Chronic Myelomonocytic Leukemia as Part of a Primary Multiple Malignant Tumor: a Case Report
- Authors: Yashin S.S.1, Kireeva A.O.1
-
Affiliations:
- Samara State Medical University
- Issue: Vol 33, No 2 (2025)
- Pages: 277-284
- Section: Clinical reports
- Submitted: 12.02.2024
- Accepted: 03.05.2024
- Published: 02.07.2025
- URL: https://journals.eco-vector.com/pavlovj/article/view/625773
- DOI: https://doi.org/10.17816/PAVLOVJ625773
- EDN: https://elibrary.ru/VOESQE
- ID: 625773
Cite item
Abstract
INTRODUCTION: Chronic myelomonocytic leukemia (CMML) is a rather rare hemoblastosis characterized by damage to the granulocytic and monocytic hematopoietic lineages with the development of relative and absolute monocytosis of the peripheral blood and respective manifestations in the bone marrow. The diagnosis of CMML, like other tumors of hematopoietic, lymphoid and related tissues, is difficult and includes examination of peripheral blood with determination of leukogram parameters, and examination of red bone marrow biopsy specimens. CMML rarely occurs as a part of a primary multiple malignant tumor.
AIM: To demonstrate a rare and difficult to diagnose clinical case of primary multiple tumor: a combination of prostate cancer with renal cell carcinoma and CMML.
In the considered clinical case, the postmortem examination of a patient with a primary multiple malignant tumor with the development of CMML, revealed lesions of lungs, liver, kidneys, spleen, pancreas, retroperitoneal tissue and colon. Based on clinical presentation, the patient was diagnosed with non-specific ulcerative colitis, which on autopsy was interpreted as leukemic lesion of the colon with the development of ulcerative-necrotic colitis. Death resulted from multiorgan failure with phenomena of tumor intoxication.
CONCLUSION: The presented clinical case of CMML demonstrates a polysystemic character of this disease, non-specific symptoms, difficulty in prescribing adequate treatment due to the development of conditions that complicated the main diagnosis, and also shows the probability of developing primary multiple metachronous tumors in patients with various genetic mutations.
Full Text
INTRODUCTION
Hemoblastoses are a group of malignant neoplasms characterized by the appearance of mutant clones of cells in the bone marrow, thymus or peripheral lymph nodes. Tumors of the hematopoietic and lymphoid tissues are among the most common human tumors. It is important to note that the differential diagnosis of hemoblastoses can be difficult.
Chronic myelomonocytic leukemia (CMML) is a type of leukemia characterized by damage to the cells of the peripheral blood and bone marrow with relative and absolute monocytosis in the peripheral blood (more than 10% and more than 0.5×109/l respectively) with the presence of blasts less than 20% in the bone marrow and peripheral blood [1]. In CMML, an increased number of monocytes and immature cells of monocytic and myeloid lineages is observed [2]. As a rule, the disease is first diagnosed at the age of 70–73, most often in men [3].
There are two morphological variants of CMML: proliferative and dysplastic. The proliferative variant is characterized by leukocytosis ≥ 13×109/l. Patients often exhibit mutations of the genes of the signaling pathway of retrovirus associated deoxyribonucleic acid sequences (RAS) — NRAS, KRAS, CBL and PTPN11. Clinically, such patients present with weakness, nighttime sweats, heaviness in the hypochondrium due to hepato- and splenomegaly, ossalgia, weight loss. In the dysplastic variant, the leukocyte count is < 13×109/l, and cytopenia is characteristic. Patients may complain of poor exercise tolerance, bleeding, and frequent infectious diseases. Such patients often require multiple blood transfusions [1, 4].
To prognosticate the progression into acute myeloid leukemia based on the leukogram parameters, two CMML subgroups are distinguished. CMML-1 is characterized by the presence of up to 5% of blasts in the peripheral blood, including promonocytes, and less than 10% in the bone marrow. CMML-2 is characterized by 5–19% of blast cells in the peripheral blood, 10–19% in the bone marrow and/or Auer’s rods [5]. The previously distinguished subtype CMML-0 was excluded with the adoption of a new classification of tumors of the hematopoietic, lymphoid and related tissues [4].
The frequency of transformation of CMML into acute myeloid leukemia is 15–20% and is associated with a considerable worsening of the prognosis for such patients. Blast transformation is believed to most commonly occur in patients with trisomy of chromosome 8, anomalies of chromosome 7, complex karyotype, and mutations of the ASXL1, RUNX1, NRAS, SETBP1, DNMT3A and NPM1 genes [6].
Diagnosis of CMML is difficult: it is necessary to exclude leukemoid reaction, reactive monocytosis in infectious and autoimmune diseases, etc. [4]. An obligatory condition for the diagnosis of CMML is the presence of relative monocytosis of 10% or more in dynamics, the absence of the Philadelphia chromosome or mutations in the PDGFRRA or PDGFRB genes. Blasts should make < 20% [5].
Histological examination of bone marrow biopsies reveals predominance of myeloid lineage with an increase in monocytic elements, in particular, due to immature cells. Foci or paratrabecular infiltrates of CD123-positive plasmacytoid dendritic cells may be present, identified in Immunohistochemical examination. Myelofibrosis is possible. Hyperplasia of lymph nodes in CMML is rare. Upon that, diffuse infiltration with myeloblasts is present in punctates [6].
Besides, an important role in CMML diagnosis is played by cytochemical methods. Dysplastically altered myeloblasts and more mature cells of granulocytic lineage detected in the bone marrow and peripheral blood, give a moderate and marked reaction when determining myeloperoxidase and naphthol-AS-D-chloroacetate esterase activity, and when staining lipids with Sudan black.
Monocytic cells give weak or negative reaction in detecting myeloperoxidase activity and lipid staining. Naphthol-AS-D-chloroacetate esterase activity is not detected in monoblasts, promonocytes, and monocytes. For cells of this series, the marker is the determination of the activity of nonspecific α-naphthyl acetate esterase and acid nonspecific esterase. Acid phosphatase activity in monocytic cells is weak [7].
Allogeneic hematopoietic stem cell transplantation (allo-HSCT) remains the only method of treatment providing a stable remission in patients with CMML [8]. Pre-transplantation preparation for successful allo-HSCT includes standard induction chemotherapy or, depending on the patient’s condition, hypomethylating therapy (which, however, is associated with a poorer prognosis). Implementation of allo-HSCT with a smaller volume of tumor tissue helps reduce the risk of relapse [9]. The source of stem cells for allo-HSCT is to be chosen between blood plasma, which is associated with a shortened engraftment period, and bone marrow, which facilitates reduction of the incidence of chronic transplant-against-host reaction.
Patients with preserved somatic status usually undergo myeloablative conditioning regimens based on bisulfan or total body irradiation [10]. One of methods to reduce toxicity of pre-transplantation preparation and preserve myelosuppressive activity is to include hypomethylating drugs in the conditioning regimen [11].
The aim of this study to demonstrate a rare and difficult to diagnose clinical case of primary multiple tumor: a combination of prostate cancer with renal cell carcinoma and chronic myelomonocytic leukemia.
Case Report
Patient P., 76 years old, with a history of myelomo-nocytic leukemia, transurethral resection of prostate for prostate cancer performed 10 years before, with installed episcystostoma. In April 2021, the patient underwent a percutaneous coronary intervention — stenting of the circumflex branch of the left coronary artery.
Myelomonocytic leukemia was diagnosed in March 2022 based on the following parameters present in the patient in dynamics: negative JAK2-bcr-abl-Ph markers, severe leukocytosis, monocytosis and the presence of immature cells in the peripheral blood.
Parameters of the leukocyte formula at the beginning of November 2022: basophils — 1.0%, myelocytes — 48.0%, metamyelocytes — 17.0%, band neutrophils — 23.0%, segmented neutrophils — 4.0%, lymphocytes — 5.0%, monocytes — 1.0%, blasts — 1.0%. A complete blood count: leukocytosis — 77.3×109/l, anemia (erythrocytes — 1.9×1012/l, hemoglobin — 61.0 g/l), thrombocytopenia — 18.0×109/l.
A sternal puncture was performed with examination of bone marrow smear: blasts — 2.0%, promyelocytes — 4.4%, neutrophilic myelocytes — 30.4%, neutrophilic meta-myelocytes — 15.2%, band neutrophils — 10.0%, segmented neutrophils — 28.2%, all cells of the neutrophilic series — 88.2%, eosinophilic myelocytes — 0.2%, eosinophilic metamyelocytes — 0.2%, basophils — 0.4%, lymphocytes — 2.0%, monocytes — 0.4%, proerythro-blasts — 0.4%, all cells of the erythroid lineage — 5.6%.
The patient was referred for consultation and treatment according to the disease profile to the oncohematology department, but did not seek medical help until the end of November 2022, when he was hospitalized in the surgical department on an emergency basis with complaints of severe weakness, dizziness, shortness of breath on minimal physical exertion, black stool within a week.
Physical examination was conducted: vesicular breathing in the lungs, weakened in all fields, heart sounds clear, rhythmic, muffled. Blood pressure 90/40 mm Hg. The tongue moist, clean, the abdomen not enlarged, not bloated, participates in breathing. Peristalsis auscultated. On palpation, the abdomen is soft, painful in the epigastrium. The liver does not protrude from under the costal margin. Ortner's symptom negative, Shchetkin–Blumberg symptom negative. Stool of melena type, digital examination per rectum — melena.
Laboratory test data: creatinine — 175.8 μmol/l, plasma glucose — 11.1 mmol/l, urea — 23.0 mmol/l, lactate dehydrogenase — 564 U/l, direct bilirubin — 5.2 μmol/l, C-reactive protein increased to 152.2 mg/l. A complete blood count revealed leukocytosis — 46.3×109/l, anemia (erythrocytes — 2.5×1012/l, hemoglobin — 78.0 g/l), thrombocytopenia — 36.0×109/l.
To confirm or refute the gastrointestinal bleeding, fibrogastroduodenoscopy was conducted. Conclusion: superficial gastritis and duodenitis, no data for continuing bleeding.
Conservative therapy was conducted: infusion, hemostatic, proton pump inhibitors, antibiotics, transfusion of erythrocyte suspension and thromboconcentrate. With the underlying therapy, significant improvement was noted, the patient was discharged to outpatient treatment.
In early December, the patient was hospitalized in the oncology dispensary on a planned basis, with complaints of stool disorders, abdominal pain, pain above the pubis, periodic absence of urine through the cystostomy, general weakness. The patient's condition was assessed as moderately severe. The result of physical examination: vesicular breathing, weakened, lymph nodes not enlarged, the abdomen of regular configuration, rounded, symmetrical. The liver and spleen not enlarged. Symptoms of peritoneal irritation negative.
Ultrasound examination of the abdominal organs was performed, the conclusion: lymphadenopathy of the retroperitoneal lymph nodes, minor subhepatic effusion, diffuse changes in the liver and pancreas, splenomegaly, bilateral calicopyeloectasia, parenchymatous cyst of the left kidney, minor pleural effusion on the left.
At several days, endoscopic examination of the large intestine was conducted, which revealed signs characteristic of ulcerative colitis with damage to the cecum and predominance of erosive alterations, a phase of marked activity of the inflammatory process. In the sigmoid colon, an epithelial mass was visualized (a polyp).
The next day, an endoscopic punch biopsy of the colon tissue was performed. Conclusion: papillo-tubular adenoma of the sigmoid colon with inflammatory infiltration; fragments of purulent-necrotic tissue and colonic mucosa with inflammatory infiltration.
Conservative therapy was prescribed: Natalsid® suppositories for 14 days, esomeprazole, levofloxacin for 7 days. While taking medications, the patient noted an improvement in his general condition and was discharged to outpatient treatment. Recommendations: hydroxycarbamide and etamsylate, a control complete blood test once a month, in case of increase in the hemorrhagic syndrome: hospitalization in an on-call therapeutic hospital for replacement therapy with blood components.
In mid-December 2022, the patient in serious condition was admitted to the therapeutic department with complaints of severe weakness, dizziness and shortness of breath on minimal physical exertion.
A complete blood count showed anemia (erythrocytes — 1.7×1012/l, hemoglobin — 54.2 g/l), thrombo-cytopenia — 32.7×109/l, leukocytosis — 73.3×109/l, erythrocyte sedimentation rate — 50 mm/h.
Electrocardiography was performed: ventricular and supraventricular extrasystoles, left bundle branch block.
Ultrasound examination of the abdominal organs showed signs of diffuse alterations in the liver, kidneys, pancreas, chronic cholecystitis, chronic pyelonephritis, urolithiasis, nephroptosis, hydrothorax, ascites.
Echocardiography detected left ventricular hypertrophy, grade 1 left ventricular diastolic dysfunction, signs of aortic atherosclerosis, degenerative alterations of the mitral and aortic valves, and pericardial effusion.
Conservative treatment was conducted with transfusions of platelet concentrate, erythrocyte suspension, and fresh frozen plasma. However, despite the treatment, the patient's condition remained severe, with increasing symptoms of cardiovascular failure and hemic hypoxia.
A complete blood count showed persistent anemia (erythrocytes — 2.2×1012/l, hemoglobin — 71.9 g/l), thrombocytopenia — 25.2×109/l, leukocytosis — 110.8×109/l.
The patient was transferred to the intensive care unit, where on the tenth day of hospitalization, respiratory and cardiac arrest were diagnosed, resuscitation measures were ineffective, and biological death was confirmed. The previous day, a complete blood count showed leukocytes — 53.0×109/l, monocytes — 1.3×109/l, lymphocytes — 19.5×109/l, neutrophils — 30.8×109/l, eosinophils — 0.1×109/l, erythrocytes — 2.4×1012/l, hemoglobin — 77.7 g/l, platelets — 53.4×109/l.
Final (postmortem) clinical diagnosis:
Main disease: Chronic myelomonocytic leukemia. Severe chronic anemia. Thrombocytopenia.
Combined diseases: ischemic heart disease. Stenosing atherosclerosis of the coronary arteries. Condition after percutaneous coronary intervention (stenting of the circumflex branch of the left coronary artery, 2021).
Complications: Chronic heart failure stage IIB. Functional class 2, preserved left ventricular ejection fraction. Pulmonary edema. Cerebral edema.
Comorbid diseases: Hypertension stage III, very high risk of cardiovascular complications. Prostate cancer, remission T1N0M0 (after transurethral resection of the prostate, 2012). Epicystostomy (2012). Chronic pyelonephritis. Chronic kidney disease C4, A1 stage. Bilateral pneumonia. Cerebral atherosclerosis. Ulcerative colitis.
Postmortem examination:
Ascites (up to 1500 ml) and hydrothorax (up to 1,000 ml on the left, up to 700 ml on the right).
Examination of the brain: the pia mater edematous, the sulci deepened, the gyri smoothed out. The vessels of the base of the brain tortuous, with atherosclerotic plaques on the intima, stenosis up to 50%. The ventricles of the brain slightly dilated. The brain tissue on the section flabby, moist, shiny.
In the pericardial cavity up to 90 ml of transparent fluid. The thickness of the myocardium of the left ventricle 1.4 cm, right ventricle 0.3 cm. The myocardium on the section is reddish-brown in color with small whitish layers. The intima of the aorta contains a large number of atheromatous plaques with ulcerations and hemorrhages, with calcification in the area of bifurcation and common iliac arteries. Coronary arteries contain a small number of plaques that narrow the lumen to about 40%; the circumflex branch of the left coronary artery stented, passable. In the heart cavities and large vessels mixed blood clots are present.
The lung tissue in all areas is full-blooded, edematous. Blood and abundant edematous fluid flow from the cut surface. The mucous membrane of the larynx, trachea and large bronchi is reddish-cyanotic. There is mucus in the lumen of the trachea and main bronchi.
In the upper third of the esophagus, confluent erosions are present. Stagnant contents in the stomach, mucous membrane folded. The large intestine, mainly sigmoid colon, with numerous greenish plaques protruding into the lumen, and many small ulcer defects. In the proximal part of sigmoid colon, a polyp 2 cm in diameter on a thin peduncle. The liver full-blooded, dense. Bile ducts freely passable, with dark green bile in the lumen. The pancreas lobular, gray-pink in color.
The renal capsule is whitish, dense, difficult to remove, renal surface bumpy with numerous sunken scars. In the area of the left renal hilum, under the capsule, a rounded mass 3 cm in diameter is detected, whitish in color on section. The kidney tissue is flabby, mottled, with cyanotic and whitish areas, the boundary between the layers is blurred. The fatty tissue inside the kidney looks impregnated with blood, dense. The mucous membranes smooth, grayish. The urinary bladder collapsed, its wall elastic.
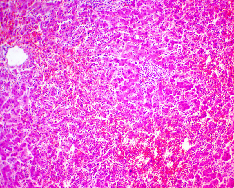
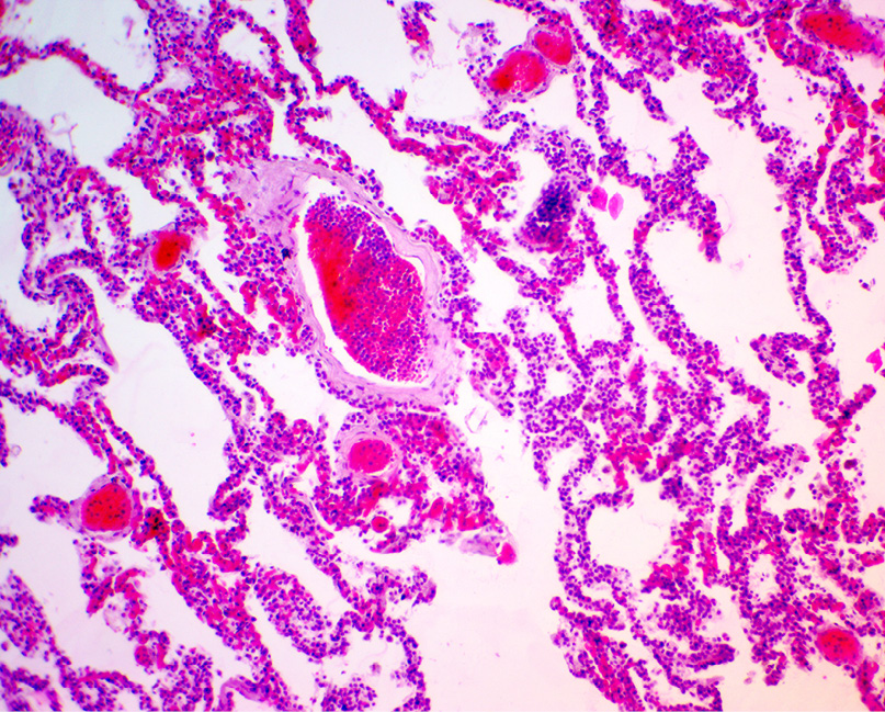
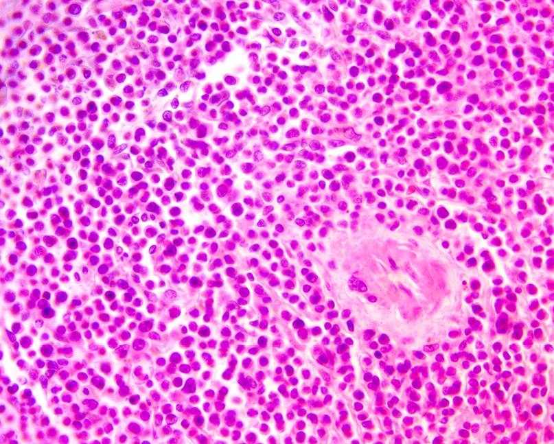
Histological examination of the heart revealed a large number of leukemic cells, most being of myelocyte morphology, and individual cells resembling monocytes and monoblasts in the lumen of the vessels and in the interstitial spaces. Similar infiltrates were found in the lungs, liver, kidneys, spleen, retroperitoneal tissue, and pancreas (Figures 1–3). In the lumen of the cerebral vessels, leukemic cells were detected in large quantities (Figure 4). The rounded kidney mass was histologically verified as clear cell renal cell carcinoma. The mucous membrane of the colon had extensive ulcerative defects extending to the submucosa and muscular membranes. In the intestinal wall, in certain fields of vision, there was infiltration of leukemic cells.
Fig. 1. Microscopic specimen of the liver of the patient with chronic myelomonocytic leukemia. Infiltration of leukemic cells in the periportal spaces, sinusoids, and around the central vein (stained with hematoxylin and eosin, magnification ×100).
Fig. 2. Microscopic specimen of the lung of the patient with chronic myelomonocytic leukemia. Infiltration of leukemic cells in the alveolar septa, stasis of leukemic cells in the lumen of the vessels (stained with hematoxylin and eosin, magnification ×100).
Fig. 3. Microscopic specimen of the spleen of the patient with chronic myelomonocytic leukemia. Hyalinosis of the central vein. The pattern of lymphoid follicles not determined, the pulp is represented by leukemic cells (stained with hematoxylin and eosin, magnification ×200).
Fig. 4. Microscopic specimen of the brain of the patient with chronic myelomonocytic leukemia. Moderate perivascular and mild pericellular edema. In the lumen of the vessel, there is stasis of leukemic cells (stained with hematoxylin and eosin, magnification ×200).
Postmortem diagnosis:
Main disease: Primary multiple malignant tumor. Chronic myelomonocytic leukemia (JAK2-bcr-abl-Ph — negative) with damage to the lungs, liver, kidneys, spleen, pancreas, retroperitoneal tissue, colon. Clear cell renal cell carcinoma of the left kidney T1N0M0. Prostate cancer, remission (T1N0M0 after transurethral resection, 2012, according to the medical history). Epicystostomy.
Complications of the main disease: Aplastic anemia (erythrocytes — 2.4×1012/l, hemoglobin — 77.7 g/l), thrombocytopenia — 53.4×109/l. General venous congestion: cerebral edema; pulmonary edema; ascites (up to 1500 ml); bilateral hydrothorax (up to 1,000 ml on the left, up to 700 ml on the right); hydropericardium (up to 90 ml). Ulcerative necrotic colitis.
Concomitant diseases: Chronic pancreatitis, not in exacerbation. Tubular adenoma of the colon. Chronic pyelonephritis. Chronic kidney disease stage C4 (creati-nine — 150.0 μmol/l).
CONCLUSION
The presented clinical case shows the probability of development of primary multiple metachronous tumors in patients with various genetic mutations.
A combination of renal cell carcinoma and prostate cancer is quite widely presented in clinical practice and scientific literature, but the development of leukemia in this case is unlikely to be associated with tumors of urinary system.
The description of the given clinical case of chronic myelomonocytic leukemia demonstrates polysystemic character of this disease, nonspecific symptoms, as well as complexity of prescribing adequate treatment due to development of the states complicating the main diagnosis.
ADDITIONAL INFORMATION
Author contributions. S.S. Yashin — concept of the study, editing; A.O. Kireeva — collection and analysis of material, writing the text. All authors approved the manuscript (the publication version), and also agreed to be responsible for all aspects of the work, ensuring proper consideration and resolution of issues related to the accuracy and integrity of any part of it.
Ethics approval. Not applicable.
Consent for publication. The authors obtained the patient's relatives written, informed, and voluntary consent for the publication of clinical data and autopsy results in a scientific journal, including its electronic version (signed on January 24, 2023).
Funding sources. No funding.
Disclosure of interests. The authors have no relationships, activities or interests for the last three years related with for-profit or not-for-profit third parties whose interests may be affected by the content of the article.
Statement of originality. The authors did not use previously published information (text, illustrations, data) when creating this work.
Data availability statement. The editorial policy regarding data sharing does not applicable to this work, and no new data were collected or created.
Generative AI. Generative AI technologies were not used for this article creation.
Provenance and peer-review. This work was submitted to the journal on its own initiative and reviewed according to the usual procedure. Two external reviewers, a member of the editorial board and the scientific editor of the publication participated in the review.
About the authors
Sergey S. Yashin
Samara State Medical University
Author for correspondence.
Email: s.s.yashin@samsmu.ru
ORCID iD: 0000-0002-0783-8709
SPIN-code: 4740-3280
Russian Federation, Samara
Anastasiya O. Kireeva
Samara State Medical University
Email: nastya2001kireeva@gmail.com
ORCID iD: 0000-0003-3168-3695
SPIN-code: 8786-4922
Russian Federation, Samara
References
- Swerdlow SH, Campo E, Harris NL, et al., editors. WHO Classification of Tumors of Haematopoietic and Lymphoid Tissues. 4th ed. Lyon, France: International Agency for Research on Cancer; 2017. Vol. 2. P. 82–86.
- Geissler K. Molecular Pathogenesis of Chronic Myelomonocytic Leukemia and Potential Molecular Targets for Treatment Approaches. Front Oncol. 2021;11:751668. doi: 10.3389/fonc.2021.751668 EDN: XTRLPW
- Dinmohamed AG, Brink M, Visser O, et al. Trends in Incidence, Primary Treatment and Survival in Chronic Myelomonocytic Leukaemia: a Population-Based Study of 1359 Patients Diagnosed in the Netherlands from 1989 to 2012. Br J Haematol. 2015;171(3):436–439. doi: 10.1111/bjh.13414
- Khoury JD, Solary E, Abla O, et al. The 5th edition of the World Health Organization Classification of Haematolymphoid Tumours: Myeloid and Histiocytic/Dendritic Neoplasms. Leukemia. 2022;36(7):1703–1719. doi: 10.1038/s41375-022-01613-1 EDN: IOCYIB
- Valent P, Orazi A, Savona MR, et al. Proposed diagnostic criteria for classical chronic myelomonocytic leukemia (CMML), CMML variants and pre-CMML conditions. Haematologica. 2019;104(10):1935–1949. doi: 10.3324/haematol.2019.222059
- Itzykson R, Fenaux P, Bowen D, et al. Diagnosis and Treatment of Chronic Myelomonocytic Leukemias in Adults: Recommendations From the European Hematology Association and the European LeukemiaNet. Hemasphere. 2018;2(6):e150. doi: 10.1097/hs9.0000000000000150 EDN: FYXXGF
- Kwon J. Diagnosis and Treatment of Chronic Myelomonocytic Leukemia. Blood Res. 2021;56(S1):S5–S16. doi: 10.5045/br.2021.2020321 EDN: UGHLYM
- Gagelmann N, Bogdanov R, Stölzel F, et al. Long-Term Survival Benefit after Allogeneic Hematopoietic Cell Transplantation for Chronic Myelomonocytic Leukemia. Transplant Cell Ther. 2021;27(1):95.e1–95.e4. doi: 10.1016/j.bbmt.2020.10.007 EDN: IYHHAU
- Pophali P, Matin A, Mangaonkar AA, et al. Prognostic impact and timing considerations for allogeneic hematopoietic stem cell transplantation in chronic myelomonocytic leukemia. Blood Cancer J. 2020;10(11):121. doi: 10.1038/s41408-020-00387-y EDN: WYTCEO
- Sun Y-Q, Zhao C, Wang Y, et al. Haploidentical stem cell transplantation in patients with chronic myelomonocytic leukemia. Sci China Life Sci. 2020;63(8):1261–1264. doi: 10.1007/s11427-019-1606-3 EDN: ZVGWWN
- Cao Y-G, He Y, Zhang S-D, et al. Conditioning Regimen of 5-Day Decitabine Administration for Allogeneic Stem Cell Transplantation in Patients with Myelodysplastic Syndrome and Myeloproliferative Neoplasms. Biol Blood Marrow Transplant. 2020;26(2):285–291. doi: 10.1016/j.bbmt.2019.09.001 EDN: PSUYUR
Supplementary files










