About a new approach to surgical treatment of corneal endothelial dystrophy
- Authors: Astakhov S.Y.1, Riks I.A.1, Papanyan S.S.1, Novikov S.A.1, Dzhaliashvili G.Z.1
-
Affiliations:
- Academician I.P. Pavlov First St. Petersburg State Medical University
- Issue: Vol 11, No 1 (2018)
- Pages: 78-84
- Section: Articles
- Submitted: 09.04.2018
- Published: 15.03.2018
- URL: https://journals.eco-vector.com/ov/article/view/8653
- DOI: https://doi.org/10.17816/OV11178-84
- ID: 8653
Cite item
Abstract
Primary endothelial dystrophy of the cornea is a fairly common disease in people older than 50 years. Well-developed methods of conservative treatment, as a rule, do not lead to improvement or stabilization of the functional state of the cornea. The choice of tactics of surgical treatment from the existing variety of techniques is complicated. There are isolated reports of the restoration of corneal transparency after descemet membrane removal. The author's method of endothelial corneal dystrophy treatment addressed in this particular clinical case – a combination of isolated descemetorhexis and collagen cross-linking – resulted in impressive increase in visual acuity and significant improvement in objective criteria for the morpho-functional state of the cornea.
Full Text
Introduction
It is usually difficult to choose an effective method for treating corneal endothelial dystrophy (ED); nonetheless, most ophthalmologists tend to use keratoplasty. Several methods of layer-by-layer kera toplasty have been recently adopted; however, problems with both corneal donor tissue and procedural complexity have necessitated the development of new surgical methods for the treatment of Fuchs ED.
Actuality
Fuchs ED occurs in approximately 4%–4.5% of patients over 50 years of age [3, 17]. In the Russian Federation, the incidence of Fuchs ED is 4.1% in patients with cataract [1]. Recently, several case reports have described the restoration of corneal transparency after descemetorhexis (DR) of non-adjacent regions of the endothelial membrane after posterior keratoplasty.
Historical information
In 2003, Braunstein et al. first reported the restoration of corneal transparency, reduced the central corneal thickness (CCT), and increased the visual acuity in a patient who underwent an unplanned removal of Descemet’s membrane (DM) (with a diameter of 5.0 mm) during phacoemulsification (PE) [8]. Patel et al. described an increase in the endothelial cell density (ECD) in a 90-year-old patient after an unplanned DR (with a DM diameter of 6.0 mm) [21]. Nine months after surgery, this patient had a visual acuity score of 0.4 and an ECD of 934 ± 69 cells/mm2. Similar clinical cases, with shorter follow-up periods, were described by Zvi et al. in 2005 [26], Pan et al., and Watson et al. in 2006 [20, 23], and Choo in 2010 [9]. In 2013, Koening reported a case with the longest follow-up period of 16 years [15]. Collectively, the authors of these studies concluded that endothelial cells (ECs) after DR could migrate from the periphery to the center of the cornea, resulting in both restored corneal transparency and increased visual acuity.
Recently, several authors have described the restoration of corneal transparency in patients with non-adjacent endothelial grafts, even after they have been removed [5, 11, 18, 24, 25]. Shah et al. performed a preplanned central DR [22], and 6 months later, the corneal transparency was restored and the corrected visual acuity was 0.3. Moloney et al. concluded that DR without keratoplasty is an effective method of treatment and visual rehabilitation for patients with Fuchs ED [19]. All of these investigations recommended that longitudinal studies should be conducted with a large number of patients to determine any clear indications for DR. Furthermore, the age of the patient and the morphological condition of the peripheral corneal endothelium were identified as important for the efficacy of DR. Nonetheless, multiple studies have reported the inefficacy of DR without keratoplasty, and, therefore, many authors do not recommend this method for the treatment of Fuchs ED [6, 10, 12, 13].
The analysis of specific Russian scientific publications presented herein failed to find any studies that described a preplanned DR in patients with Fuchs ED. As of September 2017, 10 publications were identified in the PubMed database using the keywords “cornea,” “spontaneous clearance,” “descemetorhexis,” and “Fuchs dystrophy” [4, 6, 7, 12–14, 16, 18, 19, 22]. Collectively, these 10 studies described 47 preplanned DR procedures. Therefore, no final consensus has been reached to date on the efficacy of DR for the treatment of Fuchs ED.
The current article presents a case in which Fuchs ED was successfully treated by performing a preplanned isolated DR with subsequent collagen cross-linking (CCL).
A 61-year-old female patient presented with a complaint of gradual deterioration of vision in both eyes since 2013 and was subsequently admitted to the Ophthalmology Hospital of the I.P. Pavlov First Saint Petersburg State Medical University in March 2017 for routine cataract surgery. Upon admission, the uncorrected visual acuity of the right eye was 0.1, the best-corrected visual acuity was 0.3, and the intraocular pressure (IOP) was 11 mmHg. In the left eye, the uncorrected visual acuity was 0.15, the best-corrected visual acuity was 0.3, and the IOP was 12 mmHg (the IOP was measured using an Icare tonometer). Biomicroscopy of both eyes revealed stromal edema, small epithelial bullae in the optical zone of the cornea (OD > OS), and no peripheral corneal opacity. The anterior chamber was homogeneous and clear with an average depth. The pupil was round with a diameter of 3 mm, centrally located, and reactive to light. The cortical and nuclear layers of the lens showed some opacity. The fundus appeared normal. The CCTs for both eyes were as follows: OD: 753 µm, OS: 602 µm.
Unfortunately, a reliable estimation of the corneal ECD in the right eye was impossible due to stromal edema and epithelial bullae. Together, these findings are consistent with a diagnosis of early cataract, with stage IIIa Fuchs ED in both eyes (according to the author’s classification) [2].
On March 3, 2017, the patient underwent PE and intraocular lens (IOL) implantation in the right eye according to standard methods. Upon discharge, the uncorrected visual acuity of the right eye was 0.1, and the IOP was 10 mmHg. In the early postoperative period, the patient showed excessive DM folds, stromal edema, and multiple epithelial bullae in the optical zone of the cornea. The anterior chamber was deeper than normal, but it was homogeneous and clear. As before, the pupil was round with a dia meter of 3 mm and centrally located. Similarly, the IOL was in a correct position. The fundus reflex, however, was weakened due to the condition of the cornea. The patient received standard postoperative treatment that aimed to improve the condition of the cornea during the following 1.5 months; however, it was ineffective.
In April 2017, it was decided that a new surgical treatment should be performed according to our method, i. e., isolated DR with subsequent CCL (patent application number 2017111112, April 3, 2017).
Upon admission, the uncorrected visual acuity of the right eye was 0.1, and the IOP was 10 mmHg. Biomicroscopy of the right eye showed excessive DM folds, stromal edema, multiple epithelial bullae in the optical zone of the cornea, and no peripheral corneal opacity (Figure 1). The CCT in the right eye was 767 µm (Figure 2), and no ECs were found in the central cornea during confocal microscopic examination.
Fig. 1. Cornea of the right eye
Fig. 2. Corneal topography and pachymetry
On April 18, 2017, the patient underwent central DR with a diameter of 5.0 mm, and the condition of the cornea in the right eye after 2 days is shown in Figure 3. The uncorrected visual acuity of the right eye was 0.3, and the IOP was 10 mmHg (as measured using the Icare tonometer). Excessive edema and folds in the deep stroma were observed as well as multiple epithelial bullae in the optical zone and transparent corneal periphery with a well-defined endothelial pattern. The margin of DR could not be visualized, although the deeper parts remained unchanged. The patient was examined every week (Figure 4), and after 2 weeks post DR, she underwent accelerated CCL (intensity: 9 W/cm2, 10 min exposure). Two weeks after CCL, the uncorrected visual acuity was 0.3, and the CCT was 546 µm. Stromal edema and the number of bullae were reduced, and the margin of DR was visualized (Fi gures 5 and 6). One month after CCL, the uncorrected visual acuity increased to 0.5 (Figure 7 shows the cornea), and a confocal microscopic examination revealed single ECs in the area of DR (Figure 8). The complete restoration of corneal transparency occurred 4.5 months after surgery, with the uncorrected visual acuity reaching 1.0, CCT of 553 µm, and ECD of 1546 cells/mm2 (Figures 9–11).
Fig. 3. Cornea after descemetorhexis
Fig. 4. Cornea 2 weeks after CXL
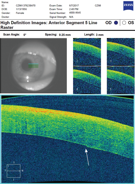
Fig. 5. Cornea (arrows indicate the border of the descemetorhexis)
Fig. 6. Anterior segment optical coherence tomography (arrows indicate the border of the descemetorhexis)
Fig. 7. Cornea (arrows indicate the border of the descemetorhexis)
Fig. 8. Confocal microscopy of endothelial cells (single endothelial cells are visible)
Fig. 9. Confocal microscopy of endothelial cells 1546 cells/mm2 (а); morphological characteristics of endothelial cells by confocal microscopy (b)
Fig. 10. Cornea of the right eye (arrows indicate the border of the descemetorhexis)
Fig. 11. Corneal topography and pachymetry
Conclusion
The current shortage of donor corneal tissues makes DR with subsequent CCL an attractive alternative that permits the avoidance of using cadaver tissues for treating many patients. Despite the poor understanding of the mechanisms underlying re-endothelialization and epithelial migration, thiscase study described a novel surgical technique that can restore corneal transparency due to the emergence of morphologically unchanged ECs in the area of DR. Isolated DR with subsequent CCL is a highly technological, well reproduced, and well controlled surgery that can be effectively implemented into routine practice.
The authors declare no conflict of interest and no competing financial interest.
About the authors
Sergey Yu. Astakhov
Academician I.P. Pavlov First St. Petersburg State Medical University
Author for correspondence.
Email: astakhov73@mail.ru
MD, PhD, DMedSc, professor, head of Ophthalmology Department
Russian Federation, Saint PetersburgInna A. Riks
Academician I.P. Pavlov First St. Petersburg State Medical University
Email: riks0503@yandex.ru
MD, PhD, assistant, Ophthalmology Department
Russian Federation, Saint PetersburgSanasar S. Papanyan
Academician I.P. Pavlov First St. Petersburg State Medical University
Email: dr.papanyan@yandex.ru
MD, aspirant, Ophthalmology Department
Russian Federation, Saint PetersburgSergey A. Novikov
Academician I.P. Pavlov First St. Petersburg State Medical University
Email: serg2705@yandex.ru
MD, PhD, DMedSc, professor, Ophthalmology Department
Russian Federation, Saint PetersburgGeorgiy Z. Dzhaliashvili
Academician I.P. Pavlov First St. Petersburg State Medical University
Email: zurabych@yandex.ru
Ophthalmologist
Russian Federation, Saint PetersburgReferences
- Антонова О.И. Современные аспекты диагностики и лечения первичной эндотелиальной дистрофии роговицы (Фукса): Дис. … канд. мед. наук. – М., 2016. [Antonova OI. Sovremennye aspekty diagnostiki i lecheniya pervichnoy endotelial'noy distrofii rogovitsy (Fuksa). [dissertation] Moscow; 2016. (In Russ.)]
- Рикс И.А., Папанян С.С., Астахов С.Ю., Новиков С.А. Новая клинико-морфологическая классификация эндотелиально-эпителиальной дистрофии роговицы // Офтальмологические ведомости. – 2017. – Т. 3. – № 3. – С. 46–52. [Riks IA, Papanyan SS, Astakhov SYu, Novikov SA. Novel clinico-morphological classification of the corneal endothelialepithelial dystrophy. Ophthalmology Journal. 2017;10(3):46-52. (In Russ.)]. doi: 10.17816/OV10346-52]
- Afshari NA, Pittard AB, Siddiqui BS, Klintworth GK. Clinical study of Fuchs corneal endothelial dystrophy leading to penetrating keratoplasty. A 30-year experience. Arch Ophthalmol. 2006;124(6):777-780. doi: 10.1001/archopht.124.6.777.
- Arbelaez JG, Price MO, Price FW. Long-term Follow-up and Complications of Stripping Descemet Membrane Without Placement of Graft in Eyes With Fuchs Endothelial Dystrophy. Cornea. 2014;33(12):1295-9. doi: 10.1097/ICO.0000000000000270.
- Balachandran C, Ham L, Verschoor CA, et al. Spontaneous corneal clearance despite graft detachment in descemet membrane endothelial keratoplasty. Am J Ophthalmol. 2009;148:227-234. doi: 10.1016/j.ajo.2009.02.033.
- Bleyen I, Saelens IA, van Dooren BT, et al. Spontaneous corneal clearing after Descemet’s stripping. Ophthalmology. 2013;120:215. doi: 10.1016/j.ophtha.2012.08.037.
- Borkar DS, Veldman P, Colby KA. Treatment of Fuchs endothelial dystrophy by descemet stripping without endothelial keratoplasty. Cornea. 2016;35:1267-1273. doi: 10.1097/ICO.0000000000000915.
- Braunstein RE, Airiani S, Chang MA, Odrich MG. Corneal edema resolution after “descemetorhexis.” Journal of Cataract and Refractive Surgery. 2003;29(7):1436-1439. doi: 10.1016/S0886-3350(02)01984-3.
- Choo SY, Zahidin AZM, Then KY. Spontaneous Corneal Clearance Despite Graft Detachment in Descemet Membrane Endothelial Keratoplasty. American Journal of Ophthalmology. 2010;149(3):531. doi: 10.1016/j.ajo.2009.11.010.
- Rao R, Borkar DS, Colby KA, Veldman PB. Descemet Membrane Endothelial Keratoplasty After Failed Descemet Stripping Without Endothelial Keratoplasty. Cornea. 2017;0(0):1-4. doi: 10.1097/ICO.0000000000001214.
- Dirisamer M, Ham L, Dapena I, et al. Descemet membrane endothelial transfer: “free-floating” donor Descemet implantation as a potential alternative to “keratoplasty”. Cornea. 2012;31(2):194-7. doi: 10.1097/ICO.0b013e31821c9afc.
- Galvis V, Tello A, Berrospi RD, et al. Descemetorhexis without endothelial graft in Fuchs dystrophy. Cornea. 2016;35:26-28. doi: 10.1097/ICO.0000000000000931.
- Ham L, Dapena I, Moutsouris K, et al. Persistent corneal edema after descemetorhexis without corneal graft implantation in a case of Fuchs endothelial dystrophy. Cornea. 2011;30:248-249. doi: 10.1097/ICO.0b013e3181eeb2c7.
- Iovieno A, Neri A, Am S, et al. Descemetorhexis Without Graft Placement for the Treatment of Fuchs Endothelial Dystrophy: Preliminary Results and Review of the Literature. Cornea. 2017;36(6):637-641. doi: 10.1097/ICO.0000000000001202.
- Koenig SB. Long-term Corneal Clarity After Spontaneous Repair of an Iatrogenic Descemetorhexis in a Patient With Fuchs Dystrophy. Cornea. 2013;32(6):886-8. doi: 10.1097/ICO.0b013e3182886aaa.
- Koenig SB. Planned Descemetorhexis Without Endothelial Keratoplasty in Eyes With Fuchs Corneal Endothelial Dystrophy. Cornea. 2015;34(9):1149-51. doi: 10.1097/ICO.0000000000000531.
- Krachmer JH, Purcell JJJr, Young CW, Bucher KD. Corneal endothelial dystrophy. A study of 64 families. Arch Ophthalmol. 1978;96:2036-9. doi: 10.1001/archopht.1978.03910060424004.
- Moloney G, Chan UT, Hamilton A, et al. Descemetorhexis for Fuchs’ dystrophy. Canadian Journal of Ophthalmology. 2015;50(1):68-72. doi: 10.1016/j.jcjo.2014.10.014.
- Moloney G, Petsoglou C, Ball M, et al. Descemetorhexis Without Grafting for Fuchs Endothelial Dystrophy-Supplementation With Topical Ripasudil. Cornea. 2017;36(6):642-648. doi: 10.1097/ICO.0000000000001209.
- Pan JCH, Eong KGA. Spontaneous resolution of corneal oedema after inadvertent “descemetorhexis” during cataract surgery. Clinical and Experimental Ophthalmology. 2006;34(9):896-897. doi: 10.1111/j.1442-9071.2006.01360.x.
- Patel DV, Phang KL, Grupcheva CN, et al. Surgical detachment of Descemet’s membrane and endothelium imaged over time by in vivo confocal microscopy. Clinical and Experimental Ophthalmology. 2004;32(5):539-42. doi: 10.1111/j.1442-9071.2004.00875.x.
- Shah RD, et al. Spontaneous corneal clearing after Descemet’s stripping without endothelial replacement. Ophthalmology. 2012;119(2):256-60. doi: 10.1016/j.ophtha.2011.07.032.
- Watson SL, Abiad G, Coroneo MT. Spontaneous resolution of corneal oedema following Descemet’s detachment. Clinical and Experimental Ophthalmology. 2006;34(8):797-799. doi: 10.1111/j.1442-9071.2006.01319.x.
- Zafirakis P, Kymionis GD, Grentzelos MA, Livir-Rallatos G. Corneal graft detachment without corneal edema after descemet stripping automated endothelial keratoplasty. Cornea. 2010;29(4):456-8. doi: 10.1097/ICO.0b013e3181b46bc2.
- Ziaei M, Barsam A, Mearza AA. Spontaneous corneal clearance despite graft removal in Descemet stripping endothelial keratoplasty in Fuchs endothelial dystrophy. Cornea. 2013;32(7):164-166. doi: 10.1097/ICO.0b013e31828b75a1.
- Zvi T, Nadav B, Itamar K, Tova L. Inadvertent descemetorhexis. Journal of Cataract and Refractive Surgery. 2005;31(1):234-235. doi: 10.1016/j.jcrs.2004.11.001.
Supplementary files















