Clinical Case of a Foreign Body in the Soft Tissues surrounding the Knee Joint: to Help the Practitione
- Authors: Kosyakov A.V.1
- 
							Affiliations: 
							- Ryazan State Medical University
 
- Issue: Vol 32, No 2 (2024)
- Pages: 281-286
- Section: Clinical reports
- Submitted: 21.09.2022
- Accepted: 16.01.2023
- Published: 10.07.2024
- URL: https://journals.eco-vector.com/pavlovj/article/view/111003
- DOI: https://doi.org/10.17816/PAVLOVJ111003
- ID: 111003
Cite item
Abstract
INTRODUCTION: The existence of foreign bodies in a human organism often creates difficulties in differential diagnosis and diagnosis verification.
A clinical case of a 45-year-old female patient is presented. On examination, the patient complained of pain in the knee joints, restricted range of active movements, more on the left. Pain syndrome in the joints has been present for several years intensifying on exertion; a week before the current consultation, the patient fell down from her height on the left knee and felt a sharp enhancement of pain in it. X-ray of the left knee joint showed a fragmented foreign body in the surrounding soft tissues. The patient denied a history of trauma with a foreign body getting into the wound; she cannot give the data and mechanism of appearance of a foreign body in the soft tissues.
CONCLUSION: The peculiarities of the given clinical case include the absence of data on the fact of entry of a foreign body, its prolonged presence in the soft tissues without significant clinical symptoms. A relative rarity of a foreign body in soft tissues, however, does not exclude it being a cause of pain syndrome, the primary care physicians should have diagnostic alertness. A thorough history taking and instrumental examinations are required to exclude, among other things, the presence of an X-ray negative foreign body. Not a single method of examination can be considered ideal for diagnosis of all types of foreign bodies.
Keywords
Full Text
LIST OF ABBREVIATIONS
CT — computed tomography
MRI — magnetic resonance imaging
US — ultrasound examination
INTRODUCTION
The problem of timely diagnosis of foreign bodies in different parts of a human organism is important and includes many issues of managing such patients [1–4]. Foreign bodies most often get into an organism throughdomestic or occupational injury.Most dangerous are foreign bodiesthat are infected and/or located close to important anatomic structures. Location of a foreign body in the periarticular soft tissuecan limitthe mobility of the joint and lead to development ofan inflammatory process with subsequent serious functional disorders [5]. In some cases, a small foreign body can become encapsulatedwithout forminga focus of infection or abscess. Foreign bodies of organic nature create a high probability for developing of inflammation to the extent of formation of a persistent fistula. On the contrary, inorganic materials (e. g., glass)may cause only a minor local inflammation [6].
The reviewed literature presents a sufficient number of cases demonstrating the presence of foreign bodies in the soft tissue in pediatric patients [7–9]. On the contrary, such cases are rare in the practice of general practitioners and rheumatologists.
An important aspect of the timely diagnosis of a foreign body is the time of turning for medical help. In case of a delayed visit to a doctor, even a thorough clinical examination not always can identify the preceding punctures of skin, and X-ray methods do not visualize X-ray negative foreign bodies. The main treatment directionssuggest managing the inflammation and removing the foreign body. In outpatient conditions, it is possible to remove only superficially located foreign bodies, well visualized in soft tissues. In a vast majority of cases,a physician resorts to a surgical cutting in conditions of the operating room [10].
Case Report
A female patient, 45 years old, turned to the Department of Hospital Therapy with a course of medical and social examination of Ryazan State Medical University for an outpatient consultation. She presented with complaints of pain in the knee joints (more on the left) and reduction of the range of active movements in the left knee joint. The pain syndrome has been disturbing the patient for several years and was provoked by physical activity. A week before the consultation, the patient fell from her height on the left knee and felt a sharp enhancement of pain in it.
History: the patient has not previously sought medical care for the pain syndrome in joints, the consultation at the University was the first one; the patient denied chronic diseases, past surgeries, injuries, bad habits. Heredity not burdened; allergy history unremarkable. By occupation, the patient was a medical nurse.
General condition satisfactory, clear consciousness. Position active. Body mass index 28.6 kg/m2. No clinically significant changes in organs and tissues.
Status localis. Skin over the area of the knee joints hyperemic, more so on the left. The left knee joint edematous, increased in size, with a mild‘balloting’ of the patella. No visible skin defects noted. Local tenderness to palpation over the area of the left knee joint, medially and below the patella, skin temperature in this area increased. No visible pathological formations or pathological mobility. The range of active and passive movements in the right knee joint was practically unlimited (flexion 50°, extension 175°). The range of active and passive movements in the left knee joint was limited due to severe pain, especially when performing active movements (flexion up to 90°, extension up to 160°). The range of motion, in degrees, in the knee joint is taken to be: flexion 40°; extension 180°.
Common clinical analyses without significant abnormalities, erythrocyte sedimentation rate 2 mm/hour, C-reactive protein 4.2 mg/l, rheumatoid factor negative.
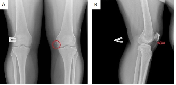
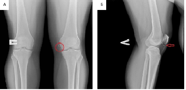
X-ray examination of the knee joints: moderate narrowing of the joint space in the frontaland lateral projections. Intercondylar eminences sharpened. In soft tissues of the left knee joint mediallyand below the patella, an X-ray-positive, thin, fragmented formation 2 cm–2.5 cm long was detected. Conclusion: moderate signs of deforming gonarthrosis, an X-ray positive, fragmented foreign body in the soft tissues of the left knee joint (Figure 1).
Fig. 1. X-ray of the left knee joint in frontal (A) and lateral (B) projections. Note: medially and below patella an X-ray-positive, thin, fragmented formation 2 cm–2.5 cm long is determined (the area of the foreign
body is encircled and indicated by arrow).
The patient wasprescribed a course of non-steroidal anti-inflammatory drug (aceclofenac 100 mg twice a day, 30 minutes after meal, for 7–10 days), with addition of omeprazole 20 mg in the morning, 30 min before meal for gastroprotection during a course of aceclofenac. To decide on the tactics of removing the foreign body, the patient was referred to consultation with a traumatologist. At the time of preparing the article for publication,the patient categorically refused the surgical intervention; pain syndrome significantly subsided.
DISCUSSION
Traditionally, the information of the fact of entry of a foreign body isthe most important criterion for differential diagnosis. This clinical case is of interest from position of unawareness of patient of a foreign body in her organism it was visualized occasionally, in the process of determining the cause of pain syndrome. The reason for X-ray of the knee joints was not a foreign body, but a suspected osteoarthritis (which was confirmed).
The patient does not remember the moment of injury and does not associate the presence of a foreign body with anything. Only falling on the knee joint made the patient seek medical care. The traumathat resulted in penetration of a foreign body in the soft tissue, was supposed to happen quite a long time long ago, since no defects of skin (punctures of skin or subsequent small scars) were found. The fallprobably caused fragmentation of the foreign body, displacement of its fragments and aggravation of pain syndrome.
Thus, with a negative history of injuries and absence of skin defects it is not possible to suspect a foreign body as the cause of the pain syndrome (in this case, as an additional cause, besides osteoarthritis) without use of imaging methods.
We found few works in the available literature that describe such clinical cases. Upon this, a relative rarity of a foreign body does not exclude itbeing a cause of a pain syndrome the primary medical care physicians should have diagnostic alertness towards it. It is also important to note that the periarticular soft tissues (muscles, tendons) are highly mobile and participate in the mechanics of walking, and untimely elimination of the problem threatens with serious consequences fornormal functioning ofthe musculoskeletal system to the extent of lossof the working capacity by the patent.
To note, for visualization of a foreign body, not only its size and X-ray positivity of the material are important, but also X-ray density of the anatomical tissues around the foreign body and its localization relative to these tissues [11]. Thus, in case of a foreign body of polymer materials, the diagnostic potentials of radiography are significantly limited a probability for timely verification of a foreign body at the stageof primary medical care is further reduced. In these cases, it is important not to stop on a negative X-ray result, but also to use ultrasound examination.
Theoretically, the combination of X-ray and ultrasound techniques should make it possible to diagnose and obtain data on the location of foreign bodies from almost any material. There are known cases of detection of wooden foreign bodies up to 2.5 mm in size [12]. Wood has a high echogenicity and gives a pronounced echo shadow on ultrasound examination [13]. Besides, ultrasound suggests good visualization of fish bones, other organic materials, and plastic. Higher ultrasound frequencies have a smaller effective penetration depth for US wave when performing ultrasound examination, both low and high frequencies must be used to achieve the best results [14, 15].
Most metallic foreign bodies can be visualized by any of the available diagnostic methods except magnetic resonance imaging (MRI).
Using X-ray computed tomography (CT), spines, wood, fish bones, and plastic foreign bodies can be identified. CT also permits to identify the inflammatory reaction of soft tissues to a foreign object present in them for a long time. It should be remembered that foreign bodies from wood can mimic air bubbles on CT images, which complicates diagnosis [16].
MRI can visualize non-metallic X-ray-negative foreign bodies and is more accurate but less sensitive than ultrasound in identifying wood, plastic, and organic bodies. Besides, MRI provides more detailed information about the position of the foreign body in relation to surrounding tissues and structures [17].
Thus, no single examination method can be considered ideal for all types of foreign bodies. In each clinical case, to achieve maximum informational content and accuracy in diagnosis, an individual approach to the patient is necessary. Summarized data on the possibilities of visualizing foreign bodies using various research methods are presented in Table 1.
Table 1. Expected Results of Visualization Quality in Diagnosis of Foreign Bodies of Various Materials [14]
| Materials | Kind of Examination | |||
| X-ray | US | CT | MRI | |
| Metal | Excellent | Good | Excellent | Insufficient | 
| Glass | Excellent | Good | Excellent | Good | 
| Organic (spines of plants, fish bones) | Insufficient | Good | Good | Good | 
| Plastic | Average | Satisfactory | Good | Good | 
Notes: CT — computed tomography; MRI — magnetic resonance imaging; US — ultrasound examination
CONCLUSION
The peculiarities of the given clinical case are absence of the data on the fact of entry of a foreign body, its long presence in soft tissues without any significant clinical symptoms. A relative rarity ofa foreign body of soft tissues as a cause for a pain syndrome, nevertheless, does not exclude such a situation the primary care physiciansmust have a diagnostic alertness. A thorough history taking and instrumental examination methods are required, among other things, to exclude the presence of an X-ray negative body. Not a single method of examination can be considered ideal for diagnosing all types of foreign bodies.
ADDITIONALLY
Funding. This study was not supported by any external sources of funding.
Conflict of interests. The authors declare no conflicts of interests.
Patient consent. The article uses anonymized clinical data of patient in accordance with their signed informed consents.
Финансирование. Авторы заявляют об отсутствии внешнего финансирования при проведении исследования.
Конфликт интересов. Авторы заявляют об отсутствии конфликта интересов.
Согласие на публикацию. В статье использованы обезличенные клинические данные пациента в соответствии с подписанным им информированным согласием.
About the authors
Aleksey V. Kosyakov
Ryazan State Medical University
							Author for correspondence.
							Email: Kosyakov_alex@rambler.ru
				                	ORCID iD: 0000-0001-6965-5812
				                	SPIN-code: 8096-5899
																		                								
MD, Cand. Sci. (Med.)
Russian Federation, RyazanReferences
- Hasak JM, Novak CB, Patterson JMM, et al. Prevalence of needlestick injuries, attitude changes, and prevention practices over 12 years in an urban academic hospital surgery department. Ann Surg. 2018;267(2): 291–6. doi: 10.1097/sla.0000000000002178
- Prüss–Üstün A, Rapiti E, Hutin Y. Estimation of the global burden of disease attributable to contaminated sharps injuries among health-care workers. Am J Ind Med. 2005;48(6):482–90. doi: 10.1002/ajim.20230
- Fedoseyev AV, Chekushin AA, Tishkin RV, et al. Complex Approach in Examination of Function of the Knee Joint in Patients with Osteoarthritis. I. P. Pavlov Russian Medical Biological Herald. 2023;31(2):317–28. (In Russ). doi: 10.17816/PAVLOVJ109633
- Kolesnikov AV, Ban' EV, Kolesnikova MA, et al. Clinical Cases of Eye Damage by Physical Factors. Nauka Molodykh (Eruditio Juvenium). 2023;11(4):573–80. (In Russ). doi: 10.23888/HMJ2023114573-580
- Riddell A, Kennedy I, Tong CYW. Management of sharps injuries in the healthcare setting. BMJ. 2015;351:h3733. doi: 10.1136/bmj.h3733
- Rishi E, Shantha B, Dhami A, et al. Needle stick injuries in a tertiary eye-care hospital: incidence, management, outcomes, and recommendations. Indian J. Ophthalmol. 2017;65(10):999–1003. doi: 10.4103/ijo.ijo_147_17
- Yeung Y, Wong JKW, Yip DKH, et al. A broken sewing needle in the knee of a 4-year-old child: is it really inside the knee? Arthroscopy. 2003;19(8):E18–20. doi: 10.1016/s0749-8063(03)00745-x
- Dai Z–Z, Sha L, Zhang Z–M, et al. Arthroscopic retrieval of knee foreign bodies in pediatric: a single-centre experience. Int Orthop. 2022;46(7):1591–6. doi: 10.1007/s00264-022-05410-4
- Oztekin HH, Aslan C, Ulusal AE, et al. Arthroscopic retrieval of sewing needle fragments from the knees of 3 children. Am J Emerg Med. 2006;24(4):506–8. doi: 10.1016/j.ajem.2005.12.011
- Koval AN, Tashkinov NV, Melkonyan GG, et al. Optimization of removal of X-ray visualized foreign bodies of soft tissues. Yakut Medical Journal. 2020;(1):112–5. (In Russ). doi: 10.25789/YMJ.2020.69.28
- Hsiang–Jer T, Hanna TN, Shuaib W, et al. Imaging Foreign Bodies: Ingested, Aspirated, and Inserted. Ann Emerg Med. 2015;66(6):570–82.e5. doi: 10.1016/j.annemergmed.2015.07.499
- Jacobson JA, Powell A, Craig JG, et al. Wooden foreign bodies in soft tissue: detection at US. Radiology. 1998;206(1):45–8. doi: 10.1148/radiology.206.1.9423650
- Borgohain B, Borgohain N, Handique A, et al. Case report and brief review of literature on sonographic detection of accidentally implanted wooden foreign body causing persistent sinus. Crit Ultrasound J. 2012;4(1):10. doi: 10.1186/2036-7902-4-10
- Barr L, Hatch N, Roque PJ, et al. Basic ultrasound-guided procedures. Crit Care Clin. 2014;30(2):275–304. doi: 10.1016/j.ccc.2013. 10.004
- Tintinalli JE, Ma OJ, Yealy DM, et al. Tintinalli's Emergency Medicine: A Comprehensive Study Guide. 9nd ed. McGraw Hill; 2019.
- Krimmel M, Cornelius CP, Stojadinovic S, et al. Wooden foreign bodies in facial injury: a radiological pitfall. Int J Oral Maxillofac Surg. 2001;30(5):445–7. doi: 10.1054/ijom.2001.0109
- Jarraya M, Hayashi D, de Villiers RV, et al. Multimodality imaging of foreign bodies of the musculoskeletal system. AJR Am J Roentgenol. 2014;203(1):W92–102. doi: 10.2214/ajr.13.11743
Supplementary files
 
				
			 
					 
						 
						 
									
 
  
  
  Email this article
			Email this article 



 Open Access
		                                Open Access Access granted
						Access granted Subscription or Fee Access
		                                							Subscription or Fee Access
		                                					


