Coronary-Vertebral Collaterals in Takayasu Arteritis: Case Report
- Authors: Chupin A.V.1, Zotikov A.E.1, Kutovaya A.S.1, Golovyuk A.L.1, Kharazov A.F.1, Kul’bak V.A.1, Kozhanova A.V.1, Varava A.B.1, Tiimina I.E.1
- 
							Affiliations: 
							- National Medical Research Center of Surgery named after A. Vishnevsky
 
- Issue: Vol 30, No 3 (2022)
- Pages: 387-396
- Section: Clinical reports
- Submitted: 10.03.2022
- Accepted: 12.07.2022
- Published: 07.10.2022
- URL: https://journals.eco-vector.com/pavlovj/article/view/104656
- DOI: https://doi.org/10.17816/PAVLOVJ104656
- ID: 104656
Cite item
Abstract
INTRODUCTION: PNonspecific aortoarteritis is a rare autoimmune disease with the involvement and narrowing of the aorta and its branches leading to ischemia of the respective arterial region. In the territory of the Russian Federation, the most common manifestation of Takayasu nonspecific aortoarteritis is lesion of the branches of the aortic arch, which in rare cases leads to development of the so called “bald arch” syndrome. In response to hypoxia, intersystemic collaterals are formed through the neoangiogenesis or redirection of the blood flow from the occluded vessels to small-diameter vessels. In patients with “bald arch” syndrome, the key role in blood supply to the brain is played by the vertebral arteries. Here, collateral blood supply is realized through the intersystemic anastomoses, most often through the anastomotic leaks between the intercostal and internal thoracic arteries. In the literature, single cases of formation of collaterals between coronary and bronchial arteries are reported. The article presents a clinical case of coronary-vertebral anastomoses in a patient with extremely severe course of Takayasu arteritis with occlusion of the brachiocephalic trunk, right common carotid artery (CA), left common CA, right internal CA, left internal CA (“bald arch” syndrome). The probable cause of such course of the disease was late referral for medical help by the patient and lack of adequate basic therapy.
CONCLUSION: The demonstrated case is the fourth case in the world literature describing the existence of collaterals between the coronary arteries and cerebral arteries, and the first case in the world describing the existence of collaterals from the right and left coronary arteries to the vertebral artery. Such unusual pathway of collateral blood supply in the patient is explained by the absence of the possibility for collateral compensation from the systems of subclavian and intercostal arteries, severe chronic cerebral ischemia. Usually, the causes of angina pectoris in patients with nonspecific aortoarteritis are spread of arteritis to the coronary arteries, insufficiency of the aortic valve, hypertrophy of the left ventricle. In the described case, none of these conditions was present, and angina can only be attributed to the existence of unusual collaterals and the development of a transient steal syndrome.
Full Text
LIST OF ABBREVIATIONS
ACVE — acute cardiovascular event
BCA — brachiocephalic arteries
BCT — brachiocephalic trunk
CCA — common carotid artery
CT — computed tomography
DS — duplex scanning
ESR — erythrocyte sedimentation rate
ICA — internal carotid artery
LCA — left coronary artery
MАC — minimal alveolar concentration
MRC — Medical Research Council Weakness Scale
NAA — non-specific aortoarteritis
NMRC — National Medical Research Center
RCA — right coronary artery
PTFE — polytetrafluoroethylene
RICU — resuscitation and intensive care unit
SA — subclavian artery
INTRODUCTION
Nonspecific aortoarteritis (NAA, Takayasu disease, Takayasu arteritis) is a systemic disease of arteries of the autoimmune genesis, which in most cases leads to stenosis of the aorta and its main branches, and, consequently, to hypoperfusion of the respective arterial network [1]. According to A. V. Pokrovsky (1979), the frequency of aortic lesion reaches 73.2% [2]. The experience of Vishnevsky Scientific Medical Research Center of Surgery (2002) shows that about 85% of patients with NAA have lesion of brachiocephalic arteries [3].
Development of collateral blood supply is a compensatory mechanism of response of an organism to impairment of perfusion. Presumably, new vascular collaterals are formed through neoangiogenesis or redirection of the blood flow from the occluded lines to small-diameter collaterals [4]. In the pathophysiological aspect, most important are the mechanisms of compensation for disorders of cerebral, coronary and renal blood supply [5].
In patients with occlusion of the common carotid arteries (CCA), the vertebral arteries play a critical role in compensation of cerebral circulation. Here, the volumetric blood flow through the vertebral arteries increases more than 3 times compared to physiological parameters. Another way of compensation of cerebral circulation characteristic of Takayasu arteritis is the formation of anastomoses between subclavian and external carotid arteries: thyro-carotid, carotid-subclavian, thyro-occipito-carotid, etc. With the development of the so-called “bald aortic arch” syndrome, collateral blood supply to the brain can occur through leaks between the intercostal and internal thoracic arteries through the thyrocervical trunk (truncus thyrocervicalis). There are also described single cases of the formation of collateral circulation between the coronary and bronchial arteries.
We report a medical case of a female patient with occlusion of the branches of the aortic arch, in whom the collateral blood supply was identified between the coronary circulation (the right and left coronary arteries) and the left vertebral artery system [6, 7].
Case report
A female patient N., 42 years old, was admitted to the Department of Vascular Surgery of Vishnevsky Scientific Medical Research Center of Surgery in March 2020 with complaints of speech disorders, weakness in the right limbs, severe headaches.
NAA was verified in 2002 based on the clinical picture and imaging methods: computed tomography (CT) and duplex scanning (DS), and the laboratory markers of inflammation. After the debut of the clinical picture in the form of appearance of persistent headaches, endarterectomy from the brachiocephalic trunk (BCT), CCA, and carotid-subclavian bypass surgery on the right were performed in the same year.
In 2005 the patient had an acute cerebrovascular event (ACVE) in the left hemisphere, the consequences of which (paresis of the right limbs 1 point according to classification of Medical Research Council Weakness Scale (MRC) and mild dysarthria) persisted until the moment of referral for medical assistance.
Gradually, the symptoms of the disease progressed, there was no constant monitoring, the patient did not receive treatment. She was examined again on an outpatient basis in 2019, occlusion of both CCAs was revealed (Figure 1). In the previous 6 months, she noted progression of cerebral symptoms in the form of unsteadiness of gait. There was also a tendency to arterial hypertension, antihypertensive therapy was selected at the place of residence, the target blood pressure level was achieved. DS of the brachiocephalic arteries (BCA) detected 90% stenosis of the left subclavian artery (SA), occlusion of the right SA. No lesions of the descending and abdominal aorta, of the visceral branches of the aorta, and of the arteries of the lower limbs were detected.
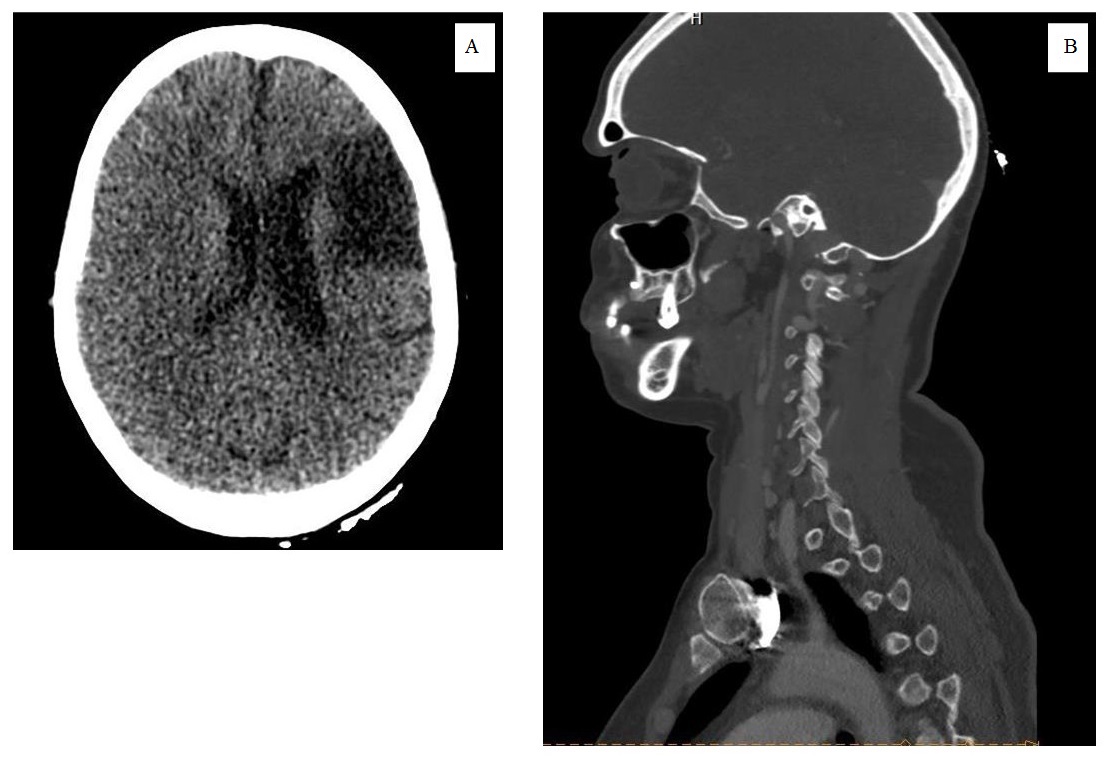
Fig. 1. Computed tomography of brachiocephalic arteries and the brain of the patient before surgical intervention (2020): cystogliotic alterations of the left frontal lobe (A); occlusion of the common carotid artery (B).
In detailed questioning, complaints of dizziness and syncope in moderate physical activity, anginal pain in intense mental work or in stress were found. Holter daily ECG monitoring in physical activity did not reveal any ischemic alterations, therefore it was decided to supplement complex examination with coronary angiography.
Coronary angiography and angiography of the aortic arch branches did not reveal any significant stenosis of coronary arteries. However, there were verified occlusion of the BCT, right CCA, left CCA, right ICA and left ICA; 85% stenosis in the first segment of the left SA and 80% stenosis of the left vertebral artery; collaterals between the left vertebral artery and systems of the left coronary artery (LCA) and right coronary artery (RCA, Figure 2).
Fig. 2. Angiograms of the patient demonstrating collateral circulation between the system of the right and left coronary arteries and left vertebral artery: collaterals between the left coronary artery and left vertebral artery (A, B, C); collaterals between the right coronary artery and left vertebral artery (D, E, F).
Examination (DS of BCA, CT of BCA, common and biochemical blood tests) did not give any data for the activity of the inflammatory process: no thickening of the aortic wall, erythrocyte sedimentation rate (ESR) 14 mm/hour, C-reactive protein 3.4 mg/l.
The history of ACVE and the aggravation of cerebrovascular insufficiency determined indications for surgical treatment on planned basis. On March 13, 2020, descendoaorto-common carotid artery bypass surgery was performed on the left with 8 mm polytetrafluoroethylene (PTFE) prosthesis. As cerebral protection, controlled intraoperative hypertension and combined general anesthesia were used (anesthesia with sevoflurane, minimum alveolar concentration 0.8–1.0 with sedation monitoring). Access: thoracotomy and standard access to the carotid arteries on the left. Intraoperatively, collaterals from coronary arteries were also visualized (Figures 3, 4).
Fig. 3. Intraoperatively, in the surgical access to the descending thoracic aorta, collaterals from the coronary arteries are visualized.
Fig. 4. Intraoperatively, after descendoaorto-common carotid artery prosthetics on the left: the final anastomosis with bifurcation of the common carotid artery on the left (A); proximal anastomosis with descending aorta (B).
The early postoperative period ran without peculiarities. Observation, intensive therapy were conducted in the resuscitation and intensive care unit (RICU). On the 2nd day after the surgery, the patient was transferred to the specialized department in stable condition.
At the department of vascular surgery, conservative analgesic therapy, anticoagulant therapy (calcium nadroparin 0.3 ml twice a day) were performed in the perioperative period, then antiplatelet therapy to prevent thrombotic complications, antibiotic therapy, preventive pulse therapy with prednisolone and methotrexate, dressings.
On the 1st day after surgery, the drainage from the wound on the neck was removed, on the 3rd day, the drainage from the pleural cavity was removed.
On the 1st, 2nd and 3rd day after surgery, the plain chest radiography did not show any data for pneumo- and hydrothorax.
On the 3rd day after the operation, after the removal of pleural drainage, during the activation of the patient, abundant vaginal bleeding with clots was noted. Ultrasound examination of the pelvic organs was performed; the patient was examined by a gynecologist. With the diagnosis of “uterine fibroids, incipient submucous node, metrorrhagia, moderate anemia”1, the patient was transferred to the gynecological department of a multidisciplinary hospital for surgical hemostasis. Because of the risk of thrombosis of the reconstruction zone, it was decided to refrain from systemic hemostatic therapy. No hemodynamic instability has been registered since the beginning of bleeding during the subsequent follow-up period.
The patient was then transferred to Vishnevsky Scientific Medical Research Center of Surgery to continue the treatment for the vascular pathology, where, on the 5th day after surgery, a control CT of BCA was performed in the angiographic mode. The obtained tomograms permitted to suspect parietal thrombosis in the lumen of the left ICA of up to 14 mm length that narrowed the lumen in the zone of anastomose to 80% (Figure 5).
Fig. 5. Computed tomography of brachiocephalic arteries in the angiographic mode after transfer from a gynecological hospital: alterations in the zone of bifurcation of the carotid artery interpreted as parietal thrombosis (the zone of the expected thrombosis is isolated).
In 1.5 hours after CT of BCA, the patient developed an episode of intensive extended headache, elevation of the arterial pressure in the lower limbs to 200/100 mm Hg. With the account of the identified alterations and a high risk of occlusion of the reconstruction zone, a decision was made about the necessity of emergency surgery in the scope of reconstruction of distal anastomosis of descendo-aorto-carotid shunt.
Intraoperatively, local detachment of intima about 2–3 mm with flotation was revealed in the area of distal anastomose, that probably occurred in the zone of compression of the artery (traumatization of the artery with a clamp). Resection of the distal anastomosis of the aorto-carotid prosthesis, separate prosthetics of ICA and of the external carotid artery were performed, as well as prosthetics of the external carotid artery with addition of a 6 mm piece of PTFE prosthesis (Figure 6).
Fig. 6. Separate prosthetics of the internal and external carotid arteries on the left.
After the operation, the patient was transferred to RICU for the dynamic observation. After one day, the drainage was removed from the wound on the neck; the patient was moved to the specialized department where conservative antiplatelet (acetyl salicylic acid), anticoagulant (calcium nadproparin in preventive doses), antibacterial, analgesic therapy and pulse-therapy with methyl prednisolone (Solu-Medrol® 1000 mg, 3rd day course was planned) were conducted.
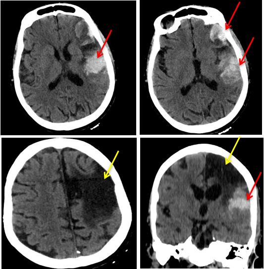
On the 2nd day after the operation, the patient had an episode of extended headache of high intensity, psychomotor excitement, buildup of the previously existing neurological deficit (aggravation of right-sided paresis to 2 points, the appearance of total aphasia), an episode of partial tonic seizures in the right (paretic) limbs (eliminated by diazepam 10 mg intravenously in the RICU). Arterial pressure in the lower limbs was 170/80 mm Hg. An emergency CT scan of the brain showed a picture of fresh hemorrhage into the area of cystic post-ischemic alterations in the left parietal zone (Figure 7). The authors believe that, probably, the initial rise in the arterial pressure in this patient after the first and second operations was induced by direct intervention on the carotid arteries.
Fig. 7. Computed tomography of the brain with the underlying progression of neurological symptoms: hemorrhage into the area of ischemic alterations after past acute cerebrovascular event in 2005. Notes: in red, fresh acute cerebrovascular event of hemorrhagic type is shown, in yellow — old ischemic focus.
In the RICU, stabilization of the patient’s condition was achieved, antiplatelet and anticoagulant therapy was cancelled. For urgent indications, the patient was transferred to a multidisciplinary hospital with a possibility of rendering neurosurgical and neurological care. Within 2 weeks, conservative treatment was carried out, and then neurological rehabilitation.
On control examination in 1.5 months — complete recovery of the neurological status to the initial parameters; according to the data of DS, the shunt was passable and functioned adequately.
The patient continues to stay under observation of a vascular surgeon and a rheumatologist on an outpatient basis.
DISCUSSION
The presented observation is an extremely rare case of formation of collaterals in Takayasu arteritis. In the literature, only three cases of such patents are reported with collaterals to the cerebral vessels (two cases of anastomoses between coronary arteries and carotid arteries [8, 9] and one — from the RCA to SA [10]). Such collateral blood flow is considered to be a compensatory mechanism for maintaining the blood flow in the brain [8].
In the described clinical case we dealt with an extremely severe course of Takayasu arteritis with occlusion of the BCT, right CCA, left CCA, right ICA, occlusion of the left ICA (“bald arch” syndrome). The probable cause of such course of the disease was late referral of the patient for medical assistance and lack of the adequate basic therapy.
The formation of such an unusual pathway of collateral circulation in the patient can be attributed to the absence of the possibility of collateral compensation from the system of subclavian and intercostal arteries and by severe chronic ischemia of the brain. Blood is supplied to the brain from the system of carotid arteries and vertebral arteries which form circle of Willis inside the brain. In the given case, there was occlusion of both CCA, which explains formation of collaterals with the vertebral arteries.
Usually, causes of angina pectoris in patients with NAA are spread of arteritis to the coronary arteries, insufficiency of the aortic valve, hypertrophy of the left ventricle [11]. In our case, the patient did not have any of these conditions, her angina pectoris can only be explained by the existence of unusual collaterals and development of transient stealing syndrome.
CONCLUSION
In the given case, coronary angiography revealed the existence of unusual collateral blood supply. Coronary angiography is indicated to all patients with anginal type of pain with Takayasu syndrome to rule out the involvement of the coronary arteries. No methods of correction of coronary stealing syndrome are reported in the literature. There exist only suggestions of a possibility of treatment using transcutaneous embolization and surgical ligation [8]. Probably, in each specific case the decision should be made individually. We did not find any significant changes of the myocardium in the given patient, therefore, it was decided to refrain from intervention on the coronary arteries in the main stage of the operation, with further evaluation of changes in the clinical condition of the patient.
ADDITIONAL INFORMATION
Funding. This study was not supported by any external sources of funding.
Conflict of interests. The authors declare no conflicts of interests.
Patient сonsent. The article uses the patient's clinical data in accordance with the informed consent signed by her.
Contribution of the authors: A. V. Chupin ― head of department, editing; A. E. Zotikov ― surgeon who performed the operation, editing; A. S. Kutovaya ― attending medical doctor, assistance on operation, collection, translation and analysis of material, writing the text; A. L. Golovyuk ― collection, translation and analysis of material, writing the text; A. F. Kharazov ― editing; V. A. Kul’bak ― assistance on operation, editing; A. V. Kozhanova ― anesthesiologist, collection, translation of material; A. B. Varava ― endovascular surgeon, who performed coronarography and revealed collaterals; I. E. Timina ― ultrasound doctor, editing. All authors made a substantial contribution to the conception of the work, acquisition, analysis, interpretation of data for the work, drafting and revising the work, final approval of the version to be published and agree to be accountable for all aspects of the work.
Финансирование. Авторы заявляют об отсутствии внешнего финансирования при проведении исследования.
Конфликт интересов. Авторы заявляют об отсутствии конфликта интересов.
Согласие на публикацию. В статье использованы обезличенные клинические данные пациентки в соответствии с подписанным ей добровольным информированным согласием.
Вклад авторов: Чупин А. В. ― заведующий отделением, редактирование; Зотиков А. Е. ― хирург, выполнявший обе операции, редактирование текста; Кутовая А. С. ― лечащий врач, ассистент на операции, сбор и анализ материала, написание текста; Головюк А. Л. ― сбор и анализ материала, написание текста; Харазов А. Ф. ― редактирование текста; Кульбак В. А. ― ассистент на операции, редактирование текста; Кожанова А. В. ― анестезиолог, обеспечивающий анестезиологическое пособие, сбор и анализ материала; Варава А. Б. ― эндоваскулярный хирург, обнаруживший наличие анастомозов, редактирование текста; Тимина И. Е. ― врач ультразвуковой диагностики, редактирование текста. Все авторы подтверждают соответствие своего авторства международным критериям ICMJE (все авторы внесли существенный вклад в разработку концепции, проведение исследования и подготовку статьи, прочли и одобрили финальную версию перед публикацией).
1 Before and immediately after surgery, the parameters of hemoglobin, hematocrit and the erythrocyte count were within the norm.
About the authors
Andey V. Chupin
National Medical Research Center of Surgery named after A. Vishnevsky
														Email: achupin@rambler.ru
				                	ORCID iD: 0000-0002-5216-9970
				                	SPIN-code: 7237-4582
																		                								
MD, Dr. Sci. (Med.), Professor
Russian Federation, MoscowAndrey E. Zotikov
National Medical Research Center of Surgery named after A. Vishnevsky
														Email: kutovaya7@ya.ru
				                	ORCID iD: 0000-0002-1688-7756
				                	SPIN-code: 3921-9584
																		                								
MD, Dr. Sci. (Med.), Professor
Russian Federation, MoscowAleksandra S. Kutovaya
National Medical Research Center of Surgery named after A. Vishnevsky
							Author for correspondence.
							Email: kutovaya7@ya.ru
				                	ORCID iD: 0000-0001-7910-6665
				                	SPIN-code: 5444-6636
																		                								
MD
Russian Federation, MoscowAleksandr L. Golovyuk
National Medical Research Center of Surgery named after A. Vishnevsky
														Email: algolovyuk@inbox.ru
				                	ORCID iD: 0000-0001-6830-7832
				                	SPIN-code: 9976-7041
																		                								
MD, Cand. Sci. (Med.)
Russian Federation, MoscowAleksandr F. Kharazov
National Medical Research Center of Surgery named after A. Vishnevsky
														Email: harazik@mail.ru
				                	ORCID iD: 0000-0002-6252-2459
				                	SPIN-code: 5239-8127
																		                								
MD, Cand. Sci. (Med.), Associate Professor
Russian Federation, MoscowVladimir A. Kul’bak
National Medical Research Center of Surgery named after A. Vishnevsky
														Email: kulbachok@mail.ru
				                	ORCID iD: 0000-0001-6743-4012
				                	SPIN-code: 1111-0538
																		                								
MD, Cand., Sci. (Med.), Associate Professor
Russian Federation, MoscowAnzhelika V. Kozhanova
National Medical Research Center of Surgery named after A. Vishnevsky
														Email: k.a.b87@mail.ru
				                	ORCID iD: 0000-0002-0607-6570
				                																			                								
MD
Russian Federation, MoscowAleksey B. Varava
National Medical Research Center of Surgery named after A. Vishnevsky
														Email: prankster.win@mail.ru
				                	ORCID iD: 0000-0002-2823-5325
				                	SPIN-code: 5511-4629
																		                								
MD
Russian Federation, MoscowIrina E. Tiimina
National Medical Research Center of Surgery named after A. Vishnevsky
														Email: timina68@mail.ru
				                	ORCID iD: 0000-0001-7026-9417
				                																			                								
MD, Doc. Sci. (Med.), Professor
Russian Federation, MoscowReferences
- Takayasu M. A case with peculiar changes of the central retinal vessels. Acta Societatis Ophthalmologicae Japonicae. 1908;12:553–4. (In Japan).
- Pokrovskiy AV. Zabolevaniya aorty i eye vetvey. Moscow: Meditsina; 1979. (In Russ).
- Pokrovskiy AV, Zotikov AE, Yudin VI. Nespetsificheskiy aortoarteriit (bolezn’ Takayasu). Moscow: Iris’; 2002. (In Russ).
- Hayashi T, Deguchi K, Nagotani S, et al. Cerebral ischemia and angiogenesis. Current Neurovascular Research. 2006;3(2):119–29. doi: 10.2174/156720206776875902
- Hardman RL, Lopera JE, Cardan RA, et al. Common and rare collateral pathways in aortoiliac occlusive disease: a pictorial assay. AJR. American Journal of Roentgenology. 2011;197(3):W519–24. doi: 10.2214/AJR.10.5896
- Sumitani T, Genda A, Kanaya H. Case of aortitis syndrome with collateral circulation from the coronary artery and right bronchial artery to the lung. Kokyu to Junkan. Respiration & Circulation. 1982;30(11):1167–72. (In Japan).
- Kaguraoka H, Itaoka T, Itou H, et al. A case of aortitis syndrome with anastomoses from left coronary artery to bronchial artery. Kokyu to Junkan. Respiration & Circulation. 1989;37(5):569–72. (In Japan).
- Uzunlar B, Karabulut A, Dogan Z, et al. Coronary-carotid artery collateral formation in Takayasu ’ s arteritis: First reported case in the literature. Journal of Cardiology Cases. 2014;9(4):151–3. doi: 10.1016/j.jccase.2013.12.010
- Masugata H, Yasuno M, Nishino M, et al. Takayasu's arteritis with collateral circulation from the right coronary artery to intracranial vessels ― a case report. Angiology. 1992;43(5):448–52. doi: 10.1177/000331979204300514
- Singhal G, Pathak V. Collaterals from Coronary Artery to Carotid and Subclavian Arteries IN Takayasu’s Arteritis: A Rarest Case Reporti. Angiology. 2015;3(3):1000154. doi: 10.4172/2329-9495.1000154
- Pokrovskiy AV. Klinicheskaya angiologiya. Moscow: Meditsina; 2004. (In Russ).
Supplementary files
 
				
			 
					 
						 
						 
									
 
  
  
  Email this article
			Email this article 



 Open Access
		                                Open Access Access granted
						Access granted Subscription or Fee Access
		                                							Subscription or Fee Access
		                                					






