A rare case of a variant of development of a pseudoaneurysm after angiography and stenting of coronary arteries with transradial access
- Authors: Kalinin R.E.1, Suchkov I.A.1, Karpov A.V.2, Shanayev I.N.1
-
Affiliations:
- Ryazan State Medical University
- Clinical Hospital No. 6 named after G. A. Zakharyin
- Issue: Vol 33, No 1 (2025)
- Pages: 87-94
- Section: Clinical reports
- Submitted: 20.02.2023
- Accepted: 17.04.2023
- Published: 16.04.2025
- URL: https://journals.eco-vector.com/pavlovj/article/view/252747
- DOI: https://doi.org/10.17816/PAVLOVJ252747
- ID: 252747
Cite item
Abstract
INTRODUCTION: Transradial access in catheterization of the coronary arteries is a safe and widely used approach with significantly lower incidence of serious complications compared with the transfemoral access. Since this is the basic form of access used by interventional surgeons dealing with coronary vessel pathology, awareness of its complications is of much importance. Pseudoaneurysm of the radial artery is a rare complication of transradial access with a typical localization of the defect along the anterior wall of the artery. The most common causes include inadequate compression of the puncture site, systemic use of anticoagulants by the patient or the use of sheaths larger than 6 Fr. Early detection and treatment of this rare complication are of great importance.
Aim: To present a clinical case of a patient with a pseudoaneurysm of the radial artery that developed on the first day after injury to the posterior arterial wall.
This paper presents a clinical case of a patient with radial artery pseudoaneurysm resulting from injury to the posterior wall of the artery that occurred during puncture and was successfully closed using tight bandaging.
CONCLUSION: The clinical case is presented due to its rare frequency of occurrence. A careful puncture of the radial artery without damaging the posterior wall will help avoid the development of this complication of coronary angiography. Compression of the puncture site of the pseudoaneurysm neck under ultrasound control can be an alternative to surgical treatment.
Full Text
LIST OF ABBREVIATIONS
CAG — coronary angiography
CA — coronary artery
RA — radial artery
INTRODUCTION
Over the past decades, rapid development of endovascular surgery has been noted. Its attractiveness lies in the maximal effectiveness with minimal invasiveness of the surgery compared with open surgical interventions [1–3], which is achieved through the improvement of both techniques and instruments.
All endovascular interventions are performed in two stages: surgical stage consisting in the vessel puncture and introduction of endovascular instruments in the vessel (various catheters, stent delivery systems, etc.), and radiological stage, which ensures passage of contrast substance through the examined portion of the vascular system [4].
Aortoarteriography by percutaneous puncture of the femoral or radial artery (RA) was developed by S. A. Seldinger in the 1950s and in its classic version permitted puncture of both arterial walls [4, 5], with the mandrin and inner cannula being withdrawn and the surgeon pulling the outer cannula backward. The appearance of a pulsating blood stream indicated the correct position of the needle in the vessel lumen. To note, the original Seldinger technique is no longer used because of risk of development of complications.
Access through the RA was first described in 1989 for coronary angiography (CAG) and in 1993 for coronary artery (CA) stenting [6, 7]. Transradial access is a very elegant alternative being significantly safer, not requiring immobilization of patients after surgery, and having a markedly lower incidence of complications. Technically, transradial access does not differ from puncture of the femoral or brachial artery. After palpation of the artery, local anesthesia with novocaine or lidocaine is conducted. A puncture needle (1.4 × 70 mm) is inserted in the artery until a pulsating blood stream appears from it. It is important to note that when using the radial access, it is very often impossible to avoid puncture of the posterior vessel wall, however, this is considered not to be a problem due to a small size of the puncture needle [8].
The aim of this study to present a clinical case of a patient with a pseudoaneurysm of the radial artery that developed on the first day after injury to the posterior arterial wall.
Case Report
Patient K., 60 years old, was admitted to the department of X-ray Surgical Diagnostic and Treatment methods of Clinical Hospital No. 6 named after G. A. Zakharyin (Penza) with the diagnosis: Non-ST elevation acute coronary syndrome. The patient was urgently taken to the operating room, where CAG was conducted with subsequent culotte-stenting of the anterior descending artery and the first-order diagonal branch. Before surgery, the patient received a loading dose of dual antiplatelet therapy (acetylsalicylic acid 150 mg and ticagrelor 180 mg).
Operation protocol. Under local anesthesia after treating the surgical field twice with 1.0% lidocaine solution (2 ml), the right RA was punctured, a 6 Fr introducer was installed, and CAG was performed. The right type of myocardial blood supply. The trunk of the left CA with uneven contours. Ninety percent stenosis of the anterior descending artery at the site of origin of the first-order diagonal branch. Ninety percent stenosis of the first-order diagonal branch at the orifice (bifurcation stenosis 1-1-1 according to the Medina classification, Y-type bifurcation). The circumflex artery with uneven contours. The right CA with uneven contours.
After CAG, the patient was intravenously administered 5000 IU of sodium heparin, a guiding catheter was inserted into the left CA trunk, the first coronary guidewire was inserted into the distal segment of the anterior descending artery, the second coronary guidewire was inserted into the distal segment of the first-order diagonal branch, and direct stenting of the stenosed zone of the anterior descending artery with a 3.0 × 24 mm drug-eluting stent was performed, followed by proximal optimization of the stent with a 4.0 × 10 mm balloon.
On control CAG: the stent of the anterior descending artery is completely unwrapped, the first-order diagonal artery is 99.0% narrowed at the orifice, the blood flow according to the latest TIMI II. In this context, re-crossing of the coronary guidewires and balloon angioplasty of the anterior descending artery and the first-order diagonal branch was performed with 3.0 × 24 mm and 3.0 × 15 mm balloons, respectively, using kissing-technique.
On control CAG: class B intima dissection according to the NHLBI (The National Heart, Lung and Blood Institute) classification at the orifice and in the proximal segment of the first-order diagonal branch. Then the coronary guidewire was withdrawn from the anterior descending artery, and stenting of the proximal segment of the first-order diagonal branch was performed with a 3.0 × 18 mm drug-eluting stent, with an outlet into the proximal segment of the anterior descending artery, with subsequent proximal optimization of the stent with a 4.0 × 10 mm balloon. Then the second coronary guidewire was inserted through the stent cell into the distal segment of the anterior descending artery, and balloon angioplasty of the anterior descending artery was performed at the site of origin of the first-order diagonal branch with a 2.0 × 20 mm balloon. Next, balloon angioplasty of the anterior descending artery and the first-order diagonal branch was performed using kissing-technique with 3.0 × 15 mm and 3.0 × 18 mm balloons, respectively.
On control CAG: the anterior descending artery and the first-order diagonal branch are patent, the stents are fully unwrapped, no dissection signs are detected, TIMI III blood flow. The instruments are removed. A pressure aseptic bandage is applied.
The patient was transferred to the cardiac intensive care unit for further observation and selection of conser-vative therapy. The next morning, when the bandage was removed, the patient complained of swelling and cyanosis of the distal part of the right forearm. On examination: the pulse in the right upper limb was determined only on the brachial artery, the volume of the right forearm exceeded that of the left one by 2 cm.
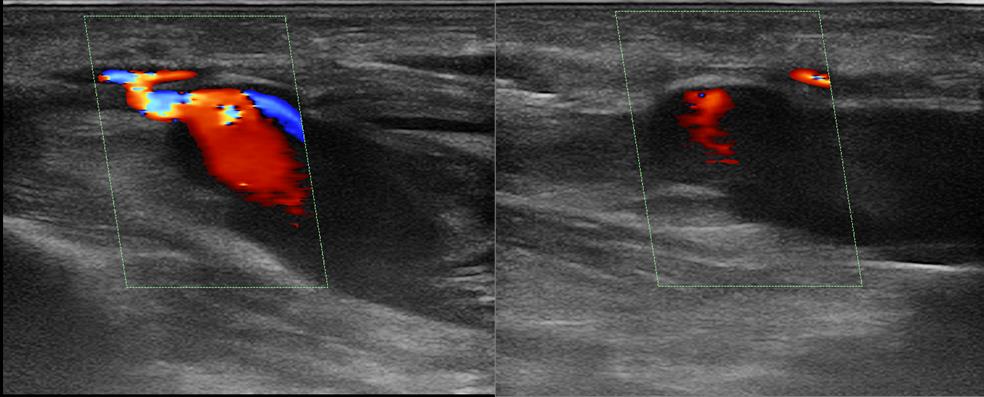
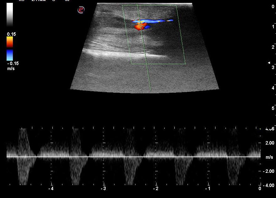
According to duplex scanning of the arteries of the upper limbs: the radial and ulnar arteries are patent, with the main type blood stream through them. The presence of a pseudoaneurysm along the posterior wall of the RA with low-resistance blood flow is noted (Figures 1, 2). The dimensions of the pseudoaneurysm of the RA are 16.4 × 13.5 mm in cross section.
Fig. 1. Duplex scan, spectral Doppler mode, longitudinal section. The blood flow in the neck of the pseudoaneurysm is shown.
Fig. 2. Duplex scan, color Doppler imaging, cross section. The blood flow in the lumen of the radial artery pseudoaneurysm and its sizes are shown.
Due to the location of the pseudoaneurysm neck at the level of the posterior wall, it was decided to refrain from surgical intervention. A pressure bandage was again applied to the puncture area and forearm.
On examination the next day, the pulse in the right upper limb was determined only on the brachial artery, the right forearm exceeded the left one in volume by more than 3.5 cm.
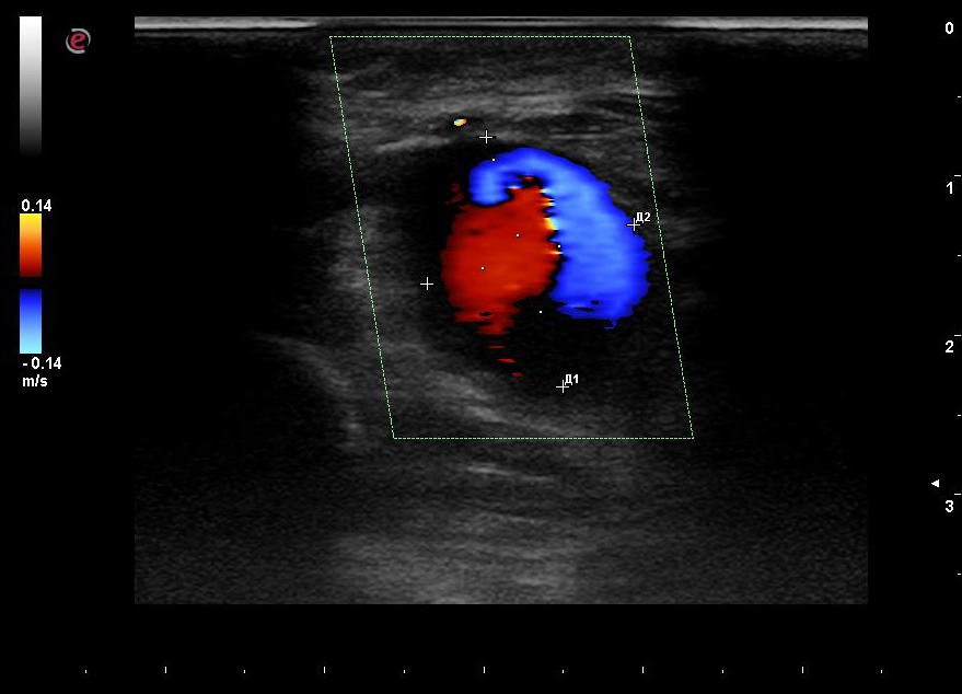
Repeat duplex scanning of the upper limb arteries: the aneurysm cavity spread to the upper third of the upper arm (Figures 3, 4), with the main type blood flow through the RA. Under ultrasound guidance, compression was applied in the area of the pseudo-aneurysm neck.
Fig. 3. Repeat Duplex scan (the second day), color Doppler mode, longitudinal section. The blood flow in the lumen of the radial artery pseudoaneurysm is shown.
Fig. 4. Repeat Duplex scan (the second day), spectral Doppler mode, longitudinal section. The blood flow in the neck of the radial artery pseudoaneurysm is shown.
On the third day, according to the duplex scanning of the upper limb arteries, the pseudoaneurysm cavity was partially thrombosed. Under ultrasound guidance, compression was re-imposed in the area of the pseudoaneurysm neck.
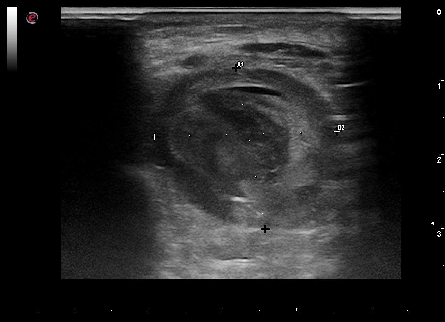
On the fifth day, according to duplex scanning of the upper limb arteries, the cavity of the pseudoaneurysm was completely thrombosed, with the main blood stream through the radial and ulnar arteries (Figure 5).
Fig. 5. Duplex scan on the fifth day, B-mode, cross section. The thrombosed cavity of the pseudoaneurysm of the radial artery and its size are shown.
DISCUSSION
As was already said, transradial access gives a markedly reduced incidence of complications, and, what is no less important, lower severity of the latter. Complications include spasm, occlusion of the artery (interestingly, in 11.0%–15.0% of cases it can undergo spontaneous recanalization), dissection or perforation, and also a pseudoaneurysm of the RA.
The rarest complication among all the above is a pseudoaneurysm, occurring in less than 1.0% of cases [9, 10]. The wall of such an aneurysm is usually made up of surrounding tissues, and in all cases reported in the literature, a pseudoaneurysm is located along the anterior wall of the artery [10–14]. The two main risk factors for pseudoaneurysm development are the use of systemic anticoagulant therapy and inadequate compression of the puncture site. In addition, there have been reported cases of aneurysm development after infection of the access site with a catheter [12, 13].
In our clinical observation, the pseudoaneurysm was located in the superficial part of the forearm muscles, deep in the soft tissues, between the second and third layers of the forearm muscles. We have not encountered reports of the similar localization of pseudoaneurysms in the literature. The mechanism of formation of a pseudoaneurysm in our observation was injury to the posterior wall of the RA during puncture.
Among the possible methods of treating pseudoaneurysms of the RA, there are surgical and conservative ones [12, 13, 15]. The main and first method of treating post-puncture pseudoaneurysms is local compression during the first three days with the subsequent ultrasound control [16]. Therefore, we chose tight bandaging as a treatment method. Interestingly, no effect was achieved on the first and second days, which can be explained by the atypical location of both the neck and the pseudoaneurysm itself. And only on the third day, when the superficial part of the forearm muscles reached the complete volume, the pseudoaneurysm began to be partially thrombosed. Not unimportant role in this was played by targeted (under ultrasound control) compression at the location of the aneurysm neck. This is supported by the fact that the hematoma did not spread to the back of the forearm, elbow area and upper arm. Surgical intervention is indicated when conservative methods are ineffective, and may include suturing the site of the arterial wall defect or ligation of the RA. In our observation, the defect was located along the posterior wall of the artery, which would require mobilization over a greater distance than with standard location of the defect along the anterior wall.
CONCLUSION
This clinical observation is presented due to its rare occurrence. Careful puncture of the radial artery without damaging the posterior wall will help avoid the develop-ment of such complication of coronary angiography. Com-pression of the site of pseudoaneurysm neck under the ultrasound guidance can be an alternative to surgical treatment.
ADDITIONALLY
Funding. This study was not supported by any external sources of funding.
Conflict of interests. The authors declare no conflicts of interests.
Contribution of authors: R. E. Kalinin, I. A. Suchkov — editing; A. V. Karpov — attending physician, writing the text; I. N. Shanayev — doctor who performed the ultrasound examination, writing the text. The authors confirm the correspondence of their authorship to the ICMJE International Criteria. All authors made a substantial contribution to the conception of the work, acquisition, analysis, interpretation of data for the work, drafting and revising the work, final approval of the version to be published and agree to be accountable for all aspects of the work.
About the authors
Roman E. Kalinin
Ryazan State Medical University
Email: kalinin-re@yandex.ru
ORCID iD: 0000-0002-0817-9573
SPIN-code: 5009-2318
MD, Dr. Sci. (Med.), Professor
Russian Federation, RyazanIgor' A. Suchkov
Ryazan State Medical University
Email: suchkov_med@mail.ru
ORCID iD: 0000-0002-1292-5452
SPIN-code: 6473-8662
MD, Dr. Sci. (Med.), Professor
Russian Federation, RyazanAleksandr V. Karpov
Clinical Hospital No. 6 named after G. A. Zakharyin
Email: karpov145@yandex.ru
ORCID iD: 0000-0001-9635-9445
SPIN-code: 5907-1019
MD.
Russian Federation, PenzaIvan N. Shanayev
Ryazan State Medical University
Author for correspondence.
Email: c350@yandex.ru
ORCID iD: 0000-0002-8967-3978
SPIN-code: 5524-6524
MD, Dr. Sci. (Med.)
Russian Federation, RyazanReferences
- Kalinin RE, Suchkov IA, Alferov YuV, et al. Coronary artery aneurism: clinical case. Nauka Molodykh (Eruditio Juvenium). 2021;9(4):605–12. (In Russ). doi: 10.23888/HMJ202193605-612
- Kostyamin YuD, Mikhaylichenko VYu, Baziyan–Kukhto NK, et al. Experience of using intra-aortic balloon counterpulsation during coronary bypass surgery and coronary stenting in patients with reduced left ventricular ejection fraction and mitral regurgitation of ischemic genesis. I. P. Pavlov Russian Medical Biological Herald. 2021;29(3):419–26. (In Russ). doi: 10.17816/PAVLOVJ60221
- Kondaraki AV, Chupin AV, Alekyan BG, et al. Achievements and Prospects for Vascular Surgery in Treatment of Vertebrobasilar Insufficiency. I. P. Pavlov Russian Medical Biological Herald. 2022;30(4): 563–74. (In Russ). doi: 10.17816/PAVLOVJ109601
- Savel’yev VS, Petrosyan YuS, Zingerman LS, et al. Angiograficheskaya diagnostika zabolevaniy aorty i eyo vetvey. Moscow: Meditsina; 1975. (In Russ).
- Garry BP, Bivens HE. The Seldinger technique. J Cardiothorac Anesth. 1988;2(3):403. doi: 10.1016/0888-6296(88)90342-0
- Campeau L. Percutaneous radial artery approach for coronary angiography. Cathet Cardiovasc Diagn. 1989;16(1):3–7. doi: 10.1002/ccd.1810160103
- Kiemeneij F, Laarman GJ. Percutaneous transradial artery approach for coronary stent implantation. Cathet Cardiovasc Diagn. 1993; 30(2):173–8. doi: 10.1002/ccd.1810300220
- Lapp H, Krakau I. The Cardiac Catheter Book. Diagnostic and Interventional Techniques. Moscow: Medicinskaya literatura; 2019. (In Russ).
- Roy S, Kabach M, Patel DB, et al. Radial Artery Access Complications: Prevention, Diagnosis and Management. Cardiovasc Revasc Med. 2022; 40:163–71. doi: 10.1016/j.carrev.2021.12.007
- Shroff A, Siddiqui S, Burg A, et al. Identification and management of complications of transradial procedures. Curr Cardiol Rep. 2013; 15:350. doi: 10.1007/s11886-013-0350-x
- Bhat T, Bhat H, Teli S, et al. Pseudoaneurysm a rare complication of transradial cardiac catheterization: a case report. Vascular. 2013;21(5):331–4. doi: 10.1177/1708538113478745
- Bhat T, Teli S, Bhat H, et al. Access-site complications and their management during transradial cardiac catheterization. Expert Rev Cardiovasc Ther. 2012;10(5):627–34. doi: 10.1586/erc.12.16
- Collins N, Wainstein R, Ward M, et al. Pseudoaneurysm after transradial cardiac catheterization: case series and review of the literature. Catheter Cardiovasc Interv. 2012;80(2):283–7. doi: 10.1002/ccd.23216
- Gallinoro E, Natale F, D’Elia S, et al. Radial pseudoaneurysm in elderly: a rare event with undefined therapeutical approach. A case report and literature review. Monaldi Arch Chest Dis. 2019;89:1109. doi: 10.4081/monaldi.2019.1109
- Molina–López V, Nieves–La Cruz C, Llopart–Herrera L, et al. Successful Treatment of Radial Artery Pseudoaneurysm After Transradial Cardiac Catheterization With Continuous Compression Therapy by a TR Band® Radial Compression Device. Cardiovasc Revasc Med. 2021;28(Suppl):227–31. doi: 10.1016/j.carrev.2020.09.021
- Kalinin RE, Suchkov IA, Shanaev IN, et al. Case Report of Patient with Posttraumatic Arteriovenous Fistula of Femoral Vessels in the Lower Third of Thigh: Peculiarities of Pathogenesis and Difficulties of Management. I. P. Pavlov Russian Medical Biological Herald. 2022;30(3):375–86. (In Russ). doi: 10.17816/PAVLOVJ102594
- Dorn A, Galkin P, Kalmykov E, et al. Case report of a massive pseudoaneurysm of the anterior tibial artery. I. P. Pavlov Russian Medical Biological Herald. 2021;29(2):293–8. (In Russ). doi: 10.17816/PAVLOVJ70498
- Kalinin RE, Suchkov IA, Karpov VV, et al. Potentials of Using Allografts in Surgical Treatment of Popliteal Artery Aneurysms. I. P. Pavlov Russian Medical Biological Herald. 2022;30(1):115–22. (In Russ). doi: 10.17816/PAVLOVJ76343
- Vinogradova YuA, Kokov LS, Mikhailov IP, et al. Methods of treatment of pulsating hematoma and false aneurysm peripheral arteries after endovascular interventions. Lechaschi Vrach. 2018;(7): 21–4. (In Russ).
Supplementary files










