К вопросу о диагностике и лечении циклодиализа
- Авторы: Литвинова Е.А.1, Лаптев Д.А.2, Николаенко В.П.3, Куликов В.С.2
-
Учреждения:
- ФГБОУ ВО «Первый Санкт-Петербургский государственный медицинский университет им. акад. И.П. Павлова» Минздрава России
- СПбГБУЗ «Городская многопрофильная больница № 2»
- ФГБУ ВПО «Санкт-Петербургский государственный университет»
- Выпуск: Том 11, № 2 (2018)
- Страницы: 87-94
- Раздел: Статьи
- Статья получена: 05.06.2018
- Статья опубликована: 15.06.2018
- URL: https://journals.eco-vector.com/ov/article/view/8942
- DOI: https://doi.org/10.17816/OV11287-94
- ID: 8942
Цитировать
Полный текст
Аннотация
В статье приведены клинические случаи диагностики и лечения пациентов с циклодиализом различной протяжённости.
Ключевые слова
Полный текст
Введение
Одним из тяжелейших исходов механической травмы глаза является длительная и стойкая гипотония, которая встречается в 2–9 % случаев [19]. Зачастую причиной гипотонии служит отслойка цилиарного тела (ОЦТ), которая также может быть следствием прободных ранений склеры и оперативных вмешательств [16, 21, 32].
Циклодиализ (от греч. cyclo — круг и dialysis — отслоение) — отрыв меридиональных мышечных волокон ресничного тела от места их прикрепления к склеральной шпоре, приводящий к формированию дополнительного пути оттока водянистой влаги в супрахориоидальное пространство [14].
Возникающая на фоне ОЦТ стойкая гипотония приводит к функциональной, а затем анатомической гибели глазного яблока, — субатрофии с отслойкой сетчатки (ОС) и сосудистой оболочки, а также атрофии зрительного нерва [10, 31].
По механизму отделения цилиарного тела (ЦТ) от склеральной шпоры ОЦТ подразделяют на:
- тракционную, являющуюся следствием патологической витреоцилиарной адгезии. В зависимости от протяжённости циклодиализа внутриглазное давление (ВГД) может быть нормальным или сниженным;
- нетракционную (дислокационную), возникающую вследствие деформации склеры в момент травмы и отрыва ЦТ от склеральной шпоры [12].
По протяжённости ОЦТ подразделяют на ограниченную, или «непротяжённую» (до 90°); распространённую (90–300°); циркулярную (> 300°).
В связи с редкостью и тяжестью этого состояния анализ подобных клинических ситуаций представляет научный и практический интерес. Ниже описаны случаи из практики офтальмологического центра ГМПБ № 2. Под наблюдением находилось пятеро пациентов в возрасте от 22 до 60 лет со стойкой посттравматической гипотонией.
Пациент Ш., 35 лет, 28 марта 2016 г. госпитализирован по скорой помощи с диагнозом: «Контузия левого глазного яблока тяжёлой степени. Тотальная гифема».
Пациент поступил с остротой зрения (ОЗ), равной движению руки у лица, pr. l. certa. ВГД — 18 мм рт. ст. Глазное дно не офтальмоскопировалось из-за гифемы. По данным В-сканирования внутренние оболочки не изменены, прилежат.
Во время нахождения в стационаре отмечен эпизод повышения ВГД до 30 мм рт. ст., сниженного до 19 мм рт. ст. инстилляциями фиксированной комбинации бринзоламида и тимолола. Пациенту проведён курс противовоспалительной терапии, после чего рекомендовано оперативное лечение в связи с контузионной дислокацией хрусталика в переднюю камеру, обнаруженной после рассасывания гифемы.
Пациент поступил через 2 недели для экстракции катаракты, однако ВГД равнялось всего 13 мм рт. ст. Передняя камера мелкая, на периферии щелевидная, содержит первичную грыжу стекловидного тела с примесью форменных элементов крови. В просвете расширенного до 7,0 мм зрачка определялся мутный хрусталик, смещённый в переднюю камеру. В-сканирование выявило отслойку сосудистой оболочки с носовой стороны. Сетчатка прилежала. Передне-задняя ось (ПЗО) — 19,67 мм в сравнении с 23,01 мм правого глаза. Учитывая контузионную дислокацию мутного хрусталика и грыжу стекловидного тела, принято решение о выполнении ленсвитрэктомии. После подключения инфузионной канюли зафиксирован ток жидкости в переднюю камеру, благодаря чему была выявлена ОЦТ с 1 до 6 ч. Результат интраоперационной гониоскопии подтвердил диагноз и заставил одномоментно с витр эктомией (ВЭ) выполнить склероувеоррафию (СУР) с 1 до 6 ч, заднюю трепанацию склеры (ЗТС) в нижневисочном квадранте.
При контрольном осмотре через 2 недели после СУР отмечалась отрицательная динамика (ВГД — 10 мм рт. ст., ПЗО — 20,01 мм, по данным В-сканирования определялась плоская отслойка сосудистой оболочки от крайней периферии до экватора), по данным ОКТ: отёк макулы высотой 430 мкм; гониоскопическая картина: ЦТ отслоено от склеральной шпоры с 5.30 до 1.00 ч через 12-часовой меридиан (270°) (рис. 1, a, b). Офтальмоскопическая картина: ДЗН с нечёткими границами, отёчный, э/д достоверно не оценить; отёк сетчатки в макулярной зоне. По результатам осмотра было принято решение о выполнении дополнительной СУР в зоне циклодиализа. Вторые сутки послеоперационного периода характеризовались подъёмом ВГД до 32 мм рт. ст., которое удалось снизить до 21 мм рт. ст. путём применения вышеупомянутых гипотензивных препаратов.
Рис. 1. Пациент Ш., 35 лет. Гониоскопическая картина циклодиализа до операции, меридиан 6 (а) и 12 ч (b)
В течение 4 месяцев после СУР острота зрения с коррекцией равна 0,4; ВГД — 18 мм рт. ст. на фоне гипотензивной терапии. Офтальмоскопическая картина: ДЗН с чёткими границами, э/д 0,3; в макулярной зоне перераспределение пигмента. По данным В-сканирования сосудистая оболочка и сетчатка прилежат во всех отделах. Гониоскопически циклодиализ не определяется (рис. 2, a, b). ПЗО — 24 мм.
Рис. 2. Пациент Ш., 35 лет. Гониоскопическая картина циклодиализа после склероувеоррафии, меридиан 6 (а) и 12 ч (b)
Пациент К., 43 года, 1 февраля 2016 г. поступил в приёмное отделение ГМПБ № 2 с диагнозом: «Травматический циклодиализ. Гипотония».
В анамнезе контузия глазного яблока тяжёлой степени правого глаза от 1993 г. На момент госпитализации по поводу травмы ОЗ составляла 0,1. При осмотре были выявлены иридофакодонез, субретинальное кровоизлияние и перипапиллярный разрыв сосудистой оболочки.
После курса терапии острота зрения возросла до 0,3, ВГД составило 12 мм рт. ст., но на периферии в верхненосовом квадранте была обнаружена локальная отслойка сетчатки (ОС), что стало показанием к выполнению её криокоагуляции.
В 1994 г. в связи с сохраняющейся гипотонией (ВГД — 10 мм рт. ст.) и локальной ОС был выполнен циркляж с диатермокоагуляцией склеры, что позволило повысить ОЗ до 0,5. ВГД — 16 мм рт. ст.
При осмотре в 1995 г. ОЗ снизилась до 0,4. ВГД — 10 мм. рт. ст. Ввиду выявленного при гониоскопии циклодиализа с 10 до 1 ч была выполнена СУР. После операции гониоскопически ОЦТ не определялась. Сетчатка прилежала.
В 2016 г. ОЗ снизилась до 0,1, ВГД — 13 мм рт. ст. Отмечался роговичный астигматизм степенью 7.0 D. Циклодиализ был выявлен гонио скопически с 7.00 до 8.00 ч (рис. 3, a). В ходе В-сканирования была обнаружена отслоённая на периферии сосудистая оболочка. ПЗО — 21,61 мм. По ОКТ определялся эпиретинальный фиброз, складки сосудистой оболочки. Офтальмоскопическая картина: ДЗН отёчный с нечёткими границами, узкие артерии, резко расширенные, извитые вены, в макулярной зоне — складчатость оболочек.
Рис. 3. Пациент К., 43 года. Гониоскопическая картина циклодиализа на 7 ч (а) и после склероувеоррафии (b)
После СУР была зафиксирована транзиторная гипертензия до 36 мм рт. ст., потребовавшая двухнедельных инстилляций гипотензивных препаратов (бринзоламид и тимолол), с последующей отменой в связи с достижением стойкой стабилизации ВГД, составившего 17 мм рт. ст.
При контрольном осмотре через 6 месяцев ОЗ с коррекцией увеличилась до 0,8, а степень роговичного астигматизма уменьшилась до 5.0 D, ВГД — 18 мм рт. ст. Гониоскопически ОЦТ не определялась (рис. 3, b). ПЗО — 22,68 мм в сравнении с 24,12 мм на другом глазу. Офтальмоскопическая картина: ДЗН с чёткими границами, э/д 0,1; в макулярной зоне — симптом «целлофановой плёнки». По данным В-сканирования сетчатка и сосудистая оболочки прилежат. На ОКТ сетчатка утолщена до 320 мкм, признаки эпиретинального фиброза в макулярной зоне.
Пациентка К., 22 года, 22 августа 2015 г. госпитализирована с диагнозом: «Проникающее ранение склеры с выпадением внутренних оболочек правого глаза». При поступлении некорригируемая ОЗ составляла движение руки у лица, pr. l. certa. Тотальная гифема не позволяла оценить глубжележащие отделы, другие методы визуализации не использовали в связи с поступлением пациентки в ночное время. Была выполнена первичная хирургическая обработка (ПХО) раны склеры, которая начиналась в 2 мм от лимба в меридиане 7.30 ч и шла к экватору, заканчиваясь в 8 мм от лимба в меридиане 8 ч, длина раны составляла 7 мм. В результате хирургического и консервативного лечения через 1 месяц достигнуто повышение остроты зрения до 0,06, однако ВГД не превышало 10 мм рт. ст., ПЗО уменьшилась до 20 мм. По данным В-сканирования имелась отслойка сосудистой оболочки на периферии, послужившая основанием для неоднократного выполнения ЗТС в нижних квадрантах глазного яблока.
После рассасывания гифемы с определёнными техническими сложностями удалось выполнить гониоскопию, в ходе которой выявлена «непротяжённая» ОЦТ (рис. 4) и в меридиане 6–8 ч произведена СУР.
Рис. 4. Пациентка К., 22 года. Гониоскопическая картина циклодиализа
После операции ОЗ не превышала 0,02, сохранялась гипотония (11 мм рт. ст.), определялись отслойка сосудистой оболочки на периферии и утолщение хориоретинального слоя в заднем полюсе; по данным оптической когерентной томографии (OКT) — кистозный отёк в макулярной зоне до 400–600 мкм; ПЗО — 17 мм. В связи с гониоскопической картиной циклодиализа с 5.30 до 9.30 ч пришлось повторно прибегнуть к выполнению СУР в упомянутых меридианах. Возникшая в раннем послеоперационном периоде транзиторная гипертензия (ВГД — 36 мм рт. ст.), обусловленная коллапсом шлеммова канала, купирована (ВГД — 17 мм рт. ст.) применением фиксированной комбинации гипотензивных препаратов (бринзоламид и тимолол).
При контрольном осмотре через 2 недели после СУР некорригируемая ОЗ составляла 0,3, ВГД — 17 мм рт. ст. (без гипотензивной терапии); ПЗО — 21,3 мм в сравнении с 23,52 мм другого глаза. Офтальмоскопическая картина: ДЗН бледный, контуры стушёваны, э/д 0,2; в макулярной зоне определяется выраженный отёк сетчатки. По данным ОКТ сетчатка утолщена до 380–630 мкм. При повторном осмотре спустя 1,5 месяца после операции ОЗ уменьшилась до 0,02 из-за развития травматической катаракты, ВГД снизилось до 13–14 мм рт. ст., что совпало с развитием тракционной отслойки в заднем полюсе и нижних отделах сетчатки. В связи с этим была одномоментно выполнена ВЭ с силиконовой тампонадой в сочетании с факоэмульсификацией катаракты (ФЭК) и имплантацией ИОЛ.
При сроке наблюдения более 6 месяцев отмечалась положительная динамика: острота зрения равна 0,3 н/к, ВГД — 16 мм рт. ст. Офтальмоскопическая картина: ДЗН с чёткими границами, э/д 0,2; в макулярной зоне определяется перераспределение пигмента. После ВЭ сетчатка и сосудистая оболочки прилежат. ПЗО — 22, 13 мм.
Пациентка И., 38 лет, поступила в приёмное отделение СПбГБУЗ «ГМПБ № 2» 26 марта 2016 г. с диагнозом: «Контузия глазного яблока тяжёлой степени. Субконъюнктивальный разрыв склеры с выпадением внутренних оболочек. Тотальная гифема».
При поступлении острота зрения равнялась светоощущению, pr. l. incerta. Передняя камера заполнена кровью, ввиду чего глубжележащие отделы было невозможно оценить. Объём хирургического пособия ограничился выполнением ПХО склерального разрыва, выпавшие в рану волокна стекловидного тела иссечены, сосудистая оболочка вправлена. В ходе операции было установлено, что рана склеры начиналась в меридиане 1 ч в 1 мм от лимба, шла параллельно ему до 9 ч через 12-часовой меридиан, где поворачивала к экватору через место прикрепления латеральной прямой мышцы и заканчивалась в 9 мм от лимба. Общая длина раны составляла 18 мм.
После рассасывания гифемы обнаружена аниридия, а также гониоскопически определялась ОЦТ (рис. 5). В связи с сохраняющейся лёгкой гипотонией и наличием геморрагической цилиохориоидальной отслойки (ЦХО) (по данным В-сканирования) была выполнена ЗТС.
Рис. 5. Пациентка И., 38 лет. Биомикроскопическая картина
На контрольном осмотре у пациентки выявлена травматическая ОС, но в связи с наличием «непротяжённого» циклодиализа в качестве первого этапа лечения была выполнена СУР с 5.30 до 10 ч, второго этапа — ВЭ с круговой ретинотомией и газовой тампонадой стекловидной камеры перфторпропаном (C3F8). Оперативное вмешательство было завершено выполнением ЗТС в нижнемедиальном квадранте.
Через 1 месяц ОЗ осталась без изменений, ВГД равнялось 13 мм рт. ст. В связи с дальнейшим прогрессированием пролиферативной витреоретинопатии (ПВР) вновь произошла ОС с формированием закрытой воронки и отслойка сосудистой оболочки от крайней периферии до экватора плоско. Сосудистая оболочка равномерно утолщена до ДЗН. Гониоскопически ОЦТ не определялась. ПЗО — 18 мм.
В связи с утратой зрительных функций, стойкой гипотонией дальнейшее хирургическое лечение признано бесперспективным.
На данное время пациентку беспокоят ноющие боли в области левого глаза, появившиеся 3 месяца назад. Отмечается уменьшение ПЗО до 16 мм, что свидетельствует о субатрофии и является показанием к энуклеации глазного яблока, от которой больная пока воздерживается.
Пациент Н., 60 лет, 22 января 2016 г. был доставлен в больницу с диагнозом: «Контузия правого глазного яблока тяжёлой степени. Субконъюнктивальный разрыв склеры с выпадением внутренних оболочек и сред глаза. Гифема. Гемофтальм».
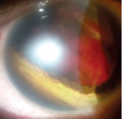
При осмотре ОЗ равнялась нулю. Передняя камера глубокая, частично заполнена сгустками крови. Иридохрусталиковая диафрагма смещена кзади, выраженный иридофакодонез (рис. 6, a).
Рис. 6. Пациент Н., 60 лет: а — биомикроскопия. Отслойка цилиарного тела. Смещение кзади иридохрусталиковой диафрагмы; b — гониоскопическая картина. Отслойка цилиарного тела. Стрелкой обозначена склеральная шпора
При ревизии склеры и выполнении ПХО выявлен разрыв, начинавшийся в меридиане 8 ч в 8 мм от лимба. Далее рана шла параллельно лимбу до 1 ч, где изменяла своё направление, уходя к экватору и заканчиваясь в 15 мм от лимба, общая длина раны — 35 мм.
После В-сканирования, по данным которого выявлена отслойка сосудистой оболочки соприкасающимися «пузырями» с геморрагическим содержимым, была выполнена ЗТС в верхневисочном квадранте и получено большое количество серозного и геморрагического содержимого.
Рассасывание гифемы продолжалось 1 месяц, после чего ОЗ повысилась до светоощущения с неправильной проекцией света. ВГД — 10 мм рт. ст. Гониоскопически определялась ОЦТ протяжённостью в 180° (с 9 до 3 ч через 12-часовой меридиан) (рис. 6, b), в остальных квадрантах также нельзя было исключить циклодиализ. В связи с воронкообразной отслойкой сетчатки (по данным В-сканирования) одномоментно была выполнена СУР с 9 до 3 ч в сочетании с ленсвитрэктомией, круговой ретинотомией и газовой тампонадой перфторпропаном.
При контрольном осмотре через 2 месяца ОЗ и ВГД те же. В связи с дальнейшим прогрессированием ПВР сетчатка вновь отслоилась с формированием закрытой воронки. ПЗО — 19 мм. Учитывая тяжёлое состояние глаза и неудачу первого вмешательства, от дальнейшего оперативного лечения решено воздержаться.
Через 3 месяца у пациента появились жалобы на покраснение, ноющие боли и уменьшение глазного яблока (ПЗО — 16 мм), что однозначно свидетельствовало о развитии субатрофии глазного яблока, требующей энуклеации. Однако пациент пока отказывается от удаления глазного яблока.
Обсуждение
Диагностика ОЦТ у пациентов с тяжёлой травмой глазного яблока крайне затруднена в связи с наличием сопутствующих иридодиализа, травматической катаракты, гифемы, гемофтальма, ОС. Изолированный циклодиализ встречается редко [6, 11].
Несмотря на то что для оценки радужно-роговичного угла разработаны разные методы диагностики: ультразвуковая биомикроскопия (УБМ), оптическая когерентная томография переднего отрезка глазного яблока (ОКТ-ПОГ) [13, 21, 29], мы с успехом использовали более доступную гониоскопию [5, 7].
Интраоперационно оценивали протяжённость циклодиализа путём введения в супрахориоидальное пространство аутокрови [8] и помещения через склеральный разрез в переднюю камеру зонда [33].
Устранить протяжённую ОЦТ возможно оперативным путём, для чего применяют большое количество методик [1, 2, 5, 8, 22, 23]. Патогенетически обоснованным методом лечения ОЦТ является предложенная В.В. Волковым (1980) и активно используемая нами СУР (подшивание под склеральным лоскутом отслоённого цилиарного тела к склеральной шпоре в 2 мм от лимба) [8], а также её модификации [2].
Среди других описанных в мировой литературе методов лечения циклодиализа также используют ВЭ с силиконовой или газовоздушной тампонадой, при необходимости в сочетании с ленсэктомией, и эписклеральное круговое пломбирование [9, 23, 24]. При непротяжённых ОЦТ применяют фото- [22], ЙАГ- [17] и диодлазерную коагуляцию ЦТ [15, 18]. Ограниченная ОЦТ в сочетании с катарактой может быть блокирована гаптическими элементами имплантированной в цилиарную борозду ИОЛ [26, 27], имплантацией внутрикапсульного кольца (ВКК) с его склеральной шовной фиксацией [34], имплантацией второго ВКК в капсульный мешок [5].
При непротяжённой ОЦТ также применяют метод введения в плоскую часть ЦТ инфузионной канюли 25 Ga с целью формирования рубца в зоне склеротомии [30] и метод шовной фиксации с использованием силиконового кембрика, позволяющего сократить количество швов и исключить их прорезывание [14].
Хочется подчеркнуть, что любая операция может привести к тому, что ранее блокированный циклодиализ может открыться [28].
Заключение
Несмотря на наличие УБМ и ОКТ-ПОГ, гонио скопия остаётся основным методом диагностики супрацилиарной щели в повседневной клинической практике.
Ранняя диагностика и своевременное хирургическое лечение являются важным условием сохранения высоких зрительных функций у пациентов с ОЦТ. Выполненная в ранние сроки после травмы СУР, даже при распространённом циклодиализе, даёт лучший косметический и функциональный результат.
При наличии у пациента разрыва склеры протяжённостью более 18 мм, осложнившегося развитием циклодиализа и травматической ОС, даже своевременное выполнение одномоментного и исчерпывающего оперативного вмешательства (СУР и ВЭ) не гарантирует косметического сохранения глаза и не в состоянии предотвратить субатрофию глазного яблока.
Прогноз для зрительных функций благоприятнее в тех случаях, когда циклодиализ удаётся диагностировать до развития ОС, что даёт возможность осуществить двухэтапное (1-й этап — СУР, 2-й этап — ВЭ) лечение.
Коллектив авторов выражает благодарность за предоставленные и использованные в статье фотоматериалы сотруднику кафедры офтальмологии СЗГМУ им. И.И. Мечникова канд. мед. наук Ф.О. Касымову.
Конфликты интересов и финансовая заинтересованность авторов отсутствуют.
Участие авторов:
Д.А. Лаптев, Е.А. Литвинова — концепция и дизайн исследования.
Д.А. Лаптев, Е.А. Литвинова — сбор и обработка материалов.
В.П. Николаенко, Д.А. Лаптев, Е.А. Литвинова — анализ полученных данных и написание текста.
Д.А. Лаптев — ведение и наблюдение пациентов.
В.С. Куликов, Д.А. Лаптев — выполнение хирургического лечения.
Об авторах
Екатерина Александровна Литвинова
ФГБОУ ВО «Первый Санкт-Петербургский государственный медицинский университет им. акад. И.П. Павлова» Минздрава России
Автор, ответственный за переписку.
Email: Evgenica159@mail.ru
клинический ординатор, кафедра офтальмологии
Россия, Санкт-ПетербургДанил Андреевич Лаптев
СПбГБУЗ «Городская многопрофильная больница № 2»
Email: danlda@mail.ru
врач-офтальмолог, отделение микрохирургии глаза
Россия, Санкт-ПетербургВадим Петрович Николаенко
ФГБУ ВПО «Санкт-Петербургский государственный университет»
Email: dr.nikolaenko@mail.ru
д-р мед. наук, профессор кафедры оториноларингологии и офтальмологии медицинского факультета
Россия, Санкт-ПетербургВладимир Степанович Куликов
СПбГБУЗ «Городская многопрофильная больница № 2»
Email: koulicov@mail.ru
канд. мед. наук, врач высшей категории по специальности «офтальмология», заведующий отделением микрохирургии глаза
Россия, Санкт-ПетербургСписок литературы
- Алексеев Б.Н. Возможности микрохирургии тракционной отслойки цилиарного тела. – Тбилиси, 1976. [Alekseev BN. Possibilities of microsurgery of traction detachment of the ciliary body. Tbilisi; 1976. (In Russ.)]
- Алексеева И.Б., Вериго Е.Н. Отслойка цилиарного тела и её хирургическое лечение // Вестник офтальмологии. – 1985. – Т. 101. – № 1. – С. 57–60. [Alekseeva IB, Verigo YN. Ciliary body detachment and its surgical treatment. Annals of ophthalmology. 1985;101(1):57-60. (In Russ.)]
- Алексеева И.Б., Вериго Е.Н., Малюта Г.Д. Хирургическое лечение отслойки цилиарного тела при некоторых посттравматических состояниях // Вестник офтальмологии. – 1984. – Т. 100. – № 4. – С. 22–26. [Alekseeva IB, Verigo YN, Malyuta GD. Surgical treatment of ciliary body detachment in some posttraumatic conditions. Annals of ophthalmology. 1984;100(4):22-26. (In Russ.)]
- Патент РФ на изобретение № 2360654/10.07.2008. Бюл. № 19. Алексеева И.Б., Косакян С.М., Бабира В.В. Способ лечения постконтузионной отслойки цилиарного тела. [Patent RUS № 2360654/ 10.07.2008. Byul. № 19. Alekseeva IB, Kosakyan SM, Babira VV. The method of treatment of postcontusive detachment of the ciliary body. (In Russ.)]
- Патент РФ на изобретение № 2503432/10.01.2014. Бюл. № 1. Алексеева И.Б., Хвальцова М.А. Способ микроинвазивной интраокулярной блокады посттравматического циклодиализа протяжённостью до 90° при сохранённом капсульно-связочном аппарате хрусталика. [Patent RUS № 2503432/ 10.01.2014. Byul. № 1. Alekseeva IB, Khral’tsova MA. The method of microinvasive intraocular blockade of posttraumatic cyclodialysis up to 90° with a preserved capsular-ligamentous lens apparatus. (In Russ.)]
- Алексеева И.Б., Ченцова Е.В., Бабира В.В. О диагностике и лечении постконтузионного гипотонического синдрома // Рефракционная хирургия и офтальмология. – 2009. – Т. 9. – № 1. – С. 16–20. [Alekseeva IB, Chentsova EV, Babira VV. Diagnosis and treatment of hypotension syndrome following closed trauma. Refraktsionnaya khirurgiya i oftal'mologiya. 2009;9(1):16-20. (In Russ.)]
- Венгер Г.Е. Посттравматическая гипотония глаза. Клинические особенности и лечение // Офтальмологический журнал. – 1984. – Т. 39. – № 7. – С. 410–414. [Venger GE. Posttraumatic hypotension of the eye. Clinical features and treatment. Oftalmol Zh. 1984;39(7):410-414. (In Russ.)]
- Волков В.В., Сомов Е.Е. О патогенезе и лечении стойкой посттравматической гипотонии глаза // Вестник офтальмологии. – 1980. – Т. 96. – № 2. – С. 24–26. [Volkov VV, Somov EE. On the pathogenesis and treatment of persistent posttraumatic hypotension of the eye. Annals of ophthalmology. 1980;96(2):24-26. (In Russ.)]
- Гундорова Р.А., Нероев В.В., Кашникова В.В. Травмы глаза. – М.: ГЭОТАР-Медиа, 2009. [Gundorova RA, Neroyev VV, Kashnikova VV. Eye injuries. Moscow: GEOTAR-Media; 2009. (In Russ.)]
- Гундорова Р.А., Степанов А.В., Курбанова Н.Ф. Современная офтальмотравматология. – М.: Медицина, 2007. [Gundorova RA, Stepanov AV, Kurbanov NF. Current Ophthalmotravmato logy. Moscow: Meditsina; 2007. (In Russ.)]
- Егоров В.В., Смолякова Г.П. Травматические повреждения органа зрения: клиника, диагностика, лечение. – Хабаровск, 2004. [Egorov VV, Smolyakova GP. Traumatic damage to the organ of vision: clinic, diagnosis, treatment. Khabarovsk; 2004. (In Russ.)]
- Кислицина Н.М. Хирургическое лечение последствий проникающих ранений глазного яблока, осложнённых пролиферативной витреоретинопатией, с учётом данных ультразвуковой биомикроскопии: Автореф. дис. … канд. мед. наук. – М., 2003. [Kislitsina NM. Surgical treatment of the consequences of penetrating wounds of the eyeball complicated by proliferative vitreoretinopathy, taking into account the data of ultrasonic biomicroscopy. [dissertation] Moscow; 2003. (In Russ.)]
- Луговкина К.В., Гундорова Р.А., Алексеева И.Б. Объективная оценка иридоцилиарного комплекса у пациентов с подозрением на наличие постконтузионного циклодиализа // Практ. мед. – 2012. – № 4–2. – С. 183–186. [Lugovkina KV, Gundorova RA, Alekseeva I.B. Objective assessment iridociliary complex in patients with suspected post contusion cyclodialysis. Prakticheskaya meditsina. 2012;(4-2):183-186. (In Russ.)]
- Унгурьянов О.В. Хирургическое лечение отрыва сосудистой оболочки в посттравматической реконструкции глаза / XIV научно-практическая конференция «Современные технологии лечения витреоретинальной патологии»; Март 24–25, 2016; Москва. [Ungur’yanov OV. Surgical treatment of vascular closure in the post-traumatic reconstruction of the eye. In: Proceedings of the 14th scientific-practical conference “Modern technologies of treatment of vitreoretinal pathology”; 2016 Mar 24-25; Moscow. (In Russ.)]
- Amini H, Razeghinejad MR. Transscleral diode laser therapy for cyclodialysis cleft induced hypotony. Clin Exp Ophthalmol. 2005;33(4):348-350. doi: 10.1111/j.1442-9071.2005.01008.x.
- Aminlari A, Callahan CE. Medical, laser, and surgical management of inadvertent cyclodialysis cleft with hypotony. Arch Ophthalmol. 2004;122(3):399-404. doi: 10.1001/archopht.122.3.399.
- Brooks AMV, Troski M, Gillies WE. Noninvasive Closure of a Persistent Cyclodialysis Cleft. Ophthalmology. 1996;103(11):1943-5. doi: 10.1016/s0161-6420(96)30404-1.
- Brown SV, Mizen T. Transscleral diode laser therapy for traumatic cyclodialysis cleft. Ophthalmic Surg Lasers. 1997;28(4):313-317. doi: 10.3928/1542-8877-19970401-10.
- Demeler U. Surgical management of ocular hypotony. Eye (Lond). 1988;2(Pt 1):77-79. doi: 10.1038/eye.1988.16.
- Ding C, Zeng J. Clinical study on Hypotony following blunt ocular trauma. Int J Ophthalmol. 2012;5(6):771-773. doi: 10.3980/j.issn.2222-3959.2012.06.21.
- Gentile RC, Pavlin CJ, Liebmann JM, et al. Diagnosis of traumatic cyclodialysis by ultrasound biomicroscopy. Ophthalmic Surg Lasers. 1996;27(2):97-105. doi: 10.3928/1542-8877-19960201-03.
- Harbin TS. Treatment of Cyclodialysis Clefts with Argon Laser Photocoagulation. Ophthalmology. 1982;89(9):1082-1083. doi: 10.1016/s0161-6420(82)34689-8.
- Helbig H, Foerster MH. Management of hypotonous cyclodialysis with pars plana vitrectomy, gas tamponade, and cryotherapy. Ophthalmic Surg Lasers. 1996;27(3):188-191. doi: 10.3928/1542-8877-19960301-06.
- Hoerauf H, Roider J, Laqua H. Treatment of traumatic cyclodialysis with vitrectomy, cryotherapy, and gas endotamponade. J Cataract Refract Surg. 1999;25(9):1299-1301. doi: 10.1016/s0886-3350(99)00160-1.
- Ioannidis AS, Barton K. Cyclodialysis cleft: causes and repair. Curr Opin Ophthalmol. 2010;21(2):150-154. doi: 10.1097/ICU.0b013e3283366a4d.
- Malandrini A, Balestrazzi A, Martone G, et al. Diagnosis and management of traumatic cyclodialysis cleft. J Cataract Refract Surg. 2008;34(7):1213-1216. doi: 10.1016/j.jcrs.2008.02.038.
- Mardelli PG. Closure of persistent cyclodialysis cleft using the haptics of the intraocular lens. Am J Ophthalmol. 2006;142(4):676-8. doi: 10.1016/j.ajo.2006.05.027.
- Mushtaq B, Chiang MY, Kumar V, et al. Phacoemulsification, persistent hypotony, and cyclodialysis clefts. J Cataract Refract Surg. 2005;31(7):1428-1432. doi: 10.1016/j.jcrs.2004.12.049.
- Nolan W. Anterior segment imaging: ultrasound biomicroscopy and anterior segment optical coherence tomography. Curr Opin Ophthalmol. 2008;19(2):115-121. doi: 10.1097/ICU.0b013e3282f40bba.
- Rabinowitz M, Khator P, Shah CP, et al. Direct cyclopexy with a posterior infusion cannula. Ophthalmic Surg Lasers Imaging. 2011;42(2):175-176. doi: 10.3928/15428877-20110316-03.
- Thomas R, Parikh SR, Parikh RS, et al. Surgical Repair of Cyclodialysis Cleft. J Curr Glaucoma Pract. 2008:41-44. doi: 10.5005/jp-journals-10008-1032.
- Saha N, MacNaught AI, Gale RP. Closure of cyclodialysis cleft using diode laser. Eye (Lond). 2003;17(4):527-8. doi: 10.1038/sj.eye.6700407.
- Wang M, Hu S, Zhao Z, Xiao T. A novel method for the localization and management of traumatic cyclodialysis cleft. J Ophthalmol. 2014;2014:761851. doi: 10.1155/2014/761851.
- Yuen NS, Hui SP, Woo DC. New method of surgical repair for 360-degree cyclodialysis. J Cataract Refract Surg. 2006;32(1):13-17. doi: 10.1016/j.jcrs.2005.05.035.
Дополнительные файлы










