD
Russian Federation, Saint PetersburgIlia S. Vakhranev
North-Western State Medical University named after I.I. Mechnikov
Email: visiondoctor1@gmail.com
ORCID iD: 0009-0005-8370-6571
MD
Russian Federation, Saint PetersburgYury V. Gnatyuk
City Multifield Hospital No. 2, Saint Petersburg
Email: yuragnatyuk@yandex.ru
ORCID iD: 0009-0001-2061-0805
MD
Russian Federation, Saint PetersburgReferences
- Purtscher O. Noch unbekannte befunde nach schadeltrauma. Ber Dtsch Ophthalmol Ges. 1910;36:294–301. (In German)
- Agrawal A, McKibbin MA. Purtscher’s and Purtscher-like retinopathies: a review. Surv Ophthalmol. 2006;51(2):129–136. doi: 10.1016/j.survophthal.2005.12.003
- Kupriyanova IN, Orlova OL, Flyagina VI. Purtscher’s retinopathy in acute pancreatitis and newly diagnosed diabetes. RMJ. Clinical ophthalmology. 2016;(4):232–236. doi: 10.21689/2311-7729-2016-16-4-232-236 EDN: ZNOGHJ
- Kincaid MC, Green WR, Knox DL, Mohler C. A clinicopathological case report of retinopathy of pancreatitis. Br J Ophthalmol. 1982;66(4):219–226. doi: 10.1136/bjo.66.4.219
- Nautiyal A, Amescua G, Jameson A, et al. Sudden loss of vision: Purtscher retinopathy in multiple myeloma. CMAJ. 2009;181(12):E277. doi: 10.1503/cmaj.081968
- Blodi BA, Johnson MW, Gass JD, et al. Purtscher’s-like retinopathy after childbirth. Ophthalmology. 1990;97(12):1654–1659. doi: 10.1016/s0161-6420(90)32365-5.
- Miguel AI, Henriques F, Azevedo LF, et al. Systematic review of Purtscher’s and Purtscher-like retinopathies. Eye (Lond). 2013;27(1):1–13. doi: 10.1038/eye.2012.222
- Sadda SR, Schachat AP, Wilkinson CP, et al. Ryan’s retina. 7th edit. Vol. 2. Elseiver: 2023; P. 1877–1878.
- Nesmith BLW, Bitar MS, Schaal S. The anatomical and functional benefit of bevacizumab in the treatment of macular edema associated with Purtscher-like retinopathy. Eye (Lond). 2014;28(8):1038–1040. doi: 10.1038/eye.2014.85
Supplementary files








