Surgical Treatment of Pulmonary Embolism Associated with COVID-19: First-Hand Experience
- Authors: Fedorov S.A.1, Zhurko S.A.1, Pichugin V.V.1,2, Chiginev V.A.1,2, Maximov A.L.1, Kulkarni S.V.2
-
Affiliations:
- Research Institute Specialized Cardiosurgical Clinical Hospital named after academician B. A. Korolev
- Privolzhsky Research Medical University
- Issue: Vol 31, No 2 (2023)
- Pages: 283-292
- Section: Clinical reports
- Submitted: 17.08.2022
- Accepted: 27.09.2022
- Published: 16.07.2023
- URL: https://journals.eco-vector.com/pavlovj/article/view/109916
- DOI: https://doi.org/10.17816/PAVLOVJ109916
- ID: 109916
Cite item
Abstract
INTRODUCTION: Venous thromboembolic complications occupy one of the central positions in the structure of complications associated with CoronaVirus Disease 2019 (COVID-19). Characterized by high epidemiological threshold values, as well as an atypical clinical picture, they determine the need for new approaches to early diagnosis and active treatment. Surgical treatment of pulmonary embolism in itself is an extremely controversial method of reperfusion of the pulmonary arterial bed. Concerning pulmonary embolism associated with a new coronavirus infection, we did not find a single clinical case reported in the available literature. The article considers a clinical case of surgical treatment of pulmonary embolism against the background COVID-19 infection, demonstrates a comprehensive approach to treatment and describes peculiarities of the clinical picture.
CONCLUSION: Based on the presented case, one should note the importance of the anticoagulant therapy in a group of people with a virus-specific intervention to prevent recurrence of thromboembolic complications. Complex surgical treatment in combination with the proposed methods of anesthesiological support are the methods of choice in a group of people at intermediate-high and high risk of early cardiac death.
Full Text
LIST OF ABBREVIATIONS
ACE 2 — angiotensin-converting enzyme 2 receptor
ACT — anticoagulant therapy
BP — Blood pressure
COVID-19 — COronaVIrus Disease 2019
CT — computed tomography
HR — heart rate
PA — pulmonary artery
PE — pulmonary embolism
RA — right atrium
TEE — thromboembolectomy
VTEC — venous thromboembolic complications
INTRODUCTION
The COronaVIrus Disease 2019 (COVID-19) that manifested in December 2019, is currently one of the most serious challenges to the global health system [1]. Demonstrating extreme indications of contagiousness, it involves patients of various age and sex groups in the epidemiological structure, while determining extremely high rates of morbidity and mortality [2]. This situation is determined by the multifactorial interaction of the viral agent (SARS-CoV-2) with the human body, which requires a detailed study of its pathophysiological aspects. In the structure of the latter, one of the key positions is occupied by systemic disorders of coagulation processes, referred to in the literature as COVID-associated coagulopathy [3].
The high affinity of the viral agent to the human body is determined by the presence of a specific spike protein (S-protein) that interacts with the angiotensin-converting enzyme 2 receptor (ACE 2) according to the enzyme-substrate interaction principle [4]. Replication and subsequent intervention of the virus into the cellular environment of the macroorganism leads to the launch of a whole cascade of immuno-inflammatory reactions, one of the manifestations of which is the activation of the blood coagulation system and the launch of thrombin hypergeneration, which acts as a linking element between cellular and humoral amplification mechanisms [5]. In addition to an indirect effect on the haemostatic system, SARS-CoV-2 has a direct effect on its main links.
Thus, the release of a whole complex of polyphosphates and the exposure of subendothelial collagen structures of the vascular wall leads to the activation of the vascular-platelet link of the haemostatic system by activating platelets, mast cells, and coagulation factor XII [4, 5]. The subsequent release of inflammatory mediators, interleukins, leads to the activation of the compliment system and the kinin-kallikrein system, which also aggravates the developing coagulation disorders [6]. Cytokine-mediated damage to the endothelial structures of the vascular wall determines the development and progression of endothelial dysfunction, which is manifested by gradually progressive thrombocytopenia and a decrease in the concentration of natural anticoagulants. It is endothelial dysfunction, according to many authors, that plays one of the key roles in the developing hypercoagulable catastrophe [7]. Thus, the presence of ACE 2 on the surface of endotheliocytes determines the point of application of viral intervention, which determines mononuclear and polymorphocellular infiltration of the basement membrane of the vascular wall, as well as apoptosis of the endothelial lining [8]. Such morphological changes contribute to the formation of microvascular clots, which is confirmed by the data of a number of researchers on verifiable atypical microcirculatory thromboses [7, 8]. Subsequent histological examination of the interested segments of the microvasculature made it possible to determine that the interaction of SARS-CoV-2 with ACE 2 leads to a decrease in the transmembrane expression of the latter. This situation is quite physiological, compensatory in nature and is aimed at reducing the viral load. However, competitive inhibition of ACE 2 leads to a quite understandable increase in the concentration of angiotensin II, an increase in its procoagulant activity [9].
The features of the clinical picture of a developing viral infection, as well as the features of the morbid status of the studied patients, determine the deliberation of the established dogmas of diagnosis and treatment, including in the group of patients with pulmonary embolism (PE).
This manuscript presents the first case of surgical treatment of PE associated with a COVID-19 in our clinic, demonstrates a comprehensive treatment approach, as well as features of the clinical picture.
Clinical case
Patient M., 63 years old, was hospitalized in the Research Institute Specialized Cardiosurgical Clinical Hospital named after academician B. A. Korolev on 7 September 2021 with Clinical diagnosis: High risk subacute PE. Severe pulmonary hypertension. Severe tricuspid valve insufficiency. Concomitant diagnosis: convalescent of a COVID-19 complicated by polysegmental pneumonia dated July 2021, occlusive form of post-thrombophlebitic syndrome with a predominant lesion of the superficial femoral vein on both sides without signs of flotation. Atherosclerotic hemodynamically insignificant lesion of the extracranial part of the brachiocephalic arteries. Chronic gastritis, with signs of atrophy of the mucous membrane.
At the time of hospitalization, the patient complained of severe shortness of breath with minimal physical exertion, pain in the left side of the chest, severe weakness, and palpitations.
After collecting the anamnesis of the disease, as well as analyzing the accompanying medical documentation, it was known that at the end of July 2021 the patient had been ill with the COVID-19 complicated by COVID-associated pneumonia (2 degree of severity according to computed tomography (CT) of the lungs), for which he was under general inpatient treatment at a COVID hospital at the place of residence. During his stay in a specialized hospital, the patient underwent complex cardiological therapy, including heparin therapy as part of the prevention of thrombotic complications.
A week after discharge from the hospital the patient noted the appearance of arching pain and swelling in the right lower extremity, for which he was admitted to the City Clinical Hospital at the place of residence, where, during the additional examination, thrombosis of the right superficial femoral vein was verified. In this connection, the patient was prescribed anticoagulant therapy (ACT) — new oral anticoagulant — in a therapeutic dosage.
It should be noted that when analyzing the primary documentation, including data from laboratory and instrumental research methods, data for previously suffered thromboembolic complications were not obtained. Against the background of ongoing conservative therapy on 29 Аugust 2021, the patient suffered an attack of severe shortness of breath, pain in the heart area, an episode of loss of consciousness, in connection with which he was hospitalized in the Regional Vascular Center with suspected acute coronary syndrome.
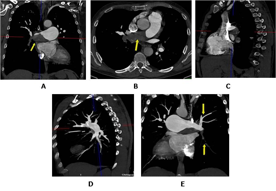
In the process of laboratory and instrumental examination, according to the results of multispiral CT-angiopulmonography, the central form of PE was diagnosed (Figure 1), for which thrombolytic therapy with actilyse (Аlteplase®) was performed.
Fig. 1. Fragments of multispiral СT-angiopulmonography in coronal (A, D), axial (B) and sagittal (C, D) projections: оcclusive thrombotic masses are determined at the level of the right branch of the PA (A, B, C); stenosing thrombotic defects of the left main branch and the left lower lobe branch of the PA (E).
Notes: CT — computed tomography, PA — pulmonary artery.
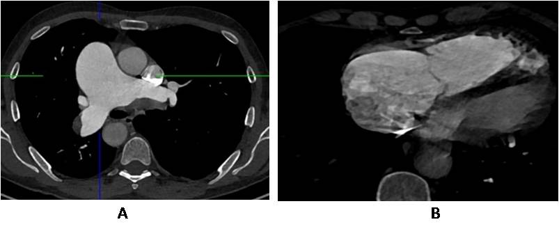
According to the control multispiral СT–angiopulmonography, performed on the 8th day after thrombolytic therapy, there was a negative trend in the form of total occlusion of the segmental branches of the right pulmonary artery (PA), an increase in the obstruction area of the lower lobar branch of the left РА up to 68%, as well as signs of a sharp overload of the right heart chambers (Figure 2). In the objective status, there was a progressive deterioration of the condition in the form of an increase in shortness of breath, a drop in the parameters of central hemodynamics. 5 September 2021 the patient was examined by a cardiovascular surgeon of the clinic through the aviation ambulance, as a result of which an open surgical intervention was indicated — thromboembolectomy (TEE) from the PA in a specialized cardiosurgical hospital.
Fig. 2. Fragments of multispiral computed tomography — angiopulmonography angiopulmonography in axial planes. Signs of a sharp overload of the right chambers of the heart: — balloon-like dilatation of the trunk and main branches of the pulmonary artery (2A); a sharp increase in the size of the right chambers of the heart, the ratio of the transverse size of the right ventricle in relation to the left as 1.8:1.0; dilatation of the right atrium (2B).
Upon admission to the emergency room, the patient's condition was moderately severe. The patient is asthenic, while being fully oriented and accessible to verbal contact. The skin and visible mucous membranes are pale with a yellowish tint, signs of acrocyanosis. SpO2 without inhalation of humidified oxygen was 86%, when oxygen was supplied through nasal catheters it increased to 97%. The chest without features, cylindrical in shape, is actively involved in the act of breathing. Heart sounds are muffled, rhythmic with a heart rate (HR) of 89 per minute. Auscultation of the heart region revealed a systolic murmur at the base of the xiphoid process of the sternum, accentuated II tone over the pulmonary artery. Blood pressure (BP) 95/70 mm Hg. In the lungs, breathing is vesicular, weakened in the lower sections on both sides, single dry rales, respiratory rate up to 20 per minute. Pastosity of the lower extremities was noted up to the level of the middle third of the lower leg on both sides. Symptom of Moses is negative, Homans — negative. The pulsation of the peripheral arteries of the lower extremities is distinct on both sides. According to electrocardiography (6 September 2021): sinus rhythm with HR of 78 per minute. Right axis deviation (ɑ angle +75°). Segment PQ — 160 ms, QRS — 120 ms. Right bundle branch block. Reduced voltage complexes in standard leads, single supraventricular extrasystoles.
Transthoracic echocardiography (6 September 2021): a sharp dilatation of the right chambers of the heart. Severe pulmonary hypertension, expansion of the PA. Paradoxical movement of the interventricular septum (Figure 3A), the left parts of the heart are compressed by dilated right chambers (Figure 3B). Left atrium 45 х 32 mm, RA 63 х 56 mm. The right ventricle end-diastolic size is 44 mm, left ventricle end-diastolic size — 38 mm. Left atrium: dilated up to 36 mm, with an obstructive type of blood flow. Regurgitation on the left atrium valve of the 2nd degree. Systolic pressure in РA 88 mmHg.
Fig. 3. Parameters of transthoracic echocardiography: Paradoxical movement of the interventricular septum (3А); Sharp expansion of the right chambers of the heart (3В); High rates of peak and moderate pulmonary hypertension (3С).
The results of Doppler ultrasound of the veins of the lower extremities (6 September 2021): post-thrombophlebitic syndrome on both sides. Occlusive form of superficial femoral vein thrombosis on both sides without signs of flotation. When analyzing the architectonics of the thrombotic process, the predominance of organized ‘old’ thrombotic masses in the right superficial femoral vein was noted, while fresh, soft blood clots tightly fixed to the venous wall were visualized on the left lower extremity.
The data of laboratory research methods demonstrated the phenomena of initial hepatic and renal insufficiency (alanine aminotransferase — 68 U/l, аspartate аmino-transferase — 143 U/l, total bilirubin 90.4 μmol/L, urea — 11.2 mmol/L, creatinine — 131 mmol/L, glomerular filtration rate — 55 ml/min х 1,72 m2), myocardial dysfunction (Troponin I 3 ng/ml, creatinekinase 601.6 U/L, lactate de-hydrogenase 455.8 U/L). The level of D-dimer was 3.15 ug/ml.
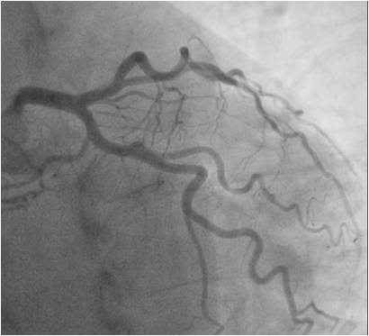
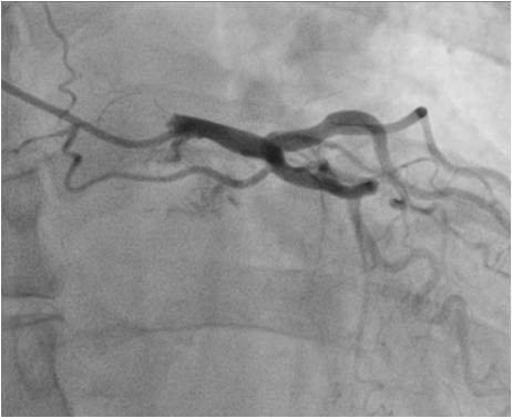
Taking into account the age of the patient, the nature of the underlying and concomitant pathology, the results of laboratory and instrumental research methods, it was decided that it would be expedient to perform selective coronary angiography as part of the preoperative additional examination. According to the latter, no hemodynamically significant stenoses of the coronary arteries were found (Figure 4). As an artifact, a branch of the left coronary artery was found, which forms 2 bronchial arteries of the right lung (Figure 5).
Fig. 4. Angiography results: no hemodynamically significant stenoses were found.
Fig. 5. Angiography results: а branch of the left coronary artery that forms 2 bronchial arteries of the right lung.
7 September 2021 the patient underwent surgical intervention — TEE — from the main and lobar branches of the PA. Epicardial ablation of the РA trunk and lobar branches. Plasty of the tricuspid valve according to Batisto. Ligation of the RA appendage.
A standard median sternotomy followed by cannulation of the aorta and isolated cannulation of the orifices of both vena cava was used as an access. After obtaining a venous outflow, normothermic perfusion was started for 71 min. The aorta was not clamped during the main stage of the operation.
From the very beginning of the surgical intervention, dilatation of the РA cone, its main branches, as well as a rotational displacement of the position of the heart axis to the left was noted. The first step was reconstructive intervention on the tricuspid valve. As access to the right atrioventricular valve, we used oblique transverse ateriotomy. During the revision of the tricuspid valve leaflets were thin, the subvalvular apparatus was unchanged, an expansion of the annulus fibrosus was noted up to 5 cm. Batisto plasty was performed with ‘Etibond 2.0’ thread, after which the atriotomy access was sutured with partial excision of the free wall of the RA due to its ‘excessive’ volume. For the same purpose, ligation of the RA appendage was performed.
A longitudinal incision opened the PA trunk with a gentle transition to the left PA to the level of its bifurcation. In the lumen of the lobar branches of the left PA, mixed thrombotic masses were located, partially fixed to the PA wall, completely occluding the orifice of the lower lobar artery and stenosing the lumen of the upper lobar artery with a transition to the segmental level. To improve the exposure of the right PA trifurcation, the latter was selectively isolated by rotating the ascending aorta and superior vena cava using previously performed soutaches. At the base of the right PA, mixed, partially organized thrombotic masses were visualized, completely obturating its lumen and passing to the lobar segments. In terms of improving the visualization of the surgical field, an additional opening of the trunk of the right PA was performed with the transition to the upper lobe branch. Using a set of straight and curved Gross–Meyer clamps, as well as vascular scapulae, TEE was performed from the main and lobar branches of the PA with adequate retrograde blood flow (Figure 6).
Fig. 6. Angiography results: а branch of the left coronary artery that forms 2 bronchial arteries of the right lung.
It should be noted that the stage of TEE was carried out with a constant vacuum — aspiration with a vacuum discharge of up to 200 mmHg–300 mmHg, which is aimed at evacuating small-focal detritus. Taking into account the large diameter of the trunk and branches of the PA, we abandoned the use of ‘patches’ as a hermitization of the arteriotomy access, performing the latter by applying a 2-row suture with a ‘Prolene 5.0’ thread. After checking for hemostasis, the patient underwent radiofrequency ablation of the trunk and orifices of the main PA branches.
After the end of the surgery, the patient was transferred to the intensive care unit on the background of medical sleep in an extremely serious condition. According to the results of transthoracic echocardiography performed upon arrival in the intensive care unit, high pulmonary hypertension with systolic pressure in the PA up to 75 mmHg, paradoxical movement of the interventricular septum was noted. Еnd-systolic volume/end-diastolic volume — 41 ml/15 ml. Еjection fraction 66%. The severity of the patient's condition was largely determined by the nature of the underlying disease, the features of the surgical intervention performed, as well as severe right ventricular failure. In terms of inotropic myocardial simulation, a 2-component therapy with catecholamines (epinephrine 0.18 µg/kg/min, norepinephrine 0.2 µg/kg/min) was used with stabilization of BP at the level of 110/60 mm Hg. HR 60 per minute, central venous pressure 14 mmHg. Given the high residual pulmonary hypertension, on 22 September 2021 a Swan–Ganz catheter was placed for an objective assessment of hemodynamics in the right heart. Thus, the pressure in the pancreas was 104/1 mmHg, the pressure in the PA — 104/28 mm Hg, systemic pressure — 95/60 mm Hg. Breathing — full ventilation in biphasic positive airway pressure mode with positive end-expiratory pressure 5 mm Hg–9 mm Hg. Fraction of inspired oxygen 1–0.7, frequency — 12. SpO2 against this background is 97% with episodes of desaturation up to 70% during the sanitation of the tracheobronchial tree. In terms of treatment of pulmonary hypertension, the patient underwent inhalation therapy with nitric oxide. For inhalation therapy, the domestic apparatus ‘Tianox’ was used.
Inhalation of nitric oxide was carried out in the inspiratory part of the respiratory circuit. For inhalation therapy, a special breathing circuit from ‘Intersurgical’ firm was used. The flow rate of inhaled nitric oxide was 300 ml/min– 400 ml/min with a concentration of 50 ppm in a fresh oxygen flow (1.5 L/min–2 L/min). The supplied inhalation mixture was monitored using an electrochemical analyzer.
Against the background of the therapy, positive dynamics was noted in the form of a monotonous decrease in pulmonary hypertension. On the morning of 11th September 2021 heart rhythm disturbances were noted in the form of paroxysm of atrial fibrillation with HR of up to 120 per min. Electropulse therapy was performed twice with a discharge of 100 J with the restoration of a regular sinus rhythm, followed by the application of ACT. On 13 September 2021 at 11:00 a.m., an alveolar opening maneuver was performed with the expansion of the fields o f both lungs under the control of chest X-ray. The patient was extubated at 13:00 on 13 September 2021 and transferred to high-flow oxygen therapy with fraction of inspired oxygen parameters of 0.55 with a flow volume of up to 6 L/min. On the morning of 24 September 2021 there was stabilization of hemodynamic parameters (BP 124/74 mm Hg, HR 84 per min, central venous pressure 10 mmHg, mean pressure in the PA 56 mmHg, SpO2 98%), which made it possible to discontinue the use of norepinephrine, reduce the epinephrine dose to 0.01 mg/kg/min.
26 September 2021 the patient was transferred to the ward of the cardiac surgery hospital. The patient underwent complex conservative therapy in volume: oxygen therapy, ACT with vitamin K antagonists, vasoactive therapy with pentoxifylline, phosphodiesterase inhibitor type 5 in therapeutic dosages, and tablet thrombolytics (Thrombovazim®) were also used. According to the results of control laboratory research methods, a positive trend was noted in the form of a decrease in liver and kidney failure. According to the control echocardiography, the systolic pressure in the PA was 50 mm Hg, there was a leveling of the phenomena of acute right ventricular failure. The patient was later discharged for outpatient treatment with the recommended scheme of conservative therapy.
The patient was consulted by an angiosurgeon of the clinic after 1 month after discharge from the hospital. In the objective status, there was an increase in exercise tolerance, no signs of respiratory failure, stable parameters of central hemodynamics. The results of echocardiography showed signs of remodeling of the right chambers, a decrease in pressure in the PA (systolic pressure — 45 mm Hg). The patient underwent a correction of the applied conservative therapy, a planned follow-up in the clinic after 3 months was recommended.
DISCUSSION
COVID-19 and its associated complications have certainly made significant changes in the existing way of life of the entire medical community [1]. The polyvalence of the clinical manifestations of the infectious disease under consideration, as well as the unpredictable response of the macroorganism to the developing immune-inflammatory reaction, determine the high rates of morbidity in the structure of interested patients [10]. Violation of the coagulation system occupy one of the most important, key positions in the multifaceted pathogenetic structure of a viral infection, determining the high epidemiological thresholds of venous thromboembolic complications (VTEC). Thus, in the published work of F. A. Kloka, et al. (2020), it was shown that VTEC occurs in more than 25% of the studied patients [11]. Approximately comparable data are shown in the works of the J. Poissy, et al. (2021) [12]. A retrospective analysis of S. Cui, et al. (2021) based on the analysis of case histories of resuscitation of patients, determined the incidence of VTEC in 25% of the subjects [6]. Of course, comparable threshold values in the works of different authors allow us to speak of a variational trend in developing complications. However, despite this, at the moment there is no generally accepted opinion regarding this pathogenetic relationship. So, it is not completely clear whether the considered coagulopathy is pathognomic for the studied viral agent, or whether it is a nonspecific consequence of a severe general somatic disease. The only thing that is not in doubt in this case is the extremely high epidemiological thresholds of morbidity. The recorded epidemiological indicators of 25%–27% are extremely subjective and do not allow characterizing the true clinical picture. The fact is that the use of screening methods of instrumental diagnostics in the above studies was initiated only with a progressive deterioration in the condition of patients, as well as with the appearance of specific symptom complexes [6, 13].
The results of the J. F. Llitjos, et al. (2020) study demonstrated that the objective incidence of VTEC in the considered patients is more than 69%, with a proportion of PE of more than 25% [4]. Co-directed results are voiced by the pathoanatomical work of D. Wichmann, et al. (2021), which is based on a morphological study of patients with a life-time verified diagnosis of COVID-19 [14]. Morphological changes in the microvasculature with a targeted lesion of the distal segments of the pulmonary circulation and progressive endothelial dysfunction, just like the features of the clinical picture of PE, require the search for a comprehensive solution.
The presented manuscript presents the first-hand experience of surgical treatment of PE associated with COVID-19. The peculiarities of the course of the early postoperative period, along with changes in the parameters of central hemodynamics, determined the use of the entire available arsenal of means, including the use of medical gases and complex conservative therapy, which ultimately made it possible to achieve a positive result. At the moment, the clinic has accumulated experience in the complex treatment of 9 patients with COVID-associated PE. Despite the objective severity of the studied patients, the change in the clinical picture, as well as the extent of the damage to the pulmonary arterial bed, the technique we used determined a 100% 30-day survival rate [14].
The presented clinical case clearly demonstrates the dynamics of coagulopathy development in a patient with polymorbid pathology. Of course, the presence of deep vein thrombosis and the consequences of viral intervention determined the recurrence of VTEС in the volume of pulmonary embolism. Analyzing the materials of the presented case, it can be noted about the need for careful selection of ACT, as well as increasing patients' adherence to the prescribed treatment regimen at the outpatient stage. Taking into account the elements of mimicry of developing processes, it is necessary to perform mandatory methods of radiation examination from the point of view of screening evaluation of the effectiveness of the treatment.
Thus, the questions posed by the new coronavirus infection to the entire medical community, including those related to VTEC, require further study and analysis. The severity of the condition of the patients under consideration, just like the degree of severity of competitive pathology, determines the need to accumulate the experience available at the moment, as well as an integrated approach not only to the issues of surgical support, but also anesthetic and perfusion support.
CONCLUSION
The presented manuscript presents the first experience of surgical treatment pulmonary embolism after a new coronavirus infection. Features of the flow early postoperative period, along with changes in the parameters of the central hemodynamics, determined the use of the entire available arsenal of tools, including the use of medical gases and complex conservative therapy, which in ultimately led to a positive result.
ADDITIONALLY
Funding. This article was not supported by any external sources of funding.
Conflict of interests. The authors declare no conflicts of interests.
Patient consent. The ongoing study was performed in accordance with Good Clinical Practice standards and the principles of the Declaration of Helsinki. Written informed consent was obtained from the patient prior to writing this manuscript.
Contribution of the authors: S. A. Fеdorov — collection, translation and analysis of material, writing the text; S. A. Zhurko, V. V. Pichugin, V. A. Chiginev, A. L. Maximov — editing, typing; S. V. Kulkarni — translation and analysis of material, writing the text. The authors confirm the correspondence of their authorship to the ICMJE International Criteria. All authors made a substantial contribution to the conception of the work, acquisition, analysis, interpretation of data for the work, drafting and revising the work, final approval of the version to be published and agree to be accountable for all aspects of the work.
Финансирование. Авторы заявляют об отсутствии внешнего финансирования при проведении исследования.
Конфликт интересов. Авторы заявляют об отсутствии конфликта интересов.
Согласие на публикацию. Текущее исследование проводилось в соответствии со стандартами надлежащей клинической практики и принципами Хельсинкской декларации. Письменное информированное согласие было получено от пациента до написания этой рукописи.
Вклад авторов: Федоров С. А. — сбор, перевод и анализ материала, написание текста; Журко С. А., Пичугин В. В., Чигинев В. А., Максимов А. Л. — редактирование, набор текста; Кулкарни С. В. — перевод и анализ материала, написание текста. Авторы подтверждают соответствие своего авторства международным критериям ICMJE (все авторы внесли существенный вклад в разработку концепции, подготовку статьи, прочли и одобрили финальную версию перед публикацией).
About the authors
Sergey A. Fedorov
Research Institute Specialized Cardiosurgical Clinical Hospital named after academician B. A. Korolev
Author for correspondence.
Email: sergfedorov1991@yandex.ru
ORCID iD: 0000-0002-5930-3941
SPIN-code: 3574-8749
MD, Cand. Sci. (Med.)
Russian Federation, Nizhnу NovgorodSergey A. Zhurko
Research Institute Specialized Cardiosurgical Clinical Hospital named after academician B. A. Korolev
Email: zhurkoser@mail.ru
ORCID iD: 0000-0002-5222-1329
SPIN-code: 9201-1438
MD, Cand. Sci. (Med.)
Russian Federation, Nizhnу NovgorodVladimir V. Pichugin
Research Institute Specialized Cardiosurgical Clinical Hospital named after academician B. A. Korolev; Privolzhsky Research Medical University
Email: pichugin.vldmr@mail.ru
ORCID iD: 0000-0001-7724-0123
SPIN-code: 6986-2331
MD, Dr. Sci. (Med.), Professor
Russian Federation, Nizhnу Novgorod; Nizhnу NovgorodVladimir A. Chiginev
Research Institute Specialized Cardiosurgical Clinical Hospital named after academician B. A. Korolev; Privolzhsky Research Medical University
Email: chiginevvladimir@yandex.ru
ORCID iD: 0000-0001-8977-1968
SPIN-code: 2459-4291
MD, Dr. Sci. (Med.)
Russian Federation, Nizhnу Novgorod; Nizhnу NovgorodAnton L. Maximov
Research Institute Specialized Cardiosurgical Clinical Hospital named after academician B. A. Korolev
Email: maximoval@mail.ru
ORCID iD: 0000-0002-7241-7070
SPIN-code: 3748-4358
MD, Cand. Sci. (Med.)
Russian Federation, Nizhnу NovgorodSanika V. Kulkarni
Privolzhsky Research Medical University
Email: ksanika59@yahoo.in
ORCID iD: 0000-0003-4910-3820
Russian Federation, Nizhnу Novgorod
References
- Claeys MJ, Vandekerckhove Y, Cosyns B, et al. Summary of 2019 ESC Guidelines on chronic coronary syndromes, acute pulmonary embolism, supraventricular tachycardia and dislipidaemias. Acta Cardiol. 2021;76(1):1–8. doi: 10.1080/00015385.2019.1699282
- Cао X. COVID-19: immunopathology and its implications for therapy. Nat Rev Immunol. 2020;20(5):269–70. doi: 10.1038/s41577-020-0308-3
- Tang N, Bai H, Chen X, et al. Anticoagulant treatment is associated with decreased mortality in severe coronavirus disease 2019 patients with coagulopathy. J Thromb Haemost. 2020;18(5):1094–99. doi: 10.1111/jth.14817
- Llitjos J–F, Leclerc M, Chochois C, et al. High incidence of venous thromboembolic events in anticoagulated severe COVID-19 patients. J Thromb Haemost. 2020;18(7):1743–6. doi: 10.1111/jth.14869
- Bikdeli B, Madhavan MV, Jimenez D, et al. COVID-19 and Thrombotic or Thromboembolic Disease: Implications for Prevention, Antithrombotic Therapy, and Follow-up. J Am Coll Cardiol. 2020;75(23):2950–73. doi: 10.1016/j.jacc.2020.04.031
- Cui S, Chen S, Li X, et al. Prevalence of venous thromboembolism in patients with severe novel coronavirus pneumonia. J Thromb Haemost. 2021;18(6):1421–4. doi: 10.1111/jth.14830
- Dolhnikoff M, Duarte–Neto AN, de Almeida Monteiro RA, et al. Pathological evidence of pulmonary thrombotic phenomena in severe COVID-19. J Thromb Haemost. 2020;18(6):1517–9. doi: 10.1111/JTH.14844
- Fogarty H, Townsend L, Cheallaigh CN, et al. COVID-19 coagulopathy in Caucasian patients. Br J Haematol. 2021;189(6):1044–9. doi: 10.1111/bjh.16749
- Lu R, Zhao X, Li J, et al. Genomic characterisation and epidemiology of 2019 novel coronavirus: implications for virus origins and receptor binding. Lancet. 2020;395(10224):565–74. doi: 10.1016/S0140-6736(20)30251-8
- Iba T, Levy J, Levi M, et al. Coagulopathy in COVID-19. J Thromb Haemost. 2020;18(9):2103–9. doi: 10.1111/jth.14975
- Kloka FA, Kruipb MJHA, Van der Meerc NJM, et al. Incidence of thrombotic complications in critically ill ICU patients with COVID-19. Thromb Res. 2020;191:145–7. doi: 10.1016/j.thromres.2020.04.013
- Poissy J, Goutay J, Caplan M, et al. Pulmonary Embolism in COVID19 Patients: Awareness of an Increased Prevalence. Circulation. 2021;142(2):184–6. doi: 10.1161/CIRCULATIONAHA.120.047430
- Wichmann D, Sperhake J, Lütgehetmann M, et al. Autopsy Findings and Venous Thromboembolism in Patients With COVID-19: A Prospective Cohort Study. Ann Intern Med. 2020;173(4):268–77. doi: 10.7326/M20-2003
- Medvedev AP, Fedorov SA, Trofimov NA, et al. Errors in diagnosis and treatment of pulmonary embolism. Kardiologiya i Serdechno-Sosudistaya Khirurgiya. 2021;14(1):54 9. (In Russ). doi: 10.17116/kardio20211401154
Supplementary files












