Complex primary total hip arthroplasty for nonunion of the right femoral neck in a female patient with right-sided hemiparesis: case report
- Authors: Artishchev R.R.1, Shavyrin D.A.1, Martynenko D.V.1
-
Affiliations:
- Moscow Regional Research and Clinical Institute
- Issue: Vol 33, No 1 (2025)
- Pages: 95-104
- Section: Clinical reports
- Submitted: 24.09.2024
- Accepted: 16.10.2024
- Published: 16.04.2025
- URL: https://journals.eco-vector.com/pavlovj/article/view/636438
- DOI: https://doi.org/10.17816/PAVLOVJ636438
- ID: 636438
Cite item
Abstract
INTRODUCTION: Nonunion of the femoral neck (FN) is one most complicated hip joint (HJ) pathology, the surgical treatment of which by the total arthroplasty method is associated with a high percent of complications – periprosthetic fractures, endoprosthesis dislocations, postoperative hematomas, neurologic disorders. Analysis of the literature did not reveal generally accepted methods for determining the tactics of arthroplasty for FN nonunion, and the national Clinical Guidelines for this pathology are currently absent. To reduce the number of complications and increase the effectiveness of the total arthroplasty of the HJ in this group of patents, it seems important to be guided by the principles of stage-by-stage approach and pathogenetic justifiability in choosing treatment tactics.
AIM: To demonstrate using a clinical example the effectiveness of staged and pathogenetically justified tactics of total hip arthroplasty for nonunion of FN.
The article presents a clinical case of a 71-year-old female patient who had a past stroke with the outcome into the right-sided hemiparesis, and later, with the underlying neurologic deficit, suffered a pathological fracture of the neck of the right femur resulting in nonunion. On the primary examination, the patient stood upright with outside help and could stand in a rolling walker resting on the left leg. The patient could not walk. The Harris hip score was 24 points. The treatment tactics was based on the evaluation and correction of the five most significant nonunion components (osteoporosis, proximal displacement of the femoral bone, medial displacement of the femoral bone, hypotrophy of femoral and pelvic muscles, contractures of hip and unilateral knee joints), and included three stages preoperative preparation, arthroplasty proper and postoperative rehabilitation. The treatment result was satisfactory the hip endoprosthesis was implanted without complications, the anatomy of the limb was restored, the patient was activated on a walker. At examination 3 months after the operation, the Harris hip score was 53 points.
CONCLUSION: The presented clinical case illustrates the high effectiveness of the proposed staged and pathogenetically justified tactics of the total hip arthroplasty for nonunion of femoral neck.
Keywords
Full Text
LIST OF ABBREVIATIONS
FN — femoral neck
HJ — hip joint
TE — therapeutic exercise
THAP — total hip arthroplasty
INTRODUCTION
The frequency of the proximal femur fracture in Russia per 100 thousand population is 279 in women, 176 in men, and has a growing tendency, which determines a high social and economic significance of the pathology [1]. Due to the specific biology and biomechanics of the hip joint (HJ), femoral neck (FN) fractures often do not heal with the use of conservative treatment, leading to the formation of FN nonunion requiring surgical treatment [2]. Among surgical methods of treating patients with FN nonunion, the method of choice in most cases is total hip arthroplasty (THAP) [3].
FN nonunion is a complex pathology including various pathogenetic elements: severe local osteoporosis, proximal and medial displacement of the femur, hypotrophy of muscles of thigh and pelvis, contractures of hip and ipsilateral knee joints. The impact of the pathogenesis on the FN nonunion on the outcome of the THAP has not been completely studied by the moment [4]. The incidence of intra- and postoperative complications including periprosthetic fractures, endoprosthesis dislocations, postoperative hematomas, neurological complications is higher in this group of patients than in those with standard endoprosthetics [5].
The analysis of literature did not permit to identify the generally accepted methods for determining THAP tactics for FN nonunion, and the national clinical guidelines for this pathology are currently absent. To reduce the number of complications and increase the effectiveness of THAP in this group of patients, it seems important to be guided by the principles of staged approach and pathogenetic justifiability in choosing treatment tactics.
The aim of this study to demonstrate the effectiveness of staged and genetically justified tactics of total arthroplasty of the hip joint for nonunion of femoral neck on a clinical example.
Case Report
Female patient S., born in 1952, suffered an ischemic stroke in October 2020 with the outcome to the right-sided hemiparesis. Due to impaired walking function because of hemiparesis, she fell down from a standing height in May 2022, and, with the underlying osteoporosis, received pathological unstable displaced neck fracture of the right femur, with a low probability for fusion with use of conservative treatment or an attempt of osteosynthesis. The patient was indicated THAP, which she was refused at the local hospital because of erosion of the gastric mucosa. After the treatment and epithelialization of the erosion, she was again refused arthroplasty at the hospital at the place of residence due to a complex of somatic, neurological and orthopedic pathologies. From the time of fracture, the patient was bedridden, an attempt of activation with a walker was unsuccessful because of hemiparesis. Later, the patient turned to two federal-level medical institutions, and in both she was refused THAP.
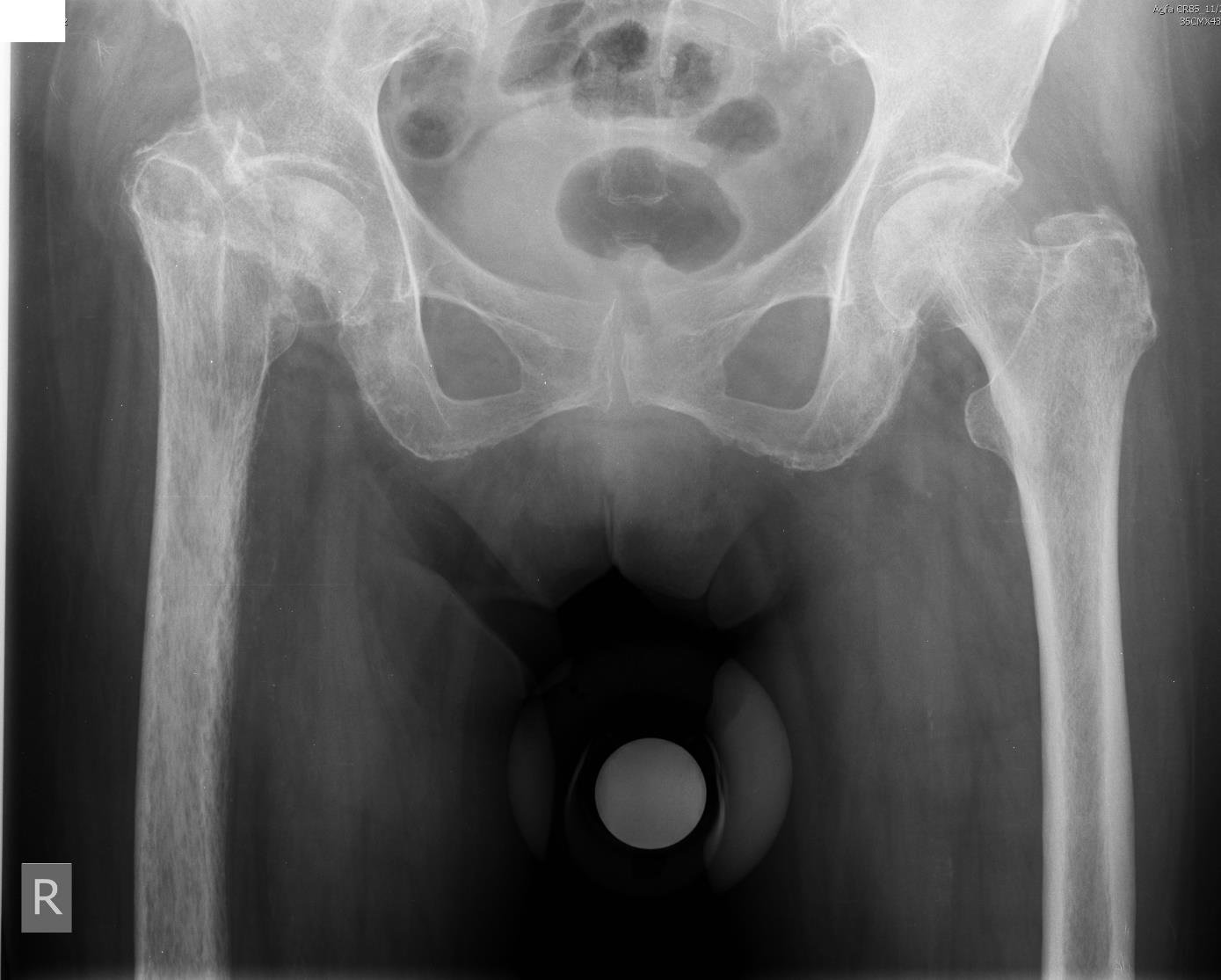
In December 2022, the patient turned to Moscow Regional Research and Clinical Institute with complaints of moderate pain in the right hip joint and loss of the supporting ability of the right lower limb, inability to move independently. The diagnosis at the initial examination was nonunion of the neck of the right femur (Figure 1), right-sided hemiparesis, osteoporosis, type 2 diabetes mellitus, hypertension, chronic gastritis.
Fig. 1. Preoperative survey radiograph of the pelvis of patient S.: nonunion of the right femoral neck, subtotal neck osteolysis, proximal displacement of the right femur by 2 cm, medial displacement of the right femur by 1 cm, severe osteoporosis.
Locally: severe muscle hypotrophy of the right thigh and lower leg. Range of active motion in the right hip joint: flexion/extension 60°/0°/0°; abduction/adduction 15°/0°/0°; pronation/supination 10°/0°/10°. Range of passive motion in the right hip joint: flexion/extension 90°/0°/0°; abduction/adduction 15°/0°/5°; pronation/supination 15°/0°/15°. The right knee joint actively extends almost completely, active flexion up to 100°. Right foot: active plantar flexion/dorsiflexion 15°/0°/0°, passive plantar flexion/dorsiflexion 30°/0°/15°. The patient gets upright with assistance and can stand in a walker, leaning on the left leg. She cannot walk. Harris hip score 24 points. No clinically detected acute vascular disorders in the right foot at the time of examination.
The patient insisted on restoring the function of the right HJ, and after providing informed consent for THAP with stated risks and prognosis, she was prescribed standard preoperative examinations. In accordance with the principles of staging and pathogenetic justification of treatment, a comprehensive assessment of five most important pathogenetic elements of the femoral neck nonunion was conducted, and the treatment was prescribed corresponding to the stage of preoperative preparation, namely:
1) Osteoporosis was assessed based on the results of dual energy X-ray densitometry: T-criterion for L1–L4 = -2.8 SD (normal range from -1 SD to +1 SD), for the left femoral neck = -2.1 SD (normal range from -1 SD to +1 SD). Determination of the cortical index of the right femur was difficult due to severity of osteoporosis corticals were visualized with difficulty (Figure 1). Diagnosis of endocrinologist: postmenopausal osteoporosis complicated with pathologic fracture of the right femur; treatment for osteoporosis was prescribed according to the clinical recommendations: sodium ibandronate monohydrate, vitamin D3, ossein-hydroxyapatite compound [6]. Regarding osteoporosis, orthopedists prescribed therapeutic exercise (TE), mechanotherapy on an exercise bike, massage;
2) On X-ray, proximal displacement of the right femur about 2 cm, not requiring pulling down at the preoperative stage;
3) On X-ray, medial displacement of the right femur about 1 cm, not requiring lateralization at the preoperative stage;
4) Moderate contractures of hip and ipsilateral knee joint, the patient was recommended TE, mechano-therapy on an exercise bike, massage;
5) Insignificant muscle atrophy of the right thigh and lower leg, the patient was recommended massage, exercise therapy in the amount of active abduction of the right lower limb from a standing position in a walker with insurance by a caretaker, to strengthen the hip abductors. Mechanotherapy on an exercise bike with an adjustable crank length (Patent No. 225125 RU) was also prescribed [7], (Figure 2). In this clinical case, the crank length was reduced, which made exercise on the bike virtually painless due to a decrease in the amplitude of movements in the right hip joint.
Fig. 2. Mechanotherapy on an exercise bike: (А) exercise bike with the possibility to change the crank length, general view; (B) mechanotherapy at home at the stage of preoperative preparation (the length of the right crank is decreased to reduce the pain of the exercises through decreasing the range of motion in the right hip joint).
The patient and her caretaker were given a detailed explanation of the significance of the preoperative preparation for the favorable outcome of the endoprosthetics. The patient performed all the recommendations at home every day during 6-month wait for hospitalization: TE and exercises on a stationary bike were performed three times a day for 10–15 minutes; besides, the patent received daily massage of the right upper and lower limbs.
Besides, the patient was given the general recommendations: therapy for the existing chronic diseases and maintaining them in remission, treatment of probable infectious foci, proper nutrition with sufficient protein and calcium content, breathing exercises, and an examination by a therapist at the place of residence to decide on the possibility of surgical treatment before hospitalization.
With the above recommendations, the patient was placed on the waiting list for THAP in May 2023.
At the time of hospitalization in May 2023, as a result of specialized orthopedic preoperative preparation, positive dynamics was noted: ultrasound densitometry of the right tibia showed T-criterion = -0.7 SD (normal from -1 SD to +1 SD), contracture and hypotrophy of the muscles of the right lower limb with positive dynamics. Concomitant chronic diseases were in remission.
According to the principles of staging and pathogenetic justifiability of treatment, a repeated comprehensive assessment of the five most significant pathogenetic elements of femoral neck nonunion was carried out, and an appropriate, pathogenetically justified tactic of surgical intervention was selected:
1) Local osteoporosis dictates the need for cemented fixation of the endoprosthesis at the stage of surgical treatment and preservation of subchondral plate of the acetabulum;
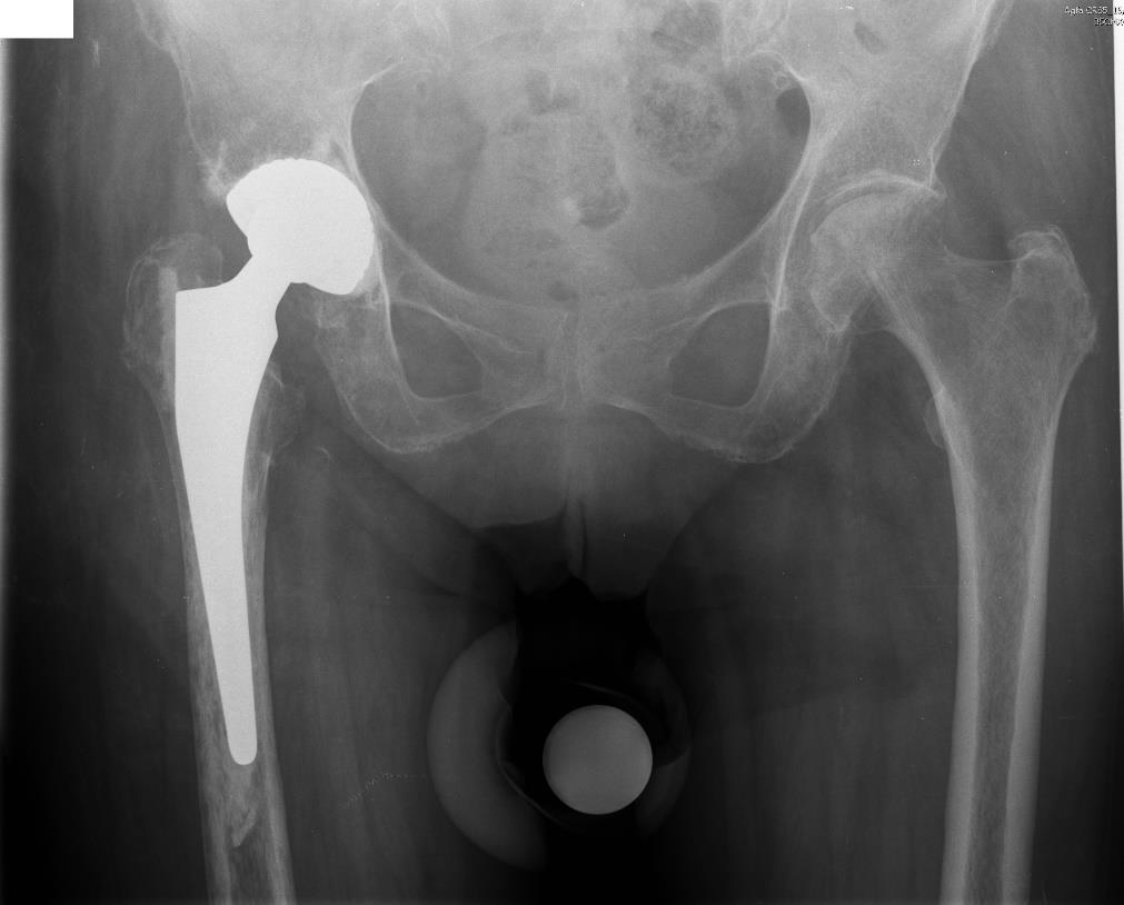
2) Proximal displacement of the right femur by radiography results was 2 cm, the piston test indicated the ease of lowering the femur, which was confirmed intraoperatively the length of the limb was restored without technical difficulties (Figure 3);
3) Medial displacement of the right femur required tissue mobilization to restore the hip offset. Scar tissues were diffusely bleeding during mobilization, and the achieved offset was assessed as a reasonable compromise between the intervention trauma and the restoration of ideal joint anatomy (Figure 3). The range of motion in the joint was full intraoperatively, without impingement;
4) Hip joint contracture was assessed intraoperatively as moderate and required neither additional mobilization of the capsular-ligamentous apparatus nor tenotomies. Delicate redressing’s of the right hip and knee joints were performed at the stage of intraoperative testing of the range of motion in the artificial joint;
5) Hypotrophy of muscles of the right thigh required most careful handling of soft tissues to avoid further aggravation of trophic disorders, and also to prevent postoperative hematomas, which was successfully realized. Hypotrophy of muscles enhances the risks of dislocation of the endoprosthesis, for which reason, an endoprosthesis with double mobility was installed (Figure 3).
Fig. 3. Postoperative plain radiograph of the pelvis of patient S.: correct position of endoprosthesis elements, uniform cement mantle, the length and offset of the femur almost completely corrected.
In general, all five most significant pathogenetic elements of FN nonunion were assessed correctly, and the tactics of surgical intervention was pathogenetically justified. The surgical intervention was successful, no complications in the postoperative period were noted.
The final stage of treatment — postoperative rehabilitation — implied repeated assessment of the five most significant pathogenetic elements of FN nonunion and the choice of an appropriate, pathogenetically justified tactics of postoperative rehabilitation:
1) Regarding osteoporosis, at the stage of post-operative rehabilitation, the patient was recommended to continue treatment under the supervision of an endocrinologist at the place of residence, and to use a regime of gentle axial load on the operated limb in a wheeled walker for the first 3 months after the operation;
2) The proximal offset of the right femur was completely corrected intraoperatively, no correction with footwear was required in the postoperative period;
3) The medial offset of the right femur was almost completely corrected intraoperatively, and did not require any treatment measures at the stage of postoperative rehabilitation;
4) Contractures of the hip and ipsilateral knee joints were eliminated intraoperatively almost completely with the help of redressing and did not require measures at the stage of postoperative rehabilitation;
5) Hypotrophy of the right thigh muscles required continuation of therapeutic exercises, mechanotherapy on a stationary bike with equal-length cranks, massage, and, if technically possible, functional multichannel electrical myostimulation at the stage of postoperative rehabilitation, for which the patient was given the appropriate recommendations. The risk of dislocation of the dual-mobility endoprosthesis was assessed as low, and no additional external immobilization in the form of a hinged orthosis was prescribed.
Besides, the patient was given standard recommendations: thromboprophylaxis for 3 months from the time of the operation, observance of standard limitations for prosthetic patients, continuation of treatment for concomitant chronic diseases under observation of specialist physicians, correct nutrition; a follow-up examination at 3 months after the date of surgery.
In general, the postoperative period was uneventful and with positive dynamics the patient was successfully activated on a walker after a year of staying in supine position (Figure 4). At the examination at 3 months after surgery, Harris hip score was 53 points. The main stages of the medical history are presented on a time scale of the clinical case (Figure 5).
Fig. 4. Patient S. is successfully activated on walkers after total hip arthroplasty: examination at 3 months after surgery.
Fig. 5. Timeline of the clinical case.
DISCUSSION
The complexity of the presented clinical case consists in the combination of severe local osteoporosis and severe hypotrophy of thigh and pelvis muscles with the underlying neurological deficit. The optimal tactics of hip joint replacement in the conditions of severe osteoporosis and muscle hypotrophy is a matter of discussion.
Severe osteoporosis increases the risk of intra-operative fractures of femur, which is why preference is traditionally given to cement fixation of the femoral component. The cup can be fixed with cement or using cement-free method with additional fixation with screws. In case of press-fit fixation, V. Yu. Murylev, et al. give preference to сups with tantalum coating due to stable primary fixation and rapid osseointegration [5]. D. A. Markov, et al. recommend cementless screwed-in cups of Bicon type (Smith and Nephew) [8]. V. A. Filipenko, et al. suggest using impaction autoplasty of the porous acetabulum with spongy bone from the femoral head and greater trochanter, with subsequent cemented or uncemented fixation of the cup [9].
Severe muscle hypotrophy increases the risk of prosthesis dislocation, therefore, in this group of patients, it is especially important to ensure the correct angles of cup anteversion and abduction, restore the overall offset, carefully suture the capsule and muscles, and prevent the development of impingement during endoprosthesis implantation [10]. The use of prostheses with increased bond is also indicated J. S. Luthra, et al. recommend the use of dual mobility prostheses [11]. V. A. Shilnikov, et al. remind us of the need to take into account the patient's cognitive status, possible neurological disorders, and diseases of the lumbar spine in order to reduce the risk of endoprosthesis dislocation [12].
Thus, the discussion in the literature is mainly about the preferred models of endoprostheses and technical details of endoprosthesis fixation in osteoporotic conditions, as well as the required degree of endoprosthesis bond taking into account the risk of dislocation due to muscle hypotrophy.
In our opinion, insufficient attention in the publications is given to the correction of pathology of the bone and muscle tissues proper, since increasing their biological potential to the levels providing satisfactory fixation and functioning of the artificial joint is both clinically reasonable and technically feasible in this group of patients. In practice, this means observance of the national Clinical Guidelines for Osteoporosis, and provides specialized orthopedic exercise therapy and mechanotherapy at the preoperative stage, at home conditions also thus, turning the waiting time for endoprosthetics into a stage of preoperative preparation, which reduces the probability of complications and facilitates the postoperative rehabilitation.
CONCLUSION
Nonunion of the femoral neck has complex pathogenesis and many clinical forms, therefore, each clinical case should be considered from positions of assessment of the five most significant pathogenetic elements: osteoporosis, proximal displacement of the femur, medial displacement of the femur, hypotrophy of femoral and pelvic muscles, contractures of hip and ipsilateral knee joints. Each pathogenetic element should be assessed, and, if necessary, corrected at each of three treatment stages of preoperative preparation, arthroplasty proper and postoperative rehabilitation.
The presented clinical case illustrates the high efficiency of the proposed staged and pathogenetically substantiated tactics of total hip arthroplasty for nonunion of the femoral neck, even in very complex clinical situations.
ADDITIONALLY
Funding. This study was not supported by any external sources of funding.
Conflict of interests. The authors declare no conflicts of interests.
Patient consent. The article uses anonymized clinical data of patient in accordance with her signed informed consent.
Contribution of authors: R. R. Artishchev ― concept and design of study, analysis and interpretation of data, writing the text; D. A. Shavyrin, D. V. Martynenko ― concept and design of study, editing. The authors confirm the correspondence of their authorship to the ICMJE International Criteria. All authors made a substantial contribution to the conception of the work, acquisition, analysis, interpretation of data for the work, drafting and revising the work, final approval of the version to be published and agree to be accountable for all aspects of the work.
About the authors
Rodion R. Artishchev
Moscow Regional Research and Clinical Institute
Author for correspondence.
Email: Rodion_Artishchev@mail.ru
ORCID iD: 0009-0007-8894-2316
SPIN-code: 5555-2927
Russian Federation, Moscow
Dmitrii A. Shavyrin
Moscow Regional Research and Clinical Institute
Email: shavyrin@inbox.ru
ORCID iD: 0009-0002-8804-1722
SPIN-code: 2022-3822
MD, Dr. Sci. (Med.), Professor
Russian Federation, MoscowDmitrii V. Martynenko
Moscow Regional Research and Clinical Institute
Email: orthomoniki@gmail.com
ORCID iD: 0009-0009-5033-4379
SPIN-code: 8639-8192
MD, Cand. Sci. (Med.), Associate Professor
Russian Federation, MoscowReferences
- Samarin MA, Asi Habiballah ZA, Krivova AV, et al. Epidemiology of fractures of the proximal femur in people older than 50 years: what has changed in the last 30 years? N.N. Priorov Journal of Traumatology and Orthopedics. 2022;29(2):181−91. (In Russ). doi: 10.17816/vto109748
- Yamshchikov ON, Emelyanov SA, Mordovin SA, et al. Anatomical features of the blood supply to the femoral neck (literature review). Bulletin of the Medical Institute “REAVIZ” (REHABILITATION, DOCTOR AND HEALTH). 2021;(2):11–7. (In Russ). doi: 10.20340/vmi-rvz.2021.2.MORPH.1
- Egiazaryan KA, Sirotin IV, But-Gusaim AB, et al. Pseudoarthrosis of the femoral neck: features of the origin and tactics of treatment. Russian Medicine. 2018;24(4):195–8. (In Russ). doi: 10.18821/0869-2106-2018-24-4-195-198
- Tsed AN, Mushtin NE, Shmelev AV, Dulaev AK. Femoral neck nonunion: new classification used in total hip arthroplasty in elderly patients. Genij Ortopedii. 2022;28(3):345–51. (In Russ). doi: 10.18019/1028-4427-2022-28-3-345-351
- Murylyov VYu, Elizarov PM, Rukin YaA, et al. Hip arthroplasty as a chance to improve quality of life in eldery group of patients. Advances in Gerontology. 2017;30(5):725–32. (In Russ).
- Belaya ZhE, Belova KYu, Biryukova EV, et al. Federal clinical guidelines for diagnosis, treatment and prevention of osteoporosis. Osteoporosis and Bone Diseases. 2021;24(2):4–47. (In Russ). doi: 10.14341/osteo12930
- Artishchev RR. Velotrenazher dlya nekhirurgicheskogo lecheniya pacientov s perelomom libo psevdoartrozom bedrennoj kosti. Patent RU No. 225125. 15/04/2024 Byul. No. 11. Available at: https://patentimages.storage.googleapis.com/4d/b3/5e/2c47 e4ac37f272/RU225125U1.pdf. Accessed: 2024 September 24. (In Russ).
- Markov DA, Zvereva KP, Belonogov VN. Total hip replacement in patients with false joint of the femoral neck. Polytrauma. 2019;(4):29–35. (In Russ).
- Filipenko VA, Tankut VO, Bondarenko SYe, et al. Method of acetabular cup insertion in total hip arthroplasty in conditions of osteoporosis due to trauma. Trauma. 2016;17(2):94–6. (In Russ).
- Molodov MA, Danilyak VV, Kluchevsky VV, et al. Risk factors for total hip arthroplasty dislocations. Traumatology and Orthopedics of Russia. 2013;(2):23–30. (In Russ).
- Luthra JS, Al Ghannami S, Al Habsi S, et al. Dual mobility total hip arthroplasty for salvaging failed internal fixation for neck of femur fractures. Journal of Orthopaedics, Trauma and Rehabilitation. 2020;27(1):68–71. doi: 10.1177/2210491720913574
- Shilnikov VA, Baiborodov AB, Denisov AO, et al. Dual Mobility Acetabular Component as a Way to Prevent Head Dislocation of the Hip. Traumatology and Orthopedics of Russia. 2016;22(4):107–13. (In Russ). doi: 10.21823/2311-2905-2016-22-4-107-113
Supplementary files










