Assessment of Corneal subbasal nerve plexus using confocal in vivo microscopy in patients with pseudoexfoliation syndrome after phacoemulsification
- Authors: Potyomkin V.V.1, Varganova T.S.2, Terehova I.V.2, Ageeva E.V.2
-
Affiliations:
- Academician I.P. Pavlov First Saint Petersburg State Medical University
- City hospital No 2
- Issue: Vol 11, No 2 (2018)
- Pages: 13-18
- Section: Articles
- Submitted: 05.06.2018
- Published: 15.06.2018
- URL: https://journals.eco-vector.com/ov/article/view/8932
- DOI: https://doi.org/10.17816/OV11213-18
- ID: 8932
Cite item
Abstract
Phacoemulsification (PE) is the leading method of cataract surgery. Purpose. To assess the impact of PE on corneal subbasal nerve plexus in patients with pseudoexfoliation syndrome (PEX) using confocal in vivo microscopy. Methods. 42 patients (42 eyes) were enrolled in the study. The main group consisted of 24 patients (24 eyes) with PEX syndrome, and 18 patients (18 eyes) without it composed the control group. Confocal in vivo microscopy was performed before and after PHACO. Results. In patients with PEX after PE, an increase in number of nerve branches and pellet-like structures in them were noticed (p < 0,05).
Full Text
INTRODUCTION
Changes in the eye surface are often observed in the elderly and in those with pseudoexfoliation syndrome (PEX) [3, 5, 11]. PEX is usually associated with a shorter time of tear film break-up, severe conjunctivochalasis, reduced corneal sensitivity, and increased subjective complaints [3]. The etiology and pathogenesis of these conditions in PEX remain poorly understood. Changes in the corneal sub-basal nerve plexus may aggravate the disorders of the eye surface. We previously demonstrated that individuals with PEX have a significantly increased number of nerve branches and granular structures in the corneal sub-basal nerve plexus [2, 4]. Here, we assessed the effect of phacoemulsification (PHACO) on the cornea in PEX-affected eyes [6].
We evaluated the impact of PHACO on corneal sub-basal nerve plexus in patients with and without PEX.
MATERIAL AND METHODS
The study included 42 patients (42 eyes) admitted to the 5th Department of Ophthalmology of City Hospital No. 2. All participants were divided into two groups: study (24 patients (24 eyes) with PEX) and control (18 patients (18 eyes) without PEX) groups. PEX was diagnosed based on the detection of pseudoexfoliation material in the anterior lens capsule, on the pupillary border of the iris, or in the corner of the anterior chamber angle. Patients in both groups were matched for sex and age (Table 1).
Table 1. Patients distribution by sex and age
Таблица 1. Распределение групп по полу и возрасту
Parameter | Study group, n = 24 | Control group, n = 18 | Significant difference, р | |
Age | 74.6 ± 3.8 | 75.3 ± 4.1 | 0.51 | |
Sex | Male | 6 (25%) | 6 (33.3%) | 0.23 |
Female | 18 (75%) | 12 (66.6%) | ||
Note: n, number of patients | ||||
The exclusion criteria were as follows: corneal dystrophy, glaucoma, contact lens wear, use of IOP-lowering drops or artificial tears, diabetes mellitus, and history of eye surgery. In addition to the standard ophthalmological examination, all patients underwent corneal confocal microscopy prior to PHACO and in 1 month after it.
The procedure was performed under epibulbar anesthesia using the Heidelberg Retina Tomograph 3 (HRT3; Heidelberg Engineering GmbH, Heidelberg, Germany) fitted with a confocal laser-scanning microscope (Rostock Cornea Module (RCM)). The image area was 400 × 400 μm; acquired images had a resolution of 384 × 384 pixels.
Microscopic examination was performed in the central cornea by the researcher blinded to patient clinical data.
The condition of the sub-basal nerve plexus was assessed using the CCMetrics Image Analysis Software v. 1.1. We estimated the number of nerve fibers and their branches, nerve fiber density, and coefficient of tortuosity calculated according to the method developed by Kinard et al. [10]. The density of nerve fibers and their branches was estimated per 1 mm2 as follows: length of nerve fibers × coefficient (0.00075) / size of the scanning area. The tortuosity coefficient was determined automatically. In addition to the abovementioned parameters, we evaluated the changes in nerve structure by measuring granules using a score system (score from 0 to 3).
All patients underwent uncomplicated PHACO using the phaco chop technique performed with the Infinity vision system (Alcon, Inc., USA). Akreos AO intraocular lenses (Bausch and Lomb, USA) were implanted. During the postoperative period, all participants received standard anti-inflammatory treatment with dexamethasone for 4 weeks (with gradual dosage reduction) and levofloxacin for 2 weeks.
Statistical analysis was performed using SPSS Statistics v.20.0. Data were checked for normality using the Kolmogorov–Smirnov test. The t-test was used to compare quantitative variables between the two independent groups. Differences were considered significant for p < 0.05.
RESULTS
The number of nerve fibers per mm2 prior to PHACO did not significantly differ between the groups (20.3 ± 6.8 vs. 24.3 ± 7.6 in the study and the control groups, respectively; p = 0.43); after PHACO, these numbers were 18.7 ± 4.5 and 21.9 ± 6.6, respectively (p = 0.35). Both groups showed an insignificant decrease in the number of nerve fibers by 7.7% and 10.0%, respectively, after PHACO (Fig. 1).
Fig. 1. Number of nerve fibers in 1 mm2 before and after PHACO
The number of nerve branches per mm2 was 47.9 ± 13.5 and 16.0 ± 4.94 (p = 0.045) before PHACO and 80.5 ± 12.5 and 21.1 ± 6.9 (p = 0.04) after PHACO in the study and the control groups, respectively. Both groups demonstrated a significant increase in the number of nerve branches by 68.1% and 32.0%, respectively (p = 0.0001; Fig. 2).
Fig. 2. Number of branches of nerve fibers in 1 mm2 before and after PHACO
The density of nerve fibers (mm/mm2) was 6.49 ± 1.3 and 6.13 ± 1.1 (P = 0.81) before PHACO and 6.07 ± 1.2 and 5.67 ± 0.8 after PHACO in the experimental and control groups, respectively. There was an insignificant decrease in the density of nerve fibers in both the groups (p = 0.89; Fig. 3).
Fig. 3. Nerve fibers density before and after PHACO
The tortuosity coefficient was 0.067 ± 0.002 and 0.052 ± 0.002 (p = 0.48) before PHACO and 0.082 ± 0.008 and 0.064 after PHACO in the study and the control groups, respectively. Patients in both groups demonstrated an insignificant increase in nerve fiber tortuosity by 22.4% and 23.1%, respectively (p = 0.16; Fig. 4).
Fig. 4. Tortuosity coefficient of nerve fibers before and after PHACO
Therefore, patients with PEX had a significant increase in the number of nerve branches per mm2 after PHACO (p = 0.0001; Fig. 5). The remaining parameters did not significantly differ between the groups.
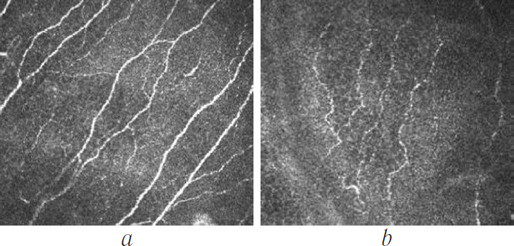
Fig. 5. Tortuosity of subbasal nerve plexus: а – in control group; b – in PEX group
Granular changes in nerve cells were observed in both groups; however, the experimental group showed significantly more pronounced changes before and after PHACO. Mean score before PHACO was 2.1 and 1.1 in the study and the control groups, respectively, compared to 2.4 and 1.3, respectively, after PHACO (p = 0.03 and p = 0.04, respectively; Fig. 6).
Fig. 6. Subbasal nerve plexus: а – in control group; b – in PEX group
DISCUSSION
The ocular surface is an integrated anatomical and functional structure that includes conjunctival epithelium, limbus, and cornea [1], and the interaction between these components is impossible without normal ocular adnexa, i. e., eyelids, eyelashes, and various glands [1, 3].
Dry eye syndrome (DES) is a complex disorder of the eye surface manifesting with discomfort, visual impairment, pain, and reduced quality of life [9]. Multiple studies have demonstrated ocular surface lesions in patients with PEX [3, 7, 9]. These patients usually have normal basal tear production, but tear film stability is often impaired, possibly due to meibomian gland dysfunction and an atonic lower eyelid. These conditions have the following symptoms: decreased number of functioning meibomian glands, increased viscosity of meibomian secretions, shorter time of tear film break-up, reduced orbicularis muscle tone, and decreased function of the lower eyelid retractors [3]. Moreover, many investigators have reported reduced corneal sensitivity in patients with PEX [11, 17, 20].
Innervation of the cornea and bulbar conjunctiva is primarily provided by the ophthalmic branch of the trigeminal nerve and sympathetic and parasympathetic nerve fibers [14, 15]. In addition to sensory functions, corneal nerves provide protective and trophic functions and also regulate corneal epithelial integrity, proliferation, and wound healing [18]. Moreover, stimulation of the nerve fibers and subsequent damage are believed to be a pathophysiologic mechanism involved in DES development [9]. Furthermore, activation of trigeminal nociceptors may cause clinical manifestations of DES [9].
In vivo confocal microscopy can be used for qualitative and quantitative analysis of the corneal sub-basal nerve plexus. However, studies assessing the condition of the corneal sub-basal nerve plexus in patients with ocular surface disorders showed controversial results [13], which can be attributed to the complexity of DES, its varying severity, and use of different methods for assessing the corneal sub-basal nerve plexus [7, 13].
In vivo confocal microscopy has allowed for the identification of various morphological characteristics of the cornea in PEX, including increased density of dendritic cells and hyper-reflective intercellular inclusions, increased epithelial desquamation, thickening of Bowman’s membrane, and reduced density of basal and wing cell layers and stromal keratocytes [2, 17, 20]. These changes are hypothetically associated with chronic inflammatory and dystrophic processes typical of DES. Our findings suggested that patients with PEX have an increased number of nerve branches and pronounced granular changes in nerve cells after PHACO, which indicates the aggravation of morphological manifestations of corneal neuropathy during the postoperative period. The most probable causes are either damage to nerve fibers or an increase in their metabolic activity in response to chronic inflammation affecting the tissue of the ocular surface [7].
Similar to any other corneal surgery that requires long-term postoperative anti-inflammatory therapy, PHACO impairs tear film stability, which may result in DES development or aggravation of its symptoms [9, 13, 20].
CONCLUSION
We demonstrated PEX-associated morphological changes in the corneal sub-basal nerve plexus as well as the effect of PHACO. Patients with PEX have increased number of nerve branches per mm2 and pronounced granular changes in nerve cells. After PHACO, these changes become even more significant and reflect PEX-related damage to the ocular surface.
The authors declare no conflicts of interest related to the current manuscript.
Authors’ contribution:
Research concept and study design: V.V. Potyomkin and E.V. Ageeva
Data collection and processing: V.V. Potyomkin, T.S. Varganova, I.V. Terekhova, and E.V. Ageeva
Data analysis and drafting the manuscript: V.V. Potyomkin and E.V. Ageeva
About the authors
Vitaly V. Potyomkin
Academician I.P. Pavlov First Saint Petersburg State Medical University
Author for correspondence.
Email: potem@inbox.ru
PhD, Assistant Professor. Department of Ophthalmology
Russian Federation, Saint PetersburgTatyana S. Varganova
City hospital No 2
Email: varganova.ts@yandex.ru
PhD, Ophthalmologist
Russian Federation, Saint PetersburgIrina V. Terehova
City hospital No 2
Email: irterehova@yandex.ru
Chief of Ophthalmology Diagnostic Department
Russian Federation, Saint PetersburgElena V. Ageeva
City hospital No 2
Email: ageeva_elena@inbox.ru
Ophthalmologist
Russian Federation, Saint PetersburgReferences
- Бржеский В.В., Егорова Г.Б., Егоров Е.А. Синдром «сухого глаза» и заболевания глазной поверхности. – М., 2016. [Brzheskiy VV, Egorova GB, Egorov EA. Syndrome of “dry eye” and diseases of the ocular surface. Moscow; 2016. (In Russ.)]
- Потёмкин В.В., Варганова Т.С., Акопов Е.Л., Агеева Е.В. Влияние псевдоэксфолиативного синдрома на морфологические свойства роговицы по данным конфокальной in vivo микроскопии // Офтальмологические ведомости. – 2017. – Т. 10. – № 2. – С. 49–55. [Potemkin VV, Varganova TS, Akopov EL, Ageeva EV. The influence of pseudoexfoliative syndrome on corneal morphology based on in vivo confocal microscopy. Ophthalmology journal. 2017;10(2):49-55. (In Russ.)]. doi: 10.17816/OV10249-55.
- Потёмкин В.В., Агеева Е.В. Состояние глазной поверхности при псевдоэксфолиативном синдроме // Учёные записки СПбГМУ им. акад. И.П. Павлова. – 2016. – Т. 23. – № 1. –·С. 47–50. [Potemkin VV, Ageeva EV. Ocular surface condition in patients with pseudoexfoliative syndrome. Uchenye zapiski SPbGMU im. akad. I.P. Pavlova. 2016;23(1):47-50. (In Russ.)]
- Потёмкин В.В., Варганова Т.С., Агеева Е.В. Возможности конфокальной микроскопии при заболеваниях глазной поверхности // Офтальмологические ведомости. – 2017. – Т. 10. – № 1. – С. 23-30. [Potemkin VV, Varganova TS, Ageeva EV. Confocal microscopy in ocular surface disease. Ophthalmo logy journal. 2017;10(1):23-30. (In Russ.)]. doi: 10.17816/OV
- -30.
- Потёмкин В.В., Агеева Е.В. Причины поражения тканей глазной поверхности при псевдоэксфолиативном синдроме // Российский офтальмологический журнал. – 2017. – Т. 10. – № 3. – С. 62–68. [Potemkin VV, Ageeva EV. Causes of ocular surface tissue lesions in patients with pseudoexfoliation syndrome. Rossiiskii oftalmologicheskii zhurnal. 2017;10(3):62-68. (In Russ.)]
- Потёмкин В.В., Варганова Т.С., Терехова И.В., Агеева Е.В. Влияние факоэмульсификации на состояние различных слоёв эпителия роговой оболочки у пациентов с псевдоэксфолиативным синдромом по данным конфокальной микроскопии in vivo // Офтальмологические ведомости. – 2017. – Т. 10. – № 3. – С. 29–34. [Potemkin VV, Varganova TS, Terekhova IV, Ageeva EV. The influence of phacoemulsification on various corneal layers in patients with pseudoexfoliation syndrome assessed with confocal in vivo microscopy. Ophthalmology journal. 2017;10(3):29-34. (In Russ.)]. doi: 10.17816/OV10329-34.
- Benitez-del-Castillo JM, Acosta MC, Wassfi MA, et al. Relation between Corneal Innervation with Confocal Microscopy and Corneal Sensitivity with Noncontact Esthesiometry in Patients with Dry Eye. Invest Ophthalmol Vis Sci. 2007;48(1):173. doi: 10.1167/iovs.06-0127.
- Cetinkaya S, Mestan E, Acir NO, et al. The course of dry eye after phacoemulsification surgery. BMC Ophthalmol. 2015;15:68. doi: 10.1186/s12886-015-0058-3.
- The definition and classification of dry eye disease: report of the Definition and Classification Subcommittee of the International Dry Eye WorkShop (2007). Ocul Surf. 2007;5(2):75-92.
- Kinard KI, Smith AG, Singleton JR, et al. Chronic migraine is associated with reduced corneal nerve fiber density and symptoms of dry eye. Headache. 2015;55(4):543-549. doi: 10.1111/head.12547.
- Kocabeyoğlu S, İrkeç M, Orhan M, Mocan MC. Evaluation of the ocular surface parameters in pseudoexfoliation syndrome and conjunctivochalasis. Turk J Ophthalmol. 2012;42(5):332-335.
- Lumme P, Laatikainen L. Exfoliation syndrome and cataract extraction. Am J Ophthalmol. 1993;116(1):51-55. doi: 10.1016/S0002-9394(14)71743-X.
- Labbé A, Alalwani H, Van Went C, et al. The Relationship between Subbasal Nerve Morphology and Corneal Sensation in Ocular Surface Disease. Invest Ophthalmol Vis Sci. 2012;53(8):4926. doi: 10.1167/iovs.11-8708.
- Marfurt CF, Cox J, Deek S, Dvorscak L. Anatomy of the human corneal innervation. Exp Eye Res. 2010;90(4):478-492. doi: 10.1016/j.exer.2009.12.010.
- Muller LJ, Vrensen GF, Pels L, et al. Architecture of human corneal nerves. Invest Ophthalmol Vis Sci. 1997;38(5):985-994.
- Naumann GOH. Corneal Endothelial Involvement in Pseudoexfoliation Syndrome-Reply. Arch Ophthalmol. 1994;112(3):297. doi: 10.1001/archopht.1994.01090150027003.
- Naumann GOH, Schlötzer-Schrehardt U. Keratopathy in pseudoexfoliation syndrome as a cause of corneal endothelial decompensation. Ophthalmology. 2000;107(6):1111-1124. doi: 10.1016/s0161-6420(00)00087-7.
- Oliveira-Soto L, Efron N. Morphology of Corneal Nerves Using Confocal Microscopy. Cornea. 2001;20(4):374-384. doi: 10.1097/
- -200105000-00008.
- Sahu PK, Das GK, Malik A, Biakthangi L. Dry Eye Following Phacoemulsification Surgery and its Relation to Associated Intraoperative Risk Factors. Middle East Afr J Ophthalmol. 2015;22(4):
- -477. doi: 10.4103/0974-9233.151871.
- Zheng X. New findings for an old disease: morphological studies on pseudoexfoliation syndrome-related keratopathy and binocular asymmetry. Cornea. 2013;32 Suppl 1:S84-90. doi: 10.1097/ICO.0b013e3182a3657d.
Supplementary files










