Experimental study on an alternative to suturing the laparotomy wound with a mesh thread
- Authors: Fedoseev A.V.1, Cherdantseva T.M.1, Inyutin A.S.1, Glukhovets I.B.2, Lebedev S.N.1, Muraviev S.Y.1
-
Affiliations:
- Ryazan State Medical University
- City Clinical Hospital of Emergency Medical Care
- Issue: Vol 29, No 2 (2021)
- Pages: 277-286
- Section: Original study
- Submitted: 29.10.2020
- Accepted: 28.01.2021
- Published: 22.07.2021
- URL: https://journals.eco-vector.com/pavlovj/article/view/48726
- DOI: https://doi.org/10.17816/PAVLOVJ48726
- ID: 48726
Cite item
Abstract
BACKGROUND: Incisional ventral hernias (IVH) in abdominal surgery remain relevant because the frequency of their formation after laparotomy reaches 10%–30.7%.
AIM: This study aimed to develop a method for the primary closure of a laparotomy wound via mesh endoprosthesis, which is superior to laparorrhaphy with traditional suture materials in terms of morphophysical properties.
MATERIALS AND METHODS: Laparorrhaphy with a mesh thread was developed (Patent for invention RUS No 2714439 02/14/2020) as an alternative to preventive prosthetics with narrow indications to avoid herniation. An experimental work was conducted to investigate the wound process in the suture area on days 14 and 60 and determine the effectiveness and safety of the proposed method.
RESULTS: Video laparoscopy data showed that no cases of adhesions were observed between the internal organs and the area of laparorrhaphy on days 14 and 60 of the postoperative period. Defects in the area of the application of sutures on the aponeurosis of the white line were absent. In the wound, the mesh thread fully integrated into the regenerating tissue, including at the site of the knot. The tissue also grew through the meshed cells. On day 14, the strength of the regenerating tissue with the sutured mesh thread was greater than that sutured without it (11.198 ± 1.499, p < 0.01). This finding was confirmed by the larger area of granulations and fibrosis in cases of mesh suture than that of the checkerwise-reinforcing suture, suture with a mesh thread, and suture with a strip of mesh endoprosthesis. Another peculiarity of the connective tissue newly formed in the area of the mesh endoprosthesis in the form of the mesh thread was that collagen fibrils were arranged concentrically. By contrast, the mesh strip had collagen fibrils arranged in a longitudinal orientation parallel to the endoprosthesis. On day 60 of the experiment, all the series showed signs of maturation of the connective tissue in the form of the predomination of fibrils in cellular elements and their compaction. The area of fibrosis and granulations still prevailed in cases of the mesh suture, where neocollagenogenesis in the cells of the endoprosthesis was more pronounced than that after the application of a reinforcing suture, a mesh thread, and a strip of mesh endoprosthesis.
CONCLUSION: The absence of wound complications and negative impact on the surrounding tissues indicated the safety of using the mesh suture. The strengthened characteristics associated with the peculiarities of the wound process showed that the mesh suture was effective in preventing the occurrence of postoperative hernia. Therefore, this method could be used in clinical practice.
Full Text
Incisional ventral hernias (IVH) are a very urgent problem. Hernias can occur in 10%–30.7% of patients following gastrointestinal surgery [1-4]. With this, most hernias form after emergency surgery [5]. In 77.5% of cases, they occur after a midline laparotomy and have a tendency to grow steadily [6]. Despite the undoubted advantages of midline laparotomy in terms of quick access to the abdominal organs, the possibility of their full revision, and performance of the main stage of the operation, disadvantages were identified given the poor vascularization of this zone, which prevents rapid formation of a mature scar [7, 8]. This is important in older patients, who had the highest frequency of IVH, especially in individuals with existing atrophic and dystrophic processes in the tissues as well as diseases associated with increase in the intra-abdominal pressure [9, 10]. Nevertheless, suture of the white line of the abdomen must reliably hold the edges of the wound, which is not always possible due to the presence of the above issues and many other risk factors. Therefore, to prevent IVH, preventive prosthetic methods have been developed to substantially reduce the risk of this complication in high-risk groups [11-13]. Nevertheless, the technique is not devoid of drawbacks, and its application is limited [14, 15]. Thus, for development and introduction into practice, alternative and not less reliable methods of suturing of a laparotomy wound, aimed at the prevention of IVH, are necessary.
This study aimed to develop a method for the primary closure of a laparotomy wound using a mesh endoprosthesis, which has superior morphological and physical properties over methods of laparorrhaphy with traditional suture material.
MATERIALS AND METHODS
As a laparorrhaphy method alternative to preventive prosthetics, a mesh thread was used, which was obtained from a strip of polypropylene mesh endoprosthesis of 1.2 cm × 15.0 cm stretched to the maximum possible length until acquisition of a cylindrical shape. This was necessary to ensure more extensive contact with the surrounding tissues. The material was fixed in the open eye of the cutting surgical needle, curved by 1/2 or 3/8 of the circumference with a diameter of at least 1 mm, for further suturing (Figure 1A).
A mesh thread became the basis of the developed and patented “Method for suturing a laparotomy wound using a mesh thread” (Patent for invention RUS No. 2714439 of February 02, 2020).
The objectives of this method are as follows:
- Creation of the basis for formation of a strong connective tissue scar.
- Strengthening of the areas of the white line of the abdomen with the greatest tension after laparotomy.
- Increasing the strength of the suture of the aponeurosis through extensive contact of the used mesh thread with the sutured tissues.
- Reduction of the load on the continuous suture.
In this method, the white line of the abdomen is at first sutured in places with the greatest tension by application of reinforcing stitches with a mesh thread, and a continuous suture is applied according to the scheme shown in Figure 3.
To determine the safety and effectiveness of the developed method, an experimental study was carried out.
The study included 16 pigs weighing 25–30 kg, and the experiments were in accordance with the “Rules for working with experimental animals No 755 of December 08, 1977” as well as the principles of Good Laboratory Practice with amendments of 1997, incorporated in EU Directive 2004/10 EC.
At the first stage of the experiment in all animals, two midline laparotomy wounds were made under general anesthesia following aseptic technique: one 10–12 cm long incision above the umbilicus, and the other 5–7 cm long incision below the umbilicus (Figure 1B).
To ensure sterility of the experiment, incisions were made until the peritoneum to prevent adhesions with abdominal organs.
The white line in the upper midline laparotomy in the lower part of the wound was sutured following the above method with a mesh tread made of a mesh endoprosthesis “Esfil standard” (Lintex, Russia).
In the upper part, the aponeurosis was sutured with a traditional thread with a checker-wise reinforcing stitches (Patent for invention RUS 2644846 02/14/2018) that was more reliable than interrupted and twisted stitches, reinforcing suture using Braided Ftorest 0 thread (Volot, Russia) was applied, and a continuous suture with checker-wise stitches with polypropylene monofilament No 2/0 (Volot, Russia) was also used [16] (Figure 2).
In the upper part of the wound, one reinforcing stitch was applied with a standard thread, and in the lower part of the wound, a reinforcing stitch with a mesh thread was used, and the distance between these stitches was at least 5 cm to limit probable mutual influence of wound processes in the regions of these stitches (Figure 3).
To complete the experiment, the location of these sutures was changed, that is, in half of the animals, a mesh suture and continuous suture were applied in the lower part of the wound, and in the other half, they were applied in the upper part. The same method was used with the checker-wise reinforcing suture with a thread.
Laparotomy below the umbilicus was performed for implantation of the Esfil standard mesh endoprosthesis in the form of a strip and a mesh thread retromuscularly and contralaterally into the sheath of the rectus abdominis muscles (Figure 4).
These materials were implanted in all 16 animals in each lower midline laparotomy. This was necessary to compare the reaction of tissues to a freely implantable traditional form of a mesh endoprosthesis and to a mesh thread, which enabled assessment of the presence or absence of a negative effect of the developed form of a mesh endoprosthesis on tissues. Another task of this stage of the experiment was to compare the course of the wound process with the use of a mesh thread freely implanted in the tissue and a mesh thread used for application of a reinforcing suture, which was necessary for the assessment of safety and effectiveness of the new technique of laparorrhaphy. In this study, the groups were matched for comparison, since in all cases the synthetic materials used were in contact with identical tissues, despite different accesses.
Fig. 1. A mesh thread, fixed in the eye of a surgical needle (A); laparotomy approach (B).
Fig. 2. Application of checker-wise reinforcing stitches (left): reinforcing stitch (A); checker-wise stitch (B). Suturing of laparotomy wound with a mesh thread (right).
Fig. 3. Application of a reinforcing suture with a mesh thread (A) and Ftorest 0 (B).
Fig. 4. View of the surgical wound: isolation of the retromuscular space (A), implantation of a mesh thread into the retromuscular space (B), implantation of a strip of mesh endoprosthesis (C).
The subcutaneous tissue was sutured with Vicril biodegradable suture material (Ethicon, USA) and the skin with nylon with both the upper and lower midline accesses. The animals were kept in a vivarium. As an anesthetic in the postoperative period, ketorol solution 1.0 was given three times a day intramuscularly, antibiotic therapy was also initiated with ceftriaxone 50–75 mg/kg once a day, and the suture was treated with brilliant green solution. Skin sutures were removed on the days 9-10.
At the second stage of the experiment, eight animals were operated on again on days 14 and day 60. The procedures were performed under general anesthesia. Firstly, a video laparoscopy was performed to examine the suturing site of the white line of the abdomen above the umbilicus for consistency and to check for adhesions with the internal organs. Then, the earlier sutured white line of the abdomen was accessed for a macroscopic assessment of the wound process and excision of white line areas with sutures for tensometric and histological examinations. The excised areas of the sutured white line of the abdomen in the form of strips of 2 cm × 5 cm were fixed in the clamps of the rupture device and were subjected to tensometric examination on ACD/1R-0.1/1I-2 electronic dynamometer (NPO Mega Ton Electronic Dynamometers, Russia). Efforts required to rupture the scars of the sutures of the white line of the abdomen were measured, thereby determining their strength, expressed in Newtons (N).
The obtained pieces of tissues were fixed in 20% solution of neutral formalin. Histological examination was carried out on paraffin sections of 5 μm thickness and stained with hematoxylin and eosin and van Gieson. Photographs were taken at ×200 and ×400 magnifications on LeicaDM microscope with Leica camera.
Research materials were statistically processed using Statistica 13.3 software. Totalities of quantitative parameters were described using arithmetic means and standard deviations. Analysis of significance of the obtained parameters was carried out using Mann–Whitney U-test. The calculated values of the Mann–Whitney U-test were compared with the critical values at the given level of significance. Assessment of differences between groups was carried out at the significance of the criterion level p < 0.05.
RESULTS AND DISCUSSION
Video laparoscopy on postoperative days 14 and 60 did not reveal any cases of adhesion process between the internal organs and laparorrhaphy area, as well as defects of the previously sutured white line of the abdomen.
Macroscopically, the area of the white line of the abdomen, sutured with a reinforcing stitch with a thread, had an elastic–elastic consistency by palpation, its color did not differ from the color of intact tissues, and a homogeneous connective tissue was determined on a cut around the suture thread. The area of the white line of the abdomen with a reinforcing stitch by a mesh thread was dense to touch, and the connective tissue completely covered the mesh thread that was poorly visualized in the knot area. On the cut, the mesh thread was fully integrated into the tissue with tissue growth through its cells, including the knot area. The volume of tissue involved in the mesh reinforcing suture exceeded 1.5–2 times the volume of the rest of the scar on day 14 and 2.5–3 times on day 60. On examination of the areas of implantation of the strip of mesh endoprosthesis and a mesh thread, the color of the tissues did not differ from that of the intact tissues. The mesh strip was palpated as a flat dense structure, completely covered with connective tissue, and poorly visualized through it. On the cut, it was fully integrated into the tissue, with the absence of any pathological discharge. The mesh thread was palpated as a dense tubular structure, completely covered with connective tissue, and poorly visualized through it. On the cut, it fully integrated into the tissue, with no pathological discharge. By day 14, the volume of tissue involved in the scarring process with a mesh thread was 2–2.5 times the volume of the tissue with a mesh strip implant, and on day 60, it was 3–3.5 times the volume (Figure 5).
Fig. 5. Surgical material: a scar 60 days after the application of a reinforcing suture with a mesh thread (A); mesh thread 14 days after implantation (B); a strip of a mesh implant (above) and a scar after application of a reinforcing suture with a mesh thread (below) on day 14 (preparation to histological examination) (C).
The tensometric examination showed that on day 14 the strength of the checker-wise reinforcing suture was increased from 65.2 to 73.4 N (average 68.8 ± 3.2 N) and that of the reinforcing suture with mesh thread increased from 82.2 to 90.2 N (average 85.6 ± 2.8 N). This proves the reliably significant superiority of the latter, showing a stronger connection of the edges of the aponeurosis in laparorrhaphy with a mesh thread, in contrast to suturing with traditional suture material (U = 4 < UCr = 15, p = 0.038).
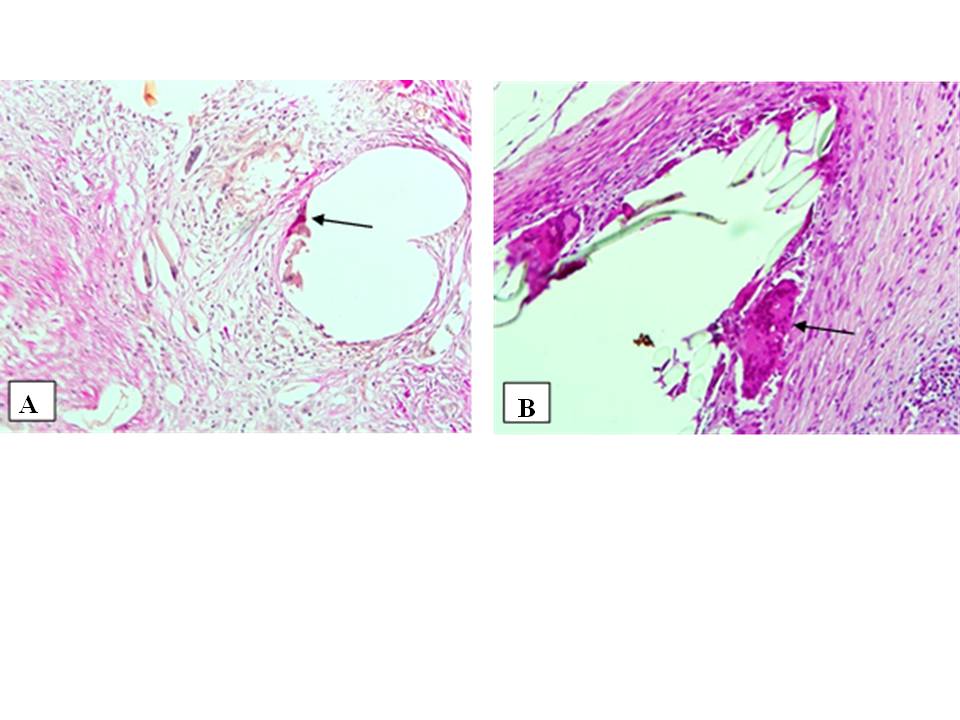
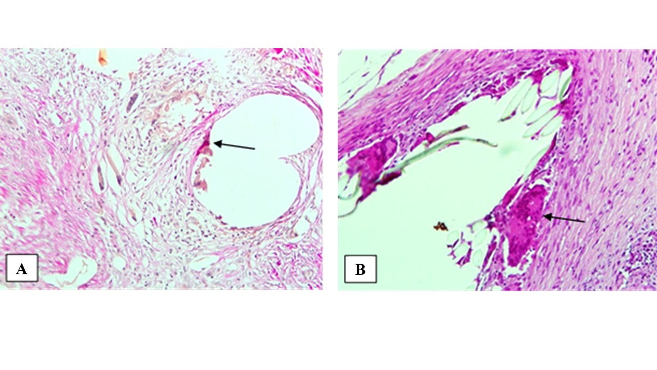
On histological examination on day 14, in all cases, signs of necrosis and edema in the regenerated tissues were practically absent. The regenerate zone around the endoprosthesis and the thread was presented as a network of immature, delicate, collagenous, moderately fuchsinophilic fibers, forming a network and locally grouping into bundles. In the granulation zone, a large number of newly formed vessels of the capillary type and infiltrates were observed, which included proliferating fibroblasts, epithelioid cells, macrophages, and leukocytes. In the inner areas of the cellular infiltrate, giant multinucleated cells of the foreign body type were identified (Figure 6).
Fig. 6. Granulation tissue: a cell of the mesh thread of the reinforcing suture with thin-walled vessels and the formation of cells of foreign bodies (A); cells of foreign bodies with a reinforcing suture with Ftorest 0 (B). Staining by van Gieson method (A) and with hematoxylin–eosin (B). Magnification, ×200.
Deeper areas of the newly formed tissue of the wound defect consisted of fuchsinophilic, collagenous mature fibers forming unidirectional bundles of sparsely located vessels and cells of the macrophage–fibroblastic series. Morphometric examination allowed identification of parameters of the area with more mature connective (fibrosis) and granulation tissues. The parameters of granulations were higher than the parameters of mature tissues in all cases. The average total area of granulations and fibrosis of the regenerate using reinforcing suture with a mesh thread on day 14 was 32.4 ± 5.3 mm2 and that on day 16 was 31.7±4.2 mm2 and those of the checker-wise reinforcing suture were 22.6 ± 6.8 and 26.2 ± 3.6 mm2, those of mesh thread were 22.1 ± 4.9 and 18.6 ± 3.2 mm2, and those of mesh endoprosthesis strips were 19.8 ± 3.9 and 17.2 ± 2.8 mm2, respectively. Thus, the area of granulations and fibrosis of the reinforcing suture with a mesh thread exceeded those of the checker-wise reinforcing suture, mesh thread, and strip of the mesh endoprosthesis in all follow-up periods (U = 6 < UCr = 15, p = 0.046). Notably, connective tissues grew between the cells of the mesh endoprosthesis and of the mesh thread in the form of a reinforcing seam. In addition, collagen fibers formed distinct bundles around the implant in the form of concentric “vortices”, in contrast to the morphological picture of the strip of the mesh endoprosthesis, where these elements had a strictly longitudinal direction, resembling a capsule (Figure 7).
A picture similar to a reinforcing suture with a mesh thread was also observed in the analysis of the wound process after implantation of a mesh thread into the retromuscular space with a lower median approach; however, the area of granulation and fibrosis was smaller.
On day 60 of the experiment, in all series, maturation of young connective tissue in the form of compaction of fibrillar and cellular components with predomination of the former was noted. The densely spaced fibers of the more mature tissue had areas consisting of convoluted as well as interrupted collagen fibrils (Figure 8).
Areas of small granulations remained. In the areas of granulation tissue around the implant, the vasculature decreased, and in the areas of the resulting fibrosis, a large number of microvasculature vessels with macrophage–histiocytic infiltration were observed. In all cases, single giant multinucleated cells could still be seen.
In a reinforcing suture made with a mesh thread, large areas of fibrosis and granulations still prevailed, and integration of connective tissue elements into the cells of the endoprosthesis was more expressed.
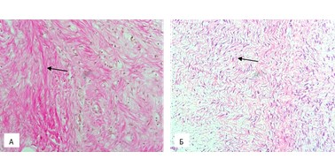
Fig. 7. Connective tissue: bundles of mature collagen fibers, taking a longitudinal direction relative to the cells of the strip of the mesh endoprosthesis (A); bundles of mature collagen fibers, taking a concentric direction around the cells of the mesh thread (B). Staining according to van Gieson (A) and hematoxylin–eosin (B). Magnification, ×200.
Fig. 8. Maturation of connective tissue: formation of bundles of collagen fibers. Staining by van Gieson method (A) and hematoxylin–eosin (B). Magnification, ×200.
Thus, the morphophysical study showed that the reinforcing suture with a mesh thread appeared to be significantly stronger than the checker-wise reinforcing one, which is associated with the peculiarities of the wound process in this laparorrhaphy technique – a larger area of fibrosis and the presence of collagen fibers concentrically located around the cells of the mesh thread. A similar tendency was observed in cases of a free-lying mesh thread, although the area of fibrosis in this situation was less than with a reinforcing suture with a mesh thread. The direction of collagen fibers in the morphometry of the preparations of the strip of the mesh endoprosthesis was strictly longitudinal, resembling a capsule. Data obtained indicate a better integration of tissue elements into the structure of the mesh thread than with the traditional form of mesh endoprosthesis, and the developed method can be considered an alternative to, for example, preventive prosthetics used for the prophylaxis of IVH or to routine laparorrhaphy, since the mesh thread is not only a good basis for a connective tissue scar, but it also creates a more extensive contact with the sutured tissues than the traditional thread, which minimizes the risk of their cutting and increases the strength of the wound and, in the future, of the scar.
CONCLUSIONS
- The strength of the postoperative scar formed by the mesh suture is 20% higher than the strength of the scar by checker-wise strengthening one, which is associated not only with forming extensive contact with the surrounding tissues, but also with their growth through the implant during the scar formation.
- The peculiarities of the reinforcing suture in the form of a mesh thread, in contrast to the traditionally used form of mesh endoprosthesis, are a larger area of granulations and fibrosis, as well as the orientation of collagen fibers around its cells.
- The absence of wound complications and negative effect on the surrounding tissues and strength characteristics indicate the safety and effectiveness of a mesh suture, which makes its possible application in clinical practice.
ADDITIONALLY
Financing of study. Budget of Ryazan State Medical University.
Conflict of interests. The author declares no actual and potential conflict of interests which should be stated in connection with publication of the article.
Participation of authors. A.V. Fedoseev — concept and design of the study, editing, T.M. Cherdantseva — collection and processing of the material, writing the text, A.S. Inyutin — concept and design of the study, collection and processing of the material, writing the text, editing, I.B. Glukhovets, S.N. Lebedev — collection and processing of the material, S.Y. Muraviev — acquisition and statistical processing of the material.
About the authors
Andrey V. Fedoseev
Ryazan State Medical University
Email: hirurgiarzn@gmail.com
ORCID iD: 0000-0002-6941-1997
Scopus Author ID: 7005122675
ResearcherId: S-8606-2016
MD, Dr.Sci.(Med.), Professor, Head of the Department of General Surgery
Russian Federation, RyazanTatiyana M. Cherdantseva
Ryazan State Medical University
Email: cherdan.morf@yandex.ru
ORCID iD: 0000-0002-7292-4996
SPIN-code: 3773-8785
Scopus Author ID: 54880998200
MD, Dr.Sci.(Med.), Associate Professor, Head of the Department of Histology, Pathological Anatomy and Medical Genetics
Russian Federation, RyazanAlexander S. Inyutin
Ryazan State Medical University
Author for correspondence.
Email: aleksandr4007@rambler.ru
ORCID iD: 0000-0001-8812-3248
SPIN-code: 7643-9022
Scopus Author ID: 57195950651
ResearcherId: D-4482-2018
MD, Cand.Sci.(Med.), , Associate Professor of the Department of General Surgery
Russian Federation, RyazanIliya B. Glukhovets
City Clinical Hospital of Emergency Medical Care
Email: bsmp@mail.ryazan.ru
ORCID iD: 0000-0002-5158-9463
SPIN-code: 5261-5174
Scopus Author ID: 36963144800
ResearcherId: U-4063-2017
MD, Cand.Sci.(Med.), , Associate Professor, Head of the Pathological Anatomy Department
Russian Federation, RyazanSergey N. Lebedev
Ryazan State Medical University
Email: dguba_dze@mail.ru
ORCID iD: 0000-0002-7139-7100
SPIN-code: 3482-3313
Scopus Author ID: 57209758284
ResearcherId: D-8177-2018
MD, Cand.Sci.(Med.), , Assistant of the Department of General Surgery
Russian Federation, RyazanSergey Yu. Muraviev
Ryazan State Medical University
Email: muravjevsu@mail.ru
ORCID iD: 0000-0003-2311-6834
Scopus Author ID: 57209829543
ResearcherId: D-7258-2018
MD, Dr.Sci.(Med.), , Associate Professor of the Department of General Surgery
Russian Federation, RyazanReferences
- Protasov AV, Kalyakanova IO, Kaitova ZS. The Choice of Implant for Hernioplasty of Postoperative Ventral Hernias. RUDN Journal of Medicine. 2018;22(3):258-64. (In Russ). doi: 10.22363/2313-0245-2018-22-3-258-264
- Parshakov AA, Gavrilov VA, Samartsev VA. Prevention of complications of incisional hernia repair: current problem state (review). Sovremennye Tehnologii v Medicine. 2018;10(2):175-86. (In Russ). doi: 10.17691/stm2018.10.2.21
- Seo GH, Choe EK, Park KJ, et al. Incidence of Clinically Relevant Incisional Hernia After Colon Cancer Surgery and Its Risk Factors: A Nationwide Claims Study. World Journal of Surgery. 2018;42(4):1192-9. doi: 10.1007/s00268-017-4256-4
- Vnukov PV, Sheptunov YuM. Using the aponeurotic hypotensive suture in surgical treatment of patients with median postoperative ventral hernias. I.P. Pavlov Russian Medical Biological Herald. 2016;24(4):112-8. (In Russ). doi: 10.23888/PAVLOVJ20164112-118
- Henriksen NA, Deerenberg EB, Venclauskas L, et al. Meta-analysis on Materials and Techniques for Laparotomy Closure: The MATCH Review. World Journal of Surgery. 2018;42(6):1666-78. doi: 10.1007/s00268-017-4393-9
- Oprea V, Radu VG, Moga D. Transversus Abdominis Muscle Release (TAR) for Large Incisional Hernia Repair. Chirurgia. 2016;111(6):535-40. doi: 10.21614/chirurgia.111.6.535
- Chalya PL, Massinde AN, Kihunrwa A, et al. Abdominal fascia closure following elective midline laparotomy: a surgical experience at a tertiary care hospital in Tanzania. BMC Research Notes. 2015;8:281. doi: 10.1186/s13104-015-1243-4
- Bellón JM, Pérez-López P, Simón-Allue R, et al. New suture materials for midline laparotomy closure: an experimental study. BMC Surgery. 2014;14:70. doi: 10.1186/1471-2482-14-70
- Spencer RJ, Hayes KD, Rose S, et al. Risk Factors for Early Occurring and Late-Occurring Incisional Hernias After Primary Laparotomy for Ovarian Cancer. Obstetrics and Gynecology. 2015;125(2):407-13. doi: 10.1097/AOG.0000000000000610
- Bharang KK, Jain A, Garg N. A clinical study of abdominal wound dehiscence and its management. IOSR Journal of Dental and Medical Sciences. 2018;17(2):69-72. doi: 10.9790/0853-1704176972
- Fortelny RH. Abdominal Wall Closure in Elective Midline Laparotomy: The Current Recommendations. Frontiers in Surgery. 2018;5:34. doi: 10.3389/fsurg.2018.00034
- Lebedev SN, Fedoseev AV, Inyutin AS, et al. Preventive surgical mash augmentation in middle laparotomy. Nauka Molodykh (Eruditio Juvenium). 2018;6(2):211-7. (In Russ). doi: 10.23888/HMJ201862211-217
- Sukovatykh BS, Valuĭskaia NM, Netiaga AA, et al. The influence of anatomical and functional failure of the abdominal wall on the prognosis of postoperative ventral hernias. Khirurgiya. 2014;(1):43-7. (In Russ).
- Brooks DC. Clinical features, diagnosis, and prevention of incisional hernias. UpToDate. 2019. Available at: https://www.uptodate.com/contents/clinical-features-diagnosis-and-prevention-of-incisional-hernias/print. Accessed: 2020 October 29.
- Mizell JS. Principles of abdominal wall closure. UpToDate. 2019. Available at: https://www.uptodate.com/contents/principles-of-abdominal-wall-closure. Accessed: 2020 October 29.
- Fedoseev AV, Inyutin AS, Zhanygulov AD, et al. Comparative analysis of laparotomy closure techniques. Khirurgiya. 2017;(6):37-40. (In Russ). doi: 10.17116/hirurgia2017637-40
Supplementary files













