Морфологические, гемостазиологические и гемостатические аспекты системного применения экзогенного фибрин-мономера в модели с посттравматическим кровотечением на фоне приема варфарина
- Авторы: Вдовин В.М.1, Шахматов И.И.1, Бобров И.П.1, Орехов Д.А.2, Теряев В.В.1, Чернусь В.Е.1, Момот А.П.1,3
-
Учреждения:
- Алтайский государственный медицинский университет
- Алтайский краевой кардиологический диспансер
- Алтайский филиал Национального медицинского исследовательского центра гематологии
- Выпуск: Том 31, № 1 (2023)
- Страницы: 5-18
- Раздел: Оригинальные исследования
- Статья получена: 22.06.2022
- Статья одобрена: 29.08.2022
- Статья опубликована: 03.04.2023
- URL: https://journals.eco-vector.com/pavlovj/article/view/108736
- DOI: https://doi.org/10.17816/PAVLOVJ108736
- ID: 108736
Цитировать
Аннотация
Введение. Ранее нами была установлена способность экзогенно введенного фибрин-мономера (ФМ) в низкой дозе значительно ограничивать посттравматическую кровопотерю на экспериментальной модели варфариновой коагулопатии «in vivo». При этом морфологические особенности прираневого фибринообразования не были рассмотрены.
Цель. Сравнить морфологические, гемостазиологические и гемостатические данные по итогам системного применения экзогенного ФМ для интерпретации его эффектов в модели с посттравматическим кровотечением на фоне приема варфарина.
Материалы и методы. В работе использовались кролики-самцы породы Шиншилла. Проведен сравнительный анализ гемостазиологических эффектов и морфологической картины прираневой поверхности печени после дозированной травмы при предварительном системном введении ФМ (0,25 мг/кг внутривенно) или концентрата факторов протромбинового комплекса (40 МЕ/кг внутривенно) на фоне приема животными варфарина (0,4–0,5 мг/кг/сут per os в течение 2-х недель).
Результаты. Введение извне ФМ у варфаринизированных животных в условиях дозированной экспериментальной травмы печени способствовало гемостатическому эффекту, сравнимому с действием концентрата факторов протромбинового комплекса. Оба гемостатических препарата приводили к интенсивному фибриноообразованию, способствующему уменьшению посттравматической кровопотери. В случае применения ФМ отмечалось локализованное в раневой поверхности увеличение толщины тромботических отложений и фибриновых нитей в сравнении с плацебо в 4,0 раза и в 1,6 раза соответственно (р < 0,000001). В этот процесс активно вовлекались тромбоциты, что приводило к снижению их количества в просвете прираневых сосудов в 1,7 раза (р < 0,0002). Не было выявлено какого-либо действия со стороны ФМ на системные гемостатические реакции в венозной крови в отличие от концентрата факторов протромбинового комплекса.
Заключение. Введенный извне ФМ способен оказывать локальное гемостатическое действие в условиях дозированной экспериментальной травмы и коагулопатии, вызванной приемом варфарина. Гемостатическое действие было опосредовано интенсивным тромбообразованием на раневой поверхности печени с активным вовлечением тромбоцитов в процесс. Особенности продемонстрированных эффектов ФМ могут быть опосредованными через пока еще не установленные механизмы действия ФМ, что определяет необходимость в продолжении исследований в данном направлении.
Полный текст
СПИСОК СОКРАЩЕНИЙ
в/в — внутривенно
КФПК — концентрат факторов протромбинового комплекса
МНО — международное нормализованное отношение
н.р. — нет регистрации
ОКГ — оранжевый Ж, кислотный красный 2С, водный голубой
ОЦК — объем циркулирующей крови
п.з. — поле зрения
ФМ — фибрин-мономер
А10 — амплитуда сгустка через 10 минут
CT — сoagulation time (время начала коагуляции)
CFT — сlot formation time (время формирования сгустка)
ETP — endogenous thrombin potential (эндогенный тромбиновый потенциал)
F — fibrin (фибрин)
MCF — мaximum clot firmness (максимальная плотность сгустка)
Plt — platelets (тромбоциты)
ttPeak — time to peak (время достижения пиковой концентрации тромбина)
Vthrombin — velocity thrombin (скорость образования тромбина)
ВВЕДЕНИЕ
Изучением гемостаза как целостной, многокомпонентной и саморегулирующейся системы занимаются исследователи во всех странах мира. Опубликованные в последние годы работы показывают, что механизмы регуляции данной системы еще недостаточно полно раскрыты. Об этом свидетельствуют положения современной теории клеточной модели гемокоагуляции [1–3], а также новые представления об особенностях пространственного тромбино- и фибриногенеза в условиях in vitro [4]. Эти обстоятельства создают предпосылки для продолжения проведения исследований с целью изучения механизмов гемостатических реакций в условиях in vivo, что может способствовать в дальнейшем разработкам новых эффективных и безопасных гемостатических препаратов.
На протяжении многих лет в классической схеме каскадного процесса образования фибрина А. А. Шмидта и П. О. Моравица молекула фибрин-мономера (ФМ) как продукт протеолитического действия тромбина на фибриноген представлялась лишь субстратом для образования полимерных нитей фибрина [5, 6]. Анализируя данные современных исследований и классические представления о механизмах гемостатических реакций, нами была выдвинута гипотеза, предполагающая наличие у ФМ регуляторного действия на процессы внутрисосудистого тромбообразования. Это предположение было достаточно убедительно подтверждено в нескольких экспериментах на моделях in vivo, выполненных нашим научным коллективом. Так, было установлено, что внутривенное введение данного препарата в дозе 0,25 мг/кг без влияния на гемостазиологические показатели способствует минимизации посттравматической кровопотери (при дозированной травме печени) в различных моделях гипокоагуляции на фоне применения антитромботических препаратов, таких как гепарин [7], дабигатрана этексилат [8], или при подавлении функции тромбоцитов [9]. Стоит отметить, что используемая доза экзогенного ФМ после разведения в системном кровотоке становится соизмеримой с его физиологическим содержанием в плазме крови у практически здоровых людей и составляет не более 7,8 мкг/мл [10]. Поэтому мы не склонны объяснять кровоостанавливающие эффекты ФМ при использовании данной дозы нелокализованным повышением системной гемостатической активности.
Тем не менее исследование морфологической картины раневой поверхности после введения ФМ животным, получившим гепарин или антиагреганты, показало усиленное локальное фибринообразование, предопределяющее снижение кровопотери [7, 9].
Анализ гемостатических свойств ФМ при варфарин- обусловленной коагулопатии нами был проведен ранее [11]. Полученные данные свидетельствовали, что ФМ наряду с препаратом сравнения — концентратом факторов протромбинового комплекса (КФПК) — не уступал последнему по снижению интенсивности кровопотери. Однако морфологические аспекты прираневого фибринообразования на данной модели представлены не были.
Цель ― сравнить морфологические, гемостазиологические и гемостатические данные по итогам системного применения экзогенного фибрин-мономера для интерпретации его эффектов в модели с посттравматическим кровотечением на фоне приема варфарина.
МАТЕРИАЛЫ И МЕТОДЫ
На базе Алтайского государственного медицинского университета проведено исследование на кроликах- самцах (n = 64) породы Шиншилла массой 3,0–4,5 кг. Работа одобрена Локальным этическим комитетом Алтайского государственного медицинского университета (протокол № 12 от 12.11.2015). При проведении экспериментов на животных выполнялись требования Директивы Европейского парламента и Совета Европейского Союза 2010/63/ЕС о защите животных, использующихся для научных целей (от 22 сентября 2010 г.), Европейской конвенции о защите позвоночных животных, используемых для экспериментов или в иных научных целях (от 18 марта 1986 г.), а также Хельсинской декларации и «Правил проведения работ с использованием экспериментальных животных».
Методом блочной рандомизации из всех животных были сформированы 4 группы:
Группа №1 (n = 21): животным внутривенно (в/в, в краевую вену уха) вводили 0,5 мл раствора плацебо (представлен раствором мочевины (3,75 М), сопоставимым с ее концентрацией в препарате ФМ). По истечении одного часа под общей анестезией выполняли срединную лапаротомию и наносили стандартную травму печени для оценки объема и темпа кровопотери, а также раневого фибринообразования в соответствии с установленной методикой [12]. Для обезболивания животным вводили в/в препарат Телазол® в дозе 10 мг/кг (Зоэтис, Россия).
Группы № 2 (n = 13), № 3 (n = 14) и № 4 (n = 16): животным предварительно в течение 14 дней ежедневно per os вводили водный раствор варфарина в дозе 0,4–0,5 мг/кг (Никомед, Дания). Животные, у которых значение международного нормализованного отношения (МНО) достигло ≥ 2,0, в последующем использовались в эксперименте. Далее этим животным осуществляли в/в введение раствора плацебо в объеме 0,5 мл, раствора КФПК (Протромплекс 600®, Бакстер, Австрия) в дозе 40 МЕ/кг или раствора ФМ (Технология-Стандарт, Россия; Патент РФ № 2522237 от 10.07.2014) в дозе 0,25 мг/кг. Через 60 минут после в/в введения плацебо или системного гемостатика выполняли стандартную травму печени [12] под общей анестезией препаратом Телазол® (Зоэтис, Россия).
Оценка системы гемостаза проводилась в венозной крови, полученной из краевой вены уха при флеботомии. Забор крови осуществляли перед в/в введением препаратов (гемостатического средства или плацебо), а также непосредственно перед обезболиванием до моделирования раневого кровотечения. Полученную таким образом венозную кровь для подсчета числа тромбоцитов стабилизировали путем её помещения в пробирки с калиевой солью этилендиаминтетрауксусной кислоты (AQUISEL® K3Е/EDTA 3K, Aquisel S. L., Испания). В полученных образцах проводили автоматизированный подсчёт количества тромбоцитов с применением гематологического анализатора Drew-3 (Drew Scientific Inc., Великобритания-США). Для изучения других параметров гемостаза применяли в качестве стабилизатора крови 0,11 М (3,8%) раствор цитрата натрия (соотношение 9:1). Из таких образцов по общепринятой методике получали бедную тромбоцитами плазму. В ней определяли МНО и концентрацию фибриногена по Клаусс на полуавтоматическом коагулометре Thrombostat 2 (Behnk Electronik, Германия) с применением соответствующего набора реагентов (Технология-Стандарт, Россия). Кроме того, на анализаторе-рефлектометре оценивался уровень D-димера с использованием тест-системы NycoCard® D-Dimer (Axis-Shield PoC AS, Норвегия). Стабилизированную цельную цитратную кровь также использовали для проведения тромбоэластометрии на тромбоэластометре ROTEM® Gamma (Pentapharm GmbH, Германия) в режиме Natem с использованием реагента «Startem».
Оценивали стандартные показатели тромбоэластограммы:
- время начала коагуляции (англ.: сoagulation time, CT);
- время формирования сгустка (англ.: сlot formation time, CFT);
- амплитуда сгустка (угол α);
- максимальная плотность сгустка (англ.: мaximum clot firmness, MCF);
- амплитуда сгустка через 10 мин (А10).
В бедной тромбоцитами плазме крови оценивали генерацию тромбина методом калиброванной автоматизированной тромбографии по Н. С. Hemker (2003). Исследование проводилось на планшетном флюориметре Fluoroskan Ascent с программным обеспечением Thrombinoscope® 3.0.0.26 (ThermoFisher SCIENTIFIC, Финляндия) с реагентами Thrombinoscope® (PPP-Reagent, Thrombin Calibrator, FluCa-Kit; Нидерланды).
Учитывались следующие показатели:
- время инициации образования тромбина (англ.: Lagtime);
- эндогенный тромбиновый потенциал (англ.: endogenous thrombin potential, ETP);
- пиковая концентрация тромбина (англ.: Peak thrombin);
- время достижения пиковой концентрации тромбина (англ.: time to peak, ttPeak);
- скорость образования тромбина (англ.: Vthrombin) [13].
Для гистологического исследования у животных забиралась ткань печени, включая раневую часть и фрагмент неповрежденной поверхности с последующей фиксацией в 10% растворе нейтрального формалина по Лилли. Получение биоматериала производили сразу после спонтанной остановки кровотечения. В случаях, когда наблюдалась гибель животного на фоне продолжающегося кровотечения, забор биоматериала проводили непосредственно после остановки сердечно-легочной деятельности. Проводку материала осуществляли по изопропиловому спирту с помощью автомата проводки карусельного типа (модель TISSUE-TEK VI PTM6, Sakkura, Япония), парафинизацию выполняли на станции парафиновой заливки (модель TISSUE-TEK TEC 5, Sakkura, Япония). На полуавтоматическом роторном микротоме (модель Accu-Cut SRM, Sakkura, Япония) получали гистологические срезы толщиной 4-5 мкм с последующей окраской гематоксилином и эозином в приборе для автоматической окраски микропрепаратов (модель TISSUE-TEK Prisma, Sakkura, Япония). Далее их переносили под пленку в прибор для автоматического заключения микропрепаратов (модель TISSUE-TEK Film, Sakkura, Япония). Микроскопическая структура фибриновых отложений в микропрепаратах изучалась после предварительной окраски срезов методом «оранжевый Ж, кислотный красный 2С и водный голубой» (ОКГ) по Д. Д. Зербино и Л. Л. Лукасевич [14]. Для этих целей были использованы реагенты для выявления возраста фибрина (ООО БВС, Россия).
В крупных сосудах венозного или артериального типа в окрашенных микропрепаратах проводили оценку числа тромбоцитов, учитывая пять полей зрения, под масляной иммерсией микроскопа (увеличение × 1000). Далее проводили расчет среднего числа этих клеток. Для получения микрофотографий использовали микроскоп Leica DM 750 E200 с цифровой видеокамерой Leica EC3 (Leica Microsystems CMS GmbH, Германия). Полученные изображения анализировали, используя программное обеспечение Image Tool. 3.0.
Животным выполнялась эвтаназия после прекращения кровотечения из раны путем введения анестетика в летальной дозе (в 3–4 раза превышающей терапевтическую) либо в момент остановки сердечно-легочной деятельности вне зависимости от продолжающегося кровотечения.
Статистический анализ результатов был выполнен на базе программы MedCalc Version 17.9.7 (лицензионный номер: BU556-Р12YT-BBS55-YAH5M-UBE51). Значимость различий между показателями оценивалась U-критерием Манна–Уитни или W-критерием Вилкоксона. Различия считали статистически значимыми при p < 0,05. Распределение величин представлено в виде медианы (Ме) с указанием 25-го и 75-го перцентилей (Q25–Q75).
РЕЗУЛЬТАТЫ
В опубликованной ранее работе мы продемонстрировали структурные изменения в гистологических микропрепаратах ткани печени в области травмы у интактных животных при введении разных доз экзогенного ФМ [15]. В настоящей статье мы частично воспроизводим эти данные в качестве отправной точки для анализа морфологической картины у животных, полученной на фоне антикоагулянтной терапии, в т. ч. при использовании гемостатических средств системного действия.
Морфологические данные
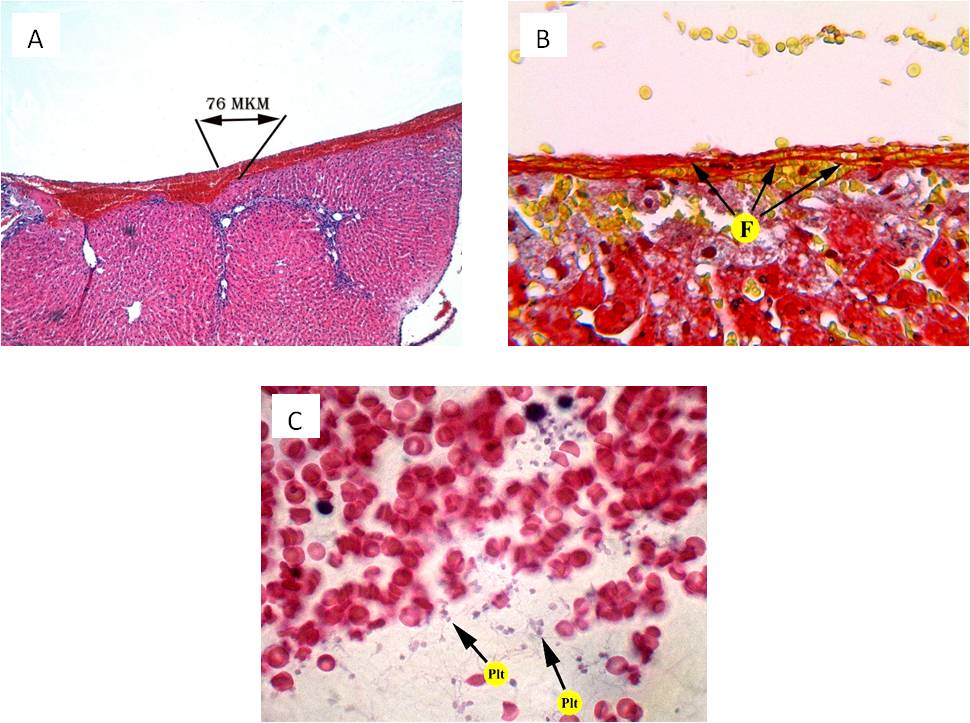
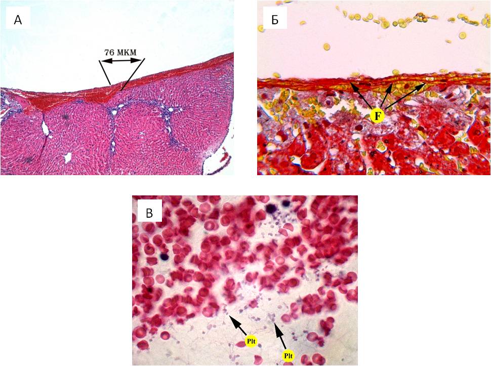
В группе плацебо (группа № 1) в области операционной раны определялись тромботические отложения в виде тонких, гладких, блестящих масс розоватого цвета (рис. 1А), толщиной около 66 мкм (табл. 1). Эти образования состояли, главным образом, из фибрина в виде тонких, редко анастомозирующих между собой волокон (рис. 1Б). Фибриновые нити были преимущественно ориентированы вдоль раневой поверхности. Между ними обнаруживались неизмененные эритроциты. Используя критерии, изложенные в работе Д. Д. Зербино и Л. Л. Лукасевич [14], можно отнести тромботические массы на раневой поверхности у животных группы № 1, а также в других наблюдаемых группах (№ 2–4) к тромбам смешанного типа (фибрино-эритроцитарным). Отметим также, что в просвете крупных прираневых сосудов насчитывалось порядка 73 тромбоцитов в поле зрения (рис. 1В).
Рис. 1. Морфологические изменения в области раны печени после спонтанной остановки кровотечения на примере кролика из группы плацебо: А — тромботические массы, окрашивание гематоксилином и эозином, увеличение × 100; Б — фибриновые нити (обозначены стрелками) в тромботических массах, окрашивание на фибрин по ОКГ, увеличение × 400; В — просвет крупных сосудов в области раны, содержащих тромбоциты (обозначены стрелками), окрашивание гематоксилином и эозином, увеличение × 1000.
Примечание: ОКГ — оранжевый Ж, кислотный красный 2С, водный голубой, F — англ.: fibrin (фибрин), Plt — англ.: platelets (тромбоциты).
Таблица 1. Морфометрические характеристики гистологических микропрепаратов раны печени
Параметры | Группа № 1 (после введения плацебо) | Группа № 2 (после введения варфарина и плацебо) | Группа № 3 (после введения варфарина и КФПК) | Группа № 4 (после введения варфарина и ФМ) |
n | 21 | 13 | 14 | 16 |
Толщина тромботических масс, мкм | р1-2 < 0,000001; ∆ × 2,6 | р1-3 = 0,040; ∆ × 1,2; р2-3 < 0,000001; ∆ × 3,1 | р1-4 = 0,002; ∆ × 1,5; р2-4 < 0,000001; ∆ × 4,0; р3-4 = 0,012; ∆ × 1,3 | |
Толщина нитей фибрина, мкм | р1-2 = 0,005; ∆ × 3,1 | р1-3 = 0,005; ∆ × 6,7; р2-3 = 0,00001; ∆ × 2,2 | р1-4 = 0,005; ∆ × 4,9; р2-4 = 0,00001; ∆ × 1,6; р3-4 = 0,151 | |
Количество тромбоцитов, шт./п.з. | р1-2 = 0,836 | р1-3 = 0,026; ∆ × 1,3; р2-3 = 0,005; ∆ × 1,4 | р1-4 = 0,002; ∆ × 1,5; р2-4 = 0,0002; ∆ × 1,7; р3-4 = 0,199 |
Примечания: КФПК — концентрат факторов протромбинового комплекса, п.з. — поле зрения, ФМ — фибрин-мономер, Δ — разница сравниваемых показателей
У варфаринизированных животных после введения плацебо (группа № 2) на раневой поверхности определялись менее выраженные (в 2,6 раза по сравнению с группой № 1), небольшой толщины (Me = 25 мкм), розовые, гладкие, тромботические отложения (рис. 2А, табл. 1). Последние состояли из относительно тонких, розовых фибриновых волокон (рис. 2Б), ориентированных преимущественно вдоль раневой поверхности. Анастомозы между ними, как и в группе № 1, встречались редко. Было также отмечено увеличение толщины волокон фибрина в 3,1 раза в сравнении с группой № 1. Кроме того, в тромботических массах найдено включение небольшого количества неизмененных эритроцитов. При этом число тромбоцитов при их подсчете в просвете крупных прираневых сосудов (рис. 2В) не отличалось от группы № 1.
Рис. 2. Морфологические изменения в области раны печени после спонтанной остановки кровотечения на примере кролика из группы варфарина в сочетании с плацебо: А — тромботические массы, окрашивание гематоксилином и эозином, увеличение × 100; Б — фибриновые нити (обозначены стрелками) в тромботических массах, окрашивание на фибрин по ОКГ, увеличение × 400; В — просвет крупных сосудов в области раны, содержащих тромбоциты (обозначены стрелками), окрашивание гематоксилином и эозином, увеличение × 1000.
Примечания: ОКГ — оранжевый Ж, кислотный красный 2С, водный голубой, F — англ.: fibrin (фибрин), Plt — англ.: platelets (тромбоциты).
В случае применения вместо плацебо КФПК (группа № 3) толщина тромботических отложений оказалась в 1,2 раза больше (рис. 3А), чем в группе № 1 и в 3,1 раза — чем в группе № 2 (табл. 1) и составила по данному показателю около 79 мкм. Тромботические массы отличались буроватым оттенком и имели бугристую поверхность. В них содержалось большое количество преимущественно гемолизированных эритроцитов и «толстых» тяжей фибрина (показаны стрелками на рис. 3Б). Эти образования, как правило, проходили параллельно раневой поверхности печени, содержали утолщения по своему ходу и формировали анастомозы между собой. Отметим, что толщина нитей фибрина в группе № 3 была максимальной и превышала аналогичный показатель в группе № 1 и № 2 в 6,7 и 2,2 раза соответственно. Наряду с увеличением толщины тромботических масс и нитей фибрина в просветах крупных сосудов отмечалось уменьшение количества тромбоцитов (показаны стрелками на рис. 3В) в сравнении с группой № 1 в 1,3 раза, а с группой № 2 — в 1,4 раза.
Рис. 3. Морфологические изменения в области раны печени после спонтанной остановки кровотечения на примере кролика из группы варфарина в сочетании с КФПК: А — тромботические массы, окрашивание гематоксилином и эозином, увеличение × 100; Б — фибриновые нити (обозначены стрелками) в тромботических массах, окрашивание на фибрин по ОКГ, увеличение × 400; В — просвет крупных сосудов в области раны, содержащих тромбоциты (обозначены стрелками), окрашивание гематоксилином и эозином, увеличение × 1000.
Примечания: КФПК — концентрат факторов протромбинового комплекса, ОКГ — оранжевый Ж, кислотный красный 2С, водный голубой, F — англ.: fibrin (фибрин), Plt — англ.: platelets (тромбоциты).
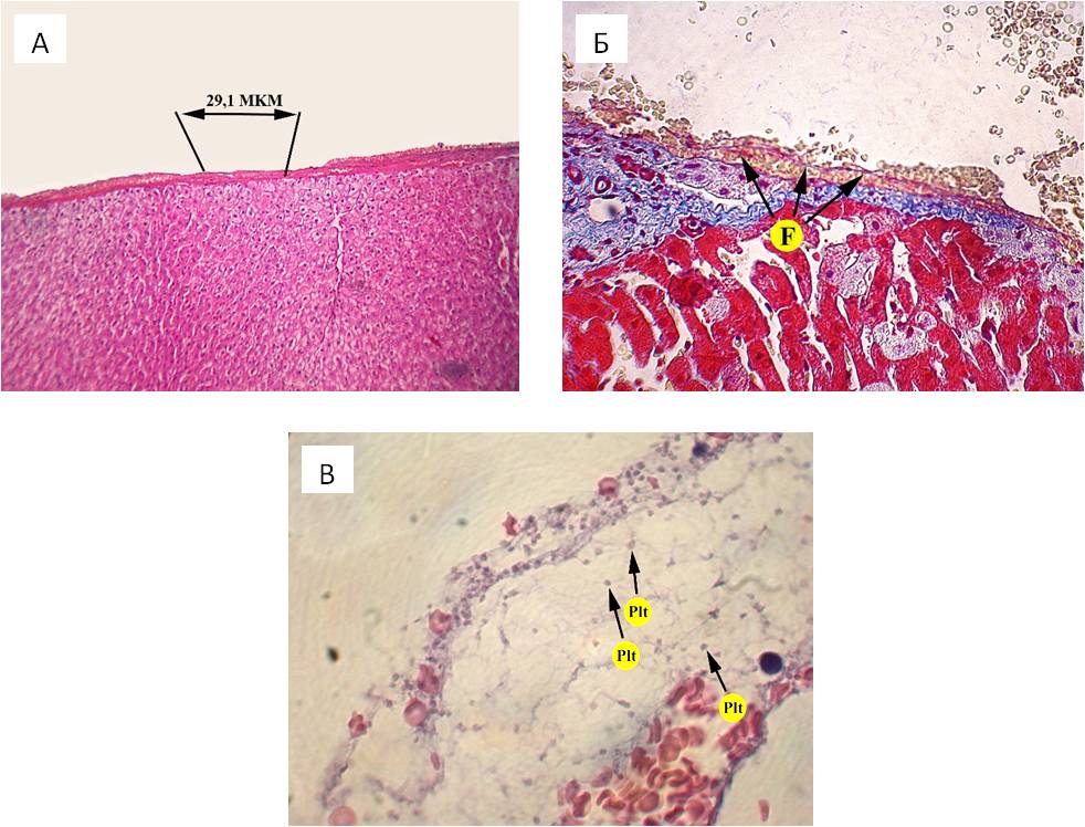
В экспериментальной группе животных, получившей в качестве гемостатического средства ФМ (группа №4), раневую поверхность покрывали толстые (около 102 мкм), буроватые тромботические массы с неровной (бугристой) поверхностью (табл. 1). Тромботические отложения в данной группе превышали в 4,0 раза толщину отложений в группе № 2 и в 1,3 раза — в группе № 3. Тромботические массы включали в себя большое количество гемолизированных и неизменных эритроцитов, а также утолщенных нитей фибрина, которые проходили в разных направлениях, с образованием многочисленных анастомозов (рис. 4Б). Толщина фибриновых волокон в данной группе преобладала в 4,9 и 1,6 раза над соответствующим показателем групп № 1 и № 2 соответственно. В исследованных препаратах данной группы животных отмечалось наименьшее из всех групп сравнения число кровяных пластинок в крупных прираневых сосудах (рис. 4В), оно составило около 48 клеток в поле зрения (п.з.).
Рис. 4. Морфологические изменения в области раны печени после спонтанной остановки кровотечения на примере кролика из группы варфарина в сочетании с ФМ: А — тромботические массы, окрашивание гематоксилином и эозином, увеличение × 100; Б — фибриновые нити (обозначены стрелками) в тромботических массах, окрашивание на фибрин по ОКГ, увеличение × 400; В — просвет крупных сосудов в области раны, содержащих тромбоциты (обозначены стрелками), окрашивание гематоксилином и эозином, увеличение × 1000.
Примечания: ОКГ — оранжевый Ж, кислотный красный 2С, водный голубой, ФМ — фибрин-мономер, F — англ.: fibrin (фибрин), Plt — англ.: platelets (тромбоциты).
Особенности изменений в системе гемостаза при экспериментально вызванной коагулопатии
Как нами было показано ранее [11], объем кровопотери (% от объема циркулирующей крови, ОЦК) у варфаринизированных животных после введения ФМ и КФПК был в 9,1 и 6,7 раза соответственно меньше по сравнению с варфаринизированной группой плацебо. Аналогичные изменения прослеживались при определении темпа кровопотери (в мг/с). Данный показатель в группе с ФМ отличался в меньшую сторону от контрольных значений в 3,7 раза, а в группе с КФПК — в 5,0 раза.
Различия в морфологической структуре раневой поверхности печени у животных в экспериментальных группах в определенной мере сочетались с показателями объема и темпа кровопотери, а также гемостазиологическими изменениями в цельной венозной крови и бедной тромбоцитами плазме, что продемонстрировано в таблице 2. Вполне очевидно, что применение варфарина в группах № 2–4 до начала эксперимента сопровождалось развитием варфариновой коагулопатии в виде гипокоагуляции по показателю МНО (увеличение в 2,0–2,5 раза), времени начала коагуляции (СТ) при проведении тромбоэластометрии (удлинение в 2,4–3,5 раза) с невозможностью регистрации значений других показателей исследования данного метода в большинстве проб крови (в 54%–61% случаев). Наряду с этим отмечалось ожидаемое снижение интенсивности генерации тромбина в плазме крови по учтенным показателям — Lagtime, ETP, Peak thrombin, ttPeak и Vthrombin.
Введение варфаринизированным животным группы №3 КФПК в качестве антидота варфарина приводило к коррекции гипокоагуляционного сдвига с реверсией показателя МНО до уровня нормальных значений (группа № 1) и сверхкомпенсированным повышением плотностных характеристик сгустка крови при тромбоэластометрии (табл. 2). В частности, наблюдалось превышение МСF в 1,2 раза и А10 в 1,5 раза по сравнению с показателями, полученными у животных группы № 1. Важно отметить, что наряду с этим отмечалось избыточное усиление генерации тромбина по ведущим показателям этого теста.
Таблица 2. Изменения в системе гемостаза, показателях автоматизированной тромбографии и ротационной тромбоэластометрии
Параметры | Группа № 1 | Группа № 2 | Группа № 3 | Группа № 4 | ||||
до введения плацебо | после введения плацебо | до введения плацебо на фоне варфарина | после введения плацебо на фоне варфарина | до введения КФПК на фоне варфарина | после введения КФПК на фоне варфарина | до введения ФМ на фоне варфарина | после введения ФМ на фоне варфарина | |
1а | 1б | 2а | 2б | 3а | 3б | 4а | 4б | |
n | 21 | 13 | 14 | 16 | ||||
Количество тромбоцитов, × 109/л | р1а–1б = 0,151 | р2а-2б = 0,382 | р3а-3б = 0,049 Δ-6,1% | р4а-4б = 0,328 | ||||
МНО | р1а-1б = 0683 | р2а-2б = 0,650 | р3а-3б = 0,002 Δ-47,6% | р4а-4б = 0,063 | ||||
Фибриноген, г/л | р1а-1б = 0,811 | р2а-2б = 0,814 | р3а-3б = 0,260 | р4а-4б = 0,065 | ||||
D-димер, нг/мл | р1а-1б = 0,201 | р2а-2б = 0,351 | р3а-3б = 0,180 | р4а-4б = 0,075 | ||||
Автоматизированная калиброванная тромбография (тромбограмма) | ||||||||
Lagtime, мин | р1а-1б = 0,068 | н.р. в 2 случаях из 9 | н.р. в 3 случаях из 9 р2а-2б = 0,592 | н.р. в 6 случаях из 9 | условно Δ -2,9 раза | н.р. в 3 случаях из 9 | н.р. в 4 случаях из 9 р4а-4б = 0,593 | |
ETP, нмоль × мин | р1а-1б = 0,224 | н.р. в 2 случаях из 9 | н.р. в 3 случаях из 9 р2а-2б = 0,109 | н.р. в 6 случаях из 9 | условно Δ +6,0 раз | н.р. в 3 случаях из 9 | н.р. в 4 случаях из 9 р4а-4б = 0,514 | |
Peak thrombin, нмоль/л | р1а-1б = 0,128 | н.р. в 2 случаях из 9 | н.р. в 3 случаях из 9 р2а-2б = 0,041 Δ-2,3 раза | н.р. в 6 случаях из 9 | условно Δ +6,0 раз | н.р. в 3 случаях из 9 | н.р. в 4 случаях из 9 р4а-4б = 0,285 | |
ttPeak, мин | р1а-1б = 0,143 | н.р. в 2 случаях из 9 | н.р. в 3 случаях из 9 р2а-2б = 0,108 | н.р. в 6 случаях из 9 | р1б-3б = 0,0006 Δ +1,8 раза | н.р. в 3 случаях из 9 | н.р. в 4 случаях из 9 р4а-4б = 0,922 | |
Vthrombin, нмоль/мин | р1а-1б = 0,102 | н.р. в 2 случаях из 9 | н.р. в 3 случаях из 9 р2а-2б = 0,085 | н.р. в 6 случаях из 9 | условно Δ +3,3 раза р1б-3б = 0,050 Δ -3,4 раза | н.р. в 3 случаях из 9 | н.р. в 4 случаях из 9 р4а-4б = 0,592 | |
Продолжение Таблицы 2
Параметры | Группа № 1 | Группа № 2 | Группа № 3 | Группа № 4 | ||||
до введения плацебо | после введения плацебо | до введения плацебо на фоне варфарина | после введения плацебо на фоне варфарина | до введения КФПК на фоне варфарина | после введения КФПК на фоне варфарина | до введения ФМ на фоне варфарина | после введения ФМ на фоне варфарина | |
1а | 1б | 2а | 2б | 3а | 3б | 4а | 4б | |
Ротационная тромбоэластометрия | ||||||||
CT, с | р1а-1б = 0,821 | р2а-2б = 0,530 | р3а-3б = 0,002 Δ -3,2 раза | р4а-4б = 0,221 | ||||
Угол α, ° | р1а-1б = 0,207 | н.р. в 9 случаях из 13 | н.р. в 7 случаях из 13 | н.р. в 8 случаях из 14 | р3а-3б = 0,151 | н.р. в 6 случаях из 16 | н.р. в 4 случаях из 16 р4а-4б = 0,767 | |
CFT, с | р1а-1б = 0,288 | н.р. в 10 случаях из 13 | н.р. в 8 случаях из 13 | н.р. в 8 случаях из 14 | р3а-3б = 0,028 Δ -2,2 раза | н.р. в 8 случаях из 16 | н.р. в 6 случаях из 16 р4а-4б = 0,735 | |
MCF, мм | р1а-1б = 0,956 | н.р. в 8 случаях из 13 | н.р. в 7 случаях из 13 | н.р. в 4 случаях из 14 | р3а-3б = 0,008 Δ +3,1 раза р1б-3б = 0,005 Δ +1,2 раза | н.р. в 6 случаях из 16 | н.р. в 4 случаях из 16 р4а-4б = 0,139 | |
A10, мм | р1а-1б = 0,422 | н.р. в 9 случаях из 13 | н.р. в 8 случаях из 13 | н.р. в 4 случаях из 14 | р3а-3б = 0,007 Δ +7,5 раз р1б-3б = 0,006 Δ +1,5 раза | н.р. в 6 случаях из 16 | н.р. в 5 случаях из 16 р4а-4б = 0,260 | |
Примечания: КФПК — концентрат факторов протромбинового комплекса, н.р. — нет регистрации, ФМ — фибрин-мономер, Δ — разница сравниваемых показателей
Использование экзогенного ФМ у животных группы № 4 не сопровождалось какой-либо системной коррекцией гипокоагуляции, вызванной антикоагулянтной терапией (в венозной крови). Это подтверждалось превышением значений МНО в 2,2 раза (по медиане) соответствующего показателя, определенного у животных группы №1 (табл. 2), чему сопутствовало удлинение хронометрических показателей свертывания крови (СТ и CFT) в сочетании со снижением плотностных характеристик сгустка (угол α, MCF и А10) и низкой интенсивностью генерации тромбина.
ОБСУЖДЕНИЕ
Описанные результаты исследования на модели варфариновой коагулопатии продемонстрировали фатальную посттравматическую кровопотерю (в % от расчетного ОЦК) и гибель 75% варфаринизированных животных [11]. Как известно, варфарин при пероральном применении ингибирует ферменты, необходимые для синтеза витамин-К-зависимых факторов свертывания крови (II, VII, IX, X) в гепатоцитах и тем самым вызывает гипокоагуляцию. Такое снижение свертываемости крови было доказано с учетом данных МНО (по протромбиновому тесту), тромбоэластометрии и теста калиброванной тромбографии. При этом применение ФМ наряду с известным системным гемостатическим препаратом — КФПК — сопровождалось значительным снижением показателей послераневой кровопотери.
В настоящем исследовании морфологическая картина раневой поверхности у варфаринизированных животных была представлена в виде незначительных по объему тромботических отложений с относительно тонкими нитями фибрина и соответствовала ожидаемому приросту кровопотери и гибели животных за счет недостаточной эффективности плазменных механизмов системы гемостаза. Следует отметить, что толщина нитей фибрина превышала таковую в группе интактных животных (контроль) в 3,1 раза. Также обращают на себя внимание результаты проведенного ранее исследования, в котором толщина нитей фибрина имела обратную зависимость от интенсивности генерации тромбина [16, 17]. В частности, Collet J. P., et al. и Wolberg A. S. in vitro было продемонстрировано, что ферментативная трансформация фибриногена в присутствии низких концентраций тромбина сопровождается образованием «толстых» фибриновых нитей с повышенной пористостью получившегося геля, тогда как увеличение концентрации тромбина приводит к образованию «тонких» и коротких волокон фибрина, характеризующихся относительной устойчивостью к фибринолизу.
Традиционный препарат для инактивации варфарина (КФПК) продемонстрировал снижение объема кровопотери (в % от ОЦК) в 6,7 раза с реверсией МНО (по протромбиновому тесту) в сравнении с применением плацебо [11]. Представленные выше наблюдения сочетались с морфологической картиной раневой поверхности в виде увеличения объема тромботических масс (в сравнении с группой плацебо), наличия более «толстых» и часто анастомозирующих нитей фибрина, входящих в их структуру. В тромботических массах встречалось большое количество гемолизированных эритроцитов, которые могут, как известно, с одной стороны, способствовать агрегации тромбоцитов и образовывать совместные агрегаты [18, 19], а с другой — быть донорами фосфатидилсерина, обеспечивая прокоагулянтную поверхность для активации тромбина [20]. Представленная совокупность гемостазиологических и, как следствие, морфологических изменений после применения КФПК и способствовала минимизации посттравматической кровопотери. Еще одной особенностью гистологической картины явилось уменьшение числа тромбоцитов в крупных сосудах вблизи с раневой поверхностью (в 1,3 раза в сравнении с группой № 1 и в 1,4 раза — с группой № 2). Вероятно, тромбоциты, будучи важными участниками процесса гемокоагуляции, в присутствии КФПК более активно включались в процесс тромбообразования.
Продемонстрировано отсутствие связи между гемостазиологическими изменениями в венозной крови (системной циркуляции) на фоне применения экзогенного ФМ (0,25 мг/кг) и морфологическими изменениями в ране. Так, замена КФПК на ФМ не сопровождалась признаками компенсации варфариновой коагулопатии (по данным МНО, тромбоэластометрии и калиброванной тромбографии). Тем не менее использование данного производного фибриногена приводило к резкому уменьшению кровопотери (в 9,1 раза в % от ОЦК в сравнении с применением плацебо) [11]. При гистологической оценке применение ФМ ассоциировалось с формированием сравнительно наиболее объемных тромботических отложений в области травмы. Здесь мы также наблюдали активное вовлечение в процесс локального тромбообразования как гемолизированных эритроцитов, так и тромбоцитов, причем последние более активно включались в наблюдаемый процесс.
ЗАКЛЮЧЕНИЕ
Проведенные исследования показали, что введенный извне фибрин-мономер способен оказывать локальное гемостатическое действие в условиях дозированной экспериментальной травмы и коагулопатии, вызванной приемом варфарина. Гемостатическое действие было опосредовано интенсивным тромбообразованием на раневой поверхности печени с активным вовлечением тромбоцитов в процесс. При этом не было выявлено какого-либо действия со стороны фибрин-мономера на системные гемостатические реакции в венозной крови. Особенности продемонстрированных эффектов фибрин-мономера, на наш взгляд, могут быть опосредованными через пока еще не установленные механизмы действия данного производного фибриногена, что определяет необходимость в продолжении исследований в данном направлении.
ДОПОЛНИТЕЛЬНО
Финансирование. Авторы заявляют об отсутствии внешнего финансирования при проведении исследования.
Конфликт интересов. Авторы заявляют об отсутствии конфликта интересов.
Вклад авторов: Момот А. П., Вдовин В. М. — концепция и дизайн исследования, написание текста; Вдовин В. М., Бобров И. П., Орехов Д. А., Теряев В. В., Чернусь В. Е. — сбор и обработка материала, статистическая обработка, написание текста; Шахматов И. И. — дизайн исследования и редактирование. Авторы подтверждают соответствие своего авторства международным критериям ICMJE (все авторы внесли существенный вклад в разработку концепции и подготовку статьи, прочли и одобрили финальную версию перед публикацией).
Об авторах
Вячеслав Михайлович Вдовин
Алтайский государственный медицинский университет
Автор, ответственный за переписку.
Email: erytrab@gmail.com
ORCID iD: 0000-0002-4606-3627
SPIN-код: 5885-4504
ResearcherId: B-4400-2019
к.м.н., доцент
Россия, БарнаулИгорь Ильич Шахматов
Алтайский государственный медицинский университет
Email: iish59@yandex.ru
ORCID iD: 0000-0002-0979-8560
SPIN-код: 1574-4980
ResearcherId: B-4629-2019
д.м.н., профессор
Россия, БарнаулИгорь Петрович Бобров
Алтайский государственный медицинский университет
Email: ig.bobrov2010@yandex.ru
ORCID iD: 0000-0001-9097-6733
SPIN-код: 2375-1427
ResearcherId: CAJ-4653-2022
д.м.н.
Россия, БарнаулДмитрий Андреевич Орехов
Алтайский краевой кардиологический диспансер
Email: orekhoffs@mail.ru
ORCID iD: 0000-0003-0644-6313
SPIN-код: 5301-3553
Россия, Барнаул
Вячеслав Витальевич Теряев
Алтайский государственный медицинский университет
Email: teryaevw@yandex.ru
ORCID iD: 0000-0001-5968-3246
SPIN-код: 7117-6858
ResearcherId: CTX-3550-2022
Россия, Барнаул
Владимир Евгеньевич Чернусь
Алтайский государственный медицинский университет
Email: chernus97@mail.ru
ORCID iD: 0000-0003-0800-4906
Россия, Барнаул
Андрей Павлович Момот
Алтайский государственный медицинский университет; Алтайский филиал Национального медицинского исследовательского центра гематологии
Email: xyzan@yandex.ru
ORCID iD: 0000-0002-8413-5484
SPIN-код: 8464-9030
ResearcherId: M-7923-2015
д.м.н., профессор
Россия, Барнаул; БарнаулСписок литературы
- Weisel J.W., Litvinov R.I. Red blood cells: the forgotten player in hemostasis and thrombosis // Journal of Thrombosis and Haemostasis. 2019. Vol. 17, № 2. Р. 271–282. doi: 10.1111/jth.14360
- Счастливцев И.В., Лобастов К.В., Цаплин С.Н., и др. Современный взгляд на систему гемостаза: клеточная теория // Медицинский совет. 2019. № 16. С. 72–77. doi: 10.21518/2079-701X-2019-16-72-77
- Подоплелова Н.А., Сулимов В.Б., Тащилова А.С., и др. Свертывание крови в XXI веке: новые знания, методы и перспективы для терапии // Вопросы гематологии/онкологии и иммунопатологии в педиатрии. 2020. Т. 19, № 1. С 139–157. doi: 10.24287/1726-1708-2020-19-1-139-157
- Mangin P.H., Neeves K.B., Lam W.A., et al. In vitro flow-based assay: from simple toward more aophisticated models for mimicking hemostasis and thrombosis // Journal of Thrombosis and Haemostasis. 2021. Vol. 19, № 2. Р. 582–587. doi: 10.1111/jth.15143
- Луговской Э.В., Макогоненко Е.М., Комисаренко С.В. Молекулярные механизмы образования и разрушения фибрина: физико-химический и иммунохимический анализ. Киев: Наукова думка; 2013.
- Weisel J.W., Litvinov R.I. Fibrin formation, structure, and properties. In: Parry D.A.D. & Squire J.M., editors. Fibrous Proteins: Structures and Mechanisms. Part: Subcellular Biochemistry. 2017. Vol. 82: Р. 405–456. doi: 10.1007/978-3-319-49674-0_13
- Момот А.П., Вдовин В.М., Орехов Д.А., и др. Влияние экзогенного фибрин-мономера на гемостатический потенциал и фибринообразование в области дозированной травмы печени на фоне введения гепарина в эксперименте // Патогенез. 2020. Т. 18, № 4. С. 32–42. doi: 10.25557/2310-0435.2020.04.32-42
- Вдовин В.М., Момот А.П., Красюкова В.О., и др. Системные гемостатические и гемостазиологические эффекты фибрин-мономера при прямом ингибировании тромбина в эксперименте // Российский физиологический журнал им. И. М. Сеченова. 2019. Т. 105, № 2. С. 207–215. doi: 10.1134/S0869813919020109
- Вдовин В.М., Момот А.П., Шахматов И.И., и др. Эффекты транексамовой кислоты и экзогенного фибрин-мономера в области травмы и в системном кровотоке при фармакологическом подавлении функции тромбоцитов в эксперименте // Казанский медицинский журнал. 2021. Т. 102, № 5. С. 642–653. doi: 10.17816/KMJ2021-642
- Park K.–J., Kwon E.–H., Kim H.–J., et al. Evaluation of the Diagnostic Performance of Fibrin Monomer in Disseminated Intravascular Coagulation // The Korean Journal of Laboratory Medicine. 2011. Vol. 31, № 3. Р. 143–147. doi: 10.3343/kjlm.2011.31.3.143
- Вдовин В.М., Момот А.П., Орехов Д.А., и др. Системные гемостатические и гемостазиологические эффекты низкой дозы фибрин-мономера на фоне действия варфарина в эксперименте // Тромбоз, гемостаз и реология. 2019. Т. 79, № 3. С. 16–23. doi: 10.25555/THR.2019.3.0885
- Миронов А.Н., ред. Руководство по проведению доклинических исследований лекарственных средств. Ч. 1. М.: Гриф и К; 2012.
- Папаян Л.П., Головина О.Г., Чечеткин А.В., и др. Алгоритм диагностики гемостаза и мониторинг антитромботической терапии. СПб.; 2016.
- Зербино Д.Д., Лукасевич Л.Л. Диссеминированное внутри- сосудистое свертывание крови: Факты и концепции. М.: Медицина; 1989.
- Вдовин В.М., Момот А.П., Орехов Д.А., и др. Влияние экзогенного фибрин-мономера на гемостатический потенциал и образование фибрина в области дозированной травмы печени в эксперименте // Российский физиологический журнал им. И. М. Сеченова. 2020. Т. 106, № 9. С. 1132–1143. doi: 10.31857/S0869813920070092
- Collet J.P., Park D., Lesty C., et al. Influence of fibrin network conformation and fibrin fiber diameter on fibrinolysis speed: dynamic and structural approaches by confocal microscopy // Arteriosclerosis, Thrombosis, and Vascular Biology. 2000. Vol. 20, № 5. Р. 1354–1361. doi: 10.1161/01.atv.20.5.1354
- Wolberg A.S. Thrombin generation and fibrin clot structure // Blood Reviews. 2007. Vol. 21, № 3. Р. 131–142. doi: 10.1016/j.blre.2006.11.001
- Reimers R.C., Sutera S.P., Joist J.H. Potentiation by red blood cells of shear-induced platelet aggregation: relative importance of chemical and physical mechanisms // Blood. 1984. Vol. 64, № 6. Р. 1200–1206.
- Goel M.S., Diamond S.L. Adhesion of normal erythrocytes at depressed venous shear rates to activated neutrophils, activated platelets, and fibrin polymerized from plasma // Blood. 2002. Vol. 100, № 10. Р. 3797–3803. doi: 10.1182/blood-2002-03-0712
- Whelihan M.F., Lim M.Y., Mooberry M.J., et al. Thrombin generation and cell-dependent hypercoagulability in sickle cell disease // Journal of Thrombosis and Haemostasis. 2016. Vol. 14, № 10. Р. 1941–1952. doi: 10.1111/jth.13416
Дополнительные файлы










