Radiofrequency obliteration in treatment of venous angiodysplasia
- Authors: Sapelkin S.V.1, Druzhinina N.A.1, Chupin A.V.1, Golovyuk A.L.1, Abrosimov A.V.1
-
Affiliations:
- Vishnevsky National Medical Research Center of Surgery
- Issue: Vol 29, No 1 (2021)
- Pages: 89-98
- Section: Original study
- Submitted: 15.12.2020
- Accepted: 08.02.2021
- Published: 15.03.2021
- URL: https://journals.eco-vector.com/pavlovj/article/view/54562
- DOI: https://doi.org/10.23888/PAVLOVJ202129189-98
- ID: 54562
Cite item
Abstract
Aim. This study aimed to investigate potential use of radiofrequency obliteration (RFO) of angiomatous tissues in patients with venous malformations.
Materials and Methods. A single-center study retrospectively involved 42 clinical cases [57.1% of men (n=24), aged 18-44 years; 42.8% of women (n=18) aged 18-56 years] of venous angiodysplasia, with a total of 46 interventions using RFO. Clinical manifestations of the disease were primarily characterized by pain syndrome (71.4%), cosmetic defect (100%), and edema syndrome (95.2%).
Results. Clinical improvement was possibly achieved with the reduction of the intensity of manifestations of angiomatous processes in 37 patients (88.1%). Stable and partial obliterations of caverns in the zone of exposure to radiofrequency were recorded in 37 (88.0%) and 5 (12.0%) patients, respectively. In caverns with small diameter, obliteration was achieved in 100% of the cases. Postoperative complications included bleeding (2.4%), burns in the zone of electrode introduction (2.4%), lymphorrhea (2.4%), and hypesthesia (2.4%). With this, according to the results of duplex scanning performed on control visits, no significant disease progression was observed. In the same patient, several complications could occur. All complications regressed within a month and required no treatment in hospital conditions.
Conclusion. RFO showed advantage as a minimally invasive treatment method of venous angiodysplasias. Results suggest that RFO can be recommended for use in patients with >1 cm depth of lesion with caverns of medium and large diameter as an independent treatment method and in combination with standard resection methods.
Full Text
Venous malformations (VMs) are diseases that have been known for several centuries, but up to the present, they are still poorly treated and account for the largest group of all congenital vascular anomalies. Errors in the morphogenesis of the endothelial cells initiate excessive angiogenesis and proliferation of cells of the venous wall. This leads to the formation of a wide network of venous caverns that are hemodynamically non-functional [1]. According to the literature data, the incidence of all forms of dysplasias reaches 2.6%; among them, VMs are recorded in >60% of patients [2-4]. Lesions of the extremities are noted in 40% of VMs, head and neck lesions in 40%, and trunk lesions in 20% [3, 4].
Various forms, locations, and involvement of the adjacent anatomical structures often limit the potentials of not only radical treatment but also of palliative procedures. The incidence of postoperative recurrences reaches 30-48%, which is associated with the spread of VMs and underestimation of the scope of lesion [5]. Thus, it is necessary to choose an approach that will be appropriate and effective in the treatment of a particular patient and a group in general.
Large cavernous and combined angio-dysplasias of difficult anatomical location that practically do not undergo spontaneous regression and have a tendency to become progressive are poorly treated.
Development and application of novel minimally invasive methods contribute to the improvement of treatment results. Reduction of the scope of surgical interventions is associated with improvement of the patients’ quality of life. One of the minimally invasive methods that proved to be of benefit is radiofrequency obliteration (RFO).
Aim – was to investigate the potential use of RFO of angiomatous tissues in patients with VMs.
Materials and Methods
In the surgery department of Vishnevsky National Medical Research Center of Surgery, a retrospective study was conducted and included 42 patients with venous form of angiodysplasia who underwent RFO within the frames of therapeutic interventions from 2011 to 2018.
A total of 46 interventions were performed with this method. In 6 (14.3%) patients, RFO was performed as a primary intervention. In the remaining 36 patients, each patient underwent a minimum of two surgeries for the removal of angiomatous tissues. Of the total number of patients, 57.1% (n=24) were men aged 18-44 years and 42.8% (n=18) were women aged 18-56 years. Locations of lesions are presented in Table 1.
Table 1
Clinical Characteristics of Patients with Venous Malformations (n=42)
Location | Number of Patients, n (%) | Depth of Lesion, mm | Size of Caverns, mm | Presenceof Flebolytes, n (%) | Presence of Blocked Caverns, n (%) |
Head | 4 (9.5) | 5-11 | 5-9 | 3 (7.1) | 3 (7.1) |
Neck | 3 (7.1) | 6-11 | 7-11 | 1 (2.4) | 0 |
Upper extremities | 5 (11.9) | 10-15 | 7-15 | 1 (2.4) | 1 (2.4) |
Trunk | 7 (16.6) | 11-15 | 10-32 | 3 (7.1) | 0 |
Lower extremities | 23 (54.7) | 9-25 | 9-32 | 12 (28.6) | 4 (9.5) |
Clinical manifestations of the disease were mostly characterized by pain syndrome (71.4%), cosmetic defect (100%), and edema syndrome (95.2%). In 1 (2.4%) patient, trophic disorders were seen above the area of the lesion.
In patients with lesion of the trunk and extremities, elastic compression was used in the postoperative period. For this, stockings of the 3rd compression class or short-stretch compression bandages were used. All patients received conservative treatment with veno-active drugs.
The use of the RFO method in patients who underwent surgery was justified by a severe disease course. The angiomatous process spread to several anatomic structures, which did not allow interventions without risk for the patient. One of the main tasks in this case was elimination of bleeding risk and reduction in the volume of angiomatous tissues to improve the patients’ quality of life.
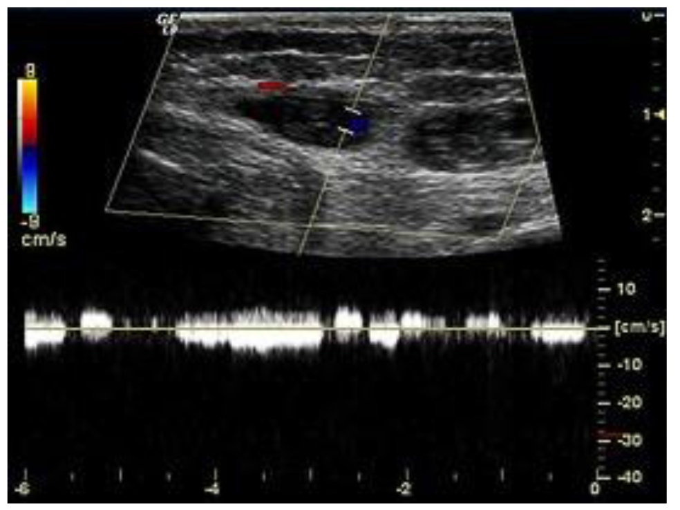
A program of complex preoperative examination included duplex scanning (DS) of vessels, ultraviolet scanning of soft tissues, and computed or magnetic resonance tomography (Figure 1). With these methods, the location and depth of the lesions and involvement of internal organs and adjacent anatomic structures were clarified.
Fig. 1. Duplex scanning of angiomatous tissues. Venous caverns with low-velocity blood flow based on the Doppler curve data
The study included patients with venous-cavernous forms of angiomatosis characterized by the existence of caverns, grapelike venous cavities separated with thin-walled trabeculas. According to their size, caverns were classified to small (5-20 mm), medium (21-30 mm), and large (>30 mm). The size of venous caverns in the analyzed clinical cases ranged from 5 to 32 mm, and the depth of the lesions ranged from 7 to 25 mm. Flebolytes were identified in 9 (45.2%) patients.
RFO of angiomatous tissues. The RFO method is based on the local exposure of biological tissue to magnetic radiation. For this, a generator is used in transmitting electric current to an electrode. The generated magnetic field induces oscillation of particles of surrounding tissues, heating them to the extent of necrosis. Unlike other surgical treatment methods, RFO does not inhibit generated charged particles by the tissues surrounding the active electrode. For this, a catheter should be placed inside the tissues. As a rule, the temperature may reach 90-100°С; however, modern generators can prevent boiling of the tissue fluid. In this method, the temperature does not exceed >100°С, and the generator turns off auto-matically. This (ionic) method of heat production permits coagulation of larger volumes of tissues.
In our clinical practice, we used radio-frequency Cool-tip RF Ablation System (Valleylab, Covidien, USA, Figure 2) coagulator. The device is operated by a specially trained person who controls the electrode temperature, and temperature and impedance of tissues. Before the surgery, the operator prepared a container with crushed ice and placed it into a flask that contains physiological saline. The tubes from the flask were directly connected to the radiofrequency catheter. During the surgery, the physiological saline circulates through the tubes, cooling the catheter and preventing its excessive heating. As a rule, for any interventions, ablation with a single electrode kit E catheter is used in lesions 15 cm in length and the length of the operating part was 1-2 cm depending on the volume of lesion.
Fig. 2. Cool-tip RF Ablation System radiofrequency coagulator (Valleylab, Covidien, USA)
Puncture of angiomatous tissues and intervention are performed under ultrasound control (Figure 3A). In venous caverns located at a depth of <10 mm, a hydraulic cushion with saline solution is preliminarily created. The working part of the radiofrequency catheter is positioned in the projection of conglomerates of pathological vessels (venous caverns, Figure 4). The subsequent obliteration of this zone depends on the size of the venous caverns and the resistance of the tissues (Figure 3B). On average, one RFO session takes 3-5 min. The number of sessions varies depending on the volume. After the radiofrequency exposure, the temperature was measured. In this case, it should be >50°C to induce destruction of protein structures and cell membranes.
Fig. 3. Surgical intervention with ultrasound (US) control (A) and the results of US examination in B-mode (B). Echo-positive signals in the radiofrequency ablation zone (arrow)
Fig. 4. Introduction of a radiofrequency catheter with UV control into the thickness of angioma-tous tissues in the buttock region
The effectiveness of the RFO depends on the hydration of tissues. Surgical procedures performed with high impedance are associated with strong heating of surrounding tissues. Thus, it is important to control the position of the electrode upon completion of the procedure. Premature removal of the catheter out of the puncture channel may lead to burned skin. The puncture hole does not need suturing, and the skin above the target site becomes dense to touch and mildly pale. After surgery, elastic compression of the zone of exposure is required.
The follow-up period was 1 year with intermediate visits in 1, 3, and 6 months. Pain syndrome was evaluated on a visual analog scale before and on the 7th day, 1, 3, 6, and 12 months after the surgical intervention. In DS in the postoperative period, the degree of obliteration of caverns in the zone of intervention, area of residual lesion, existence of residual caverns, and their sizes were evaluated.
The results were given in absolute (n) and relative (%) values. Because of the low statistical power of the observation, no statistical analysis was conducted. However, the clinical significance was the basis for the rationale of data publication.
Results and Discussion
Clinical improvement after RFO was noted in 37 (88.1%) patients. Before the operation, 41 patients presented with pain syndrome of different severities (97.6%, Table 2). In the evaluation of the patients’ condition in 12 months, the pain syndrome completely regressed in 34 patients (82.9%). In 11.9% of the patients, vague pain persisted in the zone of lesion provoked by active physical loads. In three patients with a diffuse cavernous angiomatosis, pronounced pain persisted in the long-term follow-up period.
In the preoperative period, 40 (95.2%) patients presented with edema in the area of the lesion, while after the intervention, their number decreased to 6 (14.3%). Pain syndrome regressed in 25 cases (83.3%), and the complaints in five patients (11.9%) were associated with diffuse spread of the disease (Table 3).
Table 2
Evaluation of Patients’ Condition on VAS before and after Surgical Intervention (n=42)
Severity of Pain Syndrome, points | Before RFO, n (%) | 12 Months after RFO n (%) |
0 | 1 (2.4) | 34 (80.9) |
1-3 | 9 (21.4) | 5 (11.9) |
4-6 | 11 (26.2) | 3 (7.1) |
7-9 | 21 (50.0) | 0 |
10 | 0 | 0 |
Table 3
Dynamics of the Clinical Complaints of Patients before and after Intervention
Complaint | Before RFO, n (%) | After RFO, n (%) |
Cosmetic defect | 42 (100) | 41 (97.6) |
Pain syndrome | 30 (71.4) | 5 (11.9) |
Bleeding | 5 (11.9) | 1 (2.4) |
Hypesthesia | 2 (4.7) | 1 (2.4) |
Edema | 40 (95.2) | 6 (14.3) |
Senestopathy | 1 (2.4) | 1 (2.4) |
Trophic disorders | 1 (2.4) | 0 |
Lymphorrhea | 1 (2.4) | 1 (2.4) |
Results were objectively evaluated in control DS of the intervention zone in 1 and 12 months after the intervention. Stable and partial obliterations of the caverns in the RFO zone were recorded in 37 and 5 patients, respectively (Table 4).
Table 4
Results of DS of Angiomatous Tissues in RFO Area in 12 Months (n=42)
Size of Caverns before RFO, mm | Number of Patients, n | Result of RFO | ||
Complete Obliteration, n (%) | Partial Obliteration, n (%) | Absence of Obliteration, n | ||
5-20 | 30 | 30 (100) | 0 | 0 |
21-30 | 6 | 5 (83.3) | 1 (16.7) | 0 |
>30 | 6 | 2 (33.3) | 4 (66.7) | 0 |
Four patients were subjected to repeated interventions. This was associated with a lesion of the skin, muscles, and even bone structures, which entailed excessive deposition of blood in this area, development of trophic disorders, and recurrent bleeding. In six patients, RFO was performed as a preoperative procedure before subsequent interventions.
Postoperative complications included bleeding (2.4%), a site of introduction of electrode (2.4%), lymphorrhea (2.4%), and hypesthesia (2.4%). According to the results of DS performed on control visits, no significant regression of the disease was noted. In one patient, several of the above complications might occur. All complications regressed within a month and did not require hospital treatment.
As regards the obtained results, one cannot deny that the only method that can provide radical results in the treatment of venous angiodysplasias is open resective surgical intervention. However, the need in such interventions arises again and requires stepwise treatment of this group of patients. This sets certain tasks before surgeons, that is, to reduce the injury rate of the intervention by increasing its effectiveness and to minimize intraoperative blood loss. Development and introduction of modern minimally invasive interventions into the clinical practice help solve these tasks.
RFO as a method of treatment for angiodysplasia which came to light in 2005, after the publication by E. van der Linden, et al. of an article about the first successfully operation in patients [6]. Since then, surgical interventions began to appear in the works of many surgeons worldwide. Thus, A.H. Kim, et al. (2009) described a single case of treatment of a female patient with venous angiodysplasia on the face. By the 3rd month of follow-up, the area of the lesion reduced from 20.25 to 5.4 cm2 [7].
The topic was indirectly touched upon by S. Behravesh, et al. (2016). According to the authors, endovenous thermal ablation may play an auxiliary role in treatment of large VM, while radiofrequency ablation demonst-rated good results in a limited number of patients who are not suitable for sclerotherapy, or after previous unsuccessful therapy. RFO was performed in two patients without complications in the early post-operative period [8].
From the analysis of the literature, RFO is mostly used as a method supplementing standard surgical intervention in rather rare cases. In this connection, practically no works have been conducted on large samples of patients [8, 9].
The largest clinical observation of application of RFO method was carried out in 2012. Y. Gao, et al. stated that RFO as a minimally invasive and safe method may be used as an alternative treatment for VM and other skin diseases. In a study of 16 patients, the results presented considerable improvement of the quality of life in 10 (62.5%) patients. However, for assessment of the efficiency and for comparison with other methods, randomized research is required [9].
In our study, clinical improvement was recorded in 37 patients (88.1%), which is comparable with the results given in the world literature. Alleviation of pain syndrome as well as its complete regression is the main result of the given intervention that was demonstrated in the works of our foreign colleagues and in patients who were on treatment in our center.
Given the possibility of instant processing of large areas of obliterated tissue, RFO is undoubtedly efficient. A stable obliteration could be achieved even with large-diameter caverns (>30 mm), which were confirmed by DS in 12 months after the intervention. In case of large angiomatous tissues involving several anatomic regions, we performed stepwise surgical interventions (7.1%).
RFO shows good results with low impedances and permit a good implementation of radiofrequency coagulation at large depths with control of the obliteration process. This is very important because the main problem remains to be the formation of carbon deposit in the region of the electrode, which can be solved by automatic cooling of the catheter in the RFO process.
RFO can be used both independently, in combination with open interventions, or may be supplemented with sclerobliteration. In comparison with open resections, RFO does not require an incision, which dramatically reduces the risk of postoperative bleeding. In our study, this complication developed only in one patient (2.4%).
However, despite the technical success of the procedures, heating of tissues may lead to trophic disorders. To avoid such complications, the electrode should be placed to the correct depth, that is, >10 mm from the surface of skin, and a hydraulic cushion above the region of intervention should be created. This will diminish the risks of burns.
Conclusion
RFO is proved to be a good palliative treatment method of venous angiodysplasia. Based on the obtained results, RFO can be performed in patients with lesion depth >1 cm and caverns of medium and large diameters, both as an independent treatment method and in combination with standard resective methods. Such interventions are characterized by acceptable frequency of postoperative complications and lead to the regression of clinical complaints in 88.1% of the cases within a follow-up period up to 1 year. RFO is not a radical intervention; however, despite being a palliative treatment method, it demonstrates good results.
This type of operative treatment in the «arsenal» of vascular surgeons will allow us to perform surgical treatment in such group of patients with higher effectiveness and lower injury rate.
Additional Info
Financing of study. Budget of Vishnevsky National Medical Research Center of Surgery.
Conflict of interests. The authors declare no actual and potential conflict of interests which should be stated in connection with publication of the article.
Participation of authors. N.A. Druzhinina – concept and design of the study, collection and processing of the material, writing the text, editing, S.V. Sapelkin – concept and design of the study, editing, A.V. Chupin – editing, A.L. Golovyuk – writing the text, editing, A.V. Abrosimov – collection and processing of the material.
About the authors
Sergey V. Sapelkin
Vishnevsky National Medical Research Center of Surgery
Email: ssapelkin@yandex.ru
ORCID iD: 0000-0003-3610-8382
SPIN-code: 3040-0699
ResearcherId: A-5742-2016
MD, PhD, Professor, Leading Researcher of the Vascular Surgery Department
Russian Federation, Moscow, RussiaNatalia A. Druzhinina
Vishnevsky National Medical Research Center of Surgery
Author for correspondence.
Email: dna13@mail.ru
ORCID iD: 0000-0002-6994-7310
SPIN-code: 9124-0358
ResearcherId: ABG-9603-2020
Junior Researcher of the Vascular Surgery Department
Russian Federation, Moscow, RussiaAndrey V. Chupin
Vishnevsky National Medical Research Center of Surgery
Email: info@eco-vector.com
SPIN-code: 7237-4582
MD, PhD, Head of the Vascular Surgery Department
Russian Federation, Moscow, RussiaAleksandr L. Golovyuk
Vishnevsky National Medical Research Center of Surgery
Email: algolovyuk@inbox.ru
ORCID iD: 0000-0001-6830-7832
SPIN-code: 9976-7041
Scopus Author ID: 57193929365
MD, PhD, Doctor of the Vascular Surgery Department
Russian Federation, Moscow, RussiaAleksey V. Abrosimov
Vishnevsky National Medical Research Center of Surgery
Email: abrosimov.alexey@yandex.ru
ORCID iD: 0000-0001-6539-5363
SPIN-code: 7322-1401
ResearcherId: ABG-5603-2020
Resident of the Vascular Surgery Department
Russian Federation, Moscow, RussiaReferences
- Ernemann U, Kramer U, Miller S, et al. Current concepts in the classification, diagnosis and treatment of vascular anomalies. European Journal of Radiology. 2010;75(1):2-11. doi: 10.1016/j.ejrad. 2010.04.009
- Angiodisplazii (vrozhdennyye poroki razvitiya sosudov). Moscow: Verdana; 2008. (In Russ).
- Clemens RK, Pfammatter T, Meier TO, et al. Vascular malformations revisited. Vasa. 2015;44(1):5-22. doi: 10.1024/0301-1526/a000402
- Dompmartin A, Vikkula M, Boon LM. Venous malformation: update on aetiopathogenesis, diagnosis and management. Phlebology. 2010;25(5):224-35. doi: 10.1258/phleb.2009.009041
- Popel GA. The diagnosis and surgical treatment of angiodysplasia of external localization. Novosti Khirurgii. 2014;22(5):601-10. (In Russ).
- Van der Linden E, Overbosch J, Kroft LJM. Radiofrequency ablation for treatment of symptomatic low-flow vascular malformations after previous unsuccessful therapy. Journal of Vascular and Interventional Radiology. 2005;16(5):747-50. doi:10.1097/ 01.RVI.0000157245.60426.7B
- Kim AH, Ko HK, Won JY, et al. Percutaneous radiofrequency ablation: a novel treatment of facial venous malformation. Journal of Vascular Surgery. 2009;50(2):424-7. doi:10.1016/ j.jvs.2009.03.047
- Behravesh S, Yakes W, Gupta N, et al. Venous malformations: clinical diagnosis and treatment. Cardiovascular Diagnosis and Therapy. 2016;6(6): 557-69. doi: 10.21037/cdt.2016.11.10
- Gao Y, Wang X, Suo W. Management of venous malformations with percutaneous radiofrequency thermal ablation. British Journal of Dermatology. 2012;167(3):637-42. doi: 10.1111/j.1365-2133.2012. 10963.x
Supplementary files









