Прогностическая значимость экспрессии белка BAP1 при увеальной меланоме
- Авторы: Ким И.Д.1, Гришина Е.Е.1, Сетдикова Г.Р.1
-
Учреждения:
- Московский областной научно-исследовательский клинический институт им. М.Ф. Владимирского
- Выпуск: Том 18, № 2 (2025)
- Страницы: 7-16
- Раздел: Оригинальные исследования
- Статья получена: 02.09.2024
- Статья одобрена: 11.02.2025
- Статья опубликована: 18.07.2025
- URL: https://journals.eco-vector.com/ov/article/view/635584
- DOI: https://doi.org/10.17816/OV635584
- EDN: https://elibrary.ru/KWQOUK
- ID: 635584
Цитировать
Аннотация
Обоснование. Увеальная меланома — наиболее распространённая злокачественная опухоль глаза у взрослых, характеризующаяся высоким риском метастазирования и летального исхода. Традиционные клинические и морфологические признаки не позволяют точно спрогнозировать течение заболевания. В связи с этим актуально изучение молекулярных маркеров, таких как экспрессия белка BAP1, для уточнения прогноза выживаемости и выбора оптимальной тактики ведения пациентов.
Цель — определить прогностическое значение гистологического типа увеальной меланомы и экспрессии белка BAP1 в оценке выживаемости пациентов.
Материалы и методы. Проведён ретроспективный анализ данных 68 пациентов с увеальной меланомой, перенёсших ликвидационное лечение. Для морфологического исследования энуклеированных глаз применяли стандартную методику. Экспрессию белка BAP1 оценивали с использованием иммуногистохимического исследования. Выживаемость анализировали с помощью методов Каплана–Мейера и модели пропорциональных рисков Кокса.
Результаты. Медиана выживаемости пациентов с равномерно или гетерогенно (очагово, мозаично) отсутствующей экспрессией BAP1 составила 48 мес., тогда как для пациентов с равномерно положительной экспрессией BAP1 разной интенсивности (от слабой до выраженной) медиана не достигнута к концу наблюдения. Логарифмический ранговый критерий показал статистически значимые различия между данными группами (χ2=4,344; p=0,037). Риск летального исхода с равномерно или гетерогенно отсутствующей экспрессией BAP1 был в 2,6 раза выше (HR=2,602, 95% доверительный интервал 0,573–0,96). При этом риск летального исхода для пациентов с эпителиоидноклеточным и смешанным типами опухоли всего в 1,27 раза выше, чем для пациентов с веретеновидноклеточным типом (HR=1,265, 95% доверительный интервал 1,062–2,846).
Заключение. Исследование подчеркивает важность использования молекулярно-генетических методов, включая иммуногистохимический анализ BAP1, для более точного прогнозирования исхода заболевания.
Ключевые слова
Полный текст
Обоснование
Увеальная меланома (УМ) — это наиболее распространённая первичная злокачественная внутриглазная опухоль [1]. Заболеваемость УМ в западных странах составляет около 5 случаев на 1 млн человек в год. В Москве УМ встречается с частотой 9 на 1 млн взрослого населения [2]. При постановке данного диагноза от 2 до 4% пациентов уже имеют отдалённые метастазы [3]. У 30% пациентов с УМ метастазы развиваются в течение 5 лет после ликвидационного лечения первичной опухоли. Медиана выживаемости после выявления отдалённых метастазов в печень составляет 4–15 мес. [4]. Существует множество прогностических параметров, указывающих на наличие риска метастазирования. К ним относятся различные клинические, морфологические и генетические факторы [5].
Одним из значимых гистологических параметров считается тип опухоли — эпителиоидноклеточный, веретеновидноклеточный и смешанный [6]. Эпителиоидноклеточная УМ ассоциирована с худшим прогнозом у пациентов, в отличие от прогностически более благоприятных веретеновидноклеточных УМ.
Недавние исследования генома УМ определили молекулярные подмножества, оценивающие индивидуальный риск метастазирования [7]. Данная молекулярно-генетическая классификация УМ составлена с учетом хромосомных аберраций, наличия мутаций ключевых генов и уровня экспрессии мРНК ряда генов в опухолевых клетках. Наиболее значимым «прогностическим» фактором признан ген опухолевого супрессора — BRCA (BReast CAncer) ассоциированного белка-1 (BAP1) [7–9].
Ген BAP1 расположен на хромосоме 3p21.1, которая часто подвергается полной делеции при увеальной меланоме. Моносомия хромосомы 3 считается относительно ранним событием в патогенезе увеальной меланомы, и в ряде исследований было показано, что данная аберрация значительно коррелирует с выживаемостью пациентов [10, 11]. BAP1 является деубиквитилирующим ферментом (DUB), который обладает опухолесупрессирующей активностью, потеря которой связана с более высоким риском роста опухоли и метастазирования. По данным литературы, в прогнозировании метастатического потенциала УМ иммуногистохимический (ИГХ) метод исследования достоверно коррелирует с методом секвенирования по Сэнгеру [12, 13].
Цель исследования — определить прогностическое значение гистологического типа УМ и экспрессии BAP1 в оценке выживаемости пациентов.
Материалы и методы
Ретроспективно проанализированы истории болезни и операционный материал 68 пациентов (68 глаз) с диагнозом УМ в стадии IIIA–IIIC после проведённого радикального (ликвидационного) хирургического лечения (энуклеация или экзентерация) в офтальмологическом отделении ГБУЗ МО «Московский областной научно-исследовательский клинический институт им. М.Ф. Владимирского» с 2014 по 2023 г. Стадирование УМ проводили по системе UICC TNM (8-й пересмотр, 2017).
Среди пациентов преобладали мужчины (1,3:1). Средний возраст пациентов составил 64,9 года (медиана — 65,8 года). Все пациенты, включенные в исследование, находились под динамическим наблюдением. Средний период наблюдения составил 42 мес. (от 11 до 105 мес.), медиана периода наблюдения пациентов — 31 мес. Число пациентов, наблюдение которых продлилось до летального исхода, составило 27 (39,7%), пациентов с цензурированными данными вследствие продолжающегося наблюдения на момент исследования — 41 (60,3%).
Влияние клинических прогностически значимых факторов на ухудшение прогноза УМ было минимизировано вследствие достижения однородности по возрасту, полу, размеру опухоли, вовлечению в процесс цилиарного тела. С данной целью из исследования были также исключены пациенты с экстрабульбарным ростом опухоли.
Морфологическое исследование энуклеированных глаз проводили по стандартной методике. Материал фиксировали в 10% забуференном растворе формалина, затем заливали в парафин по обычной методике. Серийные парафиновые срезы толщиной 3 мкм депарафинировали по стандартной схеме, затем окрашивали гематоксилином и эозином. Для определения экспрессии ВАР1 проводили ИГХ-исследование на серийных парафиновых срезах толщиной 2 мкм по стандартной методике. Интенсивность экспрессии маркеров оценивали полуколичественным методом, разделяя по концентрации антигена и локализации: (–) — отрицательная реакция; (+) — слабая очаговая реакция; (++) — средняя реакция; (+++) — интенсивная реакция по всей цитоплазме.
Оценку гистологического типа УМ проводили по критериям Международной гистологической классификации опухолей 8-го издания (2018) (G1, G2, G3), где веретеновидноклеточной меланомой считается опухоль, имеющая более 90% веретеновидных клеток, смешанноклеточной — при наличии 11–89% эпителиоидных клеток, и эпителиоидноклеточной — имеющая более 90% эпителиоидных клеток.
Статистическую обработку данных проводили с использованием программы IBM SPSS Statistics, версия 27 (IBM Corp., Армонк, Нью-Йорк, США) и Microsoft Office Excel 2016 (Microsoft, США). Выживаемость в течение всего периода наблюдения оценивали методом Каплана–Мейера с проверкой значимости различий по логарифмическому ранговому критерию. Для анализа влияния исследуемых факторов на выживаемость использовали модель пропорциональных рисков Кокса.
Результаты
В результате проведённого исследования установлено, что в 66,2% (45/68) случаев выявлена меланома хориоидеи. Цилиохориоидальная локализация наблюдалась в 27,9% (19/68) случаев, иридоцилиохориоидальная — лишь в 5,9% (4/68). Средний диаметр опухоли составил 15,5 (12,7–17,2) мм, а средняя толщина — 9,5 (7,8–13,5) мм.
По гистологическому типу в 23/68 случаев (33,8%) были классифицированы как веретеновидноклеточные опухоли. Эпителиодноклеточный и смешанный типы наблюдались в 33/68 (48,5%) и 12/68 (17,6%) образцах, соответственно. Мы не выявили статистически значимой корреляции между локализацией опухоли и гистологическим типом (р=0,278). Некрозы выявлены в 14,5% случаев (9/68), кровоизлияния — в 16,4% (10/68). Инфильтрация склеры обнаружена в 48,5% (33/68). В 98,5% случаев (67/68) край резекции был негативным, и лишь в одном (1,5%) случае — позитивным. УМ достаточно хорошо пигментированная опухоль, и только в 11,8% (8/68) случаев была обнаружена беспигментная форма. Выраженность пигментации варьировала от 5% до тотального замещения.
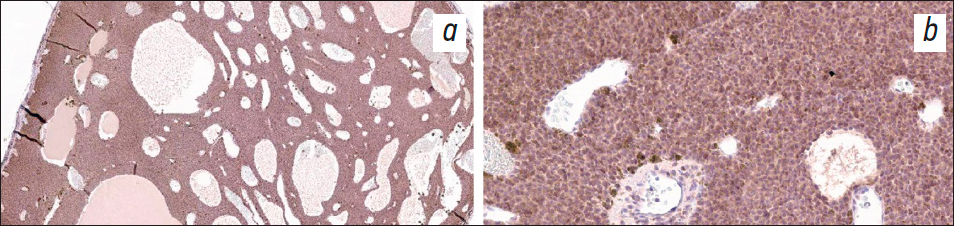
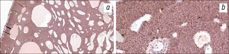
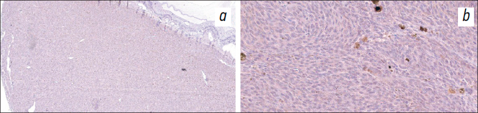
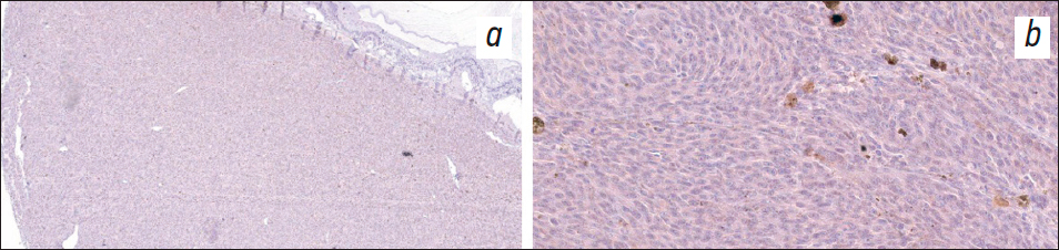
При оценке экспрессии BAP1 реакция выявлена в 63,2% (43/68) случаев, в 36,8% — негативная (25/68) (рис. 1, 2).
Рис. 1. Иммуногистохимическое исследование с BAP1: а — отрицательная экспрессия BAP1, ×50; b — ложноположительная реакция в пигменте, ×400.
Рис. 2. Иммуногистохимическое исследование с BAP1: а — равномерная диффузная цитоплазматическая экспрессия ВАР1, ×50; b — гранулярная экспрессия ВАР1 по всей площади опухоли, ×400.
Интенсивность экспрессии белка BAP1 распределена следующим образом: слабая реакция (1 балл) — 41,9% (18/43); умеренная реакция (2 балла) — 41,9% (18/43); выраженная реакция (3 балла) — 16,3% (7/43). Следует отметить, что наибольшему затруднению был подвержен анализ опухолей с выраженной пигментацией, поскольку отмечалась ложно положительная реакция. Выраженной пигментацию считали в тех случаях, когда процент пигмента превышал 50% от общего объёма опухоли. Такие случаи были обнаружены в 4 случаях (4/68; 5,9%). При этом в 44,1% (19/43) случаев выявлена неравномерная — истинная гетерогенная, мозаичная реакция. В 16/19 случаев реакция была гетерогенной, отсутствовала реакция либо на апексе опухоли, либо на периферии у основания в 7/16 и 9/16 образцах соответственно. В 3/19 случаях реакция носила мозаичный характер. При сопоставлении гистологического типа с уровнем интенсивности ИГХ-окрашивания выявлено, что в группе с полностью отрицательной реакцией (отсутствие экспрессии белка BAP1) доля эпителиоидноклеточных или смешанных опухолей составляла 72%. Примечательно, что во всех 7/43 случаях с интенсивной ИГХ-реакцией BAP1 не наблюдались даже единичные BAP1-негативные опухолевые клетки, а окрашивание визуализировалось как равномерно интенсивное, что свидетельствует о полноценной экспрессии нативного белка BAP1 по всему объёму образования.
Анализ выживаемости методом Каплана–Мейера был проведен для двух групп пациентов в зависимости от гистологического типа опухоли (эпителиоидноклеточный/смешанный и веретеновидноклеточный). Ввиду недостаточного количества пациентов группа со смешанным типом опухолевых клеток была объединена с эпителиоидноклеточными образцами. Среднее время выживания для пациентов с этим типов составило 62,2 мес., а для пациентов с веретеновидноклеточным типом — 72,9 мес. Общая средняя выживаемость составила 65,8 мес.
Медиана времени выживания пациентов с эпителиоидноклеточным/смешанным типом составила 63 мес., в то время как медиана времени выживания пациентов с веретеновидноклеточным типом не была определена, вследствие того что значительная часть пациентов этой группы имела цензурированные данные. При этом достоверно известно, что конечная точка в данной группе не была достигнута к моменту окончания наблюдения.
Для оценки различий в выживаемости между группами с различным гистологическим типом опухоли был применен логарифмический ранговый критерий (Мантела–Кокса). Результаты показали, что различия между группами не были статистически значимыми (χ2=1,161; p=0,281) (рис. 3).
Рис. 3. Кривые общей выживаемости пациентов с увеальной меланомой. Методу Каплана–Мейера. Log Rank: χ2=1,161; p=0,281.
Для оценки общей выживаемости пациентов во взаимосвязи с экспрессией ВАР1 с помощью метода Каплана–Мейера было предложено 4 варианта разделения пациентов по 2 группы:
- вариант 1 — отсутствие экспрессии BAP1 в сравнении с наличием экспрессии BAP1 любой выраженности (от слабой до выраженной) (рис. 4, а);
- вариант 2 — отсутствующая или слабая экспрессия BAP1 в сравнении со средней или интенсивной экспрессией BAP1 (рис. 4, b);
- вариант 3 — отсутствующая, слабая или средняя экспрессия BAP1 в сравнении с интенсивной экспрессией BAP1 (рис. 4, c);
- вариант 4 — равномерно или гетерогенно (очагово, мозаично) отсутствующая экспрессия BAP1 в сравнении с равномерно распределёнными слабой, средней или интенсивной опухолевой экспрессией BAP1. Результаты представлены на графиках (рис. 5).
Рис. 4. Кривые общей выживаемости по методу Каплана–Мейера: a — вариант 1, Log Rank: χ2=0,62, p=0,431; b — вариант 2, Log Rank: χ2=0,933, p=0,334; c — вариант 3, Log Rank: χ2=0,007, p=0,932.
Рис. 5. Кривые общей выживаемости по методу Каплана–Мейера. Пациенты с увеальной меланомой, вариант 4. Log Rank: χ2=4,344; p=0,037.
В первых трёх вариантах выборки не учитывался факт внутриопухолевой гетерогенности (очаговой или мозаичной). Результаты показали, что различия между группами не были статистически значимыми: для варианта 1 — χ2=0,62, p=0,431; для варианта 2 — χ2=0,933, p=0,334; для варианта 3 — χ2=0,007, p=0,932. При сравнении общей выживаемости группы с равномерно или гетерогенно (очагово, мозаично) отсутствующей экспрессией BAP1 и группы с равномерной экспрессией BAP1 с различной интенсивностью ИГХ-реакции среднее время выживания пациентов первой группы составило 56,4 мес., а для пациентов второй группы — 75,4 мес. Медиана времени выживания пациентов с равномерно или гетерогенно (очагово, мозаично) отсутствующей экспрессией BAP1 составила 48 мес., в то время как медиана для пациентов с равномерной экспрессией BAP1 не была определена, вследствие того что у значительной части пациентов конечная точка не была достигнута к моменту окончания наблюдения. Логарифмический ранговый критерий (Мантела–Кокса) демонстрирует, что различия между группами можно считать статистически значимыми (χ2=4,344, p=0,037).
В данной выборке также был проведён анализ данных с помощью модели пропорциональных рисков Кокса, который показал, что риск летального исхода для пациентов с равномерно или гетерогенно (очагово, мозаично) отсутствующей экспрессией BAP1 в 2,6 раза выше (HR=2,602, 95% доверительный интервал 0,573–0,96), чем для пациентов с равномерно положительной экспрессией BAP1 разной интенсивности (от слабой до выраженной). При этом риск летального исхода для пациентов с эпителиоидноклеточным/смешанным типом опухоли всего в 1,27 раза выше, чем для пациентов с веретеновидноклеточным типом (HR=1,265, 95% доверительный интервал 1,062–2,846).
Обсуждение
Молекулярно-генетические методы определения прогноза УМ в настоящее время используются ограниченно. Тактика послеоперационного ведения пациентов с УМ зачастую определяется клиническими и морфологическими исследованиями. Однако каждая опухоль уникальна и, как правило, состоит из различных субпопуляций клеток, имеющих свои морфологические, генетические и эпигенетические особенности. Так, чаще всего в пределах одной опухоли наблюдается морфологическая гетерогенность, при которой определение витального прогноза становится затруднительным. Тем не менее известно, что с увеличением доли эпителиоидных клеток ухудшается выживаемость пациентов [14].
Предыдущие исследования демонстрируют явление значительной внутриопухолевой гетерогенности как в фенотипе, так и в генотипе УМ [15–19]. M.C. Herwig-Carl и соавт. [16] изучили неоднородность влияния эпигенетических факторов (глобальных уровней ацетилирования гистонов, метилирования ДНК и убиквитинирования) на экспрессию множества различных белков в опухолевых клетках. Данная работа продемонстрировала, что клетки с наибольшим метастатическим потенциалом располагались на периферии опухоли, а также в эммисариях склеры. Важную роль в эпигенетическом регулировании метастатической активности УМ играет ген ВАР1 [20]. C. Pandiani и соавт. [17] обнаружили несколько различных транскрипционных профилей методом одноклеточного секвенирования РНК в опухолевой массе, что указывает на наличие клеток с разными функциями и вариабельным метастатическим потенциалом в пределах одного образования. В целом, принято считать, что гетерогенность опухоли связана с плохим прогнозом [21–24]. Однако данных о прогностическом значении неоднородного распределения экспрессии BAP1 в увеальной меланоме до сих пор не получено. В настоящей работе акцент сделан на определении экспрессии BAP1 ИГХ-методом в разных участках опухоли, что позволило выявить гетерогенность экспрессии и пространственное распределение данного маркера в пределах большей части объема опухоли. Найдены работы российских ученых о возможности определения экспрессии BAP1 в аспирационном материале после проведения тонкоигольной аспирационной биопсии иммуноцитохимическим и молекулярно-генетическим методами и проведено их сравнение, которое показало отсутствие прогностической значимости экспрессии BAP1 методом иммуноцитохимии [25, 26]. С нашей точки зрения, указанные выше результаты обусловлены тем, что исследование авторами проведено на 100 опухолевых клетках без учёта точки забора материала, а следовательно, без учёта гетерогенности опухоли.
По литературным данным, гистологический тип опухоли ассоциирован с выживаемостью пациентов с УМ [27, 28]. По нашим данным, мы не выявили статистически значимую зависимость выживаемости пациентов от морфологических характеристик УМ. Данный факт, скорее всего, связан с большим размером опухоли и небольшим объёмом выборки. При оценке весового значения генетического и морфологического факторов, влияющих на общую выживаемость пациентов с УМ, нами выявлено, что статус гена BAP1 оказывает существенно большее влияние на исход заболевания, чем гистологический тип опухолевых клеток. Риск летального исхода при отсутствии экспрессии BAP1 как по всему объёму опухоли, так и на отдельных её участках (при наличии внутриопухолевой гетерогенности) существенно выше, чем при эпителиоидноклеточном или смешанном типах опухоли. Прогностическое значение данного генетического фактора приобретает значимость даже при условии учёта очагового или мозаичного отсутствия экспрессии BAP1, тогда как стратификация риска только по градации усреднённой интенсивности экспрессии BAP1 не даёт статистически значимого результата.
Заключение
Таким образом, оценка витального прогноза пациентов с УМ должна основываться не только на клинических и морфологических, но и на генетических критериях. В частности, в данном исследовании показана особая прикладная роль в решении данной проблемы ИГХ-анализа экспрессии BAP1. Продемонстрирована также значимость внутриопухолевой гетерогенности как морфологической, так и генетической характеристик УМ. Тем не менее необходимы дальнейшие исследования для изучения возможных закономерностей пространственного распределения прогностически неблагоприятных генетических факторов в пределах объёма опухоли, способных внести существенный вклад в разработку новых методов определения прогноза УМ.
Дополнительная информация
Вклад авторов. И.Д. Ким — существенный вклад в концепцию и дизайн работы, сбор, анализ и обработка материала, статистическая обработка данных, написание текста; Е.Е. Гришина — существенный вклад в концепцию и дизайн работы, редактирование, окончательное утверждение версии, подлежащей публикации, написание текста; Г.Р. Сетдикова — существенный вклад в концепцию и дизайн работы, написание текста, редактирование, анализ и обработка материала. Авторы одобрили версию для публикации, а также согласились нести ответственность за все аспекты работы, гарантируя надлежащее рассмотрение и решение вопросов, связанных с точностью и добросовестностью любой ее части.
Этическая экспертиза. Проведение исследования одобрено независимым комитетом по этике при ГБУЗ МО «Московский областной научно-исследовательский клинический институт им. М.Ф. Владимирского» (протокол № 2 от 02.02.2023). Все участники исследования добровольно подписали форму информированного согласия до включения в исследование. Протокол исследования не регистрировали.
Источники финансирования. Отсутствуют.
Раскрытие интересов. Авторы заявляют об отсутствии отношений, деятельности и интересов за последние три года, связанных с третьими лицами (коммерческими и некоммерческими), интересы которых могут быть затронуты содержанием статьи.
Оригинальность. При создании настоящей работы авторы не использовали ранее опубликованные сведения (текст, иллюстрации, данные).
Доступ к данным. Все данные, полученные в настоящем исследовании, доступны в статье.
Генеративный искусственный интеллект. При создании настоящей статьи технологии генеративного искусственного интеллекта не использовали.
Рассмотрение и рецензирование. Настоящая работа подана в журнал в инициативном порядке и рассмотрена по обычной процедуре. В рецензировании участвовали два внешних рецензента, член редакционной коллегии и научный редактор издания.
Об авторах
Игорь Дмитриевич Ким
Московский областной научно-исследовательский клинический институт им. М.Ф. Владимирского
Автор, ответственный за переписку.
Email: eyelena@mail.ru
ORCID iD: 0000-0001-7575-5043
Россия, Москва
Елена Евгеньевна Гришина
Московский областной научно-исследовательский клинический институт им. М.Ф. Владимирского
Email: eyelena@mail.ru
ORCID iD: 0000-0003-2668-9136
д-р мед. наук, профессор
Россия, МоскваГалия Равилевна Сетдикова
Московский областной научно-исследовательский клинический институт им. М.Ф. Владимирского
Email: galiya84@mail.ru
ORCID iD: 0000-0002-5262-4953
д-р мед. наук
Россия, МоскваСписок литературы
- Singh AD, Turell ME, Topham AK. Uveal melanoma: trends in incidence, treatment, and survival. Ophthalmology. 2011;118(9):1881–1885. doi: 10.1016/j.ophtha.2011.01.040
- Grishina EE, Lerner MY, Gemdzhian EG. Epidemiology of uveal melanomas in Moscow. Almanac of Clinical Medicine. 2017;45(4): 321–325. doi: 10.18786/2072-0505-2017-45-4-321-325 EDN: ZCQVAP
- Aronow ME, Topham AK, Singh AD. Uveal melanoma: 5-year update on incidence, treatment, and survival (SEER1973–2013). Ocul Oncol Pathol. 2018;4(3):145–151. doi: 10.1159/000480640
- Postow MA, Kuk D, Bogatch K, Carvajal RD. Assessment of overall survival from time of metastastasis in mucosal, uveal, and cutaneous melanoma. J Clin Oncol. 2014;32(15S):9074. doi: 10.1200/jco.2014.32.15_suppl.9074
- Berus T, Halon A, Markiewicz A, et al. Clinical, histopathological and cytogenetic prognosticators in uveal melanoma — A comprehensive review. Anticancer Res. 2017;37(12):6541–6549. doi: 10.21873/anticanres.12110
- Kaliki S, Shields C, Shields J. Uveal melanoma: Estimating prognosis. Indian J Ophthalmol. 2015;63(2):93–102. doi: 10.4103/0301-4738.154367
- Robertson AG, Shih J, Yau C, et al. Integrative Analysis identifies four molecular and clinical subsets in uveal melanoma. Cancer Cell. 2017;32(2):204–220.e15. doi: 10.1016/j.ccell.2017.07.003
- Harbour JW, Onken MD, Roberson ED, et al. Frequent mutation of BAP1 in metastasizing uveal melanomas. Science. 2010;330(6009):1410–1413. doi: 10.1126/science.1194472
- Stålhammar G, See TRO, Phillips S, et al. Digital image analysis of BAP-1 accurately predicts uveal melanoma metastasis. Transl Vis Sci Technol. 2019;8(3):11. doi: 10.1167/tvst.8.3.11
- Bornfeld N, Prescher G, Becher R, et al. Prognostic implications of monosomy 3 in uveal melanoma. Lancet. 1996;347(9010): 1222–1225. doi: 10.1016/s0140-6736(96)90736-9
- Kilic E, van Gils W, Lodder E, et al. Clinical and cytogenetic analyses in uveal melanoma. Invest Ophthalmol Vis Sci. 2006;47(9): 3703–3707. doi: 10.1167/iovs.06-0101
- van de Nes JA, Nelles J, Kreis S, et al. Comparing the prognostic value of BAP1 mutation pattern, chromosome 3 status, and BAP1 immunohistochemistry in uveal melanoma. Am J Surg Pathol. 2016;40(6):796–805. doi: 10.1097/PAS.0000000000000645
- Kalirai H, Dodson A, Faqir S, et al. Lack of BAP1 protein expression in uveal melanoma is associated with increased metastatic risk and has utility in routine prognostic testing. Br J Cancer. 2014;111(7):1373–1380. doi: 10.1038/bjc.2014.417
- Biscotti CV, Singh AD. Uveal melanoma: diagnostic features. Monogr Clin Cytol. 2012;21:44–54. doi: 10.1159/000331030
- Shain AH, Bagger MM, Yu R, et al. The genetic evolution of metastatic uveal melanoma. Nat Genet. 2019;51:1123–1130. doi: 10.1038/s41588-019-0440-9
- Herwig-Carl MC, Sharma A, Holler T, et al. Spatial intratumor heterogeneity in uveal melanoma: Tumor cell subtypes with a presumed invasive potential exhibit a particular epigenetic staining reaction. Exp Eye Res. 2019;182:175–181. doi: 10.1016/j.exer.2019.04.001
- Pandiani C, Strub T, Nottet N, et al. Single-cell RNA sequencing reveals intratumoral heterogeneity in primary uveal melanomas and identifies HES6 as a driver of the metastatic disease. Cell Death Differ. 2021;28:1990–2000. doi: 10.1038/s41418-020-00730-7
- Mensink HW, Vaarwater J, Kilic E, et al. Chromosome 3 intratumor heterogeneity in uveal melanoma. Investig Ophthalmol Vis Sci. 2009;50(2): 500–504. doi: 10.1167/iovs.08-2279
- Stålhammar G, Grossniklaus HE. Intratumor heterogeneity in uveal melanoma BAP-1 expression. Cancers (Basel). 2021;13(5):1143. doi: 10.3390/cancers13051143
- Kwon J, Lee D, Lee SA. BAP1 as a guardian of genome stability: implications in human cancer. Exp Mol Med. 2023;55(4):745–754. doi: 10.1038/s12276-023-00979-1
- Mroz EA, Rocco JW. MATH, a novel measure of intratumor genetic heterogeneity, is high in poor-outcome classes of head and neck squamous cell carcinoma. Oral Oncol. 2013;49(3):211–215. doi: 10.1016/j.oraloncology.2012.09.007
- Landau DA, Carter SL, Stojanov P, et al. Evolution and impact of subclonal mutations in chronic lymphocytic leukemia. Cell. 2013;152(4):714–726. doi: 10.1016/j.cell.2013.01.019
- Zhang J, Fujimoto J, Wedge DC, et al. Intratumor heterogeneity in localized lung adenocarcinomas delineated by multiregion sequencing. Science. 2014;346(6206):256–259. doi: 10.1126/science.1256930
- Patel AP, Tirosh I, Trombetta JJ, et al. Single-cell RNA-seq highlights intratumoral heterogeneity in primary glioblastoma. Science. 2014;344(6190):1396–1401. doi: 10.1126/science.1254257
- Zaretskiy A, Yarovaya V, Nazarova V, et al. Molecular testing of stage I–III uveal melanoma in the context of conservative or surgical treatment: our experience. Problems in oncology. 2018;64(5):625–632. doi: 10.37469/0507-3758-2018-64-5-625-632 EDN: VKVVIX
- Yarovaya VA, Yarovoy AA, Zaretsky AR, et al. Molecular genetic testing of uveal melanoma in eye saving treatment. Practical medicine. 2018;(3): 213–216. EDN: YXOSLZ
- McLean IW, Foster WD, Zimmerman LE, Gamel JW. Modifications of Callender’s classification of uveal melanoma at the Armed Forces Institute of Pathology. Am J Ophthalmol. 1983;96(4):502–509. doi: 10.1016/s0002-9394(14)77914-0
- Gamel JW, McLean IW, Foster WD, Zimmerman LE. Uveal melanomas: Correlation of cytologic features with prognosis. Cancer. 1978;41(5):1897–1901. doi: 10.1002/1097-0142(197805)41:5<1897::aid-cncr2820410534>3.0.co;2-2
Дополнительные файлы









