Влияние формальдегида in utero на строение тимуса новорожденных крыс
- Авторы: Ваш И.Ю.1
-
Учреждения:
- ГУ ЛНР Луганский государственный медицинский университет им. Святителя Луки
- Выпуск: Том 28, № 2 (2020)
- Страницы: 143-152
- Раздел: Оригинальные исследования
- Статья получена: 01.07.2020
- Статья опубликована: 03.07.2020
- URL: https://journals.eco-vector.com/pavlovj/article/view/34902
- DOI: https://doi.org/10.23888/PAVLOVJ2020282143-152
- ID: 34902
Цитировать
Аннотация
Цель. Изучение строения тимуса новорожденных крыс, рожденных самками, подвергавшихся ингаляционному влиянию формальдегида (ФА) на протяжении всего периода гестации.
Материалы и методы. Работа проведена на 72 белых беспородных крысах первого дня постнатального развития. Первую группу составили крысята (n=37) – потомство шести крыс, которые в течение всего периода беременности находились в условиях воздействия ФА в концентрации 2,766 мг/м3. Экспозиции ФА осуществлялись 1 раз в день в течение 60 мин в затравочной камере объемом 1 м3. Вторую группу составили контрольные животные (n=35) – потомство шести крыс, которые во время проведения эксперимента находились в условиях, аналогичных таковым у экспериментальной группы за исключением влияния ФА. Определяли массу тела новорожденных крыс, абсолютную и относительную массу тимуса. Изучалось строение тимуса на светооптическом уровне. Подсчет количества клеток в корковом и мозговом веществе тимуса осуществлялся на площади 2500 мкм2.
Результаты. Масса тела и абсолютная масса тимуса новорожденных крыс первой группы были статистически значимо ниже контрольных значений. Отличия между значениями относительной массы тимуса в сравниваемых группах были незначительными. Количество клеток в корковом и мозговом веществе тимуса под действием ФА значительно не изменялось.
Заключение. Ингаляционное влияние ФА на организм беременных крыс в течение всего периода гестации приводит к уменьшению массы тела и абсолютной массы тимуса новорожденных крыс. При этом относительная масса тимуса не претерпевает значительных изменений. Строение тимуса на светооптическом уровне под действием ФА также не претерпевает существенных изменений.
Ключевые слова
Полный текст
Строение тимуса новорожденных детей достаточно подробно описано в работах Н.А. Волошина с соавт. [1] и Е.А. Григорьевой с соавт. [2]. Тимус новорожденных характеризуется дольчатым строением. В междольковых перегородках иногда определяются небольшие участки жировой ткани. Корково-медуллярная граница, как правило, выражена плохо. На фоне снижения плотности расположения клеток в корковом веществе встречается «гнездная» потеря лимфоцитов. Среди клеток как коркового, так и мозгового вещества самым представительным классом клеток являются малые лимфоциты (около 70%). Количество эпителиоретикулоцитов составляет приблизительно 5% от всего количества клеток тимуса. В мозговом веществе располагаются небольших размеров тельца вилочковой железы. В клетках, их формирующих, определяются деструктивные изменения в ядре и цитоплазме. В ткани вилочковой железы могут встречаться как мелкие, так и большие кистозные (с ШИК-положительным и альцианофильным содержимым) тельца вилочковой железы [1, 2].
В литературе представлены результаты исследований, демонстрирующие изменения структуры тимуса новорожденных крыс, которые in utero подвергались действию разного рода химических веществ. Так, в работе Н.В. Ягловой с соавт. [3] показано, что низкодозовое воздействие дихлор-дифенилтрихлорэтана в течение беременности не нарушает формирование тимуса потомства крыс, но приводит к изменениям его структуры, заключающимся в замедлении лобуляции долей, формировании обширного безэпителиального пространства в корковом веществе и уменьшении образования тимических телец в мозговом веществе. Прегравидарная алкогольная интоксикация матерей в течение 1 мес. в сочетании с воздействием этанола во время беременности также влияет на морфогенез тимуса потомства, что выражается в снижении показателей его абсолютной и относительной массы, пролиферативной активности, усилении клеточной гибели, появлении микроциркуляторных и диспластических изменений [4].
Формальдегид (ФА) является обычным органическим соединением, принадлежащим к семейству альдегидов [5]. ФА в низких концентрациях содержится в пищевых продуктах и воде, в то время как его высокие концентрации определяются в окружающей среде в составе: (1) выхлопных газов автомобилей, (2) табачного дыма, (3) дыма от лесных пожаров, (4) газов, образующихся при разложении растительных остатков в почве и фотохимическом окислении углеводородов и т.д. [6]. ФА широко используется при синтезе фенольных, мочевинных и меламиновых смол, в качестве связующего вещества в древесно-стружечных плитах, напольных покрытиях и красках, а также в производстве пластмасс, текстиля, косметики и инсектицидов [7]. Международное агентство по исследованию рака (Agency for Research on Cancer, IARC) и ряд национальных агентств классифицировали ФА как канцероген для человека (группа 1) [8].
По данным некоторых авторов существует тесная связь между воздействием ФА и частотой прерывания беременности, а также с другими негативными результатами – низкой массой тела новорожденных, преждевременными родами и нарушением менструального цикла [9]. У самок мышей, подвергшихся воздействию ФА, наблюдается гипоплазия матки и яичников [10]. Кроме того, у потомства самок крыс и мышей, подвергшихся воздействию ФА, имеет место увеличение частоты встречаемости аномалий плода, хромосомных аберраций и анеуплоидии.
Отсутствие данных литературы относительно влияния формальдегида на внутриутробное формирование тимуса послужило основанием для определения цели данной работы – изучение строения тимуса потомства самок крыс, подвергавшихся воздействию формальдегида на протяжении всего периода гестации.
Материалы и методы
Работа проведена на 72 белых беспородных крысах первого дня постнатального развития. Исследование проводилось в соответствии с Правилами и рекомендациями, принятыми Европейской конвенцией по защите позвоночных животных, используемых для экспериментальных и иных научных целей [11] и Принципами надлежащей лабораторной практики (Национальный стандарт Российской Федерации ГОСТ 33044-2014). Проведение представленного исследования одобрено на заседании комиссии по вопросам биоэтики ГУ ЛНР Луганский государственный медицинский университет им. Святителя Луки (протокол №5 от 05.11.2018).
Животные были разделены на 2 группы. Первую группу (ФА) составили крысята (n=37) – потомство шести крыс, которые в течение всего периода беременности подвергались ингаляционному влиянию ФА (2,766 мг/м3). Воздействия ФА осуществлялись ежедневно по 1 ч в затравочной камере объемом 1 м3. Вторую группу (К) составили контрольные животные (n=35) – потомство шести крыс, которые во время проведения эксперимента находились в условиях, аналогичных таковым группы ФА за исключением влияния изучаемого агента. Во время между экспозициями ФА самки находились в стандартных условиях вивария. Новорожденных крыс взвешивали на весах ВЛР-200, после чего их умерщвляли парами диэтилового эфира. После этого выделяли тимус, определяли его абсолютную и относительную массу и фиксировали в 10% растворе нейтрального формалина.
После заливки в парафин подготовленных стандартным способом [12] препаратов изготавливали срезы толщиной 5-7 мкм, которые окрашивали гематоксилином и эозином. В связи с тем, что деление тимуса новорожденных крыс на корковое и мозговое вещество явно не выражено, осуществляли подсчет клеток на участках серийных срезов площадью по 2500 мкм2, которые располагались: (1) в непосредственной близости от капсулы тимуса или его септ (корковое вещество) и (2) в центре долек (мозговое вещество) в шести непересекающихся полях зрения каждого среза. По этому алгоритму исследовали каждый 10-й серийный срез.
Количественные данные обработаны с применением параметрического (t-критерий Стьюдента) метода оценки значимости отличий при помощи программы Statistica 10 (Stat Soft Inc., США). Статистически значимыми считали отличия при значениях p<0,05.
Результаты и их обсуждение
В таблице 1 представлены показатели массы тела новорожденных крыс, а также абсолютной и относительной массы тимуса. Очевидно, что все указанные параметры у потомства крыс, которые подвергались влиянию ФА, были ниже показателей контроля.
Таблица 1 Показатели массы тела и тимуса новорожденных крыс
Группа | Показатель | Mean | SD | min | max | t | p |
Контроль | МТ, г | 6,03 | 0,39 | 5,27 | 6,71 | – | – |
Абс., мг | 12,01 | 0,36 | 11,20 | 12,60 | – | – | |
Отн., мг/г | 2,00 | 0,15 | 1,74 | 2,37 | – | – | |
Воздействие ФА | МТ, г | 4,75 | 0,37 | 4,12 | 5,35 | 14,42 | <0,001 |
Абс., мг | 9,31 | 0,36 | 8,40 | 9,80 | 31,97 | <0,001 | |
Отн., мг/г | 1,97 | 0,17 | 1,72 | 2,35 | 0,78 | >0,05 |
Примечание: МТ – масса тела крысят, Абс. – абсолютная масса тимуса, Отн. - относительная масса тимуса
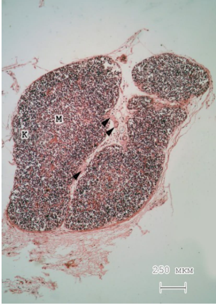
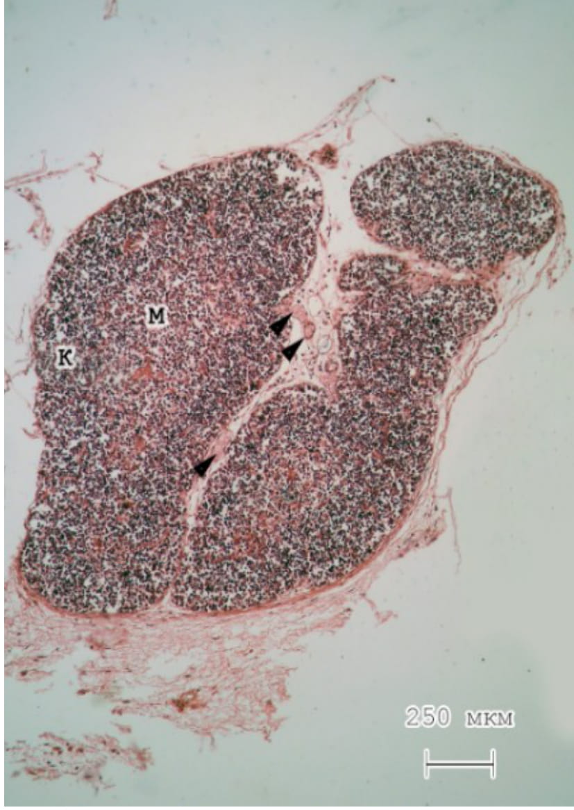
При гистологическом исследовании на малом увеличении видно, что дольки тимуса имеют овальную форму. Количество септ незначительно. В пределах последних, а также между долями тимуса, хорошо определяются сосуды и небольшое количество жировой ткани. Исследование на светооптическом уровне тимуса крыс обеих групп показало, что граница между корковым и мозговым веществом плохо выражена. При этом все же видно, что центр долек окрашивается менее интенсивно в сравнении с их периферическими отделами (рис. 1, 2).
Рис. 1. Тимус новорожденной крысы контрольной группы. Объектив – х4. Гематоксилин и эозин
Примечания: граница между корковым и мозговым веществом определяется не четко; К – корковое вещество; М – мозговое вещество
Рис. 2. Тимус новорожденной крысы группы ФА. Объектив – х4. Гематоксилин и эозин
Примечания: граница между корковым и мозговым веществом определяется более четко в сравнении с контролем; К – корковое вещество; М – мозговое вещество; стрелки указывают на кровеносные сосуды
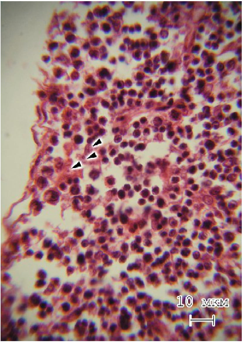
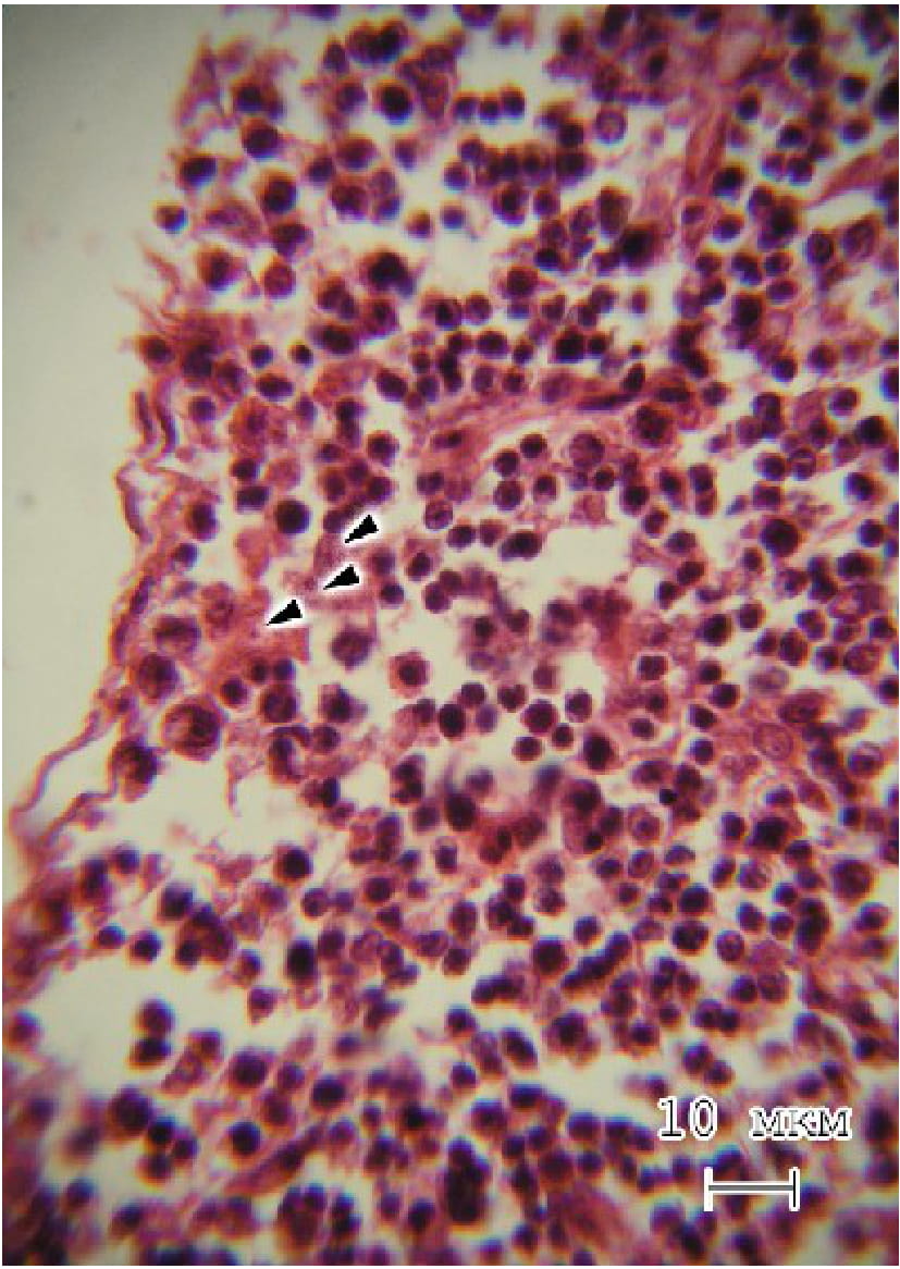
Строение тимуса крыс на светооптическом уровне в обеих группах практически не отличалось друг от друга. Кариолемма больших лимфоцитов в связи с менее интенсивным окрашиванием их ядра визуализируется в окружении оксифильной цитоплазмы и, зачастую, определяется в виде тонкой полоски, имеющей разную толщину. В корковом веществе также встречаются в небольшом количестве и неправильной формы эпителиоретикулоциты. На некоторых препаратах достаточно хорошо видны их отростки (рис. 3, 4).
Рис. 3. Корковое вещество тимуса новорожденной крысы группы ФА. Объектив – х100. Гематоксилин и эозин
Примечания: в субкапсулярной зоне видны лимфобласты; стрелки указывают на эпителиоретикулоциты
Рис. 4. Субкапсулярная зона коркового вещества тимуса новорожденной крысы группы ФА (увеличенный участок рис. 3). Объектив – х100. Гематоксилин и эозин
Примечания: звездочками отмечены лимфобласты; одиночные черные стрелки указывают на эпителиоретикулоциты, имеющие ядро овальной формы; в центре слабоокрашенного ядра видно ядрышко; двойная черная стрелка указывает на эпителиоретикулоцит неправильной формы; видны отростки клетки; слабо окрашенное ядро в центре содержит ядрышко; одиночная белая стрелка указывает на ядро фибробласта капсулы; двойная белая стрелка – митоз тимоцита
Ядра этих клеток выглядят более светлыми в сравнении с таковыми у лимфоцитов. Их форма варьирует от овальной до неправильной. Как правило, в ядре этих клеток, чаще в центре, располагается одно ядрышко. В мозговом веществе количество лимфоцитов уменьшается, в связи с чем лучше визуализируются эпителиальные клетки. В мозговом веществе тимоциты представлены в основном клетками среднего и малого размеров. Их ядра имеют интенсивную базофильную окраску. Цитоплазма получает оксифильное окрашивание, а цитолемма иногда формирует хорошо заметные выпячивания. Ядра эпителиоретикулоцитов мозгового вещества слабо зернистые и имеют бледную базофильную окраску. Митозы тимоцитов и эпителиальных клеток наблюдаются как в корковом, так и, в меньшей степени, в мозговом веществе. Небольшие очаги пикнотических лимфоцитов были выявлены во внутренних зонах коры тимуса крыс обеих групп. Тельца Гассаля не определялись ни в контроле, ни в экспериментальной группе.
Количество клеток в корковом и мозговом веществе тимуса крыс группы ФА было ниже значений контроля на 1,39% (t=1,37; p=0,174) и 0,78% (t=0,92; p=0,361) соответственно (рис. 5).
Таким образом, эпидемиологические исследования связывают влияние ФА с высокой частотой абортов, нарушениями менструального цикла, врожденными пороками развития, снижением массы новорожденных и бесплодием как у людей, так и у животных [13]. Тем не менее, другие авторы критиковали подобные результаты, полученные при изучении небольших выборок или неверной их интерпретации [14]. Недавнее гистоморфологическое исследование показало, что ФА индуцирует токсические изменения в структуре плаценты у мышей, приводящие к нарушению функций последней и снижению массы плодов [15]. Повышение уровня ФА в атмосфере, в т.ч. и в жилых помещениях, стала серьезной токсикологической проблемой общественного здравоохранения.
Рис. 5. Количество клеток коркового и мозгового вещества тимуса новорожденных крыс на площади 2500 мкм2 (отрезок – ± 2 стандартных отклонения)
Известно, что ФА реагирует со многими биомолекулами – белками, нуклеиновыми кислотами и аминокислотами. Это может приводить к сшиванию ДНК с белками, формируя комплексы, которые способны накапливаться в тканях плаценты и плода [16]. Указанные образования, накопленные в плаценте, могут оказывать неблагоприятное воздействие на трофобласт и, тем самым, приводить к синцитиотрофобластной гормональной дисфункции.
Условия эксперимента представленного исследования привели к статистически значимому снижению массы тела ново-рожденных крыс, что согласуется с результатами ранее проведенных исследований [15] и может объясняться нарушениями со стороны гормональной активности плаценты [3]. Известно, что гонадотропин, действуя паракринно и аутокринно, вызывает дифференцировку ворсинчатого трофобласта на протяжении всей беременности, а человеческий плацентарный лактоген и плацентарный гормон роста вовлечены в адаптацию матери к беременности и принимают участие в контролировании роста плода [17].
Снижение абсолютной массы тимуса у потомства самок, находившихся в условиях воздействия ФА, вполне закономерно в связи с тем, что масса тела крысят была ниже контрольных показателей. Отсутствие же статистически достоверных отличий между показателями относительной массы тимуса в контрольной и экспериментальной группах животных свидетельствует в пользу пропорционального снижения, как массы тела крысят, так и массы органа. По данным J.D. Thrasher, et al. [18], ФА неблагоприятно воздействует на зиготы/эмбрионы и клетки костного мозга. Результаты указанного исследования показали повреждение клеток эмбрионов и высокий уровень смертности, тогда как клетки костного мозга имели повышенные показатели хромосомных аберраций и анеуплоидии. Аналогичные наблюдения в отношении хромосом лимфоцитов периферической крови были зарегистрированы у студентов медицинских учебных заведений, подвергавшихся действию ФА. Установлено, что воздействие ФА в концентрации 1,5-3,17 мг/м3 вызывает повышение частоты обмена сестринскими хроматидами, аберраций и образования микроядер. Концентрации формальдегида менее 1 мг/м3 не влияет на хромосомы лимфоцитов, но вызывает увеличение CD19 и уменьшение CD4, CD5. В своей работе J.D. Thrasher, et al. [18] указывают на инволюцию лимфоидной ткани и появление многочисленных центров экстрамедуллярного кроветворения у потомства самок, подвергавшихся воздействию ФА в концентрации 0,012 и 1,0 мг/м3. Эти данные не согласуются с результатами представленного исследования, в котором выраженных изменений тимуса на светооптическом уровне выявлено не было, по-видимому, в связи с различной концентрацией ФА, примененной в указанных исследованиях.
ФА вызывает отклонения в буферной емкости крови, которые приводят к метаболическому ацидозу. pH крови у плода снижается, тогда как гиперкапния, сочетанная с дефицитом железа, увеличивается как у плода, так и у матери. Помимо этого наблюдается дефицит железа у плода и у матери. Такие изменения, как правило, приводят к увеличению смертности эмбрионов [18]. ФА, вероятно, влияет на эмбрионы и плоды также через повреждающее действие на митохондрии. Кислородный стресс, вызванный генерированием свободных радикалов, связан с апоптотической гибелью клеток и фрагментацией митохондриального генома [19]. Кроме того, ФА через генераторы формальдегида (например, алкилирующие агенты) способен инициировать апоптоз [20]. Таким образом, такие врожденные дефекты как, например, низкая масса тела при рождении, вероятно, лучше всего объясняются внутриутробным окислительным стрессом и повреждением митохондрий, возникшими в ответ на воздействие на организм матери ФА.
Заключение
Полученные данные свидетельствуют о том, что ингаляционное влияние формальдегида на самок в течение всего периода беременности приводит к значительному снижению массы тела и абсолютной массы тимуса новорожденных крыс. При этом, показатели относительной массы органа не подвергаются выраженным изменениям. Изучение строения тимуса на светооптическом уровне не выявило значительных отклонений в морфологии органа потомства животных, подвергавшихся влиянию формальдегида.
Об авторах
Ирина Юрьевна Ваш
ГУ ЛНР Луганский государственный медицинский университет им. Святителя Луки
Автор, ответственный за переписку.
Email: IrinaVash1988@mail.ru
ORCID iD: 0000-0001-9289-6788
SPIN-код: 4171-5115
ResearcherId: AAB-4877-2020
Соискатель кафедры анатомии человека, оперативной хирургии и топографической анатомии
Россия, ЛуганскСписок литературы
- Волошин Н.А., Григорьева Е.А. Тимус новорожденных. Запорожье; 2011.
- Григорьева Е.А., Григорьев С.В., Скаковский Э.Р. Морфология тимуса человека в раннем постнатальном периоде онтогенеза // Web of Scholar. 2018. Vol. 2, №5 (23). С. 11-15.
- Яглова Н.В., Цомартова Э.С., Назимова С.В., и др. Морфологические изменения тимуса новорожденных крыс, подвергавшихся воздействию эндокринного дисраптора дихлордифенилтри-хлорэтана (ДДТ) во внутриутробном периоде развития // Бюллетень экспериментальной биологии и медицины. 2019. Т. 167, №2. С. 261-264.
- Пугач П.В., Круглов С.В., Карелина Н.Р. Особенности строения тимуса и краниальных брыжеечных лимфатических узлов у новорождённых крыс после пренатального воздействия этанола // Морфология. 2013. Т. 144, №4. С. 030-035.
- Дорогова В.Б., Тараненко Н.А., Рычагова О.А. Формальдегид в окружающей среде и его влияние на организм // Бюллетень Восточно-Сибирского Научного центра сибирского отделения Российской академии медицинских наук. 2010. Т. 71, №1. С. 32-35.
- Chen D., Fang L., Mei S., et al. Regulation of Chromatin Assembly and Cell Transformation by Formaldehyde Exposure in Human Cells // Environmental Health Perspectives. 2017. Vol. 125, №9. P. 097019. doi: 10.1289/EHP1275
- Ahmed H.M., Rashad S.H., Ismail W. Acute Kidney Injury Following Usage of Formaldehyde-Free Hair Straightening Products // Iranian Journal of Kidney Diseases. 2019. Vol. 13, №2. Р. 129-131.
- Pira E., Romano C., Vecchia C., et al. Hematologic and cytogenetic biomarkers of leukemia risk from formaldehyde exposure // Carcinogenesis. 2017. Vol. 38, №12. P. 1251-1252. doi: 10.1093/carcin/bgx072
- Merzoug S., Toumi M.L. Effects of hesperidin on formaldehyde-induced toxicity in pregnant rats // EXCLI Journal. 2017. Vol. 30, №16. 400-413. doi: 10.17179/excli2017-142
- Wang H.X., Wang X.Y., Zhou D.X., et al. Effects of low-dose, long-term formaldehyde exposure on the structure and functions of the ovary in rats // Toxicology and Industrial Health. 2013. Vol. 29, №7. P. 609-615. doi: 10.1177/0748233711430983
- European Convention for the Protection of Vertebrate Animals Used for Experimental and other Scientific Purposes (ETS 123). Strasbourg; 1986.
- Лилли Р. Патогистологическая техника и практическая гистохимия. М.: Мир; 1969.
- Razi M., Malekinejad H., Sayrafi R., et al. Adverse effects of long-time exposure to formaldehyde vapour on testicular tissue and sperm parameters in rats // Veterinary Research Forum. 2013. Vol. 4, №4. P. 213-219.
- Marks T.A., Worthy W.C., Staples R.E. Influence of formaldehyde and Sonacide (potentiated acid glutaraldehyde) on embryo and fetal development in mice // Teratology. 1980. Vol. 22, №1. P. 51-58. doi: 10.1002/tera.1420220108
- Amiri A., Pryor E., Rice M., et al. Formaldehyde exposure during pregnancy // The American Journal of Maternal/Child Nursing. 2015. Vol. 40, №3. P. 180-185. doi: 10.1097/NMC.0000000000000125
- Lai Y., Yu R., Hartwell H.J., et al. Measurement of endogenous versus exogenous formaldehyde-induced DNA-protein crosslinks in animal tissues by stable isotope labeling and ultrasensitive mass spectrometry // Cancer Research. 2016. Vol. 76, №9. P. 2652-2661. doi: 10.1158/0008-5472.CAN-15-2527
- Newbern D., Freemark M. Placental hormones and the control of maternal metabolism and fetal growth // Current Opinion in Endocrinology, Diabetes and Obesity. 2011. Vol. 18, №6. P. 409-416. doi:10. 1097/MED.0b013e32834c800d
- Thrasher J.D., Kilburn K.H. Embryo toxicity and teratogenicity of formaldehyde // Archives of Environmental Health. 2001. Vol. 56, №4. P. 300-311. doi: 10.1080/00039890109604460
- Ballinger S.C., Couder T.B., Davis C.S., et al. Mitochondrial genome damage associated with cigarette smoking // Cancer Research. 1996. №56. P. 5692-5697.
- Hickman M.J., Samson I.D. Role of DNA mismatch repair and p53 induction of apoptosis by alkylating agents // Proceedings of the National Academy of Sciences. 1999. №96. 10764-10769. doi:10.1073/ pnas.96.19.10764
Дополнительные файлы















