Prospects of Hyaluronidase Therapy in Novel COVID-19 Infection with Damage to Lungs
- Authors: Solov’yeva A.V.1, Korshunova L.V.1, Shurpo E.M.1,2, Namestnikova A.S.2
-
Affiliations:
- Ryazan State Medical University
- City Clinical Hospital of Emergency Medical Care
- Issue: Vol 30, No 3 (2022)
- Pages: 313-322
- Section: Original study
- Submitted: 20.02.2022
- Accepted: 28.03.2022
- Published: 07.10.2022
- URL: https://journals.eco-vector.com/pavlovj/article/view/101242
- DOI: https://doi.org/10.17816/PAVLOVJ101242
- ID: 101242
Cite item
Abstract
INTRODUCTION: In recent years, the production and regulation of synthesis of hyaluronic acid in COVID-19 has been actively studied. Hyaluronan plays a significant role in development of severe lung damage in COVID-19 and is a potential therapeutic target the action on which will probably improve prognosis for patients with COVID-19.
AIM: To study prospects of using bovhyaluronidaze azoximer in complex treatment of patients with COVID-19 with lung damage at the inpatient stage.
MATERIALS AND METHODS: Thirty five patients (6 men and 29 women) aged 58.9 ± 12.9 years hospitalized with COVID-19 infection, were examined. Capillary blood saturation (SpO2) was 80.1 ± 8.6%, the volume of lung damage in X-ray computed tomography (X-ray CT) was 45.1 ± 19.4% on the right and 40.0 ± 19.5% on the left. All the patients received treatment according to the “Temporary Guidelines: prevention, diagnosis and treatment of novel coronavirus infection. Ver. 14 (27.12.2021)”. Besides, as part of complex treatment for COVID-19, bovhyaluronidaze azoximer was administered intramuscularly on the 21.9 ± 6.8th day of illness with a course of 10 injections (once in 3 days).
RESULTS: In the course of comprehensive treatment including bovhyaluronidaze azoximer, increase in SpO2 was recorded: in 7 patients ― after 1 injection (4.2 ± 1.7%), in 24 ― after 2 injections (5.4 ± 0.6%), another 4 patients did not show any significant increase in SpO2 after the first two injections. Increase in SpO2 after the 1st injection inversely correlated with age (r = -0.34; p < 0.05) and the initial saturation (r = -0.38; p < 0.05). Increase in SpO2 after the second injection correlated with the day of illness on which treatment with bovhyaluronidaze azoximer began (r = -0.36; p < 0.05).
CONCLUSION: Use of bovhyaluronidaze azoximer in complex treatment for COVID-19 with the lung damage at the inpatient stage can be effective in younger patients with more expressed initial reduction of SpO2, and also in case of administration of the drug in the early stages of the disease. The data obtained in the pilot study, dictate the necessity of studying the level of hyaluronic acid in blood of patients with COVID-19 and lung damage and its role in risk stratification of such patients.
Full Text
LIST OF ABBREVIATIONS
ACVE — acute cerebrovascular event
AH — arterial hypertension
ARDS — acute respiratory distress syndrome
BA — bronchial asthma
CHD — coronary heart disease
COVID-19 — CoronaVirus Disease, coronavirus infection 2019
CRP — C-reactive protein
DM — diabetes mellitus
DMGCS — diabetes mellitus associated with intake of glucocorticosteroids
EA — exertion angina
HA — hyaluronic acid
IL-1β — interleukin-1β
IL-6 — interleukin-6
MERS — Middle East Respiratory Syndrome
Ob — obesity
PICS — postinfarction cardiosclerosis
PCR — polymerase chain reaction
RNA — ribonucleic acid
SARS — severe acute respiratory syndrome
SARS-COV-2 — severe acute respiratory syndrome-related coronavirus 2
SpO2 — capillary blood saturation
TNF-α — tumor necrosis factor-α
X-ray CT — X-ray computed tomography
4MU — 4-Methylumbelliferone
INTRODUCTION
An important part of the struggle with Novel CoronaVirus Disease 2019 (COVID-19) pandemic caused by SARS-CoV-2 (severe acute respiratory syndrome-related coronavirus 2) is the struggle against the consequences of COVID-19. Manifestations of postcovid syndrome may vary from fast fatigue to pulmonary fibrosis with phenomena of severe respiratory failure. Clinical, X-ray and autopsy reports of morphological alterations associated with consolidation of lung tissue (of fibrosis type) and prolonged resolution, were also described in SARS (severe acute respiratory syndrome) and MERS (Middle East Respiratory Syndrome) [1–4]. Currently, more and more data appear on fibrotic alterations after SARS-CoV-2 infection as well [5, 6].
Thus, according to the data of the international summarized publications, postcovid fibrosis affects about one third of patients hospitalized with SARS-CoV-2 [7, 8]. As a result, given millions of cases of COVID-19 worldwide, one may state that postcovid fibrosis is a great problem of healthcare, leading to impairment of the quality of life of convalescents and to disability of the population.
The central element of pulmonary fibrosis is excessive deposition of the extracellular matrix manifested by irregular thickening of the interlobular septum and reticular alterations with traction bronchiectasis in X-ray computed tomography (X-ray CT) of lungs [9]. To note, the extent of lung damage and the inflammatory response correlate with the degree of fibroblastic reaction which is required to repair the damage [5]. It is important that the main risk factors for severe form of COVID-19, namely, the age, male gender and concomitant diseases, such as arterial hypertension (AH) and diabetes mellitus (DM), are also risk factors for idiopathic pulmonary fibrosis [10]. According to X. Han, et al., 62% of 114 patients with severe COVID-19 pneumonia had residual fibrous changes in lung X-ray CT after 6 months [11]. The elderly/senile age of patients with COVID-19 correlates with the risk of development of pulmonary fibrosis after 6 months [12]. Unfortunately, most publications do not consider a follow-up period longer than 6 months. At the same time, there appear works indicating the reversibility of lung damage in COVID-19 [13].
In connection with the above, it seems actual to search for novel antifibrotic agents, and also to gain experience in treatment of patients with lung damage after COVID-19 using drugs with the known antifibrotic effect.
Foreign publications actively highlight the role of hyaluronan in the development of lung damage in SARS-CoV-2 infection, and emphasize the fact of derangement of the production and regulation of synthesis of hyaluronic acid (HA) in COVID-19 [14–17]. Resting on the previous studies, it can be said that accumulation of HA (hyaluronan) in lungs is associated with the development of acute respiratory distress syndrome (ARDS) [18]. On pathanatomical examination of the bodies of patients who died from COVID-19, their lungs were filled with jelly-like contents [19], and HA is probably one of the main factors leading to ARDS.
SARS-CoV-2 infection may be associated with cytokine storm that induces an aggressive inflammatory response with liberation of high amounts of pro-inflammatory cytokines: interleukin-1β (IL-1β), interleukin-6 (IL-6), tumor necrosis factor alpha (TNF-α) and others. Cytokines IL-1β and TNF-α are strong inducers of hyaluronan synthase-2 in the alveolar epithelial cells of lungs and fibroblasts [20]. It is hyaluronan synthase-2 that generates HA with very high molecular mass which leads to absorption of a high quantity of water molecules due to hygroscopic properties [17]. The level of HA in the blood serum in COVID-19 is proposed as an early marker of a poor prognosis in critical patients [14].
So, the use of hyaluronan synthase inhibitors or hyaluronidase preparations in COVID-19 may produce a therapeutic effect through reduction of the content of hyaluronan in lungs [21]. Certain hopes in the treatment for COVID-19 are pinned on suppression of synthesis of HA with 4-methylumbelliferone (4MU) which as well reduces the level of inflammatory cytokines, as shown on infectious models of mice [22]. The intranasal introduction of exogenous hyaluronidase has been reported to reduce the level of hyaluronan in lungs of mice with modeled influenza [20].
Thus, hyaluronan is of great importance in the development of severe lung damage in SARS-CoV-2 infection and is a potential therapeutic target, the action on which will undoubtedly improve the prognosis for patients with COVID-19.
A multicenter open prospective cohort DISSOLVE study has been conducted in the Russian Federation to assess the effectiveness and safety of the drug bovhyaluronidase azoximer (Longidase®, OOO Petrovaks Pharm, Russia) in the prevention and treatment of post-inflammatory pneumofibrosis and interstitial lung diseases that develop after COVID-19 complicated with pulmonary manifestations (chief researcher — A. G. Chuchalin). The drug bovhyaluronidase azoximer is indicated in pneumofibrosis according to the instructions on medical use of the drug. Bovhyaluronidase azoximer, due to its hyaluronidase activity, works at different stages of the pathological process (both in the phase of acute inflammation and with the underlying severe fibrosis). Conjugation of the enzyme with bromide azoximer permits not only to enhance the activity of the enzyme, but also introduces new properties aimed at modulating the production of cytokines and mediators of inflammation [23]. The antifibrotic properties of the drug are especially important in the context of rehabilitation after COVID-19, [24]. In the DISSOLVE study, the effectiveness of intramuscular injections of bovhyaluronidase azoximer was shown in terms of increase in saturation, exercise tolerance, forced vital capacity of lungs, reduction of the severity of shortness of breath at the outpatient stage of rehabilitation of COVID-19 patients. Accumulating data on the role of hyaluronan in the development of lung damage in COVID-19 justify the reasonability of using the drug with hyaluronidase activity in the early periods of the disease at the inpatient stage.
The aim of this study the prospects of using bovhyalu-ronidase azoximer in the complex treatment of patients with COVID-19 with lung damage at the inpatient stage.
MATERIALS AND METHODS
The observational study was performed on the base of the hospital specializing in treatment of adult patients with COVID-19 (Ryazan Emergency Care Hospital). The protocol of study and the form of Informed consent were approved by the Local Ethics Committee at Ryazan State Medical University (Protocol No. 9 dated February 07, 2022). All the patients who received bovhyaluronidase azoximer, signed a voluntary informed consent for the intervention before the first injection. All the rest procedures were performed according to “Temporary Guidelines: prevention, diagnosis and treatment of novel coronavirus infection. Version 14 (dated December 27, 2021)” [25].
The study involved a total of 35 patients with confirmed novel coronavirus COVID-19 infection with lung damage of different degree of severity verified by chest X-ray CT. The average age of patients was 58.9 ± 12.9 years (from 27 to 79 years), women predominated — 29 (82.8%).
Exclusion criteria: hemoptysis in patients, malignant neoplasms, idiopathic pulmonary fibrosis before the current disease.
The patients of the observational group were hospitalized on the 9.2 ± 2.0th day of illness. The results of distribution of patients by severity (the volume) of lung damage according to the results of X-ray CT, are given in Figure 1. X-ray CT of lungs was conducted on average on the 9.9 ± 2.1st day of illness; in some patients X-ray CT was conducted 1–2 days before hospitalization. As follows from Figure 1, moderate and severe pneumonia predominated (63%). The volume of lung damage was initially 45.1 ± 19.4% on the right and 40.0 ± 19.5% on the left.
Fig. 1. The degree of severity of lung tissue damage of the studied patients (n = 35) on admission according to the results of X-ray computed tomography of lungs. Note: CT — the degree of lung damage according to the results of X-ray computed tomography.
On admission, all the patients had respiratory failure, capillary blood saturation (SpO2) was 80.1 ± 8.6%. Four patients, because of severity of their condition, were hospitalized in the resuscitation and intensive care units and were given non-invasive lung ventilation. All the rest patients initially received respiratory support in the form of oxygen therapy through a mask/cannula with oxygen flow of 5 to 15 liters per minute.
Of the comorbid pathology (Figure 2), AH (77.1%), 1 and 2 degree obesity (Ob) (65.7%), DM (48.5%) were most common. Interestingly, 7 patients had a history of type 2 DM, and another 10 patients were diagnosed with DM related to intake of glucocorticosteroids.
Fig. 2. The incidence (%) of comorbid pathology in the study patients (n = 35). Notes: АH ― arterial hypertension, Ob-1 ― 1 degree obesity, DM GCS ― diabetes mellitus associated with glucocorticosteroid intake, Оb-2 ― 2 degree obesity, DM ― diabetes mellitus, CHD ― coronary heart disease, EA ― exertion angina, BA ― bronchial asthma, ACVE ― acute cerebrovascular event, PICS ― postinfarction cardiosclerosis.
On admission, the level of C-reactive protein (CRP) was 85.0 ± 74.0 mg/l, with the minimal level 10.9 mg/l and maximal 357.0 mg/l. The degree of severity of the lung damage according to the initial X-ray CT of lungs correlated with the initial level of CRP (r = 0.47; p < 0.05).
All patients received treatment for a novel coronavirus infection according to the “Temporary Guidelines: prevention, diagnosis and treatment of novel coronavirus infection (COVID-19). Version 14 (dated December 27, 2021)”, including oxygen therapy, pronposition in the absence of obesity, parenteral administration of glucocorticosteroids (dexamethasone, methylprednisolone), anticoagulant therapy (enoxaparin, heparin), antibiotic therapy according to indications [25]. In 16 cases (45.7%), genetically engineered biological drugs were prescribed: levilimab ― in 4 cases (25.0%), baricitinib and tocilizumab ― in 3 cases both (18.8%), sarilumab, olokizumab, netakimab were given to 2 patients (12.5%).
As part of the complex therapy, bovhyaluronidase azoximer was prescribed at the inpatient stage on the 21.9 ± 6.8th day of the disease, taking into account contraindications, in the form of lyophilizate for making solution for injection of 3000 IU, intramuscularly, 1 time every 3 days, with a course of 10 injections.
To analyze the probable causes of increase in SpO2, a comparative analysis of the following groups of patients was conducted at different stages of treatment with bovhyaluronidase azoximer:
group 1 ― increase in saturation after the first injection;
group 2 ― increase in saturation after the second injection;
group 3 ― with no significant positive dynamics of SpO2 parameter after the first two injections.
Statistical analysis of the obtained data was performed using Statistica 10.0 package (Stat Soft Inc., USA). The quantitative attributes were presented in the form of arithmetic mean (M) and arithmetic mean error (m). To analyze the relationship between the two attributes, Spearman coefficient was determined (r). The differences were considered statistically significant for all types of analysis at р < 0.05.
RESULTS
As noted above, SpO2 parameter on admission was 80.1 ± 8.6%, before the start of treatment with bovhya- luronidase azoximer — 85.1 ± 8.7%. Bovhyaluronidase azoximer demonstrated good tolerability: not in a single case side effects was recorded. In the course of treatment with bovhyaluronidase azoximer as part of complex therapy, increase in saturation was noted in different periods: 7 patients demonstrated increase in SpO2 after the first injection of, 24 patients — after the second injection and 4 patients did not show any significant positive dynamics of SpO2 parameter after the first two injections (Table 1).
Table 1. Comparative Characteristics of Patents with Lung Damage after COVID-19 Depending on Increase in SpO2 in Treatment with Bovhyaluronidase Azoximer
Parameters | Group 1 | Group 2 | Group 3 |
n | 7 | 24 | 4 |
Criteria for Division to Groups | |||
Increase in SpO2 after the 1st injection, % | 4.2 ± 1.7 | 1.1 ± 0.3 | 0.6 ± 0.8 |
Increase in SpO2 after the 2nd injection, % | 6.0 ± 2.8 | 5.4 ± 0.6 | 1.0 ± 1.4 |
Clinical and Demographic Characteristics | |||
Age, years | 51.0 ± 8.5 | 59.7 ± 13.6 | 67.5 ± 9.1 |
Duration of the disease by the moment of hospitalization, days | 9.7 ± 2.1 | 9.0 ± 2.1 | 10.2 ± 1.7 |
Duration of the disease by the moment of the start of treatment with bovhyaluronidase azoximer, days | 23.4 ± 5.7 | 21.2 ± 7.6 | 23.2 ± 2.5 |
SpO2 on admission, % | 77.0 ± 11.9 | 81.2 ± 7.9 | 79.2 ± 5.6 |
Severity of Lung Damage on Admission According to X-ray CT | |||
1 stage | 0 | 2 of 24 | 0 |
1–2 stage | 0 | 2 of 24 | 0 |
2 stage | 1 of 7 | 10 of 24 | 2 of 4 |
2–3 stage | 1 of 7 | 2 of24 | 0 |
3 stage | 3 of 7 | 5 of 24 | 1 of 4 |
3–4 stage | 2 of 7 | 1 of 24 | 1 of 4 |
4 stage | 0 | 2 of 24 | 0 |
Volume of damage of the right lung, % | 55.5 ± 20.2 | 41.6 ± 20.5 | 48.3 ± 10.4 |
Volume of damage of the left lung, % | 51.2 ± 20.1 | 37.3 ± 20.8 | 38.3 ± 7.6 |
CRP on admission, mg/l | 153.2 ± 110.9 | 68.8 ± 53.7 | 58.0 ± 40.5 |
Notes: all the values are presented as M ± m; X-ray CT ― X-ray computed tomography, CRP — C-reactive protein
Thus, patients of group 1 (with the earliest response to treatment with bovhyaluronidase azoximer) were characterized by the tendency (р > 0.05) to a younger age, lower saturation on admission, more severe lung damage in X-ray CT and higher level of CRP on admission.
Correlation analysis revealed the following interrelations: increase in SpO2 after the 1st injection inversely correlated with the patient’s age (r = -0.34; p < 0.05), increase in SpO2 after the 2nd injection — with the day of the disease on which therapy with bovhyaluronidase azoximer started (r = -0.36; p < 0.05).
DISCUSSION
In the DISSOLVE study, the experience of using bovhyaluronidase azoximer at the outpatient stage of COVID-19 therapy was obtained [26], the timing of the drug administration is not earlier than the 21st day of the
disease and not later than two months after beginning of COVID-19. Administration of treatment in this period is associated with the fact that, according to the existing data, it is by the end of the third week that the proliferation stage terminates and the fibrotic stage of the interstitial pneumonia in COVID-19 starts [27]. The discussed role of hyaluronan in the development of a severe lung damage in COVID-19 dictates the need to consider the earlier administration of the drug in a number of patients taking into account its effect not only on pneumofibrosis but also on degradation of hyaluronan in lungs, which accumulates at the beginning of the disease, in the phase of cytokine storm when hyaluronan synthase-2 is activated [17–19].
In our observational study, bovhyaluronidase azoximer was administered to patients with the initial saturation 85.1 ± 8.7%, as part of complex therapy at the inpatient stage. It is hyaluronidase activity of the drug that can explain the increase in SpO2 in up to 12% of young and middle-aged patients with a severe course of the disease immediately after the 1st injection. The increase in SpO2 after the 1st injection was found to be higher in patients with lower initial saturation (r = -0.38; p < 0.05). AH and DM in COVID-19 are the recognized risk factors of a severe course of the disease and of pulmonary fibrosis [10]. In our study, the existence of AH and type 2 DM had a negative effect on increase in SpO2 after the 1st injection of bovhyaluronidase azoximer (r = -0.49 and r = -0.38, respectively; p < 0.05).
The revealed facts permit to identify groups of patients with COVID-19 in whom treatment with bovhyaluronidase azoximer will be most effective:
- patients of young and middle age,
- patients with severe lung damage (2–3 stage in X-ray CT),
- administration of treatment at the inpatient stage not later than 3 weeks after the beginning of the disease.
As an illustration, a clinical example is given.
A female patient R., 61 years old was hospitalized with complaints of shortness of breath, elevation of body temperature to 38.0°С, pronounced general weakness. In history, she had contact with COVID-19 patients (all family members were ill). The disease had an acute onset, on the second day of the disease the patient turned to the outpatient clinic, umifenovir and methylprednisolone were prescribed. The PCR test of oro- and nasopharyngeal swab for SARS-CoV-2 ribonucleic acid was done in the outpatient clinic. In the course of treatment, no improvement of the condition was observed — hyperthermia persisted. On the 7th day of the disease, the condition worsened — shortness of breath enhanced. X-ray CT of lungs in the outpatient clinic identified the volume of lung tissue damage 25%–30%. The patient was taken to hospital by an ambulance team.
The patient had AH, did not take antihypertensive drugs regularly. Allergological history: Quincke edema to nicotinic acid. The patient denied bad habits.
On admission: moderately severe condition, body temperature 38.0°С, body mass index 35 kg/m2, respiratory rate 24 per minute, SpO2 89% without insufflation of oxygen, heart rate 90 per minute, arterial pressure 130/70 mm Hg. Laboratory test results on admission: lymphopenia (0.62 х 109/l), CRP 32.5 mg/l, ferritin 678 µg/l, fibrinogen 533 mg%.
PCR test of oro- and nasopharyngeal swab for SARS-CoV-2 RNA: positive.
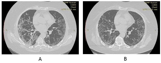
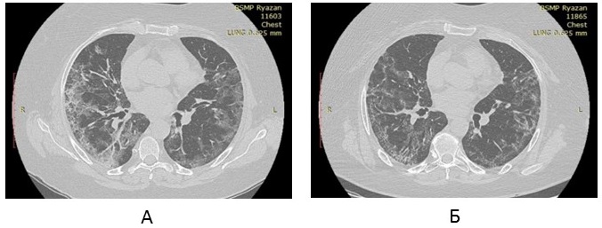
Repeated X-ray CT of lungs (18th day of illness, in hospital): in the central and peripheral areas of lungs on both sides, extended areas of consolidation of ground-glass opacity type of irregular shape with sharp slightly cord-like contours with emphaticalness of the intralobular interstitium in the lower lobes. The volume of involved lung parenchyma of the right lung — up to 40%, of the left lung — up to 35% (Figure 3A).
Fig. 3. Dynamics of changes of the results of X-ray computed tomography of lungs of patient R., 61 years old, with COVID-19, in the course of complex treatment including bovhyaluronidase azoximer: in the hospital on admission (18th day of illness, before start of therapy with bovhyaluronidase azoximer) (A), 27th day of illness (10th day of treatment with bovhyaluronidase azoximer) (B).
Therapy was given: dexamethasone intravenously, baricitinib, enoxaparin subcutaneously, bovhyaluronidase azoximer intramuscularly once every 3 days from the 18th day of the disease. In the course of therapy, the content of lymphocytes in peripheral blood was 1.0 x 109/l, CRP ― 10 mg/l, ferritin ― 320 µg/l, fibrinogen ― 365 mg%. Before treatment with bovhyaluronidase azoximer, SpO2 without oxygen insufflation was 90%, after the 2nd injection of SpO2 ― 93% without oxygen therapy.
X-ray CT of lungs in dynamics after 10 days (between two X-ray examinations, 3 injections of bovhyaluronidase azoximer were made as part of complex therapy): extended areas of consolidation of ground-glass opacity type of irregular shape with sharp slightly cord-like contours, evident intralobular interstitium in the lower lobes earlier observed in the central and peripheral areas of both lungs, restructured to smaller areas of cord-like consolidation and reticulation. The volume of the involved parenchyma of the right lung was up to 15%, of the left lung — to 10% (Figure 3B).
Thus, the dynamics of SpO2, X-ray CT changes of lungs in the course of complex therapy with bovhyaluronidase azoximer evidences not only the effect of the drug on the post-inflammatory pneumofibrosis, but also its potential ability to degrade hyaluronan that accumulates in the lung tissue in the earlier stages of the inflammatory process.
A relatively low statistical power of the study (n = 35) does not permit analysis of the results for the presence/absence of statistically significant differences, however, the relevance of this problem, in our opinion, justifies the reasonability of discussing the results obtained, since they are of high clinical significance in conditions of COVID-19 pandemic with the need for rapid adaptation of clinical recommendations to the routine clinical practice of management of such patients.
CONCUSION
Use of bovhyaluronidase azoximer in complex treatment of patients with COVID-19 and lung damage at the inpatient stage may be effective not only in terms of prophylaxis and treatment of pneumofibrosis, but also in terms of potential reduction of the level of hyaluronan in lungs in the early stages of the disease. The response to complex therapy with bovhyaluronidase azoximer in the form of increase in saturation is highest in the individuals with COVID-19 of younger and middle age with severe lung damage (2–3 degree of damage according to the results of X-ray computed tomography).
Taking into account the data obtained, we consider it possible and reasonable to include bovhyaluronidase azoximer in complex treatment of COVID-19 with lung damage with severe course of the disease in earlier periods, already at the outpatient stage. Besides, the data obtained predetermine the need to study the level of hyaluronic acid in blood of patients with COVID-19 and its role in stratification of risk for poor outcomes, and also the need to formulate clear indications for administration of bovhyaluronidase azoximer to patients with COVID-19 at the inpatient stage.
ADDITIONAL INFORMATION
Funding. This study was not supported by any external sources of funding.
Conflict of interests. The authors declare no conflicts of interests.
Contribution of the authors: A. V. Solov’yeva ― research concept, collection and processing of material, statistical processing, text writing; L. V. Korshunova ― research concept, text editing; E. M. Shurpo ― collection and processing of material, text writing; A. S. Namestnikova ― collection and processing of material. All authors made a substantial contribution to the conception of the work, acquisition, analysis, interpretation of data for the work, drafting and revising the work, final approval of the version to be published and agree to be accountable for all aspects of the work.
Финансирование. Авторы заявляют об отсутствии внешнего финансирования при проведении исследования.
Конфликт интересов. Авторы заявляют об отсутствии конфликта интересов.
Вклад авторов: : Соловьева А. В. ― концепция исследования, сбор и обработка материала, статистическая обработка, написание текста; Коршунова Л. В. ― концепция исследования, редактирование текста; Шурпо Е. М. ― сбор и обработка материала, написание текста; Наместникова А. С. ― сбор и обработка материала. Все авторы подтверждают соответствие своего авторства международным критериям ICMJE (все авторы внесли существенный вклад в разработку концепции, проведение исследования и подготовку статьи, прочли и одобрили финальную версию перед публикацией).
About the authors
Aleksandra V. Solov’yeva
Ryazan State Medical University
Author for correspondence.
Email: savva2005@bk.ru
ORCID iD: 0000-0001-7896-6356
SPIN-code: 1943-7765
MD, Dr. Sci. (Med.), Associate Professor
Russian Federation, RyazanLyudmila V. Korshunova
Ryazan State Medical University
Email: post_luda@mail.ru
ORCID iD: 0000-0003-0945-0772
SPIN-code: 4694-3605
MD, Cand. Sci. (Med.), Associate Professor
Russian Federation, RyazanEkaterina M. Shurpo
Ryazan State Medical University; City Clinical Hospital of Emergency Medical Care
Email: shurpo_87@mail.ru
ORCID iD: 0000-0001-9229-228X
SPIN-code: 9242-2880
ResearcherId: AAF-6813-2022
MD, Cand. Sci. (Med.)
Russian Federation, Ryazan; RyazanAnastasiya S. Namestnikova
City Clinical Hospital of Emergency Medical Care
Email: asik1402@yandex.ru
ORCID iD: 0000-0001-8939-885X
ResearcherId: AAЕ-9185-2022
врач-терапевт отделения № 5 для взрослого населения с коронавирусной инфекцией
Russian Federation, RyazanReferences
- Ng CK, Chan JWM, Kwan TL, et al. Six month radiological and physiological outcomes in severe acute respiratory syndrome (SARS) survivors. Thorax. 2004;59(10):889–91. doi: 10.1136/thx.2004.023762
- Xie L, Liu Y, Fan B, et al. Dynamic changes of serum SARS-coronavirus IgG, pulmonary function and radiography in patients recovering from SARS after hospital discharge. Respiratory Research. 2005;6(1):5. doi: 10.1186/1465-9921-6-5
- Das KM, Lee EY, Singh R, et al. Follow-up chest radiographic findings in patients with MERS-CoV after recovery. Indian Journal of Radiology & Imaging. 2017;27(3):342–9. doi: 10.4103/ijri.IJRI_469_16
- Zhang P, Li J, Liu H, et al. Long-term bone and lung consequences associated with hospital-acquired severe acute respiratory syndrome: a 15-year follow-up from a prospective cohort study. Bone Research. 2020;8:8. doi: 10.1038/s41413-020-0084-5
- Ojo AS, Balogun SA, Williams OT, et al. Pulmonary Fibrosis in COVID-19 Survivors: Predictive Factors and Risk Reduction Strategies. Pulmonary Medicine. 2020;2020:6175964. doi: 10.1155/2020/6175964
- Zumla A, Hui DS, Azhar EI, et al. Reducing mortality from 2019-nCoV: hostdirected therapies should be an option. Lancet. 2020;395(10224):e35–6. doi: 10.1016/S0140-6736(20)30305-6
- Vasarmidi E, Tsitoura E, Spandidos DA, et al. Pulmonary fibrosis in the aftermath of the COVID-19 era (Review). Experimental and Therapeutic Medicine. 2020;20(3):2557–60. doi: 10.3892/etm.2020.8980
- Tale S, Ghosh S, Meitei SP, et al. Post COVID-19 pneumonia pulmonary fibrosis. QJM. 2020;113(11):837–8. doi: 10.1093/qjmed/hcaa255
- Kligerman SJ, Franks TJ, Galvin JR. From the radiologic pathology archives: organization and fibrosis as a response to lung injury in diffuse alveolar damage, organizing pneumonia, and acute fibrinous and organizing pneumonia. Radiographics. 2013;33(7):1951–75. doi: 10.1148/rg.337130057
- George PM, Wells AU, Jenkins RG. Pulmonary fibrosis and COVID-19: the potential role for antifibrotic therapy. The Lancet. Respiratory Medicine. 2020;8(8):807–15. doi: 10.1016/S2213-2600(20)30225-3
- Han X, Fan Y, Alwalid O, et al. Six-month Follow-up Chest CT Findings after Severe COVID-19 Pneumonia. Radiology. 2021;299(1):E177–86. doi: 10.1148/radiol.2021203153
- Wong K–T, Antonio GE, Hui DSC, et al. Severe acute respiratory syndrome: thin-section computed tomography features, temporal changes, and clinicoradiologic correlation during the convalescent period. Journal of Computer Assisted Tomography. 2004;28(6):790–5. doi: 10.1097/00004728-200411000-00010
- Liu C, Ye L, Xia R, et al. Chest Computed Tomography and Clinical Follow-Up of Discharged Patients with COVID-19 in Wenzhou City, Zhejiang, China. Annals of the American Thoracic Society. 2020;17(10):1231–7. doi: 10.1513/AnnalsATS.202004-324OC
- Ding M, Zhang Q, Li Q, et al. Correlation analysis of the severity and clinical prognosis of 32 cases of patients with COVID-19. Respiratory Medicine. 2020;167:105981. doi: 10.1016/j.rmed.2020.105981
- Hellman U, Karlsson MG, Engström–Laurent A, et al. Presence of hyaluronan in lung alveoli in severe Covid-19: An opening for new treatment options? The Journal of Biological Chemistry. 2020;295(45):15418–22. doi: 10.1074/jbc.AC120.015967
- Queisser KA, Mellema RA, Middleton EA, et al. COVID-19 generates hyaluronan fragments that directly induce endothelial barrier dysfunction. JCI Insight. 2021;6(17):e147472. doi: 10.1172/jci.insight.147472
- Ontong P, Prachayasittikul V. Unraveled roles of hyaluronan in severe COVID-19. EXCLI Journal. 2021;20:117–25. doi: 10.17179/excli2020-3215
- Hällgren R, Samuelsson T, Laurent TC, et al. Accumulation of hyaluronan (hyaluronic acid) in the lung in adult respiratory distress syndrome. The American Review of Respiratory Disease. 1989;139(3):682–7. doi: 10.1164/ajrccm/139.3.682
- Xu Z, Shi L, Wang Y, et al. Pathological findings of COVID-19 associated with acute respiratory distress syndrome. The Lancet. Respiratory Medicine. 2020;8(4):420–2. doi: 10.1016/S2213-2600(20)30076-X
- Bell TJ, Brand OJ, Morgan DJ, et al. Defective lung function following influenza virus is due to prolonged, reversible hyaluronan synthesis. Matrix Biology. 2019;80:14–28. doi: 10.1016/j.matbio.2018.06.006
- Shi Y, Wang Y, Shao C, et al. COVID-19 infection: the perspectives on immune responses. Cell Death and Differentiation. 2020;27(5):1451–4. doi: 10.1038/s41418-020-0530-3
- McKallip RJ, Ban H, Uchakina ON. Treatment with the hyaluronic Acid synthesis inhibitor 4-methylumbelliferone suppresses LPS-induced lung inflammation. Inflammation. 2015;38(3):1250–9. doi: 10.1007/s10753-014-0092-y
- Nekrasov AV, Ivanova AS, Puchkova NG. Longidaza ― sovremennyj podhod v lechenii zabolevanij, soprovozhdayushchihsya giperplaziej soedinitel'noj tkani. Signatura. 2006;(1):43–52. (In Russ).
- Chernyavskaya OA, Osipov AV. Pathogenetic bases of the use of antifibrotic therapy with Bovhyaluronidazum azoximerum in patients with new coronavirus infection COVID-19. Medical Council. 2021;(12):154–60. (In Russ). doi: 10.21518/2079-701X-2021-12-154-160
- Vremennyye metodicheskiye rekomendatsii: profilaktika, diagnostika i lecheniye novoy koronavirusnoy infektsii (COVID-19). Versiya 14 (27.12.2021). Available at: https://static-0.minzdrav.gov.ru/system/attachments/attaches/000/059/041/original/%D0%92%D0%9C%D0%A0_COVID-19_V14_27-12-2021.pdf. Accessed: 2022 February 20. (In Russ).
- Kotova NV, Polyanskiy AV. Chto delat’ s patsiyentom, perenesshim COVID-pnevmoniyu? Opyt klinicheskogo ispol’zovaniya bovgialuronidazy azoksimer (longidazy) dlya profilaktiki i lecheniya post-kovidnogo fibroza legkikh. Glavnyy Vrach Yuga Rossii. 2021;(4):11–2. (In Russ).
- Zabozlaev F.G., Kravchenko E.V., Gallyamova A.R., et al. Pulmonary pathology of the new coronavirus disease (COVID-19). The preliminary analysis of post-mortem findings. Journal of Clinical Practice. 2020;11(2):21–37. (In Russ). doi: 10.17816/clinpract34849
Supplementary files









