Cardioesophageal carcinoid: multidisciplinary approach to diagnosis
- Authors: Kazakova S.S.1, Aftaeva E.V.1, Kurkova E.A.1
-
Affiliations:
- Ryazan State Medical University
- Issue: Vol 27, No 4 (2019)
- Pages: 512-519
- Section: Clinical reports
- Submitted: 06.06.2019
- Accepted: 18.11.2019
- Published: 11.01.2020
- URL: https://journals.eco-vector.com/pavlovj/article/view/13071
- DOI: https://doi.org/10.23888/PAVLOVJ2019274512-519
- ID: 13071
Cite item
Abstract
Cardioesophageal carcinoid is a rare neuroendocrine neoplasm. Diagnosis and treatment are especially difficult in case of proximal localization of the gastric lesion (in the region of cardia) which requires a complex multidisciplinary approach. The clinical presentation of gastric carcinoid is in most cases nonspecific, and the tumor is accidentally detected in endoscopic exa-mination for the pain syndrome, dyspepsia, anemia, etc. Thus, all said above makes tumors of cardioesophageal zone a rather actual problem. In this article, on an example of patient K., of 61 years of age, possibilities of a complex approach to diagnosis and treatment of a complicated case of cardioesophageal carcinoid are shown.
Conclusion. Diagnosis of carcinoid tumors is difficult and requires a multidisciplinary approach. The algorithm of diagnostic search and treatment tactics should suggest an individual approach in each clinical case which permits to make a correct diagnosis and to successfully reali-ze a required complex of medical measures.
Full Text
Recently, a steady tendency to increase in the number of identified cases of tumors of esophagogastric junction has been noted. According to the literature data, proportion between the incidence of the disease in men and women is about 5:1. Due to anatomical and physiological peculiarities of the esopha-gogastric junction, surgical intervention enhances the risk for development of different complications in the postoperative period. Parameters of operability (40-72%) and resectability (38-69%) in proximal cancer of stomach are significantly below those in other localization of the process, and postoperative lethality is 15-23% [1, 2].
Neuroendocrine gastric neoplasms (NEGN) include a wide range of tumors with different variants of the clinical course, with different therapeutic approaches and with dramatically different prognosis. They rarely occur in the stomach and account for 9% of all neuroendocrine tumors of the gastrointestinal tract, and for 0.3% of all gastric tumors [1]. The mean age of patients at the moment of identification of NEGN is 62-63 years [3].
Neuroendocrine tumors were first described at the end of XIX century by a German pathologist Otto Lubarsch. During autopsy he noticed multiple tumorous formations in the distal part of the jejunum. Several years later (1907) S. Oberndorfer described similar tumors with a benign course and introduced the term ‘karzinoide’, and in 1923 M. Askanazy first reported a gastric carcinoid. By 1960 only 30 similar cases were reported in the world literature. Later on these tumors were discovered to have endocrine nature and to be easily identified in the reaction of staining with silver. A great contribution to understanding of the nature of these formations was made in the 70s of XX century, when a connection was established between neuroendocrine tumors (NET) of stomach and reduced acidity. At that time small-cell gastric cancer was first described (T. Matsusaka et al., 1976) [1, 4].
The leading role in the pathomorphology of gastric carcinoids is assigned to the eleva-ted level of gastrin, which stimulates hyperplasia, proliferation and malignant transformation of cells. Hypergastrinemia in most cases results from the low acidity of gastric juice with the underlying atrophic gastritis, or is associated with the presence of gastrin-secreting tumors, besides, a role is also played by genetic alterations [1, 5].
All the used methods of diagnosis of gastric carcinoid may be divided to basic (obligatorily performed) – traditional X-ray examination, esophago-gastro-duodenoscopy (EGSD) with biopsy, ultrasound examination of the abdominal cavity, retroperitoneal space and small pelvis; and additional ones – computed tomography (CT), magnetic-resonance tomography (MRT), diagnostic laparoscopy, endosonography, fluorescent diagnosis. A decisive role in diagnosis is played by histological examination [3, 4, 6].
Besides, it is important to identify conditions associated with different types of NEGN: B12-deficit anemia, atrophic gastritis, Zollinger-Ellison syndrome, pathology of parathyroids and of pituitary [3].
Clinical presentation of gastric carcinoid is in most cases nonspecific, and tumor is occasionally identified in endoscopic examination. Usually, indications to EGSD are dyspeptic phenomena, pain syndrome, pernicious anemia, etc. A classic carcinoid syndrome (CS) occurs in less than 5% of cases and includes skin symptoms (‘flushing’ with reddening of skin of face and of the upper body, a hot feeling, telangiectasia), broncho-pulmonary symptoms (bronchospasm, tachy- and hyperpnea), gastrointestinal symptoms (nausea, crampy pain in the abdomen, diarrhea), cardiac symptoms (right-ventricular failure). As a rule, CS develops in patients with a metastatic lesion of the liver [3].
A modern treatment tactics should be based on a combination of a local and syste-mic antitumor action. Here, the leading role is assigned to the surgical method. The volume and character of the operation depend on the type of tumor, extent of invasion and of metastasizing [4, 7].
A clinical example. A case of a neuroendocrine tumor of the cardioesophageal section was observed that required a complex approach to diagnosis and treatment. Multimodality of radiodiagnosis consisted in use of X-ray examination (X-ray of esophagus and of stomach with use of artificial contrast substance barium sulfate with taking a series of photographs), of MRT for clarification of the character of pathological alterations, for determination of the stage and spread of the process and of condition of the surrounding structures. Dynamic observation consisted in multiposition X-ray examination.
Patient K., 61 years old applied to the regional clinical hospital (Ryazan) for medical assistance where he was examined and hospitalized to the department of thoracic surgery. He presented with complains of dysphagia, retrosternal pain after food intake within 2 months. The general condition was satisfactory, normal physique, malnutrition. Organs and systems without peculiarities. Peripheral lymph modes not palpable. Laboratory tests within the norm. Endoscopic and X-ray examinations were carried out, as well as magnetic-resonance tomography (MRT) for clarification of the character of pathologic alterations. In EGSD the esophagus was freely passable up to the cardial part. In this place the lumen was narrowed by tuberous tender additional tissue.
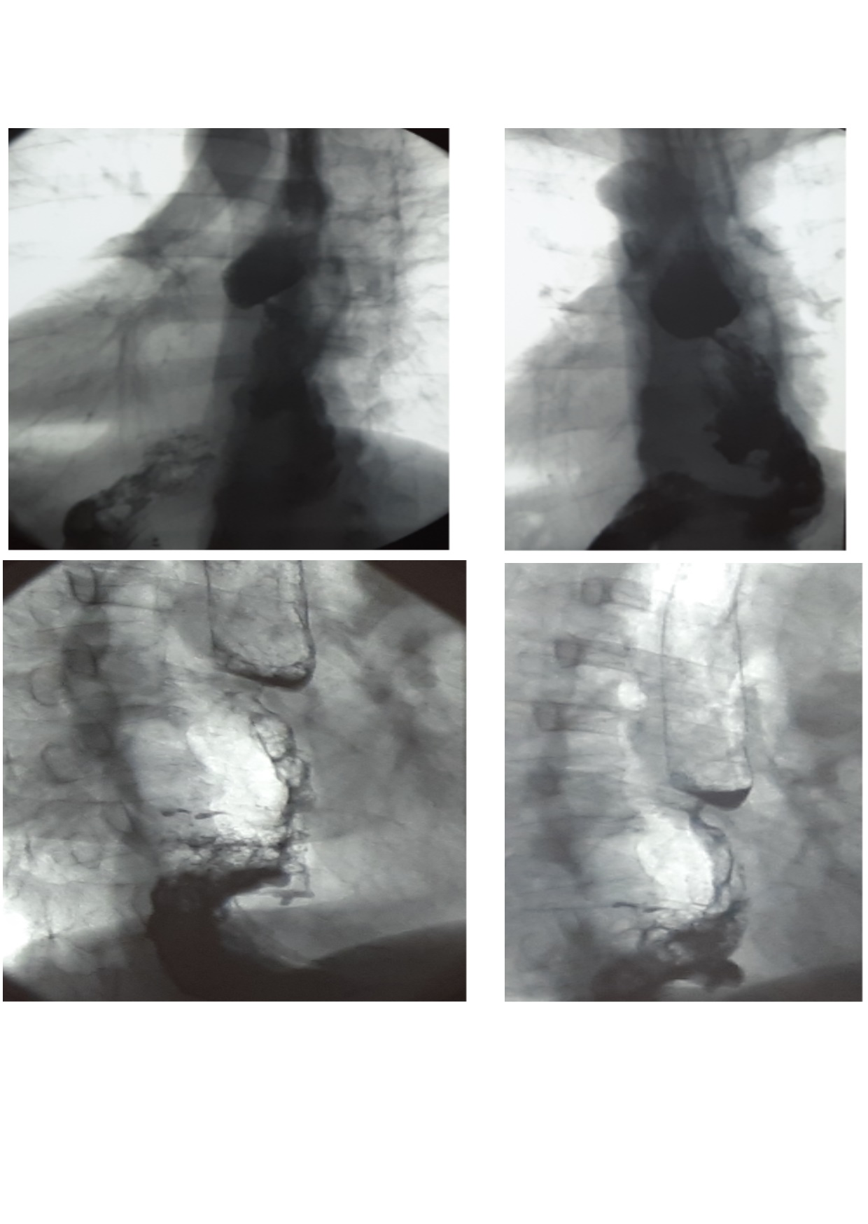
Contrast multiposition examination of the esophagus, stomach, duodenum after peroral intake of barium sulfate suspension (X-ray examination and X-ray photography in the frontal, lateral and oblique projections) revealed signs of cardioesophageal cancer (Figure 1).
Spread, stage of the oncological process, condition of the surrounding tissues were determined by MRT of the abdominal cavity (Figure 2).
The patient was made an operation – laparoscopy, thoracotomy on the right, resection of the stomach and esophagus by Lewis method. Revision during laparoscopy revealed a tumor in the abdominal part, a conglomerate of lymph nodes up to 2 cm in size. Lesser curvature with the left gastric artery and greater curvature in block with lymph nodes were isolated. Beginning of formation of the gastric flap.
In the course of thoracotomy on the right, the esophagus in block with lymph nodes was isolated, the stomach with the tumor and lymph nodes was exteriorized into the pleural cavity through the esophageal hiatus. Formation of gastric flap was completed. The stomach, esophagus were resected in one block with lymph nodes. Esophagogastric anastomose was formed. Probe, drainages were installed into the transplant.
Macroscopically: a part of the esophagus of 6 cm length and a part of stomach of 6.5 cm length along the lesser curvature and of 10 cm length along the greater curvature were resected. At the distance of 2.5 cm from the proximal edge of the preparation in the esophagogastric junction a polyp-like tumor 4.5 х 3.0 cm was identified that grew throughout all layers of the gastric wall. Lymph nodes along the greater and lesser curvature 2.5 cm in diameter were found (probably, metastatic).
Histologically: neuroendocrine formation of the cardioesophageal part with invasion into the deep zones of the muscle layer with multiple tumorous emboli in the lumen of lymphatic vessels, metastases into 11 lymph nodes of 18 isolated ones, edges of resection with no tumor growth.
Fig. 1. Radiographic contrast study of the esophagus and stomach: In the abdominal part of the esophagus and in the cardial part of the stomach a defect of filling is determined 4 x 3 cm with irregular edges, mucosal folds in the zone are not observed. Against the background gas bubble of the stomach the shadow of the tumorous formation is visualized. The fasting stomach contains insignificant amount of fluid and mucus. Emptying of the contrast substance from the stomach is not disturbed. The bulb and other parts of the duodenum are without changes
Fig. 2. Results of MRT of the abdominal cavity: Thickening of the gastric wall in the zone of the cardial part (attributable to the neoplastic process with infiltrative growth); near the stomach along the right contour enlarged lymph nodes are determined (right cardiodiaphragmal, of lesser curvature, of the left gastric artery) up to 25x17 mm in size. Conclusion: a picture of voluminous formation in the cardial part of the stomach, regional lymphadenopathy (of metastatic character)
The operation was without complications. Sutures were removed on the 13th day, the patient was discharged in satisfactory condition. In 4 months after the surgical treatment the patients was readmitted to the thoracic surgery department with complaints of disorders of passage of solid food.
Endoscopic and X-ray examinations (Figure 3) revealed cicatrical stenosis in the zone of gastroanastomose. After per os intake of barium suspension, narrowing of the lumen to 0.4 cm along 0.7 cm length was determined in the region of anastomose in a series of X-ray pictures. Evacuation through the esophagus, transplant, a part of stomach in the abdominal cavity and duodenum was visible.
A course of gullet bougienage under X-ray control was conducted with a positive effect.
We think that our observation is interesting from the point of view of relatively rare incidence of neuroendocrine gastroeso-phageal tumors and of inevitable difficulties in diagnosis of neoplasms of this localization. Traditional X-ray examinations play an important role in identification of the neoplastic process, they permit to clarify localization and dimensions of tumor, the extent of narrowing of the affected part of the gastrointestinal tract. MRT as a high-technology method for clarification of diagnosis permits a more detailed evaluation of the character of pathological alterations, the extent of invasion, and to identify metastases into lymph nodes. The final diagnosis of carcinoid is based on histological examination. A complex of different diagnostic measures permits to make diagnosis, to plan the tactics of treatment and management of the patient (to choose the surgical approach and the volume of the intervention), and provides information for control of effectiveness of treatment.
Fig. 3. Radiographic contrast examination of the esophagus and stomach in 4 months after surgery
Conclusion
According to literature data and our observations, the diagnosis of carcinoid tumors is difficult and requires multidisciplinary approach (complex radio- and endoscopic diagnosis, surgical treatment, morphohistological verification, etc.). Each diagnostic approach possesses unique possibilities for identification of a neoplasm, determination of the character of tumor growth, the scope of lesion, spread of oncological process, condition of regional lymph nodes, the extent of frustration of the function of the affected organ, etc. The algorithm of diagnostic search and treatment tactics should suggest individual approach for each specific clinical case which permits to make a correct diagnosis and successfully realize a complex of required therapeutic measures.
About the authors
Svetlana S. Kazakova
Ryazan State Medical University
Author for correspondence.
Email: kz-swetlana@yandex.ru
ORCID iD: 0000-0002-8760-2527
SPIN-code: 2234-3604
Candidate of Medical Sciences, associate Professor of the Department of Phthisiology with the course of radiology
Russian Federation, 390026, Ryazan, Vysokovoltnaja, 9Elena V. Aftaeva
Ryazan State Medical University
Email: aftaeva.elena@gmail.com
ORCID iD: 0000-0003-4418-2259
Assistant of the department of faculty therapy with the course of therapy FDPO
Russian Federation, 390026, Ryazan, Vysokovoltnaja, 9Elena A. Kurkova
Ryazan State Medical University
Email: lenolium_11@mail.ru
ORCID iD: 0000-0003-3674-4303
Ordinator of the Department of Phthisiology with the course of radiology
Russian Federation, 390026, Ryazan, Vysokovoltnaja, 9References
- References
- Peregorodiev IN, Bokhian VY, Delektorskaya VV, et al. Neuroendocrine tumors of stomach. Modern classification. Russian Journal of Oncology. 2016; 21(1-2):81-5. (In Russ). doi: 10.18821/1028-9984-2015-21-1-81-85
- Aliev AR, Zeinalov RS, Agalarov ISh. The results of surgical treatment of proximal gastric cancer. Modern Technologies in Medicine. 2011;(1):92-94. (In Russ).
- Kovalenko TV, Budzinskiy AA, Melchenko DS. Gastric carcinoid – modern approaches to diagnosis and treatment. Experimental and Clinical Gastroenterology. 2011;(10):95-102. (In Russ).
- Chissov VI, Vashakmadze LA, Sidorov DV, et al. Rak proksimal’nogo otdela zheludka: sovremen-nyye podkhody k diagnostike i lecheniyu. Vestnik Rossiyskogo onkologicheskogo nauchnogo tsentra im. N.N. Blokhina RAMN. 2003;14(1):91-5. (In Russ).
- Danilova IA. Morphological features of the parenchymal compartment of basic histological forms of gastric carcinoma. I.P. Pavlov Russian Medical Biological Herald. 2011;19(1):8-13. (In Russ).
- Perfil’yev IB, Ungiadze GV, Kuvshinov YuP, et al. Evolyutsiya podkhodov k endoskopicheskoy diag-nostike kartsinoidov zheludka. Siberian Oncological Journal. 2010;(S2):37-8. (In Russ).
- Karpov DV, Kaminsky YuD, Grigorjev AV, et al. Forecast factors and their influence on results of treatment cancer of the gullet. Nauka Molodykh (Eruditio Juvenium). 2013;(2):39-52.
Supplementary files









