Atypical Forms of Lower Limb Varicose Vein Disease: Features of Diagnosis and Surgical Treatment
- Authors: Shanayev I.N.1, Korbut V.S.2, Khashumov R.M.1,2
-
Affiliations:
- Ryazan State Medical University
- Regional Clinical Cardiology Dispensary
- Issue: Vol 31, No 4 (2023)
- Pages: 551-562
- Section: Original study
- Submitted: 03.05.2022
- Accepted: 29.08.2022
- Published: 22.11.2023
- URL: https://journals.eco-vector.com/pavlovj/article/view/107079
- DOI: https://doi.org/10.17816/PAVLOVJ107079
- ID: 107079
Cite item
Abstract
INTRODUCTION: Lower limb varicose vein disease (LLVVD) is the most common vascular disease with a predominant lesion of the main trunks of saphenous veins. At the same time, there exist atypical variants of lesion of the venous system in LLVVD, which cause difficulties in diagnosis and treatment.
AIM: To study the incidence rate, anatomical bases of the varicose transformation, the features of reflux formation and the results of surgical treatment in atypical forms of LLVVD.
MATERIALS AND METHODS: The study involved 600 patients with LLVVD, C2-C3 class of clinical manifestations in CEAP classification; 82 of them had atypical forms. The mean age of patients was 40.2 ± 9.2 years, duration of disease 15.0 ± 5.6 years. Duplex scanning of the lower limb venous system was conducted according to Russian recommendations for the diagnosis and treatment of chronic venous disorders of lower limbs of 2018. Patients with atypical forms of LLVVD additionally underwent computed tomography of the venous system with contrast. Surgical treatment of 50 patients with atypical forms of LLVVD included separation of the site of opening of a tributary in the area of saphenofemoral junction after preliminary marking and isolated elimination of varicose tributaries using Muller hooks; incompetent perforating veins were ligated at the epi- or subfascial levels depending on the location. The results were considered in the periods for up to two years.
RESULTS: According to our data, the incidence of atypical forms of LLVVD was 13.7%. Lesion of the large tributaries of the main saphenous veins accounted for the highest proportion of atypical forms of LLVVD — 68.3%. Of these, varicose transformation of the anterolateral tributary made 98.2%, and of the superficial iliac circumflex vein — 1.8%. Isolated varicose transformation of perforating veins occurred in 31.7% of cases, where transformation of perforating veins of the gluteal area made 7.7%, of perforating veins of the posterolateral surface of the thigh — 46.2%, and of perforating veins of the patella region — 46.2%. The technical success in the postoperative period in the form of elimination of varicose saphenous veins and of the source of their incompetence was achieved in 100% of cases.
CONCLUSIONS: The incidence of atypical forms of LLVVD is 13.7%, with the main trunks of saphenous veins remaining competent. The anatomical and hemodynamic basis for such forms of LLVVD is incompetence of the deep vein valves, from where the reflux is transmitted to tributaries of the saphenofemoral junction and/or perforating veins of the gluteal region, femoral region or popliteal fossa. Precise separation of varicose tributaries and perforating veins with preservation of the main trunks of subcutaneous veins is an organ-saving method of LLVVD treatment with a good effect in the follow-up period of up to two years.
Full Text
LIST OF ABBREVIATIONS
ASVAL — Ablation Selective des Varicessous Anesthesie Locale
DS — duplex scanning
GSV — great saphenous vein
LLVVD — lower limb varicose vein disease
PV — perforating vein
SFJ — saphenofemoral junction
SSV — short saphenous vein
INTRODUCTION
Lower limb varicose vein disease (LLVVD) is the most common disease of the venous system of lower limbs. According to numerous studies, LLVVD affects about a quarter of the population of developed countries of the world [1]. At the same time, despite a significant progress in the diagnosis and treatment of LLVVD that has been achieved in recent years, the percentage of patients grows annually. Thus, in Russia this increase ranges from 1.9% to 20% [2]. According to foreign literature, another 150,000 individuals are diagnosed with LLVVD every year [3]. This is largely due to better diagnosis and identification of the disease at earlier stages.
The main method of LLVVD treatment is surgical. The classic targets of this treatment are the elimination of refluxes in the superficial, perforating and deep veins [4]. Without disputing the classic guidelines, modern LLVVD surgery brings in some corrections: the use of minimally invasive, and, if possible, of organ-saving surgical methods [5], but this is associated with a high percent of postoperative recurrences, including trophic disorders, making more than 40% [6, 7]. In most cases, LLVVD involves the main trunks of the saphenous veins. V. S. Savelyev notes the existence of atypical forms of LLVVD, which include variants of varicose transformation of saphenous veins along the lateral surface of the lower limbs [8]. Varicose transformation around the popliteal fossa with a source of reflux in an atypical perforating vein (PV) is also referred to such forms of varicose veins by H. Kusagawa [9]. According to the literature, atypical varicose transformations of saphenous veins without lesion of the great or short saphenous veins are encountered in up to 33.8% of cases [10].
More than a hundred thousand interventions for LLVVD are performed annually in the world. However, when conducting surgical treatment, it should be remembered that any surgery must be physiologically justified, therefore, treatment of such forms of LLVVD requires an accurate determination of the source of reflux and of the anatomical basis for the lesion of each vein. And this is especially important in development of thrombophlebitis in patients with atypical forms of LLVVD [11].
The aim of this study the incidence, anatomical bases of the varicose transformation, features of reflux formation and results of surgical treatment of atypical forms of the lower limb varicose vein disease.
MATERIALS AND METHODS
The study (retrospective analysis) included 600 patients with LLVVD, CEAP class C2–C3, who were diagnosed and underwent surgical treatment in the vascular surgery department of Ryazan Regional Clinical Cardiology Dispensary. Eighty two (13.7%) patients had atypical localization of varicose-altered saphenous veins. The mean age of patients was 40.2 ± 9.2 years, duration of the disease — 15 ± 5.6 years. The study was approved by the local Ethics Committee of Pavlov Ryazan State Medical University (Protocol No. 14 of April 11, 2022).
Duplex scanning (DS) of the lower limb venous system was carried out according to Russian recommendations for the diagnosis and treatment of chronic venous disorders of lower limbs of 2018, with evaluation of the condition of the superficial, perforating and deep veins. Superficial and perforating veins were examined in standing position, deep veins — in supine position. Valsalva and Siegel functional tests were used. The study was conducted on Sonoscape S20 Pro (SonoScape, China), Esaote My Lab Alfa (Esaote, Italy) devices, with use of a linear probe (5–12 MHz) and convex probe (3–5 MHz).
Patients with atypical localization additionally under- went contrast computed-tomographic phlebography to exclude different forms of angiodysplasia and post-thrombotic disease. The examination was carried out on a 128-slice multispiral Hitachi Scenaria computer tomograph (Hitachi, Japan) which permitted to obtain 128 slices of 0.5 mm thickness during 0.35 sec corresponding to one rotation of an X-ray tube. A contrast substance (Ultravist 370®, Bayer, Germany) was introduced through a cubital catheter intravenously in bolus in the quantity of 100 ml at 3 ml/s speed using an automatic injector. The obtained images were analyzed on a Miryan workstation and in RadiAnt Dicom Viewer program (Mediant, Poland).
Surgical treatment of LLVVD with atypical localizations included disconnection of the tributary in the saphenofemoral junction (SFJ) after preliminary marking, and isolated removal of varicose-altered tributaries of the GSV with Muller hooks, with preservation of the main trunk; incompetent PVs were ligated at the epi- and subfascial levels depending on the localizations. The postoperative follow-up period was up to two years. The results were presented using descriptive statistics methods (n, %).
RESULTS
US examination of the lower limb venous system showed the highest proportion of varicose transformations in the GSV system — 67.2% (n = 403), and 9.2% of cases (n = 115) with varicose transformation in the SSV system.
In 13.7% of cases (n = 82), atypical forms of LLVVD were determined with competent GSV and SSV trunks and varicose transformation of saphenous veins in the area of popliteal fossa and along the lateral surface of the lower limb (Figure 1).
Fig. 1. Sources of reflux in atypical forms of the lower limb varicose vein disease.
Lesion of large tributaries of the main subcutaneous veins is prevalent in atypical forms of varicose veins — 68.3% (n = 56). Of these: varicose transformation of the anterolateral tributary made 98.2% (n = 55); varicose transformation through the superficial iliac circumflex vein — 1.8% (n = 1).
In all patients with isolated lesions of large tributaries of GSV, reflux was determined only in the common femoral vein, with no data on valvular insufficiency in other deep vein segments.
In case of involvement of the anterolateral tributary, reflux spread to it through the SFJ, and varicose-altered saphenous veins were localized along the anterolateral and lateral surfaces of the thigh and shin.
The most rare and difficult to diagnose was the variant of varicose transformation of saphenous veins along the lateral surface of the thigh and lower leg with the spread of reflux through the superficial iliac circumflex vein. This vein separates at a right or obtuse angle relative to the SFJ, therefore, in ultrasound diagnostics, its diameter at the level of the opening into the SFJ was not significantly expanded.
An isolated varicose transformation of the PVs was found in 31.7% of cases (26 patients): PV of the gluteal region — 7.7% (n = 2); PV of the posterolateral thigh surface — 46.2% (n = 12); PV of the popliteal area — 46.2% (n = 12). It is important to note that in case of isolated lesion of PVs, incompetent deep veins of the lower limbs were found in 92.3% of patients.
In ten patients with varicose transformation along the posterolateral surface of the thigh, incompetent deep femoral veins were identified, from where retrograde blood flow spread through the PV associated with it. With the localization of varicose veins in the popliteal fossa area, an atypical source of reflux as a PV was identified in 9.4% of cases. Incompetence of the popliteal vein was found in all the patients.
Fifty patients with atypical forms of LLVVD underwent surgical treatment, the types of surgical interventions are presented in Table 1.
Table 1. Surgical Interventions in Patients with Atypical Forms of Lower limb Varicose Vein Disease
Surgical Intervention | Localization of Varicose Saphenous Vein | ||||
Tributaries of Saphenofemoral Junction | Perforating Vein (Localization) | ||||
Anterolateral | Superficial Iliac Circumflex Vein | Gluteal Region | Posterolateral Surface of Thigh | Popliteal Region | |
Separation of tributary opening site under US control | 23 | 1 | – | – | – |
Miniphlebectomy of varicose veins | 23 | 1 | 2 | 12 | 12 |
Epifascial ligation | – | – | 2 | 12 | – |
Subfascial ligation | – | – | – | – | 12 |
Technical success in the postoperative period in the form of elimination of varicose veins and of a source of their incompetence was achieved in 100% of cases. No complications in the form of thrombophlebitis of the main trunks of saphenous veins were detected. In one patient with an incompetent PV of the popliteal region on the left lower limb, a disorder in the surface sensitivity of III, IV, V toes was noted on the first day after the operation, which was attributed to post-traumatic edema of the fibular nerve and spontaneously resolved by the time of removal of stitches on the 8th day. In the postoperative follow-up period of two years, no clinical signs of LLVVD recurrence were noted in any patient, and according to the DS data of the lower limbs veins, GSV and SSV remained competent in all patients.
DISCUSSION
The pathogenetic basis for the development of clinical manifestations and symptoms of LLVVD, and, consequently, the reason for surgical treatment, is valvular insufficiency of different segments of the lower limb venous system, therefore, a thorough diagnostic examination is of paramount importance. There are several views on formation of valvular insufficiency in LLVVD:
- Functional insufficiency of iliac vein valves is one of the causes of retrograde blood flow in deep veins, of its spread to SFJ or saphenopopliteal junction and further to the main trunks of the superficial veins with the development of varicose transformation of saphenous veins [12];
- The initial stages of LLVVD formation are associated with the expansion of individual skin branches of superficial veins, while the incompetence of larger veins develops much later. This was first suggested by I. A. Kostromov in 1956 during sectional studies. According to his data, varicose transformation first appears on the smallest saphenous veins, then on larger veins and communicant veins associated with them, and then directly on the main trunks of saphenous veins. The author explains this by the fact that: ‘the weaker and thinner walls of small superficial branches more easily surrender to adverse influences impairing the outflow of blood from the deep veins, than the stronger walls of large veins’. In addition, according to I. A. Kostromov, of importance is also the fact that the valvular apparatus is more numerous in deep veins than in superficial veins. During dissection, he describes small skin branches from one to two in quantity, associated with varicose-altered communicant veins, with the absence of varicose transformation in the main trunks of saphenous veins [13].
Interestingly, a number of contemporary foreign phlebologists support this point of view and even provide confirmations from the DS data of the lower limb veins [14]. The GSV is a superficial vein with the thickest and well defined wall. Besides, the GSV is protected by the split leaves of the superficial fascia, where it is located. Thus, it resists varicose transformation for a much longer period than other superficial and perforating veins. Besides, based on DS data, in 50% of cases the ostial valve remains competent with the presence of segmental reflux along the GSV.
This theory of the development of LLVVD gives two practical conclusions:
- In the absence of reflux in the GSV, early removal of all varicose tributaries determining the varicose reservoir, would be useful to prevent spread of reflux to the main trunk of the saphenous vein;
- In case of segmental reflux in the main saphenous veins, selective removal of varicose tributaries depending on the particular clinical and hemodynamic manifestations, would permit to hope for the preservation of the trunk of the main super-ficial veins.
The main argument in favor of this approach is the physiological role that GSV/SSV could play in venous return from the integumentary tissues of the lower limbs. An equally important advantage of sparing surgery is the preservation of the accessibility of GSV/SSV as the material for revascularization. In addition, there are reports in the literature about the negative effect of GSV resection on the progression of chronic venous insufficiency. Therefore, this theory became the foundation for the technique of isolated surgical removal of saphenous veins, with retention of the main trunks of superficial veins, which was termed ASVAL (French: Ablation Selective des Varicessous Anesthesie Local, selective removal of varicose veins under local anesthesia) [15].
In the course of this study, in patients with atypical forms of LLVVD and varicose transformation along the lateral surfaces of the lower limbs, reflux spread to the SFJ and further to the saphenous veins through the anterolateral tributary or the superficial iliac circumflex vein. The GSV trunk it self remained competent. In modern literature, it is believed that the cause of varicose alterations of veins on the outer surfaces of lower limbs is the weakness of the venous wall and valves as a result of anomalies in the development of the venous system [8]. Therefore, an isolated phlebectomy of these veins with a preliminary disconnection of the inflow site in the SPJ area is quite justified, taking into account the current trends in the surgical treatment of LLVVD.
A. A. Malinin (2014) believes that preservation of competence of the GSV valve is possible through the surgical disconnection of the varicose tributary, and the treatment of patients with such forms of LLVVD does not need phlebectomy of the main trunks of the superficial veins [16].
This is confirmed by the data of our study, where 100% good cosmetic result and the competent GSV trunk were achieved for two postoperative years, due to a thorough identification of the source of varicose transformation of saphenous veins and their preoperative marking.
Atypical LLVVD forms with a source of reflux in the PV of different localizations, were encountered in a third of the observations. PVs associated with atypical anatomic variants of the tibial vein, were not found in the study [17]. The varicose veins were mainly localized on the posterolateral thigh surface and posterior surface of the knee joint area, which agrees with domestic and foreign literature data [8, 9].
It is known that the effectiveness of treatment of atypical forms of LLVVD depends on the method used [17]. Thus, sclerosing of PVs is ineffective in more than half of cases, especially if a PV diameter is more than 5 mm, therefore, all patients in this study underwent open surgery to eliminate horizontal reflux [18]. For PV localized in the gluteal region, the regions of the thigh and lower leg, because of the dense fascial-muscular environment at the subfascial level, to reduce tissue injury, the method of epifascial ligation and resection of PV was chosen, and for PV of the popliteal region, the subfascial ligation was used. It is noteworthy that in the presence of a PV in the region of the popliteal fossa, the SSV does not form a typical saphenopopliteal junction, but advances to the posterior thigh region. In the surgical wound, a PV of the popliteal region is located laterally to the median line at the epifascial level, and opens into the popliteal vein from the lateral side at the subfascial level. Another important point is the existence of an arterial branch passing beside a PV at the subfascial level, as well as beside PVs of other localizations [19].
It is important to emphasize that the deep vein valvular inconsistency leads these patients not only to the atypical form of LLVVD, but also affects deep veins of the lower limbs, which worsens the prognosis for postoperative recurrences and requires regular intake of phlebotonics and the use of elastic compression.
Case report No. 1
Female patient Z., 35 years old. Diagnosis: The right lower limb varicose vein disease, CEAP class C2. The disease had been present for about 10 years and was associated by the patient with pregnancy and childbirth. No edema. The volume of the right lower leg was similar to that of the left lower leg (Figure 2).
Fig. 2. Female patient Z., 35 years old. Diagnosis: The right lower limb varicose vein disease, CEAP class C2.
Notes: a black arrow — a varicose anterolateral tributary, a white arrow — the great saphenous vein orifice.
DS of the lower limb veins: deep veins patent, full compression, moderate insufficiency of the common femoral vein valves, other segments of deep veins competent. The SFJ receives the competent GSV and the varicose incompetent anterolateral tributary. SSV patent, competent (Figure 3).
Fig. 3. Female patient Z., 35 years old. US scan of vessels of the saphenofemoral junction at the time of Valsalva test.
Notes: 1 — varicose anterolateral tributary, 2 — great saphenous vein, 3 — common femoral vein, 4 — common femoral artery, 5 — saphenofemoral junction.
CT-phlebography: deep and superficial veins uniformly, homogenously contrasted along the entire length. Varicose transformation of the saphenous vein along the lateral thigh surface. GSV, SSV without changes.
Surgery: Resection of the anterolateral tributary, miniphlebectomy of varicose saphenous veins on the thigh and lower leg. Operation report: In supine position, a varicose anterolateral tributary was isolated by a sub-inguinal access. At the site of inflow in the SFJ area, the tributary was resected, sutured, ligated. Varicose saphenous veins on the thigh and lower leg were removed using Muller hooks. Layer-by-layer suture of the postoperative wound. Treatment of the postoperative wound with iodine, application of an aseptic dressing. The postoperative period without complications. Stitches removed on the 8th day.
On a follow-up examination two years later: the patient notes a good cosmetic result of surgery. On DS, the GSV is patent, competent (Figure 4).
Fig. 4. Female patient Z., 35 years old. Control ultrasound scan of the vessels of saphenofemoral junction region in two years after the surgical intervention: a — color Doppler imaging mode; b — spectral Doppler mode.
Notes: 1 — common femoral vein, 2 — saphenofemoral junction, 3 — great saphenous vein.
Case report No. 2
Patient A., 45 years old. Diagnosis: The left lower limb varicose vein disease, CEAP class C2. The disease had been present for about 10 years and was associated by the patients with physical labor. No edema. The volume of the right lower leg corresponds to that of the left lower leg (Figure 5).
Fig. 4. Female patient Z., 35 years old. Control ultrasound scan of the vessels of saphenofemoral junction region in two years after the surgical intervention: a — color Doppler imaging mode; b — spectral Doppler mode.
DS of the lower limb veins: deep veins patent, full compression, moderate insufficiency of the valves of the common femoral vein, of the deep femoral vein; other segments of deep veins competent. GSV, SSV patent, competent. An incompetent PV along the left thigh posterolateral surface, associated with the deep femoral vein.
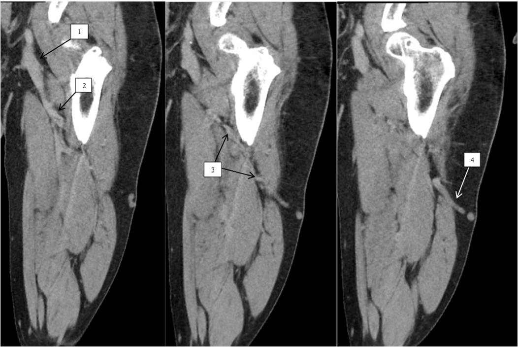
CT-phlebography: deep and superficial veins uniformly, homogenously contrasted along the entire length. Along the posterolateral thigh surface, varicose transformation of saphenous veins associated through the PV with the deep femoral vein (Figures 6, 7).
Fig. 6. Patient A., 45 years old. Computer phlebogram, 3-D reconstruction mode. Varicose saphenous veins along the posterolateral surface of the thigh and lateral surface of the shin
Fig. 7. Patient A., 45 years old. Computer phlebogram, multiplanar reconstruction mode.
Notes: 1 — common femoral vein, 2 — deep femoral vein, 3 — perforating vein associated with varicose veins, 4 — varicose saphenous veins.
Surgery: Resection and ligation of incompetent PV of thigh, miniphlebectomy of varicose saphenous veins on the thigh. Operation report: in the ventricumbent position, on the boundary between the upper and middle thirds of the lateral thigh surface, a site of perforation of the deep thigh fascia by an incompetent PV was isolated on the left. The PV was resected, sutured, ligated. Its varicose tributaries on the thigh were removed using Muller hooks. Layer-by-layer suture of the postoperative wound. Treatment of the wound with iodine, application of aseptic bandage. The postoperative period without complications. Stitches removed on the 8th day.
On a follow-up examination two years later, no varicose veins on the posterolateral surface of the thigh were found.
CONCLUSIONS
- In our observation, the incidence of atypical forms of varicose vein disease was 13.7%, the main trunks of saphenous veins remained patent.
- Anatomical and hemodynamic basis for such forms of varicose vein disease is incompetence of the deep vein valves, from where the reflux is transmitted to the tributaries of the saphenofemoral junction and/or perforating veins of the gluteal area, areas of thigh and popliteal fossa.
- Based on the data obtained by us, accurate disconnection of varicose tributaries and perforating veins with preservation of the main trunks of saphenous veins in terms of the organ-saving concept of varicose vein treatment showed a good effect during the follow-up period of up to 2 years.
ADDITIONALLY
Funding. The authors declare that there is no funding for the study.
Conflict of interests. The authors declare no conflicts of interests.
Patient сonsent. The article uses the patient's clinical data in accordance with the informed consent signed by them.
Contribution of the authors: I. N. Shanayev, V. S. Korbut, R. M. Kha- shumov — collecting material, writing the text, editing, selection of literature. All authors made a substantial contribution to the conception of the work, acquisition, analysis, interpretation of data for the work, drafting and revising the work, final approval of the version to be published and agree to be accountable for all aspects of the work.
Финансирование. Авторы заявляют об отсутствии внешнего финансирования при проведении исследования.
Конфликт интересов. Авторы заявляют об отсутствии конфликта интересов.
Согласие на публикацию. В статье использованы обезличенные клинические данные пациентов в соответствии с подписанными ими добровольным информированным согласием.
Вклад авторов: Шанаев И. Н., Корбут В. С., Хашумов Р. М. — сбор материала, написание текста, редактирование, подбор литературы. Все авторы подтверждают соответствие своего авторства международнымкритериям ICMJE (все авторы внесли существенный вклад в разработку концепции, проведение исследования и подготовку статьи, прочли и одобрили финальную версию перед публикацией).
About the authors
Ivan N. Shanayev
Ryazan State Medical University
Author for correspondence.
Email: c350@yandex.ru
ORCID iD: 0000-0002-8967-3978
SPIN-code: 5524-6524
MD, Dr. Sci. (Med.)
Russian Federation, RyazanViktor S. Korbut
Regional Clinical Cardiology Dispensary
Email: viktorkorbut21@gmail.com
ORCID iD: 0000-0001-5478-1111
SPIN-code: 9440-3048
MD
Russian Federation, RyazanRuslan M. Khashumov
Ryazan State Medical University; Regional Clinical Cardiology Dispensary
Email: kardiokt@yandex.ru
ORCID iD: 0000-0002-9900-0363
SPIN-code: 8495-9819
MD, Head radiology Department
Russian Federation, Ryazan; RyazanReferences
- Mena C, Jayasuriya S. Peripheral Vascular Disease: A Clinical Approach. Baltimore: Lippincott Williams & Wilkins; 2019.
- Kuzmin YuV, Zhidkov SA, Zhidkov AS, et al. Epidemiology of hospitalized varicose disease in megapolis. Voyennaya Meditsina. 2022;(1):29–34. (In Russ). doi: 10.51922/2074-5044.2022.1.29
- Soliev OF, Sultanov DD, Kurbanov SP, et al. Significant aspects of epidemiology, risk factors and treatment of varicose veins. Avicenna Bulletin. 2020;22(2):320–8. (In Russ). doi: 10.25005/2074-0581-2020-22-2-320-328
- Chernykh KP, Kubachev KG, Semenov AYu, et al. Treatment of patients with lower limb varicose veins disease. Khirurgiya. Zhurnal im. N.I. Pirogova. 2019;5(1):88–93. (In Russ). doi: 10.17116/hirurgia201905188
- Shevchenko YuL, Stojko YuM, Gudymovich VG, et al. Formation and development of national phlebology: retrospective analysis and looking forward to the future. Bulletin of Pirogov National Medical & Surgical Center. 2018;13(1):3–7. (In Russ).
- Kalinin RE, Suchkov IA, Shanayev IN, et al. Klapannaya nedostatochnost’ pri varikoznoy bolezni ven nizhnikh konechnostey. Moscow: GEOTAR-Media; 2017. (In Russ).
- Kalinin RE, Suchkov IA, Shanaev IN. Errors in crural perforant veins ligation. Khirurgiya. Zhurnal im. N.I. Pirogova. 2016;(7):45–8. (In Russ). doi: 10.17116/hirurgia2016745-48
- Shevchenko YuL, Stoyko YuM, editors. Osnovy klinicheskoy flebologii. 2nd ed. Moscow: Shiko; 2013. (In Russ).
- Kusagawa H. Surgery for Varicose Veins Caused by Atypical Incom-petent Perforating Veins. Ann Vasc Dis. 2019;12(4):443–8. doi: 10.3400/avd.oa.19-00083
- Kachare M, Jaisinghani P, Kulkarni S. Evaluation of anomalies of major veins of the superficial venous system of lower limb in adults on color doppler: An observational study. Phlebology. 2022;37(9):662–9. doi: 10.1177/02683555221114545
- Stoyko YuM, Kirienko AI, Ilyukhin EA, et al Diagnosis and Treatment of Superficial Trombophlebitis. Guidelines of the Russian Association of Phlebologists. Flebologiya. 2019;13(2):78–97. (In Russ). doi: 10.17116/flebo20191302178
- Shanaev IN. Modern views on the development of varicose and post-thrombotic diseases. Kuban Scientific Medical Bulletin. 2020;27(1):105–25. (In Russ). doi: 10.25207/1608-6228-2020-27-1-105-125
- Kostromov IA. Communicating veins of the lower extremities and their role in pathogenesis of primary varicosis. Flebologiya. 2010;4(3):74–6. (In Russ).
- Zamboni P, Mendoza E, Gianesini S, editors. Saphenous Vein-Sparing Strategies in Chronic Venous Disease. Springer Cham; 2018. doi: 10.1007/978-3-319-70638-2
- Mirakhmedova SA, Seliverstov EI, Zakharova EA, et al. 5-Year Results of ASVAL Procedure in Patients with Primary Varicose Veins. Flebologiya. 2020;14(2):107–12. (In Russ). doi: 10.17116/flebo202014021107
- Malinin AA, Pryadko SI, Dyurzhanov AA, et al. Effektivnost’ razlichnykh metodov lecheniya izolirovannogo varikoznogo rasshireniya ven v aspekte sberegatel’noy khirurgii. Flebologiya. 2014;8(2–2):T45–6. (In Russ).
- Kalinin RE, Suchkov IA, Klimentova EA, et al. Investigation of vessels of leg in atypical anatomy of tibial vessels using duplex ultrasound angiography. Nauka Molodykh (Eruditio Juvenium). 2021;9(2):235–43. (In Russ). doi: 10.23888/HMJ202192235-243
- Dibirov MD, Shimanko AI, Volkov AS. Skleroterapiya v lechenii khronicheskikh zabolevaniy ven. Moscow: Olimp-Biznes; 2020. (In Russ).
- Shval'b PG, Kalinin RE, Shanaev IN, et al. Specific Topographical and Anatomical Features of Perforating Veins of the Lower Leg. Flebologiya. 2015;9(2):18–26. (In Russ). doi: 10.17116/flebo20159218-24
- Nebylitsyn YS, Nazaruk AA. Phlebology: Present and Future. I. P. Pavlov Russian Medical Biological Herald. 2017;25(1):133–48. (In Russ). doi: 10.23888/PAVLOVJ20171133-148
Supplementary files












